S-1
Table of Contents

As filed with the Securities and Exchange Commission on January 7, 2025

Registration No. 333-     

 

 

 

UNITED STATES

SECURITIES AND EXCHANGE COMMISSION

WASHINGTON, D.C. 20549

 

 

FORM S-1

REGISTRATION STATEMENT

UNDER

THE SECURITIES ACT OF 1933

 

 

MAZE THERAPEUTICS, INC.

(Exact name of registrant as specified in its charter)

 

 

 

Delaware   2836   82-2635018
(State or other jurisdiction of incorporation or
organization)
 

(Primary Standard Industrial

Classification Code Number)

 

(I.R.S. Employer

Identification Number)

171 Oyster Point Blvd., Suite 300

South San Francisco, California 94080

(650) 850-5070

(Address, including zip code, and telephone number, including area code, of registrant’s principal executive offices)

 

 

Jason Coloma, Ph.D.

Chief Executive Officer

Maze Therapeutics, Inc.

171 Oyster Point Blvd., Suite 300

South San Francisco, California 94080

(650) 850-5070

(Name, address, including zip code, and telephone number, including area code, of agent for service)

 

 

Copies to:

 

Effie Toshav, Esq.

Amanda Rose, Esq.

Ryan Mitteness, Esq.

Chelsea Anderson, Esq.

Fenwick & West LLP

555 California Street

San Francisco, California 94104

(415) 875-2300

 

Alan Denenberg, Esq.

Emily Roberts, Esq.

Davis Polk & Wardwell LLP

900 Middlefield Road Suite 200

Redwood City, California 94063

(650) 752-2000

 

 

Approximate date of commencement of proposed sale to the public: As soon as practicable after the effective date of this registration statement.

If any of the securities being registered on this Form are to be offered on a delayed or continuous basis pursuant to Rule 415 under the Securities Act of 1933 check the following box. 

If this Form is filed to register additional securities for an offering pursuant to Rule 462(b) under the Securities Act, please check the following box and list the Securities Act registration statement number of the earlier effective registration statement for the same offering. 

If this Form is a post-effective amendment filed pursuant to Rule 462(c) under the Securities Act, check the following box and list the Securities Act registration statement number of the earlier effective registration statement for the same offering. 

If this Form is a post-effective amendment filed pursuant to Rule 462(d) under the Securities Act, check the following box and list the Securities Act registration number of the earlier effective registration statement for the same offering. 

Indicate by check mark whether the registrant is a large accelerated filer, an accelerated filer, a non-accelerated filer, smaller reporting company, or an emerging growth company. See the definitions of “large accelerated filer,” “accelerated filer,” “smaller reporting company,” and “emerging growth company” in Rule 12b-2 of the Exchange Act.

 

Large accelerated filer    Accelerated filer     Non-accelerated filer     Smaller reporting company  
       Emerging growth company  

If an emerging growth company, indicate by check mark if the registrant has elected not to use the extended transition period for complying with any new or revised financial accounting standards provided pursuant to Section 7(a)(2)(B) of the Securities Act. 

 

 

The Registrant hereby amends this registration statement on such date or dates as may be necessary to delay its effective date until the Registrant shall file a further amendment which specifically states that this registration statement shall thereafter become effective in accordance with Section 8(a) of the Securities Act of 1933, as amended, or until the registration statement shall become effective on such date as the Securities and Exchange Commission, acting pursuant to said Section 8(a), may determine.

 

 

 


Table of Contents

The information in this preliminary prospectus is not complete and may be changed. We may not sell these securities until the registration statement filed with the Securities and Exchange Commission is effective. This preliminary prospectus is not an offer to sell these securities, and we are not soliciting offers to buy these securities in any jurisdiction where the offer or sale is not permitted.

 

Subject to completion, dated January 7, 2025

Preliminary prospectus

    shares

 

LOGO

Common stock

We are offering    shares of our common stock. This is our initial public offering and no public market currently exists for our common stock. We expect the initial public offering price to be between $    and $    per share.

We have applied to list our common stock on the Nasdaq Global Market, or Nasdaq, under the symbol “MAZE.” It is a condition to the closing of this offering that the common stock offered hereby has been approved for listing on Nasdaq.

We are an “emerging growth company” and a “smaller reporting company” as defined under the federal securities laws and, as such, we have elected to comply with certain reduced reporting requirements for this prospectus and may elect to do so in future filings.

 

     
      Per share        Total  

Initial public offering price

   $             $       

Underwriting discounts and commissions(1)

   $          $    

Proceeds to Maze Therapeutics, Inc., before expenses

   $          $    

 

 

 

(1)   See the section entitled “Underwriting” for a description of the compensation payable to the underwriters.

We have granted the underwriters an option for a period of 30 days after the date of this prospectus to purchase up to    additional shares of our common stock from us at the initial public offering price, less underwriting discounts and commissions.

Investing in our common stock involves a high degree of risk. Please read the section entitledRisk factorsbeginning on page 15 of this prospectus.

Neither the Securities and Exchange Commission nor any state securities commission has approved or disapproved of these securities or determined if this prospectus is truthful or complete. Any representation to the contrary is a criminal offense.

The underwriters expect to deliver the shares of common stock against payment in New York, New York, on    , 2025.

 

J.P. Morgan     TD Cowen       Leerink Partners       Guggenheim Securities  

Prospectus dated    , 2025


Table of Contents

Table of contents

 

     Page  

Prospectus summary

     1  

The offering

     10  

Risk factors

     15  

Special note regarding forward-looking statements

     82  

Use of proceeds

     85  

Dividend policy

     87  

Capitalization

     88  

Dilution

     91  

Management’s discussion and analysis of financial condition and results of operations

     94  

Business

     114  

Management

     160  

Executive compensation

     173  

Certain relationships and related party transactions

     188  

Principal stockholders

     192  

Description of capital stock

     195  

Shares eligible for future sale

     201  

Material U.S. federal income tax consequences to non-U.S. holders

     203  

Underwriting

     208  

Legal matters

     220  

Experts

     220  

Where you can find additional information

     220  

Index to financial statements

     F-1  

Through and including    , 2025 (the 25th day after the date of this prospectus), all dealers effecting transactions in these securities, whether or not participating in this offering, may be required to deliver a prospectus. This delivery requirement is in addition to a dealer’s obligation to deliver a prospectus when acting as an underwriter and with respect to an unsold allotment or subscription.

 

 

Neither we nor the underwriters have authorized anyone to provide any information or to make any representations other than those contained in this prospectus or in any free writing prospectuses we have prepared. We and the underwriters take no responsibility for, and can provide no assurance as to the reliability of, any other information that others may give you. This prospectus is an offer to sell only the shares offered hereby, but only under circumstances and in jurisdictions where it is lawful to do so. The information contained in this prospectus or in any applicable free writing prospectus is current only as of its date, regardless of its time of delivery or the time of any sale of shares of our common stock.

 

i


Table of Contents

For investors outside of the United States: Neither we nor any of the underwriters have done anything that would permit this offering or possession or distribution of this prospectus in any jurisdiction where action for that purpose is required, other than the United States. Persons outside of the United States who come into possession of this prospectus must inform themselves about, and observe any restrictions relating to, the offering of the shares of our common stock and the distribution of this prospectus outside of the United States.

 

 

 

ii


Table of Contents

Prospectus summary

This summary highlights selected information contained elsewhere in this prospectus and does not contain all of the information that you should consider in making your investment decision. Before investing in our common stock, you should carefully read this entire prospectus, including our financial statements and the related notes thereto and the information set forth under the sections entitled “Risk factors” and “Management’s discussion and analysis of financial condition and results of operations,” in each case included in this prospectus. Some of the statements in this prospectus constitute forward-looking statements that involve risks and uncertainties. See the section entitled “Special note regarding forward-looking statements” for additional information. Unless the context otherwise requires, we use the terms “Maze,” “the company,” “we,” “us” and “our” in this prospectus to refer to Maze Therapeutics, Inc.

Overview

We are a clinical-stage biopharmaceutical company harnessing the power of human genetics to develop novel, small molecule precision medicines for patients living with renal, cardiovascular and related metabolic diseases, including obesity. We are advancing a pipeline using our Compass platform, which allows us to identify and characterize genetic variants in disease and then link those variants to the biological pathways that drive disease in specific patient groups through a process we refer to as variant functionalization. Our Compass platform has been purpose-built to inform all phases of our drug discovery and development process through clinical trial design. We are currently advancing two wholly owned lead programs, MZE829 and MZE782, each of which represents a novel precision medicine-based approach for chronic kidney disease, or CKD. Our goal is to bring novel precision medicines to patients to maximize our impact on human health.

CKD is a serious, progressive condition that affects approximately 37 million patients in the United States, where it is expected to be the fifth most prevalent chronic disease by 2040. Current treatments for CKD consider patients as falling into clinical categories and focus on slowing the progression of disease, but do not target the underlying genetic drivers of disease. Our lead programs are designed to phenocopy, or mimic, the protective effects of certain genetic variants that are associated with reduced disease burden and improved kidney function in distinct groups of CKD patients.

Our most advanced lead program, MZE829, is an oral, small molecule inhibitor of apolipoprotein L1, or APOL1, for the treatment of patients with APOL1 kidney disease, or AKD, which is estimated to affect over one million patients in the United States alone. Although the link between APOL1 variants and renal dysfunction has been known for over a decade, we have identified a new protective variant that underpins our therapeutic approach for MZE829 and may ultimately allow us to address a broader population of AKD than has previously been possible in the clinical setting. In October 2024, we reported results for our Phase 1 clinical trial of MZE829, in which we enrolled 111 healthy patients who received either single or multiple ascending doses of 20 mg to 480 mg of MZE829 administered daily. Treatment was well tolerated with no severe adverse events or serious adverse events reported in patients treated with single doses up to 480 mg and multiple doses of up to 350 mg daily for seven days. Dose-proportional pharmacokinetics, or PK, was observed with low variability (10-40%) across doses. We initiated a Phase 2 trial of MZE829 in November 2024 and expect to dose our first patient in the first quarter of 2025 and to report proof of concept data in the first quarter of 2026.

Our second lead program, MZE782, is an oral, small molecule inhibitor of the solute transporter SLC6A19, a novel CKD target, with the potential to address approximately five million of the CKD patients in the United States with inadequate responses to currently available CKD therapies. Beyond its use as a potential standalone therapy, MZE782 may also provide a significant benefit to patients in combination with standard of care,

 

1


Table of Contents

including as a complementary treatment to current approved regimens or as an alternative option for those patients who do not adequately respond to today’s standard of care. We initiated a Phase 1 trial of MZE782 in September 2024 and expect to report initial data from this trial in the second half of 2025.

In addition to CKD, we believe MZE782 may provide benefit to patients suffering from the genetically defined metabolic disease, phenylketonuria, or PKU. Following our ongoing Phase 1 trial of MZE782, we plan to conduct a parallel Phase 2 clinical trial to explore MZE782 as a potential treatment of PKU.

Our Compass platform supports end-to-end variant identification and functionalization capabilities as well as advanced research tools and methodologies for drug development. We believe the process of variant functionalization, or understanding how genetic variants function to affect the course of disease, is a foundational aspect of precision medicine and one of the core capabilities that sets us apart from others in the field.

Our programs

Our Compass platform is the foundation for all our programs. Compass has generated three clinical stage programs in the past five years: MZE829 and MZE782, which we wholly own, and MZE001, which we partnered. In addition to these clinical stage programs, Compass has generated research programs that are being developed by us or by other biotechnology companies through exclusive licensing or spin-out arrangements.

Our clinical pipeline

Our wholly owned clinical pipeline consists of small molecule precision medicines for patients living with common diseases. We are focused on renal, cardiovascular and related metabolic, or CVRM, diseases, including obesity. MZE829 and MZE782 are our lead programs. In areas outside of our CVRM focus, we have an additional program in development, MZE001 in Pompe disease, through a partnership arrangement with Shionogi & Co., Ltd., or Shionogi.

 

 

LOGO

 

2


Table of Contents

Our research and partnered programs

In addition to our clinical pipeline, we have several earlier stage research programs. These include wholly owned small molecule programs within our CVRM core focus. Beyond our wholly owned portfolio, we have additional partnered programs, including ATXN2 and UNC13A, which are being developed for multiple diseases and amyotrophic lateral sclerosis, or ALS, respectively. ATXN2 and UNC13A are being developed by Neurocrine Biosciences, Inc. and Trace Neuroscience, Inc., respectively. Additionally, we formed a spin-out company, Broadwing, Bio, Inc., or Broadwing, to develop therapeutic candidates, including ANGPTL7, for treatment of ophthalmic diseases.

Our lead programs

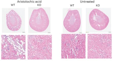
Our most advanced lead program, MZE829, is an oral, small molecule inhibitor of APOL1 for the treatment of patients with AKD, a subset of CKD estimated to affect over one million patients in the United States alone. Although the link between APOL1 variants and renal dysfunction has been known for over a decade, we have identified a new protective variant of the APOL1 gene, N264K. MZE829 is designed to phenocopy N264K and mimic its protective characteristics. Through our preclinical work in AKD, we have demonstrated MZE829’s potential as a disease modifying treatment for patients suffering from this disease. Preclinical in vivo studies demonstrated MZE829’s significant potency in a model of APOL1-induced kidney injury, suggesting the ability to address a broader population of AKD than has previously been possible in the clinical setting. Additionally, MZE829 has demonstrated the potential to stop or reverse critical features of kidney disease, specifically the breakdown of the kidney’s filtering system and loss of protein in urine, or proteinuria. In October 2024, we reported results for our Phase 1 clinical trial of MZE829, in which we enrolled 111 healthy patients who received either single or multiple ascending doses of 20 mg to 480 mg of MZE829 administered daily. Treatment was well tolerated with no severe adverse events or serious adverse events reported in patients treated with single doses up to 480 mg and multiple doses of up to 350 mg daily for seven days. Dose-proportional PK was observed with low variability (10-40%) across doses. We initiated a Phase 2 trial of MZE829 in November 2024 and expect to dose our first patient in the first quarter of 2025 and to report proof of concept data in the first quarter of 2026.

Our second most advanced lead program, MZE782, is an oral, small molecule that targets the solute transporter, SLC6A19, with the potential to address approximately five million of the CKD patients in the United States with inadequate responses to currently available CKD therapies. Beyond its use as a potential standalone therapy, MZE782 may also provide a significant benefit to patients in combination with standard of care, including as a complementary treatment to current approved regimens or as an alternative option for those patients who do not adequately respond to today’s standard of care. We identified SLC6A19 using non-public sets of matched, genetic and longitudinal clinical data and discovered a bidirectional allelic series with variants that either improve or worsen renal function. We then applied variant functionalization techniques to understand the characteristics of the naturally occurring protective variants and designed our proprietary small molecule to mimic their inhibitory effects. We plan to apply a non-invasive biomarker strategy in our Phase 1 trial to establish proof of mechanism and to select doses for a Phase 2 trial. We initiated our Phase 1 trial of MZE782 in September 2024 and expect to report initial data from this trial in the second half of 2025.

In addition to CKD, we believe MZE782 may provide benefit to patients suffering from PKU. Following our ongoing Phase 1 trial of MZE782, we plan to conduct a parallel Phase 2 clinical trial to explore MZE782 as a potential treatment of PKU.

 

3


Table of Contents

Our early-stage research programs

In addition to our two lead programs, we have research efforts underway for next-generation assets for these indications. We are also exploring additional CVRM targets. We are focusing our early research efforts and evaluating genetic targets in CVRM diseases, including obesity, driven in part by the emerging understanding of the interconnectivity of these common diseases affecting the heart and kidney through metabolic drivers, such as obesity.

Our partnered programs

Further, our Compass platform has also produced a pipeline across other therapeutic areas and modalities, including MZE001, our first clinical program, which we developed for the treatment of patients with Pompe disease. Within approximately three years, MZE001 progressed from discovery to the clinic and demonstrated proof of mechanism in a Phase 1 trial, suggesting its potential as an oral therapy for the treatment of patients with Pompe disease and demonstrating the potential of our Compass platform. Given our focus on CVRM diseases, where we believe we can maximize our impact on human health, we strategically enter into partnerships with third parties to advance programs that address diseases outside of our core focus areas. In March 2024, following the completion of our Phase 1 trial, we exclusively licensed MZE001 to Shionogi for an upfront payment of $150 million and the potential for additional milestones and royalties, including a Phase 2 milestone. We have also exclusively licensed our ATXN2 and UNC13A programs to other biotechnology companies. Additionally, we formed a spin-out company, Broadwing, to develop therapeutic candidates, including ANGPTL7, for treatment of ophthalmic diseases. As of September 30, 2024, we owned approximately 48% of the outstanding equity of Broadwing, and we expect our ownership to be significantly diluted upon the conversion of outstanding convertible notes issued by Broadwing. In August 2024, Broadwing granted an exclusive option to a biotechnology company to acquire the ANGPTL7 program. We believe our collaborations validate the potential of our Compass platform and our ability to generate new targets and assets of therapeutic interest across a wide range of indications and therapeutic areas.

Our approach to precision medicine: Compass platform

Our Compass platform and its associated methodologies give us the ability to aggregate matched, genetic and longitudinal clinical data at scale to identify genes associated with disease, utilizing a combination of private and publicly-available paired clinical data. More importantly, this process uncovers genetic variants of these genes that provide insight into a therapeutic approach to the applicable target. Using machine learning and statistical modeling, variant functionalization tools, and traditional and computational drug discovery technologies, targets are then prioritized based on their roles in biological pathways, their roles as potential drivers of disease, and their structural properties. These insights ultimately inform our clinical development and patient selection strategies, which we believe have the potential to improve the overall likelihood of technical, regulatory and commercial success of our precision medicine candidates, although we cannot provide any assurance that the application of our Compass platform will result in the ultimate regulatory approval of any of our therapeutic candidates. The power of our Compass platform and its methodologies is best exhibited through our clinical and preclinical programs and multiple contributions to the scientific community over the past five years, including the publication in Nature and other leading scientific journals of discoveries made through our Compass platform in the fields of human genetics, molecular biology and medicinal chemistry.

 

4


Table of Contents

 

 

LOGO

Our Compass platform follows a sequential, three phase workflow consisting of: (1) variant discovery, in which we analyze multiple large-scale genetic databases to identify relevant genetic variants; (2) variant to function, in which we demonstrate experimentally the link between genetic variants identified and the biology underpinning protection from disease; and (3) function to therapy, in which we develop the assays, models, molecules and data necessary to support advancing new small molecules into clinical development. This workflow creates an iterative learning loop that improves as we generate and analyze additional data.

A new era of precision medicine: Maze’s opportunity in CVRM diseases

Over the past 20 years, significant advances in human genetics and in the understanding of the biological processes underpinning disease have opened the door to a multitude of new potential therapeutic targets and treatment approaches, which we believe presents a unique opportunity for a new approach to precision medicine. More recently, the availability of matched, genetic and longitudinal clinical data and advanced computational methods to analyze these data has enabled the characterization of genetic variants that are strongly correlated with disease susceptibility and severity. Advancements in functional genomics have also provided new tools to help unravel how genetic variants impact disease progression from a mechanistic perspective. Nevertheless, the process of successfully translating genetic insights into effective precision medicines is a complex challenge that has inspired our mission as a company as well as our name, Maze Therapeutics.

Based on insights from our Compass platform, we design our therapeutic candidates to modulate the target of interest, either by mimicking the beneficial effects of certain protective variants or by blocking the unwanted activity associated with toxic variants, to address the underlying biological drivers of disease. Our process of designing precision medicines that take into account the genetic drivers of disease in defined patient groups parallels many of the foundational principles of precision oncology, which has revolutionized the treatment landscape in cancer, and, we believe, may help streamline our development efforts and increase our odds of clinical success.

 

5


Table of Contents

Our team

Our leadership team and board of directors have significant experience discovering, developing and commercializing therapies. Our existing shareholders include investors with renowned life sciences experience and a shared, dedicated goal of transforming the lives of patients by creating a leading precision medicine company in the CVRM disease spaces.

Jason Coloma, Ph.D., M.P.H., our Chief Executive Officer, brings over 20 years of life science leadership experience. He most recently operated as a venture partner at Third Rock Ventures, LLC, or Third Rock Ventures, during which time he served as the Chief Operating Officer of Maze before being appointed CEO.

Harold Bernstein, M.D., Ph.D., our President, Research & Development and Chief Medical Officer, brings over 30 years of experience in scientific research, translational medicine and clinical development. Dr. Bernstein most recently was Chief Medical Officer and Head of Global Clinical Development at BioMarin Pharmaceuticals Inc. He previously served as Head of Translational Medicine at Vertex Pharmaceuticals Incorporated, or Vertex, and held roles of increasing responsibility at Merck and Co., Inc., including Head of Early Development for Cardiometabolic Diseases.

Atul Dandekar, our Chief Strategy and Business Officer, brings over 20 years of experience in strategy, clinical development and commercialization. Mr. Dandekar most recently was VP, Global Franchise Head for Ophthalmology at Genentech, Inc., or Genentech, and F. Hoffmann-La Roche AG, or Roche, and previously served as Senior Global Program Head in Neuroscience at Novartis AG.

Our strategy

We leverage our Compass platform to discover and develop precision medicines in subsets of diseases to achieve improved treatment outcomes for patients. Our focus on CVRM diseases, including obesity, is driven in part by the emerging understanding of the interconnectivity of these diseases. By focusing on these common diseases, we believe we can maximize our impact on human health. We actively explore indication expansion based on emerging genetics data and unmet medical need.

The core elements of our business strategy are to:

 

 

Advance the clinical development of MZE829 for AKD, including focal segmental glomerulosclerosis, and MZE782 for the treatment of CKD and PKU, diseases affecting patient populations with high unmet need.

 

 

Leverage our proprietary Compass platform to expand our pipeline of precision medicine candidates.

 

 

Enhance our Compass platform and methodology.

 

 

Maximize the commercial potential of our pipeline.

Summary of risks affecting us

Our business and our ability to implement our business strategy are subject to numerous risks, as more fully described in the section entitled “Risk factors” immediately following this prospectus summary. You should read these risks before you invest in our common stock. We may be unable, for many reasons, including those

 

6


Table of Contents

that are beyond our control, to implement our business strategy. In particular, risks associated with our business include:

 

 

We are a clinical-stage biopharmaceutical company with a limited operating history, which may make it difficult to evaluate the success of our business to date and to assess our future viability. Since our inception, we have incurred significant operating losses and have not generated any product revenue. We expect to incur continued losses for the foreseeable future and may never achieve or maintain profitability.

 

 

Even if this offering is successful, we will require substantial additional capital to finance our operations and achieve our goals. If we are unable to raise capital when needed or on terms acceptable to us, we may be forced to delay, reduce or eliminate our research or product development programs, any future commercialization efforts or other operations.

 

 

We are early in our development efforts and highly dependent on the success of our lead programs. If we are unable to commercialize our therapeutic candidates or experience significant delays in doing so, our business will be materially harmed.

 

 

Preclinical and clinical drug development is a lengthy and expensive process, with uncertain timelines and outcomes. If preclinical studies or clinical trials of our therapeutic candidates are prolonged or delayed, we may be unable to obtain required regulatory approvals, and therefore be unable to commercialize our therapeutic candidates or any of our future therapeutic candidates on a timely basis or at all.

 

 

We may not be successful in applying our Compass platform to identify targets with therapeutic potential or to discover and develop safe, effective or commercially viable therapeutic candidates.

 

 

Our Compass platform relies on access to high quality data repositories with paired genetic and clinical data and loss of such access, or the inability to use such data, could have a material adverse effect on our business, financial condition, results of operations and prospects.

 

 

We have entered, and may in the future enter, into strategic collaborations, transactions and licensing partnerships for research, development or commercialization of our programs, including our first therapeutic candidate MZE001, and we may not be able to realize the full value of these partnerships or our partnered programs.

 

 

We face significant competition in an environment of rapid technological change and there is a possibility that our competitors may achieve regulatory approval before us or develop therapies or technologies that are more advanced or effective than ours, which may harm our business and financial condition, and our ability to successfully market or commercialize our therapeutic candidates.

 

 

Our success depends in part on our and our partners’ ability to obtain, maintain, enforce and protect our intellectual property and proprietary rights. It is difficult and costly to protect our intellectual property rights and technologies, and we may not be able to ensure their protection. If we are unable to adequately protect our technologies or obtain and maintain patent protection for our technologies and products or if the scope of the patent protection obtained is not sufficiently broad, our competitors could develop and commercialize technologies and products similar or identical to ours, and our ability to successfully commercialize our technologies and products may be impaired.

 

 

If we are sued for infringing, misappropriating or otherwise violating intellectual property or proprietary rights of third parties, such litigation or disputes could be costly and time-consuming and could prevent or delay us from developing or commercializing our therapeutic candidates.

 

7


Table of Contents
 

Certain of the diseases we, or which our partners, seek to treat have low prevalence and/or have available therapies, and it may be difficult for us or our partners to identify patients with these diseases or face competition in the recruitment of these limited groups of patients, which may lead to difficulties in enrolling clinical trials.

Corporate information

We were incorporated under the laws of the State of Delaware on August 29, 2017, originally under the name Genetic Modifiers NewCo, Inc. We changed our name on July 5, 2018 to Modulus Therapeutics, Inc. and on September 25, 2018, to Maze Therapeutics, Inc.

Our principal executive offices are located at 171 Oyster Point Blvd., Suite 300, South San Francisco, California 94080, and our telephone number is (650) 850-5070. Our website address is www.mazetx.com. The information contained on, or that can be accessed through, our website is not part of, and is not incorporated by reference into, this prospectus.

The mark “Maze Therapeutics,” the Maze logo, “Maze Compass” and all product names are our registered or common law trademarks. All other service marks, trademarks and trade names appearing in this prospectus are the property of their respective owners. Solely for convenience, the trademarks and tradenames referred to in this prospectus appear without the ® and symbols, but those references are not intended to indicate, in any way, that we will not assert, to the fullest extent under applicable law, our rights, or the right of the applicable licensor to these trademarks and tradenames.

Implications of being an emerging growth company and a smaller reporting company

As a company with less than $1.235 billion in revenue during our last fiscal year, we qualify as an “emerging growth company,” or EGC, as defined in the Jumpstart Our Business Startups Act of 2012, or the JOBS Act. An EGC may take advantage of certain exemptions from various reporting requirements that are applicable to other public companies. These provisions include, but are not limited to:

 

 

being permitted to present only two years of audited financial statements and only two years of reduced related “Management’s discussion and analysis of financial condition and results of operations” disclosure in this prospectus;

 

 

not being required to comply with the auditor attestation requirements of Section 404 of the Sarbanes-Oxley Act of 2002, as amended, or the Sarbanes-Oxley Act, on the effectiveness of our internal controls over financial reporting;

 

 

reduced disclosure obligations regarding executive compensation arrangements; and

 

 

exemptions from the requirements of holding a nonbinding advisory vote on executive compensation and stockholder approval of any golden parachute payments not previously approved.

We will remain an EGC until the earliest to occur of: (1) the last day of our fiscal year in which we have more than $1.235 billion in annual revenue; (2) the date we qualify as a “large accelerated filer,” as defined under Rule 12b-2 of the Securities Exchange Act of 1934, as amended, or the Exchange Act; (3) the date on which we have issued, in any three-year period, more than $1.0 billion in non-convertible debt securities; or (4) the last day of our fiscal year ending after the fifth anniversary of the completion of this offering.

 

8


Table of Contents

We have elected to take advantage of certain of the reduced disclosure obligations for EGCs in the registration statement of which this prospectus is a part and may elect to take advantage of other reduced reporting requirements in future filings. As a result, the information that we provide to our stockholders may be different than you might receive from other public reporting companies in which you hold equity interests.

The JOBS Act provides that an EGC can take advantage of an extended transition period for complying with new or revised accounting standards, until those standards apply to private companies. We have elected to use this extended transition period to enable us to comply with new or revised accounting standards that have different effective dates for public and private companies until the earlier of the date we (i) are no longer an EGC or (ii) affirmatively and irrevocably opt out of the extended transition period provided in the JOBS Act. As a result, our financial statements may not be comparable to companies that comply with such new or revised accounting standards. Until the date that we are no longer an EGC or affirmatively and irrevocably opt out of the exemption provided by Section 7(a)(2)(B) of the Securities Act of 1933, as amended, or the Securities Act, upon issuance of a new or revised accounting standard that applies to our financial statements and that has a different effective date for public and private companies, we will disclose the date on which adoption is required for non-EGCs and the date on which we will adopt the recently issued accounting standard. We are also a “smaller reporting company,” or SRC, meaning that the market value of our capital stock held by non-affiliates plus the proposed aggregate amount of gross proceeds to us as a result of this offering is less than $700.0 million and our annual revenue is less than $100.0 million during our most recently completed fiscal year. We may continue to be a SRC after this offering if either (i) the market value of our capital stock held by non-affiliates is less than $250.0 million or (ii) our annual revenue was less than $100.0 million during our most recently completed fiscal year and the market value of our capital stock held by non-affiliates is less than $700.0 million. If we are a SRC at the time we cease to be an EGC, we may continue to rely on exemptions from certain disclosure requirements that are available to SRCs. Specifically, as a SRC, we may choose to present only the two most recent fiscal years of audited financial statements in our Annual Report on Form 10-K and we are not required to comply with the auditor attestation requirements of Section 404(b) of the Sarbanes-Oxley Act and, similar to EGCs, SRCs have reduced disclosure obligations regarding executive compensation.

 

9


Table of Contents

The offering

 

Common stock offered by us

    shares

 

Option to purchase additional shares

We have granted the underwriters an option, exercisable for 30 days after the date of this prospectus, to purchase up to an additional     shares from us at the initial public offering price per share less the underwriting discounts and commissions.

 

Common stock to be outstanding immediately after this offering

    shares (or     shares, if the underwriters exercise their option to purchase additional shares in full).

 

Use of proceeds

We estimate that the net proceeds from this offering will be approximately $     million (or approximately $     million if the underwriters exercise their option to purchase additional shares in full), based upon an assumed initial public offering price of $     per share, which is the midpoint of the estimated price range set forth on the cover of this prospectus, after deducting the estimated underwriting discounts and commissions and estimated offering expenses payable by us.

 

  We intend to use the net proceeds from this offering, together with our existing cash and cash equivalents, to fund the clinical development of MZE829, MZE782 and our other discovery and preclinical programs, to conduct research, to broaden the pipeline of product candidates, to fund the further development of our Compass platform, and for working capital and other general corporate purposes.

 

  See the section entitled “Use of proceeds” for additional information.

 

Risk factors

You should read the section entitled “Risk factors” in this prospectus for a discussion of factors to consider carefully before deciding to invest in shares of our common stock.

 

Proposed Nasdaq Global Market symbol

“MAZE”

The number of shares of our common stock to be outstanding after this offering is based on (i) 23,526,903 shares of our common stock outstanding as of September 30, 2024, including 101,605 shares that are unvested and subject to repurchase or forfeiture, and (ii) the automatic conversion of all shares of our outstanding redeemable convertible preferred stock, including shares of Series D Preferred Stock and

 

10


Table of Contents

Series D-1 Preferred Stock issued subsequent to September 30, 2024, into 314,170,263 shares of our common stock immediately prior to the completion of this offering, and excludes:

 

 

36,421,972 shares of our common stock issuable upon the exercise of options to purchase shares of our common stock outstanding as of September 30, 2024 under our 2019 Equity Incentive Plan, or the 2019 Plan, with a weighted-average exercise price of $1.09 per share, which includes adjustments related to our repricing of outstanding stock options in December 2024;

 

 

16,104,100 shares of our common stock issuable upon the exercise of options to purchase shares of our common stock granted after September 30, 2024 under our 2019 Plan, with a weighted-average exercise price of $1.08 per share; and

 

 

    shares of our common stock reserved for future issuance under our equity compensation plans, consisting of:

 

   

22,540,468 shares of our common stock reserved for future issuance under our 2019 Plan, which includes the increase of 20,726,731 shares reserved for issuance under our 2019 Plan in November 2024;

 

   

    shares of our common stock to be reserved for future issuance under our 2025 Equity Incentive Plan, or the 2025 Plan, which will become effective immediately prior to the date of the effectiveness of the registration statement of which this prospectus forms a part; and

 

   

    shares of our common stock to be reserved for future issuance under our 2025 Employee Stock Purchase Plan, or the ESPP, which will become effective on the date of the effectiveness of the registration statement of which this prospectus forms a part.

Our 2025 Plan and our ESPP provide for automatic annual increases in the number of shares of our common stock reserved thereunder, and our 2025 Plan provides for increases to the number of shares that may be granted thereunder based on shares under our 2019 Plan that expire, are tendered to or withheld by us for payment of an exercise price or for satisfying tax withholding obligations or are forfeited or otherwise repurchased by us. Upon completion of this offering, any remaining shares of our common stock available for issuance under our 2019 Plan will be added to the shares reserved under our 2025 Plan and we will cease granting awards under our 2019 Plan. See the section entitled “Executive compensation—Equity compensation plans and other benefit plans” for additional information.

Except as otherwise indicated, all information in this prospectus assumes or gives effect to:

 

 

the automatic conversion of all outstanding shares of our redeemable convertible preferred stock into an aggregate of 314,170,263 shares of our common stock immediately prior to the completion of this offering, including shares of Series D Preferred Stock and Series D-1 Preferred Stock issued subsequent to September 30, 2024;

 

 

a     -for-     reverse stock split of our outstanding common stock to be effected on    , 2025;

 

 

the filing and effectiveness of our restated certificate of incorporation and restated bylaws in connection with the completion of this offering;

 

 

no exercise of outstanding options after September 30, 2024; and

 

 

no exercise of the underwriters’ option to purchase additional shares of our common stock.

 

11


Table of Contents

Summary financial data

The following tables set forth our summary statements of operations and comprehensive income (loss) and balance sheet data. The summary statement of operations and comprehensive loss data presented below for the years ended December 31, 2022 and 2023 are derived from our audited financial statements included elsewhere in this prospectus. The summary statement of operations and comprehensive income (loss) data presented below for the nine months ended September 30, 2023 and 2024 and balance sheet data as of September 30, 2024 are derived from our unaudited interim condensed financial statements included elsewhere in this prospectus. The following summary financial data should be read in conjunction with “Management’s discussion and analysis of financial condition and results of operations” and our financial statements and related notes included elsewhere in this prospectus. Our historical results are not necessarily indicative of the results that may be expected in any future period, and our results of operations for the nine months ended September 30, 2024 and balance sheet data as of September 30, 2024 are not necessarily indicative of our results to be expected for the year ended December 31, 2024 or any future period. The summary financial data in this section are not intended to replace our financial statements and are qualified in their entirety by the financial statements and related notes included elsewhere in this prospectus.

 

     
     Year ended December 31,      Nine months ended September 30,  
      2022     2023      2023      2024  
     (In thousands except share and per share data)  

License revenue

   $     $      $      $ 167,500  

Operating expenses:

          

Research and development

     88,192       73,945        57,900        61,280  

General and administrative

     22,834       24,606        17,600        18,908  
  

 

 

   

 

 

    

 

 

    

 

 

 

Total operating expenses

     111,026       98,551        75,500        80,188  
  

 

 

   

 

 

    

 

 

    

 

 

 

(Loss) income from operations

     (111,026     (98,551      (75,500      87,312  

Interest and other income, net

     2,028       1,966        1,662        3,138  

Change in fair value of convertible promissory notes

           (3,830             (7,193

Net loss on impairment and dissolution of equity method investment

     (2,400                    

Share in net loss of equity method investments

     (3,542                    
  

 

 

   

 

 

    

 

 

    

 

 

 

(Loss) income before income tax expense

   $ (114,940   $ (100,415    $ (73,838    $ 83,257  

Income tax expense

                         (1,447
  

 

 

   

 

 

    

 

 

    

 

 

 

Net (loss) income and comprehensive (loss) income

   $ (114,940   $ (100,415    $ (73,838    $ 81,810  
  

 

 

   

 

 

    

 

 

    

 

 

 

Allocation of undistributed earnings to participating securities (1)

                         (73,499
  

 

 

   

 

 

    

 

 

    

 

 

 

Net (loss) income attributable to common stockholders, basic (1)

   $ (114,940   $ (100,415    $ (73,838    $ 8,311  
  

 

 

   

 

 

    

 

 

    

 

 

 

Net (loss) income attributable to common stockholders, diluted (1)

   $ (114,940   $ (100,415    $ (73,838    $ 9,031  
  

 

 

   

 

 

    

 

 

    

 

 

 

 

12


Table of Contents
     
     Year ended December 31,      Nine months ended September 30,  
      2022     2023      2023      2024  
     (In thousands except share and per share data)  

Net (loss) income per share attributable to common stockholders (1):

          

Basic

   $ (5.93   $ (4.55    $ (3.36    $ 0.36  
  

 

 

   

 

 

    

 

 

    

 

 

 

Diluted

   $ (5.93   $ (4.55    $ (3.36    $ 0.28  
  

 

 

   

 

 

    

 

 

    

 

 

 

Weighted-average shares used in computing net (loss) income per share attributable to common stockholders (1):

          
  

 

 

   

 

 

    

 

 

    

 

 

 

Basic

     19,379,583       22,071,408        21,973,231        22,999,287  
  

 

 

   

 

 

    

 

 

    

 

 

 

Diluted

     19,379,583       22,071,408        21,973,231        32,669,880  
  

 

 

   

 

 

    

 

 

    

 

 

 

Pro Forma net (loss) income per share attributable to common stockholders, basic (unaudited)(1)

     $ (0.33       $ 0.26  

Pro Forma net (loss) income per share attributable to common stockholders, diluted (unaudited)(1)

     $ (0.33       $ 0.26  

Weighted-average shares outstanding used in computing pro forma net (loss) income per share attributable to common shareholders, basic (unaudited)(1)

       336,241,671           337,169,550  

Weighted-average shares outstanding used in computing pro forma net (loss) income per share attributable to common shareholders, diluted (unaudited)(1)

       336,241,671           341,313,960  

 

(1)   See note 13 to our audited financial statements and note 12 to our unaudited condensed financial statements included elsewhere in this prospectus for further details on the calculation of historical net (loss) income per share attributable to common stockholders and the weighted average number of shares of common stock used in the computation of per share data. The unaudited pro forma basic and diluted net (loss) income per share attributable to common stockholders were computed using the weighted-average number of shares of common stock outstanding, including the pro forma effect of the automatic conversion of all outstanding shares of redeemable convertible preferred stock into 314,170,263 shares of common stock, including the shares of Series D Preferred Stock and Series D-1 Preferred Stock issued subsequent to September 30, 2024 and the adjustment of the conversion ratios for our Series B Preferred Stock and Series C Preferred Stock related to the completed Series D financing, as of the beginning of the period.

 

13


Table of Contents
   
     As of September 30, 2024  
      Actual     Pro forma(1)    

Pro Forma

as adjusted(2)

 
     (in thousands, except share and per share data)  

Balance Sheet Data:

      

Cash and cash equivalents

   $ 149,607     $ 224,628     $        

Working capital(3)

     136,401       211,422    

Total assets

     192,480       267,501    

Convertible promissory notes

     51,748       —     

Total liabilities

     93,110       41,362    

Total redeemable convertible preferred stock

     383,902       —     

Accumulated deficit

     (313,876     (330,492  

Total stockholders’ (deficit) equity

     (284,532     226,139    

 

 

 

(1)   Pro forma amounts give effect to (i) the sale and issuance of Series D Preferred Stock subsequent to September 30, 2024 and the receipt of gross proceeds of $75.0 million therefrom, (ii) the cancellation and conversion of our outstanding convertible promissory notes into Series D-1 Preferred Stock subsequent to September 30, 2024, (iii) the automatic conversion of all outstanding shares of our redeemable convertible preferred stock, including shares of Series D Preferred Stock and Series D-1 Preferred Stock into an aggregate of 314,170,263 shares of our common stock immediately prior to the completion of this offering, and (iv) the adjustment of the conversion ratios for our Series B Preferred Stock and Series C Preferred Stock related to the Series D financing completed subsequent to September 30, 2024.

 

(2)   Pro forma as adjusted amounts reflect pro forma adjustments described in footnote (1) as well as the sale of     shares of our common stock in this offering, based upon an assumed initial public offering price of $     per share, which is the midpoint of the estimated price range set forth on the cover of this prospectus, after deducting the estimated underwriting discounts and commissions and estimated offering expenses payable by us. The pro forma as adjusted information is illustrative only, and will change based on the actual initial public offering price and other terms of this offering determined at pricing. Each $1.00 increase (decrease) in the assumed initial public offering price of $     per share, which is the midpoint of the estimated price range set forth on the cover of this prospectus, would increase (decrease) the pro forma as adjusted amount of each of cash and cash equivalents, working capital, total assets and total stockholders’ equity by $     million, assuming the number of shares offered by us, as set forth on the cover of this prospectus, remains the same and after deducting estimated underwriting discounts and commissions. Similarly, each increase (decrease) of 1.0 million shares in the number of shares offered would increase (decrease) the pro forma as adjusted amount of each of cash and cash equivalents, working capital, total assets and total stockholders’ equity by $     million, assuming that the assumed initial public offering price remains the same and after deducting estimated underwriting discounts and commissions.

 

(3)   We define working capital as current assets less current liabilities.

 

14


Table of Contents

Risk factors

Investing in our common stock involves a high degree of risk. Before making your decision to invest in shares of our common stock, you should carefully consider the risks described below, together with the other information contained in this prospectus, including in the sections titled “Special note regarding forward-looking statements” and “Management’s discussion and analysis of financial condition and results of operations” and in our financial statements and the related notes included elsewhere in this prospectus. The risks and uncertainties described below are not the only ones we face. Additional risks and uncertainties that we are unaware of or that we deem immaterial may also become important factors that adversely affect our business. We cannot assure you that any of the events discussed below will not occur. These events could have a material and adverse impact on our business, financial condition, results of operations and prospects. If that were to happen, the trading price of our common stock could decline, and you could lose all or part of your investment.

Risks related to our limited operating history, financial position and need for capital

We are a clinical-stage biopharmaceutical company with a limited operating history, which may make it difficult to evaluate the success of our business to date and to assess our future viability. Since our inception, we have incurred significant operating losses and have not generated any product revenue. We expect to incur continued losses for the foreseeable future and may never achieve or maintain profitability.

Investment in drug development is a highly speculative undertaking and involves a substantial degree of risk. We are a clinical-stage biopharmaceutical company with a limited operating history. Our lead programs are still in early clinical and preclinical development, and we are subject to the risks of failure inherent in the development of therapeutic candidates based on novel technologies. We have not yet demonstrated an ability to successfully overcome many of the risks and uncertainties frequently encountered by companies in new and rapidly evolving fields, particularly in the biotechnology industry. Furthermore, we do not expect to generate any product revenue from commercial sales for the foreseeable future, and we expect to continue to incur significant operating losses for the foreseeable future due to the cost of clinical trials, preclinical studies, research and development, and the regulatory approval process of our therapeutic candidates. For the years ended December 31, 2022 and 2023, we incurred a net loss of $114.9 million and $100.4 million, respectively. As of September 30, 2024, we had an accumulated deficit of $313.9 million. We expect to continue to incur significant research and development and other expenses related to our ongoing operations.

Since our inception, we have focused substantially all of our efforts and financial resources on research and development activities for our programs and on establishing arrangements and collaborations with third parties for the development of our therapeutic candidates. To date, we have not generated any product revenue from product sales and have financed our operations primarily through sales of our equity and convertible promissory notes, as well as one-time, nonrefundable, upfront licensing payments.

Our prior losses, combined with expected future losses, have had, and will continue to have, an adverse effect on our stockholders’ equity and working capital. We expect our research and development expenses to significantly increase in connection with clinical trials for our lead programs, MZE829 and MZE782, further development of our Maze Compass platform, or our Compass platform, planned preclinical studies, IND filings and clinical trials for future therapeutic candidates. We will also incur substantial additional expenses as we seek to expand our intellectual property portfolio, including through potential in-licensing opportunities, and hire additional personnel as we scale up our operations. Once we are a public company, we will incur additional costs associated with operating as a public company. As a result, we expect to continue to incur significant and increasing operating losses for the foreseeable future. Because of the numerous risks and uncertainties associated with developing pharmaceutical products, we are unable to predict the extent of any future losses or when we will become profitable, if at all.

 

15


Table of Contents

Our ability to become profitable depends upon our ability to generate revenue. To date, we have not generated any revenue apart from upfront licensing payments, and we do not know when, or if, we will generate any sales, milestone, or royalty revenue. We do not expect to generate additional significant revenue from licensing arrangements in the near term. We do not expect to generate significant revenue unless and until we obtain marketing approval for, and begin to sell, our therapeutic candidates.

To become and remain profitable, we must succeed in designing, developing and eventually commercializing products that generate significant revenue. This will require us to be successful in a range of challenging activities, including therapeutic candidate selection, preclinical testing and clinical trials of our therapeutic candidates, continuing to discover and develop additional therapeutic candidates, establishing arrangements with third parties for the manufacture of preclinical and clinical supplies, obtaining regulatory approval for any therapeutic candidates that successfully complete clinical trials, manufacturing, marketing and selling any products for which we may obtain marketing approval and obtaining coverage and adequate reimbursement from government and third-party payors for any such products. We are only in the preliminary stages of development and clinical trials, and we may never succeed in these activities and, even if we do, may never generate revenues that are significant enough to achieve profitability or meet outside expectations for our profitability.

Because of the numerous risks and uncertainties associated with pharmaceutical development, we are unable to accurately predict the timing or amount of increased expenses we will incur or when, or if, we will be able to achieve profitability. If we decide to or are required by the U.S. Food and Drug Administration, or FDA, or regulatory authorities in other jurisdictions to perform preclinical studies or clinical trials in addition to those currently expected, or if there are any delays in establishing appropriate manufacturing arrangements for, in initiating clinical trials or preclinical studies for, or in the development of any of our therapeutic candidates, our expenses could increase materially and profitability could be further delayed.

Even if we do achieve profitability, we may not be able to sustain or increase profitability on a quarterly or annual basis. We expect our financial condition and operating results to fluctuate significantly from quarter-to-quarter and year-to-year due to a variety of factors, many of which are beyond our control. Accordingly, you should not rely upon the results of any quarterly or annual periods as indications of future operating performance. Our failure to become and remain profitable would depress the value of our company and could impair our ability to raise capital, expand our business, maintain our research and development efforts, diversify our product offerings or even continue our operations. A decline in the value of our company could also cause you to lose all or part of your investment.

Even if this offering is successful, we will require substantial additional capital to finance our operations and achieve our goals. If we are unable to raise capital when needed or on terms acceptable to us, we may be forced to delay, reduce or eliminate our research or product development programs, any future commercialization efforts or other operations.

Developing pharmaceutical products, including conducting clinical trials and preclinical studies, is a very time-consuming, expensive and uncertain process that takes years to complete. Our operations have consumed substantial amounts of cash since inception, and we expect our expenses to increase substantially in connection with our ongoing research and development activities, particularly as we advance our developmental programs, advance our current clinical trial and preclinical studies, commence additional clinical trials and preclinical studies and expand the breadth of our Compass platform. In addition, even if we obtain marketing approval for any of our therapeutic candidates, we expect to incur significant commercialization expenses related to product manufacturing, marketing, sales and distribution. Furthermore, upon the closing of this offering, we expect to incur additional costs associated with operating as a public company. Accordingly, we will need to obtain substantial additional capital in connection with our continuing operations. Adequate additional financing may

 

16


Table of Contents

not be available to us on favorable terms, or at all. In addition, we may seek additional capital due to favorable market conditions or strategic considerations even if we believe we have sufficient funds for our current or future operating plans. If we are unable to raise capital when needed or on favorable terms, we could be forced to delay, reduce or eliminate our clinical and preclinical development, research and development programs, our commercialization plans or other operations.

As of September 30, 2024, our cash and cash equivalents were $149.6 million. Based on our current operating plan, we believe that the net proceeds from this offering, together with our existing cash and cash equivalents, will enable us to fund our operating expenses and capital expenditure requirements through at least    . We have based this estimate on assumptions that may prove to be wrong, and we could use our capital resources sooner than we currently expect. Changes beyond our control may occur that would cause us to use our available capital before that time, including changes in and progress of our development activities and changes in regulation. Our future capital requirements will depend on many factors, including, but not limited to:

 

 

the costs associated with the type, scope, progress and results of research and discovery, preclinical development, laboratory testing and clinical trials for our current or future therapeutic candidates, including MZE829 and MZE782;

 

 

the extent to which we develop, in-license or acquire other pipeline therapeutic candidates or technologies;

 

 

the number and development requirements of other therapeutic candidates that we may pursue, and other indications for our current therapeutic candidates that we may pursue;

 

 

the costs related to entering into partnerships or other arrangements with third parties;

 

 

the costs, timing and outcome of obtaining regulatory approvals of our current or future therapeutic candidates we may pursue;

 

 

the costs and fees associated with the discovery, acquisition or in-license of our products or technologies, including to maintain and expand our Compass platform;

 

 

the scope and costs of making arrangements with third-party manufacturers for preclinical, clinical and commercial supplies of our current or future therapeutic candidates;

 

 

the scope and costs involved in growing our organization to the size needed to allow for the research, development and potential commercialization of our current or future therapeutic candidates;

 

 

the costs associated with commercializing any approved therapeutic candidates, including establishing sales, marketing and distribution capabilities;

 

 

the costs associated with completing any post-marketing studies or trials required by the FDA or other regulatory authorities;

 

 

the revenue, if any, received from commercial sales of our current or future therapeutic candidates, if any are approved;

 

 

the costs associated with addressing any potential interruptions or delays resulting from factors related to overall global affairs, such as conflicts overseas;

 

 

the costs and timing of preparing, filing and prosecuting patent applications, maintaining, defending and enforcing our intellectual property and proprietary rights and defending intellectual property-related claims that we may become subject to, including any litigation costs and the outcome of such litigation;

 

 

the costs associated with potential product liability claims, including the costs associated with obtaining insurance against such claims and with defending against such claims; and

 

17


Table of Contents
 

our ability to establish and maintain collaboration arrangements on favorable terms, if at all and the timing and amount of any milestone, royalty or other payments we are required to make or are eligible to receive under such collaborations, if any.

Even if this offering is successful, we will require additional capital for our research and development programs. Our ability to raise additional funds will be dependent on financial, economic and market conditions, geopolitical issues and other factors, over which we may have limited or no control. If adequate funds are not available on commercially acceptable terms when needed, we may be forced to delay, reduce or terminate our research and development activities of all or part of our research programs or therapeutic candidates or we may be unable to take advantage of future business opportunities. Furthermore, any additional capital-raising efforts may divert our management from their day-to-day activities, which may adversely affect our ability to develop and commercialize our current and future therapeutic candidates, if approved. Changing circumstances, some of which may be beyond our control, could cause us to consume capital significantly faster than we currently anticipate, and we may need to seek additional funds sooner than planned.

Raising additional capital may cause dilution to our stockholders, including purchasers of common stock in this offering, restrict our operations or require us to relinquish rights to our technologies or therapeutic candidates.

Until such time, if ever, as we can generate substantial product revenue, we expect to finance our cash needs through a combination of equity offerings, debt financings, collaborations, strategic alliances and marketing, distribution or licensing arrangements. In addition, we may seek additional capital due to favorable market conditions or strategic considerations, even if we believe we have sufficient funds for our current or future operating plans. To the extent that we raise additional capital through the sale of equity or convertible debt securities, your ownership interest will be diluted, and the terms of these securities may include liquidation or other preferences that adversely affect your rights as a common stockholder. Debt financing and preferred equity financing, if available, may involve agreements that include covenants limiting or restricting our ability to take specific actions, such as incurring additional debt, making acquisitions or capital expenditures or declaring dividends.

If we raise additional funds through collaborations, strategic alliances or marketing, distribution or licensing arrangements with third parties, we may have to relinquish valuable rights to our technologies, future revenue streams, research programs or therapeutic candidates, including granting licenses to our technologies, on terms that may not be favorable to us. If we are unable to raise additional funds through equity or debt financings or other arrangements when needed, we may be required to delay, limit, reduce or terminate our research, product development or future commercialization efforts or grant rights to third parties to develop and market therapeutic candidates that we would otherwise prefer to develop and market ourselves.

Our loan and security agreement provides our lender with a first priority lien against substantially all of our assets, except for intellectual property, and contains restrictive and financial covenants that may limit our operating flexibility.

Our loan and security agreement, dated June 27, 2022, between us and Banc of California (f/k/a Pacific Western Bank), as amended as of the date hereof, or the Loan Agreement, is a line of credit secured by a lien covering substantially all of our personal property, excluding intellectual property.

The Loan Agreement contains customary representations and warranties, events of default and affirmative and negative covenants, including covenants that limit or restrict our ability to, among other things, dispose of assets, make changes to our business, management, ownership or business locations, merge or consolidate, incur additional indebtedness, pay dividends or other distributions or repurchase equity, make investments and

 

18


Table of Contents

certain capital expenditures, and enter into certain transactions with affiliates, in each case subject to certain exceptions. Our ability to comply with these and other covenants is dependent on several factors, some of which are beyond our control.

While we have not drawn on the Loan Agreement to date, the restrictions and covenants in the Loan Agreement, as well as those contained in any future debt financing agreements that we may enter into, may restrict our ability to finance our operations and engage in, expand or otherwise pursue our business activities and strategies. Our ability to comply with these covenants and restrictions may be affected by events beyond our control, and breaches of these covenants and restrictions could result in a default under the Loan Agreement or under any future financing agreements that we may enter into, which would give our lenders the right to terminate their commitments to provide loans and to declare all borrowings outstanding, together with accrued and unpaid interest and fees, to be immediately due and payable.

Further, the interest rate for any future term loan drawn under the Loan Agreement will be based on the published prime rate, a floating rate, subject to a maximum rate equal to the greater of (i) 0.75% above the published prime rate as then in effect and (ii) 4.50%. The Federal Reserve has raised, and may in the future further raise, interest rates to combat the effects of recent high inflation. An increase in the prime rate resulting in interest rates above the set minimum rate would increase our debt service obligations, which could have a negative impact on our cash flow, financial position or operating results, or result in increased borrowing costs in the future.

Risks related to discovery and development of our therapeutic candidates

We are early in our development efforts and highly dependent on the success of our lead programs. If we are unable to commercialize our therapeutic candidates or experience significant delays in doing so, our business will be materially harmed.

Our therapeutic candidates are in early stages of development. We do not have any products that are approved for sale in any jurisdiction. We initiated a Phase 2 trial of MZE829, our most advanced lead program, in November 2024 and expect to dose our first patient in the first quarter of 2025 and to report proof of concept data in the first quarter of 2026. We initiated a Phase 1 clinical trial of our second lead program, MZE782, in September 2024. Our other programs are at an early research stage, with no therapeutic candidates identified. Our research programs may not result in viable therapeutic candidates for some time, if ever, and our therapeutic candidates in development may not achieve success in our current or any future clinical trials, or obtain regulatory approval.

Our ability to generate product revenues, which may not occur for many years, if ever, will depend heavily on the successful development and eventual commercialization of our therapeutic candidates. The success of our therapeutic candidates will depend on several factors, including, but not limited to:

 

 

timely and successful completion of, and timely enrollment of patients in, clinical trials with favorable results;

 

 

submission of new drug applications, or NDAs, or other regulatory applications, and receipt and related terms of regulatory approvals from applicable regulatory authorities, including the completion of any required post-marketing studies or trials and available funding to perform any post-marketing commitments;

 

 

raising additional funds necessary to complete clinical development of and commercialize our therapeutic candidates;

 

 

timely and successful completion of preclinical studies with favorable results;

 

19


Table of Contents
 

submission of INDs or other regulatory applications, and authorizations to initiate clinical trials from the FDA and foreign regulatory agencies;

 

 

demonstration of safety, efficacy and acceptable risk-benefit profiles of our therapeutic candidates to the satisfaction of the FDA and foreign regulatory authorities;

 

 

obtaining, maintaining, defending and enforcing patent, trade secret and other intellectual property and proprietary protection and regulatory exclusivity for our therapeutic candidates;

 

 

making arrangements with third-party suppliers and manufacturers for preclinical, clinical and commercial supplies of our therapeutic candidates;

 

 

developing and implementing marketing and reimbursement strategies, as well as adequate demand forecasts for supply and sales planning;

 

 

establishing sales, marketing and distribution capabilities and launching commercial sales of our products, if and when approved, whether alone or in collaboration with others in a market where promotional sales approaches are rapidly moving to digital platforms;

 

 

acceptance of our products, if and when approved, by patients, the medical community and third-party payors;

 

 

effectively competing with other therapies, including those that have not yet entered the market;

 

 

obtaining and maintaining third-party payor coverage and adequate reimbursement;

 

 

obtaining appropriate support from patient advocacy organizations;

 

 

addressing any delays in our clinical trials, or in the manufacture or distribution of our therapeutic candidates, if approved, resulting from any major natural disasters, health pandemics or significant political events; and

 

 

maintaining a continued acceptable safety profile of the products following approval.

Many of these factors are beyond our control, and it is possible that none of our therapeutic candidates will ever obtain regulatory approval, even if we expend substantial time and resources seeking such approval. Even if we do obtain regulatory approval, it is possible that one or more of these factors could cause significant delays or an inability to successfully commercialize our therapeutic candidates, which would materially harm our business.

Additionally, clinical or regulatory setbacks to other companies developing similar products or within adjacent fields, may impact the clinical development of and regulatory pathway for our current or future therapeutic candidates, or may negatively impact the perceptions of value or risk of our technologies.

Preclinical and clinical drug development is a lengthy and expensive process, with uncertain timelines and outcomes. If preclinical studies or clinical trials of our therapeutic candidates are prolonged or delayed, we may be unable to obtain required regulatory approvals, and therefore be unable to commercialize our therapeutic candidates or any of our future therapeutic candidates on a timely basis or at all.

We have limited experience designing and implementing clinical trials. We initiated a Phase 2 trial of MZE829, our most advanced lead program, in November 2024 and expect to dose our first patient in the first quarter of 2025 and to report proof of concept data in the first quarter of 2026. We initiated a Phase 1 clinical trial of MZE782 in September 2024. Failure to design any one of our clinical trials adequately, or incorrect assumptions about the design of the trial, could adversely affect the ability to initiate the trial, enroll patients, complete the trial, or use the clinical trial’s results to support an application for regulatory approval, as well as lead to increased or unexpected costs.

 

20


Table of Contents

Our programs are in the early stages of development, and the risk of failure is high. Our programs may fail to identify potential therapeutic candidates for clinical development for a number of reasons. We are unable to predict when or if our programs will lead to therapeutic candidates or when or if our therapeutic candidates will prove effective and safe in humans or will obtain marketing approval. Before obtaining marketing approval from regulatory authorities for the sale of any of our therapeutic candidates, we must complete preclinical development and then conduct extensive clinical trials to demonstrate the safety and efficacy of our therapeutic candidates in humans. Our potential therapeutic candidates may be shown to have harmful side effects in animal model studies, may not show promising signals of therapeutic effect in such experiments or studies, or may have other characteristics that may make the therapeutic candidates impractical to manufacture, unmarketable, or unlikely to receive marketing approval.

We are currently focused on advancing the development of our lead programs, MZE829 and MZE782; however, even with significant investment of time and funding to advance these therapeutic candidates, we cannot guarantee that our clinical and preclinical development efforts will be successful. The start or end of a clinical trial may be delayed or halted due to delays in or failure to obtain regulatory approval to commence the trial, delays in or failure to reach agreement on acceptable terms with prospective clinical research organizations, or CROs, or clinical trial sites, delays in or failure to obtain Institutional Review Board, or IRB, approval at each site, changing regulatory requirements, manufacturing challenges, clinical sites or CROs deviating from the trial protocol or failing to comply with regulatory requirements or meet contractual obligations, slower than anticipated patient enrollment, changing standards of care, availability or prevalence of use of a comparative therapeutic or required prior therapy, clinical outcomes, failure of patients to complete the trial or return for post-treatment follow-up, or financial constraints. Delays or difficulties in patient enrollment or difficulties in retaining trial participants can result in increased costs, longer development times, requirements to manufacture additional drug supply, or termination of a clinical trial.

Clinical trials of a new therapeutic candidate require the enrollment of a sufficient number of patients, which may include patients who are suffering from the disease the therapeutic candidate is intended to treat and who meet other eligibility criteria, which may require genetic testing of prospective patients. Rates of patient enrollment are affected by many factors, including the size of the patient population, the eligibility criteria for the clinical trial, the age and condition of the patients, the stage and severity of disease, the nature of the protocol, the proximity of patients to clinical sites, and the availability of effective treatments or competing academic and other clinical trials for the relevant disease.

A therapeutic candidate can unexpectedly fail at any stage of preclinical and clinical development. The historical failure rate for therapeutic candidates is high due to scientific feasibility, safety, efficacy, changing standards of medical care, and other variables. The novelty of our Compass platform may mean our failure rates are higher than historical norms. We will have to conduct additional trials in our proposed indications to support any future regulatory submissions. A number of companies in the biopharmaceutical industry have suffered significant setbacks in advanced clinical trials due to lack of efficacy or adverse safety profiles despite promising results in earlier, smaller clinical trials. Moreover, clinical data are often susceptible to varying interpretations and analyses. We do not know whether our clinical trials will demonstrate consistent or adequate efficacy and safety with respect to the proposed indication for use that is sufficient to receive regulatory approval or market our therapeutic candidates. To the extent that the results of the clinical trials are not satisfactory to the FDA or foreign regulatory agencies for supporting a marketing application, we may be required to expend significant resources, which may not be available to us, to conduct additional clinical trials in support of potential approval of our therapeutic candidates.

We, the FDA, an IRB, an independent ethics committee, or EC, or other applicable regulatory authorities may suspend clinical trials of a therapeutic candidate at any time for various reasons, including a belief that subjects

 

21


Table of Contents

participating in such trials are being exposed to unacceptable health risks or adverse side effects. Similarly, an IRB or EC may suspend a clinical trial at a particular trial site. We may not have the financial resources to continue development of, or to enter into collaborations for, a therapeutic candidate if we experience any problems or other unforeseen events delaying or preventing clinical development or regulatory approval of, or our ability to commercialize, therapeutic candidates, including:

 

 

negative or inconclusive results from our clinical trials, or the clinical trials of others for therapeutic candidates similar to ours, leading to a decision or requirement to conduct additional preclinical testing or clinical trials or abandon a program;

 

 

serious and unexpected drug-related side effects experienced by participants in our clinical trials or by individuals using therapeutics similar to our therapeutic candidates;

 

 

serious drug-related side effects experienced in the past by individuals using therapeutics similar to our therapeutic candidates;

 

 

delays in submitting IND applications, clinical trial applications or comparable foreign applications, or delays or failure in obtaining the necessary approvals from regulators or IRBs to commence a clinical trial, or a suspension or termination of a clinical trial once commenced;

 

 

conditions imposed by the FDA or comparable foreign authorities, such as the European Medicines Agency, or EMA, regarding the scope or design of our clinical trials;

 

 

delays or difficulty in enrolling research subjects in clinical trials, for a variety of reasons including, but not limited to, change in priorities for clinical trial sites, the clinical trials of other therapeutic candidates or approval of a competitor’s product for the same indication;

 

 

high drop-out rates of research subjects;

 

 

inadequate supply or quality of therapeutic candidate or therapeutic candidate components, or materials or other supplies necessary for the conduct of our clinical trials, including those owned, manufactured, or provided by companies other than ours;

 

 

greater than anticipated clinical trial costs, including the cost of any approved drugs used in combination with our therapeutic candidates;

 

 

poor effectiveness of our therapeutic candidates during clinical trials;

 

 

unfavorable FDA or other regulatory agency inspection and review of a clinical trial site;

 

 

failure of our third-party contractors or investigators to comply with regulatory requirements or otherwise meet their contractual obligations in a timely manner, or at all;

 

 

delays and changes in regulatory requirements, policies, and guidelines, including the imposition of additional regulatory oversight around clinical testing generally or with respect to our technology in particular; or

 

 

varying interpretations of data by the FDA and similar foreign regulatory agencies.

If we are impacted by one or more of these factors and are unable to remediate the issue in a timely manner or at all, then we could experience significant delays or an inability to successfully obtain regulatory approvals for our therapeutic candidates. Without regulatory approval, we will be unable to commercialize our therapeutic candidates, which would materially harm our business and potentially make it impossible to continue our operations.

 

22


Table of Contents

Results of preclinical studies or early-stage clinical trials of any therapeutic candidates may not be predictive of the results of future preclinical studies or clinical trials.

Clinical testing is expensive, difficult to design and implement, can take many years to complete and is uncertain as to the outcome. A failure of one or more clinical trials can occur at any stage of testing. The outcome of preclinical testing and early clinical trials may not be predictive of the success of later preclinical studies or clinical trials or of clinical trials of the same therapeutic candidates in other indications, and interim or preliminary results of a clinical trial do not necessarily predict final results. For example, even if successful, the results of our preclinical studies of our lead programs may not be predictive of the results of outcomes in subsequent clinical trials on human subjects. Later-stage clinical trials could differ in significant ways from early-stage clinical trials, including changes to inclusion and exclusion criteria, efficacy endpoints, dosing regimen and statistical design.

If we encounter delays or difficulties enrolling patients in our clinical trials and/or retaining patients in clinical trials, our clinical development activities could be delayed or otherwise adversely affected.

We may experience difficulties in patient enrollment in our clinical trials for a variety of external reasons beyond our control, including supply chain disruptions, staffing shortages and other business and economic disruptions resulting from geopolitical actions, including war and terrorism, natural disasters, including earthquakes, typhoons, floods and fires, as well as other disruptions resulting from the impact of public health factors, including pandemics or other health crises, business disruptions of our strategic partners, third-party manufacturers, suppliers and other third parties upon which we rely. Our therapeutic candidates are developed using a precision medicine approach intended to identify specific genetic targets amenable to therapeutic intervention in CVRM diseases. As a result, the potential population of patients eligible for enrollment in our clinical trials will be smaller than the population eligible for enrollment in trials targeting the entire population with the disease, and it may be difficult to identify and enroll adequate numbers of patients in our trials. For example, our therapeutic candidate MZE829 is targeted to treat kidney disease associated with genetic variations in the APOL1 gene, which are most prevalent in people of West African ancestry, including many who identify as Black, African American, Afro-Caribbean and Latina/Latino, which narrows the patient population eligible for enrollment in these trials.

In addition, the eligibility criteria of our clinical trials will further limit the pool of available trial participants. For our therapeutic candidate MZE829, we depend on and expect to perform genetic screening in order to identify candidates with the applicable genetic variations for our clinical trials. As we expect future therapeutic candidates to also target specific genetic subgroups of common conditions, as identified through our Compass platform, it is likely that future therapeutic candidates will also require identification of patients with the applicable genotype, which will require genetic screening and further costs and timing delays in identifying patients eligible for our clinical trials. Genetic screening could involve more time consuming, costly and invasive procedures than patients may be willing to accept. If patients are not willing to undergo genetic screening, or any other eligibility criteria we have for our clinical trials, it would lead to greater costs and/or timing delays for us in order to identify eligible and the necessary patients for our clinical trials. The timely completion of clinical trials in accordance with their protocols depends, among other things, on our ability to enroll a sufficient number of eligible patients who remain in the trial until completion of treatment and adequate follow-up. In general, the enrollment and retention of patients depends on many factors, including, but not limited to:

 

 

inability to enroll, or delay in enrollment of, patients due to infectious disease outbreaks and public health crises;

 

 

the patient eligibility criteria defined in the protocol;

 

 

the perceived risks and benefits of the therapeutic candidate being studied;

 

23


Table of Contents
 

the size of the patient population required for analysis of the trial’s primary endpoints;

 

 

the proximity of patients to trial sites;

 

 

the design of the trial;

 

 

the ability to recruit clinical trial investigators with the appropriate competencies and experience;

 

 

the ability to obtain and maintain patient consent;

 

 

geopolitical events in countries where we have or seek to have clinical trial sites;

 

 

reporting of the preliminary results of any of our clinical trials;

 

 

potential approval and commercial availability of a competitor’s product for the same indication; and

 

 

the risk that patients enrolled in clinical trials will drop out of the trials before completion of treatment and adequate follow-up.

In addition, our clinical trials will compete with other clinical trials for therapeutic candidates that are in the same therapeutic areas as our therapeutic candidates, and this competition will reduce the number and types of patients available to or retained by us because patients who might have opted to enroll in our trials may instead opt to enroll in a trial being conducted by one or more of our competitors. Other biopharmaceutical companies are currently conducting clinical trials, and may in the future conduct clinical trials, that compete for the same patient population as us. Since the number of qualified clinical investigation sites is limited, and often associated with a small number of academic centers, we expect to conduct some of our clinical trials at the same clinical trial sites that some of our competitors use, which will reduce the number of patients who are available for our clinical trials at such clinical trial sites. Unanticipated geopolitical events in countries where we may seek to have clinical trial sites could also negatively impact our ability to enroll or retain patients in our trials.

Our therapeutic candidates may cause undesirable side effects or have other properties that could halt their clinical development, prevent their regulatory approval, require expansion of the trial size, limit their commercial potential, or result in significant negative consequences.

If serious adverse events or undesirable side effects arise, we could be required to suspend, delay, or halt our clinical trials. Additionally, serious adverse events or undesirable side effects could cause regulatory authorities to deny approval or require us to limit development of that therapeutic candidate to certain uses or subpopulations in which the undesirable side effects or other characteristics are less prevalent, less severe or more acceptable from a risk-benefit perspective. Undesirable side effects could also result in an expansion in the size of our clinical trials, increasing the expected costs and timeline of our clinical trials. Side effects that are observed during trials, whether treatment related or not, could also affect patient recruitment for future trials or the ability of enrolled patients to complete the trial or result in potential product liability claims. Many compounds that initially show promise in clinical or preclinical testing are later found to cause undesirable or unexpected side effects that prevent further development of the compound.

Further, if serious adverse events or undesirable side effects are identified during development or after approval and are determined to be attributed to any of our therapeutic candidates, we may be required to develop Risk Evaluation and Mitigation Strategies, or REMS, to ensure that the benefits of treatment with such therapeutic candidate outweigh the risks for each potential patient. A REMS may include, among other things, a communication plan to health care practitioners, patient education, extensive patient monitoring or distribution systems and other processes that would make our therapeutic candidate more restricted or costly to distribute to patients.

 

24


Table of Contents

Our two lead programs are intended to treat chronic kidney disease, or CKD, which is a progressive condition associated with severe and often life-threatening co-morbidities. Clinical trials that involve patients with significant co-morbidities are associated with increased risks as such participants may be particularly susceptible to safety and toxicity risks. In addition, these side effects may not be appropriately recognized or managed by the treating medical staff, as safety and toxicity monitoring may be complicated and difficult to manage, which could result in patient death or other significant issues. Additionally, it can be difficult to determine if the serious adverse or unexpected side effects were caused by our therapeutic candidate or another factor, especially in subjects who may suffer from other medical conditions and take other medications.

Any of these occurrences may materially harm our business, financial condition and prospects.

We may not be successful in applying our Compass platform to identify targets with therapeutic potential or to discover and develop safe, effective or commercially viable therapeutic candidates.

We use our Compass platform to identify and prioritize potential drug targets, to assess the likelihood that we can develop a therapeutic candidate that interacts with the applicable target to elicit the desired therapeutic effect, and to transition these insights efficiently into well-supported therapeutic candidates. We believe our use of our Compass platform, which identifies and prioritizes targets using statistical modeling, variant functionalization tools, and traditional and computational drug discovery technologies, augmented with machine learning and artificial intelligence, or AI, increases our likelihood of producing therapies that provide meaningful clinical benefit, but past success in identifying potential therapeutic candidates does not assure similar future success with our other programs. We may not succeed in applying our Compass platform to identify targets or promising therapeutic candidates in the future. We therefore cannot provide any assurance that we will be able to successfully identify additional therapeutic candidates or advance any of our programs or future therapeutic candidates into clinical development, nor can we provide any assurance whether the application of our Compass platform will result in the ultimate regulatory approval of any of our therapeutic candidates.

Efforts to identify, acquire or in-license, and then develop therapeutic candidates require substantial technical, financial and human resources, whether or not any therapeutic candidates are ultimately identified. We apply our Compass platform to discover potential genetic targets for which we may be able to develop precision therapeutic candidates. Our efforts may initially show promise in identifying potential targets linked to diseases or conditions, yet fail to yield therapeutic candidates for clinical development or regulatory approval for many reasons, including the following:

 

 

the platform methodology used may not be successful in identifying potential therapeutic candidates;

 

 

competitors may develop alternatives that render any therapeutic candidates we develop obsolete;

 

 

any therapeutic candidates we develop may nevertheless be covered by third parties’ patents or other exclusive rights;

 

 

a therapeutic candidate may be shown, in subsequent preclinical or clinical investigations, to have harmful side effects or characteristics that indicate it is unlikely to be effective, or otherwise would not meet applicable regulatory criteria;

 

 

a therapeutic candidate may not be capable of being produced in commercial quantities at an acceptable cost, or at all; and

 

 

a therapeutic candidate may not be accepted as safe and/or effective by physicians, patients, the medical community or third-party payors.

 

25


Table of Contents

Certain of the diseases we, or which our partners, seek to treat have low prevalence and/or have available therapies, and it may be difficult for us or our partners to identify patients with these diseases or face competition in the recruitment of these limited groups of patients, which may lead to difficulties in enrolling clinical trials.

Genetically defined diseases generally, and especially some of those which our out-licensed programs target, including Pompe disease, have low prevalence and incidence. This could pose obstacles to the timely recruitment, enrollment and retention of a sufficient number of eligible patients into our partners’ trials or limit a therapeutic candidate’s commercial potential, and thus the milestone payments and royalties we would receive for those licenses. Other companies have ongoing clinical trials for therapeutic candidates that treat the same indications as our wholly owned and our out-licensed therapeutic candidates, and patients who otherwise would be eligible for our or our partners’ planned clinical trials instead may enroll in clinical trials of our competitors’ therapeutic candidates. In addition, where there are currently available therapies or if our competitors’ therapeutic candidates gain regulatory approval and become commercially available, patients may be reluctant to enroll in a clinical trial. As more companies begin to focus attention and resources on therapeutic candidates to treat the same indications as the ones we have out-licensed, our licensees may experience delays or be unable to successfully recruit and enroll a sufficient number of eligible patients in their clinical trials.

Our licensees’ inability to enroll a sufficient number of patients with these diseases into their planned clinical trials would result in significant delays and could cause them to not initiate or abandon one or more clinical trials altogether, potentially depriving us of milestone payments and royalties potentially associated with these licenses.

We may experience delays in commencing and completing, or ultimately be unable to complete, the development and/or commercialization of our therapeutic candidates.

Before we can initiate clinical trials of a therapeutic candidate in any indication, we must submit the results of preclinical studies to the FDA or to comparable foreign authorities, along with other information, including information about the therapeutic candidate’s chemistry, manufacturing and controls, and our proposed clinical trial protocol, as part of an IND or comparable foreign regulatory filings.

The FDA may require us to conduct additional preclinical studies for any therapeutic candidate before it allows us to initiate clinical trials under any IND, which may lead to additional delays and increase the costs of our preclinical development programs.

Any delays in the commencement or completion of preclinical studies or clinical trials could significantly affect our development costs. We may experience numerous unforeseen events during, or as a result of, preclinical studies or clinical trials that could delay or prevent our ability to obtain marketing approval or commercialize our therapeutic candidates, including, but not limited to:

 

 

regulators, IRBs or ECs may not authorize us or our investigators to commence a clinical trial or conduct a clinical trial at a prospective trial site;

 

 

the FDA may disagree as to the design or implementation of our clinical trials;

 

 

we may experience delays in reaching, or fail to reach, agreement on acceptable preclinical studies or clinical trial contracts or clinical trial protocols with prospective CROs and prospective trial sites;

 

 

the cost of our preclinical studies and clinical trials may be greater than we anticipate, and we may lack adequate funding to continue preclinical studies and clinical trials;

 

 

our third-party partners may fail to obtain regulatory approval of companion diagnostic tests on which we may rely, if required, on a timely basis, or at all;

 

26


Table of Contents
 

our third-party contractors may fail to meet their contractual obligations to us in a timely manner, or at all, or may fail to comply with regulatory requirements;

 

 

we may have to suspend or terminate clinical trials for various reasons, including a finding by us or by a Data Monitoring Committee that the participants are being exposed to unacceptable health risks;

 

 

our therapeutic candidates may produce negative or inconclusive results, or have undesirable side effects or other unexpected characteristics, and we may decide, or our investigators, regulators or IRBs/ECs may require us, to conduct additional preclinical studies or clinical trials, or delay, halt or abandon our development programs;

 

 

our clinical trials may be negatively impacted or delayed by changes to clinical trial protocol;

 

 

the supply or quality of our therapeutic candidates or other materials necessary to conduct clinical trials may be insufficient or inadequate and result in delays or suspension of our clinical trials; and

 

 

global health crises or geopolitical conflict may increase the likelihood that we encounter such difficulties or delays in initiating, enrolling, conducting or completing our planned clinical trials.

Delays, including delays caused by the above factors and other factors described in this “Risk factors” section, can be costly and could negatively affect our ability to complete preclinical studies or clinical trials or obtain timely marketing approvals. We do not know whether any of our planned preclinical studies or clinical trials will begin on or be completed on a timely basis, or at all. For example, the FDA may place a partial or full clinical hold on any of our clinical trials for a variety of reasons, including safety concerns and noncompliance with regulatory requirements. If we are not able to complete successful clinical trials, we will not be able to obtain regulatory approval and will not be able to commercialize our therapeutic candidates.

Significant preclinical or clinical trial delays also could shorten any periods during which we may have the exclusive right to commercialize our therapeutic candidates or allow our competitors to bring products to market before we do, which may impair our ability to successfully commercialize our therapeutic candidates and harm our business and results of operations.

We may expend our limited resources to pursue a particular therapeutic candidate or indication and fail to capitalize on therapeutic candidates or indications that may be more profitable or for which there is a greater likelihood of success.

Because we have limited financial and managerial resources, we focus on research programs and therapeutic candidates that we identify for specific indications. As a result, we may forego or delay pursuit of opportunities with other therapeutic candidates or for other indications that later prove to have greater commercial potential. Our resource allocation decisions and spending on current and future research and development programs may not yield any commercially viable products or profitable market opportunities, which may adversely affect our business, financial condition, results of operations and prospects. If we do not accurately evaluate the commercial potential or target market for a particular therapeutic candidate, we may relinquish valuable rights to that therapeutic candidate through collaboration, licensing or other royalty collaborations or arrangements in cases in which it would have been more advantageous for us to retain sole development and commercialization rights to such therapeutic candidate.

If ethical and other concerns surrounding the use of genetic information become widespread, there may be limitations on our ability to access genetic information for our Compass platform.

One of the pillars of our Compass platform is our ability to access and aggregate numerous and varied genomic and phenotypic data collections, particularly those that pair genetic and clinical data. Genetic testing to provide

 

27


Table of Contents

this data has given rise to ethical questions and controversies regarding confidentiality and the appropriate uses of the resulting information. For these reasons, governmental authorities may call for limits on or regulate the use of genetic data, including by limiting the compilation of genetic information or prohibiting testing for genetic predisposition to various conditions, particularly for those that have no known cure. Some of the major data sources of genetic and clinical data for our Compass platform derive from publicly funded and managed databases. One of our key objectives is to continue to augment our access to diverse sources of genetic information from multiple population groups. If our access to these additional sources of human genetic data becomes restricted, due to governmental limitations or otherwise, the capability of our Compass platform may be reduced, and we may be unable to continue to recognize the benefits of our Compass platform on our expected timeframe, or at all, which would have a negative effect on our business or financial condition.

Interim, topline and preliminary data from preclinical studies and clinical trials that we or our partners announce or publish from time to time may change as more patient data become available and are subject to audit and verification procedures that could result in material changes in the final data.

From time to time, we or our partners may make public interim, topline or preliminary data from our or their preclinical studies and clinical trials that are based on a preliminary analysis of then-available data, of which, the results, related findings and conclusions are subject to change following a more comprehensive review of the data or accumulation of additional data. Interim, topline or preliminary data from clinical trials that we or our partners may complete are subject to the risk that one or more of the clinical outcomes may materially change as patient enrollment continues and more patient data become available. Interim, preliminary or topline data also remain subject to audit and verification procedures that may result in the final data being materially different from the interim, preliminary or topline data that were previously made public. As a result, interim, topline and preliminary data should be viewed with caution until the final data are available. Adverse differences between interim, topline or preliminary data and final data could significantly harm our reputation and business, financial condition, results of operations and prospects.

Further, regulatory agencies, may not accept or agree with our assumptions, estimates, calculations, analyses or conclusions, or may interpret or weigh the importance of data differently, which could impact the value of the particular program, the approvability or commercialization of the particular drug candidate, and our company in general. If the interim, topline, or preliminary data that we report differ from actual results, or if others, including regulatory authorities, disagree with the conclusions reached, our ability to obtain approval of, and commercialize, any of our current or future therapeutic candidates may be harmed, which could harm our business, financial condition, results of operations and prospects.

If we do not achieve our projected development goals in the time frames we announce or expect, the development of our therapeutic candidates may be delayed and, as a result, our stock price may decline.

From time to time, we estimate the timing of the anticipated accomplishment of various scientific, clinical, regulatory and other therapeutic development goals, which we sometimes refer to as milestones. These milestones may include the commencement or completion of preclinical studies and clinical trials and the submission of regulatory filings. From time to time, we may publicly announce the expected timing of some of these milestones. All of these milestones are and will be based on numerous assumptions, estimates, calculations, conclusions, or analyses. The actual timing of these milestones can vary dramatically compared to our assumptions and estimates, in some cases for reasons beyond our control. If we do not meet these milestones as publicly announced, or at all, the commercialization of our therapeutics may be delayed or never achieved, which could harm our business, financial condition, results of operations and prospects and may cause our stock price to decline.

 

28


Table of Contents

Risks related to our reliance on third parties

Our Compass platform relies on access to high quality data repositories with paired genetic and clinical data and loss of such access, or the inability to use such data, could have a material adverse effect on our business, financial condition, results of operations and prospects.

We rely on non-exclusive access to third-party data sources of genetic and paired clinical data for our Compass platform, including, among others, the University of Helsinki, Queen Mary University, the UK Biobank, Biobank Japan and the Million Veteran Program, as well as specialized databases such as the Chronic Renal Insufficiency Cohort which is managed by the National Institute for Diabetic, Digestive and Kidney Diseases and other genetic data sets we have acquired or may acquire access to in the future. Our ability to access data from these and similar sources is vital to all phases of our Compass platform, including target identification and variant functionalization.

For the most part, we do not control the quantity or type of data that is stored in genetic data repositories, and we may only have access to summary level or aggregate data. Some institutions only provide access to their data for limited purposes, or will require us to make results publicly available. We cannot guarantee that our access to any particular source of genetic or paired clinical data will be available in the future, or that the data that is available will meet the needs of our business strategy or our Compass platform.

We pay substantial membership fees to access certain genetic data repositories. Our memberships provide us with certain preferred access to non-public data, as well as some oversight of the biobanks through membership in the steering committees for these organizations. Most of the other members of these consortiums are larger and better resourced than we are. Any termination of our arrangements with these organizations would require us to rely more heavily on less well-developed resources or require us to invest in finding alternative, and potentially more costly, genetic data resources, if such resources are available at all, and could delay or impair our research and development efforts.

Furthermore, while any loss of access to these or similar genetic data repositories may not directly impact the development of our lead programs, we cannot predict the effects such loss could have on our preclinical and clinical studies and development efforts and our ability to discover and develop additional therapeutic candidates, or optimize our future clinical trials.

While we have not identified any licenses that are required to conduct our genomics work to date, we may in the future identify a third-party technology we need to license to expand or continue to operate our Compass platform. For example, certain aspects of our Compass platform make use of CRISPR Cas9 technology at the early research stages, and while the patent coverage of such technology remains uncertain, certain institutions that have rights in CRISPR Cas9 patents have sought and may in the future seek to obtain license fees from biotechnology companies like ours. If we were unable to license or otherwise obtain access to such technology on reasonable terms or at all, and we were required to cease operation of our Compass platform, it would have a material adverse effect on our business, results of operations, financial condition and prospects.

We have entered, and may in the future enter, into strategic collaborations, transactions and licensing partnerships for research, development or commercialization of our programs, including our first therapeutic candidate MZE001, and we may not be able to realize the full value of these partnerships or our partnered programs.

Our Compass platform has identified, and may identify in the future, genetic targets and therapeutic candidates outside of our core area of focus in CVRM diseases. Our business strategy includes seeking strategic collaborations to advance these targets. For example, in 2024, we granted exclusive licenses to advance two programs related to targets we were pursuing in amyotrophic lateral sclerosis, or ALS—ATXN2 and UNC13A—to

 

29


Table of Contents

other biotechnology companies, as well as an exclusive license with a pharmaceutical partner, Shionogi & Co., Ltd., or Shionogi, to advance our first clinical stage therapeutic candidate, MZE001.

We may face significant competition in seeking appropriate strategic partners, and negotiating partnership or collaboration terms that are favorable to us, and the negotiation process may be time-consuming and complex. Moreover, we may not be successful in our efforts to establish a strategic partnership or other alternative arrangements for our programs and therapeutic candidates because they may be deemed to be at too early of a stage of development for collaborative effort and third parties may not view our therapeutic candidates as having the requisite potential to obtain marketing approval. Certain kinds of strategic transactions, including exclusive licenses, may be subject to potential government review, including by antitrust agencies such as the U.S. Federal Trade Commission, or FTC, which can add substantially to the time and expense of completing a transaction. For example, in 2023, the FTC conducted an investigation of our proposed exclusive license of the MZE001 program to Genzyme Corporation, a subsidiary of Sanofi, and ultimately filed an action to enjoin the transaction based upon allegations that the Genzyme license would substantially lessen competition among pharmaceutical treatments for Pompe disease. If we are unable to license or collaborate on our programs, we may have to curtail the development of the therapeutic candidate for which we are seeking a partner, reduce or delay its development program or one or more of our other development programs, increase our expenditures and undertake development activities at our own expense, or accept terms that are for a lower value than we believe the asset is worth.

In our arrangements with third parties, we have limited control over the amount and timing of resources that our partners dedicate to the development or commercialization of our therapeutic candidates. Our ability to generate revenues from these arrangements will depend on our partners’ abilities and efforts to successfully perform the functions assigned to them in these arrangements to meet regulatory and development milestones, and if a product is approved, to commercialize it.

Partnerships involving development and commercialization of our therapeutic candidates, including our existing exclusive license to Shionogi, pose numerous risks to us, including the following:

 

 

partners have significant discretion in determining the efforts and resources that they will apply to these collaborations and may not perform their obligations as expected;

 

 

partners may de-emphasize or elect not to pursue development or commercialization programs based on studies or trials results, changes in the partners’ strategic focus, including as a result of a sale or disposition of a business unit or development function or a business combination involving the partner, or available funding or external factors such as an acquisition that diverts resources or creates competing priorities;

 

 

partners may delay or abandon preclinical studies or clinical trials for our therapeutic candidates, provide insufficient funding for such programs, repeat or conduct new studies or trials or require a new formulation of a therapeutic candidate;

 

 

partners could independently develop, or develop with third parties, therapeutic candidates that compete directly or indirectly with our therapeutic candidates if the partners believe that competitive products are more likely to be successfully developed or can be commercialized under terms that are more economically attractive than ours;

 

 

a partner with marketing and distribution rights to multiple therapeutic candidates may not commit sufficient resources to the marketing and distribution of our therapeutic candidates relative to others;

 

 

partners may not recognize, properly obtain, maintain, defend or enforce our intellectual property rights or may use our intellectual property in such a way as to invite litigation or other intellectual property-related proceedings that could jeopardize or invalidate our intellectual property or expose us to potential litigation or other intellectual property-related proceedings;

 

30


Table of Contents
 

disputes may arise between the partners and us that result in the delay or termination of the research, development or commercialization of our therapeutic candidates or that result in costly litigation or arbitration that diverts management attention and resources;

 

 

partnerships may be terminated by the partner, and, if terminated, may result in our need for additional capital to pursue further development or commercialization of the applicable therapeutic candidates; and

 

 

the strategic arrangements we have entered into may not lead to development or commercialization of our therapeutic candidates in the most efficient manner or at all.

Failure to recognize the benefit of strategic collaborations or partnerships we have entered or may enter in the future could adversely affect our business, financial condition, results of operations and prospects.

We face risks associated with new companies we may create, such as joint ventures and spin-outs.

Part of our business model includes creating business partnerships and new corporate entities to develop and potentially commercialize therapeutic targets identified through our Compass platform that are outside of our core area of expertise. For example, in 2020, we formed a spin-out company with Alloy Therapeutics, Inc., or Alloy, to develop antibody therapies for ANGPTL7 and another undisclosed target in ophthalmic diseases. Going forward, we may create or acquire interests in more joint venture enterprises, spin-outs, and other entities to execute our business strategy. These business collaborations involve risks that our partners may:

 

 

have economic or business interests or goals that are inconsistent with or adverse to ours;

 

 

take actions contrary to our requests or contrary to our policies or objectives, including actions that may violate applicable law;

 

 

be unable or unwilling to fulfill their obligations under the relevant joint venture and spin-out agreements;

 

 

have financial or business difficulties;

 

 

consume the time and attention of our senior executives, who may serve on the board of such companies;

 

 

take actions that may harm our reputation; or

 

 

have disputes with us as to the scope of their or our rights, responsibilities and obligations.

We will not be able to fully control all aspects of the operations of these partnerships or entities, and we may not have full visibility or control over the operations of these enterprises, including their business decisions, compliance practices or their filing, maintenance, protection and enforcement of intellectual property rights, among others. For example, although we have certain opt-in rights to jointly develop and commercialize certain therapeutic candidates developed through our spin-out company with Alloy, we do not have the power to control the operations of Alloy, which owns the applicable programs and therapeutic candidates and the associated intellectual property rights. In addition, if these entities seek further financing, we may be required to contribute additional cash to maintain our equity stake in these entities or our equity stake may be diluted and our investment impaired.

Our present partnerships or spin outs may not be successful. We may have disputes or encounter other problems with respect to our present or future partners, and our agreements may not be effective or enforceable in resolving these disputes. We may not be able to resolve such disputes and solve such problems in a timely manner or on favorable economic terms, or at all. Any failure by us to address these potential disputes or conflicts of interest effectively could have a material adverse effect on our business, prospects, financial condition, results of operations or cash flows.

 

31


Table of Contents

We rely on third parties to conduct current and future clinical trials, and those third parties may not perform satisfactorily or at all, including failing to meet deadlines for completing such trials, failing to satisfy legal or regulatory requirements or terminating the relationship.

We rely, and expect to continue to rely, on third-party CROs to conduct any current and future clinical trials for our therapeutic candidates. We currently do not plan to conduct any clinical trials independently. Agreements with these CROs might terminate for a variety of reasons, including for their failure to perform. Entry into alternative arrangements, if necessary, could significantly delay our product development activities.

Our reliance on these CROs for research and development activities will reduce our control over these activities but will not relieve us of our responsibilities. For example, we will remain responsible for ensuring that each of our clinical trials is conducted in accordance with the general investigational plan and protocols in the applicable IND. Moreover, the FDA requires compliance with standards, commonly referred to as good clinical practices for conducting, recording and reporting the results of clinical trials to assure that data and reported results are credible and accurate and that the rights, integrity and confidentiality of trial participants are protected, and we will be responsible for ensuring our clinical trials are conducted in compliance with applicable laws and regulation, including good clinical practices.

If these CROs do not successfully carry out their contractual duties, meet expected deadlines or conduct the clinical trials in accordance with regulatory requirements or our stated protocols, we will not be able to obtain, or may be delayed in obtaining, marketing approvals for our therapeutic candidates and will not be able to, or may be delayed in our efforts to, successfully commercialize our therapeutic candidates, which may adversely affect our business, financial condition, results of operations and prospects.

We rely on third parties to manufacture our clinical product supplies and therapeutic candidates and we may not be able to obtain adequate supplies at a reasonable cost or in a timely way.

The process of manufacturing pharmaceutical products is complex and highly regulated. We do not have any manufacturing facilities or plans to establish manufacturing capabilities in the near future. We rely, and expect to continue to rely, on third parties, including foreign manufacturers, for the manufacture of our therapeutic candidates for preclinical and clinical testing, development purposes, to support regulatory application submissions, as well as for commercial manufacture if any of our therapeutic candidates obtain marketing approval. This reliance on third parties increases the risk that we will not have sufficient quantities of our therapeutic candidates or such quantities at an acceptable cost or quality, which could delay, prevent or impair our development or commercialization efforts. In addition, global health crises or geopolitical conflict may result in disruptions to the operations or an extended shutdown of certain businesses, which could include certain of our contract manufacturers. Further, as our therapeutic candidates are developed through preclinical studies to late-stage clinical trials towards approval and commercialization, we are likely to alter various aspects of the development program, such as manufacturing methods, to optimize processes and results, which may result in additional cost or delay.

We have only limited supply arrangements in place with respect to our therapeutic candidates, and these arrangements do not extend to Phase 3 clinical or commercial supply. We acquire many key materials on a purchase order basis. As a result, we may not have long-term committed arrangements with respect to aspects of our therapeutic candidates and other materials. We will need to establish one or more agreements with third parties to develop and scale up the drug manufacturing process, conduct testing, and generate data to support a regulatory submission, and may be unable to do so on favorable terms. If we obtain marketing approval for any of our therapeutic candidates, we will need to establish an agreement for commercial manufacture with a third party.

 

32


Table of Contents

Even if we are able to establish agreements with third-party manufacturers, reliance on third-party manufacturers entails additional risks, including, but not limited to:

 

 

reliance on the third party for regulatory, compliance and quality assurance;

 

 

reliance on the third party for product development, analytical testing, and data generation to support regulatory applications;

 

 

operations of our third-party manufacturers or suppliers could be disrupted by conditions unrelated to our business or operations, including the bankruptcy of the manufacturer or supplier, the issuance of an FDA Form 483 notice or warning letter, or other enforcement action by FDA or other regulatory authority;

 

 

the possible breach of the manufacturing agreement by the third party;

 

 

the possible infringement, misappropriation, violation or unauthorized disclosure of our intellectual property and proprietary rights, including our trade secrets, know-how and other confidential information;

 

 

the possible termination or nonrenewal of the agreement by the third party at a time that is costly or inconvenient for us;

 

 

competition with other companies for access to manufacturing capacity;

 

 

carrier disruptions or increased costs that are beyond our control; and

 

 

failure to deliver our products under specified storage conditions and in a timely manner.

Third-party manufacturers may not be able to comply with current good manufacturing practice, or cGMP, regulations or similar regulatory requirements outside of the United States. If the FDA determines that our contract manufacturing organizations, or CMOs, are not in compliance with FDA laws and regulations, including those governing cGMPs, the FDA may not approve an NDA until the deficiencies are corrected or we replace the manufacturer in our application with a manufacturer that is in compliance. Moreover, our failure, or the failure of our third-party manufacturers and suppliers, to comply with applicable regulations could result in sanctions being imposed on us, including clinical holds, fines, injunctions, civil penalties, seizures or recalls of therapeutic candidates, operating restrictions and criminal prosecutions, any of which could significantly and adversely affect supplies of our products. In addition, approved products and the facilities at which they are manufactured are required to maintain ongoing compliance with extensive FDA requirements and the requirements of other similar agencies, including ensuring that quality control and manufacturing procedures conform to cGMP requirements. As such, our CMOs are subject to continual review and periodic inspections to assess compliance with cGMPs. Furthermore, although we do not have day-to-day control over the operations of our CMOs, we are responsible for ensuring compliance with applicable laws and regulations, including cGMPs.

Further, we rely on third parties located in China for some of our contract manufacturing, and we expect to continue to use such third-party manufacturers for such purposes. For any activities conducted in China, we are exposed to the possibility of product supply disruption and increased costs in the event of changes in the policies of the United States or Chinese governments, political unrest or unstable economic conditions in China. In addition, certain Chinese biotechnology companies may become subject to trade restrictions, sanctions, other regulatory requirements, or proposed legislation by the U.S. government, which could restrict or even prohibit our ability to work with such entities, thereby potentially disrupting the supply of material to us. For example, the recently proposed BIOSECURE Act introduced in the U.S. House of Representatives, as well as a substantially similar bill in the U.S. Senate, target U.S. government contracts, grants and loans for entities that use equipment and services from certain named Chinese biotechnology companies. Given the current uncertain political and legislative environment, it is unclear what form the BIOSECURE Act will take and whether or when

 

33


Table of Contents

it will be enacted into law. If enacted as presently proposed, the BIOSECURE Act would, among other things, prohibit U.S. federal agencies from entering into or renewing any contract with any entity that uses biotechnology equipment or services produced or provided by a “biotechnology company of concern” to perform that contract. The BIOSECURE Act defines a “biotechnology company of concern” to include WuXi Apptec and its affiliates, collectively, WuXi, and provides that additional companies may be designated as “biotechnology companies of concern.” The current House version includes a “grandfathering” provision that provides that the BIOSECURE Act’s prohibitions will not apply to pre-existing contracts and agreements entered into prior to the legislation’s effective date until 2032. We are currently parties to agreements with WuXi, pursuant to which WuXi provides development and manufacturing services to us. If these bills become law, or similar laws are passed, we may be restricted in our ability to work with WuXi and other Chinese biotechnology manufacturing companies to the extent we would contract with, or otherwise receive funding from, the U.S. government. As a result, we may need to seek alternative CMO relationships, but we expect that the grandfathering provision will provide adequate time to identify and execute agreements with alternative CMOs. While we believe we will be able to identify and contract with such alternative CMOs, we cannot predict the terms of any such alternative arrangement nor what actions may ultimately be taken with respect to trade relations between the United States and China or other countries, what products and services may be subject to such actions or what actions may be taken by China or the other countries in retaliation. In addition to the BIOSECURE ACT, any unfavorable government policies on international trade, such as export controls, capital controls or tariffs, new legislation or regulations, renegotiation of existing trade agreements, or any retaliatory trade actions due to recent or future trade tension, may impede, delay, limit, or increase the cost of manufacturing our therapeutic candidates. Such events could result in our clinical or commercial supply of drug, packaging and other services being interrupted or limited, which could harm our business.

In addition, our third-party manufacturers and suppliers are subject to numerous environmental, health and safety laws and regulations, including those governing the handling, use, storage, treatment and disposal of waste products, and failure to comply with such laws and regulations could result in significant costs associated with civil or criminal fines and penalties for such third parties. Based on the severity of regulatory actions that may be brought against these third parties in the future, our clinical or commercial supply of drug and packaging and other services could be interrupted or limited, which could harm our business.

Any performance failure on the part of our existing or future manufacturers could delay clinical development or marketing approval. We do not currently have arrangements in place for redundant supply or a second source for bulk drug substance. If our current CMOs for preclinical and clinical testing cannot perform as agreed, we may be required to replace such CMOs. Although we believe that there are several potential alternative manufacturers who could manufacture our therapeutic candidates, we may incur added costs and delays in identifying and qualifying any such replacement manufacturer or be able to reach agreement with any alternative manufacturer. Further, our third-party manufacturers may experience manufacturing or shipping difficulties due to resource constraints or as a result of natural disasters, labor disputes, unstable political environments, or global health crises. If our current third-party manufacturers cannot perform as agreed, we may be required to replace such manufacturers and we may be unable to replace them on a timely basis or at all.

Our current and anticipated future dependence upon others for the manufacture of our therapeutic candidates may adversely affect our future profit margins and our ability to commercialize any products that obtain marketing approval on a timely and competitive basis.

 

34


Table of Contents

Our reliance on third parties requires us to share certain of our trade secrets, which increases the possibility that a competitor or other third party will discover them or that our trade secrets will be misappropriated or disclosed.

Our reliance on third parties may require us to share certain of our proprietary technology and confidential information, including trade secrets, with them. We seek to protect our proprietary technology, in part, by entering into confidentiality agreements, and, if applicable, material transfer agreements, collaborative research agreements, consulting agreements or other similar agreements with our partners, advisors, employees and consultants prior to beginning research or disclosing proprietary information. These agreements typically limit the rights of the third parties to use or disclose our confidential information, including our trade secrets. Despite the contractual provisions employed when working with third parties, the need to share trade secrets and other confidential information increases the risk that such trade secrets become known by our competitors or other third parties, are intentionally or inadvertently incorporated into the technology of others or are disclosed or used in violation of these agreements. Given that our proprietary position is based, in part, on our know-how and trade secrets and despite our efforts to protect our trade secrets, a competitor’s or other third party’s discovery of our proprietary technology and confidential information or other unauthorized use or disclosure of such technology or information would impair our competitive position and may have a material adverse effect on our business, financial condition, results of operations and prospects.

Risks related to government regulation

The FDA regulatory approval process is lengthy and time-consuming.

The research, testing, manufacturing, labeling, approval, selling, import, export, marketing and distribution of our therapeutic candidates are subject to extensive regulation by the FDA and other regulatory authorities in the United States. Our current lead programs, MZE829 and MZE782, are both small molecules and will be regulated as drugs. We are not permitted to market any drug in the United States until we receive approval of the respective NDA. We have not previously submitted an NDA to the FDA or made similar submissions to comparable foreign regulatory agencies. An NDA must include extensive preclinical and clinical data and supporting information to establish the therapeutic candidate’s safety and effectiveness for each desired indication, which takes many years to collect through clinical and preclinical testing of the therapeutic candidate and is subject to a high failure rate. Further, the NDA must also include significant information regarding the chemistry, manufacturing, and controls for the product, including storage and handling of the product. The manufacturing facility is also required to maintain a compliance status acceptable to the FDA. In addition, even if such clinical trials are successfully completed, we cannot guarantee that the FDA or comparable foreign regulatory agencies will interpret the results as we do, and more trials could be required before we submit an NDA, or other foreign marketing application. Further, the FDA may call an advisory committee meeting to discuss the product and its intended use, as well as scientific and regulatory issues related to the product and the NDA, which may further delay approval of our therapeutic candidates or lead to restrictions on their intended use.

We, as a company, have limited experience in submitting INDs in the United States and we do not have experience in obtaining regulatory approval to initiate clinical trials in any other jurisdiction. Nor do we have experience in manufacturing or in quality assurance in order to market our therapeutic candidates in the United States or in any other jurisdiction.

We have limited experience in submitting INDs in the United States and we do not have experience in obtaining regulatory approval to initiate clinical trials in any other jurisdiction. Nor do we have experience in manufacturing or in quality assurance in order to market a drug and we expect to rely on third-party CROs, CMOs or other third-party consultants or vendors to assist us in this process. Our inexperience may result in

 

35


Table of Contents

failure or delay in obtaining permission to initiate clinical trials or in obtaining marketing approval for our therapeutic candidates. If we are unable to obtain regulatory and marketing approval for our therapeutic candidates, or experience significant delays in our efforts to do so, our business could be substantially harmed.

Our failure to obtain marketing approval in foreign jurisdictions would prevent our therapeutic candidates from being marketed abroad, and any approval we are granted for our therapeutic candidates in the United States would not assure approval of therapeutic candidates in foreign jurisdictions.

In order to market and sell our products in any jurisdiction outside the United States, we must obtain separate marketing approvals and comply with numerous and varying regulatory requirements. The approval procedure varies among countries and can involve additional testing. The time required to obtain approval may differ substantially from that required to obtain FDA approval. The regulatory approval process outside the United States generally includes all of the risks associated with obtaining FDA approval. In addition, in many countries outside the United States, it is required that the product be approved for reimbursement before such product can be approved for sale in that country. We may not obtain approvals from regulatory authorities outside the United States on a timely basis, if at all. Approval by the FDA does not ensure approval by regulatory authorities in other countries or jurisdictions, and approval by one regulatory authority outside the United States does not ensure approval by regulatory authorities in other countries or jurisdictions or by the FDA. We may not be able to submit for marketing approvals and may not receive necessary approvals to commercialize our products in any market.

If we decide to pursue a fast track designation by the FDA, it may not lead to a faster development or regulatory review or approval process.

Some of our therapeutic candidates may be intended to treat serious or life-threatening conditions and may demonstrate the potential to address an unmet medical need for such conditions, and as such they would be eligible for expedited processes within the FDA such as fast track designation. The FDA has broad discretion whether or not to grant such designation, so even if we believe a particular therapeutic candidate is eligible for this designation, we cannot guarantee that the FDA would decide to grant it. Even if we do receive fast track designation, we may not experience a faster development process, review or approval. The FDA may withdraw Fast Track designation if it believes that the designation is no longer supported by data from our clinical development program.

If we decide to pursue accelerated approval for any of our therapeutic candidates, it may not lead to a faster regulatory review or approval process and does not increase the likelihood that our therapeutic candidates will receive marketing approval.

As part of our business strategy, we may pursue accelerated approval for one or more of our therapeutic candidates. Under the FDA’s accelerated approval program, the FDA may approve a drug for a serious or life-threatening illness that provides meaningful product benefit to patients over existing treatments based upon a surrogate endpoint that is reasonably likely to predict clinical benefit, or on a clinical endpoint that can be measured earlier than irreversible morbidity or mortality, that is reasonably likely to predict an effect on irreversible morbidity or mortality or other clinical benefit, taking into account the severity, rarity, or prevalence of the condition and the availability or lack of alternative treatments. We may seek accelerated approval for one or more of our therapeutic candidates on the basis of a surrogate endpoint that we believe is reasonably likely to predict clinical benefit.

If any of our therapeutic candidates receive accelerated approval from the FDA, we will be required to undergo one or more confirmatory clinical trials. If such a therapeutic candidate fails to meet its safety and efficacy endpoints in such confirmatory clinical trials, the FDA may withdraw the accelerated approval.

 

36


Table of Contents

Recently, the accelerated approval pathway has come under scrutiny within the FDA and by Congress. The FDA has put increased focus on ensuring that confirmatory studies are conducted with diligence and, ultimately, that such studies confirm clinical benefit. In addition, the enactment of the Food and Drug Omnibus Reform Act, or FDORA, included provisions related to the accelerated approval pathway. Pursuant to FDORA, the FDA is authorized to require a post-approval study to be underway prior to approval or within a specified time period following approval. FDORA also requires the FDA to specify conditions of any required post-approval study and requires sponsors to submit progress reports for required post-approval studies and any conditions required by the FDA. FDORA enables the FDA to initiate enforcement action for the failure to conduct with due diligence a required post-approval study, including a failure to meet any required conditions specified by the FDA or to submit timely reports.

There is no assurance that any therapeutic candidate will successfully advance through its confirmatory clinical trial(s). Therefore, even if a therapeutic candidate receives accelerated approval from the FDA, such approval may be withdrawn at a later date.

Even if we, or any of our partners, obtain marketing approval for our therapeutic candidates, the terms of approvals, ongoing regulation of our product, including enforcement of post-marketing requirements by regulatory agencies or other post-approval restrictions, may require the expenditure of substantial resources, which could materially impair our ability to generate revenue. If we, or any of our partners or manufacturers, fail to comply with all regulatory requirements or experience unanticipated problems with our products, when and if any of them are approved, we could be subject to substantial penalties, including withdrawal of our product from the market.

Any therapeutic candidate for which we, or any partners obtain marketing approval, as well as the manufacturing processes, post-approval clinical data, labeling, advertising and promotional activities for such product, will be subject to continual requirements of and review by the FDA and other regulatory authorities. These requirements include, but are not limited to, restrictions governing promotion of an approved product, submissions of safety and other post-marketing information and reports, registration and listing requirements, cGMP requirements relating to manufacturing, quality control, quality assurance and corresponding maintenance of records and documents, and requirements regarding drug distribution and the distribution of samples to physicians and recordkeeping.

For instance, even if marketing approval of a product is granted, the FDA may impose requirements for costly post-marketing studies or clinical trials and surveillance to monitor the safety or efficacy of a product, including the adoption and implementation of a REMS.

We, or any of our partners, must also comply with requirements concerning advertising and promotion for any of our therapeutic candidates for which we or they obtain marketing approval. Promotional communications with respect to prescription drugs are subject to a variety of legal and regulatory restrictions and must be consistent with the information in the therapeutic candidate’s approved labeling. Thus, we, and any partners, will not be able to promote any products we develop for indications or uses for which they are not approved.

In addition, manufacturers of approved products and those manufacturers’ facilities are required to ensure that quality control and manufacturing procedures conform to cGMPs, which include requirements relating to quality control and quality assurance as well as the corresponding maintenance of records and documentation and reporting requirements. We, our third-party manufacturers, and any partners and their third-party manufacturers, and our CMOs would be subject to periodic unannounced inspections by the FDA to monitor and ensure compliance with cGMPs.

Accordingly, assuming we, or any partners, obtain marketing approval for one or more of our therapeutic candidates, we, any partners and our CMOs will continue to expend time, money and effort in all areas of

 

37


Table of Contents

regulatory compliance, including manufacturing, production, product surveillance and quality control. If we are not able to comply with post-approval regulatory requirements, we could have the marketing approvals for our products withdrawn by regulatory authorities and our ability to market any future products could be limited, which could adversely affect our ability to achieve or sustain profitability. As a result, the cost of compliance with post-approval regulations may have a negative effect on our operating results and financial condition.

The FDA as well as other federal and state agencies, including the U.S. Department of Justice, enforce and closely regulate compliance with all requirements governing drug products, including those requirements pertaining to marketing and promotion of drugs in accordance with the provisions of the approved labeling and manufacturing of products in accordance with cGMP requirements. For example, the FDA and other agencies actively enforce the laws and regulations prohibiting the promotion of off-label uses, and a company that is found to have improperly promoted off-label uses may be subject to significant liability. Violations of such requirements may lead to investigations alleging violations of the Federal Food, Drug, and Cosmetic Act and other statutes, including the False Claims Act and other federal and state healthcare fraud and abuse laws as well as state consumer protection laws. Our failure to comply with all regulatory requirements, and later discovery of previously unknown adverse events or other problems with our products, manufacturers or manufacturing processes, may yield various results, including:

 

 

litigation involving patients using our products;

 

 

restrictions on such products, manufacturers or manufacturing processes;

 

 

modifications to the labeling or restrictions on the marketing of a product;

 

 

restrictions on distribution or use;

 

 

requirements to conduct post-marketing studies or clinical trials;

 

 

warning or untitled letters;

 

 

withdrawal or recall of the product from the market;

 

 

refusal to approve pending applications or supplements to approved applications that we submit;

 

 

fines, restitution or disgorgement of profits or revenues;

 

 

suspension or withdrawal of marketing approvals;

 

 

damage to relationships with any potential partners;

 

 

unfavorable press coverage and damage to our reputation;

 

 

refusal to permit the import or export of our products;

 

 

product seizure; or

 

 

injunctions or the imposition of civil or criminal penalties.

Non-compliance by us or any future partner with regulatory requirements, including safety monitoring or pharmacovigilance, and with requirements related to the development of our products can also result in significant financial penalties.

If generic versions of our small molecule therapeutic candidates are approved, our revenue and results of operations would be adversely affected.

The Drug Price Competition and Patent Term Restoration Act of 1984, commonly known as the Hatch-Waxman Amendments, permits the FDA to approve abbreviated NDAs, or ANDAs, for generic versions of small molecule

 

38


Table of Contents

branded drugs. We refer to this process as the ANDA process. The ANDA process permits a competitor to obtain marketing approval for a drug with the same active ingredient as a branded drug but does not generally require the conduct and submission of clinical efficacy studies for the generic product. In place of such clinical studies, an ANDA applicant usually needs only to submit data demonstrating that its product is bioequivalent to the branded product. The Hatch-Waxman Amendments require an ANDA applicant seeking FDA approval of its proposed generic product prior to the expiration of any patents we may list in the FDA’s Approved Drug Products with Therapeutic Equivalence Evaluations (commonly known as the Orange Book) to certify that the applicant believes that our patents are invalid or will not be infringed by the manufacture, use or sale of the drug for which the application has been submitted (a Paragraph IV certification) and notify us of such certification (a Paragraph IV notice).

Pursuant to the Hatch-Waxman Amendments, with regard to a drug that has received five years of marketing exclusivity as a result of being a new chemical entity, or NCE, FDA cannot receive any ANDA seeking approval of a generic version of that drug during the five-year period of exclusivity unless the application contains a Paragraph IV certification, in which case the application may be submitted one year prior to expiration of the NCE exclusivity. Accordingly, potential competitors will be permitted to submit ANDA applications for proposed generic versions of any small molecule products for which we obtain approval four or five years from the date of such approval was granted.

Upon receipt of a Paragraph IV notice, the Hatch-Waxman Amendments allow us, with proper basis, to bring an action for patent infringement against the ANDA filer, asking that the proposed generic product not be approved until after our patents expire. If we commence a lawsuit within 45 days from receipt of the paragraph IV notice, the Hatch-Waxman Amendments provide a 30-month stay, during which time the FDA cannot finally approve the ANDA application. If the litigation is resolved in favor of the ANDA applicant during the 30-month stay period, the stay will be lifted and the FDA may approve the ANDA if it is otherwise ready for approval. The discovery, trial and appeals process in such a lawsuit is costly, time consuming, and may result in generic competition if the ANDA applicant prevails.

Our current and future relationships with customers and third-party payors may be subject to applicable anti-kickback, fraud and abuse, transparency, health privacy, and other healthcare laws and regulations, which could expose us to significant penalties, including criminal, civil, and administrative penalties, contractual damages, reputational harm and diminished profits and future earnings.

Healthcare providers, including physicians, and third-party payors will play a primary role in the recommendation and prescription of any therapeutic candidates for which we obtain marketing approval. Our current and future arrangements with such healthcare providers, third-party payors and customers may expose us to broadly applicable fraud and abuse and other healthcare laws and regulations that may constrain the business or financial arrangements and relationships through which we research, as well as, market, sell and distribute any products for which we obtain marketing approval. Restrictions under applicable federal and state healthcare laws and regulations that may be applicable to our business include the following:

 

 

the federal Anti-Kickback Statute prohibits, among other things, persons from knowingly and willfully soliciting, offering, receiving or providing remuneration, directly or indirectly, in cash or in kind, to induce or reward, or in return for, either the referral of an individual for, or the purchase, order or recommendation of, any good or service, for which payment may be made under a federal healthcare program such as Medicare and Medicaid;

 

 

the federal civil, including the False Claims Act, which can be enforced by civil whistleblower or qui tam actions on behalf of the government, and criminal false claims laws and the civil monetary penalties law, prohibit individuals or entities from, among other things, knowingly presenting, or causing to be presented

 

39


Table of Contents
 

false or fraudulent claims for payment by a federal government program, or making a false statement or record material to payment of a false claim or avoiding, decreasing or concealing an obligation to pay money to the federal government;

 

 

the federal Health Insurance Portability and Accountability Act of 1996, or HIPAA, prohibits, among other things, knowingly and willfully executing, or attempting to execute, a scheme to defraud any healthcare benefit program, regardless of the payor (e.g., public or private), and knowingly and willfully falsifying, concealing or covering up by any trick or device a material fact or making any materially false, fictitious or fraudulent statements in connection with the delivery of, or payment for, healthcare benefits, items or services relating to healthcare matters;

 

 

HIPAA, as amended by the Health Information Technology for Economic and Clinical Health Act, or HITECH, and their implementing regulations, impose requirements on certain covered healthcare providers, health plans, and healthcare clearinghouses as well as their respective business associates that perform services for them that involve the use, or disclosure of, individually identifiable health information, relating to the privacy, security, and transmission of such individually identifiable health information;

 

 

the federal transparency requirements under the ACA, requires certain manufacturers of drugs, devices, biologics and medical supplies to report to the Centers for Medicare & Medicaid Services, or CMS, information related to payments and other transfers of value provided to, and ownership and investment interests held by, physicians, as defined by such law, and their immediate family members; and

 

 

analogous state laws and regulations such as state anti-kickback and false claims laws and analogous non-U.S. fraud and abuse laws and regulations, may apply to sales or marketing arrangements and claims involving healthcare items or services reimbursed by non-governmental third-party payors, including private insurers. Some state laws require pharmaceutical companies to comply with the pharmaceutical industry’s voluntary compliance guidelines and the relevant compliance regulations promulgated by the federal government and may require drug manufacturers to report information related to payments and other transfers of value to physicians and other healthcare providers, marketing expenditures, or drug pricing, including price increases. State and local laws require the registration of pharmaceutical sales representatives. State and non-U.S. laws that also govern the privacy and security of personal information (including health information in some circumstances), many of which differ from each other in significant ways and often are not preempted by HIPAA, thus complicating compliance efforts.

Efforts to ensure that our business arrangements with third parties will comply with applicable healthcare laws and regulations will involve substantial costs. It is possible that governmental authorities will conclude that our business practices may not comply with current or future statutes, regulations or case law involving applicable fraud and abuse or other healthcare laws and regulations. If our operations are found to be in violation of any of these laws or any other governmental regulations that may apply to us, we may be subject to significant civil, criminal and administrative penalties, damages, fines, disgorgement, imprisonment, exclusion from government funded healthcare programs, such as Medicare and Medicaid and other federal healthcare programs, contractual damages, reputational harm, diminished profits and future earnings, additional integrity reporting and oversight obligations, and the curtailment or restructuring of our operations, any of which could adversely affect our ability to operate our business and our results of operations. If any of the physicians or other healthcare providers or entities with whom we expect to do business is found to be not in compliance with applicable laws, they may be subject to significant criminal, civil and administrative sanctions, including exclusions from government funded healthcare programs, which could have a material adverse effect on our business, results of operations, financial condition and prospects.

 

40


Table of Contents

Recently enacted and future legislation may increase the difficulty and cost for us to obtain marketing approval of and commercialize our therapeutic candidates and may affect pricing and third-party payment for our therapeutic candidates and decrease the prices we may obtain.

In the United States and some foreign jurisdictions, there have been a number of legislative and regulatory changes and proposed changes regarding the healthcare system that could, among other things, prevent or delay marketing approval of our therapeutic candidates, restrict or regulate post-approval activities and affect pricing and third-party payment for our therapeutic candidates, which could negatively affect our ability to profitably sell any therapeutic candidates for which we obtain marketing approval.

Legislative and regulatory proposals have been made to expand post-approval requirements and restrict sales and promotional activities for pharmaceutical products. We cannot be sure whether additional legislative changes will be enacted, or whether the FDA regulations, guidance or interpretations will be changed, or what the impact of such changes on the marketing approvals of our therapeutic candidates, if any, may be. In addition, increased scrutiny by the U.S. Congress of the FDA’s approval process may significantly delay or prevent marketing approval, as well as subject us to more stringent product labeling and post-marketing testing and other requirements.

In addition, there has been heightened governmental scrutiny recently over the manner in which drug manufacturers set prices for their marketed products, which has resulted in several Congressional inquiries and proposed and enacted federal and state legislation designed to, among other things, bring more transparency to product pricing, review the relationship between pricing and manufacturer patient programs, and reform government program reimbursement methodologies for drug products.

Several healthcare reform initiatives culminated in the enactment of the Inflation Reduction Act in August 2022, which allows, among other things, the Department of Health and Human Services, or HHS, to negotiate the selling price of a statutorily specified number of drugs and biologics each year that the Centers for Medicare & Medicaid Services, or CMS, reimburses under Medicare Part B and Part D. Only high-expenditure single-source drugs that have been approved for at least 7 years (11 years for single-source biologics) can qualify for negotiation, with the negotiated price taking effect two years after the selection year. CMS selected the Medicare Part D drugs for negotiation in 2023, negotiations began in 2024, and the negotiated maximum fair price for each drug has been announced. The price cap for each of these drugs, which cannot exceed a statutory ceiling price, will come into effect on January 1, 2026. Negotiations for Medicare Part B products begin in 2026, with the negotiated price taking effect in 2028. A drug or biological product that has an orphan drug designation for only one rare disease or condition will be excluded from the Inflation Reduction Act’s price negotiation requirements, but loses that exclusion if it has designations for more than one rare disease or condition, or if is approved for an indication that is not within that single designated rare disease or condition, unless such additional designation or such disqualifying approvals are withdrawn by the time CMS evaluates the drug for selection for negotiation. The Inflation Reduction Act also imposes rebates on Medicare Part B and Part D drugs whose prices have increased at a rate greater than the rate of inflation. In addition, the law eliminates the “donut hole” under Medicare Part D beginning in 2025 by significantly lowering the beneficiary maximum out-of-pocket cost and establishing a new manufacturer discount program, which requires manufacturers that want their drugs to be covered by Medicare Part D to provide statutorily defined discounts to Part D enrollees. The Inflation Reduction Act also extends enhanced subsidies for individuals purchasing health insurance coverage in ACA marketplaces through plan year 2025. The Inflation Reduction Act permits the Secretary of HHS to implement many of these provisions through guidance, as opposed to regulation, for the initial years. Manufacturers that fail to comply with the Inflation Reduction Act may be subject to various penalties, some significant, including civil monetary penalties. These provisions are taking effect progressively starting in 2023, although they may be subject to legal challenges. For example, the provisions related to the negotiation of

 

41


Table of Contents

selling prices of high-expenditure single-source drugs and biologics have been challenged in multiple lawsuits. Thus, it is unclear how the Inflation Reduction Act will be implemented but it will likely have a significant impact on the pharmaceutical industry and the pricing of our products and therapeutic candidates. The adoption of restrictive price controls in new jurisdictions, more restrictive controls in existing jurisdictions or the failure to obtain or maintain timely or adequate pricing could also adversely impact revenue. We expect pricing pressures will continue globally.

In addition, at the state level, individual states have increasingly passed legislation and implemented regulations designed to control pharmaceutical and biological product pricing, including price or patient reimbursement constraints, discounts, restrictions on certain product access and marketing cost disclosure and transparency measures, and, in some cases, designed to encourage importation from other countries and bulk purchasing.

We expect that additional state and federal healthcare reform measures may be adopted in the future. Such reform measures may result in more rigorous coverage criteria and in additional downward pressure on the price that we receive for any approved product. The implementation of cost containment measures or other healthcare reforms may prevent us from being able to generate revenue, attain profitability, or commercialize our products.

Legislative and regulatory proposals have been made to expand post-approval requirements and restrict sales and promotional activities for pharmaceutical products. We cannot be sure whether additional legislative changes will be enacted, or whether the FDA regulations, guidance or interpretations will be changed, or what the impact of such changes on the marketing approvals of our therapeutic candidates, if any, may be. In addition, increased scrutiny by the U.S. Congress of the FDA’s approval process may significantly delay or prevent marketing approval, as well as subject us to more stringent product labeling and post-marketing testing and other requirements.

Disruptions at the FDA and other government agencies caused by funding shortages or global health concerns could hinder their ability to hire, retain, or deploy key leadership and other personnel, or otherwise prevent new or modified products from being developed, approved, or commercialized in a timely manner or at all, which could negatively impact our business.

The ability of the FDA to review and approve new products can be affected by a variety of factors, including government budget and funding levels, statutory, regulatory, and policy changes, the FDA’s ability to hire and retain key personnel and accept the payment of user fees, and other events that may otherwise affect the FDA’s ability to perform routine functions. In addition, government funding of other government agencies that fund research and development activities is subject to the political process, which is inherently fluid and unpredictable. Disruptions at the FDA and other agencies may also slow the time necessary for new therapeutic candidates to be reviewed and/or approved by necessary government agencies, which may adversely affect our business, financial condition, results of operations and prospects. For example, over the last several years, the U.S. government has shut down several times and certain regulatory agencies, such as the FDA, have had to furlough critical FDA employees and stop critical activities.

Our research and development activities could be affected or delayed as a result of possible restrictions on animal testing.

Certain laws and regulations require us to test our therapeutic candidates on animals before initiating clinical trials involving humans. Animal testing activities have been the subject of controversy and adverse publicity. Animal rights groups and other organizations and individuals have attempted to stop animal testing activities by pressing for legislation and regulation in these areas and by disrupting these activities through protests and

 

42


Table of Contents

other means. To the extent the activities of these groups are successful, our research and development activities may be interrupted, delayed, or become more expensive.

Even if we are able to commercialize a drug candidate, coverage and adequate reimbursement may not be available or such drug candidate may become subject to unfavorable pricing regulations or third-party coverage and reimbursement policies, which would harm our business.

The regulations that govern regulatory approvals, pricing, and reimbursement for drug products vary widely from country to country. Some countries require approval of the sale price of a drug product before it can be marketed or may require us or our partners to conduct clinical trials that compare the cost-effectiveness of our therapeutic candidates to other therapies to obtain reimbursement or pricing approval. In many countries, the pricing review period begins after regulatory approval is granted. In some foreign markets, prescription drug product pricing remains subject to continuing governmental control even after initial approval is granted. As a result, we might obtain regulatory approval for a drug in a particular country, but then be subject to price regulations that delay our commercial launch of the drug, possibly for lengthy time periods, and negatively impact the revenue we are able to generate from the sale of the drug in that country. If reimbursement of our products is unavailable or limited in scope or amount, or if pricing is set at unsatisfactory levels, our business could be harmed. Political, economic and regulatory developments may further complicate pricing negotiations, and pricing negotiations may continue after reimbursement has been obtained. Reference pricing used by various EU member states, and parallel trade, such as arbitrage between low-priced and high-priced member states, can further reduce prices. There can be no assurance that any country that has price controls or reimbursement limitations for pharmaceutical products will allow favorable reimbursement and pricing arrangements for any of our products, if approved in those countries. Adverse pricing limitations may hinder our ability to recoup our investment in one or more therapeutic candidates, even if any of our current or future therapeutic candidates obtain regulatory approval.

Our ability to commercialize any drugs successfully also will depend in part on the extent to which coverage and adequate reimbursement for these drugs and related treatments will be available from third-party payors, such as government authorities, private health insurers, and other organizations. Even if we succeed in bringing one or more drugs to market, these drugs may not be considered cost-effective, and the amount reimbursed for any drugs may be insufficient to allow us to sell our drugs on a competitive basis. Moreover, in the United States, no uniform policy requirement for coverage and reimbursement for drugs exists among third-party payors, which may result in significant variations in coverage and reimbursement from payor to payor. Even if favorable coverage and reimbursement status is attained for one or more drug products for which we receive regulatory approval, less favorable coverage policies and reimbursement rates may be implemented in the future. If the price we are able to charge for any drugs we develop, or the coverage and reimbursement provided for such drugs, is inadequate in light of our development and other costs, our return on investment could be affected adversely.

Laws and regulations governing any international operations we may have in the future may preclude us from developing, manufacturing and selling certain therapeutic candidates outside of the United States and require us to develop and implement costly compliance programs.

If we expand our operations outside of the United States, we must dedicate additional resources to comply with numerous laws and regulations in each jurisdiction in which we plan to operate. The Foreign Corrupt Practices Act, or FCPA, prohibits any U.S. individual or business from paying, offering, authorizing payment or offering anything of value, directly or indirectly, to any foreign official, political party or candidate for the purpose of influencing any act or decision of such third party in order to assist the individual or business in obtaining or retaining business. The FCPA also obligates companies whose securities are listed in the United States to comply with certain accounting provisions requiring the company to maintain books and records that

 

43


Table of Contents

accurately and fairly reflect all transactions of the company, including international subsidiaries, and to devise and maintain an adequate system of internal accounting controls for international operations.

Compliance with the FCPA is expensive and difficult, particularly in countries in which corruption is a recognized problem. In addition, the FCPA presents particular challenges in the pharmaceutical industry, because, in many countries, hospitals are operated by the government, and doctors and other hospital employees are considered foreign officials. Certain payments to hospitals in connection with clinical trials and other work have been deemed to be improper payments to government officials and have led to FCPA enforcement actions.

Various laws, regulations and executive orders also restrict the use and dissemination outside of the United States, or the sharing with certain non-U.S. nationals, of information classified for national security purposes, as well as certain products and technical data relating to those products. If we expand our presence outside of the United States, it will require us to dedicate additional resources to comply with these laws, and these laws may preclude us from developing, manufacturing or selling certain therapeutic candidates outside of the United States, which could limit our growth potential and increase our development costs.

Failure to comply with laws governing international business practices may result in substantial civil and criminal penalties and suspension or debarment from government contracting. The Securities and Exchange Commission, or the SEC, also may suspend or bar issuers from trading securities on U.S. exchanges for violations of the FCPA’s accounting provisions.

If we, or any third-party contractors we engage, fail to comply with environmental, health and safety laws and regulations, we could become subject to fines or penalties or incur costs that could harm our business.

We and our third-party contractors are subject to numerous foreign, federal, state and local environmental, health and safety laws and regulations, including those governing laboratory procedures and the handling, use, storage, treatment and disposal of hazardous materials and wastes. Our operations involve the use of hazardous and flammable materials, including chemicals and radioactive and biological materials. Our operations also produce hazardous waste products. We generally contract with third parties for the disposal of these materials and wastes. We cannot eliminate the risk of contamination, discharge or injury from these materials. In the event of contamination, discharge or injury resulting from our use of hazardous materials, we could be held liable for any resulting damages, and any liability could exceed our resources, including any available insurance. We could be subject to civil damages and criminal penalties in the event of an improper or unauthorized release of, or exposure of individuals to, hazardous materials. Further, it is possible that the materials we use could contaminate another party’s property. In addition, claimants may sue us for injury or contamination that results from our use or the use by third parties of these materials, and our liability may exceed our total assets and our ability to pay the liability.

In addition, our leasing and operation of real property may subject us to liability pursuant to certain of these laws or regulations. Under existing U.S. environmental laws and regulations, current or previous owners or operators of real property and entities that disposed or arranged for the disposal of hazardous substances may be held strictly, jointly and severally liable for the cost of investigating or remediating contamination caused by hazardous substance releases, even if they did not know of and were not responsible for the releases.

We could incur significant costs and liabilities which may adversely affect our financial condition and operating results for failure to comply with such laws and regulations, including, among other things, civil or criminal fines and penalties, property damage and personal injury claims, costs associated with upgrades to our facilities or changes to our operating procedures, or injunctions limiting or altering our operations.

Although we maintain liability insurance to cover us for costs and expenses we may incur due to injuries to our employees, this insurance may not provide adequate coverage against potential liabilities. We do not maintain

 

44


Table of Contents

insurance for environmental liability, including claims that may arise from pollution from chemical, radioactive or biological materials, or toxic tort claims that may be asserted against us in connection with our storage or disposal of biological, hazardous or radioactive materials. Our partners may also be working with various types of hazardous materials in connection with our collaborations.

In addition, we may incur substantial costs in order to comply with current or future environmental, health and safety laws and regulations. These current or future laws and regulations, which are becoming increasingly more stringent, may impair our research, development or production efforts. Our failure to comply with these laws and regulations also may result in substantial fines, penalties or other sanctions.

We are subject to certain U.S. and certain foreign anti-corruption, anti-money laundering, export control, sanctions and other trade laws and regulations. We can face serious consequences for violations.

U.S. and foreign anti-corruption, anti-money laundering, export control, sanctions and other trade laws and regulations prohibit, among other things, companies and their employees, agents, CROs, CMOs, legal counsel, accountants, consultants, contractors and other partners from authorizing, promising, offering, providing, soliciting, or receiving directly or indirectly, corrupt or improper payments or anything else of value to or from recipients in the public or private sector. Violations of these laws can result in substantial criminal fines and civil penalties, imprisonment, the loss of trade privileges, debarment, tax reassessments, breach of contract and fraud litigation, reputational harm and other consequences. We have and expect to continue to have direct or indirect interactions with officials and employees of government agencies or government-affiliated hospitals, universities and other organizations. We also expect our non-U.S. activities, including those in China, to increase over time. We expect to continue to rely on third parties for research, preclinical studies and clinical trials and/or to obtain necessary permits, licenses, patent registrations and other marketing approvals. We can be held liable for the corrupt or other illegal activities of our personnel, agents, or partners, even if we do not explicitly authorize or have prior knowledge of such activities.

Any violations of the laws and regulations described above may result in substantial civil and criminal fines and penalties, imprisonment, the loss of export or import privileges, debarment, tax reassessments, breach of contract and fraud litigation, reputational harm and other consequences.

We are, and may in the future be, subject to stringent and changing obligations related to data privacy and security. Our actual or perceived failure to comply with such obligations could lead to regulatory investigations or actions; litigation; fines and penalties; disruptions of our business operations; reputational harm; loss of revenue or profits; loss of customers or sales; and other adverse business consequences.

In the ordinary course of business, we collect, receive, store, generate, use, transfer, disclose, make accessible, protect, secure, dispose of, transmit, share and otherwise process (which we refer to as process or processing) certain personal information and other sensitive information, including our proprietary and confidential business data, trade secrets, employee data, intellectual property, data we or our CROs collect about trial participants in connection with clinical trials, and other sensitive data. The global data protection landscape is rapidly evolving and we are and may increasingly become subject to numerous data privacy and security obligations, such as various state, federal and foreign laws, regulations, guidance, directives, industry standards, external and internal privacy and security policies, contractual requirements and other obligations that govern the processing of sensitive or confidential information by us and on our behalf, and we may be subject to new or additional data protection laws and regulations and face increased scrutiny from regulators as our business grows. The legislative and regulatory landscape for data privacy and security continues to evolve in jurisdictions worldwide, and there has been an increasing focus on these issues with the potential to affect our business, financial condition, results of operations and prospects.

Various federal, state, local and foreign legislative and regulatory bodies, or self-regulatory organizations, may expand current laws, rules or regulations, enact new laws, rules or regulations or issue revised rules or

 

45


Table of Contents

guidance regarding data privacy and security that could result in regulatory investigations, fines or injunctions, as well as civil claims including class actions, and reputational damage. Implementation standards, interpretation, and enforcement practices are likely to remain uncertain for the foreseeable future, and we cannot yet determine the impact future laws, regulations, standards, or perception of their requirements may have on our business. This evolution may create uncertainty in our business, affect our ability to operate in certain jurisdictions or to process personal information, necessitate the acceptance of more onerous obligations in our contracts, result in liability or impose additional costs on us. The cost of compliance with these laws, regulations and standards is high and is likely to increase in the future. Any failure or perceived failure by us to comply with federal, state or foreign laws or regulations, our internal or external policies and procedures or our contracts governing our processing of personal information could result in negative publicity, government investigations and enforcement actions, claims by third parties and damage to our reputation, any of which could have a material adverse effect on our business, financial condition, results of operations and prospects.

In the United States, federal, state, and local governments have enacted numerous data privacy and security laws, including data breach notification laws, data privacy laws, and other similar laws. For example, all 50 states and the District of Columbia have enacted breach notification laws that may require us to notify patients, customers, employees or regulators in the event of unauthorized access to or disclosure of personal or confidential information experienced by us or our service providers. These laws are not consistent, and compliance in the event of a widespread data breach is difficult and may be costly. Moreover, HIPAA, as amended by HITECH, imposes among other things, certain requirements relating to the privacy, security, transmission, and breach of individually identifiable health information. We may obtain health information from third parties (including research institutions from which we obtain clinical trial data) that are subject to privacy and security requirements under HIPAA. Depending on the facts and circumstances, we could be subject to significant penalties if we violate HIPAA.

Certain states have also adopted comparable privacy and security laws and regulations, which govern the processing of health-related and other personal information. Such laws and regulations will be subject to interpretation by various courts and other governmental authorities, thus creating potentially complex compliance issues for us and our future customers and strategic partners. For example, the California Consumer Privacy Act of 2018 (as amended by the California Privacy Rights Act of 2020), or CCPA, imposes obligations on businesses that meet certain thresholds that process the personal information of California residents (including employees based in California). These obligations include, but are not limited to, providing specific disclosures in privacy notices and affording California residents certain rights related to their personal information, which includes a private right of action for certain data breaches. Although the CCPA exempts some data processed in the context of clinical trials, the CCPA could increase compliance costs and potential liability. The 2020 amendments to the CCPA also created the California Privacy Protection Agency, a new enforcement agency whose sole responsibility is to enforce the CCPA and is empowered to create new CCPA regulations. Other states, such as Virginia, Indiana, Oregon, Texas, Tennessee, Montana, Iowa, Delaware, Connecticut, Utah, Washington and Colorado, have also passed comprehensive privacy laws, and similar laws are being considered in several other states, as well as at the federal and local levels. In addition to government activity and private rights of actions provided by some of the state privacy laws, privacy advocacy groups and technology and other industries are considering various new, additional or different self-regulatory standards that may place additional burdens on us.

Around the world, many countries have privacy and data protection laws that create potentially complex compliance issues for us, our future customers, and strategic partners. For example, outside the United States, the EU’s General Data Protection Regulation, or EU GDPR, and the United Kingdom’s GDPR, or UK GDPR, impose strict requirements for processing the personal data of individuals. For example, under the EU GDPR, government regulators may impose temporary or definitive bans on data processing, as well as fines of up to

 

46


Table of Contents

20 million or 4% of annual global revenue, whichever is greater. Such fines would be in addition to (i) the rights of individuals to sue for damages in respect of any data privacy breach which causes them to suffer harm, (ii) the right of individual member states to impose additional sanctions over and above the administrative fines specified in the GDPR and (iii) the ability of supervisory authorities to impose orders requiring companies to modify their practices. If we are found not to be compliant with the GDPR or similar requirements, we may be subject to significant fines and the risk of civil litigation. Among other requirements, the GDPR and UK GDPR (and certain other foreign jurisdictions) regulate the cross-border transfer of personal data, which could make it more difficult to transfer information across jurisdictions (such as transferring or receiving personal data that originates in the EU or the United Kingdom to countries such as the United States which are not considered by the EU or United Kingdom to provide adequate protection of personal data). In October 2022, the EU-U.S. Data Privacy Framework, or EU-U.S. DPF, was implemented, and the European Commission adopted an adequacy decision on July 10, 2023 that set conditions for personal data transfers from the EU to certified companies in the United States without additional safeguards in place. However, this decision will likely face legal challenges and ultimately may be invalidated by the Court of Justice of the EU. On October 12, 2023, a UK-U.S. Data Bridge came into force to operate as an extension of the EU-U.S. DPF to facilitate transfers of personal data between the United Kingdom and certified entities in the United States. Such Data Bridge could not only be challenged, but also may be affected by any challenges to the EU-U.S. DPF. Furthermore, in June 2021, the European Commission adopted new standard contractual clauses under the GDPR for transfers of personal data outside the European Economic Area to countries that the European Commission has not deemed to provide an adequate level of protection for such personal data. While we strive to adhere to all requirements to transfer information across jurisdictions using safeguards endorsed by government guidance (such as using the Standard Contractual Clauses approved by the European Commission), we must still adapt to changing guidance and will follow any anticipated litigation closely. As the regulatory guidance and enforcement landscape in relation to data transfers continue to develop, we could suffer additional costs, complaints and/or regulatory investigations or fines; we may have to stop using certain tools and vendors and make other operational changes; we may have to implement revised standard contractual clauses for existing arrangements within required time frames; and/or it could adversely affect our business, financial condition, results of operations and prospects.

Any such changes in the law related to the use of personal information or data could compromise our ability to develop an adequate marketing strategy and pursue our growth strategy effectively or even prevent us from providing certain products in jurisdictions in which we currently operate or may operate in the future. Complying with these numerous, complex, conflicting, and often changing regulations is expensive and difficult, and failure to comply with any data privacy or security laws, whether by us, one of our CROs, CMOs, partners or another third party, which may adversely affect our business, financial condition, results of operations and prospects., financial condition, results of operations and prospects, including but not limited to: investigation costs; material fines and penalties; compensatory, special, punitive and statutory damages; litigation; consent orders regarding our privacy and security practices; requirements that we provide notices, credit monitoring services and/or credit restoration services or other relevant services to impacted individuals; adverse actions against our licenses to do business; reputational damage; and injunctive relief.

In addition to data privacy and security laws, we are also bound by other contractual obligations related to data privacy and security that could prove to be more burdensome as laws and regulations evolve. We may also be contractually required to indemnify and hold harmless third parties from the costs or consequences of non-compliance with any laws, rules and regulations or other legal obligations relating to privacy or any inadvertent or unauthorized use or disclosure of data that we store or handle as part of operating our business. Any of these events could adversely affect our reputation, business, or financial condition, including but not limited to: loss of customers; interruptions or stoppages in our business operations (including clinical trials); inability to process personal information or to operate in certain jurisdictions; limited ability to develop or commercialize our products; expenditure of time and resources to defend any claim or inquiry; adverse publicity; or substantial changes to our business model or operations.

 

47


Table of Contents

We cannot assure you that our CROs, CMOs or other third-party service providers with access to our or our suppliers’, manufacturers’, clinical trial participants’ and employees’ sensitive information in relation to which we are responsible will not breach contractual obligations imposed by us, or that they will not experience data security incidents, which could have a corresponding effect on our business, including putting us in breach of our obligations under privacy laws and regulations and/or which could in turn adversely affect our business, financial condition, results of operations and prospects. We cannot assure you that our contractual measures and our own privacy and security-related safeguards will protect us from the risks associated with the third-party processing of such information. Any of the foregoing could adversely affect our business, financial condition, results of operations and prospects.

Although we endeavor to comply with our public statements and documentation regarding our handling of personal information, we may at times fail to do so or be perceived to have failed to do so. Our publication of our privacy policies and other statements we publish that provide promises and assurances about privacy and security can subject us to potential state and federal action if they are found to be deceptive, unfair or misrepresentative of our actual practices. Any actual or perceived failure by us to comply with federal, state or foreign laws, rules or regulations, industry standards, contractual or other legal obligations, or any actual, perceived or suspected cybersecurity incident, whether or not resulting in unauthorized access to, or acquisition, release or transfer of personal information or other data, may result in enforcement actions and prosecutions, private litigation, significant fines, penalties and censure, claims for damages by customers and other affected individuals, regulatory inquiries and investigations or adverse publicity and could cause our customers to lose trust in us, any of which could adversely affect our business, financial condition, results of operations and prospects.

Risks related to commercialization of our therapeutic candidates

We face significant competition in an environment of rapid technological change and there is a possibility that our competitors may achieve regulatory approval before us or develop therapies or technologies that are more advanced or effective than ours, which may harm our business and financial condition, and our ability to successfully market or commercialize our therapeutic candidates.

The pharmaceutical and biotechnology industries are characterized by rapidly advancing technologies, intense competition and a strong emphasis on intellectual property. While we believe that our platform and our knowledge, experience and scientific resources provide us with competitive advantages, we face potential competition from major pharmaceutical and biotechnology companies, academic institutions, government agencies and private and public research institutions, among others.

Any therapeutic candidates that we or our partners successfully develop and commercialize may compete with existing therapies and new therapies that may become available in the future that are approved to treat the same indications for which we or they may obtain approval for our therapeutic candidates. It is also possible that we or our partners may face competition from other pharmaceutical approaches as well as other types of therapies. The key competitive factors affecting the success of all our programs, if approved, include, but are not limited to their efficacy, safety, convenience, adoption by prescribers, price, level of generic competition, and availability of reimbursement.

We may face competition from companies developing therapies for CKD and related nephropathies, including but not limited to established therapies including renin-angiotensin-aldosterone system, or RAAS, inhibitors, SGLT2 inhibitors and glucagon-like peptide 1, or GLP-1 agonists, as well as novel mechanisms such as therapies being developed by various companies targeting different pathways implicated in CKD progression.

While there are currently no approved therapies for APOL1 kidney disease, or AKD, we are aware of companies advancing therapeutic candidates in clinical trials that target APOL1, such as inaxaplin, which is in a Phase 3 clinical trial.

 

48


Table of Contents

Our second most advanced lead program, MZE782, is a small molecule targeting SLC6A19, a novel target in CKD and PKU. While there are no currently approved therapies directly modulating SLC6A19, we may face competition from other companies pursuing programs targeting SLC6A19 or alternative approaches for renal and metabolic indications.

Many of our current or potential competitors, either alone or with their collaboration partners, have significantly greater financial resources and expertise in research and development, manufacturing, preclinical testing, conducting clinical trials, obtaining regulatory approvals, and marketing approved products than we do. These competitors also compete with us in recruiting and retaining qualified scientific and management personnel and establishing clinical trial sites and patient registration for clinical trials, as well as in acquiring technologies complementary to, or necessary for, our programs. Mergers and acquisitions in the biopharmaceutical industries may result in even more resources being concentrated among a smaller number of our competitors. Smaller or early-stage companies may also prove to be significant competitors, particularly through collaborative arrangements with large and established companies.

Further, precision medicine is a rapidly developing field, with increasing usage within the pharmaceutical and biotechnology industry of machine learning and AI technologies to analyze genetic data. While we believe our Compass platform has advantages over potential competitors based on our experience in variant functionalization, our access to genetic databases, and the length of time that we have been engaged in developing precision medicine, other companies may have greater resources or the ability to acquire more advanced technology to identify targets and may acquire access to the same genetic data that we utilize. We may not be able to keep up with the pace of innovation that is occurring in our field, and we may face increasing competition in developing precision medicines.

Our commercial opportunity could be reduced or eliminated if our competitors develop and commercialize products that are safer, more effective, have fewer or less severe side effects, are more convenient or are less expensive than any products that we may develop. Our competitors also may obtain FDA or other applicable regulatory approval for their products more rapidly than we may obtain approval for ours, which could result in our competitors establishing a strong market position before we are able to enter the market.

Even if our Compass platform is effective as a research tool, we may be unable to develop or commercialize new drugs, therapies or other products based on discoveries from our Compass platform.

Even if our Compass platform performs its intended functions, we may be unable to use the discoveries resulting from the platform to produce new therapies. Despite recent scientific advances in the life sciences and our improved understanding of biology, the roles of genes and proteins and their involvement in diseases and in other life processes is not well understood. Therefore, notwithstanding any potential promising results in earlier studies or clinical trials, we may face significant setbacks in current or future studies or clinical trials. If we are unable to use our platform discoveries platform to develop and market new drugs or therapies, our business may fail or we may never become profitable.

We, or the third parties we rely on, may be unable to develop the diagnostic tests or clinical assays to successfully advance our therapeutic candidates through clinical trials or commercialization.

Some or all of our therapeutic candidates may require companion diagnostic tests for clinical trials or commercialization. If we are unable to successfully develop the applicable companion diagnostic tests, experience significant delays in doing so, or rely on third parties in the development of such companion diagnostic tests, or if we are required by the FDA to obtain approval of a companion diagnostic test in connection with approval of any of our therapeutic candidates, and we do not obtain or face delays in obtaining FDA approval of a companion diagnostic test, the full commercial potential of our therapeutic candidates and our ability to generate revenue will be materially impaired.

 

49


Table of Contents

Our approach to drug discovery and developing therapeutic candidates relies on human genetics and functional genomics to identify targets for therapeutic intervention as well as predictive biomarkers to evaluate the effects of our therapeutic candidates. For those therapeutic candidates that advance to clinical trials, predictive biomarkers, such as a specific genetic screen, may become necessary for subject selection and thus may require the incorporation of a diagnostic test, or companion diagnostic, into our clinical trial design. If required, we may engage one or more third-party partners to co-develop the necessary companion diagnostic.

If safe and effective use of any of our therapeutic candidates depends on a companion diagnostic test, then the FDA generally will require approval or clearance of that companion diagnostic, before or at the same time that the FDA approves our therapeutic candidates, if at all. According to FDA guidance, if the FDA determines that a companion diagnostic device is essential to the safe and effective use of a novel therapeutic product or indication, the FDA generally will not approve the therapeutic product or new therapeutic product indication if the companion diagnostic is not also approved or cleared for that indication. If a satisfactory companion diagnostic is not commercially available, we may be required to create or obtain one that would be subject to regulatory approval requirements. In the past, FDA has issued guidance on the development of companion diagnostics generally as well as for specific disease categories. We will continue to evaluate the impact of FDA guidance on our companion diagnostic development and strategy. This guidance and any future guidance or policies from the FDA and other regulatory authorities may impact our development of a companion diagnostic for our therapeutic candidates and result in delays in regulatory approval. We may be required to conduct additional studies or clinical trials to support a broader claim. Also, to the extent other approved diagnostics are able to broaden their labeling claims to include our approved drug products, we may be forced to abandon our companion diagnostic development plans or we may not be able to compete effectively upon approval, which could adversely impact our ability to generate revenue from the sale of our approved products and our business, financial condition, results of operations and prospects.

We expect to rely on third parties for the design, development and manufacture of companion diagnostic tests for our therapeutic candidates that require such tests. If the FDA, EMA or a comparable regulatory authority requires approval of a companion diagnostic for any of our therapeutic candidates, whether before or after the therapeutic candidate obtains marketing approval, we, and/or future partners, may encounter difficulties in developing and obtaining approval for such therapeutic candidate. If we or our third-party partners experience any delay in developing or obtaining regulatory approval of a companion diagnostic, we may be unable to enroll enough patients in future clinical trials, the development of our therapeutic candidates may be adversely affected or we may not obtain marketing approval, and we may not realize the full commercial potential of our therapeutic candidates.

We currently have no marketing and sales organization and have no experience as a company in commercializing products, and we may need to invest significant resources to develop these capabilities. If we are unable to establish marketing and sales capabilities or enter into agreements with third parties to market and sell our products, we may not be able to generate product revenue.

We do not have a sales or marketing infrastructure and have no experience in the sale, marketing or distribution of biopharmaceutical products. To achieve commercial success for any therapeutic candidate for which we obtain marketing approval, we will need to establish sales, marketing and distribution capabilities, either by ourselves or through collaboration or other arrangements with third parties.

There are risks involved with establishing our own sales and marketing capabilities. For example, recruiting and training a sales force is expensive and time-consuming and could delay any product launch. If the commercial launch of a therapeutic candidate for which we recruit a sales force and establish marketing capabilities is delayed or does not occur for any reason, we would have incurred these commercialization expenses prematurely or unnecessarily. These efforts may be costly, and our investment would be lost if we cannot retain or reposition our sales and marketing personnel.

 

50


Table of Contents

Factors that may inhibit our efforts to commercialize our products on our own include, but not limited to:

 

 

our inability to recruit, train and retain adequate numbers of effective sales, marketing, reimbursement, customer service, medical affairs, and other support personnel;

 

 

the lack of complementary products to be offered by sales personnel, which may put us at a competitive disadvantage relative to companies with more extensive product lines; and

 

 

unforeseen costs and expenses associated with creating an independent sales and marketing organization.

If we are unable to establish our own sales and marketing capabilities, our revenue from product sales and our profitability, if any, are likely to be lower than if we ourselves were to market and sell any products that we develop. In addition, we may not be successful in entering into arrangements with third parties to market and sell our therapeutic candidates or may be unable to do so on terms that are acceptable to us. Any of these third parties may fail to devote the necessary resources and attention to sell and market our products effectively. If we do not establish sales and marketing capabilities successfully, either on our own or in collaboration with third parties, we will not be successful in commercializing our therapeutic candidates.

Even if any of our therapeutic candidates receives marketing approval, it may fail to achieve the degree of market acceptance by physicians, patients, third-party payors and others in the medical community necessary for commercial success.

If any of our therapeutic candidates receives marketing approval, it may nonetheless fail to gain sufficient market acceptance by physicians, patients, third-party payors and others in the medical community necessary for commercial success. If our therapeutic candidates do not achieve an adequate level of acceptance, we may not generate significant product revenues and we may not become profitable. The degree of market acceptance of our therapeutic candidates, if approved for commercial sale, will depend on a number of factors, including:

 

 

the efficacy and potential advantages compared to alternative treatments;

 

 

the acceptance of our therapeutic candidates as front-line treatment for various indications;

 

 

the prevalence and severity of any side effects, in particular compared to alternative treatments;

 

 

limitations or warnings contained in the labeling approved for our therapeutic candidates by the FDA;

 

 

the size of the target patient population;

 

 

the willingness of the target patient population to try new therapies and of physicians to prescribe these therapies;

 

 

our ability to offer our products for sale at competitive prices;

 

 

the convenience and ease of administration compared to alternative treatments;

 

 

the strength of marketing, sales and distribution support;

 

 

publicity for our therapeutic candidates and alternative treatments;

 

 

the existence of distribution and/or use restrictions, such as through a REMS;

 

 

the availability of third-party payor coverage, adequate reimbursement and favorable pricing policies;

 

 

the timing of any required marketing approval;

 

 

support from patient advocacy groups; and

 

51


Table of Contents
 

any restrictions on the use of our products together with other medications.

Even if our therapeutic candidates were to display a favorable efficacy and safety profile in preclinical studies and clinical trials, market acceptance of such therapeutic candidates will not be fully known until after they are launched.

Product liability lawsuits against us could cause us to incur substantial liabilities and to limit commercialization of any therapeutic candidates that we may develop alone or with partners.

Clinical development does not always fully characterize the safety and efficacy profile of a new medicine, and it is always possible that a drug or biologic, even after regulatory approval, may exhibit unforeseen side effects. We face an inherent risk of product liability exposure related to the testing of our therapeutic candidates in human clinical trials and will face an even greater risk if we commercialize any products that we may develop. If we cannot successfully defend ourselves against any claims that our therapeutic candidates caused injuries, we will incur substantial liabilities. Regardless of merit or eventual outcome, liability claims may result in:

 

 

decreased demand for any therapeutic candidates that we may develop;

 

 

injury to our reputation and significant negative media attention;

 

 

initiation of investigations by regulators;

 

 

withdrawal of clinical trial participants;

 

 

significant time and costs to defend the related litigation;

 

 

diversion of management and scientific resources from our business operations;

 

 

substantial monetary awards to trial participants or patients;

 

 

loss of revenue;

 

 

reduced resources of our management to pursue our business strategy; and

 

 

the inability to commercialize any products that we may develop.

As a clinical-stage company, we currently hold product liability insurance coverage for our clinical trials. Insurance coverage is increasingly expensive. We may not be able to maintain insurance coverage at a reasonable cost or in an amount adequate to satisfy any liability that may arise. A successful product liability claim or series of claims brought against us could decrease our cash and could adversely affect our business, financial condition, results of operations and prospects.

Our estimated market opportunities for our therapeutic candidates are subject to numerous uncertainties and may prove to be inaccurate. If we have overestimated the size of our market opportunities, our future growth may be limited.

Our estimated addressable markets and market opportunities for our therapeutic candidates are based on a variety of inputs, including data published by third parties, our own market insights and internal market intelligence, and internally generated data and assumptions. We have not independently verified any third-party information and cannot be assured of its accuracy or completeness. Market opportunity estimates, whether obtained or derived from third-party sources or developed internally, are subject to significant uncertainty and are based on assumptions and estimates that may prove not to be accurate, particularly given the relatively early stage of our therapeutic candidates. Although we believe our market opportunity estimates are reasonable, such information is inherently imprecise. In addition, our assumptions and estimates of market

 

52


Table of Contents

opportunities are necessarily subject to a high degree of uncertainty and risk due to a variety of factors, including but not limited to those described in this prospectus. If this third-party or internally generated data prove to be inaccurate or if we make errors in our assumptions based on that data, or if the facts underlying our assumptions change over time, our actual market may be more limited than we estimate it to be. In addition, these inaccuracies or errors may cause us to misallocate capital and other critical business resources, which could harm our business. The estimates of our market opportunities included in this prospectus should not be taken as indicative of our ability to grow our business.

Moreover, prices for novel approved treatments must often be set high in order to recover the sponsor’s development and manufacturing costs, fund additional research and achieve profitability, and we may be unable to obtain the price necessary to achieve these things. We may also need to fund patient support programs upon the marketing of a therapeutic candidate, which would negatively affect the revenue of a therapeutic candidate. We may be unable to maintain or obtain sufficient therapy sales volumes at a price high enough to justify our development efforts and our sales, marketing and manufacturing expenses.

Risks related to our business operations

Our future success depends on our ability to retain key employees, to engage advisors and consultants and to attract, retain and motivate qualified personnel.

Our ability to compete in the highly competitive biotechnology and pharmaceutical industries depends upon our ability to attract, motivate and retain highly qualified managerial, scientific and medical personnel. We are highly dependent on the development and management expertise of our scientific founders who are leading researchers in genetics and bioinformatics, as well as the other principal members of our management, scientific and clinical team. We currently do not maintain key person insurance on these individuals. Although we have entered into employment agreements with our executive officers, each of them may terminate their employment with us at any time.

Moreover, we might not be able to attract or retain qualified management and other key personnel in the future due to the intense competition for qualified personnel among biotechnology, pharmaceutical and other businesses, particularly in the San Francisco Bay Area where we are headquartered, and we may be required to expend significant financial resources in our employee recruitment and retention efforts. Many pharmaceutical companies with whom we compete for qualified personnel have greater financial and other resources, different risk profiles and longer operating histories in the industry than we do. They also may provide candidates with more diverse opportunities and better chances for career advancement. If we are not able to attract and retain the necessary personnel to accomplish our business objectives, we may experience constraints that will harm our ability to implement our business strategy and achieve our business objectives.

In addition, we have scientific and clinical advisors and consultants who assist us in formulating our development and clinical strategies. These advisors and consultants are not our employees and may have commitments to, or consulting or advisory contracts with, other entities that may limit their availability to us. In addition, our advisors and consultants may have arrangements with other companies to assist those companies in developing products or technologies that may compete with ours.

We will need to grow our organization, and we may experience difficulties in managing this growth, which could disrupt our operations.

As our development and commercialization plans and strategies develop, and as we transition into operating as a public company, we expect to expand our employee base for managerial, operational, financial and other resources. In addition, we have limited experience in clinical development and, as our therapeutic candidates enter and advance through preclinical studies and clinical trials, we will need to expand our development,

 

53


Table of Contents

regulatory and manufacturing capabilities or contract with other organizations to provide these capabilities for us. We have to manage additional relationships with partners, suppliers and other organizations as part of our ongoing and anticipated clinical trials, and we expect to continue to have to manage additional relationships with partners, suppliers and other organizations in the future. Our ability to manage our operations and future growth will require us to continue to improve our operational, financial and management controls, reporting systems and procedures. We may not be able to implement improvements to our management information and control systems in an efficient or timely manner and may discover deficiencies in existing systems and controls. In addition, we may need to expand our facilities, including laboratory operations, and may be unable to do so on commercially reasonable terms, or at all. Our inability to successfully manage our growth and expand our operations could have a material and adverse effect on our business, financial condition, results of operations and prospects.

Our current or future employees, clinical trial investigators, CROs, CMOs, consultants, vendors and partners may engage in misconduct or other improper activities, including non-compliance with regulatory requirements, violations of regulatory standards, and insider trading.

We are exposed to the risk of misconduct by our current or future employees, clinical trial investigators, CROs, CMOs, consultants, vendors and partners. Misconduct by these parties could include fraud or intentional, reckless and/or negligent conduct or disclosure of unauthorized activities to us that violates: (i) FDA regulations or those of comparable foreign regulatory agencies, (ii) manufacturing or clinical standards, (iii) federal and state health and data privacy, security, fraud and abuse, government price reporting, transparency reporting requirements, and other healthcare laws and regulations in the United States and abroad, (iv) sexual harassment and other workplace misconduct, or (v) laws that require the true, complete and accurate reporting of financial information or data. Such misconduct could also involve the improper use of information obtained in the course of clinical trials, which could result in regulatory sanctions and cause serious harm to our reputation, or improper or unauthorized use of AI or machine learnings tools that result in the disclosure of confidential information or reliance on inaccurate information.

We have adopted a code of conduct applicable to all of our employees prior to completion of this offering, as well as a disclosure program and other applicable policies and procedures, but it is not always possible to identify and deter employee misconduct, and the precautions we take to detect and prevent this activity may not be effective in controlling unknown or unmanaged risks or losses or in protecting us from governmental investigations or other actions or lawsuits stemming from a failure to comply with laws or regulations. If any actions are instituted against us, and we are not successful in defending ourselves or asserting our rights, such actions could adversely affect our ability to operate our business and our results of operations, including the imposition of significant civil, criminal and administrative penalties, damages, fines, disgorgement, imprisonment, exclusion from government funded healthcare programs, contractual damages, reputational harm, diminished profits and future earnings, additional integrity reporting and oversight obligations, and the curtailment or restructuring of our operations.

Our business is dependent on the integrity of information technology systems and failure of such systems could disrupt our business.

Like most companies, we depend on the efficient and uninterrupted operation of our information technology and communications systems and those of our third-party vendors, contractors or consultants. Such systems may fail or suffer security breaches, cyberattacks, loss or leakage of data and other disruptions, which could cause adverse consequences resulting from such compromise, including but not limited to regulatory investigations or actions; litigation; fines and penalties; disruptions of our business operations; reputational harm; loss of revenue or profits; and other adverse consequences.

 

54


Table of Contents

We, and third parties on whom we depend, are increasingly dependent on information technology systems, infrastructure and data to operate our and their businesses. In the ordinary course of business, we process confidential information (including but not limited to intellectual property, proprietary business data and patient data). It is critical that we do so in a secure manner to maintain the confidentiality and integrity of such confidential information. We also have outsourced elements of our information technology systems and operations to third parties, and as a result we rely on and manage a number of third-party vendors and other contractors and consultants who have access to and process our confidential information.

Although we are still in the process of implementing our internal security controls, policies and other measures, we take steps designed to detect, mitigate, and remediate vulnerabilities in our information systems (such as our hardware and/or software, including that of third parties upon which we rely). We may not, however, detect and remediate all such vulnerabilities including on a timely basis. Further, we may experience delays in developing and deploying remedial measures and patches designed to address identified vulnerabilities. Despite the implementation of these security measures, our information technology systems and those of our third-party vendors and other contractors and consultants have been in the past and may be in the future potentially vulnerable to breakdown or other damage or interruption from service interruptions, system malfunction, accidents by our employees or third-party service providers, natural disasters, terrorism, war, global pandemics, and telecommunication and electrical failures. We may also experience security incidents from inadvertent or intentional actions by our employees, third-party vendors, contractors, consultants, business partners and/or other third parties, including theft, fraud or unauthorized access to or use of our information technology systems, or attack or damage from hacking, cyberattacks or supply chain attacks by malicious third parties and sophisticated nation-state and nation-state-supported actors (including the deployment of harmful computer viruses and malware, ransomware, denial or degradation-of-service attacks, phishing attacks and other social engineering and other means to affect service reliability and threaten the confidentiality, integrity and availability of information), which may compromise our system infrastructure, or that of our third-party vendors and other contractors and consultants, impede our ability to conduct business, delay our financial reporting or lead to data leakage.

While we have a security consultant provide annual assessments on our systems vulnerabilities, the risk of a security incident or disruption, particularly through cyberattacks or cyber intrusion, including by computer hackers, foreign governments and cyber terrorists, has generally increased as the number, intensity, and sophistication of attempted attacks and intrusions from around the world have increased. We may not be able to anticipate all types of security threats, nor implement preventive measures effective against all such security threats. The techniques used by cyber criminals change frequently, may not be recognized until launched and can originate from a wide variety of sources, including outside groups such as external service providers, organized crime affiliates, terrorist organizations, or hostile foreign governments or agencies. Cyberattacks or security incidents could remain undetected for an extended period, which could potentially result in significant harm to our information technology systems, as well as unauthorized access to the information stored on and transmitted by our information technology systems. Even if identified, the full extent of a cyberattack or security incident may not be determined immediately and we may be unable to adequately investigate or remediate incidents or breaches due to attackers increasingly using tools and techniques that are designed to circumvent controls, to avoid detection, and to remove or obfuscate forensic evidence. Moreover, recovery of our information technology systems may be additionally hampered where we have outsourced the operation of information technology systems and information storage to third parties. Any breach, loss or compromise of confidential information may also subject us to liability, government enforcement actions (for example, investigations, fines, penalties, audits, and inspections); breach notification and additional reporting requirements and/or oversight; restrictions on processing sensitive information (including personal data); litigation (including class action litigation); indemnification obligations; negative publicity; reputational harm; monetary fund diversions; diversion of management attention; interruptions in our operations (including

 

55


Table of Contents

availability of data); financial loss; and other similar harms. Security incidents and attendant consequences may prevent or cause customers to stop using our products, deter new customers from using our products, and negatively impact our ability to grow and operate our business. If the information technology systems of our third-party vendors and other contractors and consultants become subject to disruptions or security incidents, we may have insufficient recourse against such third parties and we may have to expend significant resources to mitigate the impact of such an event, and to develop and implement protections to prevent future events of this nature from occurring.

Further, remote work has become more common and has increased risks to our information technology systems and data, as more of our employees utilize network connections, computers and devices outside our premises or network, including working at home, while in transit and in public locations.

Significant disruptions of our information technology systems or those of our third-party vendors and other contractors and consultants, or security breaches could result in the loss, misappropriation and/or unauthorized access, use, or disclosure of, or the prevention of access to, confidential information (including trade secrets or other intellectual property or proprietary business information) and claims by our counterparties that we have failed to comply with legal or contractual obligations, which could result in financial, legal, business, and reputational harm to us.

There can be no assurance that the limitations of liability in our contracts would be enforceable or adequate to protect us from liabilities and damage and we may not have adequate insurance coverage to cover losses, or all types of costs, expenses and losses, we could incur with respect to security breaches or disruptions. The successful assertion of one or more large claims against us that exceeds our available insurance coverage, or results in changes to our insurance policies (including premium increases or the imposition of large deductible or co-insurance requirements), could have an adverse effect on our business. In addition, we cannot be sure that our existing insurance coverage and coverage for errors and omissions will continue to be available on acceptable terms or that our insurers will not deny coverage as to any future claim.

We utilize third-party open source software, and any failure to comply with the terms of one or more of these open source software licenses could adversely affect our business, subject us to litigation, or create potential liability.

Our Compass platform utilizes software licensed by third parties under any one or more open source licenses, including the Apache 2.0 License, MIT, BSD variants, and others, and we expect to continue to incorporate open source software in our business in the future. We cannot ensure that we have effectively monitored our use of open source software, or validated the quality or source of such software, or that we are in compliance with the terms of the applicable open source licenses or our current policies and procedures.

Companies that incorporate open source software into their products have, from time to time, faced claims challenging the use of open source software and compliance with open source license terms. We could be subject to similar suits by parties claiming ownership of what we believe to be open source software or claiming non-compliance with open source licensing terms, which could result in litigation that may cause us to be required to disclose our proprietary source code based on our modifications of open source code, incur expenses and be liable for damages and such litigation could distract our personnel from their normal responsibilities.

Furthermore, there are an increasing number of open source software license types, almost none of which have been interpreted by U.S. or foreign courts, and there is a risk that such licenses to which we are subject to could be construed in a manner that imposes unanticipated conditions or restrictions on our ability to market or provide our products or services. If we are held to have breached or failed to fully comply with any of the terms

 

56


Table of Contents

and conditions of an open-source software license, we could face claims for breach of contract, intellectual property infringement or misappropriation or other liability, or be required to seek costly licenses from third parties that may not be available on commercially reasonable terms, or at all. By the terms of certain open source licenses, we could be required to release the source code of our proprietary software, and to make our proprietary software available under open source licenses, if we combine our proprietary software with open source software in a certain manner. In the event that portions of our proprietary software are determined to be subject to an open source license, we could be required to publicly release the affected portions of our source code, re-engineer all or a portion of our Compass platform, or otherwise be limited in the licensing of our Compass platform, each of which could reduce or eliminate the value of our Compass platform. Disclosing our proprietary source code could allow our competitors to create similar products with lower development effort and time, which would materially and adversely affect our business, financial condition, results of operations and prospects. Furthermore, any such re-engineering or other remedial efforts could require significant additional research and development resources, and we may not be able to successfully complete any such re-engineering or other remedial efforts.

Further, in addition to risks related to license requirements, use of certain open source software carries greater technical and legal risks than does the use of third-party commercial software. For example, open source software is generally provided without any representations, indemnity, support or warranties or other contractual protections regarding infringement or the quality of the code, including the existence of security vulnerabilities. In addition, certain open source licenses require that source code for software programs that interact with such open source software be made available to the public at no cost and that any modifications or derivative works to such open source software continue to be licensed under the same terms as the open source software license. To the extent that our Compass platform depends upon the successful operation of open source software, any undetected errors or defects in open source software that we use could prevent the deployment or impair the functionality of our systems and injure our reputation. In addition, the public availability of such software may make it easier for others to compromise our Compass platform. Any of the foregoing risks could materially and adversely affect our business, financial condition and results of operations.

The use of new and evolving technologies, such as AI in our operations may require us to expend material resources and may present risks and challenges that can impact our business, including by posing security and other risks to our confidential information, proprietary information and personal information, any of which may result in reputational harm and liability, or otherwise adversely affect our business.

We incorporate AI solutions, including machine learning, into our Compass platform. There are significant risks involved in utilizing AI and no assurance can be provided that the usage of AI will enhance our business or assist our business in becoming more efficient or profitable. The use of certain AI technology can give rise to intellectual property risks, including compromising the privacy and security of our proprietary technologies and leading to claims of intellectual property infringement, misappropriation or other violation. In addition, AI may have errors or inadequacies that are not easily detectable. If the data used to train AI or the content, analyses, or recommendations that AI applications assist in producing are or are alleged to be deficient, inaccurate, incomplete, overbroad or biased, our business, financial condition, and results of operations may be adversely affected.

Additionally, we expect to see increasing government and supranational regulation and ethical concerns related to AI use, which may also significantly increase the burden and cost of research, development and compliance in this area. The rapid evolution of AI will require the application of significant resources to design, develop, test and maintain our technology and products to help ensure that AI is implemented in accordance with applicable laws and regulations and in a socially responsible manner and to minimize any real or perceived unintended harmful impacts. The legal landscape and subsequent legal protection for the use of AI remains uncertain, and development of the law in this area could impact our ability to enforce our proprietary rights or

 

57


Table of Contents

protect against infringing uses. If we do not have sufficient rights to use the data on which AI relies or to the outputs produced by AI applications, we may incur liability through the violation of certain laws, third-party privacy or other rights or contracts to which we are a party.

Our third-party vendors, contractors and consultants may also incorporate AI tools into their own offerings, and the providers of these AI tools may not meet existing or rapidly evolving regulatory or industry standards, including with respect to intellectual property, privacy and data security. Further, bad actors around the world use increasingly sophisticated methods, including the use of AI, to engage in illegal activities involving the theft and misuse of personal information, confidential information and intellectual property. Any of these effects could damage our reputation, result in the loss of valuable property and information, cause us to breach applicable laws and regulations, and adversely impact our business.

Our ability to use our net operating loss and certain other tax attributes may be limited.

We have incurred substantial losses during our history and do not expect to become profitable in the near future, and we may never achieve profitability. Unused federal net operating losses generated in tax years beginning after December 31, 2017 will not expire and may be carried forward indefinitely but the deductibility of such federal net operating losses in taxable years beginning after December 31, 2020 is limited to 80% of current year taxable income. In addition, both our current and our future unused losses and other tax attributes (such as research credits) may be subject to limitation under Sections 382 and 383 of the Code if we undergo, or have undergone, an “ownership change,” generally defined as a greater than 50 percentage point change (by value) in our equity ownership by certain stockholders over a three-year period. As of December 31, 2023, we had a Section 382 study prepared which covered the period from inception through March 2024. The study concluded that several ownership changes occurred since the inception of the Company. However, it was determined that the annual available NOLs under Section 382 will be sufficient to utilize in their entirety prior to their respective expiration years. It is possible that we may undergo additional ownership changes in the future, including as a result of the offering or future transactions or events that may be outside of our control. As a result, even if we attain profitability, our ability to use our pre-change net operating loss carryforwards and other pre-change tax attributes (such as research tax credits) to offset our post-change income or taxes may be limited. Similar provisions of state tax law may also apply to limit our use of accumulated state tax attributes. In addition, at the state level, there may be periods during which the use of net operating losses is suspended or otherwise limited, which could accelerate or permanently increase state taxes owed. As a result of the foregoing, even if we attain profitability, we may be unable to use all or a material portion of our net operating losses and other tax attributes, which could adversely affect our future cash flows.

We may engage in strategic transactions that could impact our liquidity, increase our expenses and present significant distractions to our management.

From time to time, we may consider strategic transactions, such as acquisitions of companies, businesses or assets, joint ventures and spin-outs. Additional potential transactions that we may consider include a variety of different business arrangements, including spin-offs, strategic partnerships, restructurings, divestitures, business combinations and investments. Any such transaction may require us to incur non-recurring or other charges, may increase our near term or long-term expenditures and may pose significant integration challenges or disrupt our management or business, which could adversely affect our operations and financial results. For example, these transactions may entail numerous operational and financial risks, including, but not limited to:

 

 

exposure to unknown liabilities;

 

 

incurrence of substantial debt or dilutive issuances of equity securities to pay for acquisitions;

 

 

write-downs of assets or goodwill or impairment charges;

 

58


Table of Contents
 

increased amortization expenses;

 

 

difficulty and cost in integrating the operations, systems and personnel of any acquired businesses with our operations, systems and personnel;

 

 

impairment of relationships with key suppliers or customers of any acquired businesses due to changes in management and ownership; and

 

 

inability to retain key employees of any acquired businesses.

Unfavorable global economic conditions could adversely affect our business, financial condition, results of operations and prospects, which could lead to a decline in our stock price.

Our results of operations and stock price could be adversely affected by general conditions in the global economy and in the global financial markets. For example, a global financial crisis could cause extreme volatility and disruptions in the capital and credit markets. Similarly, increased volatility in interest rates and the debt and equity markets, instability in the global banking system, global health crises and pandemics and geopolitical conflict could cause significant instability and disruptions in the capital and credit markets. A severe or prolonged economic downturn could result in a variety of risks to our business, including weakened demand for our therapeutic candidates and in our ability to raise additional capital when needed on acceptable terms, if at all. A weak or declining economy also could strain our partners and our suppliers, possibly resulting in development or supply disruption. We cannot anticipate all of the ways in which the foregoing, and the current economic climate and financial market conditions generally, could adversely impact our business.

Risks related to intellectual property

Our success depends in part on our and our partners’ ability to obtain, maintain, enforce and protect our intellectual property and proprietary rights. It is difficult and costly to protect our intellectual property rights and technologies, and we may not be able to ensure their protection. If we are unable to adequately protect our technologies or obtain and maintain patent protection for our technologies and products or if the scope of the patent protection obtained is not sufficiently broad, our competitors could develop and commercialize technologies and products similar or identical to ours, and our ability to successfully commercialize our technologies and products may be impaired.

Our commercial success will depend in large part on our and our partners’ obtaining, maintaining, enforcing and protecting patent, trademark, trade secret and other intellectual property and proprietary protection in the United States and other countries for our technologies. Our proprietary technologies include our Compass platform, genetic targets identified by our Compass platform, machine learning used by our Compass platform, our methods for developing and testing our therapeutic candidates, our therapeutic candidates themselves, and any therapeutic compounds, molecules or agents related to such therapeutic targets, including their respective components, formulations, combination therapies, methods used to manufacture them and methods of treatment. Our commercial success will also depend, in large part, on successfully defending our trademarks, trade secrets, owned patents and patent applications and other intellectual property rights against third-party challenges. We seek to protect our intellectual property position by, among other methods, filing patent applications in the United States and abroad related to our technologies, inventions and improvements that are important to the development and implementation of our business. We also rely on trade secrets, know-how and continuing technological innovation to develop and maintain our intellectual property position. Our ability to stop unauthorized third parties from making, using, selling, offering to sell, importing or otherwise commercializing our technologies or therapeutic candidates is dependent upon the extent to which we have rights under valid and enforceable patents, trade secrets or other intellectual property or proprietary rights that cover these activities. If we or our current or future partners are unable to secure and maintain patent,

 

59


Table of Contents

trade secret or other intellectual property or proprietary protection for any technologies or therapeutic candidates we or they develop, or if the scope of the protection secured is not sufficiently broad, our competitors could develop and commercialize technologies or therapeutic candidates similar or identical to ours, and our ability to commercialize any technologies or therapeutic candidates we or our partners may develop or to otherwise compete effectively may be adversely affected.

We have filed patent applications, both in the United States and internationally, protecting our inventions related to our MZE829 and MZE782 candidates as well as our out-licensed programs. Our MZE001 patent portfolio has been exclusively out-licensed to Shionogi, who also has the exclusive right to make decisions regarding the prosecution and enforcement of patents or patent applications within that portfolio. Our ATXN2 and UNC13A patent portfolios have been exclusively licensed or assigned, respectively, to other biotechnology companies, who have the exclusive right to make decisions regarding the prosecution and enforcement of those respective portfolios.

A provisional patent application is not eligible to become an issued patent until, among other things, we file a non-provisional patent application within 12 months of filing such provisional application. If we fail to do so, we may lose our priority date with respect to the provisional patent application and any patent protection on the inventions disclosed in the provisional patent application. The PCT system allows a single application to be filed within 12 months of the original priority date of the patent application, and for the designation of all of the PCT member states in which national patent applications can later be pursued based on the international patent application filed under the PCT. A PCT application is not eligible to become an issued patent until, among other things, we file one or more national stage patent applications within the applicable time limit, which is generally 30 or 31 months from the PCT application’s earliest priority date, depending on the jurisdiction, in the countries in which we seek patent protection. If we fail to file a national phase application in a PCT member state, we may lose our priority date in that member state with respect to the subject matter disclosed in the PCT application, as well as any patent protection in that member state on the inventions disclosed in the PCT application. While we generally intend to timely file non-provisional and national phase patent applications, as applicable, we cannot predict whether any of our current or future patent applications relating to any therapeutic targets, therapeutic candidates or technologies we have identified or may identify in the future will result in the issuance of patents that effectively protect our therapeutic targets, therapeutic candidates or technologies. If we or our partners do not successfully obtain patent protection, or, even if we or they do obtain patent protection, if the scope of the patent protection obtained with respect to any therapeutic target, therapeutic candidate and technology is not sufficiently broad, we or our partners may be unable to prevent others from using our technology or from developing or commercializing technology and products similar or identical to ours or our partners’.

The patenting process is expensive and time-consuming, and we and our current or future partners may not be able to file and prosecute all necessary or desirable patent applications at a reasonable cost or in a timely manner. In addition, we or our partners may not pursue or obtain patent protection in all relevant jurisdictions, particularly in markets where translation costs are high. It is also possible that we or our partners will fail to identify patentable aspects of our or their research and development output before it is too late to obtain patent protection. Although we seek to enter into non-disclosure and confidentiality agreements with parties who have access to confidential or patentable aspects of our research and development output, such as our employees, consultants, independent contractors, advisors, CMOs, CROs, hospitals, independent treatment centers, suppliers, partners and other third parties, any of these parties may breach the agreements and disclose such output before a patent application is filed, thereby jeopardizing our ability to seek patent protection. In addition, publications of discoveries in the scientific literature often lag behind the actual discoveries, and patent applications in the United States and other jurisdictions are typically not published until 18 months after filing, or in some cases not at all. Therefore, we cannot be certain that we were the first to

 

60


Table of Contents

make the inventions claimed in our current or future patent applications, or that we were the first to file for patent protection of such inventions. Moreover, in circumstances, including with respect to our exclusive out-licensing or assignment of our MZE001, ATXN2 and UNC13A patent portfolios, where we do not have the right to control the preparation, filing, prosecution, maintenance, defense or enforcement of patents or patent applications covering technologies that we currently, or may in the future, license from or license to third parties, we will be reliant on our licensors or licensees to do so. If our partners are not fully cooperative or disagree with us as to the preparation, filing, prosecution, maintenance, defense or enforcement of any licensed patent rights, such patent rights could be compromised.

The patent position of biotechnology and pharmaceutical companies generally is highly uncertain, involves complex legal and factual questions, and has been the subject of much litigation in recent years. As a result, the issuance, scope, validity, enforceability, and commercial value of our patent rights are highly uncertain. Our pending and future patent applications, if any, may not result in issued patents. Moreover, the coverage claimed in a patent application can be significantly reduced before the patent is issued, and its scope can be reinterpreted after issuance. Even if patent applications we license or own currently or in the future issue as patents, they may not issue in a form that will provide us with any meaningful protection, prevent competitors or other third parties from competing with us, or otherwise provide us with any competitive advantage. Any patents that we may own or in-license may be challenged, narrowed, circumvented, or invalidated by third parties. Consequently, we do not know whether any of our therapeutic candidates or technologies will be protectable or remain protected by valid and enforceable patents. In addition, any future patents we obtain may not be sufficiently broad to prevent others from using our technologies or from developing competing therapeutic candidates in a non-infringing manner. In addition, given the amount of time required for the development, testing, and regulatory review of new therapeutic candidates, patents protecting such candidates might expire before or shortly after such candidates are commercialized. As a result, our patent rights may not provide us with sufficient rights to exclude others from commercializing products similar or identical to ours.

The issuance of a patent is not conclusive as to its inventorship, scope, validity, or enforceability, and any patents we may own or in-license in the future may be challenged in the courts or patent offices in the United States and abroad. We may be subject to a third-party pre-issuance submission of prior art to the United States Patent and Trademark Office, or USPTO, or become involved in opposition, derivation, revocation, reexamination, post-grant review, inter partes review or interference proceedings challenging our patent rights or the patent rights of others. An adverse determination in any such submission, proceeding or litigation could reduce the scope of, invalidate, or hold unenforceable, our patent rights, allow third parties to commercialize our technologies or products and compete directly with us, without payment to us, or result in our inability to manufacture or commercialize products without infringing third-party patent rights. Moreover, we may have to participate in interference proceedings declared by the USPTO to determine priority of invention or in post-grant challenge proceedings, such as oppositions in a foreign patent office, that challenge priority of invention or other features of patentability. Such challenges may result in loss of patent rights, loss of exclusivity, or in patent claims being narrowed, invalidated, or held unenforceable, which could limit our ability to stop others from using or commercializing similar or identical technologies and products, or limit the duration of the patent protection of our technologies and therapeutic candidates. Such proceedings also may result in substantial cost and require significant time from our scientists and management, even if the eventual outcome is favorable to us.

Moreover, some of the patents and patent applications we may own or in-license in the future may be co-owned with third parties. If we are unable to obtain an exclusive license to any such third-party co-owners’ interest in such patents or patent applications, such co-owners may be able to license their rights to other third parties, including our competitors, and our competitors could market competing products and technologies. In addition, we may need the cooperation of any such co-owners of our patents in order to enforce such patents against

 

61


Table of Contents

third parties, and such cooperation may not be provided to us. Any of the foregoing could have a material adverse effect on our competitive position, business, financial conditions, results of operations, and prospects.

Changes to the patent law in the United States and other jurisdictions could diminish the value of patents in general, thereby impairing our ability to protect our products.

As is the case with other biopharmaceutical companies, our success may be heavily dependent on intellectual property, particularly patents. Obtaining and enforcing patents in the biopharmaceutical industry involves both technological and legal complexity and is therefore costly, time consuming and inherently uncertain. Changes in either the patent laws or interpretation of the patent laws in the United States or other jurisdictions could increase the uncertainties and costs surrounding the prosecution of patent applications and the enforcement or defense of issued patents. For example, the Leahy-Smith America Invents Act, or the Leahy-Smith Act, which was signed into law in September 2011, made a number of significant changes to U.S. patent law, affecting the way patent applications are prosecuted, redefining prior art and providing more efficient and cost-effective avenues for competitors to challenge the validity of patents. In addition, the Leahy-Smith Act has transformed the U.S. patent system from a “first-to-invent” system to a “first-to-file” system in which, assuming that other requirements for patentability are met, the first inventor to file a patent application will be entitled to the patent on an invention regardless of whether a third party was the first to invent the claimed invention. The first-to-file provisions require patent applicants such as us to be cognizant of the time from invention to filing of a patent application and be diligent in filing patent applications. However, circumstances could prevent us from promptly filing patent applications on our inventions. Similar legislation could make it more difficult to obtain patent protection for our inventions and increase the uncertainties and costs surrounding the prosecution of our or our future collaboration partners’ patent applications and the enforcement or defense of our or our future collaboration partners’ issued patents, if any, all of which could harm our business, results of operations, financial condition and prospects.

In addition, the patent positions of companies in the development and commercialization of biologics and pharmaceuticals are particularly uncertain. The U.S. Supreme Court has ruled on several patent cases in recent years, either narrowing the scope of patent protection available in certain circumstances or weakening the rights of patent owners in certain situations. This combination of events has created uncertainty with respect to the validity and enforceability of patents, once obtained. Additionally, there have been recent proposals for additional changes to the patent laws of the United States and other countries that, if adopted, could impact our ability to enforce our intellectual property. Depending on future actions by the U.S. Congress, the U.S. courts, the USPTO and the relevant law-making bodies in other countries, the laws and regulations governing patents could change in unpredictable ways that could have a material adverse effect on and weaken our ability to obtain and enforce new patents and patents that we or our collaboration partners might obtain in the future.

We may not be able to protect our intellectual property rights throughout the world.

Although we have issued patents in the United States and pending patent applications in the United States and other countries, filing, prosecuting, maintaining, enforcing and defending patents in all countries throughout the world would be prohibitively expensive, and our intellectual property rights in some countries outside the United States can be less extensive than those in the United States. In addition, the laws of some foreign countries do not protect intellectual property rights to the same extent as federal and state laws in the United States. Consequently, we may not be able to prevent third parties from practicing our inventions in all countries outside the United States or from selling or importing products made using our inventions in and into the United States or other jurisdictions. Competitors may use our technologies in jurisdictions where we have not obtained patent protection to develop their own products and, further, may export otherwise infringing products to territories where we have patent protection, but enforcement is not as strong as that in the United States. These products may compete with our therapeutic candidates, and our patents, the patents of

 

62


Table of Contents

our current and future partners, or other intellectual property rights may not be effective or sufficient to prevent them from competing.

Many companies have encountered significant problems in protecting and defending intellectual property rights in foreign jurisdictions. The legal systems of many foreign countries do not favor the enforcement of patents and other intellectual property protection, which could make it difficult for us to stop the infringement of our patents or our partners’ patents or marketing of competing products in violation of our proprietary rights. Proceedings to enforce our patent rights in foreign jurisdictions could result in substantial costs and divert our efforts and attention from other aspects of our business, could put our patents or the patents of our partners at risk of being invalidated or interpreted narrowly and our patent applications or the patent applications of our partners at risk of not issuing and could provoke third parties to assert claims against us. We may not prevail in any lawsuits that we initiate, and the damages or other remedies awarded, if any, may not be commercially meaningful.

Accordingly, our efforts to enforce our intellectual property rights around the world may be inadequate to obtain a significant commercial advantage from the intellectual property that we develop or license.

Many countries have compulsory licensing laws under which a patent owner may be compelled to grant licenses to third parties. In addition, many countries limit the enforceability of patents against government agencies or government contractors. In these countries, the patent owner may have limited remedies, which could materially diminish the value of such patent. If we or our partners are forced to grant a license to third parties with respect to any patents relevant to our business, our competitive position may be impaired, and our business, financial condition, results of operations and prospects may be adversely affected.

If we are sued for infringing, misappropriating or otherwise violating intellectual property or proprietary rights of third parties, such litigation or disputes could be costly and time-consuming and could prevent or delay us from developing or commercializing our therapeutic candidates.

Our commercial success depends, in part, on our ability to develop, manufacture, market and sell our therapeutic candidates and use our technologies without infringing, misappropriating or otherwise violating the intellectual property and other proprietary rights of third parties. If any third-party patents, patent applications or other intellectual or proprietary rights are enforced against us and found to be valid, enforceable and cover our therapeutic candidates or their compositions, methods of use or manufacturing, third parties owning such intellectual or proprietary rights could seek an injunction prohibiting our ability to develop, manufacture, market and sell our therapeutic candidates and technologies, or we may be required to pay damages, which could be substantial, and we would not be free to manufacture, use or market our therapeutic candidates or to do so without obtaining a license, which may not be available on commercially reasonable terms, or at all.

We may in the future become party to, or threatened with, adversarial proceedings or litigation regarding intellectual property or proprietary rights with respect to our therapeutic candidates and technologies we use in our business. Our competitors or other third parties may assert infringement, misappropriation or other claims against us alleging, for example, that our therapeutic candidates or technologies we use in our business are covered by their patents. We cannot be certain that we do not infringe existing patents or that we will not infringe patents that may be granted in the future. Our competitors in both the United States and abroad, many of which have substantially greater resources and have made substantial investments in patent portfolios and competing technologies, may have applied for or obtained or may in the future apply for or obtain, patents that will prevent, limit or otherwise interfere with our ability to make, use and sell, if approved, our therapeutic candidates. As the biotechnology and pharmaceutical industries expand and more patents are issued, and as we gain greater visibility and market exposure as a public company, the risk increases that our existing therapeutic candidates and any other therapeutic candidates that we may develop or technologies we use in our business

 

63


Table of Contents

may be subject to claims of infringement of the patent rights of third parties. Furthermore, because patent applications can take many years to issue and may be confidential for 18 months or more after filing, and because patent claims can be revised before issuance, there may be applications now pending which may later result in issued patents that may be infringed by the manufacture, use or sale of our therapeutic candidates or technologies we use in our business. If a patent holder believes our therapeutic candidates or technologies we use in our business infringe on its patent rights, the patent holder may sue us even if we have received patent protection for our therapeutic candidates or technologies.

There is a substantial amount of intellectual property litigation in the biotechnology and pharmaceutical industries, and we may become party to, or threatened with, litigation or other adversarial proceedings regarding intellectual property or proprietary rights with respect to our therapeutic candidates and technologies, including interference proceedings or post-grant challenges before the USPTO. Third parties may also assert infringement, misappropriation or other claims against us based on existing or future intellectual property or proprietary rights. The outcome of intellectual property litigation and other disputes is subject to uncertainties that cannot be adequately quantified in advance. The pharmaceutical and biotechnology industries have produced a significant number of patents, and it may not always be clear to industry participants, including us, which patents cover various types of technologies, products or methods of using or manufacturing products. The coverage of patents is subject to interpretation by the courts, and the interpretation is not always uniform. Our analysis of these issues, including interpreting the relevance or the scope of claims in a patent or a pending application, determining applicability of such claims to our technologies or therapeutic candidates, predicting whether a third party’s pending patent application will issue with claims of relevant scope, and determining the expiration date of any patent in the United States or abroad that we consider relevant to our therapeutic candidates may be incorrect, which may negatively impact our ability to develop, manufacture, use and market our therapeutic candidates or technologies.

If we were sued for patent infringement, we would need to demonstrate that our therapeutic candidates, technologies or methods of use, manufacturing or other applicable activities either do not infringe the patent claims of the relevant patent or that the patent claims are invalid or unenforceable, and we may not be successful in doing so. Proving invalidity or unenforceability may be difficult. For example, in the United States, proving invalidity requires a showing of clear and convincing evidence to overcome the presumption of validity enjoyed by issued patents. Even if we believe third-party intellectual property claims are without merit, there is no assurance that a court would find in our favor on questions of infringement, validity, enforceability or priority. In addition, we may not have sufficient resources to bring these actions to a successful conclusion.

If we are found to infringe, misappropriate or otherwise violate a third party’s intellectual property or proprietary rights and we are unsuccessful in demonstrating that such intellectual property or proprietary rights are invalid or unenforceable, we could be forced, including by court order, to cease developing, manufacturing, using or commercializing the infringing therapeutic candidate or technology. Alternatively, we may be required to obtain a license from such third party in order to use the infringing technology and continue developing, manufacturing or marketing the infringing therapeutic candidate. However, we may not be able to obtain any required license on commercially reasonable terms or at all. Even if we were able to obtain such a license, it could be granted on non-exclusive terms, thereby giving our competitors and other third parties access to the same technologies licensed to us, and it could require us to make substantial licensing, royalty and other payments. In addition, we could be found liable for significant monetary damages, including treble damages and attorneys’ fees if we are found to have willfully infringed such third-party patent rights. A finding of infringement could prevent us from commercializing our therapeutic candidates or force us to cease some of our business operations, which could materially harm our business. Claims that we have misappropriated the confidential information or trade secrets of third parties could have a similar negative impact on our business, financial condition, results of operations and prospects.

 

64


Table of Contents

Intellectual property litigation could cause us to spend substantial resources and distract our personnel from their normal responsibilities.

Litigation and other legal proceedings relating to intellectual property claims, with or without merit, are unpredictable and generally expensive and time consuming and are likely to divert significant resources from our core business, including distracting our technical and management personnel from their normal responsibilities. Furthermore, because of the substantial amount of discovery required in connection with intellectual property litigation, there is a risk that some of our confidential information could be compromised by disclosure during this type of litigation. In addition, there could be public announcements of the results of hearings, motions or other interim proceedings or developments and if securities analysts or investors perceive these results to be negative, it could have a substantial adverse effect on the price of our common stock. Moreover, such litigation or proceedings could substantially increase our operating losses and reduce the resources available for development activities or any future sales, marketing or distribution activities.

We may not have sufficient financial or other resources to adequately conduct such litigation or proceedings. Some of our competitors may be able to sustain the costs of such litigation or proceedings more effectively than we can because of their greater financial resources and more mature and developed intellectual property portfolios. Accordingly, despite our efforts, we may not be able to prevent third parties from infringing upon, misappropriating or otherwise violating or from successfully challenging our intellectual property rights. Uncertainties resulting from the initiation and continuation of patent litigation or other proceedings could have a material adverse effect on our ability to compete in the marketplace.

We may be subject to claims by third parties asserting that we, or our employees or consultants have misappropriated their intellectual property, or claiming ownership of what we regard as our own intellectual property.

Some of our employees and consultants are currently or have been previously employed at universities or research institutions, or at other biotechnology or pharmaceutical companies, including our competitors or potential competitors. These employees and consultants may have executed proprietary rights, non-disclosure and non-competition agreements, or similar agreements, in connection with such other current or previous employment. Although we try to ensure that our employees and consultants do not use the proprietary information or know-how of others in their work for us, we may be subject to claims that we or these individuals have used or disclosed intellectual property, including trade secrets or other proprietary information, of third parties. Litigation may be necessary to defend against such claims. If we fail in defending any such claims, in addition to paying monetary damages, we may lose valuable intellectual property or personnel or sustain damages. Such intellectual property could be awarded to a third party, and we could be required to obtain a license from such third party to develop and commercialize our therapeutic candidates or technologies. Such a license may not be available on commercially reasonable terms or at all and may not be exclusive to us. Even if we are successful in defending against such claims, litigation could result in substantial costs and be a distraction to our management. Any of the foregoing would have a material adverse effect on our business, financial condition, results of operations and prospects.

While it is our policy to require our employees, consultants and contractors who may be involved in the conception or development of intellectual property to execute agreements assigning such intellectual property to us, we may be unsuccessful in executing such an agreement with each party who, in fact, conceives or develops intellectual property that we regard as our own, which may result in claims by or against us related to the ownership of such intellectual property. In addition, such agreements may not be self-executing and the intellectual property subject to such agreements may not be assigned to us without additional assignments being executed, and we may fail to obtain such additional assignments. Any invention assignment agreements we have with third parties, employees, consultants or contractors may be breached, and it may be difficult or

 

65


Table of Contents

impossible to enforce them. In addition, we have several sponsored research agreements relating to our research and development efforts with various academic institutions. Some of these academic institutions may not have intellectual property assignments or similar agreements with their employees and consultants, or may not permit their employees to assign intellectual property outside the academic institution, which may result in claims by or against us related to ownership of any intellectual property. Accordingly, we may be forced to bring claims against third parties, or defend claims that they may bring against us, to determine the ownership of what we regard as our intellectual property. If we fail in prosecuting or defending any such claims, in addition to paying monetary damages, we may lose valuable intellectual property. Even if we are successful in prosecuting or defending against such claims, litigation could result in substantial costs and be a distraction to our senior management and scientific personnel, which would have a material adverse effect on our business, financial condition, results of operations and prospects.

Obtaining and maintaining patent protection depends on compliance with various procedural, documentary, fee payment and other requirements imposed by governmental patent offices, and any future patent protection could be reduced or eliminated for noncompliance with these requirements.

Periodic maintenance fees, renewal fees, annuity fees and various other government fees on issued patents and patent applications are due to be paid to the USPTO and patent offices in foreign countries in several stages over the lifetime of the patent. In addition, the USPTO and patent offices in foreign countries require compliance with a number of procedural, documentary, fee payment and other requirements during the patent application process. We may rely on partners to pay these fees due to U.S. and non-U.S. patent agencies and to comply with other requirements with respect to licensed patents and patent applications. While an inadvertent lapse may, in some jurisdictions and under certain circumstances, be cured by payment of a late fee or by other means in accordance with the applicable rules, there are situations in which noncompliance can result in abandonment or lapse of the patent or patent application, resulting in partial or complete and irrevocable loss of a patent or patent rights in the relevant jurisdiction. Noncompliance events that could result in abandonment or lapse of a patent or patent application include, but are not limited to, failure to respond to official actions within prescribed time limits, non-payment of fees and failure to properly legalize and submit formal documents. In such an event, our competitors and other third parties might be able to enter the market with similar or identical products or technologies, which would have a material adverse effect on our business, financial condition, results of operations and prospects.

If we are unable to protect the confidentiality of our trade secrets, the value of our therapeutic candidates and technologies could be materially adversely affected and our business would be harmed.

In addition to the protection afforded by patents, we rely upon trade secrets, know-how and continuing technological innovation to develop and maintain our competitive position. We seek to protect our proprietary know-how and trade secrets in part by entering into non-disclosure and confidentiality agreements with parties who have access to such knowledge, such as our employees, consultants, independent contractors, advisors, CMOs, CROs, suppliers, partners and other third parties. However, we cannot guarantee that we have entered into such agreements with each party that may have or have had access to our proprietary know-how or trade secrets. Additionally, our confidentiality agreements and other contractual protections may not be adequate to protect our intellectual property from unauthorized disclosure, third-party infringement or misappropriation (such as a cybersecurity breach). Any party with whom we have executed such an agreement may breach that agreement and disclose our proprietary information, including our trade secrets, and we may not be able to obtain adequate remedies for such breaches. Enforcing a claim that a party illegally disclosed or misappropriated a trade secret is difficult, expensive and time-consuming, and the outcome is unpredictable.

In addition, some courts in the United States and certain foreign jurisdictions are less willing or unwilling to protect trade secrets. Even if we are successful in protecting the confidentiality of our trade secrets, others may

 

66


Table of Contents

independently develop the same information or technology, or may be able to discern or reverse engineer our proprietary information or technology from public sources of information. Additionally, though our agreements with third parties typically restrict their ability to publish data potentially relating to our trade secrets, our agreements may contain certain limited publication rights. If any of our trade secrets were to be lawfully obtained or independently developed by a competitor or other third party, we would have no right to prevent such third party, or those to whom they communicate such technology or information, from using that technology or information to compete with us, which could harm our competitive position. If any of our trade secrets were to be disclosed to or independently developed by a competitor or other third party, our business, financial condition, results of operations and prospects could be materially harmed.

If we fail to comply with our obligations in any agreements under which we may license intellectual property rights to or from third parties or otherwise experience disruptions to our business relationships with our current partners or any future licensors, we could lose license rights that are important to our business.

We have and may in the future from time to time enter into license or collaboration agreements with third parties to advance our research or allow commercialization of therapeutic candidates. Such agreements may impose numerous obligations, such as development, diligence, payment, commercialization, non-compete, funding, milestone, royalty, sublicensing, patent prosecution, enforcement and other obligations on us and may require us to meet development timelines, or to exercise commercially reasonable efforts to develop and commercialize licensed products, in order to maintain the licenses. In spite of our best efforts, our current partners or any future licensors might conclude that we have materially breached any of our license agreements and might therefore terminate the license agreements, thereby removing or limiting our ability to develop and commercialize products and technologies covered by these license agreements.

Any termination of these licenses, or if the underlying patents fail to provide the intended exclusivity, could result in the loss of significant rights and could harm our ability to commercialize our therapeutic candidates, and competitors or other third parties would have the freedom to seek regulatory approval of, and to market, products identical to ours and we may be required to cease our development and commercialization of certain of our therapeutic candidates.

Disputes may also arise between us and our current partners or any future licensors regarding intellectual property subject to a license agreement, including, but not limited to:

 

 

the scope of rights granted under the license agreement and other interpretation-related issues;

 

 

whether and the extent to which our technology and processes infringe, misappropriate or otherwise violate intellectual property rights of the licensor or licensee that are not subject to the licensing agreement;

 

 

our right to sublicense patent and other rights to third parties under collaborative development relationships;

 

 

our diligence obligations with respect to the use of the licensed technology in relation to our development and commercialization of our therapeutic candidates, and what activities satisfy those diligence obligations;

 

 

the priority of invention of any patented technology; and

 

 

the ownership of inventions and know-how resulting from the joint creation or use of intellectual property by our future licensors and us and our partners.

The agreements under which we may license intellectual property or technology from third parties are likely to be complex, and certain provisions in such agreements may be susceptible to multiple interpretations. The resolution of any contract interpretation disagreement that may arise could narrow what we believe to be the

 

67


Table of Contents

scope of our rights to the relevant intellectual property or technology, or increase what we believe to be our financial or other obligations under the relevant agreement, either of which could have a material adverse effect on our business, financial condition, results of operations and prospects. Moreover, if disputes over intellectual property that we may license prevent or impair our ability to maintain future licensing arrangements on acceptable terms, we may be unable to successfully develop and commercialize the affected therapeutic candidates. Any of the foregoing could have a material adverse effect on our business, financial condition, results of operations and prospects.

If we cannot acquire or license rights to use technologies on reasonable terms or at all, we may not be able to commercialize our current or any future products or technologies.

In the future, we may identify third-party intellectual property and technology we may need to license in order to engage in our business, including to develop or commercialize new products or technologies, and the growth of our business may depend in part on our ability to acquire, in-license or use this technology. However, such licenses may not be available to us on acceptable terms or at all. The licensing or acquisition of third-party intellectual property rights is a competitive area, and several more established companies may pursue strategies to license or acquire third-party intellectual property rights that we may consider attractive or necessary. These established companies may have a competitive advantage over us due to their size, capital resources and greater development or commercialization capabilities. In addition, companies that perceive us to be a competitor may be unwilling to assign or license rights to us. Even if such licenses are available, we may be required to pay the licensor in return for the use of such licensor’s technology, including up-front payments, ongoing maintenance fees, payments based on certain milestones such as development and regulatory events and sales volumes, or royalties. In addition, such licenses may be non-exclusive, which could give our competitors and other third parties access to the same intellectual property licensed to us. Moreover, we could encounter delays in the introduction of products while we attempt to develop alternatives. Failure to obtain any of these licenses on favorable terms could prevent us from commercializing our current and any future therapeutic candidates and technologies. Any of the foregoing could have a material adverse effect on our business, financial condition, results of operations and prospects.

If we do not obtain patent term extension and data exclusivity for any therapeutic candidates we may develop, our business may be materially harmed.

Depending upon the timing, duration and specifics of any FDA marketing approval of any therapeutic candidates we may develop, one or more of our U.S. patents, if issued, may be eligible for limited patent term extension under the Drug Price Competition and Patent Term Restoration Action of 1984, or the Hatch-Waxman Amendments. The Hatch-Waxman Amendments permit a patent extension term of up to five years as compensation for patent term lost during the FDA regulatory review process, although the amount of available extension to any specific patent eligible for patent term extension depends on a variety of factors, including the date on which the patent issues and certain dates related to the regulatory review period. A patent term extension cannot extend the remaining term of a patent beyond a total of 14 years from the date of product approval, only one patent may be extended and only those claims covering the approved drug, a method for using it, or a method for manufacturing it may be extended. However, we may not be granted an extension because of, for example, failing to exercise due diligence during the testing phase or regulatory review process, failing to apply within applicable deadlines, failing to apply prior to expiration of relevant patents, or otherwise failing to satisfy applicable requirements. Moreover, the applicable time period or the scope of patent protection afforded could be less than we request. To the extent we have in-licensed any U.S. patents, we may not have control over the patent term extension process and may rely on our partners to obtain a patent term extension. Moreover, under the agreements pursuant to which we out-license or assign our MZE001, ATXN2 and UNC13A patent portfolios, the applicable licensees have the sole right to apply for patent term extensions with respect to the licensed patents and patent applications. If we or our partners are unable to obtain patent term

 

68


Table of Contents

extension or if the term of any such extension is less than we request, our competitors may obtain approval of competing products following our patent expiration, and our business, financial condition, results of operations and prospects could be materially harmed.

We may become involved in lawsuits to protect or enforce any patents we may own or in-license in the future, which could be expensive, time consuming and unsuccessful and any patents we may own or in-license in the future covering our therapeutic candidates could be found invalid or unenforceable if challenged in courts or patents offices.

Competitors and other third parties may infringe, misappropriate or otherwise violate our intellectual property rights. To counter infringement, misappropriation or other violations, we may be required to file infringement, misappropriation or other claims in order to enforce our intellectual property rights, which can be expensive and time-consuming and divert the time and attention of our management and business and scientific personnel. In addition, many of our adversaries in these proceedings may have the ability to dedicate substantially greater resources to prosecuting these legal actions than we can. Our ability to enforce our patents or other intellectual property rights depends on our ability to detect infringement. It may be difficult to detect infringers who do not advertise the components or methods that are used in connection with their products and services. Moreover, it may be difficult or impossible to obtain evidence of infringement in a third party’s product or service.

We may not prevail in any lawsuits that we initiate and the damages or other remedies awarded if we were to prevail may not be commercially meaningful. In such a proceeding, a court may decide that an asserted patent is not valid or is unenforceable, or may refuse to stop the other party from using the technology at issue on the grounds that the asserted patent or other intellectual property right does not cover the third-party technology in question. An adverse result in any litigation or defense proceedings could put one or more asserted patents at risk of being invalidated or interpreted narrowly and could put related patent applications at risk of not issuing.

If we were to initiate legal proceedings against a third party to enforce a patent we may own or in-license in the future covering one or more of our therapeutic candidates, the defendant could counterclaim that the patent covering our therapeutic candidate is invalid and/or unenforceable. In patent litigation in the United States or elsewhere, defendant counterclaims challenging the validity, enforceability or scope of asserted patents are commonplace. Grounds for a validity challenge could be an alleged failure to meet any of several statutory requirements, including lack of subject matter eligibility, lack of novelty, obviousness, lack of adequate written description or non-enablement. Grounds for an unenforceability assertion could be an allegation that someone connected with prosecution of the patent withheld relevant information from the USPTO or any other applicable patent office, or made a misleading statement during prosecution. Third parties may also raise similar validity claims before the USPTO in post-grant proceedings such as reexaminations, inter partes review or post-grant review, or oppositions or similar proceedings in foreign patent offices, in parallel with litigation or even outside the context of litigation. Such proceedings could result in the revocation of, cancellation of, or amendment to our patents in such a way that they no longer cover our therapeutic candidates or technology. The outcome following legal assertions of invalidity and unenforceability is unpredictable. With respect to the validity question, for example, we cannot be certain that there is no invalidating prior art of which we and the patent examiner were unaware during prosecution. If a defendant were to prevail on a legal assertion of invalidity and/or unenforceability, we would lose at least part, and perhaps all, of the patent protection on our current or future therapeutic candidates. Such a loss of patent protection would have a material adverse impact on our business.

In addition, interference, derivation or other proceedings provoked by third parties or brought by us or declared by the USPTO may be necessary to determine the priority of inventions with respect to our current or

 

69


Table of Contents

future patents or patent applications. An unfavorable outcome could require us to cease using the related technology or to attempt to license rights to it from the prevailing party. Our business could be harmed if the prevailing party does not offer us a license on commercially reasonable terms or at all, or if a non-exclusive license is offered and our competitors or other third parties gain access to the same technology.

Our defense of litigation or interference, derivation or other proceedings may fail and, even if successful, may result in substantial costs and distract our management and other employees. Even if we establish infringement, the court may decide not to grant an injunction against further infringing activity and instead award only monetary damages, which may or may not be an adequate remedy. Any of the foregoing could have a material adverse effect on our financial condition, results of operations and prospects.

If our trademarks and trade names are not adequately protected, then we may not be able to build name recognition in our markets of interest and our business may be adversely affected.

We intend to use registered or unregistered trademarks or trade names to brand and market ourselves and our products. We may design or create new trademarks and apply to register them, but our trademark applications may not be approved in the United States or any other relevant jurisdiction. Our trademarks and trade names may be challenged, infringed, circumvented, declared generic, lapsed or determined to be infringing on or dilutive of other marks. Third parties may oppose or attempt to cancel our trademark applications or trademarks, or otherwise challenge our use of the trademarks. In the event that our trademarks are successfully challenged, we could be forced to rebrand our products, which could result in loss of brand recognition and could require us to devote resources to advertising and marketing new brands. Competitors or other parties in our industry may adopt trademarks or trade names similar to ours, thereby impeding our ability to build brand identity and possibly leading to market confusion. In addition, third parties may infringe our trademarks and we may not have adequate resources to enforce our trademark rights. If we attempt to enforce our trademarks and assert trademark infringement claims, a court may determine that the marks we have asserted are invalid or unenforceable, or that the party against whom we have asserted trademark infringement has superior rights to the marks in question. In this case, we could ultimately be forced to cease use of such trademarks. Over the long term, if we are unable to establish name recognition based on our trademarks and trade names, then we may not be able to compete effectively and our business may be adversely affected.

Intellectual property rights do not necessarily address all potential commercial or competitive threats.

The degree of future protection afforded by our intellectual property rights is uncertain because intellectual property rights have limitations and may not adequately protect our business or permit us to maintain our competitive advantage. For example:

 

 

others may be able to make products similar to any therapeutic candidates we may develop or utilize similar technologies that are not covered by the claims of patents that we may license or may own in the future;

 

 

we, or any current or future partners, might not have been the first to make the inventions covered by an issued patent or pending patent application that we may license or own in the future;

 

 

we, or any current or future partners, might not have been the first to file patent applications covering certain of our or their inventions;

 

 

others may independently develop similar or alternative technologies or duplicate any of our technologies without infringing, misappropriating or otherwise violating any of our owned or licensed intellectual property and proprietary rights;

 

 

it is possible that our pending patent applications or those that we may own or license in the future will not lead to issued patents;

 

70


Table of Contents
 

it is possible that there are prior public disclosures that could invalidate any patent we may own or license in the future;

 

 

issued patents that we may hold rights to in the future may not provide us with any competitive advantage, or may be held invalid or unenforceable, including as a result of legal challenges by our competitors or other third parties;

 

 

our competitors or other third parties might conduct research and development activities in countries where we do not have intellectual property rights and then use the information learned from such activities to develop competitive products for sale in our commercial markets;

 

 

we may not develop technologies or therapeutic candidates that are patentable;

 

 

the patents or pending or future patent applications of others, if issued, may harm our business; and

 

 

we may choose not to file a patent application in order to maintain certain trade secrets or know-how, and a third party may subsequently file a patent application covering such intellectual property.

Should any of these events occur, they could have a material adverse effect on our business, financial condition, results of operations and prospects.

Risks related to our common stock and this offering

No public market for our common stock currently exists, and an active and liquid trading market for our common stock may never develop. As a result, you may not be able to resell your shares of our common stock at or above the initial public offering price.

Prior to this offering, no market for our common stock existed and an active trading market for our common stock may never develop or be sustained following this offering. The initial public offering price for our common stock will be determined through negotiations with the underwriters and the negotiated price may not be indicative of the market price of our common stock after this offering. This price will not necessarily reflect the price at which investors in the market will be willing to buy and sell shares of our common stock following this offering, and the market value of our common stock may decrease from the initial public offering price. As a result of these and other factors, you may be unable to resell your shares of our common stock at or above the initial public offering price. The lack of an active market may impair your ability to sell your shares of common stock at the time you wish to sell them or at a price that you consider reasonable. The lack of an active market may also reduce the fair market value of your shares of common stock. Furthermore, an inactive market may also impair our ability to raise capital by selling shares of our common stock and may impair our ability to enter into strategic collaborations or acquire companies or products by using our shares of common stock as consideration.

The market price of our common stock may be highly volatile, and you could lose all or part of your investment.

The market price of our common stock following this offering may be highly volatile and subject to wide fluctuations in response to various factors, some of which are outside of our control. As a result of this volatility, you may not be able to sell your shares of common stock at or above the initial public offering price. The market price for our common stock may be influenced by many factors, including the other risks described in this “Risk factors” section and the following:

 

 

results of preclinical studies or clinical trials by us or those of our competitors or by existing or future partners;

 

71


Table of Contents
 

the timing and enrollment status of our clinical trials;

 

 

the use and adequacy of our cash reserves;

 

 

changes in the development status of our therapeutic candidates, including variations in the level of expense related to the development of our programs or funding support by us or by existing or future partners;

 

 

regulatory or legal developments in the United States and other countries, especially changes in laws or regulations applicable to our business;

 

 

the success of competitive products or technologies;

 

 

introductions and announcements of new therapeutic candidates by us, our existing or future collaboration partners, or our competitors, and the timing of these introductions or announcements;

 

 

actions taken by regulatory agencies with respect to our therapeutic candidates, preclinical studies, clinical trials, manufacturing process or sales and marketing terms;

 

 

actual or anticipated variations in our financial results or those of companies that are perceived to be similar to us;

 

 

the success of our efforts to acquire or in-license additional technologies or therapeutic candidates;

 

 

our execution of any collaboration, licensing or similar arrangements, and the timing of payments we may make or receive under existing or future arrangements or the termination or modification of any such existing or future arrangements;

 

 

announced or completed significant acquisitions, strategic collaborations, joint ventures, spin-outs or capital commitments by us or our competitors;

 

 

developments or disputes concerning our intellectual property and proprietary rights;

 

 

the recruitment or departure of key personnel;

 

 

changes in the structure of healthcare payment systems;

 

 

actual or anticipated changes in earnings estimates or changes in stock market analyst recommendations regarding our common stock, other comparable companies or our industry generally;

 

 

our failure or the failure of our competitors to meet analysts’ projections or guidance that we or our competitors may give to the market;

 

 

speculation in the press or investment community;

 

 

share price and fluctuations of trading volume of our common stock;

 

 

fluctuations in the valuation of companies perceived by investors to be comparable to us;

 

 

sales of shares of our common stock by us, insiders or our stockholders;

 

 

our ability or inability to raise additional capital and the terms on which we raise it;

 

 

the concentrated ownership of our common stock;

 

 

changes in accounting principles;

 

 

natural disasters, terrorist acts, acts of war and other calamities;

 

72


Table of Contents
 

political instability, including the occurrence of a temporary federal government shutdown;

 

 

the impact of geopolitical tensions and ongoing regional military conflicts;

 

 

a severe or prolonged economic downturn; and

 

 

general economic and geopolitical conditions, including changing interest rates, disruptions in the capital and credit markets, market volatility and inflation.

In addition, the stock market in general, and the markets for pharmaceutical, biopharmaceutical and biotechnology stocks in particular, have experienced extreme price and volume fluctuations that have been often unrelated or disproportionate to the operating performance of the issuer. Furthermore, the trading price of our common stock may be adversely affected by third parties trying to drive down the market price. Short sellers and others, some of whom post anonymously on social media, may be positioned to profit if our stock declines and their activities can negatively affect our stock price. These broad market and industry factors may seriously harm the market price of our common stock, regardless of our actual operating performance. The realization of any of the above risks or any of a broad range of other risks, including those described in this “Risk factors” section, could have a dramatic and adverse impact on the market price of our common stock.

In the past, securities class action litigation has often been brought against public companies following declines in the market price of their securities. This risk is especially relevant for biopharmaceutical companies, which have experienced significant stock price volatility in recent years. If we face such litigation, it could result in substantial costs and a diversion of management’s attention and our resources, which could harm our business.

You will experience immediate and substantial dilution with respect to the common stock you purchase in this offering and may experience additional dilution in the future.

You will experience immediate and substantial dilution with respect to the common stock you purchase in this offering. If you purchase common stock in this offering, assuming an initial public offering price of $    per share, the midpoint of the estimated price range set forth on the cover of this prospectus, and assuming that the number of shares offered by us, as set forth on the cover page of this prospectus, remains the same and that the underwriters do not exercise their option to purchase additional common stock in this offering, you will incur immediate and substantial dilution of $    per share, representing the difference between the assumed initial public offering price of $    per share and our pro forma net tangible book value per share as of September 30, 2024 after giving effect to this offering, and the conversion of all outstanding shares of our redeemable convertible preferred stock upon the completion of this offering. Following the completion of this offering, investors purchasing common stock in this offering will have contributed     % of the total amount invested by stockholders since inception, but will only own     % of the shares of common stock outstanding.

Moreover, we issued options in the past to acquire common stock at prices below the initial public offering price. As of September 30, 2024, there were 36,421,972 shares of common stock subject to outstanding options. To the extent these outstanding options and options granted in the future are ultimately exercised, you will incur further dilution.

For a further description of the dilution you will experience immediately after this offering, see the section entitled “Dilution.”

 

73


Table of Contents

A sale of a substantial number of shares of our common stock may cause the price of our common stock to decline.

Based on 23,526,903 shares of our capital stock outstanding as of September 30, 2024 and after giving effect to the automatic conversion of all outstanding shares of our redeemable convertible preferred stock, including shares of Series D Preferred Stock and Series D-1 Preferred Stock issued subsequent to September 30, 2024, into shares of common stock immediately prior to the completion of this offering, upon the completion of this offering we will have a total of     shares of common stock outstanding. Of these shares, only     shares of common stock sold in this offering, or     shares if the underwriters exercise their option to purchase additional shares in full, will be freely tradable, without restriction, in the public market immediately after this offering. Each of our officers, directors and substantially all of our stockholders have entered or will enter into lock-up agreements with the underwriters that restrict their ability to sell or transfer their shares. The lock-up agreements pertaining to this offering will expire 180 days from the date of this prospectus. However, the representatives of the underwriters may, in their sole discretion, permit our officers, directors and other stockholders who are subject to the lock-up agreements to sell shares prior to the expiration of the lock-up agreements. After the lock-up agreements expire, based on shares outstanding as of September 30, 2024, up to an additional     shares of common stock will be eligible for sale in the public market, approximately      of which are held by our officers, directors and their affiliated entities, and will be subject to volume limitations under Rule 144 under the Securities Act of 1933, as amended, or the Securities Act. In addition,      shares of common stock that are subject to outstanding options as of September 30, 2024 will become eligible for sale in the public market to the extent permitted by the provisions of various vesting agreements, the lock-up agreements and Rules 144 and 701 under the Securities Act.

After this offering, the holders of an aggregate of     shares of our outstanding common stock as of September 30, 2024 will have rights, subject to some conditions, to require us to file registration statements covering their shares or to include their shares in registration statements that we may file for ourselves or our stockholders. We also intend to register shares of common stock that we may issue under our equity incentive plans. Once we register these shares, they will be able to be sold freely in the public market upon issuance, subject to the 180-day lock-up period under the lock-up agreements described above and in the section entitled “Underwriting.” See the section titled “Description of capital stock— Registration rights” for additional information.

We cannot predict what effect, if any, sales of our shares in the public market or the availability of shares for sale will have on the market price of our common stock. However, future sales of substantial amounts of our common stock in the public market, including shares issued upon exercise of our outstanding options, or the perception that such sales may occur, could adversely affect the market price of our common stock.

We also expect that significant additional capital may be needed in the future to continue our planned operations. To raise capital, we may sell common stock, convertible securities or other equity-linked securities

in one or more transactions at prices and in a manner we determine from time to time. To the extent that additional capital is raised through the sale and issuance of shares of our common stock or other securities convertible into shares of our common stock, our stockholders will be diluted. These sales, or the perception in the market that the holders of a large number of shares of our common stock intend to sell shares, could reduce the market price of our common stock.

We will have broad discretion in the use of the net proceeds from this offering and may not use the proceeds in ways you and other stockholders may approve of.

Our management will have broad discretion in the use of the net proceeds from this offering, including for any of the purposes described in the section “Use of proceeds,” and you will be relying on the judgment of our management regarding the use of these proceeds. You will not have the opportunity, as part of your investment

 

74


Table of Contents

decision, to assess whether we are using the proceeds appropriately. Our management might not apply our net proceeds in ways that ultimately increase the value of your investment. If we do not invest or apply the net proceeds from this offering in ways that enhance stockholder value, we may fail to achieve expected financial results, which could cause our stock price to decline. Pending their use, we may invest the net proceeds from this offering in a manner that does not produce income or that loses value.

If securities or industry analysts do not publish research or reports about our business, or if they issue an adverse or misleading opinion regarding our company, our common stock price and trading volume could decline.

The trading market for our common stock will be influenced by the research and reports that industry or securities analysts publish about us or our business. We do not currently have and may never obtain research coverage by securities and industry analysts. If no or few securities or industry analysts commence coverage of us, the trading price for our common stock could be impacted negatively. In the event we obtain securities or industry analyst coverage, if any of the analysts who cover us issue an adverse or misleading opinion regarding us, our business model, our intellectual property or our stock performance, or if our current or future clinical trials, preclinical studies and operating results fail to meet the expectations of analysts, our stock price would likely decline. If one or more of such analysts cease coverage of us or fail to publish reports on us regularly, we could lose visibility in the financial markets, which in turn could cause a decline in our stock price or trading volume.

Our principal stockholders and management own a significant percentage of our stock and will be able to exert significant control over matters subject to stockholder approval.

Based on the beneficial ownership of our common stock as of     , prior to this offering, our executive officers, directors, holders of 5% or more of our capital stock and their respective affiliates beneficially owned     % of our voting stock and, upon the completion of this offering, that same group will hold     % of our outstanding voting stock (assuming no exercise of the underwriters’ option to purchase additional shares). The voting power of this group may increase to the extent they convert shares of non-voting common stock they hold into common stock. As a result, these stockholders, if acting together, will continue to have significant influence over the outcome of corporate actions requiring stockholder approval, including the election of directors, amendment of our organizational documents, any merger, consolidation or sale of all or substantially all of our assets and any other significant corporate transaction. The interests of these stockholders may not be the same as or may even conflict with your interests. For example, these stockholders could delay or prevent a change of control of our company, even if such a change of control would benefit our other stockholders, which could deprive our stockholders of an opportunity to receive a premium for their common stock as part of a sale of our company or our assets and might affect the prevailing market price of our common stock.

Our disclosure controls and procedures may not prevent or detect all errors or acts of fraud.

Upon the completion of this offering, we will become subject to the periodic reporting requirements of the Exchange Act of 1934, as amended, or the Exchange Act. We designed our disclosure controls and procedures to reasonably assure that information we must disclose in reports we file or submit under the Exchange Act is accumulated and communicated to management, and recorded, processed, summarized and reported within the time periods specified in the rules and forms of the SEC. We believe that any disclosure controls and procedures or internal controls and procedures, no matter how well-conceived and operated, can provide only reasonable, not absolute, assurance that the objectives of the control system are met.

These inherent limitations include the realities that judgments in decision-making can be faulty, and that breakdowns can occur because of simple error or mistake. For example, our directors or executive officers

 

75


Table of Contents

could inadvertently fail to disclose a new relationship or arrangement causing us to fail to make any related-party transaction disclosures. Additionally, controls can be circumvented by the individual acts of some persons, by collusion of two or more people or by an unauthorized override of the controls. Accordingly, because of the inherent limitations in our control system, misstatements due to error or fraud may occur and not be detected. In addition, we do not have a risk management program or processes or procedures for identifying and addressing risks to our business in other areas.

Anti-takeover provisions in our charter documents and under Delaware law could prevent or delay an acquisition of us, which may be beneficial to our stockholders, and may prevent attempts by our stockholders to replace or remove our current management.

Our restated certificate of incorporation and our restated bylaws that will be in effect upon completion of this offering contain provisions that could delay or prevent a change in control of our company. These provisions could also make it difficult for stockholders to elect directors who are not nominated by current members of our board of directors or take other corporate actions, including effecting changes in our management. These provisions:

 

 

establish a classified board of directors so that not all members of our board of directors are elected at one time;

 

 

permit only the board of directors to establish the number of directors and fill vacancies on the board of directors;

 

 

provide that directors may only be removed “for cause” and only with the approval of two-thirds of our stockholders;

 

 

require super-majority voting to amend some provisions in our restated certificate of incorporation and restated bylaws;

 

 

authorize the issuance of “blank check” preferred stock that our board of directors could use to implement a stockholder rights plan;

 

 

eliminate the ability of our stockholders to call special meetings of stockholders;

 

 

prohibit stockholder action by written consent, which requires all stockholder actions to be taken at a meeting of our stockholders;

 

 

prohibit cumulative voting; and

 

 

establish advance notice requirements for nominations for election to our board of directors or for proposing matters that can be acted upon by stockholders at annual stockholder meetings.

In addition, Section 203 of the Delaware General Corporation Law, or DGCL, may discourage, delay or prevent a change in control of our company. Section 203 imposes certain restrictions on mergers, business combinations and other transactions between us and holders of 15% or more of our common stock.

The exclusive forum provisions in our organizational documents may limit a stockholder’s ability to bring a claim in a judicial forum that it finds favorable for disputes with us or any of our directors, officers, or other employees, which may discourage lawsuits with respect to such claims.

Our restated certificate of incorporation that will be in effect upon completion of this offering, to the fullest extent permitted by law, will provide that the Court of Chancery of the State of Delaware is the exclusive forum for: any derivative action or proceeding brought on our behalf; any action asserting a breach of fiduciary duty; any action asserting a claim against us arising pursuant to the DGCL, our restated certificate of incorporation,

 

76


Table of Contents

or our restated bylaws; or any action asserting a claim against us that is governed by the internal affairs doctrine. This exclusive forum provision does not apply to suits brought to enforce a duty or liability created by the Exchange Act. It could apply, however, to a suit that falls within one or more of the categories enumerated in the exclusive forum provision.

This choice of forum provision may limit a stockholder’s ability to bring a claim in a judicial forum that it finds favorable for disputes with us or any of our directors, officers, or other employees, which may discourage lawsuits with respect to such claims. Alternatively, if a court were to find the choice of forum provisions contained in our restated certificate of incorporation to be inapplicable or unenforceable in an action, we may incur additional costs associated with resolving such action in other jurisdictions, which could harm our business, results of operations and financial condition.

Section 22 of the Securities Act creates concurrent jurisdiction for federal and state courts over all claims brought to enforce any duty or liability created by the Securities Act or the rules and regulations thereunder. Our restated certificate of incorporation will provide that the federal district courts of the United States will, to the fullest extent permitted by law, be the exclusive forum for resolving any complaint asserting a cause of action arising under the Securities Act, or the Federal Forum Provision, including for all causes of action asserted against any defendant named in such complaint. For the avoidance of doubt, this provision is intended to benefit and may be enforced by us, directors, officers, other employees, agents, and the underwriters to any offering giving rise to such complaint, and any other professional person or entity whose profession gives authority to a statement made by that person or entity and who has prepared or certified any part of the documents underlying the offering. Our decision to adopt a Federal Forum Provision followed a decision by the Supreme Court of the State of Delaware holding that such provisions are facially valid under Delaware law. While federal or other state courts may not follow the holding of the Delaware Supreme Court or may determine that the Federal Forum Provision should be enforced in a particular case, application of the Federal Forum Provision means that suits brought by our stockholders to enforce any duty or liability created by the Securities Act must be brought in federal court and cannot be brought in state court, and our stockholders cannot waive compliance with the federal securities laws and the rules and regulations thereunder.

Section 27 of the Exchange Act creates exclusive federal jurisdiction over all claims brought to enforce any duty or liability created by the Exchange Act or the rules and regulations thereunder. In addition, neither the exclusive forum provision nor the Federal Forum Provision applies to suits brought to enforce any duty or liability created by the Exchange Act. Accordingly, actions by our stockholders to enforce any duty or liability created by the Exchange Act or the rules and regulations thereunder must be brought in federal court, and our stockholders cannot waive compliance with the federal securities laws and the rules and regulations thereunder.

Any person or entity purchasing or otherwise acquiring or holding any interest in any of our securities shall be deemed to have notice of and consented to our exclusive forum provisions, including the Federal Forum Provision. These provisions may limit a stockholders’ ability to bring a claim, and may result in increased costs for a stockholder to bring such a claim, in a judicial forum of their choosing for disputes with us or our directors, officers, other employees or agents, which may discourage lawsuits against us and our directors, officers, other employees or agents.

Because we do not anticipate paying any cash dividends on our capital stock in the foreseeable future, capital appreciation, if any, will be your sole source of gain.

We have never declared or paid cash dividends on our capital stock. We currently intend to retain all of our future earnings, if any, to finance the growth and development, operation and expansion of our business and do not anticipate declaring or paying any cash dividends for the foreseeable future. As a result, capital appreciation, if any, of our common stock will be your sole source of gain for the foreseeable future.

 

77


Table of Contents

General risk factors

We will incur increased costs as a result of operating as a public company, and our management will be required to devote substantial time to new compliance initiatives and corporate governance practices.

As a public company, and particularly after we are no longer an EGC or SRC, we will incur significant legal, accounting and other expenses that we did not incur as a private company. The Sarbanes-Oxley Act of 2002, as amended, or the Sarbanes-Oxley Act, the Dodd-Frank Wall Street Reform and Consumer Protection Act, the listing requirements of the Nasdaq Stock Market, LLC, or Nasdaq, and other applicable securities rules and regulations impose various requirements on public companies, including establishment and maintenance of effective disclosure and financial controls and corporate governance practices. Our management and other personnel will need to devote a substantial amount of time to these compliance initiatives. Moreover, we expect these rules and regulations to substantially increase our legal and financial compliance costs and to make some activities more time consuming and costly. For example, we expect that these rules and regulations may make it more difficult and more expensive for us to obtain director and officer liability insurance and we may be required to incur substantial costs to maintain sufficient coverage. We cannot predict or estimate the amount or timing of additional costs we may incur to respond to these requirements. The impact of these requirements could also make it more difficult for us to attract and retain qualified persons to serve on our board of directors, our board committees or as executive officers. The increased costs may require us to reduce costs in other areas of our business or increase the prices of our products once commercialized. Moreover, these rules and regulations are often subject to varying interpretations, in many cases due to their lack of specificity, and, as a result, their application in practice may evolve over time as new guidance is provided by regulatory and governing bodies. This could result in continuing uncertainty regarding compliance matters and higher costs necessitated by ongoing revisions to disclosure and governance practices.

We are an “EGC” and a “SRC” and we cannot be certain if the reduced reporting requirements applicable to EGCs or SRCs will make our common stock less attractive to investors.

We are an “EGC” as defined in the JOBS Act. For as long as we continue to be an EGC, we may take advantage of exemptions from various reporting requirements that are applicable to other public companies that are not EGCs, including (i) not being required to comply with the auditor attestation requirements of the Sarbanes-Oxley Act, (ii) reduced disclosure obligations regarding executive compensation in this prospectus and our periodic reports and proxy statements and (iii) exemptions from the requirements of holding nonbinding advisory stockholder votes on executive compensation and stockholder approval of any golden parachute payments not approved previously. In addition, as an EGC, we are only required to provide two years of audited financial statements and two years of selected financial data in this prospectus.

We could be an EGC for up to five fiscal years following the completion of this offering; provided, however, certain circumstances could cause us to lose that status earlier, including if we are deemed to be a “large accelerated filer,” which occurs when the market value of our common stock that is held by non-affiliates equals or exceeds $700 million, if we have total annual gross revenue of $1.235 billion or more, or if we issue more than $1.0 billion in non-convertible debt during any three-year period before that time.

Under the JOBS Act, EGCs can also delay adopting new or revised accounting standards until such time as those standards apply to private companies. We have elected to take advantage of the benefits of this extended transition period. Our financial statements may therefore not be comparable to those of companies that comply with such new or revised accounting standards. Until the date that we are no longer an “EGC” or affirmatively and irrevocably opt out of the exemption provided by Section 7(a)(2)(B) of the Securities Act, upon issuance of a new or revised accounting standard that applies to our financial statements and that has a different effective date for public and private companies, we will disclose the date on which adoption is required for non-EGCs and the date on which we will adopt the recently issued accounting standard.

 

78


Table of Contents

We are also a “SRC.” We may continue to be a SRC after this offering if either (i) the market value of our stock held by non-affiliates is less than $250.0 million or (ii) our annual revenue is less than $100.0 million during the most recently completed fiscal year and the market value of our stock held by non-affiliates is less than $700.0 million. If we are a SRC at the time we cease to be an EGC, we may continue to rely on the same exemptions from certain disclosure requirements, including not being required to comply with the auditor attestation requirements of Section 404 of the Sarbanes-Oxley Act, reduced disclosure obligations regarding executive compensation and the option to present only the two most recent fiscal years of audited financial statements in our Annual Report on Form 10-K. We cannot predict if investors will find our common stock less attractive if we choose to rely on these exemptions. If some investors find our common stock less attractive as a result, there may be a less active trading market for our common stock and our share price may be more volatile.

We may be subject to securities litigation, which is expensive and could divert management attention.

The market price of our common stock may be volatile. The stock market in general, and Nasdaq-listed and biopharmaceutical companies in particular, have experienced extreme price and volume fluctuations that have often been unrelated or disproportionate to the operating performance of these companies. In the past, companies that have experienced volatility in the market price of their stock have been subject to securities class action litigation. We may be the target of this type of litigation in the future. Securities litigation against us could result in substantial costs and divert our management’s attention from other business concerns, which could seriously harm our business.

Unstable market and economic conditions and adverse developments affecting the financial services industry, such as actual events or concerns involving liquidity, defaults or nonperformance by financial institutions or transactional counterparties, could adversely affect our current and projected business operations, and its financial condition and results of operations.

From time to time, the global credit and financial markets have experienced extreme volatility and disruptions, including severely diminished liquidity and credit availability, declines in consumer confidence, declines in economic growth, increases in unemployment rates and uncertainty about economic stability. The financial markets and the global economy may also be adversely affected by the current or anticipated impact of military conflict, terrorism or other geopolitical events. Sanctions imposed by the United States and other countries in response to such conflicts, including the one in Ukraine, may also adversely impact the financial markets and the global economy, and any economic countermeasures by the affected countries or others could exacerbate market and economic instability. Russia’s ongoing incursion of Ukraine has created extreme volatility in the global capital markets and is expected to have further global economic consequences, including disruptions of the global supply chain and energy markets. In addition, adverse developments that affect financial institutions, such as events involving liquidity that are rumored or actual, have in the past and may in the future lead to market-wide liquidity problems. For example, in March 2023, Silicon Valley Bank was closed by the California Department of Financial Protection and Innovation, which appointed the Federal Deposit Insurance Corporation as receiver. The closure of any additional national or regional commercial banks could lead to further economic instability. Although The Department of the Treasury, the Federal Reserve and the FDIC have taken steps to mitigate these risks, widespread demands for customer withdrawals or other liquidity needs of financial institutions for immediately liquidity may still occur in the future.

Although we have not experienced any adverse impact to our liquidity or to our current and projected business operations, financial condition or results of operations, uncertainty remains over liquidity concerns in the broader financial services industry, and our business, our business partners, or industry as a whole may be adversely impacted in ways that we cannot predict at this time. Inflation and rapid increases in interest rates have led to a decline in the trading value of previously issued government securities with interest rates below current market interest rates.

 

79


Table of Contents

In addition, if any of our suppliers or other parties with whom we conduct business are unable to access funds pursuant to such instruments or lending arrangements with any financial institution, such parties’ ability to pay their obligations to us or to enter into new commercial arrangements requiring additional payments to us could be adversely affected.

Changes in tax laws or regulations that are applied adversely to us may have a material adverse effect on our business, cash flows, financial condition or results of operations.

New income, sales, use or other tax laws, statutes, rules, or regulations could be enacted at any time, which may adversely affect our business, financial condition, results of operations and prospects. Further, existing tax laws, statutes, rules, or regulations could be interpreted, changed, modified or applied adversely to us. Future changes in corporate tax rates, the realization of net deferred tax assets relating to our operations, the taxation of foreign earnings, and the deductibility of expenses could have a material impact on the value of our deferred tax assets, could result in significant one-time charges, and could increase our future U.S. tax expense. For example, for tax years beginning after December 31, 2021, current law requires taxpayers to capitalize and amortize certain research and development expenditures over five years if incurred in the United States and fifteen years if incurred in foreign jurisdictions, rather than deducting them concurrently. Although there have been legislative proposals to repeal or defer the capitalization requirement to later years, there can be no assurance that the provision will be repealed or otherwise modified.

If we fail to maintain proper and effective internal controls over financial reporting, our ability to produce accurate and timely financial statements could be impaired.

Pursuant to Section 404 of the Sarbanes-Oxley Act, our management will be required to report upon the effectiveness of our internal control over financial reporting beginning with the annual report for our fiscal year ending December 31, 2025. When we lose our status as an “EGC” or “SRC” and become an “accelerated filer” or a “large accelerated filer,” our independent registered public accounting firm will be required to attest to the effectiveness of our internal control over financial reporting. The rules governing the standards that must be met for management to assess our internal control over financial reporting are complex and require significant documentation, testing, and possible remediation. To achieve compliance with Section 404 within the prescribed period, we will be engaged in a process to document and evaluate our internal control over financial reporting, which is both costly and challenging. In this regard, we will need to continue to dedicate internal resources, potentially engage outside consultants and adopt a detailed work plan to assess and document the adequacy of internal control over financial reporting, continue steps to improve control processes as appropriate, validate through testing that controls are functioning as documented and implement a continuous reporting and improvement process for internal control over financial reporting. This process will be time-consuming, costly and complicated.

There may be material weaknesses or significant deficiencies in our internal control over financial reporting in the future. Any failure to maintain internal control over financial reporting could severely inhibit our ability to accurately report our financial condition, results of operations, or cash flows. If we are unable to conclude that our internal control over financial reporting is effective, or if our independent registered public accounting firm determines we have a material weakness or significant deficiency in our internal control over financial reporting, investors may lose confidence in the accuracy and completeness of our financial reports, the market price of our common stock could decline, and we could be subject to sanctions or investigations by Nasdaq, the SEC, or other regulatory authorities. Failure to remedy any material weakness in our internal control over financial reporting, or to implement or maintain other effective control systems required of public companies, could also restrict our future access to the capital markets.

 

80


Table of Contents

Our disclosure controls and procedures may not prevent or detect all errors or acts of fraud.

Upon the completion of this offering, we will become subject to the periodic reporting requirements of the Exchange Act. We designed our disclosure controls and procedures to reasonably assure that information we must disclose in reports we file or submit under the Exchange Act is accumulated and communicated to management, and recorded, processed, summarized and reported within the time periods specified in the rules and forms of the SEC. We believe that any disclosure controls and procedures or internal controls and procedures, no matter how well-conceived and operated, can provide only reasonable, not absolute, assurance that the objectives of the control system are met.

These inherent limitations include the realities that judgments in decision-making can be faulty, and that breakdowns can occur because of simple error or mistake. For example, our directors or executive officers could inadvertently fail to disclose a new relationship or arrangement, causing us to fail to make the required related-party transaction disclosures. Additionally, controls can be circumvented by the individual acts of some persons, by collusion of two or more people or by an unauthorized override of the controls. Accordingly, because of the inherent limitations in our control system, misstatements due to error or fraud may occur and not be detected. In addition, we do not have a risk management program or processes or procedures for identifying and addressing risks to our business in other areas.

We, or the third parties upon whom we depend, may be adversely affected by earthquakes, fires, power shortages or other natural disasters our business continuity and disaster recovery plans may not provide adequate protection or coverage.

Our current operations are primarily located in the San Francisco Bay Area. Any unplanned event, such as earthquake, flood, fire, explosion, extreme weather condition, epidemic, power shortage, telecommunication failure or other natural or man-made accident or incident that results in our being unable to fully utilize our facilities, or the manufacturing facilities of our third-party contract manufacturers, may have a material and adverse effect on our ability to operate our business, particularly on a daily basis, and have significant negative consequences on our financial and operating conditions. Loss of access to these facilities may result in increased costs, delays in the development of our therapeutic candidates or interruption of our business operations, and have a material adverse effect on our business, financial condition, results of operations and prospects. If a natural disaster, power outage or other event occurred that prevented us from using all or a significant portion of our headquarters, that damaged critical infrastructure such as our research facilities or the manufacturing facilities of our third-party contract manufacturers, or that otherwise disrupted operations, it may be difficult or, in certain cases, impossible, for us to continue our business for a substantial period of time. Our disaster recovery and business continuity plans may prove inadequate in the event of a serious disaster or similar event. We may incur substantial expenses as a result of the limited nature of our disaster recovery and business continuity plans, which could have a material adverse effect on our business, financial condition, results of operation and prospects. As part of our risk management policy, we maintain insurance coverage at levels that we believe are appropriate for our business. However, in the event of an accident or incident at these facilities, we cannot assure you that the amounts of insurance will be sufficient to satisfy any damages and losses. If our facilities, or the manufacturing facilities of our third-party contract manufacturers, are unable to operate because of an accident, incident or for any other reason, even for a short period of time, any or all of our research and development programs may be harmed. Any such business interruption could have a material and adverse effect on our business, financial condition, results of operations and prospects.

 

81


Table of Contents

Special note regarding forward-looking statements

This prospectus, including the sections entitled “Prospectus summary,” “Risk factors,” “Use of proceeds,” “Management’s discussion and analysis of financial condition and results of operations,” and “Business,” contains forward-looking statements. In some cases, you can identify forward-looking statements by terms such as “believe,” “may,” “will,” “potentially,” “estimate,” “continue,” “anticipate,” “intend,” “could,” “would,” “project,” “plan,” “expect” and similar expressions that convey uncertainty of future events or outcomes, although not all forward-looking statements contain these words. These forward-looking statements are subject to a number of risks, uncertainties and assumptions, including those described in “Risk factors” and elsewhere in this prospectus. Moreover, we operate in a competitive and rapidly changing environment, and new risks emerge from time to time. It is not possible for our management to predict all risks, nor can we assess the impact of all factors on our business or the extent to which any factor, or combination of factors, may cause actual results to differ materially from those contained in any forward-looking statements we may make. In light of these risks, uncertainties and assumptions, the forward-looking events and circumstances discussed in this prospectus may not occur and actual results could differ materially and adversely from those anticipated or implied in the forward-looking statements. The forward-looking statements in this prospectus include, among other things, statements about:

 

 

the timing of our preclinical studies and clinical trials for our therapeutic candidates, including statements regarding the anticipated timing of initiation and completion of studies or trials, the period during which the results of the trials will become available and our development plans;

 

 

the characteristics, safety, tolerability and efficacy of MZE829, MZE782 or any other therapeutic candidates we may develop;

 

 

our ability to develop, obtain and maintain regulatory approval for our therapeutic candidates or any other therapeutic candidates we may develop, including the timing of and costs involved;

 

 

estimates of our addressable market and market growth, including our estimates regarding the patient populations and market opportunities for our therapeutic candidates;

 

 

our expectations regarding demand for, and market acceptance of, our therapeutic candidates in any of the indications in which we plan to develop them, and any other therapeutic candidates we may develop;

 

 

our ability to use our Compass platform to identify new therapeutic targets and advance such targets into clinical development and validate such targets across multiple indications;

 

 

our ability to maintain and expand access to human genetics data;

 

 

our ability to compete effectively with existing competitors and new market entrants;

 

 

the potential effects of extensive government regulations in the United States and foreign countries relating to our industry;

 

 

our ability to obtain, maintain, protect and enforce intellectual property and proprietary rights;

 

 

our ability to operate our business without infringing, misappropriating or otherwise violating the intellectual property rights and proprietary technology of third parties;

 

 

our ability to maintain existing, and establish new, strategic collaborations, licensing or other arrangements, including our ability to comply with our financial obligations pursuant to the terms of such agreements;

 

82


Table of Contents
 

the timing and likelihood of the achievement of milestones pursuant to our existing collaboration and licensing agreements;

 

 

our reliance on and performance of third parties, including our CROs, CMOs, suppliers and manufacturers;

 

 

our ability to expand our pipeline of therapeutic candidates;

 

 

our ability to attract and retain key management and technical personnel;

 

 

general economic, industry and market conditions, including rising interest rates, inflation, uncertainty with respect to the federal debt ceiling and budget and the related potential for government shutdowns, instability in the global banking system, volatile market conditions, supply chain delays, and the ongoing labor shortage;

 

 

the impact of natural disasters, terrorist activity, pandemics, regional conflicts around the world and the global responses thereto and other events beyond our control on any of the above or any other aspect of our business operations;

 

 

our expectations regarding the period during which we will qualify as an emerging growth company under the JOBS Act;

 

 

our expectations regarding expenses, future revenue, capital requirements, and our needs for additional financing; and

 

 

our expected use of the net proceeds from this offering.

The forward-looking statements made in this prospectus relate only to events or information as of the date on which the statements are made in this prospectus. You should not rely upon forward-looking statements as predictions of future events. Although we believe that the expectations reflected in the forward-looking statements are reasonable, we cannot guarantee that the future results, levels of activity, performance or events and circumstances reflected in the forward-looking statements will be achieved or occur. We undertake no obligation to update publicly any forward-looking statements for any reason after the date of this prospectus to conform these statements to actual results or to changes in our expectations, except as required by law.

You should read this prospectus and the documents that we reference in this prospectus and have filed with the SEC as exhibits to the registration statement of which this prospectus is a part with the understanding that our actual future results, levels of activity, performance and events and circumstances may be materially different from what we expect.

 

83


Table of Contents

Market and industry data

This prospectus contains estimates and other statistical data made by independent parties and by us relating to our industry and the markets in which we operate, including our general expectations and market position, market opportunity, the incidence of certain medical conditions and other industry data. These data, to the extent they contain estimates or projections, involve a number of assumptions and limitations, and you are cautioned not to give undue weight to such estimates or projections. Industry publications and other reports we have obtained from independent parties generally state that the data contained in these publications or other reports have been obtained in good faith or from sources considered to be reliable, but they do not guarantee the accuracy or completeness of such data. The industry in which we operate is subject to risks and uncertainties due to a variety of factors, including those described in the section entitled “Risk factors.” These and other factors could cause results to differ materially from those expressed in these publications and reports.

 

84


Table of Contents

Use of proceeds

We estimate that the net proceeds from this offering will be approximately $    million, or approximately $    million if the underwriters exercise their option to purchase additional shares in full, assuming an initial public offering price of $    per share, which is the midpoint of the estimated price range set forth on the cover of this prospectus, after deducting the estimated underwriting discounts and commissions and estimated offering expenses payable by us.

Each $1.00 increase (decrease) in the assumed initial public offering price of $    per share, which is the midpoint of the estimated price range set forth on the cover of this prospectus, would increase (decrease) the net proceeds to us from this offering by $    million, assuming the number of shares of our common stock offered, as set forth on the cover of this prospectus, remains the same, and after deducting the estimated underwriting discounts and commissions. Similarly, each increase (decrease) of 1.0 million shares in the number of shares of our common stock offered would increase (decrease) the net proceeds that we receive from this offering by $    million, assuming that the assumed initial public offering price remains the same and after deducting the estimated underwriting discounts and commissions.

We currently intend to use the net proceeds we receive from this offering, together with our existing cash and cash equivalents, as follows:

 

 

approximately $     to $     million to fund the clinical development of MZE829 through     ;

 

 

approximately $     to $     million to fund the clinical development of MZE782 in CKD through     ;

 

 

approximately $     to $     million to fund the clinical development of MZE782 in PKU through     ;

 

 

approximately $     to $     million to fund the further development of additional common disease programs in CVRM indications, including preclinical studies, IND enabling studies and initiation of clinical trials, as well as further development of our Compass platform; and

 

 

the remainder for working capital and other general corporate purposes.

Based on our planned use of the net proceeds from this offering, we estimate such funds, together with our existing cash and cash equivalents, will be sufficient for us to fund our operating expenses and capital expenditure requirements through    . We have based this estimate on assumptions that may prove to be wrong, and we could use our available capital resources sooner than we expect.

The expected use of the net proceeds from this offering represents our intentions based upon our current plans and business conditions. The amounts we actually expend in these areas, and the timing thereof, may vary significantly from our current intentions and will depend on a number of factors, including the success of research and development efforts, the results and timing of any future preclinical studies and clinical trials, the product approval process with the FDA and other regulatory agencies, any new collaborations or licenses we may enter into, cash generated from future operations and actual expenses to operate our business. We may also use a portion of the net proceeds of this offering to acquire or invest in complementary businesses, products, or technologies, or to obtain the right to use such complementary technologies. We have no commitments with respect to any acquisition or investment, and we are not currently involved in any negotiations with respect to any such transaction.

 

85


Table of Contents

As a result, we cannot predict with any certainty all of the particular uses for the net proceeds or the amounts that we will actually spend on the uses set forth above. Accordingly, our management will have broad discretion in the application of the net proceeds, and investors will be relying on the judgment of our management regarding the application of the net proceeds of this offering.

The expected net proceeds of this offering will not be sufficient for us to fund any of our therapeutic candidates through regulatory approval, and we will need to raise substantial additional capital to complete the development and commercialization of our therapeutic candidates.

Pending the uses described above, we intend to invest the net proceeds from this offering in short-term, investment-grade interest-bearing securities such as money market accounts, certificates of deposit, commercial paper and guaranteed obligations of the U.S. government.

 

86


Table of Contents

Dividend policy

We have never declared or paid cash dividends on our common stock. We currently intend to retain all available funds and any future earnings for use in the operation of our business and do not anticipate paying any cash dividends on our common stock in the foreseeable future. Any future determination to declare dividends will be made at the discretion of our board of directors and will depend on our financial condition, operating results, capital requirements, general business conditions and other factors that our board of directors may deem relevant. In addition, the terms of the Loan Agreement place restrictions on our ability to pay cash dividends on our capital stock.

 

87


Table of Contents

Capitalization

The following table sets forth our cash and cash equivalents and capitalization as of September 30, 2024:

 

 

on an actual basis;

 

 

on a pro forma basis, giving effect to (i) the sale and issuance of the Series D Preferred Stock subsequent to September 30, 2024 and the receipt of gross proceeds of $75.0 million therefrom and the adjustment of the conversion ratios for our Series B Preferred Stock and Series C Preferred Stock related to the Series D financing, (ii) the cancellation and conversion of our outstanding convertible promissory notes into the Series D-1 Preferred Stock subsequent to September 30, 2024, (iii) the automatic conversion of all outstanding shares of our redeemable convertible preferred stock into an aggregate of 314,170,263 shares of our common stock immediately prior to the completion of this offering, including shares of Series D Preferred Stock and Series D-1 Preferred Stock, and the related reclassification of the carrying value of the redeemable convertible preferred stock to permanent equity immediately prior to the completion of this offering, and (iv) the filing and effectiveness of our restated certificate of incorporation in connection with the completion of this offering; and

 

 

on a pro forma as adjusted basis giving further effect to (i) the pro forma adjustments described above, and (ii) the sale of     shares of our common stock in this offering at an assumed initial public offering price of $     per share, the midpoint of the estimated price range set forth on the cover of this prospectus, after deducting the estimated underwriting discounts and commissions and estimated offering expenses payable by us.

The pro forma as adjusted information set forth below is illustrative only and will be adjusted based on the actual initial public offering price and other terms of this offering determined at pricing.

You should read this table together with the section entitled “Management’s discussion and analysis of financial condition and results of operations” and our financial statements and related notes, each included elsewhere in this prospectus.

 

88


Table of Contents
   
     As of September 30, 2024  
      Actual           Pro forma (1)           Pro forma
as adjusted (2)
 
     (in thousands, except share and per share data)  

Cash and cash equivalents

   $ 149,607        $ 224,628       
  

 

 

      

 

 

      

 

 

 

Convertible promissory notes

     51,748                

Redeemable convertible preferred stock, par value $0.001 per share; 203,415,024 shares authorized, issued and outstanding, actual; no shares authorized, issued and outstanding, pro forma and pro forma as adjusted

     383,902                

Stockholders’ (deficit) equity:

            

Preferred stock, par value $0.001 per share; no shares authorized, issued and outstanding, actual; 10,000,000 shares authorized, no shares issued and outstanding, pro forma and pro forma as adjusted

                    

Common stock, par value $0.001 per share; 268,150,000 shares authorized, 23,526,903 shares issued and outstanding, actual; 500,000,000 shares authorized, pro forma; 337,697,166 shares issued and outstanding, pro forma; 500,000,000 shares authorized,     shares issued and outstanding, pro forma as adjusted

     23          337       

Additional paid-in capital

     29,321          556,294       

Accumulated deficit

     (313,876        (330,492     
  

 

 

      

 

 

      

 

 

 

Total stockholders’ (deficit) equity

     (284,532        226,139       
  

 

 

      

 

 

      

 

 

 

Total capitalization

   $ 151,118        $ 226,139       
  

 

 

      

 

 

      

 

 

 

 

 

Each $1.00 increase (decrease) in the assumed initial public offering price of $     per share, which is the midpoint of the estimated price range set forth on the cover of this prospectus, would increase (decrease) each of our pro forma as adjusted cash and cash equivalents, additional paid-in-capital, total stockholders’ equity (deficit) and total capitalization by approximately $    million, assuming that the number of shares of our common stock offered remains the same and after deducting the estimated underwriting discounts and commissions. Similarly, each increase (decrease) of 1.0 million shares in the number of shares of our common stock offered would increase (decrease) each of our pro forma as adjusted cash and cash equivalents, additional paid-in-capital, total stockholders’ equity (deficit) and total capitalization by approximately $    million, assuming the assumed initial public offering price remains the same and after deducting the estimated underwriting discounts and commissions.

If the underwriters exercise their option to purchase additional shares of our common stock in full, our pro forma as adjusted cash and cash equivalents, additional paid-in capital, total stockholders’ equity (deficit) and total capitalization would increase by approximately $    million.

The shares of our common stock issued and outstanding, pro forma and pro forma as adjusted in the table above includes 101,605 unvested restricted shares subject to repurchase.

 

89


Table of Contents

The table above excludes the following shares:

 

 

36,421,972 shares of our common stock issuable upon the exercise of options to purchase shares of our common stock outstanding as of September 30, 2024 under our 2019 Plan, with a weighted-average exercise price of $1.09 per share, which includes adjustments related to our repricing of outstanding stock options in December 2024;

 

 

16,104,100 shares of our common stock issuable upon the exercise of options to purchase shares of our common stock granted after September 30, 2024 under our 2019 Plan, with a weighted-average exercise price of $1.08 per share; and

 

 

     shares of our common stock reserved for future issuance under our equity compensation plans, consisting of:

 

   

22,540,468 shares of our common stock reserved for future issuance under our 2019 Plan, which includes the increase of 20,726,731 shares reserved for issuance under our 2019 Plan in November 2024;

 

   

     shares of our common stock to be reserved for future issuance under our 2025 Plan, which will become effective immediately prior to the date of the effectiveness of the registration statement of which this prospectus forms a part; and

 

   

    shares of our common stock to be reserved for future issuance under our ESPP, which will become effective on the date of the effectiveness of the registration statement of which this prospectus forms a part.

Our 2025 Plan and our ESPP provide for automatic annual increases in the number of shares of our common stock reserved thereunder, and our 2025 Plan provides for increases to the number of shares that may be granted thereunder based on shares under our 2019 Plan that expire, are tendered to or withheld by us for payment of an exercise price or for satisfying tax withholding obligations or are forfeited or otherwise repurchased by us. See the section entitled “Executive compensation—Equity compensation plans and other benefit plans” for additional information.

 

90


Table of Contents

Dilution

If you invest in our common stock in this offering, your ownership interest will be immediately diluted to the extent of the difference between the initial public offering price per share of our common stock in this offering and the pro forma as adjusted net tangible book value per share of our common stock immediately after this offering.

Net tangible book deficit per share is determined by dividing our total tangible assets (which excludes deferred offering costs) less our total liabilities and redeemable convertible preferred stock by the number of shares of our common stock outstanding. Our historical net tangible book deficit as of September 30, 2024 was $287.8 million, or $12.23 per share, based on 23,526,903 shares of our common stock outstanding as of that date.

Our pro forma net tangible book value as of September 30, 2024 was $     million, or $     per share of our common stock. Our pro forma net tangible book value per share represents the amount of our total tangible assets (which excludes deferred offering costs) less our total liabilities divided by the total number of shares of our common stock outstanding as of September 30, 2024, after giving effect to (i) the sale and issuance of the Series D Preferred Stock subsequent to September 30, 2024, the receipt of gross proceeds of $75.0 million therefrom and the adjustment of the conversion ratios for our Series B Preferred Stock and Series C Preferred Stock related to the Series D financing, (ii) the cancellation and conversion of our outstanding convertible promissory notes into the Series D-1 Preferred Stock subsequent to September 30, 2024, and (iii) the automatic conversion of all outstanding shares of our redeemable convertible preferred stock, including shares of Series D Preferred Stock and Series D-1 Preferred Stock, into an aggregate of 314,170,263 shares of our common stock immediately prior to the completion of this offering.

Net tangible book value dilution per share to new investors in this offering represents the difference between the initial public offering price per shares of our common stock and the pro forma as adjusted net tangible book value per share of our common stock immediately after completion of this offering. After giving effect to (i) the pro forma adjustments set forth above and (ii) our sale in this offering of    shares of our common stock at an assumed initial public offering price of $    per share, which is the midpoint of the estimated price range set forth on the cover of this prospectus, and after deducting the estimated underwriting discounts and commissions and estimated offering expenses payable by us, our pro forma as adjusted net tangible book value as of September 30, 2024 would have been approximately $    million, or $    per share of our common stock. This represents an immediate increase in pro forma net tangible book value of $    per share to our existing stockholders and an immediate dilution of $    per share to investors in this offering, as illustrated in the following table:

 

Assumed initial public offering price, per share

   $               

Historical net tangible book deficit per share as of September 30, 2024

   $ (12.23  

Increase attributable to pro forma adjustments

    
  

 

 

   

Pro forma net tangible book value per share as of September 30, 2024

    

Increase in pro forma net tangible book value per share attributable to new investors in this offering

    
  

 

 

   

Pro forma as adjusted net tangible book value per share after this offering

    
    

 

 

 

Dilution per share to new investors in this offering

     $       
    

 

 

 

 

 

Each $1.00 increase (decrease) in the assumed initial public offering price of $    per share, which is the midpoint of the estimated price range set forth on the cover of this prospectus, would increase (decrease) our pro forma as adjusted net tangible book value by $    million, or $    per share and the dilution in pro forma as adjusted net tangible book value per share to new investors in this offering by $    per share, assuming the number of shares offered, as set forth on the cover of this prospectus, remains the same,

 

91


Table of Contents

and after deducting estimated underwriting discounts and commissions. Similarly, each increase of 1.0 million shares in the number of shares of our common stock offered in this offering would increase our pro forma as adjusted net tangible book value by approximately $    million, or approximately $    per share, and would decrease dilution per share to new investors in this offering by approximately $    per share and each decrease of 1.0 million shares in the number of shares of our common stock offered in this offering would decrease our pro forma as adjusted net tangible book value by approximately $    million, or approximately $    per share, and would increase dilution per share to new investors in this offering by approximately $    per share, assuming the assumed initial public offering price per share remains the same and after deducting the estimated underwriting discounts and commissions. The pro forma as adjusted information is illustrative only, and we will adjust this information based on the actual initial public offering price and other terms of this offering determined at pricing.

If the underwriters exercise their option in full to purchase additional shares of our common stock, the pro forma as adjusted net tangible book value per share after this offering would be $     per share, the increase in pro forma as adjusted net tangible book value per share to existing stockholders would be $     per share and the dilution to new investors in this offering would be $     per share.

The following table shows, as of September 30, 2024, on a pro forma as adjusted basis described above, the differences between the existing stockholders and the new investors purchasing shares in this offering with respect to the number of shares purchased from us, the total consideration paid, which includes net proceeds received from the issuance of common and redeemable convertible preferred stock, cash received from the exercise of stock options, and the value of any stock issued for services and the average price paid per share (in thousands, except share and per share data, and percentages):

 

       
     Shares purchased      Total consideration      Weighted-
average
price
per share
 
      Number      Percent      Amount      Percent  

Existing stockholders

        %      $             %      $       

New investors

              
  

 

 

    

Total

        100.0%      $          100.0%     

 

 

Each $1.00 increase (decrease) in the assumed initial public offering price of $    per share, which is the midpoint of the estimated price range set forth on the cover of this prospectus, would increase (decrease) total consideration paid by new investors and total consideration paid by all stockholders by approximately $    million, assuming that the number of shares offered, as set forth on the cover of this prospectus, remains the same. Similarly, each increase (decrease) of 1.0 million shares in the number of shares of our common stock offered in this offering would increase (decrease) total consideration paid by new investors and total consideration paid by all stockholders by approximately $    million, assuming the assumed initial public offering price remains the same.

In addition, to the extent that any outstanding options are exercised, investors in this offering will experience further dilution.

Except as otherwise indicated, the above discussion and tables assume no exercise of the underwriters’ option to purchase additional shares of our common stock. If the underwriters exercise their option to purchase additional shares of our common stock in full, our existing stockholders would own    % and our new investors would own    % of the total number of shares of our common stock outstanding upon the completion of this offering.

The number of shares of our common stock that will be outstanding after this offering is based on      shares of our common stock after giving effect to the conversion of our redeemable convertible preferred stock

 

92


Table of Contents

as of September 30, 2024, including shares of Series D Preferred Stock and Series D-1 Preferred Stock issued subsequent to September 30, 2024, and excludes the following:

 

 

36,421,972 shares of our common stock issuable upon the exercise of options to purchase shares of our common stock outstanding as of September 30, 2024 under our 2019 Plan, with a weighted-average exercise price of $1.09 per share, which includes adjustments related to our repricing of outstanding stock options in December 2024;

 

 

16,104,100 shares of our common stock issuable upon the exercise of options to purchase shares of our common stock granted after September 30, 2024 under our 2019 Plan, with a weighted-average exercise price of $1.08 per share;

 

 

    shares of our common stock reserved for future issuance under our equity compensation plans, consisting of:

 

   

22,540,468 shares of our common stock reserved for future issuance under our 2019 Plan, which includes the increase of 20,726,731 shares reserved for issuance under our 2019 Plan in November 2024;

 

   

     shares of our common stock to be reserved for future issuance under our 2025 Plan, which will become effective immediately prior to the date of the effectiveness of the registration statement of which this prospectus forms a part; and

 

 

    shares of our common stock to be reserved for future issuance under our ESPP, which will become effective on the date of the effectiveness of the registration statement of which this prospectus forms a part.

Our 2025 Plan and ESPP provide for automatic annual increases in the number of shares of our common stock reserved thereunder, and our 2025 Plan provides for increases to the number of shares that may be granted thereunder based on shares under our 2019 Plan that expire, are tendered to or withheld by us for payment of an exercise price or for satisfying tax withholding obligations or are forfeited or otherwise repurchased by us. See the section entitled “Executive compensation—Equity compensation plans and other benefit plans” for additional information.

To the extent that these outstanding stock options are exercised, new stock options are issued or we issue additional shares of our common stock in the future, there will be further dilution to new investors. In addition, we may choose to raise additional capital because of market conditions or strategic considerations, even if we believe that we have sufficient funds for our current or future operating plans. If we raise additional capital through the sale of equity or convertible debt securities, the issuance of these securities could result in further dilution to our stockholders.

 

93


Table of Contents

Management’s discussion and analysis of financial condition and results of operations

You should read the following discussion and analysis of our financial condition and results of operations together with our financial statements and related notes included elsewhere in this prospectus. This discussion contains forward-looking statements based upon our current plans and expectations that involve risks, uncertainties and assumptions, including those described in the section entitled “Special note regarding forward-looking statements.” Our actual results and the timing of selected events could differ materially from those discussed in these forward-looking statements. Factors that could cause or contribute to such differences include, but are not limited to, those identified below and those set forth under the section entitled “Risk factors.”

Overview

We are a clinical-stage biopharmaceutical company harnessing the power of human genetics to develop novel, small molecule precision medicines for patients living with CVRM diseases, including obesity. We are advancing a pipeline using our Compass platform, which allows us to identify and characterize genetic variants in disease and then link those variants to the biological pathways that drive disease in specific patient groups through a process we refer to as variant functionalization. Our Compass platform has been purpose-built to inform all phases of our drug discovery and development process through clinical trial design. We are currently advancing two wholly owned lead programs, MZE829 and MZE782, each of which represents a novel precision medicine-based approach. Our goal is to bring novel precision medicines to patients with CVRM diseases, which is where we believe we can maximize our impact on human health.

Since our inception, we have focused substantially all of our efforts and financial resources on research and development activities for our programs and on establishing arrangements and collaborations with third parties for the development of our therapeutic candidates. To date, we have not generated any revenue from product sales and we do not expect to generate any revenue from commercial sales for the foreseeable future. Except for the one-time, nonrefundable upfront payments we received pursuant to the license agreements we entered into with several biotechnology companies in 2024, including the exclusive license agreement with Shionogi & Company, Ltd., or Shionogi, we expect to continue incurring significant operating losses for the foreseeable future due to the cost of research and development, clinical trials, preclinical studies and the regulatory approval process for our therapeutic candidates.

Other than the net income of $81.8 million we recorded for the nine months ended September 30, 2024 as a result of license revenue recognized under our license agreements, we have incurred significant net losses and negative cash flows from operations since our inception. During the years ended December 31, 2022 and 2023, we incurred net losses of $114.9 million and $100.4 million, respectively, and during the nine months ended September 30, 2023, we incurred a net loss of $73.8 million. As of September 30, 2024, we had an accumulated deficit of $313.9 million and do not expect positive cash flows from operations in the foreseeable future. We expect to continue incurring significant expenses and increasing losses for the foreseeable future. Our net losses may fluctuate significantly from period to period, depending on the timing of and expenditures on our planned research and development activities, as well as upon revenue from our license agreements. We expect our research and development expenses to significantly increase in connection with the conduct of planned clinical trials for our lead programs, MZE829 and MZE782, further development of our Compass platform, planned preclinical studies, and potential INDs and clinical trials for future therapeutic candidates. We will also incur substantial additional expenses as we seek to expand our intellectual property portfolio, including through potential in-licensing opportunities, and hire additional personnel as we scale up our operations. Once we are a public company, we will incur additional costs associated with operating as a public company.

 

94


Table of Contents

As of September 30, 2024, we had cash and cash equivalents of $149.6 million. Since our inception, we have financed our operations primarily through issuances of redeemable convertible preferred stock, license agreements with biotechnology companies and issuances of convertible promissory notes. During the nine months ended September 30, 2024, we received one-time, nonrefundable upfront payments of $167.5 million in the aggregate from our three license agreements, including our exclusive license agreement with Shionogi. In November 2024, we completed the sale and issuance of 54,394,445 shares of our Series D Preferred Stock, at an offering price of $1.3792 per share. The gross proceeds from the Series D Preferred Stock offering were approximately $75.0 million.

We will require substantial additional capital to develop our therapeutic candidates and fund operations for the foreseeable future. Until such time as we can generate sufficient revenue from product sales, if ever, we expect to finance our operations through a combination of public or private equity offerings, debt financings, collaborations and licensing arrangements. We are party to a loan and security agreement that provides us with a line of credit of up to $50.0 million. To date, we have not drawn down any funds from this debt facility and do not currently intend to do so. Adequate additional financing may not be available to us on favorable terms, or at all. In addition, we may seek additional capital due to favorable market conditions or strategic considerations even if we believe we have sufficient funds for our current or future operating plans. If we are unable to raise capital when needed or on favorable terms, we could be forced to delay, reduce or eliminate our clinical and preclinical development, research and development programs, our commercialization plans or other operations. The amount and timing of our future funding requirements will depend on many factors including the pace and results of our development efforts. We cannot assure you that we will ever be profitable or generate positive cash flows from operating activities.

We selectively pursue strategic collaborations related to the development of certain targets, therapeutic programs, or disease areas where we believe third-party expertise or resources could be beneficial. In 2020, we formed a spin-out company, Broadwing, with Alloy to develop therapeutic antibody therapies for ANGPTL7 and another undisclosed target in ophthalmic diseases, informed by our Compass platform. As of September 30, 2024, we owned approximately 48% of the outstanding equity of Broadwing, and we expect our ownership to be significantly diluted upon the conversion of outstanding convertible notes issued by Broadwing. We retain certain opt-in rights to jointly develop and commercialize certain therapeutic candidates developed through Broadwing with Alloy. We are not involved in the development of Broadwing’s therapeutic candidate.

Exclusive license agreement

Exclusive license agreement with Shionogi

In March 2024, we entered into an exclusive license agreement, or the License Agreement, with Shionogi, pursuant to which we granted Shionogi an exclusive, worldwide, sublicensable license to research, develop, manufacture and commercialize MZE001 and certain other small molecule compounds modulating glycogen synthase 1, or the Licensed Products. As consideration for the licensed rights and the transfer of know-how and materials, we received an upfront payment of $150 million, which is the only payment we have received under the License Agreement to date. The License Agreement also requires that Shionogi pay us up to $275 million in the aggregate in milestone payments upon the completion of certain clinical and regulatory milestones and up to $330 million in the aggregate in milestone payments if certain sales milestones are achieved. The License Agreement also requires that Shionogi pay us tiered royalties ranging from percentages in the low double-digits to twenty on net sales of Licensed Products, subject to certain deductions.

The License Agreement will expire on a Licensed-Product by Licensed-Product and country-by-country basis upon the expiration of the royalty term for such Licensed Product, which will be the latest of the date when there are no remaining valid claims covering the applicable Licensed Product, the expiration of regulatory exclusivity for the applicable Licensed Product, or 11 years after the first commercial sale of the applicable

 

95


Table of Contents

Licensed Product, subject to earlier termination by the parties. As of September 30, 2024, we estimate that the last patent right for the only currently issued patent licensed under the License Agreement will expire in 2042, without giving effect to any potential patent term extensions, patent term adjustments, or future patents that may or may not issue with respect to the Licensed Products. Upon expiration of the License Agreement, the licenses granted to Shionogi will become fully paid-up, perpetual, irrevocable and royalty-free. Shionogi may terminate the License Agreement for convenience following a notice period and either party may terminate the License Agreement for bankruptcy or an uncured material breach. Upon termination of the License Agreement by Shionogi for convenience or by us for Shionogi’s bankruptcy or uncured material breach, Shionogi will grant us a non-exclusive, worldwide license under certain patent rights and know-how controlled by Shionogi as of the effective date of termination, solely as necessary to research, develop, manufacture and commercialize the Licensed Products in any field, and Shionogi will assign to us all regulatory materials and regulatory approvals relating to the Licensed Products. In consideration for these reversion rights, we would be required to pay to Shionogi reversion royalties on any sales of the Licensed Products determined based on the stage of clinical development of the applicable Licensed Product at the time of termination, ranging from percentages in the low-to-mid single digits if termination occurs on or after the achievement of certain Phase 2 clinical trial milestones and high single digit to mid-teens if termination occurs on or after the achievement of certain Phase 3 clinical milestones. Our obligation to pay these reversion royalties would expire on a Licensed-Product by Licensed-Product and country-by-country basis upon the latest of the date when there are no remaining valid claims covering the applicable Licensed Product, the expiration of regulatory exclusivity for the applicable Licensed Product, or ten years after the first commercial sale of the applicable Licensed Product.

Components of results of operations

License revenue

We recognize revenue from the various license agreements we have entered as the identified performance obligations under these arrangements are satisfied. We are also eligible to receive future non-refundable, non-creditable milestone payments upon the achievement of certain development, regulatory, and commercial milestones. Additionally, we are also eligible to receive certain royalties on net sales of products developed under the license agreements.

Operating expenses

Our operating expenses since inception have consisted solely of research and development expenses and general and administrative expenses.

Research and development expenses

Our research and development expenses consist primarily of external and internal expenses incurred in connection with our research activities and preclinical and clinical development programs. These expenses include, but are not limited to:

 

 

salaries, benefits and other employee-related costs, including stock-based compensation expense, for personnel engaged in research and development functions;

 

 

fees paid to vendors that conduct certain research and development activities on our behalf;

 

 

fees paid to CMOs in connection with the production of research products and clinical trial materials;

 

 

fees paid to CROs in connection with clinical trials as well as preclinical and toxicology studies;

 

 

other expenses associated with laboratory supplies and other materials;

 

 

professional service fees for consulting and related services; and

 

96


Table of Contents
 

facility costs, depreciation, and other expenses, which include direct and allocated expenses for rent and maintenance of facilities and other supplies.

We recognize research and development expenses as they are incurred. Nonrefundable advance payments for goods or services that will be used or rendered for future research and development activities are capitalized and expensed as the goods are delivered or the related services are performed. We have not historically broken out our direct costs between our clinical programs and our preclinical programs. Additionally, our internal costs, employees and infrastructure are not directly tied to any one program and are deployed across multiple programs. As such, we do not track indirect costs on a specific program basis.

At this time, we cannot reasonably estimate or know the nature, timing, and estimated costs of the efforts that will be necessary to complete the development of, and obtain regulatory approval for, MZE829, MZE782 and any of our other potential therapeutic candidates.

Our research and development expenses may vary significantly based on a variety of factors, such as:

 

 

the timing and progress of clinical development activities for our therapeutic candidates;

 

 

the timing and progress of preclinical development activities;

 

 

the number and scope of preclinical and clinical programs we decide to pursue;

 

 

our ability to hire clinical, regulatory, manufacturing, quality assurance and scientific personnel;

 

 

potential additional trials requested by regulatory agencies;

 

 

the costs and fees associated with the discovery, acquisition or in-license of our products or technologies, including to maintain and expand our Compass platform;

 

 

our ability to establish clinical manufacturing capabilities or secure adequate supply of product from third-party manufacturers;

 

 

the extent to which we establish additional strategic collaborations or other arrangements; and

 

 

the impact of any business interruptions to our operations or to those of the third parties with whom we work.

A change in the outcome of any of these and other variables with respect to the development of any of our therapeutic candidates could significantly change the costs and timing associated with the development of such therapeutic candidate. We expect that our research and development expenses will continue to increase substantially for the foreseeable future as we continue to identify and develop potential additional therapeutic candidates and as our existing therapeutic candidates, including MZE829 and MZE782, move into later stages of clinical development, which typically have higher development costs than those in earlier stages of clinical development or preclinical development due to the increased size and duration of later-stage clinical trials.

The process of conducting the necessary preclinical and clinical research and development to obtain regulatory approval is costly and time-consuming and the successful development of our therapeutic candidates is highly uncertain. The actual probability of success for our therapeutic candidates may be affected by a variety of factors. We may never succeed in achieving regulatory approval for any of our therapeutic candidates. Further, a number of factors, including those outside of our control, could adversely impact the timing and duration of our therapeutic candidates’ development, which could increase our research and development expenses.

 

97


Table of Contents

General and administrative expenses

General and administrative expenses consist primarily of personnel-related costs, including salaries, bonuses, benefits, and stock-based compensation expense, for personnel in executive, finance, accounting, corporate development, and other administrative functions. General and administrative expenses also include legal fees, professional fees paid for accounting, auditing, consulting, tax, and investor relations services, insurance costs, and facility costs not otherwise included in research and development expenses, and following this offering will include public company expenses such as costs associated with compliance with the rules and regulations of the SEC and Nasdaq.

We expect that our general and administrative expenses will continue to increase significantly in the foreseeable future as additional administrative personnel and services are required to manage these functions of a public company and as our pipeline of therapeutic candidates expands.

Interest and other income, net

Interest and other income, net consists of interest income earned on our cash and cash equivalents, interest expense, foreign currency re-measurement and transaction gains and losses. We expect interest income to increase as a result of the one-time, nonrefundable upfront payments of $167.5 million in the aggregate that we received pursuant to the license agreements we entered into with several biotechnology companies in 2024, including the exclusive license agreement with Shionogi, and the receipt of $75.0 million in gross proceeds from the Series D Preferred Stock offering that we completed in November 2024. However, interest income may vary each reporting period depending on our average cash deposits, money market fund balances, and other investment balances during the period and prevailing market interest rates. We expect foreign currency gains and losses to vary each reporting period depending on the fluctuations in foreign currency exchange rates.

Change in fair value of convertible promissory notes

The convertible promissory notes issued from December 2023 through September 30, 2024 contain automatic conversion features that are triggered upon a qualified preferred stock financing or a qualified public offering. We elected to apply the fair value option, as per Accounting Standards Codification, or ASC, Section 825-10, to the outstanding convertible promissory notes issued. As such, the convertible promissory notes are recognized at fair value with changes in fair value recognized in the statements of operations and comprehensive income (loss). The fair value of the convertible promissory notes was $20.1 million as of December 31, 2023. We recorded a loss of $3.8 million, reflecting the change in the fair value of the convertible promissory notes in the statements of operations and comprehensive loss for the year ended December 31, 2023. The fair value of the convertible promissory notes was $51.7 million as of September 30, 2024. We recorded an additional loss of $7.2 million, reflecting the change in the fair value of the convertible promissory notes in the condensed statements of operations and comprehensive income (loss) for the nine months ended September 30, 2024. The impact of interest expense on the convertible promissory notes is included within the changes in fair value. In connection with the Series D Preferred Stock offering that we completed in November 2024, which was a qualified preferred stock financing pursuant to the terms of the convertible promissory notes, the outstanding convertible promissory notes automatically converted into 39,395,572 shares of Series D-1 Preferred Stock at a conversion price of $1.10336 per share.

Net loss on impairment and dissolution of equity method investment and share in net loss of equity method investments

The net loss on impairment and dissolution of equity method investment relates to the dissolution in October 2022 of Contour Therapeutics LLC, or Contour, an entity in which we had a 30% equity interest. We no longer

 

98


Table of Contents

record any carrying value or losses related to this investment because of its dissolution. Share in net loss of equity method investments consists of our proportionate share of the net earnings or losses and other comprehensive income or loss of our equity method investees based on our ownership percentage of common stock, common stock equivalents or preferred stock during the respective reporting period. Because we have no obligation to provide cash financing or other financial support to our other equity method investee, Broadwing, and the carrying value of that investment was reduced to zero in 2022, no additional losses were recorded in 2023 or thereafter.

Results of operations

Comparisons of the years ended December 31, 2022 and 2023

 

     
     Year ended
December 31,
       
      2022     2023     Change  
     (in thousands)  

Operating expenses:

      

Research and development

   $ 88,192     $ 73,945     $ (14,247

General and administrative

     22,834       24,606       1,772  
  

 

 

 

Total operating expenses

     111,026       98,551       (12,475
  

 

 

 

Loss from operations

     (111,026     (98,551     12,475  

Interest and other income, net

     2,028       1,966       (62

Change in fair value of convertible promissory notes

           (3,830     (3,830

Net loss on impairment and dissolution of equity method investment

     (2,400           2,400  

Share in net loss of equity method investments

     (3,542           3,542  
  

 

 

 

Net loss and comprehensive loss

   $ (114,940   $ (100,415   $ 14,525  

 

 

Research and development expenses

Research and development expenses were $88.2 million for the year ended December 31, 2022 compared to $73.9 million for the year ended December 31, 2023. The decrease of $14.2 million was primarily due to a decrease of $17.7 million in clinical trial, manufacturing and outside research and development services which were higher in fiscal year 2022 based on the progression of our preclinical programs and our Phase 1 clinical trial for MZE001 in healthy volunteers that we completed in 2022. The decrease was partially offset by an increase of personnel-related costs of $2.8 million, including higher non-cash stock-based compensation expense of $1.6 million, based on an overall increase in headcount, as well as an increase in facilities, depreciation, and other expenses of $0.7 million.

 

     
     Year ended
December 31,
        
        2022      2023      Change  
     (in thousands)  

Clinical trial expenses

   $ 9,612      $ 3,664      $ (5,948

Manufacturing expenses

     9,101        4,061        (5,040

Outside research and development services

     18,204        11,455        (6,749

Personnel-related costs

     31,357        34,140        2,783  

Facilities, depreciation, and other expenses

     19,918        20,625        707  
  

 

 

 

Total research and development expenses

   $ 88,192      $ 73,945      $ (14,247

 

 

 

99


Table of Contents

General and administrative expenses

General and administrative expenses were $22.8 million for the year ended December 31, 2022, compared to $24.6 million for the year ended December 31, 2023. The increase of $1.8 million was primarily due to higher legal costs, including one-time costs associated with a regulatory review of a proposed out-license agreement in 2023, and an increase of $0.4 million in facilities and other costs, partially offset by a decrease of $0.4 million in personnel-related costs.

Interest and other income, net

Interest and other income, net was $2.0 million for each of the years ended December 31, 2022 and 2023, reflecting an immaterial change year over year.

Change in fair value of convertible promissory notes

The convertible promissory notes issued in December 2023 contain automatic conversion features that are triggered upon a qualified preferred stock financing or a qualified public offering. We elected to apply the fair value option to the convertible promissory notes issued. As such, the convertible promissory notes are recorded at fair value at each reporting period with changes in fair value recognized in the statements of operations and comprehensive loss. For the year ended December 31, 2023, the change in fair value of the convertible promissory notes resulted in a loss of $3.8 million.

Net loss on impairment and dissolution of equity method investment

In December 2020, we and BridgeBio Pharma LLC, or BridgeBio, completed the formation of a joint venture entity, Contour, pursuant to which we and BridgeBio received a 30% and 70% equity interest in Contour, respectively. In May 2022, we and BridgeBio entered into an agreement wherein BridgeBio was formally released from providing any further cash to Contour under its commitment to the joint venture, and as a result, we were released from our commitment liability to provide in-kind services to Contour. Accordingly, in June 2022, we determined our investment in Contour was impaired and recorded a loss on impairment of $5.4 million. Contour was dissolved in October 2022. As we were released from our commitment liability to provide in-kind services to Contour, we recorded a corresponding gain of $3.0 million for the year ended December 31, 2022, resulting in an overall net loss on impairment and dissolution of our equity method investment in Contour of $2.4 million.

Share in net loss of equity method investments 

Share in net loss of equity method investments was $3.5 million for the year ended December 31, 2022, which represents the proportionate share of the net losses of our equity method investees based on our percentage of common stock ownership during the respective reporting period. Our share of Broadwing’s losses exceeded the carrying amount of our equity investment during the year ended December 31, 2022. Accordingly, no additional losses under the equity method were recorded in the year ended December 31, 2023.

 

100


Table of Contents

Comparison of the nine months ended September 30, 2023 and 2024

 

     
     Nine months ended
September 30,
       
      2023     2024     Change  
           (in thousands)  

License revenue

   $     $ 167,500     $ 167,500  

Operating expenses:

      

Research and development

     57,900       61,280       3,380  

General and administrative

     17,600       18,908       1,308  
  

 

 

 

Total operating expenses

     75,500       80,188       4,688  

(Loss) income from operations

     (75,500     87,312       162,812  

Interest and other income, net

     1,662       3,138       1,476  

Change in fair value of convertible promissory notes

           (7,193     (7,193
  

 

 

 

(Loss) income before income tax expense

   $ (73,838   $ 83,257     $ 157,095  

Income tax expense

           (1,447     (1,447
  

 

 

 

Net (loss) income and comprehensive (loss) income

   $ (73,838   $ 81,810     $ 155,648  

 

 

License revenue

We recognized a total of $167.5 million of license revenue for the nine months ended September 30, 2024. License revenue primarily related to the License Agreement with Shionogi, wherein we received an upfront payment of $150.0 million in exchange for the transfer of the license, know-how, and materials related to the research, development, manufacture and commercialization of MZE001 and certain other small molecule compounds modulating glycogen synthase 1. License revenue also included $15.0 million related to the exclusive license agreement with Trace Neuroscience, Inc., or Trace, wherein we received an upfront payment of $15.0 million in exchange for the transfer of the license, know-how, and materials related to the research, development, manufacture and commercialization of a discovery research program targeting UNC13A for the treatment of amyotrophic lateral sclerosis, or ALS, and $2.5 million related to the exclusive license agreement with Neurocrine Biosciences, Inc., or Neurocrine, for the transfer of the license, know-how and materials related to a discovery research program targeting ATXN2. We recognized no license revenue for the nine months ended September 30, 2023.

Research and development expenses

Research and development expenses were $57.9 million for the nine months ended September 30, 2023, compared to $61.3 million for the nine months ended September 30, 2024. The increase of $3.4 million was primarily due to an increase of $3.9 million in clinical trial expenses which were higher in fiscal year 2024 based on the progression of our Phase 1 clinical trial for MZE829 that was initiated in December 2023, initiation of our Phase 1 clinical trial for MZE782 in September 2024 and start up activities for our Phase 2 clinical trial for MZE829 that we initiated in November 2024. The increase also reflects higher outside research and development services of $0.8 million primarily related to preclinical studies for MZE782. The increase was partially offset by a decrease of $0.8 million in manufacturing expenses primarily related to costs incurred in

 

101


Table of Contents

2023 for the manufacture of clinical supply for the MZE001 program that we licensed to Shionogi in March 2024, as well as lower personnel-related costs of $0.5 million.

 

     
     Nine months ended
September 30,
        
      2023      2024      Change  
            (in thousands)  

Clinical trial expenses

   $ 3,064      $ 6,921      $ 3,857  

Manufacturing expenses:

     3,746        2,926        (820

Outside research and development services

     10,137        10,954        817  

Personnel-related costs

     25,644        25,157        (487

Facilities, depreciation, and other expenses

     15,309        15,322        13  
  

 

 

 

Total research and development expenses

   $ 57,900      $ 61,280      $ 3,380  

 

 

General and administrative expenses

General and administrative expenses were $17.6 million for the nine months ended September 30, 2023, compared to $18.9 million for the nine months ended September 30, 2024. The increase of $1.3 million was primarily the net result of higher personnel-related costs of $1.6 million, partially offset by lower legal costs of $0.7 million.

Interest and other income, net

Interest and other income, net was $1.7 million for the nine months ended September 30, 2023, compared to $3.1 million for the nine months ended September 30, 2024. The increase of $1.4 million primarily reflects an increase in interest income as a result of the upfront payments we received pursuant to the license agreements we entered into with Shionogi, Trace and Neurocrine in 2024 and the corresponding higher cash and cash equivalent balances held during the nine months ended September 30, 2024.

Change in fair value of convertible promissory notes

The convertible promissory notes issued from December 2023 through April 2024 contain automatic conversion features that are triggered upon a qualified preferred stock financing or a qualified public offering. We elected to apply the fair value option to the convertible promissory notes issued. As such, the convertible promissory notes are recorded at fair value at each reporting period with changes in fair value recognized in the condensed statements of operations and comprehensive income (loss). For the nine months ended September 30, 2024, the change in fair value of the convertible promissory notes resulted in a loss of $7.2 million.

Income tax expense

Income tax expense was zero for the nine months ended September 30, 2023, compared to $1.4 million for the nine months ended September 30, 2024. The increase was due to the net income generated during the nine months ended September 30, 2024, as a result of the recognition of license revenue under our license agreements with Shionogi, Trace and Neurocrine, as compared to the net loss incurred during the nine months ended September 30, 2023.

Liquidity and capital resources

Liquidity

Since our inception, we have not generated any revenue from product sales and we do not expect to generate any revenue from commercial sales for the foreseeable future, if at all. We have incurred significant operating

 

102


Table of Contents

losses and negative cash flows from operations. We anticipate that we will continue to incur net losses for the foreseeable future. To date, we have financed our operations primarily through private placements of redeemable convertible preferred stock, one-time, nonrefundable upfront payments made to us in connection with our entry into license agreements and through private placements of convertible promissory notes. As of September 30, 2024, we had cash and cash equivalents of $149.6 million and an accumulated deficit of $313.9 million. In November 2024, we completed the sale and issuance of 54,394,445 shares of our Series D Preferred Stock, at an offering price of $1.3792 per share. The gross proceeds from the Series D Preferred Stock offering were approximately $75.0 million. Based on our current operating plan, we believe that our existing cash and cash equivalents, together with the estimated net proceeds from this offering, will be sufficient to fund our operations for at least one year from the date of this prospectus. We have based this estimate on our current assumptions, which may prove to be wrong, and we may exhaust our available capital resources sooner than we expect.

As of September 30, 2024, we had convertible promissory notes with an aggregate principal amount of $40.7 million outstanding, and an aggregate amount of $2.3 million of interest was accrued and unpaid on the convertible promissory notes. The notes have a stated interest rate of 8% on the principal amount and mature in December 2026. Upon the closing of our Series D Preferred Stock financing in November 2024, the aggregate principal amount of the convertible promissory notes, together with accrued and unpaid interest through the conversion date, automatically converted into 39,395,572 shares of Series D-1 Preferred Stock at a conversion price of $1.10336 per share.

Funding requirements

We do not expect to generate any meaningful future revenue unless and until we obtain regulatory approval and commercialize any of our current or future therapeutic candidates, including MZE829 and MZE782, or receive additional potential revenue from the achievement of milestones and royalties under our existing license agreements or potential additional partnerships, and we do not know when, or if at all, that will occur. We will continue to require additional capital to develop our therapeutic candidates and fund operations for the foreseeable future. Our primary uses of cash are to fund our operations, which consist primarily of research and development expenses related to our programs, and to a lesser extent, general and administrative expenses. We expect our expenses to continue to increase in connection with our ongoing activities as we continue to develop MZE829, MZE782 and our other discovery and preclinical programs, seek to broaden the pipeline of our product candidates and further develop our Compass platform. In addition, upon the completion of this offering, we expect to incur additional costs associated with operating as a public company.

We may seek to raise capital through private or public equity or debt financings, license and collaboration agreements or other arrangements, or through other sources of financing. Adequate additional funding may not be available to us on acceptable terms or at all. Our failure to raise capital as and when needed could have a negative impact on our financial condition and our ability to pursue our business strategies. We anticipate that we will need to raise substantial additional capital, the requirements of which will depend on many factors, including:

 

 

the costs associated with the type, scope, progress and results of research and discovery, preclinical development, laboratory testing and clinical trials for our current or future therapeutic candidates, including MZE829 and MZE782;

 

 

the extent to which we develop, in-license or acquire other pipeline therapeutic candidates or technologies;

 

 

the number and development requirements of other therapeutic candidates that we may pursue, and other indications for our current therapeutic candidates that we may pursue;

 

103


Table of Contents
 

the costs related to entering into partnerships or other arrangements with third parties;

 

 

the costs, timing and outcome of obtaining regulatory approvals of our current or future therapeutic candidates we may pursue;

 

 

the costs and fees associated with the discovery, acquisition or in-license of our products or technologies, including to maintain and expand our Compass platform;

 

 

the scope and costs of making arrangements with third-party manufacturers for preclinical, clinical and commercial supplies of our current or future therapeutic candidates;

 

 

the scope and costs involved in growing our organization to the size needed to allow for the research, development and potential commercialization of our current or future therapeutic candidates;

 

 

the cost associated with commercializing any approved therapeutic candidates, including establishing sales, marketing and distribution capabilities;

 

 

the cost associated with completing any post-marketing studies or trials required by the FDA or other regulatory authorities;

 

 

the revenue, if any, received from commercial sales of our current or future therapeutic candidates, if any are approved;

 

 

the costs associated with addressing any potential interruptions or delays resulting from factors related to overall global affairs, such as conflicts overseas;

 

 

the costs and timing of preparing, filing and prosecuting patent applications, maintaining, defending and enforcing our intellectual property and proprietary rights and defending intellectual property-related claims that we may become subject to, including any litigation costs and the outcome of such litigation;

 

 

the costs associated with potential product liability claims, including the costs associated with obtaining insurance against such claims and with defending against such claims; and

 

 

our ability to establish and maintain collaboration arrangements on favorable terms, if at all and the timing and amount of any milestone, royalty or other payments we are required to make or are eligible to receive under such collaborations, if any.

If we raise additional funds by issuing equity securities, our stockholders will experience dilution. If we raise additional capital through debt financing, we may be subject to covenants that restrict our operations including limitations on our ability to incur liens or additional debt, pay dividends, repurchase our common stock, make certain investments, and engage in certain merger, consolidation or asset sale transactions. Any debt financing or additional equity that we raise may contain terms that are not favorable to us or our stockholders.

If we raise additional funds through collaborations, strategic alliances or licensing arrangements with third parties, we may have to relinquish valuable rights to our proprietary technology, future revenue streams, research programs or therapeutic candidates, including granting licenses to our proprietary technologies, on terms that may not be favorable to us. If we are unable to raise additional funds through equity or debt financings or collaborations, strategic alliances or licensing arrangements with third parties when needed, we may be required to delay, limit, reduce and/or terminate our product development programs or any future commercialization efforts or grant rights to develop and market therapeutic candidates that we would otherwise prefer to develop and market ourselves.

 

104


Table of Contents

Contractual obligations and commitments

We have an operating lease for a facility in South San Francisco, California with office and laboratory space, which serves as our corporate headquarters. The lease terminates in November 2030 and provides for one option to extend the lease term for an additional period of eight years.

We have entered into consortium agreements with the University of Helsinki and Queen Mary University to access genomic information from patient samples and genetic and paired clinical data. As of September 30, 2024, we are obligated to pay $5.5 million under these agreements through the year ended December 31, 2027.

We enter into contracts in the normal course of business with third-party contract organizations for preclinical trials, non-clinical trials and testing, and other services and products for operating purposes. These contracts generally provide for termination following a certain period after notice.

Cash flows

Comparisons of the years ended December 31, 2022 and 2023

The following table sets forth the primary sources and uses of cash, cash equivalents, and restricted cash for the periods presented below:

 

     
     Year ended
December 31,
       
      2022     2023     Change  
     (in thousands)  

Net cash used in operating activities

   $ (99,203   $ (86,827   $ 12,376  

Net cash used in investing activities

     (3,170     (441     2,729  

Net cash provided by financing activities

     1,728       16,385       14,657  
  

 

 

 

Net decrease in cash, cash equivalents, and restricted cash

   $ (100,645   $ (70,883   $ 29,762  

 

 

Net cash used in operating activities

Net cash used in operating activities was $99.2 million and $86.8 million for the years ended December 31, 2022 and 2023, respectively. The net cash used in operating activities for the year ended December 31, 2022 was primarily due to our net loss of $114.9 million, a net change in our operating assets and liabilities of $3.2 million, offset by $19.0 million in non-cash charges such as depreciation, stock-based compensation, lease expense and losses related to our equity method investments. The net cash used in operating activities for the year ended December 31, 2023 was primarily due to our net loss of $100.4 million, a net change in our operating assets and liabilities of $6.3 million, offset by $19.9 million in non-cash charges such as depreciation, stock-based compensation, lease expense and the change in fair value of the convertible promissory notes.

Net cash used in investing activities

Cash used in investing activities for the year ended December 31, 2022 was $3.2 million, which consisted of $2.0 million used to purchase property and equipment and $1.2 million of contributions for our investments in equity method investees. Cash used in investing activities for the year ended December 31, 2023 was $0.4 million, which related to the purchase of property and equipment.

Net cash provided by financing activities

For the year ended December 31, 2022, net cash provided by financing activities was $1.7 million, which consisted of proceeds from the issuance of our Series C Preferred Stock of $1.6 million and $0.1 million from the exercise of stock option awards, net of repurchases.

 

105


Table of Contents

For the year ended December 31, 2023, net cash provided by financing activities was $16.4 million, which consisted of net proceeds from the issuance of convertible promissory notes of $16.2 million and $ 0.2 million from the exercise of stock option awards, net of repurchases.

Comparison of the nine months ended September 30, 2023 and 2024

The following table sets forth the primary sources and uses of cash, cash equivalents, and restricted cash for the periods presented below:

 

     
     Nine months ended
September 30,
       
      2023     2024     Change  
           (in thousands)  

Net cash (used in) provided by operating activities

   $ (66,184   $ 98,406     $ 164,590  

Net cash used in investing activities

     (407     (542     (135

Net cash provided by financing activities

     197       22,585       22,388  
  

 

 

 

Net (decrease) increase in cash, cash equivalents, and restricted cash

   $ (66,394   $ 120,449     $ 186,843  

 

 

Net cash (used in) provided by operating activities

Net cash used in operating activities was $66.2 million for the nine months ended September 30, 2023, compared to net cash provided by operating activities of $98.4 million for the nine months ended September 30, 2024. The net cash used in operating activities for the nine months ended September 30, 2023 was primarily due to our net loss of $73.8 million, a net change in our operating assets and liabilities of $4.1 million, offset by $11.7 million in non-cash charges such as depreciation, stock-based compensation and lease expense. The net cash provided by operating activities for the nine months ended September 30, 2024 was primarily due to our net income of $81.8 million, combined with $19.2 million in non-cash charges such as depreciation, stock-based compensation, lease expense and the change in fair value of the convertible promissory notes, offset by a net change in our operating assets and liabilities of $2.6 million.

Net cash used in investing activities

Cash used in investing activities for the nine months ended September 30, 2023 and 2024 was $0.4 million and $0.5 million, respectively, which related to the purchase of property and equipment.

Net cash provided by financing activities

For the nine months ended September 30, 2023, net cash provided by financing activities was $0.2 million, which consisted of proceeds from the exercise of stock option awards, net of repurchases.

For the nine months ended September 30, 2024, net cash provided by financing activities was $22.6 million, which consisted of net proceeds from the issuance of convertible promissory notes of $24.5 million and $0.7 million from the exercise of stock option awards, net of repurchases, partially offset by the payment of $2.6 million for deferred offering costs.

Critical accounting policies, significant judgments and use of estimates

Our financial statements have been prepared in accordance with U.S. generally accepted accounting principles. The preparation of these financial statements requires us to make estimates and assumptions that affect the

 

106


Table of Contents

reported amounts of assets and liabilities and the disclosure of contingent assets and liabilities as of the date of the financial statements, as well as the reported expenses incurred during the reporting periods. Our estimates are based on our historical experience and on various other factors that we believe are reasonable under the circumstances, the results of which form the basis for making judgments about the carrying value of assets and liabilities that are not readily apparent from other sources.

Actual results may differ from these estimates under different assumptions or conditions. We believe that the accounting policies discussed below are critical to understanding our historical and future performance, as these policies relate to the more significant areas involving management’s judgments and estimates.

While our significant accounting policies are described in more detail in the notes to our financial statements included elsewhere in this prospectus, we believe that the following critical accounting policies are most important to the preparation of our financial statements and to understanding and evaluating our reported financial results.

License revenue

We have entered into arrangements involving the license of intellectual property rights for which we determine whether the arrangement is subject to accounting guidance in ASC 606, Revenue from Contracts with Customers, or ASC 606.

Analyzing an arrangement to identify performance obligations requires the use of judgment. In arrangements that include the license of intellectual property and other promised goods or services, we first identify if the licenses are distinct from the other promises in the arrangement. If the license is not distinct, the license is combined with other promised goods or services into a single performance obligation. Factors that are considered in evaluating whether a license is distinct from other promises include, for example, whether the counterparty can benefit from the license without the promised goods and service on its own or with other readily available resources and whether the promised good or service is expected to significantly modify or customize the intellectual property. We then estimate the transaction price, which also requires the use of judgment when evaluating the fixed consideration and any variable amounts, including milestone payments. For arrangements with certain milestone payments, we re-evaluate the probability of achievement of the related milestone each reporting period, and if necessary, adjust the estimate of the overall transaction price.

During the nine months ended September 30, 2024, we have identified only single combined performance obligations for each license arrangement that we have entered for which revenue is recognized at a point in time. We may enter into arrangements in the future that include the license of intellectual property and other promised goods or services that may result in multiple performance obligations. In those circumstances, we may need to allocate the transaction price based on the relative standalone selling prices of each of the performance obligations, which will require significant judgment and the determination of significant assumptions related to such estimates.

Research and development expenses

We expense all research and development expenses as incurred. Research and development expenses include personnel costs related to research and development activities, including salaries, benefits and stock-based compensation, costs related to research and preclinical studies, costs associated with the conduct of clinical trials, consulting fees, laboratory supplies, facility costs, and fees paid to other entities that conduct certain research and development activities on our behalf. Nonrefundable advance payments for goods or services that will be used or rendered for future research and development activities are capitalized and expensed as the goods are delivered or the related services are performed.

 

107


Table of Contents

We estimate and accrue certain research and development expenses as part our process of preparing our financial statements. This process involves:

 

 

identifying services that have been performed on our behalf and estimating the level of service performed and the associated cost incurred for the service when we have not yet been invoiced or otherwise notified of actual cost;

 

 

estimating and accruing expenses as of each balance sheet date based on facts and circumstances known to us at the time; and

 

 

periodically confirming the accuracy of our estimates with selected service providers and making adjustments, if necessary.

We base our expenses related to preclinical studies and clinical trials on our estimates of the services received and efforts expended pursuant to quotes and contracts with vendors that conduct and manage preclinical studies and clinical trials on our behalf. The financial terms of these agreements are subject to negotiation and vary from contract to contract, which may result in uneven payment flows. There may be instances in which payments made to our vendors will exceed the level of services provided and result in a prepayment of the expense. Payments under some of these contracts depend on factors such as the completion of scientific milestones. In accruing expenses, we estimate the time period over which services will be performed and the level of effort to be expended in each period. If the actual timing of the performance of services or the level of effort varies from our estimate, we adjust the accrual or amount of prepaid expense accordingly. Although we do not expect our estimates to be materially different from amounts actually incurred, our understanding of the status and timing of services performed could vary from actuals and result in us reporting amounts that are too high or too low in any particular period.

For the periods presented, we have experienced no material changes in our estimates of accrued research and development expenses after a reporting period. However, due to the nature of estimates, there can be no assurance that we will not make changes to our estimates in the future as we become aware of additional information about the status or conduct of our clinical studies and other research and development activities.

Stock-based compensation expense

We account for stock-based compensation expense by measuring and recognizing compensation expense for all share-based awards made to employees and non-employees based on estimated grant date fair values. We use the straight-line method to allocate compensation cost to reporting periods over the requisite service period for service-based awards, which is generally the vesting period. We recognize actual forfeitures by reducing the stock-based compensation expense in the same period as the forfeitures occur.

We use the estimated fair value of our common stock to determine the fair value of restricted stock awards, or RSAs, on the date of grant. We estimate the fair value of service-based options to employees and non-employees using the Black-Scholes option-pricing valuation model, or Black-Scholes model. The Black-Scholes model requires the input of subjective assumptions, including the fair value of common stock, expected term, expected volatility, risk-free interest rate, and expected dividend yield, which are described in greater detail below.

Estimating the fair value of service-based options as of the grant date using the Black-Scholes model is affected by assumptions regarding a number of complex variables. Changes in the assumptions can materially affect the fair value of common stock and ultimately how much stock-based compensation expense is recognized. These

 

108


Table of Contents

inputs are subjective and generally require significant analysis and judgment to develop. These inputs are as follows:

 

 

Fair value of common stock—Historically, as there has been no public market for our common stock, the fair value of our common stock was determined by our board of directors based in part on valuations of our common stock prepared by a third-party valuation specialist. See the subsection entitled “Common stock valuations” below.

 

 

Expected term—The expected term represents the period that our stock option grants are expected to be outstanding and is determined using the simplified method (based on the mid-point between the vesting date and the end of the contractual term). We have very limited historical information to develop reasonable expectations about future exercise patterns and post-vesting employment termination behavior for our stock option grants.

 

 

Expected volatility—Since we are a privately-held company and do not have any trading history for our common stock, the expected volatility was estimated based on the average volatility for comparable publicly traded biopharmaceutical companies over a period equal to the expected term of the stock option grants. The comparable companies were chosen based on their similar size, life cycle stage, or area of specialty. We will continue to apply this process until enough historical information regarding the volatility of our own stock price becomes available.

 

 

Risk-free interest rate—The risk-free interest rate is based on the U.S. Treasury zero coupon issues in effect at the time of grant for periods corresponding with the expected term of the stock options.

 

 

Expected dividend yield—We have never paid dividends on our common stock and have no plans to pay dividends on our common stock. Therefore, we used an expected dividend yield of zero.

For stock options granted to non-employee consultants, the fair value of these stock options is also measured using the Black-Scholes model reflecting the same assumptions as applied to employee stock options in each of the reported periods, other than the expected term which is assumed to be the remaining contractual life of the stock option.

We estimate the fair value of awards that contain market-based conditions using a Monte-Carlo option pricing model at the date of grant using similar input assumptions as the Black-Scholes model while incorporating Level 3 inputs related to probability estimates of the market conditions being satisfied. Compensation expense related to awards with a market-based condition is recognized regardless of whether the market condition is ultimately satisfied, and compensation expense is not reversed if the achievement of the market condition does not occur.

We will continue to use judgment in evaluating the expected volatility, expected terms, and interest rates utilized for our stock-based compensation expense calculations on a prospective basis.

Stock-based compensation expense for employees and non-employees is reflected in the statements of operations and comprehensive income (loss) as follows:

 

     
     Year Ended
December 31,
     Nine Months Ended
September 30,
 
      2022      2023      2023      2024  
                   (in thousands)  

Research and development

   $ 3,727      $ 5,315      $ 3,619      $ 3,905  

General and administrative

     3,009        3,432        2,571        2,890  
  

 

 

    

 

 

    

 

 

 

Total stock-based compensation expense

   $ 6,736      $ 8,747      $ 6,190      $ 6,795  

 

 

 

109


Table of Contents

As of December 31, 2023 and September 30, 2024, there was $16.4 million and $18.5 million, respectively, of total unrecognized compensation cost related to unvested options and RSAs for which the cost was expected to be recognized over a weighted-average period of 2.52 years and 2.61 years, respectively.

Common stock valuations

The grant date fair value of our common stock has been determined by our board of directors with the assistance of management and an independent third-party valuation specialist. The grant date fair value of our common stock was determined using valuation methodologies which utilizes certain assumptions including probability weighting of events, volatility, time to liquidation, a risk-free interest rate, and an assumption for a discount for lack of marketability (Level 3 inputs). In determining the fair value of our common stock, the methodologies used to estimate our enterprise value were performed using methodologies, approaches, and assumptions consistent with the American Institute of Certified Public Accountants Practice Aid, Valuation of Privately-Held-Company Equity Securities Issued as Compensation, or the Practice Aid. The methodology to determine the fair value of our common stock included estimating the fair value of the enterprise using a market approach, which estimates the fair value of a company by including an estimation of the value of the business based on guideline public companies under a number of different scenarios. The assumptions used to determine the estimated fair value of our common stock are based on numerous objective and subjective factors, combined with management judgment, including external market conditions affecting the pharmaceutical and biotechnology industry and trends within the industry; our stage of development; the rights, preferences and privileges of our redeemable convertible preferred stock relative to those of our common stock; the prices at which we sold shares of our redeemable convertible preferred stock; our financial condition and operating results, including our levels of available capital resources; the progress of our research and development efforts and business strategy; equity market conditions affecting comparable public companies; general U.S. market conditions; and the lack of marketability of our common stock.

The Practice Aid identifies various available methods for allocating enterprise value across classes and series of capital stock to determine the estimated fair value of common stock at each valuation date. In accordance with the Practice Aid, we considered the following methods:

 

 

Option Pricing Method. Under the Option Pricing Method, or OPM, shares are valued by creating a series of call options with exercise prices based on the liquidation preferences and conversion terms of each equity class. The estimated fair values of the preferred and common stock are inferred by analyzing these options.

 

 

Hybrid Method. The hybrid method is a Probability-Weighted Expected Return Method, or PWERM, where the equity value in one of the scenarios is calculated using the OPM. The PWERM is a scenario-based analysis that estimates value per share based on the probability-weighted present value of expected future investment returns, considering each of the possible outcomes available to us, as well as the economic and control rights of each share class.

Based on our early stage of development and other relevant factors, we determined that an OPM was the most appropriate method for allocating our enterprise value to determine the estimated fair value of our common stock for valuations prior to the fourth quarter of 2020. After this date, we used the hybrid method to determine the estimated fair value of our common stock. The hybrid method is appropriate for a company expecting a near-term liquidity event. In determining the estimated fair value of our common stock, we considered the fact that our stockholders could not freely trade our common stock in the public markets. Accordingly, we applied discounts to reflect the lack of marketability of our common stock based on the weighted-average expected time to liquidity.

Application of these approaches involves the use of estimates, judgment, and assumptions that are highly complex and subjective, such as those regarding our expected future revenue, expenses, and cash flows,

 

110


Table of Contents

discount rates, market multiples, the selection of comparable companies, and the probability of future events. Changes in any or all of these estimates and assumptions, or the relationships between those assumptions, impact our valuations as of each valuation date and may have a material impact on the valuation of common stock. The assumptions underlying these valuations represent our management’s best estimate at the time of the valuation, which involve inherent uncertainties and the application of management judgment. As a result, if factors or expected outcomes change and we use significantly different assumptions or estimates, our stock-based compensation expense could be materially different.

Once a public trading market for our common stock has been established in connection with the closing of this offering, it will no longer be necessary for our board of directors to estimate the fair value of our common stock in connection with our accounting for stock option grants and other such awards we may grant, as the fair value of our common stock will be determined based on the quoted market price of our common stock.

Convertible promissory notes

From December 2023 through April 2024, we issued convertible promissory notes to various existing investors. We elected the fair value option under ASC 825 and record these convertible promissory notes at fair value with changes in fair value recorded in the statements of operations and comprehensive income (loss) each reporting period. We measure the fair value of the convertible promissory notes based on significant estimates, including volatility, discount yield, variables for the timing of the related conversion events and other probability estimates. The impact of interest expense on the convertible promissory notes is included with the changes in fair value. In November 2024, the convertible promissory notes converted into an aggregate of 39,395,572 shares of Series D-1 Preferred Stock and no convertible promissory notes are outstanding as of the date of this prospectus.

Emerging growth company status

We are an EGC. The JOBS Act permits companies with EGC status to take advantage of an extended transition period to comply with new or revised accounting standards, delaying the adoption of these accounting standards until they would apply to private companies. We have elected to use this extended transition period to enable us to comply with new or revised accounting standards that have different effective dates for public and private companies until the earlier of the date we (i) are no longer an EGC or (ii) affirmatively and irrevocably opt out of the extended transition period provided in the JOBS Act. As a result, our financial statements may not be comparable to companies that comply with the new or revised accounting standards as of public company effective dates.

In addition, we intend to rely on the other exemptions and reduced reporting requirements provided by the JOBS Act. Subject to certain conditions set forth in the JOBS Act, if, as an EGC, we intend to rely on such exemptions, we are not required to, among other things: (i) provide an auditor’s attestation report on our system of internal controls over financial reporting pursuant to Section 404(b) of the Sarbanes-Oxley Act of 2002, as amended; (ii) provide all of the compensation disclosure that may be required of non-EGCs under the Dodd-Frank Wall Street Reform and Consumer Protection Act; (iii) comply with any requirement that may be adopted by the Public Company Accounting Oversight Board regarding mandatory audit firm rotation or a supplement to the auditor’s report providing additional information about the audit and the financial statements (auditor discussion and analysis); and (iv) disclose certain executive compensation-related items such as the correlation between executive compensation and performance and comparisons of the chief executive officer’s compensation to median employee compensation.

We will remain an EGC under the JOBS Act until the earliest of (i) the last date of our fiscal year in which we have total annual gross revenue of at least $1.235 billion, (ii) the date we qualify as a “large accelerated filer,”

 

111


Table of Contents

as defined under Rule 12b-2 of the Exchange Act, (iii) the date on which we have issued more than $1.0 billion in non-convertible debt securities during the previous three years, or (iv) the last day of our first fiscal year following the fifth anniversary of the closing of this offering.

Recent accounting pronouncements

Recently adopted accounting pronouncements

In June 2016, the Financial Accounting Standards Board, or FASB, issued ASU No. 2016-13, Financial Instruments – Credit Losses and also issued subsequent amendments to the initial guidance under ASU No. 2018-19, ASU No. 2019-04, ASU No. 2019-05, ASU No. 2019-11, and ASU No. 2020-02, or collectively Topic 326. This guidance requires that financial assets measured at amortized cost be presented at the net amount expected to be collected. The measurement of expected credit losses is based on historical experience, current conditions, and reasonable and supportable forecasts that affect collectability. Topic 326 also eliminates the concept of “other-than-temporary” impairment when evaluating available-for-sale debt securities and instead focuses on determining whether any impairment is a result of a credit loss or other factors. An entity will recognize an allowance for credit losses on available-for-sale debt securities rather than an other-than-temporary impairment that reduces the cost basis of the investment. We adopted this standard as of January 1, 2023, with no material impact to our financial statements and disclosures.

New accounting pronouncements—not yet adopted

In November 2023, the FASB issued ASU 2023-07, Improvements to Reportable Segment Disclosures, which requires all public entities, including public entities with a single reportable segment, to provide in interim and annual periods one or more measures of segment profit or loss used by the chief operating decision maker to allocate resources and assess performance. Additionally, the standard requires disclosures of significant segment expenses and other segment items as well as incremental qualitative disclosures. ASU 2023-07 is effective for annual reporting beginning with the fiscal year ending December 31, 2024, and for interim periods thereafter. We are currently evaluating the incremental disclosures that will be required in the footnotes to the financial statements.

In December 2023, the FASB issued ASU 2023-09, Improvements to Income Tax Disclosures, which will require incremental income tax disclosures on an annual basis for all public entities. The amendments require that public business entities disclose specific categories in the rate reconciliation and provide additional information for reconciling items meeting a quantitative threshold. The amendments also require disclosure of income taxes paid to be disaggregated by jurisdiction, and disclosure of income tax expense disaggregated by federal, state and foreign. ASU 2023-09 is effective for annual reporting beginning with the fiscal year ending December 31, 2025. We are currently evaluating the incremental disclosures that will be required in our financial statements.

In November 2024, the FASB issued ASU 2024-03, Income Statement—Reporting Comprehensive Income—Expense Disaggregation Disclosures, which will require additional expense disclosures for all public entities. The amendments require that at each interim and annual reporting period, an entity will disclose certain disaggregated expenses included in each relevant expense caption, as well as the total amount of selling expenses and, in annual periods, an entity’s definition of selling expenses. ASU 2024-03 is effective for annual reporting periods beginning with the fiscal year ending December 31, 2027, and interim periods thereafter, with early adoption permitted. We are currently evaluating the incremental disclosures that will be required in our financial statements.

 

112


Table of Contents

Quantitative and qualitative disclosures about market risk

Interest rate risk

We are exposed to market risk related to changes in interest rates. As of September 30, 2024, we had cash, cash equivalents and restricted cash of $150.7 million consisting of bank deposits and money market accounts. Due to the short-term duration of our cash equivalents, an immediate 10% change in interest rates would not have a material effect on their fair market value.

Foreign currency exchange risk

All of our employees and our operations are currently located in the United States and our expenses are generally denominated in U.S. dollars. However, we have entered into a limited number of contracts with vendors for research and development services that permit us to satisfy our payment obligations in U.S. dollars (at prevailing exchange rates) but have underlying payment obligations denominated in foreign currencies, primarily the Euro and British Pound. We are subject to foreign currency transaction gains or losses on our contracts denominated in foreign currencies. For the year ended December 31, 2023 and for the nine months ended September 30, 2024, we recorded an immaterial foreign currency transaction gain and loss, respectively. To date, foreign currency transaction gains and losses have not been material to our financial statements, and we have not had a formal hedging program with respect to foreign currency. We believe a hypothetical 1% increase or decrease in exchange rates during any of the periods presented would not have a material effect on our financial statements included elsewhere in this prospectus.

Effects of inflation

Inflation generally affects us by increasing our cost of labor and other research and development costs. We believe that inflation has not had a material effect on our financial statements included elsewhere in this prospectus.

 

113


Table of Contents

Business

Overview

We are a clinical-stage biopharmaceutical company harnessing the power of human genetics to develop novel, small molecule precision medicines for patients living with renal, cardiovascular and related metabolic, or CVRM, diseases, including obesity. We are advancing a pipeline using our Compass platform, which allows us to identify and characterize genetic variants in disease and then link those variants to the biological pathways that drive disease in specific patient groups through a process we refer to as variant functionalization. Our Compass platform has been purpose-built to inform all phases of our drug discovery and development process through clinical trial design. We are currently advancing two wholly owned lead programs, MZE829 and MZE782, each of which represents a novel precision medicine-based approach for chronic kidney disease, or CKD. Our goal is to bring novel precision medicines to patients with CVRM diseases, which is where we believe we can maximize our impact on human health.

CKD is a serious, progressive condition that affects approximately 37 million patients in the United States, where it is expected to be the fifth most prevalent chronic disease by 2040. Current treatments for CKD consider patients as falling into clinical categories and focus on slowing the progression of disease, but do not target the underlying genetic drivers of disease. Our lead programs are designed to phenocopy, or mimic, the protective effects of certain genetic variants that are associated with reduced disease burden and improved kidney function in distinct groups of CKD patients.

Our most advanced lead program, MZE829, is an oral, small molecule inhibitor of apolipoprotein L1, or APOL1, for the treatment of patients with APOL1 kidney disease, or AKD, which is estimated to affect over one million patients in the United States alone. Although the link between APOL1 variants and renal dysfunction has been known for over a decade, we have identified a new protective variant that underpins our therapeutic approach for MZE829 and may ultimately allow us to address a broader population of AKD than has previously been possible in the clinical setting. In October 2024, we reported results for our Phase 1 clinical trial of MZE829, in which we enrolled 111 healthy patients who received either single or multiple ascending doses of 20 mg to 480 mg of MZE829 administered daily. Treatment was well tolerated with no severe adverse events or serious adverse events reported in patients treated with single doses up to 480 mg and multiple doses of up to 350 mg daily for seven days. Dose-proportional pharmacokinetics, or PK, was observed with low variability (10-40%) across doses. We initiated a Phase 2 trial of MZE829 in November 2024 and expect to dose our first patient in the first quarter of 2025 and to report proof of concept data in the first quarter of 2026.

Our second lead program, MZE782, is an oral, small molecule inhibitor of the solute transporter SLC6A19, a novel CKD target, with the potential to address approximately five million of the CKD patients in the United States with inadequate responses to currently available CKD therapies. Beyond its use as a potential standalone therapy, MZE782 may also provide a significant benefit to patients in combination with standard of care, including as a complementary treatment to current approved regimens or as an alternative option for those patients who do not adequately respond to today’s standard of care. We initiated a Phase 1 clinical trial of MZE782 in September 2024 and expect to provide initial data from this trial in the second half of 2025.

In addition to CKD, we believe MZE782 may provide benefit to patients suffering from the genetically defined metabolic disease, phenylketonuria, or PKU. Following our ongoing Phase 1 trial of MZE782 in CKD, we plan to conduct a parallel Phase 2 clinical trial to explore MZE782 as a potential treatment of PKU.

Our Compass platform supports end-to-end variant identification and functionalization capabilities as well as advanced research tools and methodologies for drug development. We believe the process of variant functionalization, or understanding how genetic variants function to affect the course of disease, is a foundational aspect of precision medicine and one of the core capabilities that sets us apart from others in the field.

 

114


Table of Contents

Our programs

Our Compass platform is the foundation for all our programs. Compass has generated three clinical stage programs in the past five years: MZE829 and MZE782, which we wholly own, and MZE001, which we partnered. In addition to these clinical stage programs, Compass has generated research programs that are being developed by us or by other biotechnology companies through exclusive licensing or spin-out arrangements.

Our clinical pipeline

Our wholly owned clinical pipeline consists of small molecule precision medicines for patients living with common diseases. We are focused on CVRM diseases, including obesity. MZE829 and MZE782 are our lead programs. In areas outside of our CVRM focus, we have an additional program in development, MZE001 in Pompe disease, through a partnership arrangement with Shionogi & Co., Ltd., or Shionogi.

 

 

LOGO

Figure 1: Our clinical pipeline

Our research and partnered programs

In addition to our clinical pipeline, we have several earlier stage research programs. These include wholly owned small molecule programs within our CVRM core focus. Beyond our wholly owned portfolio, we have additional partnered programs, including ATXN2 and UNC13A, which are being developed for multiple diseases and amyotrophic lateral sclerosis, or ALS, respectively. ATXN2 and UNC13A are being developed by Neurocrine Biosciences, Inc. and Trace Neuroscience, Inc., respectively. Additionally, we formed a spin-out company, Broadwing, Bio, Inc., or Broadwing, to develop therapeutic candidates, including ANGPTL7, for treatment of ophthalmic diseases.

Our lead programs

Our most advanced lead program, MZE829, is an oral, small molecule inhibitor of APOL1 for the treatment of patients with AKD, a subset of CKD, including those with focal segmental glomerulosclerosis, or FSGS, estimated to affect over one million patients in the United States alone. Although the link between APOL1 variants and renal dysfunction has been known for over a decade, we have identified a new protective variant of the APOL1 gene, N264K. MZE829 is designed to phenocopy N264K and mimic its protective characteristics. Through our preclinical work in AKD, we have demonstrated MZE829’s potential as a disease modifying treatment for patients suffering from this disease. Preclinical in vivo studies demonstrated MZE829’s significant potency in a model of APOL1-induced kidney injury, suggesting the ability to address a broader population of AKD than has previously been possible in the clinical setting. Additionally, MZE829 has demonstrated the potential to stop or reverse critical features of kidney disease, specifically the breakdown of the kidney’s filtering system and loss

 

115


Table of Contents

of protein in urine, or proteinuria. In October 2024, we reported results for our Phase 1 clinical trial of MZE829, in which we enrolled 111 healthy patients who received either single or multiple ascending doses of 20 mg to 480 mg of MZE829 administered daily. Treatment was well tolerated with no severe adverse events or serious adverse events reported in patients with single doses up to 480 mg and multiple doses of up to 350 mg daily for seven days. Dose-proportional PK was observed with low variability (10-40%) across doses. We initiated a Phase 2 trial of MZE829 in November 2024 and expect to dose our first patient in the first quarter of 2025 and to report proof of concept data in the first quarter of 2026.

Our second most advanced lead program, MZE782, is an oral, small molecule that targets the solute transporter, SLC6A19, with the potential to address approximately five million of the CKD patients in the United States with inadequate responses to currently available CKD therapies. Beyond its use as a potential standalone therapy, MZE782 may also provide a significant benefit to patients in combination with standard of care, including as a complementary treatment to current approved regimens or as an alternative option for those patients who do not adequately respond to today’s standard of care. We identified SLC6A19 using non-public sets of matched, genetic and longitudinal clinical data and discovered a bidirectional allelic series with variants that either improve or worsen renal function. We then applied variant functionalization techniques to understand the characteristics of the naturally occurring protective variants and designed our proprietary small molecule to mimic their inhibitory effects. We plan to apply a non-invasive biomarker strategy in our Phase 1 trial to establish proof of mechanism and to select doses for a Phase 2 trial. We initiated our Phase 1 trial of MZE782 in September 2024 and expect to provide initial data from this trial in the second half of 2025.

In addition to CKD, we believe MZE782 may provide benefit to patients suffering from the genetically defined metabolic disease, phenylketonuria, or PKU. Following our ongoing Phase 1 trial of MZE782 in CKD, we plan to conduct a parallel Phase 2 clinical trial to explore MZE782 as a potential treatment of PKU.

Our early-stage research programs

In addition to our two lead programs, we have research efforts underway for next-generation assets for these indications. We are also exploring additional CVRM targets. We are focusing our early research efforts and evaluating genetic targets in CVRM, including obesity, driven in part by the emerging understanding of the interconnectivity of these common diseases affecting the heart and kidney through metabolic drivers, such as obesity.

Our partnered programs

Further, our Compass platform has also produced a pipeline across other therapeutic areas and modalities, including MZE001, our first clinical program that we developed for the treatment of patients with Pompe disease. Within approximately three years, MZE001 progressed from discovery to the clinic and demonstrated proof of mechanism in a Phase 1 trial, suggesting its potential as an oral therapy for the treatment of patients with Pompe disease and demonstrating the potential of our Compass platform. Given our focus on CVRM diseases, where we believe we can maximize our impact on human health, we strategically enter into partnerships with third parties to advance programs that address diseases outside of our core focus areas. In March 2024, following the completion of our Phase 1 trial, we exclusively licensed MZE001 to Shionogi for an upfront payment of $150 million and the potential for additional milestones and royalties. We have also exclusively licensed our ATXN2 and UNC13A programs to other biotechnology companies. Additionally, we formed a spin-out company, Broadwing, to develop therapeutic candidates, including ANGPTL7, for the treatment of ophthalmic diseases. As of September 30, 2024, we owned approximately 48% of the outstanding equity of Broadwing, and we expect our ownership to be significantly diluted upon the conversion of outstanding convertible notes issued by Broadwing. In August 2024, Broadwing granted an exclusive option to a biotechnology company to acquire the ANGPTL7 program. We believe our collaborations validate the potential of our Compass platform and our ability to generate new targets and assets of therapeutic interest across a wide range of indications and therapeutic areas.

 

116


Table of Contents

Our approach to precision medicine: Compass platform

Our Compass platform and its associated methodologies give us the ability to aggregate matched, genetic, and longitudinal clinical data at scale to identify genes associated with disease, utilizing a combination of private and publicly-available paired clinical data. More importantly, this process uncovers genetic variants of these genes that provide insight into a therapeutic approach to the applicable target. Using machine learning and statistical modeling, variant functionalization tools, and traditional and computational drug discovery technologies, targets are then prioritized based on their roles in biological pathways, their roles as potential drivers of disease, and their structural properties. These insights ultimately inform our clinical development and patient selection strategies, which we believe have the potential to improve the overall likelihood of technical, regulatory and commercial success of our precision medicine candidates, although we cannot provide any assurance that the application of our Compass platform will result in the ultimate regulatory approval of any of our therapeutic candidates. The power of our Compass platform and its methodologies is best exhibited through our clinical and preclinical programs and multiple contributions to the scientific community over the past five years, including the publication in Nature and other leading scientific journals of genetic links and other scientific developments identified through our Compass platform.

 

 

LOGO

Figure 2: The three phases of our Compass platform and key differentiating features

Our Compass platform follows a sequential, three phase workflow consisting of: (1) variant discovery, in which we analyze multiple large-scale genetic databases to identify relevant genetic variants; (2) variant to function, in which we demonstrate experimentally the link between genetic variants identified and the biology underpinning protection from disease; and (3) function to therapy, in which we develop the assays, models, molecules and data necessary to support advancing new small molecules into clinical development. This workflow creates an iterative learning loop that improves as we generate and analyze additional data.

A new era of precision medicine: Maze’s opportunity in CVRM diseases

Over the past 20 years, significant advances in human genetics and in the understanding of the biological processes underpinning disease have opened the door to a multitude of new potential therapeutic targets and treatment approaches, which we believe presents a unique opportunity for a new approach to precision medicine. More recently, the availability of matched, genetic and longitudinal clinical data and advanced

 

117


Table of Contents

computational methods to analyze these data has enabled the characterization of genetic variants that are strongly correlated with disease susceptibility and severity. Advancements in functional genomics have also provided new tools to help unravel how genetic variants impact disease progression from a mechanistic perspective. Nevertheless, the process of successfully translating genetic insights into effective precision medicines is a complex challenge that has inspired our mission as a company as well as our name, Maze Therapeutics.

Based on insights from our Compass platform, we design our therapeutic candidates to modulate the target of interest, either by mimicking the beneficial effects of certain protective variants or by blocking the unwanted activity associated with toxic variants, to address the underlying biological drivers of disease. Our process of designing precision medicines that take into account the genetic drivers of disease in defined patient groups parallels many of the foundational principles of precision oncology, which has revolutionized the treatment landscape in cancer, and, we believe, may help streamline our development efforts and increase our odds of clinical success.

Our team and investors

Our leadership team and board of directors have significant experience discovering, developing and commercializing therapies. Our existing shareholders include investors with renowned life sciences experience and a shared, dedicated goal of transforming the lives of patients by creating a leading precision medicine company in the CVRM disease spaces.

Jason Coloma, Ph.D., M.P.H., our Chief Executive Officer, brings over 20 years of life science leadership experience. He most recently operated as a venture partner at Third Rock Ventures, LLC, or Third Rock Ventures, during which time he served as the Chief Operating Officer of Maze before being appointed CEO.

Harold Bernstein, M.D., Ph.D., our President, Research & Development and Chief Medical Officer, brings over 30 years of experience in scientific research, translational medicine and clinical development. Dr. Bernstein most recently was Chief Medical Officer and Head of Global Clinical Development at BioMarin Pharmaceuticals Inc. He previously served as Head of Translational Medicine at Vertex Pharmaceuticals Incorporated, or Vertex, and held roles of increasing responsibility at Merck and Co., Inc., including Head of Early Development for Cardiometabolic Diseases.

Atul Dandekar, our Chief Strategy and Business Officer, brings over 20 years of experience in strategy, clinical development and commercialization. Mr. Dandekar most recently was VP, Global Franchise Head for Ophthalmology at Genentech, Inc., or Genentech, and F. Hoffmann-La Roche AG, or Roche, and previously served as Senior Global Program Head in Neuroscience at Novartis AG.

Since our inception, we have raised approximately $499.0 million from leading life science investors, including our 5% or greater stockholders, Third Rock Ventures, ARCH Venture Partners, Matrix Capital Management and Google Ventures. Prospective investors should not rely on the investment decisions of our existing investors, as these investors may have different risk tolerances and strategies and purchased their shares in prior offerings at prices lower than the price offered to the public in this offering. In addition, some of these investors may not be subject to reporting requirements under Section 16 of the Securities Exchange Act of 1934, as amended, or the Exchange Act, and, thus, prospective investors may not necessarily know the total amount of investment by each of our existing investors and if and when our existing investors may decide to sell any of their shares. See the sections titled “Certain relationships and related person transactions” and “Principal stockholders” for more information on prior purchases by and current holdings of these stockholders.

 

118


Table of Contents

Our strategy

We leverage our Compass platform to discover and develop precision medicines in subsets of diseases to achieve improved treatment outcomes for patients. Our focus on CVRM diseases, including obesity, is driven in part by the emerging understanding of the interconnectivity of these diseases. By focusing on these common diseases, we believe we can maximize our impact on human health. We actively explore indication expansion based on emerging genetics data and unmet medical need.

The core elements of our business strategy are to:

 

 

Advance the clinical development of MZE829 for AKD, including FSGS, and MZE782 for the treatment of CKD and PKU, diseases affecting patient populations with high unmet need. We are currently advancing our two lead proprietary programs, MZE829 and MZE782, both novel approaches to treating CKD, which affects approximately 37 million patients in the United States alone. MZE829 is an oral, small molecule inhibitor of APOL1 for the treatment of patients with AKD. We initiated a Phase 2 trial of MZE829 in November 2024 and expect to dose our first patient in the first quarter of 2025 and to report proof of concept data in the first quarter of 2026. MZE782 is an oral, small molecule inhibitor of SLC6A19 with the potential to be used as an option for those patients who do not adequately respond to today’s standard of care, or as a complementary treatment to current approved regimens. We initiated a Phase 1 trial of MZE782 in September 2024 and expect to provide initial data from this trial in the second half of 2025. In addition to CKD, MZE782 may provide benefit to patients suffering from PKU. Following our ongoing Phase 1 trial of MZE782 in CKD, we plan to conduct a parallel Phase 2 clinical trial to explore MZE782 as a potential treatment of PKU.

 

 

Leverage our proprietary Compass platform to expand our pipeline of precision medicine candidates. We plan to add new programs into our pipeline by applying our Compass platform to identify novel drug targets in subsets of CVRM diseases with significant unmet need within these therapeutic areas. Our Compass platform aims to leverage new genetic insights to identify well-validated targets and discover therapeutic agents designed to mimic the activity of protective genetic variants, correct the effects of toxic genetic variants, or target genetic modifiers and ultimately guide the development of these potential new medicines. We will continue evaluating strategic partnering opportunities that can complement our internal capabilities. Our goal is to bring novel precision medicines to patients with CVRM diseases, which is where we believe we can maximize our impact on human health.

 

 

Enhance our Compass platform and methodology. We continue to make investments in our Compass platform and improve our drug development process through access to non-public, matched, genetic and longitudinal clinical data, development of variant functionalization tools, and application of cutting edge computational and experimental drug discovery tools (e.g., Cryogenic electron microscopy, or Cryo-EM, virtual screening and machine learning DNA encoded libraries). We plan to enhance our Compass platform to remain at the forefront of genetically informed drug development and continue to access relevant biobanks and other repositories of genetic and clinical data.

 

 

Maximize the commercial potential of our pipeline. We plan to independently advance MZE829 and MZE782 towards commercialization in geographies where we believe we can ultimately be successful on our own. We intend to build a highly targeted sales forces in these geographies to support the adoption of these treatments. Given the magnitude of the global market opportunity, we will maximize the value of these programs by partnering with third parties on therapeutic candidates in geographies we believe are better served by the resources and expertise of other biopharmaceutical companies.

 

119


Table of Contents

Background

Overview of precision medicine

Human evolution has given rise to significant genetic diversity worldwide. Because of population migrations and mixing, genetic drift, and founder effects, different populations carry distinct genetic variants. Certain of these variants increase an individual’s susceptibility to disease, while other variants can protect individuals from disease. Using the tools of modern human genetics, the scientific community is learning how variations in different genes may impact disease at an unprecedented pace.

Therapeutic targets supported by human genetic evidence are more likely to yield treatments that provide clinical benefit to patients. Precision medicine holds the promise of therapeutics specifically tailored to address the particular drivers of an individual patient’s disease state to optimize treatment outcome, but the realization of this promise through clinical implementation has proven elusive. Although more than 100,000 associations between particular genomic regions and specific diseases have been identified, developing medicines to target the drivers of a disease remains challenging. This is due to difficulties in selecting the most pharmacologically relevant genomic associations, difficulties in identifying the mechanism by which these genomic associations cause diseases and challenges in developing therapeutics for newly identified targets.

Addressing differences in response to treatment requires a more advanced understanding of and appreciation for the molecular complexity of disease. This is particularly true for common diseases, the complexity of which can be vast. A disease may involve thousands of genes across multiple cell types in different parts of the body. Because current clinical diagnostic technologies do not have the capability to assess change at such scale, current translational research or clinical practice cannot address disease complexity at this level.

We believe that we are pioneering the effort to translate genetic insights into therapeutic innovations by leveraging the technological convergence between biological sciences and information technology, and that our approach to drug discovery and development significantly mitigates its inherent risks with the key feature of variant functionalization. We leverage our Compass platform to discover and develop precision medicines in subsets of diseases to achieve improved treatment outcomes for patients. Our focus on CVRM diseases, including obesity, is driven in part by the emerging understanding of the interconnectivity of these diseases.

Overview of chronic kidney disease (CKD)

CKD is a serious, progressive condition characterized by the gradual loss of kidney function over time, posing significant health risks and economic burdens. CKD affects approximately 37 million patients in the United States, where it is expected to be the fifth most prevalent chronic disease by 2040, and an estimated 700 million patients worldwide. CKD manifests through various stages, culminating in end-stage renal disease, or ESRD, necessitating dialysis or kidney transplantation for survival. Current treatments for CKD consider patients as falling into clinical categories and focus on slowing disease progression, but do not target the underlying genetic drivers of disease.

In the early stages of CKD, most patients may not have symptoms. However, as kidney function gradually diminishes over time, health problems such as high blood pressure, anemia, muscle weakness and nerve damage, kidney failure and cardiovascular, or CV, disease may develop, leading to premature death. Once the disease progresses to ESRD, the only definitive treatment is kidney transplant, with dialysis serving as a bridge to transplant. As of 2018, the five-year survival rate for all people in the United States who started dialysis was under 50%, presenting a significant and urgent need for alternative treatments for CKD. In addition to the significant impacts on patients and their families, this disease has put a significant burden on the healthcare system in the United States, with more than 550,000 patients requiring dialysis and approximately 230,000

 

120


Table of Contents

patients living with a kidney transplant. An estimated 14% of the United States population has CKD, with the Medicare program spending an outsized amount, more than 24% or $130 billion of total yearly expenditures, on patients with CKD.

Individuals of African ancestry are at significantly greater risk of developing ESRD than individuals of European ancestry, and account for approximately 33% of patients who experience kidney failure in the United States. The cumulative risk of ESRD is approximately 7.5% of Americans with African ancestry as compared to approximately 2% of Americans with European ancestry. Understanding the genetic drivers of this difference in CKD progression may accelerate the development of treatment strategies and reduce the excess burden.

CKD can also increase the risk of CV diseases, such as heart failure, or HF. Depending on the stage of CKD and the age of the patient, up to 50% of patients diagnosed with CKD will also experience HF. CKD patients who are more likely to develop HF typically have similar risk factors including diabetes, obesity, and hypertension. If CKD is identified and addressed early enough, treatment can help slow disease progression, preserve renal function and reduce CV complications, including HF.

Limitations of current CKD therapies

Despite advances in medical science, current treatments for CKD consider patients as falling into clinical categories and focus on slowing disease progression but do not target the underlying genetic drivers of disease.

In addition to lifestyle modifications, the standard of care for CKD includes three main categories of treatment:

 

 

Established therapies that slow progression: renin-angiotensin-aldosterone system, or RAAS, inhibitors, SGLT2 inhibitors and glucagon-like peptide 1, or GLP-1 agonists.

 

 

Medications that mitigate the effects of CKD: medicines to control blood pressure, blood glucose levels, anemia, bone and mineral disorders, fluid overload, and levels of cholesterol and other lipids.

 

 

Dialysis and kidney transplantation: the typical final treatment option for ERSD patients.

Only 50% to 70% of CKD patients respond to lifestyle modification and standard of care treatment, and ultimately almost all CKD patients progress to ESRD. Furthermore, existing therapies are associated with adverse side effects and patients experience substantial healthcare costs. Given the escalating prevalence of CKD, and its profound impact on patient well-being and healthcare systems, there exists a critical and pressing need for innovative treatments capable of halting or reversing disease progression, improving patient outcomes, and mitigating the socioeconomic burden associated with CKD.

Our two lead wholly owned programs, MZE829 and MZE782, are novel precision medicine-based approaches for CKD that inhibit APOL1 and SLC6A19, respectively. Our CKD programs are designed to modulate these targets directly, either by mimicking the beneficial effects of certain protective variants or by blocking the unwanted activity associated with toxic variants, to address the underlying biological drivers of disease. We believe this approach has the potential to be disease modifying and ultimately lead to better treatment outcomes for patients living with CKD.

Overview of APOL1 kidney disease (AKD)

AKD is a life threatening, genetically driven form of CKD. People who have high-risk coding variants in both copies of the APOL1 gene have a heightened risk of developing CKD. Patients who develop AKD have one or both of the two high-risk variants of the APOL1 gene, G1 and G2, in both copies of their APOL1 gene, which can lead to kidney injury and interference with the kidney’s ability to filter harmful substances from the blood.

 

121


Table of Contents

LOGO

Figure 3: Prevalence of AKD and associated risk factors

The high-risk APOL1 gene variants are most prevalent in people of West African ancestry, including many who identify as Black, African American, Afro-Caribbean and Latina/Latino. These high-risk APOL1 gene variants likely evolved to protect individuals from Human African trypanosomiasis, or HAT, which causes sleeping sickness. HAT is endemic in sub-Saharan Africa and caused by protozoan parasites transmitted by infected tsetse fly bites. Without treatment, HAT is usually fatal.

In the United States, approximately six million, or 13%, of African Americans have mutations of both copies of the high-risk APOL1 gene variants, and are at risk for developing AKD. It is currently estimated that approximately 20%, or over one million, of those individuals have AKD.

APOL1 is a channel-forming innate immunity protein found in circulating high-density lipoproteins in humans and certain primates. In addition to circulating forms, APOL1 is also found locally in kidney endothelial cells and podocytes. Circulating APOL1 mediates resistance to infection from the parasite Trypanosoma brucei. The high-density lipoprotein particle binds to the cell membrane of the parasite, allowing for the uptake of APOL1, which forms a pH-gated cation channel in the membrane of the lysosome. The lysosome then swells and ruptures into the body of the parasite, resulting in its demise. The G1 and G2 variants of APOL1 evolved in response to parasites that became resistant to normal APOL1. However, individuals with two copies of the G1 and/or G2 variants were found to be at higher risk for developing CKD and progressing to ESRD.

Rare individuals lacking APOL1 altogether appear to have no higher risk of developing CKD than the general population, suggesting that AKD is the result of toxicity associated with the risk variants, rather than APOL1 inactivation. This observation also suggests that it may be safe to inhibit APOL1 activity to reduce the risk and progression of AKD.

 

122


Table of Contents

AKD has various clinical presentations, including FSGS, hypertension-associated kidney disease, HIV-associated nephropathy and lupus nephritis. Published third-party studies and internal analysis also suggest that AKD may be responsible for increasing the likelihood of progression to ESRD in individuals with diabetes.

AKD represents a significant unmet medical need, as there are currently no approved therapies that address its underlying genetic causes or efficacious treatment options for individuals with high-risk APOL1 gene variants.

Third-party clinical trials evaluating the use of a small molecule APOL1 inhibitor have demonstrated a statistically significant and clinically meaningful reduction in proteinuria at 13 weeks compared to baseline in APOL1-mediated FSGS patients. All clinical trials to date have been limited to AKD patients in the nephrotic or sub-nephrotic range, who represent a small percentage of the AKD population, and have excluded patients with hypertensive kidney disease and diabetes, who make up the majority of AKD patients.

Role of SLC6A19 in kidney disease

SLC6A19 encodes the protein BoAT1, a sodium-dependent neutral amino acid transporter expressed primarily in the proximal tubule of the kidney and on the brush border of the small intestine. In the kidney, SLC6A19 plays a role in minimizing the excretion of amino acids in urine by transporting these key nutrients from the urine back into the bloodstream. We identified SLC6A19 as a potentially novel therapeutic target for CKD based the finding that loss-of-function variants in SLC6A19 were associated with improved renal function and protection from CKD.

As shown in Figure 4 below, while treatment strategies for patients with CKD have evolved with the use of RAAS inhibitors and more recently SGLT2 inhibitors and GLP-1 agonists, of the approximately 14 million CKD patients in the United States with clinical symptoms requiring treatment, only approximately 7 million are receiving treatment. Of these, we estimate that up to five million patients may have an inadequate response and could benefit from novel treatments. Additionally, we believe there is potential for SLC6A19-based therapies to be used either alone or in combination with other available treatment options in an even larger group of CKD patients.

 

123


Table of Contents

LOGO

Figure 4: Initial target CKD populations for MZE782 in the United States

Our lead programs for CKD: MZE829 and MZE782

Our wholly owned pipeline consists of small molecule precision medicines for patients living with CVRM diseases, including obesity. Our two lead wholly owned programs, MZE829 and MZE782, are novel precision medicine-based approaches for CKD that inhibit APOL1 and SLC6A19, respectively.

MZE829 for APOL1 kidney disease (AKD)

Our most advanced lead program, MZE829, is an oral, small molecule inhibitor of APOL1 that seeks to treat patients with AKD, a subset of CKD estimated to affect over one million patients in the United States alone. Our approach to treating AKD aims to block the ability of APOL1 to conduct current at the cell membrane. Based on compelling human genetics and functional genomics data derived from our Compass platform linking the role of the G1 and G2 APOL1 risk variants to CKD, along with a further understanding of APOL1’s function and clinical observation of its localization, we believe a pore-blocking strategy will reduce ion conductance in podocytes and thus reduce APOL1-associated renal toxicity.

While the genetic link between APOL1 and kidney disease has been well established, the mechanism by which it induces kidney injury remained unclear for over a decade. Through our Compass platform and the research we have conducted with our partners, we have identified the mechanism of a naturally occurring genetic variant of APOL1, called N264K. When present, this variant has been shown to reduce the conductance of ions through the APOL1 pore in the presence of the high-risk G1 and G2 APOL1 alleles, thereby suppressing the toxicity of APOL1 in kidney cells and reducing disease progression.

 

124


Table of Contents

The genesis of our therapeutic hypothesis was based upon human genetics involving an individual from Ghana who developed an atypical trypanosome infection. Under normal circumstances, protections afforded by APOL1 would have prevented infection from this particular trypanosome. However, a third party’s sequencing of the APOL1 gene from this individual revealed that the genetic mutation responsible for N264K occurred in a separate part of the APOL1 gene from where the disease-driving mutations occur and established that the mutation resulted in the inability of APOL1 to direct the elimination of trypanosomes. This led us to consider whether the mechanism by which APOL1 promoted trypanosome lysis may also have a causal connection to toxicity in kidney disease. We tested the consequences of the N264K variant in cultured kidney cells, in which expression of the G1 and G2 APOL1 risk variants are toxic. When the risk variant of APOL1 was altered to contain the N264K variant, its toxicity in kidney cells was substantially reduced.

To further validate the finding, we conducted a cross-sectional analysis of 121,492 participants of African ancestry from the Million Veteran Program, or MVP, to determine if the presence of N264K modified the association between the G1 and G2 risk variants and CKD and ESRD. As depicted in Figure 5 below, the results showed a strong association between N264K and a statistically significant risk reduction (p < 0.001) of CKD (left) and ESRD (right) among carriers of the G1 and G2 risk variants. The results were further replicated by research from the Vanderbilt University Medical Center’s Biobank (BioVU; n= 14,386) and the National Institute of Health’s All of Us program (All of Us; n= 14,704), also reflected in Figure 5 below. A meta-analysis across all cohorts demonstrated a 57% reduced risk of CKD and an 81% reduced risk of ESRD in APOL1 high-risk patients carrying the N264K protective variant.

 

LOGO

Figure 5: APOL1 N264K variant shown to protect against AKD (CKD) and ESRD

We then used human kidney cell models to demonstrate that the N264K mutation blocked APOL1 pore-forming function and ion conductance, and reduced toxicity of the APOL1 high-risk mutations (the G2 variant shown in Figure 6 below). We generated kidney cell lines in which expression of the toxic G2 APOL1 protein was induced with doxycycline. We then measured calcium ion flow into these cells using a calcium sensitive fluorescent protein. As demonstrated in the left panel below, an increase in calcium uptake occurred in cells where expression of the G2 variant was induced (G2, +Dox) but not in cells in which G2 was not expressed (G2, -Dox). This demonstrated that the G2 APOL1 variant can form an ion permeable pore in the plasma membrane of these cells. As shown in the right panel below, cells designed to express a version of toxic G2 APOL1 with the N264K mutation (G2 N264K) did not show evidence of increased ion flux in the presence of doxycycline. This demonstrated that the protective APOL1 variant N264K blocked G2 APOL1 dependent ion flux in a cell model as

 

125


Table of Contents

measured by calcium uptake, demonstrating that N264K acts by impairing APOL1 pore function. These data informed our therapeutic hypothesis for the treatment of AKD by phenocopying the effects of the N264K variant and blocking the unregulated ion flow that occurs in the presence of the high risk APOL1 variants, G1 and G2.

 

LOGO

Figure 6: Protective N264K variant corrected ungated ion flux that occurs with G2 risk variant

Discovery of MZE829

In order to validate the assertion that inhibition of pore function would limit toxicity, we conducted several small molecule screening campaigns. These screens resulted in our identification of several chemical series that were capable of blocking the influx of ions through APOL1. Kidney cells expressing APOL1 were exposed to pore-blocking molecules from our lead series at a range of concentrations at two different resting membrane potentials. Measurement of the current flowing through the APOL1 pore showed that these molecules inhibited the flow of current in a dose dependent manner.

Further, in studies to assess the ability of our lead compounds to protect against APOL1-mediated toxicity, human kidney cells expressing the G1 and G2 APOL1 risk variants were cultured in the presence and absence of our lead compounds. As the concentration of our lead series APOL1 inhibitor increased, the rate of kidney cell toxicity decreased and kidney cell viability percentage increased in a dose dependent manner.

Conducting the various in vitro and cell-based assays allowed us to evaluate potency and effect of APOL1 compounds. While these assays are informative, they are limited, artificially constructed systems, and often provide incomplete data on how the compounds may interact in a human setting. Because of these complexities, we believe a humanized in vivo mouse model measuring proteinuria reduction is the preferred surrogate for patient improvement. We conducted an in vivo experiment with our development candidate, MZE829, using a transgenic mouse model that simulates human disease with two copies of high-risk APOL1 alleles that drive high levels of proteinuria in response to an inflammatory stimulus driven by expression of interferon gamma.

Findings from this study demonstrated the potential of MZE829 to ameliorate disease manifestations of AKD, specifically proteinuria and the histopathological manifestations of kidney damage. In this study, we treated mice homozygous for a bacterial artificial chromosome, or BAC, transgene expressing the G2 APOL1 variant with interferon gamma to induce APOL1 expression in the kidney. This treatment led to G2 APOL1 upregulation and kidney injury that could be monitored by urinary albumin excretion or urinary albumin-creatinine ratio, or

 

126


Table of Contents

uACR. Mice were treated with interferon gamma and MZE829, and urine was collected from 24 through 48 hours after treatment. As shown in Figure 7 below, MZE829 dose dependently blocked APOL1 induced kidney injury in this translationally relevant G2 APOL1 BAC transgenic mouse model as measured by decreases in uACR.

 

LOGO

Figure 7: MZE829 inhibited APOL1 dependent proteinuria, as measured by uACR, in a model of AKD

We also compared MZE829 to an independently synthesized sample of the publicly disclosed structure of inaxaplin, or VX-147, in this mouse model of AKD. Inaxaplin, or VX-147, is an APOL1 function inhibitor currently in clinical development sponsored by Vertex. Different doses of MZE829 and the synthesis of inaxaplin were given to mice treated with interferon gamma. uACR and free plasma drug concentrations were determined for each dose group, and the exposure-response relationships for both compounds was analyzed as shown in Figure 8 below. The free plasma drug concentrations associated with a 50% reduction in uACR was approximately 100 times lower for MZE829 compared to the synthesis of inaxaplin. These data demonstrated that MZE829 was substantially more potent than our synthesis of inaxaplin in a translationally relevant animal model, and suggest that meaningful efficacy in the clinic may be achievable at lower levels of free drug. Therefore, we believe MZE829 may be more suitable for clinical exploration in a broader range of patients, with lower risk of off-target safety effects.

 

LOGO

Figure 8: MZE829 was approximately 100 times more potent than an independently synthesized sample of inaxaplin in a mouse model of AKD

 

127


Table of Contents

While the mouse model of AKD described above simulated acute onset and treatment of disease, we also developed additional models that more closely resemble chronic disease. In these models, mice harboring BAC transgenes with one copy each of both G1 and G2 were exposed to an adeno-associated virus chronically expressing interferon gamma to produce the manifestations of AKD in humans. Treatment after seven days of continuing interferon expression with a mouse-tool compound (MZ-302) with similar pharmacochemical characteristics to MZE829 demonstrated the ability to significantly reduce uACR in a dose-dependent manner, as shown in Figure 9 below, with almost complete reversal after three weeks of treatment.

 

 

LOGO

Figure 9: Reversal of established proteinuria, as measured by uACR, by a Maze APOL1 inhibitor (MZ-302) in a chronic mouse model of AKD

Treatment also was shown to resolve kidney tissue abnormalities (disruption of glomeruli, or glomerulosclerosis as shown in insets) within the same time frame, as reflected in Figure 10 below. This demonstrated that in both acute and chronic mouse models of AKD, our specific and potent APOL1 inhibitors were able to both arrest and reverse disease, providing further validation of our therapeutic hypothesis.

 

 

LOGO

Figure 10: Treatment with MZ-302, a Maze APOL1 inhibitor, significantly reduced glomerular scarring in a chronic mouse model of AKD

MZE829 clinical trials

We recently completed a Phase 1 randomized, placebo-controlled clinical trial evaluating MZE829 in 111 healthy volunteers, including 33 African American volunteers (25 of whom received MZE829 and 8 of whom received placebo), with single ascending dose, or SAD, and multiple ascending dose, or MAD, cohorts. The primary objective of the Phase 1 trial was to assess the safety and tolerability of single and multiple doses of MZE829 in healthy volunteers. The secondary objectives were to evaluate the food effect of a single dose of MZE829 and

 

128


Table of Contents

the pharmacokinetics of single and multiple doses of MZE829. As a part of the Phase 1 trial, we also investigated potential drug-drug interactions, or DDIs, to guide the use of standard-of care medicines in Phase 2.

MZE829 Phase 1 results

In October 2024, we reported the Phase 1 results from our Phase 1 trial in healthy volunteers. This first-in-human, randomized, placebo-controlled, single and multiple ascending dose trial was designed to evaluate the safety, PK, food effect, and potential DDIs based on CYP3A4 metabolism of orally administered MZE829 in healthy volunteers and enrolled 111 participants, including 33 African American patients. The Phase 1 trial cohorts consisted of: single dose (n=48); multiple doses (n=40); food effect dosed with 240 mg (n=8); DDI, dosed with 120 mg and itraconazole (n=7); and DDI, dosed with 240 mg and midazolam (n=8). As shown in Figure 11 below, in this trial, MZE829 was well tolerated at multiple doses up to 350 mg daily for seven days. MZE829 was also well tolerated at single doses up to 480 mg. At likely therapeutic dosing levels, all treatment-related adverse events were reported as mild. No serious adverse events were reported at any dose. In total, approximately 20% of patients receiving MZE829 reported any treatment-related adverse event, the majority of which were headache, as compared to 13% of patients receiving placebo. With respect to treatment-related adverse effects reported in three or fewer patients, approximately 20% of patients receiving MZE829 reported headache as a treatment-related adverse event as compared to 4% of patients receiving placebo. At the supratherapeutic dose of 480 mg, we observed mild and moderate treatment-related adverse events consisting of headache, nausea, vomiting and diarrhea (among the 480 mg split-dose cohort, n=3 across all three such events), and no severe adverse events were reported. Due to the tolerability issues reported for multiple patients, we stopped dosing at the 480 mg QD level after two doses.

 

LOGO

Figure 11: MZE829 well-tolerated at multiple doses up to 350 mg QD x 7 days

As shown in Figure 12 below, dose-proportional PK was observed with low variability (10-40%) across doses and minimal urinary excretion (<1%). The observed half-life of MZE829 was approximately 15 hours, which supports the potential for MZE829 to be dosed once daily. Additionally, no clinically significant drug-drug interactions were identified, which we believe supports the ability for MZE829 to be administered together with standard of care medicines used in patients with AKD, including cyclosporine, tacrolimus and mycophenolate mofetil.

 

129


Table of Contents

The results from our Phase 1 trial demonstrated that MZE829 was well tolerated and established the dosing regimen that we are taking into our Phase 2 trial in patients with AKD. Patients with the high risk APOL1 genotype and proteinuric kidney disease are currently being enrolled into our Phase 2 trial to reflect a broad spectrum of AKD patients.

 

Sin
gle Ascending Doses*
  
Multiple Ascending Doses**

 

LOGO

 

*   Note: Single doses up to 480 mg were also evaluated in the study. Due to inconsistent exposures, these data are not shown here. Evaluation of the same dose level administrated as split dose (2 hours apart) as well Day 1 exposures at 480 mg MAD cohort suggest the low exposures observed in the 480 mg single dose cohort were erroneous. LLOQ=2ng/ml. n=6/cohort

 

**   Note: Dosing was discontinued in 480 mg QD cohort after second dose. These data are not shown here. LLOQ=2ng/ml. n=6/cohort

Figure 12: MZE829 had a linear PK with dose proportional increases in plasma exposure in 20 mg to 480 mg

Phase 2 trial design

Our Phase 2 clinical trial employs an open-label basket design that includes a range of clinical phenotypes, including those accompanied by type 2 diabetes, and moderate to severe forms of disease as determined by the level of proteinuria (at least 300 milligrams albumin per gram creatinine). It is a 12-week trial to evaluate the safety, efficacy and tolerability of MZE829 using uACR reduction in adults with CKD who have the APOL1 high-risk genotype (two copies of a high-risk APOL1 allele, G1 and/or G2). The trial is intended to initially consist of two cohorts. Both initial cohorts will simultaneously enroll participants aged 18 to 65 with CKD and uACR of at least 300 milligrams albumin per gram creatinine, who carry the APOL1 G1 and G2 mutations (G1/G1, G2/G2, G1/G2), meet estimated glomerular filtration rate, or eGFR, criteria of at least 25 mL/min/1.73m2 up to 90 mL/min/1.73m2, and have received stable doses of current standard of care treatment for CKD for at least eight weeks prior to screening. One cohort will be comprised of participants with CKD (including HTN-related CKD or FSGS) and concurrent type 2 diabetes. The second cohort will be comprised of participants with CKD diagnoses attributed to hypertension or FSGS with or without biopsy and without a known cause for CKD other than APOL1. We expect to enroll approximately 28 patients per cohort, with an option to explore additional doses. These first two cohorts are intended to include patients with a wide array of characteristics of CKD, including patients with more severe disease who have nephrotic range proteinuria and patients with more moderate disease who have lower levels of proteinuria. We further expect to expand into a third cohort of patients with FSGS, enrolling approximately 15 patients.

A once daily oral dose of 250 mg MZE829 will be administered to participants in both cohorts over a 12-week treatment period, which we expect to be in an efficacious dose range based on in vivo pharmacology models. The dose of 250 mg orally administered once daily is supported by the safety, tolerability, and PK profile observed in the Phase 1 trial and completed 13-week nonclinical toxicology studies.

Our Phase 2 evaluation of MZE829 clinical development will aim to address a larger population than current third-party clinical trials, as shown below in Figure 13, which are limited to patients in the nephrotic or sub-

 

130


Table of Contents

nephrotic range only, comprised of non-diabetic patients with FSGS and a small portion of patients with hypertensive nephropathy and heavy proteinuria.

 

LOGO

Figure 13: Maze plans to explore an expanded population of AKD patients in the United States in clinical trials

Data from Phase 2 are intended to demonstrate proof of concept, with data expected in the first quarter of 2026, and provide appropriate criteria for selection of patient populations and dose range in a subsequent pivotal clinical program.

We intend to use reduction of proteinuria, as measured by the percentage of subjects with a 30% or greater reduction from baseline uACR at week 12, as well as safety and tolerability, as the primary endpoints for the Phase 2 trial. uACR is a sensitive measure of proteinuria in earlier stages of glomerular kidney disease, particularly in hypertension and diabetes, and has been used to assess risk of CV disease. Secondary endpoints will be the change in urine protein-creatinine ratio and an evaluation of MZE829 PK in the patient population. Exploratory endpoints will include change in eGFR, the Kidney Disease Quality of Life 36-item short form survey, and other biomarkers. With respect to the FSGS cohort, we are assessing the potential use of proteinuria and eGFR-based surrogate endpoints as advanced by the Proteinuria and GFR as Clinical Trial Endpoints in FocaSegmental Glomerulosclerosis, or PARASOL, initiative.

Patient identification and selection

We are using clinical genotyping to identify individuals who carry the APOL1 G1 and G2 mutations in connection with enrollment of our Phase 2 clinical trial. Additionally, the APOL1 G1 and G2 variants are included in most currently used standard genetic screening panels for kidney disease. We do not intend to genotype participants for the N264K variant as this is a rare finding and these individuals are unlikely to meet the criteria for AKD as they are relatively protected. We are currently exploring the development of an APOL1 G1/G2 companion diagnostic for commercialization. Various sponsors, including kidney societies, patient advocacy groups, academic programs and other biopharmaceutical companies, are currently conducting global genotyping efforts. These are promoted by the Kidney Health Initiative, a public-private partnership among the U.S. Food and Drug Administration, or FDA, the American Society of Nephrology, and other member organizations,

 

131


Table of Contents

including us. We believe that these genotyping efforts will increase as additional positive data and potential therapies become available. Additionally, in August 2024, we initiated a multicenter, clinical observational study to identify black and African American individuals who carry the APOL1 G1 and G2 mutations, and to explore kidney disease biomarkers in patients with proteinuric kidney disease.

MZE782 targeting SLC6A19 for CKD

We believe that MZE782, an oral, small molecule targeting the solute transporter, SLC6A19, has the potential to treat approximately five million of the CKD patients in the United States who have inadequate responses to currently available CKD therapies. Beyond its use as a potential standalone therapy, MZE782 may also provide a significant benefit to patients in combination with standard of care, including as a complementary treatment to current approved regimens, or as an alternative option for those patients who do not adequately respond to the current standard of care. We plan to apply a non-invasive biomarker strategy in our Phase 1 trial in healthy volunteers to establish proof of mechanism and select doses for a Phase 2 trial in CKD patients. We initiated a Phase 1 trial of MZE782 in September 2024 and expect to provide initial data from this trial in the second half of 2025.

Using our Compass platform, we identified SLC6A19 as a target through genetic association with a bidirectional allelic series that included genetic variants that either improve or worsen renal function. We then applied variant functionalization techniques to understand the characteristics of the naturally occurring protective variants, and designed a small molecule inhibitor to mimic those protective characteristics. Using computational tools integrated with established small molecule screening methods, we were able to identify a lead compound series. Cryo-EM structural analysis revealed a novel allosteric binding site that allowed for further optimization toward a lead compound. This approach facilitated the identification of our development candidate, MZE782, with a 250-fold increase in potency relative to earlier compounds in development.

Identification of SLC6A19 as a therapeutic target using our Compass platform

SLC6A19 emerged as a novel therapeutic target for the treatment of CKD based on our analyses of independent sets of human genetic data matched with longitudinal clinical data for kidney health. Through these analyses, we identified a link between loss-of-function variants in SLC6A19 with improved renal function and protection from CKD. As illustrated in Figure 14 below, SLC6A19 variants plotted by allele frequency on the X-axis were statistically significantly associated (p< 5x10-8 ) with improvement in kidney function (as measured by decreases in serum creatinine) on the Y-axis. One loss-of-function missense variant (D173N) had the largest beneficial effect on kidney function.

 

 

LOGO

Figure 14: Analysis of matched clinical-genetic data from the UK Biobank prioritized novel CKD target SLC6A19

 

132


Table of Contents

Analysis of the D173N loss-of-function variant and gain-of-function Expression Quantitative Trait Loci, or eQTLs, across the UK Biobank data set established a bidirectional allelic series (both protective and risk alleles) for kidney function. As shown in Figure 15 below, loss-of-function D173N variant was associated with decreased levels of serum creatinine and cystatin C, as well as increased eGFR, consistent with better kidney function. An eQTL that leads to higher levels of SLC6A19 expression was associated with increased levels of serum creatinine and cystatin C and lower eGFR, consistent with worse kidney function. Missense variants that decrease SLC6A19 activity and eQTLs that increase SLC6A19 activity have directionally opposite effects across multiple distinct biomarkers of kidney function supporting the model that loss of function in SLC6A19 protects from CKD.

 

 

LOGO

Figure 15: SLC6A19 variants had bidirectional and consistent effects across biomarkers of renal function

Preclinical models of SLC6A19 inhibition

To gain further confidence in SLC6A19 as a relevant therapeutic target for improving kidney health, we generated a preclinical knockout mouse model to recapitulate the effects of the loss-of-function protective variants. As demonstrated in the histopathological images in Figure 16 below, the kidney from a representative wild type mouse (far left) showed marked damage, as indicated by vacuolization (excessive white spaces) in the kidney parenchyma along with breakdown of the normal architecture of glomeruli (the filtration units in the kidney) in response to treatment with the proximal tubule toxin, aristolochic acid, or AAI. In contrast, the kidney from a representative SLC6A19 knockout mouse (inner left) showed normal kidney parenchyma with healthy glomeruli in response to AAI treatment. This demonstrated protection of the kidney from AAI damage in mice that did not express SLC6A19.

Further, complete knockout of SLC6A19 in this model was well tolerated with normal kidney parenchyma (far right), and no impact on body weight, eGFR or other measures of kidney health, or function of other organs. In addition, Hartnup syndrome, a genetic disorder in which individuals are homozygous for loss-of-function mutations in SLC6A19, is characterized by benign loss of amino acids in urine. Patients with Hartnup syndrome can live healthy lives with appropriate dietary supplementation. Heterozygous Hartnup carriers are clinically normal without intervention. Together, these observations provide in vivo evidence that pharmacologic inhibition of SLC6A19 function could be well tolerated in patients with CKD and protect the kidney from injury.

 

133


Table of Contents

 

 

LOGO

Figure 16: Targeted genetic knockout of SLC6A19 in a preclinical model protected against AAI-induced kidney injury

Correlation of SLC6A19 inhibition with clinically meaningful effect

Individuals with one copy of the D173N variant displayed clinically meaningful protection of kidney function in the UK Biobank data set. Functionalization of this variant enabled us to estimate the degree of inhibition required for a clinically significant effect. SCL6A19 harboring the protective D173N variant and other variants associated with SLC6A19 loss-of-function were expressed in a Xenopus oocyte system. Introduction of the D173N mutation resulted in an approximately 50% decrease in transporter activity as measured by uptake of the neutral amino acid, leucine, a natural cargo for the transporter, compared to wild type SLC6A19. Because a protective effect on kidney function is seen in the presence of a single copy of the D173N variant, these data suggest that a clinically meaningful effect could be seen with as little as 50% inhibition of the target.

Discovery of MZE782

Based on our genetic analyses, loss-of-function variants were protective against kidney dysfunction in human beings against kidney injury in the preclinical AAI treatment model. As a result, we launched a drug discovery program to identify small molecule inhibitors of SLC6A19 function. Inhibitors of SLC6A19 were identified in a screen of 200,000 compounds in a cellular fluorometric membrane potential assay. Several hit series were identified (potencies <10 µM), and the acquisition of dozens of Cryo-EM protein-ligand complex structures revealed that all compounds bound in a specific, cryptic allosteric pocket. Structurally enabled hybridization of the hit series and further optimization using a cellular radiometric leucine uptake assay produced compounds with potencies <500 nM. Further lead optimization benefited from the introduction of polarity which allowed for the best balance of potency and in vivo pharmacokinetic performance. Ultimately, our efforts resulted in MZE782, with an IC50 < 300 nM reflecting a ten-fold improvement in potency compared to the initial hit.

Development of translational biomarkers of SLC6A19 inhibition

Because SLC6A19 transports (and therefore, reabsorbs) neutral amino acids from the urine back into the bloodstream, the excretion of neutral amino acids in the urine should allow for the measure of SLC6A19 inhibition in the kidney. A mouse tool compound derived from in-house high throughput screens, which we refer to as MZ-401, was dosed at 100, 300 and 1000 milligrams per kilogram in a mouse model of phenylketonuria, Pahenu2, in which circulating levels of phenylalanine, or Phe, are elevated. Urine was collected for eight hours

 

134


Table of Contents

post-dose and urinary levels of Phe, glutamine, or Gln, and creatinine were determined by an LC-MS assay. As depicted in Figure 17 below, we observed dose dependent increases in urinary Phe (left) and Gln (right) normalized to creatinine. Although the levels of circulating Phe, but not Gln, are elevated in this specific mouse strain, we believe these data still confirm the utility of urinary excretion of neutral amino acids as a relevant pharmacodynamic measure with which to establish an exposure-response with SLC6A19 inhibition. MZ-401 induced dose dependent increases in urinary phenylalanine and glutamine, consistent with >50% target engagement based on genetic analysis of humans and mice.

 

LOGO

Figure 17: A Maze SLC6A19 inhibitor (MZ-401) achieved a response consistent with >50% target engagement based on dose dependent increases in urinary neutral amino acids

MZE782 clinical development plans

In October 2024, we announced that the first participants had been dosed in a Phase 1 clinical trial evaluating MZE782 in healthy volunteers. The Phase 1 clinical trial is a randomized, double-blind, placebo-controlled single and multiple ascending dose study in approximately 112 healthy volunteers designed to evaluate safety, tolerability, PK and pharmacodynamics as measured by urinary excretion of known SLC6A19 cargo, e.g., neutral amino acids. This non-invasive biomarker is intended to inform dose selection and optimize the design of future clinical trials in patients. We expect to provide initial results of this clinical trial, including potential proof of mechanism utilizing these biomarkers, in the second half of 2025.

Beyond its use as a potential standalone therapy, MZE782 may also provide a significant benefit to patients in combination with standard of care, including as a complementary treatment to current approved regimens, or as an alternative option for those patients who do not adequately respond to the current standard of care.

Subject to receiving supporting data from Phase 1, our current plan is for Phase 2 to focus on CKD patients with inadequate response to the current standard of care. Our ongoing analysis of matched genetic-clinical-metabolomic data in CKD cohorts and exploration of metabolite profiles in these data sets as well as in our Phase 1 cohort may lead to potential approaches to further stratify patient sub-populations for our Phase 2 program. We also intend to explore effect on plasma phenylalanine, or Phe, levels in patients with PKU.

MZE782 targeting SLC6A19 for PKU

In addition to CKD, MZE782 may provide benefit to patients suffering from the genetically defined metabolic disease, phenylketonuria, or PKU. Following our ongoing Phase 1 trial of MZE782 in healthy volunteers, we plan to conduct a parallel Phase 2 patient trial to explore MZE782 potential for treatment of PKU.

 

135


Table of Contents

PKU overview

PKU is an inherited metabolic disorder caused by mutations in the phenylalanine hydroxylase, or PAH gene, leading to a deficiency of the enzyme. As a result, Phe is insufficiently metabolized and toxic levels accumulate in the body.

PKU is a lifelong genetic disease diagnosed at birth by the routine neonatal blood spot test. There are several forms of PKU, ranging from mild to severe cases. Build-up of Phe in blood and tissues can cause neurological symptoms such as intellectual disability, behavioral abnormalities, and seizures. If left untreated, toxic levels of Phe in the blood can result in progressive and severe neurological impairment and neuropsychological complications. Current management includes adherence to a strict, low-Phe diet and dietary supplementation with other essential amino acids, as well as frequent monitoring of plasma Phe levels. Treatment with sapropterin (Kuvan) works for an estimated 20-75% of patients by enhancing the activity of PAH, especially in milder cases. A newer enzyme replacement therapy, or ERT, pegvaliase (Palynziq), is available for use in adults and achieves effective control of plasma Phe levels in up to 66% of patients, but carries a defined risk of anaphylaxis and injection site reactions. It is estimated that there are currently approximately 13,500 individuals diagnosed with PKU in the United States.

SLC6A19 for PKU

Since SLC6A19 is a sodium-dependent neutral amino acid transporter that mediates neutral amino acid resorption across the small intestine and renal proximal tubule, it is responsible for primary absorption of Phe from food in the intestine and kidney reabsorption of excreted Phe back into the bloodstream. We believe inhibiting SLC6A19 could help to both block Phe uptake in the gut and facilitate urinary excretion of excess Phe, and provide a potential therapy for patients with PKU independent of responsiveness to Kuvan or other PAH stimulators.

In mice and humans, loss of SLC6A19 limits neutral amino acid uptake resulting in fecal and urinary excretion. Mouse genetic experiments, both at Maze and in published literature, as well as recently third-party published clinical studies, suggest that inhibiting SLC6A19 using a small molecule is a viable approach for treating PKU.

MZE782 for PKU

For patients with PKU, MZE782 is being developed as an oral therapy designed to reduce plasma Phe levels by inhibiting intestinal uptake and promoting urinary excretion of Phe. MZE782 has the potential to be used as a monotherapy or in combination with standard of care. In contrast to current standard of care, SLC6A19 inhibition works by a novel mechanism and is independent of patient PAH levels or BH4 responsiveness, key signatures of current, non-ERT standard of care.

Based on our preclinical findings, MZE782 has the potential to be more potent than current standard of care with a potentially larger effect on reducing absorption of Phe in the gut and increasing excretion of Phe in urine. This supports the potential for MZE782 to significantly reduce levels of plasma Phe, and achieve normal plasma Phe levels in a majority of PKU patients, independent of their PAH mutation or responsiveness to PAH stimulation.

Preclinical data

To determine the potential effect of SLC6A19 inhibition on plasma Phe levels, MZ-401 was dosed at 100, 300 and 1000 milligrams per kilogram in a mouse model of phenylketonuria, or Pahenu2, in which circulating levels of Phe were elevated. Urine was collected for eight hours post-dose and plasma and urinary levels of Phe and urinary levels of creatinine were determined by an LC-MS assay. As depicted in Figure 18 below, we observed dose dependent decreases in plasma Phe (left) and increases in urinary Phe (right) normalized to creatinine.

 

136


Table of Contents

This supports the mechanism of action of SLC6A19 inhibition in lowering plasma Phe levels in part by increasing urinary excretion of Phe.

 

LOGO

Figure 18: A Maze SLC6A19 inhibitor (MZ-401) demonstrated dose-dependent lowering of plasma phenylalanine coincident with dose-dependent increases in urinary phenylalanine

Clinical trial design

The Phase 1 clinical trial currently underway is a randomized, double-blind, placebo-controlled single and multiple ascending dose study in healthy volunteers designed to evaluate safety, tolerability, PK and pharmacodynamics as measured by urinary excretion of known SLC6A19 cargo, including Phe.

Pending the results of our ongoing Phase 1 trial, we intend to explore the potential for MZE782 for the treatment of PKU in a Phase 2 clinical trial in patients with PKU. We expect the endpoints of the trial to include exploration of MZE782 effect on plasma Phe levels in patients with PKU, evaluation of the 28-day reduction in plasma Phe in patients with PKU, and evaluation of the percentage of PKU patients that achieve normal plasma Phe levels. We plan to finalize the trial design following Phase 1 trial results in healthy volunteers, which we expect in the second half of 2025. The findings from the Phase 1 trial will inform dose selection and design of our Phase 2 study in patients with PKU.

Additional CKD and CVRM research programs

In addition to our two lead programs in CKD, we are exploring additional targets that we have identified as potential next generation small molecule candidates. Using our Compass platform, we identified a CKD target through genetic association with a bidirectional allelic series that included genetic variants that either improve or worsen renal function, then applied variant functionalization techniques to understand the characteristics of the naturally occurring protective variants. Based on these analyses, we have initiated assay development for a high-throughput compound screen designed to identify a small molecule inhibitor to mimic those protective characteristics.

 

137


Table of Contents

We have further identified an additional CVRM target through genetic analysis as described above, and are applying variant functionalization techniques to define the characteristics of the naturally occurring protective variants. We are currently scaling assays that we have developed to be used in a high-throughput screen to identify quality compounds that would serve as leads for further chemical optimization.

Other development opportunities including small molecule research in CVRM

We also have research efforts underway for our next-generation programs in common diseases. We are focusing our early research efforts and evaluating genetic targets in CVRM diseases, including obesity, driven in part by the emerging understanding of the interconnectivity of these common diseases affecting the heart and kidney through metabolic drivers, such as obesity. These research efforts include exploring complications of type 2 diabetes, non-central nervous system mechanisms of obesity, and myocardial dysfunction due to metabolic disease.

Patients who are more likely to develop CKD and other diseases such as heart failure, HF, typically have similar comorbidities, including obesity, and we believe our precision medicine approach through our Compass platform will allow for additional targets in these therapeutic areas. We aspire to ultimately guide the development of new medicines utilizing new genetic insights to identify valid targets and discover therapeutic agents designed to mimic the activity of protective genetic variants or correct the effects of toxic genetic variants. We expect that our commitment to a pragmatic development approach will improve the likelihood of success and patient impact.

In metabolism, we have identified a key set of potential targets to address obesity and are utilizing our statistical, computational and functional genomics research engine to explore non-central nervous system-driven mechanisms that affect body mass index and weight distribution. With our programs, we will look to complement the existing CKD therapy of GLP-1 receptor agonists, which are primarily driven by a central nervous system mechanism of action, and potentially address the unmet needs of patients who do not respond or cannot tolerate the current therapeutic options, or seek a maintenance option for ongoing weight control.

Our partnered programs

Using our Compass platform, we have validated targets and new therapeutic approaches targeting diseases outside of our core focus areas, including neurology, ophthalmology and rare diseases. We have entered into partnership arrangements with third parties with respect to several of these targets. These programs are not only sources of revenue, but also demonstrate the power of our Compass platform.

MZE001 for Pompe disease

Our first program to enter the clinic, MZE001, has the potential to be a novel therapeutic approach to treating Pompe disease. MZE001 is an investigational oral, small molecule inhibitor of muscle-specific glycogen synthase, or glycogen synthase 1, which is encoded by the gene glycogen synthase 1, aimed at reducing the glycogen concentration in muscles.

Pompe disease is a rare, inherited lysosomal storage disorder caused by mutations in the gene coding for acid alpha-glucosidase that can lead to the buildup of glycogen, a complex sugar, in skeletal, respiratory and cardiac muscle resulting in progressive weakness, HF and respiratory compromise. Shionogi, the licensee for this program, estimates that approximately 50,000 patients are living with Pompe disease worldwide.

The Compass platform enabled Maze to progress a therapeutic candidate, MZE001, from discovery to the clinic within approximately three years. Our Phase 1 first-in-human trial, which was completed in December 2022, demonstrated proof of mechanism in 129 healthy volunteers. This clinical trial was a randomized, double-blind, placebo-controlled,

 

138


Table of Contents

SAD and MAD study in healthy volunteers. The primary and secondary objectives, respectively, were to demonstrate the safety and tolerability, and evaluate the PK, of single and multiple doses of MZE001 in healthy adults. An exploratory objective was to evaluate biomarkers of glycogen metabolism to demonstrate proof of mechanism, i.e., that MZE001 treatment would result in a reduction in muscle glycogen. In the Phase 1 trial, MZE001 was well tolerated at all doses tested, with no serious adverse events observed. Importantly, the exploratory analyses showed that MZE001 inhibited the synthesis of muscle glycogen and reduced total muscle glycogen compared to placebo. We believe these data support MZE001’s potential as an oral therapy for the treatment of patients with Pompe disease. MZE001 has the potential to be used either as a monotherapy or as an add-on to ERT, the current standard of care.

In March 2024, we exclusively licensed MZE001 to Shionogi for the rights to develop and commercialize MZE001. Under the terms of the agreement, Shionogi acquired an exclusive, worldwide, sublicensable license to research, develop, manufacture and commercialize MZE001 as well as related compounds, know-how and intellectual property. Shionogi paid an upfront fee of $150 million, and we will be eligible to receive milestone payments based on development, regulatory and commercial achievements plus tiered royalties based upon future net sales.

Application of our Compass platform to advance MZE001

The buildup of glycogen in skeletal, respiratory and cardiac muscle tissues is the primary driver of disease progression in patients with Pompe disease. While ERT, the current standard of care, has brought significant benefit to patients, glycogen accumulation in muscle continues to allow the disease to progress, specifically impacting ambulation and respiratory function, and has been only partially effective at clearing toxic glycogen accumulation in these tissues.

Inhibition of muscle glycogen synthase is a form of substrate reduction therapy, which has the potential to decrease muscle glycogen synthesis and its subsequent accumulation. By leveraging large sources of matched, genetic and longitudinal clinical data with our Compass platform, we sought to address longstanding questions around safety and efficacy that previously precluded the development of a substrate reduction therapy, and designed MZE001 to address the therapeutic gap in current standard of care.

While glycogen synthase 1 has long been a therapeutic target of interest, there were two main challenges to previous drug targeting efforts. First, there were concerns about the unknown clinical safety implications of chronically lowering muscle glycogen levels. Second, glycogen synthase 1 is a complex protein, closely related to liver-specific glycogen synthase 2, which plays an important role in glucose control. While both enzymes are tetramers made up of two asymmetric dimers, their molecular structures were unknown. As a result, efforts to target glycogen synthase 1 without inhibiting glycogen synthase 2 had proven difficult. Through the use of our Compass platform, we were able to overcome both of these challenges.

First, our Compass platform provided insight into the impact of chronic reduction in muscle glycogen levels and identified a likely therapeutic window. PPP1R3A, a gene that encodes the protein phosphatase 1 regulatory subunit 3A, is a key regulatory protein in the glycogen metabolic pathway. A common variant in the PPP1R3A gene involving a frameshift mutation predicted to lead to a truncated form of the protein was previously identified in healthy European individuals. In a study using magnetic resonance spectroscopy in individuals with this PPP1R3A gene variant, those heterozygous for the mutation were found to have chronically lower levels of muscle glycogen, by as much as 65%. These individuals were not found to have any associated clinical abnormalities. We were able to confirm and expand on this finding using our Compass platform by analyzing a much larger data set of individuals with the PPP1R3A gene variant, including a small number of individuals homozygous for the PPP1R3A frameshift mutation. In both heterozygous and homozygous states, no clinically relevant differences in exercise capacity, cardiac function or glucose levels could be detected compared to reference control populations. These findings provided reassurance that a wide therapeutic index would support substrate reduction therapy for Pompe disease.

 

139


Table of Contents

Second, our Compass platform used both novel chemical matter and advanced molecular visualization technologies, including Cryo-EM, to solve the molecular structure of glycogen synthase 1. This identified a previously cryptic allosteric binding site that ultimately informed the development of a potent and selective small molecule inhibitor, MZE001.

Neurology portfolio: ATXN2 and UNC13A

Overview of ALS

ALS is a progressive and fatal neurodegenerative disease primarily affecting the upper and lower motor neurons, ultimately resulting in the loss of muscle control. Gradual onset of progressive muscle weakness is the most common initial symptom, which leads to difficulty in speaking, chewing, swallowing and breathing. The time from first symptom to diagnosis is approximately 12 months with death, typically from neuromuscular respiratory failure, occurring within three to five years of symptom onset. Up to 50% of patients with ALS develop cognitive impairment associated with frontotemporal dementia, or FTD. The cumulative lifetime risk of ALS is about 1 in 400 and the incidence is one to two per 100,000 people per year, equating to about 5,760 to 6,400 new diagnoses annually. The total number of cases is approximately five per 100,000 people and the Center for Disease Control and Prevention estimates the prevalence of ALS in the United States is approximately 16,000 patients.

While many of the genetic drivers underlying ALS are known, a high variability in disease phenotype is observed. A small number of ALS patients live well beyond the three to five-year life expectancy. With differences in life expectancy not explained by the underlying mutations, genetic modifiers are likely present.

ATXN2 program

In earlier studies of model organisms, we identified ATXN2 as a genetic modifier whereby the inhibition was shown to limit the toxicity of a protein, TDP-43, found to be pathologically aggregated in up to 97% of all ALS patients. We subsequently validated the function of ATXN2 as a genetic modifier using our Compass platform. We utilized our functional genomics and human genetics tools to develop a microRNA gene therapy that targets ATXN2 to reduce aggregation of TDP-43.

In May 2024, we exclusively licensed our ATXN2 program to Neurocrine Biosciences, Inc. As consideration for such license, we received upfront payment, and we will be eligible to receive milestone payments upon the completion of certain regulatory, development and commercial achievements, as well as royalties based upon future annual net sales.

UNC13A program

Genome-wide association studies have established that single genetic traits, or variants, in the UNC13A gene are associated with ALS and FTD in humans, but how those variants increase the risk for disease was previously unknown. Maze and its partners uncovered a connection between genetic variation in UNC13A, a gene critical to the function of the nervous system, and the abnormal build-up of TDP-43, a hallmark molecular characteristic of ALS and FTD. These findings were published in Nature, and fill a long-standing gap in the understanding of how ALS and FTD, two serious neurodegenerative diseases that have no known cures or broadly effective treatments, develop. These findings were further validated in in vitro models that showed that removal of TDP-43 from the nucleus causes cryptic exons to form in UNC13A which, in turn, decreased the levels of the UNC13A protein. We built our Compass platform with the aim of finding genetic insights like this, which is a key step in translating such genetic insights into therapies for patients.

 

140


Table of Contents

In April 2024, we exclusively licensed our UNC13A program to Trace Neurosicence, Inc. As consideration for such license, we received an upfront payment, and we will be eligible to receive milestone payments upon the completion of certain development, regulatory and commercial achievements, as well as royalties based upon future annual net sales.

Ophthalmology portfolio

Our work in ophthalmology is another example of the application of our Compass platform and variant functionalization at work, where we identified and characterized the genetic relevance of ANGPTL7 as a potential drug target for certain ophthalmic diseases like glaucoma. We identified certain genetic variants that enabled us to derive insight into how natural human genetic diversity correlates with the clinical diagnosis of glaucoma and with enhanced elevated or diminished reduced intraocular pressure, a risk factor for glaucoma and glaucoma risk. Next, we identified targets for therapeutic intervention with an established role in human biology. Out of these targets, we found multiple rare protein-altering variants in one putative target, the gene ANGPTL7, that were associated with lower IOP and reduced risk for glaucoma. In November 2020, together with Alloy Therapeutics, Inc., or Alloy, we created Broadwing, a spin-out company to develop antibody therapies for ANGPTL7 and another undisclosed target in ophthalmic diseases for geographic atrophy, targets that were genetically validated by our Compass platform. We made an initial cash and in-kind contributions, including facilities and operational services, to Broadwing in exchange for a 50% equity interest. Alloy contributed cash and its antibody discovery services for the other 50% equity interest. As of September 30, 2024, we owned approximately 48% of the outstanding equity of Broadwing, and we expect our ownership to be significantly diluted upon the conversion of outstanding convertible notes issued by Broadwing.

Our Compass platform

Our pipeline of precision medicine candidates is built upon our Compass platform. Our Compass platform supports end-to-end variant identification and functionalization capabilities and methodologies for drug development, and has been purpose-built to inform different phases of our drug discovery and development process through clinical trial design.

We believe variant functionalization, the process of understanding how genetic variants affect the function of a target protein, is a foundational aspect of precision medicine. Variant functionalization through our Compass platform allows us to elevate drug discovery tractability considerations as a component of target selection. Our approach to developing new, transformational therapies for CVRM diseases is premised on understanding how genetic variants impact the function of target proteins, which in turn provides insight into how best to modulate the identified target variant and an understanding of patient populations that will benefit. We believe this approach enables highly predictive identification and validation of those genetically supported targets that are most likely to have clinical relevance and actionability, thereby increasing the probability for clinical success and accelerating the expansion of our candidate pipeline.

In addition to variant functionalization, our Compass platform and its associated methodologies give us the ability to aggregate matched, genetic and longitudinal clinical datasets at scale to identify genes associated with disease, but more importantly, to determine how genetic variants of these genes provide insight into a therapeutic approach to the applicable target. Targets are then prioritized based on their roles in biological pathways, their roles as potential drivers of disease, and their structural properties, using machine learning and statistical modeling, variant functionalization tools, and traditional and computational drug discovery technologies. These insights ultimately inform our clinical development and patient selection strategies, which we believe have the potential to improve the overall likelihood of technical, regulatory and commercial success of our medicines, although we cannot provide any assurance that the application of our Compass platform will result in the ultimate

 

141


Table of Contents

regulatory approval of any of our therapeutic candidates. The power of our platform and its methodologies is best exhibited through our clinical and preclinical programs, and multiple contributions to the scientific community over the past five years, including the publication in Nature and other leading scientific journals of discoveries made through our Compass platform in the fields of human genetics, molecular biology and medicinal chemistry.

We have built and utilized the Compass platform upon the confluence of three ongoing advancements to gain an understanding of the relationship between genes, the protein products encoded by these genes, and specific, observable human characteristics, or traits and to translate these insights into innovative therapeutics. These trends are: the increasing availability of human genetic data paired with clinical data; the rapid evolution of experimental functional genomic technologies that can probe gene function and interactions between genes in parallel; and advances in computational power and speed that enable the integration and analysis of vast amounts of data.

In summary, the Compass platform provides us with a differentiated ability to: analyze and visualize the vast and proliferating volume of patient-level genetic data and paired clinical data worldwide with efficiency and speed, augmented with advanced data science tools and technologies; experimentally validate and characterize the linkages between specific genes and diseases identified through our data mining activities and the strategic application of advanced functional genomic technologies; and apply insights derived through variant functionalization and structure-based design to develop an optimal therapy for the intended target.

Competition

The pharmaceutical and biotechnology industries are characterized by rapidly advancing technologies, intense competition and a strong emphasis on intellectual property. While we believe that our Compass platform and our knowledge, experience and scientific resources provide us with competitive advantages, we face potential competition from major pharmaceutical and biotechnology companies, academic institutions, government agencies and private and public research institutions, among others.

Any therapeutic candidates that we or our partners successfully develop and commercialize may compete with existing therapies and new therapies that may become available in the future that are approved to treat the same indications for which we or our partners may obtain approval for our or their therapeutic candidates. It is also possible that we or our partners may face competition from other pharmaceutical approaches as well as other types of therapies. The key competitive factors affecting the success of all our programs, if approved, include, but are not limited to be their efficacy, safety, convenience, adoption by prescribers, price, level of generic competition, and availability of reimbursement.

We may face competition from companies developing therapies for CKD and related nephropathies, including but not limited to:

 

 

Established therapies: including RAAS inhibitors, SGLT2 inhibitors and GLP-1 receptor agonists.

 

 

Novel mechanisms: various companies developing therapies targeting different pathways implicated in CKD progression.

While there are currently no approved therapies for AKD, we are aware of companies advancing therapeutic candidates in clinical trials that target APOL1.

Our second most advanced lead program, MZE782, is a small molecule targeting SLC6A19, a novel target in CKD and PKU. While there are no currently approved therapies directly modulating SLC6A19, we may face competition from other companies pursuing programs targeting SLC6A19 or alternative approaches for renal indications.

 

142


Table of Contents

Many of our current or potential competitors, either alone or with their collaboration partners, have significantly greater financial resources and expertise in research and development, manufacturing, preclinical testing, conducting clinical trials, obtaining regulatory approvals, and marketing approved products than we do. These competitors also compete with us in recruiting and retaining qualified scientific and management personnel and establishing clinical trial sites and patient registration for clinical trials, as well as in acquiring technologies complementary to, or necessary for, our programs. Mergers and acquisitions in the biopharmaceutical industries may result in even more resources being concentrated among a smaller number of our competitors. Smaller or early-stage companies may also prove to be significant competitors, particularly through partnership arrangements with large and established companies.

Further, precision medicine is a rapidly developing field, with increasing usage within the pharmaceutical and biotechnology industry of machine learning and AI technologies to analyze genetic data. While we believe our Compass platform has advantages over potential competitors based on our experience in variant functionalization, our access to genetic databases, and the length of time that we have been engaged in developing precision medicine, other companies may have greater resources or the ability to acquire more advanced technology to identify targets and may acquire access to the same genetic data that we utilize. We may not be able to keep up with the pace of innovation that is occurring in our field, and we may face increasing competition in developing precision medicines.

Our commercial opportunity could be reduced or eliminated if our competitors develop and commercialize products that are safer, more effective, have fewer or less severe side effects, are more convenient or are less expensive than any products that we may develop. Our competitors also may obtain FDA or other applicable regulatory approval for their products more rapidly than we may obtain approval for ours, which could result in our competitors establishing a strong market position before we are able to enter the market.

Intellectual property

Intellectual property is of vital importance in our field and in biotechnology generally. We seek to protect and enhance proprietary technologies, inventions, and improvements that are commercially important to the development of our business by seeking, maintaining, and defending intellectual property rights, including patent rights. We may also seek to rely on regulatory protection afforded through inclusion in expedited development and review, data exclusivity, market exclusivity and/or patent term extensions where available.

Our commercial success will depend in part on obtaining and maintaining patent protection of our current and future therapeutic candidates and the methods used to develop and manufacture them, as well as successfully defending our patents against third-party challenges, and operating without infringing on, misappropriating or otherwise violating the intellectual property and proprietary rights of others. The development of our therapeutic candidates is at a relatively early stage and as a consequence, our patent portfolio is also at an early stage. We cannot be sure that patents will be granted based on our currently pending patent applications or patent applications we may file in the future. Nor can we be sure that any of our granted patents or patents that may be granted to us in the future will be commercially useful in protecting our therapeutic candidates, technologies and processes. In addition, any patents that we may hold, whether owned or licensed, may be challenged, circumvented or invalidated by third parties.

The term of individual patents depends upon the law in the countries in which they are obtained. In most countries, including the United States, the term of a patent is 20 years from the earliest date of filing a non-provisional patent application, unless otherwise extended or adjusted. U.S. non-provisional applications and/or Patent Cooperation Treaty, or PCT, applications may be filed that claim priority to an earlier-filed patent application, provided that the earlier-filed patent application was filed within 12 months of the U.S. non-provisional or PCT filing date. The PCT system allows for the designation of PCT member states in which

 

143


Table of Contents

national or regional patent applications may later be pursued. A PCT application cannot mature into a patent until, among other things, one or more national or regional stage patent applications are filed within the applicable time limit, which is generally 30 or 31 months from the PCT application’s earliest priority date, depending on the jurisdiction.

The ability to obtain patent protection and the degree of such protection depends on several factors, including whether an invention is directed to patentable subject matter, the novelty and non-obviousness of the claimed invention, and the ability to satisfy the requirements of applicable patent laws, such as enablement and written description, in addition to other administrative requirements for obtaining a patent. In addition, the claim scope in a patent application may be significantly narrowed before a patent is issued, and the scope of issued claims can be reinterpreted or further altered even after patent issuance. Consequently, we may not obtain or maintain adequate patent protection for any of our proprietary technologies or current or future therapeutic candidates.

In addition to patent protection, we also rely on trade secrets, know-how, other proprietary information and continuing technological innovation to develop and maintain our competitive position. We seek to protect and maintain the confidentiality of trade secrets and other proprietary information to protect aspects of our business that are not amenable to, or that we do not consider appropriate for, patent protection. For example, we seek to preserve the integrity and confidentiality of our data and trade secrets by maintaining physical security of our premises and physical and electronic security of our information technology systems. However, such security measures may be breached and we may not have adequate remedies for such breaches. We also seek to protect our proprietary information and trade secrets by entering into confidentiality and invention assignment agreements with our employees, consultants and other parties who have access to such information. These agreements generally provide that all confidential information concerning our business or financial affairs developed or made known to the individual during the course of the individual’s relationship with us is to be kept confidential and not disclosed to third parties except in specific circumstances. Our agreements with employees also generally provide that all inventions conceived by the employee in the course of employment with us or from the employee’s use of our confidential information are our exclusive property. However, we cannot guarantee that we have entered into such agreements with each party that has or may have had access to our trade secrets or other proprietary information or has been involved in the development of intellectual property. Additionally, these agreements can be breached and we may not have adequate remedies for any such breach. Moreover, our trade secrets may otherwise become known or be independently discovered by competitors, and to the extent that our employees, consultants, contractors or partners use intellectual property or proprietary information owned by others in their work for us, disputes may arise as to our intellectual property rights. For all of these reasons, we may not be able to adequately protect proprietary information, trade secrets, know-how and inventions important to the development of our business.

The intellectual property positions of biotechnology companies like ours are generally uncertain and involve complex legal, scientific and factual questions. Our commercial success will also depend in part on avoiding infringing upon, misappropriating or otherwise violating the intellectual property and proprietary rights of third parties. Third-party patents could require us to alter our development or commercial strategies, or our products or processes, obtain licenses or cease certain activities. Our breach of any license agreements or our failure to obtain a license to proprietary rights required to develop or commercialize our future products may have a material adverse impact on us. For more information regarding the risks related to intellectual property, see “Risk factors—Risks related to intellectual property.”

Our policy is to seek patent protection for the technologies, inventions and improvements that we develop and that we consider important to the advancement of our business. As of September 30, 2024, we have been granted two issued U.S. patents, including a patent covering MZE001 composition of matter and uses, which expires in 2042 unless extended or otherwise adjusted, and a patent covering MZE829 composition of matter and uses, which expires

 

144


Table of Contents

in 2043 unless extended or otherwise adjusted. We have filed two pending U.S. provisional patent applications, thirteen pending PCT patent applications, six pending U.S. non-provisional patent applications, and over ninety pending foreign patent applications in various jurisdictions including but not limited to Australia, Brazil, Canada, China, the European Patent Office, Hong Kong, Israel, India, Japan, Republic of Korea, Mexico, Russia, Saudi Arabia, Singapore, and Taiwan. The pending applications are directed to compositions of matter, uses and processes, and, if issued, are projected to expire between 2042 and 2045 unless extended or otherwise adjusted.

For our small molecule APOL1 program, as of September 30, 2024, we own patent families that cover composition of matter of our APOL1 compounds, including MZE829, methods of use, and processes. These patent families include one issued U.S. patent, one pending U.S. provisional patent application, six pending PCT patent applications, two pending U.S. non-provisional patent applications, and over forty pending foreign patent applications. Any currently issued patents or patents that may issue in the future in our APOL1 program are projected to expire between 2042 and 2045 unless extended or otherwise adjusted.

For our small molecule SLC6A19 program, as of September 30, 2024, we own patent families that cover composition of matter of our SLC6A19 compounds, including MZE782, methods of use, and processes. These patent families include one pending U.S. provisional patent applications, four pending PCT patent applications, one pending U.S non-provisional patent application, and two pending foreign patent applications. Any currently issued patents or patents that may issue in the future in our SLC6A19 program are projected to expire between 2043 and 2044 unless extended or otherwise adjusted.

We have entered into three agreements to exclusively license or assign our patent portfolios associated with programs that are outside our areas of core focus. Pursuant to these agreements, we no longer have control of the prosecution of the issued patents and pending patent applications in each of these portfolios. We cannot guarantee that our licensees will successfully develop, obtain marketing authorization for, or commercialize products that would result in our receiving royalties pursuant to such license agreements.

We have exclusively licensed our GYS1 patent portfolio, which includes the issued patent covering MZE001, to Shionogi. At the time we entered into the License Agreement, our GYS1 patent portfolio included a pending U.S. non-provisional patent application, three pending PCT applications, and over twenty-five pending foreign patent applications in various jurisdictions. The patent portfolio we licensed to Shionogi is directed to compositions of matter, uses and processes, and any currently issued patents or patents that may issue in the future in this portfolio are projected to expire between 2042 and 2043 unless extended or otherwise adjusted. Shionogi controls the prosecution of this patent portfolio. We have exclusively licensed our patent portfolio relating to our program for ATXN2 gene therapy to another biotechnology company who controls the prosecution of this portfolio. At the time we entered into this agreement, no patents had been issued. Our ATXN2 gene therapy patent portfolio included two pending non-provisional patent applications and over fifteen pending foreign patent applications in various jurisdictions. The ATXN2 gene therapy patent portfolio is directed to compositions of matter and uses, and any patents that may issue in the future in this portfolio are projected to expire between 2041 and 2042 unless extended or otherwise adjusted.

In addition to our owned and out-licensed patent portfolios described above, we assigned our UNC13a ASO patent portfolio in April 2024 to another biotechnology company.

Manufacturing

We do not have any clinical manufacturing facilities. We currently rely, and expect to continue to rely, on third party contract manufacturing organizations, or CMOs, including foreign CMOs, for clinical manufacturing of MZE829, MZE782 and our future therapeutic candidates, as well as for commercial manufacturing if our therapeutic candidates receive marketing approval.

 

145


Table of Contents

We use multiple CMOs, including foreign CMOs, to manufacture our clinical-stage therapeutic candidates to conduct our clinical trials. As part of our strategy, we seek to develop or advance therapeutic candidates that can be produced cost-effectively at contract manufacturing facilities without the need for unusual manufacturing equipment. All of our current therapeutic candidates are small molecule drug products that we believe will require between 12 and 14 months to manufacture from initiation of drug substance manufacturing to completion of drug product, assuming we are able to obtain manufacturing slots with the appropriate CMOs.

We expect to enter into commercial supply agreements with commercial manufacturers prior to any potential approval of any of our therapeutic candidates. We believe our current CMOs are able to adequately support manufacturing for our current and planned clinical trials and additional CMOs may be onboarded at later stages of clinical development and commercialization.

To the extent any of our therapeutic candidates require companion diagnostics, which are assays or tests to identify an appropriate patient population, we generally rely, and expect to continue to rely, on third parties to manufacture such assays or tests.

Governmental regulation and product approval

Government authorities in the United States, at the federal, state and local level, and in other countries and jurisdictions, extensively regulate, among other things, the research, development, testing, manufacture, quality control, approval, packaging, storage, recordkeeping, labeling, advertising, promotion, distribution, marketing, post-approval monitoring and reporting, and import and export of pharmaceutical products. The processes for obtaining regulatory approvals in the United States and in foreign countries and jurisdictions, along with subsequent compliance with applicable statutes and regulations and other regulatory authorities, require the expenditure of substantial time and financial resources.

FDA approval process

In the United States, pharmaceutical products are subject to extensive regulation by the FDA. The Federal Food, Drug, and Cosmetic Act, or FDCA, and other federal and state statutes and regulations, govern, among other things, the research, development, testing, manufacture, storage, recordkeeping, approval, labeling, promotion and marketing, distribution, post-approval monitoring and reporting, sampling, and import and export of pharmaceutical products. Pharmaceutical products—such as small molecule drugs and biological products, or biologics—used for the prevention, treatment, or cure of a disease or condition of a human being are subject to regulation under the FDCA. Failure to comply with applicable United States requirements may subject a company to a variety of administrative or judicial sanctions, such as clinical hold, FDA refusal to approve pending new drug applications, or NDAs, warning or untitled letters, product recalls, product seizures, total or partial suspension of production or distribution, injunctions, fines, civil penalties, and criminal prosecution.

Pharmaceutical product development for a new product or certain changes to an approved product in the United States typically involves preclinical laboratory and animal tests, the submission to the FDA of an Investigational New Drug Application, or IND, which must become effective before clinical testing may commence, and adequate and well-controlled clinical trials to establish the safety and effectiveness of the drug for each indication for which FDA approval is sought. Satisfaction of FDA pre-market approval requirements typically takes many years and the actual time required may vary substantially based upon the type, complexity, and novelty of the product or disease.

Preclinical tests include laboratory evaluation of product chemistry, formulation, and toxicity, as well as animal trials to assess the characteristics and potential safety and efficacy of the product. The conduct of the preclinical tests must comply with federal regulations and requirements, including Good Laboratory Practices.

 

146


Table of Contents

The results of preclinical testing are submitted to the FDA as part of an IND along with other information, including information about product chemistry, manufacturing and controls, and a proposed clinical trial protocol. Long-term nonclinical tests, such as tests of reproductive toxicity and carcinogenicity in animals, may continue after the IND is submitted. A 30-day waiting period after the submission of each IND is required prior to the commencement of clinical testing in humans. If the FDA has neither commented on nor questioned the IND within this 30-day period, the clinical trial proposed in the IND may begin. Clinical trials involve the administration of the investigational drug to healthy volunteers or patients under the supervision of a qualified investigator. Clinical trials must be conducted: (i) in compliance with federal regulations; (ii) in compliance with GCP, an international standard meant to protect the rights and health of patients and to define the roles of clinical trial sponsors, administrators, and monitors; as well as (iii) under protocols detailing the objectives of the trial, the parameters to be used in monitoring safety, and the effectiveness criteria to be evaluated. Each protocol involving testing on U.S. patients and subsequent protocol amendments must be submitted to the FDA as part of the IND.

The FDA may order the temporary or permanent discontinuation of a clinical trial at any time, or impose other sanctions, if it believes that the clinical trial either is not being conducted in accordance with FDA regulations or presents an unacceptable risk to the clinical trial patients. Imposition of a clinical hold may be full or partial. The study protocol and informed consent information for patients in clinical trials must also be submitted to an Institutional Review Board, or IRB, for approval. The IRB will also monitor the clinical trial until completed. The IRB may also require the clinical trial at the site to be halted, either temporarily or permanently, for failure to comply with the IRB’s requirements, or may impose other conditions. Additionally, some clinical trials are overseen by an independent group of qualified experts organized by the clinical trial sponsor, known as a data safety monitoring board or committee. This group provides authorization for whether a trial may move forward at designated checkpoints based on access to certain data from the trial.

Clinical trials to support NDAs for marketing approval are typically conducted in three sequential phases, but the phases may overlap. In Phase 1, the initial introduction of the drug into healthy human subjects or patients, the product is tested to assess safety, dosage tolerance, metabolism, PK, pharmacological actions, side effects associated with drug exposure, and to obtain early evidence of a treatment effect if possible. Phase 2 usually involves trials in a limited patient population to determine the effectiveness of the drug for a particular indication, determine optimal dose and regimen, and to identify common adverse effects and safety risks. If a compound demonstrates evidence of effectiveness and an acceptable safety profile in Phase 2 evaluations, Phase 3 trials are undertaken to obtain additional information about clinical effects and confirm efficacy and safety in a larger number of patients, typically at geographically dispersed clinical trial sites, to permit the FDA to evaluate the overall benefit-risk relationship of the drug and to provide adequate information for the labeling of the product. In most cases, the FDA requires two adequate and well-controlled Phase 3 clinical trials to demonstrate the safety and efficacy of the drug. In rare instances, a single Phase 3 trial may be sufficient when either (1) the trial is a large, multicenter trial demonstrating internal consistency and a statistically very persuasive finding of a clinically meaningful effect on mortality, irreversible morbidity or prevention of a disease with a potentially serious outcome and confirmation of the result in a second trial would be practically or ethically impossible or (2) the single trial is supported by other confirmatory evidence. Approval on the basis of a single trial may be subject to a requirement for additional post-approval studies.

In addition, the manufacturer of an investigational drug in a Phase 2 or Phase 3 clinical trial for a serious or life-threatening disease is required to make available, such as by posting on its website, its policy on evaluating and responding to requests for expanded access to such investigational drug.

After completion of the required clinical testing, an NDA is prepared and submitted to the FDA. FDA approval of the NDA is required before marketing and distribution of the product may begin in the United States. The NDA

 

147


Table of Contents

must include the results of all preclinical, clinical, and other testing and a compilation of data relating to the product’s pharmacology, chemistry, manufacture, and controls. The cost of preparing and submitting an NDA is substantial. The submission of most NDAs is additionally subject to a substantial application user fee. Under an approved NDA, the applicant is also subject to an annual program fee. These fees typically increase annually. The FDA has 60 days from its receipt of an NDA to determine whether the application will be filed based on the FDA’s determination that it is adequately organized and sufficiently complete to permit substantive review. Once the submission is filed, the FDA begins an in-depth review. The FDA has agreed to certain performance goals to complete the review of NDAs. Most applications are classified as Standard Review products that are reviewed within ten months of the date the FDA files the NDA; applications classified as Priority Review are reviewed within six months of the date the FDA files the NDA. An NDA can be classified for Priority Review when the FDA determines the drug has the potential to treat a serious or life-threatening condition and, if approved, would be a significant improvement in safety or effectiveness compared to available therapies. The review process for both standard and priority reviews may be extended by the FDA for three or more additional months to consider certain late-submitted information, or information intended to clarify information already provided in the NDA submission.

The FDA may also refer applications for novel drugs, as well as drug products that present difficult questions of safety or efficacy, to be reviewed by an advisory committee—typically a panel that includes clinicians, statisticians and other experts—for review, evaluation, and a recommendation as to whether the NDA should be approved. The FDA is not bound by the recommendation of an advisory committee, but generally follows such recommendations. Before approving an NDA, the FDA will typically inspect one or more clinical sites to assure compliance with GCP. Additionally, the FDA will inspect the facility or the facilities at which the drug product is manufactured. The FDA will not approve the product unless compliance with current good manufacturing practices, or cGMPs, is satisfactory and the NDA contains data that provide substantial evidence that the drug is safe and effective in the claimed indication.

After the FDA evaluates the NDA and completes any clinical and manufacturing site inspections, it issues either an approval letter or a complete response letter. A complete response letter generally outlines the deficiencies in the NDA submission and may require substantial additional testing, or information, in order for the FDA to reconsider the application for approval. If, or when, those deficiencies have been addressed to the FDA’s satisfaction in a resubmission of the NDA, the FDA will issue an approval letter. The FDA has committed to reviewing such resubmissions in two or six months depending on the type of information included. An approval letter authorizes commercial marketing and distribution of the drug with specific prescribing information for specific indications. As a condition of NDA approval, the FDA may require a Risk Evaluation and Mitigation Strategy, or REMS, to help ensure that the benefits of the drug outweigh the potential risks to patients. A REMS can include medication guides, communication plans for healthcare professionals, and elements to assure a product’s safe use, or ETASU. An ETASU can include, but is not limited to, special training or certification for prescribing or dispensing the product, dispensing the product only under certain circumstances, special monitoring, and the use of patient-specific registries. The requirement for a REMS can materially affect the potential market and profitability of the product. Moreover, the FDA may require substantial post-approval testing and surveillance to monitor the product’s safety or efficacy.

Once granted, product approvals may be withdrawn if compliance with regulatory standards is not maintained or problems are identified following initial marketing. Changes to some of the conditions established in an approved NDA, including changes in indications, product labeling, manufacturing processes or facilities, require submission and FDA approval of a new NDA, or supplement to an approved NDA, before the change can be implemented. An NDA supplement for a new indication typically requires clinical data similar to that in the original application, and the FDA uses the same procedures and actions in reviewing NDA supplements as it does in reviewing original NDAs.

 

148


Table of Contents

Fast track designation and priority review

FDA is required to facilitate the development, and expedite the review, of drugs that are intended for the treatment of a serious or life-threatening disease or condition for which there is no effective treatment and which demonstrate the potential to address unmet medical needs for the condition. Fast track designation may be granted for products that are intended to treat a serious or life-threatening disease or condition for which there is no effective treatment and preclinical or clinical data demonstrate the potential to address unmet medical needs for the condition. Fast track designation applies to both the product and the specific indication for which it is being studied. Any product submitted to FDA for marketing, including under a fast track program, may be eligible for other types of FDA programs intended to expedite development and review, such as priority review.

Priority review may be granted for products that are intended to treat a serious or life-threatening condition and, if approved, would provide a significant improvement in safety and effectiveness compared to available therapies. FDA will attempt to direct additional resources to the evaluation of an application designated for priority review in an effort to facilitate the review.

Accelerated approval

Accelerated approval may be granted for a product that is intended to treat a serious or life-threatening condition and that generally provides a meaningful therapeutic advantage to patients over existing treatments. A product eligible for accelerated approval may be approved on the basis of either a surrogate endpoint that is reasonably likely to predict clinical benefit, or on a clinical endpoint that can be measured earlier than irreversible morbidity or mortality, that is reasonably likely to predict an effect on irreversible morbidity or mortality or other clinical benefit, taking into account the severity, rarity or prevalence of the condition and the availability or lack of alternative treatments. In clinical trials, a surrogate endpoint is a measurement of laboratory or clinical signs of a disease or condition that substitutes for a direct measurement of how a patient feels, functions, or survives. The accelerated approval pathway is most often used in settings in which the course of a disease is long and an extended period of time is required to measure the intended clinical benefit of a product, even if the effect on the surrogate or intermediate clinical endpoint occurs rapidly. Thus, accelerated approval has been used extensively in the development and approval of products for treatment of a variety of cancers in which the goal of therapy is generally to improve survival or decrease morbidity and the duration of the typical disease course requires lengthy and sometimes large studies to demonstrate a clinical or survival benefit. The accelerated approval pathway is contingent on a sponsor’s agreement to conduct additional post-approval confirmatory studies to verify and describe the product’s clinical benefit. The FDA must specify conditions for the post-approval study which may include details regarding enrollment targets, the study protocol and study milestones. These confirmatory trials must be completed with due diligence and the FDA may require that the trial be designed, initiated, and/or fully enrolled prior to submission of the application or approval. Sponsors are also required to submit regular reports regarding the progress of conducting these post-approval studies. Failure to conduct required post-approval studies in accordance with FDA’s conditions and with due diligence, or submit the progress reports as well as failure to confirm a clinical benefit during post-marketing studies, would allow the FDA to undertake enforcement action or withdraw the product from the market on an expedited basis. All promotional materials for product candidates approved under accelerated approval regulations are subject to prior review by the FDA.

Disclosure of clinical trial information

Sponsors of clinical trials of FDA-regulated products, including drugs, are required to register and disclose certain clinical trial information on the website www.clinicaltrials.gov. Information related to the product, patient population, phase of investigation, trial sites and investigators, and other aspects of a clinical trial are then made public as part of the registration. Sponsors are also obligated to disclose the results of their clinical

 

149


Table of Contents

trials after completion. Disclosure of the results of clinical trials can be delayed in certain circumstances for up to two years after the date of completion of the trial. Competitors may use this publicly available information to gain knowledge regarding the progress of clinical development programs as well as clinical trial design.

Pediatric information

Under the Pediatric Research Equity Act, or PREA, NDAs or supplements to NDAs must contain data to assess the safety and effectiveness of the drug for the claimed indications in all relevant pediatric subpopulations and to support dosing and administration for each pediatric subpopulation for which the drug is safe and effective. The FDA may grant full or partial waivers, or deferrals, for submission of data. Unless otherwise required by regulation, PREA does not apply to any drug with orphan product designation except a product with a new active ingredient that is a molecularly targeted cancer product intended for the treatment of an adult cancer and directed at a molecular target determined by FDA to be substantially relevant to the growth or progression of a pediatric cancer that is subject to an NDA submitted on or after August 18, 2020.

The Best Pharmaceuticals for Children Act, or BPCA, provides a six-month extension of any exclusivity-patent or non-patent-for a drug if certain conditions are met. Conditions for exclusivity include the FDA’s determination that information relating to the use of a new drug in the pediatric population may produce health benefits in that population, FDA making a written request for pediatric studies, and the applicant agreeing to perform, and reporting on, the requested studies within the statutory timeframe. Applications under the BPCA are treated as priority applications, with all of the benefits that designation confers.

Post-approval requirements

Once an NDA is approved, a product will be subject to certain post-approval requirements. For instance, the FDA closely regulates the post-approval marketing and promotion of drugs, including standards and regulations for direct-to-consumer advertising, off-label promotion, industry-sponsored scientific and educational activities and promotional activities involving the Internet. Drugs may be marketed only for the approved indications and in accordance with the provisions of the approved labeling.

Adverse event reporting and submission of periodic safety summary reports are required following FDA approval of an NDA. The FDA also may require post-marketing testing, known as Phase 4 testing, REMS, and surveillance to monitor the effects of an approved product, or the FDA may place conditions on an approval that could restrict the distribution or use of the product. In addition, quality control, drug manufacture, packaging, and labeling procedures must continue to conform to cGMPs after approval. Drugs manufacturers and certain of their subcontractors are required to register their establishments with the FDA and certain state agencies. Registration with the FDA subjects entities to periodic unannounced inspections by the FDA, during which the agency inspects a drug’s manufacturing facilities to assess compliance with cGMPs. Accordingly, manufacturers must continue to expend time, money, and effort in the areas of production and quality-control to maintain compliance with cGMPs. Regulatory authorities may withdraw product approvals or request product recalls if a company fails to comply with required regulatory standards, if it encounters problems following initial marketing, or if previously unrecognized problems are subsequently discovered.

The Hatch-Waxman amendments

Orange book listing

Under the Drug Price Competition and Patent Term Restoration Act of 1984, commonly referred to as the Hatch Waxman Amendments, NDA applicants are required to identify to FDA each patent whose claims cover the

 

150


Table of Contents

applicant’s drug or approved method of using the drug. Upon approval of a drug, the applicant must update its listing of patents to the FDA in timely fashion and each of the patents listed in the application for the drug is then published in the FDA’s Approved Drug Products with Therapeutic Equivalence Evaluations, commonly known as the Orange Book.

Drugs listed in the Orange Book can, in turn, be cited by potential generic competitors in support of approval of an abbreviated NDA, or ANDA. An ANDA provides for marketing of a drug product that has the same active ingredient(s), strength, route of administration, and dosage form as the listed drug and has been shown through bioequivalence testing to be therapeutically equivalent to the listed drug. An approved ANDA product is considered to be therapeutically equivalent to the listed drug. Other than the requirement for bioequivalence testing, ANDA applicants are not required to conduct, or submit results of, preclinical or clinical tests to prove the safety or effectiveness of their drug product. Drugs approved under the ANDA pathway are commonly referred to as “generic equivalents” to the listed drug and can often be substituted by pharmacists under prescriptions written for the original listed drug pursuant to each state’s laws on drug substitution.

The ANDA applicant is required to certify to the FDA concerning any patents identified for the reference listed drug in the Orange Book. Specifically, the applicant must certify to each patent in one of the following ways: (i) the required patent information has not been filed; (ii) the listed patent has expired; (iii) the listed patent has not expired but will expire on a particular date and approval is sought after patent expiration; or (iv) the listed patent is invalid, unenforceable or will not be infringed by the new product. A certification that the new product will not infringe the already approved product’s listed patents, or that such patents are invalid or unenforceable, is called a Paragraph IV certification. For patents listed that claim an approved method of use, under certain circumstances the ANDA applicant may also elect to submit a statement certifying that its proposed ANDA label does not contain (or carves out) any language regarding the patented method-of-use rather than certify to a listed method-of-use patent, which is called a Section VIII statement. If the applicant does not challenge the listed patents through a Paragraph IV certification, the ANDA application will not be approved until all the listed patents claiming the referenced product have expired. If the ANDA applicant has provided a Paragraph IV certification to the FDA, the applicant must also send notice of the Paragraph IV certification to the NDA-holder and patentee(s) once the ANDA has been accepted for filing by the FDA (referred to as the “notice letter”). The NDA and patent holders may then initiate a patent infringement lawsuit in response to the notice letter. The filing of a patent infringement lawsuit within 45 days of the receipt of a Paragraph IV certification automatically prevents the FDA from approving the ANDA until the earlier of 30 months from the date the notice letter is received, expiration of the patent, the date of a settlement order or consent decree signed and entered by the court stating that the patent that is the subject of the certification is invalid or not infringed, or a decision in the patent case that is favorable to the ANDA applicant.

The ANDA application also will not be approved until any applicable non-patent exclusivity listed in the Orange Book for the referenced product has expired. In some instances, an ANDA applicant may receive approval prior to expiration of certain non-patent exclusivity if the applicant seeks, and FDA permits, the omission of such exclusivity-protected information from the ANDA prescribing information.

Exclusivity

Upon NDA approval of a new chemical entity, or NCE, which is a drug that contains no active moiety that has been approved by FDA in any other NDA, that drug receives five years of marketing exclusivity during which FDA cannot receive any ANDA seeking approval of a generic version of that drug unless the application contains a Paragraph IV certification, in which case the application may be submitted one year prior to expiration of the NCE exclusivity. If there is no listed patent in the Orange Book, there may not be a Paragraph IV certification, and, thus, no ANDA for a generic version of the drug may be filed before the expiration of the exclusivity period.

 

151


Table of Contents

Certain changes to an approved drug, such as the approval of a new indication, the approval of a new strength, and the approval of a new condition of use, are associated with a three-year period of exclusivity from the date of approval during which FDA cannot approve an ANDA for a generic drug that includes the change. In some instances, an ANDA applicant may receive approval prior to expiration of the three-year exclusivity if the applicant seeks, and FDA permits, the omission of such exclusivity-protected information from the ANDA package insert.

Patent term extension

The Hatch Waxman Amendments permit a patent term extension as compensation for patent term lost during the FDA regulatory review process. Patent term extension, however, cannot extend the remaining term of a patent beyond a total of 14 years from the product’s approval date. After NDA approval, owners of relevant drug patents may apply for the extension. The allowable patent term extension depends on a number of factors and is on a case by case basis, generally calculated as half of the drug’s testing phase (the time between IND application and NDA submission) and all of the review phase (the time between NDA submission and approval) that occurs after patent issuance up to a maximum of five years and subject to the 14 year cap. The time can be reduced for any time FDA determines that the applicant did not pursue approval with due diligence.

The United States Patent and Trademark Office, or USPTO, in consultation with the FDA, reviews and approves the application for any patent term extension or restoration. However, the USPTO may not grant an extension because of, for example, an applicant failing to exercise due diligence during the testing phase or regulatory review process, failing to apply within applicable deadlines, failing to apply prior to expiration of relevant patents or otherwise failing to satisfy applicable requirements. Moreover, the applicable time period or the scope of patent protection afforded could be less than requested.

The total patent term after the extension may not extend the remaining term of a patent beyond a total of 14 years from the date of product approval, only one patent may be extended and only those claims covering the approved drug, a method for using it, or a method for manufacturing it may be enforced during the extension period. The application for the extension must be submitted prior to the expiration of the patent, and for patents that might expire during the application phase, the patent owner may request an interim patent extension. An interim patent extension increases the patent term by up to one year and may be renewed up to four times. For each interim patent extension granted, the post-approval patent extension is reduced by one year. The director of the USPTO must determine that approval of the drug covered by the patent for which a patent extension is being sought is likely. Interim patent extensions are not available for a drug for which an NDA has not been submitted.

FDA approval and regulation of companion diagnostics

If safe and effective use of a therapeutic product depends on an in vitro diagnostic, then the FDA generally will require approval or clearance of that diagnostic, known as a companion diagnostic, before or at the same time that the FDA approves the product. In August 2014, the FDA issued final guidance clarifying the requirements that will apply to approval of therapeutic products and in vitro companion diagnostics. According to the guidance, if FDA determines that a companion diagnostic device is essential to the safe and effective use of a new therapeutic product or indication, FDA generally will not approve the therapeutic product or new therapeutic product indication if the companion diagnostic device is not approved or cleared for that indication.

Approval or clearance of the companion diagnostic device will ensure that the device has been adequately evaluated and has adequate performance characteristics in the intended population. The review of in vitro companion diagnostics in conjunction with the review of a therapeutic product will, therefore, likely involve coordination of review by CDER and the FDA’s Office of In Vitro Diagnostics and Radiological Health.

 

152


Table of Contents

Under the FDCA, in vitro diagnostics, including companion diagnostics, are regulated as medical devices. In the United States, the FDCA and its implementing regulations, and other federal and state statutes and regulations govern, among other things, medical device design and development, preclinical and clinical testing, premarket clearance or approval, registration and listing, manufacturing, labeling, storage, advertising and promotion, sales and distribution, export and import, and post-market surveillance. Unless an exemption applies, diagnostic tests require marketing clearance or approval from the FDA prior to commercial distribution. The two primary types of FDA marketing authorization applicable to a medical device are premarket notification, also called 510(k) clearance, and premarket approval, or PMA. The vast majority of companion diagnostics require PMA approval.

The PMA process, including the gathering of clinical and preclinical data and the submission to and review by the FDA, can take several years or longer. It involves a rigorous premarket review during which the applicant must prepare and provide the FDA with reasonable assurance of the device’s safety and effectiveness and information about the device and its components regarding, among other things, device design, manufacturing and labeling. PMA applications are subject to an application fee. In addition, PMAs for certain devices must generally include the results from extensive preclinical and adequate and well-controlled clinical trials to establish the safety and effectiveness of the device for each indication for which FDA approval is sought. In particular, for a diagnostic, a PMA application typically requires data regarding analytical and clinical validation studies. As part of the PMA review, the FDA will typically inspect the manufacturer’s facilities for compliance with the Quality System Regulation, or QSR, which imposes elaborate testing, control, documentation and other quality assurance requirements.

PMA approval is not guaranteed, and the FDA may ultimately issue a not approvable letter to a PMA submission based on deficiencies in the application and require additional clinical trial or other data that may be expensive and time-consuming to generate and that can substantially delay approval. If the FDA’s evaluation of the PMA application is favorable, the FDA typically issues an approvable letter requiring the applicant’s agreement to specific conditions, such as changes in labeling, or specific additional information, such as submission of final labeling, in order to secure final approval of the PMA. If the FDA’s evaluation of the PMA or manufacturing facilities is not favorable, the FDA will deny approval of the PMA or issue a not approvable letter. A not approvable letter will outline the deficiencies in the application and, where practical, will identify what is necessary to make the PMA approvable. The FDA may also determine that additional clinical trials are necessary, in which case the PMA approval may be delayed for several months or years while the trials are conducted and then the data submitted in an amendment to the PMA. If the FDA concludes that the applicable criteria have been met, the FDA will issue a PMA for the approved indications, which can be more limited than those originally sought by the applicant. The PMA can include post-approval conditions that the FDA believes necessary to ensure the safety and effectiveness of the device, including, among other things, restrictions on labeling, promotion, sale and distribution. Once granted, PMA approval may be withdrawn by the FDA if compliance with post approval requirements, conditions of approval or other regulatory standards are not maintained, or problems are identified following initial marketing.

After a device is placed on the market, it remains subject to significant regulatory requirements. Medical devices may be marketed only for the uses and indications for which they are cleared or approved. Device manufacturers must also register their establishments and list their devices with the FDA. A medical device manufacturer’s manufacturing processes and those of its suppliers are required to comply with the applicable portions of the QSR, which cover the methods and documentation of the design, testing, production, processes, controls, quality assurance, labeling, packaging and shipping of medical devices. Domestic and foreign facility records and manufacturing processes are subject to periodic unscheduled inspections by the FDA.

 

153


Table of Contents

Other U.S. healthcare laws and compliance requirements

In the United States, pharmaceutical and biotechnology company activities are potentially subject to regulation by various federal, state and local authorities in addition to the FDA, including but not limited to, the Centers for Medicare & Medicaid Services, or CMS, other divisions of the U.S. Department of Health and Human Services, or HHS, (e.g., the Office of Inspector General and the Office for Civil Rights), the U.S. Department of Justice, or DOJ, and individual U.S. Attorney offices within the DOJ, and state and local governments. For example, sales, marketing and scientific/educational grant programs, may have to comply with the anti-fraud and abuse provisions of the Social Security Act, the federal false claims laws, the privacy and security provisions of the federal Health Insurance Portability and Accountability Act of 1996, or HIPAA, and similar state laws, each as amended, as applicable.

The federal Anti-Kickback Statute prohibits, among other things, any person or entity, from knowingly and willfully offering, paying, soliciting or receiving any remuneration, directly or indirectly, overtly or covertly, in cash or in kind, to induce or in return for purchasing, leasing, ordering, recommending or arranging for the purchase, lease or order of any item or service reimbursable under Medicare, Medicaid or other federal healthcare programs. The term remuneration has been interpreted broadly to include anything of value. The Anti-Kickback Statute has been interpreted to apply to arrangements between pharmaceutical manufacturers on one hand and prescribers, purchasers, and/or formulary managers on the other. There are a number of statutory exceptions and regulatory safe harbors protecting some common activities from prosecution. The exceptions and safe harbors are drawn narrowly and practices that involve remuneration that may be alleged to be intended to induce prescribing, purchasing or recommending may be subject to scrutiny if they do not qualify for an exception or safe harbor. Failure to meet all of the requirements of a particular applicable statutory exception or regulatory safe harbor does not make the conduct per se illegal under the Anti-Kickback Statute. Instead, the legality of the arrangement will be evaluated on a case-by-case basis based on a cumulative review of all of its facts and circumstances. Practices may not in all cases meet all of the criteria for protection under a statutory exception or regulatory safe harbor. In addition, the statutory exceptions and regulatory safe harbors are subject to change.

Additionally, the intent standard under the Anti-Kickback Statute was amended by the ACA, to a stricter standard such that a person or entity no longer needs to have actual knowledge of the statute or specific intent to violate it in order to have committed a violation. In addition, the ACA codified case law that a claim including items or services resulting from a violation of the federal Anti-Kickback Statute constitutes a false or fraudulent claim for purposes of the federal False Claims Act (discussed below).

The civil monetary penalties statute imposes penalties against any person or entity who, among other things, is determined to have presented or caused to be presented a claim to a federal health program that the person knows or should know is for an item or service that was not provided as claimed or is false or fraudulent.

Federal false claims laws, including the federal civil False Claims Act, prohibit, among other things, any person or entity from knowingly presenting, or causing to be presented, a false claim for payment to, or approval by, the federal government or knowingly making, using, or causing to be made or used a false record or statement material to a false or fraudulent claim to the federal government. As a result of a modification made by the Fraud Enforcement and Recovery Act of 2009, a claim includes “any request or demand” for money or property presented to the U.S. government. In addition, manufacturers can be held liable under the civil False Claims Act even when they do not submit claims directly to government payors if they are deemed to “cause” the submission of false or fraudulent claims. Pharmaceutical and other healthcare companies have been prosecuted under these laws for, among other things, allegedly providing free product to customers with the expectation that the customers would bill federal programs for the product. Other companies have been prosecuted for causing false claims to be submitted because of the companies’ marketing of the product for

 

154


Table of Contents

unapproved, and thus generally non-reimbursable, uses and purportedly concealing price concessions in the pricing information submitted to the government for government price reporting purposes.

HIPAA created additional federal criminal statutes that prohibit knowingly and willfully executing, or attempting to execute, a scheme to defraud or to obtain, by means of false or fraudulent pretenses, representations or promises, any money or property owned by, or under the control or custody of, any healthcare benefit program, including private third-party payors and knowingly and willfully falsifying, concealing or covering up by trick, scheme or device, a material fact or making any materially false, fictitious or fraudulent statement in connection with the delivery of or payment for healthcare benefits, items or services. Similar to the Anti-Kickback Statute, a person or entity does not need to have actual knowledge of the statute or specific intent to violate it in order to have committed a violation.

Also, many states have similar fraud and abuse statutes or regulations that apply to items and services reimbursed under Medicaid and other state programs, or, in several states, apply regardless of the payor.

Data privacy and security regulations by both the federal government and the states in which business is conducted may also be applicable. HIPAA, as amended by the Health Information Technology for Economic and Clinical Health Act, or HITECH, and its implementing regulations, imposes among other things, certain requirements relating to the privacy, security, transmission and breach of individually identifiable health information. HIPAA requires covered entities to limit the use and disclosure of protected health information to specifically authorized situations, and requires covered entities to implement security measures to protect health information that they maintain in electronic form. Among other things, HITECH made HIPAA’s security standards directly applicable to business associates, independent contractors or agents of covered entities that receive or obtain protected health information in connection with providing a service on behalf of a covered entity. HITECH also created four new tiers of civil monetary penalties, amended HIPAA to make civil and criminal penalties directly applicable to business associates, and gave state attorneys general new authority to file civil actions for damages or injunctions in federal courts to enforce the federal HIPAA laws and seek attorneys’ fees and costs associated with pursuing federal civil actions.

In addition, certain states have also adopted data privacy and security laws and regulations, which govern the processing of health-related and other personal information. Such laws and regulations will be subject to interpretation by various courts and other governmental authorities, thus creating potentially complex compliance issues. For example, CCPA, imposes obligations on businesses that meet certain thresholds that process the personal information of California residents (including employees based in California). These obligations include, but are not limited to, providing specific disclosures in privacy notices and affording California residents certain rights related to their personal information, including the ability to opt-out of certain sales of personal information. The CCPA provides for a private right of action for certain data breaches, which may increase the likelihood of, and risks associated with, data breach litigation. Although the CCPA exempts some data processed in the context of clinical trials, the CCPA could increase compliance costs and potential liability. The 2020 amendments to the CCPA also created the California Privacy Protection Agency, a new enforcement agency whose sole responsibility is to enforce the CCPA and is empowered to create new CCPA regulations. Other states have also passed comprehensive privacy laws, and similar laws are being considered in several other states, as well as at the local and federal levels, including discussion in the U.S. of a new comprehensive federal data privacy law. In addition to government activity and private rights of actions provided by some of the state privacy laws, privacy advocacy groups and technology and other industries are considering various new, additional or different self-regulatory standards that may place additional burdens on companies.

Internationally, many countries have privacy and data protection laws that create potentially complex compliance issues . For example, the EU GDPR and UK GDPR impose strict requirements for processing the personal data of individuals, including, for example, requirements to establish a legal basis for processing,

 

155


Table of Contents

higher standards for obtaining consent from individuals to process their personal data, more robust disclosures to individuals and a strengthened individual data rights regime, requirements to implement safeguards to protect the security and confidentiality of personal data that requires the adoption of administrative, physical and technical safeguards, shortened timelines for data breach notifications to appropriate data protection authorities or data subjects, limitations on retention and secondary use of information, increased requirements pertaining to health data, regulation of the transferring of personal data across jurisdiction and additional obligations when third-party processors are contracted in connection with the processing of the personal data. EU member states are tasked under the EU GDPR to enact, and have enacted, certain implementing legislation that adds to and/or further interprets the EU GDPR requirements and potentially extends the obligations and potential liability for failing to meet such obligations. Under the EU GDPR, government regulators may impose temporary or definitive bans on data processing, as well as fines of up to 20 million or 4% of annual global revenue, whichever is greater. Such fines would be in addition to (i) the rights of individuals to sue for damages in respect of any data privacy breach which causes them to suffer harm, (ii) the right of individual member states to impose additional sanctions over and above the administrative fines specified in the GDPR and (iii) the ability of supervisory authorities to impose orders requiring companies to modify their practices.

Additionally, the federal Physician Payments Sunshine Act within the ACA, and its implementing regulations, require that certain manufacturers of drugs, devices, biological and medical supplies for which payment is available under Medicare, Medicaid or the Children’s Health Insurance Program (with certain exceptions) report annually to CMS information related to certain payments or other transfers of value made or distributed to physicians (defined to include doctors, dentists, optometrists, podiatrists and chiropractors) and teaching hospitals, or to entities or individuals at the request of, or designated on behalf of, the physicians and teaching hospitals and to report annually certain ownership and investment interests held by physicians and their immediate family members. Manufacturers are also required to report such information regarding its relationships with physician assistants, nurse practitioners, clinical nurse specialists, certified registered nurse anesthetists, anesthesiologist assistants and certified nurse midwives during the previous year.

Commercial distribution of products requires compliance with state laws that require the registration of manufacturers and wholesale distributors of drug in a state, including, in certain states, manufacturers and distributors who ship products into the state even if such manufacturers or distributors have no place of business within the state. Some states also impose requirements on manufacturers and distributors to establish the pedigree of product in the chain of distribution, including some states that require manufacturers and others to adopt new technology capable of tracking and tracing product as it moves through the distribution chain. In addition, several states have enacted legislation requiring pharmaceutical and biotechnology companies to establish marketing compliance programs, file periodic reports with the state, make periodic public disclosures on sales, marketing, pricing, clinical trials and other activities, and/or register their sales representatives, as well as to prohibit pharmacies and other healthcare entities from providing certain physician prescribing data to pharmaceutical and biotechnology companies for use in sales and marketing, and to prohibit certain other sales and marketing practices. Certain local jurisdictions also require drug manufacturers to report information related to payments and other transfers of value to physicians and other healthcare providers or marketing expenditures. Sales and marketing activities are also potentially subject to federal and state consumer protection and unfair competition laws.

Violation of any of the federal and state healthcare laws described above or any other governmental regulations may result in penalties, including without limitation, significant civil, criminal and/or administrative penalties, damages, fines, disgorgement, exclusion from participation in government programs, such as Medicare and Medicaid, imprisonment, injunctions, private “qui tam” actions brought by individual whistleblowers in the name of the government, refusal to enter into government contracts, oversight monitoring, contractual damages, reputational harm, administrative burdens, diminished profits and future earnings.

 

156


Table of Contents

Coverage, pricing and reimbursement

Significant uncertainty exists as to the coverage and reimbursement status of any product candidates for which regulatory approval is obtained. In the United States and markets in other countries, sales of any products for which regulatory approval is received for commercial sale will depend, in part, on the extent to which third-party payors provide coverage, and establish adequate reimbursement levels for such products. In the United States, third-party payors include federal and state healthcare programs, private managed care providers, health insurers and other organizations. The process for determining whether a third-party payor will provide coverage for a product may be separate from the process for setting the price of a product or for establishing the reimbursement rate that such a payor will pay for the product. Third-party payors may limit coverage to specific products on an approved list, also known as a formulary, which might not include all of the FDA-approved products for a particular indication. Third-party payors are increasingly challenging the price, examining the medical necessity and reviewing the cost-effectiveness of medical products, therapies and services, in addition to questioning their safety and efficacy. Expensive pharmaco-economic studies may need to be conducted in order to demonstrate the medical necessity and cost-effectiveness of product candidates, in addition to the costs required to obtain the FDA approvals. Product candidates may not be considered medically necessary or cost-effective. A payor’s decision to provide coverage for a product does not imply that an adequate reimbursement rate will be approved. Further, one payor’s determination to provide coverage for a product does not assure that other payors will also provide coverage for the product. Adequate third-party reimbursement may not be available to enable the maintenance of price levels sufficient to realize an appropriate return on investment in product development.

Different pricing and reimbursement schemes exist in other countries. In the EU, governments influence the price of pharmaceutical products through their pricing and reimbursement rules and control of national health care systems that fund a large part of the cost of those products to consumers. Some jurisdictions operate positive and negative list systems under which products may only be marketed once a reimbursement price has been agreed. To obtain reimbursement or pricing approval, some of these countries may require the completion of clinical trials that compare the cost-effectiveness of a particular product candidate to currently available therapies. Other member states allow companies to fix their own prices for medicines, but monitor and control company profits. The downward pressure on health care costs has become very intense. As a result, increasingly high barriers are being erected to the entry of new products. In addition, in some countries, cross-border imports from low-priced markets exert a commercial pressure on pricing within a country.

The marketability of any product candidates for which regulatory approval is received for commercial sale may suffer if the government and other third-party payors fail to provide coverage and adequate reimbursement. In addition, emphasis on managed care in the United States has increased and is expected to continue to increase the pressure on healthcare pricing. Coverage policies and third-party reimbursement rates may change at any time. Even if favorable coverage and reimbursement status is attained for one or more products for which regulatory approval is received, less favorable coverage policies and reimbursement rates may be implemented in the future.

Healthcare reform

Healthcare reforms that have been adopted, and that may be adopted in the future, could result in further reductions in coverage and levels of reimbursement for pharmaceutical products, increases in rebates payable under U.S. government rebate programs and additional downward pressure on pharmaceutical product prices. Healthcare reform proposals recently culminated in the enactment of the Inflation Reduction Act, which will eliminate, beginning in 2025, the coverage gap under Medicare Part D by significantly lowering the enrollee maximum out-of-pocket cost and requiring manufacturers to subsidize, through a newly established

 

157


Table of Contents

manufacturer discount program, 10% of Part D enrollees’ prescription costs for brand drugs below the out-of-pocket maximum, and 20% once the out-of-pocket maximum has been reached. The Inflation Reduction Act will also allow HHS to directly negotiate the selling price of a statutorily specified number of drugs each year that CMS reimburses under Medicare Part B and Part D. Only high-expenditure single-source drugs that have been approved for at least 7 years (11 years for biologics) can qualify for negotiation, with the negotiated price taking effect two years after the selection year. CMS selected the Medicare Part D drugs for negotiation in 2023, negotiations began in 2024, and the price cap for each of these drugs, which cannot exceed a statutory ceiling price, will come into effect on January 1, 2026. Negotiations for Medicare Part B products begin in 2026, with the negotiated price taking effect in 2028. A drug or biological product that has an orphan drug designation for only one rare disease or condition will be excluded from the Inflation Reduction Act’s price negotiation requirements, but loses that exclusion if it has designations for more than one rare disease or condition, or if is approved for an indication that is not within that single designated rare disease or condition, unless such additional designation or such disqualifying approvals are withdrawn by the time CMS evaluates the drug for selection for negotiation. The Inflation Reduction Act also imposes rebates on Medicare Part B and Part D drugs whose prices have increased at a rate greater than the rate of inflation. The Inflation Reduction Act permits the Secretary of HHS to implement many of these provisions through guidance, as opposed to regulation, for the initial years. Manufacturers that fail to comply with the Inflation Reduction Act may be subject to various penalties, some significant, including civil monetary penalties. The Inflation Reduction Act also extends enhanced subsidies for individuals purchasing health insurance coverage in ACA marketplaces through plan year 2025. These provisions are taking effect progressively starting in 2023, although they may be subject to legal challenges. For example, the provisions related to the negotiation of selling prices of high-expenditure single-source drugs and biologics have been challenged in multiple lawsuits. Thus, while it is unclear how the Inflation Reduction Act will be implemented, it will likely have a significant impact on the pharmaceutical industry and the pricing of pharmaceutical products, particularly pharmaceutical products indicated for prevalent conditions. It is unclear to what extent other statutory, regulatory, and administrative initiatives will be enacted and implemented in the future.

Employees and human capital resources

As of September 30, 2024, we had 121 employees, all of whom were full-time and 95 of whom were engaged in research and development activities. Approximately 51 of our employees hold Ph.D. or M.D. degrees. None of our employees are represented by labor unions or covered by collective bargaining agreements. We consider our relationship with our employees to be an asset.

Our human capital resources objectives include, as applicable, identifying, recruiting, retaining, incentivizing and integrating our existing and new employees, advisors and consultants. It is important that we not only attract and retain the best and brightest diverse talent, but also ensure they remain engaged and can thrive in an environment that is committed to helping them grow, succeed and contribute directly to achieving our purpose. The principal purposes of our equity and cash incentive plans are to attract, retain and motivate personnel through the granting of stock-based and cash-based compensation awards in order to increase the success of our Company by motivating such individuals to perform to the best of their abilities in the furtherance of our objectives. We also strive to foster career growth and internal mobility by providing a broad range of training, mentoring and other development opportunities.

Facilities

Our corporate headquarters is located at 171 Oyster Point Blvd., Suite 300, South San Francisco, California, where we lease and occupy approximately 67,000 square feet of office and laboratory space. Our lease, entered into on September 27, 2019, has a term of approximately 10 years.

 

158


Table of Contents

We believe our existing facility is sufficient for our needs for the foreseeable future. To meet the future needs of our business, we may lease additional or alternate space, and we believe suitable additional or alternative space will be available in the future on commercially reasonable terms.

Legal proceedings

From time to time, we may become involved in litigation or other legal proceedings. We are not currently a party to any litigation or legal proceedings that, in the opinion of our management, are probable to have a material adverse effect on our business. Regardless of outcome, litigation can have an adverse impact on our business, financial condition, results of operations and prospects because of defense and settlement costs, diversion of management resources and other factors.

 

159


Table of Contents

Management

Executive officers and directors

The following table provides information, including ages as of September 30, 2024, regarding our executive officers and directors:

 

     
Name   Age      Position

Executive Officers:

    

Jason Coloma, Ph.D.

    49      Chief Executive Officer and Director

Harold S. Bernstein, M.D., Ph.D.

    65      President, Research and Development and Chief Medical Officer

Courtney Phillips

    50      General Counsel and Corporate Secretary

Atul Dandekar

    53      Chief Strategy and Business Officer

Non-Employee Directors:

    

Charles Homcy, M.D.(1)

    76      Chairman of the Board, Director

Nancy C. Andrews, M.D., Ph.D.(2)

    65      Director

Jamie Brush, M.D.(3)

    41      Director

Alan Colowick, M.D., M.P.H.(3)

    62      Director

Sekar Kathiresan, M.D.(4)

    53      Director

Jonathan Lim, M.D.(2)

    52      Director

Richard Scheller, Ph.D.

    71      Director

Catherine Angell Sohn, Pharm. D.(1)

    71      Director

Daniel Spiegelman(4)

    66      Director

Jeffrey Tong, Ph.D.(3)

    49      Director

Neil Exter(4)(5)

    66      Director Nominee

 

 

(1)   Member of the Nominating and Governance Committee effective upon the completion of this offering.

 

(2)   Member of the Compensation Committee effective upon the completion of this offering.

 

(3)   Director has given notice of his intention to resign from his position as a member of our board of directors effective upon the completion of this offering.

 

(4)   Member of the Audit Committee effective upon the completion of this offering.

 

(5)   Mr. Exter has been appointed to serve as a member of our board of directors and as a member of our Audit Committee effective upon the completion of this offering.

Executive officers

Jason Coloma, Ph.D., has served as our President, Chief Executive Officer, and member of our board of directors since July 2019. Prior to that, he served as a venture partner at Third Rock Ventures, a venture capital firm, from June 2016 to July 2019. Previously, he held several roles at Roche, a multinational healthcare company, and Genentech, a biotechnology company, between August 2007 and July 2016, including Vice President & Global Therapeutic Area Head of Oncology Partnering as well as Global Head of Research Technology Partnering. Before joining Roche and Genentech, Dr. Coloma was a consultant in the life sciences practice at L.E.K. Consulting LLC, a global strategy consulting firm. He also worked in research at the University

 

160


Table of Contents

of California, San Francisco, and Cytokinetics, Incorporated, a late-stage biopharmaceutical company. Dr. Coloma holds B.S. in Biology from the University of San Francisco, a Ph.D. and M.P.H. from the University of California, Berkeley, and an M.B.A. from the Tuck School of Business at Dartmouth College.

Harold S. Bernstein M.D., Ph.D., has served as our President, Head of Research and Development, and Chief Medical Officer since October 2022. Prior to working at our company, Dr. Bernstein was Chief Medical Officer, Head of Global Clinical Development and Senior Vice President of Worldwide Research and Development at BioMarin Pharmaceutical Inc., a global biotechnology company, from October 2021 to September 2022. Before that, Dr. Bernstein served as Head of Translational Medicine and Vice President of Global Medicines Development and Medical Affairs at Vertex, a biopharmaceutical company, from October 2017 to September 2021. Prior to that, Dr. Bernstein served as Head of Cardiometabolic Diseases Early Clinical Development and Executive Director at Merck & Co., Inc., a multinational pharmaceutical company, from January 2013 to September 2017. Since July 2013, Dr. Bernstein has served as Adjunct Professor of Pediatrics (Cardiology) at the Mindich Child Health Development Institute at the Icahn School of Medicine at Mount Sinai. Dr. Bernstein also served as Professor of Pediatrics and a Senior Investigator at the Cardiovascular Research Institute and the Broad Center of Regeneration Medicine and Stem Cell Research at the University of California, San Francisco (UCSF) from January 1997 to June 2013. Dr. Bernstein holds an A.B. in Biological Sciences from Harvard College and an M.Phil., Ph.D. (Human Genetics) and M.D. from the Icahn School of Medicine at Mount Sinai.

Atul Dandekar has served as our Chief Strategy and Business Officer since July 2024, and previously served as our Chief Strategy Officer from March 2021 to July 2024. In this role, Mr. Dandekar is responsible for our business development, partnering, portfolio management and corporate strategy. Prior to working at our company, Mr. Dandekar held various positions at Genentech, a biotechnology corporation, including Vice President and Head of Global Ophthalmology Business Franchise, from January 2014 to March 2021. Prior to Genentech, Mr. Dandekar served in various positions at Novartis AG, a multinational pharmaceutical corporation, from February 2007 to December 2013, most recently as its Senior Global Program Head, Neurology. He is the co-founder of Ollin Biosciences, a private biotechnology company. Since March 2021, Mr. Dandekar has served as a director at Broadwing, a private biotechnology company. Mr. Dandekar holds a bachelor’s degree in medicine and a masters in marketing from Mumbai University, as well as a post-graduate marketing degree from Monash University.

Courtney Phillips has served as our General Counsel and Corporate Secretary since July 2024. Prior to Maze, Ms. Phillips served as General Counsel and Corporate Secretary at Atreca, Inc., or Atreca, a biotechnology company, from July 2019 through June 2024. Prior to Atreca, Ms. Phillips was Vice President of Corporate Law at Global Blood Therapeutics, Inc., or Global Blood Therapeutics, a biotechnology company, from November 2017 through June 2019. Prior to Global Blood Therapeutics, Ms. Phillips served as Senior Corporate Counsel and then Vice President and Associate General Counsel at Relypsa, Inc., or Relypsa, a biotechnology company, from December 2013 through March 2017. Prior to Relypsa, Ms. Phillips was Corporate Counsel at Affymax, Inc., a biotechnology company. Earlier in her career, Ms. Phillips was a corporate/finance attorney at the law firms of Morrison Foerster LLP and Reed Smith LLP, where she represented biotechnology and technology companies in IPOs and other equity financings, mergers and acquisitions, securities law matters, and corporate governance. Ms. Phillips holds a B.A. from the University of California, Berkeley and a J.D. from Georgetown University Law Center.

Non-employee directors

Charles Homcy, M.D., has served as the chairman of our board of directors since June 2018. Dr. Homcy previously served as a partner at Third Rock Ventures, a venture capital firm, from September 2010 to October 2019 where he currently serves in an advisory capacity. Dr. Homcy is also a co-founder of BridgeBio Pharma, Inc., a publicly traded biotechnology company, and has served as a member of its board of directors since

 

161


Table of Contents

November 2018, as Chairman of Pharmaceuticals since February 2019, and as lead director since February 2020. In 2003, Dr. Homcy co-founded Portola Pharmaceuticals, LLC, a clinical biotechnology company, and served as President and Chief Executive Officer until 2010. Prior to that, Dr. Homcy served as director and the President of Research and Development at Millennium Pharmaceuticals, Inc. He was previously President of the medical research division of American Cyanamid & Chemical Corporation’s American Cyanamid-Lederle Laboratories. Dr. Homcy was a clinical professor of medicine at the University of California, San Francisco Medical School, and attending physician at the San Francisco Veterans Affairs Hospital from 1997 to 2008. He was previously a member of the Cardiac Unit of the Massachusetts General Hospital and an Associate Professor of Medicine at Harvard Medical School. Dr. Homcy holds an A.B. in Biology and an M.D. from Johns Hopkins University and is an Emeritus Trustee. Dr. Homcy is a co-founder of multiple privately held biotechnology companies including Global Blood Therapeutics, Inc., MyoKardia, Inc., Relay Therapeutics, Inc., Pliant Therapeutics Inc., and Marea Therapeutics. We believe Dr. Homcy is qualified to serve on our board of directors based on his significant experience building and leading successful biotechnology companies and his scientific expertise.

Nancy C. Andrews, M.D., Ph.D., has served as a member of our board of directors since January 2021. Dr. Andrews has served as Executive Vice President and Chief Scientific Officer at Boston Children’s Hospital since December 2021. She is also Professor in Residence of Pediatrics at Harvard Medical School. She was previously at Duke University from October 2007 to December 2021, where she served as Dean of the School of Medicine, Vice Chancellor for Academic Affairs, Professor of Pediatrics and Professor of Pharmacology & Cancer Biology. From 2003 to 2007, she served as Dean for Basic Sciences and Graduate Studies and Professor of Pediatrics at Harvard University Medical School. From 1999 to 2003, she served as director of the Harvard-Massachusetts Institute of Technology M.D./Ph.D. Program, and the principal investigator of its MSTP grant. From 1993 to 2006, she was a biomedical research investigator of the Howard Hughes Medical Institute. Dr. Andrews is an elected member of the American Academy of Arts and Sciences, the National Academy of Medicine, and the National Academy of Sciences, where she currently serves as Home Secretary. She has also served on the board of trustees of the Massachusetts Institute of Technology, the MIT Corporation. Since July 2018, she has served as a member of the Scientific Advisory Board of Dyne Therapeutics, Inc., clinical-stage muscle disease company. Dr. Andrews has also served on the board of directors of Novartis AG, a multinational pharmaceutical corporation since February 2015, and Charles River Laboratories, Inc, a pharmaceutical company, since February 2020. She received her B.S. and M.S. from Yale University, her Ph.D. from Massachusetts Institute of Technology, and her M.D. from Harvard Medical School. We believe Dr. Andrews is qualified to serve on our board of directors due to her extensive scientific leadership and expertise in oncology, genetics, and pediatric research.

Jamie Brush, M.D., has served as a member of our board of directors since November 2024. Dr. Brush is currently a General Partner and Portfolio Manager with Frazier Life Sciences, where he has worked since July 2016. Dr. Brush previously served on the board of directors of Amunix Pharmaceuticals, Inc. from February 2020 until the company’s sale to Sanofi S.A. in 2022. From August 2014 to May 2016, Dr. Brush served as a consultant at the Boston Consulting Group. Prior to that, Dr. Brush worked as a resident physician at Beth Israel Deaconess Medical Center from June 2011 to May 2014. Dr. Brush holds a B.A. from Middlebury College and a M.D. from the University of Southern California. We believe Dr. Brush is qualified to serve on our board of directors based on his significant biotech and corporate finance expertise. Dr. Brush has given notice of his intention to resign as a member of our board of directors effective upon the completion of this offering.

Alan Colowick, M.D., M.P.H., has served as a member of our board of directors since December 2024. Dr. Colowick has served a managing director at Matrix Capital Management Company, L.P., an investment management firm, since April 2021. From April 2017 to January 2021, Dr. Colowick served as a Partner at Sofinnova Investment, Inc., a clinical stage life sciences venture capital firm. Prior to that, Dr. Colowick held

 

162


Table of Contents

various positions, including recently as Executive Vice President, at Celgene Corporation, a pharmaceutical company, from February 2010 to April 2017. Dr. Colowick served as the Chief Executive Officer of Gloucester Pharmaceuticals Inc., an early-stage cancer pharmaceutical company, from February 2008 until its acquisition by Celgene Corporation in January 2010. From October 2006 to February 2008, Dr. Colowick served as President, Oncology at Geron Corporation, a pharmaceutical company. Earlier in his career, Dr. Colowick served as Chief Medical Officer at Threshold Pharmaceuticals Inc., a biotechnology company, and served in various capacities at Amgen Inc., a biopharmaceutical company. Dr. Colowick has served on the board of directors of ReCode Therapeutics, Inc. since June 2022, Alumis Inc. since January 2022, Acelyrin, Inc. since November 2021, AC Immune SA since March 2021, Harpoon Therapeutics, Inc. from March 2021 to June 2023, Personalis, Inc. from May 2019 to June 2023, XyloCor Therapeutics, Inc. since October 2018, and InCarda Therapeutics, Inc. since October 2017. He previously served as executive chair and chair of the board of directors of Principia Biopharma Inc. (acquired by Sanofi in September 2020) from February 2017 to September 2020, the chairman of the board of directors of VelosBio Inc. from September 2018 to December 2020, and a director of Human Longevity, Inc. from June 2016 to June 2019. Dr. Colowick holds a B.S. in Molecular Biology from the University of Colorado, an M.D. from Stanford University School of Medicine, and an M.P.H. from the Harvard School of Public Health. We believe Dr. Colowick is qualified to serve on our board of directors based on his significant medical and life sciences expertise. Dr. Colowick has given notice of his intention to resign as a member of our board of directors effective upon the completion of this offering.

Sekar Kathiresan, M.D. has served as a member of our board of directors since April 2022. Dr. Kathiresan is the co-founder and since July 2019 has served as the Chief Executive Officer and as member of the board of directors of Verve Therapeutics, Inc. Since July 2022, Dr. Kathiresan has served on the board of directors of Relay Therapeutics, Inc. From June 1997 until September 2021, Dr. Kathiresan served as a Physician (Cardiology) at Massachusetts General Hospital, where he was also the Director of Preventative Cardiology from June 2006 to June 2016 and the Director of the Center for Genomic Medicine from April 2016 to June 2019. Dr. Kathiresan has served as an Honorary Physician in the Department of Medicine at Massachusetts General Hospital since September 2021. Dr. Kathiresan served as a Professor of Medicine at Harvard Medical school from July 2018 to July 2021 and is currently at Lecturer in Medicine at Harvard Medical School. From February 2008 to June 2019, Dr. Kathiresan served as a Principal Investigator at the Broad Institute of MIT and Harvard, where he also served as a Co-Director of the Program in Medical and Population Genetics from June 2014 to June 2019. Dr. Kathiresan holds a B.A. in History from the University of Pennsylvania and an M.D. from Harvard Medical School. We believe that Dr. Kathiresan is qualified to serve on our board of directors based on his significant medical expertise and his significant experience researching genetics and CV disease.

Jonathan Lim, M.D., has served as a member of our board of directors since October 2019. Dr. Lim has served as a Venture Partner at ARCH Venture Partners, LLC, a venture capital firm, since December 2018. Dr. Lim co-founded Erasca, Inc., a clinical-stage precision oncology company, in July 2018 and currently serves as the Chairman of its board of directors and Chief Executive Officer. Since December 2018, Dr. Lim has also served as the Chairman and Co-founder at Boundless Bio, Inc., a biotechnology company. Dr. Lim is also the Managing Partner and Founder of City Hill, LLC, a venture capital firm. Previously, Dr. Lim co-founded Ignyta, Inc., a pharmaceutical company, in 2011 and served as the Chairman of its board of directors, President and Chief Executive Officer until its acquisition by Roche, a multinational healthcare company, in December 2018. He also previously served as Chairman and Co-founder of Bonti, Inc., a clinical-stage biotechnology company, from August 2015 until its October 2018 acquisition by Allergan PLC, a pharmaceutical company; Chairman, Chief Executive Officer and Co-founder of Eclipse Therapeutics, LLC, a private biotechnology company, from 2011 until its 2012 acquisition by Bionomics Ltd., clinical-stage biopharmaceutical company; and President, Chief Executive Officer and Chairman-then-Director of Halozyme Therapeutics, Inc., a biotechnology company, from 2003 to 2010. From 2001 to 2003, Dr. Lim was a management consultant at McKinsey & Company, a global management consulting firm, where he specialized in the healthcare industry. From 1999 to 2001, Dr. Lim was a

 

163


Table of Contents

recipient of a National Institutes of Health Postdoctoral Fellowship, during which time he conducted clinical outcomes research at Harvard Medical School. Dr. Lim’s prior experience also includes two years of clinical training in general surgery at the New York Hospital-Cornell Medical Center and Memorial Sloan-Kettering Cancer Center. Dr. Lim received an M.P.H. in Health Care Management from Harvard University, an M.D. from McGill University, and a B.S. and M.S. in Biological Sciences from Stanford University. We believe Dr. Lim is qualified to serve on our board of directors based on his significant experience building and leading successful biotechnology companies and his scientific and clinical expertise.

Richard Scheller, Ph.D., has served as a member of our board of directors since June 2019. Dr. Scheller is currently the Chair of Research and Development at BridgeBio Pharma Inc., a biotechnology company, a role he has served since January 2019, and served as a member of its board of directors from January 2018 to February 2021. He was previously the Head of Therapeutics and Chief Scientific Officer at 23andMe, Inc., a personal genomics company, from 2015 to 2019 and since early 2019 has served on that company’s board of directors. He also serves on the board of directors of Alector, Inc. From 2001 to 2014, Dr. Scheller spent 14 years at Genentech, a biotechnology company, where he was Executive Vice President of Research and Early Development. From 1982 to 2001, Dr. Scheller served on the faculty of Stanford University as a professor in the Department of Biological Sciences and the Department of Molecular and Cellular Physiology and was an investigator at the Howard Hughes Medical Institute of Stanford University Medical Center. Since 2004, Dr. Scheller has served as an adjunct professor in the Department of Biochemistry and Biophysics at the University of California, San Francisco. He has published more than 200 primary research papers during his career. Dr. Scheller received the Kavli Prize in Neuroscience (2010) and is a Member of the National Academy of Sciences and the National Academy of Medicine. Dr. Scheller received a Ph.D. in Chemistry from California Institute of Technology and a B.S. in Biochemistry from the University of Wisconsin-Madison. We believe Dr. Scheller is qualified to serve on our board of directors based on his significant experience building and leading successful biotechnology companies and his scientific expertise.

Catherine Angell Sohn, Pharm. D., has served as a member of our board of directors since January 2021. Since January 2011, Dr. Sohn has consulted for pharmaceutical, biotechnology, medical device and consumer healthcare companies in the areas of business strategy, business development, strategic product development and commercial launch at Sohn Health Strategies, LLC, which she founded and serves as President. Since March 2023, Dr. Sohn has served on the board of directors of Altimmune Inc, a public biopharmaceutical company, and she is a non-executive chair at BioEclipse Therapeutics, a privately held biotechnology company. Dr. Sohn served at GlaxoSmithKline plc and its predecessor companies, SmithKline Beecham and SK&F, most recently as Senior Vice President. From 1994 to 1998, she was Vice President of Worldwide Strategic Product Development for Cardiovascular, Pulmonary and Metabolic Therapeutic Areas. Earlier in her career, as an entrepreneur within a large company, she started the U.S. Vaccine Business and led the launch of SmithKline Beecham’s first vaccine in the United States and helped shape the global vaccine portfolio pipeline as a member of the International Vaccine Steering Committee. Dr. Sohn received a Pharm. D. from the University of California, San Francisco, a Corporate Directors Certificate from Harvard Business School, a Certificate of Professional Development from the Wharton School at the University of Pennsylvania, and a Certificate from Berkeley Law for ESG: Navigating the Board’s Role, and is a Certified Licensing Professional Emeritus. Since 2016, she has also served as an Adjunct Professor at the University of California, San Francisco. We believe Dr. Sohn is qualified to serve on our board of directors based on her significant experience building and leading successful biopharmaceutical portfolios, her business development expertise and her governance experience as a public company board member.

Daniel Spiegelman has served as a member of our board of directors since October 2020. From May 2012 to February 2020, Mr. Spiegelman served as the Executive Vice President and Chief Financial Officer of Biomarin Pharmaceuticals Inc., a global biotechnology company. From 1998 to 2009, Mr. Spiegelman served as Senior

 

164


Table of Contents

Vice President and Chief Financial Officer at CV Therapeutics, Inc., a biopharmaceutical company acquired in 2009 by Gilead Sciences, Inc., a research-based biopharmaceutical company. From 1991 to 1998, Mr. Spiegelman was an employee at Genentech, serving most recently as its Treasurer. Mr. Spiegelman serves on the board of directors of several publicly traded biopharmaceutical companies, including as the Audit Committee Chairman at Spruce Biosciences, Inc. since September 2020, as the Audit Committee Chairman at Kyverna Therapeutics, Inc. since April 2021, and on the board of directors of vTv Therapeutics Inc. since June 2024. Mr. Spiegelman has also served on the board of directors of Tiizona Therapeutics, Inc., a privately held biotechnology company since May 2019. Mr. Spiegelman previously served as a member of the boards of directors of a number of additional publicly traded and privately held biotechnology companies, including, but not limited to, Affymax, Inc., Relypsa Inc, Anthera Pharmaceuticals, Inc. and Cascadian Therapeutics, Inc. Mr. Spiegelman received his B.A. in Economics and M.B.A. from Stanford University. We believe Mr. Spiegelman is qualified to serve on our board of directors based on his significant experience and his significant insights into financial strategy and organizational development.

Jeffrey Tong, Ph.D. has served as a member of our board of directors since November 2018. Dr. Tong is currently a partner with Third Rock Ventures, where he has worked since May 2016. Since 2022, Dr. Tong has served as a member of the board of directors at Rapport Therapeutics, Inc. From 2018 to 2021, he served as a member of the board of directors of Nurix Therapeutics, Inc. and Asher Biotherapeutics, and as Chairman of the board of directors of Ambys Medicines, Inc. Prior to joining Third Rock Ventures, from 2016 to 2017, Dr. Tong served as Executive Chairman of the board of directors of Delinia, Inc. (acquired by Celgene Corporation in 2017), a company developing novel therapeutics for the treatment of autoimmune diseases. From 2010 to 2015, he was the President and Chief Executive Officer of Nora Therapeutics, Inc. Prior to that, from 2001 to 2010, he was a member of the founding management team at Infinity Pharmaceuticals, Inc. where he led its corporate as well as product development activities. Earlier in his career, Dr. Tong worked at McKinsey & Company and was a founding researcher at the Harvard Bauer Center for Genomics Research Over the course of his career, Dr. Tong has raised significant capital from both equity markets and pharma partnerships, led teams from preclinical through Phase 3 development, and developed integrated science/business strategies for building innovative biotechnology companies. Dr. Tong received his educational training at the interface of molecular biology, organic chemistry, and medicine. He holds an A.B. in Biochemical Sciences from Harvard College, an A.M. in Chemistry from Harvard University, a M.M.S. in Medicine from Harvard Medical School and a Ph.D. in Chemistry from Harvard University. He brings significant operational experience in building and growing early-stage biotechnology companies. We believe Dr. Tong is qualified to serve on our board of directors based on his significant experience building and leading successful biotechnology companies and his scientific expertise. Dr. Tong has given notice of his intention to resign as a member of our board of directors effective upon the completion of this offering.

Neil Exter, M.B.A., will join our board of directors upon the closing of this offering. Mr. Exter has been a partner at Third Rock Ventures, a venture capital firm, since 2007. Prior to joining Third Rock Ventures,

Mr. Exter was chief business officer of Alantos Pharmaceuticals Holding, Inc., a biopharmaceutical company, from 2006 until its acquisition by Amgen Inc. in 2007. Previously, he served as vice president of business development of Millennium Pharmaceuticals, Inc., a pharmaceutical company, from 2002 to 2006. Mr. Exter previously served as a member of the boards of directors of a number of additional publicly traded and privately held biotechnology companies, including, but not limited to, Decibel Therapeutics, Inc., a biotechnology company, Revolution Medicines Inc., a precision oncology company, and Pliant Therapeutics, Inc., a biopharmaceutical company. Mr. Exter earned a B.S. in Electrical Engineering from Cornell University, an M.S. in Electrical Engineering from Stanford University and an M.B.A. as a Baker Scholar from Harvard Business School. We believe Mr. Exter is qualified to serve on our board of directors because of his extensive experience investing in and advising life sciences companies, as well as his experience as a director of public and private companies in the life sciences industry.

 

165


Table of Contents

Election of executive officers

Our executive officers are appointed by, and serve at the discretion of, our board of directors.

Family relationships

There are no family relationships among any of our executive officers or directors.

Board composition

Upon the closing of this offering, our board of directors will consist of nine members. Seven of our directors upon the closing of this offering will be independent within the meaning of the independent director guidelines of Nasdaq. Pursuant to our current certificate of incorporation and our amended and restated stockholders agreement, Dr. Homcy, Dr. Tong, Dr. Colowick and Dr. Brush have been designated to serve as members of our board of directors. Dr. Homcy and Dr. Tong were designated by Third Rock Ventures IV, L.P.; Dr. Colowick was designated by Matrix Capital Management Master Fund, L.P.; and Dr. Brush was designated by Frazier Life Sciences. The amended and restated stockholders agreement and the provisions of our current certificate of incorporation that govern the election and designation of our directors will terminate in connection with this offering, after which no contractual obligations will concern the election of our directors.

Classified board of directors

In accordance with the terms of our restated certificate of incorporation and restated bylaws that will become effective upon the completion of this offering, our board of directors will be divided into three staggered classes of directors. At each annual meeting of our stockholders, a class of directors will be subject to re-election for a three-year term. As a result, only one class of directors will be elected at each annual meeting of our stockholders, with the other classes continuing for the remainder of their respective three-year terms. Our directors will be divided among the three classes as follows:

 

 

the Class I directors will be Dr. Coloma, Dr. Sohn and Mr. Exter and their terms will expire at the first annual meeting of our stockholders held following the completion of the offering;

 

 

the Class II directors will be Dr. Scheller, Dr. Kathiresan and Dr. Lim and their terms will expire at the second annual meeting of our stockholders held following the completion of the offering; and

 

 

the Class III directors will be Dr. Homcy, Dr. Andrews and Mr. Spiegelman and their terms will expire at the third annual meeting of our stockholders held following the completion of the offering.

Each director’s term continues until the election and qualification of his or her successor, or his or her earlier death, resignation or removal. Our restated certificate of incorporation and restated bylaws that will be in effect upon the completion of this offering authorize only our board of directors to fill vacancies on our board of directors. Any increase or decrease in the number of directors will be distributed among the three classes so that, as nearly as possible, each class will consist of one-third of the directors. This classification of our board of directors may have the effect of delaying or preventing changes in control of our company. See the section entitled “Description of capital stock—Anti-takeover provisions—Restated certificate of incorporation and restated bylaw provisions” for additional information.

 

166


Table of Contents

Director independence

In connection with this offering, we have applied to list our common stock on Nasdaq. Under the Nasdaq listing rules, independent directors must comprise a majority of a listed company’s board of directors within one year following the company’s listing date. In addition, the Nasdaq listing rules require that, subject to specified exceptions, each member of a listed company’s audit, compensation and nominating and governance committees be independent. Under the Nasdaq listing rules, a director will only qualify as an “independent director” if, in the opinion of that company’s board of directors, that person does not have a relationship that would interfere with the exercise of independent judgment in carrying out the responsibilities of a director.

Audit committee members must also satisfy the independence criteria set forth in Rule 10A-3 under the Exchange Act. In order to be considered independent for purposes of Rule 10A-3, a member of an audit committee of a listed company may not, other than in his or her capacity as a member of the audit committee, the board of directors or any other board committee: (i) accept, directly or indirectly, any consulting, advisory or other compensatory fee from the listed company or any of its subsidiaries or (ii) be an affiliated person of the listed company or any of its subsidiaries. We intend to satisfy the audit committee independence requirements of Rule 10A-3 as of the completion of this offering. Additionally, compensation committee members must not have a relationship with us that is material to the director’s ability to be independent from management in connection with the duties of a compensation committee member.

Our board of directors has undertaken a review of the independence of each director and considered whether each director has a material relationship with us that could compromise his or her ability to exercise independent judgment in carrying out his or her responsibilities. As a result of this review, our board of directors determined that all of our directors, except for Dr. Coloma and Dr. Homcy, are “independent directors” as defined under the current Nasdaq listing standards and SEC rules and regulations. In making these determinations, our board of directors reviewed and discussed information provided by the directors and us with regard to each director’s business and personal activities and relationships as they may relate to us and our management, including the beneficial ownership of our capital stock by each non-employee director and the transactions involving them as described in the section entitled “Certain relationships and related party transactions.”

Leadership structure of the board

Our corporate governance guidelines provide our board of directors with flexibility to combine or separate the positions of chair of the board of directors and Chief Executive Officer. This structure allows our Chief Executive Officer to focus on our day-to-day business while our chairman leads our board of directors in its fundamental role of providing advice to, and oversight of, management. We believe Dr. Homcy is especially qualified for this role based on his operational and risk oversight expertise through his significant experience building and leading successful biotechnology companies and his scientific expertise. Further, our board of directors believes such separation is appropriate, as it enhances the accountability of the Chief Executive Officer to the board of directors. Dr. Homcy currently serves as the chairman of our board of directors and Dr. Coloma currently serves as our Chief Executive Officer. Our board of directors also intends to appoint a lead independent director to preside over executive sessions of the board and provide feedback to management, which will further strengthen the independence of the board of directors from management. Our board of directors, in its sole discretion, may seek input from our stockholders on the leadership structure of the board of directors.

 

167


Table of Contents

Role of board in risk oversight process

Risk assessment and oversight are an integral part of our governance and management processes. Our board of directors encourages management to promote a culture that incorporates risk management into our corporate strategy and day-to-day business operations. Management discusses strategic and operational risks at regular management meetings, and conducts specific strategic planning and review sessions during the year that include a focused discussion and analysis of the risks facing us. Throughout the year, senior management reviews these risks with the board of directors at regular board meetings as part of management presentations that focus on particular business functions, operations or strategies, and presents the steps taken by management to mitigate or eliminate such risks.

Our board of directors does not have a standing risk management committee, but rather administers this oversight function directly through our board of directors as a whole, as well as through various standing committees of our board of directors that address risks inherent in their respective areas of oversight. While our board of directors is responsible for monitoring and assessing strategic risk exposure, our audit committee is responsible for overseeing our major financial risk exposures and the steps our management has taken to monitor and control these exposures. The audit committee also approves or disapproves any related person transactions. Our nominating and corporate governance committee monitors the effectiveness of our corporate governance guidelines and other compliance policies, as well as climate and other corporate sustainability risks. Our compensation committee assesses and monitors whether any of our compensation policies and programs has the potential to encourage excessive risk-taking.

Committees of the board of directors

Our board of directors has an audit committee, a compensation committee and a nominating and governance committee, each of which will have the composition and responsibilities described below as of the completion of this offering. Each of the below committees has a written charter approved by our board of directors. Upon completion of this offering, copies of each charter will be posted on the investor relations page of our website at www.mazetx.com. The reference to our website address in this prospectus does not include or incorporate by reference the information on our website into this prospectus. Members that serve on these committees will serve until their resignation or until otherwise determined by our board of directors.

Audit committee

Effective upon the completion of this offering, our audit committee will be composed of Mr. Spiegelman, Dr. Katherisan and Mr. Exter, with Mr. Spiegelman as the chairperson of our audit committee. Our board of directors has determined that the composition of our audit committee meets the requirements for independence under the current Nasdaq listing standards and SEC rules and regulations, and that each member of our audit committee is financially literate. In addition, our board of directors has determined that Mr. Spiegelman is an “audit committee financial expert” as defined in Item 407(d)(5)(ii) of Regulation S-K promulgated under the Securities Act. This designation does not impose on him or her any duties, obligations or liabilities that are greater than are generally imposed on members of our audit committee and our board of directors. Our audit committee is directly responsible for, among other things:

 

 

selecting and hiring our independent registered public accounting firm;

 

 

the qualifications, independence and performance of our independent registered public accounting firm;

 

 

the preparation of the audit committee report to be included in our annual proxy statement;

 

168


Table of Contents
 

our compliance with legal and regulatory requirements;

 

 

our controls and procedures for mitigating cybersecurity and other information technology risks, including our plans to respond to data breaches;

 

 

our accounting and financial reporting processes, including our financial statement audits and the integrity of our financial statements; and

 

 

reviewing and approving related-person transactions.

Compensation committee

Effective upon the completion of this offering, our compensation committee will be composed of Dr. Lim and Dr. Andrews, with Dr. Lim as the chairperson of our compensation committee. Our board of directors has determined that each member of our compensation committee is a non-employee director, as defined by Rule 16b-3 promulgated under the Exchange Act, and meets the requirements for independence under the current Nasdaq listing standards and SEC rules and regulations. Our compensation committee is responsible for, among other things:

 

 

evaluating, recommending, approving and reviewing executive officer compensation arrangements, plans, policies and programs;

 

 

evaluating and recommending non-employee director compensation arrangements for determination by our board of directors;

 

 

administering our cash-based and equity-based compensation plans; and

 

 

overseeing our compliance with regulatory requirements associated with the compensation of directors, executive officers and employees.

Nominating and governance committee

Effective upon the completion of this offering, our nominating and governance committee will be composed of Dr. Sohn and Dr. Homcy with Dr. Sohn as the chairperson of our nominating and governance committee. Our board of directors has determined that Dr. Sohn meets the requirements for independence under the current Nasdaq listing standards. Our nominating and governance committee is responsible for, among other things:

 

 

overseeing the process of evaluating the performance of our board of directors; and

 

 

advising our board of directors on environmental, social other corporate governance and compliance matters.

For so long as our nominating and governance committee does not solely consist of independent directors, a majority of our directors who meet the requirements for independence under the current Nasdaq listing standards will be responsible for overseeing all aspects of the nomination process, including identifying, considering and selecting candidates for members on our board of directors.

Compensation committee interlocks and insider participation

None of the members of our compensation committee has been an officer or employee of our company. None of our executive officers currently serves, or in the past year has served, as a member of the board of directors or compensation committee (or other board committee performing equivalent functions) of any entity that has

 

169


Table of Contents

one or more of its executive officers serving on our board of directors or compensation committee. See the section entitled “Certain relationships and related party transactions” for additional information. Prior to establishing the compensation committee, our full board of directors made decisions relating to the compensation of our officers.

Code of business conduct and ethics

Prior to the completion of this offering, our board of directors will adopt a code of business conduct and ethics that applies to all of our employees, officers and directors, including our Chief Executive Officer, President and other executive and senior officers. The full text of our code of business conduct and ethics will be posted on the investor relations page of our website at www.mazetx.com. The reference to our website address in this prospectus does not include or incorporate by reference the information on our website into this prospectus. We intend to disclose future amendments to certain provisions of our code of business conduct and ethics, or waivers of these provisions, on our website at www.mazetx.com or in public filings to the extent required by the applicable rules.

Non-employee director compensation

Our employee directors have not received any compensation or reimbursement of any expenses (other than customary expenses in connection with the attendance of meetings of our board of directors) for their services as directors for the year ended December 31, 2024.

The following table sets forth information concerning the compensation paid to certain of our non-employee directors for the year ended December 31, 2024.

 

         
Name    Fees
earned
or paid
in cash ($)
     Option
awards
($)(1)(2)
     All other
compensation ($)
    Total
($)
 

Charles Homcy, M.D.

            882,042        240,000 (3)      1,122,042  

Nancy C. Andrews, M.D., Ph.D.

     35,000        78,433              113,433  

Jamie Brush, M.D.(4)

                          

Brendan Bulik-Sullivan, Ph.D.(5)

                          

Alan Colowick, M.D., M.P.H.(6)

                          

Sekar Kathiresan, M.D.

     35,000        84,316              119,316  

Jonathan Lim, M.D.

     20,000        78,095              98,095  

Richard Scheller, Ph.D.

     40,000        78,218        60,000 (7)      178,218  

Catherine Angell Sohn, Pharm. D.

     35,000        78,433              113,433  

Daniel Spiegelman

     40,000        78,095              118,095  

Jeffrey Tong, Ph.D.

                          

Andy Tran(8)

                          

 

 

 

(1)   Amounts reflect (i) the full grant date fair value of awards of stock or options granted during the year ended December 31, 2024 computed in accordance with ASC Topic 718, rather than the amounts paid to or realized by the named individual and (ii) the incremental fair value in connection with the stock option repricing completed in December 2024 of stock options held by the directors in the amounts of $11,760 for Dr. Homcy, $2,226 for Dr. Andrews, $8,109 for Dr. Kathiresan, $1,888 for Dr. Lim, $2,011 for Dr. Scheller, $2,226 for Dr. Sohn, and $1,888 for Mr. Spiegelman, in each case as computed in accordance with FASB ASC Topic 718.

 

170


Table of Contents
(2)   The following table sets forth the aggregate number of shares of our common stock subject to outstanding options held by our non-employee directors as of December 31, 2024:

 

   
Name    Number of shares
underlying options
held as of
December 31, 2024
 

Charles Homcy, M.D.

     1,720,000  

Nancy C. Andrews, M.D., Ph.D.

     342,600  

Jamie Brush, M.D.

      

Brendan Bulik-Sullivan, Ph.D.

      

Alan Colowick, M.D., M.P.H.

      

Sekar Kathiresan, M.D.

     287,600  

Jonathan Lim, M.D.

     142,600  

Richard Scheller, Ph.D.

     220,785  

Catherine Angell Sohn, Pharm. D.

     342,600  

Daniel Spiegelman

     342,600  

Jeffrey Tong, Ph.D.

      

Andy Tran

      

 

 

 

(3)   Dr. Homcy received compensation pursuant to a consulting agreement entered into with us in 2019. For additional information regarding Dr. Homcy’s consulting arrangement with us, see the section entitled “Certain relationships and related party transactions — Consulting agreement with Charles Homcy, M.D.”

 

(4)   Dr. Brush joined our board of directors in November 2024.

 

(5)   Dr. Bulik-Sullivan resigned from our board of directors in July 2024.

 

(6)   Dr. Colowick joined our board of directors in December 2024.

 

(7)   Dr. Scheller received compensation pursuant to an advisor agreement entered into with us in 2021. For additional information regarding Dr. Scheller’s advisor arrangement with us, see the section entitled “Certain relationships and related party transactions—Advisor agreement with Richard Scheller, Ph.D.”

 

(8)   Mr. Tran resigned from our board of directors in December 2024.

In December 2024, we amended certain outstanding underwater options held by our directors. The amendment reduced the exercise price per share of such options to $1.08, the fair market value of our common stock as determined by our board of directors on the date of the repricing. The repricing is further described below under “Executive compensation—Repricing.”

Non-employee director compensation policy

Prior to this offering, we did not have a formal policy to provide any cash or equity compensation to our non-employee directors for their service as directors but, from time to time, we have granted equity awards and provided cash fees to certain non-employee directors to recruit them to join our board of directors and for their continued service on our board of directors.

Separately, certain of our non-employee directors have received cash compensation and options to purchase shares of our common stock in consideration of their services as advisors or consultants. These relationships and payments are discussed in more detail under the section titled “Certain relationships and related party transactions.”

In December 2024, our board of directors approved a new non-employee director compensation policy, which will take effect following the completion of this offering.

Beginning after this offering, pursuant to our non-employee director compensation policy, our non-employee directors will receive annual cash compensation of $40,000 for service on our board of directors and additional

 

171


Table of Contents

cash compensation for the chairperson and committee members as set forth below. All cash payments will be made quarterly in arrears, and pro-rated for any partial quarters of service, including for the initial quarter in which the non-employee director compensation policy is adopted.

 

 

Board Chair: $30,000

 

 

Audit Committee Chair: $15,000

 

 

Audit Committee Member (Non-Chair): $7,500

 

 

Compensation Committee Chair: $12,000

 

 

Compensation Committee Member (Non-Chair): $6,000

 

 

Nominating and Governance Committee Chair: $10,000

 

 

Nominating and Governance Committee Member (Non-Chair): $5,000

 

 

Research & Development Committee Chair: $12,000

 

 

Research & Development Committee Member (Non-Chair): $6,000

In addition, each non-employee director who is elected or appointed to our board of directors after completion of this offering will be granted an option under our 2025 Plan to purchase     shares of our common stock upon the director’s initial appointment to our board of directors, referred to as the Initial Grant. The Initial Grant will vest in equal monthly installments over three years following the date of grant, such that the Initial Grant will become fully vested and exercisable on the three-year anniversary of the date of grant, subject to the director’s continued service through each applicable vesting date.

Each non-employee director who is serving on our board of directors immediately prior to, and will continue to serve on our board of directors following, our annual meeting of stockholders, will be granted an option under our 2025 Plan to purchase     shares of our common stock on the date of such annual meeting of stockholders, referred to as the Annual Grant. Notwithstanding the foregoing, a director who is elected or appointed for the first time after January 1 shall not be eligible to receive such Annual Grant on the annual meeting of stockholders of the year of his or her election or appointment as a director. Each Annual Grant will vest on the earlier of (i) the anniversary of the Annual Grant Date and (ii) the next annual meeting of our stockholders, in each case, subject to the director’s continued service through the vesting date.

Options granted to our non-employee directors shall accelerate in full upon the consummation of a change in control of us, pursuant to the terms of our 2025 Plan.

We also will continue to reimburse our non-employee directors for reasonable, customary, and documented travel expenses to meetings of our board of directors or its committees.

In addition, our 2025 Plan includes a maximum annual limit of $750,000 of cash compensation and equity awards that may be paid, issued, or granted to a non-employee director in any calendar year (increased to $1,000,000 for a non-employee director’s initial year of service). Any cash compensation paid or equity awards granted to a person for his or her services as an employee, or for his or her services as a consultant (other than as a non-employee director), will not count for purposes of the limitation.

 

172


Table of Contents

Executive compensation

The following tables and accompanying narrative disclosure set forth information about the compensation earned by our named executive officers during the year ended December 31, 2024. Our named executive officers, who are our principal executive officer and the two most highly compensated executive officers (other than our principal executive officer) serving as executive officers as of December 31, 2024, are:

 

 

Jason Coloma, Ph.D., Chief Executive Officer;

 

Harold Bernstein, M.D., Ph.D, President, Research and Development and Chief Medical Officer; and

 

Courtney Phillips, General Counsel and Corporate Secretary.

Summary compensation table

The following table presents summary information regarding the total compensation for services rendered in all capacities that was awarded to, earned by or paid to our named executive officers for the year ended December 31, 2024.

 

               
Name and principal position   Year     Salary($)     Bonuses
($)
   

Non-equity
incentive
plan compensation

($)(1)

   

Option
awards

($)(2)

    All other
compensation
($)
   

Total

($)

 

Jason Coloma, Ph.D.

    2024       527,262 (3)                  5,022,982 (4)      4,500       5,554,744  

Chief Executive Officer

             

Harold Bernstein, M.D., Ph.D

    2024       526,667                   1,634,665       4,500       2,165,832  

President, Research and Development and Chief Medical Officer

             

Courtney Phillips

    2024       191,780             50,000 (5)      1,862,640       33,000 (6)      2,137,420  

General Counsel and Corporate Secretary

             

 

 

 

(1)   For additional information regarding the non-equity incentive plan compensation, see the section entitled “Annual performance-based bonuses.” The amounts of the 2024 non-equity incentive plan compensation to be paid to each executive officer are not calculable as of the date of this filing. We expect those amounts will be determined in February 2025, and will be disclosed in a later Form 8-K filing.

 

(2)   Represents (i) the grant date fair value of options awarded during the year ended December 31, 2024 as computed in accordance with FASB ASC Topic 718, and (ii) the incremental fair value in connection with the stock option repricing completed in December 2024 of stock options held by the named executive officers in the amounts of $83,128, $154,687 and $40,928, for Dr. Coloma, Dr. Bernstein and Ms. Phillips, respectively, in each case as computed in accordance with FASB ASC Topic 718. The assumptions used in calculating the grant date fair value of the stock options reported in the Options Award column are set forth in Note 7 to our financial statements included elsewhere in this prospectus. Note that the amounts reported in this column reflect the aggregate accounting cost for these awards, and do not necessarily correspond to the actual economic value that may be received by each named executive officer from the options.

 

(3)   During fiscal year 2024, we implemented an annual accrual cap in our vacation policy for all of our eligible employees, including our executive officers. Dr. Coloma’s salary includes the resulting payment of $20,595 for accrued paid time off in excess of the cap.

 

(4)   Amount excludes the fair value of an award with vesting subject to the achievement of performance conditions that are not deemed probable. The award has a maximum fair value of $405,000 as computed in accordance with FASB ASC Topic 718.

 

(5)   Amount represents a signing bonus paid to Ms. Phillips in connection with the commencement of her employment with the Company.

 

(6)   Amount includes $30,000 in consulting fees paid pursuant to a consulting agreement between Ms. Phillips and the Company dated May 13, 2024.

2024 base salaries

Base salary is the only fixed component of our named executive officers’ total cash compensation and provides competitive and stable pay to attract and retain our executives. We make annual salary decisions by taking into account competitive data, the skills and experience that each executive brings to us, and the performance contributions of each executive. The base salaries for our named executive officers for the year ended December 31, 2024 are included in the Summary Compensation Table above.

 

173


Table of Contents

Annual performance-based bonuses

Annual bonuses for our executive officers are based on the achievement of corporate and, for all of the executive officers other than our Chief Executive Officer, individual performance objectives. The 2024 target bonus amounts for our named executive officers, expressed as a percentage of annual base salary, were 50% for Dr. Coloma, 40% for Dr. Bernstein and 35% for Ms. Phillips.

Repricing

In December 2024, we repriced certain outstanding stock options, including stock options held by Dr. Coloma, Dr. Bernstein and Ms. Phillips. The repricing reduced the exercise price per share of such options to $1.08, the fair market value of our common stock as determined by our board of directors on the date of the repricing. We believe that repricing these underwater stock options was important for the growth and development of our business in order to provide appropriate retention and motivation incentives for our employees holding these stock options. All other terms of such options, other than the exercise price, remained the same, including the number of shares granted, vesting schedule and expiration date (with the exception of one stock option granted to Dr. Coloma, which was also amended to reduce the market condition vesting trigger from $8.00 to $4.00 per share).

Outstanding equity awards at 2024 fiscal year-end table

The following table summarizes the number of shares of common stock underlying outstanding equity incentive plan awards for each of our named executive officers as of December 31, 2024.

 

   
    Option awards  
Name   Grant
date(1)
    Number of
securities
underlying
unexercised
options
exercisable
     Number of
securities
underlying
unexercised
options
unexercisable
   

Equity

incentive

plan
awards:
Number of
Securities
Underlying
Unexercised
Unearned
Options(#)

     Option
exercise
price($)
     Option
expiration
date
 

Jason Coloma, Ph.D.

    2/2/2021 (2)(3)      6,277,083        272,917 (4)             1.08        2/1/2031  

Chief Executive Officer

    3/17/2022 (2)(5)      637,500        262,500              1.08        3/16/2032  

      

    3/9/2023 (2)(6)      341,250        438,750              1.08        3/8/2033  

      

    3/9/2023 (2)(7)                   500,000        1.08        3/8/2033  
    4/23/2024 (2)(8)      146,250        633,750              1.08        4/22/2034  
    12/9/2024 (9)             4,641,000              1.08        12/8/2034  

Harold Bernstein, M.D., Ph.D

    10/27/2022 (2)(10)      2,023,125        1,711,875              1.08        10/26/2032  

President, Research and Development and Chief Medical Officer

    4/24/2024 (2)(8)      46,875        203,125              1.08        4/23/2034  
    12/9/2024 (9)             1,370,000              1.08        12/8/2034  

Courtney Phillips

    7/18/2024 (2)(11)             1,000,000              1.08        7/17/2034  

General Counsel and Corporate Secretary

    12/9/2024 (9)             344,000              1.08        12/8/2034  

 

 

 

(1)   All outstanding stock option awards were granted under the 2019 Plan.

 

(2)   This option was subject to repricing in December 2024.

 

(3)   Vests monthly over the four-year period starting on February 1, 2021, subject to continued service through such date.

 

(4)   The unvested portion of this option grant is early exercisable pursuant to the terms of the grant agreement.

 

(5)   Vests monthly over the four-year period starting on February 1, 2022, subject to continued service through such date.

 

(6)   Vests monthly over the four-year period starting on March 1, 2023, subject to continued service through such date.

 

174


Table of Contents
(7)   100% of the shares subject to the option will vest in the event (i) our stock price is equal to or greater than $4.00 per share (as may be adjusted for stock splits) on average over a 20-day trading period or (ii) if we are acquired at a stock price equal or greater than $4.00 per share (as may be adjusted for stock splits), in each case subject to the grantee’s continued service to the company through the vesting date (the “Performance Goal”). If the Performance Goal is not achieved within four years of the grant date, the option will terminate.

 

(8)   Vests monthly over the four-year period starting on March 1, 2024, subject to continued service through such date.

 

(9)   Vests monthly over the four-year period starting on December 1, 2024, subject to continued service through such date.

 

(10)   Vests as to a quarter of the shares on the one-year anniversary of October 3, 2022, and thereafter vests monthly over three years, in each case subject to continued service on each vesting date.

 

(11)   Vests as to a quarter of the shares on the one-year anniversary of July 15, 2024, and thereafter vests monthly over three years, in each case subject to continued service on each vesting date.

Employment agreements

We intend to enter into new employment agreements with certain senior management personnel in connection with this offering, including our named executive officers. Each of these agreements will provide for at-will employment and include each officer’s base salary, a discretionary annual incentive bonus opportunity, eligibility for future discretionary equity grants, and standard employee benefit plan participation. Under his new employment agreement, Dr. Coloma will receive an annual base salary of $640,000, subject to periodic review, and will be eligible to earn a discretionary annual incentive bonus based on achievement of specified performance goals in an amount up to 55% of his annual base salary. Under his new employment agreement, Dr. Bernstein will receive an annual base salary of $550,000, subject to periodic review, and will be eligible to earn a discretionary annual incentive bonus based on achievement of specified performance goals in an amount up to 45% of his annual base salary. Under her new employment agreement, Ms. Phillips will receive an annual base salary of $440,000, subject to periodic review, and will be eligible to earn a discretionary annual incentive bonus based on achievement of specified performance goals in an amount up to 40% of her annual base salary.

We have also adopted arrangements for our executive officers, including our named executive officers, that provide for payments and benefits upon a qualifying termination of employment or upon a termination in connection with a change in control of our company, as described below.

Amended and Restated Severance and Change in Control Plan

In December 2024, our board of directors adopted an Amended and Restated Executive Severance and Change in Control Plan, or the Severance Plan, which will become effective on completion of this offering. Certain of our officers, including our named executive officers, will participate in the Severance Plan.

Outside of a Change in Control. Pursuant to the Severance Plan (as adjusted in certain respects pursuant to his employment agreement), if Dr. Coloma is terminated without “cause” or resigns for “good reason” (as such terms are defined in the Severance Plan), he will be entitled to receive (i) a lump sum cash amount equal to his annual base salary and (ii) a lump sum cash amount equal to a pro-rata portion (determined based on the number of days he is employed by us during the bonus performance period) of his target bonus. In addition, if Dr. Coloma timely elects continued coverage under the Consolidated Omnibus Budget Reconciliation Act of 1985, or COBRA, we shall pay his monthly premium under COBRA until the earliest of (x) 12 months following his termination date, (y) the date when he receives similar coverage under another employer’s plans and (z) the expiration of his continuation coverage under COBRA.

Pursuant to the Severance Plan (as adjusted in certain respects pursuant to his employment agreement), if Dr. Bernstein is terminated without “cause” or resigns for “good reason” (as such terms are defined in the Severance Plan), he will be entitled to receive a lump sum cash amount equal to his annual base salary. In addition, if Dr. Bernstein timely elects continued coverage under COBRA, we shall pay his monthly premium under COBRA until the earliest of (x) 12 months following his termination date, (y) the date when he receives similar coverage under another employer’s plans and (z) the expiration of his continuation coverage under COBRA.

 

175


Table of Contents

Pursuant to the Severance Plan, if Ms. Phillips is terminated without “cause” (as such term is defined in the Severance Plan), she will be entitled to receive a lump sum cash amount equal to 9 months of her annual base salary. In addition, if Ms. Phillips timely elects continued coverage under COBRA, we shall pay her monthly premium under COBRA until the earliest of (x) 9 months following her termination date, (y) the date when she receives similar coverage under another employer’s plans and (z) the expiration of her continuation coverage under COBRA.

In Connection with a Change in Control. Pursuant to the Severance Plan, if Dr. Coloma is terminated without “cause” or resigns for “good reason” (as such terms are defined in the Severance Plan) in the period commencing three months prior to a “change in control” (as such term is defined in the Severance Plan) of us (but only if after the execution of a definitive agreement providing for a change in control if such transaction is consummated) and ending twelve months following a change in control of us, he will be entitled to receive (i) a lump sum cash amount equal to 18 months of his annual base salary and (ii) a lump sum cash amount equal to 1.5 times his target bonus. In addition, if Dr. Coloma timely elects continued coverage under COBRA, we shall pay his monthly premium under COBRA until the earliest of (x) 18 months following his termination date, (y) the date when he receives similar coverage under another employer’s plans and (z) the expiration of his continuation coverage under COBRA. In addition, each of Dr. Coloma’s then-outstanding equity awards, other than awards subject to performance-based vesting criteria, will automatically become vested and exercisable or settled in full and any awards that would otherwise vest only upon satisfaction of performance criteria shall be treated in accordance with the applicable performance award agreement.

Pursuant to the Severance Plan, if Dr. Bernstein and Ms. Phillips are terminated without “cause” or resign for “good reason” (as such terms are defined in the Severance Plan) in the period commencing three months prior to a “change in control” (as such term is defined in the Severance Plan) of us (but only if after the execution of a definitive agreement providing for a change in control if such transaction is consummated) and ending twelve months following a change in control of us, they will be entitled to receive (i) a lump sum cash amount equal to their annual base salary and (ii) a lump sum cash amount equal to their target bonus. In addition, if Dr. Bernstein and Ms. Phillips timely elect continued coverage under COBRA, we shall pay their monthly premium under COBRA until the earliest of (x) 12 months following their termination date, (y) the date when they receive similar coverage under another employer’s plans and (z) the expiration of their continuation coverage under COBRA. In addition, each of Dr. Bernstein’s and Ms. Phillips’ then-outstanding equity awards, other than awards subject to performance-based vesting criteria, will automatically become vested and exercisable or settled in full and any awards that would otherwise vest only upon satisfaction of performance criteria shall be treated in accordance with the applicable performance award agreement.

In addition, in the event that outstanding equity awards are not assumed by a successor company following a change in control of us, the vesting of such unassumed awards, other than awards subject to performance-based vesting criteria, will automatically accelerate in full without regard to Drs. Coloma’s or Bernstein’s or Ms. Phillips’ termination of service, and any awards that would otherwise vest only upon satisfaction of performance criteria shall be treated in accordance with the applicable performance award agreement.

All such severance payments and benefits under the Severance Plan are subject to each named executive officer’s execution of a general release of claims against us.

The terms of the Severance Plan will supersede all prior agreements with our named executive officers, including their respective individual offer letters and employment agreements, with respect to any severance payments and equity acceleration to which any such named executive officers may be entitled upon a termination of service or change in control of us.

 

176


Table of Contents

Equity compensation plans and other benefit plans

We believe that our ability to grant equity-based awards is a valuable compensation tool that enables us to attract, retain, and motivate our employees, consultants, and directors by aligning their financial interests with those of our stockholders. The principal features of our equity plans are summarized below. These summaries are qualified in their entirety by reference to the actual text of the plans, which are filed as exhibits to the registration statement of which this prospectus is a part.

2018 Stock Option and Grant Plan

Our 2018 Stock Option and Grant Plan, or the 2018 Plan, was initially adopted by our board of directors and approved by our stockholders in November 2018. Our 2018 Plan terminated on the date that our 2019 Plan became effective (as defined and described below).

Share reserve. As of September 30, 2024, restricted stock awards, or RSAs, for 11,191,476 shares of restricted stock have been granted under our 2018 Plan. As of September 30, 2024, all RSAs granted under our 2018 Plan are fully vested. Only RSAs have been granted under the 2018 Plan, and no additional grants will be made under the 2018 Plan. Outstanding shares of restricted stock granted under our 2018 Plain prior to its termination will remain outstanding until they are terminated, forfeited or repurchased in accordance with the terms of the 2018 Plan and the applicable award agreements evidencing such awards.

Administration. Our board of directors or a committee thereof appointed by our board of directors, referred to as the compensation committee, administers the 2018 Plan and awards granted thereunder. While no new awards may be granted under the 2018 Plan, subject to the terms of the 2018 Plan, the compensation committee has the authority to, among other things, interpret the terms and provisions of our 2018 Plan and any award under the 2018 Plan as well as to adopt, alter and repeal rules, guidelines and practices for administration of the 2018 Plan.

Types of awards; Eligibility. Our 2018 Plan provided for the grant of incentive stock options, or ISOs, non-qualified stock options, or NQSOs, restricted stock units, or RSUs, and RSAs to our employees, directors, and consultants; provided that ISOs could only be granted to employees. Only RSAs have been granted under our 2018 Plan and no additional awards may be granted under the 2018 Plan.

Restricted Stock Awards. An RSA is an offer by us to sell shares of our common stock subject to restrictions which could lapse based on terms and conditions determined by the compensation committee, as set forth in our 2018 Plan and an award agreement. These restrictions may be based on completion of a specified period of service with us or upon the achievement of performance goals during a performance period. The compensation committee determines the price of an RSA. Unless otherwise set forth in the award agreement, vesting will cease on the date the participant no longer provides services to us, and at that time, unvested shares will be subject to repurchase by us. Holders of restricted stock are entitled to vote, subject to such conditions contained in the award agreement, and are entitled to receive all dividends and distributions with respect to such shares.

Limited transferability. Unless otherwise determined by the compensation committee, shares of restricted stock granted under our 2018 Plan generally may not be sold, assigned, transferred, pledged, hypothecated, given away, or in any other manner disposed of or encumbered unless (i) the transfer is in compliance with the terms of the applicable award agreement, securities laws and the 2018 Plan and (ii) the transferee consents in writing to be bound by the provisions of the 2018 Plan and applicable award agreement. Transfers of shares may also be made to certain permitted transferees specified under the 2018 Plan.

 

177


Table of Contents

Change in control. In the event of a “Sale Event” (as defined in the 2018 Plan), all then-unvested shares of restricted stock (other than those becoming vested as a result of the Sale Event, if applicable) issued under the 2018 Plan shall be forfeited immediately prior to the effective time of any such Sale Event unless assumed, continued or substituted by the successor entity or a parent thereof, with an equitable or proportionate adjustment as to the number and kind of shares subject to such awards as such parties shall agree (after taking into account any acceleration under the 2018 Plan and/or pursuant to the terms of any award agreement, if applicable). In the event of the forfeiture of unvested shares of restricted stock, such shares shall be repurchased from the holder at a price per share equal to the lower of the original per share purchase price paid by the holder (subject to adjustment as provided in the 2018 Plan, if applicable) or the current fair market value of such shares, determined immediately prior to the effective time of the Sale Event. Notwithstanding the foregoing, in the event of a Sale Event, we shall have the right, but not the obligation, to make or provide for a cash payment to the holders of unvested shares of restricted stock, without consent of the holders, in exchange for the cancellation thereof, in an amount equal to the value as determined by the compensation committee of the consideration payable on a per share basis for our common stock times the number of shares subject to such awards, to be paid at the time of such Sale Event or upon the later vesting of such awards.

Adjustments. If, as a result of any reorganization, recapitalization, reclassification, stock dividend, stock split, reverse stock split or other similar change in our capital stock, the outstanding shares are increased or decreased or are exchanged for a different number or kind of shares or other securities of the company, or additional shares or new or different shares or other securities of the company or other non-cash assets are distributed with respect to such shares or other securities, in each case, without the receipt of consideration by the company, or, if, as a result of any merger or consolidation, or sale of all or substantially all of our the assets, the outstanding shares are converted into or exchanged for other securities of our company or any successor entity (or a parent or subsidiary thereof), the compensation committee shall make an appropriate and proportionate adjustment in (i) the number and kind of shares or other securities subject to any then outstanding awards under the 2018 Plan and (ii) the repurchase price, if any, per share subject to each outstanding award.

Amendment; termination. Our 2018 Plan was terminated upon adoption of our 2019 Plan (as defined and described below). The compensation committee may amend or cancel any outstanding award granted under the 2018 Plan for the purpose of satisfying changes in law or for any other lawful purpose, provided that the award holder’s consent will be required if such action shall adversely affect rights under any outstanding award.

2019 Equity Incentive Plan

Our 2019 Equity Incentive Plan, or 2019 Plan, was initially adopted by our board of directors and approved by our stockholders in August 2019. Our 2019 Plan will terminate on the date that our 2025 Plan becomes effective (as defined and described below).

Share reserve. As of September 30, 2024, 41,916,715 shares of our common stock had been reserved for issuance pursuant to grants under our 2019 Plan, of which 1,813,737 remained available for grant. Only options and shares of restricted stock have been granted under our 2019 Plan, and no additional grants will be made under the 2019 Plan following the date our 2025 Plan becomes effective. As of September 30, 2024, options to purchase 4,518,555 shares had been exercised, and options to purchase 36,421,972 shares remained outstanding, with a weighted-average exercise price of $1.09 per share, which includes adjustments related to our repricing of outstanding stock options in December 2024. As of September 30, 2024, 1,605 shares of stock acquired upon the early exercise of options granted under our 2019 Plan remained outstanding and subject to repurchase. Outstanding options (and shares of restricted stock issued upon the early exercise of options) will remain outstanding until they are exercised, as applicable, or are terminated, forfeited or repurchased in accordance with the terms of the 2019 Plan and the applicable award agreements evidencing such awards.

 

178


Table of Contents

Administration. Our board of directors or the compensation committee, administers the 2019 Plan and awards granted thereunder. Subject to the terms of the 2019 Plan, the compensation committee has the authority to, among other things, select the persons to whom awards would be granted, construe and interpret our 2019 Plan as well as to prescribe, amend, expand, modify, and rescind or terminate rules and regulations relating to the 2019 Plan.

Types of awards; Eligibility. Our 2019 Plan provides for the grant of the awards described below to our employees, consultants, directors and non-employee directors. Pursuant to the 2019 Plan, ISOs may be granted only to our employees. We may grant all other types of awards to our employees, directors and consultants.

Options.  The 2019 Plan provides for the grant of ISOs and NQSOs. ISOs may be granted only to our employees or employees of our parent and subsidiaries. NQSOs may be granted to eligible employees, consultants and directors or any of the foregoing of our parent or subsidiaries. We are able to issue no more than 122,900,000 shares pursuant to the grant of ISOs under the 2019 Plan. The compensation committee determines the terms of each option award, provided that ISOs are subject to statutory limitations. The compensation committee also determines the exercise price for an option, provided that the exercise price of an option may not be less than the fair market value of our common stock on the date of grant (with certain additional requirements for certain ISOs).

Options granted under the 2019 Plan vest at the rate and/or subject to performance requirements specified by the compensation committee and such vesting schedule is set forth in the option agreement to which such option grant relates. The compensation committee determines the term of options granted under the 2019 Plan, up to a term of 10 years (with certain additional requirements for certain ISOs).

After an optionee ceases to provide services to us, he or she is able to exercise his or her vested option for the period of time stated in the stock option agreement to which such option relates. Generally, the vested option will remain exercisable for three months after an optionee’s cessation of service, except in the case of termination due to death, disability or termination for cause. An option may not be exercised later than its expiration date. Any unvested shares of restricted stock issued in connection with the early exercise of an option (if any) are subject to our right to repurchase unvested shares upon the holder’s termination of service, as permitted under the 2019 Plan.

Restricted stock awards. An RSA is an offer by us to sell shares of our common stock subject to restrictions that the compensation committee may impose. These restrictions may be based on completion of a specified period of service with us or upon the achievement of performance goals during a performance period. The compensation committee determines the price of a restricted stock award. Unless otherwise set forth in the award agreement, vesting will cease on the date the participant no longer provides services to us, and at that time unvested shares will be forfeited to us or subject to repurchase by us.

Stock appreciation rights. A SAR provides for a payment, in cash or shares of our common stock, to the holder based upon the difference between the fair market value of our common stock on the date of exercise and a predetermined exercise price, multiplied by the number of shares. The exercise price of a SAR must be at least the fair market value of a share of our common stock on the date of grant. SARs may vest based on service or achievement of performance conditions. The maximum term of a SAR granted under our 2019 Plan is ten years from the date of grant. SARs have not been granted under the 2019 Plan.

Restricted stock units. RSUs represent the right to receive shares of our common stock at a specified date in the future, subject to forfeiture of such right due to termination of employment or failure to achieve specified performance goals. If the RSUs have not been forfeited, then on the date specified in the award agreement, we will deliver to the holder of the RSUs shares of our common stock, cash or a combination of our common stock

 

179


Table of Contents

and cash as specified in the applicable award agreement. The maximum term of an RSU granted under our 2019 Plan is ten years from the date of grant. RSUs have not been granted under the 2019 Plan.

Limited transferability. Unless otherwise determined by the compensation committee, awards granted under our 2019 Plan generally may not be pledged, assigned, hypothecated, transferred or assigned in any manner other than by will or the laws of descent and distribution.

Change in control. In the event of an “acquisition” or “other combination” (as defined in the 2019 Plan), outstanding awards acquired under our 2019 Plan will be subject to the agreement evidencing such transaction, which need not treat all outstanding awards in an identical manner. Such agreement, without the participant’s consent, shall provide for one or more of the following: (i) the continuation of the outstanding awards (if we are the successor entity); (ii) the assumption of the outstanding awards by the surviving corporation or its parent (if any); (iii) the substitution by the surviving corporation or its parent of substantially equivalent awards for the outstanding awards; (iv) the full or partial exercisability or vesting and accelerated expiration of awards; (v) the settlement of the fair market value of the outstanding awards (whether or not then vested or exercisable) in cash, cash equivalents, or securities of the successor entity (or its parent, if any), followed by the cancellation of such awards, provided however, that such awards may be cancelled without consideration if such awards have no value, as determined by the compensation committee, in its discretion; or (vi) the termination of any outstanding award, without payment of any consideration, that was not exercised in accordance with its terms upon or before the closing of the transaction.

Adjustments. In the event that our common stock is changed by a stock dividend, recapitalization, stock split, reverse stock split, subdivision, combination, reclassification, or other change in our capital structure affecting shares without consideration, then in order to prevent diminution or enlargement of the benefits or potential benefits intended to be made available under the 2019 Plan (a) the number and class of shares reserved for issuance under the 2019 Plan, (b) the exercise prices of and number and class of shares subject to outstanding options and SARs, and (c) the purchase prices of and/or number and class of shares subject to other outstanding awards will (to the extent appropriate) be proportionately adjusted, subject to any required action by the board of directors or the stockholders of the Company and compliance with applicable securities or other laws; provided, however, that fractions of a share will not be issued but will either be paid in cash at the fair market value of such fraction of a Share or will be rounded down to the nearest whole share, as determined by the compensation committee.

Exchange, repricing and buyout of awards. The compensation committee may, with the consent of the respective participants, issue new awards in exchange for the surrender and cancellation of any or all outstanding awards. The compensation committee may also, without prior stockholder approval, reprice, or reduce the exercise price, of options or buy an award previously granted with payment in cash, shares (including restricted stock) or other consideration, in each case, subject to the terms of the 2019 Plan.

Amendment; termination. Our 2019 Plan will terminate on the date that our 2025 Plan becomes effective. No termination or amendment of the 2019 Plan may affect any share previously issued or any then-outstanding award without the consent of the affected participant. Outstanding options may be terminated upon our dissolution or liquidation.

2025 Equity Incentive Plan

We intend to adopt the 2025 Plan that will become effective on the day prior to the date of the effectiveness of the registration statement for which this prospectus will form a part, and will serve as the successor to the 2019 Plan. The 2025 Plan authorizes the award of ISOs, NSOs, RSAs, SARs, RSUs, cash awards, performance awards and stock bonus awards. We have initially reserved    shares of our common stock, plus (a) any reserved

 

180


Table of Contents

shares not issued or subject to outstanding grants under the 2019 Plan on the effective date of the 2025 Plan, (b) shares that are subject to stock options or other awards granted under the 2019 Plan that cease to be subject to such stock options or other awards by forfeiture or otherwise after the effective date of the 2025 Plan; (c) shares issued under the 2019 Plan before or after the effective date of the 2025 Plan pursuant to the exercise of stock options that are, after the effective date, forfeited; (d) shares issued under the 2019 Plan that are repurchased by the Company at the original purchase price or are otherwise forfeited and (e) shares that are subject to stock options or other awards under the 2019 Plan that are used to pay the exercise price of a stock option or withheld to satisfy the withholding obligations related to any award, for issuance pursuant to awards granted under our 2025 Plan. The number of shares reserved for issuance under our 2025 Plan will increase automatically on January 1 each of 2026 through 2035 by the number of shares equal to the lesser of 5% of the sum of (a) the total number of outstanding shares of all classes of our common stock plus (b) the total number of shares of our common stock subject to pre-funded warrants (if any) and (c) the total number of shares of our common stock issuable upon conversion of preferred stock (if any), in each case as of the immediately preceding December 31, or a number as may be determined by our board of directors or our compensation committee.

In addition, the following shares will again be available for issuance pursuant to awards granted under our 2025 Plan: (a) shares subject to options or SARs granted under our 2025 Plan that cease to be subject to the option or SAR for any reason other than exercise of the option or SAR, (b) shares subject to awards granted under our 2025 Plan that are subsequently forfeited or repurchased by us at the original issue price, (c)shares subject to awards granted under our 2025 Plan that otherwise terminate without such shares being issued, (d) shares subject to awards granted under our 2025 Plan that are surrendered, cancelled or exchanged for cash or a different award (or combination thereof); and (e) shares used to pay the exercise price, or withheld to satisfy the tax withholding obligations related to an award, granted under our 2025 Plan.

Administration. Our 2025 Plan is expected to be administered by our compensation committee, all of the members of which are outside directors as defined under applicable law, or by our board of directors acting in place of our compensation committee. Subject to the terms and conditions of the 2025 Plan, the compensation committee will have the authority, among other things, to select the persons to whom awards may be granted, construe and interpret our 2025 Plan as well as to determine the terms of such awards and prescribe, amend and rescind the rules and regulations relating to the 2025 Plan or any award granted thereunder. Our 2025 Plan provides that the board of directors or compensation committee may delegate its authority, including the authority to grant awards, to one or more executive officers to the extent permitted by applicable law, provided that awards granted to non-employee directors may only be determined by our board of directors.

Types of awards; Eligibility. Our 2025 Plan provides for the grant of the awards described below to our employees, consultants, directors and non-employee directors. Pursuant to the 2025 Plan, ISOs may be granted only to our employees. We may grant all other types of awards to our employees, directors and consultants.

Options.  The 2025 Plan provides for the grant of ISOs and NQSOs. ISOs may be granted only to our employees or employees of our parent, subsidiaries and affiliates. NQSOs may be granted to eligible employees, consultants and directors or any of the foregoing of our parent, subsidiaries or affiliates. We are able to issue no more than      shares pursuant to the grant of ISOs under the 2025 Plan. The compensation committee determines the terms of each option award, provided that ISOs are subject to statutory limitations. The compensation committee also determines the exercise price for an option, provided that the exercise price of an option may not be less than the fair market value of our common stock on the date of grant (with certain additional requirements for certain ISOs).

Options granted under the 2025 Plan vest at the rate and/or subject to performance requirements specified by the compensation committee and such vesting schedule is set forth in the option agreement to which such

 

181


Table of Contents

option grant relates. The compensation committee determines the term of options granted under the 2025 Plan, up to a term of 10 years (with certain additional requirements for certain ISOs).

After the option holder ceases to provide services to us, he or she is able to exercise his or her vested option for the period of time stated in the stock option agreement to which such option relates. Generally, the vested option will remain exercisable for three months after an optionee’s cessation of service, except in the case of termination due to death, disability or termination for cause. An option may not be exercised later than its expiration date.

Restricted stock awards. An RSA is an offer by us to sell shares of our common stock subject to restrictions that the compensation committee may impose. These restrictions may be based on completion of a specified period of service with us or upon the achievement of performance goals during a performance period. The compensation committee determines the price of a restricted stock award. Unless otherwise set forth in the award agreement, vesting will cease on the date the participant no longer provides services to us, and at that time unvested shares will be forfeited to us or subject to repurchase by us.

Stock appreciation rights. A SAR provides for a payment, in cash or shares of our common stock (up to a specified maximum of shares, if determined by our compensation committee), to the holder based upon the difference between the fair market value of our common stock on the date of exercise and a predetermined exercise price, multiplied by the number of shares. The exercise price of a SAR must be at least the fair market value of a share of our common stock on the date of grant. SARs may vest based on service or achievement of performance conditions. The maximum term of a SAR granted under our 2025 Plan is ten years from the date of grant.

Restricted stock units. RSUs represent the right to receive shares of our common stock at a specified date in the future, subject to forfeiture of such right due to termination of employment or failure to achieve specified performance goals. If the RSUs have not been forfeited, then on the date specified in the award agreement we will deliver to the holder of the RSUs shares of our common stock, cash or a combination of our common stock and cash as specified in the applicable award agreement. The maximum term of an RSU granted under our 2025 Plan is ten years from the date of grant.

Performance awards.  A performance award is an award that is based upon the attainment of performance goals, as established by the compensation committee, and other terms and conditions specified by the compensation committee, and may be settled in cash, shares (which may consist of, without limitation, restricted stock), other property, or any combination thereof. These awards are subject to forfeiture because of termination of employment or failure to achieve the performance conditions.

Stock bonus awards.  A stock bonus is an award of shares of our common stock for past or future services to us. No payment from the participant is required. The compensation committee determines the number of shares to be issued as a stock bonus and any restrictions on those shares. These restrictions may be based on completion of a specified period of service with us or upon the achievement of performance goals during a performance period. Unless otherwise set forth in the award agreement, vesting ceases on the date the participant no longer provides services to us, and at that time unvested shares will be forfeited to us or are subject to repurchase by us. A stock bonus award provides for payment in the form of cash, shares of our common stock or a combination thereof, based on the fair market value of shares subject such award as determined by our compensation committee.

Cash awards. A cash award is an award that is denominated in, or payable to an eligible participant solely in, cash.

Dividend equivalents rights. Dividend equivalent rights may be granted at the discretion of our compensation committee, and represent the right to receive the value of dividends, if any, paid by us in respect of the number

 

182


Table of Contents

of shares of our common stock underlying an award. Dividend equivalent rights will be subject to the same vesting or performance conditions as the underlying award and will be paid only at such time as the underlying award has become vested. Dividend equivalent rights may be settled in cash, shares or other property, or a combination of thereof as determined by our compensation committee.

Change of control. Our 2025 Plan provides that, in the event of a “corporate transaction” (as defined in the 2025 Plan), outstanding awards under the 2025 Plan shall be subject to the agreement evidencing the corporate transaction, which need not treat all outstanding awards in an identical manner. Any or all outstanding awards (a) may be continued by the company, if we are the successor entity; (b) may be assumed or substituted by the successor corporation, or a parent or subsidiary of the successor corporation, for substantially equivalent awards (including, but not limited to, a payment in cash or the right to acquire the same consideration paid to our stockholders pursuant to the corporate transaction), in each case after taking into account appropriate adjustments for the number and kind of shares and exercise prices; (c) be made immediately vested (and exercisable, as applicable) and settled (as applicable), in whole or in part, followed by the cancellation of such awards upon or immediately prior to the effectiveness of such transaction; or (d) may be settled for their intrinsic value (whether or not then vested or exercisable) in cash, cash equivalents, or equity (including cash or equity subject to deferred vesting and delivery consistent with vesting restrictions applicable to such awards or the underlying shares) followed by the cancellation of such awards, provided however, that such awards may be cancelled without consideration if such awards have no value, as determined by the compensation committee, in its discretion, in each case without the participant’s consent. The successor corporation may also issue, as replacement of our outstanding shares held by a participant, substantially similar shares, or other property subject to repurchase restrictions no less favorable to the participant. In the event such successor corporation refuses to assume, substitute or replace any award in accordance with the 2025 Plan, then notwithstanding any other provision in the 2025 Plan to the contrary, each such award shall become fully vested and, as applicable, exercisable and any rights of repurchase or forfeiture restrictions thereon will lapse, immediately prior to the consummation of the corporate transaction. Awards subject to performance-based vesting that are not assumed pursuant to the foregoing shall be deemed earned and vested at 100% of target level, unless otherwise indicated pursuant to the terms and conditions of the applicable award agreement.

If an award vests in lieu of assumption or substitution in connection with a corporate transaction as provided above, the board of directors or the compensation committee will notify the holder of such award in writing or electronically that such award will be exercisable for a period of time determined by the board of directors or the compensation committee, in its sole discretion, and such award will terminate upon the expiration of such period without consideration. Any determinations by the board of directors or the compensation committee need not treat all outstanding awards in an identical manner, and shall be final and binding on each applicable participant.

The vesting of all awards granted to our non-employee directors under our 2025 Plan shall accelerate in full in the event of a corporate transaction.

Adjustment. In the event of a change in the number or class of outstanding shares of our common stock, without consideration, by reason of a stock dividend, extraordinary dividend or distribution (whether in cash, shares, or other property, other than a regular cash dividend), recapitalization, stock split, reverse stock split, subdivision, combination, consolidation, reclassification, spin-off or similar change in our capital structure, proportional adjustments will be made to the number and class of shares reserved for issuance under our 2025 Plan; the exercise prices, number and class of shares subject to outstanding options or SARs; the number and class of shares subject to other outstanding awards; and any applicable maximum award limits with respect to ISOs.

Exchange, repricing and buyout of awards. Without prior stockholder approval, our compensation committee may (a) reprice options or SARs (and where such repricing is a reduction in the exercise price, the consent of

 

183


Table of Contents

the affected Participants is not required) and (b) with the consent of the respective participants, pay cash or issue new awards in exchange for the surrender and cancellation of any or all outstanding awards.

Director compensation limits. No non-employee director may receive awards under our 2025 Plan in consideration for his or her service as a non-employee director with a grant date value that when combined with cash compensation received for his or her service as a non-employee director, exceeds $750,000 in a calendar year or $1,000,000 in the calendar year of his or her initial service as a non-employee director with us. Awards granted, or cash compensation paid, to an individual while he or she was serving in the capacity as an employee or in consideration of services as a consultant will not count for purposes of this limitation.

Clawback. All awards will be subject to clawback or recoupment pursuant to any compensation clawback or recoupment policy adopted by our board of directors (or a committee thereof) or required by law.

Transferability of Awards. Unless the compensation committee provides otherwise, the 2025 Plan does not allow for the transfer of awards, other than by will or the laws of descent and distribution, and generally only the recipient of an award may exercise it during his or her lifetime.

Foreign Award Recipients. In order to comply with the laws in other countries in which we and our subsidiaries and affiliates operate or have employees or other individuals eligible for awards, the compensation committee will have the power and authority to modify the terms and conditions of any award granted to individuals outside the United States to comply with applicable foreign laws, establish subplans and modify exercise procedures and other terms and procedures, and take any action that the compensation committee determines to be necessary or advisable to comply with any local governmental regulatory exemptions or approvals.

Amendment and termination. Our board of directors may amend our 2025 Plan at any time, subject to stockholder approval as may be required. Our 2025 Plan will terminate ten years from the date our board of directors adopts the 2025 Plan unless it is terminated earlier as provided by the terms of the 2025 Plan. No termination or amendment of the 2025 Plan may adversely affect any then-outstanding award without the consent of the affected participant, except as is necessary to comply with applicable law, regulation or rule, or as otherwise provided by the terms of the 2025 Plan.

2025 Employee Stock Purchase Plan

We intend to adopt our ESPP that will become effective on the date of the effectiveness of the registration statement of which this prospectus forms a part. Our ESPP will permit eligible employees to purchase shares of our common stock at a discount, using accumulated payroll deductions, beginning on a date to be determined by our board of directors or our compensation committee. Our ESPP is intended to qualify under Section 423 of the Code, provided that the compensation committee may adopt sub-plans under our ESPP designed to be outside of the scope of Section 423 of the Code for participants who are non-U.S. residents.

Shares available. We have initially reserved    shares of our common stock for sale under our ESPP. The aggregate number of shares reserved for sale under our ESPP will increase automatically on January 1st of each of 2026 through 2035 by the number of shares equal to 1% of the sum of (a) the total number of outstanding shares of all classes of our common stock plus (b) the total number of shares of our common stock subject to pre-funded warrants (if any) and (c) the total number of shares of our common stock issuable upon conversion of preferred stock (if any), in each case outstanding as of the immediately preceding December 31 (rounded to the nearest whole share); provided, that our board of directors or our compensation committee may in its sole discretion reduce the amount of the increase in any particular calendar year. The aggregate number of shares issued over the term of our ESPP, subject to stock-splits, recapitalizations or similar events, may not exceed    shares of our common stock.

 

184


Table of Contents

Administration. Our ESPP is expected to be administered by our compensation committee. Among other things, the administrator will have the authority to determine eligibility for participation in the ESPP, designate separate offerings under the ESPP, and construe, interpret and apply the terms of the ESPP.

Eligibility. Employees eligible to participate in any offering pursuant to the ESPP generally include any employee that is employed by us or certain of our designated subsidiaries at the beginning of the offering period. However, our compensation committee may exclude the following employees from the ESPP (other than where such exclusion is prohibited by applicable law): employees who do not meet eligibility requirements that the compensation committee may choose to impose (within the limits permitted by the Code); employees who are not employed by the company or a designated subsidiary prior to the beginning of an offering period or prior to such other time period as specified by the compensation committee, employees who have been employed for less than two years, employees who are customarily employed for 20 hours or less per week, or for five months or less in a calendar year, certain “highly compensated” employees as determined in accordance with applicable tax laws, or employees resident in a foreign jurisdiction whose participation is either prohibited under local law, or where compliance with local law would violate Section 423 of the Code, may not be eligible to participate in the ESPP or individuals who provide services to the company or any of its designated subsidiaries who are reclassified as common law employees for any reason except for federal income and employment tax purposes . In addition, any employee who owns (or is deemed to own as a result of attribution) 5% or more of the total combined voting power or value of all classes of our capital stock, or the capital stock of one of our qualifying subsidiaries, or who will own such amount as a result of participation in the ESPP, will not be eligible to participate in the ESPP.

Offerings. Under our ESPP, eligible employees will be offered the option to purchase shares of our common stock at a discount over a series of offering periods, which may be consecutive or overlapping, through accumulated payroll deductions over the period. Each offering period may itself consist of one or more purchase periods. No offering period may be longer than 27 months.

Participation. Participating employees will be able to purchase the offered shares of our common stock by accumulating funds through payroll deductions. Participants may select a rate of payroll deduction between 1% and 15% of their eligible compensation. A participant may not purchase more than 2,500 (or such greater or lesser number as the compensation committee may determine) shares during any one purchase period. A participant may not subscribe for more than $25,000 in fair market value of shares of our common stock (determined as of the date the offering period commences) in any calendar year in which the offering is in effect, however, the administrator, in its discretion, may set a lower maximum amount of shares which may be purchased.

The purchase price for shares of our common stock purchased under the ESPP will be 85% of the lesser of the fair market value of our common stock on (i) the first trading day of the applicable offering period or (ii) the last trading day of each purchase period in the applicable offering period.

Once an employee becomes a participant in an offering period, the participant will be automatically enrolled in each subsequent offering period at the same contribution level. To the extent applicable, if the fair market value of our common stock on the first day of the current offering period in which a participant is enrolled is higher than the fair market value of our common stock on the last day of any applicable purchase period, then (1) after completion of the purchase on the purchase date of such purchase period, we will automatically withdraw the participant from the current offering period and the participant will be automatically enrolled in the subsequent offering period and (2) any funds accumulated in a participant’s account prior to the first day of such subsequent offering period will be applied to the purchase of shares on the purchase date preceding the first day of such subsequent offering period. A participant may reduce his or her contribution in accordance with procedures set forth by the compensation committee and may withdraw from participation in the ESPP at

 

185


Table of Contents

any time prior the end of an offering period, or such other time as may be specified by the compensation committee. Upon withdrawal, the accumulated payroll deductions will be returned to the participant without interest.

Adjustments upon recapitalization. If the number of outstanding shares of our common stock is changed by stock dividend, recapitalization, stock split, reverse stock split, subdivision, combination, reclassification or similar change in our capital structure without consideration, then our compensation committee will proportionately adjust the number and class of common stock that is available under the ESPP, the purchase price and number of shares any participant has elected to purchase as well as the maximum number of shares which may be issued under the ESPP and which may be purchased by a participant.

Change of control.  In the event of a “corporate transaction” (as defined in the ESPP), each outstanding right to purchase common stock will be assumed or an equivalent option substituted by the successor corporation or a parent or a subsidiary of the successor corporation. In the event that the successor corporation refuses to assume or substitute for the purchase right, any offering period that commenced prior to the closing of the proposed change of control transaction will be shortened and terminated on a new purchase date. The new purchase date will occur on or prior to the closing of the proposed corporate transaction, and our ESPP will then terminate on the closing of the corporate transaction.

Transferability. A participant may not assign, transfer, pledge or otherwise dispose of payroll deductions credited to his or her account, or any rights with regard to an election to purchase shares pursuant to the ESPP other than by will or the laws of descent or distribution.

Amendment; Termination. The administrator may amend, suspend or terminate the ESPP at any time without stockholder consent, except to the extent such amendment would increase the number of shares available for issuance under our ESPP, change the class or designation of employees eligible for participation in the ESPP or otherwise as required by law. If our ESPP is terminated, the compensation committee may elect to terminate all outstanding offering periods immediately, upon the next purchase date (which may be sooner than originally scheduled) or upon the last day of such offering period. If any offering period is terminated prior to its scheduled completion, all amounts credited to participants which have not been used to purchase shares will be returned to participants as soon as administratively practicable. Our ESPP will continue until the earlier to occur of (a) termination of the ESPP by our board of directors, (b) issuance of all of the shares reserved for issuance under the ESPP, or (c) the tenth anniversary of the effective date under the ESPP.

401(k) plan

We sponsor a retirement savings plan that is intended to qualify for favorable tax treatment under Section 401(a) of the Code and contains a cash or deferred feature that is intended to meet the requirements of Section 401(k) of the Code. Participants may make pre-tax and certain after-tax (Roth) salary deferral contributions to the 401(k) plan from their eligible earnings up to the statutorily prescribed annual limit under the Code. Participants who are projected to reach 50 years of age or older during a calendar year may contribute additional amounts based on the statutory limits for catch-up contributions. Participant contributions are held in trust as required by law. Currently, we match each participant’s contribution up to a safe harbor maximum of 3% of his or her eligible compensation, not to exceed $3,000 per plan year, with participants vesting immediately and fully in such matching contributions.

Other benefits

Our named executive officers are eligible to participate in our employee benefit plans on the same basis as our other employees, including our health and welfare plans.

 

186


Table of Contents

Limitations on liability and indemnification matters

Our restated certificate of incorporation that will become effective in connection with the completion of this offering contains provisions that limit the liability of our directors and officers for monetary damages to the fullest extent permitted by the Delaware General Corporation Law, or DGCL. Consequently, our directors and officers will not be personally liable to us or our stockholders for monetary damages for any breach of fiduciary duties as directors or officers, except liability for:

 

 

any breach of the director’s or officer’s duty of loyalty to us or our stockholders;

 

 

any act or omission not in good faith or that involves intentional misconduct or a knowing violation of law;

 

 

with respect to directors, unlawful payments of dividends or unlawful stock repurchases or redemptions as provided in Section 174 of the DGCL; or

 

 

any transaction from which the director derived an improper personal benefit.

Our restated certificate of incorporation and our restated bylaws that will become effective in connection with the completion of this offering require us to indemnify our directors and officers to the maximum extent not prohibited by the DGCL and allow us to indemnify other employees and agents as set forth in the DGCL. Subject to certain limitations, our restated bylaws will also require us to advance expenses incurred by our directors and officers for the defense of any action for which indemnification is required or permitted, subject to very limited exceptions.

We have entered, and intend to continue to enter, into separate indemnification agreements with our directors, executive officers and certain of our key employees, in addition to the indemnification provided for in our restated certificate of incorporation and restated bylaws. These agreements, among other things, require us to indemnify our directors, officers and key employees for certain expenses, including attorneys’ fees, judgments, penalties, fines and settlement amounts actually incurred by these individuals in any action or proceeding arising out of their service to us or any of our subsidiaries or any other company or enterprise to which these individuals provide services at our request. Subject to certain limitations, our indemnification agreements also require us to advance expenses incurred by our directors, officers and key employees for the defense of any action for which indemnification is required or permitted.

We believe that these indemnification provisions and agreements are necessary to attract and retain qualified directors, officers and key employees. We also maintain directors’ and officers’ liability insurance.

The limitation of liability and indemnification provisions in our restated certificate of incorporation and restated bylaws may discourage stockholders from bringing a lawsuit against our directors and officers for breach of their fiduciary duty. They may also reduce the likelihood of derivative litigation against our directors and officers, even though an action, if successful, might benefit us and other stockholders. Further, a stockholder’s investment may be adversely affected to the extent that we pay the costs of settlement and damage awards against directors and executive officers as required by these indemnification provisions.

At present, there is no pending litigation or proceeding involving any of our directors or executive officers as to which indemnification is required or permitted, and we are not aware of any threatened litigation or proceeding that may result in a claim for indemnification.

Insofar as indemnification for liabilities arising under the Securities Act may be permitted to directors, officers or persons controlling us, we have been informed that, in the opinion of the SEC, such indemnification is against public policy as expressed in the Securities Act and is therefore unenforceable.

 

187


Table of Contents

Certain relationships and related party transactions

In addition to the compensation arrangements, including any employment, termination of employment and change in control arrangements, with our directors and executive officers, including those discussed in the sections entitled “Management” and “Executive compensation,” the following is a description of each transaction since January 1, 2022 and each currently proposed transaction in which:

 

 

we have been or are to be a participant;

 

 

the amounts involved exceeded or will exceed the lesser of $120,000 and 1.0% of our average total assets at year-end for the prior two completed fiscal years; and

 

 

any of our directors, executive officers or holders of more than 5.0% of our capital stock, or an affiliate or immediate family member of the foregoing persons, had or will have a direct or indirect material interest.

Other than as described below, there have not been, nor are there any currently proposed, transactions or series of similar transactions to which we have been or will be a party other than compensation arrangements, which are described where required under the section entitled “Executive compensation.”

Series C Preferred Stock financing

From December 2021 through March 2022, we sold an aggregate of 40,866,704 shares of our Series C Preferred Stock, at a price per share of $2.9515 for total gross proceeds of $120.6 million. Each share of our Series C Preferred Stock will automatically convert into 1.1791 shares of our common stock immediately prior to the completion of this offering. Pursuant to the IRA, holders of our Series C Preferred Stock are entitled to certain registration rights. See the section entitled “Description of capital stock—Registration rights” for additional information.

The following table summarizes the Series C Preferred Stock purchased by members of our board of directors or their affiliates and holders of more than 5% of our outstanding capital stock. The terms of these purchases were the same for all purchasers of our Series C Preferred Stock. Please refer to the section entitled “Principal stockholders” for additional information regarding the shares held by these entities.

 

     
Name of stockholder    Shares of
Series C
Preferred
Stock
    

Total cash
purchase

price($)

 

Matrix Capital Management Master Fund, L.P.(1)

     20,328,646      $ 59,999,998.67  

Charles Homcy, M.D(2)

     169,405      $ 499,998.86  

 

 

 

(1)   Consists of shares purchased by Matrix Capital Management Master Fund, L.P. which holds more than 5% of our outstanding capital stock. Alan Colowick, M.D., M.P.H., a member of our board of directors, is affiliated with Matrix Capital Management Master Fund, L.P.

 

(2)   Consists of shares purchased by Charles Homcy, M.D., a member of our board of directors.

Convertible promissory notes financing

From December 2023 through April 2024, we sold $40.7 million aggregate principal amount of our convertible promissory notes to certain purchasers in a private placement. The notes bear interest at a rate of 8% per annum, compounded annually. The convertible promissory notes were cancelled and converted into Series D-1 Preferred Stock as described below.

The following table summarizes the notes purchased by members of our board of directors or their affiliates and holders of more than 5% of our outstanding capital stock. The terms of these purchases were the same for

 

188


Table of Contents

all purchasers of the notes. Please refer to the section entitled “Principal stockholders” for additional information regarding the shares held by these entities.

 

   
Name of stockholder    Aggregate
principal amount
of notes
purchased ($)
 

Entities affiliated with ARCH Ventures(1)

   $ 5,000,000.00  

Affiliates of Third Rock Ventures(2).

   $ 10,000,000.00  

Entity affiliated with GV(3)

   $ 2,500,000.00  

Entities affiliated with Charles Homcy, M.D.(4)

   $ 75,000.00  

 

 

 

(1)   Consists of notes purchased by ARCH Venture Fund X, L.P. and ARCH Venture Fund X Overage, L.P. ARCH Ventures holds more than 5% of our outstanding capital stock. Jonathan Lim, M.D., a member of our board of directors, is affiliated with ARCH Ventures.

 

(2)   Consists of notes purchased by Third Rock Ventures IV, L.P. Entities affiliated with Third Rock Ventures hold more than 5% of our outstanding capital stock. Charles Homcy, M.D. and Jeffrey Tong, Ph.D., each a member of our board of directors, are affiliated with Third Rock Ventures.

 

(3)   Consists of notes purchased by GV 2023, L.P. which, together with its affiliate GV 2019, L.P., holds more than 5% of our outstanding capital stock. Richard Scheller, Ph.D., a member of our board of directors, is affiliated with GV 2019, L.P. and GV 2023, L.P.

 

(4)   Consists of notes purchased by Charles J. Homcy Revocable Trust UA 11/4/1998, of which Charles Homcy, M.D., a member of our board of directors, is the trustee.

Series D Preferred Stock and Series D-1 Preferred Stock financing

In November 2024, we sold an aggregate of 54,394,445 shares of our Series D Preferred Stock, at a price per share of $1.3792 for total gross proceeds of $75.0 million and issued an aggregate of 39,395,572 shares of our Series D-1 Preferred Stock in exchange for the conversion and cancellation of the $40.7 million aggregate principal amount, plus $2.7 million of accrued interest, of outstanding convertible promissory notes, or the Series D Preferred Stock Financing. Each share of our Series D Preferred Stock and Series D-1 Preferred Stock will automatically convert into one share of our common stock immediately prior to the completion of this offering. Pursuant to the IRA, holders of our Series D Preferred Stock and Series D-1 Preferred Stock are entitled to certain registration rights.

The following table summarizes the Series D Preferred Stock and Series D-1 Preferred Stock purchased by members of our board of directors or their affiliates and holders of more than 5% of our outstanding capital stock. The terms of these purchases were the same for all purchasers of our Series D Preferred Stock and Series D-1 Preferred Stock. Please refer to the section entitled “Principal stockholders” for additional information regarding the shares held by these entities.

 

         
Name of stockholder    Shares of
Series D
Preferred
Stock
     Shares of
Series D-1
Preferred
Stock
     Total cash
purchase price
     Aggregate
principal amount
of notes
converted to
Series D-1
Preferred Stock
 

Entities affiliated with ARCH Ventures (1)

            4,861,362             $ 5,000,000.00  

Affiliates of Third Rock Ventures (2)

            9,725,709             $ 10,000,000.00  

Entity affiliated with GV (3)

     3,390,972        2,437,634      $ 4,676,828.59      $ 2,500,000.00  

Entities affiliated with Charles Homcy, M.D. (4)

            71,564             $ 75,000.00  

Entities affiliated with Frazier Life Sciences (5)

     15,731,923             $ 21,697,468.21         

Entities affiliated with Foresite Capital Fund IV, L.P. (6)

     2,072,261        9,573,745      $ 2,858,062.38      $ 10,563,287.67  
                                     

 

189


Table of Contents
(1)   Consists of shares of Series D-1 Preferred Stock issued upon the conversion of notes purchased by ARCH Venture Fund X, L.P. and ARCH Venture Fund X Overage, L.P. ARCH Ventures holds more than 5% of our outstanding capital stock. Jonathan Lim, M.D., a member of our board of directors, is affiliated with ARCH Ventures.

 

(2)   Consists of shares of Series D-1 Preferred Stock issued upon the conversion of notes purchased by Third Rock Ventures IV, L.P. Entities affiliated with Third Rock Ventures hold more than 5% of our outstanding capital stock. Charles Homcy, M.D. and Jeffrey Tong, Ph.D., each a member of our board of directors, are affiliated with Third Rock Ventures.

 

(3)   Consists of shares of Series D-1 Preferred Stock issued upon the conversion of notes purchased by GV 2023, L.P. and shares purchased by GV 2023, L.P., which, together with its affiliate GV 2019, L.P., holds more than 5% of our outstanding capital stock. Richard Scheller, Ph.D., a member of our board of directors, is affiliated with GV 2019, L.P. and GV 2023, L.P.

 

(4)   Consists of shares of Series D-1 Preferred Stock issued upon the conversion of notes purchased by Charles J. Homcy Revocable Trust UA 11/4/1998, of which Charles Homcy, M.D., a member of our board of directors, is the trustee.

 

(5)   Consists of shares purchased by Frazier Life Sciences Public Fund, L.P. and Frazier Life Sciences Public Overage Fund, L.P. Jamie Brush, M.D., a member of our board of directors, is affiliated with Frazier Life Sciences.

 

(6)   Consists of shares purchased by Foresite Capital Fund IV, L.P. and Foresite Capital Fund V, L.P., which as of such financing, held more than 5% of our outstanding capital stock.

Consulting agreement with Charles Homcy, M.D.

In November 2019, we entered into a consulting agreement with Charles Homcy, M.D., a member of our board of directors, for consulting services after receiving the unanimous written consent of the disinterested directors. Pursuant to the consulting agreement, we make payments of $240,000 per year to Dr. Homcy for such consulting services, payable monthly in arrears. In April 2024, Dr. Homcy was granted an option to purchase 450,000 shares of our common stock as additional consideration for his consulting services, which vest monthly over the three-year period starting March 1, 2024, subject to Dr. Homcy’s continued provision of services to the Company. In addition, in December 2024, Dr. Homcy was granted an additional option to purchase 440,000 shares of our common stock as additional consideration for his consulting services, which vest monthly over the three-year period starting December 1, 2024, subject to Dr. Homcy’s continued provision of services to the Company.

Advisor agreement with Richard Scheller, Ph.D.

In July 2021, we entered into an advisor agreement with Richard Scheller, Ph.D., a member of our board of directors, for advisory services after receiving the unanimous written consent of the disinterested directors. Pursuant to the advisor agreement, we make payments of $60,000 per year for such advisory services, payable monthly in arrears. In addition, pursuant to the advisor agreement, we granted Dr. Scheller an option to purchase 78,185 shares of our common stock under the 2019 Plan, which vested monthly over the one-year period immediately following the date of grant.

Investors’ rights agreement

We entered into the IRA with certain holders of our redeemable convertible preferred stock, including entities with which certain of our directors are affiliated and who hold more than 5% of our outstanding capital stock. These stockholders are entitled to rights with respect to the registration of their shares under the Securities Act following this offering. See the section entitled “Description of capital stock—Registration rights” for additional information.

Indemnification agreements

In connection with this offering, we intend to enter into new indemnification agreements with each of our directors and executive officers. The indemnification agreements, our restated certificate of incorporation and our restated bylaws will require us to indemnify our directors to the fullest extent not prohibited by Delaware law. Subject to certain limitations, our restated bylaws also require us to advance expenses incurred by our directors and executive officers. See the section entitled “Executive compensation—Limitations on liability and indemnification matters” for additional information.

 

190


Table of Contents

Policies and procedures for related party transactions

In connection with this offering, we intend to adopt a written related person transactions policy that provides that our executive officers, directors, nominees for election as a director, beneficial owners of more than 5% of our common stock, and any members of the immediate family of and any entity affiliated with any of the foregoing persons, are not permitted to enter into a material related person transaction with us without the review and approval of our audit committee, or a committee composed solely of independent directors in the event it is inappropriate for our audit committee to review such transaction due to a conflict of interest. We expect the policy to provide that any request for us to enter into a transaction with an executive officer, director, nominee for election as a director, beneficial owner of more than 5% of our common stock or with any of their immediate family members or affiliates in which the amount involved exceeds the lesser of $120,000 and 1.0% of our total assets will be presented to our audit committee (or the committee composed solely of independent directors, if applicable) for review, consideration and approval. In approving or rejecting any such proposal, we expect that our audit committee (or the committee composed solely of independent directors, if applicable) will consider the relevant facts and circumstances available and deemed relevant to the audit committee (or the committee composed solely of independent directors, if applicable), including, but not limited to, whether the transaction is on terms no less favorable than terms generally available to an unaffiliated third party under the same or similar circumstances and the extent of the related person’s interest in the transaction.

 

191


Table of Contents

Principal stockholders

The following table and accompanying footnotes set forth certain information with respect to the beneficial ownership of shares of our common stock as of November 30, 2024, and as adjusted to reflect the shares of our common stock to be issued and sold in this offering, for:

 

 

each of our directors and director nominees;

 

 

each of our named executive officers;

 

 

all of our current directors, director nominees and executive officers as a group; and

 

 

each person, or group of affiliated persons, known by us to be the beneficial owner of more than 5% of the outstanding shares of our common stock.

We have determined beneficial ownership in accordance with the rules of the SEC. Except as indicated by the footnotes below, to our knowledge, the persons and entities named in the table below have sole voting and sole investment power with respect to all shares of our common stock that they beneficially owned, subject to applicable community property laws.

Beneficial ownership prior to this offering is based on 337,751,170 shares of our common stock outstanding as of November 30, 2024, assuming the automatic conversion of all outstanding shares of our redeemable convertible preferred stock into 314,170,263 shares of our common stock immediately prior to the completion of this offering. Beneficial ownership after this offering is based on     shares of our common stock outstanding, assuming the automatic conversion of all outstanding shares of our redeemable convertible preferred stock into shares of our common stock outstanding as described above, and     shares of our common stock issued by us in this offering, assuming that the underwriters do not exercise their option to purchase up to an additional    shares of our common stock from us in part or in full. In computing the number of shares of common stock beneficially owned by a person and the percentage ownership of that person, we deemed to be outstanding all shares of our common stock subject to stock options held by that person or entity that are currently exercisable or that will become exercisable within 60 days of November 30, 2024. We did not deem these shares outstanding, however, for the purpose of computing the percentage ownership of any other person.

Unless otherwise indicated, the address of each beneficial owner listed in the table below is c/o Maze Therapeutics, Inc., 171 Oyster Point Blvd., Suite 300, South San Francisco, California 94080.

 

     
     Number of
shares
beneficially
owned
     Percentage of
shares
beneficially
owned (%)
 
Name of beneficial owner    Before
offering
     After
offering
     Before
offering
     After
offering
 

Directors and named executive officers:

           

Jason Coloma, Ph.D.(1)

     12,217,750           3.5%     

Harold Bernstein, M.D., Ph.D(2)

     2,153,020           *     

Courtney Phillips

                   

Charles Homcy, M.D.(3)

     1,564,832           *     

Nancy C. Andrews, M.D., Ph.D.(4)

     233,611           *     

Jamie Brush, M.D.(5)

     15,731,923           4.7%     

Sekar Kathiresan, M.D.(6)

     1,183,333           *     

 

 

 

192


Table of Contents
     
     Number of
shares
beneficially
owned
     Percentage of
shares
beneficially
owned (%)
 
Name of beneficial owner    Before
offering
     After
offering
     Before
offering
     After
offering
 

Jonathan Lim, M.D.(7)

     3,202,628           1.0%     

Richard Scheller, Ph.D.(8)

     311,796           *     

Catherine Angell Sohn, Pharm. D.(9)

     233,611           *     

Daniel Spiegelman(10)

     233,611           *     

Jeffrey Tong, Ph.D.(11)

                   

Alan Colowick, M.D., M.P.H.(12)

                   

Neil Exter(13)

                   

All executive officers, directors and nominees as a group (15 persons)

     38,967,676           11.1%     

Other 5% stockholders:

           

Entities affiliated with ARCH Venture Partners and related entities(14)

     39,721,462           11.8%     

Entities affiliated with GV(15)

     23,258,658           6.9%     

Entities affiliated with Third Rock Ventures(16)

     67,725,709           20.1%     

Matrix Capital Management Master Fund, L.P.(17)

     23,969,318           7.1%     

Entities affiliated with Foresite Capital Fund IV, L.P.(18)

     22,483,902           6.7%     

 

 

 

*   Represents beneficial ownership of less than one percent.

 

(1)   Represents (i) 3,991,500 shares of common stock, and (ii) 8,226,250 shares underlying options to purchase common stock that are exercisable within 60 days of November 30, 2024.

 

(2)   Represents 2,153,020 shares underlying options to purchase common stock that are exercisable within 60 days of November 30, 2024.

 

(3)   Represents (i) 631,221 shares of common stock, and (ii) 933,611 shares underlying options to purchase common stock that are exercisable within 60 days of November 30, 2024. Dr. Homcy, chair of our board of directors, was a partner of Third Rock Ventures, LLC, an affiliate of Third Rock Ventures IV, L.P. and Third Rock Ventures V, L.P., until October 2019 and now serves in an advisory capacity. Dr. Homcy does not have voting or dispositive power over the shares held by Third Rock Ventures IV, L.P. and Third Rock Ventures V, L.P. See note (16) below for more information regarding Third Rock Ventures IV, L.P. and Third Rock Ventures V, L.P.

 

(4)   Represents 233,611 shares underlying options to purchase common stock that are exercisable within 60 days of November 30, 2024.

 

(5)   Dr. Brush, a member of our board of directors, is a General Partner of Frazier Life Sciences, and shares voting and investment power over the shares held by Frazier Life Sciences Public Fund, L.P. and Frazier Life Sciences Public Overage Fund, L.P. Dr. Brush disclaims beneficial ownership of the shares held by Frazier Life Sciences Public Fund, L.P. and Frazier Life Sciences Public Overage Fund, L.P. except to the extent of his pecuniary interests in such shares, if any.

 

(6)   Represents (i) 1,000,000 shares of common stock and (ii) 183,333 shares underlying options to purchase common stock that are exercisable within 60 days of November 30, 2024.

 

(7)   Represents (i) 200,000 shares of common stock, (ii) 2,969,017 shares of common stock held by City Hill, LLC, and (iii) 33,611 shares underlying options to purchase common stock that are exercisable within 60 days of November 30, 2024. Dr. Lim, a member of our board of directors, is Managing Partner and Founder of City Hill, LLC and is a venture partner at ARCH Venture Partners, LLC, an affiliate of ARCH Venture Fund X, L.P. and ARCH Venture Fund X Overage, L.P. Dr. Lim does not have voting or dispositive power over the shares held by ARCH Venture Fund X, L.P. and ARCH Venture Fund X Overage, L.P. See note (14) below for more information regarding ARCH Venture Fund X, L.P. and ARCH Venture Fund X Overage, L.P.

 

(8)   Represents (i) 200,000 shares of common stock and (ii) 111,796 shares underlying options to purchase common stock that are exercisable within 60 days of November 30, 2024. Dr. Scheller, a member of our board of directors, is an advisor at GV, an affiliate of GV 2019, L.P. and GV 2023, L.P. Dr. Scheller does not have voting or dispositive power over the shares held by GV 2019, L.P. and GV 2023, L.P. See note (15) below for more information regarding GV 2019, L.P. and GV 2023, L.P.

 

(9)   Represents 233,611 shares underlying options to purchase common stock that are exercisable within 60 days of November 30, 2024.

 

(10)   Represents 233,611 shares underlying options to purchase common stock that are exercisable within 60 days of November 30, 2024.

 

(11)   Dr. Tong, a member of our board of directors, is a partner of Third Rock Ventures, an affiliate of Third Rock Ventures IV, L.P. Dr. Tong does not have voting or dispositive power over the shares held by Third Rock Ventures IV, L.P. and Third Rock Ventures V, L.P. See note (16) below for more information regarding Third Rock Ventures IV, L.P. and Third Rock Ventures V, L.P.

 

193


Table of Contents
(12)   Mr. Colowick, a member of our board of directors, is a principal at Matrix Capital Management LP. Mr. Colowick does not have voting or dispositive power over the shares held by Matrix Capital Management Master Fund, L.P. See note (17) below for more information regarding Matrix Capital Management Master Fund, L.P.

 

(13)   Mr. Exter has been appointed to serve as a member of our board of directors effective upon the completion of this offering. Mr. Exter is a partner of Third Rock Ventures, LLC, an affiliate of Third Rock Ventures IV, L.P. and Third Rock Ventures V, L.P. Mr. Exter does not have voting or dispositive power over the shares held by Third Rock Ventures IV, L.P. and Third Rock Ventures V, L.P. See note (16) below for more information regarding Third Rock Ventures IV, L.P. and Third Rock Ventures V, L.P.

 

(14)   Represents 18,799,295 shares held of record by ARCH Venture Fund X, L.P., or ARCH X, and 20,922,167 shares held of record by ARCH Venture Fund X Overage, L.P., or ARCH X Overage. ARCH Venture Partners X, L.P., or AVP X LP, is the sole general partner of ARCH X. ARCH Venture Partners X Overage, L.P., or AVP X Overage LP, is the sole general partner of ARCH X Overage. ARCH Venture Partners X, LLC, or AVP X LLC, is the sole general partner of each of AVP X LP and AVP X Overage LP. Keith Crandell, Kristina Burow, Steven Gillis, and Robert Nelsen, collectively the AVP X Committee Members, comprise the investment committee of AVP X LLC. AVP X LP and AVP X Overage LP may be deemed to beneficially own the shares held by ARCH X and ARCH X Overage, respectively, AVP X LLC may be deemed to beneficially own the shares held by ARCH X and ARCH X Overage, and each of the AVP X Committee Members may be deemed to share the power to direct the disposition and vote of the shares held by ARCH X and ARCH X Overage. Each of AVP X LP, AVP X Overage LP, AVP X LLC, and the AVP X Committee Members disclaims beneficial ownership except to any pecuniary interest therein. The address of the ARCH Venture Partners entities is 8755 W. Higgins Road, Suite 1025, Chicago, IL 60631.

 

(15)   Represents 17,430,052 shares held of record by GV 2019, L.P. and 5,828,606 shares held of record by GV 2023, L.P. GV 2019 GP, L.P. (the general partner of GV 2019, L.P.), GV 2019 GP, L.L.C. (the general partner of GV 2019 GP, L.P.), Alphabet Holdings LLC (the sole member of GV 2019 GP, L.L.C.), XXVI Holdings Inc. (the sole member of Alphabet Holdings LLC), and Alphabet Inc. (the controlling stockholder of XXVI Holdings Inc.) may be deemed to share power to vote or dispose of the shares held directly by GV 2019, L.P. GV 2023 GP, L.P. (the general partner of GV 2023, L.P.), GV 2023 GP, L.L.C., (the general partner of GV 2023 GP, L.P.), Alphabet Holdings LLC (the sole member of GV 2023 GP, L.L.C.), XXVI Holdings Inc. (the sole member of Alphabet Holdings LLC), and Alphabet Inc. (the controlling stockholder of XXVI Holdings Inc.) may be deemed to share power to vote or dispose of the shares held directly by GV 2023, L.P. The principal business address of each of the entities listed above is 1600 Amphitheatre Parkway, Mountain View, California 94043.

 

(16)   Represents 58,559,043 shares held of record by Third Rock Ventures IV, L.P. and 9,166,666 shares held of record by Third Rock Ventures V, L.P. The general partner of Third Rock Ventures IV, L.P. is Third Rock Ventures GP IV, L.P. The general partner of Third Rock Ventures GP IV, L.P. is TRV GP IV, LLC. Neil Exter, Kevin Gillis, Reid Huber, Ph.D., Jeffrey Tong, Ph.D., Abbie Celniker, Ph.D., Robert Tepper, M.D. and Cary Pfeffer, M.D. are the managing members of TRV GP IV, LLC who collectively make voting and investment decisions with respect to shares held by Third Rock Ventures IV, L.P. The general partner of Third Rock Ventures V, L.P. is Third Rock Ventures GP V, L.P. The general partner of Third Rock Ventures GP V, L.P. is TRV GP V, LLC. Neil Exter, Kevin Gillis, Reid Huber, Ph.D., Jeffrey Tong, Ph.D., Abbie Celniker, Ph.D., Robert Tepper, M.D. and Cary Pfeffer, M.D. are the managing members of TRV GP V, LLC who collectively make voting and investment decisions with respect to shares held by Third Rock Ventures V, L.P. Dr. Homcy, chair of our board of directors, was a partner of Third Rock Ventures, LLC, an affiliate of Third Rock Ventures IV, L.P. and Third Rock Ventures V, L.P., until October 2019 and now serves in an advisory capacity. Dr. Tong, a member of our board of directors, is a partner of Third Rock Ventures, LLC. Neither Dr. Homcy nor Dr. Tong has voting or dispositive power over the shares held by Third Rock Ventures IV, L.P. and Third Rock Ventures V, L.P. The address for each of Third Rock Ventures IV, L.P. and Third Rock Ventures V, L.P. is 201 Brookline Avenue, Suite 1401, Boston, MA 02215.

 

(17)   Represents 23,969,318 shares held directly by Matrix Capital Management Master Fund, L.P., or the Matrix Fund. Matrix Capital Management Company L.P., or the Investment Manager, a Delaware limited partnership, serves as the investment advisor to the Matrix Fund with respect to the shares directly held by the Matrix Fund. David E. Goel serves as the Managing General Partner of the Investment Manager, and may be deemed to hold voting and dispositive power with respect to the shares directly held by the Matrix Fund. The business address for each of the Matrix Fund, the Investment Manager and Mr. Goel is c/o Matrix Capital Management Company L.P., Bay Colony Corporate Center, 1000 Winter Street, Suite 4500, Waltham, Massachusetts 02451.

 

(18)   Represents 20,361,032 shares held by Foresite Capital Fund IV, L.P., or Foresite IV, and 2,122,870 shares held by Foresite Capital Fund V, L.P., or Foresite V. Foresite Capital Management IV, LLC, or FCM IV, is the general partner of Foresite IV and may be deemed to have sole voting and dispositive power over shares held by Foresite IV. Foresite Capital Management V, LLC, or FCM V, is the general partner of Foresite V and may be deemed to have sole voting and dispositive power over shares held by Foresite V. Each of FCM IV and FCM V disclaims beneficial ownership of shares held by Foresite IV and Foresite V except to the extent of any pecuniary interest therein. The address of Foresite IV, Foresite V, FCM IV and FCM V is 900 Larkspur Landing Circle, Suite 150, Larkspur, CA 94939.

 

194


Table of Contents

Description of capital stock

The following description summarizes the most important terms of our capital stock, as will be in effect following this offering. Because it is only a summary, it does not contain all the information that may be important to you. We expect to adopt a restated certificate of incorporation and restated bylaws that will become effective upon the completion of this offering, and this description summarizes provisions that are expected to be included in these documents. For a complete description, you should refer to our restated certificate of incorporation and restated bylaws, which are included as exhibits to the registration statement of which this prospectus forms a part, and to the applicable provisions of Delaware law.

General

Upon the completion of this offering, our authorized capital stock will consist of    shares of our common stock, $0.001 par value per share, and    shares of our undesignated preferred stock, $0.001 par value per share.

Pursuant to the provisions of our current certificate of incorporation, all of our Series A Preferred Stock, Series B Preferred Stock, Series C Preferred Stock, Series D Preferred Stock and Series D-1 Preferred Stock will automatically convert into common stock in connection with the completion of this offering. Our Series A Preferred Stock will convert at a ratio of    , our Series B Preferred Stock will convert at a ratio of    , our Series C Preferred Stock will convert at a ratio of     , our Series D Preferred Stock will convert at a ratio of     , and our Series D-1 Preferred Stock will convert at a ratio of     . Assuming the effectiveness of this conversion, there were    shares of our common stock issued, held by approximately    stockholders of record, and no shares of our redeemable convertible preferred stock outstanding. Our board of directors is authorized, without stockholder approval, to issue additional shares of our capital stock.

Common stock

Dividend rights

Subject to preferences that may apply to any shares of preferred stock outstanding at the time, the holders of our common stock are entitled to receive dividends out of funds legally available if our board of directors, in its discretion, determines to issue dividends and then only at the times and in the amounts that our board of directors may determine. See the section entitled “Dividend policy” for additional information.

Voting rights

Holders of our common stock are entitled to one vote for each share held on all matters submitted to a vote of stockholders. We have not provided for cumulative voting for the election of directors in our restated certificate of incorporation, which means that holders of a majority of the shares of our common stock will be able to elect all of our directors. Our restated certificate of incorporation will establish a classified board of directors, to be divided into three classes with staggered three-year terms. Only one class of directors will be elected at each annual meeting of our stockholders, with the other classes continuing for the remainder of their respective three-year terms.

No preemptive or similar rights

Our common stock is not entitled to preemptive rights, and is not subject to conversion, redemption or sinking fund provisions.

 

195


Table of Contents

Right to receive liquidation distributions

Upon our liquidation, dissolution or winding-up, the assets legally available for distribution to our stockholders would be distributable ratably among the holders of our common stock and any participating preferred stock outstanding at that time, subject to prior satisfaction of all outstanding debt and liabilities and the preferential rights of and the payment of liquidation preferences, if any, on any outstanding shares our of preferred stock.

Preferred stock

After the completion of this offering, no shares of our preferred stock will be outstanding. Pursuant to our restated certificate of incorporation that will become effective immediately prior to the completion of this offering, our board of directors will be authorized, subject to limitations prescribed by Delaware law, to issue preferred stock in one or more series, to establish from time to time the number of shares to be included in each series and to fix the designation, powers, preferences and rights of the shares of each series and any of their qualifications, limitations or restrictions, in each case without further vote or action by our stockholders. Our board of directors will also be able to increase or decrease the number of shares of any series of preferred stock, but not below the number of shares of that series then outstanding and not above the number of shares of that series authorized, without any further vote or action by our stockholders. Our board of directors may authorize the issuance of preferred stock with voting or conversion rights that could adversely affect the voting power or other rights of the holders of our common stock. The issuance of preferred stock, while providing flexibility in connection with possible acquisitions and other corporate purposes, could, among other things, have the effect of delaying, deferring or preventing a change in control of our company and might adversely affect the market price of our common stock and the voting and other rights of the holders of our common stock. We have no current plan to issue any shares of preferred stock.

Stock options

As of September 30, 2024, we had outstanding options to purchase an aggregate of 36,421,972 shares of our common stock, with a weighted-average exercise price of $1.09 per share under our 2019 Plan, which includes adjustments related to our repricing of outstanding stock options in December 2024.

Registration rights

Pursuant to the terms of the IRA, immediately following this offering, the holders of    shares of our common stock will be entitled to rights with respect to the registration of these shares under the Securities Act as described below. We refer to these shares collectively as registrable securities.

Demand registration rights

Beginning from the earlier of December 8, 2026 or six months after the completion of this offering, certain holders of not less than 25% of the then-outstanding registrable securities may make a request to us for the registration under the Securities Act of at least 25% of the registrable securities then outstanding if the anticipated aggregate offering price is at least $60.0 million. Within ten days after the date such request is given, we are obligated to provide notice of such request to all holders of registrable securities and, as soon as practicable and in any event within 60 days after the date such request is given, to file a Form S-1 registration statement under the Securities Act covering all registrable securities that the initiating holders requested to be registered and any additional registrable securities requested to be included in such registration by any other holders. We are only required to file two registration statements that are declared effective upon exercise of these demand registration rights. We may postpone taking action with respect to such filing not more than once during any 12-month period for a total period of not more than 120 days, if after receiving a request for

 

196


Table of Contents

registration, we furnish to the holders requesting such registration a certificate signed by our Chief Executive Officer stating that, in the good faith judgment of our board of directors, it would be materially detrimental to us and our stockholders; provided that we may not register any securities for our own account or that of any other stockholder during such 120-day period other than under certain circumstances.

Form S-3 registration rights

Certain holders of at least 10% of the then-outstanding registrable securities can request that we register all or part of their registrable shares on Form S-3 if we are eligible to file a registration statement on Form S-3 and if the aggregate price to the public of the shares offered, net of selling expenses, is at least $30.0 million. Within ten days after such request is given, we are obligated to provide notice of such request to all holders of registrable securities and as soon as practicable and in any event within 45 days, file a Form S-3 registration statement, covering all registrable securities that the initiating holders requested to be registered and any additional registrable securities requested to be included in such registration by any other holders. We are only required to file two registration statements on Form S-3 that are declared effective in a 12-month period. We may postpone taking action with respect to such filing not more than once during any 12-month period for a period of not more than 120 days, if after receiving a request for registration, we furnish to the holders requesting such registration a certificate signed by our Chief Executive Officer stating that, in the good faith judgment of our board of directors, it would be materially detrimental to us and our stockholders; provided that we may not register any securities for our own account or that of any other stockholder during such 120-day period other than under certain circumstances.

Piggyback registration rights

If we register any of our securities for public sale, holders of then-outstanding registrable securities or their permitted transferees will have the right to include their registrable securities in the registration statement. However, this right does not apply to a registration related to any employee benefit plan or a corporate reorganization or other transaction covered by Rule 145 promulgated under the Securities Act or a registration on any form that does not include substantially the same information as would be required to be included in a registration statement covering the sale the registrable securities. The underwriters of any underwritten offering will have the right to limit the number of shares registered by these holders if they determine that marketing factors require limitation, in which case the number of shares to be registered will be apportioned pro rata among these holders, according to the total number of registrable securities originally requested by such holders to be included in the registration statement. However, the number of shares to be registered by these holders cannot be reduced unless all other securities (other than those sold by us) are entirely excluded first, and thereafter, that amount can only be reduced to 30% of the total number of securities to be included in such offering.

Expenses of registration rights

We will pay all expenses, other than underwriting discounts and selling commissions incurred in connection with each of the registrations described above, including the reasonable fees and disbursements of counsel (except for the fees and disbursements of one counsel selected by the holders of a majority in interest of the registrable securities and paid for by us), provided however, that the registrations described above are not subsequently withdrawn at the request of the holders of a majority in interest of the registrable securities (in which case all selling holders shall bear such expenses pro rata based upon the number of registrable securities that were to be included in the withdrawn registration) unless the holders of a majority of the registrable securities agree to forfeit their right to a registration as described above.

 

197


Table of Contents

Expiration of registration rights

The registration rights described above will expire, with respect to any particular holder of these rights, on the earliest to occur of (i) the closing of a deemed liquidation event, as defined in our restated certificate of incorporation, (ii) such time after this offering as the registrable securities held by such holder may be sold within any three-month period without restriction pursuant to Rule 144 or a similar exemption under the Securities Act or (iii) the fifth anniversary of this offering.

Anti-takeover provisions

The provisions of the DGCL, our restated certificate of incorporation and our restated bylaws, as we expect they will be in effect upon the completion of this offering, could have the effect of delaying, deferring or discouraging another person from acquiring control of our company. These provisions, which are summarized below, may have the effect of discouraging takeover bids. They are also designed, in part, to encourage persons seeking to acquire control of us to negotiate first with our board of directors. We believe that the benefits of increased protection of our potential ability to negotiate with an unfriendly or unsolicited acquirer outweigh the disadvantages of discouraging a proposal to acquire us because negotiation of these proposals could result in an improvement of their terms.

Delaware law

We are subject to the provisions of Section 203 of the DGCL regulating corporate takeovers. In general, Section 203 prohibits a publicly held Delaware corporation from engaging in a “business combination” with an “interested stockholder” for a period of three years following the date on which the person became an interested stockholder unless:

 

 

prior to the date of the transaction, the board of directors of the corporation approved either the business combination or the transaction which resulted in the stockholder becoming an interested stockholder;

 

 

the interested stockholder owned at least 85% of the voting stock of the corporation outstanding at the time the transaction commenced, excluding for purposes of determining the voting stock outstanding, but not the outstanding voting stock owned by the interested stockholder, (i) shares owned by persons who are directors and also executive officers and (ii) shares owned by employee stock plans in which employee participants do not have the right to determine confidentially whether shares held subject to the plan will be tendered in a tender or exchange offer; or

 

 

at or subsequent to the date of the transaction, the business combination is approved by the board of directors of the corporation and authorized at an annual or special meeting of stockholders, and not by written consent, by the affirmative vote of at least 66.67% of the outstanding voting stock that is not owned by the interested stockholder.

Generally, a business combination includes a merger, asset or stock sale, or other transaction or series of transactions together resulting in a financial benefit to the interested stockholder. An interested stockholder is a person who, together with affiliates and associates, owns or, within three years prior to the determination of interested stockholder status, did own 15% or more of a corporation’s outstanding voting stock. We expect the existence of this provision to have an anti-takeover effect with respect to transactions our board of directors does not approve in advance. We also anticipate that Section 203 may also discourage attempts that might result in a premium over the market price for the shares of common stock held by stockholders.

 

198


Table of Contents

Restated certificate of incorporation and restated bylaw provisions

Our restated certificate of incorporation and our restated bylaws, as we expect they will be in effect upon the completion of this offering, include a number of provisions that could deter hostile takeovers or delay or prevent changes in control of our company, including the following:

 

 

Board of directors vacancies. Our restated certificate of incorporation and restated bylaws will authorize only our board of directors to fill vacant directorships, including newly created seats. In addition, the number of directors constituting our board of directors is permitted to be set only by a resolution adopted by a majority vote of our entire board of directors. These provisions would prevent a stockholder from increasing the size of our board of directors and then gaining control of our board of directors by filling the resulting vacancies with its own nominees. This makes it more difficult to change the composition of our board of directors but promotes continuity of management.

 

 

Classified board. Our restated certificate of incorporation and restated bylaws will provide that our board of directors is classified into three classes of directors, each with staggered three-year terms. A third party may be discouraged from making a tender offer or otherwise attempting to obtain control of us as it is more difficult and time consuming for stockholders to replace a majority of the directors on a classified board of directors. See the section entitled “Management—Board composition” for additional information.

 

 

Stockholder action; special meetings of stockholders. Our restated certificate of incorporation will provide that our stockholders may not take action by written consent but may only take action at annual or special meetings of our stockholders. As a result, a holder controlling a majority of our capital stock would not be able to amend our restated bylaws or remove directors without holding a meeting of our stockholders called in accordance with our restated bylaws. Further, our restated certificate of incorporation and restated bylaws will provide that special meetings of our stockholders may be called only by a majority of our board of directors, the chairperson of our board of directors, our Chief Executive Officer or our President, thus prohibiting a stockholder from calling a special meeting. These provisions might delay the ability of our stockholders to force consideration of a proposal or for stockholders controlling a majority of our capital stock to take any action, including the removal of directors.

 

 

Advance notice requirements for stockholder proposals and director nominations. Our restated bylaws will provide advance notice procedures for stockholders seeking to bring business before our annual meeting of stockholders or to nominate candidates for election as directors at our annual meeting of stockholders. Our restated bylaws also will specify certain requirements regarding the form and content of a stockholder’s notice. These provisions might preclude our stockholders from bringing matters before our annual meeting of stockholders or from making nominations for directors at our annual meeting of stockholders if the proper procedures are not followed. These provisions may also discourage or deter a potential acquirer from conducting a solicitation of proxies to elect the acquirer’s own slate of directors or otherwise attempting to obtain control of our company.

 

 

No cumulative voting. The DGCL provides that stockholders are not entitled to the right to cumulate votes in the election of directors unless a corporation’s certificate of incorporation provides otherwise. Our restated certificate of incorporation and restated bylaws will not provide for cumulative voting.

 

 

Directors removed only for cause. Our restated certificate of incorporation will provide that stockholders may remove directors only for cause and only by the affirmative vote of the holders of at least two-thirds of our outstanding common stock.

 

 

Amendment of charter provisions. Any amendment of the above expected provisions in our restated certificate of incorporation will require approval by the holders of at least two-thirds of our outstanding

 

199


Table of Contents
 

common stock , unless such amendments are approved by two thirds of our entire board of directors, in which case stockholders can approve by a simple majority.

 

 

Issuance of undesignated preferred stock. Our board of directors has the authority, without further action by the stockholders, to issue up to    shares of undesignated preferred stock with rights and preferences, including voting rights, designated from time to time by our board of directors. The existence of authorized but unissued shares of preferred stock would enable our board of directors to render more difficult or to discourage an attempt to obtain control of us by merger, tender offer, proxy contest or other means.

 

 

Choice of forum. Our restated certificate of incorporation will provide that, to the fullest extent permitted by law, the Court of Chancery of the State of Delaware will be the exclusive forum for any derivative action or proceeding brought on our behalf; any action asserting a breach of fiduciary duty; any action asserting a claim against us arising pursuant to the DGCL, our restated certificate of incorporation or our restated bylaws; or any action asserting a claim against us that is governed by the internal affairs doctrine. Our restated certificate of incorporation will also provide that the federal district courts of the United States of America will, to the fullest extent permitted by law, be the exclusive forum for resolving any complaint asserting a cause of action arising under the Securities Act, which we refer to as a Federal Forum Provision. Our decision to adopt a Federal Forum Provision followed a decision by the Supreme Court of the State of Delaware holding that such provisions are facially valid under Delaware law. While there can be no assurance that federal courts or state courts will follow the holding of the Delaware Supreme Court or determine that the Federal Forum Provision should be enforced in a particular case, application of the Federal Forum Provision means that suits brought by our stockholders to enforce any duty or liability created by the Securities Act must be brought in federal court and cannot be brought in state court. While neither the exclusive forum provision nor the Federal Forum Provision applies to suits brought to enforce any duty or liability created by the Exchange Act, Section 27 of the Exchange Act creates exclusive federal jurisdiction over all claims brought to enforce any duty or liability created by the Exchange Act or the rules and regulations thereunder. Accordingly, actions by our stockholders to enforce any duty or liability created by the Exchange Act or the rules and regulations thereunder also must be brought in federal court. Our stockholders will not be deemed to have waived our compliance with the federal securities laws and the regulations promulgated thereunder. Any person or entity purchasing or otherwise acquiring or holding any interest in any of our securities shall be deemed to have notice of and consented to our exclusive forum provisions, including the Federal Forum Provision. These provisions may limit a stockholder’s ability to bring a claim in a judicial forum of their choosing for disputes with us or our directors, executive officers, other employees or agents of our company, which may discourage lawsuits against us and our directors, executive officers, and other employees.

Transfer agent and registrar

Upon the completion of this offering, the transfer agent and registrar for our common stock will be Equiniti Trust Company, LLC. The transfer agent and registrar’s address is 6201 15th Avenue, Brooklyn, New York 11219.

The Nasdaq Global Market listing

We have applied to list our common stock on the Nasdaq Global Market under the symbol “MAZE.” The closing of this offering is contingent upon such listing.

 

200


Table of Contents

Shares eligible for future sale

Prior to this offering, there has been no public market for our common stock, and we cannot predict the effect, if any, that market sales of shares of our common stock or the availability of shares of our common stock for sale will have on the market price of our common stock prevailing from time to time. Nevertheless, sales of our common stock, including shares issued upon exercise of outstanding options, in the public market following this offering could adversely affect market prices prevailing from time to time and could impair our ability to raise capital through the sale of our equity securities.

Upon the completion of this offering, we will have a total of     shares of our common stock outstanding, assuming the automatic conversion of all outstanding shares of our redeemable convertible preferred stock into an aggregate of 314,170,263 shares of our common stock and the issuance of    shares of common stock in this offering. Of these outstanding shares, all of the shares of our common stock sold in this offering will be freely tradable, except that any shares purchased in this offering by our affiliates, as that term is defined in Rule 144 under the Securities Act can only be sold in compliance with the Rule 144 limitations described below.

The remaining outstanding shares of our common stock will be, and shares subject to stock options will be upon issuance, deemed “restricted securities” as defined in Rule 144. Restricted securities may be sold in the public market only if they are registered under the Securities Act or if they qualify for an exemption from registration under Rule 144 or Rule 701 promulgated under the Securities Act, which rules are summarized below. In addition, substantially all of our security holders have, or will have, entered into market standoff agreements with us or lock-up agreements with the underwriters under which they have agreed, subject to specific exceptions, not to sell any of our stock for at least 180 days following the date of this prospectus, as described below.

Lock-up and market standoff agreements

All of our directors and officers and substantially all of our security holders are, or will be, subject to lock-up agreements or market standoff provisions that prohibit them from offering for sale, selling, contracting to sell, granting any option for the sale of, transferring or otherwise disposing of any shares of our common stock or options to acquire shares of our common stock or any security or instrument related to our common stock, or entering into any swap, hedge or other arrangement that transfers any of the economic consequences of ownership of our common stock, for a period of 180 days following the date of this prospectus without the prior written consent of J.P. Morgan Securities LLC, TD Securities (USA) LLC and Leerink Partners LLC, subject to certain exceptions. See the section entitled “Underwriting” for additional information.

Rule 144

In general, Rule 144 provides that once we have been subject to public company reporting requirements of Section 13 or Section 15(d) of the Exchange Act for at least 90 days, a person who is not deemed to have been one of our affiliates for purposes of the Securities Act at any time during the 90 days preceding a sale and who has beneficially owned the shares of our common stock proposed to be sold for at least six months, including the holding period of any prior owner other than our affiliates, is entitled to sell those shares without complying with the manner of sale, volume limitation or notice provisions of Rule 144, subject to compliance with the public information requirements of Rule 144. If such a person has beneficially owned the shares proposed to be sold for at least one year, including the holding period of any prior owner other than our affiliates, then that person would be entitled to sell those shares without complying with any of the requirements of Rule 144.

 

201


Table of Contents

In general, Rule 144 provides that our affiliates or persons selling shares of our common stock on behalf of our affiliates are entitled to sell upon expiration of the lock-up and market standoff agreements described above, within any three-month period, a number of shares of our common stock that does not exceed the greater of:

 

 

1% of the number of shares of our common stock then outstanding, which will equal approximately      shares immediately after the completion of this offering; or

 

 

the average reported weekly trading volume of share of our common stock during the four calendar weeks preceding the filing of a notice on Form 144 with respect to that sale.

Sales under Rule 144 by our affiliates or persons selling shares of our common stock on behalf of our affiliates are also subject to certain manner of sale provisions and notice requirements and to the availability of current public information about us.

Rule 701

Rule 701 generally allows a stockholder who purchased shares of our common stock pursuant to a written compensatory plan or contract and who is not deemed to have been an affiliate of our company during the immediately preceding 90 days to sell these shares in reliance upon Rule 144, but without being required to comply with the public information, holding period, volume limitation or notice provisions of Rule 144. Rule 701 also permits affiliates of our company to sell their Rule 701 shares under Rule 144 without complying with the holding period requirements of Rule 144. All holders of Rule 701 shares, however, are required to wait until 90 days after the date of this prospectus before selling those shares pursuant to Rule 701 and are subject to the lock-up and market standoff agreements described above.

Form S-8 registration statement

In connection with this offering, we intend to file a registration statement on Form S-8 under the Securities Act covering all of the shares of our common stock subject to outstanding options, outstanding shares of restricted stock and the shares of our common stock reserved for issuance under our stock plans. We expect to file this registration statement as soon as permitted under the Securities Act. However, the shares registered on Form S-8 may be subject to the volume limitations and the manner of sale, notice and public information requirements of Rule 144 and will not be eligible for resale until expiration of the lock-up and market standoff agreements to which they are subject. Of the 36,421,972 shares of our common stock that were subject to options outstanding as of September 30, 2024, options to purchase 21,135,402 shares of common stock were vested as of September 30, 2024. Shares of our common stock underlying outstanding options will not be eligible for sale until the expiration of the 180-day lock-up and market standoff agreements to which they are subject.

Registration rights

We have granted demand, piggyback and Form S-3 registration rights to certain of our stockholders to sell our common stock. Registration of the sale of these shares under the Securities Act would result in these shares becoming freely tradable without restriction under the Securities Act immediately upon the effectiveness of the registration, except for shares purchased by affiliates. See the section entitled “Description of capital stock—Registration rights” for additional information.

 

202


Table of Contents

Material U.S. federal income tax consequences to Non-U.S. holders

The following summary describes the material U.S. federal income tax consequences of the ownership and disposition of shares of our common stock acquired in this offering by Non-U.S. Holders (as defined below). This discussion does not address all aspects of U.S. federal income taxation, does not discuss the potential application of the alternative minimum tax or Medicare contribution tax on net investment income, and does not deal with state or local tax laws, any U.S. federal non-income tax laws such as gift and estate tax laws, except to the limited extent provided below, or any non-U.S. tax laws that may be relevant to Non-U.S. Holders in light of their particular circumstances.

Special rules different from those described below may apply to certain Non-U.S. Holders that are subject to special treatment under the Code, such as:

 

 

insurance companies, banks, investment funds and other financial institutions;

 

 

tax-exempt organizations (including private foundations) and tax-qualified retirement plans;

 

 

foreign governments and international organizations;

 

 

broker-dealers and traders in securities;

 

 

U.S. expatriates and certain former citizens or long-term residents of the United States;

 

 

persons required for U.S. federal income tax purposes to conform the timing of income accruals to their financial statements under Section 451(b) of the Code;

 

 

“qualified foreign pension funds” as defined in Section 897(l)(2) of the Code and entities all of the interests of which are held by qualified foreign pension funds;

 

 

persons that own, or are deemed to own, more than 5% of our common stock;

 

 

“controlled foreign corporations,” “passive foreign investment companies” and corporations that accumulate earnings to avoid U.S. federal income tax;

 

 

persons that hold our common stock as part of a “straddle,” “hedge,” “conversion transaction,” “synthetic security” or integrated investment or other risk reduction strategy;

 

 

persons who do not hold our common stock as a capital asset within the meaning of Section 1221 of the Code (generally, for investment purposes); and

 

 

partnerships and other entities or arrangements treated as pass-through entities for U.S. federal income tax purposes, and investors in such entities (regardless of their places of organization or formation).

Such Non-U.S. Holders are urged to consult their own tax advisors to determine the U.S. federal, state, local and other tax consequences that may be relevant to them. If an entity or arrangement that is classified as a partnership for U.S. federal income tax purposes holds our common stock, the U.S. federal income tax treatment of the partnership and the partners thereof generally will depend on the status of the partner and the activities of the partnership. Partnerships holding our common stock and the partners in such partnerships are urged to consult their tax advisors about the particular U.S. federal income tax consequences to them of holding and disposing of our common stock.

Furthermore, the discussion below is based upon the provisions of the Code, U.S. Treasury Regulations promulgated thereunder, published rulings and administrative pronouncements of the U.S. Internal Revenue Service, or the IRS, and judicial decisions, in each case as of the date hereof, and such authorities may be

 

203


Table of Contents

repealed, revoked or modified, possibly retroactively, or could be subject to differing interpretations which could result in U.S. federal income tax consequences different from those discussed below. We have not requested a ruling from the IRS with respect to the statements made and the conclusions reached in the following summary, and there can be no assurance that the IRS will not take a contrary position regarding the tax consequences described herein, or that any such contrary position would not be sustained by a court.

NON-U.S. HOLDERS CONSIDERING THE PURCHASE OF OUR COMMON STOCK PURSUANT TO THIS OFFERING SHOULD CONSULT THEIR OWN TAX ADVISORS CONCERNING THE U.S. FEDERAL INCOME TAX CONSEQUENCES OF OWNING AND DISPOSING OF OUR COMMON STOCK IN LIGHT OF THEIR PARTICULAR SITUATIONS AS WELL AS ANY CONSEQUENCES ARISING UNDER THE LAWS OF ANY OTHER TAXING JURISDICTION, INCLUDING ANY STATE, LOCAL OR NON-U.S. TAX CONSEQUENCES OR ANY U.S. FEDERAL NON-INCOME TAX CONSEQUENCES, AND THE POSSIBLE APPLICATION OF TAX TREATIES.

For the purposes of this discussion, a “Non-U.S. Holder” is a beneficial owner of common stock, other than a partnership or other entity classified as a partnership or other pass-through entity that is not, for U.S. federal income tax purposes, (a) an individual who is a citizen or resident of the United States, (b) a corporation (or other entity taxable as a corporation for U.S. federal income tax purposes), created or organized in or under the laws of the United States, any state thereof or the District of Columbia, (c) an estate, the income of which is subject to U.S. federal income taxation regardless of its source, or (d) a trust that (1) is subject to the primary supervision of a court within the United States and one or more U.S. persons (within the meaning of Section 7701(a)(30) of the Code) have the authority to control all substantial decisions of the trust or (2) has a valid election in effect under applicable U.S. Treasury Regulations to be treated as a U.S. person.

If you are an individual non-U.S. citizen, you may, in some cases, be deemed to be a resident alien (as opposed to a nonresident alien) by virtue of being present in the United States for at least 31 days in the calendar year and for an aggregate of at least 183 days during a three-year period ending in the current calendar year. Generally, for this purpose, all the days present in the current year, one-third of the days present in the immediately preceding year, and one-sixth of the days present in the second preceding year, are counted.

Resident aliens are generally subject to U.S. federal income tax as if they were U.S. citizens. Individuals who are uncertain of their status as resident or nonresident aliens for U.S. federal income tax purposes are urged to consult their own tax advisors regarding the U.S. federal income tax consequences of the ownership or disposition of our common stock.

Distributions

We do not expect to make any distributions on our common stock in the foreseeable future (see “Dividend Policy” above). If we do make distributions on our common stock, however, such distributions will constitute dividends for U.S. tax purposes to the extent paid out of our current or accumulated earnings and profits (as determined under U.S. federal income tax principles). Distributions in excess of our current and accumulated earnings and profits will constitute a return of capital that is applied against and reduces, but not below zero, a Non-U.S. Holder’s adjusted tax basis in our common stock. Any remaining excess will be treated as gain realized on the sale or exchange of our common stock as described below under the section entitled “Material U.S. federal income tax consequences to Non-U.S. holders—Gain on disposition of our common stock.”

Subject to the discussions below under the sections titled “Material U.S. Federal Income Tax Consequences to Non-U.S. Holders—Backup withholding and information reporting” and “—Foreign accounts,” any distribution on our common stock that is treated as a dividend paid to a Non-U.S. Holder that is not effectively connected with the non-U.S. Holder’s conduct of a trade or business in the United States will generally be subject to U.S. federal withholding tax at a 30% rate or such lower rate as may be specified by an applicable income tax treaty

 

204


Table of Contents

between the United States and the Non-U.S. Holder’s country of residence. To obtain a reduced rate of withholding under an income tax treaty, a Non-U.S. Holder generally will be required to provide the applicable withholding agent with a properly executed IRS Form W-8BEN, IRS Form W-8BEN-E or other appropriate form, certifying the Non-U.S. Holder’s entitlement to benefits under the treaty. Such form must be provided prior to the payment of dividends and generally must be updated periodically. If a Non-U.S. Holder holds stock through a financial institution or other agent acting on the holder’s behalf, the holder will be required to provide appropriate documentation to such agent. The holder’s agent may then be required to provide certification to the applicable withholding agent, either directly or through other intermediaries. If you are eligible for a reduced rate of U.S. withholding tax under an income tax treaty, you should consult with your own tax advisor to determine if you are able to obtain a refund of any excess amounts withheld by timely filing an appropriate claim for a refund with the IRS.

We (or any applicable withholding agents) generally are not required to withhold tax on dividends paid to a Non-U.S. Holder that are effectively connected with the Non-U.S. Holder’s conduct of a trade or business within the United States (and, if required by an applicable income tax treaty, are attributable to a permanent establishment that the Non-U.S. Holder maintains in the United States) if a properly executed IRS Form W-8ECI, stating that the dividends are so connected, is furnished to the applicable withholding agent. In general, such effectively connected dividends will be subject to U.S. federal income tax on a net income basis at the same rates applicable to U.S. persons. A corporate Non-U.S. Holder receiving effectively connected dividends may also be subject to an additional “branch profits tax,” which is imposed, under certain circumstances, at a rate of 30% (or such lower rate as may be specified by an applicable treaty) on the corporate Non-U.S. Holder’s effectively connected earnings and profits, subject to certain adjustments.

Gain on disposition of our common stock

Subject to the discussions below under the sections entitled “Material U.S. federal income tax consequences to non-U.S. holders—Backup withholding and information reporting” and “—Foreign accounts,” a Non-U.S. Holder generally will not be subject to U.S. federal income or withholding tax with respect to gain realized on a sale or other disposition of our common stock unless (a) the gain is effectively connected with a trade or business of the Non-U.S. Holder in the United States (and, if required by an applicable income tax treaty, is attributable to a permanent establishment that the holder maintains in the United States), (b) the Non-U.S. Holder is a nonresident alien who is an individual and is present in the United States for 183 or more days in the taxable year of the disposition and certain other conditions are met, or (c) we are or have been a “United States real property holding corporation” within the meaning of Code Section 897(c)(2) at any time within the shorter of the five-year period preceding such disposition or the Non-U.S. Holder’s holding period in the common stock.

If you are a Non-U.S. Holder described in (a) above, you will be required to pay tax on the net gain derived from the sale at the same U.S. federal income tax rates applicable to U.S. persons. A corporate Non-U.S. Holder described in (a) above may also be subject to the additional branch profits tax at a 30% rate (or such lower rate as may be specified by an applicable income tax treaty) of its effectively connected earnings and profits for the taxable year, as adjusted for certain items. If you are an individual Non-U.S. Holder described in (b) above, you will be required to pay a flat 30% tax on the gain derived from the sale, which gain may be offset by certain U.S. source capital losses (even though you are not considered a resident of the United States), provided you have timely filed U.S. federal income tax returns with respect to such losses. With respect to (c) above, in general, we would be a United States real property holding corporation if U.S. real property interests as defined in the Code and the U.S. Treasury Regulations comprised (by fair market value) at least half of our worldwide real property interests plus our other assets used or held for use in a trade or business. We believe that we are not, and do not anticipate becoming, a United States real property holding corporation. However, there can be no assurance that we will not become a United States real property holding corporation in the future. Even if we

 

205


Table of Contents

were to be treated as a U.S. real property holding corporation, gain realized by a Non-U.S. Holder on a disposition of our common stock would not be subject to U.S. federal income tax so long as (1) the Non-U.S. Holder owned, directly, indirectly or constructively, no more than 5% of our common stock at all times within the shorter of (i) the five-year period preceding the disposition or (ii) the Non-U.S. Holder’s holding period and (2) our common stock is regularly traded on an established securities market. There can be no assurance that our common stock will qualify as regularly traded on an established securities market.

U.S. federal estate tax

The estates of nonresident alien individuals generally are subject to U.S. federal estate tax on property with a U.S. situs. Because we are a U.S. corporation, our common stock will be U.S. situs property and, therefore, will be included in the taxable estate of a nonresident alien decedent, unless an applicable estate tax treaty between the United States and the decedent’s country of residence provides otherwise. The terms “resident” and “nonresident” are defined differently for U.S. federal estate tax purposes than for U.S. federal income tax purposes. Investors are urged to consult their own tax advisors regarding the U.S. federal estate tax consequences of the ownership or disposition of our common stock.

Backup withholding and information reporting

Generally, we or certain financial middlemen must report information to the IRS with respect to any distributions we pay on our common stock including the amount of any such distributions, the name and address of the recipient, and the amount, if any, of tax withheld. A similar report is sent to the holder to whom any such dividends are paid. Pursuant to tax treaties or certain other agreements, the IRS may make its reports available to tax authorities in the recipient’s country of residence.

Distributions paid by us (or our paying agents) to a Non-U.S. Holder may also be subject to U.S. federal backup withholding. U.S. federal backup withholding generally will not apply to a Non-U.S. Holder who provides a properly executed IRS Form W-8BEN, IRS Form W-8BEN-E, or IRS Form W-8 ECI, as applicable, or otherwise establishes an exemption, provided that the applicable withholding agent does not have actual knowledge or reason to know the holder is a U.S. person.

Under current U.S. federal income tax law, U.S. information reporting and backup withholding requirements generally will apply to the proceeds of a disposition of our common stock effected by or through a U.S. broker or a U.S. office of any broker, U.S. or non-U.S., unless the Non-U.S. Holder provides a properly executed IRS Form W-8BEN or IRS Form W-8BEN-E, or IRS Form W-8 ECI, as applicable, or otherwise establishes an exemption. Generally, U.S. information reporting and backup withholding requirements will not apply to a payment of disposition proceeds to a Non-U.S. Holder where the transaction is effected outside the United States through a non-U.S. office of a non-U.S. broker. Information reporting and backup withholding requirements may, however, apply to a payment of disposition proceeds if the broker has actual knowledge, or reason to know, that the holder is, in fact, a U.S. person. For information reporting purposes, certain brokers with substantial U.S. ownership or operations will generally be treated in a manner similar to U.S. brokers.

Backup withholding is not an additional tax. If backup withholding is applied to you, you should consult with your own tax advisor to determine whether you have overpaid your U.S. federal income tax, and whether you are able to obtain a tax refund or credit of the overpaid amount.

Foreign accounts

In addition, U.S. federal withholding taxes may apply under the Foreign Account Tax Compliance Act, or FATCA, on certain types of payments, including dividends paid to non-U.S. financial institutions and certain other

 

206


Table of Contents

non-U.S. entities. Specifically, a 30% withholding tax may be imposed on dividends on our common stock paid to a “foreign financial institution” or a “non-financial foreign entity” (each as defined in the Code), unless (1) the foreign financial institution agrees to undertake certain diligence and reporting obligations, (2) the non-financial foreign entity either certifies it does not have any “substantial United States owners” (as defined in the Code) or furnishes identifying information regarding each substantial United States owner, or (3) the foreign financial institution or non-financial foreign entity otherwise qualifies for an exemption from these rules. The 30% federal withholding tax described in this paragraph cannot be reduced under an income tax treaty with the United States. If the payee is a foreign financial institution and is subject to the diligence and reporting requirements in (1) above, it must enter into an agreement with the U.S. Department of the Treasury requiring, among other things, that it undertake to identify accounts held by certain “specified United States persons” or “United States-owned foreign entities” (each as defined in the Code), annually report certain information about such accounts, and withhold 30% on certain payments to non-compliant foreign financial institutions and certain other account holders. Foreign financial institutions located in jurisdictions that have an intergovernmental agreement with the United States governing FATCA may be subject to different rules. Under the applicable Treasury Regulations and administrative guidance, withholding under FATCA generally also would apply to payments of gross proceeds from the sale or other disposition of our common stock. Under proposed regulations, however, no withholding will apply with respect to payments of gross proceeds. The preamble to the proposed regulations specifies that taxpayers and withholding agents are permitted to rely on such proposed regulations pending finalization.

Prospective investors should consult their tax advisors regarding the potential application of withholding under FATCA to their investment in our common stock.

EACH PROSPECTIVE INVESTOR SHOULD CONSULT ITS OWN TAX ADVISOR REGARDING THE TAX CONSEQUENCES OF HOLDING AND DISPOSING OF OUR COMMON STOCK, INCLUDING THE CONSEQUENCES OF ANY PROPOSED CHANGE IN APPLICABLE LAW, AS WELL AS TAX CONSEQUENCES ARISING UNDER ANY STATE, LOCAL, NON-U.S. OR U.S. FEDERAL NON-INCOME TAX LAWS SUCH AS ESTATE AND GIFT TAX OR UNDER ANY APPLICABLE TAX TREATY.

 

207


Table of Contents

Underwriting

We are offering the shares of our common stock described in this prospectus through a number of underwriters. J.P. Morgan Securities LLC, TD Securities (USA) LLC, Leerink Partners LLC and Guggenheim Securities, LLC are acting as book-running managers of the offering and as representatives of the underwriters. We have entered into an underwriting agreement with the underwriters. Subject to the terms and conditions of the underwriting agreement, we have agreed to sell to the underwriters, and each underwriter has severally agreed to purchase, at the public offering price less the underwriting discounts and commissions set forth on the cover of this prospectus, the number of shares of our common stock listed next to its name in the following table:

 

   
Name    Number
of shares
 

J.P. Morgan Securities LLC

          

TD Securities (USA) LLC

  

Leerink Partners LLC

  

Guggenheim Securities, LLC

  

Total

  

 

 

The underwriters are committed to purchase all the shares of our common stock offered by us if they purchase any shares. The underwriting agreement also provides that if an underwriter defaults, the purchase commitments of non-defaulting underwriters may also be increased or the offering may be terminated. The offering of the shares by the underwriters is subject to receipt and acceptance and subject to the underwriters’ right to reject any order in whole or in part.

The underwriters propose to offer the shares of our common stock directly to the public at the initial public offering price set forth on the cover of this prospectus and to certain dealers at that price less a concession not in excess of $    per share. Any such dealers may resell shares of our common stock to certain other brokers or dealers at a discount of up to $ per share from the initial public offering price. After the initial offering of the shares to the public, if all of the shares of our common shares stock are not sold at the initial public offering price, the underwriters may change the offering price and the other selling terms. Sales of any shares of our common stock made outside of the United States may be made by affiliates of the underwriters.

The underwriters have an option to buy up to    additional shares of our common stock from us to cover sales of shares of our common stock by the underwriters which exceed the number of shares of our common stock specified in the table above. The underwriters have 30 days from the date of this prospectus to exercise this option to purchase additional shares of our common stock. If any shares of our common stock are purchased with this option to purchase additional shares of our common stock, the underwriters will purchase shares of our common stock in approximately the same proportion as shown in the table above. If any additional shares of our common stock are purchased, the underwriters will offer the additional shares of our common stock on the same terms as those on which the shares of our common stock are being offered.

 

208


Table of Contents

The underwriting fee is equal to the public offering price per share of our common stock less the amount paid by the underwriters to us per share of our common stock. The underwriting fee is $    per share. The following table shows the per share and total underwriting discounts and commissions to be paid to the underwriters assuming both no exercise and full exercise of the underwriters’ option to purchase additional shares.

 

     
     

Without
option to

purchase

additional
shares
exercise

    

With full
option to

purchase

additional
shares
exercise

 

Per share

   $           $       

Total

   $        $    

 

 

We estimate that the total expenses of this offering, including registration, filing and listing fees, printing fees and legal and accounting expenses, but excluding the underwriting discounts and commissions, will be approximately $    million. We have also agreed to reimburse the underwriters for reasonable fees and expenses of counsel related to the review by the Financial Industry Regulatory Authority, Inc. of the terms of sale of the shares of our common stock offered hereby in an amount not to exceed $    .

A prospectus in electronic format may be made available on the websites maintained by one or more underwriters, or selling group members, if any, participating in the offering. The underwriters may agree to allocate a number of shares of our common stock to underwriters and selling group members for sale to their online brokerage account holders. Internet distributions will be allocated by the representatives to underwriters and selling group members that may make Internet distributions on the same basis as other allocations.

We have agreed that, subject to certain exceptions, we will not (i) offer, pledge, sell, contract to sell, sell any option or contract to purchase, purchase any option or contract to sell, grant any option, right or warrant to purchase, lend or otherwise transfer or dispose of, directly or indirectly, or submit to, or file with, the SEC a registration statement under the Securities Act relating to, any shares of our common stock or securities convertible into or exercisable or exchangeable for any shares of our common stock, or publicly disclose the intention to make any offer, sale, pledge, loan, disposition or filing, or (ii) enter into any swap or other arrangement that transfers all or a portion of the economic consequences associated with the ownership of any shares of our common stock or any such other securities (regardless of whether any of these transactions are to be settled by the delivery of shares of common stock or such other securities, in cash or otherwise), in each case without the prior written consent of J.P. Morgan Securities LLC, TD Securities (USA) LLC and Leerink Partners LLC, for a period of 180 days after the date of this prospectus, other than the shares of our common stock to be sold in this offering.

Our directors, executive officers, and substantially all of our securityholders, or the lock-up parties, will enter into lock-up agreements with the underwriters prior to the commencement of this offering pursuant to which each lock-up party, with limited exceptions, for a period of 180 days after the date of this prospectus, or the restricted period, may not (and may not cause any of their direct or indirect affiliates to), without the prior written consent of J.P. Morgan Securities LLC, TD Securities (USA) LLC and Leerink Partners LLC, (1) offer, pledge, sell, contract to sell, sell any option or contract to purchase, purchase any option or contract to sell, grant any option, right or warrant to purchase, lend, or otherwise transfer or dispose of, directly or indirectly, any shares of our common stock or any securities convertible into or exercisable or exchangeable for our common stock (including, without limitation, common stock or such other securities which may be deemed to be beneficially owned by such lock-up parties in accordance with the rules and regulations of the SEC and securities which may be issued upon exercise of a stock option or warrant, (collectively with the common stock,

 

209


Table of Contents

the lock-up securities), (2) enter into any hedging, swap or other agreement or transaction that transfers, in whole or in part, any of the economic consequences of ownership of the lock-up securities, whether any such transaction described in clause (1) or (2) above is to be settled by delivery of lock-up securities, in cash or otherwise, (3) make any demand for, or exercise any right with respect to, the registration of any lock-up securities, or (4) publicly disclose the intention to do any of the foregoing. Such persons or entities have further acknowledged that these undertakings preclude them from engaging in any hedging or other transactions or arrangements (including, without limitation, any short sale or the purchase or sale of, or entry into, any put or call option, or combination thereof, forward, swap or any other derivative transaction or instrument, however described or defined) designed or intended, or which could reasonably be expected to lead to or result in, a sale or disposition or transfer (by any person or entity, whether or not a signatory to such agreement) of any economic consequences of ownership, in whole or in part, directly or indirectly, of any lock-up securities, whether any such transaction or arrangement (or instrument provided for thereunder) would be settled by delivery of lock-up securities, in cash or otherwise.

The restrictions described in the immediately preceding paragraph and contained in the lock-up agreements between the underwriters and the lock-up parties do not apply, subject in certain cases to various conditions, to certain transactions, including (a) transfers or dispositions of lock-up securities: (i) as bona fide gifts, including bona fide gifts to a charity or educational institution, or for bona fide estate planning purposes, (ii) upon death, by will, other testamentary document or intestacy, (iii) to any trust for the direct or indirect benefit of the lock-up party or any immediate family member, or if the lock-up party is a trust, to a trustor or beneficiary of the trust or to the estate of a beneficiary of such trust, (iv) to any corporation, partnership, limited liability company or other entity of which the lock-up party or its immediate family members are the beneficial owner of all of the outstanding equity securities or similar interests, (v) to a nominee or custodian of a person or entity to whom a disposition or transfer would be permissible under clauses (i) through (iv), (vi) if the lock-up party is a corporation, partnership, limited liability company, trust or other business entity, (A) to another corporation, partnership, limited liability company, trust or other business entity that is an affiliate of the lock-up party, or to any investment fund or other entity controlling, controlled by, managing or managed by or under common control with the lock-up party or its affiliates or (B) as part of a distribution to stockholders, partners, members or other equityholders of the lock-up party, (vii) by operation of law, such as pursuant to a qualified domestic order, divorce settlement, divorce decree, separation agreement or related court order, (viii) to us, (A) from an employee or other service provider upon death, disability or termination of service of such person, or (B) pursuant to a right of first refusal that we have with respect to transfers of such lock-up securities or other securities, (ix) as part of a sale of the lock-up party’s lock-up securities acquired from the underwriters in this offering or in open market transactions after the completion of this offering, (x) to us in connection with the vesting, settlement or exercise of RSUs, options, warrants or other rights to purchase shares of our common stock (including, in each case, by way of “net” or “cashless” exercise), including for the payment of exercise price and tax and remittance payments due as a result of the vesting, settlement, or exercise of such RSUs, options, warrants or rights, or (xi) pursuant to a bona fide third-party tender offer, merger, consolidation or other similar transaction approved by our board of directors and made to all of our stockholders involving a change in control of us, provided that if such transaction is not completed, all such lock-up securities would remain subject to the restrictions in the immediately preceding paragraph; (b) exercise of outstanding options, settlement of RSUs or other equity awards granted pursuant to plans described in this prospectus, provided that any lock-up securities received upon such exercise, vesting or settlement would be subject to restrictions similar to those in the immediately preceding paragraph; (c) the conversion of outstanding preferred stock into shares of our common stock, provided that any common stock received upon such conversion would be subject to restrictions similar to those in the immediately preceding paragraph; and (d) the establishment by lock-up parties of trading plans under Rule 10b5-1 under the Exchange Act, provided that (1) such plan does not provide for the transfer of lock-up securities during the restricted period and (2) no filing by any party under the Exchange Act or other public announcement shall be made voluntarily in connection with such trading plan during the restricted period.

 

210


Table of Contents

J.P. Morgan Securities LLC, TD Securities (USA) LLC and Leerink Partners LLC, in their sole discretion, may release the securities subject to any of the lock-up agreements with the underwriters described above, in whole or in part at any time.

We have agreed to indemnify the underwriters against certain liabilities, including liabilities under the Securities Act.

We have applied to list our common stock on the Nasdaq Global Market under the symbol “MAZE.” The closing of this offering is contingent upon such listing.

In connection with this offering, the underwriters may engage in stabilizing transactions, which involves making bids for, purchasing and selling shares of common stock in the open market for the purpose of preventing or retarding a decline in the market price of the common stock while this offering is in progress. These stabilizing transactions may include making short sales of common stock, which involves the sale by the underwriters of a greater number of shares of common stock than they are required to purchase in this offering, and purchasing shares of common stock on the open market to cover positions created by short sales. Short sales may be “covered” shorts, which are short positions in an amount not greater than the underwriters’ option to purchase additional shares referred to above, or may be “naked” shorts, which are short positions in excess of that amount. The underwriters may close out any covered short position either by exercising their option to purchase additional shares, in whole or in part, or by purchasing shares in the open market. In making this determination, the underwriters will consider, among other things, the price of shares available for purchase in the open market compared to the price at which the underwriters may purchase shares through the option to purchase additional shares. A naked short position is more likely to be created if the underwriters are concerned that there may be downward pressure on the price of the common stock in the open market that could adversely affect investors who purchase in this offering. To the extent that the underwriters create a naked short position, they will purchase shares in the open market to cover the position.

The underwriters have advised us that, pursuant to Regulation M of the Securities Act, they may also engage in other activities that stabilize, maintain or otherwise affect the price of the common stock, including the imposition of penalty bids. This means that if the representatives of the underwriters purchase common stock in the open market in stabilizing transactions or to cover short sales, the representatives can require the underwriters that sold those shares as part of this offering to repay the underwriting discount received by them.

These activities may have the effect of raising or maintaining the market price of the common stock or preventing or retarding a decline in the market price of the common stock, and, as a result, the price of the common stock may be higher than the price that otherwise might exist in the open market. If the underwriters commence these activities, they may discontinue them at any time. The underwriters may carry out these transactions on Nasdaq, in the over-the-counter market or otherwise.

Prior to this offering, there has been no public market for our common stock. The initial public offering price will be determined by negotiations between us and the representatives of the underwriters. In determining the initial public offering price, we and the representatives of the underwriters expect to consider a number of factors including:

 

 

the information set forth in this prospectus and otherwise available to the representatives of the underwriters;

 

 

our prospects and the history and prospects for the industry in which we compete;

 

 

an assessment of our management;

 

 

our prospects for future earnings;

 

211


Table of Contents
 

the general condition of the securities markets at the time of this offering;

 

 

the recent market prices of, and demand for, publicly traded common stock of generally comparable companies; and

 

 

other factors deemed relevant by the underwriters and us.

Neither we nor the underwriters can assure investors that an active trading market will develop for our shares of common stock, or that the shares will trade in the public market at or above the initial public offering price.

Other relationships

Certain of the underwriters and their affiliates have provided in the past to us and our affiliates and may provide from time to time in the future certain commercial banking, financial advisory, investment banking and other services for us and such affiliates in the ordinary course of their business, for which they have received and may continue to receive customary fees and commissions. In addition, from time to time, certain of the underwriters and their affiliates may effect transactions for their own account or the account of customers, and hold on behalf of themselves or their customers, long or short positions in our debt or equity securities or loans, and may do so in the future.

The underwriters and their respective affiliates are full service financial institutions engaged in various activities, which may include sales and trading, commercial and investment banking, advisory, investment management, investment research, principal investment, hedging, market making, brokerage and other financial and non-financial activities and services. Certain of the underwriters and their respective affiliates have provided, and may in the future provide, a variety of these services to the issuer and to persons and entities with relationships with the issuer, for which they received or will receive customary fees and expenses.

Selling restrictions

General

Other than in the United States, no action has been taken by us or the underwriters that would permit a public offering of the securities offered by this prospectus in any jurisdiction where action for that purpose is required. The securities offered by this prospectus may not be offered or sold, directly or indirectly, nor may this prospectus or any other offering material or advertisements in connection with the offer and sale of any such securities be distributed or published in any jurisdiction, except under circumstances that will result in compliance with the applicable rules and regulations of that jurisdiction. Persons into whose possession this prospectus comes are advised to inform themselves about and to observe any restrictions relating to the offering and the distribution of this prospectus. This prospectus does not constitute an offer to sell or a solicitation of an offer to buy any securities offered by this prospectus in any jurisdiction in which such an offer or a solicitation is unlawful.

Notice to prospective investors in Canada

The shares of common stock may be sold only to purchasers purchasing, or deemed to be purchasing, as principal that are accredited investors, as defined in National Instrument 45-106 Prospectus Exemptions or subsection 73.3(1) of the Securities Act (Ontario), and are permitted clients, as defined in National Instrument 31-103 Registration Requirements, Exemptions and Ongoing Registrant Obligations. Any resale of the shares of common stock must be made in accordance with an exemption from, or in a transaction not subject to, the prospectus requirements of applicable securities laws.

 

212


Table of Contents

Securities legislation in certain provinces or territories of Canada may provide a purchaser with remedies for rescission or damages if this prospectus (including any amendment thereto) contains a misrepresentation, provided that the remedies for rescission or damages are exercised by the purchaser within the time limit prescribed by the securities legislation of the purchaser’s province or territory. The purchaser should refer to any applicable provisions of the securities legislation of the purchaser’s province or territory for particulars of these rights or consult with a legal advisor.

Pursuant to section 3A.3 of National Instrument 33-105 Underwriting Conflicts, or NI 33-105, the underwriters are not required to comply with the disclosure requirements of NI 33-105 regarding underwriter conflicts of interest in connection with this offering.

Notice to prospective investors in the European Economic Area

In relation to each Member State of the European Economic Area, each a Relevant State, no shares of common stock have been offered or will be offered pursuant to the offering to the public in that Relevant State prior to the publication of a prospectus in relation to the shares of common stock which has been approved by the competent authority in that Relevant State or, where appropriate, approved in another Relevant State and notified to the competent authority in that Relevant State, all in accordance with the Prospectus Regulation, except that offers of shares of common stock may be made to the public in that Relevant State at any time under the following exemptions under the Prospectus Regulation:

 

(a)   to any legal entity which is a qualified investor as defined under the Prospectus Regulation;

 

(b)   to fewer than 150 natural or legal persons (other than qualified investors as defined under the Prospectus Regulation), subject to obtaining the prior consent of the underwriters; or

 

(c)   in any other circumstances falling within Article 1(4) of the Prospectus Regulation;

provided that no such offer of shares of common stock shall require us or any underwriter to publish a prospectus pursuant to Article 3 of the Prospectus Regulation or supplement a prospectus pursuant to Article 23 of the Prospectus Regulation and each person who initially acquires any shares of common stock or to whom any offer is made will be deemed to have represented, acknowledged and agreed to and with each of the underwriters and us that it is a “qualified investor” within the meaning of Article 2(e) of the Prospectus Regulation. In the case of any shares of common stock being offered to a financial intermediary as that term is used in the Prospectus Regulation, each such financial intermediary will be deemed to have represented, acknowledged and agreed that the shares of common stock acquired by it in the offer have not been acquired on a non-discretionary basis on behalf of, nor have they been acquired with a view to their offer or resale to, persons in circumstances which may give rise to an offer of any shares of common stock to the public other than their offer or resale in a Relevant State to qualified investors as so defined or in circumstances in which the prior consent of the underwriters have been obtained to each such proposed offer or resale.

For the purposes of this provision, the expression an “offer to the public” in relation to shares of common stock in any Relevant State means the communication in any form and by any means of sufficient information on the terms of the offer and any shares to be offered so as to enable an investor to decide to purchase or subscribe for any shares, and the expression “Prospectus Regulation” means Regulation (EU) 2017/1129.

Notice to prospective investors in the United Kingdom

No shares of common stock have been offered or will be offered pursuant to this offering to the public in the United Kingdom prior to the publication of a prospectus in relation to the shares of common stock that either:

 

213


Table of Contents

(i) has been approved by the Financial Conduct Authority or (ii) is to be treated as if it had been approved by the Financial Conduct Authority in accordance with the transitional provision in Article 74 (transitional provisions) of the Prospectus Amendment etc. (EU Exhibit) Regulation 2019/1234, except that the shares of common stock may be offered to the public in the United Kingdom at any time:

(i) to any legal entity which is a qualified investor as defined in Article 2 of the UK Prospectus Regulation;

(ii) to fewer than 150 natural or legal persons (other than qualified investors as defined in Article 2 of the UK Prospectus Regulation), subject to obtaining the prior consent of the underwriters for any such offer; or

(iii) in any other circumstances falling within Section 86 of the Financial Services and Markets Act 2000, or FSMA,

provided that no such offer of the shares of common stock shall require us or any underwriter to publish a prospectus pursuant to Section 85 of the FSMA or supplement a prospectus pursuant to Article 23 of the UK Prospectus Regulation. For the purposes of this provision, the expression an “offer to the public” in relation to any shares of common stock in the United Kingdom means the communication in any form and by any means of sufficient information on the terms of the offer and any shares of common stock to be offered so as to enable an investor to decide to purchase or subscribe for any shares of common stock and the expression “UK Prospectus Regulation” means Regulation (EU) 2017/1129 as it forms part of domestic law by virtue of the European Union (Withdrawal) Act 2018.

In addition, in the United Kingdom, this prospectus is being distributed only to, and is directed only at, and any offer subsequently made may only be directed at persons who are “qualified investors” (as defined in the Prospectus Regulation) (i) who have professional experience in matters relating to investments falling within Article 19(5) of the Financial Services and Markets Act 2000 (Financial Promotion) Order 2005, as amended, or the Order, and/or (ii) who are high net worth companies (or persons to whom it may otherwise be lawfully communicated) falling within Article 49(2)(a) to (d) of the Order (all such persons together being referred to as “relevant persons”) or otherwise in circumstances which have not resulted and will not result in an offer to the public of the shares of common stock in the United Kingdom within the meaning of the FSMA.

Any person in the United Kingdom that is not a relevant person should not act or rely on the information included in this prospectus or use it as basis for taking any action. In the United Kingdom, any investment or investment activity that this prospectus relates to may be made or taken exclusively by relevant persons.

Notice to prospective investors in Switzerland

This prospectus does not constitute an offer to the public or a solicitation to purchase or invest in any shares of common stock. No shares of common stock have been offered or will be offered to the public in Switzerland, except that offers of shares of common stock may be made to the public in Switzerland at any time under the following exemptions under the Swiss Financial Services Act, or FinSA:

 

(a)   to any person which is a professional client as defined under the FinSA;

 

(b)   to fewer than 500 persons (other than professional clients as defined under the FinSA), subject to obtaining the prior consent of the underwriters for any such offer; or

 

(c)   in any other circumstances falling within Article 36 FinSA in connection with Article 44 of the Swiss Financial Services Ordinance,

provided that no such offer of shares of common stock shall require the Company or any investment bank to publish a prospectus pursuant to Article 35 FinSA.

 

214


Table of Contents

The shares of common stock have not been and will not be listed or admitted to trading on a trading venue in Switzerland.

Neither this prospectus nor any other offering or marketing material relating to the shares of common stock constitutes a prospectus as such term is understood pursuant to the FinSA and neither this document nor any other offering or marketing material relating to the shares of common stock may be publicly distributed or otherwise made publicly available in Switzerland.

Notice to prospective investors in Australia

This prospectus:

 

 

does not constitute a disclosure document or a prospectus under Chapter 6D.2 of the Corporations Act 2001 (Cth), or the Corporations Act;

 

 

has not been, and will not be, lodged with the Australian Securities and Investments Commission, or the ASIC, as a disclosure document for the purposes of the Corporations Act and does not purport to include the information required of a disclosure document for the purposes of the Corporations Act; and

 

 

may only be provided in Australia to select investors who are able to demonstrate that they fall within one or more of the categories of investors, available under section 708 of the Corporations Act (Exempt Investors).

The shares of common stock may not be directly or indirectly offered for subscription or purchased or sold, and no invitations to subscribe for or buy the shares may be issued, and no draft or definitive offering memorandum, advertisement or other offering material relating to any shares of common stock may be distributed in Australia, except where disclosure to investors is not required under Chapter 6D of the Corporations Act or is otherwise in compliance with all applicable Australian laws and regulations. By submitting an application for the shares of common stock, you represent and warrant to us that you are an Exempt Investor.

As any offer of shares of common stock under this prospectus will be made without disclosure in Australia under Chapter 6D.2 of the Corporations Act, the offer of those securities for resale in Australia within 12 months may, under section 707 of the Corporations Act, require disclosure to investors under Chapter 6D.2 if none of the exemptions in section 708 applies to that resale. By applying for the shares of common stock, you undertake to us that you will not, for a period of 12 months from the date of issue of the shares of common stock, offer, transfer, assign or otherwise alienate those shares of common stock to investors in Australia except in circumstances where disclosure to investors is not required under Chapter 6D.2 of the Corporations Act or where a compliant disclosure document is prepared and lodged with ASIC.

Notice to prospective investors in Japan

The shares of common stock have not been and will not be registered pursuant to Article 4, Paragraph 1 of the Financial Instruments and Exchange Act. Accordingly, none of the shares of common stock nor any interest therein may be offered or sold, directly or indirectly, in Japan or to, or for the benefit of, any “resident” of Japan (which term as used herein means any person resident in Japan, including any corporation or other entity organized under the laws of Japan), or to others for re-offering or resale, directly or indirectly, in Japan or to or for the benefit of a resident of Japan, except pursuant to an exemption from the registration requirements of, and otherwise in compliance with, the Financial Instruments and Exchange Act and any other applicable laws, regulations and ministerial guidelines of Japan in effect at the relevant time.

 

215


Table of Contents

Notice to prospective investors in Hong Kong

The shares of common stock have not been offered or sold and will not be offered or sold in Hong Kong, by means of any document, other than (a) to “professional investors” as defined in the Securities and Futures Ordinance (Cap. 571 of the Laws of Hong Kong), or the SFO, of Hong Kong and any rules made thereunder; or (b) in other circumstances which do not result in the document being a “prospectus” as defined in the Companies (Winding Up and Miscellaneous Provisions) Ordinance (Cap. 32) of Hong Kong), or the CO, or which do not constitute an offer to the public within the meaning of the CO. No advertisement, invitation or document relating to the shares of common stock has been or may be issued or has been or may be in the possession of any person for the purposes of issue, whether in Hong Kong or elsewhere, which is directed at, or the contents of which are likely to be accessed or read by, the public of Hong Kong (except if permitted to do so under the securities laws of Hong Kong) other than with respect to shares of common stock which are or are intended to be disposed of only to persons outside Hong Kong or only to “professional investors” as defined in the SFO and any rules made thereunder.

Notice to prospective investors in Singapore

Each underwriter has acknowledged that this prospectus has not been registered as a prospectus with the Monetary Authority of Singapore. Accordingly, each underwriter has represented and agreed that it has not offered or sold any shares of common stock or caused the shares of common stock to be made the subject of an invitation for subscription or purchase and will not offer or sell any shares or cause the shares to be made the subject of an invitation for subscription or purchase, and has not circulated or distributed, nor will it circulate or distribute, this prospectus or any other document or material in connection with the offer or sale, or invitation for subscription or purchase, of the shares, whether directly or indirectly, to any person in Singapore other than:

 

(a)   to an institutional investor (as defined in Section 4A of the Securities and Futures Act (Chapter 289) of Singapore, as modified or amended from time to time, or the SFA) pursuant to Section 274 of the SFA;

 

(b)   to a relevant person (as defined in Section 275(2) of the SFA) pursuant to Section 275(1) of the SFA, or any person pursuant to Section 275(1A) of the SFA, and in accordance with the conditions specified in Section 275 of the SFA; or

 

(c)   otherwise pursuant to, and in accordance with the conditions of, any other applicable provision of the SFA.

Where the shares of common stock are subscribed or purchased under Section 275 of the SFA by a relevant person which is:

 

(a)   a corporation (which is not an accredited investor (as defined in Section 4A of the SFA)) the sole business of which is to hold investments and the entire share capital of which is owned by one or more individuals, each of whom is an accredited investor; or

 

(b)   a trust (where the trustee is not an accredited investor) whose sole purpose is to hold investments and each beneficiary of the trust is an individual who is an accredited investor, securities or securities-based derivatives contracts (each term as defined in Section 2(1) of the SFA) of that corporation or the beneficiaries’ rights and interest (howsoever described) in that trust shall not be transferred within six months after that corporation or that trust has acquired the shares of common stock pursuant to an offer made under Section 275 of the SFA except:

 

  (i)   to an institutional investor or to a relevant person, or to any person arising from an offer referred to in Section 275(1A) or 276(4)(i)(B) of the SFA;

 

216


Table of Contents
  (ii)   where no consideration is or will be given for the transfer;

 

  (iii)   where the transfer is by operation of law;

 

  (iv)   as specified in Section 276(7) of the SFA; or

 

  (v)   as specified in Regulation 37A of the Securities and Futures (Offers of Investments) (Securities and Securities-based Derivatives Contracts) Regulations 2018.

Singapore SFA Product Classification—In connection with Section 309B of the SFA and the CMP Regulations 2018, unless otherwise specified before an offer of shares, we have determined, and hereby notify all relevant persons (as defined in Section 309A(1) of the SFA), that the shares are “prescribed capital markets products” (as defined in the CMP Regulations 2018) and Excluded Investment Products (as defined in MAS Notice SFA 04-N12: Notice on the Sale of Investment Products and MAS Notice FAA-N16: Notice on Recommendations on Investment Products).

Notice to prospective investors in China

This prospectus will not be circulated or distributed in the People’s Republic of China, or PRC, and the shares of common stock will not be offered or sold, and will not be offered or sold to any person for re-offering or resale directly or indirectly to any residents of the PRC (for such purposes, not including the Hong Kong and Macau Special Administrative Regions or Taiwan), except pursuant to any applicable laws and regulations of the PRC. Neither this prospectus nor any advertisement or other offering material may be distributed or published in the PRC, except under circumstances that will result in compliance with applicable laws and regulations.

Notice to prospective investors in Korea

The shares of common stock have not been and will not be registered under the Financial Investments Services and Capital Markets Act of Korea and the decrees and regulations thereunder, or the FSCMA, and the shares of common stock have been and will be offered in Korea as a private placement under the FSCMA. None of the shares of common stock may be offered, sold or delivered directly or indirectly, or offered or sold to any person for re-offering or resale, directly or indirectly, in Korea or to any resident of Korea except pursuant to the applicable laws and regulations of Korea, including the FSCMA and the Foreign Exchange Transaction Law of Korea and the decrees and regulations thereunder, or the FETL. The shares of common stock have not been listed on any of the securities exchanges in the world including, without limitation, the Korea Exchange in Korea. Furthermore, the purchaser of the shares of common stock shall comply with all applicable regulatory requirements (including but not limited to requirements under the FETL) in connection with the purchase of the shares. By the purchase of the shares of common stock, the relevant holder thereof will be deemed to represent and warrant that if it is in Korea or is a resident of Korea, it purchased the shares of common stock pursuant to the applicable laws and regulations of Korea.

Notice to prospective investors in Taiwan

The shares of common stock have not been and will not be registered with the Financial Supervisory Commission of Taiwan pursuant to relevant securities laws and regulations and may not be sold, issued or offered within Taiwan through a public offering or in circumstances which constitutes an offer within the meaning of the Securities and Exchange Act of Taiwan that requires a registration or approval of the Financial Supervisory Commission of Taiwan. No person or entity in Taiwan has been authorized to offer, sell, give advice regarding or otherwise intermediate the offering and sale of the shares of common stock in Taiwan.

 

217


Table of Contents

Notice to prospective investors in Saudi Arabia

This prospectus may not be distributed in the Kingdom of Saudi Arabia except to such persons as are permitted under the Offers of Securities Regulations as issued by the board of the Saudi Arabian Capital Market Authority, or the CMA, pursuant to resolution number 2-11-2004 dated 4 October 2004 as amended by resolution number 1-28-2008, as amended, or the CMA Regulations. The CMA does not make any representation as to the accuracy or completeness of this prospectus and expressly disclaims any liability whatsoever for any loss arising from, or incurred in reliance upon, any part of this prospectus. Prospective purchasers of the securities offered hereby should conduct their own due diligence on the accuracy of the information relating to the securities. If you do not understand the contents of this prospectus, you should consult an authorized financial adviser.

Notice to prospective investors in the Dubai International Financial Centre (DIFC)

This prospectus relates to an Exempt Offer in accordance with the Markets Law, DIFC Law No. 1 of 2012, as amended. This prospectus is intended for distribution only to persons of a type specified in the Markets Law, DIFC Law No. 1 of 2012, as amended. It must not be delivered to, or relied on by, any other person. The DFSA has no responsibility for reviewing or verifying any documents in connection with Exempt Offers. The DFSA has not approved this prospectus nor taken steps to verify the information set forth herein and has no responsibility for this prospectus. The securities to which this prospectus relates may be illiquid and/or subject to restrictions on their resale. Prospective purchasers of the securities offered should conduct their own due diligence on the securities. If you do not understand the contents of this prospectus you should consult an authorized financial advisor.

In relation to its use in the DIFC, this prospectus is strictly private and confidential and is being distributed to a limited number of investors and must not be provided to any person other than the original recipient, and may not be reproduced or used for any other purpose. The interests in the securities may not be offered or sold directly or indirectly to the public in the DIFC.

Notice to prospective investors in the United Arab Emirates

The shares of common stock have not been, and are not being, publicly offered, sold, promoted or advertised in the United Arab Emirates (including the DIFC) other than in compliance with the laws of the United Arab Emirates (and the DIFC) governing the issue, offering and sale of securities. Further, this prospectus does not constitute a public offer of securities in the United Arab Emirates (including the DIFC) and is not intended to be a public offer. This prospectus has not been approved by or filed with the Central Bank of the United Arab Emirates, the Securities and Commodities Authority or the DFSA.

Notice to prospective investors in Bermuda

Shares of common stock may be offered or sold in Bermuda only in compliance with the provisions of the Investment Business Act of 2003 of Bermuda which regulates the sale of securities in Bermuda. Additionally, non-Bermudian persons (including companies) may not carry on or engage in any trade or business in Bermuda unless such persons are permitted to do so under applicable Bermuda legislation.

Notice to prospective investors in the British Virgin Islands

The shares of common stock are not being, and may not be offered to the public or to any person in the British Virgin Islands for purchase or subscription by or on our behalf. The shares of common stock may be offered to companies incorporated under the BVI Business Companies Act, 2004 (British Virgin Islands), or BVI Companies, but only where the offer will be made to, and received by, the relevant BVI Company entirely outside of the British Virgin Islands.

 

218


Table of Contents

Notice to prospective investors in South Africa

Due to restrictions under the securities laws of South Africa, no “offer to the public” (as such term is defined in the South African Companies Act, No. 71 of 2008 (as amended or re-enacted), or the South African Companies Act) is being made in connection with the issue of the shares of common stock in South Africa. Accordingly, this prospectus does not, nor is it intended to, constitute a “registered prospectus” (as that term is defined in the South African Companies Act) prepared and registered under the South African Companies Act and has not been approved by, and/or filed with, the South African Companies and Intellectual Property Commission or any other regulatory authority in South Africa. The shares of common stock are not offered, and the offer shall not be transferred, sold, renounced or delivered, in South Africa or to a person with an address in South Africa, unless one or other of the following exemptions stipulated in section 96 (1) applies:

 

Section 96 (1)(a)

  

the offer, transfer, sale, renunciation or delivery is to:

 

(i) persons whose ordinary business, or part of whose ordinary business, is to deal in securities, as principal or agent;

 

(ii) the South African Public Investment Corporation;

 

(iii) persons or entities regulated by the Reserve Bank of South Africa;

 

(iv) authorised financial service providers under South African law;

 

(v) financial institutions recognised as such under South African law;

 

(vi) a wholly owned subsidiary of any person or entity contemplated in (c), (d) or (e), acting as agent in the capacity of an authorised portfolio manager for a pension fund, or as manager for a collective investment scheme (in each case duly registered as such under South African law); or

 

(vii) any combination of the person in (i) to (vi); or

Section 96 (1)(b)

   the total contemplated acquisition cost of the securities, for any single addressee acting as principal is equal to or greater than ZAR1,000,000 or such higher amount as may be promulgated by notice in the Government Gazette of South Africa pursuant to section 96(2)(a) of the South African Companies Act.

Information made available in this prospectus should not be considered as “advice” as defined in the South African Financial Advisory and Intermediary Services Act, 2002.

Notice to prospective investors in Israel

This prospectus does not constitute a prospectus under the Israeli Securities Law, 5728-1968, or the Israeli Securities Law, and has not been filed with or approved by the Israel Securities Authority. In Israel, this prospectus is being distributed only to, and is directed only at, and any offer of the shares of common stock is directed only at, (i) a limited number of persons in accordance with the Israeli Securities Law and (ii) investors listed in the first addendum, or the Addendum, to the Israeli Securities Law, consisting primarily of joint investment in trust funds, provident funds, insurance companies, banks, portfolio managers, investment advisors, members of the Tel Aviv Stock Exchange, underwriters, venture capital funds, entities with equity in excess of NIS 50 million and “qualified individuals,” each as defined in the Addendum (as it may be amended from time to time), collectively referred to as qualified investors (in each case, purchasing for their own account or, where permitted under the Addendum, for the accounts of their clients who are investors listed in the Addendum). Qualified investors are required to submit written confirmation that they fall within the scope of the Addendum, are aware of the meaning of same and agree to it.

 

219


Table of Contents

Legal matters

The validity of the shares of our common stock offered by this prospectus will be passed upon for us by Fenwick & West LLP, San Francisco, California. Davis Polk & Wardwell LLP, Redwood City, California, is acting as counsel for the underwriters in connection with this offering.

Experts

Ernst & Young LLP, independent registered public accounting firm, has audited our financial statements at December 31, 2022 and 2023, and for each of the two years in the period ended December 31, 2023, as set forth in their report. We have included our financial statements in the prospectus and elsewhere in the registration statement in reliance on Ernst & Young LLP’s report, given on their authority as experts in accounting and auditing.

Where you can find additional information

We have filed with the SEC a registration statement on Form S-1 (File Number 333-    ) under the Securities Act with respect to the shares of our common stock offered hereby. This prospectus, which constitutes a part of the registration statement, does not contain all of the information set forth in the registration statement or the exhibits filed therewith. For further information about us and the common stock offered hereby, reference is made to the registration statement and the exhibits filed therewith. Statements contained in this prospectus concerning the contents of any contract or any document that has been filed as an exhibit to the registration statement are not necessarily complete, and each such statement is qualified in all respects by reference to the full text of such contract or other document filed as an exhibit to the registration statement. The exhibits to the registration statement should be reviewed for the complete contents of these contracts and documents.

We currently do not file periodic reports with the SEC. Upon the completion of this offering, we will be required to file periodic reports, proxy statements and other information with the SEC pursuant to the Exchange Act. The SEC maintains a website that contains reports, proxy and information statements and other information regarding registrants that file electronically with the SEC. The address of the website is www.sec.gov.

We also maintain a website at www.mazetx.com. Upon completion of this offering, you may access these materials at our website free of charge as soon as reasonably practicable after they are electronically filed with, or furnished to, the SEC. The information contained on, or that can be accessed through, our website is not part of, and is not incorporated into, this prospectus.

 

220


Table of Contents

Index to financial statements

 

Report of independent auditors (PCAOB ID: 42)

     F-2  

Financial statements as of and for the years ended December 31, 2022 and 2023:

  

Balance sheets

     F-3  

Statements of operations and comprehensive loss

     F-4  

Statements of redeemable convertible preferred stock and stockholders’ deficit

     F-5  

Statements of cash flows

     F-6  

Notes to the financial statements

     F-7  

Unaudited condensed financial statements as of and for the nine months ended September 30, 2023 and 2024:

 

Condensed balance sheets      F-32  
Condensed statements of operations and comprehensive income (loss)      F-33  
Condensed statements of redeemable convertible preferred stock and stockholders’ deficit      F-34  
Condensed statements of cash flows      F-35  
Notes to the condensed financial statements      F-36  

 

 

F-1


Table of Contents

Report of Independent Registered Public Accounting Firm

To the Stockholders and the Board of Directors of Maze Therapeutics, Inc.

Opinion on the financial statements

We have audited the accompanying balance sheets of Maze Therapeutics, Inc. (the Company) as of December 31, 2022 and 2023, the related statements of operations and comprehensive loss, redeemable convertible preferred stock and stockholders’ deficit and cash flows for each of the two years in the period ended December 31, 2023, and the related notes (collectively referred to as the “financial statements”). In our opinion, the financial statements present fairly, in all material respects, the financial position of the Company at December 31, 2022 and 2023, and the results of its operations and its cash flows for each of the two years in the period ended December 31, 2023, in conformity with U.S. generally accepted accounting principles.

Basis for opinion

These financial statements are the responsibility of the Company’s management. Our responsibility is to express an opinion on the Company’s financial statements based on our audits. We are a public accounting firm registered with the Public Company Accounting Oversight Board (United States) (PCAOB) and are required to be independent with respect to the Company in accordance with the U.S. federal securities laws and the applicable rules and regulations of the Securities and Exchange Commission and the PCAOB.

We conducted our audits in accordance with the standards of the PCAOB and in accordance with auditing standards generally accepted in the United States of America. Those standards require that we plan and perform the audit to obtain reasonable assurance about whether the financial statements are free of material misstatement, whether due to error or fraud. The Company is not required to have, nor were we engaged to perform, an audit of its internal control over financial reporting. As part of our audits we are required to obtain an understanding of internal control over financial reporting but not for the purpose of expressing an opinion on the effectiveness of the Company’s internal control over financial reporting. Accordingly, we express no such opinion.

Our audits included performing procedures to assess the risks of material misstatement of the financial statements, whether due to error or fraud, and performing procedures that respond to those risks. Such procedures included examining, on a test basis, evidence regarding the amounts and disclosures in the financial statements. Our audits also included evaluating the accounting principles used and significant estimates made by management, as well as evaluating the overall presentation of the financial statements. We believe that our audit provides a reasonable basis for our opinion.

/s/ Ernst & Young LLP

We have served as the Company’s auditor since 2019.

San Mateo, California

June 21, 2024

 

F-2


Table of Contents

Maze Therapeutics, Inc.

Balance sheets

(in thousands, except share and per share data)

 

   
     December 31,  
      2022     2023  

Assets

    

Current assets:

    

Cash and cash equivalents

   $ 99,919     $ 29,158  

Prepaid expenses and other current assets

     6,230       4,952  
  

 

 

 

Total current assets

     106,149       34,110  

Property and equipment, net

     12,402       8,845  

Restricted cash

     1,210       1,088  

Operating lease right-of-use asset

     28,826       26,139  

Other assets

     1,370       1,322  
  

 

 

 

Total assets

   $ 149,957     $ 71,504  
  

 

 

 

Liabilities, Redeemable Convertible Preferred Stock and Stockholders’ Deficit

    

Current liabilities:

    

Accounts payable

   $ 1,585     $ 2,019  

Accrued expenses and other current liabilities

     14,874       9,808  

Operating lease liabilities, current

     4,324       4,489  
  

 

 

 

Total current liabilities

     20,783       16,316  

Operating lease liabilities, net of current portion

     27,731       25,054  

Convertible promissory notes

           20,080  
  

 

 

 

Total liabilities

     48,514       61,450  

Commitments and contingencies (Note 8)

    

Redeemable convertible preferred stock, $0.001 par value; 203,415,024 shares authorized as of December 31, 2022 and 2023; 203,415,024 shares issued and outstanding as of December 31, 2022 and 2023; aggregate liquidation preference of $383,902 as of December 31, 2022 and 2023

     383,902       383,902  

Stockholders’ deficit:

    

Common stock, $0.001 par value; 257,000,000 and 261,000,000 shares authorized as of December 31, 2022 and 2023, respectively; 22,868,289 and 22,996,976 shares issued and outstanding as of December 31, 2022 and 2023, respectively; 1,576,649 and 603,930 shares subject to repurchase as of December 31, 2022 and 2023, respectively

     21     22  

Additional paid-in-capital

     12,791       21,816  

Accumulated deficit

     (295,271     (395,686
  

 

 

 

Total stockholders’ deficit

     (282,459     (373,848
  

 

 

 

Total liabilities, redeemable convertible preferred stock and stockholders’ deficit

   $ 149,957     $ 71,504  

 

 

See accompanying notes to these financial statements.

 

F-3


Table of Contents

Maze Therapeutics, Inc.

Statements of operations and comprehensive loss

(in thousands, except share and per share data)

 

   
     Year ended
December 31,
 
      2022     2023  

Operating expenses:

    

Research and development

   $ 88,192     $ 73,945  

General and administrative

     22,834       24,606  
  

 

 

 

Total operating expenses

     111,026       98,551  

Loss from operations

     (111,026     (98,551

Interest and other income, net

     2,028       1,966  

Change in fair value of convertible promissory notes

           (3,830

Net loss on impairment and dissolution of equity method investment

     (2,400      

Share in net loss of equity method investments

     (3,542      
  

 

 

 

Net loss and comprehensive loss

   $ (114,940   $ (100,415
  

 

 

 

Net loss per share, basic and diluted

   $ (5.93   $ (4.55
  

 

 

 

Weighted-average shares of common stock outstanding used to compute net loss per share, basic and diluted

     19,379,583       22,071,408  

 

 

See accompanying notes to these financial statements.

 

F-4


Table of Contents

Maze Therapeutics, Inc.

Statements of redeemable convertible preferred stock and stockholders’ deficit

(in thousands, except share data)

 

             
    Redeemable convertible
preferred stock
          Common stock     Additional
paid-in
capital
    Accumulated
deficit
    Total
stockholders’
deficit
 
     Shares     Amount            Shares     Amount  

Balance as of December 31, 2021

    202,881,860     $ 382,328           22,935,931     $ 17     $ 5,616     $ (180,331   $ (174,698)  

Issuance of Series C redeemable convertible preferred stock

    533,164       1,574                                    

Exercise of stock options

                    168,781             212             212  

Issuance of restricted stock

                    50                          

Repurchase of unvested restricted stock
and early exercised stock options

                    (236,473                        

Vesting of restricted stock and early exercised stock options

                          4       227             231  

Stock-based compensation expense

                                6,736             6,736  

Net loss and comprehensive loss

                                      (114,940     (114,940
 

 

 

 

Balance as of December 31, 2022

    203,415,024       383,902           22,868,289       21       12,791       (295,271     (282,459

Exercise of stock options

                    175,104             216             216  

Issuance of restricted stock

                    250                          

Repurchase of unvested restricted stock and early exercised stock options

                    (46,667                        

Vesting of restricted stock and early exercised stock options

                          1       62             63  

Stock-based compensation expense

                                8,747             8,747  

Net loss and comprehensive loss

                                      (100,415     (100,415
 

 

 

 

Balance as of December 31, 2023

    203,415,024     $ 383,902           22,996,976     $ 22     $ 21,816     $ (395,686   $ (373,848

 

 

See accompanying notes to these financial statements.

 

F-5


Table of Contents

Maze Therapeutics, Inc.

Statements of cash flows

(in thousands)

 

   
     Year ended
December 31,
 
      2022     2023  

Operating activities

    

Net loss

   $ (114,940   $ (100,415

Adjustments to reconcile net loss to net cash used in operating activities:

    

Depreciation

     3,820       4,089  

Stock-based compensation expense

     6,736       8,747  

Non-cash lease expense

     2,507       2,687  

Net loss on impairment and dissolution of equity method investment

     2,400        

Non-cash share of net loss in equity method investments

     3,542        

Change in fair value of convertible promissory notes

           3,830  

Other items, net

     (32     551  

Changes in operating assets and liabilities:

    

Prepaid expenses and other current assets

     (894     924  

Other assets

     (820     (35

Accounts payable

     (3,777     399  

Accrued expenses and other liabilities

     4,829       (5,092

Operating lease liabilities

     (2,574     (2,512
  

 

 

 

Net cash used in operating activities

     (99,203     (86,827
  

 

 

 

Investing activities

    

Purchases of property and equipment

     (1,966     (441

Contributions for equity method investments

     (1,204      
  

 

 

 

Net cash used in investing activities

     (3,170     (441
  

 

 

 

Financing activities

    

Proceeds from issuance of Series C redeemable convertible preferred stock

     1,574        

Proceeds from issuance of convertible promissory notes, net of issuance costs

           16,176  

Proceeds from exercise of stock option awards, net of repurchases

     154       209  
  

 

 

 

Net cash provided by financing activities

     1,728       16,385  
  

 

 

 

Net decrease in cash, cash equivalents, and restricted cash

     (100,645     (70,883

Cash, cash equivalents, and restricted cash at beginning of year

     201,774       101,129  
  

 

 

 

Cash, cash equivalents, and restricted cash at end of year

   $ 101,129     $ 30,246  
  

 

 

 

Supplemental disclosure of non-cash investing and financing activities

    

Purchases of property and equipment recorded in accounts payable and accrued expenses

   $ 82     $ 90  

Vesting of restricted stock and stock options subject to repurchase

   $ 231     $ 63  

Equity method investment obtained by accrued commitment

   $ 296     $  

Initial fair value of line-of-credit success fee derivative

   $ 175     $  

Reconciliation to cash, cash equivalents, and restricted cash:

    

Cash and cash equivalents

   $ 99,919     $ 29,158  

Restricted cash

   $ 1,210     $ 1,088  
  

 

 

 

Total cash, cash equivalents, and restricted cash

   $ 101,129     $ 30,246  

 

 

See accompanying notes to these financial statements.

 

F-6


Table of Contents

Maze Therapeutics, Inc.

Notes to the financial statements

1. Organization and principal activities

Description of business

Maze Therapeutics, Inc., or the Company, is a clinical stage biopharmaceutical company harnessing the power of human genetics and variant functionalization with its Maze Compass platform to develop small molecule precision medicines for the treatment of renal, cardiovascular and related metabolic diseases, including obesity. The Company was incorporated in Delaware in August 2017 and is located in South San Francisco, California.

Liquidity and capital resources

The Company has incurred significant losses and negative cash flows from operations since its inception and expects to incur significant and increasing losses as a result of its continued research and development activities. During the year ended December 31, 2023, the Company incurred a net loss of $100.4 million and used $86.8 million of cash in operations. As of December 31, 2023, the Company had an accumulated deficit of $395.7 million. Historically, the Company has financed its operations primarily through private placements of its redeemable convertible preferred stock and issuances of convertible promissory notes. The Company may seek to raise capital through debt financings, private or public equity financings, license agreements, or other sources of financing. There can be no assurance that such financing will be available or will be at terms acceptable to the Company.

As of December 31, 2023, the Company had cash and cash equivalents of $29.2 million. The Company entered into exclusive license agreements with several biotechnology companies after December 31, 2023, including the exclusive license agreement with Shionogi & Co., Ltd., or Shionogi, pursuant to which the Company received aggregate one-time, nonrefundable, upfront payments of $167.5 million. The Company believes that its cash and cash equivalents as of December 31, 2023, together with the upfront payments for the exclusive license agreements and the additional $24.5 million in proceeds received from the issuance of convertible promissory notes subsequent to December 31, 2023 through the date these financial statements were issued, will be sufficient to fund the Company’s operations for at least one year from the issuance date of these financial statements.

2. Summary of significant accounting policies

Basis of presentation

The accompanying financial statements have been prepared in accordance with accounting principles generally accepted in the United States of America, or GAAP, and include all adjustments considered necessary for the fair presentation of the Company’s financial position and operating results for the periods presented.

Use of estimates

The preparation of financial statements in conformity with GAAP requires management to make estimates and assumptions that affect the amounts reported in the financial statements and accompanying notes. The Company bases its estimates on historical experience and market-specific or other relevant assumptions that it believes are reasonable under the circumstances. Assets and liabilities reported in the Company’s balance sheet and expenses reported are affected by estimates and assumptions, which are used for, but are not limited to,

 

F-7


Table of Contents

determining the fair value of assets and liabilities, common stock valuation, income tax uncertainties, measurement of stock-based compensation expense, and certain accruals. Actual results could differ from such estimates or assumptions.

Concentration of credit risk and other risks and uncertainties

Financial instruments that potentially subject the Company to concentrations of credit risk consist primarily of cash and cash equivalents. The Company maintains bank deposits in accounts at two separate federally insured financial institutions and these deposits may exceed federally insured limits. The Company is exposed to credit risk in the event of default by the financial institution holding its cash to the extent recorded in the balance sheet. The Company has not experienced any losses on its deposits of cash. The Company is also subject to a number of risks similar to other early-stage biopharmaceutical companies, including, but not limited to, the need to obtain adequate additional funding, possible failure of current or future preclinical testing or clinical trials, its reliance on third parties to conduct its preclinical testing or clinical trials, the need to obtain regulatory and marketing approvals for therapeutic candidates, competitors developing new technological innovations, the need to successfully commercialize and gain market acceptance of therapeutic candidates, the success of efforts to protect its proprietary technology, and the need to secure and maintain adequate manufacturing arrangements with third parties. If the Company does not successfully commercialize or partner any therapeutic candidates, it will be unable to generate product revenue or achieve profitability.

Operating segments

The Company operates and manages its business as one reportable and operating segment, which is the business of harnessing its understanding of human genetics and variant functionalization to develop small molecule precision medicines. The Company’s chief executive officer, who is the chief operating decision maker, reviews financial information on an aggregate basis for allocating and evaluating financial performance.

Fair value measurement

Fair value is defined as the exchange price that would be received for an asset or paid to transfer a liability, or an exit price, in the principal or most advantageous market for that asset or liability in an orderly transaction between market participants on the measurement date, and establishes a fair value hierarchy that requires an entity to maximize the use of observable inputs, where available, and minimize the use of unobservable inputs when measuring fair value.

The Company determined the fair value of financial assets and liabilities using the fair value hierarchy that describes three levels of inputs that may be used to measure fair value, as follows:

 

 

Level 1—Observable inputs that reflect quoted prices (unadjusted) for identical assets or liabilities in active markets;

 

 

Level 2—Observable inputs, other than Level 1 prices, such as quoted prices for similar assets or liabilities, quoted prices in markets that are not active, or other inputs that are observable or can be corroborated by observable market data for substantially the full term of the assets or liabilities; and

 

 

Level 3—Unobservable inputs reflecting the Company’s own assumptions incorporated in valuation techniques used to determine fair value. These assumptions are required to be consistent with market participant assumptions that are reasonably available.

For certain financial instruments, including cash and accounts payable, as well as certain accrued liabilities, the recorded amount approximates estimated fair value due to their relatively short maturity period.

 

F-8


Table of Contents

Cash, cash equivalents and restricted cash

The Company considers all highly liquid financial instruments with original maturities of 90 days or less at the date of purchase to be cash equivalents. As of December 31, 2022 and 2023, cash equivalents consisted of money market funds.

Restricted cash is comprised of cash that is restricted as to withdrawal or use under the terms of certain contractual agreements. Restricted cash as of December 31, 2022 and 2023 included $1.0 million and $1.1 million, respectively, as collateral for a letter of credit related to the Company’s headquarters building lease in South San Francisco, California. As of December 31, 2022 and 2023, restricted cash also included $0.2 million and zero, respectively, as collateral for the Company’s credit card program. Restricted cash is classified as a noncurrent asset on the balance sheet. As of December 31, 2022 and 2023, restricted cash consisted of money market funds.

Property and equipment, net

Property and equipment are presented at cost, net of accumulated depreciation. Depreciation is recorded using the straight-line method over the estimated useful life. Depreciation begins at the time the asset is placed in service. Maintenance and repairs that do not improve or extend the life of the assets are charged to expense as incurred and costs of major replacements or improvements are capitalized. The Company’s estimated useful lives of its property and equipment are as follows:

 

Laboratory equipment

   5 years

Computer equipment

   3 years

Furniture and fixtures

   5 years

Software

   3 years

Leasehold improvements

   Shorter of remaining lease term
or estimated useful life

 

Impairment of long-lived assets

The Company reviews long-lived assets for impairment whenever events or changes in circumstances indicate that the asset or asset group may not be recoverable. The recoverability of assets to be held and used is measured by comparing the carrying amount to the estimated undiscounted future cash flows expected to be generated by the asset or asset group. If the carrying amount exceeds the estimated undiscounted future cash flows, an impairment loss is recognized. There have been no such impairments of long-lived assets for the years ended December 31, 2022 and 2023.

Equity method investments

The Company uses the equity method to account for investments in entities when the Company can exercise significant influence, but not control, over the operating and financial decisions of an equity method investee. Generally, the ability to exercise significant influence is presumed when an investor possesses more than 20% of the voting interests of the investee. This presumption may be overcome based on specific facts and circumstances that demonstrate that the ability to exercise significant influence is restricted. The Company applies the equity method to investments in common stock, common stock equivalents, preferred stock and to other investments in entities that have risk and reward characteristics that are substantially similar to an investment in the investee’s common stock.

 

F-9


Table of Contents

In applying the equity method, the investment is recorded at cost. The carrying amount of the investment is subsequently increased or decreased by the Company’s proportionate share of the net earnings or losses and other comprehensive income or loss of the investee based on its ownership percentage of common stock, common stock equivalents or preferred stock during the respective reporting period. Payments to investees such as additional investments, loans and expenses incurred on behalf of investees, as well as payments from investees such as dividends, distributions and repayments of loans are recorded as adjustments to the carrying value of the investment. In the event that net losses of the investee reduce the carrying amount to zero, additional net losses may be recorded if the Company holds other investments in the investee not accounted for under the equity method, has guaranteed obligations of the investee, or is otherwise committed to provide further financial support for the investee.

Under the equity method of accounting, the Company reviews its related investments for indicators of impairment at each reporting period and such investments are written down to fair value if there is evidence of a loss in value that is other-than-temporary. Factors that may be indicative of an impairment include, but are not limited to, a series of operating losses of an investee, the absence of an ability to recover the carrying amount of the investment, the inability of the investee to sustain an earnings capacity and a current fair value of an investment that is less than its carrying amount. Indicators that a decline in value may be other-than-temporary include the length of time and the extent to which the estimated fair value or market value has been below the carrying value, the financial condition and the near-term prospects of the investee, the intent and ability of the Company to retain the investment in the investee for a period of time sufficient to allow for any anticipated recovery in market value and general market conditions. The estimation of fair value and whether an other-than-temporary impairment has occurred requires the application of significant judgment and future results may vary from current assumptions. The carrying value of the Company’s equity method investments was zero as of December 31, 2022 and 2023. The Company recognized a loss on impairment of $5.4 million during the year ended December 31, 2022 related to its equity method investment in Contour Therapeutics LLC, or Contour. No impairment losses related to the Company’s equity method investments were recognized during the year ended December 31, 2023.

Leases

The Company determines if an arrangement is a lease at the inception of the arrangement. Operating leases are included in right-of-use assets, operating lease liabilities, current, and operating lease liabilities, net of current portion in its balance sheets. Right-of-use assets represent the Company’s right to use an underlying asset for the lease term and lease liabilities represent its obligation to make lease payments arising from the lease. Operating lease right-of-use assets and liabilities are recognized at the lease commencement date based on the present value of lease payments over the lease term. In determining the present value of lease payments, the Company uses its incremental borrowing rate based on the information available at the lease commencement date. The operating lease right-of-use assets also include any lease payments made and exclude lease incentives. The Company’s lease terms may include options to extend or terminate the lease when it is reasonably certain that the Company will exercise any such options. Lease expense is recognized on a straight-line basis over the expected lease term. The Company has elected not to separate lease and non-lease components, such as common area maintenance charges, and instead it accounts for these as a single lease component. Leases with an initial term of 12 months or less are not recorded on the balance sheet, unless they include an option to purchase the underlying asset or to extend the lease that the Company is reasonably certain to exercise.

 

F-10


Table of Contents

Convertible promissory notes

In December 2023, the Company entered into Convertible Note Purchase Agreements with various existing investors to issue up to $25.0 million of convertible promissory notes. As permitted under Accounting Standards Codification 825, Financial Instruments, or ASC 825, the Company elected the fair value option for recognition of the convertible promissory notes. In accordance with ASC 825, the Company records these convertible promissory notes at fair value and remeasures the convertible promissory notes at fair value each reporting period with changes in fair value recorded in the statements of operations and comprehensive loss. As a result of applying the fair value option, direct costs and fees related to the convertible promissory notes were recognized in earnings as incurred and not deferred.

Redeemable convertible preferred stock

The Company records convertible preferred stock at fair value on the dates of issuance, net of issuance costs. Upon the occurrence of certain events that are outside the Company’s control, including a deemed liquidation event, holders of the convertible preferred stock can cause redemption for cash. Therefore, redeemable convertible preferred stock is classified outside of stockholders’ deficit on the balance sheet as events triggering the redemption are not solely within the Company’s control. The carrying values of the redeemable convertible preferred stock are adjusted to their redemption value if and when it becomes probable that the preferred stock will become redeemable.

Research and development expenses

Research and development, or R&D, expenses are recorded in the period that services are rendered or goods are received. R&D expenses consist of personnel related costs, including salaries, benefits and stock-based compensation, related to R&D activities, laboratory supplies and facility costs, as well as fees paid to third parties that conduct certain R&D activities on behalf of the Company. Nonrefundable advance payments for goods or services that will be used or rendered for future R&D activities are capitalized and expensed as the goods are delivered or the related services are performed.

As part of the process of preparing its financial statements, the Company is required to estimate and accrue certain R&D expenses. This process involves the following:

 

 

identifying services that have been performed on the Company’s behalf and estimating the level of service performed and the associated cost incurred for the service when the Company has not yet been invoiced or otherwise notified of actual cost;

 

 

estimating and accruing expenses in the Company’s financial statements as of each balance sheet date based on facts and circumstances known to it at the time; and

 

 

periodically confirming the accuracy of the Company’s estimates with selected service providers and making adjustments, if necessary.

Examples of estimated R&D expenses that the Company may accrue include costs for:

 

 

clinical research organizations, or CROs, in connection with clinical trials as well as preclinical and toxicology studies;

 

 

investigative sites in connection with clinical trials;

 

 

contract manufacturing organizations, or CMOs, in connection with the production of product and clinical trial materials; and

 

 

professional service fees for consulting and related services.

 

F-11


Table of Contents

The Company bases its expense accruals related to clinical studies on its estimates of the services received and efforts expended pursuant to contracts with multiple research institutions and CROs that conduct and manage clinical studies on the Company’s behalf. The financial terms of these agreements vary from contract to contract and may result in uneven payment flows. Payments under some of these contracts depend on factors, such as the successful enrollment of patients and the completion of clinical trial milestones. In accruing service fees, the Company estimates the time period over which services will be performed and the level of effort to be expended in each period. If the Company does not identify costs that it has begun to incur or if it underestimates or overestimates the level of services performed or the costs of these services, the Company’s actual expenses could differ from its estimates.

To date, the Company has not experienced significant changes in its estimates of accrued R&D expenses after a reporting period. However, due to the nature of estimates, there is no assurance that the Company will not make changes to its estimates in the future as it becomes aware of additional information about the status or conduct of its clinical studies and other R&D activities. Such changes in estimates will be recognized as R&D expenses in the period that the change in estimate occurs.

Stock-based compensation expense

The Company recognizes stock-based compensation expense for service-based stock options and restricted stock awards on a straight-line basis over the requisite service period. The Company measures the fair value of service-based stock options at the grant date using the Black-Scholes option-pricing model. Inputs to the Black-Scholes option-pricing model include the fair value of its common stock, the expected term of the awards, the expected common stock price volatility over the term of the awards, risk-free interest rates, and the expected dividend yield.

The fair value of restricted stock awards is determined on the date of grant based on the estimated fair value of the Company’s common stock on that date. Stock-based compensation expense is adjusted for actual forfeitures of unvested awards in the same period as the forfeitures occur.

The fair value of awards that contain market-based conditions is measured using a Monte-Carlo option pricing model at the date of grant using similar input assumptions as the Black-Scholes model while incorporating Level 3 inputs related to probability estimates of the market conditions being satisfied. Compensation expense related to awards with a market-based condition is recognized regardless of whether the market condition is ultimately satisfied, and compensation expense is not reversed if the achievement of the market condition does not occur.

Income taxes

The Company accounts for income taxes using the asset and liability method. The Company recognizes deferred tax assets and liabilities for the expected future tax consequences of events that have been included in the financial statements or tax returns subject to a determinable valuation allowance.

Deferred tax assets and liabilities are determined based on the difference between the financial statement and tax basis of assets and liabilities using enacted tax rates in effect for the year in which the differences are expected to reverse.

In evaluating the ability to recover its deferred income tax assets, the Company considers all available positive and negative evidence, including its operating results, ongoing tax planning and forecasts of future taxable income on a jurisdiction-by-jurisdiction basis. In the event the Company determines that it would be able to

 

F-12


Table of Contents

realize its deferred income tax assets in the future in excess of their net recorded amount, it would make an adjustment to the valuation allowance that would reduce the provision for income taxes. Conversely, in the event that all or part of the net deferred tax assets are determined not to be realizable in the future, an adjustment to the valuation allowance would be charged to earnings in the period when such determination is made. As of December 31, 2022 and 2023, the Company recorded a full valuation allowance on its deferred tax assets.

The Company recognizes uncertain income tax positions at the largest amount that is more likely than not to be sustained upon audit by the relevant taxing authority. An uncertain income tax position will not be recognized if it has less than a 50% likelihood of being sustained. Changes in recognition or measurement are reflected in the period in which judgment occurs. The Company’s policy is to recognize interest and penalties related to the underpayment of income taxes as a component of the provision for income tax.

Foreign currency transaction gain (loss)

Gains and losses arising from transactions and remeasurement of balances denominated in currencies other than U.S. dollars are recorded in interest and other income, net on the statement of operations and comprehensive loss. The Company recorded immaterial gains on foreign currency transactions for the years ended December 31, 2022 and 2023.

Comprehensive loss

Comprehensive loss is defined as a change in equity of a business enterprise during a period, resulting from transactions from non-owner sources. During the years ended December 31, 2022 and 2023, the Company did not have any transactions that would be reported separately to derive comprehensive loss. Thus, comprehensive loss is the same as net loss for the periods presented.

Net loss per share

Basic net loss per share is calculated by dividing net loss by the weighted-average number of common shares outstanding during the period less common shares subject to vesting or forfeiture, without consideration for potentially dilutive securities. Diluted net loss per share is computed by dividing net loss by the weighted-average number of common shares and potentially dilutive securities outstanding for the period. For purposes of the diluted net loss per share calculation, redeemable convertible preferred stock, unvested restricted stock subject to repurchase and common stock options are considered to be potentially dilutive securities. Because the Company reported a net loss for the years ended December 31, 2022 and 2023, and the inclusion of the potentially dilutive securities would be antidilutive, diluted net loss per share is the same as basic net loss per share for the periods presented.

Commitments and contingencies

Liabilities for loss contingencies arising from claims, assessments, litigation, fines, and penalties and other sources are recorded if and when it is probable that a liability has been incurred and the amount can be reasonably estimated. Legal costs incurred in connection with loss contingencies are expensed as incurred.

Emerging growth company status

The Company is an emerging growth company, or EGC, as defined in the Jumpstart Our Business Startups Act of 2012, or the JOBS Act, and may take advantage of reduced reporting requirements that are otherwise

 

F-13


Table of Contents

applicable to public companies. Section 107 of the JOBS Act exempts emerging growth companies from being required to comply with new or revised financial accounting standards until private companies are required to comply with those standards. The Company has elected to use the extended transition period for complying with new or revised accounting standards.

Recently adopted accounting pronouncements

In June 2016, the Financial Accounting Standards Board, or FASB, issued ASU 2016-13, Financial Instruments – Credit Losses and also issued subsequent amendments to the initial guidance under ASU No. 2018-19, ASU No. 2019-04, ASU No. 2019-05, ASU No. 2019-11, and ASU No. 2020-02 (collectively Topic 326). This guidance requires that financial assets measured at amortized cost be presented at the net amount expected to be collected. The measurement of expected credit losses is based on historical experience, current conditions, and reasonable and supportable forecasts that affect collectability. Topic 326 also eliminates the concept of “other-than-temporary” impairment when evaluating available-for-sale debt securities and instead focuses on determining whether any impairment is a result of a credit loss or other factors. An entity will recognize an allowance for credit losses on available-for-sale debt securities rather than an other-than-temporary impairment that reduces the cost basis of the investment. The Company adopted Topic 326 as of January 1, 2023. The adoption of this standard did not have a material impact on the accompanying financial statements.

New accounting pronouncements—Not yet adopted

In November 2023, the FASB issued ASU 2023-07, Improvements to Reportable Segment Disclosures, which will require disclosure of incremental segment information on an annual and interim basis for all public entities. The amendments do not change how a public entity identifies its operating segments, aggregates those operating segments, or applies the quantitative thresholds to determine its reportable segments. ASU 2023-07 is effective for annual reporting beginning with the fiscal year ending December 31, 2024, and for interim periods thereafter. The Company is currently evaluating the incremental disclosures that will be required in the footnotes to the financial statements.

In December 2023, the FASB issued ASU 2023-09, Improvements to Income Tax Disclosures, which will require incremental income tax disclosures on an annual basis for all public entities. The amendments require that public business entities disclose specific categories in the rate reconciliation and provide additional information for reconciling items meeting a quantitative threshold. The amendments also require disclosure of income taxes paid to be disaggregated by jurisdiction, and disclosure of income tax expense disaggregated by federal, state, and foreign. ASU 2023-09 is effective for annual reporting beginning with the fiscal year ending December 31, 2025. The Company is currently evaluating the incremental disclosures that will be required in its financial statements.

 

F-14


Table of Contents

3. Fair value measurements

The following tables summarize the types of assets and liabilities measured at fair value on a recurring basis by level within the fair value hierarchy. Refer to Note 10 on convertible promissory notes and other debt agreements regarding the Company’s methodology of measuring the fair value of the convertible promissory notes and the credit line success fee derivative.

 

   
     Fair value measurements  
     (in thousands)  
      Total      Level 1      Level 2      Level 3  

December 31, 2022

           

Assets

           

Cash equivalents

   $ 1,966      $ 1,966      $      $  

Restricted cash

     1,210        1,210                
  

 

 

 

Total assets measured at fair value

   $ 3,176      $ 3,176      $      $  

Liabilities

           

Credit line success fee derivative

   $ 100      $      $      $ 100  
  

 

 

 

Total liabilities measured at fair value

   $ 100      $      $      $ 100  

December 31, 2023

           

Assets

           

Cash equivalents

   $ 13,955      $ 13,955      $      $  

Restricted cash

     1,088        1,088                
  

 

 

 

Total assets measured at fair value

   $ 15,043      $ 15,043      $      $  

Liabilities

           

Credit line success fee derivative

   $ 50      $      $      $ 50  

Convertible promissory notes

     20,080                      20,080  
  

 

 

 

Total liabilities measured at fair value

   $ 20,130      $      $   —      $ 20,130  

 

 

There were no transfers between Level 1, 2, or 3 during the years ended December 31, 2022 and 2023.

4. Balance sheet components

Property and equipment, net

Property and equipment, net, consisted of the following:

 

   
     December 31,  
      2022     2023  
     (in thousands)  

Laboratory equipment

   $ 14,278     $ 14,574  

Leasehold improvements

     5,331       5,360  

Office furniture

     1,528       1,568  

Software

     690       745  

Computer equipment

     273       327  

Fixed assets in-progress

           57  
  

 

 

 
     22,100       22,631  

Accumulated depreciation

     (9,698     (13,786
  

 

 

 

Total property and equipment, net

   $ 12,402     $ 8,845  

 

 

 

F-15


Table of Contents

Depreciation expense was $3.8 million and $4.1 million for the years ended December 31, 2022 and 2023, respectively.

Accrued expenses and other current liabilities

Accrued expenses and other current liabilities consisted of the following:

 

   
     December 31,  
      2022      2023  
     (in thousands)  

Accrued compensation expenses

   $ 7,384      $ 6,882  

Accrued research and development expenses

     5,847        1,642  

Accrued professional expenses

     1,350        1,112  

Other accrued expenses and current liabilities

     293        172  
  

 

 

 

Total accrued expenses and other current liabilities

   $ 14,874      $ 9,808  

 

 

5. Equity method investments

Broadwing Bio LLC

In November 2020, the Company entered into a series of agreements with Alloy Therapeutics, Inc., or Alloy Therapeutics. Pursuant to the agreements, the Company agreed to commit capital for a 50% ownership interest in a joint venture entity, Broadwing Bio LLC, or Broadwing, which was formed to develop targeted antibody therapies for the treatment of ophthalmic diseases. The Company’s Chief Executive Officer is a member of the board of directors of Alloy Therapeutics. The Company made an initial contribution of $1.7 million of cash and committed to make additional in-kind contributions of $0.6 million, including facilities and operational services, in exchange for an initial 50% equity interest in Broadwing. The commitment to make additional in-kind contributions was recorded in other current liabilities. Alloy Therapeutics contributed cash and committed to provide its antibody discovery services for the other initial 50% equity interest in Broadwing. Under the terms of the agreement, the Company and Alloy Therapeutics have the option to continue to fund Broadwing to advance its programs through preclinical and clinical development. Under such terms and as of the inception of the agreement, the Company may opt to make additional cash contributions. The Company and Alloy Therapeutics will retain certain rights to participate in the development and commercialization of products originating from Broadwing.

The Company determined as of December 31, 2022 and 2023 it had a variable interest in Broadwing through its equity investment and Broadwing is a variable interest entity due to the equity investment at risk being insufficient to finance its activities. The Company has evaluated the significant activities of Broadwing under the variable interest entity model and concluded that the significant activities consist primarily of research and development activities. As the Company does not have the sole power to direct such activities, the Company is not the primary beneficiary and accounts for the investment in Broadwing under the equity method.

In March 2022, the Company opted to make an additional contribution of $1.2 million of cash and a commitment to provide additional in-kind contributions of $0.3 million consisting of facilities and operational services. This commitment was recorded as a commitment liability initially and was relieved in full during fiscal year 2022 as the Company provided the related services.

For the year ended December 31, 2022, the Company recorded a $2.7 million loss for its share of Broadwing’s operating losses. As of December 31, 2022 and 2023 the carrying amount of the investment was zero, which represents the Company’s maximum exposure to loss as a result of its involvement in Broadwing as of those

 

F-16


Table of Contents

dates. During the years ended December 31, 2022 and 2023, the Company’s share of Broadwing’s losses exceeded the carrying amount of the equity investment. Since the Company has no obligation to provide cash financing to Broadwing, no additional losses are being recorded beyond the investment’s carrying amount.

Contour Therapeutics LLC

In December 2020, the Company and BridgeBio Pharma LLC, or BridgeBio, completed the formation of a joint venture entity, Contour. Contour was formed to further development of therapeutic candidates and approaches designed to treat cardiovascular disease. The Company contributed know-how of $4.6 million and committed to make additional in-kind contributions of $4.0 million required to advance the program via in-kind services in exchange for an initial 30% equity interest in Contour. This initial commitment liability was initially recorded with $1.0 million in other current liabilities and $3.0 million in other long-term liabilities based upon when the Company expected to provide the in-kind contributions. BridgeBio contributed cash and committed to provide its expertise in research and clinical development for cardiovascular diseases for the other initial 70% equity interest in Contour.

The Company determined it had a variable interest in Contour through its equity investment and Contour is a variable interest entity due to the equity investment at risk being insufficient to finance its activities. The Company evaluated the significant activities of Contour under the variable interest entity model and concluded that the significant activities consist primarily of research and development activities. As the Company does not have the sole power to direct such activities, the Company is not the primary beneficiary and accounts for the investment under the equity method.

In May 2022, Maze and BridgeBio entered into an agreement wherein BridgeBio was formally released from providing any further cash to Contour under its commitment to the joint venture. Accordingly, in June 2022, the Company determined its investment in Contour was impaired and recorded a loss on impairment of $5.4 million. Contour was dissolved in October 2022 and the Company no longer records any carrying value related to this investment. As the Company was released from its commitment liability to provide in-kind services, the Company recorded a corresponding gain of $3.0 million for the year ended December 31, 2022, resulting in an overall $2.4 million net loss on impairment and dissolution of equity method investment. The Company recorded its share of Contour’s operating losses up until its dissolution in October 2022, which amounted to $0.8 million for the year ended December 31, 2022.

6. Capital structure

Common stock

As of December 31, 2022 and 2023, the Company was authorized to issue 257,000,000 and 261,000,000 shares, respectively, of $0.001 par value common stock. Of the total common shares issued and outstanding, 3,000,000 shares were purchased by Third Rock Ventures, LLC, or TRV, upon the founding of the Company. TRV also purchased 55,000,000 shares of Series A redeemable convertible preferred stock. The remaining common shares issued and outstanding as of December 31, 2023 are restricted stock awards granted and stock option awards exercised under the plans discussed in Note 7 on Equity incentive plan and stock-based compensation expense. Common stockholders are entitled to dividends if and when declared by the Board of Directors of the Company, or the Board of Directors, subject to the prior rights of holders of all classes of stock outstanding having priority rights as to dividends. The holder of each share of common stock is entitled to one vote. As of December 31, 2022 and 2023, no dividends were declared.

 

F-17


Table of Contents

Common stock reserved for future issuance, on an as-converted basis, consisted of the following:

 

   
     December 31,
 
      2022      2023  

Series A redeemable convertible preferred stock

     104,985,132        104,985,132  

Series B redeemable convertible preferred stock

     57,563,188        57,563,188  

Series C redeemable convertible preferred stock

     40,866,704        40,866,704  

Shares reserved under 2019 Equity Incentive Plan

     2,317,524        583,767  

Stock options, issued and outstanding

     25,976,799        31,031,869  
  

 

 

 

Total

     231,709,347        235,030,660  

 

 

Redeemable convertible preferred stock

In December 2021, the Company executed a Preferred Stock Purchase Agreement, or the Series C Purchase Agreement, with certain other investors to sell shares of Series C redeemable convertible preferred stock. Under the Series C Purchase Agreement, the Company issued a total of 40,866,704 shares of Series C preferred stock, or Series C Preferred Stock, (533,164 shares were issued during the twelve months ended December 31, 2022 at a price of $2.9515 per share for total net proceeds of $1.6 million) pursuant to the terms of the Series C Purchase Agreement. No additional redeemable convertible preferred shares were issued during the twelve months ended December 31, 2023.

Issued and outstanding redeemable convertible preferred stock as of December 31, 2022 and 2023 consisted of the following:

 

Series    Shares
authorized
     Shares issued
and outstanding
     Original
issue price
per share
     Aggregate
liquidation
amount
     Net carrying
value
 
            (in thousands, except share and per share data)  

As of December 31, 2022

              

Series A

     104,985,132        104,985,132      $ 1.00      $ 104,985      $ 104,985  

Series B

     57,563,188        57,563,188      $ 2.75      $ 158,299      $ 158,299  

Series C

     40,866,704        40,866,704      $ 2.9515      $ 120,618      $ 120,618  
  

 

 

       

 

 

 

Total

     203,415,024        203,415,024         $ 383,902      $ 383,902  

As of December 31, 2023

              

Series A

     104,985,132        104,985,132      $ 1.00      $ 104,985      $ 104,985  

Series B

     57,563,188        57,563,188      $ 2.75      $ 158,299      $ 158,299  

Series C

     40,866,704        40,866,704      $ 2.9515      $ 120,618      $ 120,618  
  

 

 

       

 

 

 

Total

     203,415,024        203,415,024         $ 383,902      $ 383,902  

 

 

The holders of redeemable convertible preferred stock have various rights and preferences including the following:

Conversion and voting rights

Each holder of redeemable convertible preferred stock is entitled to the number of votes equal to the number of shares of common stock into which such shares of redeemable convertible preferred stock held by such holder could then be converted. Each share is convertible at the holder’s option at any time into the number of shares of common stock determined by dividing the original issue price by the conversion price. The conversion price for Series A, Series B and Series C is currently set equal to the original issue price of $1.00, $2.75 and

 

F-18


Table of Contents

$2.9515, respectively, and is subject to adjustments for anti-dilution in certain circumstances. Conversion is automatic immediately prior to the closing of a qualifying initial public offering and upon the election of holders of a majority of the then outstanding shares of preferred stock, voting together as a single class.

Dividends

The holders of redeemable convertible preferred stock are entitled to receive dividends out of any assets legally available only when, as, and if declared by the Board of Directors, prior to and in preference to any declaration or payment of any dividend on the common stock. Such dividends are noncumulative.

Liquidation preference

In the event of any voluntary or involuntary liquidation, dissolution or winding up of the Company, or Liquidation Events, or deemed Liquidation Event, the holders of shares of the redeemable convertible preferred stock then outstanding shall be entitled to be paid out of the assets of the Company available for distribution to its stockholders before any payment shall be made to the holders of common stock. The amount per share shall be equal to the greater of (i) $1.00 for Series A, $2.75 for Series B and $2.9515 for Series C, plus any dividends declared but unpaid or (ii) such amount per share as would have been payable had all shares of the redeemable convertible preferred stock been converted into common stock immediately prior to such liquidation, dissolution or winding up of the Company or deemed Liquidation Event. In the event of any voluntary or involuntary liquidation, dissolution or winding up of the Company or deemed Liquidation Event, after the payment of all preferential amounts required to be paid to the holders of shares of redeemable convertible preferred stock, the remaining assets of the Company available for distribution to its stockholders shall be distributed among the holders of the shares of common stock, pro rata based on the number of shares held by each such holder.

Redemption

Upon a written request from the holders of a majority of the then outstanding shares of redeemable convertible preferred stock, which request can be made at any time after December 8, 2026, holders of the redeemable convertible preferred stock can cause the Company to redeem the redeemable convertible preferred stock for cash. Shares of redeemable convertible preferred stock must be redeemed by the Company at the original issue price for the redeemable convertible preferred stock plus any declared and unpaid dividends in three annual installments. On each of the three annual redemption dates, the Company must redeem the number of outstanding shares of redeemable convertible preferred stock determined by dividing the total number of outstanding shares of redeemable convertible preferred stock by the number of remaining redemption dates. Additionally, in the event a deemed Liquidation Event does not effect a dissolution of the Company under the Delaware General Corporation Law within 90 days, the holders of redeemable convertible preferred stock have the option (subject to the required vote) to redeem all outstanding shares of the redeemable convertible preferred stock from the net proceeds received for such deemed Liquidation Event at a price equal to the redeemable convertible preferred stock liquidation amount. As of December 31, 2022 and 2023, the carrying value of each series of redeemable convertible preferred stock was recorded at its redemption value.

Classification

Upon the occurrence of certain change in control events that are outside the Company’s control, including liquidation, sale, or transfer of the Company, holders of the redeemable convertible preferred stock can effectively cause redemption for cash. As a result, the Company has classified the redeemable convertible preferred stock as mezzanine equity on the balance sheets as the stock is contingently redeemable. The redeemable convertible preferred stock classified in mezzanine equity is subject to subsequent measurement

 

F-19


Table of Contents

under the guidance provided under ASC 480-10-S99-3A, Accounting for Redeemable Equity Investments. The Company has elected to recognize changes in redemption value immediately as they occur through adjustments to the carrying amounts of the instruments at the end of the reporting period with the corresponding amount recorded to additional paid-in capital. No such changes were identified or recorded during the years ended December 31, 2022, and 2023.

7. Equity incentive plan and stock-based compensation expense

2018 Stock Option and Grant Plan

In November 2018, the Company adopted the 2018 Stock Option and Grant Plan, or the 2018 Plan, which allowed for the granting of up to 17,000,000 equity awards to the founders, employees, members of the Board of Directors and consultants of the Company. The unvested shares of restricted common stock issued under the 2018 Plan are subject to repurchase by the Company at the original issuance price in the event of the holder’s termination, either voluntarily or involuntarily. Consideration received for unvested stock-based awards is initially recorded as a liability and subsequently reclassified into stockholders’ deficit as the related awards vest. Restricted common stock granted under the 2018 Plan generally vests over four years. Certain of the restricted common stock granted under the 2018 Plan vests upon achievement of certain performance conditions. The awards expire no more than 10 years from the date of grant.

Restricted stock awards (2018 Plan)

The following table summarizes restricted common stock activity during the years ended December 31, 2022 and 2023:

 

     
      Restricted
stock awards
    Weighted-
average
grant date
fair value
 

Unvested balance as of January 1, 2022

     3,004,720     $ 0.26  

Vested

     (2,258,131   $ 0.24  

Repurchased

     (53,743   $ 0.01  
  

 

 

   

Unvested restricted stock awards as of December 31, 2022

     692,846     $ 0.34  

Vested

     (642,846   $ 0.37  
  

 

 

   

Unvested restricted stock awards as of December 31, 2023

     50,000     $ 0.001  

 

 

The total number of shares under the 2018 Plan that were vested as of December 31, 2022 and 2023 was 10,053,828 and 10,696,924, respectively. As of December 31, 2022 and 2023, there were immaterial amounts recorded in accrued expenses and other current liabilities related to shares held by employees and non-employees that were unvested and subject to repurchase under this plan. During the years ended December 31, 2022 and 2023, any repurchased shares under the 2018 Plan were transferred to the 2019 Equity Incentive Plan. As of December 31, 2022 and 2023, no awards were available for issuance under the 2018 Plan.

Restricted stock awards (outside of the 2018 Plan)

In 2018, the Company issued 6,162,612 shares of restricted stock to founders and advisors outside of the 2018 Plan. The shares were issued under the terms of respective restricted common stock agreements, and unvested shares are subject to repurchase by the Company upon the holder’s termination of its relationship with the Company at the original purchase price per share.

 

F-20


Table of Contents

The following table summarizes the changes in the Company’s unvested restricted common stock awards granted to founders and advisors outside of the 2018 Plan during the years ended December 31, 2022 and 2023:

 

     
      Restricted
stock awards
    Weighted-
average
grant date
fair value
 

Unvested balance as of January 1, 2022

     1,520,372     $ 0.001  

Vested

     (1,170,372   $ 0.001  
  

 

 

   

Unvested restricted stock awards as of December 31, 2022

     350,000     $ 0.001  

Vested

            
  

 

 

   

Unvested restricted stock awards as of December 31, 2023

     350,000     $ 0.001  

 

 

The total number of shares outside of the 2018 Plan that were vested as of December 31, 2022 and 2023 was 5,812,612. As of December 31, 2022 and 2023, there were immaterial amounts recorded in other liabilities related to shares held by employees and non-employees that were unvested and subject to repurchase outside of the 2018 Plan. The unvested awards as of December 31, 2022 and 2023 vest upon the achievement of future performance milestones.

2019 Equity Incentive Plan

In August 2019, the Company’s Board of Directors approved the establishment of the 2019 Equity Incentive Plan, or the 2019 Plan. The 2019 Plan allows for the granting of restricted common stock, incentive stock options, or ISOs, and non-qualified stock options, or NSOs, to the employees, members of the Board of Directors and consultants of the Company. Restricted common stock granted under the 2019 Plan is generally vested upon issuance. Unvested shares of restricted common stock are subject to repurchase by the Company at the original issuance price in the event of the employee’s termination, either voluntarily or involuntarily. ISOs are granted only to the Company’s employees, including officers and directors who are also employees. NSOs are granted to consultants, employees, and non-employee directors of the Company. Stock options granted under the 2019 Plan generally expire 10 years from the date of grant. The 2019 Plan allows the holder of the stock option to early exercise the stock option in whole or in part prior to the full vesting of the stock option. Unvested stock options are subject to repurchase by the Company at the original issuance price in the event of the employee’s termination, either voluntarily or involuntarily. Early exercises of stock options are not deemed to be substantive exercises for accounting purposes and accordingly, consideration received for unvested stock options is initially recorded as a liability and subsequently reclassified into stockholders’ deficit as the related stock options vest.

There were 2,317,524 and 583,767 equity incentive awards authorized and available for issuance under the 2019 Plan as of December 31, 2022 and 2023, respectively.

 

F-21


Table of Contents

Stock options (2019 Plan)

The following table summarizes stock option activity under the 2019 Plan for the year ended December 31, 2023:

 

   
    Options outstanding  
     Total
options
outstanding
    Weighted-
average
exercise
price
    Weighted-
average
remaining
contractual
life (years)
   

Aggregate
intrinsic
value

(in thousands)

 

Outstanding as of December 31, 2022

    25,976,799     $ 1.42       8.62    

Granted

    6,342,750     $ 1.84      

Exercised(1)

    (175,104   $ 1.24      

Cancelled

    (1,112,576   $ 1.57      
 

 

 

       

Outstanding as of December 31, 2023

    31,031,869     $ 1.50       7.95     $ 5,728  
 

 

 

       

Vested and expected to vest as of December 31, 2023

    30,501,869     $ 1.50       7.93     $ 5,697  
 

 

 

       

Vested and exercisable as of December 31, 2023

    16,347,771     $ 1.32       7.48     $ 4,447  

 

 

 

(1)   As of December 31, 2023, 203,930 options exercised to date were subject to repurchase. During the year ended December 31, 2023, none of the 175,104 total exercised options were exercised early and were subject to repurchase at the time of exercise.

The total intrinsic value of options exercised was less than $0.1 million and $0.1 million during the years ended December 31, 2022 and 2023, respectively. The intrinsic value is the difference between the estimated fair value of the Company’s common stock at the time of exercise and the exercise price of the stock option.

The total fair value of options that vested during the years ended December 31, 2022 and 2023 was $5.7 million and $8.0 million, respectively. The weighted average grant-date fair value of employee options granted during the years ended December 31, 2022 and 2023 was $1.42 and $1.37 per share, respectively.

As of December 31, 2022 and 2023, there were immaterial amounts recorded in other liabilities related to shares held by employees and non-employees from early exercised options subject to vesting and repurchase under the 2019 Plan.

There were no market-based awards granted or expensed for the year ended December 31, 2022. For the year ended December 31, 2023, the Company granted 500,000 options that had a fair value of $0.9 million on the grant date that vest upon the Company’s common stock meeting certain market-based price targets. The fair value of these market-based awards is being recognized through April 2026. For the year ended December 31, 2023, the Company recognized $0.2 million of share-based compensation expense related to these awards.

Restricted stock awards (2019 Plan)

During the years ended December 31, 2022 and 2023, there were 50 shares and 250 shares, respectively, of restricted stock issued under the 2019 Plan. The weighted average grant-date fair value of restricted stock granted during the years ended December 31, 2022 and 2023 was $2.00 and $1.84 per share, respectively.

Fair value measurement

The Company estimated the fair value of service-based stock options using the Black-Scholes option-pricing model. The fair value of service-based stock options is being amortized on the straight-line basis over the requisite service period of the awards.

 

F-22


Table of Contents

The fair value of the shares of common stock underlying stock options has historically been determined by the Board of Directors. Because there has been no public market for the Company’s common stock, the Board of Directors has determined the fair value of the common stock at the time of grant of the option by considering a number of objective and subjective factors including: (i) third-party valuations of the Company’s common stock; (ii) the Company’s stage of development; (iii) the status of research and development efforts; (iv) the rights, preferences, and privileges of the Company’s redeemable convertible preferred stock relative to those of the Company’s common stock; (v) the Company’s operating results and financial condition, including the Company’s levels of available capital resources; (vi) equity market conditions affecting comparable public companies; (vii) general U.S. market conditions; and (viii) the lack of marketability of the Company’s common stock.

The Black-Scholes option-pricing model requires the use of highly subjective assumptions which determine the fair value of stock-based awards. These assumptions include:

 

 

Risk-free interest rate—The risk-free interest rate is based on the U.S. Treasury zero coupon issues in effect at the time of grant for periods corresponding with the expected term of the stock option.

 

 

Expected volatility—Since the Company is privately held and does not have any trading history for its common stock, the expected volatility was estimated based on the average volatility for comparable publicly traded biopharmaceutical companies over a period equal to the expected term of the stock option grants. The comparable companies were chosen based on their similar size, stage in the life cycle or area of specialty. The Company will continue to apply this process until enough historical information regarding the volatility of its own stock becomes available.

 

 

Expected term—The expected term represents the period that the stock option grants are expected to be outstanding. The Company used the simplified method to determine the expected term. The simplified method is based on the midpoint between the vesting date and the end of the contractual term. The Company utilizes this method due to lack of historical exercise data.

 

 

Expected dividend yield—The Company has never paid dividends on its common stock and has no plans to pay dividends on its common stock. Therefore, the Company used an expected dividend yield of zero.

The fair value of service-based stock options granted to employees and non-employees during the years ended December 31, 2022 and 2023 was estimated using the following weighted-average assumptions:

 

   
     Year ended
December 31,
 
      2022      2023  

Risk-free interest rate

     1.86%-4.05%        3.41%-4.74%  

Expected volatility

     80%        85%  

Expected term (years)

     5.5-6.25 years        6.0-6.25 years  

Expected dividend yield

             

 

 

The fair value of awards that contain market-based conditions issued during fiscal year 2023 was measured using a Monte-Carlo option pricing model at the date of grant using input assumptions that include a risk-free rate of 4.35%, volatility of 80%, and a discount rate of 25%.

 

F-23


Table of Contents

Stock-based compensation expense

The following table summarizes the components of stock-based compensation expense recognized in the Company’s statement of operations and comprehensive loss during the years ended December 31, 2022 and 2023:

 

   
       Year ended
December 31,
 
        2022        2023  
       (in thousands)  

Research and development

     $ 3,727        $ 5,315  

General and administrative

       3,009          3,432  
    

 

 

 

Total stock-based compensation expense

     $ 6,736        $ 8,747  

 

 

For the year ended December 31, 2022 and 2023, the Company recognized $0.6 million and $0.2 million, respectively, in stock-based compensation expense related to restricted stock issued to founders, employees, and non-employees. For the years ended December 31, 2022 and 2023, the Company recognized $6.2 million and $8.5 million, respectively, in stock-based compensation related to stock option grants issued to employees and non-employees. As of December 31, 2022 and 2023, there was $17.7 million and $16.4 million, respectively, of total unrecognized compensation cost related to unvested options and restricted stock awards for which the cost is expected to be recognized over a weighted-average period of 2.87 years and 2.52 years, respectively.

8. Commitments and contingencies

Legal proceedings

From time to time, the Company may have certain contingent liabilities that arise in the ordinary course of its business activities. The Company accrues a liability for such matters when it is probable that future expenditures will be made and that such expenditures can be reasonably estimated. Significant judgment is required to determine both probability and the estimated amount. No contingent liabilities have been recorded as of December 31, 2022 and 2023.

Indemnification

In accordance with the Company’s amended and restated certificate of incorporation and amended and restated bylaws, the Company has indemnification obligations to its officers and directors for certain events or occurrences, subject to certain limits, while they are serving in such capacity. There have been no claims to date, and the Company has a directors and officers liability insurance policy that may enable it to recover a portion of any amounts paid for future claims.

Consortium agreements

Since November 2019, the Company entered into a Consortium Agreement and certain related amended agreements with the University of Helsinki and other parties for access to a collaborative pre-competitive research project. The project aims to collect genomic information from patient samples in biobanks across Finland to which the Company is granted access. Under the agreement, the Company is obligated to pay certain installments through the year 2027. The Company paid $1.5 million and $0.9 million during the years ended December 31, 2022 and 2023, respectively, under the related agreements. As of December 31, 2023, the Company is obligated to pay approximately $5.4 million under this agreement, of which $0.8 million, $0.7 million, $1.1 million, and $2.8 million will be paid in each of the years ended December 31, 2024, 2025, 2026, and 2027, respectively.

 

F-24


Table of Contents

In November 2021 the Company entered into a Genes and Health Industry Consortium Agreement with Queen Mary University to source genetic and paired clinical data from a long-term community-based study run jointly by government, academic and non-profit institutions. Under the agreement, the Company is obligated to pay certain installments through the year 2025. The Company paid $1.8 million and $1.2 million during the years ended December 31, 2022 and 2023, respectively under the related agreement. As of December 31, 2023, the Company is obligated to pay approximately $1.4 million under this agreement, of which $0.9 million and $0.5 million will be paid in each of the years ended December 31, 2024 and 2025, respectively.

9. Operating Leases

In September 2019, the Company entered into a lease in South San Francisco, California for approximately 67,200 square feet of office and laboratory space, which serves as the Company’s corporate headquarters, or Headquarters. The lease commenced in May 2020 and terminates in November 2030 with an option to extend the lease term for an additional period of eight years. The Company determined that given the length of time between lease commencement and the renewal period for this lease agreement (more than 10 years from the commencement date) and the uncertainty of business and market conditions in the future, it is not reasonably certain that the renewal option will be exercised. The Company is obligated to make total fixed payments over the lease term of approximately $53.5 million. The Company has provided the landlord with a letter of credit in the amount of $1.1 million. The security for the letter of credit is classified as restricted cash under long term assets on the balance sheet. Under this lease, the Company received reimbursement of $4.4 million for the costs associated with the design, development and construction of certain improvements that are deemed to be the property of the landlord. Such expenditures for lessor assets are recorded as prepaid rent and then reduced upon reimbursement. Total rent expense for this lease was $5.1 million for each of the years ended December 31, 2022 and 2023.

The lease costs, which are included in operating expenses in the statements of operations and comprehensive loss, were as follows:

 

   
     Year ended
December 31,
 
      2022      2023  
     (in thousands)  

Operating lease expense

   $ 5,069      $ 5,088  

Cash paid for operating leases

     4,748        4,914  

 

 

As of December 31, 2023, the weighted-average remaining lease term was 6.9 years, and the weighted-average discount rate was 9.0%. As of December 31, 2023, the Company recorded current operating lease liabilities of $4.5 million, non-current operating lease liabilities of $25.1 million, and a corresponding right-of-use asset of $26.1 million on the balance sheet.

 

F-25


Table of Contents

The following table reconciles the undiscounted future minimum lease payments required to the operating leases recorded on the Company’s balance sheet as of December 31, 2023:

 

   
Year Ending December 31,    Amount  
     (in thousands)  

2024

   $ 4,650  

2025

     5,248  

2026

     5,432  

2027

     5,622  

2028

     5,819  

Thereafter

     11,714  
  

 

 

 

Total undiscounted future minimum lease payments

     38,485  

Less: Imputed interest

     (8,942
  

 

 

 

Total operating lease liabilities

   $  29,543  

 

 

Sublease

The Company was a sublessor in a sublease agreement for approximately 6,500 rentable square feet of space in the Company’s Headquarters, the term of which expired in June 2022. Total sublease income was $0.3 million and zero for the years ended December 31, 2022 and 2023, respectively, and recorded in interest and other income. There were no future undiscounted cash flows relating to the sublease agreement as of December 31, 2022 and 2023.

10. Convertible promissory notes and other debt agreements

Convertible promissory notes

In December 2023, the Company entered into a convertible note purchase agreement with certain existing investors to issue up to $25.0 million in convertible promissory notes, or the Convertible Promissory Notes. The Convertible Promissory Notes bear interest at a rate of 8% per annum and mature in December 2026. The Company issued $16.2 million of the Convertible Promissory Notes, net of issuance costs of $0.1 million, as of December 31, 2023.

The Convertible Promissory Notes contain automatic conversion features that are triggered upon a qualified preferred stock financing or a qualified public offering. In the event of a qualified preferred stock financing or a qualified public offering, the total outstanding principal and accrued interest will automatically convert into preferred stock or common stock, respectively, at a conversion price equal to 80% of the price per share paid by other purchasers of the respective financing or offering. If the Convertible Promissory Notes have not been repaid or converted before they mature, the holders may convert the outstanding principal and accrued interest into Series C Preferred Stock at $2.9515 per share.

The Company elected to apply the fair value option, as per ASC 825, to the outstanding Convertible Promissory Notes. As such, the Convertible Promissory Notes are recognized at fair value with changes in fair value recognized in the consolidated statements of operations and comprehensive loss. The fair value of the Convertible Promissory Notes is based on significant inputs, including volatility, discount yield, variables for the timing of the related conversion events and other probability estimates, which are deemed to be Level 3 inputs in the fair value hierarchy. The assumptions used to determine the fair value of the Convertible Promissory Notes included an estimated 90% probability of conversion of the promissory notes at a 20% discount, an assumed discount rate of 25%, the assumed value of the convertible preferred stock, and an estimated time to

 

F-26


Table of Contents

settlement of up to 1.3 years. The fair value of the Convertible Promissory Notes was $20.1 million as of December 31, 2023. The Company recorded a loss of $3.8 million reflecting the change in fair value of the Convertible Promissory Notes in the statements of operations and comprehensive loss for the year ended December 31, 2023.

Loan and security agreement

In June 2022, the Company entered into a loan and security agreement with a bank that provides a three-year revolving line of credit of up to $50.0 million that is secured by substantially all of the Company’s assets, except for its intellectual property. The Company has not elected to draw down any funds from this debt facility during the years ended December 31, 2022 and 2023. Advances under the revolving line may be prepaid and reborrowed by the Company without penalty. If a certain funding milestone is met due to the sale of equity securities and/or upfront non-refundable payments from strategic partnerships, the Company has the option to convert the aggregate principal amount into a term loan. Advances under the line of credit accrue interest at a variable annum rate of the greater of (i) 0.75% above the Prime Rate (as defined below) and (ii) 4.50%. The Prime Rate is defined as the variable rate of interest, per annum, most recently announced by the bank, as its “prime rate,” whether or not such announced rate is the lowest rate available from the bank.

Under the loan and security agreement, the Company is required to pay the bank a success fee of up to $2.0 million depending on if the Company closes a sale of substantially all of its assets, consummates a reorganization where the voting stockholders before such transaction hold less than 50% of the voting securities after such transaction, or the sale of the Company’s securities in connection with an initial public offering, reverse merger or other similar transaction wherein the Company’s securities may thereafter be traded in a public market. This success fee was deemed to be a freestanding derivative instrument that was bifurcated from the line-of-credit instrument and is initially and subsequently measured at fair value each reporting period. The fair value of this success fee derivative was estimated utilizing a probability-weighted cash flow approach, including variables for the timing of the related events and other probability estimates, which are deemed to be Level 3 inputs in the fair value hierarchy. The fair value of this success fee derivative was approximately $0.1 million as of December 31, 2022 and 2023, respectively, and is recorded in accrued expenses and other current liabilities. The change in fair value of the derivative of less than $0.1 million is recorded in interest and other income, net. Total issuance costs and the debt discount arising from the success fee amounted to $0.3 million and were recorded in other assets, which are amortized as interest expense over the commitment period.

11. Related party transactions

The Company paid fees to its founders and certain board members in exchange for consulting services. During each of the years ended December 31, 2022 and 2023, the Company recorded such fees of $0.3 million as research and development expenses and $0.2 million as general and administrative expenses.

12. Income taxes

No provision for, or benefit from, income taxes was recorded for the years ended December 31, 2022 and 2023. The Company has established a full valuation allowance against its net deferred tax assets due to the uncertainty surrounding the realization of such assets. All losses to date have been incurred domestically.

 

F-27


Table of Contents

The effective income tax rate of the Company’s provision for income taxes differed from the federal statutory rate as follows:

 

   
     Year ended
December 31,
 
      2022      2023  

Statutory income tax rate

     21.00%        21.00%  

State income tax

     0.79%        1.69%  

Permanent differences

     (0.08)%        (0.88)%  

Stock-based compensation expense

     (0.58)%        (0.89)%  

Others

     0.00%        (0.51)%  

Tax credits

     2.48%        2.53%  

Valuation allowance

     (23.61)%        (22.94)%  
  

 

 

 

Total effective income tax rate

     0.00%        0.00%  

 

 

Deferred income taxes reflect the net tax effects: of (a) temporary differences between the carrying amounts of assets and liabilities for financial reporting purposes and the amounts used for income tax purposes, and (b) operating losses and tax credit carryforwards. The tax effects of significant items comprising the Company’s deferred tax as of December 31, 2022 and 2023 are as follows:

 

   
     December 31,  
      2022     2023  
     (in thousands)  

Deferred tax assets:

    

Operating loss and tax credit carryforwards

   $ 41,459     $ 50,033  

Lease liability

     6,741       6,216  

Research and development credits

     10,464       14,663  

Accruals and other

     3,252       3,952  

Capitalized research and development

     14,799       24,097  
  

 

 

 

Total deferred tax assets

     76,715       98,961  
  

 

 

 

Deferred tax liabilities:

    

Property and equipment, net

     (452     (225

Right of use asset

     (6,062     (5,500
  

 

 

 

Total deferred tax liabilities

     (6,514     (5,725
  

 

 

 

Valuation allowance

     (70,201     (93,236
  

 

 

 

Net deferred tax assets

   $     $  

 

 

ASC 740, Income Taxes, requires that the tax benefit of net operating losses, or NOLs, temporary differences, and credit carryforwards be recorded as an asset to the extent that management assesses that realization is “more likely than not.” Realization of the future tax benefits is dependent on the Company’s ability to generate sufficient taxable income within the carryforward period. Because of the Company’s history of operating losses, management believes that recognition of the deferred tax assets arising from the above-mentioned future tax benefits is currently not likely to be realized and, accordingly, has provided a valuation allowance.

The realization of deferred tax assets is dependent upon future earnings, if any, of which the timing and amount are uncertain. Accordingly, the net deferred tax assets have been fully offset by a valuation allowance. During the years ended December 31, 2022 and 2023, the valuation allowance increased by $26.9 million and $23.0 million, respectively.

 

F-28


Table of Contents

Utilization of the net operating loss carryforwards and credits may be subject to a substantial annual limitation due to the ownership change limitations provided by the Internal Revenue Code of 1986, as amended, or the Code, and similar state provisions. The Company had a Section 382 study prepared which covered the period from inception through March 2024. The study concluded that several ownership changes occurred since the inception of the Company. However, it was determined that the annual available NOLs under Section 382 will be sufficient to utilize in their entirety prior to their respective expiration years.

Net operating losses and tax credit carryforwards as of December 31, 2023 are as follows:

 

     
      December 31,
2023
     Expiration year
     (in thousands)       

Net operating losses, federal (post-December 31, 2017)

   $ 236,126      Do not expire

Net operating losses, federal (pre-January 1, 2018)

     1,401      12/31/2037

Net operating losses, state

     2,444      2037—2043

Tax credits, federal

     12,914      2037—2043

Tax credits, state

     7,632      2038—2043

 

ASC Topic 740-10 prescribes a comprehensive model for the recognition, measurement, presentation and disclosure in financial statements of any uncertain tax positions that have been taken or expected to be taken on a tax return. The Company had unrecognized tax benefits of $2.8 million as of December 31, 2022 and $4.6 million as of December 31, 2023. The amount of unrecognized tax benefits is not expected to significantly change over the next twelve months. No amounts, outside of valuation allowance, would impact the effective tax rate on continuing operations. The beginning and ending gross unrecognized tax benefits amounts are as follows:

 

   
     December 31,  
      2022      2023  
     (in thousands)  

Unrecognized tax benefit—beginning of period

   $ 1,863      $ 2,829  

Gross increase/(decrease)—prior period tax positions

     38        165  

Gross increase/(decrease)—current period tax positions

     928        1,629  
  

 

 

 

Unrecognized tax benefit—end of period

   $ 2,829      $ 4,623  

 

 

It is the Company’s policy to include penalties and interest expense related to income taxes as a component of income tax expense as necessary. Management determined that no accrual for interest and penalties was required as of December 31, 2022 and 2023. The Company’s tax jurisdictions are the United States (federal) and the states of California, Colorado, Idaho, Maine, Massachusetts, New Hampshire, New York, and Utah. The Company’s tax years from inception in 2017 forward remain open for examination by the federal and state authorities due to the carryover of unused net operating losses and tax credits. The Company is not currently subject to income tax examinations by any authority.

 

F-29


Table of Contents

13. Net loss and net loss per share

The following table sets forth the computation of basic and diluted net loss per share (in thousands, except share and per share data):

 

   
     Year ended December 31,  
      2022     2023  

Numerator:

    

Net loss

   $ (114,940   $ (100,415

Denominator:

    

Weighted-average shares of common stock outstanding

     22,848,251       22,949,245  

Less: weighted-average common shares subject to vesting

     (3,468,668     (877,837
  

 

 

 

Weighted-average shares of common stock outstanding used in the calculation of basic and diluted net loss per share

     19,379,583       22,071,408  
  

 

 

 

Net loss per share, basic and diluted

   $ (5.93)     $ (4.55

 

 

Since the Company was in a loss position for the period presented, basic net loss per share is the same as diluted net loss per share for the period as the inclusion of all common stock equivalents outstanding would have been anti-dilutive. Potentially dilutive securities that were not included in the diluted per share calculations because they would be anti-dilutive were as follows:

 

   
     December 31,  
      2022      2023  

Series A redeemable convertible preferred stock

     104,985,132        104,985,132  

Series B redeemable convertible preferred stock

     57,563,188        57,563,188  

Series C redeemable convertible preferred stock

     40,866,704        40,866,704  

Shares subject to outstanding stock options

     25,976,799        31,031,869  

Unvested restricted stock subject to repurchase

     1,042,846        400,000  

Unvested exercised options subject to repurchase

     533,803        203,930  
  

 

 

 

Total

     230,968,472        235,050,823  

 

 

In addition to the above, the Company has excluded common shares from the assumed conversion of the Convertible Promissory Notes outstanding at December 31, 2023 from the computation of diluted net loss per share for the periods indicated because including them would have had an anti-dilutive effect. As described in Note 10 on Convertible promissory notes and other debt agreements, the Convertible Promissory Notes are convertible into either common stock or into preferred shares of the Company, which would then be convertible into common shares as described in the Convertible Promissory Note agreements.

14. Employee 401(k) plan

In 2019, the Company implemented a defined contribution savings plan under Section 401(k) of the Code. Employees are eligible to participate in the plan on the first day of the month after their hire date and may contribute up to the current statutory limits under IRS regulations. The 401(k) plan permits the Company to make additional matching contributions on behalf of all employees. The Company incurred and accrued matching contributions of $0.3 million for each of the years ended December 31, 2022 and 2023.

 

F-30


Table of Contents

15. Subsequent events

The Company evaluated subsequent events for recognition and measurement purposes through June 21, 2024, the date the financial statements were available for issuance.

In January 2024, the Company completed the second closing of the issuance of the Convertible Promissory Notes for gross proceeds of $8.8 million. Additionally, in February 2024, the Company executed an amendment to the convertible note purchase agreement for the sale of additional Convertible Promissory Notes of up to $75.0 million in total, including the $25.0 million issued in the initial and second closings. From February 2024 through April 2024, the Company issued an additional $15.7 million in Convertible Promissory Notes, resulting in the Company receiving $24.5 million in gross proceeds subsequent to December 31, 2023, and issuing a total of $40.7 million aggregate principal amount of Convertible Promissory Notes.

In March 2024, the Company entered into an exclusive license agreement with a biotechnology company pursuant to which the Company granted an exclusive worldwide license to a discovery research program targeting UNC13A for the treatment of amyotrophic lateral sclerosis. As consideration for the licensed rights and the transfer of know-how and materials, the Company received an upfront payment of $15.0 million.

In March 2024, the Company entered into an exclusive license agreement with Shionogi pursuant to which the Company granted Shionogi an exclusive, worldwide, sublicensable license to research, develop, manufacture and commercialize MZE001 and certain other small molecule compounds modulating glycogen synthase 1. As consideration for the licensed rights and the transfer of know-how and materials, the Company received an upfront payment of $150.0 million. The license agreement also requires that Shionogi pay the Company up to $275.0 million in the aggregate in milestone payments upon the completion of certain clinical and regulatory milestones and up to $330.0 million in the aggregate in milestone payments if certain sales milestones are achieved. The License Agreement also requires that Shionogi pay the Company tiered royalties ranging from percentages in the low double-digits to twenty on net sales of licensed products, subject to certain deductions.

In April 2024, the Company amended its Amended and Restated Certificate of Incorporation to increase its authorized shares to 268,150,000 of $0.001 par value common stock in connection with an amendment to its 2019 Plan to increase the number of shares of common stock reserved for future issuance under the plan by 7,150,000 shares.

From January 1, 2024 through June 21, 2024, the Company granted a total of 5,126,650 stock options with an exercise price of $1.46 per share, including 450,000 stock options granted to a member of the board of directors, and 150 fully vested restricted stock awards.

 

F-31


Table of Contents

Maze Therapeutics, Inc.

Condensed balance sheets (unaudited)

(in thousands, except share and per share data)

 

     
     December 31,     September 30,  
      2023     2024  

Assets

    

Current assets:

    

Cash and cash equivalents

   $ 29,158     $ 149,607  

Prepaid expenses and other current assets

     4,952       4,349  
  

 

 

 

Total current assets

     34,110       153,956  

Property and equipment, net

     8,845       6,942  

Restricted cash

     1,088       1,088  

Operating lease right-of-use asset

     26,139       23,990  

Other assets

     1,322       6,504  
  

 

 

 

Total assets

   $ 71,504     $ 192,480  
  

 

 

 

Liabilities, Redeemable Convertible Preferred Stock and Stockholders’ Deficit

    

Current liabilities:

    

Accounts payable

   $ 2,019     $ 1,018  

Accrued expenses and other current liabilities

     9,808       11,920  

Operating lease liabilities, current

     4,489       4,617  
  

 

 

 

Total current liabilities

     16,316       17,555  

Operating lease liabilities, net of current portion

     25,054       22,795  

Convertible promissory notes

     20,080       51,748  

Other liabilities

           1,012  
  

 

 

 

Total liabilities

     61,450       93,110  

Commitments and contingencies (Note 8)

    

Redeemable convertible preferred stock, $0.001 par value; 203,415,024 shares authorized as of December 31, 2023 and September 30, 2024; 203,415,024 shares issued and outstanding as of December 31, 2023 and September 30, 2024; aggregate liquidation preference of $383,902 as of December 31, 2023 and September 30, 2024

     383,902       383,902  

Stockholders’ deficit:

    

Common stock, $0.001 par value; 261,000,000 and 268,150,000 shares authorized as of December 31, 2023 and September 30, 2024, respectively; 22,996,976 and 23,526,903 shares issued and outstanding as of December 31, 2023 and September 30, 2024, respectively; 603,930 and 101,605 shares subject to repurchase as of December 31, 2023 and September 30, 2024, respectively

     22       23  

Additional paid-in-capital

     21,816       29,321  

Accumulated deficit

     (395,686     (313,876
  

 

 

 

Total stockholders’ deficit

     (373,848     (284,532
  

 

 

 

Total liabilities, redeemable convertible preferred stock and stockholders’ deficit

   $ 71,504     $ 192,480  

 

 

See accompanying notes to these condensed financial statements.

 

F-32


Table of Contents

Maze Therapeutics, Inc.

Condensed statements of operations and comprehensive income (loss) (unaudited)

(in thousands, except share and per share data)

 

   
    Nine months ended
September 30,
 
     2023     2024  

License revenue

  $     $ 167,500  

Operating expenses:

   

Research and development

    57,900       61,280  

General and administrative

    17,600       18,908  
 

 

 

 

Total operating expenses

    75,500       80,188  

(Loss) income from operations

    (75,500     87,312  

Interest and other income, net

    1,662       3,138  

Change in fair value of convertible promissory notes

          (7,193
 

 

 

 

(Loss) income before income tax expense

  $ (73,838)     $ 83,257  

Income tax expense

          (1,447
 

 

 

 

Net (loss) income and comprehensive (loss) income

  $ (73,838)     $ 81,810  
 

 

 

 

Allocation of undistributed earnings to participating securities (see Note 12)

          (73,499
 

 

 

 

Net (loss) income attributable to common stockholders, basic (see Note 12)

  $ (73,838)     $ 8,311  
 

 

 

 

Net (loss) income attributable to common stockholders, diluted (see Note 12)

  $ (73,838)     $ 9,031  
 

 

 

 

Net (loss) income per share attributable to common stockholders (see Note 12):

   

Basic

  $ (3.36)     $ 0.36  
 

 

 

 

Diluted

  $ (3.36)     $ 0.28  
 

 

 

 

Weighted-average shares used in computing net (loss) income per share attributable to common stockholders (see Note 12):

   

Basic

    21,973,231       22,999,287  
 

 

 

 

Diluted

    21,973,231       32,669,880  
 

 

 

 

 

 

See accompanying notes to these condensed financial statements.

 

F-33


Table of Contents

Maze Therapeutics, Inc.

Condensed statements of redeemable convertible preferred stock and stockholders’ deficit (unaudited)

(in thousands, except share data)

 

             
    Redeemable convertible
preferred stock
          Common stock     Additional
paid-in
capital
    Accumulated
deficit
    Total
stockholders’
deficit
 
     Shares     Amount            Shares     Amount  

Balance as of December 31, 2022

    203,415,024     $ 383,902           22,868,289     $ 21     $ 12,791     $ (295,271   $ (282,459

Exercise of stock options

                    164,934             204             204  

Issuance of restricted stock

                    100                          

Repurchase of unvested restricted stock and early exercised stock options

                    (46,667                        

Vesting of restricted stock and early exercised stock options

                          1       51             52  

Stock-based compensation expense

                                6,190             6,190  

Net loss and comprehensive loss

                                      (73,838     (73,838
 

 

 

 

Balance as of September 30, 2023

    203,415,024     $ 383,902           22,986,656     $ 22     $ 19,236     $ (369,109   $ (349,851

 

 

 

             
    Redeemable convertible
preferred stock
          Common stock     Additional
paid-in
capital
    Accumulated
deficit
    Total
stockholders’
deficit
 
     Shares     Amount            Shares     Amount  

Balance as of December 31, 2023

    203,415,024     $ 383,902           22,996,976     $ 22     $ 21,816     $ (395,686   $ (373,848

Exercise of stock options

                    654,752     1       688             689  

Issuance of restricted stock

                    175                          

Repurchase of early exercised stock options

                    (125,000                        

Vesting of restricted stock and early exercised stock options

                                22             22  

Stock-based compensation expense

                                6,795             6,795  

Net income and comprehensive income

                                      81,810       81,810  
 

 

 

 

Balance as of September 30, 2024

    203,415,024     $ 383,902           23,526,903     $ 23     $ 29,321     $ (313,876   $ (284,532

 

 

See accompanying notes to these condensed financial statements.

 

F-34


Table of Contents

Maze Therapeutics, Inc.

Condensed statements of cash flows (unaudited)

(in thousands)

 

   
     Nine Months Ended
September 30,
 
      2023     2024  

Operating activities

    

Net (loss) income

   $ (73,838   $ 81,810  

Adjustments to reconcile net (loss) income to net cash (used in) provided by operating activities:

    

Depreciation

     3,113       2,592  

Stock-based compensation expense

     6,190       6,795  

Non-cash lease expense

     2,002       2,149  

Change in fair value of convertible promissory notes

           7,193  

Other items, net

     417       421  

Changes in operating assets and liabilities:

    

Prepaid expenses and other current assets

     2,174       603  

Other assets

     497       (1,965

Accounts payable

     424       (1,025

Accrued expenses and other current liabilities

     (5,307     1,964  

Operating lease liabilities

     (1,856     (2,131
  

 

 

 

Net cash (used in) provided by operating activities

     (66,184     98,406  
  

 

 

 

Investing activities

    

Purchases of property and equipment

     (407     (542
  

 

 

 

Net cash used in investing activities

     (407     (542
  

 

 

 

Financing activities

    

Payment of deferred offering costs

           (2,560

Proceeds from exercise of stock option awards, net of repurchases

     197       670  

Proceeds from issuance of convertible promissory notes, net of issuance costs

           24,475  
  

 

 

 

Net cash provided by financing activities

     197       22,585  
  

 

 

 

Net (decrease) increase in cash, cash equivalents, and restricted cash

     (66,394     120,449  
  

 

 

 

Cash, cash equivalents, and restricted cash at beginning of year

     101,129       30,246  
  

 

 

 

Cash, cash equivalents, and restricted cash at end of year

   $ 34,735     $ 150,695  
  

 

 

 

Supplemental disclosure of non-cash investing and financing activities

    

Purchases of property and equipment recorded in accounts payable and accrued expenses

   $ 79     $ 208  

Vesting of restricted stock and stock options subject to repurchase

   $ 52     $ 22  

Deferred offering costs included in accounts payable and accrued expenses

   $     $ 720  

Reconciliation to cash, cash equivalents, and restricted cash:

    

Cash and cash equivalents

   $ 33,472     $ 149,607  

Restricted cash

   $ 1,263     $ 1,088  
  

 

 

 

Total cash, cash equivalents, and restricted cash

   $ 34,735     $ 150,695  

Supplemental disclosure of cash flow information:

    

Income taxes paid

   $     $ 1,230  

 

 

See accompanying notes to these condensed financial statements.

 

F-35


Table of Contents

Maze Therapeutics, Inc.

Notes to the condensed financial statements (unaudited)

1. Organization and principal activities

Description of business

Maze Therapeutics, Inc., or the Company, is a clinical stage biopharmaceutical company harnessing the power of human genetics and variant functionalization with its Maze Compass platform to develop small molecule precision medicines for the treatment of renal, cardiovascular and related metabolic diseases, including obesity. The Company was incorporated in Delaware in August 2017 and is located in South San Francisco, California.

Liquidity and capital resources

Other than the net income of $81.8 million generated during the nine months ended September 30, 2024, the Company has incurred significant losses and negative cash flows from operations since its inception and expects to incur significant and increasing losses as a result of its continued research and development activities. As of September 30, 2024, the Company had an accumulated deficit of $313.9 million. Historically, the Company has financed its operations primarily through private placements of its redeemable convertible preferred stock, issuances of convertible promissory notes and license agreements. The Company may seek to raise capital through debt financings, private or public equity financings, or other sources of financing. There can be no assurance that such financing will be available or will be at terms acceptable to the Company.

As of September 30, 2024, the Company had cash and cash equivalents of $149.6 million. The Company believes that its cash and cash equivalents as of September 30, 2024 will be sufficient to fund the Company’s operations for at least one year from the issuance date of these condensed financial statements.

2. Summary of significant accounting policies

Basis of presentation

The condensed balance sheet as of September 30, 2024, condensed statements of operations and comprehensive income (loss), condensed statements of redeemable convertible preferred stock and stockholders’ deficit and condensed statements of cash flows for the nine months ended September 30, 2023 and 2024 and related notes to the condensed financial statements are unaudited. These unaudited interim condensed financial statements have been prepared on the same basis as the Company’s annual financial statements and, in the opinion of management, reflect all adjustments that are necessary for the fair statement of the Company’s financial position, results of operations and cash flows for the periods presented. The condensed results of operations for the nine months ended September 30, 2024 are not necessarily indicative of the results to be expected for the full year or for any other future annual or interim period. The condensed balance sheet as of December 31, 2023 included herein was derived from the audited financial statements as of that date. These interim condensed financial statements should be read in conjunction with the Company’s audited financial statements included elsewhere in this prospectus.

During the nine months ended September 30, 2024, there were no significant changes to the Company’s significant accounting policies as described in the Company’s audited financial statements as of and for the year ended December 31, 2023 included elsewhere in this prospectus except as described below.

Use of estimates

The preparation of condensed financial statements in conformity with accounting principles generally accepted in the United States of America, or GAAP, requires management to make estimates and assumptions that affect

 

F-36


Table of Contents

the amounts reported in the condensed financial statements and accompanying notes. The Company bases its estimates on historical experience and market-specific or other relevant assumptions that it believes are reasonable under the circumstances. Assets and liabilities reported in the Company’s condensed balance sheet and expenses reported are affected by estimates and assumptions, which are used for, but are not limited to, measuring and recognizing revenue, and determining the fair value of assets and liabilities, including the convertible promissory notes, common stock valuation, income tax uncertainties, measurement of stock-based compensation expense, and certain accruals. Actual results could differ from such estimates or assumptions.

Cash, cash equivalents and restricted cash

The Company considers all highly liquid financial instruments with original maturities of 90 days or less at the date of purchase to be cash equivalents. As of December 31, 2023, and September 30, 2024 cash equivalents consisted of money market funds. Restricted cash is comprised of cash that is restricted as to withdrawal or use under the terms of certain contractual agreements. Restricted cash as of December 31, 2023 and September 30, 2024 included $1.1 million, as collateral for a letter of credit related to the Company’s headquarters building lease in South San Francisco, California. Restricted cash is classified as a noncurrent asset on the balance sheet.

Revenue Recognition

The Company recognizes revenue in accordance with Accounting Standards Codification (ASC) 606, Revenue from Contracts with Customers, or ASC 606. To determine the appropriate amount and timing of revenue to be recognized under this guidance, the Company performs the following steps: (i) identifies the contract(s) with a customer; (ii) identifies the performance obligations in the contract; (iii) determines the transaction price, including variable consideration, if any; (iv) allocates the transaction price to the performance obligations in the contract; and (v) recognizes revenue when (or as) the entity satisfies a performance obligation.

The Company has entered into arrangements involving the license of intellectual property. Analyzing the license arrangements to identify performance obligations requires the use of judgment. In arrangements that include the license of intellectual property and other promised services, the Company first identifies if the licenses are distinct from the other promises in the arrangement. For the license of intellectual property that is distinct, the Company recognizes revenue from consideration allocated to the license when the license is transferred and the customer is able to benefit from the license. If the license is not distinct, the license is combined with other services into a single performance obligation and the Company recognizes revenue when (or as) the performance obligation is satisfied. Factors that are considered in evaluating whether a license is distinct from other promised services include, for example, whether the counterparty can benefit from the license without the promised service on its own or with other readily available resources and whether the promised service is expected to significantly modify or customize the intellectual property. Promised goods and services that are not material in the context of the contract are not considered performance obligations.

The transaction price is the amount of consideration to which the Company expects to be entitled in exchange for transferring promised goods or services to a customer. The consideration promised in a contract with a customer may include fixed amounts, variable amounts, or both. Non-refundable upfront payments are considered fixed consideration and included in the transaction price. If an arrangement includes development, regulatory or commercial milestone payments, the Company evaluates whether the milestones are considered probable of being reached and estimates the amount to be included in the transaction price using the most likely amount method. The Company includes the amount of estimated variable consideration, including milestones, in the transaction price to the extent that it is probable that a significant reversal of cumulative revenue recognized will not occur. Milestone payments that are not within the Company’s control or the licensee’s control, such as regulatory approvals, are generally not considered probable of being achieved until

 

F-37


Table of Contents

those approvals are received. At the end of each reporting period, the Company re-evaluates the probability of achievement of the milestones and any related constraint, and, if necessary, adjusts its estimate of the overall transaction price. Any such adjustments are recorded on a cumulative catch-up basis, which will affect revenue in the period of adjustment.

For arrangements with licenses of intellectual property that include sales-based royalties, including milestone payments based on the level of sales, and if the license is deemed to be the predominant item to which the royalties relate, the Company recognizes royalty revenue and sales-based milestones at the later of (i) when the related sales occur, or (ii) when the performance obligation to which the royalty has been allocated has been satisfied.

Amounts received prior to satisfying the revenue recognition criteria are recorded as deferred revenue in the Company’s balance sheets. If the related performance obligation is expected to be satisfied within the next twelve months this will be classified in current liabilities. Amounts recognized as revenue prior to receipt are recorded as contract assets in the Company’s condensed balance sheets. If the Company expects to have an unconditional right to receive consideration in the next twelve months, this will be classified in current assets.

Deferred offering costs

The Company defers offering costs consisting of legal, accounting and other fees and costs directly associated with in-process equity financings until such financings are consummated. After consummation of the equity financing, these costs are classified in stockholders’ deficit as a reduction of the additional paid-in capital recorded as a result of the financing. If the in-process financing is abandoned, the deferred offering costs are expensed immediately as a charge to operating expenses in the statements of operations and comprehensive income (loss). As of September 30, 2024, approximately $3.3 million of deferred offering costs were recorded within other assets in the accompanying condensed balance sheets. As of December 31, 2023, no such costs were deferred.

Net (loss) income per share

Net (loss) income per share attributable to common stockholders is calculated using the two-class method required for companies with participating securities. The Company considers its convertible preferred stock to be participating securities as the holders are entitled to receive noncumulative dividends in the event that a dividend is paid on common stock.

Basic net (loss) income per share attributable to common stockholders is computed by dividing net (loss) income attributable to common stockholders by the weighted-average number of common shares outstanding during the period less common shares subject to vesting or forfeiture, without consideration for potentially dilutive securities. Diluted net (loss) income per share is computed by dividing net (loss) income by the weighted-average number of common shares and the number of common shares that would be issued assuming exercise and conversion of all potentially dilutive instruments. In calculating diluted net (loss) income per share, the Company applies the more dilutive of the two-class method or the if-converted method to the redeemable convertible preferred stock, applies the treasury stock method to equity awards, and applies the if-converted method to the convertible promissory notes, if dilutive.

Distributed and undistributed earnings are allocated to participating securities based on their participation rights and are subtracted from net income in determining net income attributable to common stockholders for basic and diluted net income per share, only in periods of net income.

 

F-38


Table of Contents

New accounting pronouncements—Not yet adopted

In November 2023, the Financial Accounting Standards Board, or FASB, issued Accounting Standards Update, or ASU, 2023-07, Improvements to Reportable Segment Disclosures, which requires all public entities, including public entities with a single reportable segment, to provide in interim and annual periods one or more measures of segment profit or loss used by the chief operating decision maker to allocate resources and assess performance. Additionally, the standard requires disclosures of significant segment expenses and other segment items as well as incremental qualitative disclosures. ASU 2023-07 is effective for annual reporting beginning with the fiscal year ending December 31, 2024, and for interim periods thereafter. The Company is currently evaluating the incremental disclosures that will be required in its financial statements.

In December 2023, the FASB issued ASU 2023-09, Improvements to Income Tax Disclosures, which will require incremental income tax disclosures on an annual basis for all public entities. The amendments require that public business entities disclose specific categories in the rate reconciliation and provide additional information for reconciling items meeting a quantitative threshold. The amendments also require disclosure of income taxes paid to be disaggregated by jurisdiction, and disclosure of income tax expense disaggregated by federal, state, and foreign. ASU 2023-09 is effective for annual reporting beginning with the fiscal year ending December 31, 2025. The Company is currently evaluating the incremental disclosures that will be required in its financial statements.

In November 2024, the FASB issued ASU 2024-03, Income Statement—Reporting Comprehensive Income—Expense Disaggregation Disclosures, which will require additional expense disclosures for all public entities. The amendments require that at each interim and annual reporting period, an entity will disclose certain disaggregated expenses included in each relevant expense caption, as well as the total amount of selling expenses and, in annual periods, an entity’s definition of selling expenses. ASU 2024-03 is effective for annual reporting periods beginning with the fiscal year ending December 31, 2027, and interim periods thereafter, with early adoption permitted. The Company is currently evaluating the incremental disclosures that will be required in its financial statements.

3. Fair value measurements

The following tables summarize the types of assets and liabilities measured at fair value on a recurring basis by level within the fair value hierarchy. Refer to Note 9 on Convertible promissory notes and other debt agreements regarding the Company’s methodology of measuring the fair value of the convertible promissory notes and the credit line success fee derivative.

 

F-39


Table of Contents
   
     Fair value measurements  
     (in thousands)  
      Total      Level 1      Level 2      Level 3  

December 31, 2023

           

Assets

           

Cash equivalents

   $ 13,955      $ 13,955      $      $  

Restricted cash

     1,088        1,088                
  

 

 

 

Total assets measured at fair value

   $ 15,043      $ 15,043      $      $  

Liabilities

           

Credit line success fee derivative

   $ 50      $      $      $ 50  

Convertible promissory notes

     20,080                      20,080  
  

 

 

 

Total liabilities measured at fair value

   $ 20,130      $      $      $ 20,130  

September 30, 2024

           

Assets

           

Cash equivalents

   $ 20,461      $ 20,461      $      $  

Restricted cash

     1,088        1,088                
  

 

 

 

Total assets measured at fair value

   $ 21,549      $ 21,549      $      $  

Liabilities

           

Credit line success fee derivative

   $ 350      $      $      $ 350  

Convertible promissory notes

     51,748                      51,748  
  

 

 

 

Total liabilities measured at fair value

   $ 52,098      $      $      $ 52,098  

 

 

There were no transfers between Level 1, 2, or 3 during the nine months ended September 30, 2024.

4. Balance sheet components

Accrued expenses and other current liabilities consisted of the following:

 

     
     December 31,      September 30,  
      2023      2024  
            (in thousands)  

Accrued compensation expenses

   $ 6,882      $ 6,213  

Accrued research and development expenses

     1,642        3,258  

Accrued professional expenses

     1,112        1,810  

Income tax payable

            217  

Other accrued expenses and current liabilities

     172        422  
  

 

 

 

Total accrued expenses and other current liabilities

   $ 9,808      $ 11,920  

 

 

5. Capital structure

Common stock

As of September 30, 2024, the Company was authorized to issue 268,150,000 shares of $0.001 par value common stock. Of the total common shares issued and outstanding, 3,000,000 shares were purchased by Third Rock Ventures, LLC, or TRV, upon the founding of the Company. TRV also purchased 55,000,000 shares of

 

F-40


Table of Contents

Series A redeemable convertible preferred stock. The remaining common shares issued and outstanding as of September 30, 2024 are restricted stock awards granted and stock option awards exercised under the plans discussed in Note 6 on Equity incentive plan and stock-based compensation expense. Common stockholders are entitled to dividends if and when declared by the Board of Directors of the Company, or the Board of Directors, subject to the prior rights of holders of all classes of stock outstanding having priority rights as to dividends. The holder of each share of common stock is entitled to one vote. As of September 30, 2024, no dividends were declared.

Common stock reserved for future issuance, on an as-converted basis, consisted of the following:

 

     
     December 31,      September 30,  
      2023      2024  

Series A redeemable convertible preferred stock

     104,985,132        104,985,132  

Series B redeemable convertible preferred stock

     57,563,188        57,563,188  

Series C redeemable convertible preferred stock

     40,866,704        40,866,704  

Shares reserved under 2019 Equity Incentive Plan

     583,767        1,813,737  

Stock options, issued and outstanding

     31,031,869        36,421,972  
  

 

 

 

Total

     235,030,660        241,650,733  

 

 

Redeemable convertible preferred stock

Issued and outstanding redeemable convertible preferred stock as of December 31, 2023 and September 30, 2024 consisted of the following:

 

           
Series    Shares
authorized
     Shares issued
and outstanding
     Original
issue price
per share
     Aggregate
liquidation
amount
     Net carrying
value
 
            (in thousands, except share and per share data)  

Series A

     104,985,132        104,985,132      $ 1.00      $ 104,985      $ 104,985  

Series B

     57,563,188        57,563,188      $ 2.75      $ 158,299      $ 158,299  

Series C

     40,866,704        40,866,704      $ 2.9515      $ 120,618      $ 120,618  
  

 

 

       

 

 

 

Total

     203,415,024        203,415,024         $ 383,902      $ 383,902  

 

 

As of December 31, 2023 and September 30, 2024, the carrying value of each series of redeemable convertible preferred stock was recorded at its redemption value.

6. Equity incentive plan and stock-based compensation expense

2018 Stock Option and Grant Plan

Restricted stock awards

The following table summarizes restricted common stock activity under the 2018 Stock Option and Grant Plan, or the 2018 Plan, during the nine months ended September 30, 2024:

 

     
      Restricted
stock awards
    Weighted-
average
grant date
fair value
 

Unvested restricted stock awards as of December 31, 2023

     50,000     $ 0.001  

Vested

     (50,000   $ 0.001  
  

 

 

 

Unvested restricted stock awards as of September 30, 2024

         $  

 

 

 

F-41


Table of Contents

As of September 30, 2024, no awards were available for issuance under the 2018 Plan.

Restricted stock awards

The following table summarizes the changes in the Company’s unvested restricted common stock awards granted to founders and advisors outside of the 2018 Plan during the nine months ended September 30, 2024:

 

     
      Restricted
stock awards
    Weighted-
average
grant
date
fair value
 

Unvested restricted stock awards as of December 31, 2023

     350,000     $ 0.001  

Vested

     (250,000   $ 0.001  
  

 

 

 

Unvested restricted stock awards as of September 30, 2024

     100,000     $ 0.001  

 

 

As of September 30, 2024, there were immaterial amounts recorded in other liabilities related to shares held by employees and non-employees that were unvested and subject to repurchase outside of the 2018 Plan. The unvested restricted stock awards as of September 30, 2024 vest upon the achievement of future performance milestones. During the nine months ended September 30, 2024, a termination agreement was entered into with an advisor to the Company wherein the vesting of 250,000 restricted common stock awards became accelerated. This resulted in the recognition of incremental stock-based compensation expense of $0.4 million recorded in research and development expenses during the nine months ended September 30, 2024.

2019 Equity Incentive Plan

There were 1,813,737 equity incentive awards authorized and available for issuance under the 2019 Equity Incentive Plan, or 2019 Plan, as of September 30, 2024.

Stock options (2019 Plan)

The following table summarizes stock option activity under the 2019 Plan for the nine months ended September 30, 2024:

 

   
     Options outstanding  
      Total
options
outstanding
    Weighted-
average
exercise
price
     Weighted-
average
remaining
contractual
life (years)
    

Aggregate
intrinsic
value

(in thousands)

 

Outstanding as of December 31, 2023

     31,031,869     $ 1.50        7.95      $ 5,728  

Granted

     7,351,650     $ 1.64        

Exercised

     (654,752   $ 1.05        

Cancelled

     (1,306,795   $ 1.56        
  

 

 

         

Outstanding as of September 30, 2024

     36,421,972     $ 1.54        7.70      $ 640  

 

 

As of September 30, 2024, 1,605 options exercised to date were subject to repurchase. During the nine months ended September 30, 2024, none of the exercised options were exercised early and were subject to repurchase at the time of exercise.

 

F-42


Table of Contents

Restricted stock awards (2019 Plan)

During the nine months ended September 30, 2024, there were 175 shares of restricted stock issued under the 2019 Plan.

Stock-based compensation expense

The following table summarizes the components of stock-based compensation expense recognized in the Company’s condensed statement of operations and comprehensive income (loss) during the nine months ended September 30, 2023 and 2024:

 

   
     Nine months ended
September 30,
 
      2023      2024  
     (in thousands)  

Research and development

   $ 3,619      $ 3,905  

General and administrative

     2,571        2,890  
  

 

 

 

Total stock-based compensation expense

   $ 6,190      $ 6,795  

 

 

As of September 30, 2024, there was $18.5 million of total unrecognized compensation cost related to unvested options and restricted stock awards for which the cost is expected to be recognized over a weighted-average period of 2.61 years.

7. License agreements

The Company entered into exclusive license agreements with several biotechnology companies during the nine months ended September 30, 2024.

Trace License Agreement

In March 2024, the Company entered into an exclusive license agreement with Trace Neuroscience, Inc., or Trace, pursuant to which the Company granted an exclusive worldwide license to a discovery research program targeting UNC13A for the treatment of amyotrophic lateral sclerosis, or the Trace License Agreement. As consideration for the licensed rights and the transfer of know-how and materials, the Company received an upfront payment of $15.0 million in April 2024. Thereafter, the Company is entitled to potential subsequent payments of up to an aggregate of $80.0 million based on development and regulatory milestones and up to an aggregate of $250.0 million based on sales milestones. The Company is also entitled to tiered royalties ranging from percentages in the low single-digits to sub-teens on net sales of any licensed product if successfully commercialized.

The Company assessed the Trace License Agreement in accordance with ASC 606 and concluded that it was a contract with a customer. The Company determined that there is one performance obligation relating to the license to the UNC13A discovery program, including the underlying know-how and certain related materials, and that the transaction price consisted of the $15.0 million non-refundable upfront cash payment. The potential future development and regulatory milestones represent variable consideration and were constrained, as it was concluded that it was not probable that a significant reversal in cumulative revenue recognized will not occur and therefore not included in the transaction price as of September 30, 2024. Potential sales milestones and royalties on net product sales will be recognized in the same period that the underlying net product sales occur as they were determined to relate to the license. The $15.0 million transaction price was recorded as license

 

F-43


Table of Contents

revenue in the condensed statements of operations and comprehensive income (loss) during the nine months ended September 30, 2024 at the point in time when control of the license and related know-how was transferred to Trace.

Shionogi License Agreement

In March 2024, the Company entered into an exclusive license agreement with Shionogi & Co., Ltd, or Shionogi, pursuant to which the Company granted Shionogi an exclusive, worldwide, sublicensable license to research, develop, manufacture and commercialize MZE001 and certain other small molecule compounds modulating glycogen synthase 1, or the Shionogi License Agreement. As consideration for the licensed rights and the transfer of know-how and materials, the Company received an upfront payment of $150.0 million in May 2024 upon the effectiveness of the Shionogi License Agreement. The Shionogi License Agreement also requires that Shionogi pay the Company up to $275.0 million in the aggregate in milestone payments upon the completion of certain clinical and regulatory milestones and up to $330.0 million in the aggregate in milestone payments if certain sales milestones are achieved. The Shionogi License Agreement also requires that Shionogi pay the Company tiered royalties ranging from percentages in the low double-digits to twenty on net sales of licensed products, subject to certain deductions.

The Company assessed the Shionogi License Agreement in accordance with ASC 606 and concluded that it was a contract with a customer. The Company determined that there is one performance obligation relating to the license to the MZE001 program, including the underlying know-how and certain related materials, and that the transaction price consisted of the $150.0 million non-refundable upfront cash payment. The potential clinical and regulatory milestones represent variable consideration and were constrained as it was concluded that it was not probable that a significant reversal in cumulative revenue recognized will not occur and therefore not included in the transaction price as of September 30, 2024. Potential sales milestones and royalties on net product sales will be recognized in the same period that the underlying net product sales occur as they were determined to relate to the license. The $150.0 million transaction price was recorded as license revenue in the condensed statements of operations and comprehensive income (loss) during the nine months ended September 30, 2024 at the point in time when control of the license and related know-how and materials was transferred to Shionogi.

Neurocrine License Agreement

In May 2024, the Company entered into an exclusive license agreement with Neurocrine Biosciences, Inc., or Neurocrine, pursuant to which the Company granted Neurocrine an exclusive worldwide license to a discovery research program targeting ATXN2, or the Neurocrine License Agreement. As consideration for the licensed rights and the transfer of know-how and materials, the Company received an upfront payment of $2.5 million in June 2024. Thereafter, the Company is entitled to potential subsequent payments of up to an aggregate of $24.8 million based on research and development milestones and up to an aggregate of $175.0 million based on sales milestones. The Company is also entitled to tiered royalties ranging in the sub-single-digit to low single-digit percentages on net sales of any licensed product if successfully commercialized.

The Company assessed the Neurocrine License Agreement in accordance with ASC 606 and concluded that it was a contract with a customer. The Company determined that there is one performance obligation relating to the license to the ATXN2 discovery program, including the underlying know-how and certain related materials, and that the transaction price consisted of the $2.5 million upfront cash payment. The potential research and development milestones represent variable consideration and were constrained as it was concluded that it was not probable that a significant reversal in cumulative revenue recognized will not occur and therefore not included in the transaction price as of September 30, 2024. Potential sales milestones and royalties on net

 

F-44


Table of Contents

product sales will be recognized in the same period that the underlying net product sales occur as they were determined to relate to the license. The $2.5 million transaction price was recorded as license revenue in the condensed statements of operations and comprehensive income (loss) during the nine months ended September 30, 2024 at the point in time when control of the license and the related know-how and materials was transferred to Neurocrine.

8. Commitments and contingencies

Legal proceedings

From time to time, the Company may have certain contingent liabilities that arise in the ordinary course of its business activities. The Company accrues a liability for such matters when it is probable that future expenditures will be made and that such expenditures can be reasonably estimated. Significant judgment is required to determine both probability and the estimated amount. No contingent liabilities have been recorded as of September 30, 2024.

Indemnification

In accordance with the Company’s amended and restated certificate of incorporation and amended and restated bylaws, the Company has indemnification obligations to its officers and directors for certain events or occurrences, subject to certain limits, while they are serving in such capacity. There have been no claims to date, and the Company has a directors and officers liability insurance policy that may enable it to recover a portion of any amounts paid for future claims.

9. Convertible promissory notes and other debt agreements

Convertible promissory notes

In December 2023, the Company entered into a convertible note purchase agreement with certain existing investors to issue up to $25.0 million in convertible promissory notes, or the Convertible Promissory Notes. The Convertible Promissory Notes bear interest at a rate of 8% per annum and mature in December 2026. The Company issued $16.2 million of the Convertible Promissory Notes, net of issuance costs of $0.1 million, as of December 31, 2023.

In January 2024, the Company completed the second closing of the issuance of the Convertible Promissory Notes for gross proceeds of $8.8 million. Additionally, in February 2024, the Company executed an amendment to the convertible note purchase agreement for the sale of additional Convertible Promissory Notes of up to $75.0 million in total, including the $25.0 million issued in the initial and second closings. From February 2024 through April 2024, the Company issued an additional $15.7 million in Convertible Promissory Notes, resulting in the receipt of $24.5 million of cash during the nine months ended September 30, 2024. As of September 30, 2024, the Company issued a total of $40.7 million aggregate principal amount of Convertible Promissory Notes and is no longer eligible to issue additional Convertible Promissory Notes under the convertible note purchase agreement.

The Convertible Promissory Notes contain automatic conversion features that are triggered upon a qualified preferred stock financing or a qualified public offering. In the event of a qualified preferred stock financing or a qualified public offering, the total outstanding principal and accrued interest will automatically convert into preferred stock or common stock, respectively, at a conversion price equal to 80% of the price per share paid by other purchasers of the respective financing or offering. If the Convertible Promissory Notes have not been

 

F-45


Table of Contents

repaid or converted before they mature, the holders may convert the outstanding principal and accrued interest into Series C Preferred Stock at $2.9515 per share.

The Company elected to apply the fair value option, as per ASC 825, to the outstanding Convertible Promissory Notes. As such, the Convertible Promissory Notes are recognized at fair value with changes in fair value recognized in the condensed statements of operations and comprehensive income (loss). The fair value of the Convertible Promissory Notes is based on significant inputs, including volatility, discount yield, variables for the timing of the related conversion events and other probability estimates, which are deemed to be Level 3 inputs in the fair value hierarchy. The assumptions used to determine the fair value of the Convertible Promissory Notes as of September 30, 2024 included an estimated 100% probability of conversion of the promissory notes at a 20% discount into the Series D-1 redeemable convertible preferred stock, which was issued by the Company in November 2024. See Note 13 on Subsequent events for further discussion of the conversion of the Convertible Promissory Notes into the Series D-1 redeemable convertible preferred stock in connection with the closing of the Company’s Series D redeemable convertible preferred stock financing.

The following table presents the change in fair value of the Convertible Promissory Notes:

 

   
    

Convertible
Promissory Notes

 
      (in thousands)  

Balance as of December 31, 2023

   $ 20,080  

Issuance of additional convertible promissory notes

     24,475  

Change in fair value, net

     7,193  
  

 

 

 

Balance as of September 30, 2024

   $ 51,748  

 

 

The fair value of the Convertible Promissory Notes was $20.1 million as of December 31, 2023. The Company recorded a loss of $7.2 million reflecting the change in fair value of the Convertible Promissory Notes in the condensed statements of operations and comprehensive income (loss) for the nine months ended September 30, 2024.

Loan and security agreement

In June 2022, the Company entered into a loan and security agreement with a bank that provides a three-year revolving line of credit of up to $50.0 million that is secured by substantially all of the Company’s assets, except for its intellectual property. The Company has not elected to draw down any funds from this debt facility as of September 30, 2024. Advances under the revolving line may be prepaid and reborrowed by the Company without penalty. The Company has the option to convert the aggregate principal amount into a term loan. Advances under the line of credit accrue interest at a variable annum rate of the greater of (i) 0.75% above the Prime Rate (as defined below) and (ii) 4.50%. The Prime Rate is defined as the variable rate of interest, per annum, most recently announced by the bank, as its “prime rate,” whether or not such announced rate is the lowest rate available from the bank.

Under the loan and security agreement, the Company is required to pay the bank a success fee of up to $2.0 million depending on if the Company closes a sale of substantially all of its assets, consummates a reorganization where the voting stockholders before such transaction hold less than 50% of the voting securities after such transaction, or the sale of the Company’s securities in connection with an initial public offering, reverse merger or other similar transaction wherein the Company’s securities may thereafter be traded in a public market. This success fee was deemed to be a freestanding derivative instrument that was bifurcated from the line-of-credit instrument and is initially and subsequently measured at fair value each reporting period. The fair value of this success fee derivative

 

F-46


Table of Contents

was estimated utilizing a probability-weighted cash flow approach, including variables for the timing of the related events and other probability estimates, which are deemed to be Level 3 inputs in the fair value hierarchy. The fair value of this success fee derivative was approximately $0.1 million and $0.4 million as of December 31, 2023 and September 30, 2024, respectively, and is recorded in accrued expenses and other current liabilities on the condensed balance sheets. The change in fair value of the derivative of approximately $0.3 million for the nine months ended September 30, 2024 is recorded in interest and other income, net in the condensed statements of operations and comprehensive income (loss). Total issuance costs and the debt discount arising from the success fee amounted to $0.3 million and were recorded in other assets, which are amortized as interest expense over the commitment period. The unamortized debt discount balance as of September 30, 2024 amounted to approximately $0.1 million and is recorded in other current assets as the commitment period ends within one year of the balance sheet date.

10. Related party transactions

The Company paid fees to its founders and certain board members in exchange for consulting services. During the nine months ended September 30, 2023, the Company recorded such fees of $0.2 million as research and development and $0.2 million as general and administrative expenses. During the nine months ended September 30, 2024, the Company recorded such fees of $0.1 million as research and development and $0.2 million as general and administrative expenses.

11. Income taxes

The Company’s provision for income taxes is determined using an estimate of the Company’s annual effective tax rate, adjusted for discrete items, if any. For the nine months ended September 30, 2024, the Company recorded an income tax provision of $1.4 million and made an estimated income tax payment of $1.2 million. Approximately $0.2 million was recorded as a tax liability in accrued expenses and other current liabilities on the condensed balance sheet as of September 30, 2024. No income tax provision was recorded for the nine months ended September 30, 2023. The primary difference in income tax expense for the nine months ended September 30, 2024, as compared to the same period in the prior year, is the result of recognition of revenue from the Company’s license agreements as discussed in Note 7 on License agreements resulting in taxable income to the Company.

Based on the available objective evidence during the nine months ended September 30, 2024, the Company believes it is more likely than not that its net deferred tax assets may not be realized. The primary difference between the effective tax rate and the statutory tax rate relates to the Company’s change in valuation allowance against deferred taxes.

 

F-47


Table of Contents

12. Net (loss) income per share

The following table sets forth the computation of basic and diluted net income (loss) per share (in thousands, except share and per share data):

 

   
     Nine months ended
September 30,
 
      2023     2024  

Basic (loss) income per share:

    

Net (loss) income

   $ (73,838)     $ 81,810  

Allocation of undistributed earnings to participating securities

           (73,499
  

 

 

 

Net (loss) income attributable to common stockholders, basic

   $ (73,838)     $ 8,311  
  

 

 

 

Weighted-average shares of common stock outstanding

     22,935,375       23,293,788  

Less: weighted average shares of common stock subject to repurchase

     (962,144     (294,501
  

 

 

 

Weighted average shares of common stock outstanding used in the calculation of (loss) income per share attributable to common stockholders, basic

     21,973,231       22,999,287  
  

 

 

 

Net (loss) income per share attributable to common stockholders, basic

   $ (3.36)     $ 0.36  
  

 

 

 

Diluted (loss) income per share:

    

Net (loss) income attributable to common stockholders, basic

   $ (73,838)     $ 8,311  

After tax effect of assumed conversion of convertible promissory notes

           720  
  

 

 

 

Net (loss) income attributable to common stockholders, diluted

   $ (73,838)     $ 9,031  
  

 

 

 

Weighted-average shares of common stock outstanding, basic

     21,973,231       22,999,287  

Weighted average dilutive effect of convertible promissory notes

           5,526,183  

Weighted average dilutive effect of equity awards

           4,144,410  
  

 

 

 

Diluted weighted-average common shares outstanding

     21,973,231       32,669,880  
  

 

 

 

Net (loss) income per share attributable to common stockholders, diluted

   $ (3.36)     $ 0.28  

 

 

The potential shares of common stock that were excluded from the computation of diluted net (loss) income per share attributable to common stockholders for the periods presented because including them would have been antidilutive are as follows:

 

   
     September 30,  
      2023      2024  

Series A redeemable convertible preferred stock

     104,985,132         

Series B redeemable convertible preferred stock

     57,563,188         

Series C redeemable convertible preferred stock

     40,866,704         

Shares subject to outstanding stock options

     29,898,327        21,933,083  

Unvested restricted stock subject to repurchase

     400,000        100,000  

Unvested exercised options subject to repurchase

     263,691         

Convertible promissory notes

            8,292,237  
  

 

 

 

Total

     233,977,042        30,325,320  

 

 

The antidilutive potential common stock table above includes instruments for convertible notes and equity awards that are different tranches and are excluded from the amounts included in the table computing diluted net income (loss) per share.

 

F-48


Table of Contents

13. Subsequent events

The Company evaluated subsequent events for recognition and measurement purposes through January 7, 2025, the date the condensed financial statements were available for issuance.

In November 2024, the Company issued 54,394,445 shares of its Series D redeemable convertible preferred stock at $1.3792 per share for gross proceeds of $75.0 million. Simultaneously with the closing of this Series D redeemable convertible preferred stock financing, or Series D Financing, the Convertible Promissory Notes, including accrued interest, converted into 39,395,572 shares of the Company’s Series D-1 redeemable convertible preferred stock at a discount factor of 0.2 relative to the price paid by the Series D investors. In connection with the Series D Financing, the Company (i) amended and restated its certificate of incorporation to increase the shares authorized for issuance to 410,000,000 shares of common stock and 298,205,027 shares of preferred stock, (ii) increased the shares authorized for issuance under its 2019 Equity Incentive Plan by 20,726,731 shares and (iii) adjusted the conversion ratios of the outstanding Series B redeemable convertible preferred stock and Series C redeemable convertible preferred stock from 1.00 to 1.1676 and from 1.00 to 1.1791, respectively, to effect the anti-dilution adjustments triggered by the Series D Financing. As a result of the adjustments to the conversion ratios, the Company reduced the amount of income available to existing stockholders by $15.0 million, in the form of a deemed dividend from its accumulated deficit, in accordance with ASC 260, Earnings Per Share.

From October 1, 2024 through January 7, 2025, the Company granted a total of 16,104,100 stock options with an exercise price of $1.08 per share, including 8,128,600 stock options granted to executive officers and members of its board of directors.

In December 2024, the Company completed a repricing of 32,935,592 outstanding stock options, which adjusted the exercise price of such stock options to $1.08 per share, including with respect to 18,991,979 outstanding stock options held by executive officers and members of its board of directors. Of those stock options, an option to purchase 500,000 shares held by the Company’s Chief Executive Officer was amended to change the performance vesting condition such that the option will fully vest if (i) the Company’s stock price is equal to or greater than $4.00 per share (as may be adjusted for stock splits) on average over a 20-day trading period or (ii) the Company is acquired at a stock price equal to or greater than $4.00 per share (as may be adjusted for stock splits), in each case subject to grantee’s continued service relationship with the Company.

 

F-49


Table of Contents

 

 

 

 

LOGO

Maze Therapeutics, Inc.

Common stock

Preliminary prospectus

 

J.P. Morgan   TD Cowen   Leerink Partners   Guggenheim Securities

     , 2025

 


Table of Contents

Part II

Information not required in prospectus

Item 13. Other expenses of issuance and distribution.

The following table sets forth all costs and expenses, other than underwriting discounts and commissions, paid or payable by the Registrant in connection with the sale of the common stock being registered. All amounts shown are estimates except for the SEC registration fee, the FINRA filing fee and the Nasdaq Global Market listing fee:

 

   
      Amount
paid or
to be paid
 

SEC registration fee

   $ 15,310  

FINRA filing fee

     15,500  

The Nasdaq Global Market listing fee

       *  

Printing and engraving expenses

       *  

Legal fees and expenses

       *  

Accounting fees and expenses

       *  

Blue Sky, qualification fees and expenses

       *  

Transfer agent and registrar fees and expenses

       *  

Miscellaneous expenses

       *  
  

 

 

 

Total

   $     *  

 

 

 

*   To be completed by amendment.

Item 14. Indemnification of directors and officers.

Section 145 of the DGCL, authorizes a court to award, or a corporation’s board of directors to grant, indemnity to directors and officers under certain circumstances and subject to certain limitations. The terms of Section 145 of the DGCL are sufficiently broad to permit indemnification under certain circumstances for liabilities, including reimbursement of expenses incurred, arising under the Securities Act.

As permitted by the DGCL, the Registrant’s restated certificate of incorporation to be effective in connection with the completion of this offering contains provisions that eliminate the personal liability of its directors and officers for monetary damages for any breach of fiduciary duties as a director or officer, except liability for the following:

 

 

any breach of the director’s or officer’s duty of loyalty to the Registrant or its stockholders;

 

acts or omissions not in good faith or that involve intentional misconduct or a knowing violation of law;

 

with respect to directors, under Section 174 of the DGCL (regarding unlawful dividends and stock purchases);

 

any transaction from which the director or officer derived an improper personal benefit; or

 

with respect to officers, any action by or in the right of the Registrant.

As permitted by the DGCL, the Registrant’s restated bylaws to be effective in connection with the completion of this offering, provide that:

 

 

the Registrant is required to indemnify its directors and officers to the fullest extent permitted by the DGCL, subject to limited exceptions;

 

 

the Registrant may indemnify its other employees and agents as set forth in the DGCL;

 

II-1


Table of Contents
 

the Registrant is required to advance expenses, as incurred, to its directors and officers in connection with a legal proceeding to the fullest extent permitted by the DGCL, subject to limited exceptions; and

 

 

the rights conferred in the restated bylaws are not exclusive.

Prior to the completion of this offering, the Registrant intends to enter into indemnification agreements with each of its current directors and executive officers to provide these directors and executive officers additional contractual assurances regarding the scope of the indemnification set forth in the Registrant’s restated certificate of incorporation and restated bylaws and to provide additional procedural protections. There is no pending litigation or proceeding involving a director or executive officer of the Registrant for which indemnification is sought. Reference is also made to the underwriting agreement to be filed as Exhibit 1.1 to this registration statement, which provides for the indemnification of executive officers, directors and controlling persons of the Registrant against certain liabilities. The indemnification provisions in the Registrant’s restated certificate of incorporation, restated bylaws and the indemnification agreements entered into or to be entered into between the Registrant and each of its directors and executive officers may be sufficiently broad to permit indemnification of the Registrant’s directors and officers for liabilities arising under the Securities Act.

The Registrant has directors’ and officers’ liability insurance for securities matters.

Item 15. Recent sales of unregistered securities.

The following lists set forth information regarding all securities sold or granted by the Registrant from    , 2022 through the date of this prospectus that were not registered under the Securities Act, and the consideration, if any, received by the Registrant for such securities:

(a) Equity grants

Stock Option Grants. From     , 2022 through the date of this prospectus, the Registrant has granted to its employees, directors, consultants and other service providers options to purchase an aggregate of     shares of its common stock under the 2019 Plan, with exercise prices ranging from $    to $    per share.

In December 2024, the Registrant effected a repricing of outstanding and unexercised stock options to purchase an aggregate of 32,935,592 shares of its common stock, to an exercise price of $1.08 per share, or the Option Repricing. To effect the Option Repricing, all such outstanding stock options were amended solely to reduce the exercise price to $1.08 per share (with the exception of one stock option granted to the Registrant’s Chief Executive Officer, which was also amended to reduce the market condition vesting trigger from $8.00 to $4.00 per share); the amended options otherwise continued to have all the same terms and conditions under which they were granted, including the number of underlying shares of the Registrant’s common stock and the expiration date.

The issuances of the securities described in this section (a) of Item 15 were deemed to be exempt from registration pursuant to Section 4(a)(2) of the Securities Act or Rule 701 promulgated under the Securities Act as transactions pursuant to compensatory benefit plans.

(b) Common stock

From      , 2022 through the date of this prospectus, the Registrant issued an aggregate of      shares of restricted common stock, for cash with purchase prices ranging from $0.15 to $2.00 per share, or for services rendered, to the Registrant’s employees, directors, advisors and consultants pursuant to the 2018 Plan or the 2019 Plan.

 

II-2


Table of Contents

The issuances of shares of common stock described in this section (b) of Item 15 were issued pursuant to either (i) restricted stock purchase agreements, pursuant to Section 4(a)(2) under the Securities Act or (ii) written compensatory plans or arrangements with the Registrant’s employees, directors, advisors and consultants, in reliance on the exemption provided by Rule 701 promulgated under the Securities Act or pursuant to Section 4(a)(2) under the Securities Act.

(c) Preferred stock

On March 21, 2022, the Registrant sold an aggregate of 363,759 shares of Series C Preferred Stock, at a price per share of $2.9515 for total gross proceeds of $1.1 million. These transactions were exempt from registration requirements of the Securities Act in reliance upon Section 4(a)(2) of the Securities Act or Regulation D promulgated under the Securities Act.

On March 29, 2022, the Registrant sold an aggregate of 169,405 shares of Series C Preferred Stock, at a price per share of $2.9515 for total net proceeds of $0.5 million. These transactions were exempt from registration requirements of the Securities Act in reliance upon Section 4(a)(2) of the Securities Act or Regulation D promulgated under the Securities Act.

On November 26, 2024, the Registrant sold an aggregate of 54,394,445 of shares of Series D Preferred Stock, at a price per share of $1.3792 for total net proceeds of approximately $70.7 million. These transactions were exempt from registration requirements of the Securities Act in reliance upon Section 4(a)(2) of the Securities Act or Regulation D promulgated under the Securities Act.

(d) Convertible promissory notes

Between December 15, 2023 and April 3, 2024, the Registrant sold $40.7 million in aggregate principal amount of convertible promissory notes to certain accredited investors, which notes were converted into an aggregate of 39,395,572 shares of Series D-1 Preferred Stock in November 2024 pursuant to the Series D Preferred Stock Securities Purchase Agreement, dated November 26, 2024. These transactions were exempt from registration requirements of the Securities Act in reliance upon Section 4(a)(2) of the Securities Act or Regulation D promulgated under the Securities Act.

None of the foregoing transactions involved any underwriters, underwriting discounts or commissions or any public offering, and the Registrant believes each transaction was exempt from the registration requirements of the Securities Act as stated above. All recipients of the foregoing transactions either received adequate information about the registrant or had access, through their relationships with the Registrant, to such information. Furthermore, the Registrant affixed appropriate legends to the share certificates and instruments issued in each foregoing transaction setting forth that the securities had not been registered and the applicable restrictions on transfer.

 

II-3


Table of Contents

Item 16. Exhibits and financial statement schedules.

(a) Exhibits.

 

   

Exhibit

number

     Description of document
  1.1   

Form of Underwriting Agreement.

  3.1     

Certificate of Incorporation, as amended, as currently in effect.

  3.2     

Form of Restated Certificate of Incorporation to be effective upon the completion of this offering.

  3.3     

Bylaws, as currently in effect.

  3.4     

Form of Restated Bylaws to be effective upon the completion of this offering.

  4.1   

Form of Common Stock Certificate.

  4.2     

Amended and Restated Investors’ Rights Agreement, dated November  26, 2024, by and among Maze Therapeutics, Inc. and certain of its stockholders.

  5.1   

Opinion of Fenwick & West LLP.

  10.1     

Form of Indemnity Agreement.

  10.2     

2018 Stock Option and Grant Plan, as amended, and forms of award agreements.

  10.3     

2019 Equity Incentive Plan, as amended, and forms of award agreements.

  10.4     

2025 Equity Incentive Plan, to become effective on the date the registration statement is declared effective, and forms of award agreements.

  10.5     

2025 Employee Stock Purchase Plan, to become effective on the date the registration statement is declared effective, and forms of award agreements.

  10.6   

Lease Agreement, dated September  27, 2019, by and among Maze Therapeutics, Inc. and HCP Oyster Point III LLC.

  10.7     

Consulting Agreement, dated November  1, 2019, by and among Maze Therapeutics, Inc. and Charles Homcy, M.D.

  10.8     

Advisor Agreement, dated July  1, 2021, by and among Maze Therapeutics, Inc. and Richard Scheller, Ph.D.

  10.9     

Loan and Security Agreement, dated June  27, 2022, by and between Maze Therapeutics, Inc. and Pacific Western Bank, as amended.

  10.10 †^    

License Agreement, dated as of March  27, 2024, by and between Maze Therapeutics, Inc. and Shionogi & Co., Ltd.

  10.11     

Non-Employee Director Compensation Policy.

  10.12   

Restated Offer Letter by and between Maze Therapeutics, Inc. and Jason Coloma, Ph.D., M.P.H.

  10.13   

Restated Offer Letter by and between Maze Therapeutics, Inc. and Harold Bernstein, M.D., Ph.D.

  10.14     

Form of Restated Offer Letter between Maze Therapeutics, Inc. and its senior executive officers.

  10.15     

Amended and Restated Executive Severance and Change in Control Plan.

  23.1     

Consent of Independent Registered Public Accounting Firm.

  23.2   

Consent of Fenwick & West LLP (included in Exhibit 5.1).

 

II-4


Table of Contents
   

Exhibit

number

     Description of document
  24.1     

Power of Attorney (included in the signature page to this registration statement).

  99.1     

Consent of Neil Exter, director nominee.

  107     

Filing Fee Table

 

 

 

*   To be filed by amendment.

 

  The Registrant has omitted portions of the exhibit (indicated by “[***]”) as permitted under Item 601(b)(10) of Regulation S-K.

 

^   The Registrant has omitted schedules and exhibits pursuant to Item 601(a)(5) of Regulation S-K. The Registrant agrees to furnish supplementally a copy of the omitted schedules and exhibits to the SEC upon request.

(b) Financial statement schedules.

No financial statement schedules are provided because the information called for is not required or is shown either in the financial statements or notes.

Item 17. Undertakings.

Insofar as indemnification for liabilities arising under the Securities Act may be permitted to directors, officers and controlling persons of the Registrant pursuant to the foregoing provisions, or otherwise, the Registrant has been advised that in the opinion of the SEC such indemnification is against public policy as expressed in the Securities Act and is, therefore, unenforceable. In the event that a claim for indemnification against such liabilities (other than the payment by the Registrant of expenses incurred or paid by a director, officer or controlling person of the Registrant in the successful defense of any action, suit or proceeding) is asserted by such director, officer or controlling person in connection with the securities being registered, the Registrant will, unless in the opinion of its counsel the matter has been settled by controlling precedent, submit to a court of appropriate jurisdiction the question whether such indemnification by it is against public policy as expressed in the Securities Act and will be governed by the final adjudication of such issue.

The undersigned Registrant hereby undertakes that:

(1) For purposes of determining any liability under the Securities Act, the information omitted from the form of prospectus filed as part of this registration statement in reliance upon Rule 430A and contained in a form of prospectus filed by the Registrant pursuant to Rule 424(b)(1) or (4) or 497(h) under the Securities Act shall be deemed to be part of this registration statement as of the time it was declared effective.

(2) For the purpose of determining any liability under the Securities Act, each post-effective amendment that contains a form of prospectus shall be deemed to be a new registration statement relating to the securities offered therein, and the offering of such securities at that time shall be deemed to be the initial bona fide offering thereof.

 

II-5


Table of Contents

Signatures

Pursuant to the requirements of the Securities Act of 1933, as amended, the Registrant has duly caused this registration statement on Form S-1 to be signed on its behalf by the undersigned, thereunto duly authorized, in the City of South San Francisco, State of California, on the 7th day of January, 2025.

 

MAZE THERAPEUTICS, INC.

By:

 

/s/ Jason Coloma

 

Jason Coloma, Ph.D.

 

Chief Executive Officer

 

II-6


Table of Contents

Power of attorney

KNOW ALL PERSONS BY THESE PRESENTS, that each person whose signature appears below hereby constitutes and appoints Jason Coloma, Ph.D., Amy Bachrodt and Courtney Phillips, and each one of them, as his or her true and lawful attorneys-in-fact, proxies and agents, each with full power of substitution and resubstitution and full power to act without the other, for him or her in any and all capacities, to sign any and all amendments to this registration statement (including post-effective amendments or any abbreviated registration statement and any amendments thereto filed pursuant to Rule 462(b) increasing the number of securities for which registration is sought), and to file the same, with all exhibits thereto and other documents in connection therewith, with the Securities and Exchange Commission, granting unto said attorneys-in-fact, proxies and agents full power and authority to do and perform each and every act and thing requisite and necessary to be done in connection therewith, as fully for all intents and purposes as he or she might or could do in person, hereby ratifying and confirming all that said attorneys-in-fact, proxies and agents, or their or his or her substitute or substitutes, may lawfully do or cause to be done by virtue hereof.

Pursuant to the requirements of the Securities Act of 1933, as amended, this registration statement on Form S-1 has been signed by the following persons in the capacities and on the dates indicated.

 

     
Signature    Title   Date

/s/ Jason Coloma

Jason Coloma, Ph.D.

  

Chief Executive Officer and Director
(Principal Executive Officer and Principal Financial Officer)

  January 7, 2025

/s/ Amy Bachrodt

Amy Bachrodt

  

SVP, Finance
(Principal Accounting Officer)

  January 7, 2025

/s/ Charles Homcy

Charles Homcy, M.D.

  

Director

  January 7, 2025

/s/ Nancy C. Andrews

Nancy C. Andrews, M.D., Ph.D.

  

Director

  January 7, 2025

/s/ Jamie Brush

Jamie Brush, M.D.

  

Director

  January 7, 2025

/s/ Alan Colowick

Alan Colowick, M.D., M.P.H.

  

Director

 

January 7, 2025

/s/ Sekar Kathiresan

Sekar Kathiresan, M.D.

  

Director

  January 7, 2025

/s/ Jonathan Lim

Jonathan Lim, M.D.

  

Director

  January 7, 2025

/s/ Richard Scheller

Richard Scheller, Ph.D.

  

Director

  January 7, 2025

 

II-7


Table of Contents
     
Signature    Title   Date

/s/ Catherine Angell Sohn

Catherine Angell Sohn, Pharm. D.

  

Director

  January 7, 2025

/s/ Daniel Spiegelman

Daniel Spiegelman

  

Director

 

January 7, 2025

/s/ Jeffrey Tong

Jeffrey Tong, Ph.D.

  

Director

 

January 7, 2025

 

II-8

EX-3.1

Exhibit 3.1

AMENDED AND RESTATED

CERTIFICATE OF INCORPORATION

OF

MAZE THERAPEUTICS, INC.

(Pursuant to Sections 242 and 245 of the

General Corporation Law of the State of Delaware)

Maze Therapeutics, Inc., a corporation organized and existing under and by virtue of the provisions of the General Corporation Law of the State of Delaware (the “General Corporation Law”),

DOES HEREBY CERTIFY:

1. That the name of this corporation is Maze Therapeutics, Inc., and that this corporation was originally incorporated pursuant to the General Corporation Law on August 29, 2017 under the name Genetic Modifiers NewCo, Inc. The name of this corporation was changed on July 5, 2018 to Modulus Therapeutics, Inc. The name of this corporation was changed on September 25, 2018 to Maze Therapeutics, Inc.

2. That the Board of Directors duly adopted resolutions proposing to amend and restate the Certificate of Incorporation of this corporation, as amended, declaring said amendment and restatement to be advisable and in the best interests of this corporation and its stockholders, and authorizing the appropriate officers of this corporation to solicit the consent of the stockholders therefor, which resolution setting forth the proposed amendment and restatement is as follows:

RESOLVED, that the Certificate of Incorporation of this corporation, as amended, be amended and restated in its entirety to read as follows:

FIRST: The name of this corporation shall be: Maze Therapeutics, Inc. (the “Corporation”)

SECOND: The address of the registered office of the Corporation in the State of Delaware is Corporation Trust Center, 1209 Orange Street, in the City of Wilmington, New Castle County, Delaware 19801. The name of its registered agent at such address is The Corporation Trust Company.

THIRD: The nature of the business or purposes to be conducted or promoted is to engage in any lawful act or activity for which corporations may be organized under the General Corporation Law.

FOURTH: (i) The total number of shares of all classes of stock which the Corporation shall have authority to issue is 410,000,000 shares of Common Stock, $0.001 par value per share (“Common Stock”) and 298,205,027 shares of Preferred Stock, $0.001 par value per share (“Preferred Stock”).


The following is a statement of the designations and the powers, privileges and rights, and the qualifications, limitations or restrictions thereof in respect of each class of capital stock of the Corporation.

A. COMMON STOCK

1. General. The voting, dividend and liquidation rights of the holders of the Common Stock are subject to and qualified by the rights, powers and preferences of the holders of the Preferred Stock set forth herein.

2. Voting. The holders of the Common Stock are entitled to one vote for each share of Common Stock held at all meetings of stockholders (and written actions in lieu of meetings); provided, however, that, except as otherwise required by law, holders of Common Stock, as such, shall not be entitled to vote on any amendment to the Corporation’s Certificate of Incorporation (the “Certificate of Incorporation”) that relates solely to the terms of one or more outstanding series of Preferred Stock if the holders of such affected series are entitled, either separately or together with the holders of one or more other such series, to vote thereon pursuant to the Certificate of Incorporation or pursuant to the General Corporation Law. The number of authorized shares of Common Stock may be increased or decreased (but not below the number of shares thereof then outstanding) by (in addition to any vote of the holders of one or more series of Preferred Stock that may be required by the terms of the Certificate of Incorporation) the affirmative vote of the holders of shares of capital stock of the Corporation representing a majority of the votes represented by all outstanding shares of capital stock of the Corporation entitled to vote, irrespective of the provisions of Section 242(b)(2) of the General Corporation Law.

B. PREFERRED STOCK

Preferred Stock may be issued from time to time in one or more series, each of such series to consist of such number of shares and to have such terms, rights, powers and preferences, and the qualifications and limitations with respect thereto, as stated or expressed herein.

104,985,132 shares of the authorized and unissued Preferred Stock of the Corporation are hereby designated “Series A Preferred Stock” with the following rights, preferences, powers, privileges and restrictions, qualifications and limitations. 57,563,188 shares of the authorized and unissued Preferred Stock of the Corporation are hereby designated “Series B Preferred Stock” with the following rights, preferences, powers, privileges and restrictions, qualifications and limitations. 40,866,704 shares of the authorized and unissued Preferred Stock of the Corporation are hereby designated “Series C Preferred Stock” with the following rights, preferences, powers, privileges and restrictions, qualifications and limitations. 55,394,431 shares of the authorized and unissued Preferred Stock of the Corporation are hereby designated “Series D Preferred Stock” with the following rights, preferences, powers, privileges and restrictions, qualifications and limitations. 39,395,572 shares of the authorized and unissued Preferred Stock of the Corporation are hereby designated “Series D-1 Preferred Stock” with the following rights, preferences, powers, privileges and restrictions, qualifications and limitations. Unless otherwise indicated, references to “Sections” and “Subsections” in this Part B of this Article Fourth refer to sections and subsections of Part B of this Article Fourth.

 

2


1. Dividends. The Corporation shall not declare, pay or set aside any dividends on shares of any other class or series of capital stock of the Corporation (other than dividends on shares of Common Stock payable in shares of Common Stock) unless (in addition to the obtaining of any consents required elsewhere in the Certificate of Incorporation) the holders of the Preferred Stock then outstanding shall first receive, or simultaneously receive, a dividend on each outstanding share of Preferred Stock in an amount at least equal to (i) in the case of a dividend on Common Stock or any class or series that is convertible into Common Stock, that dividend per share of Preferred Stock as would equal the product of (A) the dividend payable on each share of such class or series determined, if applicable, as if all shares of such class or series had been converted into Common Stock and (B) the number of shares of Common Stock issuable upon conversion of a share of Preferred Stock, in each case calculated on the record date for determination of holders entitled to receive such dividend or (ii) in the case of a dividend on any class or series that is not convertible into Common Stock, at a rate per share of Preferred Stock determined by (A) dividing the amount of the dividend payable on each share of such class or series of capital stock by the original issuance price per share of such class or series of capital stock (subject to appropriate adjustment in the event of any stock dividend, stock split, combination or other similar recapitalization with respect to such class or series) and (B) multiplying such fraction by an amount equal to the applicable Original Issue Price (as defined below); provided that, if the Corporation declares, pays or sets aside, on the same date, a dividend on shares of more than one class or series of capital stock of the Corporation, the dividend payable to the holders of Preferred Stock pursuant to this Section 1 shall be calculated based upon the dividend on the class or series of capital stock that would result in the highest Preferred Stock dividend. The “Series A Original Issue Price” shall mean $1.00 per share, subject to appropriate adjustment in the event of any stock dividend, stock split, combination or other similar recapitalization with respect to the Series A Preferred Stock. The “Series B Original Issue Price” shall mean $2.75 per share, subject to appropriate adjustment in the event of any stock dividend, stock split, combination or other similar recapitalization with respect to the Series B Preferred Stock. The “Series C Original Issue Price” shall mean $2.9515 per share, subject to appropriate adjustment in the event of any stock dividend, stock split, combination or other similar recapitalization with respect to the Series C Preferred Stock. The “Series D Original Issue Price” shall mean $1.3792 per share, subject to appropriate adjustment in the event of any stock dividend, stock split, combination or other similar recapitalization with respect to the Series D Preferred Stock. The “Series D-1 Original Issue Price” shall mean $1.10336 per share, subject to appropriate adjustment in the event of any stock dividend, stock split, combination or other similar recapitalization with respect to the Series D-1 Preferred Stock. The Series A Original Issue Price, Series B Original Issue Price, Series C Original Issue Price, Series D Original Issue Price and Series D-1 Original Issue Price shall each be referred to as an “Original Issue Price” with respect to the applicable series of Preferred Stock.

 

3


2. Liquidation, Dissolution or Winding Up; Certain Mergers, Consolidations and Asset Sales.

2.1 Preferential Payments to Holders of Preferred Stock. In the event of any voluntary or involuntary liquidation, dissolution or winding up of the Corporation or Deemed Liquidation Event (as defined below), the holders of shares of Preferred Stock then outstanding shall be entitled, on a pari passu basis based on their respective Series A Liquidation Amount, Series B Liquidation Amount, Series C Liquidation Amount, Series D Liquidation Amount and Series D-1 Liquidation Amount, as applicable, to be paid out of the assets of the Corporation available for distribution to its stockholders or the consideration payable to stockholders, as applicable, before any payment shall be made to the holders of Common Stock by reason of their ownership thereof, an amount per share equal to the greater of (i) the applicable Original Issue Price, plus any dividends declared but unpaid thereon, or (ii) such amount per share as would have been payable had all shares of such series of Preferred Stock (and all shares of all other series of Preferred Stock that would receive a larger distribution per share if such series of Preferred Stock were converted into Common Stock) been converted into Common Stock pursuant to Section 4 immediately prior to such liquidation, dissolution or winding up of the Corporation or Deemed Liquidation Event. If upon any such liquidation, dissolution or winding up of the Corporation or Deemed Liquidation Event, the assets of the Corporation available for distribution to its stockholders shall be insufficient to pay the holders of shares of Preferred Stock the full amount to which they shall be entitled under this Subsection 2.1, the holders of shares of Preferred Stock shall share ratably in any distribution of the assets available for distribution in proportion to the respective amounts which would otherwise be payable in respect of the shares held by them upon such distribution if all amounts payable on or with respect to such shares were paid in full. The amount which a holder of a share of Series A Preferred Stock is entitled to receive under this Subsection 2.1 is hereinafter referred to as the “Series A Liquidation Amount.” The amount which a holder of a share of Series B Preferred Stock is entitled to receive under this Subsection 2.1 is hereinafter referred to as the “Series B Liquidation Amount.” The amount which a holder of a share of Series C Preferred Stock is entitled to receive under this Subsection 2.1 is hereinafter referred to as the “Series C Liquidation Amount.” The amount which a holder of a share of Series D Preferred Stock is entitled to receive under this Subsection 2.1 is hereinafter referred to as the “Series D Liquidation Amount.” The amount which a holder of a share of Series D-1 Preferred Stock is entitled to receive under this Subsection 2.1 is hereinafter referred to as the “Series D-1 Liquidation Amount.”

2.2 Distribution of Remaining Assets. In the event of any voluntary or involuntary liquidation, dissolution or winding up of the Corporation or Deemed Liquidation Event, after the payment of all preferential amounts required to be paid to the holders of shares of Preferred Stock, the remaining assets of the Corporation available for distribution to its stockholders or the remaining consideration not payable to the holders of shares of Preferred Stock pursuant to Section 2.1, as the case may be, shall be distributed among the holders of the shares of Common Stock, pro rata based on the number of shares of Common Stock held by such holder.

2.3 Deemed Liquidation Events.

2.3.1 Definition. Each of the following events shall be considered a “Deemed Liquidation Event” unless the holders of at least a majority of the then outstanding shares of Preferred Stock, voting or consenting together as a separate, exclusive class (the “Required Vote”), elect otherwise by written notice sent to the Corporation at least ten (10) days prior to the effective date of any such event:

(a) a merger, consolidation, statutory conversion, transfer, domestication or continuance in which

(i) the Corporation is a constituent party or

 

4


(ii) a subsidiary of the Corporation is a constituent party and the Corporation issues shares of its capital stock pursuant to such merger, consolidation, statutory conversion, transfer, domestication or continuance, except any such merger, consolidation statutory conversion, transfer, domestication or continuance involving the Corporation or a subsidiary in which the shares of capital stock of the Corporation outstanding immediately prior to such merger, consolidation, statutory conversion, domestication or continuance continue to represent, or are converted into or exchanged for shares of capital stock that represent, immediately following such merger or consolidation, at least a majority, by voting power, of the capital stock of (1) the surviving or resulting corporation or (2) if the surviving or resulting corporation is a wholly owned subsidiary of another corporation immediately following such merger, consolidation, statutory conversion, domestication or continuance, the parent corporation of such surviving or resulting corporation; or

(b) the sale, lease, transfer, exclusive license or other disposition, in a single transaction or series of related transactions, by the Corporation or any subsidiary of the Corporation of all or substantially all the assets of the Corporation and its subsidiaries taken as a whole or the sale or disposition (whether by merger, consolidation or otherwise, and whether in a single transaction or a series of related transactions) of one or more subsidiaries of the Corporation if substantially all of the assets of the Corporation and its subsidiaries taken as a whole are held by such subsidiary or subsidiaries, except where such sale, lease, transfer, exclusive license or other disposition is to a wholly owned subsidiary of the Corporation.

2.3.2 Effecting a Deemed Liquidation Event.

(a) The Corporation shall not have the power to effect a Deemed Liquidation Event referred to in Subsection 2.3.1(a)(i) above unless the agreement or plan of merger or consolidation for such transaction (the “Merger Agreement”) provides that the consideration payable to the stockholders of the Corporation shall be allocated among the holders of capital stock of the Corporation in accordance with Subsections 2.1 and 2.2 above.

(b) In the event of a Deemed Liquidation Event referred to in Subsection 2.3.1(a)(ii), or 2.3.1(b) above, if the Corporation does not effect a dissolution of the Corporation under the General Corporation Law within ninety (90) days after such Deemed Liquidation Event, then (i) the Corporation shall send a written notice to each holder of Preferred Stock no later than the ninetieth (90th) day after the Deemed Liquidation Event advising such holders of their right (and the requirements to be met to secure such right) pursuant to the terms of the following clause (ii) to require the redemption of such shares of Preferred Stock, and (ii) if the holders representing the Required Vote so request in a written instrument delivered to the Corporation not later than one hundred twenty (120) days after such Deemed Liquidation Event, the Corporation shall use the consideration received by the Corporation for such Deemed Liquidation Event (net of any retained liabilities associated with the assets sold or technology licensed, as determined in good faith by the Board of Directors of the Corporation (the “Board of Directors”) (together with any other assets of the Corporation available for distribution to its stockholders as determined in good faith by the Board of Directors, the “Net Proceeds”)), all to the extent permitted by Delaware law governing distributions to stockholders, on the one hundred

 

5


fiftieth (150th) day after such Deemed Liquidation Event, to redeem, on a pari passu basis, all outstanding shares of Series A Preferred Stock at a price per share equal to the Series A Liquidation Amount, all outstanding shares of Series B Preferred Stock at a price per share equal to the Series B Liquidation Amount, all outstanding shares of Series C Preferred Stock at a price per share equal to the Series C Liquidation Amount, all outstanding shares of Series D Preferred Stock at a price per share equal to the Series D Liquidation Amount and all outstanding shares of Series D-1 Preferred Stock at a price per share equal to the Series D-1 Liquidation Amount. Notwithstanding the foregoing, in the event of a redemption pursuant to the preceding sentence, if the Net Proceeds are not sufficient to redeem all outstanding shares of Preferred Stock, or if the Corporation does not have sufficient lawfully available funds to effect such redemption, the Corporation shall ratably redeem, on a pari passu basis, each holder’s shares of Series A Preferred Stock (in proportion to such share’s respective Series A Liquidation Amount), Series B Preferred Stock (in proportion to such share’s respective Series B Liquidation Amount), Series C Preferred Stock (in proportion to such share’s respective Series C Liquidation Amount), Series D Preferred Stock (in proportion to such share’s respective Series D Liquidation Amount) and Series D-1 Preferred Stock (in proportion to such share’s respective Series D-1 Liquidation Amount), to the fullest extent of such Net Proceeds or such lawfully available funds, as the case may be, and shall redeem the remaining shares as soon as it may lawfully do so under Delaware law governing distributions to stockholders. Prior to the distribution or redemption provided for in this Subsection 2.3.2(b), the Corporation shall not expend or dissipate the consideration received for such Deemed Liquidation Event, except to discharge expenses incurred in connection with such Deemed Liquidation Event or in the ordinary course of business.

(c) With respect to a redemption of the Preferred Stock pursuant to Subsection 2.3.2(b):

(i) The Corporation shall apply all of its assets to any such redemption, and to no other corporate purpose, except to the extent prohibited by Delaware law governing distributions to stockholders. The date of each installment of a redemption pursuant to Subsection 2.3.2(b) shall be referred to as a “Redemption Date”.

(ii) On or before the applicable Redemption Date, each holder of shares of Preferred Stock to be redeemed on such applicable Redemption Date, unless such holder has exercised his, her or its right to convert such shares as provided in Section 4, shall surrender the certificate or certificates representing such shares (or, if such registered holder alleges that such certificate has been lost, stolen or destroyed, a lost certificate affidavit and agreement reasonably acceptable to the Corporation to indemnify the Corporation against any claim that may be made against the Corporation on account of the alleged loss, theft or destruction of such certificate) to the Corporation, and thereupon the applicable redemption price for such shares shall be payable to the order of the person whose name appears on such certificate or certificates as the owner thereof.

(iii) If on the applicable Redemption Date the redemption price payable upon redemption of the shares of Preferred Stock to be redeemed on such Redemption Date is paid or tendered for payment or deposited with an independent payment agent so as to be available therefor, then notwithstanding that the certificates evidencing any of the shares of Preferred Stock so called for redemption shall not have been surrendered, all rights with respect to such shares shall forthwith after the applicable Redemption Date terminate, except only the right of the holders to receive the applicable redemption price without interest upon surrender of their certificate or certificates therefor.

 

6


(iv) Any shares of Preferred Stock that are redeemed or otherwise acquired by the Corporation or any of its subsidiaries shall be automatically and immediately cancelled and retired and shall not be reissued, sold or transferred. Neither the Corporation nor any of its subsidiaries may exercise any voting or other rights granted to the holders of Preferred Stock following redemption.

(d) The Corporation shall send written notice of the mandatory redemption (the “Redemption Notice”) to each holder of record of Preferred Stock not less than forty (40) days prior to each applicable Redemption Date. Each Redemption Notice shall state:

(i) the number of shares of each series of Preferred Stock held by the holder that the Corporation shall redeem on the applicable Redemption Date specified in the Redemption Notice;

(ii) the applicable Redemption Date and the applicable redemption price;

(iii) the date upon which the holder’s right to convert such shares terminates (as determined in accordance with Section 4.1); and

(iv) for holders of shares in certificated form, that the holder is to surrender to the Corporation, in the manner and at the place designated, his, her or its certificate or certificates representing the shares of Preferred Stock to be redeemed.

2.3.3 Amount Deemed Paid or Distributed. If the amount deemed paid or distributed under this Subsection 2.3 is made in property other than in cash, the value of such payment or distribution shall be the fair market value of such property, determined as follows:

(a) For securities not subject to investment letters or other similar restrictions on free marketability,

(i) if traded on a securities exchange, the value shall be deemed to be the average of the closing prices of the securities on such exchange or market over the 30-period ending three (3) days prior to the closing of such transaction;

(ii) if actively traded over-the-counter, the value shall be deemed to be the average of the closing bid prices over the 30-day period ending three (3) days prior to the closing of such transaction; or

(iii) if there is no active public market, the value shall be the fair market value thereof, as determined in good faith by the Board of Directors.

 

7


(b) The method of valuation of securities subject to investment letters or other similar restrictions on free marketability (other than restrictions arising solely by virtue of a stockholder’s status as an affiliate or former affiliate) shall take into account an appropriate discount (as determined in good faith by the Board of Directors) from the market value as determined pursuant to clause (a) above so as to reflect the approximate fair market value thereof.

(c) For any property not addressed by Subsection 2.3.3(a) or Subsection 2.3.3(b), the value of such property, shall be determined in good faith by the Board of Directors of the Corporation, including a majority of the Preferred Directors (as defined below) then-seated (the “Requisite Directors”).

2.3.4 Allocation of Escrow or Contingent Payments. In the event of a Deemed Liquidation Event pursuant to Subsection 2.3.1(a)(i), if any portion of the consideration payable to the stockholders of the Corporation is payable only upon satisfaction of contingencies (the “Additional Consideration”), the Merger Agreement shall provide that (a) the portion of such consideration that is not Additional Consideration (such portion, the “Initial Consideration”) shall be allocated among the holders of capital stock of the Corporation in accordance with Subsections 2.1 and 2.2 as if the Initial Consideration were the only consideration payable in connection with such Deemed Liquidation Event and (b) any Additional Consideration which becomes payable to the stockholders of the Corporation upon satisfaction of such contingencies shall be allocated among the holders of capital stock of the Corporation in accordance with Subsections 2.1 and 2.2 after taking into account the previous payment of the Initial Consideration as part of the same transaction. For the purposes of this Subsection 2.3.4, consideration placed into escrow or retained as holdback to be available for satisfaction of indemnification or similar obligations or otherwise subject to contingencies in connection with such Deemed Liquidation Event shall be deemed to be Additional Consideration.

3. Voting.

3.1 General. On any matter presented to the stockholders of the Corporation for their action or consideration at any meeting of stockholders of the Corporation (or by written consent of stockholders in lieu of a meeting), each holder of outstanding shares of Preferred Stock shall be entitled to cast the number of votes equal to the number of whole shares of Common Stock into which the shares of Preferred Stock held by such holder are convertible as of the record date for determining stockholders entitled to vote on such matter. Except as provided by law or by the other provisions of the Certificate of Incorporation, holders of Preferred Stock shall vote together with the holders of Common Stock as a single class, on an as-converted basis.

3.2 Election of Directors. The holders of record of the shares representing a majority of the outstanding Series A Preferred Stock, exclusively and as a separate class, shall be entitled to elect four (4) directors of the Corporation. For so long as any shares of Series C Preferred Stock remain outstanding, the holders of record of the shares representing a majority of then outstanding Series C Preferred Stock, exclusively and as a separate class, shall be entitled to elect one (1) director of the Corporation (the “Series C Director”). For so long as any shares of Series D Preferred Stock and/or Series D-1 Preferred Stock remain outstanding, the holders of record of the shares representing a majority of then outstanding Series D Preferred Stock and Series

 

8


D-1 Preferred Stock, voting together as a single class on an as converted to Common Stock basis, shall be entitled to elect one (1) director of the Corporation (the “Series D Director”). The directors to be elected pursuant to the first three sentences of this Subsection 3.2 shall be referred to herein as the “Preferred Directors”. Any Preferred Director may be removed without cause by, and only by, the affirmative vote of the holders of the shares of the class or series of capital stock entitled to elect such director or directors, given either at a special meeting of such stockholders duly called for that purpose or by a written consent of stockholders in lieu of a meeting. If the holders of shares of Preferred Stock or Common Stock, as the case may be, fail to elect a sufficient number of directors to fill all directorships for which they are entitled to elect directors, voting exclusively and as a separate class, pursuant to the first sentence of this Subsection 3.2, then any directorship not so filled shall remain vacant until such time as the holders of the Preferred Stock or Common Stock, as the case may be, elect a person to fill such directorship by vote or written consent in lieu of a meeting; and no such directorship may be filled by stockholders of the Corporation other than by the stockholders of the Corporation that are entitled to elect a person to fill such directorship, voting exclusively and as a separate class. The holders of record of the shares of Common Stock and of any other class or series of voting stock (including the Preferred Stock), exclusively and voting together as a single class, shall be entitled to elect the balance of the total number of directors of the Corporation. At any meeting held for the purpose of electing a director, the presence in person or by proxy of the holders of a majority of the outstanding shares of the class or series entitled to elect such director shall constitute a quorum for the purpose of electing such director. A vacancy in any directorship filled by the holders of any class or series shall be filled only by vote or written consent in lieu of a meeting of the holders of such class or series or by any remaining director or directors elected by the holders of such class or series pursuant to this Subsection 3.2.

3.3 Preferred Stock Protective Provisions. At any time when any shares of Preferred Stock are outstanding, the Corporation or any of its subsidiaries shall not, either directly or indirectly by amendment, merger, consolidation, domestication, transfer, continuance, recapitalization, waiver, statutory conversion or otherwise, do any of the following without (in addition to any other vote required by law or the Certificate of Incorporation) the written consent or affirmative vote of the holders representing the Required Vote, given in writing or by vote at a meeting, consenting or voting (as the case may be) separately as a class, and any such act or transaction entered into without such consent or vote shall be null and void ab initio, and of no force or effect:

(a) liquidate, dissolve or wind-up the business and affairs of the Corporation, effect any merger, acquisition, consolidation, statutory transfer, domestication or continuance or any other Deemed Liquidation Event, or consent to any of the foregoing;

(b) amend, alter or repeal any provision of the Certificate of Incorporation or Bylaws of the Corporation;

(c) create or authorize the creation of or issue or obligate itself to issue shares of any other security convertible into or exercisable for any equity security or increase the authorized number of shares of Preferred Stock or of any additional class or series of capital stock unless it ranks junior to each existing series of Preferred Stock;

 

9


(d) reclassify, alter or amend any existing security that is junior to or on parity with any other series of Preferred Stock, if such reclassification, alteration or amendment would render such other security senior to or on parity with such other series of Preferred Stock;

(e) purchase or redeem or pay or declare any dividend, other than dividends on the Preferred Stock, or make any distribution on any shares of capital stock prior to the Preferred Stock, other than Common Stock or options to acquire Common Stock repurchased from former employees or consultants in connection with the cessation of their employment/services, pursuant to the provisions of existing plans or agreements;

(f) increase or decrease the authorized number of directors constituting the Board of Directors, change the number of votes entitled to be cast by any director or directors on any matter, or adopt any provision inconsistent with Article Sixth;

(g) create or hold capital stock in any subsidiary that is not a wholly-owned subsidiary of the Corporation or dispose of any subsidiary stock or all or substantially all of any subsidiary assets;

(h) sell, assign, license, pledge or encumber material technology or intellectual property, other than licenses granted in the ordinary course of business;

(i) issue debt securities or incur any debt if the aggregate indebtedness of the Corporation following such action would exceed $1,000,000; or

(j) (i) sell, issue or distribute any Corporation-created digital tokens, coins or cryptocurrency (“Tokens”), including through a Simple Agreement for Future Tokens or other agreement, pre-sale, initial coin offering, token distribution event or crowdfunding; or (ii) develop a computer network either incorporating Tokens or permitting the generation of tokens by network participants.

3.4 Series C Preferred Stock Protective Provisions. At any time when at least 10,083,385 shares of Series C Preferred Stock are outstanding, the Corporation or any of its subsidiaries shall not, either directly or indirectly by amendment, merger, consolidation or otherwise, do any of the following without (in addition to any other vote required by law or the Certificate of Incorporation) the written consent or affirmative vote of the holders representing a majority of the outstanding shares of Series C Preferred Stock (the “Required Series C Vote”), given in writing or by vote at a meeting, consenting or voting (as the case may be) as a separate series, and any such act or transaction entered into without such consent or vote shall be null and void ab initio, and of no force or effect:

(a) amend, alter, or repeal any provision of the Certificate of Incorporation or Bylaws so as to adversely affect the rights, preferences and privileges of the Series C Preferred Stock without similarly affecting the entire class of Preferred Stock;

(b) reclassify, amend or modify existing securities so as to adversely affect the rights, preferences or privileges of the Series C Preferred Stock;

 

10


(c) increase the authorized number of shares of Series C Preferred Stock;

(d) amend, waive or modify (i) the original issue price of the Series C Preferred Stock, (ii) the Series C Conversion Price (other than pursuant to the anti-dilution adjustments provided in Section 4.4.4), (iii) the anti-dilution adjustment provisions provided in Section 4.4.4 to the extent applicable to the Series C Preferred Stock, or (iv) the Series C Liquidation Amount; or

(e) waive the treatment of an applicable transaction as a Deemed Liquidation Event with respect to the holders of Series C Preferred Stock.

3.5 Series D Preferred Stock Protective Provisions. At any time when at least 23,697,500 shares of Series D Preferred Stock and Series D-1 Preferred Stock are outstanding, the Corporation or any of its subsidiaries shall not, either directly or indirectly by amendment, merger, consolidation or otherwise, do any of the following without (in addition to any other vote required by law or the Certificate of Incorporation) the written consent or affirmative vote of the holders representing a majority of the outstanding shares of Series D Preferred Stock and Series D-1 Preferred Stock (the “Required Series D Vote”), given in writing or by vote at a meeting, consenting or voting (as the case may be) as a single class on an as converted to Common Stock basis, and any such act or transaction entered into without such consent or vote shall be null and void ab initio, and of no force or effect:

(a) amend, alter, or repeal any provision of the Certificate of Incorporation or Bylaws so as to adversely affect the rights, preferences and privileges of the Series D Preferred Stock or the Series D-1 Preferred Stock without similarly affecting the entire class of Preferred Stock;

(b) reclassify, amend or modify existing securities so as to adversely affect the rights, preferences or privileges of the Series D Preferred Stock or the Series D-1 Preferred Stock;

(c) increase the authorized number of shares of Series D Preferred Stock or Series D-1 Preferred Stock;

(d) amend, waive or modify (i) the original issue price of the Series D Preferred Stock or the Series D-1 Preferred Stock, (ii) the Series D Conversion Price or the Series D-1 Conversion Price (other than pursuant to the anti-dilution adjustments provided in Section 4.4.4), (iii) the anti-dilution adjustment provisions provided in Section 4.4.4 to the extent applicable to the Series D Preferred Stock or the Series D-1 Preferred Stock, or (iv) the Series D Liquidation Amount or the Series D-1 Liquidation Amount; or

(e) waive the treatment of an applicable transaction as a Deemed Liquidation Event with respect to the holders of Series D Preferred Stock or the Series D-1 Preferred Stock.

 

11


4. Optional Conversion. The holders of the Preferred Stock shall have conversion rights as follows (the “Conversion Rights”):

4.1 Right to Convert.

4.1.1 Conversion Ratio. Each share of Preferred Stock shall be convertible, at the option of the holder thereof, at any time and from time to time, and without the payment of additional consideration by the holder thereof, into such number of fully paid and nonassessable shares of Common Stock as is determined by dividing the applicable Original Issue Price by the applicable Conversion Price (as defined below) in effect at the time of conversion. The “Series A Conversion Price” shall initially be equal to $1.00. The “Series B Conversion Price” shall initially be equal to $2.3553. The “Series C Conversion Price” shall initially be equal to $2.5032. The “Series D Conversion Price” shall initially be equal to $1.3792. The “Series D-1 Conversion Price” shall initially be equal to $1.10336. The Series A Conversion Price, Series B Conversion Price, Series C Conversion Price, Series D Conversion Price and Series D-1 Conversion Price shall each be referred to herein as a “Conversion Price” with respect to the applicable series of Preferred Stock. Such initial Conversion Price, and the rate at which shares of Preferred Stock may be converted into shares of Common Stock, shall be subject to adjustment as provided below.

4.1.2 Termination of Conversion Rights. In the event of a notice of redemption of any shares of Preferred Stock pursuant to Subsection 2.3.2(c), the Conversion Rights of the shares designated for redemption shall terminate at the close of business on the last full day preceding the date fixed for redemption, unless the applicable redemption price is not fully paid on such applicable Redemption Date, in which case the Conversion Rights for such shares shall continue until such price is paid in full. In the event of a liquidation, dissolution or winding up of the Corporation or a Deemed Liquidation Event, the Conversion Rights shall terminate at the close of business on the last full day preceding the date fixed for the payment of any amounts distributable on such event to the holders of Preferred Stock.

4.2 Fractional Shares. No fractional shares of Common Stock shall be issued upon conversion of the Preferred Stock. In lieu of any fractional shares to which the holder would otherwise be entitled, the Corporation shall pay cash equal to such fraction multiplied by the fair market value of a share of Common Stock as determined in good faith by the Board of Directors. Whether or not fractional shares would be issuable upon such conversion shall be determined on the basis of the total number of shares of Preferred Stock the holder is at the time converting into Common Stock and the aggregate number of shares of Common Stock issuable upon such conversion.

4.3 Mechanics of Conversion.

4.3.1 Notice of Conversion. In order for a holder of Preferred Stock to voluntarily convert shares of Preferred Stock into shares of Common Stock, such holder shall surrender the certificate or certificates for such shares of Preferred Stock (or, if such registered holder alleges that such certificate has been lost, stolen or destroyed, a lost certificate affidavit and agreement reasonably acceptable to the Corporation to indemnify the Corporation against any claim that may be made against the Corporation on account of the alleged loss, theft or destruction of such certificate), at the office of the transfer agent for the Preferred Stock (or at the principal office of the Corporation if the Corporation serves as its own transfer agent), together with written notice that such holder elects to convert all or any number of the shares of Preferred Stock

 

12


represented by such certificate or certificates and, if applicable, any event on which such conversion is contingent. Such notice shall state such holder’s name or the names of the nominees in which such holder wishes the certificate or certificates for shares of Common Stock to be issued. If required by the Corporation, certificates surrendered for conversion shall be endorsed or accompanied by a written instrument or instruments of transfer, in form satisfactory to the Corporation, duly executed by the registered holder or his, her or its attorney duly authorized in writing. The close of business on the date of receipt by the transfer agent (or by the Corporation if the Corporation serves as its own transfer agent) of such certificates (or lost certificate affidavit and agreement) and notice shall be the time of conversion (the “Conversion Time”), and the shares of Common Stock issuable upon conversion of the shares represented by such certificate shall be deemed to be outstanding of record as of such date. The Corporation shall, as soon as practicable after the Conversion Time, (i) issue and deliver to such holder of Preferred Stock, or to his, her or its nominees, a certificate or certificates for the number of full shares of Common Stock issuable upon such conversion in accordance with the provisions hereof and, a certificate for the number (if any) of the shares of Preferred Stock represented by the surrendered certificate that were not converted into Common Stock, (ii) pay in cash such amount as provided in Subsection 4.2 in lieu of any fraction of a share of Common Stock otherwise issuable upon such conversion and (iii) pay all declared but unpaid dividends on the shares of Preferred Stock converted.

4.3.2 Reservation of Shares. The Corporation shall at all times when the Preferred Stock shall be outstanding, reserve and keep available out of its authorized but unissued capital stock, for the purpose of effecting the conversion of the Preferred Stock, such number of its duly authorized shares of Common Stock as shall from time to time be sufficient to effect the conversion of all outstanding Preferred Stock; and if at any time the number of authorized but unissued shares of Common Stock shall not be sufficient to effect the conversion of all then outstanding shares of the Preferred Stock, the Corporation shall take such corporate action as may be necessary to increase its authorized but unissued shares of Common Stock to such number of shares as shall be sufficient for such purposes, including, without limitation, engaging in best efforts to obtain the requisite stockholder approval of any necessary amendment to the Certificate of Incorporation. Before taking any action which would cause an adjustment reducing the applicable Conversion Price below the then par value of the shares of Common Stock issuable upon conversion of the applicable series of Preferred Stock, the Corporation will take any corporate action which may, in the opinion of its counsel, be necessary in order that the Corporation may validly and legally issue fully paid and nonassessable shares of Common Stock at such adjusted Conversion Price.

4.3.3 Effect of Conversion. All shares of Preferred Stock which shall have been surrendered for conversion as herein provided shall no longer be deemed to be outstanding and all rights with respect to such shares shall immediately cease and terminate at the Conversion Time, except only the right of the holders thereof to receive shares of Common Stock in exchange therefor and to receive payment in lieu of any fraction of a share otherwise issuable upon such conversion as provided in Subsection 4.2 and to receive payment of any dividends declared but unpaid thereon. Any shares of Preferred Stock so converted shall be retired and cancelled and may not be reissued as shares of such series, and the Corporation may thereafter take such appropriate action (without the need for stockholder action) as may be necessary to reduce the authorized number of shares of Preferred Stock accordingly.

 

13


4.3.4 No Further Adjustment. Upon any such conversion, no adjustment to the applicable Conversion Price shall be made for any dividends on the Preferred Stock surrendered for conversion or on the Common Stock delivered upon conversion.

4.3.5 Taxes. The Corporation shall pay any and all issue and other similar taxes that may be payable in respect of any issuance or delivery of shares of Common Stock upon conversion of shares of Preferred Stock pursuant to this Section 4. The Corporation shall not, however, be required to pay any tax which may be payable in respect of any transfer involved in the issuance and delivery of shares of Common Stock in a name other than that in which the shares of Preferred Stock so converted were registered, and no such issuance or delivery shall be made unless and until the person or entity requesting such issuance has paid to the Corporation the amount of any such tax or has established, to the satisfaction of the Corporation, that such tax has been paid.

4.4 Adjustments to Conversion Price for Diluting Issues.

4.4.1 Special Definitions. For purposes of this Article Fourth, the following definitions shall apply:

(a) “Option” shall mean rights, options or warrants to subscribe for, purchase or otherwise acquire Common Stock or Convertible Securities.

(b) “Series D Original Issue Date” shall mean the date on which the first share of Series D Preferred Stock was issued.

(c) “Convertible Securities” shall mean any evidences of indebtedness, shares or other securities directly or indirectly convertible into or exchangeable for Common Stock, but excluding Options.

(d) “Additional Shares of Common Stock” shall mean all shares of Common Stock issued (or, pursuant to Subsection 4.4.3 below, deemed to be issued) by the Corporation after the Series D Original Issue Date, other than (1) the following shares of Common Stock and (2) shares of Common Stock deemed issued pursuant to the following Options and Convertible Securities (clauses (1) and (2), collectively “Exempted Securities”):

(i) shares of Common Stock, Options or Convertible Securities issued as a dividend or distribution on, or upon the conversion of, Preferred Stock, and shares of Common Stock actually issued upon the exercise of such Options, or upon the conversion or exchange of such Convertible Securities or, in the case of Convertible Securities and Options therefor, upon the conversion or exchange of such Convertible Securities, in each case provided such issuance is pursuant to the terms of such Option or Convertible Security;

(ii) shares of Common Stock, Options or Convertible Securities issued by reason of a dividend, stock split, split-up or other distribution on shares of Common Stock that is covered by Subsections 4.5, 4.6, 4.7 or 4.8 below, and shares of Common Stock actually issued upon the exercise of such Options, or upon the conversion or exchange of such Convertible Securities or, in the case of Convertible Securities and Options therefor, the conversion or exchange of such Convertible Securities, in each case provided such issuance is pursuant to the terms of such Option or Convertible Security;

 

14


(iii) shares of Common Stock or Options issued to employees or directors of, or consultants or advisors to, the Corporation or any of its subsidiaries pursuant to a plan, agreement or arrangement approved by the Board of Directors, including the Requisite Directors, and shares of Common Stock actually issued upon the exercise or conversion of such Options, in each case provided such issuance is pursuant to the terms of such Option;

(iv) shares of Common Stock, Options or Convertible Securities issued to banks, equipment lessors or other financial institutions, or to real property lessors, pursuant to a debt financing, equipment leasing or real property leasing transaction approved by the Board of Directors, including the Requisite Directors, and shares of Common Stock actually issued upon the exercise of such Options, or upon the conversion or exchange of such Convertible Securities or, in the case of Convertible Securities and Options therefor, the conversion or exchange of such Convertible Securities, in each case provided such issuance is pursuant to the terms of such Option or Convertible Security;

(v) shares of Common Stock, Options or Convertible Securities issued in connection with sponsored research, collaboration, technology license, development, OEM, marketing or other similar agreements or strategic partnerships approved by the Board of Directors, including the Requisite Directors, and shares of Common Stock issuable upon the exercise of such Options, or upon the conversion or exchange of such Convertible Securities or, in the case of Convertible Securities and Options therefor, the conversion or exchange of such Convertible Securities, in each case provided such issuance is pursuant to the terms of such Option or Convertible Security, and

(vi) up to 55,394,431 shares of Series D Preferred Stock (including shares issued on the Series D Original Issue Date) at a price per share no less than the Series D Original Issue Price.

4.4.2 No Adjustment of Conversion Price. No adjustment in any Conversion Price shall be made as the result of the issuance or deemed issuance of Additional Shares of Common Stock if the Corporation receives written notice from the holders representing the Required Vote (or (i) in the case of the Series C Preferred Stock, the Required Series C Vote; and (ii) in the case of the Series D Preferred Stock or the Series D-1 Preferred Stock, the Required Series D Vote) agreeing that no such adjustment shall be made as the result of the issuance or deemed issuance of such Additional Shares of Common Stock.

 

15


4.4.3 Deemed Issue of Additional Shares of Common Stock.

(a) If the Corporation at any time or from time to time after the Series D Original Issue Date shall issue any Options or Convertible Securities (excluding Options or Convertible Securities which are themselves Exempted Securities) or shall fix a record date for the determination of holders of any class of securities entitled to receive any such Options or Convertible Securities, then the maximum number of shares of Common Stock (as set forth in the instrument relating thereto, assuming the satisfaction of any conditions to exercisability, convertibility or exchangeability but without regard to any provision contained therein for a subsequent adjustment of such number) issuable upon the exercise of such Options or, in the case of Convertible Securities and Options therefor, the conversion or exchange of such Convertible Securities, shall be deemed to be Additional Shares of Common Stock issued as of the time of such issue or, in case such a record date shall have been fixed, as of the close of business on such record date.

(b) If the terms of any Option or Convertible Security, the issuance of which resulted in an adjustment to any Conversion Price pursuant to the terms of Subsection 4.4.4 below, are revised as a result of an amendment to such terms or if any other adjustment is made pursuant to the provisions of such Option or Convertible Security (but excluding automatic adjustments to such terms pursuant to anti-dilution or similar provisions of such Option or Convertible Security) to provide for either (1) any increase or decrease in the number of shares of Common Stock issuable upon the exercise, conversion and/or exchange of any such Option or Convertible Security or (2) any increase or decrease in the consideration payable to the Corporation upon such exercise, conversion and/or exchange, then, effective upon such increase or decrease becoming effective, the applicable Conversion Price computed upon the original issue of such Option or Convertible Security (or upon the occurrence of a record date with respect thereto) shall be readjusted to such Conversion Price as would have obtained had such revised terms been in effect upon the original date of issuance of such Option or Convertible Security. Notwithstanding the foregoing, no readjustment pursuant to this clause (b) shall have the effect of increasing any Conversion Price to an amount which exceeds the lower of (i) such Conversion Price in effect immediately prior to the original adjustment made as a result of the issuance of such Option or Convertible Security, or (ii) such Conversion Price that would have resulted from any issuances of Additional Shares of Common Stock (other than deemed issuances of Additional Shares of Common Stock as a result of the issuance of such Option or Convertible Security) between the original adjustment date and such readjustment date.

(c) If the terms of any Option or Convertible Security (excluding Options or Convertible Securities which are themselves Exempted Securities), the issuance of which did not result in an adjustment to any Conversion Price pursuant to the terms of Subsection 4.4.4 below (either because the consideration per share (determined pursuant to Subsection 4.4.5 hereof) of the Additional Shares of Common Stock subject thereto was equal to or greater than such Conversion Price then in effect, or because such Option or Convertible Security was issued before the Series D Original Issue Date), are revised after the Series D Original Issue Date as a result of an amendment to such terms or any other adjustment pursuant to the provisions of such Option or Convertible Security (but excluding automatic adjustments to such terms pursuant to anti-dilution or similar provisions of such Option or Convertible Security) to provide for either (1) any increase in the number of shares of Common Stock issuable upon the exercise, conversion or exchange of any such Option or Convertible Security or (2) any decrease in the consideration payable to the Corporation upon such exercise, conversion or exchange, then such Option or Convertible Security, as so amended or adjusted, and the Additional Shares of Common Stock subject thereto (determined in the manner provided in Subsection 4.4.3(a) above) shall be deemed to have been issued effective upon such increase or decrease becoming effective.

 

16


(d) Upon the expiration or termination of any unexercised Option or unconverted or unexchanged Convertible Security (or portion thereof) which resulted (either upon its original issuance or upon a revision of its terms) in an adjustment to any Conversion Price pursuant to the terms of Subsection 4.4.4 below, such Conversion Price shall be readjusted to such Conversion Price as would have obtained had such Option or Convertible Security (or portion thereof) never been issued.

(e) If the number of shares of Common Stock issuable upon the exercise, conversion and/or exchange of any Option or Convertible Security, or the consideration payable to the Corporation upon such exercise, conversion and/or exchange, is calculable at the time such Option or Convertible Security is issued or amended but is subject to adjustment based upon subsequent events, any adjustment to any Conversion Price provided for in this Subsection 4.4.3 shall be effected at the time of such issuance or amendment based on such number of shares or amount of consideration without regard to any provisions for subsequent adjustments (and any subsequent adjustments shall be treated as provided in clauses (b) and (c) of this Subsection 4.4.3). If the number of shares of Common Stock issuable upon the exercise, conversion and/or exchange of any Option or Convertible Security, or the consideration payable to the Corporation upon such exercise, conversion and/or exchange, cannot be calculated at all at the time such Option or Convertible Security is issued or amended, any adjustment to any Conversion Price that would result under the terms of this Subsection 4.4.3 at the time of such issuance or amendment shall instead be effected at the time such number of shares and/or amount of consideration is first calculable (even if subject to subsequent adjustments), assuming for purposes of calculating such adjustment to such Conversion Price that such issuance or amendment took place at the time such calculation can first be made.

4.4.4 Adjustment of Conversion Price Upon Issuance of Additional Shares of Common Stock. In the event the Corporation shall at any time after the Series D Original Issue Date issue Additional Shares of Common Stock (including Additional Shares of Common Stock deemed to be issued pursuant to Subsection 4.4.3), without consideration or for a consideration per share less than (a) the Series A Conversion Price in the case of the Series A Preferred Stock, (b) the Series B Conversion Price in the case of the Series B Preferred Stock or (c) the Series C Conversion Price in case of the Series C Preferred Stock, (d) the Series D Conversion Price in case of the Series D Preferred Stock, or (e) the Series D-1 Conversion Price in case of the Series D-1 Preferred Stock in each case in effect immediately prior to such issue, then such Conversion Price shall be reduced, concurrently with such issue, to a price (calculated to the nearest one-hundredth of a cent) determined in accordance with the following formula:

CP2 = (CP1 * (A + B)) / (A + C).

For purposes of the foregoing formula, the following definitions shall apply: “CP2” shall mean the applicable Conversion Price in effect immediately after such issue of Additional Shares of Common Stock;

(a) “CP2” shall mean the applicable Conversion Price in effect immediately after such issue of Additional Shares of Common Stock;

 

17


(b) “CP1” shall mean the applicable Conversion Price in effect immediately prior to such issue of Additional Shares of Common Stock;

(c) “A” shall mean the number of shares of Common Stock outstanding immediately prior to such issue of Additional Shares of Common Stock (treating for this purpose as outstanding all shares of Common Stock issuable upon exercise of Options outstanding immediately prior to such issue or upon conversion or exchange of Convertible Securities (including the Preferred Stock) outstanding (assuming exercise of any outstanding Options therefor) immediately prior to such issue);

(d) “B” shall mean the number of shares of Common Stock that would have been issued if such Additional Shares of Common Stock had been issued at a price per share equal to CP1 (determined by dividing the aggregate consideration received by the Corporation in respect of such issue by CP1); and

(e) “C” shall mean the number of such Additional Shares of Common Stock issued in such transaction.

4.4.5 Determination of Consideration. For purposes of this Subsection 4.4, the consideration received by the Corporation for the issue of any Additional Shares of Common Stock shall be computed as follows:

(a) Cash and Property: Such consideration shall:

(i) insofar as it consists of cash, be computed at the aggregate amount of cash received by the Corporation, excluding amounts paid or payable for accrued interest;

(ii) insofar as it consists of property other than cash, be computed at the fair market value thereof at the time of such issue, as determined in good faith by the Board of Directors, including the Requisite Directors; and

(iii) in the event Additional Shares of Common Stock are issued together with other shares or securities or other assets of the Corporation for consideration which covers both, be the proportion of such consideration so received that is attributable to the Additional Shares of Common Stock, computed as provided in clauses (i) and (ii) above, as determined in good faith by the Board of Directors, including the Requisite Directors.

(b) Options and Convertible Securities. The consideration per share received by the Corporation for Additional Shares of Common Stock deemed to have been issued pursuant to Subsection 4.4.3, relating to Options and Convertible Securities, shall be determined by dividing:

(i) the total amount, if any, received or receivable by the Corporation as consideration for the issue of such Options or Convertible Securities, plus the minimum aggregate amount of additional consideration (as set forth in the instruments relating thereto, without regard to any provision contained therein for a subsequent adjustment of such consideration) payable to the Corporation upon the exercise of such Options or the conversion or exchange of such Convertible Securities, or in the case of Options for Convertible Securities, the exercise of such Options for Convertible Securities and the conversion or exchange of such Convertible Securities, by

 

18


(ii) the maximum number of shares of Common Stock (as set forth in the instruments relating thereto, without regard to any provision contained therein for a subsequent adjustment of such number) issuable upon the exercise of such Options or the conversion or exchange of such Convertible Securities, or in the case of Options for Convertible Securities, the exercise of such Options for Convertible Securities and the conversion or exchange of such Convertible Securities.

4.4.6 Multiple Closing Dates. In the event the Corporation shall issue on more than one date Additional Shares of Common Stock that are a part of one transaction or a series of related transactions and that would result in an adjustment to any Conversion Price pursuant to the terms of Subsection 4.4.4 above then, upon the final such issuance, such Conversion Price shall be readjusted to give effect to all such issuances as if they occurred on the date of the first such issuance (and without giving effect to any additional adjustments as a result of any such subsequent issuances within such period).

4.5 Adjustment for Stock Splits and Combinations. If the Corporation shall at any time or from time to time after the Series D Original Issue Date effect a subdivision of the outstanding Common Stock, the applicable Conversion Price in effect immediately before that subdivision shall be proportionately decreased so that the number of shares of Common Stock issuable on conversion of each share of such series shall be increased in proportion to such increase in the aggregate number of shares of Common Stock outstanding. If the Corporation shall at any time or from time to time after the Series D Original Issue Date combine the outstanding shares of Common Stock, the applicable Conversion Price in effect immediately before the combination shall be proportionately increased so that the number of shares of Common Stock issuable on conversion of each share of such series shall be decreased in proportion to such decrease in the aggregate number of shares of Common Stock outstanding. Any adjustment under this subsection shall become effective at the close of business on the date the subdivision or combination becomes effective.

4.6 Adjustment for Certain Dividends and Distributions. In the event the Corporation at any time or from time to time after the Series D Original Issue Date shall make or issue, or fix a record date for the determination of holders of Common Stock entitled to receive, a dividend or other distribution payable on the Common Stock in additional shares of Common Stock, then and in each such event the applicable Conversion Price in effect immediately before such event shall be decreased as of the time of such issuance or, in the event such a record date shall have been fixed, as of the close of business on such record date, by multiplying such Conversion Price then in effect by a fraction:

 

  (1)

the numerator of which shall be the total number of shares of Common Stock issued and outstanding immediately prior to the time of such issuance or the close of business on such record date, and

 

19


  (2)

the denominator of which shall be the total number of shares of Common Stock issued and outstanding immediately prior to the time of such issuance or the close of business on such record date plus the number of shares of Common Stock issuable in payment of such dividend or distribution.

Notwithstanding the foregoing, (a) if such record date shall have been fixed and such dividend is not fully paid or if such distribution is not fully made on the date fixed therefor, the applicable Conversion Price shall be recomputed accordingly as of the close of business on such record date and thereafter such Conversion Price shall be adjusted pursuant to this subsection as of the time of actual payment of such dividends or distributions; and (b) no such adjustment shall be made if the holders of Preferred Stock simultaneously receive a dividend or other distribution of shares of Common Stock in a number equal to the number of shares of Common Stock they would have received if all outstanding shares of Preferred Stock had been converted into Common Stock on the date of such event.

4.7 Adjustments for Other Dividends and Distributions. In the event the Corporation at any time or from time to time after the Series D Original Issue Date shall make or issue, or fix a record date for the determination of holders of Common Stock entitled to receive, a dividend or other distribution payable in securities of the Corporation (other than a distribution of shares of Common Stock in respect of outstanding shares of Common Stock) or in other property and the provisions of Section 1 do not apply to such dividend or distribution, then and in each such event the holders of Preferred Stock shall receive, simultaneously with the distribution to the holders of Common Stock, a dividend or other distribution of such securities or other property in an amount equal to the amount of such securities or other property they would have received if all outstanding shares of Preferred Stock had been converted into Common Stock on the date of such event.

4.8 Adjustment for Merger or Reorganization, etc. Subject to the provisions of Subsection 2.3, if there shall occur any reorganization, recapitalization, reclassification, consolidation or merger involving the Corporation in which the Common Stock (but not the Preferred Stock) is converted into or exchanged for securities, cash or other property (other than a transaction covered by Subsection 4.4, 4.6 or 4.7), then, following any such reorganization, recapitalization, reclassification, consolidation or merger, each share of Preferred Stock shall thereafter be convertible, in lieu of the Common Stock into which it was convertible prior to such event, into the kind and amount of securities, cash or other property which a holder of the number of shares of the Common Stock issuable upon conversion of one share of Preferred Stock immediately prior to such reorganization, recapitalization, reclassification, consolidation or merger would have been entitled to receive pursuant to such transaction; and, in such case, appropriate adjustment (as determined in good faith by the Board of Directors, including the Requisite Directors) shall be made in the application of the provisions in this Section 4 with respect to the rights and interests thereafter of the holders of the Preferred Stock, to the end that the provisions set forth in this Section 4 (including provisions with respect to changes in and other adjustments of the applicable Conversion Price) shall thereafter be applicable, as nearly as reasonably may be, in relation to any securities or other property thereafter deliverable upon the conversion of the Preferred Stock. For the avoidance of doubt, nothing in this Section 4.8 shall be construed as preventing the holders of Preferred Stock from seeking any appraisal rights to which they are otherwise entitled under the General Corporation Law in connection with a merger triggering an adjustment hereunder, nor shall this Subsection 4.8 be deemed conclusive evidence of the fair value of the shares of Preferred Stock in any such appraisal proceeding.

 

20


4.9 Certificate as to Adjustments. Upon the occurrence of each adjustment or readjustment of any Conversion Price pursuant to this Section 4, the Corporation at its expense shall, as promptly as reasonably practicable but in any event not later than fifteen (15) days thereafter, compute such adjustment or readjustment in accordance with the terms hereof and furnish to each holder of Preferred Stock a certificate setting forth such adjustment or readjustment (including the kind and amount of securities, cash or other property into which the Preferred Stock is convertible) and showing in detail the facts upon which such adjustment or readjustment is based. The Corporation shall, as promptly as reasonably practicable after the written request at any time of any holder of Preferred Stock (but in any event not later than fifteen (15) days thereafter), furnish or cause to be furnished to such holder a certificate setting forth (i) the applicable Conversion Price then in effect, and (ii) the number of shares of Common Stock and the amount, if any, of other securities, cash or property which then would be received upon the conversion of Preferred Stock.

4.10 Notice of Record Date. In the event:

(a) the Corporation shall take a record of the holders of its Common Stock (or other capital stock or securities at the time issuable upon conversion of the Preferred Stock) for the purpose of entitling or enabling them to receive any dividend or other distribution, or to receive any right to subscribe for or purchase any shares of capital stock of any class or any other securities, or to receive any other security; or

(b) of any capital reorganization of the Corporation, any reclassification of the Common Stock, or any Deemed Liquidation Event; or

(c) of the voluntary or involuntary dissolution, liquidation or winding-up of the Corporation, then, and in each such case, the Corporation will send or cause to be sent to the holders of the Preferred Stock a notice specifying, as the case may be, (i) the record date for such dividend, distribution or right, and the amount and character of such dividend, distribution or right, or (ii) the effective date on which such reorganization, reclassification, consolidation, merger, transfer, dissolution, liquidation, winding-up or a Deemed Liquidation Event is proposed to take place, and the time, if any is to be fixed, as of which the holders of record of Common Stock (or such other capital stock or securities at the time issuable upon the conversion of the Preferred Stock) shall be entitled to exchange their shares of Common Stock (or such other capital stock or securities) for securities or other property deliverable upon such reorganization, reclassification, consolidation, merger, transfer, dissolution, liquidation, winding-up or a Deemed Liquidation Event, and the amount per share and character of such exchange applicable to the Preferred Stock and the Common Stock. Such notice shall be sent at least ten (10) days prior to the record date or effective date for the event specified in such notice.

 

21


5. Mandatory Conversion.

5.1 Trigger Events. Upon either (a) the date and time, or the occurrence of an event, specified by vote or written consent of the holders representing the Required Vote or (b) the closing of the sale of shares of Common Stock to the public in a firm commitment underwritten public offering pursuant to an effective registration statement under the Securities Act of 1933, as amended, provided that such offering results in at least $75 million of gross proceeds, after deducting the underwriting discount and commissions, to the Corporation and in connection with such offering the shares of Common Stock are listed for trading on the Nasdaq Stock Market, the New York Stock Exchange or another exchange or marketplace of equal stature (such an event a “QPO”) (the date and time specified or the time of the event specified in such vote or written consent, or the time of such closing, respectively, is referred to herein as the “Mandatory Conversion Time”), (i) all outstanding shares of Preferred Stock shall automatically be converted into shares of Common Stock, at the then effective conversion rate thereof, and (ii) such shares of Preferred Stock may not be reissued by the Corporation.

5.2 Procedural Requirements. All holders of record of shares of Preferred Stock shall be sent written notice of the Mandatory Conversion Time and the place designated for mandatory conversion of all such shares of Preferred Stock pursuant to this Section 5. Such notice need not be sent in advance of the occurrence of the Mandatory Conversion Time. Upon receipt of such notice, each holder of shares of Preferred Stock shall surrender his, her or its certificate or certificates for all such shares (or, if such holder alleges that such certificate has been lost, stolen or destroyed, a lost certificate affidavit and agreement reasonably acceptable to the Corporation to indemnify the Corporation against any claim that may be made against the Corporation on account of the alleged loss, theft or destruction of such certificate) to the Corporation at the place designated in such notice. At the Mandatory Conversion Time, all outstanding shares of Preferred Stock shall be deemed to have been converted into shares of Common Stock (notwithstanding the failure of the holder or holders thereof to surrender any certificates at or prior to such time), which shall be deemed to be outstanding of record as of such time, and all rights with respect to the Preferred Stock so converted, including the rights, if any, to receive notices and vote (other than as a holder of Common Stock), will terminate, except only the rights of the holders thereof, upon surrender of their certificate or certificates (or lost certificate affidavit and agreement) therefor, to receive the items provided for in the last sentence of this Subsection 5.2, and to receive payment of any dividends accrued and declared but unpaid thereon. If so required by the Corporation, certificates surrendered for conversion shall be endorsed or accompanied by written instrument or instruments of transfer, in form satisfactory to the Corporation, duly executed by the registered holder or by his, her or its attorney duly authorized in writing. As soon as practicable after the Mandatory Conversion Time and the surrender of the certificate or certificates (or lost certificate affidavit and agreement) for Preferred Stock, the Corporation shall issue and deliver to such holder, or to his, her or its nominees, a certificate or certificates for the number of full shares of Common Stock issuable on such conversion in accordance with the provisions hereof, together with cash as provided in Subsection 4.2 in lieu of any fraction of a share of Common Stock otherwise issuable upon such conversion and the payment of any declared but unpaid dividends on the shares of Preferred Stock converted.

5.3 Effect of Mandatory Conversion. Such converted Preferred Stock shall be retired and cancelled and may not be reissued as shares of such series, and the Corporation may thereafter take such appropriate action (without the need for stockholder action) as may be necessary to reduce the authorized number of shares of Preferred Stock accordingly.

 

22


6. Redeemed or Otherwise Acquired Shares. Any shares of Preferred Stock that are redeemed or otherwise acquired by the Corporation or any of its subsidiaries shall be automatically and immediately cancelled and retired and shall not be reissued, sold or transferred. Neither the Corporation nor any of its subsidiaries may exercise any voting or other rights granted to the holders of Preferred Stock following redemption.

7. Waiver. Any of the rights, powers, preferences and other terms of any series of Preferred Stock (other than (i) the Series C Preferred Stock with respect to Article Fourth, Part B, Section 3.4 hereof, the provisions of which can only be waived with the Required Series C Vote, (ii) the Series D Preferred Stock and the Series D-1 Preferred Stock with respect to Article Fourth, Part B, Section 3.5 hereof, the provisions of which can only be waived with the Required Series D Vote and (iii) as otherwise provided herein) set forth herein may be waived on behalf of all holders of Preferred Stock by the affirmative written consent or vote of the holders representing the Required Vote.

8. Notices. Any notice required or permitted by the provisions of this Article Fourth to be given to a holder of shares of Preferred Stock shall be mailed, postage prepaid, to the post office address last shown on the records of the Corporation, or given by electronic communication in compliance with the provisions of the General Corporation Law, and shall be deemed sent upon such mailing or electronic transmission.

FIFTH: Subject to any additional vote required by the Certificate of Incorporation, in furtherance and not in limitation of the powers conferred by statute, the Board of Directors is expressly authorized to make, repeal, alter, amend and rescind any or all of the Bylaws of the Corporation.

SIXTH: Subject to any additional vote required by the Certificate of Incorporation, the number of directors of the Corporation shall be determined in the manner set forth in the Bylaws of the Corporation. Each director shall be entitled to one vote on each matter presented to the Board of Directors.

SEVENTH: Elections of directors need not be by written ballot unless the Bylaws of the Corporation shall so provide.

EIGHTH: Meetings of stockholders may be held within or without the State of Delaware, as the Bylaws of the Corporation may provide. The books of the Corporation may be kept outside the State of Delaware at such place or places as may be designated from time to time by the Board of Directors or in the Bylaws of the Corporation.

NINTH: To the fullest extent permitted by law, neither a director nor officer of the Corporation shall be personally liable to the Corporation or its stockholders for monetary damages for breach of fiduciary duty as a director or officer. If the General Corporation Law or any other law of the State of Delaware is amended after approval by the stockholders of this Article Ninth to authorize corporate action further eliminating or limiting the personal liability of directors or officers, then the liability of a director or officer of the Corporation shall be eliminated or limited to the fullest extent permitted by the General Corporation Law as so amended.

 

23


Any amendment, repeal or modification of the foregoing provisions of this Article Ninth shall not (a) adversely affect any right or protection of any director, officer or other agent of the Corporation existing at the time of such amendment, repeal or modification or (b) increase the liability of any director of the Corporation with respect to any acts or omissions of such director, officer or agent occurring prior to, such amendment, repeal or modification.

TENTH: To the fullest extent permitted by applicable law, the Corporation is authorized to provide indemnification of (and advancement of expenses to) directors, officers and agents of the Corporation (and any other persons to which General Corporation Law permits the Corporation to provide indemnification) through Bylaw provisions, agreements with such agents or other persons, vote of stockholders or disinterested directors or otherwise, in excess of the indemnification and advancement otherwise permitted by Section 145 of the General Corporation Law.

Any amendment, repeal or modification of the foregoing provisions of this Article Tenth shall not (a) adversely affect any right or protection of any director, officer or other agent of the Corporation existing at the time of such amendment, repeal or modification or (b) increase the liability of any director of the Corporation with respect to any acts or omissions of such director, officer or agent occurring prior to such amendment, repeal or modification.

ELEVENTH: The Corporation renounces, to the fullest extent permitted by law, any interest or expectancy of the Corporation in, or in being offered an opportunity to participate in, any Excluded Opportunity (as defined below). An “Excluded Opportunity” is any matter, transaction or interest that is presented to, or acquired, created or developed by, or which otherwise comes into the possession of, (i) any director of the Corporation who is not an employee of the Corporation or any of its subsidiaries, or (ii) any holder of Preferred Stock or any partner, member, director, stockholder, employee, affiliate or agent of any such holder, other than someone who is an employee of the Corporation or any of its subsidiaries ((i) and (ii) collectively, “Covered Persons”), unless such matter, transaction or interest is presented to, or acquired, created or developed by, or otherwise comes into the possession of, a Covered Person expressly and solely in such Covered Person’s capacity as a director of the Corporation while such Covered Person is performing services in such capacity. Any repeal or modification of this Article Eleventh will only be prospective and will not affect the rights under this Article Eleventh in effect at the time of the occurrence of any actions or omissions to act giving rise to liability. Notwithstanding anything to the contrary contained elsewhere in this Restated Certificate, the affirmative vote of the holders of the Required Vote will be required to amend or repeal, or to adopt any provisions inconsistent with this Article Eleventh.

TWELFTH: Unless the Corporation consents in writing to the selection of an alternative forum, the Court of Chancery in the State of Delaware shall be the sole and exclusive forum for any stockholder (including a beneficial owner) to bring (i) any derivative action or proceeding brought on behalf of the Corporation, (ii) any action asserting a claim of breach of fiduciary duty owed by any director, officer or other employee of the Corporation to the Corporation or the Corporation’s stockholders, (iii) any action asserting a claim against the Corporation, its directors, officers or employees arising pursuant to any provision of the Delaware General Corporation Law or the Corporation’s certificate of incorporation or bylaws or (iv) any action asserting a claim against the Corporation, its directors, officers or employees governed by

 

24


the internal affairs doctrine, except for, as to each of (i) through (iv) above, any claim as to which the Court of Chancery determines that there is an indispensable party not subject to the jurisdiction of the Court of Chancery (and the indispensable party does not consent to the personal jurisdiction of the Court of Chancery within ten days following such determination), which is vested in the exclusive jurisdiction of a court or forum other than the Court of Chancery, or for which the Court of Chancery does not have subject matter jurisdiction.

THIRTEENTH: If any provision or provisions of this Certificate of Incorporation shall be held to be invalid, illegal or unenforceable as applied to any person or entity or circumstance for any reason whatsoever, then, to the fullest extent permitted by law, the validity, legality and enforceability of such provisions in any other circumstance and of the remaining provisions of this Certificate of Incorporation (including, without limitation, each portion of any sentence of this Certificate of Incorporation containing any such provision held to be invalid, illegal or unenforceable that is not itself held to be invalid, illegal or unenforceable) and the application of such provision to other persons or entities and circumstances shall not in any way be affected or impaired thereby.

* * *

3. That the foregoing amendment and restatement was approved by the holders of the requisite number of shares of this corporation in accordance with Section 228 of the General Corporation Law.

4. That this Amended and Restated Certificate of Incorporation, which restates and integrates and further amends the provisions of this Corporation’s Certificate of Incorporation, has been duly adopted in accordance with Sections 242 and 245 of the General Corporation Law.

[REMAINDER OF PAGE INTENTIONALLY LEFT BLANK]

 

25


IN WITNESS WHEREOF, this Amended and Restated Certificate of Incorporation has been executed by a duly authorized officer of this corporation on this 25th day of November, 2024.

 

By:  

/s/ Jason Coloma

  Name: Jason Coloma
  Title: Chief Executive Officer

[Signature Page to Series D Amended and Restated Certificate of Incorporation]

EX-3.2

Exhibit 3.2

MAZE THERAPEUTICS, INC.

AMENDED AND RESTATED CERTIFICATE OF INCORPORATION

Maze Therapeutics, Inc., a Delaware corporation, hereby certifies as follows:

1. The name of this corporation is “Maze Therapeutics, Inc.” The date of the filing of its original Certificate of Incorporation with the Secretary of State of the State of Delaware was August 29, 2017 under the name Genetic Modifiers Newco, Inc.

2. The Restated Certificate of Incorporation of this corporation attached hereto as Exhibit A, which is incorporated herein by this reference, and which restates, integrates and further amends the provisions of the Certificate of Incorporation of this corporation as previously amended and/or restated, has been duly adopted by this corporation’s Board of Directors and by the stockholders in accordance with Sections 242 and 245 of the General Corporation Law of the State of Delaware, with the approval of this corporation’s stockholders having been given by written consent without a meeting in accordance with Section 228 of the General Corporation Law of the State of Delaware.

IN WITNESS WHEREOF, this corporation has caused this Amended and Restated Certificate of Incorporation to be signed by its duly authorized officer and the foregoing facts stated herein are true and correct.

 

Dated: [    ]     MAZE THERAPEUTICS, INC.
    By:  

 

    Name:   Jason Coloma
    Title:   Chief Executive Officer


EXHIBIT A

MAZE THERAPEUTICS, INC.

AMENDED AND RESTATED CERTIFICATE OF INCORPORATION

ARTICLE I: NAME

The name of the corporation is Maze Therapeutics, Inc. (the “Corporation”).

ARTICLE II: AGENT FOR SERVICE OF PROCESS

The address of the registered office of the Corporation in the State of Delaware is Corporation Trust Center, 1209 Orange Street, in the City of Wilmington, County of New Castle, Delaware 19801. The name of its registered agent at such address is The Corporation Trust Company.

ARTICLE III: PURPOSE

The purpose of the Corporation is to engage in any lawful act or activity for which corporations may be organized under the General Corporation Law of the State of Delaware (the “General Corporation Law”).

ARTICLE IV: AUTHORIZED STOCK

1.Total Authorized. The total number of shares of all classes of stock that the Corporation has authority to issue is five hundred and ten million (510,000,000) shares, consisting of two classes: five hundred million (500,000,000) shares of Common Stock, $0.001 par value per share (“Common Stock”), and ten million (10,000,000) shares of Preferred Stock, $0.001 par value per share (“Preferred Stock”).

2. Designation of Additional Series.

2.1. The Board of Directors of the Corporation (the “Board”) is authorized, subject to any limitations prescribed by the law of the State of Delaware, to provide for the issuance of the shares of Preferred Stock in one or more series, and, by filing a Certificate of Designation pursuant to the applicable law of the State of Delaware (“Certificate of Designation”), to establish from time to time the number of shares to be included in each such series, to fix the designation, vesting, powers (including voting powers), preferences and relative, participating, optional or other special rights, if any, of the shares of each such series and any qualifications, limitations or restrictions thereof, and, except where otherwise provided in the applicable Certificate of Designation, to thereafter increase (but not above the total number of authorized shares of Preferred Stock) or decrease (but not below the number of shares of such series then outstanding) the number of shares of any such series. The number of authorized shares of Preferred Stock may also be increased or decreased (but not below the number of shares thereof then outstanding) by the affirmative vote of the holders of two-thirds of the voting power of all then-outstanding shares of capital stock of the Corporation entitled to vote thereon, voting together as a single class, without

 

2


a separate vote of the holders of Preferred Stock, irrespective of the provisions of Section 242(b)(2) of the General Corporation Law, unless a separate vote of the holders of one or more series is required pursuant to the terms of any Certificate of Designation; provided, however, that if two-thirds of the Whole Board (as defined below) has approved such increase or decrease of the number of authorized shares of Preferred Stock, then only the affirmative vote of the holders of a majority of the voting power of all then-outstanding shares of the capital stock of the Corporation entitled to vote generally in the election of directors, voting together as a single class, without a separate vote of the holders of Preferred Stock, unless a separate vote of the holders of one or more series is required pursuant to the terms of any Certificate of Designation, shall be required to effect such increase or decrease. For purposes of this Amended and Restated Certificate of Incorporation (as the same may be amended and/or restated from time to time, including pursuant to the terms of any Certificate of Designation designating a series of Preferred Stock, this “Certificate of Incorporation”), the term “Whole Board” shall mean the total number of authorized directors whether or not there exist any vacancies in previously authorized directorships.

2.2 Except as otherwise expressly provided in this Certificate of Incorporation (including any Certificate of Designation designating any series of Preferred Stock pursuant to the foregoing provisions of this Article IV), (i) any new series of Preferred Stock may be designated, fixed and determined as provided herein by the Board without approval of the holders of Common Stock or the holders of Preferred Stock, or any series thereof, and (ii) any such new series may have powers, preferences and rights, including, without limitation, voting powers, dividend rights, liquidation rights, redemption rights and conversion rights, senior to, junior to or pari passu with the rights of the Common Stock, any series of Preferred Stock or any future class or series of capital stock of the Corporation.

2.3 Each outstanding share of Common Stock shall entitle the holder thereof to one vote on each matter properly submitted to the stockholders of the Corporation for their vote; provided, that, except as otherwise required by law, holders of Common Stock shall not be entitled to vote on any amendment to this Certificate of Incorporation (including any Certificate of Designation relating to any series of Preferred Stock) that relates solely to the terms of one or more outstanding series of Preferred Stock if the holders of such affected series are entitled, either separately or together as a class with the holders of one or more other such series, to vote thereon pursuant to this Certificate of Incorporation (including any Certificate of Designation relating to any series of Preferred Stock).

ARTICLE V: AMENDMENT OF BYLAWS

The Board shall have the power to adopt, amend or repeal the Bylaws of the Corporation (as the same may be amended and/or restated from time to time, the “Bylaws”). Any adoption, amendment or repeal of the Bylaws by the Board shall require the approval of a majority of the Whole Board. The stockholders shall also have power to adopt, amend or repeal the Bylaws; provided, that, notwithstanding any other provision of this Certificate of Incorporation or any provision of law that might otherwise permit a lesser or no vote, but in addition to any vote of the holders of any class or series of stock of the Corporation required by applicable law or by this Certificate of Incorporation (including any Preferred Stock issued pursuant to a Certificate of Designation), the affirmative vote of the holders of at least two-thirds of the voting power of all then-outstanding shares of the capital stock of the Corporation entitled to vote generally in the election of directors, voting together as a single class, shall be required for the stockholders to

 

3


adopt, amend or repeal any provision of the Bylaws; provided, further, that, in the case of any proposed adoption, amendment or repeal of any provisions of the Bylaws that is approved by at least two-thirds of the Whole Board and submitted to the stockholders for adoption thereby, only the affirmative vote of the holders of a majority of the voting power of all then-outstanding shares of the capital stock of the Corporation entitled to vote generally in the election of directors, voting together as a single class (in addition to any vote of the holders of any class or series of stock of the Corporation required by applicable law or by this Certificate of Incorporation (including any Preferred Stock issued pursuant to a Certificate of Designation)), shall be required to adopt, amend or repeal any provision of the Bylaws.

ARTICLE VI: MATTERS RELATING TO THE BOARD OF DIRECTORS

1.Director Powers. Except as otherwise provided by the General Corporation Law, the Bylaws or this Certificate of Incorporation, the business and affairs of the Corporation shall be managed by or under the direction of the Board.

2.Number of Directors. Subject to the special rights of the holders of any series of Preferred Stock to elect additional directors under specified circumstances, the total number of directors constituting the Whole Board shall be fixed from time to time exclusively by resolution adopted by a majority of the Whole Board.

3.Classified Board. Subject to the special rights of the holders of one or more series of Preferred Stock to elect additional directors under specified circumstances, the directors shall be divided, with respect to the time for which they severally hold office, into three classes designated as Class I, Class II and Class III, respectively (the “Classified Board”). The Board may assign members of the Board already in office to the Classified Board, which assignments shall become effective at the same time that the Classified Board becomes effective. Directors shall be assigned to each class in accordance with a resolution or resolutions adopted by the Board. The initial term of office of the Class I directors shall expire at the Corporation’s first annual meeting of stockholders following the closing of the Corporation’s initial public offering pursuant to an effective registration statement under the Securities Act of 1933, as amended, relating to the offer and sale of Common Stock to the public (the “Initial Public Offering”), the initial term of office of the Class II directors shall expire at the Corporation’s second annual meeting of stockholders following the closing of the Initial Public Offering and the initial term of office of the Class III directors shall expire at the Corporation’s third annual meeting of stockholders following the closing of the Initial Public Offering. At each annual meeting of stockholders following the closing of the Initial Public Offering, directors elected to succeed those directors of the class whose terms then expire shall be elected for a term of office expiring at the third succeeding annual meeting of stockholders after their election.

4.Term and Removal. Each director shall hold office until the annual meeting at which such director’s term expires and until such director’s successor is duly elected and qualified, or until such director’s earlier death, resignation, disqualification or removal. Any director may resign at any time by delivering a resignation in writing or by electronic transmission to the Corporation at its principal office or to the Chairperson of the Board, the Chief Executive Officer, or the Corporate Secretary. Subject to the special rights of the holders of any series of Preferred Stock, no director may be removed from the Board except for cause and only by the affirmative vote of the holders of at least two-thirds of the voting power of the then-outstanding shares of capital stock of the Corporation entitled to vote thereon, voting together as a single class. No no decrease in the number of directors constituting the Board shall shorten the term of any director.

 

4


5.Board Vacancies and Newly Created Directorships. Subject to the special rights of the holders of any series of Preferred Stock, any vacancy occurring in the Board for any cause, and any newly created directorship resulting from any increase in the authorized number of directors, shall, (a) unless the Board determines by resolution that any such vacancies or newly created directorships shall be filled by the stockholders or (b) except as otherwise provided by law, be filled only by the affirmative vote of a majority of the directors then in office, even if less than a quorum, or by a sole remaining director, and shall not be filled by the stockholders. Any director elected in accordance with the preceding sentence shall hold office for a term expiring at the annual meeting of stockholders at which the term of office of the class to which the director has been assigned expires and until such director’s successor shall have been duly elected and qualified, or until such director’s earlier death, resignation, disqualification or removal.

6.Determination of Ambiguity. In case of an ambiguity in the application of any provision set forth in Sections 2, 3, 4, 5 or 6 of this Article VI or in the meaning of any term or definition set forth in this Sections 2, 3, 4, 5 or 6 of this Article VI (including any such term used in any other provision of this Certificate of Incorporation), the Board, or a committee thereof, shall have the power to determine, in its sole discretion, the application of any such provision or any such term or definition with respect to any situation based on the facts believed in good faith by it. A determination of the Board (or a committee thereof, as applicable) in accordance with the preceding sentence shall be conclusive and binding on the stockholders of the Corporation. Such determination shall be evidenced in a writing adopted by the Board (or a committee thereof, as applicable), and such writing shall be made available for inspection by any holder of capital stock of the Corporation at the principal executive offices of the Corporation.

7.  Vote by Ballot. Election of directors need not be by written ballot unless the Bylaws shall so provide.

ARTICLE VII: LIMITATION OF LIABILITY

1.Limitation of Liability. To the fullest extent permitted by law, neither a director of the Corporation nor an officer of the Corporation shall be personally liable for monetary damages for breach of fiduciary duty as a director or officer, as applicable. Without limiting the effect of the preceding sentence, if the General Corporation Law is hereafter amended to authorize the further elimination or limitation of the liability of a director or officer, then the liability of a director or officer of the Corporation shall be eliminated or limited to the fullest extent permitted by the General Corporation Law, as so amended.

2.Change in Rights. Neither any amendment nor repeal of this Article VII, nor the adoption of any provision of this Certificate of Incorporation inconsistent with this Article VII, shall eliminate, reduce or otherwise adversely affect any limitation on the personal liability of a director or officer of the Corporation existing at the time of such amendment, repeal or adoption of such an inconsistent provision.

 

5


ARTICLE VIII: MATTERS RELATING TO STOCKHOLDERS

1.No Action by Written Consent of Stockholders. Subject to the rights of any series of Preferred Stock then outstanding, no action shall be taken by the stockholders of the Corporation except at a duly called annual or special meeting of stockholders and no action shall be taken by the stockholders of the Corporation by written consent in lieu of a meeting.

2.Special Meeting of Stockholders. Special meetings of the stockholders of the Corporation may be called only by the Chairperson of the Board, the Chief Executive Officer, the Lead Independent Director (as defined in the Bylaws), the President, or the Board acting pursuant to a resolution adopted by a majority of the Whole Board and may not be called by the stockholders or any other person or persons.

3.Advance Notice of Stockholder Nominations and Business Transacted at Special Meetings. Advance notice of stockholder nominations for the election of directors of the Corporation and of business to be brought by stockholders before any meeting of stockholders of the Corporation shall be given in the manner provided in the Bylaws. Business transacted at special meetings of stockholders shall be limited to the purpose or purposes stated in the notice of meeting.

ARTICLE IX: CHOICE OF FORUM; EXCLUSIVE FORUM

Unless the Corporation consents in writing to the selection of an alternative forum, the Court of Chancery of the State of Delaware (or, if the Court of Chancery does not have jurisdiction, the federal district court for the District of Delaware) shall, to the fullest extent permitted by law, be the sole and exclusive forum for: (i) any derivative action or proceeding brought on behalf of the Corporation; (ii) any action asserting a claim that is based upon a breach of a fiduciary duty owed by, or other wrongdoing by, any current or former director, officer, stockholder, employee or agent of the Corporation to the Corporation or the Corporation’s stockholders; (iii) any action asserting a claim against the Corporation or any current or former director, officer, stockholder, employee or agent of the Corporation arising pursuant to any provision of the General Corporation Law, this Certificate of Incorporation or the Bylaws or as to which the General Corporation Law confers jurisdiction on the Court of Chancery of the State of Delaware; (iv) any action to interpret, apply, enforce or determine the validity of this Certificate of Incorporation or the Bylaws; (v) any action asserting a claim against the Corporation governed by the internal affairs doctrine; or (vi) any action asserting an “internal corporate claim” as that term is defined in Section 115 of the General Corporation Law. Unless the Corporation consents in writing to the selection of an alternative forum, the federal district courts of the United States of America shall be the exclusive forum for the resolution of any complaint asserting a cause of action arising under the Securities Act, or any successor thereto or, to the fullest extent permitted by law, under the Exchange Act, or any successor thereto. Any person or entity purchasing or otherwise acquiring or holding any interest in shares of capital stock of the Corporation shall be deemed to have notice of and to have consented to the provisions of this Article IX. Failure to enforce the foregoing provisions of this Article IX would cause the Corporation irreparable harm, and the Corporation shall be entitled to equitable relief, including injunctive relief and specific performance, to enforce the foregoing provisions.

 

6


ARTICLE X: AMENDMENT OF CERTIFICATE OF INCORPORATION

If any provision of this Certificate of Incorporation shall be held to be invalid, illegal, or unenforceable, then such provision shall nonetheless be enforced to the maximum extent possible consistent with such holding and the remaining provisions of this Certificate of Incorporation (including, without limitation, all portions of any section of this Certificate of Incorporation containing any such provision held to be invalid, illegal, or unenforceable, which is not invalid, illegal, or unenforceable) shall remain in full force and effect.

The Corporation reserves the right to amend or repeal any provision contained in this Certificate of Incorporation in the manner prescribed by the laws of the State of Delaware and all rights conferred upon stockholders are granted subject to this reservation; provided, however, that, notwithstanding any other provision of this Certificate of Incorporation or any provision of law that might otherwise permit a lesser vote or no vote (but subject to the rights of any series of Preferred Stock set forth in any Certificate of Designation), but in addition to any vote of the holders of any class or series of the stock of the Corporation required by law or by this Certificate of Incorporation, the affirmative vote of the holders of at least two-thirds of the voting power of all then-outstanding shares of the capital stock of the Corporation entitled to vote generally in the election of directors, voting together as a single class, shall be required to amend or repeal, or adopt any provision inconsistent with this Certificate of Incorporation; provided, further, that if two-thirds of the Whole Board has approved such amendment or repeal or adoption of any provision inconsistent with, any provisions of this Certificate of Incorporation, then only the affirmative vote of the holders of a majority of the voting power of all then-outstanding shares of capital stock of the Corporation entitled to vote generally in the election of directors, voting together as a single class (in addition to any other vote of the holders of any class or series of stock of the Corporation required by law or by this Certificate of Incorporation or any Certificate of Designation), shall be required to amend or repeal, or adopt any provision inconsistent with, such provisions of this Certificate of Incorporation.

* * * * * * * * * * *

 

7

EX-3.3

Exhibit 3.3

BY-LAWS

OF

GENETIC MODIFIERS NEWCO, INC.

(the “Corporation”)

 

  1.

Stockholders

(a) Annual Meeting. The annual meeting of stockholders shall be held for the election of directors each year at such place, date and time as shall be designated by the Board of Directors. Any other proper business may be transacted at the annual meeting. If no date for the annual meeting is established or said meeting is not held on the date established as provided above, a special meeting in lieu thereof may be held or there may be action by written consent of the stockholders on matters to be voted on at the annual meeting, and such special meeting or written consent shall have for the purposes of these By-laws or otherwise all the force and effect of an annual meeting.

(b) Special Meetings. Special meetings of stockholders may be called by the Chief Executive Officer, if one is elected, or, if there is no Chief Executive Officer, a President, or by the Board of Directors, but such special meetings may not be called by any other person or persons. The call for the meeting shall state the place, date, hour and purposes of the meeting. Only the purposes specified in the notice of special meeting shall be considered or dealt with at such special meeting.

(c) Notice of Meetings. Whenever stockholders are required or permitted to take any action at a meeting, a notice stating the place, if any, date and hour of the meeting, the means of remote communications, if any, by which stockholders and proxyholders may be deemed to be present and vote at such meeting, and, in the case of a special meeting, the purpose or purposes of the meeting, shall be given by the Secretary (or other person authorized by these By-laws or by law) not less than ten (10) nor more than sixty (60) days before the meeting to each stockholder entitled to vote thereat and to each stockholder who, under the Certificate of Incorporation or under these By-laws is entitled to such notice. If mailed, notice is given when deposited in the mail, postage prepaid, directed to such stockholder at such stockholder’s address as it appears in the records of the Corporation. Without limiting the manner by which notice otherwise may be effectively given to stockholders, any notice to stockholders may be given by electronic transmission in the manner provided in Section 232 of the Delaware General Corporation Law (the “DGCL”).

If a meeting is adjourned to another time or place, notice need not be given of the adjourned meeting if the time and place, if any, and the means of remote communications, if any, by which stockholders and proxyholders may be deemed to be present in person and vote at such adjourned meeting are announced at the meeting at which the adjournment is taken, except that if the adjournment is for more than thirty (30) days, or if after the adjournment a new record date is fixed for the adjourned meeting, notice of the adjourned meeting shall be given to each stockholder of record entitled to vote at the meeting.


(d) Quorum. The holders of a majority in interest of all stock issued, outstanding and entitled to vote at a meeting, present in person or represented by proxy, shall constitute a quorum. Any meeting may be adjourned from time to time by a majority of the votes properly cast upon the question, whether or not a quorum is present. The stockholders present at a duly constituted meeting may continue to transact business until adjournment notwithstanding the withdrawal of enough stockholders to reduce the voting shares below a quorum.

(e) Voting and Proxies. Except as otherwise provided by the Certificate of Incorporation or by law, each stockholder entitled to vote at any meeting of stockholders shall be entitled to one (1) vote for each share of stock held by such stockholder which has voting power upon the matter in question. Each stockholder entitled to vote at a meeting of stockholders or to express consent or dissent to corporate action in writing without a meeting may authorize another person or persons to act for such stockholder by either written proxy or by a transmission permitted by Section 212(c) of the DGCL, but no proxy shall be voted or acted upon after three years from its date, unless the proxy provides for a longer period or is irrevocable and coupled with an interest. Proxies shall be filed with the Secretary of the meeting, or of any adjournment thereof. Except as otherwise limited therein, proxies shall entitle the persons authorized thereby to vote at any adjournment of such meeting.

(f) Action at Meeting. When a quorum is present, any matter before the meeting shall be decided by vote of the holders of a majority of the shares of stock voting on such matter except where a larger vote is required by law, by the Certificate of Incorporation or by these By-laws. Any election of directors by stockholders shall be determined by a plurality of the votes cast, except where a larger vote is required by law, by the Certificate of Incorporation or by these By-laws. The Corporation shall not directly or indirectly vote any share of its own stock; provided, however, that the Corporation may vote shares which it holds in a fiduciary capacity to the extent permitted by law.

(g) Presiding Officer. Meetings of stockholders shall be presided over by the Chairman of the Board, if one is elected, or in his or her absence, the Vice Chairman of the Board, if one is elected, or if neither is elected or in their absence, a President. The Board of Directors shall have the authority to appoint a temporary presiding officer to serve at any meeting of the stockholders if the Chairman of the Board, the Vice Chairman of the Board or a President is unable to do so for any reason.

(h) Conduct of Meetings. The Board of Directors may adopt by resolution such rules and regulations for the conduct of the meeting of stockholders as it shall deem appropriate. Except to the extent inconsistent with such rules and regulations as adopted by the Board of Directors, the presiding officer of any meeting of stockholders shall have the right and authority to prescribe such rules, regulations and procedures and to do all such acts as, in the judgment of such chairman, are appropriate for the proper conduct of the meeting. Such rules, regulations or procedures, whether adopted by the Board of Directors or prescribed by the presiding officer of the meeting, may include, without limitation, the following: (i) the establishment of an agenda or order of business for the meeting; (ii) rules and procedures for maintaining order at the meeting and the safety of those present; (iii) limitations on attendance at or participation in the meeting to stockholders of record of the Corporation, their duly authorized and constituted proxies or such other persons as the chairman of the meeting shall determine; (iv) restrictions on entry to the meeting after the time fixed for the commencement thereof; and (v) limitations on the time allotted to questions or comments by participants. Unless and to the extent determined by the Board of Directors or the presiding officer of the meeting, meetings of stockholders shall not be required to be held in accordance with the rules of parliamentary procedure.

 

2


(i) Action without a Meeting. Unless otherwise provided in the Certificate of Incorporation, any action required or permitted by law to be taken at any annual or special meeting of stockholders, may be taken without a meeting, without prior notice and without a vote, if a consent or consents in writing, setting forth the action so taken, shall be signed by the holders of outstanding stock having not less than the minimum number of votes that would be necessary to authorize or take such action at a meeting at which all shares entitled to vote thereon were present and voted and shall be delivered to the Corporation by delivery to its registered office, by hand or by certified mail, return receipt requested, or to the Corporation’s principal place of business or to the officer of the Corporation having custody of the minute book. Every written consent shall bear the date of signature and no written consent shall be effective unless, within sixty (60) days of the earliest dated consent delivered pursuant to these By-laws, written consents signed by a sufficient number of stockholders entitled to take action are delivered to the Corporation in the manner set forth in these By-laws. Prompt notice of the taking of the corporate action without a meeting by less than unanimous written consent shall be given to those stockholders who have not consented in writing.

(j) Stockholder Lists. The officer who has charge of the stock ledger of the Corporation shall prepare and make, at least ten (10) days before every meeting of stockholders, a complete list of the stockholders entitled to vote at the meeting, arranged in alphabetical order, and showing the address of each stockholder and the number of shares registered in the name of each stockholder. Nothing contained in this Section 1(j) shall require the Corporation to include electronic mail addresses or other electronic contact information on such list. Such list shall be open to the examination of any stockholder, for any purpose germane to the meeting, for a period of at least ten (10) days prior to the meeting in the manner provided by law. The list shall also be open to the examination of any stockholder during the whole time of the meeting as provided by law.

 

  2.

Directors

(a) Powers. The business of the Corporation shall be managed by or under the direction of a Board of Directors who may exercise all the powers of the Corporation except as otherwise provided by law, by the Certificate of Incorporation or by these By-laws. In the event of a vacancy in the Board of Directors, the remaining directors, except as otherwise provided by law, may exercise the powers of the full Board until the vacancy is filled.

(b) Number and Qualification. Unless otherwise provided in the Certificate of Incorporation or in these By-laws, the number of directors which shall constitute the whole board shall be determined from time to time by resolution of the Board of Directors. Directors need not be stockholders.

 

3


(c) Vacancies; Reduction of Board. A majority of the directors then in office, although less than a quorum, or a sole remaining Director, may fill vacancies in the Board of Directors occurring for any reason and newly created directorships resulting from any increase in the authorized number of directors. In lieu of filling any vacancy, the Board of Directors may reduce the number of directors.

(d) Tenure. Except as otherwise provided by law, by the Certificate of Incorporation or by these By-laws, directors shall hold office until their successors are elected and qualified or until their earlier resignation or removal. Any director may resign at any time upon notice given in writing or by electronic transmission to the Corporation. Such resignation shall be effective upon receipt unless it is specified to be effective at some other time or upon the happening of some other event.

(e) Removal. To the extent permitted by law, a director may be removed from office with or without cause by vote of the holders of a majority of the shares of stock entitled to vote in the election of directors.

(f) Meetings. Regular meetings of the Board of Directors may be held without notice at such time, date and place as the Board of Directors may from time to time determine. Special meetings of the Board of Directors may be called, orally or in writing, by the Chief Executive Officer, if one is elected, or, if there is no Chief Executive Officer, the President, or by two or more Directors, designating the time, date and place thereof. Directors may participate in meetings of the Board of Directors by means of conference telephone or other communications equipment by means of which all directors participating in the meeting can hear each other, and participation in a meeting in accordance herewith shall constitute presence in person at such meeting.

(g) Notice of Meetings. Notice of the time, date and place of all special meetings of the Board of Directors shall be given to each director by the Secretary, or Assistant Secretary, or in case of the death, absence, incapacity or refusal of such persons, by the officer or one (1) of the directors calling the meeting. Notice shall be given to each director in person, by telephone, or by facsimile, electronic mail or other form of electronic communications, sent to such director’s business or home address at least twenty-four (24) hours in advance of the meeting, or by written notice mailed to such director’s business or home address at least forty-eight (48) hours in advance of the meeting.

(h) Quorum. At any meeting of the Board of Directors, a majority of the total number of directors shall constitute a quorum for the transaction of business. Less than a quorum may adjourn any meeting from time to time and the meeting may be held as adjourned without further notice.

(i) Action at Meeting. At any meeting of the Board of Directors at which a quorum is present, unless otherwise provided in the following sentence, a majority of the directors present may take any action on behalf of the Board of Directors, unless a larger number is required by law, by the Certificate of Incorporation or by these By-laws. So long as there are two (2) or fewer Directors, any action to be taken by the Board of Directors shall require the approval of all Directors.

 

4


(j) Action by Consent. Any action required or permitted to be taken at any meeting of the Board of Directors may be taken without a meeting if all members of the Board of Directors consent thereto in writing or by electronic transmission, and the writing or writings or electronic transmission or transmissions are filed with the records of the meetings of the Board of Directors. Such filing shall be in paper form if the minutes are maintained in paper form and shall be in electronic form if the minutes are maintained in electronic form.

(k) Committees. The Board of Directors may, by resolution passed by a majority of the whole Board of Directors, establish one (1) or more committees, each committee to consist of one or more directors. The Board of Directors may designate one (1) or more directors as alternate members of any committee, who may replace any absent or disqualified member at any meeting of the committee. In the absence or disqualification of a member of a committee, the member or members thereof present at any meeting and not disqualified from voting, whether or not such member or members constitute a quorum, may unanimously appoint another member of the Board of Directors to act at the meeting in the place of any such absent or disqualified member.

Any such committee, to the extent permitted by law and to the extent provided in the resolution of the Board of Directors, shall have and may exercise all the powers and authority of the Board of Directors in the management of the business and affairs of the Corporation, and may authorize the seal of the Corporation to be affixed to all papers which may require it; but no such committee shall have the power or authority in reference to the following: (i) approving or adopting, or recommending to the stockholders, any action or matter expressly required by the DGCL to be submitted to stockholders for approval or (ii) adopting, amending or repealing any provision of these By-laws.

Except as the Board of Directors may otherwise determine, any such committee may make rules for the conduct of its business, but in the absence of such rules its business shall be conducted so far as possible in the same manner as is provided in these By-laws for the Board of Directors. All members of such committees shall hold their committee offices at the pleasure of the Board of Directors, and the Board may abolish any committee at any time.

 

  3.

Officers

(a) Enumeration. The officers of the Corporation shall consist of one (1) or more Presidents (who, if there is more than one (1), shall be referred to as Co-Presidents), a Treasurer, a Secretary, and such other officers, including, without limitation, a Chief Executive Officer and one (1) or more Vice Presidents (including Executive Vice Presidents or Senior Vice Presidents), Assistant Vice Presidents, Assistant Treasurers and Assistant Secretaries, as the Board of Directors may determine. The Board of Directors may elect from among its members a Chairman of the Board and a Vice Chairman of the Board.

(b) Election. The Presidents, Treasurer and Secretary shall be elected annually by the Board of Directors at their first meeting following the annual meeting of stockholders. Other officers may be chosen by the Board of Directors at such meeting or at any other meeting.

 

5


(c) Qualification. No officer need be a stockholder or Director. Any two or more offices may be held by the same person. Any officer may be required by the Board of Directors to give bond for the faithful performance of such officer’s duties in such amount and with such sureties as the Board of Directors may determine.

(d) Tenure. Except as otherwise provided by the Certificate of Incorporation or by these By-laws, each of the officers of the Corporation shall hold office until the first meeting of the Board of Directors following the next annual meeting of stockholders and until such officer’s successor is elected and qualified or until such officer’s earlier resignation or removal. Any officer may resign by delivering his or her written resignation to the Corporation, and such resignation shall be effective upon receipt unless it is specified to be effective at some other time or upon the happening of some other event.

(e) Removal. The Board of Directors may remove any officer with or without cause by a vote of a majority of the directors then in office.

(f) Vacancies. Any vacancy in any office may be filled for the unexpired portion of the term by the Board of Directors.

(g) Chairman of the Board and Vice Chairman. Unless otherwise provided by the Board of Directors, the Chairman of the Board of Directors, if one is elected, shall preside, when present, at all meetings of the stockholders and the Board of Directors. The Chairman of the Board shall have such other powers and shall perform such duties as the Board of Directors may from time to time designate.

Unless otherwise provided by the Board of Directors, in the absence of the Chairman of the Board, the Vice Chairman of the Board, if one is elected, shall preside, when present, at all meetings of the stockholders and the Board of Directors. The Vice Chairman of the Board shall have such other powers and shall perform such duties as the Board of Directors may from time to time designate.

(h) Chief Executive Officer. The Chief Executive Officer, if one is elected, shall have such powers and shall perform such duties as the Board of Directors may from time to time designate.

(i) Presidents. The Presidents shall, subject to the direction of the Board of Directors, each have general supervision and control of the Corporation’s business and any action that would typically be taken by a President may be taken by any Co-President. If there is no Chairman of the Board or Vice Chairman of the Board, a President shall preside, when present, at all meetings of stockholders and the Board of Directors. The Presidents shall have such other powers and shall perform such duties as the Board of Directors may from time to time designate.

(j) Vice Presidents and Assistant Vice Presidents. Any Vice President (including any Executive Vice President or Senior Vice President) and any Assistant Vice President shall have such powers and shall perform such duties as the Board of Directors may from time to time designate.

 

6


(k) Treasurer and Assistant Treasurers. The Treasurer shall, subject to the direction of the Board of Directors, have general charge of the financial affairs of the Corporation and shall cause to be kept accurate books of account. The Treasurer shall have custody of all funds, securities, and valuable documents of the Corporation, except as the Board of Directors may otherwise provide. The Treasurer shall have such other powers and shall perform such duties as the Board of Directors may from time to time designate.

Any Assistant Treasurer shall have such powers and perform such duties as the Board of Directors may from time to time designate.

(l) Secretary and Assistant Secretaries. The Secretary shall record the proceedings of all meetings of the stockholders and the Board of Directors (including committees of the Board) in books kept for that purpose. In the absence of the Secretary from any such meeting an Assistant Secretary, or if such person is absent, a temporary secretary chosen at the meeting, shall record the proceedings thereof. The Secretary shall have charge of the stock ledger (which may, however, be kept by any transfer or other agent of the Corporation) and shall have such other duties and powers as may be designated from time to time by the Board of Directors.

Any Assistant Secretary shall have such powers and perform such duties as the Board of Directors may from time to time designate.

(m) Other Powers and Duties. Subject to these By-laws, each officer of the Corporation shall have in addition to the duties and powers specifically set forth in these By-laws, such duties and powers as are customarily incident to such officer’s office, and such duties and powers as may be designated from time to time by the Board of Directors.

 

  4.

Capital Stock

(a) Certificates of Stock. Each stockholder shall be entitled to a certificate of the capital stock of the Corporation in such form as may from time to time be prescribed by the Board of Directors. Such certificate shall be signed by a President or a Vice President, and by the Treasurer or an Assistant Treasurer, or the Secretary or an Assistant Secretary. Such signatures may be a facsimile. In case any officer, transfer agent or registrar who has signed or whose facsimile signature has been placed on such certificate shall have ceased to be such officer, transfer agent or registrar before such certificate is issued, it may be issued by the Corporation with the same effect as if such person were such officer, transfer agent or registrar at the time of its issue. Every certificate for shares of stock which are subject to any restriction on transfer and every certificate issued when the Corporation is authorized to issue more than one (1) class or series of stock shall contain such legend with respect thereto as is required by law. The Corporation shall be permitted to issue fractional shares.

(b) Transfers. Subject to any restrictions on transfer, shares of stock may be transferred on the books of the Corporation by the surrender to the Corporation or its transfer agent of the certificate therefor properly endorsed or accompanied by a written assignment or power of attorney properly executed, with transfer stamps (if necessary) affixed, and with such proof of the authenticity of signature as the Corporation or its transfer agent may reasonably require.

 

7


(c) Record Holders. Except as may otherwise be required by law, by the Certificate of Incorporation or by these By-laws, the Corporation shall be entitled to treat the record holder of stock as shown on its books as the owner of such stock for all purposes, including the payment of dividends and the right to vote with respect thereto, regardless of any transfer, pledge or other disposition of such stock, until the shares have been transferred on the books of the Corporation in accordance with the requirements of these By-laws.

It shall be the duty of each stockholder to notify the Corporation of such stockholder’s post office address.

(d) Record Date. In order that the Corporation may determine the stockholders entitled to notice of or to vote at any meeting of stockholders or any adjournment thereof, or to consent to corporate action in writing without a meeting, or entitled to receive payment of any dividend or other distribution or allotment of any rights, or entitled to exercise any rights in respect of any change, conversion or exchange of stock or for the purpose of any other lawful action, the Board of Directors may fix, in advance, a record date, which shall not precede the date on which it is established, and which shall not be more than sixty (60) nor less than ten (10) days before the date of such meeting, more than ten (10) days after the date on which the record date for stockholder consent without a meeting is established, nor more than sixty (60) days prior to any other action. In such case only stockholders of record on such record date shall be so entitled notwithstanding any transfer of stock on the books of the Corporation after the record date.

If no record date is fixed, (i) the record date for determining stockholders entitled to notice of or to vote at a meeting of stockholders shall be at the close of business on the day next preceding the day on which notice is given, or, if notice is waived, at the close of business on the day next preceding the day on which the meeting is held, (ii) the record date for determining stockholders entitled to consent to corporate action in writing without a meeting, when no prior action by the Board of Directors is necessary, shall be the first date on which a signed written consent setting forth the action taken or proposed to be taken is delivered to the Corporation by delivery to its registered office in this state, to its principal place of business, or to an officer or agent of the Corporation having custody of the book in which proceedings of meetings of stockholders are recorded, and (iii) the record date for determining stockholders for any other purpose shall be at the close of business on the day on which the Board of Directors adopts the resolution relating thereto.

(e) Lost Certificates. The Corporation may issue a new certificate of stock in the place of any certificate theretofore issued by it, alleged to have been lost, stolen or destroyed, and the Corporation may require the owner of the lost, stolen or destroyed certificate, or his legal representative, to give the Corporation a bond sufficient to indemnify it against any claim that may be made against it on account of the alleged loss, theft or destruction of any such certificate or the issuance of such new certificate.

 

8


  5.

Indemnification

(a) Definitions. For purposes of this Section 5:

(i) “Corporate Status” describes the status of a person who is serving or has served (A) as a Director of the Corporation, (B) as an Officer of the Corporation, (C) as a Non-Officer Employee of the Corporation, or (D) as a director, partner, trustee, officer, employee or agent of any other corporation, partnership, limited liability company, joint venture, trust, employee benefit plan, foundation, association, organization or other legal entity for which such person is or was serving at the request of the Corporation. For purposes of this Section 5(a)(i), a Director, Officer or Non-Officer Employee of the Corporation who is serving or has served as a director, partner, trustee, officer, employee or agent of a Subsidiary shall be deemed to be serving at the request of the Corporation. Notwithstanding the foregoing, “Corporate Status” shall not include the status of a person who is serving or has served as a director, officer, employee or agent of a constituent corporation absorbed in a merger or consolidation transaction with the Corporation with respect to such person’s activities prior to said transaction, unless specifically authorized by the Board of Directors or the stockholders of the Corporation;

(ii) “Director” means any person who serves or has served the Corporation as a director on the Board of Directors of the Corporation;

(iii) “Disinterested Director” means, with respect to each Proceeding in respect of which indemnification is sought hereunder, a Director of the Corporation who is not and was not a party to such Proceeding;

(iv) “Expenses” means all reasonable attorneys fees, retainers, court costs, transcript costs, fees of expert witnesses, private investigators and professional advisors (including, without limitation, accountants and investment bankers), travel expenses, duplicating costs, printing and binding costs, costs of preparation of demonstrative evidence and other courtroom presentation aids and devices, costs incurred in connection with document review, organization, imaging and computerization, telephone charges, postage, delivery service fees, and all other disbursements, costs or expenses of the type customarily incurred in connection with prosecuting, defending, preparing to prosecute or defend, investigating, being or preparing to be a witness in, settling or otherwise participating in, a Proceeding;

(v) “Liabilities” means judgments, damages, liabilities, losses, penalties, excise taxes, fines and amounts paid in settlement;

(vi) “Non-Officer Employee” means any person who serves or has served as an employee or agent of the Corporation, but who is not or was not a Director or Officer;

(vii) “Officer” means any person who serves or has served the Corporation as an officer of the Corporation appointed by the Board of Directors of the Corporation;

 

9


(viii) “Proceeding” means any threatened, pending or completed action, suit, arbitration, alternate dispute resolution mechanism, inquiry, investigation, administrative hearing or other proceeding, whether civil, criminal, administrative, arbitrative or investigative; and

(ix) “Subsidiary” shall mean any corporation, partnership, limited liability company, joint venture, trust or other entity of which the Corporation owns (either directly or through or together with another Subsidiary of the Corporation) either (i) a general partner, managing member or other similar interest or (ii) (A) 50% or more of the voting power of the voting capital equity interests of such corporation, partnership, limited liability company, joint venture or other entity, or (B) 50% or more of the outstanding voting capital stock or other voting equity interests of such corporation, partnership, limited liability company, joint venture or other entity.

(b) Indemnification of Directors and Officers. Subject to the operation of Section 5(d) of these By-laws, each Director and Officer shall be indemnified and held harmless by the Corporation to the fullest extent authorized by the DGCL, as the same exists or may hereafter be amended (but, in the case of any such amendment, only to the extent that such amendment permits the Corporation to provide broader indemnification rights than such law permitted the Corporation to provide prior to such amendment), and to the extent authorized in subsections (i) through (iv) of this Section 5(b).

(i) Actions, Suits and Proceedings Other than By or In the Right of the Corporation. Each Director and Officer shall be indemnified and held harmless by the Corporation against any and all Expenses and Liabilities that are incurred or paid by such Director or Officer or on such Director’s or Officer’s behalf in connection with any Proceeding or any claim, issue or matter therein (other than an action by or in the right of the Corporation), which such Director or Officer is, or is threatened to be made, a party to or participant in by reason of such Director’s or Officer’s Corporate Status, if such Director or Officer acted in good faith and in a manner such Director or Officer reasonably believed to be in or not opposed to the best interests of the Corporation and, with respect to any criminal proceeding, had no reasonable cause to believe his or her conduct was unlawful.

(ii) Actions, Suits and Proceedings By or In the Right of the Corporation. Each Director and Officer shall be indemnified and held harmless by the Corporation against any and all Expenses that are incurred by such Director or Officer or on such Director’s or Officer’s behalf in connection with any Proceeding or any claim, issue or matter therein by or in the right of the Corporation, which such Director or Officer is, or is threatened to be made, a party to or participant in by reason of such Director’s or Officer’s Corporate Status, if such Director or Officer acted in good faith and in a manner such Director or Officer reasonably believed to be in or not opposed to the best interests of the Corporation; provided, however, that no indemnification shall be made under this Section 5(b)(ii) in respect of any claim, issue or matter as to which such Director or Officer shall have been finally adjudged by a court of competent jurisdiction to be liable to the Corporation, unless, and only to the extent that, the Court of Chancery or another court in which such Proceeding was brought shall determine upon application that, despite adjudication of liability, but in view of all the circumstances of the case, such Director or Officer is fairly and reasonably entitled to indemnification for such Expenses that such court deems proper.

 

10


(iii) Survival of Rights. The rights of indemnification provided by this Section 5(b) shall continue as to a Director or Officer after he or she has ceased to be a Director or Officer and shall inure to the benefit of his or her heirs, executors, administrators and personal representatives.

(iv) Actions by Directors or Officers. Notwithstanding the foregoing, the Corporation shall indemnify any Director or Officer seeking indemnification in connection with a Proceeding initiated by such Director or Officer only if such Proceeding (including any parts of such Proceeding not initiated by such Director or Officer) was authorized in advance by the Board of Directors of the Corporation, unless such Proceeding was brought to enforce such Officer’s or Director’s rights to indemnification or, in the case of Directors, advancement of Expenses under these By- laws in accordance with the provisions set forth herein.

(c) Indemnification of Non-Officer Employees. Subject to the operation of Section 5(d) of these By-laws, each Non-Officer Employee may, in the discretion of the Board of Directors of the Corporation, be indemnified by the Corporation to the fullest extent authorized by the DGCL, as the same exists or may hereafter be amended, against any or all Expenses and Liabilities that are incurred by such Non-Officer Employee or on such Non-Officer Employee’s behalf in connection with any threatened, pending or completed Proceeding, or any claim, issue or matter therein, which such Non-Officer Employee is, or is threatened to be made, a party to or participant in by reason of such Non-Officer Employee’s Corporate Status, if such Non-Officer Employee acted in good faith and in a manner such Non-Officer Employee reasonably believed to be in or not opposed to the best interests of the Corporation and, with respect to any criminal proceeding, had no reasonable cause to believe his or her conduct was unlawful. The rights of indemnification provided by this Section 5(c) shall exist as to a Non-Officer Employee after he or she has ceased to be a Non-Officer Employee and shall inure to the benefit of his or her heirs, personal representatives, executors and administrators. Notwithstanding the foregoing, the Corporation may indemnify any Non-Officer Employee seeking indemnification in connection with a Proceeding initiated by such Non-Officer Employee only if such Proceeding was authorized in advance by the Board of Directors of the Corporation.

(d) Determination. Unless ordered by a court, no indemnification shall be provided pursuant to this Section 5 to a Director, to an Officer or to a Non-Officer Employee unless a determination shall have been made that such person acted in good faith and in a manner such person reasonably believed to be in or not opposed to the best interests of the Corporation and, with respect to any criminal Proceeding, such person had no reasonable cause to believe his or her conduct was unlawful. Such determination shall be made by (i) a majority vote of the Disinterested Directors, even though less than a quorum of the Board of Directors, (ii) a committee comprised of Disinterested Directors, such committee having been designated by a majority vote of the Disinterested Directors (even though less than a quorum), (iii) if there are no such Disinterested Directors, or if a majority of Disinterested Directors so directs, by independent legal counsel in a written opinion, or (iv) by the stockholders of the Corporation.

 

11


(e) Advancement of Expenses to Directors Prior to Final Disposition.

(i) The Corporation shall advance all Expenses incurred by or on behalf of any Director in connection with any Proceeding in which such Director is involved by reason of such Director’s Corporate Status within thirty (30) days after the receipt by the Corporation of a written statement from such Director requesting such advance or advances from time to time, whether prior to or after final disposition of such Proceeding. Such statement or statements shall reasonably evidence the Expenses incurred by such Director and shall be preceded or accompanied by an undertaking by or on behalf of such Director to repay any Expenses so advanced if it shall ultimately be determined that such Director is not entitled to be indemnified against such Expenses. Notwithstanding the foregoing, the Corporation shall advance all Expenses incurred by or on behalf of any Director seeking advancement of expenses hereunder in connection with a Proceeding initiated by such Director only if such Proceeding (including any parts of such Proceeding not initiated by such Director) was (A) authorized by the Board of Directors of the Corporation, or (B) brought to enforce such Director’s rights to indemnification or advancement of Expenses under these By-laws.

(ii) If a claim for advancement of Expenses hereunder by a Director is not paid in full by the Corporation within thirty (30) days after receipt by the Corporation of documentation of Expenses and the required undertaking, such Director may at any time thereafter bring suit against the Corporation to recover the unpaid amount of the claim and if successful in whole or in part, such Director shall also be entitled to be paid the expenses of prosecuting such claim. The failure of the Corporation (including its Board of Directors or any committee thereof, independent legal counsel, or stockholders) to make a determination concerning the permissibility of such advancement of Expenses under this Section 5 shall not be a defense to an action brought by a Director for recovery of the unpaid amount of an advancement claim and shall not create a presumption that such advancement is not permissible. The burden of proving that a Director is not entitled to an advancement of expenses shall be on the Corporation.

(iii) In any suit brought by the Corporation to recover an advancement of expenses pursuant to the terms of an undertaking, the Corporation shall be entitled to recover such expenses upon a final adjudication that the Director has not met any applicable standard for indemnification set forth in the DGCL.

(f) Advancement of Expenses to Officers and Non-Officer Employees Prior to Final Disposition.

(i) The Corporation may, at the discretion of the Board of Directors of the Corporation, advance any or all Expenses incurred by or on behalf of any Officer or any Non-Officer Employee in connection with any Proceeding in which such person is involved by reason of his or her Corporate Status as an Officer or Non-Officer Employee upon the receipt by the Corporation of a statement or statements from such Officer or Non-Officer Employee requesting such advance or advances from time to time, whether prior to or after final disposition of such Proceeding. Such statement or statements shall reasonably evidence the Expenses incurred by such Officer or Non-Officer Employee and shall be preceded or accompanied by an undertaking by or on behalf of such person to repay any Expenses so advanced if it shall ultimately be determined that such Officer or Non-Officer Employee is not entitled to be indemnified against such Expenses.

 

12


(ii) In any suit brought by the Corporation to recover an advancement of expenses pursuant to the terms of an undertaking, the Corporation shall be entitled to recover such expenses upon a final adjudication that the Officer or Non-Officer Employee has not met any applicable standard for indemnification set forth in the DGCL.

(g) Contractual Nature of Rights.

(i) The provisions of this Section 5 shall be deemed to be a contract between the Corporation and each Director and Officer entitled to the benefits hereof at any time while this Section 5 is in effect, in consideration of such person’s past or current and any future performance of services for the Corporation. Neither amendment, repeal or modification of any provision of this Section 5 nor the adoption of any provision of the Certificate of Incorporation inconsistent with this Section 5 shall eliminate or reduce any right conferred by this Section 5 in respect of any act or omission occurring, or any cause of action or claim that accrues or arises or any state of facts existing, at the time of or before such amendment, repeal, modification or adoption of an inconsistent provision (even in the case of a proceeding based on such a state of facts that is commenced after such time), and all rights to indemnification and advancement of Expenses granted herein or arising out of any act or omission shall vest at the time of the act or omission in question, regardless of when or if any proceeding with respect to such act or omission is commenced. The rights to indemnification and to advancement of expenses provided by, or granted pursuant to, this Section 5 shall continue notwithstanding that the person has ceased to be a director or officer of the Corporation and shall inure to the benefit of the estate, heirs, executors, administrators, legatees and distributees of such person.

(ii) If a claim for indemnification hereunder by a Director or Officer is not paid in full by the Corporation within sixty (60) days after receipt by the Corporation of a written claim for indemnification, such Director or Officer may at any time thereafter bring suit against the Corporation to recover the unpaid amount of the claim, and if successful in whole or in part, such Director or Officer shall also be entitled to be paid the expenses of prosecuting such claim. The failure of the Corporation (including its Board of Directors or any committee thereof, independent legal counsel, or stockholders) to make a determination concerning the permissibility of such indemnification under this Section 5 shall not be a defense to an action brought by a Director or Officer for recovery of the unpaid amount of an indemnification claim and shall not create a presumption that such indemnification is not permissible. The burden of proving that a Director or Officer is not entitled to indemnification shall be on the Corporation.

 

13


(iii) In any suit brought by a Director or Officer to enforce a right to indemnification hereunder, it shall be a defense that such Director or Officer has not met any applicable standard for indemnification set forth in the DGCL.

(h) Non-Exclusivity of Rights. The rights to indemnification and advancement of Expenses set forth in this Section 5 shall not be exclusive of any other right which any Director, Officer, or Non-Officer Employee may have or hereafter acquire under any statute, provision of the Certificate or these By-laws, agreement, vote of stockholders or Disinterested Directors or otherwise.

(i) Insurance. The Corporation may maintain insurance, at its expense, to protect itself and any Director, Officer or Non-Officer Employee against any liability of any character asserted against or incurred by the Corporation or any such Director, Officer or Non- Officer Employee, or arising out of any such person’s Corporate Status, whether or not the Corporation would have the power to indemnify such person against such liability under the DGCL or the provisions of this Section 5.

(j) Other Indemnification. The Corporation’s obligation, if any, to indemnify or provide advancement of Expenses to any person under this Section 5 as a result of such person serving, at the request of the Corporation, as a director, partner, trustee, officer, employee or agent of another corporation, partnership, joint venture, trust, employee benefit plan or other enterprise shall be reduced by any amount such person may collect as indemnification or advancement of Expenses from such other corporation, partnership, joint venture, trust, employee benefit plan or enterprise (the “Primary Indemnitor”). Any indemnification or advancement of Expenses under this Section 5 owed by the Corporation as a result of a person serving, at the request of the Corporation, as a director, partner, trustee, officer, employee or agent of another corporation, partnership, joint venture, trust, employee benefit plan or other enterprise shall only be in excess of, and shall be secondary to, the indemnification or advancement of Expenses available from the applicable Primary Indemnitor(s) and any applicable insurance policies.

6. Miscellaneous Provisions

(a) Fiscal Year. Except as otherwise determined by the Board of Directors, the fiscal year of the Corporation shall end on December 31 of each year.

(b) Seal. The Board of Directors shall have power to adopt and alter the seal of the Corporation.

(c) Execution of Instruments. Subject to any limitations which may be set forth in a resolution of the Board of Directors, all deeds, leases, transfers, contracts, bonds, notes and other obligations to be entered into by the Corporation in the ordinary course of its business without director action may be executed on behalf of the Corporation by, a President, or by any other officer, employee or agent of the Corporation as the Board of Directors may authorize.

(d) Voting of Securities. Unless the Board of Directors otherwise provides, a President, any Vice President or the Treasurer may waive notice of and act on behalf of this Corporation, or appoint another person or persons to act as proxy or attorney in fact for this Corporation with or without discretionary power and/or power of substitution, at any meeting of stockholders or shareholders of any other corporation or organization, any of whose securities are held by this Corporation.

 

14


(e) Resident Agent. The Board of Directors may appoint a resident agent upon whom legal process may be served in any action or proceeding against the Corporation.

(f) Corporate Records. The original or attested copies of the Certificate of Incorporation, By-laws and records of all meetings of the incorporators, stockholders and the Board of Directors and the stock and transfer records, which shall contain the names of all stockholders, their record addresses and the amount of stock held by each, shall be kept at the principal office of the Corporation, at the office of its counsel, or at an office of its transfer agent.

(g) Certificate of Incorporation. All references in these By-laws to the Certificate of Incorporation shall be deemed to refer to the Certificate of Incorporation of the Corporation, as amended and in effect from time to time.

(h) Amendments. These By-laws may be altered, amended or repealed, and new By-laws may be adopted, by the stockholders or by the Board of Directors; provided, that (a) the Board of Directors may not alter, amend or repeal any provision of these By-laws which by law, by the Certificate of Incorporation or by these By-laws requires action by the stockholders and (b) any alteration, amendment or repeal of these By-laws by the Board of Directors and any new By-law adopted by the Board of Directors may be altered, amended or repealed by the stockholders.

(i) Waiver of Notice. Whenever notice is required to be given under any provision of these By-laws, a written waiver, signed by the person entitled to notice, or a waiver by electronic transmission by the person entitled to notice, whether before or after the time of the event for which notice is to be given, shall be deemed equivalent to notice. Attendance of a person at a meeting shall constitute a waiver of notice of such meeting, except when the person attends a meeting for the express purpose of objecting at the beginning of the meeting to the transaction of any business because the meeting is not lawfully called or convened. Neither the business to be transacted at, nor the purpose of, any meeting needs to be specified in any written waiver or any waiver by electronic transmission.

Adopted: September 6, 2017

 

15

EX-3.4

Exhibit 3.4

 

 

 

 

 

MAZE THERAPEUTICS, INC.

(a Delaware corporation)

AMENDED AND RESTATED BYLAWS

As Amended and Restated on January [ ], 2025

 

 

 


MAZE THERAPEUTICS, INC.

(a Delaware corporation)

AMENDED AND RESTATED BYLAWS

TABLE OF CONTENTS

 

             Page  

Article I: MEETINGS OF STOCKHOLDERS

     1  
 

Section 1.1:

  Annual Meetings      1  
 

Section 1.2:

  Special Meetings      1  
 

Section 1.3:

  Notice of Stockholders’ Meetings      1  
 

Section 1.4:

  Adjournments      1  
 

Section 1.5:

  Quorum      2  
 

Section 1.6:

  Organization      2  
 

Section 1.7:

  Voting; Proxies      3  
 

Section 1.8:

  Fixing Date for Determination of Stockholders of Record      3  
 

Section 1.9:

  List of Stockholders Entitled to Vote      4  
 

Section 1.10:

  Inspectors of Elections.      4  
 

Section 1.11:

  Conduct of Meetings      5  
 

Section 1.12:

  Advance Notice Procedures.      5  

Article II: BOARD OF DIRECTORS

     16  
 

Section 2.1:

  Number; Qualifications      16  
 

Section 2.2:

  Election; Resignation; Removal; Vacancies      16  
 

Section 2.3:

  Regular Meetings      17  

 

Section 2.4:

  Special Meetings      17  
 

Section 2.5:

  Remote Meetings Permitted      17  
 

Section 2.6:

  Quorum; Vote Required for Action      17  
 

Section 2.7:

  Organization      17  
 

Section 2.8:

  Unanimous Action by Directors in Lieu of a Meeting      18  
 

Section 2.9:

  Powers      18  
 

Section 2.10:

  Compensation of Directors      18  
 

Section 2.11:

  Confidentiality      18  
 

Section 2.12

  Emergency Bylaws      18  

Article III: COMMITTEES

     19  
 

Section 3.1:

  Committees      19  
 

Section 3.2:

  Committee Rules      19  

Article IV: OFFICERS; CHAIRPERSON; LEAD INDEPENDENT DIRECTOR

     19  
 

Section 4.1:

  Generally      19  
 

Section 4.2:

  Chief Executive Officer      20  
 

Section 4.3:

  Chairperson of the Board      20  
 

Section 4.4:

  Lead Independent Director      20  
 

Section 4.5:

  President      20  
 

Section 4.6:

  Chief Financial Officer      20  

 

i


 

Section 4.7:

  Treasurer      21  
 

Section 4.8:

  Vice President      21  
 

Section 4.9:

  Secretary      21  
 

Section 4.10:

  Delegation of Authority      21  
 

Section 4.11:

  Removal      21  

Article V: STOCK

     21  
 

Section 5.1:

  Certificates; Uncertificated Shares      21  
 

Section 5.2:

  Lost, Stolen or Destroyed Stock Certificates; Issuance of New Certificates or Uncertificated Shares      22  
 

Section 5.3:

  Other Regulations      22  

Article VI: INDEMNIFICATION

     22  

 

Section 6.1:

  Indemnification of Officers and Directors      22  
 

Section 6.2:

  Advancement of Expenses      23  
 

Section 6.3:

  Non-Exclusivity of Rights      23  
 

Section 6.4:

  Indemnification of Others and Additional Rights      23  
 

Section 6.5:

  Right of Indemnitee to Bring Suit      23  
 

Section 6.6:

  Nature of Rights      24  
 

Section 6.7:

  Amendment or Repeal      24  
 

Section 6.8:

  Insurance      24  
 

Section 6.9:

  Indemnification for Successful Defense      24  

Article VII: NOTICES

     25  
 

Section 7.1:

  Notice.      25  
 

Section 7.2:

  Waiver of Notice      25  

Article VIII: INTERESTED DIRECTORS

     25  
 

Section 8.1:

  Interested Directors      25  
 

Section 8.2:

  Quorum      26  

Article IX: MISCELLANEOUS

     26  
 

Section 9.1:

  Fiscal Year      26  
 

Section 9.2:

  Seal      26  
 

Section 9.3:

  Form of Records      26  
 

Section 9.4:

  Reliance Upon Books and Records      26  
 

Section 9.5:

  Certificate of Incorporation Governs      26  
 

Section 9.6:

  Severability      26  
 

Section 9.7:

  Time Periods      27  

Article X: AMENDMENT

     27  

 

ii


MAZE THERAPEUTICS, INC.

(a Delaware corporation)

AMENDED AND RESTATED BYLAWS

As Adopted December 9, 2024 and

As Effective January [ ], 2025

ARTICLE I: MEETINGS OF STOCKHOLDERS

Section 1.1:Annual Meetings. If required by applicable law, an annual meeting of stockholders shall be held for the election of directors and such other proper business at such date and time as the Board of Directors (the “Board”) of Maze Therapeutics, Inc. (the “Corporation”), or its designee, shall each year fix. The meeting may be held either at a place, within or without the State of Delaware as permitted by the Delaware General Corporation Law (the “DGCL”) as the Board, or its designee, shall fix, or solely by means of remote communication as the Board in its sole discretion may determine. Any proper business may be transacted at the annual meeting.

Section 1.2:Special Meetings. Special meetings of stockholders for any purpose or purposes shall be called in the manner set forth in the Restated Certificate of Incorporation of the Corporation (as the same may be amended and/or restated from time to time, the “Certificate of Incorporation”). The special meeting may be held either at a place, within or without the State of Delaware as the Board, or its designee, shall fix, or solely by means of remote communication as the Board in its sole discretion may determine. Business transacted at any special meeting of stockholders shall be limited to matters relating to the purpose or purposes stated in the notice of the meeting.

Section 1.3:Notice of Stockholders Meetings. Notice of all meetings of stockholders shall be given in accordance with applicable law (including, without limitation, as set forth in Section 7.1 of these Bylaws) stating the date, time and place, if any, of the meeting, the means of remote communications, if any, by which stockholders and proxy holders may be deemed to be present in person and vote at such meeting, and the record date for determining the stockholders entitled to vote at the meeting (if such date is different from the record date for determining the stockholders entitled to notice of the meeting). In the case of a special meeting, such notice shall also set forth the purpose or purposes for which the meeting is called. Unless otherwise required by applicable law or the Certificate of Incorporation, notice of any meeting of stockholders shall be given not less than ten (10), nor more than sixty (60), days before the date of the meeting to each stockholder of record entitled to vote at such meeting as of the record date for determining the stockholders entitled to notice of the meeting.

Section 1.4:Adjournments. Notwithstanding Section 1.5 of these Bylaws, the chairperson of the meeting shall have the power to adjourn the meeting to another time, date and place (if any), regardless of whether a quorum is present, at any time and for any reason. Any meeting of stockholders, annual or special, may be adjourned from time to time (including an adjournment taken to address a technical failure to convene or continue a meeting using remote communication), and notice need not be given of any such adjourned meeting if the time, date and place (if any) thereof and the means of remote communication (if any) by which stockholders and proxy holders may be deemed to be present in person and vote at such adjourned meeting are (i) announced at the meeting at which the adjournment is taken, (ii) displayed, during the time


scheduled for the meeting, on the same electronic network used to enable stockholders and proxy holders to participate in the meeting by means of remote communication or (iii) set forth in the notice of meeting given in accordance with Section 222(a) of the DGCL; provided, however, that if the adjournment is for more than thirty (30) days, a notice of the adjourned meeting shall be given to each stockholder of record entitled to vote at the meeting. If, after the adjournment, a new record date for determination of stockholders entitled to vote is fixed for the adjourned meeting, the Board shall fix a new record date for notice of such adjourned meeting in accordance with Section 213(a) of the DGCL and Section 1.3 of these Bylaws, and shall give notice of the adjourned meeting to each stockholder of record as of the record date so fixed for notice of such adjourned meeting. At the adjourned meeting, the Corporation may transact any business that might have been transacted at the original meeting. If a quorum is present at the original meeting, it shall also be deemed present at the adjourned meeting. To the fullest extent permitted by applicable law, the Board may postpone, reschedule or cancel at any time and for any reason any previously scheduled special or annual meeting of stockholders before it is to be held, regardless of whether any notice or public disclosure with respect to any such meeting has been sent or made pursuant to Section 1.3 hereof or otherwise, in which case notice shall be provided to the stockholders of the new date, time and place, if any, of the meeting as provided in Section 1.3 above.

Section 1.5:Quorum. Except as otherwise required by applicable law, the Certificate of Incorporation, these Bylaws or the rules of any applicable stock exchange on which the Corporation’s securities are listed, at each meeting of stockholders the holders of a majority of the voting power of the shares of stock issued and outstanding and entitled to vote at the meeting, present in person or represented by proxy, shall constitute a quorum for the transaction of business; provided, however, that where a separate vote by a class or classes or series of stock is required by applicable law, the Certificate of Incorporation, these Bylaws or the rules of any applicable stock exchange on which the Corporation’s securities are listed, the holders of a majority of the voting power of the shares of such class or classes or series of the stock issued and outstanding and entitled to vote on such matter, present in person or represented by proxy at the meeting, shall constitute a quorum entitled to take action with respect to the vote on such matter. If a quorum shall fail to attend any meeting, the chairperson of the meeting or the stockholders, by the affirmative vote of a majority of the votes cast affirmatively or negatively with respect thereto, may adjourn the meeting. A quorum, once established at a meeting, shall not be broken by the withdrawal of enough votes to leave less than a quorum.

Section 1.6:Organization. Meetings of stockholders shall be presided over by (a) such person as the Board may designate, or (b) in the absence of such designation, the Chairperson of the Board, or (c) in the absence of such person, the Lead Independent Director, or (d) in the absence of such person, the Chief Executive Officer of the Corporation, or (e) in the absence of such person, the President of the Corporation, or (f) in the absence of such person, by a Vice President of the Corporation. Such person shall be the chairperson of the meeting. The Secretary of the Corporation (the “Secretary”) shall act as secretary of the meeting, but in such person’s absence the chairperson of the meeting may appoint any person to act as secretary of the meeting.

Section 1.7:Voting; Proxies. Each stockholder of record entitled to vote at a meeting of stockholders may authorize another person or persons to act for such stockholder by proxy. Such a proxy may be prepared, transmitted and delivered in any manner permitted by applicable law. Except as may be required in the Certificate of Incorporation, directors shall be elected by a plurality of the votes cast by the holders of the shares present in person or represented by proxy at the meeting and entitled to vote on the election of directors. At all meetings of stockholders at

 

2


which a quorum is present, unless a different or minimum vote is provided by applicable law, rule or regulation applicable to the Corporation or its securities, the rules or regulations of any applicable stock exchange on which the Corporation’s securities are listed, the Certificate of Incorporation or these Bylaws, in which case such different or minimum vote shall be the applicable vote on the matter, every matter other than the election of directors shall be decided by the affirmative vote of a majority of the votes cast affirmatively or negatively with respect thereto (or if there are two or more classes or series of stock entitled to vote as separate classes, then in the case of each class or series, the holders of a majority of the voting power of the shares of stock of that class or series present in person or represented by proxy at the meeting voting for or against such matter).

Any stockholder directly or indirectly soliciting proxies from other stockholders must use a proxy card color other than white, which shall be reserved for exclusive use by the Board.

Section 1.8:Fixing Date for Determination of Stockholders of Record. In order that the Corporation may determine the stockholders entitled to notice of any meeting of stockholders or any adjournment thereof, the Board may fix a record date, which record date shall not precede the date upon which the resolution fixing the record date is adopted by the Board, and which record date shall, unless otherwise required by applicable law, not be more than sixty (60) nor less than ten (10) days before the date of such meeting. If the Board so fixes a date, such date shall also be the record date for determining the stockholders entitled to vote at such meeting unless the Board determines, at the time it fixes such record date, that a later date on or before the date of the meeting shall be the date for making such determination. If no record date is fixed by the Board, the record date for determining stockholders entitled to notice of and to vote at a meeting of stockholders shall be at the close of business on the day next preceding the day on which notice is given, or, if notice is waived, at the close of business on the day next preceding the day on which the meeting is held. A determination of stockholders of record entitled to notice of or to vote at a meeting of stockholders shall apply to any adjournment of the meeting; provided, however, that the Board may fix a new record date for determination of stockholders entitled to vote at the adjourned meeting, and in such case shall also fix as the record date for stockholders entitled to notice of such adjourned meeting the same or an earlier date as that fixed for determination of stockholders entitled to vote in accordance herewith at the adjourned meeting.

In order that the Corporation may determine the stockholders entitled to receive payment of any dividend or other distribution or allotment of any rights, or entitled to exercise any rights in respect of any change, conversion or exchange of stock or for the purpose of any other lawful action, the Board may fix, in advance, a record date, which shall not precede the date upon which the resolution fixing the record date is adopted by the Board and which shall not be more than sixty (60) days prior to such action. If no such record date is fixed by the Board, then the record date for determining stockholders for any such purpose shall be at close of business on the day on which the Board adopts the resolution relating thereto.

Section 1.9:List of Stockholders Entitled to Vote. The Corporation shall prepare, no later than the tenth (10th) day before each meeting of stockholders, a complete list of stockholders entitled to vote at the meeting (provided, however, if the record date for determining the stockholders entitled to vote is less than ten (10) days before the date of the meeting, the list shall reflect the stockholders entitled to vote as of the tenth (10th) day before the meeting date), arranged in alphabetical order and showing the address of each stockholder and the number of shares registered in the name of each stockholder. Nothing in this Section 1.9 shall require the Corporation to include electronic mail addresses or other electronic contact information on such

 

3


list. Such list shall be open to the examination of any stockholder, for any purpose germane to the meeting, for a period of ten (10) days ending on the day before the meeting date, either (a) on a reasonably accessible electronic network as permitted by applicable law (provided that the information required to gain access to the list is provided with the notice of the meeting), or (b) during ordinary business hours, at the principal place of business of the Corporation. In the event that the Corporation determines to make the list available on an electronic network, the Corporation may take reasonable steps to ensure that such information is available only to stockholders of the Corporation. Except as otherwise provided by applicable law, the stock ledger shall be the only evidence as to who are the stockholders entitled to examine the list of stockholders required by this Section 1.9 or to vote in person or by proxy at any meeting of stockholders.

Section 1.10: Inspectors of Elections.

1.10.1 Applicability. Unless otherwise required by the Certificate of Incorporation or by applicable law, the following provisions of this Section 1.10 shall apply only if and when the Corporation has a class of voting stock that is: (a) listed on a national securities exchange, (b) authorized for quotation on an interdealer quotation system of a registered national securities association, or (c) held of record by more than two thousand (2,000) stockholders. In all other cases, observance of the provisions of this Section 1.10 shall be optional, and at the discretion of the Board.

1.10.2 Appointment. The Corporation shall, in advance of any meeting of stockholders, appoint one or more inspectors of election to act at the meeting and make a written report thereof. The Corporation may designate one or more persons as alternate inspectors to replace any inspector who fails to act. If no inspector or alternate is able to act at a meeting of stockholders, the chairperson of the meeting shall appoint one or more inspectors to act at the meeting.

1.10.3 Duties of Inspectors. Inspectors of election shall take all actions as contemplated under Section 231 of the DGCL. The inspectors of election shall perform their duties with strict impartiality and according to the best of their ability.

Section 1.11:Conduct of Meetings. The Board may adopt by resolution such rules and regulations for the conduct of the meeting of stockholders as it shall deem appropriate. Except to the extent inconsistent with such rules and regulations as adopted by the Board, the chairperson of a meeting of stockholders shall have the right and authority to convene and (for any or no reason) to recess and/or adjourn the meeting, to prescribe such rules, regulations and procedures and to do all such acts as, in the judgment of such chairperson, are appropriate for the proper conduct of the meeting. Such rules, regulations or procedures, whether adopted by the Board or prescribed by the chairperson of the meeting, may include, without limitation, the following: (a) the establishment of an agenda or order of business for the meeting, (b) rules and procedures for maintaining order at the meeting and the safety of those present, (c) limitations on attendance at or participation in the meeting to stockholders entitled to vote at the meeting, their duly authorized and constituted proxies or such other persons as the chairperson of the meeting or the Board shall determine, (d) restrictions on entry to the meeting after the time fixed for the commencement thereof, (e) limitations on the time allotted to questions or comments by participants, (f) restrictions on the use of audio/video recording devices and cell phones, (g) procedures for complying with any state and local laws and regulations concerning safety and security, (h) procedures (if any) requiring attendees to provide the Corporation advance notice of their intent to attend the meeting, and (i) any additional attendance or other procedures or requirements for proponents submitting a proposal pursuant to Rule 14a-8 promulgated under the Exchange Act (defined below). The

 

4


Board, or, at a meeting of stockholders (but subject to any rules and regulation adopted by, and the supervision of, the Board), the chairperson of the meeting shall, in addition to making any other determinations that may be appropriate to the conduct of the meeting, shall have the power to determine that a proposed director nomination or business matter was not properly brought before the meeting and to disregard any such nomination or business matter not properly brought before the meeting, notwithstanding that proxies or votes in respect thereof may have been received by the Corporation, which shall be disregarded. Unless and to the extent determined by the Board or the chairperson of the meeting, meetings of stockholders shall not be required to be held in accordance with the rules of parliamentary procedure.

Section 1.12: Advance Notice Procedures.

1.12.1 Annual Meeting of Stockholders.

(a) Nominations of persons for election to the Board and the proposal of other business to be considered by the stockholders may be made at an annual meeting of stockholders only: (i) pursuant to the Corporation’s notice of such meeting (or any supplement thereto), (ii) by or at the direction of the Board or any committee thereof or (iii) by any stockholder of the Corporation who was a stockholder of record at the time of giving of the notice required by this Section 1.12.1 and at the time of such meeting, who is entitled to vote at such meeting and who complies with the requirements and procedures set forth in this Section 1.12 in all applicable respects (the “Record Stockholder”), or (iv) as may be provided in the certificate of designations for any series of Preferred Stock. For the avoidance of doubt, the foregoing clause (iii) shall be the exclusive means for a stockholder to make nominations or propose business (other than business included in the Corporation’s proxy materials pursuant to Rule 14a-8 under the Securities Exchange Act of 1934, as amended (such act, and the rules and regulations promulgated thereunder and any successors thereto, the “Exchange Act”)).

For nominations or other business to be properly brought before an annual meeting by a Record Stockholder (or a Qualified Representative (as defined below) thereof) pursuant to Section 1.12.1(a) of these Bylaws:

(i) the Record Stockholder must have given timely notice thereof in writing to the Secretary and provide any updates or supplements to such notice at the times and in the forms required by this Section 1.12.1;

(ii) such business (other than the nomination of persons for election to the Board) must otherwise be a proper matter for stockholder action under Delaware law;

(iii) each Proposing Person (as defined below) shall have complied with the applicable requirements of the Exchange Act (including, without limitation, the applicable requirements of Rule 14a-19) and any Securities and Exchange Commission Staff interpretations relating thereto;

(iv) in the case of a proposal other than the nomination of persons for election or reelection to the Board, (A) if a Proposing Person (as defined below) has provided the Corporation with a Solicitation Notice (as defined below), such Proposing Person (or the group of which such Proposing Person is a part) must have delivered, or made available, a proxy statement and form of proxy to holders of at least the percentage of the voting power of the Corporation’s shares required under applicable law to carry any such proposal and must have included in such materials the Solicitation Notice, or (B) if no Solicitation Notice relating thereto has been timely

 

5


provided pursuant to this Section 1.12, a Proposing Person (or a group of which a Proposing Person is a part) must not have solicited a number of proxies sufficient to have required the delivery of such a Solicitation Notice under this Section 1.12; and

(v)  in the case of a proposal for the nomination of persons for election or reelection to the Board, if the Proposing Person (or a group of which such Proposing Person is a part) provided notice pursuant to Rule 14a-19(b) promulgated under the Exchange Act, such Proposing Person must have delivered to the Secretary, no later than five (5) business days prior to the annual meeting or any adjournment, rescheduling, postponement or other delay thereof, reasonable evidence sufficient to demonstrate that the requirements of Rule 14a-19 have been satisfied; and,

(b) To be timely, a Record Stockholder’s notice must be delivered to the Secretary at the principal executive offices of the Corporation not later than 5:00 p.m. Eastern Time on the ninetieth (90th) day nor earlier than the one hundred and twentieth (120th) day prior to the first anniversary of the preceding year’s annual meeting; provided, however, that in the event that the date of the annual meeting is more than thirty (30) days before or more than sixty (60) days after such anniversary date, or if no annual meeting was held in the preceding year, notice by the Record Stockholder to be timely must be so delivered (A) no earlier than the one hundred and twentieth (120th) day prior to such annual meeting and (B) no later than 5:00 p.m. Eastern Time on the later of the ninetieth (90th) day prior to such annual meeting or the tenth (10th) day following the day on which Public Announcement (as defined below) of the date of such meeting is first made by the Corporation. In no event shall an adjournment, postponement, or rescheduling (or the Public Announcement thereof) of an annual meeting for which notice has been given or a Public Announcement of the meeting date has been made commence a new time period (or extend any time period) for providing the Record Stockholder’s notice. For purposes of this Section 1.12.1, the 2025 annual meeting of stockholders shall be deemed to have been held on June 2, 2025. Notwithstanding anything in this Section 1.12.1 to the contrary, in the event that the number of directors to be elected to the Board at an annual meeting is increased and there is no Public Announcement by the Corporation naming all of the nominees for director or specifying the size of the increased Board made by the Corporation at least ten (10) days prior to the last day a stockholder may deliver a notice in accordance with the first sentence of this paragraph, a stockholder’s notice required by this Section 1.12.1 shall also be considered timely, but only with respect to nominees for any new positions created by such increase, if it shall be delivered to the Secretary at the principal executive offices of the Corporation not later than 5:00 p.m. Eastern Time on the tenth (10th) day following the day on which such Public Announcement is first made by the Corporation.

(c) As to each person whom the Record Stockholder proposes to nominate for election or reelection as a director, in addition to the matters set forth in paragraph (e) below, such Record Stockholder’s notice shall set forth:

(i) the name, age, business address and residence address of such proposed nominee;

(ii) the principal occupation or employment of such proposed nominee;

(iii) the class, series and number of any shares of stock of the Corporation that are beneficially owned or owned of record by such proposed nominee, or his or her respective affiliates and associates;

 

6


(iv) the date or dates such shares were acquired and the investment intent of such acquisition, as well as evidence of such date(s);

(v) all other information relating to such proposed nominee that would be required to be disclosed in solicitations of proxies for election of directors in an election contest (even if an election contest is not involved), or would be otherwise required, in each case pursuant to and in accordance with Section 14(a) (or any successor provision) under the Exchange Act;

(vi) whether such proposed nominee would qualify as an independent director under the requirements of the stock exchange upon which the Corporation’s Common Stock is primarily traded and the Policies (as defined below);

(vii) a description of all direct and indirect compensation and other material monetary agreements, arrangements and understandings during the past three (3) years, and any other material relationships, between or among any Proposing Person, on the one hand, and such proposed nominee, and his or her respective affiliates and associates, on the other hand, including, without limitation, all information that would be required to be disclosed pursuant to the U.S. federal securities laws or the rules and regulations promulgated thereunder (including Item 404 promulgated under Regulation S-K) if any Proposing Person were the “registrant” for purposes thereof and the proposed nominee were a director or executive officer of such registrant;

(viii) the date or dates of first contact between any Proposing Person and such proposed nominee with respect to (A) the Corporation or (B) any proposed nomination of any person or persons for election or reelection to the Board;

(ix) a description of any position of such proposed nominee as an officer or director of, or any material relationship with, any Competitor (as defined below) within the past three (3) years;

(xi) a description of any business or personal interests that could place such proposed nominee in a potential conflict of interest with the Corporation or any of its affiliates and how the proposed nominee, if elected, intends to mitigate or reconcile any such potential conflict of interest; and

(xii) all completed and signed questionnaires, representations and agreements required by Section 1.12.2 of these Bylaws.

The Corporation may require any proposed nominee to furnish such other information as it may reasonably require to determine whether such proposed nominee would qualify as an independent director of the Corporation under the Exchange Act, applicable stock exchange rules and the Policies.

(d) As to any business, other than the nomination of a person for election or reelection as a director, that the Record Stockholder proposes to bring before the meeting, in addition to the matters set forth in paragraph (e) below, such Record Stockholder’s notice shall set forth:

(i) a brief description of the business desired to be brought before the meeting;

 

7


(ii)  the text of the proposal or business (including the text of any resolutions proposed for consideration and in the event that such business includes a proposal to amend the Bylaws, the text of the proposed amendment);

(iii) the reasons for conducting such business at the meeting; and

(iv) any material interest in such business of any Proposing Person, including any anticipated benefit to any Proposing Person therefrom.

(e) As to each Proposing Person, the Record Stockholder’s notice shall set forth:

(i) the current name and address of such Proposing Person, including, if applicable, their name and address as they appear on the Corporation’s stock ledger;

(ii) (1) the class or series and number of shares of stock of the Corporation that are directly or indirectly owned of record or beneficially owned by such Proposing Person, including any shares of any class or series of the Corporation as to which such Proposing Person has a right to acquire beneficial ownership at any time in the future, and (2) a certification regarding whether such Proposing Person has complied with all applicable federal, state and other legal requirements in connection with such Proposing Person’s acquisition of shares of capital stock or other securities of the Corporation, if any, and/or such Proposing Person’s acts or omissions as a stockholder or beneficial owner of the Corporation;

(iii) a description of any of the following that are held directly or indirectly by, on behalf of or for the benefit of such Proposing Person: (x) any Derivative Instrument (as defined below), (y) any rights to dividends on the shares of any class or series of shares of the Corporation that are separated or separable from the underlying shares of the Corporation; or (z) any Short Interest (as defined below), including, in each case, the date thereof, the class, series and number of securities involved therein, the material economic or voting terms thereof, and the identities of all persons party thereto;

(iv) any proportionate interest in shares of the Corporation or Derivative Instruments held, directly or indirectly, by a general or limited partnership or limited liability company of which such Proposing Person is, directly or indirectly, a general partner, manager or managing member or, directly or indirectly, controls a general partner, manager or managing member of such a general or limited partnership or limited liability company;

(v) any direct or indirect material interest of such Proposing Person in any material contract or agreement with the Corporation, any affiliate of the Corporation or any Competitor (including, in any such case, any employment agreement, collective bargaining agreement or consulting agreement);

(vi) a description of any of the following that are held directly or indirectly by, on behalf of or for the benefit of such Proposing Person: (x) any significant equity interests in any Competitor or (y) any Derivative Instruments or Short Interests in any Competitor (including, the case of any Derivative Instrument or Short Interest, the date such instrument or interest was acquired, the class, series and number of securities involved therein, the material economic or voting terms thereof, and the identities of all persons party thereto);

 

8


(vii) any other material relationship between such Proposing Person, on the one hand, and the Corporation, any affiliate of the Corporation or any Competitor, on the other hand;

(viii) all information that would be required to be set forth in a Schedule 13D filed pursuant to Rule 13d-1(a) or an amendment pursuant to Rule 13d-2(a) pertaining to the Corporation and its securities, if such a statement were required to be filed under the Exchange Act by such Proposing Person, regardless of whether the requirement to file a Schedule 13D is applicable;

(ix) any other information relating to such Proposing Person that would be required to be disclosed in proxy materials or other filings required to be made in connection with solicitations of proxies or consents by such Proposing Person in support of the business or nomination proposed to be brought before the meeting pursuant to Section 14(a) (or any successor provision) under the Exchange Act;

(x) to the extent known by a Proposing Person, the names and addresses of any stockholder or beneficial owner that has provided or will provide financial support or material assistance in support of the nomination or business and a description of the nature of such support or assistance;

(xi) a description of any agreement, arrangement or understanding (including the identities of all the parties thereto) between or among such Proposing Person on the one hand and any other person or persons, on the other hand, with respect to, relating to, or in connection with the nomination or business;

(xii) a representation that the Record Stockholder is a holder of record of stock of the Corporation entitled to vote at such meeting and that such Record Stockholder (or a Qualified Representative thereof) will appear at the meeting to propose such business or nomination;

(xiii) a representation whether such Proposing Person intends (or is part of a group that intends) to (x) in the case of a proposal other than the nomination of persons for election to the Board, deliver a proxy statement and/or form of proxy to holders of at least the percentage of the Corporation’s voting shares required under applicable law to approve the proposal (an affirmative statement of such intent being a “Solicitation Notice”) and, if so, the name of each participant (as defined in Item 4 of Exchange Act Schedule 14A) in such solicitation, (y) in the case of a nomination or nominations, solicit the holders of shares representing at least 67% of the voting power of the shares entitled to vote on the election of directors in support of director nominees other than the Corporation’s nominees in accordance with Rule 14a-19, and the name of each participant (as defined in Item 4 of Exchange Act Schedule 14A) in such solicitation, and/or (z) otherwise solicit proxies from stockholders in support of such proposal or nomination;

(xiv) a description of any pending or, to such Proposing Person’s knowledge, threatened legal proceeding in which such Proposing Person is a party or participant involving the Corporation or, to such Proposing Person’s knowledge, any current or former officer, director, affiliate or associate of the Corporation; and

(xv) a description of any proxy (other than a revocable proxy given in response to a proxy solicitation made to more than ten (10) persons), contract, arrangement, or relationship pursuant to which the Proposing Person has a right to vote, directly or indirectly, any shares or other securities of the Corporation.

 

9


The disclosures to be made pursuant to the foregoing clauses (ii), (iii), (iv) and (vi) shall not include any information with respect to the ordinary course business activities of any broker, dealer, commercial bank, trust company or other nominee who is a Proposing Person solely as a result of being the stockholder directed to prepare and submit the notice required by these Bylaws on behalf of a beneficial owner.

(f) A stockholder providing written notice required by this Section 1.12.1 or Section 1.12.3, as applicable, shall update and supplement such notice, and any other information provided to the Corporation, in writing, so that the information provided or required to be provided in such notice is true and correct in all material respects as of (i) the record date for determining the stockholders entitled to notice of the meeting and (ii) 5:00 p.m. Eastern Time on the tenth (10th) business day prior to the meeting or any adjournment, postponement or rescheduling thereof. In the case of an update pursuant to clause (i) of the foregoing sentence, such update shall be received by the Secretary at the principal executive office of the Corporation not later than five (5) business days after the record date for determining the stockholders entitled to notice of the meeting, and in the case of an update pursuant to clause (ii) of the foregoing sentence, such update shall be received by the Secretary at the principal executive office of the Corporation not later than eight (8) business days prior to the date for the meeting and, if practicable, any adjournment, postponement or rescheduling thereof (and, if not practicable, on the first practicable date prior to the date to which the meeting has been adjourned, postponed or rescheduled). Notwithstanding the foregoing, if a Proposing Person (x) no longer plans to solicit proxies in accordance with its representation(s) pursuant to Section 1.12.1(e)(xiii) or (y) becomes aware of any inaccuracy or change in information submitted to the Corporation, then the stockholder providing the written notice shall inform the Corporation thereof and update such notice by delivering a writing to the Secretary at the principal executive offices of the Corporation no later than two (2) business days after the occurrence of such change or after such time the Proposing Person became so aware, as applicable. For the avoidance of doubt, the obligation to update as set forth in this paragraph shall not limit the Corporation’s rights with respect to any deficiencies in any notice provided by a stockholder, extend any applicable deadlines hereunder or enable or be deemed to permit a stockholder who has previously submitted notice hereunder to amend or update any proposal or nomination or to submit any new proposal, including by changing or adding nominees, matters, business and/or resolutions proposed to be brought before a meeting of the stockholders. If a stockholder providing written notice fails to provide any written update in accordance with this Section 1.12, the information as to which such written update relates shall be deemed not to have been provided in accordance with these Bylaws.

(g) Notwithstanding anything in Section 1.12 or any other provision of these Bylaws to the contrary, any person who a majority of the Whole Board has determined, in good faith, to have violated Section 2.11 of these Bylaws or a Board Confidentiality Policy (as defined below) while serving as a director of the Corporation in the preceding five (5) years shall be ineligible to be nominated for election or reelection as a member of the Board, absent a prior waiver for such nomination approved by two-thirds of the Whole Board.

1.12.2 Submission of Questionnaire, Representation and Agreement. To be eligible to be a nominee of any stockholder for election or reelection as a director of the Corporation, the person proposed to be nominated must complete, sign and deliver (in accordance with the time periods prescribed for delivery of notice under Section 1.12 of these Bylaws) to the Secretary at the

 

10


principal executive offices of the Corporation a questionnaires in substantially the same form as the Corporation requests of the Board’s nominees for director (which form shall be provided within ten (10) days following a request therefor by a stockholder) and a signed representation and agreement (in the form available from the Secretary upon written request):

(a) that such person is not and will not become a party to any Voting Commitment (as defined below) that (i) has not been disclosed to the Corporation or (ii) could limit or interfere with such person’s ability to comply, if elected as a director of the Corporation, with such person’s fiduciary duties under applicable law;

(b)  that such person is not and will not become a party to any Compensation Arrangement (as defined below) that has not been disclosed to the Corporation;

(c) that such person, if elected as a director of the Corporation, will comply with all informational and similar requirements of applicable insurance policies and laws and regulations in connection with service or action as a director of the Corporation;

(d) a statement as to whether such person, if elected as a director of the Corporation, intends to comply with the Policies;

(e) that such person acknowledges and agrees that, if elected as a director of the Corporation, he or she must and will act in the best interests of the Corporation and its stockholders generally and not in the interests of any individual constituencies;

(f)  that such person consents to being named as a nominee in any proxy materials relating to the Corporation’s meeting at which the nominee’s election as a director will be considered/voted upon, agrees to serve if elected as a director, and intends to serve as a director for the full term for which such individual is to stand for election;

(g) that such person’s candidacy or, if elected, Board membership, would not violate applicable state or federal law, the Certificate of Incorporation, these Bylaws, or the rules of any stock exchange on which shares of the Corporation’s Common Stock are traded; and

(h) that such person, if elected as a director, acknowledges and agrees that he or she must and will provide facts, statements, and other information in all communications with the Corporation and its stockholders that are or will be true and correct in all material respects, and that do not and will not omit to state a material fact necessary in order to make the statements made, in light of the circumstances under which they are made, not misleading.

1.12.3 Special Meetings of Stockholders.

(a) Only such business shall be conducted at a special meeting of stockholders as shall have been brought before the meeting pursuant to the Corporation’s notice of such meeting. Nominations of persons for election to the Board may be made at a special meeting of stockholders at which directors are to be elected pursuant to the Corporation’s notice of such meeting (i) by or at the direction of the Board or any committee thereof or (ii) by any stockholder of the Corporation who is a stockholder of record at the time of giving of notice of the special meeting, who shall be entitled to vote at the meeting and who complies with the notice and other procedures set forth in this Section 1.12 in all applicable respects. In the event the Corporation calls a special meeting of stockholders for the purpose of electing one or more directors to the Board, for nominations to be properly brought before such meeting by a stockholder (or a Qualified Representative thereof) pursuant to Section 1.12.3(a)(ii) of these Bylaws:

 

11


(i) the stockholder must have given timely notice thereof in writing to the Secretary of the Corporation setting forth such information, representations, certifications and agreements required by Section 1.12.1 and Section 1.12.2 and provide any updates or supplements to such notice at the times and in the forms required by this Section 1.12, in each case, with respect to stockholder nominations of persons for election to the Board at an annual meeting of stockholders;

(ii) each Proposing Person shall have complied with the applicable requirements of the Exchange Act and the rules and regulations promulgated thereunder (including, without limitation, the applicable requirements of Rule 14a-19), as such rules and regulations may be amended from time to time by the Securities and Exchange Commission, including any Securities and Exchange Commission Staff interpretations relating thereto; and

(iii) if the Proposing Person (or a group of which such Proposing Person is a part) provided notice pursuant to Rule 14a-19(b) promulgated under the Exchange Act, such Proposing Person must have delivered to the Secretary, no later than five (5) business days prior to the special meeting or any adjournment, rescheduling or postponement or other delay thereof, reasonable evidence sufficient to demonstrate that the requirements of Rule 14a-19 have been satisfied.

(b) To be timely, a stockholder’s notice required by this Section 1.12.3 of these Bylaws shall be delivered to the Secretary at the principal executive offices of the Corporation (i) no earlier than the one hundred and twentieth (120th) day prior to such special meeting and (ii) no later than 5:00 p.m. Eastern Time on the later of the ninetieth (90th) day prior to such special meeting or the tenth (10th) day following the day on which Public Announcement is first made of the date of the special meeting and of the nominees proposed by the Board to be elected at such meeting. In no event shall an adjournment, postponement or rescheduling (or the Public Announcement thereof) of a special meeting commence a new time period (or extend any time period) for providing such notice.

1.12.4 General.

(a) Except as otherwise expressly provided in any applicable rule or regulation promulgated under the Exchange Act, only such persons who are nominated in accordance with the procedures set forth in this Section 1.12 shall be eligible to be elected or reelected as directors at a meeting of stockholders and only such business shall be conducted at an annual meeting of stockholders as shall have been brought before the meeting in accordance with the procedures set forth in this Section 1.12. Except as otherwise provided by applicable law or these Bylaws, the Board or, at a meeting of stockholders (but subject to any rules and regulation adopted by, and the supervision of, the Board), the chairperson of the meeting shall have the power to determine whether a nomination or any other business proposed to be brought before the meeting was made or proposed, as the case may be, in accordance with the applicable requirements and procedures set forth in this Section 1.12 (including the stockholder and nominee, as applicable, acting in a manner consistent with any representation required hereby, satisfying the information requirements set forth herein with accurate and complete information and complying with all applicable laws, rules and regulations referred to herein) and, if any proposed nomination or business is not in compliance herewith, to declare that such defective proposal or nomination shall

 

12


be disregarded (and any such nominee shall be disqualified from standing for election or re-election), notwithstanding that proxies in respect of such business or nominations may have been received by the Corporation. If a stockholder provides notice pursuant to Rule 14a-19(b) promulgated under the Exchange Act and subsequently fails to comply with the requirements of Rule 14a-19(a)(2) and Rule 14a-19(a)(3) promulgated under the Exchange Act, including the provision to the Corporation of notices required thereunder in a timely manner, then any such nominee shall be disqualified and the Corporation shall disregard any proxies or votes solicited for such stockholder’s director nominees. Notwithstanding the foregoing provisions of this Section 1.12, unless otherwise required by applicable law, if the stockholder (or a Qualified Representative of the stockholder) does not appear at the annual or special meeting of stockholders of the Corporation to present a nomination or proposed business, such nomination shall be disregarded (and any such nominee shall be disqualified from standing for election or reelection), and such proposed business shall not be transacted, notwithstanding that proxies or votes in respect thereof may have been received by the Corporation. Notwithstanding the foregoing provisions of Section 1.12, unless otherwise permitted by applicable law, no stockholder shall solicit proxies in support of director nominees other than the Corporation’s nominees unless such stockholder has complied with Rule 14a-19 promulgated under the Exchange Act in connection with the solicitation of such proxies, including the provision to the Corporation of notices required thereunder in a timely manner.

(b) The number of nominees a stockholder may nominate for election at a meeting of stockholders (or in the case of a stockholder giving the notice on behalf of a beneficial owner, the number of nominees a stockholder may nominate for election at the meeting on behalf of such beneficial owner) shall not exceed the number of directors to be elected by the stockholders generally at such meeting. In addition, a stockholder may not designate any substitute or alternate nominees unless such stockholder provides timely notice of such substitute or alternate nominee(s) in accordance with Section 1.12.1, in the case of an annual meeting, or Section 1.12.2, in the case of a special meeting (and such notice contains all of the information, representations, agreements, questionnaires and certifications with respect to such substitute or alternate nominee(s) that are required by the Bylaws with respect to nominees for director election submitted by a stockholder).

(c) Notwithstanding the foregoing provisions of this Section 1.12, a stockholder shall also comply with all applicable requirements of the Exchange Act with respect to the matters set forth herein, for the avoidance of doubt including, but not limited to, Rule 14a-19 of the Exchange Act, and any failure to comply therewith shall be deemed a failure to comply with this Section 1.12. Nothing in this Section 1.12 shall be deemed to affect any rights of (i) stockholders to request inclusion of proposals in the Corporation’s proxy statement pursuant to Rule 14a-8 under the Exchange Act or (ii) the holders of any series of the Corporation’s Preferred Stock to elect directors pursuant to any applicable provisions of the Certificate of Incorporation.

(d) For purposes of these Bylaws the following definitions shall apply:

(i) “affiliate” and “associate” shall have the meanings ascribed thereto in Rule 405 under the Securities Act of 1933, as amended (the “Securities Act”); provided, however, that the term “partner” as used in the definition of “associate” shall not include any limited partner that is not involved in the management of the relevant partnership;

 

13


(ii) “Compensation Arrangement” shall mean any direct or indirect compensatory payment or other financial agreement, arrangement or understanding with any person or entity other than the Corporation, including any agreement, arrangement or understanding with respect to any direct or indirect compensation, reimbursement or indemnification in connection with candidacy, nomination, service or action as a nominee or as a director of the Corporation;

(iii) “Competitor” shall mean any entity that the Board determines, in good faith, provides products or services that compete with or are alternatives to the principal products produced or services provided by the Corporation or its affiliates, a list of which entities shall be maintained by the Corporation and provided within ten (10) days following a request therefor by a stockholder;

(iv) “Derivative Instrument” shall mean any derivative interest in the Corporation’s equity securities, including without limitation any option, warrant, convertible security, stock appreciation right, cash-settled equity swap, total return swap, synthetic equity position or similar derivative arrangement or similar right with an exercise or conversion privilege or a settlement payment or mechanism at a price related to any class or series of shares of the Corporation or with a value derived in whole or in part from the value of any class or series of shares of the Corporation, whether settled in cash or stock or other property or securities;

(v) “Policies” shall mean all publicly disclosed corporate governance, conflict of interest, stock ownership requirements, confidentiality and training policies and guidelines of the Corporation applicable to directors;

(vi) “Proposing Person” shall mean (1) the Record Stockholder providing the notice of business proposed to be brought before an annual meeting or the Record Stockholder (or stockholder, in the case of a special meeting) providing notice of nomination of persons for election to the Board at a stockholder meeting, (2) any beneficial owner on whose behalf the proposal or nomination is made, and (3) any affiliate or associate of the foregoing persons;

(vii) “Public Announcement” shall mean disclosure in a press release reported by the Dow Jones News Service, Associated Press or other national news service or in a document publicly filed by the Corporation with the Securities and Exchange Commission pursuant to Section 13, 14 or 15(d) of the Exchange Act or by such other means as is reasonably designed to inform the public or stockholders of the Corporation in general of such information;

(viii) a “Qualified Representative” of a stockholder shall mean a person who is (i) a duly authorized officer, manager, trustee or partner of such stockholder or (ii) authorized by a writing executed by such stockholder or an electronic transmission delivered by such stockholder to act for such stockholder as a proxy at the meeting of stockholders, which writing or electronic transmission, or a reliable reproduction of the writing or electronic transmission must be delivered to the Secretary at the principal executive offices of the Corporation by no later than 5:00 p.m. Eastern Time on the fifth (5th) business day before such meeting of stockholders;

(ix) “Short Interest” shall mean any short interest in any security of the Corporation that a person directly or indirectly, through any contract, arrangement, understanding, relationship or otherwise, has the opportunity to profit or share in any profit derived from any increase or decrease in the value of the subject security or any other agreement, arrangement or understanding (including without limitation any borrowing or lending of shares) the effect or intent of which is to mitigate loss to or manage risk or benefit of share price changes for, or to increase or decrease the voting power of, such person with respect to any share of stock of the Corporation; and

 

14


(x) “Voting Commitment” shall mean any agreement, arrangement or understanding with, or any commitment or assurance given to, any person or entity as to how a person will act or vote on any issue or question as a director of the Corporation.

1.12.5 Rule 14a-8. Nothing in this Section 1.12 shall be deemed to affect any rights of stockholders to have a proposal included in the Corporation’s proxy statement pursuant to Rule 14a-8 under the Exchange Act.

ARTICLE II: BOARD OF DIRECTORS

Section 2.1:Number; Qualifications. The total number of directors constituting the Whole Board shall be fixed from time to time in the manner set forth in the Certificate of Incorporation and the term “Whole Board” shall have the meaning specified in the Certificate of Incorporation. No decrease in the authorized number of directors constituting the Whole Board shall shorten the term of any incumbent director. Directors need not be stockholders of the Corporation.

Section 2.2:Election; Resignation; Removal; Vacancies. Election of directors need not be by written ballot. Subject to the special rights of holders of any series of the Corporation’s Preferred Stock to elect directors, each director shall hold office until the annual meeting at which such director’s term expires and until such director’s successor is elected and qualified or until such director’s earlier death, resignation, disqualification or removal. Any director may resign by delivering a resignation in writing or by electronic transmission to the Corporation at its principal office or to the Chairperson of the Board, the Chief Executive Officer, or the Secretary. Such resignation shall be effective upon delivery unless it is specified to be effective at a later time or upon the happening of an event. Subject to the special rights of holders of any series of the Corporation’s Preferred Stock to elect directors, directors may be removed only as provided by the Certificate of Incorporation and applicable law. All vacancies occurring in the Board and any newly created directorships resulting from any increase in the authorized number of directors shall be filled in the manner set forth in the Certificate of Incorporation.

Section 2.3:Regular Meetings. Regular meetings of the Board may be held at such places (if any), within or without the State of Delaware, and at such times as the Board may from time to time determine. Notice of regular meetings need not be given if the date, times and places thereof are fixed by resolution of the Board.

Section 2.4:Special Meetings. Special meetings of the Board may be called by the Chairperson of the Board, the Chief Executive Officer, the Lead Independent Director or a majority of the members of the Board then in office and may be held at any time, date or place (if any), within or without the State of Delaware, as the person or persons calling the meeting shall fix. Notice of the time, date and place (if any) of such meeting shall be given, orally, in writing or by electronic transmission (including electronic mail), by or at the direction of the person or persons calling the meeting to all directors at least four (4) days before the meeting if the notice is mailed, or at least twenty-four (24) hours before the meeting if such notice is given personally or by telephone, hand delivery or electronic transmission; provided, however, that if, under the circumstances, the Chairperson of the Board, the Lead Independent Director, the Chief Executive Officer or the majority members of the Board calling a special meeting deems that more immediate action is necessary or appropriate, notice may be delivered on the day of such special meeting. Unless otherwise indicated in the notice, any and all business may be transacted at a special meeting.

 

15


Section 2.5:Remote Meetings Permitted. Members of the Board, or any committee of the Board, may participate in a meeting of the Board or such committee by means of conference telephone or other communications equipment by means of which all persons participating in the meeting can hear each other, and participation in a meeting pursuant to conference telephone or other communications equipment shall constitute presence in person at such meeting.

Section 2.6:Quorum; Vote Required for Action. At all meetings of the Board, a majority of the Whole Board shall constitute a quorum for the transaction of business. If a quorum shall fail to attend any meeting, a majority of those present may adjourn the meeting to another place, date or time. Except as otherwise provided herein or in the Certificate of Incorporation, or required by applicable law, the vote of a majority of the directors present at a meeting at which a quorum is present shall be the act of the Board.

Section 2.7:Organization. Meetings of the Board shall be presided over by (a) the Chairperson of the Board, or (b) in the absence of such person, the Lead Independent Director, or (c) in such person’s absence, by the Chief Executive Officer, if a director, or (d) in such person’s absence or if such person is not a director, by a director chosen by the Board at the meeting. The Secretary shall act as secretary of the meeting, but in such person’s absence the chairperson of the meeting may appoint any person to act as secretary of the meeting.

Section 2.8:Unanimous Action by Directors in Lieu of a Meeting. Any action required or permitted to be taken at any meeting of the Board, or of any committee thereof, may be taken without a meeting if all members of the Board or such committee, as the case may be, consent thereto in writing or by electronic transmission. After an action is taken, the writing or writings or electronic transmission or transmissions shall be filed with the minutes of proceedings of the Board or the committee thereof, as applicable. Such filing shall be in paper form if the minutes are maintained in paper form and shall be in electronic form if the minutes are maintained in electronic form.

Section 2.9:Powers. The Board may exercise all of the powers of the Corporation except as otherwise provided by the DGCL, the Certificate of Incorporation or these Bylaws.

Section 2.10:Compensation of Directors. Members of the Board, as such, may receive, pursuant to a resolution of the Board, fees and other compensation for their services as directors, including without limitation their services as members of committees of the Board. No such payment shall preclude any director from serving the Corporation in any other capacity and receiving compensation therefor.

Section 2.11:Confidentiality. Each director shall (i) maintain the confidentiality of any non-public information learned in their capacities as directors, including communications among Board members in their capacities as directors, and (ii) shall not share any such information with any third-party person or entity who has not entered into a specific written agreement with the Corporation, as approved by the Board, providing otherwise with respect to such information. The Board may adopt a board confidentiality policy further implementing and interpreting this Section 2.11 (a “Board Confidentiality Policy”).

 

16


Section 2.12Emergency Bylaws. This Section 2.12 shall be operative during any emergency condition as contemplated by Section 110 of the DGCL (an “Emergency”), notwithstanding any different or conflicting provisions in these Bylaws, the Certificate of Incorporation or the DGCL. In the event of any Emergency the director or directors in attendance at a meeting of the Board or a standing committee thereof shall constitute a quorum. Such director or directors in attendance may further take action to appoint one or more of themselves or other directors to membership on any standing or temporary committees of the Board as they shall deem necessary and appropriate. In the event that no directors are able to attend a meeting of the Board or any committee thereof in an Emergency, then the Designated Officers in attendance shall serve as directors, or committee members, as the case may be, for the meeting and will have full powers to act as directors, or committee members, as the case may be, of the Corporation. Except as the Board may otherwise determine, during any Emergency, the Corporation and its directors and officers, may exercise any authority and take any action or measure contemplated by Section 110 of the DGCL. For purposes of this Section 2.12, the term “Designated Officer” means an officer identified on a numbered list of officers of the Corporation who shall be deemed to be, in the order in which they appear on the list, directors of the Corporation, or members of a committee of the Board, as the case may be, to the extent required to obtain a quorum at a meeting, which list of Designated Officers shall be approved by the Board from time to time but in any event prior to such time or times as an Emergency may have occurred.

ARTICLE III: COMMITTEES

Section 3.1:Committees. The Board may designate one or more committees, each committee to consist of one or more of the directors of the Corporation. The Board may designate one or more directors as alternate members of any committee, who may replace any absent or disqualified member at any meeting of the committee. In the absence or disqualification of a member of the committee, the member or members thereof present at any meeting of such committee who are not disqualified from voting, whether or not such member or members constitute a quorum, may unanimously appoint another member of the Board to act at the meeting in place of any such absent or disqualified member. Any such committee, to the extent provided in a resolution of the Board, shall have and may exercise all the powers and authority of the Board in the management of the business and affairs of the Corporation and may authorize the seal of the Corporation to be affixed to all papers that may require it; but no such committee shall have the power or authority in reference to the following matters: (a) approving, adopting, or recommending to the stockholders any action or matter (other than the election or removal of members of the Board) expressly required by the DGCL to be submitted to stockholders for approval or (b) adopting, amending or repealing any bylaw of the Corporation.

Section 3.2:Committee Rules. Each committee shall keep records of its proceedings and make such reports as the Board may from time to time request. Unless the Board otherwise provides, each committee designated by the Board may make, alter and repeal rules for the conduct of its business. In the absence of such rules, each committee shall conduct its business in the same manner as the Board conducts its business pursuant to Article II of these Bylaws. Except as otherwise provided in the Certificate of Incorporation, these Bylaws or the resolution of the Board designating the committee, any committee may create one or more subcommittees, each subcommittee to consist of one or more members of the committee, and may delegate to any such subcommittee any or all of the powers and authority of the committee.

 

17


ARTICLE IV: OFFICERS; CHAIRPERSON; LEAD INDEPENDENT DIRECTOR

Section 4.1:Generally. The officers of the Corporation shall consist of a Chief Executive Officer (who may be the Chairperson of the Board or the President), a President, a Secretary and a Treasurer and may consist of such other officers, including, without limitation, a Chief Financial Officer, and one or more Vice Presidents, Assistant Secretaries or Assistant Treasurers, as may from time to time be appointed by the Board. All officers shall be elected by the Board; provided, however, that the Board may empower the Chief Executive Officer of the Corporation to appoint any officer other than the Chief Executive Officer, the President, the Chief Financial Officer or the Treasurer. Except as otherwise provided by applicable law, by the Certificate of Incorporation or these Bylaws, each officer shall hold office until such officer’s successor is duly elected and qualified or until such officer’s earlier resignation, death, disqualification or removal. Any number of offices may be held by the same person. Any officer may resign by delivering a resignation in writing or by electronic transmission to the Corporation at its principal office or to the Chairperson of the Board, the Chief Executive Officer, or the Secretary. Such resignation shall be effective upon delivery unless it is specified to be effective at some later time or upon the happening of some later event. Any vacancy occurring in any office of the Corporation by death, resignation, removal or otherwise may be filled by the Board (or, if empowered by the Board, the Chief Executive Officer) and the Board may, in its discretion, leave unfilled, for such period as it may determine, any offices. Each such successor shall hold office for the unexpired term of such officer’s predecessor and until a successor is duly elected and qualified or until such officer’s earlier resignation, death, disqualification or removal.

Section 4.2:Chief Executive Officer. Subject to the control of the Board and such supervisory powers, if any, as may be given by the Board, the powers and duties of the Chief Executive Officer of the Corporation are:

(a) to have general supervision, direction and control of the business and affairs of the Corporation; and

(b) to affix the signature of the Corporation to all deeds, conveyances, mortgages, guarantees, leases, obligations, bonds, certificates and other papers and instruments in writing which have been authorized by the Board or which, in the judgment of the Chief Executive Officer, should be executed on behalf of the Corporation; to sign certificates for shares of stock of the Corporation (if any); and to have general charge of the property of the Corporation and to supervise and control all officers, agents and employees of the Corporation.

The person holding the office of President shall be the Chief Executive Officer of the Corporation unless the Board shall designate another person to be the Chief Executive Officer.

Section 4.3:Chairperson of the Board. Subject to the provisions of Section 2.7 of these Bylaws, the Chairperson of the Board shall have the power to preside at all meetings of the Board and shall have such other powers and duties as provided in these Bylaws and as the Board may from time to time prescribe. The Chairperson of the Board shall not be deemed an officer of the Corporation unless otherwise determined by the Board.

Section 4.4:Lead Independent Director. The Board may, in its discretion, elect a lead independent director from among its members that are independent directors as determined under rules of the exchange upon which the Corporation’s Common Stock is primarily traded (such director, the “Lead Independent Director”). The Lead Independent Director shall preside at all meetings or sessions of independent directors and exercise such other powers and duties as may from time to time be assigned to him or her by the Board or as prescribed by these Bylaws.

 

18


Section 4.5:President. The person holding the office of Chief Executive Officer shall be the President of the Corporation unless the Board shall have designated one individual as the President and a different individual as the Chief Executive Officer of the Corporation. Subject to the provisions of these Bylaws and to the direction of the Board, and subject to the supervisory powers of the Chief Executive Officer (if the Chief Executive Officer is an officer other than the President), and subject to such supervisory powers and authority as may be given by the Board to the Chairperson of the Board, and/or to any other officer, the President shall have the responsibility for the general management and control of the business and affairs of the Corporation and the general supervision and direction of all of the officers, employees and agents of the Corporation (other than the Chief Executive Officer, if the Chief Executive Officer is an officer other than the President) and shall perform all duties and have all powers that are commonly incident to the office of President, or as the Board or the Chief Executive Officer may from time to time prescribe.

Section 4.6:Chief Financial Officer. The person holding the office of Chief Financial Officer shall be the Treasurer of the Corporation unless the Board shall have designated another person as the Treasurer of the Corporation. Subject to the direction of the Board and the Chief Executive Officer, the Chief Financial Officer shall perform all duties and have all powers that are commonly incident to the office of Chief Financial Officer, or as the Board or the Chief Executive Officer may from time to time prescribe.

Section 4.7:Treasurer. The person holding the office of Treasurer shall be the Chief Financial Officer of the Corporation unless the Board shall have designated another person as the Chief Financial Officer of the Corporation. The Treasurer shall have custody of all monies and securities of the Corporation. The Treasurer shall make such disbursements of the funds of the Corporation as are authorized and shall render from time to time an account of all such transactions. The Treasurer shall also perform such other duties and have such other powers as are commonly incident to the office of Treasurer, or as the Board or the Chief Executive Officer may from time to time prescribe.

Section 4.8:Vice President. Each Vice President shall have all such powers and duties as are commonly incident to the office of Vice President or as the Board or the Chief Executive Officer may from time to time prescribe. A Vice President may be designated by the Board to perform the duties and exercise the powers of the President in the event of the President’s absence or disability.

Section 4.9:Secretary. The Secretary shall issue or cause to be issued all authorized notices for, and shall keep, or cause to be kept, minutes of all meetings of the stockholders and the Board. The Secretary shall have charge of the corporate minute books and similar records and shall perform such other duties and have such other powers as are commonly incident to the office of Secretary, or as the Board or the Chief Executive Officer may from time to time prescribe.

Section 4.10:Delegation of Authority. The Board may from time to time delegate the powers or duties of any officer of the Corporation to any other officers or agents of the Corporation, notwithstanding any provision hereof.

Section 4.11:Removal. Any officer of the Corporation shall serve at the pleasure of the Board and may be removed at any time, with or without cause, by the Board; provided that if the Board has empowered the Chief Executive Officer to appoint any officer of the Corporation, then such officer may also be removed by the Chief Executive Officer, with or without cause. Such removal shall be without prejudice to the contractual rights of such officer, if any, with the Corporation.

 

19


ARTICLE V: STOCK

Section 5.1:Certificates; Uncertificated Shares. The shares of capital stock of the Corporation shall be uncertificated shares; provided, however, that the resolution of the Board that the shares of capital stock of the Corporation shall be uncertificated shares shall not apply to shares represented by a certificate until such certificate is surrendered to the Corporation (or the transfer agent or registrar, as the case may be). Notwithstanding the foregoing, the Board may provide by resolution or resolutions that some or all of any or all classes or series of its stock shall be certificated shares. Every holder of stock represented by certificates shall be entitled to have a certificate signed by, or in the name of the Corporation, by any two authorized officers of the Corporation (it being understood that each of the Chairperson of the Board, the Vice-Chairperson of the Board, the Chief Executive Officer, the President, the Chief Financial Officer, any Vice President, the Treasurer, any Assistant Treasurer, the Secretary and any Assistant Secretary of the Corporation shall be an authorized officer for such purpose), representing the number of shares registered in certificate form. Any or all of the signatures on the certificate may be a facsimile. In case any officer, transfer agent or registrar who has signed or whose facsimile signature has been placed upon a certificate shall have ceased to be such officer, transfer agent or registrar before such certificate is issued, it may be issued by the Corporation with the same effect as if such person were an officer, transfer agent or registrar at the date of issue.

Section 5.2:Lost, Stolen or Destroyed Stock Certificates; Issuance of New Certificates or Uncertificated Shares. The Corporation may issue a new certificate of stock or uncertificated shares in the place of any certificate previously issued by it, alleged to have been lost, stolen or destroyed, upon the making of an affidavit of that fact by the person claiming the certificate of stock to be lost, stolen or destroyed, and the Corporation may require the owner of the lost, stolen or destroyed certificate, or such owner’s legal representative to give the Corporation a bond sufficient to indemnify it, against any claim that may be made against it on account of the alleged loss, theft or destruction of any such certificate or the issuance of such new certificate or uncertificated shares.

Section 5.3:Other Regulations. Subject to applicable law, the Certificate of Incorporation and these Bylaws, the issue, transfer, conversion and registration of shares represented by certificates and of uncertificated shares shall be governed by such other regulations as the Board may establish (or such other rules and procedures as the Corporation’s transfer agent may require).

ARTICLE VI: INDEMNIFICATION

Section 6.1:Indemnification of Officers and Directors. Each person who was or is made a party to, or is threatened to be made a party to, or is involved in any threatened, pending or completed action, suit or proceeding, whether civil, criminal, administrative, legislative, investigative, preliminary, informal or formal, or any other type whatsoever, including any investigation or any arbitration or other alternative dispute resolution (including but not limited to giving testimony or responding to a subpoena) and including any appeal of any of the foregoing (a “Proceeding”), by reason of the fact that such person (or a person of whom such person is the legal representative), is or was a director or officer of the Corporation designated by the Board to be entitled to the indemnification and advancement rights set forth in this Article VI or a

 

20


Reincorporated Predecessor (as defined below) or, while serving as a director or officer of the Corporation or a Reincorporated Predecessor, is or was serving at the request of the Corporation as a director, officer, employee, agent or trustee of another corporation, or of a partnership, joint venture, trust or other enterprise or non-profit entity, including service with respect to employee benefit plans (for purposes of this Article VI, an “Indemnitee”), shall be indemnified and held harmless by the Corporation to the fullest extent permitted by the DGCL as the same exists or may hereafter be amended (but, in the case of any such amendment, only to the extent that such amendment permits the Corporation to provide broader indemnification rights than such law permitted the Corporation to provide prior to such amendment), against all expenses, costs, liability and loss (including attorneys’ fees, judgments, fines, ERISA excise taxes and penalties and amounts paid or to be paid in settlement) reasonably incurred or suffered by such Indemnitee in connection therewith, provided such Indemnitee acted in good faith and in a manner that the Indemnitee reasonably believed to be in or not opposed to the best interests of the Corporation, and, with respect to any criminal Proceeding, had no reasonable cause to believe the Indemnitee’s conduct was unlawful. Such indemnification shall continue as to an Indemnitee who has ceased to be a director or officer of the Corporation or a Reincorporated Predecessor (as defined below) or, while serving as a director or officer of the Corporation or a Reincorporated Predecessor, is or was serving at the request of the Corporation as a director, officer, employee, agent or trustee of another corporation, or of a partnership, joint venture, trust or other enterprise or non-profit entity, including service with respect to employee benefit plans and shall inure to the benefit of such Indemnitees’ heirs, executors and administrators. Notwithstanding the foregoing, subject to Section 6.5 of this Article VI, the Corporation shall indemnify any such Indemnitee seeking indemnity in connection with a Proceeding (or part thereof) initiated by such Indemnitee only if such Proceeding (or part thereof) was authorized by the Board or such indemnification is authorized by an agreement approved by the Board. As used in this Article VI, (i) the term the “Reincorporated Predecessor” means a corporation that is merged with and into the Corporation in a statutory merger where (a) the Corporation is the surviving corporation of such merger, and (b) the primary purpose of such merger is to change the corporate domicile of the Reincorporated Predecessor to Delaware, and (ii) an “officer” of the Corporation or of a Reincorporated Predecessor means an officer of the Corporation or of a Reincorporated Predecessor elected or appointed by the Board or governing body thereof, as applicable.

Section 6.2:Advancement of Expenses. Except as otherwise provided in a written indemnification agreement between the Corporation and the Indemnitee, the Corporation shall pay all reasonable expenses (including attorneys’ fees) incurred by an Indemnitee in defending any Proceeding in advance of its final disposition; provided, however, that the advancement of such expenses (i.e., payment of such expenses as incurred or otherwise in advance of the final disposition of the Proceeding) shall be made only upon delivery to the Corporation of an undertaking, by or on behalf of such Indemnitee, to repay such amounts if it shall ultimately be determined by final judicial decision from which there is no appeal that such Indemnitee is not entitled to be indemnified under this Article VI or otherwise. Any advances of expenses or undertakings to repay pursuant to this Section 6.2 shall be unsecured, interest free and without regard to Indemnitee’s ability to pay.

Section 6.3:Non-Exclusivity of Rights. The rights conferred on any person in this Article VI shall not be exclusive of any other right that such person may have or hereafter acquire under any statute, provision of the Certificate of Incorporation, Bylaws, agreement, vote or consent of stockholders or disinterested directors, or otherwise.

 

21


Section 6.4:Indemnification of Others and Additional Rights. The Corporation may grant rights to indemnification and to the advancement of expenses to any person who is or was a director, officer, employee or agent of the Corporation or Reincorporated Predecessor, or any person who is or was serving at the request of the Corporation as a director, officer, employee, agent or trustee of another corporation, partnership, joint venture, trust or other enterprise or non-profit entity, including employee benefit plans. Such rights may be greater than those provided in this Article VI.

Section 6.5:Right of Indemnitee to Bring Suit. The following shall apply to the extent not in conflict with any written indemnification agreement between the Corporation and the Indemnitee:

6.5.1 Right to Bring Suit. If a claim under Section 6.1 or 6.2 of this Article VI is not paid in full by the Corporation within sixty (60) days after a written claim has been received by the Corporation, except in the case of a claim for an advancement of expenses, in which case the applicable period shall be twenty (20) days, the Indemnitee may at any time thereafter bring suit against the Corporation to recover the unpaid amount of the claim. If the Indemnitee is successful in whole or in part in any such suit, or in a suit brought by the Corporation to recover an advancement of expenses pursuant to the terms of an undertaking, the Indemnitee also shall be entitled to be paid, to the fullest extent permitted by applicable law, the expense of prosecuting or defending such suit. In any suit brought by the Indemnitee to enforce a right to indemnification hereunder (but not in a suit brought by the Indemnitee to enforce a right to an advancement of expenses) it shall be a defense that the Indemnitee has not met any applicable standard for indemnification set forth in applicable law. In any suit brought by the Corporation to recover the advancement of expenses pursuant to the terms of an undertaking, the Corporation shall be entitled to recover such expenses upon a final adjudication that, the Indemnitee has not met any applicable standard for indemnification set forth in applicable law.

6.5.2 Effect of Determination. Neither the absence of a determination by or on behalf of the Corporation prior to the commencement of such suit that indemnification of the Indemnitee is proper in the circumstances because the Indemnitee has met the applicable standard of conduct set forth in applicable law, nor an actual determination by or on behalf of the Corporation that the Indemnitee has not met such applicable standard of conduct, shall create a presumption that the Indemnitee has not met the applicable standard of conduct or, in the case of such a suit brought by the Indemnitee, be a defense to such suit.

6.5.3 Burden of Proof. In any suit brought by the Indemnitee to enforce a right to indemnification or to an advancement of expenses hereunder, or brought by the Corporation to recover an advancement of expenses pursuant to the terms of an undertaking, the burden of proving that the Indemnitee is not entitled to be indemnified, or to such advancement of expenses, under this Article VI, or otherwise, shall be on the Corporation.

Section 6.6:Nature of Rights. The rights conferred upon Indemnitees in this Article VI shall be contract rights and such rights shall continue as to an Indemnitee who has ceased to be a director or officer and shall inure to the benefit of the Indemnitee’s heirs, executors and administrators.

Section 6.7:Amendment or Repeal. Any amendment, repeal or modification of any provision of this Article VI that adversely affects any right of an Indemnitee or an Indemnitee’s successors shall be prospective only, and shall not adversely affect any right or protection conferred on a person pursuant to this Article VI and existing at the time of such amendment, repeal or modification.

 

22


Section 6.8:Insurance. The Corporation may purchase and maintain insurance, at its expense, to protect itself and any director, officer, employee or agent of the Corporation or another corporation, partnership, joint venture, trust or other enterprise or non-profit entity against any expense, liability or loss, whether or not the Corporation would have the power to indemnify such person against such expense, liability or loss under the DGCL.

Section 6.9:Indemnification for Successful Defense. To the extent that an Indemnitee has been successful on the merits or otherwise in defense of any Proceeding (or in defense of any claim, issue or matter therein), such Indemnitee shall be indemnified under this Section 6.9 against expenses (including attorneys’ fees) actually and reasonably incurred in connection with such defense. Indemnification under this Section 6.9 shall not be subject to satisfaction of a standard of conduct, and the Corporation may not assert the failure to satisfy a standard of conduct as a basis to deny indemnification or recover amounts advanced, including in a suit brought pursuant to Section 6.5 (notwithstanding anything to the contrary therein); provided, however, that, any Indemnitee who is not a current or former director or officer (as such term is defined in the final sentence of Section 145(c)(1) of the DGCL) shall be entitled to indemnification under Section 6.1 and this Section 6.9 only if such Indemnitee has satisfied the applicable standard of conduct required for indemnification under Section 145(a) or Section 145(b) of the DGCL.

ARTICLE VII: NOTICES

Section 7.1: Notice.

7.1.1 Form and Delivery. Except as otherwise required by applicable law, notice may be given in writing directed to a stockholder’s mailing address as it appears on the records of the Corporation and shall be given: (a) if mailed, when notice is deposited in the U.S. mail, postage prepaid; and (b) if delivered by courier service, the earlier of when the notice is received or left at such stockholder’s address. So long as the Corporation is subject to the Securities and Exchange Commission’s proxy rules set forth in Regulation 14A under the Exchange Act, notice shall be given in the manner required by such rules. To the extent permitted by such rules, or if the Corporation is not subject to Regulation 14A, notice may be given by electronic mail directed to the stockholder’s electronic mail address as it appears on the records of the Corporation, and if so given, shall be given when directed to such stockholder’s electronic mail address unless the stockholder has notified the Corporation in writing or by electronic transmission of an objection to receiving notice by electronic mail or such notice is prohibited by Section 232(e) of the DGCL. If notice is given by electronic mail, such notice shall comply with the applicable provisions of Sections 232(a) and 232(d) of the DGCL. Notice may be given by other forms of electronic transmission with the consent of a stockholder in the manner permitted by Section 232(b) of the DGCL and shall be deemed given as provided therein.

7.1.2 Affidavit of Giving Notice. An affidavit of the Secretary or an Assistant Secretary of the Corporation or of the transfer agent or other agent of the Corporation that the notice has been given shall, in the absence of fraud, be prima facie evidence of the facts stated therein.

Section 7.2:Waiver of Notice. Whenever notice is required to be given under any provision of the DGCL, the Certificate of Incorporation or these Bylaws, a written waiver of notice, signed by the person entitled to notice, or waiver by electronic transmission by such person, whether before or after the time stated therein, shall be deemed equivalent to notice. Attendance

 

23


of a person at a meeting shall constitute a waiver of notice of such meeting, except when the person attends a meeting for the express purpose of objecting at the beginning of the meeting to the transaction of any business because the meeting is not lawfully called or convened. Neither the business to be transacted at, nor the purpose of, any regular or special meeting of the stockholders, directors or members of a committee of directors need be specified in any waiver of notice.

ARTICLE VIII: INTERESTED DIRECTORS

Section 8.1:Interested Directors. No contract or transaction between the Corporation and one or more of its directors or officers, or between the Corporation and any other corporation, partnership, association or other organization in which one or more of its directors or officers are directors or officers of such other corporation, or have a financial interest, shall be void or voidable solely for this reason, or solely because the director or officer is present at or participates in the meeting of the Board or committee thereof that authorizes the contract or transaction, or solely because his, her or their votes are counted for such purpose, if: (a) the material facts as to his, her or their relationship or interest and as to the contract or transaction are disclosed or are known to the Board or the committee, and the Board or committee in good faith authorizes the contract or transaction by the affirmative votes of a majority of the disinterested directors, even though the disinterested directors be less than a quorum, (b) the material facts as to his, her or their relationship or interest and as to the contract or transaction are disclosed or are known to the stockholders entitled to vote thereon, and the contract or transaction is specifically approved in good faith by vote of the stockholders, or (c) the contract or transaction is fair as to the Corporation as of the time it is authorized, approved or ratified by the Board, a committee thereof, or the stockholders.

Section 8.2:Quorum. Common or interested directors may be counted in determining the presence of a quorum at a meeting of the Board or of a committee which authorizes the contract or transaction described in Section 8.1.

ARTICLE IX: MISCELLANEOUS

Section 9.1:Fiscal Year. The fiscal year of the Corporation shall be determined by resolution of the Board.

Section 9.2:Seal. The Board may provide for a corporate seal, which may have the name of the Corporation inscribed thereon and shall otherwise be in such form as may be approved from time to time by the Board.

Section 9.3:Form of Records. Any records administered by or on behalf of the Corporation in the regular course of its business, including its stock ledger, books of account and minute books, may be kept on or by means of, or be in the form of, any other information storage device, method or one or more electronic networks or databases (including one or more distributed electronic networks or databases), electronic or otherwise, provided that the records so kept can be converted into clearly legible paper form within a reasonable time and otherwise comply with the DGCL. The Corporation shall so convert any records so kept upon the request of any person entitled to inspect such records pursuant to any provision of the DGCL.

Section 9.4:Reliance Upon Books and Records. A member of the Board, or a member of any committee designated by the Board shall, in the performance of such person’s duties, be fully protected in relying in good faith upon the books and records of the Corporation and upon such information, opinions, reports or statements presented to the Corporation by any of the Corporation’s officers or employees, or committees of the Board, or by any other person as to matters the member reasonably believes are within such other person’s professional or expert competence and who has been selected with reasonable care by or on behalf of the Corporation.

 

24


Section 9.5:Certificate of Incorporation Governs. In the event of any conflict between the provisions of the Certificate of Incorporation and these Bylaws, the provisions of the Certificate of Incorporation shall govern.

Section 9.6:Severability. If any provision of these Bylaws shall be held to be invalid, illegal, unenforceable or in conflict with the provisions of the Certificate of Incorporation, then such provision shall nonetheless be enforced to the maximum extent possible consistent with such holding and the remaining provisions of these Bylaws (including without limitation, all portions of any section of these Bylaws containing any such provision held to be invalid, illegal, unenforceable or in conflict with the Certificate of Incorporation, that are not themselves invalid, illegal, unenforceable or in conflict with the Certificate of Incorporation) shall remain in full force and effect.

Section 9.7:Time Periods. In applying any provision of these Bylaws which requires that an act be done or not be done a specified number of days prior to an event or that an act be done during a period of a specified number of days prior to an event, calendar days shall be used (unless otherwise specified herein), the day of the doing of the act shall be excluded, and the day of the event shall be included.

ARTICLE X: AMENDMENT

Notwithstanding any other provision of these Bylaws, any alteration, amendment or repeal of these Bylaws, and any adoption of new Bylaws, shall require the approval of the Board or the stockholders of the Corporation as expressly provided in the Certificate of Incorporation.

 

25


CERTIFICATION OF AMENDED AND RESTATED BYLAWS

OF

MAZE THERAPEUTICS, INC.

(a Delaware Corporation)

I, Courtney Phillips, certify that I am Secretary of Maze Therapeutics, Inc. a Delaware corporation (the “Corporation”), that I am duly authorized to make and deliver this certification, that the attached Bylaws are a true and complete copy of the Amended and Restated Bylaws of the Corporation in effect as of the date of this certificate.

Dated: January [ ], 2025

 

 

Courtney Phillips Secretary

 

26

EX-4.2

Exhibit 4.2

MAZE THERAPEUTICS, INC.

AMENDED AND RESTATED INVESTORS’ RIGHTS AGREEMENT

November 26, 2024

 


TABLE OF CONTENTS

 

         Page  
1.   Definitions      1  
2.   Registration Rights      5  
  2.1    Demand Registration      5  
  2.2    Company Registration      7  
  2.3    Underwriting Requirements      7  
  2.4    Obligations of the Company      8  
  2.5    Furnish Information      10  
  2.6    Expenses of Registration      10  
  2.7    Delay of Registration      10  
  2.8    Indemnification      11  
  2.9    Reports under Exchange Act      13  
  2.10    Limitations on Subsequent Registration Rights      13  
  2.11    “Market Stand-off” Agreement      13  
  2.12    Restrictions on Transfer      14  
  2.13    Termination of Registration Rights      15  
3.   Information      16  
  3.1    Delivery of Financial Statements      16  
  3.2    Inspection      17  
  3.3    Termination of Information Rights      17  
  3.4    Confidentiality      18  
4.   Rights to Future Stock Issuances      18  
  4.1    Right of First Offer      18  
  4.2    Termination      20  
5.   Additional Covenants      20  
  5.1    Insurance      20  
  5.2    Employee Agreements      20  
  5.3    Employee Vesting      20  
  5.4    Matters Requiring Preferred Director Approval      21  
  5.5    Meetings of the Board of Directors; Committees      21  
  5.6    Successor Indemnification      22  
  5.7    Board Expenses      22  
  5.8    Directors’ Liability and Indemnification      22  
  5.9    FCPA      23  
  5.10    Right to Conduct Activities      23  
  5.11    Tax Reporting      23  
  5.12    Expenses of Counsel      24  
  5.13    Termination of Covenants      24  

 

i


6.   Miscellaneous      24  
  6.1    Successors and Assigns      24  
  6.2    Governing Law      25  
  6.3    Counterparts; Facsimile      25  
  6.4    Titles and Subtitles      25  
  6.5    Notices      25  
  6.6    Amendments and Waivers      25  
  6.7    Severability      26  
  6.8    Aggregation of Stock      26  
  6.9    Additional Investors      26  
  6.10    Entire Agreement      27  
  6.11    Delays or Omissions      27  
  6.12    Dispute Resolution      27  

 

 

ii


MAZE THERAPEUTICS, INC.

AMENDED AND RESTATED INVESTORS’ RIGHTS AGREEMENT

THIS AMENDED AND RESTATED INVESTORS’ RIGHTS AGREEMENT (this “Agreement”) is made as of November 26, 2024, by and among Maze Therapeutics, Inc., a Delaware corporation (the “Company”), each investor listed on Schedule A hereto, each of which is referred to in this Agreement as an “Investor” and collectively, the “Investors”.

RECITALS:

WHEREAS, certain of the Investors (the “Existing Investors”) hold shares of the Company’s Series A Preferred Stock, Series B Preferred Stock, Series C Preferred Stock and/or shares of Common Stock issued upon conversion thereof and possess registration rights, information rights, rights of first offer, and other rights pursuant to that certain Amended and Restated Investors’ Rights Agreement dated as of December 8, 2021, by and among the Company and such Existing Investors (as amended from time to time, the “Prior Agreement”); and

WHEREAS, the Existing Investors executing this Agreement are holders of at least a majority of the Registrable Securities of the Company (as defined in the Prior Agreement), and desire to amend and restate the Prior Agreement in its entirety and to accept the rights created pursuant to this Agreement in lieu of the rights granted to them under the Prior Agreement; and

WHEREAS, certain of the Investors are parties to the Purchase Agreement (as defined below), under which certain of the Company’s and such Investors’ obligations are conditioned upon the execution and delivery of this Agreement by such Investors, Existing Investors holding at least a majority of the Registrable Securities, and the Company;

NOW, THEREFORE, the Existing Investors hereby agree that the Prior Agreement shall be amended and restated, and the parties to this Agreement further agree as follows:

1. Definitions. For purposes of this Agreement:

1.1 “Affiliate” means, with respect to any specified Person, any other Person who, directly or indirectly, controls, is controlled by, or is under common control with such Person, including, without limitation, any general partner, managing member, officer, director or trustee of such Person, or any venture capital fund or other investment fund now or hereafter existing that is controlled by one (1) or more general partners, managing members or investment adviser of, or shares the same management company or investment adviser with, such Person. Third Rock Ventures IV, L.P. (“TRV”) and the Company shall not be deemed to be Affiliated for the purposes of this Agreement.

1.2 Board of Directors means the Company’s Board of Directors.

1.3 “Business Day” means a day (i) other than Saturday or Sunday and (ii) on which commercial banks are open for business in San Francisco, California.


1.4 “Certificate of Incorporation” means the Company’s Amended and Restated Certificate of Incorporation, as the same may be amended, restated or otherwise modified from time to time.

1.5 “Common Stock” means shares of the Company’s common stock, par value $0.001 per share.

1.6 “Competitor” means a Person engaged, directly or indirectly (including through any partnership, limited liability company, corporation, joint venture or similar arrangement (whether now existing or formed hereafter)), in activities or a line of business that are directly or indirectly competitive with Company’s business as then conducted or as then proposed to be conducted, but shall not include any financial investment firm or collective investment vehicle solely by virtue of its ownership (and/or its Affiliates’ ownership) of an equity interest in any Competitor held solely for investment purposes. For the purposes of this Agreement, TRV, ARCH Venture Fund X, L.P. and ARCH Venture Fund X Overage, L.P. (collectively, “Arch”) and Arch’s Affiliates, GV 2019, L.P. (“GV”) and its Affiliates, Matrix Capital Management Master Fund LP (“Matrix”) and its Affiliates, Moore Strategic Ventures, LLC and its Affiliates, General Catalyst Group XI – Endurance, L.P. (“General Catalyst”) and its Affiliates, Andreessen Horowitz LSV Fund II, L.P., as nominee (“a16z”), and its Affiliates, Frazier Life Sciences Public Fund, L.P. and Frazier Life Sciences Public Overage Fund, L.P. (collectively, “Frazier”) and its Affiliates, Janus Henderson Biotech Innovation Master Fund Limited (“Janus”) and its Affiliates and Deep Track Biotechnology Master Fund, Ltd. (“Deep Track”) and its Affiliates shall not be considered Competitors.

1.7 “Damages” means any loss, damage, claim or liability (joint or several) to which a party hereto may become subject under the Securities Act, the Exchange Act, or other federal or state law, insofar as such loss, damage, claim or liability (or any action in respect thereof) arises out of or is based upon (i) any untrue statement or alleged untrue statement of a material fact contained in any registration statement of the Company, including any preliminary prospectus or final prospectus contained therein or any amendments or supplements thereto; (ii) an omission or alleged omission to state therein a material fact required to be stated therein, or necessary to make the statements therein not misleading; or (iii) any violation or alleged violation by the indemnifying party (or any of its agents or Affiliates) of the Securities Act, the Exchange Act, any state securities law, or any rule or regulation promulgated under the Securities Act, the Exchange Act, or any state securities law.

1.8 “Deemed Liquidation Event” shall have the meaning given to such term in the Certificate of Incorporation.

1.9 “Derivative Securities” means any securities or rights convertible into, or exercisable or exchangeable for (in each case, directly or indirectly), Common Stock, including options and warrants.

1.10 “Exchange Act” means the Securities Exchange Act of 1934, as amended, and the rules and regulations promulgated thereunder.

 

2


1.11 “Excluded Registration” means (i) a registration relating to the sale of securities to employees of the Company or a subsidiary pursuant to a stock option, stock purchase, or similar plan; (ii) a registration relating to an SEC Rule 145 transaction; or (iii) a registration on any form that does not include substantially the same information as would be required to be included in a registration statement covering the sale of the Registrable Securities.

1.12 “Form S-1” means such form under the Securities Act as in effect on the date hereof or any successor registration form under the Securities Act subsequently adopted by the SEC.

1.13 “Form S-3” means such form under the Securities Act as in effect on the date hereof, any successor registration form under the Securities Act subsequently adopted by the SEC or any other registration form under the Securities Act adopted by the SEC that permits incorporation of substantial information by reference to other documents filed by the Company with the SEC.

1.14 “GAAP” means generally accepted accounting principles in the United States.

1.15 “Holder” means any holder of Registrable Securities who is a party to this Agreement.

1.16 “Immediate Family Member” means a child, stepchild, grandchild, parent, stepparent, grandparent, spouse, sibling, mother-in-law, father-in-law, son-in-law, daughter-in-law, brother-in-law, or sister-in-law, including adoptive relationships, of a natural person referred to herein.

1.17 “Initiating Holders” means, collectively, Holders who properly initiate a registration request under this Agreement.

1.18 “IPO” means the Company’s first underwritten public offering of its Common Stock under the Securities Act.

1.19 “Key Employee” shall have the definition ascribed to it under the Purchase Agreement.

1.20 “Major Investor” means any Investor that, individually or together with such Investor’s Affiliates, holds at least 5,000,000 shares of Registrable Securities (subject to appropriate adjustment in the event of any stock dividend, stock split, combination or other similar recapitalization occurring after the date of the Purchase Agreement).

1.21 “New Securities” means, collectively, equity securities of the Company, whether or not currently authorized, as well as rights, options, or warrants to purchase such equity securities, or securities of any type whatsoever that are, or may become, convertible or exchangeable into or exercisable for such equity securities, excluding in all cases shares of Preferred Stock issued pursuant to the Purchase Agreement.

 

3


1.22 “Person” means any individual, corporation, partnership, trust, limited liability company, association or other entity.

1.23 “Preferred Stock” means, collectively, shares of the Company’s Series A Preferred Stock, Series B Preferred Stock, Series C Preferred Stock, Series D Preferred Stock and Series D-1 Preferred Stock.

1.24 “Purchase Agreement” means the Series D Preferred Stock Purchase Agreement, by and among the Company and the Investors, dated as of the date hereof, as the same may be amended, restated or otherwise modified from time to time.

1.25 “QPO” shall have the meaning set forth in the Certificate of Incorporation.

1.26 “Registrable Securities” means (i) the Common Stock issuable or issued upon conversion of the Series A Preferred Stock, Series B Preferred Stock, Series C Preferred Stock, Series D Preferred Stock or Series D-1 Preferred Stock; (ii) any Common Stock, or any Common Stock issued or issuable (directly or indirectly) upon conversion and/or exercise of any other securities of the Company, held by the Major Investors or acquired by the Major Investors after the date hereof; and (iii) any Common Stock issued as (or issuable upon the conversion or exercise of any warrant, right, or other security that is issued as) a dividend or other distribution with respect to, or in exchange for or in replacement of, the shares referenced in clauses (i) and (ii) above; provided that, (A) in all cases, any Registrable Securities sold by a Person in a transaction in which the applicable rights under this Agreement are not assigned pursuant to Section 6.1 shall cease to be Registrable Securities, and (B) for purposes of Section 2, any Registrable Securities for which registration rights have terminated pursuant to Section 2.13 of this Agreement shall cease to be Registrable Securities.

1.27 “Registrable Securities then outstanding” means the number of shares at a point in time determined by adding the number of shares of outstanding Common Stock that are Registrable Securities at such time and the number of shares of Common Stock issuable (directly or indirectly) at such time pursuant to then exercisable and/or convertible securities that are Registrable Securities.

1.28 “Restricted Securities” means the securities of the Company required to bear the legend set forth in Section 2.12(b) hereof.

1.29 “SEC” means the Securities and Exchange Commission.

1.30 “SEC Rule 144” means Rule 144 promulgated by the SEC under the Securities Act, or any successor provisions.

1.31 “SEC Rule 145” means Rule 145 promulgated by the SEC under the Securities Act, or any successor provisions.

1.32 “Securities Act” means the Securities Act of 1933, as amended, and the rules and regulations promulgated thereunder.

 

4


1.33 “Selling Expenses” means all underwriting discounts, selling commissions, and stock transfer taxes applicable to the sale of Registrable Securities, and fees and disbursements of counsel for any Holder, except for the fees and disbursements of the Selling Holder Counsel borne and paid by the Company as provided in Section 2.6.

1.34 “Series A Preferred Stock” means shares of the Company’s Series A Preferred Stock, par value $0.001 per share.

1.35 “Series B Preferred Stock” means shares of the Company’s Series B Preferred Stock, par value $0.001 per share, as may be authorized pursuant to the Certificate of Incorporation in effect from time to time.

1.36 “Series C Preferred Stock” means shares of the Company’s Series C Preferred Stock, par value $0.001 per share, as may be authorized pursuant to the Certificate of Incorporation in effect from time to time.

1.37 “Series D Preferred Stock” means shares of the Company’s Series D Preferred Stock, par value $0.001 per share, as may be authorized pursuant to the Certificate of Incorporation in effect from time to time.

1.38 “Series D-1 Preferred Stock” means shares of the Company’s Series D-1 Preferred Stock, par value $0.001 per share, as may be authorized pursuant to the Certificate of Incorporation in effect from time to time.

1.39 “Stockholders Agreement” means the Amended and Restated Stockholders Agreement dated as of the date hereof, by and among the Company, the Investors, and Key Holders (as defined therein), as the same may be amended, restated or otherwise modified from time to time.

2. Registration Rights. The Company covenants and agrees as follows:

2.1 Demand Registration.

(a) Form S-1 Demand. Beginning upon the earlier of (i) five (5) years after the date of this Agreement or (ii) six (6) months after the effective date of the registration statement for the IPO, if the Company receives a request from Major Investors holding at least twenty-five percent (25%) of the Registrable Securities then outstanding and held by Major Investors that the Company file a Form S-1 registration statement with respect to at least twenty- five percent (25%) of the Registrable Securities then outstanding, having the anticipated aggregate offering amount of at least $60.0 million, then the Company shall (x) within ten (10) days after the date such request is given, give notice thereof (the “Demand Notice”) to all Holders other than the Initiating Holders; and (y) as soon as practicable, and in any event within sixty (60) days after the date such request is given by the Initiating Holders, file a Form S-1 registration statement under the Securities Act covering all Registrable Securities that the Initiating Holders requested to be registered and any additional Registrable Securities requested to be included in such registration by any other Holders, as specified by notice given by each such Holder to the Company within twenty (20) days after the date the Demand Notice is given, and in each case, subject to the limitations of Section 2.1(c) and Section 2.3.

 

5


(b) Form S-3 Demand. If at any time when it is eligible to use a Form S-3 registration statement, the Company receives a request from Major Investors holding at least ten percent (10%) of the Registrable Securities then outstanding and held by Major Investors that the Company file a Form S-3 registration statement with respect to outstanding Registrable Securities of such Holders having an anticipated aggregate offering amount, net of Selling Expenses, of at least $30.0 million, then the Company shall (i) within ten (10) days after the date such request is given, give a Demand Notice to all Holders other than the Initiating Holders; and (ii) as soon as practicable, and in any event within forty-five (45) days after the date such request is given by the Initiating Holders, file a Form S-3 registration statement under the Securities Act covering all Registrable Securities requested to be included in such registration by any other Holders, as specified by notice given by each such Holder to the Company within twenty (20) days of the date the Demand Notice is given, and in each case, subject to the limitations of Section 2.1(c) and Section 2.3.

(c) Notwithstanding the foregoing obligations, if the Company furnishes to Holders requesting a registration pursuant to this Section 2.1 a certificate signed by the Company’s chief executive officer or other most senior executive officer then in office stating that in the good faith judgment of the Board of Directors it would be materially detrimental to the Company and its stockholders for such registration statement to either become effective or remain effective for as long as such registration statement otherwise would be required to remain effective, because such action would (i) materially interfere with a significant acquisition, corporate reorganization, or other similar transaction involving the Company; (ii) require premature disclosure of material information that the Company has a bona fide business purpose for preserving as confidential; or (iii) render the Company unable to comply with requirements under the Securities Act or Exchange Act, then the Company shall have the right to defer taking action with respect to such filing, and any time periods with respect to filing or effectiveness thereof shall be tolled correspondingly, for a period of not more than one hundred twenty (120) days after the request of the Initiating Holders is given; provided, however, that the Company may not invoke this right more than once in any twelve (12) month period, nor shall the Company invoke this right more than twice in all periods; and provided further that the Company shall not register any securities for its own account or that of any other stockholder during either one hundred twenty (120) day period other than an Excluded Registration.

(d) The Company shall not be obligated to effect, or to take any action to effect, any registration pursuant to Section 2.1(a) (i) if it delivers notice to the Holders within thirty (30) days after any registration request of its intent to file a registration statement for a public offering within ninety (90) days; (ii) during the period that is one hundred eighty (180) days after commencing a Company-initiated registration; (iii) after the Company has effected two (2) registrations pursuant to Section 2.1(a); or (iv) if the Initiating Holders propose to dispose of shares of Registrable Securities that may be immediately registered on Form S-3 pursuant to a request made pursuant to Section 2.1(b). The Company shall not be obligated to effect, or to take any action to effect, any registration pursuant to Section 2.1(b) if the Company has effected two (2) registrations pursuant to Section 2.1(b) within the twelve (12) month period immediately preceding the date of such request. A registration shall not be counted as “effected” for purposes of this Section 2.1(d) until such time as the applicable registration statement has been declared effective by the SEC, unless the Initiating Holders withdraw their request for such registration (other than as a result of a material adverse change to the Company), elect not to pay the registration expenses therefor, and forfeit their right to one demand registration statement pursuant to Section 2.6, in which case such withdrawn registration statement shall be counted as “effected” for purposes of this Section 2.1(d).

 

6


2.2 Company Registration. If the Company proposes to register (including, for this purpose, a registration effected by the Company for stockholders other than the Holders) any of its Common Stock under the Securities Act in connection with the public offering of such securities solely for cash (other than in an Excluded Registration), the Company shall, at such time, promptly give each Holder notice of such registration. Upon the request of each Holder given within twenty (20) days after such notice is given by the Company, the Company shall, subject to the provisions of Section 2.3, cause to be registered all of the Registrable Securities that each such Holder has requested to be included in such registration. The Company shall have the right to terminate or withdraw any registration initiated by it under this Section 2.2 before the effective date of such registration, whether or not any Holder has elected to include Registrable Securities in such registration. The expenses (other than Selling Expenses) of such withdrawn registration shall be borne by the Company in accordance with Section 2.6.

2.3 Underwriting Requirements.

(a) If, pursuant to Section 2.1, the Initiating Holders intend to distribute the Registrable Securities covered by their request by means of an underwriting, they shall so advise the Company as a part of their request made pursuant to Section 2.1, and the Company shall include such information in the Demand Notice. The underwriter(s) will be selected by the Company and shall be reasonably acceptable to a majority in interest of the Initiating Holders. In such event, the right of any Holder to include such Holder’s Registrable Securities in such registration shall be conditioned upon such Holder’s participation in such underwriting and the inclusion of such Holder’s Registrable Securities in the underwriting to the extent provided herein. All Holders proposing to distribute their securities through such underwriting shall (together with the Company as provided in Section 2.4(e)) enter into an underwriting agreement in customary form with the underwriter(s) selected for such underwriting. Notwithstanding any other provision of this Section 2.3, if the managing underwriter(s) advise the Initiating Holders in writing that marketing factors require a limitation on the number of shares to be underwritten, then the Initiating Holders shall so advise all Holders that otherwise would be underwritten pursuant hereto, and the number of Registrable Securities that may be included in the underwriting shall be allocated among such Holders, including the Initiating Holders, in proportion (as nearly as practicable) to the number of Registrable Securities owned by each Holder, or in such other proportion as shall mutually be agreed to by all such selling Holders; provided, however, that the number of Registrable Securities held by the Holders to be included in such underwriting shall not be reduced unless all other securities are first entirely excluded from the underwriting. To facilitate the allocation of shares in accordance with the above provisions, the Company or the underwriters may round the number of shares allocated to any Holder to the nearest 100 shares.

(b) In connection with any offering involving an underwriting of shares of the Company’s capital stock pursuant to Section 2.2, the Company shall not be required to include any of the Registrable Securities in such underwriting unless the Holders accept the terms of the underwriting as agreed upon between the Company and its underwriters, and then only in such quantity as the underwriters in their sole discretion determine will not jeopardize the success

 

7


of the offering by the Company. If the total number of securities, including Registrable Securities, requested by stockholders to be included in such offering exceeds the number of securities to be sold (other than by the Company) that the underwriters in their reasonable discretion determine is compatible with the success of the offering, then the Company shall be required to include in the offering only that number of such securities, including Registrable Securities, which the underwriters and the Company in their sole discretion determine will not jeopardize the success of the offering. If the underwriters determine that less than all of the Registrable Securities requested to be registered can be included in such offering, then the Registrable Securities that are included in such offering shall be allocated among the selling Holders in proportion (as nearly as practicable to) the number of Registrable Securities owned by each selling Holder or in such other proportions as shall mutually be agreed to by all such selling Holders. To facilitate the allocation of shares in accordance with the above provisions, the Company or the underwriters may round the number of shares allocated to any Holder to the nearest 100 shares. Notwithstanding the foregoing, in no event shall (i) the number of Registrable Securities included in the offering be reduced unless all other securities (other than securities to be sold by the Company) are first entirely excluded from the offering, or (ii) the number of Registrable Securities included in the offering be reduced below thirty percent (30%) of the total number of securities included in such offering, unless such offering is the IPO, in which case the selling Holders may be excluded further if the underwriters make the determination described above and no other stockholder’s securities are included in such offering. For purposes of the provision in this Section 2.3(b) concerning apportionment, for any selling Holder that is a partnership, limited liability company, or corporation, the partners, members, retired partners, retired members, stockholders, and Affiliates of such Holder, or the estates and Immediate Family Members of any such partners, retired partners, members, and retired members and any trusts for the benefit of any of the foregoing Persons, shall be deemed to be a single “selling Holder,” and any pro rata reduction with respect to such “selling Holder” shall be based upon the aggregate number of Registrable Securities owned by all Persons included in such “selling Holder,” as defined in this sentence.

(c) For purposes of Section 2.1, a registration shall not be counted as “effected” if, as a result of an exercise of the underwriter’s cutback provisions in Section 2.3(a) and (b), less than the total number of Registrable Securities that Holders have requested to be included in such registration statement are actually included.

2.4 Obligations of the Company. Whenever required under this Section 2 to effect the registration of any Registrable Securities, the Company shall, as expeditiously as reasonably possible:

(a) prepare and file with the SEC a registration statement with respect to such Registrable Securities and use its commercially reasonable efforts to cause such registration statement to become effective and, upon the request of the Holders of a majority of the Registrable Securities registered thereunder, keep such registration statement effective for a period of up to one hundred twenty (120) days or, if earlier, until the distribution contemplated in the registration statement has been completed; provided, however, that (i) such one hundred twenty (120) day period shall be extended for a period of time equal to the period the Holder refrains, at the request of an underwriter of the Company, from selling any securities included in such registration, and (ii) in the case of any registration of Registrable Securities on Form S-3 that are intended to be offered on a continuous or delayed basis, subject to compliance with applicable SEC rules, such one hundred twenty (120) day period shall be extended for up to one hundred eighty (180) days, if necessary, to keep the registration statement effective until all such Registrable Securities are sold;

 

8


(b) prepare and file with the SEC such amendments and supplements to such registration statement, and the prospectus used in connection with such registration statement, as may be necessary to comply with the Securities Act in order to enable the disposition of all securities covered by such registration statement;

(c) furnish to the selling Holders such numbers of copies of a prospectus, including a preliminary prospectus, as required by the Securities Act, and such other documents as the Holders may reasonably request in order to facilitate their disposition of their Registrable Securities;

(d) use its commercially reasonable efforts to register and qualify the securities covered by such registration statement under such other securities or blue-sky laws of such jurisdictions as shall be reasonably requested by the selling Holders; provided that the Company shall not be required to qualify to do business or to file a general consent to service of process in any such states or jurisdictions, unless the Company is already subject to service in such jurisdiction and except as may be required by the Securities Act;

(e) in the event of any underwritten public offering, enter into and perform its obligations under an underwriting agreement, in usual and customary form, with the underwriter(s) of such offering;

(f) use its commercially reasonable efforts to cause all such Registrable Securities covered by such registration statement to be listed on a national securities exchange or trading system and each securities exchange and trading system (if any) on which similar securities issued by the Company are then listed;

(g) provide a transfer agent and registrar for all Registrable Securities registered pursuant to this Agreement and provide a CUSIP number for all such Registrable Securities, in each case not later than the effective date of such registration;

(h) promptly make available for inspection by the selling Holders, any underwriter(s) participating in any disposition pursuant to such registration statement, and any attorney or accountant or other agent retained by any such underwriter or selected by the selling Holders, all financial and other records, pertinent corporate documents, and properties of the Company, and cause the Company’s officers, directors, employees, and independent accountants to supply all information reasonably requested by any such seller, underwriter, attorney, accountant, or agent, in each case, as necessary or advisable to verify the accuracy of the information in such registration statement and to conduct appropriate due diligence in connection therewith;

(i) notify each selling Holder, promptly after the Company receives notice thereof, of the time when such registration statement has been declared effective or a supplement to any prospectus forming a part of such registration statement has been filed; and

 

9


(j) after such registration statement becomes effective, notify each selling Holder of any request by the SEC that the Company amend or supplement such registration statement or prospectus.

In addition, the Company shall ensure that, at all times after any registration statement covering a public offering of securities of the Company under the Securities Act shall have become effective, its insider trading policy shall provide that the Company’s directors may implement a trading program under Rule 10b5-1 of the Exchange Act.

2.5 Furnish Information. It shall be a condition precedent to the obligations of the Company to take any action pursuant to this Section 2 with respect to the Registrable Securities of any selling Holder that such Holder shall furnish to the Company such information regarding itself, the Registrable Securities held by it, and the intended method of disposition of such securities as is reasonably required to effect the registration of such Holder’s Registrable Securities.

2.6 Expenses of Registration. All expenses (other than Selling Expenses) incurred in connection with registrations, filings, or qualifications pursuant to Section 2, including all registration, filing, and qualification fees; printers’ and accounting fees; fees and disbursements of counsel for the Company; and the reasonable fees and disbursements of one counsel for the selling Holders (“Selling Holder Counsel”) selected by the Holders of a majority in interest of the Registrable Securities, shall be borne and paid by the Company; provided, however, that the Company shall not be required to pay for any expenses of any registration proceeding begun pursuant to Section 2.1 if the registration request is subsequently withdrawn at the request of the Holders of a majority in interest of the Registrable Securities to be registered (in which case all selling Holders shall bear such expenses pro rata based upon the number of Registrable Securities that were to be included in the withdrawn registration), unless the Holders of a majority of the Registrable Securities agree to forfeit their right to one registration pursuant to Section 2.1(a) or Section 2.1(b), as the case may be; provided further that if, at the time of such withdrawal, the Holders have learned of a material adverse change in the condition, business, or prospects of the Company from that known to the Holders at the time of their request and have withdrawn the request with reasonable promptness after learning of such information, then the Holders shall not be required to pay any of such expenses and shall not forfeit their right to one registration pursuant to Section 2.1(a) or Section 2.1(b), as the case may be. All Selling Expenses relating to Registrable Securities registered pursuant to this Section 2 shall be borne and paid by the Holders pro rata on the basis of the number of Registrable Securities registered on their behalf.

2.7 Delay of Registration. No Holder shall have any right to obtain or seek an injunction restraining or otherwise delaying any registration pursuant to this Agreement as the result of any controversy that might arise with respect to the interpretation or implementation of this Section 2.

 

10


2.8 Indemnification. If any Registrable Securities are included in a registration statement under this Section 2:

(a) To the extent permitted by law, the Company will indemnify and hold harmless each selling Holder, and the partners, members, officers, directors, and stockholders of each such Holder; legal counsel and accountants for each such Holder; any underwriter (as defined in the Securities Act) for each such Holder; and each Person, if any, who controls such Holder or underwriter within the meaning of the Securities Act or the Exchange Act, against any Damages, and the Company will pay to each such Holder, underwriter, controlling Person, or other aforementioned Person any legal or other expenses reasonably incurred thereby in connection with investigating or defending any claim or proceeding from which Damages may result, as such expenses are incurred; provided, however, that the indemnity agreement contained in this Section 2.8(a) shall not apply to amounts paid in settlement of any such claim or proceeding if such settlement is effected without the consent of the Company, which consent shall not be unreasonably withheld, nor shall the Company be liable for any Damages to the extent that they arise out of or are based upon actions or omissions made in reliance upon and in conformity with written information furnished by or on behalf of any such Holder, underwriter, controlling Person, or other aforementioned Person expressly for use in connection with such registration.

(b) To the extent permitted by law, each selling Holder, severally and not jointly, will indemnify and hold harmless the Company, and each of its directors, each of its officers who has signed the registration statement, each Person (if any), who controls the Company within the meaning of the Securities Act, legal counsel and accountants for the Company, any underwriter (as defined in the Securities Act), any other Holder selling securities in such registration statement, and any controlling Person of any such underwriter or other Holder, against any Damages, in each case only to the extent that such Damages arise out of or are based upon actions or omissions made in reliance upon and in conformity with written information furnished by or on behalf of such selling Holder expressly for use in connection with such registration; and each such selling Holder will pay to the Company and each other aforementioned Person any legal or other expenses reasonably incurred thereby in connection with investigating or defending any claim or proceeding from which Damages may result, as such expenses are incurred; provided, however, that the indemnity agreement contained in this Section 2.8(b) shall not apply to amounts paid in settlement of any such claim or proceeding if such settlement is effected without the consent of the Holder, which consent shall not be unreasonably withheld; and provided further that in no event shall any indemnity or contribution under this Section 2.8(b) or under Section 2.8(d) exceed, in the aggregate, the proceeds from the offering received by such Holder (net of any Selling Expenses paid by such Holder), except in the case of fraud or willful misconduct by such Holder.

(c) Promptly after receipt by an indemnified party under this Section 2.8 of notice of the commencement of any action (including any governmental action) for which a party may be entitled to indemnification hereunder, such indemnified party will, if a claim in respect thereof is to be made against any indemnifying party under this Section 2.8, give the indemnifying party notice of the commencement thereof. The indemnifying party shall have the right to participate in such action and, to the extent the indemnifying party so desires, participate jointly with any other indemnifying party to which notice has been given, and to assume the defense thereof with counsel mutually satisfactory to the parties; provided, however, that an indemnified party (together with all other indemnified parties that may be represented without conflict by one counsel) shall have the right to retain one separate counsel, with the fees and expenses to be paid by the indemnifying party, if representation of such indemnified party by the counsel retained by the indemnifying party would be inappropriate due to actual or potential differing interests between such indemnified party and any other party represented by such counsel

 

11


in such action. The failure to give notice to the indemnifying party within a reasonable time of the commencement of any such action shall relieve such indemnifying party of any liability to the indemnified party under this Section 2.8, to the extent that such failure materially prejudices the indemnifying party’s ability to defend such action. The failure to give notice to the indemnifying party will not relieve it of any liability that it may have to any indemnified party otherwise than under this Section 2.8.

(d) To provide for just and equitable contribution to joint liability under the Securities Act in any case in which either (i) any party otherwise entitled to indemnification hereunder makes a claim for indemnification pursuant to this Section 2.8 but it is judicially determined (by the entry of a final judgment or decree by a court of competent jurisdiction and the expiration of time to appeal or the denial of the last right of appeal) that such indemnification may not be enforced in such case, notwithstanding the fact that this Section 2.8 provides for indemnification in such case, or (ii) contribution under the Securities Act may be required on the part of any party hereto for which indemnification is provided under this Section 2.8, then, and in each such case, such parties will contribute to the aggregate losses, claims, damages, liabilities, or expenses to which they may be subject (after contribution from others) in such proportion as is appropriate to reflect the relative fault of each of the indemnifying party and the indemnified party in connection with the statements, omissions, or other actions that resulted in such loss, claim, damage, liability, or expense, as well as to reflect any other relevant equitable considerations. The relative fault of the indemnifying party and of the indemnified party shall be determined by reference to, among other things, whether the untrue or allegedly untrue statement of a material fact, or the omission or alleged omission of a material fact, relates to information supplied by the indemnifying party or by the indemnified party and the parties’ relative intent, knowledge, access to information, and opportunity to correct or prevent such statement or omission; provided, however, that, in any such case, (x) no Holder will be required to contribute any amount in excess of the public offering price of all such Registrable Securities offered and sold by such Holder pursuant to such registration statement, and (y) no Person guilty of fraudulent misrepresentation (within the meaning of Section 11(f) of the Securities Act) will be entitled to contribution from any Person who was not guilty of such fraudulent misrepresentation; and provided further that in no event shall a Holder’s liability pursuant to this Section 2.8(d), when combined with the amounts paid or payable by such Holder pursuant to Section 2.8(b), exceed the proceeds from the offering received by such Holder (net of any Selling Expenses paid by such Holder), except in the case of willful misconduct or fraud by such Holder.

(e) Notwithstanding the foregoing, to the extent that the provisions on indemnification and contribution contained in the underwriting agreement entered into in connection with the underwritten public offering are in conflict with the foregoing provisions, the provisions in the underwriting agreement shall control.

(f) Unless otherwise superseded by an underwriting agreement entered into in connection with the underwritten public offering, the obligations of the Company and Holders under this Section 2.8 shall survive the completion of any offering of Registrable Securities in a registration under this Section 2, and otherwise shall survive the termination of this Agreement.

 

12


2.9 Reports under Exchange Act. With a view to making available to the Holders the benefits of SEC Rule 144 and any other rule or regulation of the SEC that may at any time permit a Holder to sell securities of the Company to the public without registration or pursuant to a registration on Form S-3, the Company shall:

(a) make and keep available adequate current public information, as those terms are understood and defined in SEC Rule 144, at all times after the effective date of the registration statement filed by the Company for the IPO;

(b) use commercially reasonable efforts to file with the SEC in a timely manner all reports and other documents required of the Company under the Securities Act and the Exchange Act (at any time after the Company has become subject to such reporting requirements); and

(c) furnish to any Holder, so long as the Holder owns any Registrable Securities, forthwith upon request (i) to the extent accurate, a written statement by the Company that it has complied with the reporting requirements of SEC Rule 144 (at any time after ninety (90) days after the effective date of the registration statement filed by the Company for the IPO), the Securities Act, and the Exchange Act (at any time after the Company has become subject to such reporting requirements), or that it qualifies as a registrant whose securities may be resold pursuant to Form S-3 (at any time after the Company so qualifies); (ii) a copy of the most recent annual or quarterly report of the Company and such other reports and documents so filed by the Company; and (iii) such other information as may be reasonably requested in availing any Holder of any rule or regulation of the SEC that permits the selling of any such securities without registration (at any time after the Company has become subject to the reporting requirements under the Exchange Act) or pursuant to Form S-3 (at any time after the Company so qualifies to use such form).

2.10 Limitations on Subsequent Registration Rights. From and after the date of this Agreement, the Company shall not, without the prior written consent of the Holders of a majority in interest of the Registrable Securities then outstanding, enter into any agreement with any holder or prospective holder of any securities of the Company that would allow such holder or prospective holder (i) to include such securities in any registration unless, under the terms of such agreement, such holder or prospective holder may include such securities in any such registration only to the extent that the inclusion of such securities will not reduce the number of the Registrable Securities of the Holders that are included or (ii) to demand registration of any securities held by such holder or prospective holder; provided that this limitation shall not apply to any additional Investor who becomes a party to this Agreement in accordance with Section 6.9.

2.11 Market Stand-off Agreement. Each Holder hereby agrees that, if required by the managing underwriter, it will not, during the period commencing on the date of the final prospectus relating to the IPO and ending on the date specified by the Company and the managing underwriter (such period not to exceed one hundred eighty (180) days), or such other period as may be requested by the Company or an underwriter to accommodate regulatory restrictions on (1) the publication or other distribution of research reports, and (2) analyst recommendations and opinions, including, but not limited to, the restrictions contained in FINRA Rule 2711(f)(4) or NYSE Rule 472(f)(4), or any successor provisions or amendments thereto) (i) lend; offer; pledge; sell; contract to sell; sell any option or contract to purchase; purchase any option or contract to

 

13


sell; grant any option, right, or warrant to purchase; or otherwise transfer or dispose of, directly or indirectly, any shares of Common Stock or any securities convertible into or exercisable or exchangeable (directly or indirectly) for Common Stock held immediately before the effective date of the registration statement for such offering or (ii) enter into any swap or other arrangement that transfers to another, in whole or in part, any of the economic consequences of ownership of such securities, whether any such transaction described in clause (i) or (ii) above is to be settled by delivery of Common Stock or other securities, in cash, or otherwise. The foregoing provisions of this Section 2.11 shall apply only to the IPO, shall not apply to the sale of any shares to an underwriter pursuant to an underwriting agreement, and shall be applicable to the Holders only if all officers, directors, and stockholders individually owning more than one percent (1%) of the Company’s outstanding Common Stock (after giving effect to conversion into Common Stock of all outstanding Preferred Stock) are subject to the same restrictions. The underwriters in connection with such registration are intended third-party beneficiaries of this Section 2.11 and shall have the right, power, and authority to enforce the provisions hereof as though they were a party hereto. Each Holder further agrees to execute such agreements as may be reasonably requested by the underwriters in connection with such registration that are consistent with this Section 2.11 or that are necessary to give further effect thereto. The Company agrees to use its reasonable efforts to obtain the agreement of the managing underwriter to periodic early releases of portions of the securities subject to such lock-up agreements upon the request of a Holder to such early release, provided that in the event of any early release, all Holders will be released on a pro rata basis from such agreements. Any discretionary waiver or termination of the restrictions of any or all of such agreements by the Company or the underwriters shall apply pro rata to all Holders subject to such agreements, based on the number of shares subject to such agreements.

2.12 Restrictions on Transfer.

(a) The Preferred Stock and the Registrable Securities shall not be sold, pledged, or otherwise transferred, and the Company shall not recognize any such sale, pledge, or transfer, except upon the conditions specified in this Agreement, which conditions are intended to ensure compliance with the provisions of the Securities Act. A transferring Holder will cause any proposed purchaser, pledgee, or transferee of the Preferred Stock or the Registrable Securities held by such Holder to agree to take and hold such securities subject to the provisions and upon the conditions specified in this Agreement.

(b) Each certificate or instrument representing (i) the Preferred Stock, (ii) the Registrable Securities, and (iii) any other securities issued in respect of the securities referenced in clauses (i) and (ii), upon any stock split, stock dividend, recapitalization, merger, consolidation, or similar event, shall (unless otherwise permitted by the provisions of Section 2.12(c)) be stamped or otherwise imprinted with a legend substantially in the following form:

THE SECURITIES REPRESENTED HEREBY HAVE BEEN ACQUIRED FOR INVESTMENT AND HAVE NOT BEEN REGISTERED UNDER THE SECURITIES ACT OF 1933, AS AMENDED. SUCH SHARES MAY NOT BE SOLD, PLEDGED, OR TRANSFERRED IN THE ABSENCE OF SUCH REGISTRATION OR A VALID EXEMPTION FROM THE REGISTRATION AND PROSPECTUS DELIVERY REQUIREMENTS OF SAID ACT.

 

14


THE SECURITIES REPRESENTED HEREBY MAY BE TRANSFERRED ONLY IN ACCORDANCE WITH THE TERMS OF AN AGREEMENT BETWEEN THE COMPANY AND THE STOCKHOLDER, A COPY OF WHICH IS ON FILE WITH THE SECRETARY OF THE COMPANY.

The Holders consent to the Company making a notation in its records and giving instructions to any transfer agent of the Restricted Securities in order to implement the restrictions on transfer set forth in this Section 2.12.

(c) The holder of each certificate or instrument representing Restricted Securities, by acceptance thereof, agrees to comply in all respects with the provisions of this Section 2. Before any proposed sale, pledge, or transfer of any Restricted Securities, unless there is in effect a registration statement under the Securities Act covering the proposed transaction or following the IPO, the transfer is made pursuant to SEC Rule 144, the Holder thereof shall give notice to the Company of such Holder’s intention to effect such sale, pledge, or transfer, provided that no such notice shall be required in connection if the intended sale, pledge or transfer complies with SEC Rule 144. Each such notice shall describe the manner and circumstances of the proposed sale, pledge, or transfer in sufficient detail and, if reasonably requested by the Company, shall be accompanied at such Holder’s expense by either (i) a written opinion of legal counsel who shall, and whose legal opinion shall, be reasonably satisfactory to the Company, addressed to the Company, to the effect that the proposed transaction may be effected without registration under the Securities Act; (ii) a “no action” letter from the SEC to the effect that the proposed sale, pledge, or transfer of such Restricted Securities without registration will not result in a recommendation by the staff of the SEC that action be taken with respect thereto; or (iii) any other evidence reasonably satisfactory to counsel to the Company to the effect that the proposed sale, pledge, or transfer of the Restricted Securities may be effected without registration under the Securities Act, whereupon the Holder of such Restricted Securities shall be entitled to sell, pledge, or transfer such Restricted Securities in accordance with the terms of the notice given by the Holder to the Company. The Company will not require such a legal opinion or “no action” letter (x) in any transaction in which such Holder distributes Restricted Securities to an Affiliate of such Holder for no consideration provided that each transferee agrees in writing to be subject to the terms of this Section 2.12 or (y) in any transaction in compliance with SEC Rule 144. Each certificate or instrument evidencing the Restricted Securities transferred as above provided shall bear, except if such transfer is made pursuant to SEC Rule 144, the appropriate restrictive legend set forth in Section 2.12(b), except that such certificate shall not bear such restrictive legend if, in the opinion of counsel for such Holder and the Company, such legend is not required in order to establish compliance with any provisions of the Securities Act.

2.13 Termination of Registration Rights. The right of any Holder to request registration or inclusion of Registrable Securities in any registration pursuant to Section 2.1 or Section 2.2 shall terminate upon the earliest to occur of:

(a) the closing of a Deemed Liquidation Event, as such term is defined in the Certificate of Incorporation;

 

15


(b) such time as Rule 144 or another similar exemption under the Securities Act is available for the sale of all of such Holder’s shares without limitation during a three-month period without registration; and

(c) the fifth (5th) anniversary of the IPO.

3. Information.

3.1 Delivery of Financial Statements. The Company shall deliver to each Major Investor the required items listed below, provided that the Board of Directors has not reasonably determined that such Major Investor is a Competitor of the Company.

(a) as soon as practicable, but in any event within ninety (90) days after the end of each fiscal year of the Company, unaudited statements of income and of cash flows for such fiscal year, and an unaudited balance sheet and a statement of stockholders’ equity as of the end of such fiscal year, all prepared in accordance with GAAP (except that such financial statements may (i) be subject to normal year-end audit adjustments and (ii) not contain all notes thereto that may be required in accordance with GAAP);

(b) as soon as practicable, but in any event within one hundred twenty (120) days after the end of each fiscal year of the Company, (i) a balance sheet as of the end of such year, (ii) statements of income and of cash flows for such year, and a comparison between (x) the actual amounts as of and for such fiscal year and (y) the comparable amounts for the prior year and as included in the Budget (as defined below) for such year, with an explanation of any material differences between such amounts and a schedule as to the sources and applications of funds for such year, and (iii) a statement of stockholders’ equity as of the end of such year, all such financial statements audited and certified by independent public accountants of nationally or regionally recognized standing selected by the Company and approved by the Board of Directors;

(c) as soon as practicable but in any event within forty-five (45) days after the end of each quarter of each fiscal year of the Company, unaudited statements of income and of cash flows for such fiscal quarter, and an unaudited balance sheet and a statement of stockholders’ equity as of the end of such fiscal quarter, all prepared in accordance with GAAP (except that such financial statements may (i) be subject to normal year-end audit adjustments and (ii) not contain all notes thereto that may be required in accordance with GAAP);

(d) as soon as practicable, but in any event within forty-five (45) days after the end of each quarter of each fiscal year of the Company, a statement showing the number of shares of each class and series of capital stock and securities convertible into or exercisable for shares of capital stock outstanding at the end of the period, the Common Stock issuable upon conversion or exercise of any outstanding securities convertible or exercisable for Common Stock and the exchange ratio or exercise price applicable thereto, and the number of shares of issued stock options and stock options not yet issued but reserved for issuance, if any, all in sufficient detail as to permit each Major Investor to calculate their respective percentage equity ownership in the Company, and certified by the chief financial officer or chief executive officer of the Company as being true, complete, and correct;

 

16


(e) as soon as practicable, but in any event within thirty (30) days following the end of each fiscal year, a budget and business plan for the next fiscal year (collectively, the “Budget”), approved by the Board of Directors and, promptly after prepared, any other budgets or revised budgets prepared by the Company; and

(f) such other information relating to the financial condition, business, prospects, or corporate affairs of the Company as any Major Investor may from time to time reasonably request; provided, however, that the Company shall not be obligated under this Section 3.1 to provide information (i) that the Company reasonably determines in good faith to be a trade secret or similarly confidential information (unless covered by an enforceable confidentiality agreement, in a form acceptable to the Company); or (ii) the disclosure of which would adversely affect the attorney-client privilege between the Company and its counsel.

If, for any period, the Company has any subsidiary whose accounts are consolidated with those of the Company, then in respect of such period the financial statements delivered pursuant to the foregoing sections shall be the consolidated and consolidating financial statements of the Company and all such consolidated subsidiaries.

Notwithstanding anything else in this Section 3.1 to the contrary, the Company may cease providing the information set forth in this Section 3.1 during the period starting with the date thirty (30) days before the Company’s good-faith estimate of the date of filing of a registration statement if it reasonably concludes it must do so to comply with the SEC rules applicable to such registration statement and related offering; provided that the Company’s covenants under this Section 3.1 shall be reinstated at such time as the Company is no longer actively employing its commercially reasonable efforts to cause such registration statement to become effective.

3.2 Inspection. The Company shall permit each Major Investor (provided that such Major Investor is not a Competitor of the Company as reasonably determined by the Board of Directors), at such Major Investor’s expense, to visit and inspect the Company’s properties; examine its books of account and records; and discuss the Company’s affairs, finances, and accounts with its officers, during normal business hours of the Company as may be reasonably requested by the Major Investor; provided, however, that the Company shall not be obligated pursuant to this Section 3.2 to provide access to any information that it reasonably and in good faith considers to be a trade secret or confidential information (unless covered by an enforceable confidentiality agreement, in a form acceptable to the Company); or the disclosure of which would adversely affect the attorney-client privilege between the Company and its counsel.

3.3 Termination of Information Rights. The covenants set forth in Sections 3.1 and 3.2 shall terminate and be of no further force or effect upon the earliest to occur of (i) immediately before, but subject to, the consummation of the IPO, (ii) when the Company first becomes subject to the periodic reporting requirements of Section 12(g) or 15(d) of the Exchange Act, and (iii) upon a Deemed Liquidation Event in which the holders of the Company’s capital stock receive cash or publicly traded securities in exchange for their equity interests in the Company.

 

17


3.4 Confidentiality. Each Investor agrees that such Investor will keep confidential and will not disclose, divulge, or use for any purpose (other than to monitor its investment in the Company) any confidential information obtained from the Company pursuant to the terms of this Agreement (including notice of the Company’s intention to file a registration statement), unless such confidential information (a) is known or becomes known to the public in general (other than as a result of a breach of this Section 3.4 by such Investor), (b) is or has been independently developed or conceived by the Investor without use of the Company’s confidential information, or (c) is or has been made known or disclosed to the Investor by a third party without a breach of any obligation of confidentiality such third party may have to the Company; provided, however, that an Investor may disclose confidential information (i) to its attorneys, accountants, consultants, advisors and other professionals (collectively, “Representatives”) to the extent necessary to obtain their services in connection with monitoring its investment in the Company; (ii) to any prospective purchaser of any Registrable Securities from such Investor, if such prospective purchaser agrees to be bound by the provisions of this Section 3.4; (iii) in the ordinary course of business to any existing or prospective, direct or indirect, Affiliate, partner, member, stockholder, or wholly owned subsidiary of such Investor and any Representatives, employees or Affiliates of any of the foregoing, provided that such Investor informs any such recipient that such information is confidential and directs such recipient to maintain the confidentiality of such information; or (iv) as may otherwise be required by law or securities exchange regulations or at the request of a regulatory authority, provided that the Investor promptly notifies the Company of such disclosure and takes reasonable steps to minimize the extent of any such required disclosure.

4. Rights to Future Stock Issuances.

4.1 Right of First Offer.

(a) Subject to the terms and conditions of this Section 4.1 and applicable securities laws, if the Company proposes to offer or sell any New Securities, the Company shall first offer such New Securities to each Investor, provided that the Board of Directors has not reasonably determined that such Investor is a Competitor of the Company. An Investor shall be entitled to apportion the right of first offer hereby granted to it among itself and its Affiliates in such proportions as it deems appropriate, provided that each such Affiliate (x) is not a Competitor of the Company as reasonably determined by the Board of Directors, and (y) agrees to enter into this Agreement and the Stockholders Agreement of even date herewith among the Company, the Investors and the other parties named therein, as an “Investor” under each such agreement.

(b) Notwithstanding anything to the contrary herein, for so long as TRV is deemed an Investor, TRV shall have the right to apportion its right of first offer of New Securities pursuant to Section 4.1(a) among itself, its Affiliates, and such unaffiliated third parties as TRV reasonably deems appropriate (each such Affiliate or unaffiliated third party, a “Permitted TRV Transferee”), provided that each such Permitted TRV Transferee (x) is not a Competitor of the Company as reasonably determined by the Board of Directors, and (y) agrees to enter into or join this Agreement and any other stockholder agreement with the Company that TRV is party to or would become a party to if it exercised its right of first offer, as an “Investor” under each such agreement. TRV shall provide the Company with advanced written notice of any such apportionment of rights to a Permitted TRV Transferee prior to the deadline set forth in Section 4.1(d) by which TRV is required to notify the Company of TRV’s or its Permitted TRV Transferees’, as applicable, intention to exercise its right of first offer with respect to a given issuance of New Securities, and TRV and the Permitted TRV Transferee shall provide the Company with such other information as the Company reasonably requests in connection with such apportionment of rights to such Permitted TRV Transferee.

 

18


(c) The Company shall give notice (the “Offer Notice”) to each Investor, stating (i) its bona fide intention to offer such New Securities, (ii) the number of such New Securities to be offered, and (iii) the price and terms, if any, upon which it proposes to offer such New Securities.

(d) By notification to the Company within twenty (20) days after the Offer Notice is given, each Investor may elect to purchase or otherwise acquire, at the price and on the terms specified in the Offer Notice, up to that portion of such New Securities which equals the proportion that the Common Stock then held by such Investor (including all shares of Common Stock then issuable (directly or indirectly) upon conversion and/or exercise, as applicable, of the Preferred Stock and any other Derivative Securities then held by such Investor) bears to the total number of shares of Common Stock of the Company then outstanding (assuming full conversion and/or exercise, as applicable, of all Preferred Stock and other Derivative Securities). At the expiration of such twenty (20) day period, the Company shall promptly notify each Investor that elects to purchase or acquire all the shares available to it (each, a “Fully Exercising Investor”) of any other Investor’s failure to do likewise. During the ten (10) day period commencing after the Company has given such notice, each Fully Exercising Investor may, by giving notice to the Company, elect to purchase or acquire, in addition to the number of shares specified above, up to that portion of the New Securities for which such Investors were entitled to subscribe, but that were not subscribed for by the Investors, which is equal to the proportion that the Common Stock issued and held, or issuable upon conversion of Preferred Stock and any other Derivative Securities then held, by such Fully Exercising Investor bears to the number of shares of Common Stock issued and held, or issuable (directly or indirectly) upon conversion of the Preferred Stock and any other Derivative Securities then held, by all Fully Exercising Investors who wish to purchase such unsubscribed shares. The closing of any sale pursuant to this Section 4.1(b) shall occur within the later of one hundred twenty (120) days after the date that the Offer Notice is given and the date of initial sale of New Securities pursuant to Section 4.1(c).

(e) If fewer than all New Securities referred to in the Offer Notice are elected to be purchased or acquired as provided in Section 4.1(d), the Company may, during the ninety (90) day period following the expiration of the periods provided in Section 4.1(d), offer and sell the remaining unsubscribed portion of such New Securities to any Person or Persons at a price not less than, and upon terms no more favorable to the offeree than, those specified in the Offer Notice. If the Company does not enter into an agreement for the sale of the New Securities within such period, or if such agreement is not consummated within thirty (30) days of the execution thereof, the right provided hereunder shall be deemed to be revived and such New Securities shall not be offered unless first reoffered to the Investors in accordance with this Section 4.1.

(f) The right of first offer in this Section 4.1 shall not be applicable to (i) Exempted Securities (as defined in the Certificate of Incorporation), and (ii) shares of Common Stock issued in the IPO.

 

19


(g) The rights of the Investors to purchase New Securities under this Section 4.1 may be modified or waived in accordance with Section 6.6; provided, however, that in the event such rights to purchase New Securities under this Section 4.1 are waived and any Investor(s) purchase New Securities, the Company shall give notice to the other Investors within thirty (30) days after the initial issuance of New Securities. Such notice shall describe the type, price, and terms of the New Securities. Each such other Investor shall have twenty (20) days from the date such notice is given to elect to purchase on similar terms and conditions in a subsequent closing up to the number of New Securities that would, if purchased by such Investor, maintain such Investor’s percentage-ownership position, calculated as set forth in Section 4.1(d) before giving effect to the issuance of such New Securities.

4.2 Termination. The covenants set forth in Section 4.1 shall terminate and be of no further force or effect upon the earliest to occur of (i) immediately before, but subject to, the consummation of the IPO, or (ii) upon a Deemed Liquidation Event.

5. Additional Covenants.

5.1 Insurance. The Company shall maintain Directors and Officers Errors and Omissions insurance from financially sound and reputable insurers in an amount satisfactory to the Board of Directors, including a majority of the Preferred Directors (as defined in the Certificate of Incorporation) then-seated (the “Requisite Directors”) , and will use commercially reasonable efforts to cause such insurance policy to be maintained until such time as the Board of Directors determines that such insurance should be discontinued.

5.2 Employee Agreements. The Company will cause (a) each individual now or hereafter employed by it or by any subsidiary (or engaged by the Company or any subsidiary as an individual consultant/independent contractor) with access to confidential information and/or trade secrets to enter into a nondisclosure and proprietary rights assignment agreement and (b) each Key Employee to enter into a one (1) year noncompetition (to the extent permitted by applicable law) and nonsolicitation agreement, substantially in the form approved by the Board of Directors, including the Requisite Directors. In addition, the Company shall not amend, modify, terminate, waive, or otherwise alter, in whole or in part, any of the above-referenced agreements or any restricted stock agreement between the Company and any employee, without the approval by the Board of Directors, including the Requisite Directors.

5.3 Employee Vesting. Unless otherwise approved by the Board of Directors, which approval shall include the Requisite Directors, if any, then serving on the Board of Directors, all employees and consultants of the Company who purchase, receive options to purchase, or receive awards of shares of the Company’s capital stock after the date hereof shall be required to execute restricted stock or option agreements, as applicable, providing for (a) vesting of shares, not faster than over a four (4) year period, with the first twenty-five percent (25%) of such shares vesting following twelve (12) months of continued employment or service, and the remaining shares vesting in equal quarterly installments over the following three (3) years, and (b) a market stand-off provision substantially similar to that in Section 2.11. In addition, unless otherwise approved by the Board of Directors, including the Requisite Directors, the Company shall retain a “right of first refusal” on employee transfers of shares of Common Stock until the Company’s IPO and shall have the right to repurchase unvested shares at cost upon termination of employment of a holder of restricted stock.

 

20


5.4 Matters Requiring Preferred Director Approval. So long as any shares of Preferred Stock issued pursuant to the Purchase Agreement remain outstanding, the Company hereby covenants and agrees with each of the Investors that it shall not, without first obtaining the approval of the Board of Directors, which approval must include the Requisite Directors:

(a) make, or permit any subsidiary to make, any loan or advance to, or own any stock or other securities of, any subsidiary or other corporation, partnership, or other entity unless it is wholly owned by the Company;

(b) create any subsidiary;

(c) make, or permit any subsidiary to make, any loan or advance to any Person, including, without limitation, any employee or director of the Company or any subsidiary, except advances and similar expenditures in the ordinary course of business or under the terms of an employee stock or option plan approved by the Board of Directors;

(d) guarantee, directly or indirectly, or permit any subsidiary to guarantee, directly or indirectly, any indebtedness except for trade accounts of the Company or any subsidiary arising in the ordinary course of business;

(e) make any investment inconsistent with any investment policy approved by the Board of Directors;

(f) incur indebtedness in excess of $500,000 in the aggregate that is not covered by the Budget, other than trade credit incurred in the ordinary course of business;

(g) otherwise enter into or be a party to any transaction with any director, officer or employee of the Company or any “associate” (as defined in Rule 12b-2 promulgated under the Exchange Act) of any such Person;

(h) hire, terminate, or change the compensation of the executive officers, including approving any option grants or stock awards to executive officers; or

(i) change the principal business of the Company, or enter into a new line of business, or exit the existing line of business of the Company.

5.5 Meetings of the Board of Directors; Committees. Unless otherwise determined by the vote of at least a majority of the directors then in office, the Board of Directors shall meet at least four (4) times per year, and at least once per quarter, in accordance with an agreed-upon schedule. The Company shall maintain an audit and compensation committee. Prior to the Company’s IPO, the Series C Director (as defined in the Certificate of Incorporation) and Series D Director (as defined in the Certificate of Incorporation) will be entitled to serve on any committee of the Board of Directors. At such time after the Company’s IPO, the Series C Director and Series D Director will be entitled to serve on any committee of the Board of Directors subject to the reasonable discretion of the Board of Directors, as well as any limitation of applicable law and the rules of such stock exchange on which the Company lists its securities in the IPO.

 

21


5.6 Successor Indemnification. If the Company or any of its successors or assignees consolidates with or merges into any other Person and is not the continuing or surviving corporation or entity of such consolidation or merger, then to the extent necessary, proper provision shall be made so that the successors and assignees of the Company assume the obligations of the Company with respect to indemnification of members of the Board of Directors as in effect immediately before such transaction, whether such obligations are contained in the Company’s By-laws, the Certificate of Incorporation, or elsewhere, as the case may be.

5.7 Board Expenses. The Company shall reimburse the non-employee directors for all reasonable out-of-pocket expenses incurred (consistent with the Company’s policies) in connection with their role as a director of the Company.

5.8 Directors Liability and Indemnification.

(a) The Certificate of Incorporation and By-laws (as such By-laws of the Company may be amended from time to time) shall provide (i) for limitation of the liability of directors to the maximum extent permitted by law, and (ii) for indemnification of directors for acts on behalf of the Company to the maximum extent permitted by law. In the event any suit is filed or claim is asserted against a director or former director of the Company as a result of such director’s or former director’s service on the Board of Directors, the Company will provide such director or former director access to all records and files of the Company as he or she may reasonably request in defending against or preparing to defend against any such suit or claim.

(b) The Company hereby acknowledges that one or more of the directors nominated by holders of Preferred Stock may have certain rights to indemnification, advancement of expenses and/or insurance provided by one or more of the Investors and certain of their Affiliates (collectively, the “Fund Indemnitors”) for alleged acts or omissions in their capacities as directors of the Company. The Company hereby agrees (i) that it is the indemnitor of first resort (i.e., its obligations to any such director are primary and any obligation of the Fund Indemnitors to advance expenses or to provide indemnification for the same expenses or liabilities incurred by such director are secondary), (ii) that it shall be required to advance the full amount of expenses incurred by such director and shall be liable for the full amount of all expenses, judgments, penalties, fines and amounts paid in settlement by or on behalf of any such director to the extent legally permitted and as required by the Certificate of Incorporation or Bylaws of the Company (or any agreement between the Company and such director), without regard to any rights such director may have against the Fund Indemnitors, and, (iii) that it irrevocably waives, relinquishes and releases the Fund Indemnitors from any and all claims against the Fund Indemnitors for contribution, subrogation or any other recovery of any kind in respect thereof. The Company further agrees that no advancement or payment by the Fund Indemnitors on behalf of any such director with respect to any claim for which such director has sought indemnification from the Company shall affect the foregoing and the Fund Indemnitors shall have a right of contribution and/or be subrogated to the extent of such advancement or payment to all of the rights of recovery of such director against the Company.

 

22


5.9 FCPA. The Company represents that it shall not (and shall not permit any of its subsidiaries or affiliates or any of its or their respective directors, officers, managers, employees, independent contractors, representatives or agents to) promise, authorize or make any payment to, or otherwise contribute any item of value to, directly or indirectly, to any third party, including any Non-U.S. Official (as (as such term is defined in the U.S. Foreign Corrupt Practices Act of 1977, as amended (the “FCPA”)), in each case, in violation of the FCPA, the U.K. Bribery Act, or any other applicable anti-bribery or anti-corruption law. The Company further represents that it shall (and shall cause each of its subsidiaries and affiliates to) cease all of its or their respective activities, as well as remediate any actions taken by the Company, its subsidiaries or affiliates, or any of their respective directors, officers, managers, employees, independent contractors, representatives or agents in violation of the FCPA, the U.K. Bribery Act, or any other applicable anti-bribery or anti-corruption law. The Company further represents that it shall (and shall cause each of its subsidiaries and affiliates to) maintain systems of internal controls (including, but not limited to, accounting systems, purchasing systems and billing systems) to ensure compliance with the FCPA, the U.K. Bribery Act, or any other applicable anti-bribery or anti-corruption law. Upon request, the Company agrees to provide responsive information and/or certifications concerning its compliance with applicable anti-corruption laws. The Company shall promptly notify each Investor if the Company becomes aware of any Enforcement Action (as defined in the Purchase Agreement). The Company shall, and shall cause any direct or indirect subsidiary or entity controlled by it, whether now in existence or formed in the future, to comply with the FCPA. The Company shall use its best efforts to cause any direct or indirect subsidiary, whether now in existence or formed in the future, to comply in all material respects with all applicable laws.

5.10 Right to Conduct Activities. The Company hereby agrees and acknowledges that TRV, Arch, GV, Matrix, Moore Strategic Ventures, LLC, General Catalyst, a16z, Frazier, Janus and Deep Track (together with their Affiliates) (each, an “Investing Entity”) invest in or may hereafter invest in one or more other portfolio companies (“PortCos”), some of which may be deemed competitive with the Company’s business (as currently conducted or as currently proposed to be conducted). The Company hereby agrees that (a) no Investing Entity shall be deemed to be a Competitor of the Company in respect of any investment such Investing Entity makes in any PortCo, and (b) to the extent permitted under applicable law, no Investing Entity shall be liable to the Company for any claim arising out of, or based upon, (i) the investment by such Investing Entity in any entity competitive with the Company, or (ii) actions taken by any partner, officer or other representative of such Investing Entity to assist any such competitive company, whether or not such action was taken as a member of the board of directors of such competitive company or otherwise, and whether or not such action has a detrimental effect on the Company; provided, however, that the foregoing shall not relieve (x) any of the Investors from liability associated with the unauthorized disclosure of the Company’s confidential information obtained pursuant to this Agreement, or (y) any director or officer of the Company from any liability associated with his or her fiduciary duties to the Company.

5.11 Tax Reporting. The Company will comply with any obligation imposed on the Company to make any filing (including any filing on Internal Revenue Service Form 5471) as a result of any interest that the Company holds in a non-U.S. Person or any activities that the Company conducts outside of the U.S. and shall include in such filing any information necessary to obviate (to the extent possible) any similar obligation to which any shareholder would otherwise be subject with respect to such interest or such activity. The Company shall promptly provide each Investor with a copy of any such filing.

 

23


5.12 Expenses of Counsel. In the event of a transaction which is a Sale of the Company (as defined in the Stockholders Agreement of even date herewith among the Investors, the Company and the other parties named therein), the reasonable fees and disbursements of one counsel for the Investors (“Investor Counsel”), in their capacities as stockholders, shall be borne and paid by the Company. At the outset of considering a transaction which, if consummated would constitute a Sale of the Company, the Company shall obtain the ability to share with the Investor Counsel (and such counsel’s clients) and shall share the confidential information (including, without limitation, the initial and all subsequent drafts of memoranda of understanding, letters of intent and other transaction documents and related noncompete, employment, consulting and other compensation agreements and plans) pertaining to and memorializing any of the transactions which, individually or when aggregated with others would constitute the Sale of the Company. The Company shall be obligated to share (and cause the Company’s counsel and investment bankers to share) such materials when distributed to the Company’s executives and/or any one or more of the other parties to such transaction(s). In the event that Investor Counsel deems it appropriate, in its reasonable discretion, to enter into a joint defense agreement or other arrangement to enhance the ability of the parties to protect their communications and other reviewed materials under the attorney client privilege, the Company shall, and shall direct its counsel to, execute and deliver to Investor Counsel and its clients such an agreement in form and substance reasonably acceptable to Investor Counsel. In the event that one or more of the other party or parties to such transactions require the clients of Investor Counsel to enter into a confidentiality agreement and/or joint defense agreement in order to receive such information, then the Company shall share whatever information can be shared without entry into such agreement and shall, at the same time, in good faith work expeditiously to enable Investor Counsel and its clients to negotiate and enter into the appropriate agreement(s) without undue burden to the clients of Investor Counsel.

5.13 Termination of Covenants. The covenants set forth in this Section 5, except for Sections 5.6, 5.8 and 5.10, shall terminate and be of no further force or effect upon the earliest to occur of (i) immediately before but subject to the consummation of a QPO, or (ii) upon a Deemed Liquidation Event.

6. Miscellaneous.

6.1 Successors and Assigns. The rights under this Agreement may be assigned (but only with all related obligations) by a Holder to a transferee of Registrable Securities that (i) is an Affiliate, member, retired partner, retired member or stockholder of a Holder; (ii) is a Holder’s Immediate Family Member or trust for the benefit of an individual Holder or one or more of such Holder’s Immediate Family Members; or (iii) after such transfer, holds at least 100,000 shares of Registrable Securities (subject to appropriate adjustment for stock splits, stock dividends, combinations, and other recapitalizations); provided, however, that (x) the Company is, within a reasonable time after such transfer, furnished with written notice of the name and address of such transferee and the Registrable Securities with respect to which such rights are being transferred; and (y) such transferee agrees in a written instrument delivered to the Company to be bound by and subject to the terms and conditions of this Agreement, including the provisions of Section 2.11. For the purposes of determining the number of shares of Registrable Securities held by a transferee, the holdings of a transferee (1) that is an Affiliate, limited partner, retired partner, member, retired member, or stockholder of a Holder; (2) who is a Holder’s Immediate Family

 

24


Member; or (3) that is a trust for the benefit of an individual Holder or such Holder’s Immediate Family Member shall be aggregated together and with those of the transferring Holder and its Affiliates; provided further that all transferees who would not qualify individually for assignment of rights shall, as a condition to the applicable transfer, establish a single attorney-in-fact for the purpose of exercising any rights, receiving notices, or taking any action under this Agreement. The terms and conditions of this Agreement inure to the benefit of and are binding upon the respective successors and permitted assignees of the parties, including without limitation, the Investor’s Affiliates. Nothing in this Agreement, express or implied, is intended to confer upon any party other than the parties hereto or their respective successors and permitted assignees any rights, remedies, obligations or liabilities under or by reason of this Agreement, except as expressly provided herein.

6.2 Governing Law. This Agreement shall be governed by and construed in accordance with the internal laws of the State of Delaware, without regard to conflict of law principles that would result in the application of any law other than the law of the State of Delaware.

6.3 Counterparts; Facsimile. This Agreement may be executed in two or more counterparts, each of which shall be deemed an original, but all of which together shall constitute one and the same instrument. This Agreement may also be executed and delivered by facsimile signature, email signature, or other form of electronic transmission.

6.4 Titles and Subtitles. The titles and subtitles used in this Agreement are for convenience only and are not to be considered in construing or interpreting this Agreement.

6.5 Notices. All notices and other communications given or made pursuant to this Agreement shall be in writing and shall be deemed effectively given: (a) upon personal delivery to the party to be notified; (b) when sent, if sent by confirmed electronic mail or facsimile and sent during normal business hours of the recipient, and if not so confirmed, then on the next Business Day; (c) five (5) days after having been sent by registered or certified mail, return receipt requested, postage prepaid; or (d) one (1) Business Day after the Business Day of deposit with a nationally recognized overnight courier, freight prepaid, specifying next Business Day delivery, with written verification of receipt. All communications shall be sent to the respective parties at their addresses as set forth on Schedule A hereto, or to the principal office of the Company and to the attention of the Chief Executive Officer, in the case of the Company, or to such email address, facsimile number, or address as subsequently modified by written notice given in accordance with this Section 6.5. If notice is given to the Company, a copy, which shall not constitute notice, shall also be sent to Effie Toshav and Matthew Rossiter at Fenwick & West LLP, 555 California Street, 12th Floor, San Francisco, CA 94104.

6.6 Amendments and Waivers. Any term of this Agreement, including without limitation Section 4.1, may be amended and the observance of any term of this Agreement may be waived (either generally or in a particular instance, and either retroactively or prospectively) only with the written consent of the Company and the holders of at least a majority of the Registrable Securities then outstanding; provided that the Company may in its sole discretion waive compliance with Section 2.12(c) (and the Company’s failure to object promptly in writing after notification of a proposed assignment allegedly in violation of Section 2.12(c) shall be deemed to

 

25


be a waiver); and provided further that any provision hereof may be waived by any waiving party on such party’s own behalf, without the consent of any other party. Notwithstanding the foregoing, (i) this Agreement may not be amended or terminated and the observance of any term hereof may not be waived with respect to any Investor without the written consent of such Investor, unless such amendment, termination, or waiver applies to all Investors in the same fashion (it being agreed that a waiver of the provisions of Section 4 with respect to a particular transaction shall be deemed to apply to all Investors in the same fashion if such waiver does so by its terms, notwithstanding the fact that certain Investors may nonetheless, by agreement with the Company, purchase securities in such transaction), (ii) Section 4.1(b) may not be amended, modified or waived without the written consent of TRV, (iii) the Company’s compliance with Section 4.1(g) may not be waived with respect to any Investor without the written consent of such Investor, (iv) an Investor’s rights under Section 1.6 and Section 5.10 may not be amended, modified, terminated or waived in a manner that adversely affects such Investor without the prior written consent of such Investor, and (v) Sections 2.1, 3.1, and 3.2 and any other section of this Agreement applicable to the Major Investors (including this clause (v)) may be amended and the observance of any such term may be waived only with the written consent of the Company and the holders of at least a majority of the Registrable Securities then outstanding and held by the Major Investors. The Company shall give prompt notice of any amendment or termination hereof or waiver hereunder to any party hereto that did not consent in writing to such amendment, termination, or waiver. Any amendment, termination, or waiver effected in accordance with this Section 6.6 shall be binding on all parties hereto, regardless of whether any such party has consented thereto. No waivers of or exceptions to any term, condition, or provision of this Agreement, in any one or more instances, shall be deemed to be or construed as a further or continuing waiver of any such term, condition, or provision.

6.7 Severability. In case any one or more of the provisions contained in this Agreement is for any reason held to be invalid, illegal or unenforceable in any respect, such invalidity, illegality, or unenforceability shall not affect any other provision of this Agreement, and such invalid, illegal, or unenforceable provision shall be reformed and construed so that it will be valid, legal, and enforceable to the maximum extent permitted by law.

6.8 Aggregation of Stock. All shares of Registrable Securities held or acquired by Affiliates shall be aggregated together for the purpose of determining the availability of any rights under this Agreement and such Affiliated Person may apportion such rights as among themselves in any manner they deem appropriate.

6.9 Additional Investors. Notwithstanding anything to the contrary contained herein, if after the date hereof the Company issues additional shares of the Preferred Stock to a Person who is not already a party to this Agreement (any such person, a “New Investor”), as a condition to the issuance of such shares the Company shall require that such New Investor become a party to this Agreement by executing and delivering a counterpart signature page or joinder agreement to this Agreement, and thereafter shall be deemed an “Investor” for all purposes hereunder. No action or consent by the Investors shall be required for such joinder to this Agreement by such additional Investor, so long as such additional Investor has agreed in writing to be bound by all of the obligations as an “Investor” hereunder. Schedule A to this Agreement shall be updated to reflect the issuance of Preferred Stock to a New Investor.

 

26


6.10 Entire Agreement. This Agreement (including any Schedules and Exhibits hereto) constitutes the full and entire understanding and agreement among the parties with respect to the subject matter hereof, and any other written or oral agreement relating to the subject matter hereof existing between the parties is expressly canceled. Upon the effectiveness of this Agreement, the Prior Agreement shall be deemed amended and restated and superseded and replaced in its entirety by this Agreement, and shall be of no further force or effect.

6.11 Delays or Omissions. Except as set forth in Section 2.1(c) (with respect to the Company’s failure to object promptly to a transfer), no delay or omission to exercise any right, power, or remedy accruing to any party under this Agreement, upon any breach or default of any other party under this Agreement, shall impair any such right, power, or remedy of such nonbreaching or nondefaulting party, nor shall it be construed to be a waiver of or acquiescence to any such breach or default, or to any similar breach or default thereafter occurring, nor shall any waiver of any single breach or default be deemed a waiver of any other breach or default theretofore or thereafter occurring. All remedies, whether under this Agreement or by law or otherwise afforded to any party, shall be cumulative and not alternative.

6.12 Dispute Resolution. WAIVER OF JURY TRIAL: EACH PARTY HEREBY WAIVES ITS RIGHTS TO A JURY TRIAL OF ANY CLAIM OR CAUSE OF ACTION BASED UPON OR ARISING OUT OF THIS AGREEMENT, THE OTHER TRANSACTION DOCUMENTS, THE SECURITIES OR THE SUBJECT MATTER HEREOF OR THEREOF. THE SCOPE OF THIS WAIVER IS INTENDED TO BE ALL-ENCOMPASSING OF ANY AND ALL DISPUTES THAT MAY BE FILED IN ANY COURT AND THAT RELATE TO THE SUBJECT MATTER OF THIS TRANSACTION, INCLUDING, WITHOUT LIMITATION, CONTRACT CLAIMS, TORT CLAIMS (INCLUDING NEGLIGENCE), BREACH OF DUTY CLAIMS, AND ALL OTHER COMMON LAW AND STATUTORY CLAIMS. THIS SECTION HAS BEEN FULLY DISCUSSED BY EACH OF THE PARTIES HERETO AND THESE PROVISIONS WILL NOT BE SUBJECT TO ANY EXCEPTIONS. EACH PARTY HERETO HEREBY FURTHER WARRANTS AND REPRESENTS THAT SUCH PARTY HAS REVIEWED THIS WAIVER WITH ITS LEGAL COUNSEL, AND THAT SUCH PARTY KNOWINGLY AND VOLUNTARILY WAIVES ITS JURY TRIAL RIGHTS FOLLOWING CONSULTATION WITH LEGAL COUNSEL.

Any unresolved controversy or claim arising out of or relating to this Agreement, except as (i) otherwise provided in this Agreement, or (ii) any such controversies or claims arising out of either party’s intellectual property rights for which a provisional remedy or equitable relief is sought, shall be submitted to arbitration by one arbitrator mutually agreed upon by the parties, and if no agreement can be reached within thirty (30) days after names of potential arbitrators have been proposed by the American Arbitration Association (the “AAA”), then by one arbitrator having reasonable experience in corporate finance transactions of the type provided for in this Agreement and who is chosen by the AAA. The arbitration shall take place in Boston, Massachusetts, in accordance with the AAA rules then in effect, and judgment upon any award rendered in such arbitration will be binding and may be entered in any court having jurisdiction thereof. There shall be limited discovery prior to the arbitration hearing as follows: (a) exchange of witness lists and copies of documentary evidence and documents relating to or arising out of the issues to be arbitrated, (b) depositions of all party witnesses, and (c) such other depositions as may be allowed by the arbitrators upon a showing of good cause. Depositions shall be conducted in accordance with the Massachusetts Code of Civil Procedure, the arbitrator shall be required to provide in writing to the parties the basis for the award or order of such arbitrator, and a court reporter shall record all hearings, with such record constituting the official transcript of such proceedings.

 

27


The prevailing party shall be entitled to reasonable attorney’s fees, costs, and necessary disbursements in addition to any other relief to which such party may be entitled. Each of the parties to this Agreement consents to personal jurisdiction for any equitable action sought in the U.S. District Court for the District of Massachusetts or any court of the Commonwealth of Massachusetts having subject matter jurisdiction.

[Remainder of Page Intentionally Left Blank]

 

28


IN WITNESS WHEREOF, the parties have executed this Amended and Restated Investors’ Rights Agreement as of the date first written above.

 

COMPANY:
MAZE THERAPEUTICS, INC.
By:   /s/ Jason Coloma
Name:   Jason Coloma
Title:   Chief Executive Officer

 

[Signature Page to Amended and Restated Investors’ Rights Agreement]


IN WITNESS WHEREOF, the parties have executed this Amended and Restated Investors’ Rights Agreement as of the date first written above.

 

INVESTOR:
FRAZIER LIFE SCIENCES PUBLIC FUND, L.P.
By: FHMLSP, L.P.

Its general partner

By: FHMLSP, L.L.C.

Its general partner
By:   /s/ James Brush
Name:   Jamie Brush
Title:   Managing Director
FRAZIER LIFE SCIENCES OVERAGE FUND, L.P.

By: FHMLSP Overage, L.P.

Its general partner

By: FHMLSP Overage, L.L.C.

Its general partner

By:   /s/ James Brush
Name:   Jamie Brush
Title:   Managing Director

 

[Signature Page to Amended and Restated Investors’ Rights Agreement]


IN WITNESS WHEREOF, the parties have executed this Amended and Restated Investors’ Rights Agreement as of the date first written above.

 

INVESTOR:
DEEP TRACK BIOTECHNOLOGY MASTER FUND, LTD.
By:   /s/ Nir Messafi
Name:   Nir Messafi
Title:   Authorized Person

 

[Signature Page to Amended and Restated Investors’ Rights Agreement]


IN WITNESS WHEREOF, the parties have executed this Amended and Restated Investors’ Rights Agreement as of the date first written above.

 

INVESTOR:
JANUS HENDERSON BIOTECH INNOVATION MASTER FUND LIMITED
By: Janus Henderson Investors US LLC, its investment advisor
By:   /s/ Andrew Acker
Name:   Andrew Acker
Title:   Authorized Signatory

 

[Signature Page to Amended and Restated Investors’ Rights Agreement]


IN WITNESS WHEREOF, the parties have executed this Amended and Restated Investors’ Rights Agreement as of the date first written above.

 

INVESTOR:

LOGOS OPPORTUNITIES FUND IV LP

By its General Partner,

Logos Opportunities IV GP LLC
By:   /s/ Arsani William
Name:   Arsani William
Title:   Managing Member
By:   /s/ Graham Walmsley
Name:   Graham Walmsley
Title:   Managing Member

 

[Signature Page to Amended and Restated Investors’ Rights Agreement]


IN WITNESS WHEREOF, the parties have executed this Amended and Restated Investors’ Rights Agreement as of the date first written above.

 

INVESTOR:
ALEXANDRIA VENTURE INVESTMENTS, LLC, a Delaware limited liability company
By: Alexandria Real Estate Equities, Inc., a Maryland corporation
Its: Managing Member
By:   /s/ Aaron Jacobson
Name:   Aaron Jacobson
Title:   SVP – Venture Counsel

 

[Signature Page to Amended and Restated Investors’ Rights Agreement]


IN WITNESS WHEREOF, the parties have executed this Amended and Restated Investors’ Rights Agreement as of the date first written above.

 

INVESTOR:
ANDREESSEN HOROWITZ LSV FUND II, L.P. for itself and as nominee for
Andreessen Horowitz LSV Fund II-B, L.P. and Andreessen Horowitz LSV Fund II-Q, L.P.

By: AH Equity Partners LSV II, L.L.C.

Its: General Partner

By:   /s/ Andy Hill
Name:   Andy Hill
Title:   General Counsel, Venture/Growth

 

[Signature Page to Amended and Restated Investors’ Rights Agreement]


IN WITNESS WHEREOF, the parties have executed this Amended and Restated Investors’ Rights Agreement as of the date first written above.

 

INVESTOR:
ARCH VENTURE FUND X, L.P.

By: ARCH Venture Partners X, L.P.

Its: General Partner

By: ARCH Venture Partners X, LLC

Its: General Partner

By:   /s/ Mark McDonnell
Name:   Mark McDonnell
Title:   Managing Director
ARCH VENTURE FUND X OVERAGE, L.P.
By: ARCH Venture Partners X Overage, L.P.
Its: General Partner

By: ARCH Venture Partners X, LLC

Its: General Partner

By:   /s/ Mark McDonnell

Name:

Title:

 

Mark McDonnell

Managing Director

 

[Signature Page to Amended and Restated Investors’ Rights Agreement]


IN WITNESS WHEREOF, the parties have executed this Amended and Restated Investors’ Rights Agreement as of the date first written above.

 

INVESTOR:
CASDIN PRIVATE GROWTH EQUITY FUND II, L.P.
By: Casdin Private Growth Equity Fund II GP, LLC, its General Partner
By:   /s/ Steven Giordano
Name:   Steven Giordano
Title:   General Counsel
CASDIN PARTNERS MASTER FUND, LP

By: Casdin Partners GP, LLC

Its: General Partner

By:   /s/ Steven Giordano
Name:   Steven Giordano
Title:   General Counsel
CASDIN PRIVATE GROWTH EQUITY FUND, L.P.

By: Casdin Private Growth Equity Fund GP, LLC

Its: General Partner

By:   /s/ Steven Giordano
Name:   Steven Giordano
Title:   General Counsel

 

[Signature Page to Amended and Restated Investors’ Rights Agreement]


IN WITNESS WHEREOF, the parties have executed this Amended and Restated Investors’ Rights Agreement as of the date first written above.

 

INVESTOR:
CHARLES HOMCY REVOCABLE TRUST UA 11/4/1998
By:   /s/ Charles Homcy
Name:   Charles Homcy
Title:   Trustee
CHARLES HOMCY
/s/ Charles Homcy

 

 

[Signature Page to Amended and Restated Investors’ Rights Agreement]


IN WITNESS WHEREOF, the parties have executed this Amended and Restated Investors’ Rights Agreement as of the date first written above.

 

INVESTOR:
FORESITE CAPITAL FUND IV, L.P.

By: Foresite Capital Management IV, LLC

Its: General Partner

By:   /s/ Dennis Ryan
Name:   Dennis D. Ryan
Title:   Chief Financial Officer
FORESITE CAPITAL FUND V, L.P.

By: Foresite Capital Management V, LLC

Its: General Partner

By:   /s/ Dennis Ryan
Name:   Dennis D. Ryan
Title:   Chief Financial Officer

 

[Signature Page to Amended and Restated Investors’ Rights Agreement]


IN WITNESS WHEREOF, the parties have executed this Amended and Restated Investors’ Rights Agreement as of the date first written above.

 

INVESTOR:
GV 2019, L.P.

By: GV 2019 GP, L.P., its General Partner

By: GV 2019 GP, L.L.C., its General Partner

By:   /s/ Inga Goldbard
Name:   Inga Goldbard
Title:   General Counsel
GV 2023, L.P.

By: GV 2023 GP, L.P., its General Partner

By: GV 2023 GP, L.L.C., its General Partner

By:   /s/ Inga Goldbard
Name:   Inga Goldbard
Title:   General Counsel

 

 

[Signature Page to Amended and Restated Investors’ Rights Agreement]


IN WITNESS WHEREOF, the parties have executed this Amended and Restated Investors’ Rights Agreement as of the date first written above.

 

INVESTOR:
HARVARD MANAGEMENT PRIVATE EQUITY CORPORATION
By:  

/s/ Kathryn Murtagh

Name:   Kathryn Murtagh
Title:   Authorized Signatory
By:  

/s/ Richard Slocum

Name:   Richard Slocum
Title:   Authorized Signatory

 

[Signature Page to Amended and Restated Investors’ Rights Agreement]


IN WITNESS WHEREOF, the parties have executed this Amended and Restated Investors’ Rights Agreement as of the date first written above.

 

INVESTOR:
JASON COLOMA

/s/ Jason Coloma

 

[Signature Page to Amended and Restated Investors’ Rights Agreement]


IN WITNESS WHEREOF, the parties have executed this Amended and Restated Investors’ Rights Agreement as of the date first written above.

 

INVESTOR:
MATRIX CAPITAL MANAGEMENT MASTER FUND, LP
By:  

/s/ David Goel

Name:   David Goel
Title:   Managing General Partner

 

[Signature Page to Amended and Restated Investors’ Rights Agreement]


IN WITNESS WHEREOF, the parties have executed this Amended and Restated Investors’ Rights Agreement as of the date first written above.

 

INVESTOR:
PH INVESTMENTS, LLC
By:  

/s/ Melinda E. Barber

Name:   Melinda E. Barber
Title:   Managing Director

 

[Signature Page to Amended and Restated Investors’ Rights Agreement]


IN WITNESS WHEREOF, the parties have executed this Amended and Restated Investors’ Rights Agreement as of the date first written above.

 

INVESTOR:
PIPER HEARTLAND HEALTHCARE CROSSOVER FUND I, L.P.
By: PIPER HEARTLAND HEALTHCARE
CAPITAL MANAGEMENT LLC, its general partner
By:   /s/ Matthew S. Hemsley
Name:   Matthew S. Hemsley
Title:   Chief Executive Officer

 

[Signature Page to Amended and Restated Investors’ Rights Agreement]


IN WITNESS WHEREOF, the parties have executed this Amended and Restated Investors’ Rights Agreement as of the date first written above.

 

INVESTOR:
SCUBED CAPITAL, LLC
By:  

/s/ Mark Stevens

Name:   Mark Stevens
Title:   Managing Partner

 

[Signature Page to Amended and Restated Investors’ Rights Agreement]


IN WITNESS WHEREOF, the parties have executed this Amended and Restated Investors’ Rights Agreement as of the date first written above.

 

INVESTOR:
THIRD ROCK VENTURES IV, L.P.
By: Third Rock Ventures GP IV, L.P., its general partner
By: TRV GP IV, LLC, its general partner
By:  

/s/ Kevin Gillis

Name:   Kevin Gillis
Title:   Partner and Chief Operating Officer
THIRD ROCK VENTURES V, L.P.
By: Third Rock Ventures GP V, L.P., its general partner
By: TRV GP V, LLC, its general partner
By:  

/s/ Kevin Gillis

Name:   Kevin Gillis
Title:   Partner and Chief Operating Officer

 

[Signature Page to Amended and Restated Investors’ Rights Agreement]


IN WITNESS WHEREOF, the parties have executed this Amended and Restated Investors’ Rights Agreement as of the date first written above.

 

INVESTOR:
WOODLINE MASTER FUND LP

By: Woodline Partner LP

Its: Manager

By:  

/s/ Erin Mullen

Name:   Erin Mullen
Title:   Authorized Signatory

 

[Signature Page to Amended and Restated Investors’ Rights Agreement]


SCHEDULE A

 

Name and Contact of Investors

 

Matrix Capital Management Master Fund, LP

1000 Winter Street, Suite #4500

Waltham, MA 02451

Attn: David Goel

 

THIRD ROCK VENTURES IV, L.P.

29 Newbury Street; 3rd

Floor Boston, MA 02116

Phone: (617) 585-2000

Fax: (617) 859-2891

 

ARCH Venture Fund X, L.P.

8755 W. Higgins Road, Suite 1025

Chicago, IL 60631

Attn: Mark McDonnell

 

ARCH Venture Fund X Overage, L.P.

8755 W. Higgins Road, Suite 1025

Chicago, IL 60631

Attn: Mark McDonnell

 

Alexandria Venture Investments, LLC

385 E. Colorado Blvd., Suite 299

Pasadena, CA 91101

 

PH Investments, LLC

Pilot House, Lewis Wharf

Boston, MA 02110

Attention: Ben Gomez; John Vander Vort;

April Robinson

Email: Ben.Gomez@pilothouse.com

John.VanderVort@pilothouse.com

April.Robinson@pilothouse.com

Mindy.Barber@pilothouse.com

Copy to: IR@pilothouse.com

 

Schedule A – Page 1


Name and Contact of Investors

 

SCubed Capital, LLC

2061 Avy Avenue

Menlo Park, CA 94025

Attention: Mark Stevens, mark@scubedcap.com

Margo Doyle, margo@scubedcap.com

 

Copy to: finance@scubedcap.com

 

Sobrato Capital,

a DBA of Sobrato Family Holdings, LLC,

a California limited liability company

Sobrato Family Holdings, LLC

10600 N. De Anza Blvd., Suite 200

Cupertino, CA 95014

Phone: 408-446-0700

Attn: Matt Sonsini and Albert Chiang

Email: investments@sobrato.com

 

Harvard Management Private Equity Corporation

Harvard Management Private Equity Corporation

600 Atlantic Avenue

Boston, MA 02210

Attn: Elise McDonald and Emily Carroll

Email: mcdonald@hmc.harvard.edu

carrolle@hmc.harvard.edu

 

Portland Investment – EP, LLC

101 Merrimac St., 8th Floor

Boston, MA 02114

Attn: Kate Kamm, Portfolio Manager

Email: KKamm@partnersinvest.org

With a copy to: pephs@partnersinvest.org

 

Portland Investment – PIA, LLC

101 Merrimac St., 8th Floor

Boston, MA 02114

Attn: Kate Kamm, Portfolio Manager

Email: KKamm@partnersinvest.org

With a copy to: pephs@partnersinvest.org

 

Fifth Avenue Private Equity 14 LLC

Bessemer Trust Company, N.A.

630 Fifth Avenue

New York, NY 10111

PrivateEquity@bessemer.com

 

Schedule A – Page 2


Name and Contact of Investors

 

GV 2019, L.P.

Attn: GV Legal Department

1600 Amphitheatre Parkway

Mountain View, CA 94043

Email: notice@gv.com

 

Foresite Capital Fund IV, L.P.

600 Montgomery Street, 45th Floor

San Francisco, CA 94111

 

Casdin Partners Master Fund, L.P.

1350 Avenue of the Americas, Suite 2600

New York, NY 10019

 

HH SUM-IX Holdings Limited

Floor 27, Building B, PingAn International Financial Center

Chaoyang, Beijing 100027, PRC

Attention: Michael Yi

Phone: 8610 5952 0888

Fax: 8610 5952 0882

Email: myi@hillhousecap.com

cc: legal@hillhousecap.com

 

City Hill, LLC

4653 Carmel Mountain Road

#308-501

San Diego, CA 92130

 

Third Rock Ventures V, L.P.

29 Newbury Street, 3rd Floor

Boston, MA 02116

 

Beale Holdings, LLC

199 Fremont Street

San Francisco, CA 94105

 

Venture Capital Portfolio 2020 LP

394 Pacific Avenue, Floor 2

San Francisco, CA 94111

 

The Washington University

101 South Hanley, Suite 1800

St. Louis, MO 63105

 

Schedule A – Page 3


Name and Contact of Investors

 

Woodline Master Fund LP

4 Embarcadero Center, Suite 3450

San Francisco, CA 94111

 

Schroder Adveq Technology IX S.C.S.

6C, rue Gabriel Lippman

L-5365 Munsbach

Grand Duchy of Luxembourg

 

Namsan I L.P.

50 Lothian Road

Festival Square

Edinburgh EH3 9WJ

Scotland

 

Driehaus Life Sciences Master Fund, L.P.

Driehaus Capital Management

c/o general counsel

25 E. Erie

Chicago, IL 60611

 

Moore Strategic Ventures, LLC

11 Times Square, 38th Floor

New York, NY 10036

 

General Catalyst Group XI - Endurance, L.P.

20 University Road, Suite 450

Cambridge, MA 02138

 

Andreessen Horowitz LSV Fund II, L.P.

for itself and as nominee for

Andreessen Horowitz LSV Fund II-B, L.P. and

Andreessen Horowitz LSV Fund II-Q, L.P.

2865 Sand Hill Road, Suite 101

Menlo Park, CA 94025

 

Global Bio Growth Fund III

c/o NS Investment Co., Ltd.

Suite 203, 50 Seosomunno 11gil, Junggu, Seoul,

Republic of Korea 04515

 

Schedule A – Page 4


Name and Contact of Investors

 

Piper Heartland Healthcare Crossover Fund I, L.P.

800 Nicollet Mall

Minneapolis, MN 55402

 

Charles Homcy

14101 Old River Road

Hopland, CA 95449

 

Tengfei 2017 Trust

769 Boulevard East

Weehawken, NJ 07086

 

Frazier Life Sciences Public Fund, L.P.

1001 Page Mill Rd.

Building 4, Suite B

Palo Alto, CA 94304

 

Frazier Life Sciences Public Overage Fund, L.P.

1001 Page Mill Rd.

Building 4, Suite B

Palo Alto, CA 94304

 

Deep Track Biotechnology Master Fund, Ltd.

200 Greenwich Avenue, 3rd Floor

Greenwich, CT 06830

 

Janus Henderson Biotech Innovation Master Fund Limited

c/o Janus Henderson Investors US LLC

151 Detroit Street

Denver, CO 80206

Attn: Andy Acker

Attn: Angela Morton

Email: Andy.Acker@JanusHenderson.com; Angela.Morton@JanusHenderson.com

 

Logos Opportunities Fund IV LP

1 Letterman Drive

Building C, Suite C3-350

San Francisco, CA 94129

 

Schedule A – Page 5

EX-10.1

Exhibit 10.1

FORM OF INDEMNITY AGREEMENT

This Indemnity Agreement, dated as of       , 2024 is made by and between Maze Therapeutics, Inc., a Delaware corporation (the “Company”), and        , a director, officer or key employee of the Company or one of the Company’s Subsidiaries or Affiliates (as those terms are defined below) or other service provider who satisfies the definition of Indemnifiable Person set forth below (“Indemnitee”).

RECITALS

A. The Company is aware that competent and experienced persons are increasingly reluctant to serve as representatives of corporations unless they are protected by comprehensive liability insurance and indemnification, due to increased exposure to litigation costs and risks resulting from their service to such corporations, and due to the fact that the exposure frequently bears no relationship to the compensation of such representatives;

B. The members of the Board of Directors of the Company (the “Board”) have concluded that to retain and attract talented and experienced individuals to serve as representatives of the Company and its Subsidiaries and Affiliates and to encourage such individuals to take the business risks necessary for the success of the Company and its Subsidiaries and Affiliates, it is necessary for the Company to contractually indemnify certain of its representatives and the representatives of its Subsidiaries and Affiliates, and to assume for itself maximum liability for Expenses and Other Liabilities (as those terms are defined below) in connection with claims against such representatives in connection with their service to the Company and its Subsidiaries and Affiliates;

C. Section 145 of the Delaware General Corporation Law (“Section 145”), empowers the Company to indemnify by agreement its officers, directors, employees and agents, and persons who serve, at the request of the Company, as directors, officers, employees or agents of other corporations, partnerships, joint ventures, trusts or other enterprises. The Restated Bylaws of the Company (the “Bylaws”) require indemnification of the directors and officers of the Company subject to specific terms and conditions. Indemnitee may also be entitled to indemnification pursuant to Section 145. The Bylaws and Section 145 expressly provide that the indemnification pursuant thereto is not exclusive and contemplate that contracts may be entered into between the Company and members of the Board, officers, and other persons with respect to indemnification;

D. This Agreement is a supplement to and in furtherance of the Bylaws and any resolutions adopted pursuant thereto, as well as any rights of Indemnitees under the Delaware General Corporation Law (the “DGCL”) or any directors and officers liability insurance policy or other applicable insurance policies, and this Agreement shall not be deemed a substitute therefor, nor to diminish or abrogate any rights of Indemnitee thereunder; and

E. The Company desires and has requested Indemnitee to serve or continue to serve as a representative of the Company and/or the Subsidiaries or Affiliates of the Company free from undue concern about inappropriate claims for damages arising out of or related to such services to the Company and/or the Subsidiaries or Affiliates of the Company.


AGREEMENT

NOW, THEREFORE, the parties hereto, intending to be legally bound, hereby agree as follows:

1. Definitions.

(a) Affiliate. For purposes of this Agreement, “Affiliate” of the Company means any corporation, partnership, limited liability company, joint venture, trust or other enterprise or non-profit entity in respect of which Indemnitee is or was or will be serving as a director, officer, trustee, manager, member, partner, employee, agent, attorney, consultant, member of the entity’s governing body (whether constituted as a board of directors, board of managers, general partner or otherwise), fiduciary, or in any other similar capacity at the request, election or direction of the Company, and including, but not limited to, any employee benefit plan of the Company or a Subsidiary or Affiliate of the Company.

(b) Change in Control. For purposes of this Agreement, “Change in Control” means any event or circumstance where (i) any “person” (as such term is used in Sections 13(d) and 14(d) of the Securities Exchange Act of 1934, as amended (the “Exchange Act”)), other than a Subsidiary or a trustee or other fiduciary holding securities under an employee benefit plan of the Company or Subsidiary, is or becomes the “Beneficial Owner” (as defined in Rule 13d-3 under the Exchange Act), directly or indirectly, of securities of the Company representing 50% or more of the total voting power represented by the Company’s then outstanding capital stock, (ii) during any period of two consecutive years (not including any period prior to the execution of this Agreement), individuals who at the beginning of such period constitute the Board and any new director (other than a director designated by a person who has entered into an agreement with the Company to effect a transaction described in Sections 1(b)(i), 1(b)(iii) or 1(b)(iv)) whose election by the Board or nomination for election by the Company’s stockholders was approved by a vote of at least two-thirds (2/3) of the directors then still in office who either were directors at the beginning of the period or whose election or nomination for election was previously so approved, cease for any reason to constitute a majority of the Board, (iii) the stockholders of the Company approve a merger or consolidation of the Company with any other corporation, other than a merger or consolidation that would result in the outstanding capital stock of the Company outstanding immediately prior thereto continuing to represent (either by remaining outstanding or by being converted into capital stock of the surviving entity) at least 50% of the total voting power represented by the capital stock of the Company or such surviving entity outstanding immediately after such merger or consolidation, or (iv) the stockholders of the Company approve a plan of liquidation of the Company or an agreement for the sale or disposition by the Company (in one transaction or a series of transactions) of all or substantially all of the Company’s assets.

(c) Expenses. For purposes of this Agreement, “Expenses” means all reasonable and reasonably documented direct and indirect costs of any type or nature whatsoever (including, without limitation, all attorneys’ fees and related disbursements, and

 

2


other out-of-pocket costs) actually paid or incurred by Indemnitee in connection with the investigation, defense or appeal of, or being a witness or otherwise involved in (i) a Proceeding (as defined below), or establishing or enforcing a right to indemnification under this Agreement, Section 145 or otherwise; provided, however, that Expenses shall not include any judgments, fines, taxes (including ERISA or other benefit plan related excise taxes or penalties) or amounts paid in settlement of a Proceeding; (ii) any appeal resulting from any Proceeding, including without limitation the premium, security for, and other costs relating to any cost bond, supersedeas bond, or other appeal bond or its equivalent; or (iii) recovery under any directors and officers liability insurance policies or other applicable insurance policies maintained by the Company, regardless of whether Indemnitee is ultimately determined to be entitled to such indemnification, advancement of Expenses or insurance recovery, as the case may be.

(d) Indemnifiable Event. For purposes of this Agreement, “Indemnifiable Event” means any event or occurrence related to Indemnitee’s service for the Company or any Subsidiary or Affiliate as an Indemnifiable Person (as defined below), or by reason of anything done or not done, or any act or omission, by Indemnitee in any such capacity.

(e) Indemnifiable Person. For the purposes of this Agreement, “Indemnifiable Person” means any person who is or was a director, officer, trustee, manager, member, partner, employee, attorney, consultant, member of an entity’s governing body (whether constituted as a board of directors, board of managers, general partner or otherwise) or other agent or fiduciary of the Company or a Subsidiary or Affiliate of the Company.

(f) Independent Counsel. For purposes of this Agreement, “Independent Counsel” means legal counsel (i) who has not performed services for the Company or Indemnitee in the five years preceding the time in question and who would not, under applicable standards of professional conduct, have a conflict of interest in representing either the Company or Indemnitee, and (ii) is selected by Indemnitee and approved by the Board, which approval may not be unreasonably withheld, delayed or conditioned.

(g) Independent Director. For purposes of this Agreement, “Independent Director” means a member of the Board who is not a party to the Proceeding for which a claim for advancement or indemnification is made under this Agreement.

(h) Other Liabilities. For purposes of this Agreement, “Other Liabilities” means any and all liabilities of any type whatsoever, including, but not limited to, judgments, fines, penalties, taxes (including excise taxes or penalties related to ERISA or other benefit plans), and amounts paid in settlement, and all interest, taxes, assessments and other charges paid or payable in connection with or in respect of any such judgments, fines, or penalties or amounts paid in settlement.

(i) Proceeding. For the purposes of this Agreement, “Proceeding” means any threatened, pending, or completed action, suit, claim or other proceeding, whether civil, criminal, administrative, investigative, legislative or any other type whatsoever, preliminary, informal or formal, including any arbitration or other alternative dispute resolution and including any appeal of any of the foregoing.

 

3


(j) Subsidiary. For purposes of this Agreement, “Subsidiary” means any entity of which more than 50% of the outstanding voting securities is owned directly or indirectly by the Company.

2. Agreement to Serve. The Indemnitee agrees to serve and/or continue to serve as an Indemnifiable Person in the capacity or capacities in which Indemnitee currently serves the Company as an Indemnifiable Person, and any additional capacity or capacities in which Indemnitee may agree to serve, until such time as Indemnitee’s service in a particular capacity shall end according to the terms of an agreement, the Company’s Restated Certificate of Incorporation (the “Certificate of Incorporation”) or Bylaws, governing law, or otherwise. Nothing contained in this Agreement is intended to create any right to continued employment or other form of service for the Company or a Subsidiary or Affiliate of the Company by Indemnitee.

3. Mandatory Indemnification.

(a) Agreement to Indemnify. In the event Indemnitee is a person who was or is a party to or witness in or is threatened to be made a party to or witness in any Proceeding by reason of an Indemnifiable Event, the Company shall indemnify Indemnitee from and against any and all Expenses and Other Liabilities incurred by Indemnitee in connection with (including in preparation for) such Proceeding to the fullest extent permitted by the DGCL, as the same may be amended from time to time (but only to the extent that such amendment permits the Company to provide broader indemnification rights than the DGCL permitted prior to the adoption of such amendment), provided that such indemnification is subject to the exclusions set forth in Section 9 below. The parties hereto intend that this Agreement shall provide to the fullest extent permitted by law for indemnification in excess of that expressly permitted by statute, including, without limitation, any indemnification provided by the Certificate of Incorporation, the Bylaws, vote of the Company’s stockholders or disinterested directors or applicable law.

(b) Company Obligations Primary. The Company hereby acknowledges that Indemnitee may have rights to advancement and/or indemnification for Expenses and Other Liabilities provided by a venture capital firm or other sponsoring organization (“Other Indemnitor”). The Company agrees with Indemnitee that the Company is the indemnitor of first resort of Indemnitee with respect to matters for which advancement and/or indemnification is provided under this Agreement and that the Company will be obligated to make all payments due to or for the benefit of Indemnitee under this Agreement without regard to any rights that Indemnitee may have against the Other Indemnitor. To the extent not in contravention of any insurance policy purchased by the Company, Subsidiary or Affiliate, the Company hereby waives any equitable rights to contribution or indemnification from the Other Indemnitor in respect of any amounts paid to Indemnitee hereunder. The Company further agrees that no reimbursement of Other Liabilities or payment of Expenses by the Other Indemnitor to or for the benefit of Indemnitee shall affect the obligations of the Company hereunder, and that the Company shall be obligated to repay the Other Indemnitor for all amounts so paid or reimbursed to the extent that the Company has an obligation to pay Indemnitee for such Expenses or Other Liabilities hereunder.

 

4


4. Partial Indemnification. If Indemnitee is entitled under any provision of this Agreement to indemnification by the Company for some or a portion of any Expenses or Other Liabilities but not entitled, however, to indemnification for the total amount of such Expenses or Other Liabilities, the Company shall nevertheless indemnify Indemnitee for such total amount except as to the portion thereof for which indemnification is prohibited by this Agreement or the DGCL. In any review, process and/or Proceeding to determine the extent of indemnification to which Indemnitee is entitled, the Company shall bear the burden to establish, by clear and convincing evidence, the lack of a successful resolution of a particular claim, issue or matter and which amounts sought in indemnity are allocable to claims, issues or matters that were not successfully resolved.

5. Liability Insurance. So long as Indemnitee shall continue to serve the Company or a Subsidiary or Affiliate of the Company as an Indemnifiable Person and thereafter so long as Indemnitee shall be subject to any possible claim or threatened, pending or completed Proceeding as a result of an Indemnifiable Event, the Company shall use reasonable efforts to maintain in full force and effect for the benefit of Indemnitee as an insured (i) directors and officers liability insurance issued by one or more reputable insurers and having the policy amount and deductible deemed appropriate by the Board and providing in all respects coverage at least comparable to and in the same amount as that provided to the Chairman of the Board or the Chief Executive Officer of the Company, and (ii) any renewal, replacement or substitute directors and officers liability insurance policies issued by one or more reputable insurers providing in all respects coverage at least comparable to and in the same amount as that being provided to the Chairman of the Board or the Chief Executive Officer of the Company. The purchase, establishment and maintenance of any such insurance or other arrangements shall not in any way limit or affect the rights and obligations of the Company or of Indemnitee under this Agreement except as expressly provided herein, and the execution and delivery of this Agreement by the Company and Indemnitee shall not in any way limit or affect the rights and obligations of the Company or the other party or parties thereto under any such insurance or other arrangement. In the event of a Change in Control subsequent to the date of this Agreement, or the Company’s becoming insolvent (including but not limited to being placed into receivership, an assignment for the benefit of creditors, or entering the federal bankruptcy process), the Company shall use reasonable efforts to maintain in force any and all insurance policies then maintained by the Company for the purpose of providing coverage to the Company’s officers or directors (including but not limited to directors and officers liability, fiduciary and employment practices insurance) for a fixed period of no less than six years thereafter. Such coverage shall be non-cancelable and shall be placed and serviced by the Company’s incumbent insurance broker or a broker selected by a majority of the non-management members of the Board.

6. Mandatory Advancement of Expenses. If requested by Indemnitee, the Company shall advance, to the fullest extent permitted by law, prior to the final disposition of the Proceeding, all Expenses incurred by Indemnitee in connection with (including in preparation for) a Proceeding not initiated by Indemnitee (and any Proceeding initiated by Indemnitee to the extent such Proceeding is initiated by Indemnitee in accordance with clauses (i)-(iii) of Section

 

5


9(a) of this Agreement) related to an Indemnifiable Event within (30) days after the receipt by the Company of a statement or statements from Indemnitee requesting such advance or advances from time to time, whether prior to or after final disposition of such Proceeding. Such statement or statements shall reasonably evidence the Expenses incurred by Indemnitee. The right to advances under this Section shall in all events continue until final disposition of any Proceeding, including any appeal therefrom and/or a final adjudication not subject to further appeal. Indemnitee hereby undertakes to repay such amounts advanced if, and only if and to the extent that, it shall ultimately be determined that Indemnitee is not entitled to be indemnified by the Company and no additional form of undertaking with respect to such obligation to repay shall be required. Indemnitee’s undertaking to repay any Expenses advanced to Indemnitee hereunder shall be unsecured and shall not be subject to the accrual or payment of any interest thereon. This Section 6 shall not apply to any request for advancement of Expenses made by Indemnitee for which such advancement of Expenses is excluded pursuant to Section 9 of this Agreement.

7. Notice and Other Indemnification Procedures.

(a) Notification. Promptly after receipt by Indemnitee of notice of the commencement of or the threat of commencement of any Proceeding, unless the Company is a named co-defendant with Indemnitee (or the Company is the recipient of such threat), Indemnitee shall, if Indemnitee believes the advancement of Expenses or the indemnification of Other Liabilities with respect thereto may be sought from the Company under this Agreement, notify the Company in writing of the commencement or threat of commencement thereof. The written notification to the Company shall include, in reasonable detail, a description of the nature of and facts related to the Proceeding. However, a failure by Indemnitee to notify the Company promptly following Indemnitee’s receipt of such notice shall not relieve the Company from any liability that it may have to Indemnitee except to the extent that the Company is materially prejudiced in its defense of such Proceeding as a result of such failure, provided, however, that the Company shall have the burden to prove the existence of such material prejudice by clear and convincing evidence.

(b) Insurance Notice and Other Matters. If, at the time of the receipt of a notice of the commencement of a Proceeding pursuant to Section 7(a) above, the Company has director and officer liability insurance and/or any other type of insurance that might provide coverage to Indemnitee in effect, the Company shall give prompt notice of the commencement of such Proceeding on behalf of Indemnitee to the insurers in accordance with the procedures set forth in the respective policies. The Company shall thereafter take all commercially reasonable action to cause such insurers to pay, on behalf of Indemnitee, all amounts payable as a result of such Proceeding in accordance with the terms of such insurance policies. In addition, the Company will instruct the insurers and the Company’s insurance broker that they may communicate directly with Indemnitee regarding such Proceeding.

(c) Assumption of Defense. In the event the Company shall be obligated to advance Expenses for any Proceeding against Indemnitee, the Company, if deemed appropriate by the Company, shall be entitled to assume the defense of such Proceeding as provided herein. Such defense by the Company may include the representation of two or more parties by one attorney or law firm as permitted under the ethical rules and legal requirements related to joint representations. Following delivery of written notice to Indemnitee of the Company’s election

 

6


to assume the defense of such Proceeding, the approval by Indemnitee (which approval shall not be unreasonably withheld, delayed or conditioned) of counsel designated by the Company, and the retention of such counsel by the Company, the Company will not be liable to Indemnitee under this Agreement for any fees and expenses of counsel subsequently incurred by Indemnitee with respect to the same Proceeding. If (i) the employment of separate counsel by Indemnitee has been previously authorized by the Company, (ii) Indemnitee shall have notified the Board in writing that Indemnitee or separate counsel for Indemnitee has reasonably concluded that there may be a conflict of interest between the Company and Indemnitee in the conduct of any such defense, (iii) the Company fails to employ counsel to assume the defense of such Proceeding, or (iv) after a Change in Control, the employment of counsel by Indemnitee has been approved by Independent Counsel, the Expenses related to work conducted by Indemnitee’s counsel shall be subject to indemnification and/or advancement pursuant to the terms of this Agreement. Indemnitee agrees that any such separate counsel retained by Indemnitee will be a member of any approved list of panel counsel under the Company’s applicable insurance policies, should the applicable policies provide for a panel of approved counsel. Nothing herein shall prevent Indemnitee from employing counsel for any Proceeding at Indemnitee’s own expense.

(d) Settlement. The Company shall not be liable to indemnify Indemnitee under this Agreement or otherwise for any amounts paid in settlement of any Proceeding effected without the Company’s written consent; provided, however, that if a Change in Control has occurred subsequent to the date of this Agreement, the Company shall be liable for indemnification of Indemnitee for amounts paid in settlement if Independent Counsel has approved the settlement. Neither the Company nor any Subsidiary or Affiliate shall enter into a settlement of any Proceeding that might result in the imposition of any Expense, Other Liability, penalty, limitation or detriment on Indemnitee, whether indemnifiable under this Agreement or otherwise, without Indemnitee’s written consent. Neither the Company nor Indemnitee shall unreasonably withhold, delay or condition consent from any settlement of any Proceeding. The Company shall promptly notify Indemnitee upon the Company’s receipt of an offer to settle, or if the Company makes an offer to settle, any Proceeding, and provide Indemnitee with a reasonable amount of time to consider such settlement, in the case of any such settlement for which the consent of Indemnitee would be required hereunder. The Company shall not settle any part of any Proceeding to which Indemnitee is a party with respect to other parties (including the Company) without the written consent of Indemnitee if any portion of the settlement is to be funded from insurance proceeds paid from an insurance policy or policies providing coverage to Indemnitee unless approved by a majority of the Independent Directors, provided that this sentence shall cease to be of any force and effect if it has been determined in accordance with this Agreement that Indemnitee is not entitled to indemnification hereunder with respect to such Proceeding or if the Company’s obligations hereunder to Indemnitee with respect to such Proceeding have been fully discharged.

8. Determination of Right to Indemnification.

(a) Success on the Merits or Otherwise. To the extent that Indemnitee has been successful on the merits or otherwise in the defense of any Proceeding referred to in Section 3(a) above or in the defense of any claim, issue or matter described therein, the Company shall indemnify Indemnitee against Expenses incurred in connection therewith.

 

7


(b) Indemnification in Other Situations. In the event that Section 8(a) is inapplicable, the Company shall also indemnify Indemnitee if Indemnitee has met the applicable standard of conduct for indemnification to the fullest extent permitted by law.

(c) Determination of Entitlement to Indemnification. Indemnitee shall be entitled to select the manner in which the determination of whether or not Indemnitee has met the applicable standard of conduct shall be decided, and such election will be made from among the following:

i. A majority of the Independent Directors even though less than a quorum;

ii. A committee of Independent Directors designated by a majority vote of Independent Directors, even though less than a quorum; or

iii. Independent Counsel, who shall make such determination in a written opinion.

If Indemnitee is an officer or a director of the Company at the time that Indemnitee is selecting the manner in which the determination of whether Indemnitee has met the applicable standard of conduct shall be decided, then Indemnitee shall not select Independent Counsel as the manner for the determination to be made unless (i) there are no Independent Directors, or (ii) a majority of the Independent Directors (even though less than a quorum) approve of the selection of Independent Counsel, which approval may not be unreasonably withheld, delayed or conditioned.

The party or parties selected in accordance with this Section 8(c) shall be referred to herein as the “Reviewing Party.” Notwithstanding the foregoing, following any Change in Control subsequent to the date of this Agreement, the Reviewing Party shall be Independent Counsel.

(d) Decision Timing. As soon as practicable, and in no event later than thirty (30) days after receipt by the Company of written notice of Indemnitee’s choice of the Reviewing Party pursuant to Section 8(c) above, the Company and Indemnitee shall each submit to the Reviewing Party such information as they believe is appropriate for the Reviewing Party to consider. The Reviewing Party shall arrive at its decision within a reasonable period of time following the receipt of all such information from the Company and Indemnitee, but in no event later than thirty (30) days following the receipt of all such information, provided that the time by which the Reviewing Party must reach a decision may be extended by mutual agreement of the Company and Indemnitee. All Expenses associated with the process set forth in this Section 8(d), including but not limited to the Expenses of the Reviewing Party, shall be paid by the Company.

(e) Delaware Court of Chancery. Notwithstanding a final determination by any Reviewing Party that Indemnitee is not entitled to indemnification with respect to a specific Proceeding, Indemnitee shall have the right to apply to the Delaware Court of Chancery, for the purpose of enforcing Indemnitee’s right to indemnification pursuant to this Agreement.

 

8


(f) Expenses. The Company shall indemnify Indemnitee against all Expenses incurred by Indemnitee in connection with any process, hearing or Proceeding under this Section 8 involving Indemnitee and against all Expenses incurred by Indemnitee in connection with any other Proceeding between the Company and Indemnitee involving the interpretation or enforcement of the rights of Indemnitee under this Agreement unless a court of competent jurisdiction finds that each of the material claims of Indemnitee in any such Proceeding was frivolous or made in bad faith.

(g) Determination of “Good Faith”. For purposes of any determination of whether Indemnitee acted in “good faith” or acted in “bad faith,” Indemnitee shall be deemed to have acted in good faith or not acted in bad faith if, in taking or failing to take the action in question, Indemnitee relied on the records or books of account of the Company or a Subsidiary or Affiliate, including financial statements, or on information, opinions, reports or statements provided to Indemnitee by the officers or other employees of the Company or a Subsidiary or Affiliate in the course of their duties, or on the advice of legal counsel for the Company or a Subsidiary or Affiliate, or on information or records given or reports made to the Company or a Subsidiary or Affiliate by an independent certified public accountant or by an appraiser or other expert selected by the Company or a Subsidiary or Affiliate, or by any other person (including legal counsel, accountants and financial advisors) as to matters Indemnitee reasonably believes are within such other person’s professional or expert competence and who has or have been selected with reasonable care by or on behalf of the Company or a Subsidiary or Affiliate. In connection with any determination as to whether Indemnitee is entitled to be indemnified hereunder, the Reviewing Party or court shall presume that Indemnitee has satisfied the applicable standard of conduct and is entitled to indemnification, and the burden of proof shall be on the Company to establish, by clear and convincing evidence, that Indemnitee is not so entitled. The provisions of this Section 8(g) shall not be deemed to be exclusive or to limit in any way the other circumstances in which Indemnitee may be deemed to have met the applicable standard of conduct set forth in this Agreement. In addition, the knowledge and/or actions, or failures to act, of any other person serving the Company or a Subsidiary or Affiliate as an Indemnifiable Person shall not be imputed to Indemnitee for purposes of determining the right to indemnification hereunder.

9. Exceptions. Any other provision herein to the contrary notwithstanding, Indemnitee’s rights to indemnification and/or advancement are subject to the following exceptions.

(a) Claims Initiated by Indemnitee. The Company shall not be obligated pursuant to the terms of this Agreement to indemnify or advance Expenses to Indemnitee with respect to Proceedings or claims initiated or brought voluntarily by Indemnitee and not by way of defense, except (i) with respect to Proceedings brought to establish or enforce a right to indemnification under this Agreement, any other statute or law, as permitted under Section 145, or otherwise, (ii) where the Board has consented to the initiation of such Proceeding, or (iii) with respect to Proceedings brought to discharge Indemnitee’s fiduciary responsibilities, whether under ERISA or otherwise, but such indemnification or advancement of Expenses may be provided by the Company in specific cases if the Board finds it to be appropriate.

 

9


(b) Actions Based on Federal Statutes Regarding Profit Recovery and Return of Bonus Payments. The Company shall not be obligated pursuant to the terms of this Agreement to indemnify Indemnitee on account of (i) any suit in which judgment is rendered against Indemnitee by a court of competent jurisdiction in a final adjudication not subject to further appeal for an accounting of profits made from the purchase or sale by Indemnitee of securities of the Company pursuant to the provisions of Section 16(b) of the Exchange Act and amendments thereto or similar provisions of any federal, state or local statutory law, (ii) any reimbursement paid to the Company by the Indemnitee of any bonus or other incentive-based or equity-based compensation or of any profits realized by the Indemnitee from the sale of securities of the Company, as required in each case under the Exchange Act, including but not limited to any such reimbursements that arise from an accounting restatement of the Company pursuant to Section 304 of the Sarbanes-Oxley Act of 2002 (the “Sarbanes-Oxley Act”), or the payment to the Company of profits arising from the purchase and sale by Indemnitee of securities in violation of Section 306 of the Sarbanes-Oxley Act; or (iii) any reimbursement of the Company by Indemnitee of any compensation pursuant to any compensation recoupment or clawback policy adopted by the Board or the compensation committee of the Board, including but not limited to any such policy adopted to comply with stock exchange listing requirements implementing Section 10D of the Exchange Act.

(c) Unlawful Indemnification. The Company shall not be obligated pursuant to the terms of this Agreement to indemnify Indemnitee for Other Liabilities if such indemnification is prohibited by law as determined by a court of competent jurisdiction in a final adjudication not subject to further appeal.

(d) Exception for Amounts Covered by Insurance and Other Sources. The Company shall not be obligated to advance or indemnify Indemnitee for Expenses or Other Liabilities of any type whatsoever, including, but not limited to judgments, fines, penalties, taxes (including excise taxes or penalties related to ERISA or other benefit plans) and amounts paid in settlement, to the extent such have been paid directly to Indemnitee (or paid directly to a third party on Indemnitee’s behalf) by any directors and officers liability insurance or other type of insurance maintained by the Company; provided, however, that payment made to Indemnitee pursuant to an insurance policy purchased and maintained by Indemnitee at his or her own expense of any amounts otherwise indemnifiable or obligated to be made pursuant to this Agreement shall not reduce the Company’s obligations to Indemnitee pursuant to this Agreement.

10. Non-exclusivity. The provisions for advancement of Expenses and indemnification of Other Liabilities set forth in this Agreement shall not be deemed exclusive of any other rights that Indemnitee may have under any provision of law, the Certificate of Incorporation or the Bylaws, the vote of the Company’s stockholders or disinterested directors, other agreements, or otherwise, both as to acts or omissions in his or her official capacity and to acts or omissions in another capacity while serving the Company or a Subsidiary or Affiliate as an Indemnifiable Person.

11. Severability. If any provision or provisions of this Agreement shall be held to be invalid, illegal or unenforceable for any reason whatsoever, (i) the validity, legality and enforceability of the remaining provisions of the Agreement (including, without limitation, all

 

10


portions of any paragraphs of this Agreement containing any such provision held to be invalid, illegal or unenforceable, that are not themselves invalid, illegal or unenforceable) shall not in any way be affected or impaired thereby, and (ii) to the fullest extent possible, the provisions of this Agreement (including, without limitation, all portions of any paragraphs of this Agreement containing any such provision held to be invalid, illegal or unenforceable, that are not themselves invalid, illegal or unenforceable) shall be construed so as to give effect to the intent manifested by the provision held invalid, illegal or unenforceable.

12. Entire Agreement; Supersession, Modification and Waiver. This Agreement constitutes the entire agreement between the parties hereto with respect to the subject matter hereof and supersedes any prior indemnification agreement between the Indemnitee and the Company, its Subsidiaries or its Affiliates, provided, however, that this Agreement is a supplement to and in furtherance of Section 145, the Certificate of Incorporation, the Bylaws, any directors and officers liability insurance or other insurance policy providing coverage to Indemnitee maintained by the Company and applicable law, and shall not be deemed a substitute therefor, nor to diminish or abrogate any rights of Indemnitee thereunder. If the Company and Indemnitee have previously entered into an indemnification agreement providing for the indemnification of Indemnitee by the Company, the entry into this Agreement by both parties hereto shall be deemed to amend and restate such prior agreement to read in its entirety as, and be superseded by, this Agreement. No supplement, modification or amendment of this Agreement shall be binding unless executed in writing by the parties hereto. No waiver of any of the provisions of this Agreement shall be deemed or shall constitute a waiver of any other provision hereof (whether or not similar) and except as expressly provided herein, no such waiver shall constitute a continuing waiver.

13. Successors and Assigns; Survival of Rights. The terms of this Agreement shall bind, and shall inure to the benefit of, and be enforceable by the parties hereto and, as applicable, their respective successors (including any direct or indirect successor by purchase, merger, consolidation or otherwise to all or substantially all of the business and/or assets of the Company), assigns, spouses, heirs, executors, administrators and personal and legal representatives (collectively, “Successors”). Indemnitee’s rights hereunder shall continue after Indemnitee has ceased serving the Company or a Subsidiary or Affiliate as an Indemnifiable Person and shall inure to the benefit of Indemnitee’s Successors. In addition, the Company shall require and cause any successor (whether direct or indirect by purchase, merger, consolidation or otherwise) to all, substantially all, or a substantial part, of the business and/or assets of the Company, by written agreement in form and substance satisfactory to Indemnitee, expressly to assume and agree to perform this Agreement and indemnify Indemnitee to the fullest extent permitted by law.

14. Notice. All notices, requests, demands and other communications under this Agreement shall be in writing and shall be deemed duly given (i) if delivered by hand and a receipt is provided by the party to whom such communication is delivered, (ii) if mailed by certified or registered mail with postage prepaid, return receipt requested, on the signing by the recipient of an acknowledgement of receipt form accompanying delivery through the U.S. mail, (iii) by personal service by a process server, (iv) by delivery to the recipient’s address by overnight delivery (e.g., FedEx, UPS or DHL) or other commercial delivery service, or (v) if via electronic mail, upon confirmation of delivery when directed to the relevant electronic mail

 

11


address, if sent during normal business hours of the recipient, or if not sent during normal business hours of the recipient, then on the recipient’s next business day. The address for notice to the Indemnitee shall be the Indemnitee’s most recent address on file with the Company. Delivery of communications to the Company with respect to this Agreement shall be sent to the attention of the Company’s Chief Executive Officer or Chief Financial Officer.

15. No Presumptions. For purposes of this Agreement, the termination of any Proceeding, by judgment, order, settlement (whether with or without court approval) or conviction, or upon a plea of nolo contendere or its equivalent, shall not, of itself, create a presumption that Indemnitee did not meet any particular standard of conduct or have any particular belief or that a court has determined that indemnification is not permitted by applicable law or otherwise. In addition, neither the failure of the Company or a Reviewing Party to have made a determination as to whether Indemnitee has met any particular standard of conduct or had any particular belief, nor an actual determination by the Company or a Reviewing Party that Indemnitee has not met such standard of conduct or did not have such belief, prior to the commencement of Proceedings by Indemnitee to secure a judicial determination by exercising Indemnitee’s rights under Section 8(e) of this Agreement shall be a defense to Indemnitee’s claim or create a presumption that Indemnitee has failed to meet any particular standard of conduct or did not have any particular belief or is not entitled to indemnification under applicable law or otherwise. Additionally, any admission of liability by the Company in connection with any settlement by the Company with a regulatory agency shall not, of itself, create a presumption that Indemnitee did not meet any particular standard of conduct or have any particular belief or that a court has determined that indemnification is not permitted by applicable law or otherwise.

16. Subrogation and Contribution.

(a) Except as otherwise expressly provided in this Agreement, in the event of payment under this Agreement, the Company shall be subrogated to the extent of such payment to all of the rights of recovery of Indemnitee, who shall execute all documents required and shall do all acts that may be necessary to secure such rights and to enable the Company effectively to bring suit to enforce such rights.

(b) To the fullest extent permissible under applicable law, if the indemnification provided for in this Agreement is unavailable to Indemnitee for any reason whatsoever, the Company, in lieu of indemnifying Indemnitee, shall contribute to the amount incurred by or on behalf of Indemnitee, whether for Expenses or Other Liabilities, in connection with any Proceeding relating to an Indemnifiable Event under this Agreement, in such proportion as is deemed fair and reasonable in light of all of the circumstances of such Proceeding in order to reflect (i) the relative benefits received by the Company and Indemnitee as a result of the event(s) and/or transaction(s) giving cause to such Proceeding; and/or (ii) the relative fault of the Company (and its directors, officers, employees and agents) and Indemnitee in connection with such event(s) and/or transaction(s).

17. Specific Performance, Etc. The parties recognize that if any provision of this Agreement is violated by the Company, Indemnitee may be without an adequate remedy at law. Accordingly, in the event of any such violation, Indemnitee shall be entitled, if Indemnitee so

 

12


elects, to institute Proceedings, either in law or at equity, to obtain damages, to enforce specific performance, to enjoin such violation, or to obtain any relief or any combination of the foregoing as Indemnitee may elect to pursue.

18. Counterparts. This Agreement may be executed in counterparts, each of which shall for all purposes be deemed to be an original but all of which together shall constitute one and the same agreement. Only one such counterpart signed by the party against whom enforceability is sought needs to be produced to evidence the existence of this Agreement. Execution of a PDF copy shall have the same force and effect as execution of an original, and a copy of a signature will be admissible in any legal proceeding as if an original.

19. Headings. The headings of the sections and paragraphs of this Agreement are inserted for convenience only and shall not be deemed to constitute part of this Agreement or to affect the construction or interpretation thereof.

20. Governing Law. This Agreement shall be governed exclusively by and construed according to the laws of the State of Delaware, as applied to contracts between Delaware residents entered into and to be performed entirely with Delaware.

21. Consent to Jurisdiction. The Company and Indemnitee each hereby irrevocably consent to the jurisdiction of the courts of the State of Delaware for all purposes in connection with any Proceeding which arises out of or relates to this Agreement.

[Signature Page Follows]

 

13


The parties hereto have entered into this Agreement effective as of the date first above written.

 

MAZE THERAPEUTICS, INC.
By:  

 

Its:  

 

INDEMNITEE

 

[INDEMNITEE’S NAME]
EX-10.2

Exhibit 10.2

MAZE THERAPEUTICS, INC.

2018 STOCK OPTION AND GRANT PLAN

SECTION 1. GENERAL PURPOSE OF THE PLAN; DEFINITIONS

The name of the plan is the Maze Therapeutics, Inc. 2018 Stock Option and Grant Plan (the “Plan”). The purpose of the Plan is to encourage and enable the officers, employees, directors, Consultants and other key persons of Maze Therapeutics, Inc. (formerly known as Modulus Therapeutics, Inc.), a Delaware corporation (including any successor entity, the “Company”) and its Subsidiaries, upon whose judgment, initiative and efforts the Company largely depends for the successful conduct of its business, to acquire a proprietary interest in the Company.

The following terms shall be defined as set forth below:

Affiliate” of any Person means a Person that directly or indirectly, through one or more intermediaries, controls, is controlled by or is under common control with the first mentioned Person. A Person shall be deemed to control another Person if such first Person possesses directly or indirectly the power to direct, or cause the direction of, the management and policies of the second Person, whether through the ownership of voting securities, by contract or otherwise.

Award” or “Awards,” except where referring to a particular category of grant under the Plan, shall include Incentive Stock Options, Non-Qualified Stock Options, Restricted Stock Awards, Unrestricted Stock Awards, Restricted Stock Units or any combination of the foregoing.

Award Agreement means a written or electronic agreement setting forth the terms and provisions applicable to an Award granted under the Plan. Each Award Agreement may contain terms and conditions in addition to those set forth in the Plan; provided, however, in the event of any conflict in the terms of the Plan and the Award Agreement, the terms of the Plan shall govern.

Board” means the Board of Directors of the Company.

Cause” shall have the meaning as set forth in the Award Agreement(s). In the case that any Award Agreement does not contain a definition of “Cause,” it shall mean (i) the grantee’s dishonest statements or acts with respect to the Company or any Affiliate of the Company, or any current or prospective customers, suppliers vendors or other third parties with which such entity does business; (ii) the grantee’s commission of (A) a felony or (B) any misdemeanor involving moral turpitude, deceit, dishonesty or fraud; (iii) the grantee’s failure to perform his assigned duties and responsibilities to the reasonable satisfaction of the Company which failure continues, in the reasonable judgment of the Company, after written notice given to the grantee by the Company; (iv) the grantee’s gross negligence, willful misconduct or insubordination with respect to the Company or any Affiliate of the Company; or (v) the grantee’s material violation of any provision of any agreement(s) between the grantee and the Company relating to noncompetition, nonsolicitation, nondisclosure and/or assignment of inventions.


“Chief Executive Officer” means the Chief Executive Officer of the Company or, if there is no Chief Executive Officer, then the President of the Company.

Code” means the Internal Revenue Code of 1986, as amended, and any successor Code, and related rules, regulations and interpretations.

Committee” means the Committee of the Board referred to in Section 2.

“Consultant” means any natural person that provides bona fide services to the Company (including a Subsidiary), and such services are not in connection with the offer or sale of securities in a capital-raising transaction and do not directly or indirectly promote or maintain a market for the Company’s securities.

Disability” means “disability” as defined in Section 422(c) of the Code.

Effective Date means the date on which the Plan is adopted as set forth on the final page of the Plan.

Exchange Act” means the Securities Exchange Act of 1934, as amended, and the rules and regulations thereunder.

Fair Market Value” of the Stock on any given date means the fair market value of the Stock determined in good faith by the Committee based on the reasonable application of a reasonable valuation method not inconsistent with Section 409A of the Code. If the Stock is admitted to trade on a national securities exchange, the determination shall be made by reference to the closing price reported on such exchange. If there is no closing price for such date, the determination shall be made by reference to the last date preceding such date for which there is a closing price. If the date for which Fair Market Value is determined is the first day when trading prices for the Stock are reported on a national securities exchange, the Fair Market Value shall be the “Price to the Public” (or equivalent) set forth on the cover page for the final prospectus relating to the Company’s Initial Public Offering.

“Good Reason” shall have the meaning as set forth in the Award Agreement(s). In the case that any Award Agreement does not contain a definition of “Good Reason,” it shall mean (i) a material diminution in the grantee’s base salary except for across-the-board salary reductions similarly affecting all or substantially all similarly situated employees of the Company or (ii) a change of more than 50 miles in the geographic location at which the grantee provides services to the Company, so long as the grantee provides at least 90 days notice to the Company following the initial occurrence of any such event and the Company fails to cure such event within 30 days thereafter.

Grant Date” means the date that the Committee designates in its approval of an Award in accordance with applicable law as the date on which the Award is granted, which date may not precede the date of such Committee approval.

 

2


“Holder” means, with respect to an Award or any Shares, the Person holding such Award or Shares, including the initial recipient of the Award or any Permitted Transferee.

Incentive Stock Option” means any Stock Option designated and qualified as an “incentive stock option” as defined in Section 422 of the Code.

Initial Public Offering” means the consummation of the first firm commitment underwritten public offering pursuant to an effective registration statement under the Securities Act covering the offer and sale by the Company of its equity securities, as a result of or following which the Stock shall be publicly held.

Non-Qualified Stock Option” means any Stock Option that is not an Incentive Stock Option.

Option” or “Stock Option” means any option to purchase shares of Stock granted pursuant to Section 5.

Permitted Transferees” shall mean any of the following to whom a Holder may transfer Shares hereunder (as set forth in Section 9(a)(ii)(A)): the Holder’s child, stepchild, grandchild, parent, stepparent, grandparent, spouse, former spouse, sibling, niece, nephew, mother-in-law, father-in-law, son-in-law, daughter-in-law, brother-in-law, or sister-in-law, including adoptive relationships, any person sharing the Holder’s household (other than a tenant or employee), a trust in which these persons have more than fifty percent of the beneficial interest, a foundation in which these persons control the management of assets, and any other entity in which these persons own more than fifty percent of the voting interests; provided, however, that any such trust does not require or permit distribution of any Shares during the term of the Award Agreement unless subject to its terms. Upon the death of the Holder, the term Permitted Transferees shall also include such deceased Holder’s estate, executors, administrators, personal representatives, heirs, legatees and distributees, as the case may be.

Person” shall mean any individual, corporation, partnership (limited or general), limited liability company, limited liability partnership, association, trust, joint venture, unincorporated organization or any similar entity.

“Restricted Stock Award” means Awards granted pursuant to Section 6 and “Restricted Stock” means Shares issued pursuant to such Awards which remain subject to a substantial risk of forfeiture pursuant to the terms of this Plan or the applicable Award Agreement.

“Restricted Stock Unit” means an Award of phantom stock units to a grantee, which may be settled in cash or Shares as determined by the Committee, pursuant to Section 8.

Sale Event” means the consummation of (i) the dissolution or liquidation of the Company, (ii) the sale of all or substantially all of the assets of the Company on a consolidated basis to an unrelated person or entity, (iii) a merger, reorganization or consolidation pursuant to which the holders of the Company’s outstanding voting power immediately prior to such transaction do not own a majority of the outstanding voting power of the surviving or resulting entity (or its ultimate parent, if applicable), (iv) the acquisition of all or a majority of the outstanding voting stock of the Company in a single transaction or a series of related transactions

 

3


by a Person or group of Persons, (v) a Deemed Liquidation Event (as defined in the Company’s Certificate of Incorporation (as may be amended, restated or otherwise modified from time to time)), or (vi) any other acquisition of the business of the Company, as determined by the Board; provided, however, that the Company’s Initial Public Offering, any subsequent public offering or another capital raising event, or a merger effected solely to change the Company’s domicile shall not constitute a “Sale Event.”

“Section 409A” means Section 409A of the Code and the regulations and other guidance promulgated thereunder.

Securities Act” means the Securities Act of 1933, as amended, and the rules and regulations thereunder.

“Service Relationship” means any relationship as a full-time employee, part-time employee, director or other key person (including Consultants) of the Company or any Subsidiary or any successor entity (e.g., a Service Relationship shall be deemed to continue without interruption in the event an individual’s status changes from full-time employee to part-time employee or Consultant).

“Shares” means shares of Stock.

Stock” means the Common Stock, par value $0.001 per share, of the Company.

Subsidiary” means any corporation or other entity (other than the Company) in which the Company has more than a 50 percent interest, either directly or indirectly.

“Ten Percent Owner” means an employee who owns or is deemed to own (by reason of the attribution rules of Section 424(d) of the Code) more than 10 percent of the combined voting power of all classes of stock of the Company or any parent of the Company or any Subsidiary.

“Termination Event” means the termination of the Award recipient’s Service Relationship with the Company and its Subsidiaries for any reason whatsoever, regardless of the circumstances thereof, and including, without limitation, upon death, disability, retirement, discharge or resignation for any reason, whether voluntarily or involuntarily. The following shall not constitute a Termination Event: (i) a transfer to the service of the Company from a Subsidiary or from the Company to a Subsidiary, or from one Subsidiary to another Subsidiary or (ii) an approved leave of absence for military service or sickness, or for any other purpose approved by the Committee, if the individual’s right to re-employment is guaranteed either by a statute or by contract or under the policy pursuant to which the leave of absence was granted or if the Committee otherwise so provides in writing.

Unrestricted Stock Award” means any Award granted pursuant to Section 7 and “Unrestricted Stock” means Shares issued pursuant to such Awards.

 

4


SECTION 2. ADMINISTRATION OF PLAN; COMMITTEE AUTHORITY TO SELECT GRANTEES AND DETERMINE AWARDS

(a) Administration of Plan. The Plan shall be administered by the Board, or at the discretion of the Board, by a committee of the Board, comprised of not less than two directors. All references herein to the “Committee” shall be deemed to refer to the group then responsible for administration of the Plan at the relevant time (i.e., either the Board or a committee or committees of the Board, as applicable).

(b) Powers of Committee. The Committee shall have the power and authority to grant Awards consistent with the terms of the Plan, including the power and authority:

(i) to select the individuals to whom Awards may from time to time be granted;

(ii) to determine the time or times of grant, and the amount, if any, of Incentive Stock Options, Non-Qualified Stock Options, Restricted Stock Awards, Unrestricted Stock Awards, Restricted Stock Units, or any combination of the foregoing, granted to any one or more grantees;

(iii) to determine the number of Shares to be covered by any Award and, subject to the provisions of the Plan, the price, exercise price, conversion ratio or other price relating thereto;

(iv) to determine and, subject to Section 12, to modify from time to time the terms and conditions, including restrictions, not inconsistent with the terms of the Plan, of any Award, which terms and conditions may differ among individual Awards and grantees, and to approve the form of Award Agreements;

(v) to accelerate at any time the exercisability or vesting of all or any portion of any Award;

(vi) to impose any limitations on Awards, including limitations on transfers, repurchase provisions and the like, and to exercise repurchase rights or obligations;

(vii) subject to Section 5(a)(ii) and any restrictions imposed by Section 409A, to extend at any time the period in which Stock Options may be exercised; and

(viii) at any time to adopt, alter and repeal such rules, guidelines and practices for administration of the Plan and for its own acts and proceedings as it shall deem advisable; to interpret the terms and provisions of the Plan and any Award (including Award Agreements); to make all determinations it deems advisable for the administration of the Plan; to decide all disputes arising in connection with the Plan; and to otherwise supervise the administration of the Plan.

All decisions and interpretations of the Committee shall be binding on all persons, including the Company and all Holders.

 

5


(c) Delegation of Authority to Grant Options. Subject to applicable law, the Committee, in its discretion, may delegate to the Chief Executive Officer of the Company the power to designate non-officer employees to be recipients of Options, and to determine the number of such Options to be received by such employees; provided, however, that the resolution so authorizing the Chief Executive Officer shall specify the total number of Options the Chief Executive Officer may so award and may not delegate to the Chief Executive Officer the authority to set the exercise price or the vesting terms of such Options. Any such delegation by the Committee shall also provide that the Chief Executive Officer may not grant Awards to himself or herself (or other officers) without the approval of the Committee. The Committee may revoke or amend the terms of a delegation at any time but such action shall not invalidate any prior actions of the Committee’s delegate or delegates that were consistent with the terms of the Plan.

(d) Award Agreement. Awards under the Plan shall be evidenced by Award Agreements that set forth the terms, conditions and limitations for each Award.

(e) Indemnification. Neither the Board nor the Committee, nor any member of either or any delegate thereof, shall be liable for any act, omission, interpretation, construction or determination made in good faith in connection with the Plan, and the members of the Board and the Committee (and any delegate thereof) shall be entitled in all cases to indemnification and reimbursement by the Company in respect of any claim, loss, damage or expense (including, without limitation, reasonable attorneys’ fees) arising or resulting therefrom to the fullest extent permitted by law and/or under the Company’s governing documents, including its certificate of incorporation or bylaws (each, as may be amended, restated, or otherwise modified from time to time), or any directors’ and officers’ liability insurance coverage which may be in effect from time to time and/or any indemnification agreement between such individual and the Company.

(f) Foreign Award Recipients. Notwithstanding any provision of the Plan to the contrary, in order to comply with the laws in other countries in which the Company and any Subsidiary operate or have employees or other individuals eligible for Awards, the Committee, in its sole discretion, shall have the power and authority to: (i) determine which Subsidiaries, if any, shall be covered by the Plan; (ii) determine which individuals, if any, outside the United States are eligible to participate in the Plan; (iii) modify the terms and conditions of any Award granted to individuals outside the United States to comply with applicable foreign laws; (iv) establish subplans and modify exercise procedures and other terms and procedures, to the extent the Committee determines such actions to be necessary or advisable (and such subplans and/or modifications shall be attached to the Plan as appendices); provided, however, that no such subplans and/or modifications shall increase the share limitation contained in Section 3(a) hereof; and (v) take any action, before or after an Award is made, that the Committee determines to be necessary or advisable to obtain approval or comply with any local governmental regulatory exemptions or approvals.

 

6


SECTION 3. STOCK ISSUABLE UNDER THE PLAN; MERGERS AND OTHER TRANSACTIONS; SUBSTITUTION

(a) Stock Issuable. The maximum number of Shares reserved and available for issuance under the Plan shall be 17,000,000 Shares, subject to adjustment as provided in Section 3(b). For purposes of this limitation, the Shares underlying any Awards that are forfeited, canceled, reacquired by the Company prior to vesting, satisfied without the issuance of Stock or otherwise terminated (other than by exercise) and Shares that are withheld upon exercise of an Option or settlement of an Award to cover the exercise price or tax withholding shall be added back to the Shares available for issuance under the Plan. Subject to such overall limitations, Shares may be issued up to such maximum number pursuant to any type or types of Award, and no more than 170,000,000 Shares may be issued pursuant to Incentive Stock Options. The Shares available for issuance under the Plan may be authorized but unissued Shares or Shares reacquired by the Company. Beginning on the date that the Company becomes subject to Section 162(m) of the Code, Options with respect to no more than 17,000,000 Shares shall be granted to any one individual in any calendar year period.

(b) Changes in Stock. Subject to Section 3(c) hereof, if, as a result of any reorganization, recapitalization, reclassification, stock dividend, stock split, reverse stock split or other similar change in the Company’s capital stock, the outstanding Shares are increased or decreased or are exchanged for a different number or kind of shares or other securities of the Company, or additional Shares or new or different shares or other securities of the Company or other non-cash assets are distributed with respect to such Shares or other securities, in each case, without the receipt of consideration by the Company, or, if, as a result of any merger or consolidation, or sale of all or substantially all of the assets of the Company, the outstanding Shares are converted into or exchanged for other securities of the Company or any successor entity (or a parent or subsidiary thereof), the Committee shall make an appropriate and proportionate adjustment in (i) the maximum number of Shares reserved for issuance under the Plan, (ii) the number and kind of Shares or other securities subject to any then outstanding Awards under the Plan, (iii) the repurchase price, if any, per Share subject to each outstanding Award, and (iv) the exercise price for each Share subject to any then outstanding Stock Options under the Plan, without changing the aggregate exercise price (i.e., the per share exercise price multiplied by the number of Shares underlying such Stock Options) as to which such Stock Options remain exercisable. The Committee shall in any event make such adjustments as may be required by Section 25102(o) of the California Corporation Code and the rules and regulations promulgated thereunder. The adjustment by the Committee shall be final, binding and conclusive. No fractional Shares shall be issued under the Plan resulting from any such adjustment, but the Committee in its discretion may make a cash payment in lieu of fractional shares.

(c) Sale Events.

(i) Options.

(A) In the case of and subject to the consummation of a Sale Event, the Plan and all outstanding Options issued hereunder shall terminate upon the effective time of any such Sale Event unless assumed or continued by the successor entity, or new stock options or other awards of the successor entity or parent thereof are substituted therefor, with an equitable or proportionate adjustment as to the number and kind of shares and, if appropriate, the per share exercise prices, as such parties shall agree (after taking into account any acceleration hereunder and/or pursuant to the terms of any Award Agreement).

 

7


(B) In the event of the termination of the Plan and all outstanding Options issued hereunder pursuant to Section 3(c), each Holder of Options shall be permitted, within a period of time prior to the consummation of the Sale Event as specified by the Committee, to exercise all such Options which are then exercisable or will become exercisable as of the effective time of the Sale Event; provided, however, that the exercise of Options not exercisable prior to the Sale Event shall be subject to the consummation of the Sale Event.

(C) Notwithstanding anything to the contrary in Section 3(c)(i)(A), in the event of a Sale Event, the Company shall have the right, but not the obligation, to make or provide for a cash payment to the Holders of Options, without any consent of the Holders, in exchange for the cancellation thereof, in an amount equal to the difference between (A) the value as determined by the Committee of the consideration payable per share of Stock pursuant to the Sale Event (the “Sale Price”) times the number of Shares subject to outstanding Options being cancelled (to the extent then vested and exercisable, including by reason of acceleration in connection with such Sale Event, at prices not in excess of the Sale Price) and (B) the aggregate exercise price of all such outstanding vested and exercisable Options.

(ii) Restricted Stock and Restricted Stock Unit Awards.

(A) In the case of and subject to the consummation of a Sale Event, all unvested Restricted Stock and unvested Restricted Stock Unit Awards (other than those becoming vested as a result of the Sale Event) issued hereunder shall be forfeited immediately prior to the effective time of any such Sale Event unless assumed or continued by the successor entity, or awards of the successor entity or parent thereof are substituted therefor, with an equitable or proportionate adjustment as to the number and kind of shares subject to such awards as such parties shall agree (after taking into account any acceleration hereunder and/or pursuant to the terms of any Award Agreement).

(B) In the event of the forfeiture of Restricted Stock pursuant to Section 3(c)(ii)(A), such Restricted Stock shall be repurchased from the Holder thereof at a price per share equal to the lower of the original per share purchase price paid by the Holder (subject to adjustment as provided in Section 3(b)) or the current Fair Market Value of such Shares, determined immediately prior to the effective time of the Sale Event.

(C) Notwithstanding anything to the contrary in Section 3(c)(ii)(A), in the event of a Sale Event, the Company shall have the right, but not the obligation, to make or provide for a cash payment to the Holders of Restricted Stock or Restricted Stock Unit Awards, without consent of the Holders, in exchange for the cancellation thereof, in an amount equal to the Sale Price times the number of Shares subject to such Awards, to be paid at the time of such Sale Event or upon the later vesting of such Awards.

 

8


SECTION 4. ELIGIBILITY

Grantees under the Plan will be such full or part-time officers and other employees, directors, Consultants and key persons of the Company and any Subsidiary who are selected from time to time by the Committee in its sole discretion; provided, however, that Awards shall be granted only to those individuals described in Rule 701(c) of the Securities Act.

SECTION 5. STOCK OPTIONS

Upon the grant of a Stock Option, the Company and the grantee shall enter into an Award Agreement. The terms and conditions of each such Award Agreement shall be determined by the Committee, and such terms and conditions may differ among individual Awards and grantees.

Stock Options granted under the Plan may be either Incentive Stock Options or Non-Qualified Stock Options. Incentive Stock Options may be granted only to employees of the Company or any Subsidiary that is a “subsidiary corporation” within the meaning of Section 424(f) of the Code. To the extent that any Option does not qualify as an Incentive Stock Option, it shall be deemed a Non-Qualified Stock Option.

(a) Terms of Stock Options. The Committee in its discretion may grant Stock Options to those individuals who meet the eligibility requirements of Section 4. Stock Options shall be subject to the following terms and conditions and shall contain such additional terms and conditions, not inconsistent with the terms of the Plan, as the Committee shall deem desirable.

(i) Exercise Price. The exercise price per share for the Shares covered by a Stock Option shall be determined by the Committee at the time of grant but shall not be less than 100 percent of the Fair Market Value on the Grant Date. In the case of an Incentive Stock Option that is granted to a Ten Percent Owner, the exercise price per share for the Shares covered by such Incentive Stock Option shall not be less than 110 percent of the Fair Market Value on the Grant Date.

(ii) Option Term. The term of each Stock Option shall be fixed by the Committee, but no Stock Option shall be exercisable more than ten years from the Grant Date. In the case of an Incentive Stock Option that is granted to a Ten Percent Owner, the term of such Stock Option shall be no more than five years from the Grant Date.

(iii) Exercisability; Rights of a Stockholder. Stock Options shall become exercisable and/or vested at such time or times, whether or not in installments, as shall be determined by the Committee at or after the Grant Date. The Award Agreement may permit a grantee to exercise all or a portion of a Stock Option immediately at grant; provided that the Shares issued upon such exercise shall be subject to restrictions and a vesting schedule identical to the vesting schedule of the related Stock Option, such Shares shall be deemed to be Restricted Stock for purposes of the Plan, and the optionee may be required to enter into an additional or new Award Agreement as a condition to exercise of such Stock Option. An optionee shall have the rights of a stockholder only as to Shares acquired upon the exercise of a Stock Option and not as to unexercised Stock Options. An optionee shall not be deemed to have acquired any Shares unless and until a Stock Option shall have been exercised pursuant to the terms of the Award Agreement and this Plan and the optionee’s name has been entered on the books of the Company as a stockholder.

 

9


(iv) Method of Exercise. Stock Options may be exercised by an optionee in whole or in part, by the optionee giving written or electronic notice of exercise to the Company, specifying the number of Shares to be purchased. Payment of the purchase price may be made by one or more of the following methods (or any combination thereof) to the extent provided in the Award Agreement:

(A) In cash, by certified or bank check, by wire transfer of immediately available funds, or other instrument acceptable to the Committee;

(B) If permitted by the Committee, by the optionee delivering to the Company a promissory note, if the Board has expressly authorized the loan of funds to the optionee for the purpose of enabling or assisting the optionee to effect the exercise of his or her Stock Option; provided, that at least so much of the exercise price as represents the par value of the Stock shall be paid in cash if required by state law;

(C) If permitted by the Committee and the Initial Public Offering has occurred (or the Stock otherwise becomes publicly-traded), through the delivery (or attestation to the ownership) of Shares that have been purchased by the optionee on the open market or that are beneficially owned by the optionee and are not then subject to restrictions under any Company plan. To the extent required to avoid variable accounting treatment under ASC 718 or other applicable accounting rules, such surrendered Shares if originally purchased from the Company shall have been owned by the optionee for at least six months. Such surrendered Shares shall be valued at Fair Market Value on the exercise date;

(D) If permitted by the Committee and the Initial Public Offering has occurred (or the Stock otherwise becomes publicly-traded), by the optionee delivering to the Company a properly executed exercise notice together with irrevocable instructions to a broker to promptly deliver to the Company cash or a check payable and acceptable to the Company for the purchase price; provided that in the event the optionee chooses to pay the purchase price as so provided, the optionee and the broker shall comply with such procedures and enter into such agreements of indemnity and other agreements as the Committee shall prescribe as a condition of such payment procedure; or

(E) If permitted by the Committee, and only with respect to Stock Options that are not Incentive Stock Options, by a “net exercise” arrangement pursuant to which the Company will reduce the number of Shares issuable upon exercise by the largest whole number of Shares with a Fair Market Value that does not exceed the aggregate exercise price.

 

10


Payment instruments will be received subject to collection. No certificates for Shares so purchased will be issued to the optionee or, with respect to uncertificated Stock, no transfer to the optionee on the records of the Company will take place, until the Company has completed all steps it has deemed necessary to satisfy legal requirements relating to the issuance and sale of the Shares, which steps may include, without limitation, (i) receipt of a representation from the optionee at the time of exercise of the Option that the optionee is purchasing the Shares for the optionee’s own account and not with a view to any sale or distribution of the Shares or other representations relating to compliance with applicable law governing the issuance of securities, (ii) the legending of the certificate (or notation on any book entry) representing the Shares to evidence the foregoing restrictions, (iii) obtaining from optionee payment or provision for all withholding taxes due as a result of the exercise of the Option and (iv) if required by the Company, the optionee’s execution and delivery of any stockholders’ agreements or other agreements with the Company and/or certain other stockholders of the Company relating to shares of the Stock. The delivery of certificates representing the shares of Stock (or the transfer to the optionee on the records of the Company with respect to uncertificated Stock) to be purchased pursuant to the exercise of a Stock Option will be contingent upon (A) receipt from the optionee (or a purchaser acting in his or her stead in accordance with the provisions of the Stock Option) by the Company of the full purchase price for such Shares and the fulfillment of any other requirements contained in the Award Agreement or applicable provisions of laws and (B) if required by the Company, the optionee shall have entered into any stockholders agreements or other agreements with the Company and/or certain other of the Company’s stockholders relating to the Stock. In the event an optionee chooses to pay the purchase price by previously-owned Shares through the attestation method, the number of Shares transferred to the optionee upon the exercise of the Stock Option shall be net of the number of Shares attested to.

(b) Annual Limit on Incentive Stock Options. To the extent required for “incentive stock option” treatment under Section 422 of the Code, the aggregate Fair Market Value (determined as of the Grant Date) of the Shares with respect to which Incentive Stock Options granted under the Plan and any other plan of the Company or its parent and any Subsidiary that become exercisable for the first time by an optionee during any calendar year shall not exceed $100,000 or such other limit as may be in effect from time to time under Section 422 of the Code. To the extent that any Stock Option exceeds this limit, it shall constitute a Non-Qualified Stock Option.

(c) Termination. Any portion of a Stock Option that is not vested and exercisable on the date of termination of an optionee’s Service Relationship shall immediately expire and be null and void. Once any portion of the Stock Option becomes vested and exercisable, the optionee’s right to exercise such portion of the Stock Option (or the optionee’s representatives and legatees as applicable) in the event of a termination of the optionee’s Service Relationship shall continue until the earliest of: (i) the date which is: (A) 12 months following the date on which the optionee’s Service Relationship terminates due to death or Disability (or such longer period of time as determined by the Committee and set forth in the applicable Award Agreement), or (B) three months following the date on which the optionee’s Service Relationship terminates if the termination is due to any reason other than death or Disability (or such longer period of time as determined by the Committee and set forth in the applicable Award Agreement), or (ii) the Expiration Date set forth in the Award Agreement; provided that notwithstanding the foregoing, an Award Agreement may provide that if the optionee’s Service Relationship is terminated for Cause, the Stock Option shall terminate immediately and be null and void upon the date of the optionee’s termination and shall not thereafter be exercisable.

 

11


SECTION 6. RESTRICTED STOCK AWARDS

(a) Nature of Restricted Stock Awards. The Committee may, in its sole discretion, grant (or sell at par value or such other purchase price determined by the Committee) to an eligible individual under Section 4 hereof a Restricted Stock Award under the Plan. The Committee shall determine the restrictions and conditions applicable to each Restricted Stock Award at the time of grant. Conditions may be based on continuing employment (or other Service Relationship), achievement of pre-established performance goals and objectives and/or such other criteria as the Committee may determine. Upon the grant of a Restricted Stock Award, the Company and the grantee shall enter into an Award Agreement. The terms and conditions of each such Award Agreement shall be determined by the Committee, and such terms and conditions may differ among individual Awards and grantees.

(b) Rights as a Stockholder. Upon the grant of the Restricted Stock Award and payment of any applicable purchase price, a grantee of Restricted Stock shall be considered the record owner of and shall be entitled to vote the Restricted Stock if, and to the extent, such Shares are entitled to voting rights, subject to such conditions contained in the Award Agreement. The grantee shall be entitled to receive all dividends and any other distributions declared on the Shares; provided, however, that the Company is under no duty to declare any such dividends or to make any such distribution. Unless the Committee shall otherwise determine, certificates evidencing the Restricted Stock shall remain in the possession of the Company until such Restricted Stock is vested as provided in subsection (d) below of this Section, and the grantee shall be required, as a condition of the grant, to deliver to the Company a stock power endorsed in blank and such other instruments of transfer as the Committee may prescribe.

(c) Restrictions. Restricted Stock may not be sold, assigned, transferred, pledged or otherwise encumbered or disposed of except as specifically provided herein or in the Award Agreement. Except as may otherwise be provided by the Committee either in the Award Agreement or, subject to Section 12 below, in writing after the Award Agreement is issued, if a grantee’s Service Relationship with the Company and any Subsidiary terminates, the Company or its assigns shall have the right, as may be specified in the relevant instrument, to repurchase some or all of the Shares subject to the Award at such purchase price as is set forth in the Award Agreement.

(d) Vesting of Restricted Stock. The Committee at the time of grant shall specify in the Award Agreement the date or dates and/or the attainment of pre-established performance goals, objectives and other conditions on which the substantial risk of forfeiture imposed shall lapse and the Restricted Stock shall become vested, subject to such further rights of the Company or its assigns as may be specified in the Award Agreement.

SECTION 7. UNRESTRICTED STOCK AWARDS

The Committee may, in its sole discretion, grant (or sell at par value or such other purchase price determined by the Committee) to an eligible person under Section 4 hereof an Unrestricted Stock Award under the Plan. Unrestricted Stock Awards may be granted in respect of past services or other valid consideration, or in lieu of cash compensation due to such grantee.

 

12


SECTION 8. RESTRICTED STOCK UNITS

(a) Nature of Restricted Stock Units. The Committee may, in its sole discretion, grant to an eligible person under Section 4 hereof Restricted Stock Units under the Plan. The Committee shall determine the restrictions and conditions applicable to each Restricted Stock Unit at the time of grant. Vesting conditions may be based on continuing employment (or other Service Relationship), achievement of pre-established performance goals and objectives and/or other such criteria as the Committee may determine. Upon the grant of Restricted Stock Units, the grantee and the Company shall enter into an Award Agreement. The terms and conditions of each such Award Agreement shall be determined by the Committee and may differ among individual Awards and grantees. On or promptly following the vesting date or dates applicable to any Restricted Stock Unit, but in no event later than March 15 of the year following the year in which such vesting occurs, such Restricted Stock Unit(s) shall be settled in the form of cash or shares of Stock, as specified in the Award Agreement. Restricted Stock Units may not be sold, assigned, transferred, pledged, or otherwise encumbered or disposed of.

(b) Rights as a Stockholder. A grantee shall have the rights of a stockholder only as to Shares, if any, acquired upon settlement of Restricted Stock Units. A grantee shall not be deemed to have acquired any such Shares unless and until the Restricted Stock Units shall have been settled in Shares pursuant to the terms of the Plan and the Award Agreement, the Company shall have issued and delivered a certificate representing the Shares to the grantee (or transferred on the records of the Company with respect to uncertificated stock), and the grantee’s name has been entered in the books of the Company as a stockholder.

(c) Termination. Except as may otherwise be provided by the Committee either in the Award Agreement or in writing after the Award Agreement is issued, a grantee’s right in all Restricted Stock Units that have not vested shall automatically terminate upon the grantee’s cessation of Service Relationship with the Company and any Subsidiary for any reason.

SECTION 9. TRANSFER RESTRICTIONS; COMPANY RIGHT OF FIRST REFUSAL; COMPANY REPURCHASE RIGHTS

(a) Restrictions on Transfer.

(i) Non-Transferability of Stock Options. Stock Options and, prior to exercise, the Shares issuable upon exercise of such Stock Option, shall not be transferable by the optionee otherwise than by will, or by the laws of descent and distribution, and all Stock Options shall be exercisable, during the optionee’s lifetime, only by the optionee, or by the optionee’s legal representative or guardian in the event of the optionee’s incapacity. Notwithstanding the foregoing, the Committee, in its sole discretion, may provide in the Award Agreement regarding a given Stock Option that the optionee may transfer by gift, without consideration for the transfer, his or her Non-Qualified Stock Options to his or her family members (as defined in Rule 701 of the Securities Act), to trusts for the benefit of such family members, or to partnerships in which such family members are the only partners (to the extent such trusts or partnerships are considered “family members” for purposes of Rule 701 of the Securities Act), provided that the transferee agrees in writing with the Company to be bound by all of the terms and conditions of this Plan and the applicable Award Agreement, including the execution of a stock power upon the issuance of Shares. Stock Options, and the Shares issuable upon exercise of such Stock Options, shall be restricted as to any pledge, hypothecation, or other transfer, including any short position, any “put equivalent position” (as defined in the Exchange Act) or any “call equivalent position” (as defined in the Exchange Act) prior to exercise.

 

13


(ii) Shares. No Shares shall be sold, assigned, transferred, pledged, hypothecated, given away or in any other manner disposed of or encumbered, whether voluntarily or by operation of law, unless (i) the transfer is in compliance with the terms of the applicable Award Agreement, all applicable securities laws (including, without limitation, the Securities Act), and with the terms and conditions of this Section 9, (ii) the transfer does not cause the Company to become subject to the reporting requirements of the Exchange Act, and (iii) the transferee consents in writing to be bound by the provisions of the Plan and the Award Agreement, including this Section 9. In connection with any proposed transfer, the Committee may require the transferor to provide at the transferor’s own expense an opinion of counsel to the transferor, satisfactory to the Committee, that such transfer is in compliance with all foreign, federal and state securities laws (including, without limitation, the Securities Act). Any attempted transfer of Shares not in accordance with the terms and conditions of this Section 9 shall be null and void, and the Company shall not reflect on its records any change in record ownership of any Shares as a result of any such transfer, shall otherwise refuse to recognize any such transfer and shall not in any way give effect to any such transfer of Shares. The Company shall be entitled to seek protective orders, injunctive relief and other remedies available at law or in equity including, without limitation, seeking specific performance or the rescission of any transfer not made in strict compliance with the provisions of this Section 9. Subject to the foregoing general provisions, and unless otherwise provided in the applicable Award Agreement, Shares may be transferred pursuant to the following specific terms and conditions (provided that with respect to any transfer of Restricted Stock, all vesting and forfeiture provisions shall continue to apply with respect to the original recipient):

(A) Transfers to Permitted Transferees. The Holder may transfer any or all of the Shares to one or more Permitted Transferees; provided, however, that following such transfer, such Shares shall continue to be subject to the terms of this Plan (including this Section 9) and such Permitted Transferee(s) shall, as a condition to any such transfer, deliver a written acknowledgment to that effect to the Company and shall deliver a stock power to the Company with respect to the Shares. Notwithstanding the foregoing, the Holder may not transfer any of the Shares to a Person whom the Company reasonably determines is a direct competitor or a potential competitor of the Company or any of its Subsidiaries.

(B) Transfers Upon Death. Upon the death of the Holder, any Shares then held by the Holder at the time of such death and any Shares acquired after the Holder’s death by the Holder’s legal representative shall be subject to the provisions of this Plan, and the Holder’s estate, executors, administrators, personal representatives, heirs, legatees and distributees shall be obligated to convey such Shares to the Company or its assigns under the terms contemplated by the Plan and the Award Agreement.

 

14


(b) Right of First Refusal. In the event that a Holder desires at any time to sell or otherwise transfer all or any part of his or her Shares (other than shares of Restricted Stock which by their terms are not transferrable), the Holder first shall give written notice to the Company of the Holder’s intention to make such transfer. Such notice shall state the number of Shares that the Holder proposes to sell (the “Offered Shares”), the price and the terms at which the proposed sale is to be made and the name and address of the proposed transferee. At any time within 30 days after the receipt of such notice by the Company, the Company or its assigns may elect to purchase all or any portion of the Offered Shares at the price and on the terms offered by the proposed transferee and specified in the notice. The Company or its assigns shall exercise this right by mailing or delivering written notice to the Holder within the foregoing 30-day period. If the Company or its assigns elect to exercise its purchase rights under this Section 9(b), the closing for such purchase shall, in any event, take place within 45 days after the receipt by the Company of the initial notice from the Holder. In the event that the Company or its assigns do not elect to exercise such purchase right, or in the event that the Company or its assigns do not pay the full purchase price within such 45-day period, the Holder may, within 60 days thereafter, sell the Offered Shares to the proposed transferee and at the same price and on the same terms as specified in the Holder’s notice. Any Shares not sold to the proposed transferee shall remain subject to the Plan. If the Holder is a party to any stockholders agreements or other agreements with the Company and/or certain other of the Company’s stockholders relating to the Shares, (i) the transferring Holder shall comply with the requirements of such stockholders agreements or other agreements relating to any proposed transfer of the Offered Shares, and (ii) any proposed transferee that purchases Offered Shares shall enter into such stockholders agreements or other agreements with the Company and/or certain of the Company’s stockholders relating to the Offered Shares on the same terms and in the same capacity as the transferring Holder.

(c) Company’s Right of Repurchase.

(i) Right of Repurchase for Unvested Shares Issued Upon the Exercise of an Option. Upon a Termination Event, the Company or its assigns shall have the right and option to repurchase from a Holder of Shares acquired upon exercise of a Stock Option which are still subject to a risk of forfeiture as of the Termination Event. Such repurchase rights may be exercised by the Company within the later of (A) six months following the date of such Termination Event or (B) seven months after the acquisition of Shares upon exercise of a Stock Option. The repurchase price shall be equal to the lower of the original per share price paid by the Holder, subject to adjustment as provided in Section 3(b) of the Plan, or the current Fair Market Value of such Shares as of the date the Company elects to exercise its repurchase rights.

(ii) Right of Repurchase With Respect to Restricted Stock. Upon a Termination Event, the Company or its assigns shall have the right and option to repurchase from a Holder of Shares received pursuant to a Restricted Stock Award any Shares that are still subject to a risk of forfeiture as of the Termination Event. Such repurchase right may be exercised by the Company within six months following the date of such Termination Event. The repurchase price shall be the lower of the original per share purchase price paid by the Holder, subject to adjustment as provided in Section 3(b) of the Plan, or the current Fair Market Value of such Shares as of the date the Company elects to exercise its repurchase rights.

 

15


(iii) Procedure. Any repurchase right of the Company shall be exercised by the Company or its assigns by giving the Holder written notice on or before the last day of the repurchase period of its intention to exercise such repurchase right. Upon such notification, the Holder shall promptly surrender to the Company, free and clear of any liens or encumbrances, any certificates representing the Shares being purchased, together with a duly executed stock power for the transfer of such Shares to the Company or the Company’s assignee or assignees. Upon the Company’s or its assignee’s receipt of the certificates from the Holder, the Company or its assignee or assignees shall deliver to him, her or them a check for the applicable repurchase price; provided, however, that the Company may pay the repurchase price by offsetting and canceling any indebtedness then owed by the Holder to the Company.

(d) Drag Along Right. In the event the holders of a majority of the Company’s equity securities then outstanding (the “Majority Shareholders”) determine to enter into a Sale Event in a bona fide negotiated transaction (a “Sale”), with any non-Affiliate of the Company or any majority shareholder (in each case, the “Buyer”), a Holder of Shares, including any Permitted Transferee, shall be obligated to and shall upon the written request of the Majority Shareholders: (a) sell, transfer and deliver, or cause to be sold, transferred and delivered, to the Buyer, his or her Shares (including for this purpose all of such Holder’s Shares that presently or as a result of any such transaction may be acquired upon the exercise of an Option (following the payment of the exercise price therefor)) on substantially the same terms applicable to the Majority Shareholders (with appropriate adjustments to reflect the conversion of convertible securities, the redemption of redeemable securities and the exercise of exercisable securities as well as the relative preferences and priorities of preferred stock); and (b) execute and deliver such instruments of conveyance and transfer and take such other action, including voting such Shares in favor of any Sale proposed by the Majority Shareholders and executing any purchase agreements, merger agreements, indemnity agreements, escrow agreements or related documents as the Majority Shareholders or the Buyer may reasonably require in order to carry out the terms and provisions of this Section 9(d).

(e) Escrow Arrangement.

(i) Escrow. In order to carry out the provisions of this Section 9 of this Plan more effectively, the Company shall hold any Shares issued pursuant to Awards granted under the Plan in escrow together with separate stock powers executed by the Holder in blank for transfer. The Company shall not dispose of the Shares except as otherwise provided in this Plan. In the event of any repurchase by the Company (or any of its assigns), the Company is hereby authorized by the Holder, as the Holder’s attorney-in-fact, to date and complete the stock powers necessary for the transfer of the Shares being purchased and to transfer such Shares in accordance with the terms hereof. At such time as any Shares are no longer subject to the Company’s repurchase and first refusal rights, the Company shall, at the written request of the Holder, deliver to the Holder a certificate representing such Shares with the balance of the Shares to be held in escrow pursuant to this Section.

(ii) Remedy. Without limitation of any other provision of this Plan or other rights, in the event that a Holder or any other Person is required to sell a Holder’s Shares pursuant to the provisions of Sections 9(b) or (c) hereof and in the further event that he or she refuses or for any reason fails to deliver to the Company or its designated purchaser of such Shares the certificate or certificates evidencing such Shares together with a related stock power, the Company or such designated purchaser may deposit the applicable purchase price for such

 

16


Shares with a bank designated by the Company, or with the Company’s independent public accounting firm, as agent or trustee, or in escrow, for such Holder or other Person, to be held by such bank or accounting firm for the benefit of and for delivery to him, her, them or it, and/or, in its discretion, pay such purchase price by offsetting any indebtedness then owed by such Holder as provided above. Upon any such deposit and/or offset by the Company or its designated purchaser of such amount and upon notice to the Person who was required to sell the Shares to be sold pursuant to the provisions of Sections 9(b) or (c), such Shares shall at such time be deemed to have been sold, assigned, transferred and conveyed to such purchaser, such Holder shall have no further rights thereto (other than the right to withdraw the payment thereof held in escrow, if applicable), and the Company shall record such transfer in its stock transfer book or in any appropriate manner.

(f) Lockup Provision. If requested by the Company, a Holder shall not sell or otherwise transfer or dispose of any Shares (including, without limitation, pursuant to Rule 144 under the Securities Act) held by him or her for such period following consummation of, or the effective date of a registration statement pertaining to, a public offering by the Company of Shares as the Company shall specify reasonably and in good faith. If requested by the underwriter engaged by the Company, each Holder shall execute a separate letter confirming his or her agreement to comply with this Section.

(g) Adjustments for Changes in Capital Structure. If, as a result of any reorganization, recapitalization, reclassification, stock dividend, stock split, reverse stock split or other similar change in the Common Stock, the outstanding Shares are increased or decreased or are exchanged for a different number or kind of securities of the Company, the restrictions contained in this Section 9 shall apply with equal force to additional and/or substitute securities, if any, received by Holder in exchange for, or by virtue of his or her ownership of, Shares.

(h) Termination. The terms and provisions of Section 9(b) and Section 9(c) (except for the Company’s right to repurchase Shares still subject to a risk of forfeiture upon a Termination Event) shall terminate upon the closing of the Company’s Initial Public Offering or upon consummation of any Sale Event, in either case as a result of which Shares are registered under Section 12 of the Exchange Act and publicly-traded on any national security exchange.

SECTION 10. TAX WITHHOLDING

(a) Payment by Grantee. Each grantee shall, no later than the date as of which the value of an Award or of any Shares or other amounts received thereunder first becomes includable in the gross income of the grantee for income tax purposes, pay to the Company, or make arrangements satisfactory to the Committee regarding payment of, any Federal, state, or local taxes of any kind required by law to be withheld by the Company with respect to such income. The Company and any Subsidiary shall, to the extent permitted by law, have the right to deduct any such taxes from any payment of any kind otherwise due to the grantee. The Company’s obligation to deliver stock certificates (or evidence of book entry) to any grantee is subject to and conditioned on any such tax withholding obligations being satisfied by the grantee.

 

17


(b) Payment in Stock. The Company’s minimum required tax withholding obligation may be satisfied, in whole or in part, by the Company withholding from Shares to be issued pursuant to an Award a number of Shares having an aggregate Fair Market Value (as of the date the withholding is effected) that would satisfy the minimum withholding amount due.

SECTION 11. SECTION 409A AWARDS.

To the extent that any Award is determined to constitute “nonqualified deferred compensation” within the meaning of Section 409A (a “409A Award”), the Award shall be subject to such additional rules and requirements as may be specified by the Committee from time to time. In this regard, if any amount under a 409A Award is payable upon a “separation from service” (within the meaning of Section 409A) to a grantee who is considered a “specified employee” (within the meaning of Section 409A), then no such payment shall be made prior to the date that is the earlier of (i) six months and one day after the grantee’s separation from service, or (ii) the grantee’s death, but only to the extent such delay is necessary to prevent such payment from being subject to interest, penalties and/or additional tax imposed pursuant to Section 409A. The Company makes no representation or warranty and shall have no liability to any grantee under the Plan or any other Person with respect to any penalties or taxes under Section 409A that are, or may be, imposed with respect to any Award.

SECTION 12. AMENDMENTS AND TERMINATION

The Board may, at any time, amend or discontinue the Plan and the Committee may, at any time, amend or cancel any outstanding Award for the purpose of satisfying changes in law or for any other lawful purpose, but no such action shall adversely affect rights under any outstanding Award without the consent of the holder of the Award. The Committee may exercise its discretion to reduce the exercise price of outstanding Stock Options or effect repricing through cancellation of outstanding Stock Options and by granting such holders new Awards in replacement of the cancelled Stock Options. To the extent determined by the Committee to be required either by the Code to ensure that Incentive Stock Options granted under the Plan are qualified under Section 422 of the Code or otherwise, Plan amendments shall be subject to approval by the Company stockholders entitled to vote at a meeting of stockholders. Nothing in this Section 12 shall limit the Board’s or Committee’s authority to take any action permitted pursuant to Section 3(c). The Board reserves the right to amend the Plan and/or the terms of any outstanding Stock Options to the extent reasonably necessary to comply with the requirements of the exemption pursuant to paragraph (f)(4) of Rule 12h-1 of the Exchange Act.

SECTION 13. STATUS OF PLAN

With respect to the portion of any Award that has not been exercised and any payments in cash, Stock or other consideration not received by a grantee, a grantee shall have no rights greater than those of a general creditor of the Company unless the Committee shall otherwise expressly so determine in connection with any Award.

 

18


SECTION 14. GENERAL PROVISIONS

(a) No Distribution; Compliance with Legal Requirements. The Committee may require each person acquiring Shares pursuant to an Award to represent to and agree with the Company in writing that such person is acquiring the Shares without a view to distribution thereof. No Shares shall be issued pursuant to an Award until all applicable securities law and other legal and stock exchange or similar requirements have been satisfied. The Committee may require the placing of such stop-orders and restrictive legends on certificates for Stock and Awards as it deems appropriate.

(b) Delivery of Stock Certificates. Stock certificates to grantees under the Plan shall be deemed delivered for all purposes when the Company or a stock transfer agent of the Company shall have mailed such certificates in the United States mail, addressed to the grantee, at the grantee’s last known address on file with the Company; provided that stock certificates to be held in escrow pursuant to Section 9 of the Plan shall be deemed delivered when the Company shall have recorded the issuance in its records. Uncertificated Stock shall be deemed delivered for all purposes when the Company or a stock transfer agent of the Company shall have given to the grantee by electronic mail (with proof of receipt) or by United States mail, addressed to the grantee, at the grantee’s last known address on file with the Company, notice of issuance and recorded the issuance in its records (which may include electronic “book entry” records).

(c) No Employment Rights. The adoption of the Plan and the grant of Awards do not confer upon any Person any right to continued employment or Service Relationship with the Company or any Subsidiary.

(d) Trading Policy Restrictions. Option exercises and other Awards under the Plan shall be subject to the Company’s insider trading policy-related restrictions, terms and conditions as may be established by the Committee, or in accordance with policies set by the Committee, from time to time.

(e) Designation of Beneficiary. Each grantee to whom an Award has been made under the Plan may designate a beneficiary or beneficiaries to exercise any Award on or after the grantee’s death or receive any payment under any Award payable on or after the grantee’s death. Any such designation shall be on a form provided for that purpose by the Committee and shall not be effective until received by the Committee. If no beneficiary has been designated by a deceased grantee, or if the designated beneficiaries have predeceased the grantee, the beneficiary shall be the grantee’s estate.

(f) Legend. Any certificate(s) representing the Shares shall carry substantially the following legend (and with respect to uncertificated Stock, the book entries evidencing such shares shall contain the following notation):

The transferability of this certificate and the shares of stock represented hereby are subject to the restrictions, terms and conditions (including repurchase and restrictions against transfers) contained in the Maze Therapeutics, Inc. 2018 Stock Option and Grant Plan and any agreements entered into thereunder by and between the company and the holder of this certificate (a copy of which is available at the offices of the company for examination).

 

19


(g) Information to Holders of Options. In the event the Company is relying on the exemption from the registration requirements of Section 12(g) of the Exchange Act contained in paragraph (f)(1) of Rule 12h-1 of the Exchange Act, the Company shall provide the information described in Rule 701(e)(3), (4) and (5) of the Securities Act to all holders of Options in accordance with the requirements thereunder. The foregoing notwithstanding, the Company shall not be required to provide such information unless the optionholder has agreed in writing, on a form prescribed by the Company, to keep such information confidential.

SECTION 15. EFFECTIVE DATE OF PLAN

The Plan shall become effective upon adoption by the Board and shall be approved by stockholders in accordance with applicable state law and the Company’s certificate of incorporation and bylaws within 12 months thereafter. If the stockholders fail to approve the Plan within 12 months after its adoption by the Board of Directors, then any Awards granted or sold under the Plan shall be rescinded and no additional grants or sales shall thereafter be made under the Plan. Subject to such approval by stockholders and to the requirement that no Shares may be issued hereunder prior to such approval, Stock Options and other Awards may be granted hereunder on and after adoption of the Plan by the Board. No grants of Stock Options and other Awards may be made hereunder after the tenth anniversary of the date the Plan is adopted by the Board or the date the Plan is approved by the Company’s stockholders, whichever is earlier.

SECTION 16. GOVERNING LAW

This Plan, all Awards and any controversy arising out of or relating to this Plan and all Awards shall be governed by and construed in accordance with the General Corporation Law of the State of Delaware as to matters within the scope thereof, and as to all other matters shall be governed by and construed in accordance with the internal laws of California, without regard to conflict of law principles that would result in the application of any law other than the law of the State of California.

 

DATE ADOPTED BY THE BOARD OF DIRECTORS:    November 1, 2018
DATE APPROVED BY THE STOCKHOLDERS:    November 1, 2018
DATE AMENDED BY THE BOARD OF DIRECTORS:    December 3, 2018
DATE AMENDED BY THE STOCKHOLDERS:    December 3, 2018

 

20


INCENTIVE STOCK OPTION GRANT NOTICE

UNDER THE MAZE THERAPEUTICS, INC.

2018 STOCK OPTION AND GRANT PLAN

Pursuant to the Maze Therapeutics, Inc. 2018 Stock Option and Grant Plan (the “Plan”), Maze Therapeutics, Inc., a Delaware corporation (together with any successor thereto, the “Company”), has granted to the individual named below, an option (the “Stock Option”) to purchase on or prior to the Expiration Date, or such earlier date as is specified herein, all or any part of the number of shares of Common Stock, par value $0.001 per share (“Common Stock”), of the Company indicated below (the “Shares”), at the Option Exercise Price per share, subject to the terms and conditions set forth in this Incentive Stock Option Grant Notice (the “Grant Notice”), the attached Incentive Stock Option Agreement (the “Agreement”) and the Plan. This Stock Option is intended to qualify as an “incentive stock option” as defined in Section 422(b) of the Internal Revenue Code of 1986, as amended from time to time (the “Code”). To the extent that any portion of the Stock Option does not so qualify, it shall be deemed a non-qualified stock option.

 

Name of Optionee:    __________________ (the “Optionee”)
No. of Shares:    __________ Shares of Common Stock
Grant Date:             
Vesting Commencement Date:    __________________ (the “Vesting Commencement Date”)
Expiration Date:    __________________ (the “Expiration Date”)
Option Exercise Price/Share:    $_________________ (the “Option Exercise Price”)
Vesting Schedule:    [25% of the Shares shall vest and become exercisable on the first anniversary of the Vesting Commencement Date, provided that the Optionee continues to have a Service Relationship with the Company at such time. Thereafter, the remaining 75% of the Shares shall vest and become exercisable in 36 equal monthly installments following the first anniversary of the Vesting Commencement Date, provided the Optionee continues to have a Service Relationship with the Company on each vesting date.] Notwithstanding anything in the Agreement to the contrary, in the case of a Sale Event, this Stock Option and the Shares shall be treated as provided in Section 3(c) of the Plan.

Attachments: Incentive Stock Option Agreement, 2018 Stock Option and Grant Plan


INCENTIVE STOCK OPTION AGREEMENT

UNDER THE MAZE THERAPEUTICS, INC.

2018 STOCK OPTION AND GRANT PLAN

All capitalized terms used herein and not otherwise defined shall have the respective meanings set forth in the Grant Notice and the Plan.

1. Vesting, Exercisability and Termination.

(a) No portion of this Stock Option may be exercised until such portion shall have vested and become exercisable.

(b) Except as set forth below, and subject to the determination of the Committee in its sole discretion to accelerate the vesting schedule hereunder, this Stock Option shall be vested and exercisable on the respective dates indicated below:

(i) This Stock Option shall initially be unvested and unexercisable.

(ii) This Stock Option shall vest and become exercisable in accordance with the Vesting Schedule set forth in the Grant Notice.

(c) Termination. Except as may otherwise be provided by the Committee, if the Optionee’s Service Relationship is terminated, the period within which to exercise this Stock Option will be subject to earlier termination as set forth below (and if not exercised within such period, shall thereafter terminate subject, in each case, to Section 3(c) of the Plan):

(i) Termination Due to Death or Disability. If the Optionee’s Service Relationship terminates by reason of such Optionee’s death or Disability, this Stock Option may be exercised, to the extent exercisable on the date of such termination, by the Optionee, the Optionee’s legal representative or legatee for a period of 12 months from the date of death or Disability or until the Expiration Date, if earlier.

(ii) Other Termination. If the Optionee’s Service Relationship terminates for any reason other than death or Disability, and unless otherwise determined by the Committee, this Stock Option may be exercised, to the extent exercisable on the date of termination, for a period of three (3) months from the date of termination or until the Expiration Date, if earlier; provided however, if the Optionee’s Service Relationship is terminated for Cause, this Stock Option shall terminate immediately upon the date of such termination.

For purposes hereof, the Committee’s determination of the reason for termination of the Optionee’s Service Relationship shall be conclusive and binding on the Optionee and his or her representatives or legatees. Any portion of this Stock Option that is not vested and exercisable on the date of termination of the Service Relationship shall terminate immediately and be null and void.

 

2


(d) It is understood and intended that this Stock Option is intended to qualify as an “incentive stock option” as defined in Section 422 of the Code to the extent permitted under applicable law. Accordingly, the Optionee understands that in order to obtain the benefits of an incentive stock option under Section 422 of the Code, no sale or other disposition may be made of Shares for which incentive stock option treatment is desired within the one-year period beginning on the day after the day of the transfer of such Shares to him or her, nor within the two-year period beginning on the day after Grant Date of this Stock Option and further that this Stock Option must be exercised within three months after termination of employment as an employee (or 12 months in the case of death or disability) to qualify as an incentive stock option. If the Optionee disposes (whether by sale, gift, transfer or otherwise) of any such Shares within either of these periods, he or she will notify the Company within 30 days after such disposition. The Optionee also agrees to provide the Company with any information concerning any such dispositions required by the Company for tax purposes. Further, to the extent this Stock Option and any other incentive stock options of the Optionee having an aggregate Fair Market Value in excess of $100,000 (determined as of the Grant Date) first become exercisable in any year, such options will not qualify as incentive stock options.

2. Exercise of Stock Option.

(a) The Optionee may exercise this Stock Option only in the following manner: Prior to the Expiration Date, the Optionee may deliver a Stock Option exercise notice (an “Exercise Notice”) in the form of Appendix A hereto indicating his or her election to purchase some or all of the Shares with respect to which this Stock Option is then exercisable. Such notice shall specify the number of Shares to be purchased. Payment of the purchase price may be made by one or more of the methods described in Section 5 of the Plan, subject to the limitations contained in such Section of the Plan, including the requirement that the Committee specifically approve in advance certain payment methods.

(b) Notwithstanding any other provision hereof or of the Plan, no portion of this Stock Option shall be exercisable after the Expiration Date.

3. Incorporation of Plan. Notwithstanding anything herein to the contrary, this Stock Option shall be subject to and governed by all the terms and conditions of the Plan.

4. Transferability of Stock Option. This Stock Option is personal to the Optionee and is not transferable by the Optionee in any manner other than by will or by the laws of descent and distribution. The Stock Option may be exercised during the Optionee’s lifetime only by the Optionee (or by the Optionee’s guardian or personal representative in the event of the Optionee’s incapacity). The Optionee may elect to designate a beneficiary by providing written notice of the name of such beneficiary to the Company, and may revoke or change such designation at any time by filing written notice of revocation or change with the Company; such beneficiary may exercise the Optionee’s Stock Option in the event of the Optionee’s death to the extent provided herein. If the Optionee does not designate a beneficiary, or if the designated beneficiary predeceases the Optionee, the legal representative of the Optionee may exercise this Stock Option to the extent provided herein in the event of the Optionee’s death.

 

3


5. Restrictions on Transfer of Shares. The Shares acquired upon exercise of the Stock Option shall be subject to certain transfer restrictions and other limitations including, without limitation, the provisions contained in Section 9 of the Plan.

6. Miscellaneous Provisions.

(a) Equitable Relief. The parties hereto agree and declare that legal remedies may be inadequate to enforce the provisions of this Agreement and that equitable relief, including specific performance and injunctive relief, may be used to enforce the provisions of this Agreement.

(b) Adjustments for Changes in Capital Structure. If, as a result of any reorganization, recapitalization, reincorporation, reclassification, stock dividend, stock split, reverse stock split or other similar change in the Common Stock, the outstanding shares of Common Stock are increased or decreased or are exchanged for a different number or kind of securities of the Company, the restrictions contained in this Agreement shall apply with equal force to additional and/or substitute securities, if any, received by the Optionee in exchange for, or by virtue of his or her ownership of, this Stock Option or Shares acquired pursuant thereto.

(c) Change and Modifications. This Agreement may not be orally changed, modified or terminated, nor shall any oral waiver of any of its terms be effective. This Agreement may be changed, modified or terminated only by an agreement in writing signed by the Company and the Optionee.

(d) Governing Law. This Agreement shall be governed by and construed in accordance with the General Corporation Law of the State of Delaware as to matters within the scope thereof, and as to all other matters shall be governed by and construed in accordance with the internal laws of California, without regard to conflict of law principles that would result in the application of any law other than the law of the State of California.

(e) Headings. The headings are intended only for convenience in finding the subject matter and do not constitute part of the text of this Agreement and shall not be considered in the interpretation of this Agreement.

(f) Saving Clause. If any provision(s) of this Agreement shall be determined to be illegal or unenforceable, such determination shall in no manner affect the legality or enforceability of any other provision hereof.

(g) Notices. All notices, requests, consents and other communications shall be in writing and be deemed given when delivered personally, by telex or facsimile transmission or when received if mailed by first class registered or certified mail, postage prepaid. Notices to the Company or the Optionee shall be addressed as set forth underneath their signatures below, or to such other address or addresses as may have been furnished by such party in writing to the other.

(h) Benefit and Binding Effect. This Agreement shall be binding upon and shall inure to the benefit of the parties hereto, their respective successors, assigns, and legal representatives. The Company has the right to assign this Agreement, and such assignee shall become entitled to all the rights of the Company hereunder to the extent of such assignment.

 

4


(i) Counterparts. For the convenience of the parties and to facilitate execution, this Agreement may be executed in two or more counterparts, each of which shall be deemed an original, but all of which shall constitute one and the same document.

(j) Integration. This Agreement constitutes the entire agreement between the parties with respect to this Stock Option and supersedes all prior agreements and discussions between the parties concerning such subject matter. The execution of this Agreement satisfies in full any express or implied obligation, agreement or promise by or on the part of the Company to grant or issue to the Grantee any equity interest in the Company pursuant to any offer letter, employment agreement, consulting or other written or oral agreement or arrangement as of the Grant Date.

7. Dispute Resolution.

(a) Except as provided below, any dispute arising out of or relating to the Plan or this Stock Option, this Agreement, or the breach, termination or validity of the Plan, this Stock Option or this Agreement, shall be finally settled by binding arbitration conducted expeditiously in accordance with the J.A.M.S./Endispute Comprehensive Arbitration Rules and Procedures (the “J.A.M.S. Rules”). The arbitration shall be governed by the United States Arbitration Act, 9 U.S.C. Sections 1 16, and judgment upon the award rendered by the arbitrators may be entered by any court having jurisdiction thereof. The place of arbitration shall be San Mateo County, California.

(b) The arbitration shall commence within 60 days of the date on which a written demand for arbitration is filed by any party hereto. In connection with the arbitration proceeding, the arbitrator shall have the power to order the production of documents by each party and any third-party witnesses. In addition, each party may take up to three depositions as of right, and the arbitrator may in his or her discretion allow additional depositions upon good cause shown by the moving party. However, the arbitrator shall not have the power to order the answering of interrogatories or the response to requests for admission. In connection with any arbitration, each party to the arbitration shall provide to the other, no later than seven business days before the date of the arbitration, the identity of all persons that may testify at the arbitration and a copy of all documents that may be introduced at the arbitration or considered or used by a party’s witness or expert. The arbitrator’s decision and award shall be made and delivered within six months of the selection of the arbitrator. The arbitrator’s decision shall set forth a reasoned basis for any award of damages or finding of liability. The arbitrator shall not have power to award damages in excess of actual compensatory damages and shall not multiply actual damages or award punitive damages, and each party hereby irrevocably waives any claim to such damages.

(c) The Company, the Optionee, each party to the Agreement and any other holder of Shares issued pursuant to this Agreement (each, a “Party”) covenants and agrees that such party will participate in the arbitration in good faith. This Section 7 applies equally to requests for temporary, preliminary or permanent injunctive relief, except that in the case of temporary or preliminary injunctive relief any party may proceed in court without prior arbitration for the limited purpose of avoiding immediate and irreparable harm.

 

5


(d) Each Party (i) hereby irrevocably submits to the jurisdiction of any United States District Court of competent jurisdiction for the purpose of enforcing the award or decision in any such proceeding, (ii) hereby waives, and agrees not to assert, by way of motion, as a defense, or otherwise, in any such suit, action or proceeding, any claim that it is not subject personally to the jurisdiction of the above named courts, that its property is exempt or immune from attachment or execution (except as protected by applicable law), that the suit, action or proceeding is brought in an inconvenient forum, that the venue of the suit, action or proceeding is improper or that this Agreement or the subject matter hereof may not be enforced in or by such court, and (iii) hereby waives and agrees not to seek any review by any court of any other jurisdiction which may be called upon to grant an enforcement of the judgment of any such court. Each Party hereby consents to service of process by registered mail at the address to which notices are to be given. Each Party agrees that its, his or her submission to jurisdiction and its, his or her consent to service of process by mail is made for the express benefit of each other Party. Final judgment against any Party in any such action, suit or proceeding may be enforced in other jurisdictions by suit, action or proceeding on the judgment, or in any other manner provided by or pursuant to the laws of such other jurisdiction.

8. Waiver of Statutory Information Rights. The Optionee understands and agrees that, but for the waiver made herein, the Optionee would be entitled, upon written demand under oath stating the purpose thereof, to inspect for any proper purpose, and to make copies and extracts from, the Company’s stock ledger, a list of its stockholders, and its other books and records, and the books and records of subsidiaries of the Company, if any, under the circumstances and in the manner provided in Section 220 of the General Corporation Law of Delaware (any and all such rights, and any and all such other rights of the Optionee as may be provided for in Section 220, the “Inspection Rights”). In light of the foregoing, until the first sale of Stock of the Company to the general public pursuant to a registration statement filed with and declared effective by the Securities and Exchange Commission under the Securities Act, the Optionee hereby unconditionally and irrevocably waives the Inspection Rights, whether such Inspection Rights would be exercised or pursued directly or indirectly pursuant to Section 220 or otherwise, and covenants and agrees never to directly or indirectly commence, voluntarily aid in any way, prosecute, assign, transfer, or cause to be commenced any claim, action, cause of action, or other proceeding to pursue or exercise the Inspection Rights. The foregoing waiver shall not affect any rights of a director, in his or her capacity as such, under Section 220. The foregoing waiver shall not apply to any contractual inspection rights of the Optionee under any other written agreement between the Optionee and the Company.

[SIGNATURE PAGE FOLLOWS]

 

6


The foregoing Agreement is hereby accepted and the terms and conditions thereof hereby agreed to by the undersigned as of the date first above written.

 

Maze Therapeutics, Inc.
By:  

 

  Name:
  Title:
Address:

 

 

The undersigned hereby acknowledges receiving and reviewing a copy of the Plan, including, without limitation, Section 9 thereof, and understands that this Stock Option is subject to the terms of the Plan and of this Agreement. This Agreement is hereby accepted, and the terms and conditions of the Plan, the Grant Notice and this Agreement, SPECIFICALLY INCLUDING THE ARBITRATION PROVISIONS SET FORTH IN SECTION 7 AND THE WAIVER OF STATUTORY INFORMATION RIGHTS SET FORTH IN SECTION 8 OF THIS AGREEMENT, are hereby agreed to, by the undersigned as of the date first above written.

 

OPTIONEE:

 

Name:
Address:

 

 

 

SPOUSE’S CONSENT
I acknowledge that I have read the foregoing Incentive Stock Option Agreement and understand the contents thereof.

 

 

7


DESIGNATED BENEFICIARY:

 

Beneficiary’s Address:

 

 

 

 

8


Appendix A

STOCK OPTION EXERCISE NOTICE

 

Maze Therapeutics, Inc.
Attention: President

 

 

Pursuant to the terms of the grant notice and stock option agreement between the undersigned and Maze Therapeutics, Inc. (the “Company”) dated __________ (the “Agreement”) under the Maze Therapeutics, Inc. 2018 Stock Option and Grant Plan (the “Plan”), I, [Insert Name] ________________, hereby [Circle One] partially/fully exercise such option by including herein payment in the amount of $____________________ representing the purchase price for [Fill in number of Shares] _______ Shares. I have chosen the following form(s) of payment:

 

[ ]    1.    Cash
[ ]    2.    Certified or bank check payable to Maze Therapeutics, Inc.
[ ]    3.    Other (as referenced in the Agreement and described in the Plan (please describe))
      _____________________________________________________.

In connection with my exercise of the option as set forth above, I hereby represent and warrant to the Company as follows:

(i) I am purchasing the Shares for my own account for investment only, and not for resale or with a view to the distribution thereof.

(ii) I have had such an opportunity as I have deemed adequate to obtain from the Company such information as is necessary to permit me to evaluate the merits and risks of my investment in the Company and have consulted with my own advisers with respect to my investment in the Company.

(iii) I have sufficient experience in business, financial and investment matters to be able to evaluate the risks involved in the purchase of the Shares and to make an informed investment decision with respect to such purchase.

(iv) I can afford a complete loss of the value of the Shares and am able to bear the economic risk of holding such Shares for an indefinite period of time.

 

9


(v) I understand that the Shares may not be registered under the Securities Act of 1933 (it being understood that the Shares are being issued and sold in reliance on the exemption provided in Rule 701 thereunder) or any applicable state securities or “blue sky” laws and may not be sold or otherwise transferred or disposed of in the absence of an effective registration statement under the Securities Act of 1933 and under any applicable state securities or “blue sky” laws (or exemptions from the registration requirement thereof). I further acknowledge that certificates representing Shares will bear restrictive legends reflecting the foregoing and/or that book entries for uncertificated Shares will include similar restrictive notations.

(vi) I have read and understand the Plan and acknowledge and agree that the Shares are subject to all of the relevant terms of the Plan, including without limitation, the transfer restrictions set forth in Section 9 of the Plan.

(vii) I understand and agree that the Company has a right of first refusal with respect to the Shares pursuant to Section 9(b) of the Plan.

(viii) I understand and agree that the Company has certain repurchase rights with respect to the Shares pursuant to Section 9(c) of the Plan.

(ix) I understand and agree that I may not sell or otherwise transfer or dispose of the Shares for a period of time following the effective date of a public offering by the Company as described in Section 9(f) of the Plan.

(x) I understand and agree to the waiver of statutory information rights as set forth in Section 8 of the Agreement.

 

Sincerely yours,

 

Name:
Address:

 

 

 

Date:      

 

10


NON-QUALIFIED STOCK OPTION GRANT NOTICE

UNDER THE MAZE THERAPEUTICS, INC.

2018 STOCK OPTION AND GRANT PLAN

Pursuant to the Maze Therapeutics, Inc. 2018 Stock Option and Grant Plan (the “Plan”), Maze Therapeutics, Inc., a Delaware corporation (together with any successor, the “Company”), has granted to the individual named below, an option (the “Stock Option”) to purchase on or prior to the Expiration Date, or such earlier date as is specified herein, all or any part of the number of shares of Common Stock, par value $0.001 per share (“Common Stock”), of the Company indicated below (the “Shares”), at the Option Exercise Price per share, subject to the terms and conditions set forth in this Non-Qualified Stock Option Grant Notice (the “Grant Notice”), the attached Non-Qualified Stock Option Agreement (the “Agreement”) and the Plan. This Stock Option is not intended to qualify as an “incentive stock option” as defined in Section 422(b) of the Internal Revenue Code of 1986, as amended from time to time (the “Code”).

 

Name of Optionee:    __________________ (the “Optionee”)
No. of Shares:    __________ Shares of Common Stock
Grant Date:             
Vesting Commencement Date:    __________________ (the “Vesting Commencement Date”)
Expiration Date:    __________________ (the “Expiration Date”)
Option Exercise Price/Share:    $_________________ (the “Option Exercise Price”)
Vesting Schedule:    [25% of the Shares shall vest and become exercisable on the first anniversary of the Vesting Commencement Date, provided that the Optionee continues to have a Service Relationship with the Company at such time. Thereafter, the remaining 75% of the Shares shall vest and become exercisable in 36 equal monthly installments following the first anniversary of the Vesting Commencement Date, provided the Optionee continues to have a Service Relationship with the Company on each vesting date.] Notwithstanding anything in the Agreement to the contrary, in the case of a Sale Event, this Stock Option and the Shares shall be treated as provided in Section 3(c) of the Plan.

Attachments: Non-Qualified Stock Option Agreement, 2018 Stock Option and Grant Plan


NON-QUALIFIED STOCK OPTION AGREEMENT

UNDER THE MAZE THERAPEUTICS, INC.

2018 STOCK OPTION AND GRANT PLAN

All capitalized terms used herein and not otherwise defined shall have the respective meanings set forth in the Grant Notice and the Plan.

1. Vesting, Exercisability and Termination.

(a) No portion of this Stock Option may be exercised until such portion shall have vested and become exercisable.

(b) Except as set forth below, and subject to the determination of the Committee in its sole discretion to accelerate the vesting schedule hereunder, this Stock Option shall be vested and exercisable on the respective dates indicated below:

(i) This Stock Option shall initially be unvested and unexercisable.

(ii) This Stock Option shall vest and become exercisable in accordance with the Vesting Schedule set forth in the Grant Notice.

(c) Termination. Except as may otherwise be provided by the Committee, if the Optionee’s Service Relationship is terminated, the period within which to exercise this Stock Option will be subject to earlier termination as set forth below (and if not exercised within such period, shall thereafter terminate subject, in each case, to Section 3(c) of the Plan):

(i) Termination Due to Death or Disability. If the Optionee’s Service Relationship terminates by reason of such Optionee’s death or Disability, this Stock Option may be exercised, to the extent exercisable on the date of such termination, by the Optionee, the Optionee’s legal representative or legatee for a period of 12 months from the date of death or Disability or until the Expiration Date, if earlier.

(ii) Other Termination. If the Optionee’s Service Relationship terminates for any reason other than death or Disability, and unless otherwise determined by the Committee, this Stock Option may be exercised, to the extent exercisable on the date of termination, for a period of three (3) months from the date of termination or until the Expiration Date, if earlier; provided however, if the Optionee’s Service Relationship is terminated for Cause, this Stock Option shall terminate immediately upon the date of such termination.

For purposes hereof, the Committee’s determination of the reason for termination of the Optionee’s Service Relationship shall be conclusive and binding on the Optionee and his or her representatives or legatees and any Permitted Transferee. Any portion of this Stock Option that is not vested and exercisable on the date of termination of the Service Relationship shall terminate immediately and be null and void.

 

2


2. Exercise of Stock Option.

(a) The Optionee may exercise this Stock Option only in the following manner: Prior to the Expiration Date, the Optionee may deliver a Stock Option exercise notice (an “Exercise Notice”) in the form of Appendix A hereto indicating his or her election to purchase some or all of the Shares with respect to which this Stock Option is then exercisable. Such notice shall specify the number of Shares to be purchased. Payment of the purchase price may be made by one or more of the methods described in Section 5 of the Plan, subject to the limitations contained in such Section of the Plan, including the requirement that the Committee specifically approve in advance certain payment methods.

(b) Notwithstanding any other provision hereof or of the Plan, no portion of this Stock Option shall be exercisable after the Expiration Date.

3. Incorporation of Plan. Notwithstanding anything herein to the contrary, this Stock Option shall be subject to and governed by all the terms and conditions of the Plan.

4. Transferability of Stock Option. This Stock Option is personal to the Optionee and is not transferable by the Optionee in any manner other than by will or by the laws of descent and distribution. The Stock Option may be exercised during the Optionee’s lifetime only by the Optionee (or by the Optionee’s guardian or personal representative in the event of the Optionee’s incapacity). The Optionee may elect to designate a beneficiary by providing written notice of the name of such beneficiary to the Company, and may revoke or change such designation at any time by filing written notice of revocation or change with the Company; such beneficiary may exercise the Optionee’s Stock Option in the event of the Optionee’s death to the extent provided herein. If the Optionee does not designate a beneficiary, or if the designated beneficiary predeceases the Optionee, the legal representative of the Optionee may exercise this Stock Option to the extent provided herein in the event of the Optionee’s death.

5. Restrictions on Transfer of Shares. The Shares acquired upon exercise of the Stock Option shall be subject to certain transfer restrictions and other limitations including, without limitation, the provisions contained in Section 9 of the Plan.

6. Miscellaneous Provisions.

(a) Equitable Relief. The parties hereto agree and declare that legal remedies may be inadequate to enforce the provisions of this Agreement and that equitable relief, including specific performance and injunctive relief, may be used to enforce the provisions of this Agreement.

(b) Adjustments for Changes in Capital Structure. If, as a result of any reorganization, recapitalization, reincorporation, reclassification, stock dividend, stock split, reverse stock split or other similar change in the Common Stock, the outstanding shares of Common Stock are increased or decreased or are exchanged for a different number or kind of securities of the Company, the restrictions contained in this Agreement shall apply with equal force to additional and/or substitute securities, if any, received by the Optionee in exchange for, or by virtue of his or her ownership of, this Stock Option or Shares acquired pursuant thereto.

 

3


(c) Change and Modifications. This Agreement may not be orally changed, modified or terminated, nor shall any oral waiver of any of its terms be effective. This Agreement may be changed, modified or terminated only by an agreement in writing signed by the Company and the Optionee.

(d) Governing Law. This Agreement shall be governed by and construed in accordance with the General Corporation Law of the State of Delaware as to matters within the scope thereof, and as to all other matters shall be governed by and construed in accordance with the internal laws of California, without regard to conflict of law principles that would result in the application of any law other than the law of the State of California.

(e) Headings. The headings are intended only for convenience in finding the subject matter and do not constitute part of the text of this Agreement and shall not be considered in the interpretation of this Agreement.

(f) Saving Clause. If any provision(s) of this Agreement shall be determined to be illegal or unenforceable, such determination shall in no manner affect the legality or enforceability of any other provision hereof.

(g) Notices. All notices, requests, consents and other communications shall be in writing and be deemed given when delivered personally, by telex or facsimile transmission or when received if mailed by first class registered or certified mail, postage prepaid. Notices to the Company or the Optionee shall be addressed as set forth underneath their signatures below, or to such other address or addresses as may have been furnished by such party in writing to the other.

(h) Benefit and Binding Effect. This Agreement shall be binding upon and shall inure to the benefit of the parties hereto, their respective successors, assigns, and legal representatives. The Company has the right to assign this Agreement, and such assignee shall become entitled to all the rights of the Company hereunder to the extent of such assignment.

(i) Counterparts. For the convenience of the parties and to facilitate execution, this Agreement may be executed in two or more counterparts, each of which shall be deemed an original, but all of which shall constitute one and the same document.

(j) Integration. This Agreement constitutes the entire agreement between the parties with respect to this Stock Option and supersedes all prior agreements and discussions between the parties concerning such subject matter. The execution of this Agreement satisfies in full any express or implied obligation, agreement or promise by or on the part of the Company to grant or issue to the Grantee any equity interest in the Company pursuant to any offer letter, employment agreement, consulting or other written or oral agreement or arrangement as of the Grant Date.

 

4


7. Dispute Resolution.

(a) Except as provided below, any dispute arising out of or relating to the Plan or this Stock Option, this Agreement, or the breach, termination or validity of the Plan, this Stock Option or this Agreement, shall be finally settled by binding arbitration conducted expeditiously in accordance with the J.A.M.S./Endispute Comprehensive Arbitration Rules and Procedures (the “J.A.M.S. Rules”). The arbitration shall be governed by the United States Arbitration Act, 9 U.S.C. Sections 1-16, and judgment upon the award rendered by the arbitrators may be entered by any court having jurisdiction thereof. The place of arbitration shall be San Mateo County, California.

(b) The arbitration shall commence within 60 days of the date on which a written demand for arbitration is filed by any party hereto. In connection with the arbitration proceeding, the arbitrator shall have the power to order the production of documents by each party and any third-party witnesses. In addition, each party may take up to three depositions as of right, and the arbitrator may in his or her discretion allow additional depositions upon good cause shown by the moving party. However, the arbitrator shall not have the power to order the answering of interrogatories or the response to requests for admission. In connection with any arbitration, each party to the arbitration shall provide to the other, no later than seven business days before the date of the arbitration, the identity of all persons that may testify at the arbitration and a copy of all documents that may be introduced at the arbitration or considered or used by a party’s witness or expert. The arbitrator’s decision and award shall be made and delivered within six months of the selection of the arbitrator. The arbitrator’s decision shall set forth a reasoned basis for any award of damages or finding of liability. The arbitrator shall not have power to award damages in excess of actual compensatory damages and shall not multiply actual damages or award punitive damages, and each party hereby irrevocably waives any claim to such damages.

(c) The Company, the Optionee, each party to the Agreement and any other holder of Shares issued pursuant to this Agreement (each, a “Party”) covenants and agrees that such party will participate in the arbitration in good faith. This Section 7 applies equally to requests for temporary, preliminary or permanent injunctive relief, except that in the case of temporary or preliminary injunctive relief any party may proceed in court without prior arbitration for the limited purpose of avoiding immediate and irreparable harm.

(d) Each Party (i) hereby irrevocably submits to the jurisdiction of any United States District Court of competent jurisdiction for the purpose of enforcing the award or decision in any such proceeding, (ii) hereby waives, and agrees not to assert, by way of motion, as a defense, or otherwise, in any such suit, action or proceeding, any claim that it is not subject personally to the jurisdiction of the above named courts, that its property is exempt or immune from attachment or execution (except as protected by applicable law), that the suit, action or proceeding is brought in an inconvenient forum, that the venue of the suit, action or proceeding is improper or that this Agreement or the subject matter hereof may not be enforced in or by such court, and (iii) hereby waives and agrees not to seek any review by any court of any other jurisdiction which may be called upon to grant an enforcement of the judgment of any such court. Each Party hereby consents to service of process by registered mail at the address to which notices are to be given. Each Party agrees that its, his or her submission to jurisdiction and its, his or her consent to service of process by mail is made for the express benefit of each other Party. Final judgment against any Party in any such action, suit or proceeding may be enforced in other jurisdictions by suit, action or proceeding on the judgment, or in any other manner provided by or pursuant to the laws of such other jurisdiction.

 

5


8. Waiver of Statutory Information Rights. The Optionee understands and agrees that, but for the waiver made herein, the Optionee would be entitled, upon written demand under oath stating the purpose thereof, to inspect for any proper purpose, and to make copies and extracts from, the Company’s stock ledger, a list of its stockholders, and its other books and records, and the books and records of subsidiaries of the Company, if any, under the circumstances and in the manner provided in Section 220 of the General Corporation Law of Delaware (any and all such rights, and any and all such other rights of the Optionee as may be provided for in Section 220, the “Inspection Rights”). In light of the foregoing, until the first sale of Stock of the Company to the general public pursuant to a registration statement filed with and declared effective by the Securities and Exchange Commission under the Securities Act, the Optionee hereby unconditionally and irrevocably waives the Inspection Rights, whether such Inspection Rights would be exercised or pursued directly or indirectly pursuant to Section 220 or otherwise, and covenants and agrees never to directly or indirectly commence, voluntarily aid in any way, prosecute, assign, transfer, or cause to be commenced any claim, action, cause of action, or other proceeding to pursue or exercise the Inspection Rights. The foregoing waiver shall not affect any rights of a director, in his or her capacity as such, under Section 220. The foregoing waiver shall not apply to any contractual inspection rights of the Optionee under any other written agreement between the Optionee and the Company.

[SIGNATURE PAGE FOLLOWS]

 

6


The foregoing Agreement is hereby accepted and the terms and conditions thereof hereby agreed to by the undersigned as of the date first above written.

 

Maze Therapeutics, Inc.
By:  

 

  Name:
  Title:
Address:

 

 

The undersigned hereby acknowledges receiving and reviewing a copy of the Plan, including, without limitation, Section 9 thereof, and understands that this Stock Option is subject to the terms of the Plan and of this Agreement. This Agreement is hereby accepted, and the terms and conditions of the Plan, the Grant Notice and this Agreement, SPECIFICALLY INCLUDING THE ARBITRATION PROVISIONS SET FORTH IN SECTION 7 AND THE WAIVER OF STATUTORY INFORMATION RIGHTS SET FORTH IN SECTION 8 OF THIS AGREEMENT, are hereby agreed to, by the undersigned as of the date first above written.

 

OPTIONEE:

 

Name:
Address:

 

 

 

 

SPOUSE’S CONSENT
I acknowledge that I have read the foregoing Non-Qualified Stock Option Agreement and understand the contents thereof.

 

 

7


DESIGNATED BENEFICIARY:

 

Beneficiary’s Address:

 

 

 

 

8


Appendix A

STOCK OPTION EXERCISE NOTICE

 

Maze Therapeutics, Inc.
Attention: President

 

 

Pursuant to the terms of the grant notice and stock option agreement between the undersigned and Maze Therapeutics, Inc. (the “Company”) dated __________ (the “Agreement”) under the Maze Therapeutics, Inc. 2018 Stock Option and Grant Plan (the “Plan”), I, [Insert Name] ________________, hereby [Circle One] partially/fully exercise such option by including herein payment in the amount of $_____________ representing the purchase price for [Fill in number of Shares] _____________ Shares. I have chosen the following form(s) of payment:

 

[ ]    1.    Cash
[ ]    2.    Certified or bank check payable to Maze Therapeutics, Inc.
[ ]    3.    Other (as referenced in the Agreement and described in the Plan (please describe))
      _____________________________________________________.

In connection with my exercise of the option as set forth above, I hereby represent and warrant to the Company as follows:

(i) I am purchasing the Shares for my own account for investment only, and not for resale or with a view to the distribution thereof.

(ii) I have had such an opportunity as I have deemed adequate to obtain from the Company such information as is necessary to permit me to evaluate the merits and risks of my investment in the Company and have consulted with my own advisers with respect to my investment in the Company.

(iii) I have sufficient experience in business, financial and investment matters to be able to evaluate the risks involved in the purchase of the Shares and to make an informed investment decision with respect to such purchase.

(iv) I can afford a complete loss of the value of the Shares and am able to bear the economic risk of holding such Shares for an indefinite period of time.

 

9


(v) I understand that the Shares may not be registered under the Securities Act of 1933 (it being understood that the Shares are being issued and sold in reliance on the exemption provided in Rule 701 thereunder) or any applicable state securities or “blue sky” laws and may not be sold or otherwise transferred or disposed of in the absence of an effective registration statement under the Securities Act of 1933 and under any applicable state securities or “blue sky” laws (or exemptions from the registration requirement thereof). I further acknowledge that certificates representing Shares will bear restrictive legends reflecting the foregoing and/or that book entries for uncertificated Shares will include similar restrictive notations.

(vi) I have read and understand the Plan and acknowledge and agree that the Shares are subject to all of the relevant terms of the Plan, including without limitation, the transfer restrictions set forth in Section 9 of the Plan.

(vii) I understand and agree that the Company has a right of first refusal with respect to the Shares pursuant to Section 9(b) of the Plan.

(viii) I understand and agree that the Company has certain repurchase rights with respect to the Shares pursuant to Section 9(c) of the Plan.

(ix) I understand and agree that I may not sell or otherwise transfer or dispose of the Shares for a period of time following the effective date of a public offering by the Company as described in Section 9(f) of the Plan.

(x) I understand and agree to the waiver of statutory information rights as set forth in Section 8 of the Agreement.

 

Sincerely yours,

 

Name:
Address:

 

 

 

Date:                    

 

10


EARLY EXERCISE

NON-QUALIFIED STOCK OPTION GRANT NOTICE

UNDER THE MAZE THERAPEUTICS, INC.

2018 STOCK OPTION AND GRANT PLAN

Pursuant to the Maze Therapeutics, Inc. 2018 Stock Option and Grant Plan (the “Plan”), Maze Therapeutics, Inc., a Delaware corporation (together with any successor thereto, the “Company”), has granted to the individual named below, an option (the “Stock Option”) to purchase on or prior to the Expiration Date, or such earlier date as is specified herein, all or any part of the number of shares of Common Stock, par value $0.001 per share (“Common Stock”), of the Company indicated below (the “Shares”), at the Option Exercise Price per share, subject to the terms and conditions set forth in this Early Exercise Non-Qualified Stock Option Grant Notice (the “Grant Notice”), the attached Early Exercise Non-Qualified Stock Option Agreement (the “Agreement”) and the Plan. This Stock Option is not intended to qualify as an “incentive stock option” as defined in Section 422(b) of the Internal Revenue Code of 1986, as amended from time to time (the “Code”).

 

Name of Optionee:    __________________ (the “Optionee”)
No. of Shares:    __________ Shares of Common Stock
Grant Date:             
Vesting Commencement Date:    __________________ (the “Vesting Commencement Date”)
Expiration Date:    __________________ (the “Expiration Date”)
Option Exercise Price/Share:    $_________________ (the “Option Exercise Price”)
Vesting Schedule:    [25% of the Shares shall vest on the first anniversary of the Vesting Commencement Date; provided that the Optionee continues to have a Service Relationship with the Company at such time. Thereafter, the remaining 75% of the Shares shall vest in 36 equal monthly installments following the first anniversary of the Vesting Commencement Date, provided the Optionee continues to have a Service Relationship with the Company on each vesting date.] Notwithstanding anything in the Agreement to the contrary, in the case of a Sale Event, this Stock Option and the Shares shall be treated as provided in Section 3(c) of the Plan.

Attachments: Early Exercise Non-Qualified Stock Option Agreement, Restricted Stock Agreement, 2018 Stock Option and Grant Plan


EARLY EXERCISE

NON-QUALIFIED STOCK OPTION AGREEMENT

UNDER THE MAZE THERAPEUTICS, INC.

2018 STOCK OPTION AND GRANT PLAN

All capitalized terms used herein and not otherwise defined shall have the respective meanings set forth in the Grant Notice and the Plan.

1. Vesting, Exercisability and Termination.

(a) This Stock Option shall be immediately exercisable, regardless of whether the Shares are vested.

(b) Except as set forth below, and subject to the determination of the Committee in its sole discretion to accelerate the vesting schedule hereunder, the Shares shall be vested on the respective dates indicated below:

(i) All Shares shall initially be unvested.

(ii) The Shares shall vest in accordance with the Vesting Schedule set forth in the Grant Notice.

(c) Termination. Except as may otherwise be provided by the Committee, if the Optionee’s Service Relationship is terminated, the period within which to exercise this Stock Option will be subject to earlier termination as set forth below (and if not exercised within such period, shall thereafter terminate subject, in each case, to Section 3(c) of the Plan):

(i) Termination Due to Death or Disability. If the Optionee’s Service Relationship terminates by reason of such Optionee’s death or Disability, this Stock Option may continue to be exercised, to the extent the Shares are vested on the date of termination, by the Optionee, the Optionee’s legal representative or legatee for a period of 12 months from the date of death or Disability or until the Expiration Date, if earlier.

(ii) Other Termination. If the Optionee’s Service Relationship terminates for any reason other than death or Disability, and unless otherwise determined by the Committee, this Stock Option may continue to be exercised, to the extent the Shares are vested on the date of termination, for a period of three (3) months from the date of termination or until the Expiration Date, if earlier; provided however, if the Optionee’s Service Relationship is terminated for Cause, this Stock Option shall terminate immediately upon the date of such termination.

For purposes hereof, the Committee’s determination of the reason for termination of the Optionee’s Service Relationship shall be conclusive and binding on the Optionee and his or her representatives or legatees and any Permitted Transferee. Any portion of this Stock Option with respect to Shares that are not vested and exercisable on the date of termination of the Service Relationship shall terminate immediately and be null and void.

 

2


2. Exercise of Stock Option.

(a) The Optionee may exercise this Stock Option only in the following manner: Prior to the Expiration Date, the Optionee may deliver a Stock Option exercise notice (an “Exercise Notice”) in the form of Appendix A hereto indicating his or her election to purchase some or all of the Shares. Such notice shall specify the number of Shares to be purchased. To the extent this Stock Option is only partially exercised, such exercise shall first be with respect to the Shares, if any, that have previously vested, and then with respect to the Shares that will next vest, with the Shares that vest at the latest date being exercised last. Payment of the purchase price may be made by one or more of the methods described in Section 5 of the Plan, subject to the limitations contained in such Section of the Plan, including the requirement that the Committee specifically approve in advance certain payment methods.

(b) In the event the Optionee exercises a portion of this Stock Option with respect to Shares that have not vested, the Optionee shall also deliver a Restricted Stock Agreement covering such unvested Shares in the form of Appendix B hereto (the “Restricted Stock Agreement”) with the same vesting schedule for such Shares as set forth for such Shares herein.

(c) Notwithstanding any other provision hereof or of the Plan, no portion of this Stock Option shall be exercisable after the Expiration Date.

3. Incorporation of Plan. Notwithstanding anything herein to the contrary, this Stock Option shall be subject to and governed by all the terms and conditions of the Plan.

4. Transferability of Stock Option. This Stock Option is personal to the Optionee and is not transferable by the Optionee in any manner other than by will or by the laws of descent and distribution. The Stock Option may be exercised during the Optionee’s lifetime only by the Optionee (or by the Optionee’s guardian or personal representative in the event of the Optionee’s incapacity). The Optionee may elect to designate a beneficiary by providing written notice of the name of such beneficiary to the Company, and may revoke or change such designation at any time by filing written notice of revocation or change with the Company; such beneficiary may exercise the Optionee’s Stock Option in the event of the Optionee’s death to the extent provided herein. If the Optionee does not designate a beneficiary, or if the designated beneficiary predeceases the Optionee, the legal representative of the Optionee may exercise this Stock Option to the extent provided herein in the event of the Optionee’s death.

5. Restrictions on Transfer of Shares. The Shares acquired upon exercise of the Stock Option shall be subject to certain transfer restrictions and other limitations including, without limitation, the provisions contained in Section 9 of the Plan and, if applicable, the Restricted Stock Agreement.

 

3


6. Miscellaneous Provisions.

(a) Equitable Relief. The parties hereto agree and declare that legal remedies may be inadequate to enforce the provisions of this Agreement and that equitable relief, including specific performance and injunctive relief, may be used to enforce the provisions of this Agreement.

(b) Adjustments for Changes in Capital Structure. If, as a result of any reorganization, recapitalization, reincorporation, reclassification, stock dividend, stock split, reverse stock split or other similar change in the Common Stock, the outstanding shares of Common Stock are increased or decreased or are exchanged for a different number or kind of securities of the Company, the restrictions contained in this Agreement shall apply with equal force to additional and/or substitute securities, if any, received by the Optionee in exchange for, or by virtue of his or her ownership of, this Stock Option or Shares acquired pursuant thereto.

(c) Change and Modifications. This Agreement may not be orally changed, modified or terminated, nor shall any oral waiver of any of its terms be effective. This Agreement may be changed, modified or terminated only by an agreement in writing signed by the Company and the Optionee.

(d) Governing Law. This Agreement shall be governed by and construed in accordance with the General Corporation Law of the State of Delaware as to matters within the scope thereof, and as to all other matters shall be governed by and construed in accordance with the internal laws of California, without regard to conflict of law principles that would result in the application of any law other than the law of the State of California.

(e) Headings. The headings are intended only for convenience in finding the subject matter and do not constitute part of the text of this Agreement and shall not be considered in the interpretation of this Agreement.

(f) Saving Clause. If any provision(s) of this Agreement shall be determined to be illegal or unenforceable, such determination shall in no manner affect the legality or enforceability of any other provision hereof.

(g) Notices. All notices, requests, consents and other communications shall be in writing and be deemed given when delivered personally, by telex or facsimile transmission or when received if mailed by first class registered or certified mail, postage prepaid. Notices to the Company or the Optionee shall be addressed as set forth underneath their signatures below, or to such other address or addresses as may have been furnished by such party in writing to the other.

(h) Benefit and Binding Effect. This Agreement shall be binding upon and shall inure to the benefit of the parties hereto, their respective successors, assigns, and legal representatives. The Company has the right to assign this Agreement, and such assignee shall become entitled to all the rights of the Company hereunder to the extent of such assignment.

 

4


(i) Counterparts. For the convenience of the parties and to facilitate execution, this Agreement may be executed in two or more counterparts, each of which shall be deemed an original, but all of which shall constitute one and the same document.

(j) Integration. This Agreement constitutes the entire agreement between the parties with respect to this Stock Option and supersedes all prior agreements and discussions between the parties concerning such subject matter. The execution of this Agreement satisfies in full any express or implied obligation, agreement or promise by or on the part of the Company to grant or issue to the Grantee any equity interest in the Company pursuant to any offer letter, employment agreement, consulting or other written or oral agreement or arrangement as of the Grant Date.

7. Dispute Resolution.

(a) Except as provided below, any dispute arising out of or relating to the Plan or this Stock Option, this Agreement, or the breach, termination or validity of the Plan, this Stock Option or this Agreement, shall be finally settled by binding arbitration conducted expeditiously in accordance with the J.A.M.S./Endispute Comprehensive Arbitration Rules and Procedures (the “J.A.M.S. Rules”). The arbitration shall be governed by the United States Arbitration Act, 9 U.S.C. Sections 1-16, and judgment upon the award rendered by the arbitrators may be entered by any court having jurisdiction thereof. The place of arbitration shall be San Mateo County, California.

(b) The arbitration shall commence within 60 days of the date on which a written demand for arbitration is filed by any party hereto. In connection with the arbitration proceeding, the arbitrator shall have the power to order the production of documents by each party and any third-party witnesses. In addition, each party may take up to three depositions as of right, and the arbitrator may in his or her discretion allow additional depositions upon good cause shown by the moving party. However, the arbitrator shall not have the power to order the answering of interrogatories or the response to requests for admission. In connection with any arbitration, each party to the arbitration shall provide to the other, no later than seven business days before the date of the arbitration, the identity of all persons that may testify at the arbitration and a copy of all documents that may be introduced at the arbitration or considered or used by a party’s witness or expert. The arbitrator’s decision and award shall be made and delivered within six months of the selection of the arbitrator. The arbitrator’s decision shall set forth a reasoned basis for any award of damages or finding of liability. The arbitrator shall not have power to award damages in excess of actual compensatory damages and shall not multiply actual damages or award punitive damages, and each party hereby irrevocably waives any claim to such damages.

(c) The Company, the Optionee, each party to the Agreement and any other holder of Shares issued pursuant to this Agreement (each, a “Party”) covenants and agrees that such party will participate in the arbitration in good faith. This Section 7 applies equally to requests for temporary, preliminary or permanent injunctive relief, except that in the case of temporary or preliminary injunctive relief any party may proceed in court without prior arbitration for the limited purpose of avoiding immediate and irreparable harm.

 

5


(d) Each Party (i) hereby irrevocably submits to the jurisdiction of any United States District Court of competent jurisdiction for the purpose of enforcing the award or decision in any such proceeding, (ii) hereby waives, and agrees not to assert, by way of motion, as a defense, or otherwise, in any such suit, action or proceeding, any claim that it is not subject personally to the jurisdiction of the above named courts, that its property is exempt or immune from attachment or execution (except as protected by applicable law), that the suit, action or proceeding is brought in an inconvenient forum, that the venue of the suit, action or proceeding is improper or that this Agreement or the subject matter hereof may not be enforced in or by such court, and (iii) hereby waives and agrees not to seek any review by any court of any other jurisdiction which may be called upon to grant an enforcement of the judgment of any such court. Each Party hereby consents to service of process by registered mail at the address to which notices are to be given. Each Party agrees that its, his or her submission to jurisdiction and its, his or her consent to service of process by mail is made for the express benefit of each other Party. Final judgment against any Party in any such action, suit or proceeding may be enforced in other jurisdictions by suit, action or proceeding on the judgment, or in any other manner provided by or pursuant to the laws of such other jurisdiction.

8. Waiver of Statutory Information Rights. The Optionee understands and agrees that, but for the waiver made herein, the Optionee would be entitled, upon written demand under oath stating the purpose thereof, to inspect for any proper purpose, and to make copies and extracts from, the Company’s stock ledger, a list of its stockholders, and its other books and records, and the books and records of subsidiaries of the Company, if any, under the circumstances and in the manner provided in Section 220 of the General Corporation Law of Delaware (any and all such rights, and any and all such other rights of the Optionee as may be provided for in Section 220, the “Inspection Rights”). In light of the foregoing, until the first sale of Stock of the Company to the general public pursuant to a registration statement filed with and declared effective by the Securities and Exchange Commission under the Securities Act, the Optionee hereby unconditionally and irrevocably waives the Inspection Rights, whether such Inspection Rights would be exercised or pursued directly or indirectly pursuant to Section 220 or otherwise, and covenants and agrees never to directly or indirectly commence, voluntarily aid in any way, prosecute, assign, transfer, or cause to be commenced any claim, action, cause of action, or other proceeding to pursue or exercise the Inspection Rights. The foregoing waiver shall not affect any rights of a director, in his or her capacity as such, under Section 220. The foregoing waiver shall not apply to any contractual inspection rights of the Optionee under any other written agreement between the Optionee and the Company.

[SIGNATURE PAGE FOLLOWS]

 

6


The foregoing Agreement is hereby accepted and the terms and conditions thereof hereby agreed to by the undersigned as of the date first above written.

 

Maze Therapeutics, Inc.
By:  

 

  Name:
  Title:
Address:

 

 

The undersigned hereby acknowledges receiving and reviewing a copy of the Plan, including, without limitation, Section 9 thereof, and understands that this Stock Option is subject to the terms of the Plan and of this Agreement. This Agreement is hereby accepted, and the terms and conditions of the Plan, the Grant Notice and this Agreement, SPECIFICALLY INCLUDING THE ARBITRATION PROVISIONS SET FORTH IN SECTION 7 AND THE WAIVER OF STATUTORY INFORMATION RIGHTS SET FORTH IN SECTION 8 OF THIS AGREEMENT, are hereby agreed to, by the undersigned as of the date first above written.

 

OPTIONEE:

 

Name:
Address:

 

 

 

 

SPOUSE’S CONSENT
I acknowledge that I have read the foregoing Non-Qualified Stock Option Agreement and understand the contents thereof.

 

 

7


DESIGNATED BENEFICIARY:

 

Beneficiary’s Address:

 

 

 

 

8


Appendix A

STOCK OPTION EXERCISE NOTICE

 

Maze Therapeutics, Inc.
Attention: President

 

 

Pursuant to the terms of the grant notice and stock option agreement between the undersigned and Maze Therapeutics, Inc. (the “Company”) dated __________ (the “Agreement”) under the Maze Therapeutics, Inc. 2018 Stock Option and Grant Plan (the “Plan”), I, [Insert Name] ________________, hereby [Circle One] partially/fully exercise such option by including herein payment in the amount of $______ representing the purchase price for [Fill in number of Shares] _______ Shares. I have chosen the following form(s) of payment:

 

[ ]    1.    Cash
[ ]    2.    Certified or bank check payable to Maze Therapeutics, Inc.
[ ]    3.    Other (as referenced in the Agreement and described in the Plan (please describe)) _____________________________________________________.

In connection with my exercise of the option as set forth above, I hereby represent and warrant to the Company as follows:

(i) I am purchasing the Shares for my own account for investment only, and not for resale or with a view to the distribution thereof.

(ii) I have had such an opportunity as I have deemed adequate to obtain from the Company such information as is necessary to permit me to evaluate the merits and risks of my investment in the Company and have consulted with my own advisers with respect to my investment in the Company.

(iii) I have sufficient experience in business, financial and investment matters to be able to evaluate the risks involved in the purchase of the Shares and to make an informed investment decision with respect to such purchase.

(iv) I can afford a complete loss of the value of the Shares and am able to bear the economic risk of holding such Shares for an indefinite period of time.

(v) I understand that the Shares may not be registered under the Securities Act of 1933 (it being understood that the Shares are being issued and sold in reliance on the exemption provided in Rule 701 thereunder) or any applicable state securities or “blue sky” laws and may not be sold or otherwise transferred or disposed of in the absence of an effective registration statement under the Securities Act of 1933 and under any applicable state securities or “blue sky” laws (or exemptions from the registration requirement thereof). I further acknowledge that certificates representing Shares will bear restrictive legends reflecting the foregoing and/or that book entries for uncertificated Shares will include similar restrictive notations.

 

9


(vi) To the extent required, I have executed and delivered to the Company the Restricted Stock Agreement attached as Appendix B to the Agreement.

(vii) I have read and understand the Plan and acknowledge and agree that the Shares are subject to all of the relevant terms of the Plan, including without limitation, the transfer restrictions set forth in Section 9 of the Plan.

(viii) I understand and agree that the Company has a right of first refusal with respect to the Shares pursuant to Section 9(b) of the Plan.

(ix) I understand and agree that the Company has certain repurchase rights with respect to the Shares pursuant to Section 9(c) of the Plan.

(x) I understand and agree that I may not sell or otherwise transfer or dispose of the Shares for a period of time following the effective date of a public offering by the Company as described in Section 9(f) of the Plan.

(xi) I understand and agree to the waiver of statutory information rights as set forth in Section 8 of the Agreement.

 

Sincerely yours,

 

Name:
Address:

 

 

 

Date:                    

 

10


Appendix B

RESTRICTED STOCK AGREEMENT FOR EARLY EXERCISE OPTION

UNDER THE MAZE THERAPEUTICS, INC.

2018 STOCK OPTION AND GRANT PLAN

All capitalized terms used herein and not otherwise defined shall have the respective meanings set forth in the Early Exercise Non-Qualified Stock Option Grant Notice (the “Grant Notice”) and Early Exercise Non-Qualified Stock Option Agreement (the “Option Agreement”) between Maze Therapeutics, Inc. (the “Company”) and _______________ (the “Grantee”) for __________________ Shares of Common Stock with a Grant Date of ___________, ______ under the Maze Therapeutics, Inc. 2018 Stock Option and Grant Plan (the “Plan”).

1. Purchase and Sale of Shares; Vesting.

(a) Purchase and Sale. The Company hereby sells to the Grantee, and the Grantee hereby purchases from the Company, on ________________, 20[__],1 the number of Shares set forth in the Stock Option Exercise Notice (_______ Shares) dated __________ , pursuant to the Grant Notice and Option Agreement, for the aggregate Option Exercise Price for the Shares so purchased.

(b) Vesting. The risk of forfeiture shall lapse with respect to the Shares, and such Shares shall become vested, on the respective dates indicated on the Vesting Schedule set forth in the Grant Notice.

2. Repurchase Right. Upon a Termination Event, the Company shall have the right to repurchase Shares of Restricted Stock that are unvested as of the date of such Termination Event as set forth in Section 9(c) of the Plan.

3. Restrictions on Transfer of Shares. The Shares (whether or not vested) shall be subject to certain transfer restrictions and other limitations including, without limitation, the provisions contained in Section 9 of the Plan

4. Incorporation of Plan. Notwithstanding anything herein to the contrary, this Restricted Stock Agreement shall be subject to and governed by all the terms and conditions of the Plan.

5. Miscellaneous Provisions.

(a) Record Owner; Dividends. The Grantee and any Permitted Transferees, during the duration of this Agreement, shall be considered the record owners of and shall be entitled to vote the Shares if and to the extent the Shares are entitled to voting rights. The Grantee and any Permitted Transferees shall be entitled to receive all dividends and any other distributions declared on the Shares; provided, however, that the Company is under no duty to declare any such dividends or to make any such distribution.

 

1 

To be filled in with date of stock purchase/option exercise.


(b) Section 83(b) Election. The Grantee shall consult with the Grantee’s tax advisor to determine whether it would be appropriate for the Grantee to make an election under Section 83(b) of the Code with respect to the Shares. Any such election must be filed with the Internal Revenue Service within 30 days of the date of exercise. If the Grantee makes an election under Section 83(b) of the Code, the Grantee shall give prompt notice to the Company (and provide a copy of such election to the Company). A sample Section 83(b) election is attached to this Agreement as Exhibit A.

(c) Equitable Relief. The parties hereto agree and declare that legal remedies may be inadequate to enforce the provisions of this Agreement and that equitable relief, including specific performance and injunctive relief, may be used to enforce the provisions of this Agreement.

(d) Change and Modifications. This Agreement may not be orally changed, modified or terminated, nor shall any oral waiver of any of its terms be effective. This Agreement may be changed, modified or terminated only by an agreement in writing signed by the Company and the Grantee.

(e) Governing Law. This Agreement shall be governed by and construed in accordance with the General Corporation Law of the State of Delaware as to matters within the scope thereof, and as to all other matters shall be governed by and construed in accordance with the internal laws of California, without regard to conflict of law principles that would result in the application of any law other than the law of the State of California.

(f) Headings. The headings are intended only for convenience in finding the subject matter and do not constitute part of the text of this Agreement and shall not be considered in the interpretation of this Agreement.

(g) Saving Clause. If any provision(s) of this Agreement shall be determined to be illegal or unenforceable, such determination shall in no manner affect the legality or enforceability of any other provision hereof.

(h) Notices. All notices, requests, consents and other communications shall be in writing and be deemed given when delivered personally, by telex or facsimile transmission or when received if mailed by first class registered or certified mail, postage prepaid. Notices to the Company or the Grantee shall be addressed as set forth underneath their signatures below, or to such other address or addresses as may have been furnished by such party in writing to the other.

(i) Benefit and Binding Effect. This Agreement shall be binding upon and shall inure to the benefit of the parties hereto, their respective successors, assigns, and legal representatives. The Company has the right to assign this Agreement, and such assignee shall become entitled to all the rights of the Company hereunder to the extent of such assignment.

 

12


(j) Counterparts. For the convenience of the parties and to facilitate execution, this Agreement may be executed in two or more counterparts, each of which shall be deemed an original, but all of which shall constitute one and the same document.

6. Dispute Resolution.

(a) Except as provided below, any dispute arising out of or relating to the Plan or the Shares, this Agreement, or the breach, termination or validity of the Plan, the Shares or this Agreement, shall be finally settled by binding arbitration conducted expeditiously in accordance with the J.A.M.S./Endispute Comprehensive Arbitration Rules and Procedures (the “J.A.M.S. Rules”). The arbitration shall be governed by the United States Arbitration Act, 9 U.S.C. Sections 1—16, and judgment upon the award rendered by the arbitrators may be entered by any court having jurisdiction thereof. The place of arbitration shall be San Mateo County, California.

(b) The arbitration shall commence within 60 days of the date on which a written demand for arbitration is filed by any party hereto. In connection with the arbitration proceeding, the arbitrator shall have the power to order the production of documents by each party and any third-party witnesses. In addition, each party may take up to three depositions as of right, and the arbitrator may in his or her discretion allow additional depositions upon good cause shown by the moving party. However, the arbitrator shall not have the power to order the answering of interrogatories or the response to requests for admission. In connection with any arbitration, each party to the arbitration shall provide to the other, no later than seven business days before the date of the arbitration, the identity of all persons that may testify at the arbitration and a copy of all documents that may be introduced at the arbitration or considered or used by a party’s witness or expert. The arbitrator’s decision and award shall be made and delivered within six months of the selection of the arbitrator. The arbitrator’s decision shall set forth a reasoned basis for any award of damages or finding of liability. The arbitrator shall not have power to award damages in excess of actual compensatory damages and shall not multiply actual damages or award punitive damages, and each party hereby irrevocably waives any claim to such damages.

(c) The Company, the Grantee, each party to the Agreement and any other holder of Shares issued pursuant to this Agreement (each, a “Party”) covenants and agrees that such party will participate in the arbitration in good faith. This Section 6 applies equally to requests for temporary, preliminary or permanent injunctive relief, except that in the case of temporary or preliminary injunctive relief any party may proceed in court without prior arbitration for the limited purpose of avoiding immediate and irreparable harm.

(d) Each Party (i) hereby irrevocably submits to the jurisdiction of any United States District Court of competent jurisdiction for the purpose of enforcing the award or decision in any such proceeding, (ii) hereby waives, and agrees not to assert, by way of motion, as a defense, or otherwise, in any such suit, action or proceeding, any claim that it is not subject personally to the jurisdiction of the above named courts, that its property is exempt or immune from attachment or execution (except as protected by applicable law), that the suit, action or proceeding is brought in an inconvenient forum, that the venue of the suit, action or proceeding is improper or that this Agreement or the subject matter hereof may not be enforced in or by such

 

13


court, and (iii) hereby waives and agrees not to seek any review by any court of any other jurisdiction which may be called upon to grant an enforcement of the judgment of any such court. Each Party hereby consents to service of process by registered mail at the address to which notices are to be given. Each Party agrees that its, his or her submission to jurisdiction and its, his or her consent to service of process by mail is made for the express benefit of each other Party. Final judgment against any Party in any such action, suit or proceeding may be enforced in other jurisdictions by suit, action or proceeding on the judgment, or in any other manner provided by or pursuant to the laws of such other jurisdiction.

7. Waiver of Statutory Information Rights. The Grantee understands and agrees that, but for the waiver made herein, the Grantee would be entitled, upon written demand under oath stating the purpose thereof, to inspect for any proper purpose, and to make copies and extracts from, the Company’s stock ledger, a list of its stockholders, and its other books and records, and the books and records of subsidiaries of the Company, if any, under the circumstances and in the manner provided in Section 220 of the General Corporation Law of Delaware (any and all such rights, and any and all such other rights of the Grantee as may be provided for in Section 220, the “Inspection Rights”). In light of the foregoing, until the first sale of Stock of the Company to the general public pursuant to a registration statement filed with and declared effective by the Securities and Exchange Commission under the Securities Act, the Grantee hereby unconditionally and irrevocably waives the Inspection Rights, whether such Inspection Rights would be exercised or pursued directly or indirectly pursuant to Section 220 or otherwise, and covenants and agrees never to directly or indirectly commence, voluntarily aid in any way, prosecute, assign, transfer, or cause to be commenced any claim, action, cause of action, or other proceeding to pursue or exercise the Inspection Rights. The foregoing waiver shall not affect any rights of a director, in his or her capacity as such, under Section 220. The foregoing waiver shall not apply to any contractual inspection rights of the Grantee under any other written agreement between the Grantee and the Company.

[SIGNATURE PAGE FOLLOWS]

 

14


The foregoing Restricted Stock Agreement is hereby accepted and the terms and conditions thereof are hereby agreed to by the undersigned as of the date written in Section 1(a) above.

 

Maze Therapeutics, Inc.
By:  

 

  Name:
  Title:
Address:

 

 


The undersigned hereby acknowledges receiving and reviewing a copy of the Plan, including, without limitation, Section 9 thereof and understands that the Shares purchased hereby are subject to the terms of the Plan, the Grant Notice, and this Agreement. This Agreement is hereby accepted, and the terms and conditions of the Plan, the Grant Notice and this Agreement, SPECIFICALLY INCLUDING THE ARBITRATION PROVISIONS SET FORTH IN SECTION 6 AND THE WAIVER OF STATUTORY INFORMATION RIGHTS SET FORTH IN SECTION 7 OF THIS AGREEMENT, are hereby agreed to, by the undersigned as of the date first above written.

 

GRANTEE:

 

Name:
Address:

 

 

 

SPOUSE’S CONSENT2
I acknowledge that I have read the foregoing Restricted Stock Agreement and understand the contents thereof.

 

 

2 

A spouse’s consent is required only if the Grantee’s state of residence is one of the following community property states: Arizona, California, Idaho, Louisiana, New Mexico, Nevada, Texas, Washington and Wisconsin.


EXHIBIT A

Section 83(b) Election

The undersigned hereby elects pursuant to §83(b) of the Internal Revenue Code of 1986, as amended, to include in gross income as compensation for services the excess (if any) of the fair market value of the shares described below over the amount paid for those shares.

 

1.   The name, taxpayer identification number, address of the undersigned, and the taxable year for which this election is being made are:
  Name:                 
  Address:                 
                  
  Social Security No.:                 
  Taxable Year: Calendar Year 20__   
2.   The property which is the subject of this election is [number of unvested shares] shares of common stock of Maze Therapeutics, Inc.
3.   The property was transferred to the undersigned on [date of purchase/transfer].
4.   The property is subject to the following restrictions:
  The Shares will be subject to restrictions on transfer and risk of forfeiture upon termination of service relationship and in certain other events.
5.   The fair market value of the property at time of transfer (determined without regard to any restrictions other than nonlapse restrictions as defined in §1.83-3(h) of the Income Tax Regulations) is $[current FMV] per share x [number of unvested shares] shares = $_______________.
6.   For the property transferred, the undersigned paid $[exercise price] per share x [number of unvested shares] shares = $_________________.
7.   The amount to include in gross income is $[amount reported in Item 5 minus the amount reported in Item 6].

The undersigned taxpayer will file this election with the Internal Revenue Service Office with which the taxpayer files his or her annual income tax return not later than 30 days after the date of transfer of the property, at the IRS address listed for the taxpayer’s state under “Are you not including a check or money order . . .” given in Where Do You File in the Instructions for Form 1040 and the Instructions for Form 1040A (which information can also be found at: https://www.irs.gov/uac/where-to-file-addresses-for-taxpayers-and-tax-professionals ). A copy of the election will also be furnished to the person for whom the services were performed. The undersigned is the person performing services in connection with which the property was transferred.

 

Dated: __________________, 20__    

 

    Taxpayer


RESTRICTED STOCK AWARD NOTICE

UNDER THE MAZE THERAPEUTICS, INC.

2018 STOCK OPTION AND GRANT PLAN

Pursuant to the Maze Therapeutics, Inc. 2018 Stock Option and Grant Plan (the “Plan”), Maze Therapeutics, Inc., a Delaware corporation (together with any successor, the “Company”), hereby grants, sells and issues to the individual named below, the Shares at the Per Share Purchase Price, subject to the terms and conditions set forth in this Restricted Stock Award Notice (the “Award Notice”), the attached Restricted Stock Agreement (the “Agreement”) and the Plan. The Grantee agrees to the provisions set forth herein and acknowledges that each such provision is a material condition of the Company’s agreement to issue and sell the Shares to him or her. The Company hereby acknowledges receipt of $[_______] in full payment for the Shares. All references to share prices and amounts herein shall be equitably adjusted to reflect stock splits, stock dividends, recapitalizations, mergers, reorganizations and similar changes affecting the capital stock of the Company, and any shares of capital stock of the Company received on or in respect of Shares in connection with any such event (including any shares of capital stock or any right, option or warrant to receive the same or any security convertible into or exchangeable for any such shares or received upon conversion of any such shares) shall be subject to this Agreement on the same basis and extent at the relevant time as the Shares in respect of which they were issued, and shall be deemed Shares as if and to the same extent they were issued at the date hereof.

 

Name of Grantee:    _________________ (the “Grantee”)
No. of Shares:    _________ Shares of Common Stock (the “Shares”)
Grant Date:    ____________ __, ____
Date of Purchase of Shares:    ____________ __, ____
Vesting Commencement Date:    ____________ __, ____ (the “Vesting Commencement Date”)
Per Share Purchase Price:    $________ (the “Per Share Purchase Price”)
Vesting Schedule:    [25% of the Shares shall vest on the first anniversary of the Vesting Commencement Date, provided that the Grantee continues to have a Service Relationship with the Company at such time. Thereafter, the remaining 75% of the Shares shall vest in 36 equal monthly installments following the first anniversary of the Vesting Commencement Date, provided the Grantee continues to have a Service Relationship with the Company at such time.] Notwithstanding anything in the Agreement to the contrary in the case of a Sale Event, the Shares of Restricted Stock shall be treated as provided in Section 3(c) of the Plan.

Attachments: Restricted Stock Agreement, 2018 Stock Option and Grant Plan


RESTRICTED STOCK AGREEMENT

UNDER THE MAZE THERAPEUTICS, INC.

2018 STOCK OPTION AND GRANT PLAN

All capitalized terms used herein and not otherwise defined shall have the respective meanings set forth in the Award Notice and the Plan.

1. Purchase and Sale of Shares; Vesting; Investment Representations.

(a) Purchase and Sale. The Company hereby sells to the Grantee, and the Grantee hereby purchases from the Company, the number of Shares set forth in the Award Notice for the Per Share Purchase Price.

(b) Vesting. Initially, all of the Shares are non-transferable and subject to a substantial risk of forfeiture and are Shares of Restricted Stock. The risk of forfeiture shall lapse with respect to the Shares on the respective dates indicated on the Vesting Schedule set forth in the Award Notice.

(c) Investment Representations. In connection with the purchase and sale of the Shares contemplated by Section 1(a) above, the Grantee hereby represents and warrants to the Company as follows:

(i) The Grantee is purchasing the Shares for the Grantee’s own account for investment only, and not for resale or with a view to the distribution thereof.

(ii) The Grantee has had such an opportunity as he or she has deemed adequate to obtain from the Company such information as is necessary to permit him or her to evaluate the merits and risks of the Grantee’s investment in the Company and has consulted with the Grantee’s own advisers with respect to the Grantee’s investment in the Company.

(iii) The Grantee has sufficient experience in business, financial and investment matters to be able to evaluate the risks involved in the purchase of the Shares and to make an informed investment decision with respect to such purchase.

(iv) The Grantee can afford a complete loss of the value of the Shares and is able to bear the economic risk of holding such Shares for an indefinite period.

(v) The Grantee understands that the Shares are not registered under the Act (it being understood that the Shares are being issued and sold in reliance on the exemption provided in Rule 701 thereunder) or any applicable state securities or “blue sky” laws and may not be sold or otherwise transferred or disposed of in the absence of an effective registration statement under the Act and under any applicable state securities or “blue sky” laws (or exemptions from the registration requirements thereof). The Grantee further acknowledges that certificates representing the Shares will bear restrictive legends reflecting the foregoing and/or that book entries for uncertificated Shares will include similar restrictive notations.

 

2


(vi) The Grantee has read and understands the Plan and acknowledges and agrees that the Shares are subject to all of the relevant terms of the Plan, including without limitation, the transfer restrictions set forth in Section 9 of the Plan.

(vii) The Grantee understands and agrees that the Company has a right of first refusal with respect to the Shares pursuant to Section 9(b) of the Plan.

(viii) The Grantee understands and agree that the Company has certain repurchase rights with respect to the Shares pursuant to Section 9(c) of the Plan.

(ix) The Grantee understands and agrees that the Grantee may not sell or otherwise transfer or dispose of the Shares for a period of time following the effective date of a public offering by the Company as described in Section 9(f) of the Plan.

2. Repurchase Right. Upon a Termination Event, the Company shall have the right to repurchase Shares of Restricted Stock that are unvested as of the date of such Termination Event as set forth in Section 9(c) of the Plan.

3. Restrictions on Transfer of Shares. The Shares (whether or not vested) shall be subject to certain transfer restrictions and other limitations including, without limitation, the provisions contained in Section 9 of the Plan

4. Incorporation of Plan. Notwithstanding anything herein to the contrary, this Restricted Stock Award shall be subject to and governed by all the terms and conditions of the Plan.

5. Miscellaneous Provisions.

(a) Record Owner; Dividends. The Grantee and any Permitted Transferees, during the duration of this Agreement, shall be considered the record owners of and shall be entitled to vote the Shares if and to the extent the Shares are entitled to voting rights. The Grantee and any Permitted Transferees shall be entitled to receive all dividends and any other distributions declared on the Shares; provided, however, that the Company is under no duty to declare any such dividends or to make any such distribution.

(b) Section 83(b) Election. The Grantee shall consult with the Grantee’s tax advisor to determine whether it would be appropriate for the Grantee to make an election under Section 83(b) of the Code with respect to this Award. Any such election must be filed with the Internal Revenue Service within 30 days of the date of this Award. If the Grantee makes an election under Section 83(b) of the Code, the Grantee shall give prompt notice to the Company (and provide a copy of such election to the Company). A sample Section 83(b) election is attached to this Award as Exhibit A.

(c) Equitable Relief. The parties hereto agree and declare that legal remedies may be inadequate to enforce the provisions of this Agreement and that equitable relief, including specific performance and injunctive relief, may be used to enforce the provisions of this Agreement.

 

3


(d) Change and Modifications. This Agreement may not be orally changed, modified or terminated, nor shall any oral waiver of any of its terms be effective. This Agreement may be changed, modified or terminated only by an agreement in writing signed by the Company and the Grantee.

(e) Governing Law. This Agreement shall be governed by and construed in accordance with the General Corporation Law of the State of Delaware as to matters within the scope thereof, and as to all other matters shall be governed by and construed in accordance with the internal laws of California, without regard to conflict of law principles that would result in the application of any law other than the law of the State of California.

(f) Headings. The headings are intended only for convenience in finding the subject matter and do not constitute part of the text of this Agreement and shall not be considered in the interpretation of this Agreement.

(g) Saving Clause. If any provision(s) of this Agreement shall be determined to be illegal or unenforceable, such determination shall in no manner affect the legality or enforceability of any other provision hereof.

(h) Notices. All notices, requests, consents and other communications shall be in writing and be deemed given when delivered personally, by telex or facsimile transmission or when received if mailed by first class registered or certified mail, postage prepaid. Notices to the Company or the Grantee shall be addressed as set forth underneath their signatures below, or to such other address or addresses as may have been furnished by such party in writing to the other.

(i) Benefit and Binding Effect. This Agreement shall be binding upon and shall inure to the benefit of the parties hereto, their respective successors, assigns, and legal representatives. The Company has the right to assign this Agreement, and such assignee shall become entitled to all the rights of the Company hereunder to the extent of such assignment.

(j) Counterparts. For the convenience of the parties and to facilitate execution, this Agreement may be executed in two or more counterparts, each of which shall be deemed an original, but all of which shall constitute one and the same document.

(k) Integration. This Agreement constitutes the entire agreement between the parties with respect to this Award and supersedes all prior agreements and discussions between the parties concerning such subject matter. The execution of this Agreement satisfies in full any express or implied obligation, agreement or promise by or on the part of the Company to grant or issue to the Grantee any equity interest in the Company pursuant to any offer letter, employment agreement, consulting or other written or oral agreement or arrangement as of the Grant Date.

 

4


6. Dispute Resolution.

(a) Except as provided below, any dispute arising out of or relating to the Plan or the Shares, this Agreement, or the breach, termination or validity of the Plan, the Shares or this Agreement, shall be finally settled by binding arbitration conducted expeditiously in accordance with the J.A.M.S./Endispute Comprehensive Arbitration Rules and Procedures (the “J.A.M.S. Rules”). The arbitration shall be governed by the United States Arbitration Act, 9 U.S.C. Sections 1—16, and judgment upon the award rendered by the arbitrators may be entered by any court having jurisdiction thereof. The place of arbitration shall be San Mateo County, California.

(b) The arbitration shall commence within 60 days of the date on which a written demand for arbitration is filed by any party hereto. In connection with the arbitration proceeding, the arbitrator shall have the power to order the production of documents by each party and any third-party witnesses. In addition, each party may take up to three depositions as of right, and the arbitrator may in his or her discretion allow additional depositions upon good cause shown by the moving party. However, the arbitrator shall not have the power to order the answering of interrogatories or the response to requests for admission. In connection with any arbitration, each party to the arbitration shall provide to the other, no later than seven business days before the date of the arbitration, the identity of all persons that may testify at the arbitration and a copy of all documents that may be introduced at the arbitration or considered or used by a party’s witness or expert. The arbitrator’s decision and award shall be made and delivered within six months of the selection of the arbitrator. The arbitrator’s decision shall set forth a reasoned basis for any award of damages or finding of liability. The arbitrator shall not have power to award damages in excess of actual compensatory damages and shall not multiply actual damages or award punitive damages, and each party hereby irrevocably waives any claim to such damages.

(c) The Company, the Grantee, each party to the Agreement and any other holder of Shares issued pursuant to this Agreement (each, a “Party”) covenants and agrees that such party will participate in the arbitration in good faith. This Section 6 applies equally to requests for temporary, preliminary or permanent injunctive relief, except that in the case of temporary or preliminary injunctive relief any party may proceed in court without prior arbitration for the limited purpose of avoiding immediate and irreparable harm.

(d) Each Party (i) hereby irrevocably submits to the jurisdiction of any United States District Court of competent jurisdiction for the purpose of enforcing the award or decision in any such proceeding, (ii) hereby waives, and agrees not to assert, by way of motion, as a defense, or otherwise, in any such suit, action or proceeding, any claim that it is not subject personally to the jurisdiction of the above named courts, that its property is exempt or immune from attachment or execution (except as protected by applicable law), that the suit, action or proceeding is brought in an inconvenient forum, that the venue of the suit, action or proceeding is improper or that this Agreement or the subject matter hereof may not be enforced in or by such court, and (iii) hereby waives and agrees not to seek any review by any court of any other jurisdiction which may be called upon to grant an enforcement of the judgment of any such court. Each Party hereby consents to service of process by registered mail at the address to which notices are to be given. Each Party agrees that its, his or her submission to jurisdiction and its, his or her consent to service of process by mail is made for the express benefit of each other Party. Final judgment against any Party in any such action, suit or proceeding may be enforced in other jurisdictions by suit, action or proceeding on the judgment, or in any other manner provided by or pursuant to the laws of such other jurisdiction.

 

5


7. Waiver of Statutory Information Rights. The Grantee understands and agrees that, but for the waiver made herein, the Grantee would be entitled, upon written demand under oath stating the purpose thereof, to inspect for any proper purpose, and to make copies and extracts from, the Company’s stock ledger, a list of its stockholders, and its other books and records, and the books and records of subsidiaries of the Company, if any, under the circumstances and in the manner provided in Section 220 of the General Corporation Law of Delaware (any and all such rights, and any and all such other rights of the Grantee as may be provided for in Section 220, the “Inspection Rights”). In light of the foregoing, until the first sale of Stock of the Company to the general public pursuant to a registration statement filed with and declared effective by the Securities and Exchange Commission under the Securities Act, the Grantee hereby unconditionally and irrevocably waives the Inspection Rights, whether such Inspection Rights would be exercised or pursued directly or indirectly pursuant to Section 220 or otherwise, and covenants and agrees never to directly or indirectly commence, voluntarily aid in any way, prosecute, assign, transfer, or cause to be commenced any claim, action, cause of action, or other proceeding to pursue or exercise the Inspection Rights. The foregoing waiver shall not affect any rights of a director, in his or her capacity as such, under Section 220. The foregoing waiver shall not apply to any contractual inspection rights of the Grantee under any other written agreement between the Grantee and the Company.

[SIGNATURE PAGE FOLLOWS]

 

6


The foregoing Restricted Stock Agreement is hereby accepted and the terms and conditions thereof are hereby agreed to by the undersigned as of the date of purchase of Shares above written.

 

Maze Therapeutics, Inc.
By:  

 

  Name:
  Title:
Address:  

 

 

The undersigned hereby acknowledges receiving and reviewing a copy of the Plan, including, without limitation, Section 9 thereof and understands that the Shares granted hereby are subject to the terms of the Plan and of this Agreement. This Agreement is hereby accepted, and the terms and conditions of the Plan, the Award Notice and this Agreement, SPECIFICALLY INCLUDING THE ARBITRATION PROVISIONS SET FORTH IN SECTION 6 AND THE WAIVER OF STATUTORY INFORMATION RIGHTS SET FORTH IN SECTION 7 OF THIS AGREEMENT, are hereby agreed to, by the undersigned as of the date first above written.

 

GRANTEE:

 

Name:  
Address:  

 

 

 

SPOUSE’S CONSENT

I acknowledge that I have read the

foregoing Restricted Stock Agreement

and understand the contents thereof.

 

 

7


EXHIBIT A

Section 83(b) Election

The undersigned hereby elects pursuant to §83(b) of the Internal Revenue Code of 1986, as amended, to include in gross income as compensation for services the excess (if any) of the fair market value of the shares described below over the amount paid for those shares.

 

1.  The name, taxpayer identification number, address of the undersigned, and the taxable year for which this election is being made are:

Name:                       

Address:                       

                         

Social Security No.:                  

Taxable Year: Calendar Year 20__

2.  The property which is the subject of this election is [number of unvested shares] shares of common stock of Maze Therapeutics, Inc.

3.  The property was transferred to the undersigned on [date of purchase/transfer].

4.  The property is subject to the following restrictions:

The Shares will be subject to restrictions on transfer and risk of forfeiture upon termination of service relationship and in certain other events.

5.  The fair market value of the property at time of transfer (determined without regard to any restrictions other than nonlapse restrictions as defined in §1.83-3(h) of the Income Tax Regulations) is $[current FMV] per share x [number of unvested shares] shares = $_______________.

6.  For the property transferred, the undersigned paid $[exercise price] per share x [number of unvested shares] shares = $_________________.

7.  The amount to include in gross income is $[amount reported in Item 5 minus the amount reported in Item 6].

The undersigned taxpayer will file this election with the Internal Revenue Service Office with which the taxpayer files his or her annual income tax return not later than 30 days after the date of transfer of the property, at the IRS address listed for the taxpayer’s state under “Are you not including a check or money order . . .” given in Where Do You File in the Instructions for Form 1040 and the Instructions for Form 1040A (which information can also be found at: https://www.irs.gov/uac/where-to-file-addresses-for-taxpayers-and-tax-professionals ). A copy of the election will also be furnished to the person for whom the services were performed. The undersigned is the person performing services in connection with which the property was transferred.

 

Dated: __________________, 20__         

 

      Taxpayer
EX-10.3

Exhibit 10.3

MAZE THERAPEUTICS, INC.

2019 EQUITY INCENTIVE PLAN

As Adopted on August 22, 2019

1. PURPOSE. The purpose of this Plan is to provide incentives to attract, retain and motivate eligible persons whose present and potential contributions are important to the success of the Company, its Parent and Subsidiaries by offering eligible persons an opportunity to participate in the Company’s future performance through the grant of Awards covering Shares. Capitalized terms not defined in the text are defined in Section 14 hereof. Although this Plan is intended to be a written compensatory benefit plan within the meaning of Rule 701, grants may be made pursuant to this Plan that do not qualify for exemption under Rule 701 or Section 25102(o). Any requirement of this Plan that is required in law only because of Section 25102(o) need not apply if the Committee so provides.

2. SHARES SUBJECT TO THE PLAN.

2.1 Number of Shares Available. Subject to Sections 2.2 and 11 hereof, the total number of Shares reserved and available for grant and issuance pursuant to this Plan will be (a) any authorized shares not issued or subject to outstanding grants under the Company’s 2018 Stock Option and Grant Plan (the “Prior Plan”) on the Effective Date (as defined in Section 13.1 hereof), which is equal to 6,316,715 shares; (b) shares that are subject to issuance under the Prior Plan but cease to be subject to an award for any reason other than exercise of an option after the Effective Date; and (c) shares that were issued under the Prior Plan which are repurchased by the Company or which are forfeited or used to pay withholding obligations or pay the exercise price of an Option. Subject to Sections 2.2 and 11 hereof, (A) in the event that Shares previously issued under the Plan are reacquired by the Company pursuant to a forfeiture provision, right of first refusal, or repurchase by the Company, such Shares shall be added to the number of Shares then available for issuance under the Plan; (B) in the event that Shares that otherwise would have been issuable under the Plan are withheld by the Company in payment of the Purchase Price, Exercise Price or withholding obligations, such Shares shall remain available for issuance under the Plan; and (C) in the event that an outstanding Option, Restricted Stock Unit or SAR for any reason expires or is cancelled, forfeited or terminated, the Shares allocable to the unexercised or unsettled portion of such Option, Restricted Stock Unit or SAR, as applicable, shall remain available for issuance under the Plan. To the extent an Award is settled in cash, the cash settlement shall not reduce the number of Shares remaining available for issuance under the Plan. At all times the Company will reserve and keep available a sufficient number of Shares as will be required to satisfy the requirements of all Awards granted and outstanding under this Plan. In no event shall the total number of Shares issued (counting each reissuance of a Share that was previously issued and then reacquired by the Company pursuant to a forfeiture provision, right of first refusal, or repurchase by the Company as a separate issuance) under the Plan upon exercise of ISOs (as defined in Section 4 hereof) exceed 51,000,000 Shares (adjusted in proportion to any adjustments under Section 2.2 hereof) over the term of the Plan.

2.2 Adjustment of Shares. In the event that the Company’s Common Stock is changed by a stock dividend, recapitalization, stock split, reverse stock split, subdivision, combination, reclassification or other change in the capital structure of the Company affecting Shares without consideration, then in order to prevent diminution or enlargement of the benefits or potential benefits intended to be made available under the Plan (a) the number and class of Shares reserved for issuance under this Plan, (b) the Exercise Prices of and number and class of Shares subject to outstanding Options and SARs, and (c) the Purchase Prices of and/or number and class of Shares subject to other outstanding Awards will (to the extent appropriate) be proportionately adjusted, subject to any required action by the Board or the stockholders of the Company and compliance with applicable securities or other laws; provided, however, that fractions of a Share will not be issued but will either be paid in cash at the Fair Market Value of such fraction of a Share or will be rounded down to the nearest whole Share, as determined by the Committee.

 

1


3. PLAN FOR BENEFIT OF SERVICE PROVIDERS.

3.1 Eligibility. The Committee will have the authority to select persons to receive Awards. ISOs may be granted only to employees (including officers and directors who are also employees) of the Company or of a Parent or Subsidiary of the Company. NQSOs (as defined in Section 4 hereof) and all other types of Awards may be granted to employees, officers, directors and consultants of the Company or any Parent or Subsidiary of the Company; provided such consultants render bona fide services not in connection with the offer and sale of securities in a capital-raising transaction when Rule 701 is to apply to the Award granted for such services. A person may be granted more than one Award under this Plan.

3.2 No Obligation to Employ. Nothing in this Plan or any Award granted under this Plan will confer or be deemed to confer on any Participant any right to continue in the employ of, or to continue any other relationship with, the Company or any Subsidiary or Parent of the Company or limit in any way the right of the Company or any Subsidiary or Parent of the Company to terminate Participant’s employment or other relationship at any time, with or without Cause.

4. OPTIONS. The Committee may grant Options to eligible persons described in Section 3 hereof and will determine whether such Options will be Incentive Stock Options within the meaning of the Code (“ISOs”) or Nonqualified Stock Options (“NQSOs”), the number of Shares subject to the Option, the Exercise Price of the Option, the period during which the Option may be exercised, and all other terms and conditions of the Option, subject to the following.

4.1 Form of Option Grant. Each Option granted under this Plan will be evidenced by an Award Agreement which will expressly identify the Option as an ISO or an NQSO (“Stock Option Agreement”), and will be in such form and contain such provisions (which may be electronic or written and need not be the same for each Participant) as the Committee may from time to time approve, and which will comply with and be subject to the terms and conditions of this Plan.

4.2 Date of Grant. The date of grant of an Option will be the date on which the Committee makes the determination to grant such Option, unless a later date is otherwise specified by the Committee. The Stock Option Agreement and a copy of this Plan will be delivered to the Participant within a reasonable time after the granting of the Option.

4.3 Exercise Period. Options may be exercisable within the time or upon the events determined by the Committee in the Award Agreement and may be awarded as immediately exercisable but subject to repurchase pursuant to Section 10 hereof or may be exercisable within the times or upon the events determined by the Committee as set forth in the Stock Option Agreement governing such Option; provided, however, that (a) no Option will be exercisable after the expiration of ten (10) years from the date the Option is granted; and (b) no ISO granted to a person who directly or by attribution owns more than ten percent (10%) of the total combined voting power of all classes of stock of the Company or of any Subsidiary or Parent of the Company (“Ten Percent Stockholder”) will be exercisable after the expiration of five (5) years from the date the ISO is granted; but in no event shall an Option granted to an employee who is a non-exempt employee for purposes of overtime pay under the U.S. Fair Labor Standards Act of 1938 be exercisable earlier than six (6) months after its date of grant. The Committee also may provide for Options to become exercisable at one time or from time to time, periodically or otherwise, in such number of Shares or percentage of Shares as the Committee determines.

 

2


4.4 Exercise Price. The Exercise Price of an Option will be determined by the Committee when the Option is granted and shall not be less than the Fair Market Value per Share on the date of grant unless expressly determined in writing by the Committee; provided that the Exercise Price of an ISO granted to a Ten Percent Stockholder will not be less than one hundred ten percent (110%) of the Fair Market Value of the Shares on the date of grant. Payment for the Shares purchased must be made in accordance with Section 8 hereof.

4.5 Method of Exercise. Options may be exercised only by delivery to the Company of a stock option exercise agreement (accepted via written, electronic or other means) (the “Exercise Agreement”) in a form approved by the Committee (which need not be the same for each Participant). The Exercise Agreement will state (a) the number of Shares being purchased, (b) the restrictions imposed on the Shares purchased under such Exercise Agreement, if any, and (c) such representations and agreements regarding Participant’s investment intent and access to information and other matters, if any, as may be required or desirable by the Company to comply with applicable securities or other laws. Each Participant’s Exercise Agreement may be modified by (i) agreement of Participant and the Company or (ii) substitution by the Company, upon becoming a public company, in order to add the payment terms set forth in Section 8.1 that apply to a public company and such other terms as shall be necessary or advisable in order to exercise a public company option. Upon exercise of an Option, Participant shall execute and deliver to the Company the Exercise Agreement then in effect, together with payment in full of the Exercise Price for the number of Shares being purchased and satisfaction of any applicable Tax-Related Obligations (as defined in Section 8.2 hereof). No adjustment will be made for a dividend or other right for which the record date is prior to the date the Shares are issued, except as provided in Section 2.2 of the Plan. Exercising an Option in any manner will decrease the number of Shares thereafter available, both for purposes of the Plan and for sale under the Option, by the number of Shares as to which the Option is exercised.

4.6 Termination. Subject to earlier termination pursuant to Sections 11 and 13 hereof and subject to any longer exercise periods set forth in the Stock Option Agreement, exercise of an Option will always be subject to the following terms and conditions.

4.6.1 Other than Death or Disability or for Cause. If the Participant is Terminated for any reason other than death, Disability or for Cause, then the Participant may exercise such Participant’s Options only to the extent that such Options are exercisable as to Vested Shares upon the Termination Date, except as otherwise determined by the Committee or required by applicable law. Such Options must be exercised by the Participant, if at all, as to all or some of the Vested Shares calculated as of the Termination Date or such other date determined by the Committee, within three (3) months after the Termination Date (or within such shorter time period, not less than thirty (30) days, or within such longer time period after the Termination Date as may be determined by the Committee or required by applicable law, with any exercise beyond three (3) months after the date Participant ceases to be an employee deemed to be an NQSO) but, in any event, no later than the expiration date of the Options.

4.6.2 Death or Disability. If the Participant is Terminated because of Participant’s death or Disability (or the Participant dies within three (3) months after a Termination other than for Cause), then Participant’s Options may be exercised only to the extent that such Options are exercisable as to Vested Shares on the Termination Date, except as otherwise determined by the Committee or required by applicable law. Such Options must be exercised by Participant (or Participant’s legal representative or authorized assignee), if at all, as to all or some of the Vested Shares calculated as

 

3


of the Termination Date or such other date determined by the Committee, within twelve (12) months after the Termination Date (or within such shorter time period, not less than six (6) months, or within such longer time period, after the Termination Date as may be determined by the Committee or required by applicable law, with any exercise beyond (a) three (3) months after the date Participant ceases to be an employee when the Termination is for any reason other than the Participant’s death or disability, within the meaning of Section 22(e)(3) of the Code, or (b) twelve (12) months after the date Participant ceases to be an employee when the Termination is for Participant’s disability, within the meaning of Section 22(e)(3) of the Code, deemed to be an NQSO) but in any event no later than the expiration date of the Options.

4.6.3 For Cause. If the Participant is Terminated for Cause, the Participant may exercise such Participant’s Options, but not to an extent greater than such Options are exercisable as to Vested Shares upon the Termination Date and Participant’s Options shall expire on such Participant’s Termination Date, or at such later time and on such conditions as are determined by the Committee.

4.7 Limitations on Exercise. The Committee may specify a reasonable minimum number of Shares that may be purchased on any exercise of an Option, provided that such minimum number will not prevent Participant from exercising the Option for the full number of Shares for which it is then exercisable.

4.8 Limitations on ISOs. The aggregate Fair Market Value (determined as of the date of grant) of Shares with respect to which ISOs are exercisable for the first time by a Participant during any calendar year (under this Plan or under any other incentive stock option plan of the Company or any Parent or Subsidiary of the Company) will not exceed One Hundred Thousand Dollars ($100,000). If the Fair Market Value of Shares on the date of grant with respect to which ISOs are exercisable for the first time by a Participant during any calendar year exceeds One Hundred Thousand Dollars ($100,000), then the Options for the first One Hundred Thousand Dollars ($100,000) worth of Shares to become exercisable in such calendar year will be ISOs and the Options for the amount in excess of One Hundred Thousand Dollars ($100,000) that become exercisable in that calendar year will be NQSOs. In the event that the Code or the regulations promulgated thereunder are amended after the Effective Date (as defined in Section 13.1 hereof) to provide for a different limit on the Fair Market Value of Shares permitted to be subject to ISOs, then such different limit will be automatically incorporated herein and will apply to any Options granted after the effective date of such amendment.

4.9 Modification, Extension or Renewal. The Committee may modify, extend or renew outstanding Options and authorize the grant of new Options in substitution therefor, provided that any such action may not, without the written consent of a Participant, impair any of such Participant’s rights under any Option previously granted, unless for the purpose of complying with applicable laws and regulations. Any outstanding ISO that is modified, extended, renewed or otherwise altered will be treated in accordance with Section 424(h) of the Code. Subject to Section 4.10 hereof, the Committee may reduce the Exercise Price of outstanding Options without the consent of Participants by a written notice to them; provided, however, that the Exercise Price may not be reduced below the minimum Exercise Price that would be permitted under Section 4.4 hereof for Options granted on the date the action is taken to reduce the Exercise Price.

4.10 No Disqualification. Notwithstanding any other provision in this Plan, no term of this Plan relating to ISOs will be interpreted, amended or altered, nor will any discretion or authority granted under this Plan be exercised, so as to disqualify this Plan under Section 422 of the Code or, without the consent of the Participant, to disqualify any Participant’s ISO under Section 422 of the Code.

 

4


5. RESTRICTED STOCK. A Restricted Stock Award is an offer by the Company to sell to an eligible person Shares that are subject to certain specified restrictions. The Committee will determine to whom an offer will be made, the number of Shares the person may purchase, the Purchase Price, the restrictions to which the Shares will be subject, and all other terms and conditions of the Restricted Stock Award, subject to the following terms and conditions.

5.1 Form of Restricted Stock Award. All purchases under a Restricted Stock Award made pursuant to this Plan will be evidenced by an Award Agreement (“Restricted Stock Purchase Agreement”) that will be in such form (which may be electronic or written and need not be the same for each Participant) as the Committee will from time to time approve, and will comply with and be subject to the terms and conditions of this Plan. The Restricted Stock Award will be accepted by the Participant’s execution and delivery of the Restricted Stock Purchase Agreement (accepted via written, electronic or other means) and full payment for the Shares to the Company within thirty (30) days from the date the Restricted Stock Purchase Agreement is delivered to the person. If such person does not execute and deliver the Restricted Stock Purchase Agreement along with full payment for the Shares to the Company within such thirty (30) days, then the offer will terminate, unless otherwise determined by the Committee.

5.2 Purchase Price. The Purchase Price of Shares sold pursuant to a Restricted Stock Award will be determined by the Committee on the date the Restricted Stock Award is granted. Payment of the Purchase Price must be made in accordance with Section 8 hereof.

5.3 Dividends and Other Distributions. Participants holding Restricted Stock Awards will be entitled to receive all dividends and other distributions paid with respect to such Shares, unless the Committee provides otherwise at the time the Award is granted. If any such dividends or distributions are paid in Shares, the Shares will be subject to the same restrictions on transferability and forfeitability as the Restricted Stock Awards with respect to which they were paid.

5.4 Restrictions. Restricted Stock Awards may be subject to the restrictions set forth in Sections 9 and 10 hereof or, with respect to a Restricted Stock Award to which Section 25102(o) is to apply, such other restrictions not inconsistent with Section 25102(o).

6. RESTRICTED STOCK UNITS.

6.1 Awards of Restricted Stock Units. A Restricted Stock Unit (“RSU”) is an Award covering a number of Shares that may be settled in cash, by issuance of those Shares at a date in the future, or by a combination of cash and Shares. No Purchase Price shall apply to an RSU settled in Shares. All grants of RSUs will be evidenced by an Award Agreement (the “RSU Agreement”) that will be in such form (which may be electronic or written and need not be the same for each Participant) as the Committee will from time to time approve, and will comply with and be subject to the terms and conditions of this Plan. No RSU will have a term longer than ten (10) years from the date the RSU is granted.

6.2 Form and Timing of Settlement. To the extent permissible under applicable law, the Committee may permit a Participant to defer payment (including settlement) under an RSU to a date or dates after the RSU has vested, provided that the terms of the RSU and any deferral satisfy the requirements of Section 409A of the Code (or any successor) and any regulations or rulings promulgated thereunder, to the extent the Participant is subject to Section 409A of the Code. Payment may be made in the form of cash or whole Shares or a combination thereof, all as the Committee determines.

 

5


6.3 Dividend Equivalent Payments. The Board may permit Participants holding RSUs to receive dividend equivalent payments on outstanding RSUs if and when dividends are paid to stockholders on Shares. In the discretion of the Board, such dividend equivalent payments may be paid in cash or Shares and they may either be paid at the same time as dividend payments are made to stockholders or delayed until Shares are issued pursuant to the RSU grants and may be subject to the same vesting or performance requirements as the RSUs. If the Board permits dividend equivalent payments to be made on RSUs, the terms and conditions for such dividend equivalent payments will be set forth in the RSU Agreement.

7. STOCK APPRECIATION RIGHTS.

7.1 Awards of SARs. Stock Appreciation Rights (“SARs”) may be settled in cash or Shares (which may consist of Restricted Stock or RSUs) or a combination thereof, having a value equal to the value determined by multiplying the difference between the Fair Market Value on the date of exercise over the Exercise Price and the number of Shares with respect to which the SAR is being exercised. All grants of SARs made pursuant to this Plan will be evidenced by an Award Agreement (the “SAR Agreement”) that will be in such form (which may be electronic or written and need not be the same for each Participant) as the Committee will from time to time approve, and will comply with and be subject to the terms and conditions of this Plan.

7.2 Exercise Period and Expiration Date. A SAR will be exercisable within the times or upon the occurrence of events determined by the Committee and set forth in the SAR Agreement. The SAR Agreement shall set forth the expiration date; provided that no SAR will be exercisable after the expiration of ten (10) years from the date the SAR is granted.

7.3 Exercise Price. The Committee will determine the Exercise Price of the SAR when the SAR is granted, which may not be less than the Fair Market Value on the date of grant.

7.4 Termination. Subject to earlier termination pursuant to Sections 11 and 13 hereof and subject to any longer exercise periods set forth in the SAR Agreement, exercise of SARs will always be subject to the following terms and conditions.

7.4.1 Other than Death or Disability or for Cause. If the Participant is Terminated for any reason other than death, Disability or for Cause, then the Participant may exercise such Participant’s SARs only to the extent that such SARs are exercisable as to Vested Shares upon the Termination Date or as otherwise determined by the Committee or as required by applicable law. SARs must be exercised by the Participant, if at all, as to all or some of the Vested Shares calculated as of the Termination Date or such other date determined by the Committee, within three (3) months after the Termination Date (or within such shorter time period, not less than thirty (30) days, or within such longer time period after the Termination Date as may be determined by the Committee or as required by applicable law), but in any event no later than the expiration date of the SARs.

7.4.2 Death or Disability. If the Participant is Terminated because of Participant’s death or Disability (or the Participant dies within three (3) months after a Termination other than for Cause), then Participant’s SARs may be exercised only to the extent that such SARs are exercisable as to Vested Shares on the Termination Date or as otherwise determined by the Committee or as required by applicable law. Such SARs must be exercised by Participant (or Participant’s legal representative or authorized assignee), if at all, as to all or some of the Vested Shares calculated as of the Termination Date or such other date determined by the Committee, within twelve (12) months after the Termination Date (or within such shorter time period, not less than six (6) months, or within such longer time period after the Termination Date as may be determined by the Committee or as required by applicable law), but in any event no later than the expiration date of the SARs.

 

6


7.4.3 For Cause. If the Participant is Terminated for Cause, the Participant may exercise such Participant’s SARs, but not to an extent greater than such SARs are exercisable as to Vested Shares upon the Termination Date and Participant’s SARs shall expire on such Participant’s Termination Date, or at such later time and on such conditions as are determined by the Committee.

8. PAYMENT FOR PURCHASES AND EXERCISES.

8.1 Payment in General. Payment for Shares acquired pursuant to this Plan may be made in cash equivalents (including by check or Automated Clearing House (“ACH”) transfer) or, where expressly approved for the Participant by the Committee and subject to compliance with applicable law:

(a) by cancellation of indebtedness of the Company owed to the Participant;

(b) by surrender of shares of the Company that are clear of all liens, claims, encumbrances or security interests and: (i) for which the Company has received “full payment of the purchase price” within the meaning of SEC Rule 144 (and, if such shares were purchased from the Company by use of a promissory note, such note has been fully paid with respect to such shares) or (ii) that were obtained by Participant in the public market;

(c) by tender of a full recourse promissory note having such terms as may be approved by the Committee and bearing interest at a rate sufficient to avoid (i) imputation of income under Sections 483 and 1274 of the Code and (ii) unfavorable accounting treatment as determined by the Committee; provided, however, that Participants who are not employees or directors of the Company will not be entitled to purchase Shares with a promissory note unless the note is adequately secured by collateral other than the Shares; provided, further, that the portion of the Exercise Price or Purchase Price, as the case may be, equal to the par value (if any) of the Shares must be paid in cash or other legal consideration permitted by the laws under which the Company is then incorporated or organized;

(d) by waiver of compensation due or accrued to the Participant from the Company for services rendered;

(e) by participating in a formal cashless exercise program implemented by the Committee in connection with the Plan;

(f) provided that a public market for the Company’s common stock exists, by exercising through a “same day sale” commitment from the Participant and a broker-dealer whereby the Participant irrevocably elects to exercise the Award and to sell a portion of the Shares so purchased sufficient to pay the total Exercise Price or Purchase Price, and whereby the broker-dealer irrevocably commits upon receipt of such Shares to forward the total Exercise Price or Purchase Price directly to the Company; or

(g) by any combination of the foregoing or any other method of payment approved by the Committee.

For avoidance of uncertainty: ACH transfers that have been received by the Company into its bank account designated for receipt of such transfers under this Section 8.1 shall be deemed to have been received for all purposes under this Plan as of the date on which such transfers were initiated from the transferor’s account and made irrevocable by the transferor.

 

7


8.2 Withholding Taxes.

8.2.1 Withholding Generally. Whenever Shares are to be issued in satisfaction of Awards granted under this Plan, the Company may require the Participant to remit to the Company an amount sufficient to satisfy the maximum tax withholding requirements as to income tax, social insurance, payroll tax, fringe benefits tax, payment on account and other tax-related obligations (collectively, “Tax-Related Obligations”) prior to the delivery of any written or electronic certificate or certificates for such Shares. Whenever, under this Plan, payments in satisfaction of Awards are to be made in cash by the Company, such payment will be net of an amount sufficient to satisfy applicable tax withholding requirements.

8.2.2 Stock Withholding. When, under applicable tax laws, a Participant incurs tax liability in connection with the exercise or vesting of any Award that is subject to tax withholding and the Participant is obligated to pay the Company the amount required to be withheld, the Committee may in its sole discretion allow the Participant to satisfy up to the maximum Tax-Related Obligations in the employee’s applicable jurisdictions by electing to have the Company withhold from the Shares to be issued up to the number of Shares having a Fair Market Value on the date that the amount of tax to be withheld is to be determined that is not more than the maximum Tax-Related Obligations in the employee’s applicable jurisdictions; or to arrange a mandatory “sell to cover” on Participant’s behalf (without further authorization) but in no event will the Company withhold Shares or “sell to cover” if such withholding would result in adverse accounting or compliance consequences to the Company. The maximum Tax-Related Obligations are based on the applicable rates of the relevant tax authorities (for example, federal, state and local), including the employee’s share of payroll or similar taxes, as provided in the tax law, regulations or the authority’s administrative practices, not to exceed the highest statutory rate in that jurisdiction. Any elections to have Shares withheld or sold for this purpose will be made in accordance with the requirements established by the Committee for such elections and be in writing in a form acceptable to the Committee.

8.2.3 Elections Under Section 83(i) of the Code. A Participant will not make an election under Section 83(i) of the Code if the Company determines that the Participant is then ineligible to make such an election under applicable law or without the Company’s prior written consent (which will not be unreasonably withheld or delayed, but may be conditioned upon the Participant’s entry into additional commitments as determined by the Company).

9. RESTRICTIONS ON AWARDS.

9.1 Transferability. Except as permitted by the Committee, Awards granted under this Plan, and any interest therein, will not be transferable or assignable by Participant, other than by will or by the laws of descent and distribution, and, with respect to NQSOs for Participants in the U.S., by instrument to an inter vivos or testamentary trust in which the NQSOs are to be passed to beneficiaries upon the death of the trustor (settlor), or by gift to “family member” as that term is defined in Rule 701, and may not be made subject to execution, attachment or similar process. For the avoidance of doubt, the prohibition against assignment and transfer applies to Awards and any Shares underlying the Awards prior to the issuance of the Shares, and pursuant to the foregoing sentence shall be understood to include, without limitation, a prohibition against any pledge, hypothecation, or other transfer, including any short position, any “put equivalent position” or any “call equivalent position” (in each case, as defined in Rule 16a-1 promulgated under the Exchange Act). Unless an Award is transferred pursuant to the terms of this Section, during the lifetime of the Participant an Award will be exercisable only by the Participant or Participant’s legal representative and any elections with respect to an Award may be made only by the Participant or Participant’s legal representative. The terms of an Award shall be binding upon the executor, administrator, successors and assigns of the Participant who is a party thereto.

 

8


9.2 Securities Law and Other Regulatory Compliance. Although this Plan is intended to be a written compensatory benefit plan within the meaning of Rule 701 promulgated under the Securities Act, Awards may be made pursuant to this Plan that do not qualify for exemption under Rule 701 or Section 25102(o). Any requirement of this Plan which is required in law only because of Section 25102(o) need not apply with respect to a particular Award to which Section 25102(o) will not apply. An Award will not be effective unless such Award is in compliance with all applicable U.S. and non-U.S. federal, state and local securities laws, rules and regulations of any governmental body, and the requirements of any stock exchange or automated quotation system upon which the Company’s equity securities may then be listed or quoted, as they are in effect on the date of grant of the Award and also on the date of exercise, settlement or other issuance. Notwithstanding any other provision in this Plan, the Company will have no obligation to issue Shares or deliver certificates for Shares under this Plan prior to (a) obtaining any approvals from governmental agencies that the Company determines are necessary or advisable, and/or (b) compliance with any exemption, completion of any registration or other qualification of such Shares under any U.S. and non-U.S. federal, state or local law or ruling of any governmental body that the Company determines to be necessary or advisable. The Company will be under no obligation to register the Shares with the SEC or to effect compliance with the exemption, registration, qualification or listing requirements of any securities laws, stock exchange or automated quotation system, and the Company will have no liability for any inability or failure to do so.

9.3 Exchange and Buyout of Awards. The Committee may, at any time or from time to time, authorize the Company, with the consent of the respective Participants, to issue new Awards in exchange for the surrender and cancellation of any or all outstanding Awards. Without prior stockholder approval the Committee may reprice Options or SARs (and where such repricing is a reduction in the Exercise Price of outstanding Options or SARs, the consent of the affected Participants is not required provided written notice is provided to them). The Committee may at any time buy from a Participant an Award previously granted with payment in cash, Shares (including Restricted Stock) or other consideration, based on such terms and conditions as the Committee and the Participant may agree.

10. RESTRICTIONS ON SHARES.

10.1 Privileges of Stock Ownership. No Participant will have any of the rights of a stockholder with respect to any Shares until such Shares are issued to the Participant. After Shares are issued to the Participant, the Participant will be a stockholder and have all the rights of a stockholder with respect to such Shares, including the right to vote and receive all dividends or other distributions made or paid with respect to such Shares; provided, that if such Shares are Restricted Stock, then any new, additional or different securities the Participant may become entitled to receive with respect to such Shares by virtue of a stock dividend, stock split or any other change in the corporate or capital structure of the Company will be subject to the same restrictions as the Restricted Stock. The Participant will have no right to retain such stock dividends or stock distributions with respect to Unvested Shares that are repurchased as described in this Section 10.

10.2 Rights of First Refusal and Repurchase. At the discretion of the Committee, the Company may reserve to itself and/or its assignee(s) in the Award Agreement (a) a right of first refusal to purchase all Shares that a Participant (or a subsequent transferee) may propose to transfer to a third party, provided that such right of first refusal terminates upon (i) subject to any applicable market standoff restrictions, the effective date of the first sale of common stock of the Company to the general public pursuant to a registration statement filed with and declared effective by the SEC under the Securities Act (other than a registration statement relating solely to the issuance of common stock

 

9


pursuant to a business combination or an employee incentive or benefit plan); (ii) any transfer or conversion of Shares made pursuant to a statutory merger or statutory consolidation of the Company with or into another corporation or corporations if the common stock of the surviving corporation or any direct or indirect Parent thereof is registered under the Exchange Act; or (iii) any transfer or conversion of Shares made pursuant to a statutory conversion of the Company into another form of legal entity if the common equity (or comparable equity security) of entity resulting from such conversion is registered under the Exchange Act; and (b) a right to repurchase Unvested Shares held by a Participant for cash and/or cancellation of purchase money indebtedness owed to the Company by the Participant following such Participant’s Termination at any time.

10.3 Agreement to Vote Shares. At the discretion of the Committee, the Company may require that, as a condition to the receipt of the Shares upon issuance of an Award, exercise of an Option or SAR or settlement of an RSU, the Participant and any transferee of the Shares agree to vote such Shares pursuant to the terms of a Voting Agreement by and between the Company and certain of its stockholders.

10.4 Escrow; Pledge of Shares. To enforce any restrictions on a Participant’s Shares, the Committee may require the Participant to deposit all written or electronic certificates representing Shares, together with stock powers or other instruments of transfer approved by the Committee, appropriately endorsed in blank, with the Company or an agent designated by the Company to hold in escrow until such restrictions have lapsed or terminated. The Committee may cause a legend or legends referencing such restrictions to be placed on the written or electronic certificate. Any Participant who is permitted to execute a promissory note as partial or full consideration for the purchase of Shares under this Plan will be required to pledge and deposit with the Company all or part of the Shares so purchased as collateral to secure the payment of Participant’s obligation to the Company under the promissory note; provided, however, that the Committee may require or accept other or additional forms of collateral to secure the payment of such obligation and, in any event, the Company will have full recourse against the Participant under the promissory note notwithstanding any pledge of the Participant’s Shares or other collateral. In connection with any pledge of the Shares, Participant will be required to execute and deliver a written pledge agreement in such form as the Committee will from time to time approve. The Shares purchased with the promissory note may be released from the pledge on a pro rata basis as the promissory note is paid.

10.5 Securities Law Restrictions. All written or electronic certificates for Shares or other securities delivered under this Plan will be subject to such stock transfer orders, legends and other restrictions as the Committee may deem necessary or advisable, including restrictions under any applicable U.S. and non-U.S. federal, state or local securities law, or any rules, regulations and other requirements of the SEC or any stock exchange or automated quotation system upon which the Company’s equity securities may be listed or quoted.

11. CORPORATE TRANSACTIONS.

11.1 Acquisitions or Other Combinations. In the event that the Company is subject to an Acquisition or Other Combination, outstanding Awards acquired under the Plan shall be subject to the agreement evidencing the Acquisition or Other Combination, which need not treat all outstanding Awards in an identical manner. Such agreement, without the Participant’s consent, shall provide for one or more of the following with respect to all outstanding Awards as of the effective date of such Acquisition or Other Combination:

(a) The continuation of such outstanding Awards by the Company (if the Company is the successor entity).

 

10


(b) The assumption of outstanding Awards by the successor or acquiring entity (if any) in such Acquisition or Other Combination (or by any of its Parents, if any), which assumption, will be binding on all Participants; provided that the exercise price and the number and nature of shares issuable upon exercise of any such option or stock appreciation right, or upon the settlement of any award that is subject to Section 409A of the Code, will be adjusted appropriately pursuant to Section 424(a) and Section 409A of the Code. For the purposes of this Section 11, an Award will be considered assumed if, following the Acquisition or Other Combination, the Award confers the right to purchase or receive, for each Share subject to the Award immediately prior to the Acquisition or Other Combination, the consideration (whether stock, cash, or other securities or property) received in the Acquisition or Other Combination by holders of Shares for each Share held on the effective date of the transaction (and if holders were offered a choice of consideration, the type of consideration chosen by the holders of a majority of the outstanding Shares); provided, however, that if such consideration received in the Acquisition or Other Combination is not solely common stock of the successor corporation or its Parent, the Committee may, with the consent of the successor corporation, provide for the consideration to be received upon the exercise of an Option or Stock Appreciation Right or upon the settlement of an RSU, for each Share subject to such Award, to be solely common stock of the successor corporation or its Parent equal in fair market value to the per share consideration received by holders of Common Stock in the Acquisition or Other Combination.

(c) The substitution by the successor or acquiring entity in such Acquisition or Other Combination (or by any of its Parents, if any) of equivalent awards with substantially the same terms for such outstanding Awards (except that the exercise price and the number and nature of shares issuable upon exercise of any such option or stock appreciation right, or any award that is subject to Section 409A of the Code, will be adjusted appropriately pursuant to Section 424(a) and Section 409A of the Code).

(d) The full or partial exercisability or vesting and accelerated expiration of outstanding Awards.

(e) The settlement of the Fair Market Value of such outstanding Award (whether or not then vested or exercisable) in cash, cash equivalents, or securities of the successor entity (or its Parent, if any), followed by the cancellation of such Awards; provided however, that such Award may be cancelled without consideration if such Award has no value, as determined by the Committee, in its discretion. Subject to Section 409A of the Code, such payment may be made in installments and may be deferred until the date or dates when the Award would have become exercisable or vested. Such payment may be subject to vesting based on the Participant’s continued service, provided that without the Participant’s consent, the vesting schedule shall not be less favorable to the Participant than the schedule under which the Award would have become vested or exercisable. For purposes of this Section 11.1(e), the Fair Market Value of any security shall be determined without regard to any vesting conditions that may apply to such security.

(f) The termination in its entirety of any outstanding Award, without payment of any consideration, that is not exercised in accordance with its terms upon or prior to consummation of the transactions contemplated by the Acquisition or Other Combination within a time specified by the Committee, in its discretion, for such exercise, whether or not such Award is then fully exercisable.

Immediately following an Acquisition or Other Combination, outstanding Awards shall terminate and cease to be outstanding, except to the extent such Awards, have been continued, assumed or substituted, as described in Sections 11.1(a), (b) and/or (c).

 

11


11.2 Substitution or Assumption of Awards by the Company. The Company, from time to time, also may substitute or assume outstanding awards granted by another entity, whether in connection with an acquisition of such other entity or otherwise, by either (a) granting an Award under this Plan in substitution of such other entity’s award or (b) assuming and/or converting such award as if it had been granted under this Plan if the terms of such assumed award could be applied to an Award granted under this Plan. Such substitution or assumption will be permissible if the holder of the substituted or assumed award would have been eligible to be granted an Award under this Plan if the other entity had applied the rules of this Plan to such grant. In the event the Company assumes an award granted by another entity, the terms and conditions of such award will remain unchanged (except that the exercise price and the number and nature of shares issuable upon exercise of any such option or stock appreciation right, or any award that is subject to Section 409A of the Code, will be adjusted appropriately pursuant to Section 424(a) and Section 409A of the Code). In the event the Company elects to grant a new Option or SAR in substitution for and rather than assuming an existing option or stock appreciation right, such new Option or SAR may be granted with a similarly adjusted Exercise Price and number of underlying Shares and such other changes approved by the Committee, subject to the consent of the Participant.

12. ADMINISTRATION.

12.1 Committee Authority. This Plan will be administered by the Committee. Subject to the general purposes, terms and conditions of this Plan, and to the direction of the Board, the Committee will have full power to implement and carry out this Plan. Without limitation, the Committee will have the authority to:

(a) construe and interpret this Plan, any Award Agreement and any other agreement or document executed pursuant to this Plan;

(b) prescribe, amend, expand, modify and rescind or terminate rules and regulations relating to this Plan;

(c) approve persons to receive Awards;

(d) determine the form and terms of Awards;

(e) determine the number of Shares or other consideration subject to Awards granted under this Plan;

(f) determine the Fair Market Value in good faith and interpret the applicable provisions of this Plan and the definition of Fair Market Value in connection with circumstances that impact the Fair Market Value, if necessary;

(g) determine whether Awards will be granted singly, in combination with, in tandem with, in replacement of, or as alternatives to, other Awards under this Plan or awards under any other incentive or compensation plan of the Company or any Parent or Subsidiary of the Company;

(h) grant waivers of any conditions of this Plan or any Award;

(i) determine the terms of vesting, exercisability, settlement and payment of Awards to be granted pursuant to this Plan;

 

12


(j) correct any defect, supply any omission, or reconcile any inconsistency in this Plan, any Award, any Award Agreement or any Exercise Agreement;

(k) determine whether an Award has vested or become exercisable;

(l) extend the vesting period beyond a Participant’s Termination Date;

(m) adopt rules and/or procedures (including the adoption of any subplan under this Plan) relating to the operation and administration of the Plan to accommodate or facilitate requirements of local law and procedures outside of the United States;

(n) delegate any of the foregoing to a subcommittee consisting of one or more directors or executive officers pursuant to a specific delegation as may otherwise be permitted by applicable law;

(o) change the vesting schedule of Awards under the Plan prospectively in the event that the Participant’s service status changes between full and part time status in accordance with Company policies relating to work schedules and vesting of Awards; and

(p) make all other determinations necessary or advisable in connection with the administration of this Plan.

12.2 Standalone, Tandem and Substitute Awards. Awards granted under the Plan may, in the sole discretion of the Committee, be granted either alone or in addition to, in tandem with, or in substitution for, any other Award granted under the Plan. Awards granted in addition to or in tandem with other Awards may be granted either at the same time as or at a different time from the grant of such other Awards.

12.3 Committee Composition and Discretion. The Board may delegate full administrative authority over the Plan and Awards to a Committee consisting of at least one member of the Board (or such greater number as may then be required by applicable law). Unless in contravention of any express terms of this Plan or Award, any determination made by the Committee with respect to any Award will be made in its sole discretion either (a) at the time of grant of the Award, or (b) subject to Section 4.9 hereof, at any later time. Any such determination will be final and binding on the Company and on all persons having an interest in any Award under this Plan. To the extent permitted by applicable law, the Committee may delegate to one or more directors or officers of the Company the authority to grant an Award under this Plan.

12.4 Nonexclusivity of the Plan. Neither the adoption of this Plan by the Board, the submission of this Plan to the stockholders of the Company for approval, nor any provision of this Plan will be construed as creating any limitations on the power of the Board to adopt such additional compensation arrangements as it may deem desirable, including, without limitation, the granting of stock options and other equity awards otherwise than under this Plan, and such arrangements may be either generally applicable or applicable only in specific cases.

12.5 Governing Law. This Plan and all agreements hereunder shall be governed by and construed in accordance with the laws of the State of California, without giving effect to that body of laws pertaining to conflict of laws.

 

13


13. EFFECTIVENESS, AMENDMENT AND TERMINATION OF THE PLAN.

13.1 Adoption and Stockholder Approval. This Plan will become effective on the date that it is adopted by the Board (the “Effective Date”). This Plan will be approved by the stockholders of the Company (excluding Shares issued pursuant to this Plan), consistent with applicable laws, within twelve (12) months before or after the Effective Date. Upon the Effective Date, the Committee may grant Awards pursuant to this Plan; provided, however, that: (a) no Option or SAR may be exercised prior to initial stockholder approval of this Plan; (b) no Option or SAR granted pursuant to an increase in the number of Shares approved by the Board shall be exercised prior to the time such increase has been approved by the stockholders of the Company; (c) in the event that initial stockholder approval is not obtained within the time period provided herein, all Awards for which only the exemption from California’s securities qualification requirements provided by Section 25102(o) can apply shall be canceled, any Shares issued pursuant to any such Award shall be canceled and any purchase of such Shares issued hereunder shall be rescinded; and (d) Awards (to which only the exemption from California’s securities qualification requirements provided by Section 25102(o) can apply) granted pursuant to an increase in the number of Shares approved by the Board which increase is not approved by stockholders within the time then required under Section 25102(o) shall be canceled, any Shares issued pursuant to any such Awards shall be canceled, and any purchase of Shares subject to any such Award shall be rescinded.

13.2 Term of Plan. Unless earlier terminated as provided herein, this Plan will automatically terminate ten (10) years after the Effective Date.

13.3 Amendment or Termination of Plan. Subject to Section 4.9 hereof, the Board may at any time (a) terminate or amend this Plan in any respect, including without limitation amendment of any form of Award Agreement or instrument to be executed pursuant to this Plan and (b) terminate any and all outstanding Options, SARs or RSUs upon a dissolution or liquidation of the Company, followed by the payment of creditors and the distribution of any remaining funds to the Company’s stockholders; provided, however, that the Board will not, without the approval of the stockholders of the Company, amend this Plan in any manner that requires such stockholder approval pursuant to Section 25102(o) or pursuant to the Code or the regulations promulgated under the Code as such provisions apply to ISO plans. The termination of the Plan, or any amendment thereof, shall not affect any Share previously issued or any Award previously granted under the Plan.

14. DEFINITIONS. For all purposes of this Plan, the following terms will have the following meanings.

Acquisition,” for purposes of Section 11, means:

(a) any consolidation or merger in which the Company is a constituent entity or is a party in which the voting stock and other voting securities of the Company that are outstanding immediately prior to the consummation of such consolidation or merger represent, or are converted into, securities of the surviving entity of such consolidation or merger (or of any Parent of such surviving entity) that, immediately after the consummation of such consolidation or merger, together possess less than fifty percent (50%) of the total voting power of all voting securities of such surviving entity (or of any of its Parents, if any) that are outstanding immediately after the consummation of such consolidation or merger;

 

14


(b) a sale or other transfer by the holders thereof of outstanding voting stock and/or other voting securities of the Company possessing more than fifty percent (50%) of the total voting power of all outstanding voting securities of the Company, whether in one transaction or in a series of related transactions, pursuant to an agreement or agreements to which the Company is a party and that has been approved by the Board, and pursuant to which such outstanding voting securities are sold or transferred to a single person or entity, to one or more persons or entities who are Affiliates of each other, or to one or more persons or entities acting in concert; or

(c) the sale, lease, transfer or other disposition, in a single transaction or series of related transactions, by the Company and/or any Subsidiary or Subsidiaries of the Company, of all or substantially all the assets of the Company and its Subsidiaries taken as a whole (or, if substantially all of the assets of the Company and its Subsidiaries taken as a whole are held by one or more Subsidiaries, the sale or disposition (whether by consolidation, merger, conversion or otherwise) of such Subsidiaries of the Company), except where such sale, lease, transfer or other disposition is made to the Company or one or more wholly owned Subsidiaries of the Company.

Notwithstanding the foregoing, the following transactions shall not constitute an “Acquisition”: (1) the closing of the Company’s first public offering pursuant to an effective registration statement filed under the Securities Act or (2) any transaction the sole purpose of which is to change the state of incorporation of the Company or to create a holding company that will be owned in substantially the same proportions by the persons who held the Company’s securities immediately before such transaction.

Affiliate of a specified person means a person that directly, or indirectly through one or more intermediaries, controls or is controlled by, or is under common control with, the person specified (where, for purposes of this definition, the term “control” (including the terms “controlling,” “controlled by” and “under common control with”) means the possession, direct or indirect, of the power to direct or cause the direction of the management and policies of a person, whether through the ownership of voting securities, by contract, or otherwise.

Award” means any award pursuant to the terms and conditions of this Plan, including any Option, Restricted Stock Unit, Stock Appreciation Right or Restricted Stock Award.

Award Agreement” means, with respect to each Award, the executed written or electronic agreement between the Company and the Participant setting forth the terms and conditions of the Award as approved by the Committee. For purposes of the Plan, the Award Agreement may be accepted by a Participant via written, electronic or other means, subject to requirements under applicable law.

Board” means the Board of Directors of the Company.

Cause” means Termination because of (a) Participant’s unauthorized misuse of the Company or a Parent or Subsidiary of the Company’s trade secrets or proprietary information, (b) Participant’s conviction of or plea of nolo contendere to a felony or a crime involving moral turpitude, (c) Participant’s committing an act of fraud against the Company or a Parent or Subsidiary of the Company or (d) Participant’s gross negligence or willful misconduct in the performance of his or her duties that has had or will have a material adverse effect on the Company or Parent or Subsidiary of the Company’ reputation or business.

Code” means the U.S. Internal Revenue Code of 1986, as amended.

Committee” means the committee created and appointed by the Board to administer this Plan, or if no committee is created and appointed, the Board.

 

15


Company” means Maze Therapeutics, Inc., a Delaware corporation, or any successor corporation.

Disability” means a Participant is unable to perform the duties of his or her customary position of employment by reason of any medically determinable physical or mental impairment that can be expected to result in death or that can be expected to last for a continuous period of not less than twelve (12) months. The Committee may require such medical or other evidence as it deems necessary to judge the nature and permanency of the Participant’s condition.

Exchange Act” means the U.S. Securities Exchange Act of 1934, as amended.

Exercise Price” means the price per Share at which a holder of an Option or a SAR may purchase Shares issuable upon exercise of the Option or the SAR.

Fair Market Value” means, as of any date, the value of a Share determined as follows:

(a) if such Share is then publicly traded on a national securities exchange, its closing price on the date of determination on the principal national securities exchange on which the Share is listed or admitted to trading as reported in The Wall Street Journal;

(b) if such Share is publicly traded but is not listed or admitted to trading on a national securities exchange, the average of the closing bid and ask prices on the date of determination as reported by The Wall Street Journal (or as otherwise reported by any newspaper or other source as the Committee may determine); or

(c) if none of the foregoing is applicable to the valuation in question, by the Committee in good faith.

Option” means an award of an option to purchase Shares pursuant to Section 4 of this Plan.

Other Combination” for purposes of Section 11 means any (a) consolidation or merger in which the Company is a constituent entity and is not the surviving entity of such consolidation or merger or (b) any conversion of the Company into another form of entity; provided that such consolidation, merger or conversion does not constitute an Acquisition.

Parent” of a specified entity means, any entity that, either directly or indirectly, owns or controls such specified entity, where for this purpose, “control” means the ownership of stock, securities or other interests that possess at least a majority of the voting power of such specified entity (including indirect ownership or control of such stock, securities or other interests).

Participant” means a person who receives an Award under this Plan.

Plan” means this 2019 Equity Incentive Plan, as amended from time to time.

Purchase Price” means the price at which a Participant may purchase Restricted Stock pursuant to this Plan.

Restricted Stock” means Shares purchased pursuant to a Restricted Stock Award under this Plan.

Restricted Stock Award” means an award of Shares pursuant to Section 5 hereof.

 

16


Restricted Stock Unit” or “RSU” means an award made pursuant to Section 6 hereof.

Rule 701” means Rule 701 et seq. promulgated by the SEC under the Securities Act.

SEC” means the U.S. Securities and Exchange Commission.

Section 25102(o)” means Section 25102(o) of the California Corporations Code.

Securities Act” means the U.S. Securities Act of 1933, as amended.

Shares” means shares of the Company’s Common Stock, $0.001 par value per share, reserved for issuance under this Plan, as adjusted pursuant to Sections 2.2 and 11 hereof, and any successor security.

Stock Appreciation Right” or “SAR” means an award granted pursuant to Section 7 hereof.

Subsidiary” means any entity (other than the Company) in an unbroken chain of entities beginning with the Company if each of the entities other than the last entity in the unbroken chain owns stock or other equity securities representing fifty percent (50%) or more of the total combined voting power of all classes of stock or other equity securities in one of the other entities in such chain.

Termination” or “Terminated” means, for purposes of this Plan with respect to a Participant, that the Participant has for any reason ceased to provide services as an employee, officer, director or consultant to the Company or a Parent or Subsidiary of the Company. A Participant will not be deemed to have ceased to provide services while the Participant is on a bona fide leave of absence, if such leave was approved by the Company in writing. In the case of an approved leave of absence, the Committee may make such provisions respecting crediting of service, including suspension of vesting of the Award (including pursuant to a formal policy adopted from time to time by the Company) it may deem appropriate. The Committee will have sole discretion to determine whether a Participant has ceased to provide services and the effective date on which the Participant ceased to provide services (the “Termination Date”).

Unvested Shares” means “Unvested Shares” as defined in the Award Agreement for an Award.

Vested Shares” means “Vested Shares” as defined in the Award Agreement for an Award.

* * * * * * * * * * *

 

17


OPTION GRANT NO. ___

NOTICE OF STOCK OPTION GRANT

MAZE THERAPEUTICS, INC.

2019 EQUITY INCENTIVE PLAN

The Optionee named below (“Optionee”) has been granted an option (this “Option”) to purchase shares of Common Stock, $0.001 par value per share (the “Common Stock”), of Maze Therapeutics, Inc., a Delaware corporation (the “Company”), pursuant to the Company’s 2019 Equity Incentive Plan, as amended from time to time (the “Plan”) on the terms, and subject to the conditions, described below and in the Stock Option Agreement attached hereto as Exhibit A, including its annexes (the Stock Option Agreement”).

 

Optionee:   

Maximum Number of Shares Subject to this Option (the “Shares”):

  
Exercise Price Per Share:   
Date of Grant:   
Vesting Start Date:   
Exercise Schedule:    This Option will become exercisable during its term with respect to portions of the Shares in accordance with the Vesting Schedule set forth below.
Expiration Date:    The date ten (10) years after the Date of Grant set forth above, subject to earlier expiration in the event of Termination as provided in Section 3 of the Stock Option Agreement.
Tax Status of Option:   
Vesting Schedule:   

General; Agreement: By Optionee’s acceptance of this Option, Optionee and the Company agree that this Option is granted under and governed by this Notice of Stock Option Grant (this “Grant Notice”) and by the provisions of the Plan and the Stock Option Agreement. The Plan and the Stock Option Agreement are incorporated herein by reference. Capitalized terms used but not defined herein shall have the meanings given to them in the Plan or in the Stock Option Agreement, as applicable. By acceptance of this Option, Optionee acknowledges receipt of a copy of this Grant Notice, the Plan and the Stock Option Agreement, represents that Optionee has carefully read and is familiar with their provisions, and hereby accepts the Option subject to all of their respective terms and conditions. Optionee acknowledges that there may be adverse tax consequences upon exercise of the Option or disposition of the Shares and that Optionee should consult a tax adviser prior to such exercise or disposition. Optionee agrees and acknowledges that the Vesting Schedule may change prospectively in the event that Optionee’s service status changes between full and part time status in accordance with Company policies relating to work schedules and vesting of equity awards.

Execution and Delivery: This Grant Notice may be executed and delivered electronically whether via the Company’s intranet or the Internet site of a third party or via email or any other means of electronic delivery specified by the Company. By Optionee’s acceptance hereof (whether written, electronic or otherwise), Optionee agrees, to the fullest extent permitted by law, that in lieu of receiving documents in paper format, Optionee accepts the electronic delivery of any documents that the Company (or any third party the Company may designate), may deliver in connection with this grant (including the Plan, this Grant Notice, the Stock Option Agreement, the information described in Rules 701(e)(2), (3), (4) and (5) under the Securities Act (the “701 Disclosures”), account statements, or other communications or information) whether via the Company’s intranet or the Internet site of such third party or via email or such other means of electronic delivery specified by the Company.

ATTACHMENT: Exhibit A – Stock Option Agreement


Exhibit A

Stock Option Agreement


EXHIBIT A

STOCK OPTION AGREEMENT

MAZE THERAPEUTICS, INC.

2019 EQUITY INCENTIVE PLAN

This Stock Option Agreement (this “Agreement”) is made and entered into as of the date of grant (the “Date of Grant”) set forth on the Notice of Stock Option Grant attached as the facing page to this Agreement (the “Grant Notice”) by and between Maze Therapeutics, Inc., a Delaware corporation (the “Company”), and the optionee named on the Grant Notice (“Optionee”). Capitalized terms not defined in this Agreement shall have the meaning ascribed to them in the Company’s 2019 Equity Incentive Plan, as amended from time to time (the “Plan”), or in the Grant Notice, as applicable.

1. GRANT OF OPTION. The Company hereby grants to Optionee an option (this “Option”) to purchase up to the total number of shares of Common Stock of the Company, $0.001 par value per share (the “Common Stock”), set forth in the Grant Notice as the Shares (the “Shares”) at the Exercise Price Per Share set forth in the Grant Notice (the “Exercise Price”), subject to all of the terms and conditions of the Grant Notice, this Agreement and the Plan. If designated as an Incentive Stock Option in the Grant Notice, this Option is intended to qualify as an incentive stock option (the “ISO”) within the meaning of Section 422 of the Internal Revenue Code of 1986, as amended (the “Code”), except that if on the Date of Grant Optionee is not subject to U.S. income tax, then this Option shall be a NQSO.

2. EXERCISE PERIOD.

2.1 Exercise Period of Option. This Option is considered to be “vested” with respect to any particular Shares when this Option is exercisable with respect to such Shares. This Option will become vested during its term as to portions of the Shares in accordance with the Vesting Schedule set forth in the Grant Notice. Notwithstanding any provision in the Plan or this Agreement to the contrary, on or after Optionee’s Termination Date, this Option may not be exercised with respect to any Shares that are Unvested Shares on Optionee’s Termination Date.

2.2 Vesting of Option Shares. Shares with respect to which this Option is vested and exercisable at a given time pursuant to the Vesting Schedule set forth in the Grant Notice are “Vested Shares. Shares with respect to which this Option is not vested and exercisable at a given time pursuant to the Vesting Schedule set forth in the Grant Notice are Unvested Shares.

2.3 Expiration. The Option shall expire on the Expiration Date set forth in the Grant Notice or earlier as provided in Section 3 below.

3. TERMINATION.

3.1 Termination for Any Reason Except Death, Disability or Cause. Except as provided in subsection 3.2 in a case in which Optionee dies within three (3) months after Optionee is Terminated other than for Cause, if Optionee is Terminated for any reason (other than Optionee’s death or Disability or for Cause), then (a) on and after Optionee’s Termination Date, this Option shall expire immediately with respect to any Shares that are Unvested Shares and may not be exercised with respect to any Shares that are Unvested Shares on Optionee’s Termination Date and (b) this Option to the extent that it is exercisable with respect to Vested Shares on Optionee’s Termination Date, may be exercised by Optionee no later than three (3) months after Optionee’s Termination Date (but in no event may this Option be exercised after the Expiration Date).


3.2 Termination Because of Death or Disability. If Optionee is Terminated because of Optionee’s death or Disability (or if Optionee dies within three (3) months of the date of Optionee’s Termination for any reason other than for Cause), then (a) on and after Optionee’s Termination Date, this Option shall expire immediately with respect to any Shares that are Unvested Shares and may not be exercised with respect to any Shares that are Unvested Shares on Optionee’s Termination Date and (b) this Option, to the extent that it is exercisable with respect to Vested Shares on Optionee’s Termination Date, may be exercised by Optionee (or Optionee’s legal representative) no later than twelve (12) months after Optionee’s Termination Date, but in no event later than the Expiration Date. Any exercise of this Option beyond (i) three (3) months after the date Optionee ceases to be an employee when Optionee’s Termination is for any reason other than Optionee’s death or disability, within the meaning of Section 22(e)(3) of the Code; or (ii) twelve (12) months after the date Optionee ceases to be an employee when the termination is for Optionee’s disability, within the meaning of Section 22(e)(3) of the Code, is deemed to be an NQSO.

3.3 Termination for Cause. If Optionee is Terminated for Cause, then Optionee may exercise this Option, but only with respect to any Shares that are Vested Shares on Optionee’s Termination Date, and this Option shall expire on Optionee’s Termination Date, or at such later time and on such conditions as may be affirmatively determined by the Committee. On and after Optionee’s Termination Date, this Option shall expire immediately with respect to any Shares that are Unvested Shares and may not be exercised with respect to any Shares that are Unvested Shares on Optionee’s Termination Date.

3.4 No Obligation to Employ. Nothing in the Plan or this Agreement shall confer on Optionee any right to continue in the employ of, or other relationship with, the Company or any Parent or Subsidiary of the Company, or limit in any way the right of the Company or any Parent or Subsidiary of the Company to terminate Optionee’s employment or other relationship at any time, with or without Cause.

4. MANNER OF EXERCISE.

4.1 Stock Option Exercise Notice and Agreement. To exercise this Option, Optionee (or in the case of exercise after Optionee’s death or incapacity, Optionee’s executor, administrator, heir or legatee, as the case may be) must provide an electronic notice (via ), or deliver to the Company an executed Stock Option Exercise Notice and Agreement in the form attached hereto as Annex A, or in such other form as may be approved by the Committee from time to time (the “Exercise Agreement”) and payment for the shares being purchased in accordance with this Agreement. The Exercise Agreement shall set forth, among other things, (i) Optionee’s election to exercise this Option, (ii) the number of Shares being purchased, (iii) any representations, warranties and agreements regarding Optionee’s investment intent and access to information as may be required by the Company to comply with applicable securities laws in connection with any exercise of this Option and (iv) any other agreements required by the Company. If someone other than Optionee exercises this Option, then such person must submit documentation reasonably acceptable to the Company verifying that such person has the legal right to exercise this Option and such person shall be subject to all of the restrictions contained herein as if such person were Optionee.

4.2 Limitations on Exercise. This Option may not be exercised unless such exercise is in compliance with all applicable federal and state securities laws, as they are in effect on the date of exercise.

4.3 Payment. The Exercise Agreement shall be accompanied by full payment of the Exercise Price for the shares being purchased in cash (by check, Automated Clearing House (“ACH”) transfer, or wire transfer), or where permitted by law:

(a) by cancellation of indebtedness of the Company owed to Optionee;

 

3


(b) by surrender of shares of the Company that are free and clear of all security interests, pledges, liens, claims or encumbrances and: (i) for which the Company has received “full payment of the purchase price” within the meaning of SEC Rule 144 (and, if such shares were purchased from the Company by use of a promissory note, such note has been fully paid with respect to such shares) or (ii) that were obtained by Optionee in the public market;

(c) by participating in a formal cashless exercise program implemented by the Committee in connection with the Plan;

(d) provided that a public market for the Common Stock exists and subject to compliance with applicable law, by exercising as set forth below, through a “same day sale” commitment from Optionee and a broker-dealer whereby Optionee irrevocably elects to exercise this Option and to sell a portion of the Shares so purchased sufficient to pay the total Exercise Price, and whereby the broker-dealer irrevocably commits upon receipt of such Shares to forward the total Exercise Price directly to the Company; or

(e) by any combination of the foregoing or any other method of payment approved by the Committee that constitutes legal consideration for the issuance of Shares.

For avoidance of uncertainty: ACH transfers that have been successfully received by the Company into its bank account designated via for receipt of such transfers shall be deemed to have been received for all purposes of this Option as of the date on which such transfers were initiated from the Optionee’s account and made irrevocable by Optionee.

4.4 Tax Withholding. Prior to the issuance of the Shares upon exercise of the Option, Optionee must pay or provide for any applicable federal, state and local withholding obligations of the Company. If the Committee permits, Optionee may provide for payment of withholding taxes upon exercise of the Option by requesting that the Company retain the minimum number of Shares with a Fair Market Value equal to the minimum amount of taxes required to be withheld; or to arrange a mandatory “sell to cover” on Optionee’s behalf (without further authorization); but in no event will the Company withhold Shares or “sell to cover” if such withholding would result in adverse accounting consequences to the Company. In case of stock withholding or a sell to cover, the Company shall issue the net number of Shares to Optionee by deducting the Shares retained from the Shares issuable upon exercise.

4.5 Issuance of Shares. Provided that the Exercise Agreement and payment are in form and substance satisfactory to counsel for the Company, the Company shall issue the Shares issuable upon a valid exercise of this Option registered in the name of Optionee, Optionee’s authorized assignee, or Optionee’s legal representative, and shall deliver electronic certificates via representing the Shares with the appropriate legends affixed thereto.

5. COMPLIANCE WITH LAWS AND REGULATIONS. The Plan and this Agreement are intended to comply with Section 25102(o) and Rule 701. Any provision of this Agreement that is inconsistent with Section 25102(o) or Rule 701 shall, without further act or amendment by the Company or the Committee, be reformed to comply with the requirements of Section 25102(o) and/or Rule 701. The exercise of this Option and the issuance and transfer of Shares shall be subject to compliance by the Company and Optionee with all applicable requirements of federal and state securities laws and with all applicable requirements of any stock exchange on which the Common Stock may be listed at the time of such issuance or transfer. Optionee understands that the Company is under no obligation to register or qualify the Shares with the SEC, any state securities commission or any stock exchange to effect such compliance.

 

4


6. NONTRANSFERABILITY OF OPTION. This Option may not be transferred in any manner other than by will or by the laws of descent and distribution, and, with respect to NQSOs, by instrument to a testamentary trust in which the options are to be passed to beneficiaries upon the death of the trustor (settlor) or a revocable trust, or by gift to “immediate family” as that term is defined in 17 C.F.R. 240.16a-1(e), and may be exercised during the lifetime of Optionee only by Optionee or in the event of Optionee’s incapacity, by Optionee’s legal representative. The terms of this Option shall be binding upon the executors, administrators, successors and assigns of Optionee.

7. RESTRICTIONS ON TRANSFER.

7.1 Disposition of Shares. Optionee hereby agrees that Optionee shall make no disposition of any of the Shares (other than as permitted by this Agreement) unless and until:

(a) Optionee shall have notified the Company of the proposed disposition and provided a written summary of the terms and conditions of the proposed disposition;

(b) Optionee shall have complied with all requirements of this Agreement applicable to the disposition of the Shares;

(c) Optionee shall have provided the Company with written assurances, in form and substance satisfactory to counsel for the Company, that (i) the proposed disposition does not require registration of the Shares under the Securities Act or under any applicable state securities laws or (ii) all appropriate actions necessary for compliance with the registration requirements of the Securities Act or of any exemption from registration available under the Securities Act (including Rule 144) or applicable state securities laws have been taken; and

(d) Optionee shall have provided the Company with written assurances, in form and substance satisfactory to the Company, that the proposed disposition will not result in the contravention of any transfer restrictions applicable to the Shares pursuant to the provisions of the regulations promulgated under Section 25102(o), Rule 701 or under any other applicable securities laws or adversely affect the Company’s ability to rely on the exemption(s) from registration under the Securities Act or under any other applicable securities laws for the grant of the Option, the issuance of Shares thereunder or any other issuance of securities under the Plan.

7.2 Restriction on Transfer. Optionee shall not transfer, assign, grant a lien or security interest in, pledge, hypothecate, encumber or otherwise dispose of any of the Shares which are subject to the Company’s Right of First Refusal described below, except as permitted by this Agreement.

7.3 Transferee Obligations. Each person (other than the Company) to whom the Shares are transferred by means of one of the permitted transfers specified in this Agreement must, as a condition precedent to the validity of such transfer, acknowledge in writing to the Company that such person is bound by the provisions of this Agreement and that the transferred Shares are subject to (i) the Company’s Right of First Refusal granted hereunder and (ii) the market stand-off provisions of Section 8 below, to the same extent such Shares would be so subject if retained by Optionee.

8. MARKET STANDOFF AGREEMENT. Optionee agrees that, subject to any early release provisions that apply pro rata to stockholders of the Company according to their holdings of Common Stock (determined on an as-converted into Common Stock basis), Optionee will not, for a period of up to one hundred eighty (180) days (plus up to an additional thirty five (35) days to the extent reasonably requested by the Company or such underwriter(s) to accommodate regulatory restrictions on the publication or other distribution of research reports or earnings releases by the Company, including NASD and NYSE rules) following the effective date of the registration statement filed with the SEC relating to the initial underwritten sale of Common Stock of the Company to the public under the Securities Act (the “IPO”), directly or indirectly sell, offer to sell, grant any option for the sale of, or otherwise dispose of any Common Stock or securities convertible into Common Stock, except for: (i) transfers of Shares permitted under Section 9.6 hereof so long as such transferee furnishes to the

 

5


Company and the managing underwriter their written consent to be bound by this Section 8 as a condition precedent to such transfer; and (ii) sales of any securities to be included in the registration statement for the IPO. For the avoidance of doubt, the provisions of this Section shall only apply to the IPO. The restricted period shall in any event terminate two (2) years after the closing date of the IPO. In order to enforce the foregoing covenant, the Company shall have the right to place restrictive legends on the certificates representing the Shares subject to this Section and to impose stop transfer instructions with respect to the Shares until the end of such period. Optionee further agrees to enter into any agreement reasonably required by the underwriters to implement the foregoing restrictions on transfer. For the avoidance of doubt, the foregoing provisions of this Section shall not apply to any registration of securities of the Company (a) under an employee benefit plan or (b) in a merger, consolidation, business combination or similar transaction.

9. COMPANY’S RIGHT OF FIRST REFUSAL. Before any Shares held by Optionee or any transferee of such Shares (either sometimes referred to herein as the “Holder”) may be sold or otherwise transferred (including, without limitation, a transfer by gift or operation of law), the Company and/or its assignee(s) will have a right of first refusal to purchase the Shares to be sold or transferred (the “Offered Shares”) on the terms and conditions set forth in this Section (the “Right of First Refusal”).

9.1 Notice of Proposed Transfer. The Holder of the Offered Shares will deliver to the Company a written notice (the “Notice”) stating: (i) the Holder’s bona fide intention to sell or otherwise transfer the Offered Shares; (ii) the name and address of each proposed purchaser or other transferee (the “Proposed Transferee”); (iii) the number of Offered Shares to be transferred to each Proposed Transferee; (iv) the bona fide cash price or other consideration for which the Holder proposes to transfer the Offered Shares (the “Offered Price”); and (v) that the Holder acknowledges this Notice is an offer to sell the Offered Shares to the Company and/or its assignee(s) pursuant to the Company’s Right of First Refusal at the Offered Price as provided for in this Agreement.

9.2 Exercise of Right of First Refusal. At any time within thirty (30) days after the date of the Notice, the Company and/or its assignee(s) may, by giving written notice to the Holder, elect to purchase all (or, with the consent of the Holder, less than all) the Offered Shares proposed to be transferred to any one or more of the Proposed Transferees named in the Notice, at the purchase price, determined as specified below.

9.3 Purchase Price. The purchase price for the Offered Shares purchased under this Section will be the Offered Price, provided that if the Offered Price consists of no legal consideration (as, for example, in the case of a transfer by gift) then the purchase price will be the fair market value of the Offered Shares as determined in good faith by the Committee. If the Offered Price includes consideration other than cash, then the value of the non-cash consideration, as determined in good faith by the Committee, will conclusively be deemed to be the cash equivalent value of such non-cash consideration.

9.4 Payment. Payment of the purchase price for the Offered Shares will be payable, at the option of the Company and/or its assignee(s) (as applicable), by check or by cancellation of all or a portion of any outstanding purchase money indebtedness owed by the Holder to the Company (or to such assignee, in the case of a purchase of Offered Shares by such assignee) or by any combination thereof. The purchase price will be paid without interest within sixty (60) days after the Company’s receipt of the Notice, or, at the option of the Company and/or its assignee(s), in the manner and at the time(s) set forth in the Notice.

9.5 Holder’s Right to Transfer. If all of the Offered Shares proposed in the Notice to be transferred to a given Proposed Transferee are not purchased by the Company and/or its assignee(s) as provided in this Section, then the Holder may sell or otherwise transfer such Offered Shares to each Proposed Transferee at the Offered Price or at a higher price, provided that (i) such sale or other transfer is consummated within ninety (90) days after the date of the Notice, (ii) any such sale or other transfer is effected in compliance with all applicable securities laws, and (iii) each Proposed Transferee agrees in

 

6


writing that the provisions of this Section will continue to apply to the Offered Shares in the hands of such Proposed Transferee. If the Offered Shares described in the Notice are not transferred to each Proposed Transferee within such ninety (90) day period, then a new Notice must be given to the Company pursuant to which the Company will again be offered the Right of First Refusal before any Shares held by the Holder may be sold or otherwise transferred.

9.6 Exempt Transfers. Notwithstanding anything to the contrary in this Section, the following transfers of Shares will be exempt from the Right of First Refusal: (i) the transfer of any or all of the Shares during Optionee’s lifetime by gift or on Optionee’s death by will or intestacy to any member(s) of Optionee’s “Immediate Family” (as defined below) or to a trust for the benefit of Optionee and/or member(s) of Optionee’s Immediate Family, provided that each transferee or other recipient agrees in a writing satisfactory to the Company that the provisions of this Section will continue to apply to the transferred Shares in the hands of such transferee or other recipient; (ii) any transfer of Shares made pursuant to a statutory merger, statutory consolidation of the Company with or into another corporation or corporations or a conversion of the Company into another form of legal entity (except that the Right of First Refusal will continue to apply thereafter to such Shares, in which case the surviving corporation of such merger or consolidation or the resulting entity of such conversion shall succeed to the rights of the Company under this Section unless the agreement of merger or consolidation or conversion expressly otherwise provides); or (iii) any transfer of Shares pursuant to the winding up and dissolution of the Company. As used herein, the term “Immediate Family” will mean Optionee’s spouse, the lineal descendant or antecedent, father, mother, brother or sister, child, adopted child, grandchild or adopted grandchild of Optionee or Optionee’s spouse, or the spouse of any of the above or Spousal Equivalent, as defined herein. As used herein, a person is deemed to be a “Spousal Equivalent” provided the following circumstances are true: (i) irrespective of whether or not Optionee and the Spousal Equivalent are the same sex, they are the sole spousal equivalent of the other for the last twelve (12) months, (ii) they intend to remain so indefinitely, (iii) neither are married to anyone else, (iv) both are at least 18 years of age and mentally competent to consent to contract, (v) they are not related by blood to a degree of closeness that which would prohibit legal marriage in the state in which they legally reside, (vi) they are jointly responsible for each other’s common welfare and financial obligations, and (vii) they reside together in the same residence for the last twelve (12) months and intend to do so indefinitely.

9.7 Termination of Right of First Refusal. The Right of First Refusal will terminate as to all Shares: (i) on the effective date of the first sale of Common Stock of the Company to the general public pursuant to a registration statement filed with and declared effective by the SEC under the Securities Act (other than a registration statement relating solely to the issuance of Common Stock pursuant to a business combination or an employee incentive or benefit plan); (ii) on any transfer or conversion of Shares made pursuant to a statutory merger or statutory consolidation of the Company with or into another corporation or corporations if the common stock of the surviving corporation or any direct or indirect parent corporation thereof is registered under the Exchange Act; or (iii) on any transfer or conversion of Shares made pursuant to a statutory conversion of the Company into another form of legal entity if the common equity (or comparable equity security) of entity resulting from such conversion is registered under the Exchange Act.

9.8 Encumbrances on Shares. Optionee may grant a lien or security interest in, or pledge, hypothecate or encumber Shares only if each party to whom such lien or security interest is granted, or to whom such pledge, hypothecation or other encumbrance is made, agrees in a writing satisfactory to the Company that: (i) such lien, security interest, pledge, hypothecation or encumbrance will not adversely affect or impair the Right of First Refusal or the rights of the Company and/or its assignee(s) with respect thereto and will not apply to such Shares after they are acquired by the Company and/or its assignees under this Section; and (ii) the provisions of this Agreement will continue to apply to such Shares in the hands of such party and any transferee of such party.

 

7


9.9 Effect of Company Stockholders Agreement. If Optionee is, or at any time hereafter becomes, a party to or otherwise bound by (i) the Company’s Amended and Restated Stockholders Agreement dated as of February 15, 2019 among the Company and certain stockholders of the Company, as such may be amended and/or restated from time to time, and/or (ii) any other agreement that is a successor to or replacement of such agreement (collectively, the “Company Stockholders Agreement”), then, in the event of any conflict or inconsistency between the provisions of Section 8 hereof and/or this Section 9 and any provisions in the Company Stockholders Agreement granting the Company and/or other security holders of the Company rights of first refusal and/or co-sale rights with respect to any or all of the Shares or imposing market stand-off restrictions, Optionee agrees with the Company that the terms and conditions of the Company Stockholders Agreement shall apply, govern, supersede and prevail over (and in lieu of) the provisions of Section 8 hereof and/or of this Section 9 (as applicable) so long as the Company Stockholders Agreement is in effect and Optionee is a party to or bound thereby. If the Company Stockholders Agreement is no longer in effect or if Optionee is not a party to or bound thereby, then the provisions of this Section 9 shall apply in full force and effect until termination of the Right of First Refusal and the provisions of Section 8 hereof shall apply in full force and effect in accordance with its terms.

10. RIGHTS AS A STOCKHOLDER. Optionee shall not have any of the rights of a stockholder with respect to any Shares unless and until such Shares are issued to Optionee. Subject to the terms and conditions of this Agreement, Optionee will have all of the rights of a stockholder of the Company with respect to the Shares from and after the date that Shares are issued to Optionee pursuant to, and in accordance with, the terms of the Exercise Agreement until such time as Optionee disposes of the Shares or the Company and/or its assignee(s) exercise(s) the Right of First Refusal. Upon an exercise of the Right of First Refusal, Optionee will have no further rights as a holder of the Shares so purchased upon such exercise, other than the right to receive payment for the Shares so purchased in accordance with the provisions of this Agreement, and Optionee will promptly surrender the stock certificate(s) evidencing the Shares so purchased to the Company for transfer or cancellation.

11. ESCROW. As security for Optionee’s faithful performance of this Agreement, Optionee agrees, immediately upon receipt of the electronic stock certificate(s) evidencing the Shares via , to deliver such certificate(s) to the Secretary of the Company or other designee of the Company (the “Escrow Holder”), who is hereby appointed to hold such certificate(s) in escrow and to take all such actions and to effectuate all such transfers and/or releases of such Shares as are in accordance with the terms of this Agreement. Optionee and the Company agree that Escrow Holder will not be liable to any party to this Agreement (or to any other party) for any actions or omissions unless Escrow Holder is grossly negligent or intentionally fraudulent in carrying out the duties of Escrow Holder under this Agreement. Escrow Holder may rely upon any letter, notice or other document executed with any signature purported to be genuine and may rely on the advice of counsel and obey any order of any court with respect to the transactions contemplated by this Agreement and will not be liable for any act or omission taken by Escrow Holder in good faith reliance on such documents, the advice of counsel or a court order. The Shares will be released from escrow upon termination of the Right of First Refusal.

12. Company Stockholders Agreement. As a material inducement and consideration for the Company to enter into this Agreement, Optionee hereby agrees that if, the Company requests Optionee to enter into and become a party to the Company Stockholders Agreement (and to subject the Shares to the rights of first refusal held by the Company and other Company investors thereunder and the co-sale rights of other investors thereunder, and pursuant to which Optionee would agree to vote all shares of Company stock held by Optionee for the election of directors and in favor of certain material transactions (such as mergers or sales of the Company)), then Optionee will enter into such agreement and execute and deliver signature pages thereto (as requested by the Company) in such capacities as the Company requests, at the time of exercising this Option and as a condition to such exercise or at any later time.

 

8


13. RESTRICTIVE LEGENDS AND STOP-TRANSFER ORDERS.

13.1 Legends. Optionee understands and agrees that the Company will place the legends set forth below or similar legends on any stock certificate(s) evidencing the Shares, together with any other legends that may be required by state or U.S. Federal securities laws, the Company’s Certificate of Incorporation or Bylaws, any other agreement between Optionee and the Company, or any agreement between Optionee and any third party (and any other legend(s) that the Company may become obligated to place on the stock certificate(s) evidencing the Shares under the terms of any agreement to which the Company is or may become bound or obligated):

(a) THE SECURITIES REPRESENTED HEREBY HAVE NOT BEEN REGISTERED UNDER THE SECURITIES ACT OF 1933, AS AMENDED (THE “SECURITIES ACT”), OR UNDER THE SECURITIES LAWS OF CERTAIN STATES. THESE SECURITIES ARE SUBJECT TO RESTRICTIONS ON TRANSFERABILITY AND RESALE AND MAY NOT BE TRANSFERRED OR RESOLD EXCEPT AS PERMITTED UNDER THE SECURITIES ACT AND APPLICABLE STATE SECURITIES LAWS, PURSUANT TO REGISTRATION OR EXEMPTION THEREFROM. INVESTORS SHOULD BE AWARE THAT THEY MAY BE REQUIRED TO BEAR THE FINANCIAL RISKS OF THIS INVESTMENT FOR AN INDEFINITE PERIOD OF TIME. THE ISSUER OF THESE SECURITIES MAY REQUIRE AN OPINION OF COUNSEL IN FORM AND SUBSTANCE SATISFACTORY TO THE ISSUER TO THE EFFECT THAT ANY PROPOSED TRANSFER OR RESALE IS IN COMPLIANCE WITH THE SECURITIES ACT AND ANY APPLICABLE STATE SECURITIES LAWS.

(b) THE SHARES REPRESENTED BY THIS CERTIFICATE ARE SUBJECT TO CERTAIN RESTRICTIONS ON RESALE AND TRANSFER, INCLUDING THE RIGHT OF FIRST REFUSAL HELD BY THE ISSUER AND/OR ITS ASSIGNEE(S) AS SET FORTH IN A STOCK OPTION AGREEMENT BETWEEN THE ISSUER AND THE ORIGINAL HOLDER OF THESE SHARES, A COPY OF WHICH MAY BE OBTAINED AT THE PRINCIPAL OFFICE OF THE ISSUER. SUCH SALE AND TRANSFER RESTRICTIONS, INCLUDING THE RIGHT OF FIRST REFUSAL, ARE BINDING ON TRANSFEREES OF THESE SHARES.

(c) THE SHARES REPRESENTED BY THIS CERTIFICATE ARE SUBJECT TO A MARKET STANDOFF RESTRICTION AS SET FORTH IN A CERTAIN STOCK OPTION AGREEMENT BETWEEN THE ISSUER AND THE ORIGINAL HOLDER OF THESE SHARES, A COPY OF WHICH MAY BE OBTAINED AT THE PRINCIPAL OFFICE OF THE ISSUER. AS A RESULT OF SUCH AGREEMENT, THESE SHARES MAY NOT BE TRADED PRIOR TO 180 DAYS AFTER THE EFFECTIVE DATE OF CERTAIN PUBLIC OFFERINGS OF THE COMMON STOCK OF THE ISSUER HEREOF. SUCH RESTRICTION IS BINDING ON TRANSFEREES OF THESE SHARES.

Optionee agrees that if Optionee becomes a party to the Company Stockholders Agreement, then Optionee agrees that the stock certificate(s) evidencing the Shares shall, in addition, bear any legends required under the Company Stockholders Agreement.

13.2 Stop-Transfer Instructions. Optionee agrees that, to ensure compliance with the restrictions imposed by this Agreement, the Company may issue appropriate “stop-transfer” instructions to its transfer agent, if any, and if the Company transfers its own securities, it may make appropriate notations to the same effect in its own records.

13.3 Refusal to Transfer. The Company will not be required (i) to transfer on its books any Shares that have been sold or otherwise transferred in violation of any of the provisions of this Agreement or (ii) to treat as owner of such Shares, or to accord the right to vote or pay dividends to any purchaser or other transferee to whom such Shares have been so transferred.

 

9


14. CERTAIN TAX CONSEQUENCES. Set forth below is a brief summary as of the Effective Date of the Plan of some of the federal tax consequences of exercise of the Option and disposition of the Shares. THIS SUMMARY IS NECESSARILY INCOMPLETE, AND THE TAX LAWS AND REGULATIONS ARE SUBJECT TO CHANGE. OPTIONEE SHOULD CONSULT A TAX ADVISER BEFORE EXERCISING THE OPTION OR DISPOSING OF THE SHARES.

14.1 Exercise of ISO. If the Option qualifies as an ISO, there will be no regular federal income tax liability upon the exercise of the Option, although the excess, if any, of the Fair Market Value of the Shares on the date of exercise over the Exercise Price will be treated as a tax preference item for federal alternative minimum tax purposes and may subject Optionee to the alternative minimum tax in the year of exercise.

14.2 Exercise of Nonqualified Stock Option. If the Option does not qualify as an ISO, there may be a regular federal income tax liability upon the exercise of the Option. Optionee will be treated as having received compensation income (taxable at ordinary income tax rates) equal to the excess, if any, of the Fair Market Value of the Shares on the date of exercise over the Exercise Price. If Optionee is a current or former employee of the Company, the Company may be required to withhold from Optionee’s compensation or collect from Optionee and pay to the applicable taxing authorities an amount equal to a percentage of this compensation income at the time of exercise.

14.3 Disposition of Shares. The following tax consequences may apply upon disposition of the Shares.

(a) Incentive Stock Options. If the Shares are held for more than twelve (12) months after the date of purchase of the Shares pursuant to the exercise of an ISO and are disposed of more than two (2) years after the Date of Grant, any gain realized on disposition of the Shares will be treated as long term capital gain for federal income tax purposes. If Shares purchased under an ISO are disposed of within the applicable one (1) year or two (2) year period, any gain realized on such disposition will be treated as compensation income (taxable at ordinary income rates in the year of the disposition) to the extent of the excess, if any, of the Fair Market Value of the Shares on the date of exercise over the Exercise Price.

(b) Nonqualified Stock Options. If the Shares are held for more than twelve (12) months after the date of purchase of the Shares pursuant to the exercise of an NQSO, any gain realized on disposition of the Shares will be treated as long term capital gain.

15. GENERAL PROVISIONS.

15.1 Interpretation. Any dispute regarding the interpretation of this Agreement shall be submitted by Optionee or the Company to the Committee for review. The resolution of such a dispute by the Committee shall be final and binding on the Company and Optionee.

15.2 Entire Agreement. The Plan, the Grant Notice and the Exercise Agreement are each incorporated herein by reference. This Agreement, the Grant Notice, the Plan and the Exercise Agreement constitute the entire agreement of the parties with respect to the subject matter hereof and supersede all prior undertakings and agreements with respect to such subject matter.

16. NOTICES. Any and all notices required or permitted to be given to a party pursuant to the provisions of this Agreement will be in writing and will be effective and deemed to provide such party sufficient notice under this Agreement on the earliest of the following: (i) at the time of personal delivery, if delivery is in person; (ii) at the time an electronic confirmation of receipt is received, if delivery is by email; (iii) at the time of transmission by facsimile, addressed to the other party at its facsimile number specified herein (or hereafter modified by subsequent notice to the parties hereto), with confirmation of receipt made by both telephone and printed confirmation sheet verifying successful

 

10


transmission of the facsimile; (iv) one (1) business day after deposit with an express overnight courier for United States deliveries, or two (2) business days after such deposit for deliveries outside of the United States, with proof of delivery from the courier requested; or (v) three (3) business days after deposit in the United States mail by certified mail (return receipt requested) for United States deliveries. Any notice for delivery outside the United States will be sent by email, facsimile or by express courier. Any notice not delivered personally or by email will be sent with postage and/or other charges prepaid and properly addressed to Optionee at the last known address or facsimile number on the books of the Company, or at such other address or facsimile number as such other party may designate by one of the indicated means of notice herein to the other parties hereto or, in the case of the Company, to it at its principal place of business. Notices to the Company will be marked “Attention: Chief Financial Officer.” Notices by facsimile shall be machine verified as received.

17. SUCCESSORS AND ASSIGNS. The Company may assign any of its rights under this Agreement including its rights to purchase Shares under the Right of First Refusal. This Agreement shall be binding upon and inure to the benefit of the successors and assigns of the Company. Subject to the restrictions on transfer set forth herein, this Agreement shall be binding upon Optionee and Optionee’s heirs, executors, administrators, legal representatives, successors and assigns.

18. GOVERNING LAW. This Agreement shall be governed by and construed in accordance with the internal laws of the State of California as such laws are applied to agreements between California residents entered into and to be performed entirely within California. If any provision of this Agreement is determined by a court of law to be illegal or unenforceable, then such provision will be enforced to the maximum extent possible and the other provisions will remain fully effective and enforceable.

19. FURTHER ASSURANCES. The parties agree to execute such further documents and instruments and to take such further actions as may be reasonably necessary to carry out the purposes and intent of this Agreement.

20. TITLES AND HEADINGS. The titles, captions and headings of this Agreement are included for ease of reference only and will be disregarded in interpreting or construing this Agreement. Unless otherwise specifically stated, all references herein to “sections” and “exhibits” will mean “sections” and “exhibits” to this Agreement.

21. COUNTERPARTS. This Agreement may be executed in any number of counterparts, each of which when so executed and delivered will be deemed an original, and all of which together shall constitute one and the same agreement.

22. SEVERABILITY. If any provision of this Agreement is determined by any court or arbitrator of competent jurisdiction to be invalid, illegal or unenforceable in any respect, such provision will be enforced to the maximum extent possible given the intent of the parties hereto. If such clause or provision cannot be so enforced, such provision shall be stricken from this Agreement and the remainder of this Agreement shall be enforced as if such invalid, illegal or unenforceable clause or provision had (to the extent not enforceable) never been contained in this Agreement. Notwithstanding the forgoing, if the value of this Agreement based upon the substantial benefit of the bargain for any party is materially impaired, which determination as made by the presiding court or arbitrator of competent jurisdiction shall be binding, then both parties agree to substitute such provision(s) through good faith negotiations.

* * * * *

Attachment: Annex A: Form of Stock Option Exercise Notice and Agreement

 

11


ANNEX A

FORM OF STOCK OPTION EXERCISE NOTICE AND AGREEMENT


STOCK OPTION EXERCISE NOTICE AND AGREEMENT

MAZE THERAPEUTICS, INC.

2019 EQUITY INCENTIVE PLAN

*NOTE: You must sign this Notice on Page 3 before submitting it to Maze Therapeutics, Inc. (the “Company”) AND, if requested to do so by the Company, you must also sign the signature pages to the Company’s then-current Company Stockholders Agreement (as defined in the Stock Option Agreement) before submitting this Notice to the Company.

OPTIONEE INFORMATION: Please provide the following information about yourself (“Optionee”):

 

Name:   

 

      Social Security Number  

 

 

       
Address:   

 

 

 

     

Employee Number:

 

Email Address:

 

 

 

 

OPTION INFORMATION: Please provide this information on the option being exercised (the “Option):

 

Grant No.          
Date of Grant:        

Type of Stock Option:

Option Price per Share:          

      

Total number of shares of Common Stock of the Company subject to the Option:       

EXERCISE INFORMATION:

 

Number of shares of Common Stock of the Company for which the Option is now being exercised       . (These shares are referred to below as the “Purchased Shares.”)
Total Exercise Price Being Paid for the Purchased Shares:           
Form of payment enclosed [check all that apply]:

☐   Check for $____________, payable to “Maze Therapeutics, Inc.

☐   Certificate(s) for ________________ shares of Common Stock of the Company. These shares will be valued as of the date this notice is received by the Company. [Requires Company consent.]

☐   by Automated Clearing House (“ACH”) transfer in the amount of $_________________.

AGREEMENTS, REPRESENTATIONS AND ACKNOWLEDGMENTS OF OPTIONEE: By signing this Stock Option Exercise Notice and Agreement via     , Optionee hereby agrees with, and represents to, the Company as follows:

 

1.

Terms Governing. I acknowledge and agree with the Company that I am acquiring the Purchased Shares by exercise of this Option subject to all other terms and conditions of the Notice of Stock Option Grant and the Stock Option Agreement that govern the Option, including without limitation the terms of the Company’s 2019 Equity Incentive Plan, as it may be amended (the “Plan”).


2.

Investment Intent; Securities Law Restrictions. I represent and warrant to the Company that I am acquiring and will hold the Purchased Shares for investment for my account only, and not with a view to, or for resale in connection with, any “distribution” of the Purchased Shares within the meaning of the Securities Act of 1933, as amended (the “Securities Act”). I understand that the Purchased Shares have not been registered under the Securities Act by reason of a specific exemption from such registration requirement and that the Purchased Shares must be held by me indefinitely, unless they are subsequently registered under the Securities Act or I obtain an opinion of counsel (in form and substance satisfactory to the Company and its counsel) that registration is not required. I acknowledge that the Company is under no obligation to register the Purchased Shares under the Securities Act or under any other securities law.

 

3.

Restrictions on Transfer: Rule 144. I will not sell, transfer or otherwise dispose of the Purchased Shares in violation of the Securities Act, the Securities Exchange Act of 1934, or the rules promulgated thereunder (including Rule 144 under the Securities Act described below (“Rule 144”)) or of any other applicable securities laws. I am aware of Rule 144, which permits limited public resales of securities acquired in a non-public offering, subject to satisfaction of certain conditions, which include (without limitation) that: (a) certain current public information about the Company is available; (b) the resale occurs only after the holding period required by Rule 144 has been met; (c) the sale occurs through an unsolicited “broker’s transaction”; and (d) the amount of securities being sold during any three-month period does not exceed specified limitations. I understand that the conditions for resale set forth in Rule 144 have not been satisfied and that the Company has no plans to satisfy these conditions in the foreseeable future.

 

4.

Access to Information; Understanding of Risk in Investment. I acknowledge that I have received and had access to such information as I consider necessary or appropriate for deciding whether to invest in the Purchased Shares and that I had an opportunity to ask questions and receive answers from the Company regarding the terms and conditions of the issuance of the Purchased Shares. I am aware that my investment in the Company is a speculative investment that has limited liquidity and is subject to the risk of complete loss. I am able, without impairing my financial condition, to hold the Purchased Shares for an indefinite period and to suffer a complete loss of my investment in the Purchased Shares.

 

5.

Rights of First Refusal; Market Stand-off. I acknowledge that the Purchased Shares remain subject to the Company’s Right of First Refusal and the market stand-off covenants (sometimes referred to as the “lock-up”), all in accordance with the applicable Notice of Stock Option Grant and the Stock Option Agreement that govern the Option.

 

6.

Form of Ownership. I acknowledge that the Company has encouraged me to consult my own adviser to determine the form of ownership of the Purchased Shares that is appropriate for me. In the event that I choose to transfer my Purchased Shares to a trust, I agree to sign a Stock Transfer Agreement. In the event that I choose to transfer my Purchased Shares to a trust that is not an eligible revocable trust, I also acknowledge that the transfer will be treated as a “disposition” for tax purposes. As a result, the favorable ISO tax treatment will be unavailable and other unfavorable tax consequences may occur.

 

7.

Investigation of Tax Consequences. I acknowledge that the Company has encouraged me to consult my own adviser to determine the tax consequences of acquiring the Purchased Shares at this time.

 

8.

Other Tax Matters. I agree that the Company does not have a duty to design or administer the Plan or its other compensation programs in a manner that minimizes my tax liabilities. I will not make any claim against the Company or its Board, officers or employees related to tax liabilities arising from my options or my other compensation. In particular, I acknowledge that my options (including the Option) are exempt from section 409A of the Internal Revenue Code only if the exercise price per share is at least equal to the fair market value per share of the Common Stock at the time the option was granted by the Board. Since shares of the Common Stock are not traded on an established securities market, the determination of their fair market value was made by the Board and/or by an independent valuation firm retained by the Company. I acknowledge that there is no guarantee in either case that the Internal Revenue Service will agree with the valuation, and I will not make any claim against the Company or its Board, officers or employees in the event that the Internal Revenue Service asserts that the valuation was too low.

 

2


9.

Spouse Consent. I agree to seek the consent of my spouse to the extent required by the Company to enforce the foregoing.

 

10.

Agreement to Enter into Company Stockholders Agreement. Pursuant to the Stock Option Agreement, if requested to do so by the Company, I agree to enter into and execute the then-current Company Stockholders Agreement concurrently with my exercise of the Option or at any other time I am requested to do so by the Company. I acknowledge that by entering into the Company Stockholders Agreement I will be subjecting the Purchased Shares to the rights of first refusal, co-sale rights as well as voting and other obligations and covenants regarding all Company shares I own and all other provisions of the Company Stockholders Agreement, in addition to the right of first refusal, repurchase option and market stand-off provisions described above.

 

11.

Tax Withholding. As a condition of exercising this Option, I agree to make adequate provision for foreign, federal, state or other tax withholding obligations, if any, which arise upon the grant, vesting or exercise of this Option, or disposition of the Purchased Shares, whether by withholding, direct payment to the Company, or otherwise.

The undersigned hereby executes and delivers this Stock Option Exercise Notice and Agreement and agrees to be bound by its terms

 

SIGNATURE:       DATE:

 

     

 

Optionee’s Name:      

[Signature Page to Stock Option Exercise Notice and Agreement]

 

3


EARLY EXERCISE FORM

OPTION GRANT NO. ___

NOTICE OF STOCK OPTION GRANT

MAZE THERAPEUTICS, INC.

2019 EQUITY INCENTIVE PLAN

The Optionee named below (“Optionee”) has been granted an option (this “Option”) to purchase shares of Common Stock, $0.001 par value per share (the “Common Stock”), of Maze Therapeutics, Inc., a Delaware corporation (the “Company”), pursuant to the Company’s 2019 Equity Incentive Plan, as amended from time to time (the “Plan”) on the terms, and subject to the conditions, described below and in the Stock Option Agreement attached hereto as Exhibit A, including its annexes (the Stock Option Agreement”).

 

Optionee:              

Maximum Number of Shares Subject to this Option (the “Shares”):

             
Exercise Price Per Share:              
Date of Grant:              
Vesting Start Date:              
Exercise Schedule:    This Option is immediately exercisable for all of the Shares, subject to the terms of the Stock Option Agreement
Expiration Date:    The date ten (10) years after the Date of Grant set forth above, subject to earlier expiration in the event of Termination as provided in Section 3 of the Stock Option Agreement.
Tax Status of Option:              
Vesting Schedule:              

General; Agreement: By Optionee’s acceptance of this Option, Optionee and the Company agree that this Option is granted under and governed by this Notice of Stock Option Grant (this “Grant Notice”) and by the provisions of the Plan and the Stock Option Agreement. The Plan and the Stock Option Agreement are incorporated herein by reference. Capitalized terms used but not defined herein shall have the meanings given to them in the Plan or in the Stock Option Agreement, as applicable. By acceptance of this Option, Optionee acknowledges receipt of a copy of this Grant Notice, the Plan and the Stock Option Agreement, represents that Optionee has carefully read and is familiar with their provisions, and hereby accepts the Option subject to all of their respective terms and conditions. Optionee acknowledges that there may be adverse tax consequences upon exercise of the Option or disposition of the Shares and that Optionee should consult a tax adviser prior to such exercise or disposition. Optionee agrees and acknowledges that the Vesting Schedule may change prospectively in the event that Optionee’s service status changes between full and part time status in accordance with Company policies relating to work schedules and vesting of equity awards.

Execution and Delivery: This Grant Notice may be executed and delivered electronically whether via the Company’s intranet or the Internet site of a third party or via email or any other means of electronic delivery specified by the Company. By Optionee’s acceptance hereof (whether written, electronic or otherwise), Optionee agrees, to the fullest extent permitted by law, that in lieu of receiving documents in paper format, Optionee accepts the electronic delivery of any documents that the Company (or any third party the Company may designate), may deliver in connection with this grant (including the Plan, this Grant Notice, the Stock Option Agreement, the information described in Rules 701(e)(2), (3), (4) and (5) under the Securities Act (the “701 Disclosures”), account statements, or other communications or information) whether via the Company’s intranet or the Internet site of such third party or via email or such other means of electronic delivery specified by the Company.

 

ATTACHMENT:    Exhibit A – Stock Option Agreement


Exhibit A

Stock Option Agreement


EXHIBIT A

EARLY EXERCISE FORM

STOCK OPTION AGREEMENT

MAZE THERAPEUTICS, INC.

2019 EQUITY INCENTIVE PLAN

This Stock Option Agreement (this “Agreement”) is made and entered into as of the date of grant (the “Date of Grant”) set forth on the Notice of Stock Option Grant attached as the facing page to this Agreement (the “Grant Notice”) by and between Maze Therapeutics, Inc., a Delaware corporation (the “Company”), and the optionee named on the Grant Notice (“Optionee”). Capitalized terms not defined in this Agreement shall have the meaning ascribed to them in the Company’s 2019 Equity Incentive Plan, as amended from time to time (the “Plan”), or in the Grant Notice, as applicable.

1. GRANT OF OPTION. The Company hereby grants to Optionee an option (this “Option”) to purchase up to the total number of shares of Common Stock of the Company, $0.001 par value per share (the “Common Stock”), set forth in the Grant Notice as the Shares (the “Shares”) at the Exercise Price Per Share set forth in the Grant Notice (the “Exercise Price”), subject to all of the terms and conditions of the Grant Notice, this Agreement and the Plan. If designated as an Incentive Stock Option in the Grant Notice, this Option is intended to qualify as an incentive stock option (the “ISO”) within the meaning of Section 422 of the Internal Revenue Code of 1986, as amended (the “Code”), except that if on the Date of Grant Optionee is not subject to U.S. income tax, then this Option shall be a NQSO.

2. EXERCISE PERIOD.

2.1. Exercise Period of Option. Subject to the conditions set forth in this Agreement, all or part of this Option may be exercised at any time after the Date of Grant. Shares purchased by exercising this Option may be subject to the Repurchase Option as set forth in Section 7 below. This Option will become vested during its term as to portions of the Shares in accordance with the Vesting Schedule set forth in the Grant Notice. Notwithstanding any provision in the Plan or this Agreement to the contrary, on or after Optionee’s Termination Date, this Option may not be exercised with respect to any Shares that are Unvested Shares on Optionee’s Termination Date.

2.2. Vesting of Option Shares. Shares with respect to which this Option is vested at a given time pursuant to the Vesting Schedule set forth in the Grant Notice are “Vested Shares. Shares with respect to which this Option is not vested at a given time pursuant to the Vesting Schedule set forth in the Grant Notice are Unvested Shares.

2.3. Expiration. The Option shall expire on the Expiration Date set forth in the Grant Notice or earlier as provided in Section 3 below.

3. TERMINATION.

3.1. Termination for Any Reason Except Death, Disability or Cause. Except as provided in subsection 3.2 in a case in which Optionee dies within three (3) months after Optionee is Terminated other than for Cause, if Optionee is Terminated for any reason (other than Optionee’s death or Disability or for Cause), then (a) on and after Optionee’s Termination Date, this Option shall expire immediately with respect to any Shares that are Unvested Shares and may not be exercised with respect to any Shares that are Unvested Shares on Optionee’s Termination Date and (b) this Option to the extent that it is exercisable with respect to Vested Shares on Optionee’s Termination Date, may be exercised by Optionee no later than three (3) months after Optionee’s Termination Date (but in no event may this Option be exercised after the Expiration Date).


3.2. Termination Because of Death or Disability. If Optionee is Terminated because of Optionee’s death or Disability (or if Optionee dies within three (3) months of the date of Optionee’s Termination for any reason other than for Cause), then (a) on and after Optionee’s Termination Date, this Option shall expire immediately with respect to any Shares that are Unvested Shares and may not be exercised with respect to any Shares that are Unvested Shares on Optionee’s Termination Date and (b) this Option, to the extent that it is exercisable with respect to Vested Shares on Optionee’s Termination Date, may be exercised by Optionee (or Optionee’s legal representative) no later than twelve (12) months after Optionee’s Termination Date, but in no event later than the Expiration Date. Any exercise of this Option beyond (i) three (3) months after the date Optionee ceases to be an employee when Optionee’s Termination is for any reason other than Optionee’s death or disability, within the meaning of Section 22(e)(3) of the Code; or (ii) twelve (12) months after the date Optionee ceases to be an employee when the termination is for Optionee’s disability, within the meaning of Section 22(e)(3) of the Code, is deemed to be an NQSO.

3.3. Termination for Cause. If Optionee is Terminated for Cause, then Optionee may exercise this Option, but only with respect to any Shares that are Vested Shares on Optionee’s Termination Date, and this Option shall expire on Optionee’s Termination Date, or at such later time and on such conditions as may be affirmatively determined by the Committee. On and after Optionee’s Termination Date, this Option shall expire immediately with respect to any Shares that are Unvested Shares and may not be exercised with respect to any Shares that are Unvested Shares on Optionee’s Termination Date.

3.4. No Obligation to Employ. Nothing in the Plan or this Agreement shall confer on Optionee any right to continue in the employ of, or other relationship with, the Company or any Parent or Subsidiary of the Company, or limit in any way the right of the Company or any Parent or Subsidiary of the Company to terminate Optionee’s employment or other relationship at any time, with or without Cause.

4. MANNER OF EXERCISE.

4.1. Stock Option Exercise Notice and Agreement. To exercise this Option, Optionee (or in the case of exercise after Optionee’s death or incapacity, Optionee’s executor, administrator, heir or legatee, as the case may be) must provide an electronic notice (via ) or deliver to the Company an executed Stock Option Exercise Notice and Agreement in the form attached hereto as Annex A, or in such other form as may be approved by the Committee from time to time (the “Exercise Agreement”) and payment for the shares being purchased in accordance with this Agreement. The Exercise Agreement shall set forth, among other things, (i) Optionee’s election to exercise this Option, (ii) the number of Shares being purchased, (iii) any representations, warranties and agreements regarding Optionee’s investment intent and access to information as may be required by the Company to comply with applicable securities laws in connection with any exercise of this Option and (iv) any other agreements required by the Company. If someone other than Optionee exercises this Option, then such person must submit documentation reasonably acceptable to the Company verifying that such person has the legal right to exercise this Option and such person shall be subject to all of the restrictions contained herein as if such person were Optionee.

4.2. Limitations on Exercise. This Option may not be exercised unless such exercise is in compliance with all applicable federal and state securities laws, as they are in effect on the date of exercise.

4.3. Payment. The Exercise Agreement shall be accompanied by full payment of the Exercise Price for the shares being purchased in cash (by check, Automated Clearing House (“ACH”) transfer, or wire transfer), or where permitted by law:

(a) by cancellation of indebtedness of the Company owed to Optionee;

 

2


(b) by surrender of shares of the Company that are free and clear of all security interests, pledges, liens, claims or encumbrances and: (i) for which the Company has received “full payment of the purchase price” within the meaning of SEC Rule 144 (and, if such shares were purchased from the Company by use of a promissory note, such note has been fully paid with respect to such shares) or (ii) that were obtained by Optionee in the public market;

(c) by participating in a formal cashless exercise program implemented by the Committee in connection with the Plan;

(d) provided that a public market for the Common Stock exists, subject to compliance with applicable law, by exercising as set forth below, through a “same day sale” commitment from Optionee and a broker-dealer whereby Optionee irrevocably elects to exercise this Option and to sell a portion of the Shares so purchased sufficient to pay the total Exercise Price, and whereby the broker-dealer irrevocably commits upon receipt of such Shares to forward the total Exercise Price directly to the Company; or

(e) by any combination of the foregoing or any other method of payment approved by the Committee that constitutes legal consideration for the issuance of Shares.

For avoidance of uncertainty: ACH transfers that have been successfully received by the Company into its bank account designated via for receipt of such transfers shall be deemed to have been received for all purposes of this Option as of the date on which such transfers were initiated from the Optionee’s account and made irrevocable by Optionee.

4.4. Tax Withholding. Prior to the issuance of the Shares upon exercise of the Option, Optionee must pay or provide for any applicable federal, state and local withholding obligations of the Company. If the Committee permits, Optionee may provide for payment of withholding taxes upon exercise of the Option by requesting that the Company retain the minimum number of Shares with a Fair Market Value equal to the minimum amount of taxes required to be withheld; or to arrange a mandatory “sell to cover” on Optionee’s behalf (without further authorization); but in no event will the Company withhold Shares or “sell to cover” if such withholding would result in adverse accounting consequences to the Company. In case of stock withholding or a sell to cover, the Company shall issue the net number of Shares to Optionee by deducting the Shares retained from the Shares issuable upon exercise.

4.5. Issuance of Shares. Provided that the Exercise Agreement and payment are in form and substance satisfactory to counsel for the Company, the Company shall issue the Shares issuable upon a valid exercise of this Option registered in the name of Optionee, Optionee’s authorized assignee, or Optionee’s legal representative, and shall deliver electronic certificates via representing the Shares with the appropriate legends affixed thereto.

5. COMPLIANCE WITH LAWS AND REGULATIONS. The Plan and this Agreement are intended to comply with Section 25102(o) and Rule 701. Any provision of this Agreement that is inconsistent with Section 25102(o) or Rule 701 shall, without further act or amendment by the Company or the Committee, be reformed to comply with the requirements of Section 25102(o) and/or Rule 701. The exercise of this Option and the issuance and transfer of Shares shall be subject to compliance by the Company and Optionee with all applicable requirements of federal and state securities laws and with all applicable requirements of any stock exchange on which the Common Stock may be listed at the time of such issuance or transfer. Optionee understands that the Company is under no obligation to register or qualify the Shares with the SEC, any state securities commission or any stock exchange to effect such compliance.

 

3


6. NONTRANSFERABILITY OF OPTION. This Option may not be transferred in any manner other than by will or by the laws of descent and distribution, and, with respect to NQSOs, by instrument to a testamentary trust in which the options are to be passed to beneficiaries upon the death of the trustor (settlor) or a revocable trust, or by gift to “immediate family” as that term is defined in 17 C.F.R. 240.16a-1(e), and may be exercised during the lifetime of Optionee only by Optionee or in the event of Optionee’s incapacity, by Optionee’s legal representative. The terms of this Option shall be binding upon the executors, administrators, successors and assigns of Optionee.

7. COMPANY’S REPURCHASE OPTION FOR UNVESTED SHARES. If Optionee is Terminated for any reason, or no reason, including without limitation, Optionee’s death, Disability, voluntary resignation or termination by the Company with or without Cause and Optionee has acquired Unvested Shares by exercising this Option, then the Company and/or its assignee(s) shall have the option to repurchase all or a portion of Optionee’s Unvested Shares (as defined in Section 2.2 of this Agreement) as of the Termination Date on the terms and conditions set forth in this Section 7 (the “Repurchase Option”).

7.1. Termination and Termination Date. In case of any dispute as to whether Optionee is Terminated, the Committee shall have discretion to determine whether Optionee has been Terminated and the effective date of such Termination (the “Termination Date”).

7.2. Exercise of Repurchase Option. Subject to the foregoing provisions of this Section, at any time within ninety (90) days after Optionee’s Termination Date, the Company and/or its assignee(s), may elect to repurchase any or all of Optionee’s Unvested Shares by giving Optionee written notice of exercise of the Repurchase Option.

7.3. Calculation of Repurchase Price for Unvested Shares. The Company or its assignee shall have the option to repurchase from Optionee (or from Optionee’s personal representative as the case may be) the Unvested Shares at the lower of (a) the Fair Market Value (as defined in the Plan) per Share of such Shares on the Termination Date or (b) Optionee’s Exercise Price, as such may be proportionately adjusted for any stock split or similar change in the capital structure of the Company as set forth in Section 2.2 of the Plan (the “Repurchase Price”).

7.4. Payment of Repurchase Price. The Repurchase Price shall be payable, at the option of the Company or its assignee, by check or by cancellation of all or a portion of any outstanding indebtedness owed by Optionee to the Company and/or such assignee, or by any combination thereof. The Repurchase Price shall be paid without interest within the term of the Repurchase Option as described in Section 7.2.

7.5. Right of Termination Unaffected. Nothing in this Agreement shall be construed to limit or otherwise affect in any manner whatsoever the right or power of the Company (or any Parent or Subsidiary of the Company) to terminate Optionee’s employment or other relationship with Company (or any Parent or Subsidiary of the Company) at any time, for any reason or no reason, with or without Cause.

8. RESTRICTIONS ON TRANSFER.

8.1. Disposition of Shares. Optionee hereby agrees that Optionee shall make no disposition of any of the Shares (other than as permitted by this Agreement) unless and until:

(a) Optionee shall have notified the Company of the proposed disposition and provided a written summary of the terms and conditions of the proposed disposition;

(b) Optionee shall have complied with all requirements of this Agreement applicable to the disposition of the Shares;

 

4


(c) Optionee shall have provided the Company with written assurances, in form and substance satisfactory to counsel for the Company, that (i) the proposed disposition does not require registration of the Shares under the Securities Act or under any applicable state securities laws or (ii) all appropriate actions necessary for compliance with the registration requirements of the Securities Act or of any exemption from registration available under the Securities Act (including Rule 144) or applicable state securities laws have been taken; and

(d) Optionee shall have provided the Company with written assurances, in form and substance satisfactory to the Company, that the proposed disposition will not result in the contravention of any transfer restrictions applicable to the Shares pursuant to the provisions of the regulations promulgated under Section 25102(o), Rule 701 or under any other applicable securities laws or adversely affect the Company’s ability to rely on the exemption(s) from registration under the Securities Act or under any other applicable securities laws for the grant of the Option, the issuance of Shares thereunder or any other issuance of securities under the Plan.

8.2. Restriction on Transfer. Optionee shall not transfer, assign, grant a lien or security interest in, pledge, hypothecate, encumber or otherwise dispose of any of the Shares which are subject to the Company’s Repurchase Option or the Right of First Refusal described below, except as permitted by this Agreement.

8.3. Transferee Obligations. Each person (other than the Company) to whom the Shares are transferred by means of one of the permitted transfers specified in this Agreement must, as a condition precedent to the validity of such transfer, acknowledge in writing to the Company that such person is bound by the provisions of this Agreement and that the transferred Shares are subject to (i) both the Company’s Repurchase Option and the Company’s Right of First Refusal granted hereunder and (ii) the market stand-off provisions of Section 9 below, to the same extent such Shares would be so subject if retained by Optionee.

9. MARKET STANDOFF AGREEMENT. Optionee agrees that, subject to any early release provisions that apply pro rata to stockholders of the Company according to their holdings of Common Stock (determined on an as-converted into Common Stock basis), Optionee will not, for a period of up to one hundred eighty (180) days (plus up to an additional thirty five (35) days to the extent reasonably requested by the Company or such underwriter(s) to accommodate regulatory restrictions on the publication or other distribution of research reports or earnings releases by the Company, including NASD and NYSE rules) following the effective date of the registration statement filed with the SEC relating to the initial underwritten sale of Common Stock of the Company to the public under the Securities Act (the “IPO”), directly or indirectly sell, offer to sell, grant any option for the sale of, or otherwise dispose of any Common Stock or securities convertible into Common Stock, except for: (i) transfers of Shares permitted under Section 10.6 hereof so long as such transferee furnishes to the Company and the managing underwriter their written consent to be bound by this Section 9 as a condition precedent to such transfer; and (ii) sales of any securities to be included in the registration statement for the IPO. For the avoidance of doubt, the provisions of this Section shall only apply to the IPO. The restricted period shall in any event terminate two (2) years after the closing date of the IPO. In order to enforce the foregoing covenant, the Company shall have the right to place restrictive legends on the certificates representing the Shares subject to this Section and to impose stop transfer instructions with respect to the Shares until the end of such period. Optionee further agrees to enter into any agreement reasonably required by the underwriters to implement the foregoing restrictions on transfer. For the avoidance of doubt, the foregoing provisions of this Section shall not apply to any registration of securities of the Company (a) under an employee benefit plan or (b) in a merger, consolidation, business combination or similar transaction.

 

5


10. COMPANY’S RIGHT OF FIRST REFUSAL. Unvested Shares may not be sold or otherwise transferred, or pledged by Optionee or made subject to a security interest, pledge or other lien without the Company’s prior written consent, which may be withheld in the Company’s sole and absolute discretion. Before any Vested Shares held by Optionee or any transferee of such Vested Shares (either sometimes referred to herein as the “Holder”) may be sold or otherwise transferred (including, without limitation, a transfer by gift or operation of law), the Company and/or its assignee(s) will have a right of first refusal to purchase the Vested Shares to be sold or transferred (the “Offered Shares”) on the terms and conditions set forth in this Section (the “Right of First Refusal”).

10.1. Notice of Proposed Transfer. The Holder of the Offered Shares will deliver to the Company a written notice (the “Notice”) stating: (i) the Holder’s bona fide intention to sell or otherwise transfer the Offered Shares; (ii) the name and address of each proposed purchaser or other transferee (the “Proposed Transferee”); (iii) the number of Offered Shares to be transferred to each Proposed Transferee; (iv) the bona fide cash price or other consideration for which the Holder proposes to transfer the Offered Shares (the “Offered Price”); and (v) that the Holder acknowledges this Notice is an offer to sell the Offered Shares to the Company and/or its assignee(s) pursuant to the Company’s Right of First Refusal at the Offered Price as provided for in this Agreement.

10.2. Exercise of Right of First Refusal. At any time within thirty (30) days after the date of the Notice, the Company and/or its assignee(s) may, by giving written notice to the Holder, elect to purchase all (or, with the consent of the Holder, less than all) the Offered Shares proposed to be transferred to any one or more of the Proposed Transferees named in the Notice, at the purchase price, determined as specified below.

10.3. Purchase Price. The purchase price for the Offered Shares purchased under this Section will be the Offered Price, provided that if the Offered Price consists of no legal consideration (as, for example, in the case of a transfer by gift) then the purchase price will be the fair market value of the Offered Shares as determined in good faith by the Committee. If the Offered Price includes consideration other than cash, then the value of the non-cash consideration, as determined in good faith by the Committee, will conclusively be deemed to be the cash equivalent value of such non-cash consideration.

10.4. Payment. Payment of the purchase price for the Offered Shares will be payable, at the option of the Company and/or its assignee(s) (as applicable), by check or by cancellation of all or a portion of any outstanding purchase money indebtedness owed by the Holder to the Company (or to such assignee, in the case of a purchase of Offered Shares by such assignee) or by any combination thereof. The purchase price will be paid without interest within sixty (60) days after the Company’s receipt of the Notice, or, at the option of the Company and/or its assignee(s), in the manner and at the time(s) set forth in the Notice.

10.5. Holder’s Right to Transfer. If all of the Offered Shares proposed in the Notice to be transferred to a given Proposed Transferee are not purchased by the Company and/or its assignee(s) as provided in this Section, then the Holder may sell or otherwise transfer such Offered Shares to each Proposed Transferee at the Offered Price or at a higher price, provided that (i) such sale or other transfer is consummated within ninety (90) days after the date of the Notice, (ii) any such sale or other transfer is effected in compliance with all applicable securities laws, and (iii) each Proposed Transferee agrees in writing that the provisions of this Section will continue to apply to the Offered Shares in the hands of such Proposed Transferee. If the Offered Shares described in the Notice are not transferred to each Proposed Transferee within such ninety (90) day period, then a new Notice must be given to the Company pursuant to which the Company will again be offered the Right of First Refusal before any Shares held by the Holder may be sold or otherwise transferred.

10.6. Exempt Transfers. Notwithstanding anything to the contrary in this Section, the following transfers of Vested Shares will be exempt from the Right of First Refusal: (i) the transfer of any or all of the Vested Shares during Optionee’s lifetime by gift or on Optionee’s death by will or intestacy to any member(s) of Optionee’s “Immediate Family” (as defined below) or to a trust for the benefit of Optionee and/or member(s) of Optionee’s Immediate Family, provided that each transferee or other recipient agrees in a writing satisfactory to the Company that the provisions of this Section will continue

 

6


to apply to the transferred Vested Shares in the hands of such transferee or other recipient; (ii) any transfer of Vested Shares made pursuant to a statutory merger, statutory consolidation of the Company with or into another corporation or corporations or a conversion of the Company into another form of legal entity (except that the Right of First Refusal will continue to apply thereafter to such Vested Shares, in which case the surviving corporation of such merger or consolidation or the resulting entity of such conversion shall succeed to the rights of the Company under this Section unless the agreement of merger or consolidation or conversion expressly otherwise provides); or (iii) any transfer of Vested Shares pursuant to the winding up and dissolution of the Company. As used herein, the term “Immediate Family” will mean Optionee’s spouse, the lineal descendant or antecedent, father, mother, brother or sister, child, adopted child, grandchild or adopted grandchild of Optionee or Optionee’s spouse, or the spouse of any of the above or Spousal Equivalent, as defined herein. As used herein, a person is deemed to be a “Spousal Equivalent” provided the following circumstances are true: (i) irrespective of whether or not Optionee and the Spousal Equivalent are the same sex, they are the sole spousal equivalent of the other for the last twelve (12) months, (ii) they intend to remain so indefinitely, (iii) neither are married to anyone else, (iv) both are at least 18 years of age and mentally competent to consent to contract, (v) they are not related by blood to a degree of closeness that which would prohibit legal marriage in the state in which they legally reside, (vi) they are jointly responsible for each other’s common welfare and financial obligations, and (vii) they reside together in the same residence for the last twelve (12) months and intend to do so indefinitely.

10.7. Termination of Right of First Refusal. The Right of First Refusal will terminate as to all Shares: (i) on the effective date of the first sale of Common Stock of the Company to the general public pursuant to a registration statement filed with and declared effective by the SEC under the Securities Act (other than a registration statement relating solely to the issuance of Common Stock pursuant to a business combination or an employee incentive or benefit plan); (ii) on any transfer or conversion of Shares made pursuant to a statutory merger or statutory consolidation of the Company with or into another corporation or corporations if the common stock of the surviving corporation or any direct or indirect parent corporation thereof is registered under the Exchange Act; or (iii) on any transfer or conversion of Shares made pursuant to a statutory conversion of the Company into another form of legal entity if the common equity (or comparable equity security) of entity resulting from such conversion is registered under the Exchange Act.

10.8. Encumbrances on Vested Shares. Optionee may grant a lien or security interest in, or pledge, hypothecate or encumber Vested Shares only if each party to whom such lien or security interest is granted, or to whom such pledge, hypothecation or other encumbrance is made, agrees in a writing satisfactory to the Company that: (i) such lien, security interest, pledge, hypothecation or encumbrance will not adversely affect or impair the Right of First Refusal or the rights of the Company and/or its assignee(s) with respect thereto and will not apply to such Vested Shares after they are acquired by the Company and/or its assignees under this Section; and (ii) the provisions of this Agreement will continue to apply to such Vested Shares in the hands of such party and any transferee of such party. Optionee may not grant a lien or security interest in, or pledge, hypothecate or encumber, any Unvested Shares.

10.9. Effect of Company Stockholders Agreement. If Optionee is, or at any time hereafter becomes, a party to or otherwise bound by (i) the Company’s Amended and Restated Stockholders Agreement dated as of February 15, 2019 among the Company and certain stockholders of the Company, as such may be amended and/or restated from time to time, and/or (ii) any other agreement that is a successor to or replacement of such agreement (collectively, the “Company Stockholders Agreement”), then, in the event of any conflict or inconsistency between the provisions of Section 9 hereof and/or this Section 10 and any provisions in the Company Stockholders Agreement granting the Company and/or other security holders of the Company rights of first refusal and/or co-sale rights with respect to any or all of the Shares or imposing market stand-off restrictions, Optionee agrees with the Company that the terms and conditions of the Company Stockholders Agreement shall apply, govern, supersede and prevail over (and in lieu of) the provisions of Section 9 hereof and/or of this Section 10 (as applicable) so long as the Company Stockholders Agreement is in effect and Optionee is a party to or bound thereby. If the Company Stockholders Agreement is no longer in effect or if Optionee is not a party to or bound thereby, then the provisions of this Section 10 shall apply in full force and effect until termination of the Right of First Refusal and the provisions of Section 9 hereof shall apply in full force and effect in accordance with its terms.

 

7


11. RIGHTS AS A STOCKHOLDER. Optionee shall not have any of the rights of a stockholder with respect to any Shares unless and until such Shares are issued to Optionee. Subject to the terms and conditions of this Agreement, Optionee will have all of the rights of a stockholder of the Company with respect to the Shares from and after the date that Shares are issued to Optionee pursuant to, and in accordance with, the terms of the Exercise Agreement until such time as Optionee disposes of the Shares or the Company and/or its assignee(s) exercise(s) the Repurchase Option or the Right of First Refusal. Upon an exercise of the Repurchase Option or the Right of First Refusal, Optionee will have no further rights as a holder of the Shares so purchased upon such exercise, other than the right to receive payment for the Shares so purchased in accordance with the provisions of this Agreement, and Optionee will promptly surrender the stock certificate(s) evidencing the Shares so purchased to the Company for transfer or cancellation.

12. ESCROW. As security for Optionee’s faithful performance of this Agreement, Optionee agrees, immediately upon receipt of the stock certificate(s) evidencing the Shares via , to deliver such certificate(s) to the Secretary of the Company or other designee of the Company (the “Escrow Holder”), who is hereby appointed to hold such certificate(s) and to take all such actions and to effectuate all such transfers and/or releases of such Shares as are in accordance with the terms of this Agreement. Optionee and the Company agree that Escrow Holder will not be liable to any party to this Agreement (or to any other party) for any actions or omissions unless Escrow Holder is grossly negligent or intentionally fraudulent in carrying out the duties of Escrow Holder under this Agreement. Escrow Holder may rely upon any letter, notice or other document executed with any signature purported to be genuine and may rely on the advice of counsel and obey any order of any court with respect to the transactions contemplated by this Agreement and will not be liable for any act or omission taken by Escrow Holder in good faith reliance on such documents, the advice of counsel or a court order. The Shares will be released from escrow upon termination of both the Repurchase Option and the Right of First Refusal.

13. Company Stockholders Agreement. As a material inducement and consideration for the Company to enter into this Agreement, Optionee hereby agrees that if, the Company requests Optionee to enter into and become a party to the Company Stockholders Agreement (and to subject the Shares to the rights of first refusal held by the Company and other Company investors thereunder and the co-sale rights of other investors thereunder, and pursuant to which Optionee would agree to vote all shares of Company stock held by Optionee for the election of directors and in favor of certain material transactions (such as mergers or sales of the Company)), then Optionee will enter into such agreement and execute and deliver signature pages thereto (as requested by the Company) in such capacities as the Company requests, at the time of exercising this Option and as a condition to such exercise or at any later time.

14. RESTRICTIVE LEGENDS AND STOP-TRANSFER ORDERS.

14.1. Legends. Optionee understands and agrees that the Company will place the legends set forth below or similar legends on any stock certificate(s) evidencing the Shares, together with any other legends that may be required by state or U.S. Federal securities laws, the Company’s Certificate of Incorporation or Bylaws, any other agreement between Optionee and the Company, or any agreement between Optionee and any third party (and any other legend(s) that the Company may become obligated to place on the stock certificate(s) evidencing the Shares under the terms of any agreement to which the Company is or may become bound or obligated):

 

8


(a) THE SECURITIES REPRESENTED HEREBY HAVE NOT BEEN REGISTERED UNDER THE SECURITIES ACT OF 1933, AS AMENDED (THE “SECURITIES ACT”), OR UNDER THE SECURITIES LAWS OF CERTAIN STATES. THESE SECURITIES ARE SUBJECT TO RESTRICTIONS ON TRANSFERABILITY AND RESALE AND MAY NOT BE TRANSFERRED OR RESOLD EXCEPT AS PERMITTED UNDER THE SECURITIES ACT AND APPLICABLE STATE SECURITIES LAWS, PURSUANT TO REGISTRATION OR EXEMPTION THEREFROM. INVESTORS SHOULD BE AWARE THAT THEY MAY BE REQUIRED TO BEAR THE FINANCIAL RISKS OF THIS INVESTMENT FOR AN INDEFINITE PERIOD OF TIME. THE ISSUER OF THESE SECURITIES MAY REQUIRE AN OPINION OF COUNSEL IN FORM AND SUBSTANCE SATISFACTORY TO THE ISSUER TO THE EFFECT THAT ANY PROPOSED TRANSFER OR RESALE IS IN COMPLIANCE WITH THE SECURITIES ACT AND ANY APPLICABLE STATE SECURITIES LAWS.

(b) THE SHARES REPRESENTED BY THIS CERTIFICATE ARE SUBJECT TO CERTAIN RESTRICTIONS ON RESALE AND TRANSFER, INCLUDING THE REPURCHASE OPTION AND RIGHT OF FIRST REFUSAL HELD BY THE ISSUER AND/OR ITS ASSIGNEE(S) AS SET FORTH IN A STOCK OPTION AGREEMENT BETWEEN THE ISSUER AND THE ORIGINAL HOLDER OF THESE SHARES, A COPY OF WHICH MAY BE OBTAINED AT THE PRINCIPAL OFFICE OF THE ISSUER. SUCH SALE AND TRANSFER RESTRICTIONS, INCLUDING THE REPURCHASE OPTION AND RIGHT OF FIRST REFUSAL, ARE BINDING ON TRANSFEREES OF THESE SHARES.

(c) THE SHARES REPRESENTED BY THIS CERTIFICATE ARE SUBJECT TO A MARKET STANDOFF RESTRICTION AS SET FORTH IN A CERTAIN STOCK OPTION AGREEMENT BETWEEN THE ISSUER AND THE ORIGINAL HOLDER OF THESE SHARES, A COPY OF WHICH MAY BE OBTAINED AT THE PRINCIPAL OFFICE OF THE ISSUER. AS A RESULT OF SUCH AGREEMENT, THESE SHARES MAY NOT BE TRADED PRIOR TO 180 DAYS AFTER THE EFFECTIVE DATE OF CERTAIN PUBLIC OFFERINGS OF THE COMMON STOCK OF THE ISSUER HEREOF. SUCH RESTRICTION IS BINDING ON TRANSFEREES OF THESE SHARES.

Optionee agrees that if Optionee becomes a party to the Company Stockholders Agreement, then Optionee agrees that the stock certificate(s) evidencing the Shares shall, in addition, bear any legends required under the Company Stockholders Agreement.

14.2. Stop-Transfer Instructions. Optionee agrees that, to ensure compliance with the restrictions imposed by this Agreement, the Company may issue appropriate “stop-transfer” instructions to its transfer agent, if any, and if the Company transfers its own securities, it may make appropriate notations to the same effect in its own records.

14.3. Refusal to Transfer. The Company will not be required (i) to transfer on its books any Shares that have been sold or otherwise transferred in violation of any of the provisions of this Agreement or (ii) to treat as owner of such Shares, or to accord the right to vote or pay dividends to any purchaser or other transferee to whom such Shares have been so transferred.

15. CERTAIN TAX CONSEQUENCES. Set forth below is a brief summary as of the Effective Date of the Plan of some of the federal tax consequences of exercise of the Option and disposition of the Shares. THIS SUMMARY IS NECESSARILY INCOMPLETE, AND THE TAX LAWS AND REGULATIONS ARE SUBJECT TO CHANGE. OPTIONEE SHOULD CONSULT A TAX ADVISER BEFORE EXERCISING THE OPTION OR DISPOSING OF THE SHARES.

15.1. Exercise of ISO. If the Option qualifies as an ISO, there will be no regular federal income tax liability upon the exercise of the Option, although the excess, if any, of the Fair Market Value of the Shares on the date of exercise over the Exercise Price will be treated as a tax preference item for federal alternative minimum tax purposes and may subject Optionee to the alternative minimum tax in the year of exercise.

 

9


15.2. Exercise of Nonqualified Stock Option. If the Option does not qualify as an ISO, there may be a regular federal income tax liability upon the exercise of the Option. Optionee will be treated as having received compensation income (taxable at ordinary income tax rates) equal to the excess, if any, of the Fair Market Value of the Shares on the date of exercise over the Exercise Price. If Optionee is a current or former employee of the Company, the Company may be required to withhold from Optionee’s compensation or collect from Optionee and pay to the applicable taxing authorities an amount equal to a percentage of this compensation income at the time of exercise.

15.3. Disposition of Shares. The following tax consequences may apply upon disposition of the Shares.

(a) Incentive Stock Options. If the Shares are held for more than twelve (12) months after the date of purchase of the Shares pursuant to the exercise of an ISO and are disposed of more than two (2) years after the Date of Grant, any gain realized on disposition of the Shares will be treated as long term capital gain for federal income tax purposes. If Vested Shares purchased under an ISO are disposed of within the applicable one (1) year or two (2) year period, any gain realized on such disposition will be treated as compensation income (taxable at ordinary income rates in the year of the disposition) to the extent of the excess, if any, of the Fair Market Value of the Shares on the date of exercise over the Exercise Price. To the extent the Shares were exercised prior to vesting coincident with the filing of an 83(b) Election, the amount taxed because of a disqualifying disposition will be based upon the excess, if any, of the fair market value on the date of vesting over the exercise price.

(b) Nonqualified Stock Options. If the Shares are held for more than twelve (12) months after the date of purchase of the Shares pursuant to the exercise of an NQSO, any gain realized on disposition of the Shares will be treated as long term capital gain.

15.4. Section 83(b) Election for Unvested Shares. With respect to Unvested Shares, which are subject to the Repurchase Option, unless an election is filed by Optionee with the Internal Revenue Service (and, if necessary, the proper state taxing authorities), within thirty (30) days of the purchase of the Unvested Shares, electing pursuant to Section 83(b) of the Code (and similar state tax provisions, if applicable) to be taxed currently on any difference between the Exercise Price of the Unvested Shares and their Fair Market Value on the date of purchase, there may be a recognition of taxable income (including, where applicable, alternative minimum taxable income) to Optionee, measured by the excess, if any, of the Fair Market Value of the Unvested Shares at the time they cease to be Unvested Shares, over the Exercise Price of the Unvested Shares.

16. GENERAL PROVISIONS.

16.1. Interpretation. Any dispute regarding the interpretation of this Agreement shall be submitted by Optionee or the Company to the Committee for review. The resolution of such a dispute by the Committee shall be final and binding on the Company and Optionee.

16.2. Entire Agreement. The Plan, the Grant Notice and the Exercise Agreement are each incorporated herein by reference. This Agreement, the Grant Notice, the Plan and the Exercise Agreement constitute the entire agreement of the parties with respect to the subject matter hereof and supersede all prior undertakings and agreements with respect to such subject matter.

 

10


17. NOTICES. Any and all notices required or permitted to be given to a party pursuant to the provisions of this Agreement will be in writing and will be effective and deemed to provide such party sufficient notice under this Agreement on the earliest of the following: (i) at the time of personal delivery, if delivery is in person; (ii) at the time an electronic confirmation of receipt is received, if delivery is by email; (iii) at the time of transmission by facsimile, addressed to the other party at its facsimile number specified herein (or hereafter modified by subsequent notice to the parties hereto), with confirmation of receipt made by both telephone and printed confirmation sheet verifying successful transmission of the facsimile; (iv) one (1) business day after deposit with an express overnight courier for United States deliveries, or two (2) business days after such deposit for deliveries outside of the United States, with proof of delivery from the courier requested; or (v) three (3) business days after deposit in the United States mail by certified mail (return receipt requested) for United States deliveries. Any notice for delivery outside the United States will be sent by email, facsimile or by express courier. Any notice not delivered personally or by email will be sent with postage and/or other charges prepaid and properly addressed to Optionee at the last known address or facsimile number on the books of the Company, or at such other address or facsimile number as such other party may designate by one of the indicated means of notice herein to the other parties hereto or, in the case of the Company, to it at its principal place of business. Notices to the Company will be marked “Attention: Chief Financial Officer.” Notices by facsimile shall be machine verified as received.

18. SUCCESSORS AND ASSIGNS. The Company may assign any of its rights under this Agreement including its rights to purchase Shares under both the Right of First Refusal and Repurchase Option. This Agreement shall be binding upon and inure to the benefit of the successors and assigns of the Company. Subject to the restrictions on transfer set forth herein, this Agreement shall be binding upon Optionee and Optionee’s heirs, executors, administrators, legal representatives, successors and assigns.

19. GOVERNING LAW. This Agreement shall be governed by and construed in accordance with the internal laws of the State of California as such laws are applied to agreements between California residents entered into and to be performed entirely within California. If any provision of this Agreement is determined by a court of law to be illegal or unenforceable, then such provision will be enforced to the maximum extent possible and the other provisions will remain fully effective and enforceable.

20. FURTHER ASSURANCES. The parties agree to execute such further documents and instruments and to take such further actions as may be reasonably necessary to carry out the purposes and intent of this Agreement.

21. TITLES AND HEADINGS. The titles, captions and headings of this Agreement are included for ease of reference only and will be disregarded in interpreting or construing this Agreement. Unless otherwise specifically stated, all references herein to “sections” and “exhibits” will mean “sections” and “exhibits” to this Agreement.

22. COUNTERPARTS. This Agreement may be executed in any number of counterparts, each of which when so executed and delivered will be deemed an original, and all of which together shall constitute one and the same agreement.

23. SEVERABILITY. If any provision of this Agreement is determined by any court or arbitrator of competent jurisdiction to be invalid, illegal or unenforceable in any respect, such provision will be enforced to the maximum extent possible given the intent of the parties hereto. If such clause or provision cannot be so enforced, such provision shall be stricken from this Agreement and the remainder of this Agreement shall be enforced as if such invalid, illegal or unenforceable clause or provision had (to the extent not enforceable) never been contained in this Agreement. Notwithstanding the forgoing, if the value of this Agreement based upon the substantial benefit of the bargain for any party is materially impaired, which determination as made by the presiding court or arbitrator of competent jurisdiction shall be binding, then both parties agree to substitute such provision(s) through good faith negotiations.

* * * * *

 

11


Attachments:

Annex A: Form of Stock Option Exercise Notice and Agreement

 

12


ANNEX A

FORM OF STOCK OPTION EXERCISE NOTICE AND AGREEMENT


EARLY EXERCISE FORM

STOCK OPTION EXERCISE NOTICE AND AGREEMENT

MAZE THERAPEUTICS, INC.

2019 EQUITY INCENTIVE PLAN

*NOTE: You must sign this Notice on Page 3 before submitting it to Maze Therapeutics, Inc. (the “Company”) AND, if requested to do so by the Company, you must also sign the signature pages to the Company’s then-current Company Stockholders Agreement (as defined in the Stock Option Agreement) before submitting this Notice to the Company.

OPTIONEE INFORMATION: Please provide the following information about yourself (“Optionee”):

 

Name:   

 

         Social Security Number:  

 

Address:   

 

      Employee Number:  

 

  

 

      Email Address:  

 

OPTION INFORMATION: Please provide this information on the option being exercised (the “Option):

 

Grant No.              
Date of Grant:             

Type of Stock Option:

Option Price per Share:             

         

Total number of shares of Common Stock of the Company subject to the Option:          

EXERCISE INFORMATION:

Number of shares of Common Stock of the Company for which the Option is now being exercised       . (These shares are referred to below as the “Purchased Shares.”)

Total Exercise Price Being Paid for the Purchased Shares: $____________

Form of payment enclosed [check all that apply]:

 

Check for $____________, payable to “Maze Therapeutics, Inc.

 

Certificate(s) for ________________ shares of Common Stock of the Company. These shares will be valued as of the date this notice is received by the Company. [Requires Company consent.]

 

by Automated Clearing House (“ACH”) transfer in the amount of $_________________.

AGREEMENTS, REPRESENTATIONS AND ACKNOWLEDGMENTS OF OPTIONEE:By signing this Stock Option Exercise Notice and Agreement via        , Optionee hereby agrees with, and represents to, the Company as follows:

 

1.

Terms Governing. I acknowledge and agree with the Company that I am acquiring the Purchased Shares by exercise of this Option subject to all other terms and conditions of the Notice of Stock Option Grant and the Stock Option Agreement that govern the Option, including without limitation the terms of the Company’s 2019 Equity Incentive Plan, as it may be amended (the “Plan”).


EARLY EXERCISE FORM

 

2.

Investment Intent; Securities Law Restrictions. I represent and warrant to the Company that I am acquiring and will hold the Purchased Shares for investment for my account only, and not with a view to, or for resale in connection with, any “distribution” of the Purchased Shares within the meaning of the Securities Act of 1933, as amended (the “Securities Act”). I understand that the Purchased Shares have not been registered under the Securities Act by reason of a specific exemption from such registration requirement and that the Purchased Shares must be held by me indefinitely, unless they are subsequently registered under the Securities Act or I obtain an opinion of counsel (in form and substance satisfactory to the Company and its counsel) that registration is not required. I acknowledge that the Company is under no obligation to register the Purchased Shares under the Securities Act or under any other securities law.

 

3.

Restrictions on Transfer: Rule 144. I will not sell, transfer or otherwise dispose of the Purchased Shares in violation of the Securities Act, the Securities Exchange Act of 1934, or the rules promulgated thereunder (including Rule 144 under the Securities Act described below (“Rule 144”)) or of any other applicable securities laws. I am aware of Rule 144, which permits limited public resales of securities acquired in a non-public offering, subject to satisfaction of certain conditions, which include (without limitation) that: (a) certain current public information about the Company is available; (b) the resale occurs only after the holding period required by Rule 144 has been met; (c) the sale occurs through an unsolicited “broker’s transaction;” and (d) the amount of securities being sold during any three-month period does not exceed specified limitations. I understand that the conditions for resale set forth in Rule 144 have not been satisfied and that the Company has no plans to satisfy these conditions in the foreseeable future.

 

4.

Access to Information; Understanding of Risk in Investment. I acknowledge that I have received and had access to such information as I consider necessary or appropriate for deciding whether to invest in the Purchased Shares and that I had an opportunity to ask questions and receive answers from the Company regarding the terms and conditions of the issuance of the Purchased Shares. I am aware that my investment in the Company is a speculative investment that has limited liquidity and is subject to the risk of complete loss. I am able, without impairing my financial condition, to hold the Purchased Shares for an indefinite period and to suffer a complete loss of my investment in the Purchased Shares.

 

5.

Rights of First Refusal; Repurchase Options; Market Stand-off. I acknowledge that the Purchased Shares remain subject to the Company’s Right of First Refusal, the Company’s Repurchase Option (with respect to unvested Purchased Shares) and the market stand-off covenants (sometimes referred to as the “lock-up”), all in accordance with the applicable Notice of Stock Option Grant and the Stock Option Agreement that govern the Option

 

6.

Form of Ownership. I acknowledge that the Company has encouraged me to consult my own adviser to determine the form of ownership of the Purchased Shares that is appropriate for me. In the event that I choose to transfer my Purchased Shares to a trust, I agree to sign a Stock Transfer Agreement. In the event that I choose to transfer my Purchased Shares to a trust that is not an eligible revocable trust, I also acknowledge that the transfer will be treated as a “disposition” for tax purposes. As a result, the favorable ISO tax treatment will be unavailable and other unfavorable tax consequences may occur.

 

7.

Investigation of Tax Consequences. I acknowledge that the Company has encouraged me to consult my own adviser to determine the tax consequences of acquiring the Purchased Shares at this time.

 

8.

Other Tax Matters. I agree that the Company does not have a duty to design or administer the Plan or its other compensation programs in a manner that minimizes my tax liabilities. I will not make any claim against the Company or its Board, officers or employees related to tax liabilities arising from my options or my other compensation. In particular, I acknowledge that my options (including the Option) are exempt from Section 409A of the Internal Revenue Code only if the exercise price per

 

2


EARLY EXERCISE FORM

 

  share is at least equal to the fair market value per share of the Common Stock at the time the option was granted by the Board. Since shares of the Common Stock are not traded on an established securities market, the determination of their fair market value was made by the Board and/or by an independent valuation firm retained by the Company. I acknowledge that there is no guarantee in either case that the Internal Revenue Service will agree with the valuation, and I will not make any claim against the Company or its Board of Directors, officers or employees in the event that the Internal Revenue Service asserts that the valuation was too low.

 

9.

Spouse Consent. I agree to seek the consent of my spouse to the extent required by the Company to enforce the foregoing.

 

10.

Agreement to Enter into Company Stockholders Agreement. Pursuant to the Stock Option Agreement, if requested to do so by the Company, I agree to enter into and execute the then-current Company Stockholders Agreement concurrently with my exercise of the Option or at any other time I am requested to do so by the Company. I acknowledge that by entering into the Company Stockholders Agreement I will be subjecting the Purchased Shares to the rights of first refusal, co-sale rights as well as voting and other obligations and covenants regarding all Company shares I own and all other provisions of the Company Stockholders Agreement, in addition to the right of first refusal, repurchase option and market stand-off provisions described above.

 

11.

Tax Withholding. As a condition of exercising this Option, I agree to make adequate provision for foreign, federal, state or other tax withholding obligations, if any, which arise upon the grant, vesting or exercise of this Option, or disposition of the Purchased Shares, whether by withholding, direct payment to the Company, or otherwise.

IMPORTANT NOTE: UNVESTED PURCHASED SHARES ARE SUBJECT TO REPURCHASE BY THE COMPANY. PLEASE CONSULT WITH YOUR TAX ADVISER CONCERNING THE ADVISABILITY OF FILING AN 83(b) ELECTION WITH THE INTERNAL REVENUE SERVICE WHICH MUST BE FILED WITHIN THIRTY (30) DAYS AFTER THE PURCHASE OF SHARES TO BE EFFECTIVE.

A form of Election under Section 83(b) is attached hereto as Exhibit 1 for reference. Unless an 83(b) election is timely filed with the Internal Revenue Service (and, if necessary, the proper state taxing authorities), electing pursuant to Section 83(b) of the Internal Revenue Code (and similar state tax provisions, if applicable) to be taxed currently on any difference between the purchase price of the Unvested Purchased Shares and their fair market value on the date of purchase, there may be a recognition of taxable income (including, where applicable, alternative minimum taxable income) to you, measured by the excess, if any, of the Fair Market Value of the Unvested Purchased Shares at the time they cease to be Unvested Purchased Shares, over the purchase price of the Unvested Purchased Shares.

The undersigned hereby executes and delivers this Stock Option Exercise Notice and Agreement and agrees to be bound by its terms

 

SIGNATURE:         DATE:

 

                 
Optionee’s Name:                  

Attachments:

Exhibit 1 – Section 83(b) Election Form

[Signature Page to Stock Option Exercise Notice and Agreement]

 

3


EARLY EXERCISE FORM

EXHIBIT 1

SECTION 83(b) ELECTION


ELECTION UNDER SECTION 83(b) OF THE

INTERNAL REVENUE CODE

The undersigned Taxpayer hereby elects, pursuant to Section 83(b) of the Internal Revenue Code of 1986, as amended, to include the excess, if any, of the fair market value of the property described below at the time of transfer over the amount paid for such property, as compensation for services in the calculation of: (1) regular gross income; (2) alternative minimum taxable income; or (3) disqualifying disposition gross income, as the case may be.

 

1.    TAXPAYER’S NAME:   

 

   TAXPAYER’S ADDRESS:   

 

     

 

   SOCIAL SECURITY NUMBER:   

 

 

2.    The property with respect to which the election is made is described as follows: _______ shares of Common Stock, par value $0.001 per share, of Maze Therapeutics, Inc., a Delaware corporation (the “Company”), which were transferred upon exercise of an option by the Company, which is Taxpayer’s employer or the corporation for whom the Taxpayer performs services.
3.    The date on which the shares were transferred was pursuant to the exercise of the option was ____________________, _____ and this election is made for calendar year ____.
4.    The shares received upon exercise of the option are subject to the following restrictions: The Company may repurchase all or a portion of the shares at the lower of (a) Taxpayer’s original purchase price per share or (b) the then fair market value per share of the shares, under certain conditions at the time of Taxpayer’s termination of employment or services.
5.    The fair market value of the shares (without regard to restrictions other than restrictions which by their terms will never lapse) was $_____ per share x _______ shares = $_______ at the time of exercise of the option.
6.    The amount paid for such shares upon exercise of the option was $____ per share x ________ shares = $________.
7.    The Taxpayer has submitted a copy of this statement to the Company.
8.    The amount to include in gross income is $______________. [The result of the amount reported in Item 5 minus the amount reported in Item 6.]

THIS ELECTION MUST BE FILED WITH THE INTERNAL REVENUE SERVICE (“IRS”), AT THE OFFICE WHERE THE TAXPAYER FILES ANNUAL INCOME TAX RETURNS, WITHIN 30 DAYS AFTER THE DATE OF TRANSFER OF THE SHARES, AND MUST ALSO BE FILED WITH THE TAXPAYER’S INCOME TAX RETURNS FOR THE CALENDAR YEAR. THE ELECTION CANNOT BE REVOKED WITHOUT THE CONSENT OF THE IRS.

 

Dated:  

 

     

 

        Taxpayer’s Signature


MAZE THERAPEUTICS, INC.

2019 EQUITY INCENTIVE PLAN

RESTRICTED STOCK PURCHASE AGREEMENT

This Restricted Stock Purchase Agreement (the “Agreement”) is made and entered into as of the date specified on       (the “Effective Date”) by and between Maze Therapeutics, Inc., a Delaware corporation (the “Company”), and the Purchaser indicated on     (“Purchaser”). Capitalized terms not defined herein shall have the meanings ascribed to them in the Company’s 2019 Equity Incentive Plan, as may be amended from time to time (the “Plan”).

 

  1.

PURCHASE OF SHARES.

1.1 Agreement to Purchase and Sell Shares. On the Effective Date and subject to the terms and conditions of this Agreement and the Plan, Purchaser hereby purchases from the Company, and the Company hereby sells to Purchaser, the number of shares of the Company’s Common Stock, as specified on    (the “Shares”), at a purchase price per share as specified on    for a total purchase price as specified on    (the “Aggregate Purchase Price”). As used in this Agreement, the term “Shares” includes the Shares purchased under this Agreement and all securities received (a) in replacement of the Shares, (b) as a result of stock dividends or stock splits with respect to the Shares, and (c) in replacement of the Shares in a merger, recapitalization, reorganization or similar corporate transaction.

1.2 Payment. Purchaser hereby delivers payment of the Purchase Price as follows (check and complete as appropriate):

 

[ ]

in cash (by check) in the amount of $_________________, receipt of which is acknowledged by the Company.

 

[ ]

by ACH in the amount of $_______________, receipt of which is acknowledged by the Company.

 

[ ]

by cancellation of indebtedness of the Company owed to Purchaser in the amount of $__________________________________.

 

[ ]

by the waiver hereby of compensation due or accrued for services rendered in the amount of $_______________________________.

 

[ ]

by delivery of _________ fully-paid, nonassessable and vested shares of the Common Stock of the Company owned by Purchaser free and clear of all liens, claims, encumbrances or security interests, valued at the current Fair Market Value of $___________ per share (a) for which the Company has received “full payment of the purchase price” within the meaning of SEC Rule 144, (if purchased by use of a promissory note, such note has been fully paid with respect to such vested shares), or (b) that were obtained by Purchaser in the open public market.

For avoidance of uncertainty: ACH transfers that have been successfully received by the Company into its bank account designated via     for receipt of such transfers shall be deemed to have been received for all purposes of this Option as of the date on which such transfers were initiated from the Purchaser’s account and made irrevocable by Purchaser.

 

1


  2.

DELIVERIES.

2.1 Deliveries by the Purchaser. Purchaser hereby delivers to the Company at its principal executive offices: (a) this completed and signed Agreement, and (b) the Purchase Price, paid by delivery of the form of payment specified in Section 1.2.

2.2 Deliveries by the Company. Upon its receipt of the Aggregate Purchase Price, payment or other provision for any applicable tax obligations, if any, and all the documents to be executed and delivered by Purchaser to the Company as provided herein, the Company will deliver to Purchaser, upon request, a notice of issuance with respect to a stock certificate (written or electronic) representing the Shares as soon as practicable following such date with the appropriate legends affixed thereto. The original stock certificate (written or electronic) will be placed in escrow as provided in Section 7.2 to secure performance of Purchaser’s obligations under Sections 5 and 6 until expiration or termination of the Company’s Repurchase Option and Refusal Right (as such terms are defined in Sections 5 and 6, respectively).

3. REPRESENTATIONS AND WARRANTIES OF PURCHASER. Purchaser represents and warrants to the Company as follows.

3.1 Agrees to Terms of the Plan. Purchaser has received a copy of the Plan, has read and understands the terms of the Plan and this Agreement, and agrees to be bound by their terms and conditions.

3.2 Acknowledgment of Tax Risks. Purchaser acknowledges that there may be adverse tax consequences upon the purchase and the disposition of the Shares, and that Purchaser has been advised by the Company to consult a tax adviser prior to such purchase or disposition. Purchaser further acknowledges that Purchaser is not relying on the Company or its counsel for tax advice regarding Purchaser’s purchaser or disposition of the Shares or the tax consequences to Purchaser of this Agreement.

3.3 Shares Not Registered or Qualified. Purchaser understands and acknowledges that the Shares have not been registered with the SEC under the Securities Act, or with any securities regulatory agency administering any state securities laws, and that, notwithstanding any other provision of this Agreement to the contrary, the purchase of any Shares is expressly conditioned upon compliance with the Securities Act and all applicable state securities laws. Purchaser agrees to cooperate with the Company to ensure compliance with such laws.

3.4 No Transfer Unless Registered or Exempt; Contractual Restrictions on Transfers. Purchaser understands that Purchaser may not transfer any Shares unless such Shares are registered under the Securities Act or qualified under applicable state securities laws or unless, in the opinion of counsel to the Company, exemptions from such registration and qualification requirements are available. Purchaser understands that only the Company may file a registration statement with the SEC and that the Company is under no obligation to do so with respect to the Shares. Purchaser has also been advised that exemptions from registration and qualification may not be available or may not permit Purchaser to transfer all or any of the Shares in the amounts or at the times proposed by Purchaser. Purchaser further acknowledges that this Agreement imposes additional restrictions on transfer of the Shares.

3.5 SEC Rule 701. Shares that are issued pursuant to SEC Rule 701 promulgated under the Securities Act may become freely tradable by non-affiliates (under limited conditions regarding the method of sale) ninety (90) days after the first sale of Common Stock of the Company to the general public pursuant to a registration statement filed with and declared effective by the SEC, subject to the lengthier market standoff agreement contained in Section 4 of this Agreement or any other agreement

 

2


entered into by Purchaser. Affiliates must comply with the provisions (other than the holding period requirements) of Rule 144 which permits certain limited sales of unregistered securities. Rule 144 is not presently available with respect to the Shares and, in any event, requires that the Shares be held for a minimum of six (6) months, and in certain cases one (1) year, after they have been purchased and paid for (within the meaning of Rule 144). Purchaser understands that use of a promissory note as payment for the Shares may not be deemed to be “full payment of the purchase price” within the meaning of Rule 144 unless certain conditions are met and that, accordingly, the Rule 144 holding period of such Shares may not begin to run until such Shares are fully paid for within the meaning of Rule 144. Purchaser understands that Rule 144 may indefinitely restrict transfer of the Shares so long as Purchaser remains an “affiliate” of the Company or if “current public information” about the Company (as defined in Rule 144) is not publicly available.

3.6 Access to Information. Purchaser has had access to all information regarding the Company and its present and prospective business, assets, liabilities and financial condition that Purchaser reasonably considers important in making the decision to purchase the Shares, and Purchaser has had ample opportunity to ask questions of the Company’s representatives concerning such matters and this investment.

3.7 Understanding of Risks. Purchaser is fully aware of: (a) the highly speculative nature of the investment in the Shares; (b) the financial hazards involved; (c) the lack of liquidity of the Shares and the restrictions on transferability of the Shares (e.g., that Purchaser may not be able to sell or dispose of the Shares or use them as collateral for loans); (d) the qualifications and backgrounds of the management of the Company; and (e) the tax consequences of investment in, and disposition of, the Shares.

3.8 Purchase for Own Account for Investment. Purchaser is purchasing the Shares for Purchaser’s own account for investment purposes only and not with a view to, or for sale in connection with, a distribution of the Shares within the meaning of the Securities Act. Purchaser has no present intention of selling or otherwise disposing of all or any portion of the Shares and no one other than Purchaser has any beneficial ownership of any of the Shares.

3.9 No General Solicitation. At no time was Purchaser presented with or solicited by any publicly issued or circulated newspaper, mail, radio, television or other form of general advertising or solicitation in connection with the offer, sale and purchase of the Shares.

3.10 SEC Rule 144. Purchaser has been advised that SEC Rule 144 promulgated under the Securities Act, which permits certain limited sales of unregistered securities, is not presently available with respect to the Shares and, in any event, requires that the Shares be held for a minimum of six (6) months, and in certain cases one (1) year, after they have been purchased and paid for (within the meaning of Rule 144), subject to the lengthier market standoff agreement contained in Section 4 of this Agreement or any other agreement entered into by Purchaser. Purchaser understands that Rule 144 may indefinitely restrict transfer of the Shares so long as Purchaser remains an “affiliate” of the Company or if “current public information” about the Company (as defined in Rule 144) is not publicly available.

4. MARKET STANDOFF AGREEMENT. Subject to the provisions of this Section, Purchaser agrees in connection with any registration of the Company’s securities under the Securities Act or other registered public offering that, Purchaser will not sell or otherwise dispose of any Shares without the prior written consent of the Company or such managing underwriters, as the case may be, for a period of time (not to exceed one hundred eighty (180) days) after the effective date of such registration requested by such managing underwriters and subject to all restrictions as the Company or the managing underwriters may specify for employee-stockholders generally; provided however, that if during the last seventeen (17) days of the restricted period the Company issues an earnings release or material news, or a material event relating to the Company occurs, or prior to the expiration of the restricted period the

 

3


Company announces that it will release earnings results during the sixteen (16)-day period beginning on the last day of the restricted period, then, if required by the underwriters or the Company, for so long as, and to the extent that, Rule 2711 or any successor rule of the Financial Industry Regulatory Authority applies, the restrictions imposed by this Section 4 shall continue to apply until the expiration of the 18-day period beginning on the issuance of the earnings release or the occurrence of the material news or material event. The restricted period shall in any event terminate two (2) years after the closing date of the Company’s initial public offering. For purposes of this Section 4, the term “Company” shall include any wholly-owned subsidiary of the Company into which the Company merges or consolidates. In order to enforce the foregoing covenant, the Company shall have the right to place restrictive legends on the certificates representing the shares subject to this Section and to impose stop transfer instructions with respect to the Shares until the end of such period. Purchaser further agrees that the underwriters of any such registered public offering shall be third party beneficiaries of this Section 4 and agrees to enter into any agreement reasonably required by the underwriters to implement the foregoing. Notwithstanding anything in this Section to the contrary, for the avoidance of doubt, the foregoing provisions of this Section shall not apply to any registration of securities of the Company (a) under an employee benefit plan or (b) in a merger, consolidation, business combination or similar transaction.

5. COMPANY’S REPURCHASE OPTION FOR UNVESTED SHARES. The Company, or (subject to Section 5.6) its assignee, shall have the option to repurchase all or a portion of the Purchaser’s Shares that are Unvested Shares (as defined below) on the Termination Date on the terms and conditions set forth in this Section (the “Repurchase Option”) if Purchaser is Terminated (as defined in the Plan) for any reason, or no reason, including without limitation, Purchaser’s death, Disability (as defined in the Plan), voluntary resignation or termination by the Company with or without Cause.

5.1 Termination and Termination Date. In case of any dispute as to whether Purchaser is Terminated, the Committee shall have discretion to determine in good faith whether Purchaser has been Terminated and the effective date of such Termination (the “Termination Date”).

5.2 Vested and Unvested Shares. Shares that are vested pursuant to the schedule set forth in this Section 5.2 are “Vested Shares.” Shares that are not vested pursuant to such schedule are Unvested Shares.” On the Effective Date, as specified on    , a certain number of the Shares will be Unvested Shares. Provided Purchaser continues to provide services to the Company or any Subsidiary or Parent of the Company at all times from the Effective Date until such date as specified on    , a certain number of Unvested Shares will become Vested Shares, until the earliest to occur of (a) the date all of the Shares are Vested Shares, (b) the Termination Date or (c) the date vesting otherwise terminates pursuant to this Agreement or the Plan. No fractional Shares shall be issued. No Shares will become Vested Shares after the Termination Date. The number of the Shares that are Vested Shares or Unvested Shares will be proportionally adjusted to reflect any stock split, reverse stock split or similar change in the capital structure of the Company as set forth in Section 2.2 of the Plan occurring after the Effective Date.

5.3 Exercise of Repurchase Option. At any time within ninety (90) days after the Purchaser’s Termination Date, the Company, or its assignee, may, at its option, elect to repurchase any or all the Purchaser’s Shares that are Unvested Shares on the Termination Date by giving Purchaser written notice of exercise of the Repurchase Option, specifying the number of Unvested Shares to be repurchased. Such Unvested Shares shall be repurchased at the Purchase Price Per Share, proportionately adjusted for any stock split, reverse stock split or similar change in the capital structure of the Company as set forth in Section 2.2 of the Plan occurring after the Effective Date (the “Repurchase Price”). The Repurchase Price shall be payable, at the option of the Company or its assignee, by check or by cancellation of all or a portion of any outstanding indebtedness owed by Purchaser to the Company and/or such assignee, or by any combination thereof. The Repurchase Price shall be paid without interest within the term of the Repurchase Option as described in the first sentence of this Section 5.3. The Company may, at its option, decline to exercise its Repurchase Option or may exercise its Repurchase Option only with respect to a portion of the Unvested Shares.

 

4


5.4 Right of Termination Unaffected. Nothing in this Agreement shall be construed to limit or otherwise affect in any manner whatsoever the right or power of the Company (or any Parent or Subsidiary of the Company) to terminate Purchaser’s employment or other relationship with Company (or the Parent or Subsidiary of the Company) at any time, for any reason or no reason, with or without Cause.

5.5 Additional or Exchanged Securities and Property. Subject to the provisions of Section 5.2 above, in the event of a merger or consolidation of the Company with or into another entity, any other corporate reorganization, a stock split, the declaration of a stock dividend, the declaration of an extraordinary dividend payable in a form other than stock, a spin-off, a recapitalization or a similar transaction affecting the Company’s outstanding securities, any securities or other property (including cash or cash equivalents) that are by reason of such transaction exchanged for, or distributed or issued with respect to, any Unvested Shares shall immediately be subject to the Repurchase Option. Appropriate adjustments shall be made to the price per share to be paid for Unvested Shares upon the exercise of the Repurchase Option (by allocating such price among the Unvested Shares and such other securities or property), provided that the aggregate purchase price payable for the Unvested Shares and all such other securities and property shall remain the same price that was original payable under the Repurchase Option to repurchase such Unvested Shares. Subject to the provisions of Section 5.2 above, in the event of a merger or consolidation of the Company with or into another entity or any other corporate reorganization, the Repurchase Option may be exercised by the Company’s successor.

5.6 Assignment of Repurchase Right. The Company may freely assign the Company’s Repurchase Option, in whole or in part, provided that any person who accepts an assignment of the Repurchase Option from the Company shall assume all of the Company’s rights and obligations with respect to the Repurchase Option (to the extent so assigned) under this Agreement.

6. COMPANY’S REFUSAL RIGHT. Unvested Shares shall be subject to the restrictions on transfer and the granting of encumbrances thereon as provided in Section 7 hereof. Before any Vested Shares (as defined in Section 5 hereof) held by Purchaser or any transferee of such Vested Shares (either sometimes referred to herein as the “Holder”) may be sold or otherwise transferred (including, without limitation, a transfer by gift or operation of law), the Company and/or its assignee(s) will have a right of first refusal to purchase the Vested Shares to be sold or transferred (the “Offered Shares”) on the terms and conditions set forth in this Section (the “Refusal Right”).

6.1 Notice of Proposed Transfer. The Holder of the Offered Shares will deliver to the Company a written notice (the “Notice”) stating: (a) the Holder’s bona fide intention to sell or otherwise transfer the Offered Shares; (b) the name and address of each proposed purchaser or other transferee of Offered Shares (“Proposed Transferee”); (c) the number of Offered Shares to be transferred to each Proposed Transferee; (d) the bona fide cash price or other consideration for which the Holder proposes to transfer the Offered Shares to each Proposed Transferee (the “Offered Price”); and (e) that the Holder acknowledges this Notice is an offer to sell the Offered Shares to the Company and/or its assignee(s) pursuant to the Company’s Refusal Right at the Offered Price as provided for in this Agreement.

6.2 Exercise of Refusal Right. At any time within thirty (30) days after the date the Notice is effective pursuant to Section 9.2, the Company and/or its assignee(s) may, by giving written notice to the Holder, elect to purchase all (or, with the consent of the Holder, less than all) the Offered Shares proposed to be transferred to any one or more of the Proposed Transferees named in the Notice, at the purchase price, determined as provided in Section 6.3 below.

 

5


6.3 Purchase Price. The purchase price for the Offered Shares purchased under this Section will be the Offered Price, provided that if the Offered Price consists of no legal consideration (as, for example, in the case of a transfer by gift), then the purchase price will be the fair market value of the Offered Shares as determined in good faith by the Company’s Board of Directors. If the Offered Price includes consideration other than cash, then the value of the non-cash consideration, as determined in good faith by the Company’s Board of Directors, will conclusively be deemed to be the cash equivalent value of such non-cash consideration.

6.4 Payment. The purchase price for the Offered Shares will be paid, at the option of the Company and/or its assignee(s) (as applicable), by check or by cancellation of all or a portion of any outstanding indebtedness owed by the Holder to the Company (or to such assignee, in the case of a purchase of Offered Shares by such assignee) or by any combination thereof. The purchase price will be paid without interest within sixty (60) days after the Company’s receipt of the Notice, or, at the option of the Company and/or its assignee(s), in the manner and at the time(s) set forth in the Notice.

6.5 Holder’s Right to Transfer. If all of the Offered Shares proposed in the Notice to be transferred to a given Proposed Transferee are not purchased by the Company and/or its assignee(s) as provided in this Section, then the Holder may sell or otherwise transfer such Offered Shares to such Proposed Transferee at the Offered Price or at a higher price, provided that (a) such sale or other transfer is consummated within one hundred twenty (120) days after the date the Notice is effective pursuant to Section 9.2, (b) any such sale or other transfer is effected in compliance with all applicable securities laws, and (c) such Proposed Transferee agrees in writing that the provisions of this Section will continue to apply to the Offered Shares in the hands of such Proposed Transferee. If the Offered Shares described in the Notice are not transferred to such Proposed Transferee within such one hundred twenty (120) day period, then a new Notice must be given to the Company pursuant to which the Company will again be offered the Refusal Right before any Shares held by the Holder may be sold or otherwise transferred.

6.6 Exempt Transfers. Notwithstanding the foregoing, the following transfers of Vested Shares will be exempt from the Refusal Right: (a) the transfer of any or all of the Vested Shares during Purchaser’s lifetime by gift or on Purchaser’s death by will or intestacy to Purchaser’s “Immediate Family” (as defined below) or to a trust for the benefit of Purchaser or Purchaser’s Immediate Family, provided that each transferee agrees in a writing satisfactory to the Company that the provisions of this Section will continue to apply to the transferred Vested Shares in the hands of such transferee; (b) any transfer of Vested Shares made pursuant to a statutory merger or statutory consolidation of the Company with or into another entity or entities (except that, subject to Section 6.7, unless the agreement of merger or consolidation expressly otherwise provides, the Refusal Right will continue to apply thereafter to such Vested Shares, in which case the surviving entity of such merger or consolidation shall succeed to the rights of the Company under this Section); or (c) any transfer of Vested Shares pursuant to the winding up and dissolution of the Company. As used herein, the term “Immediate Family” will mean Purchaser’s spouse, the lineal descendant or antecedent, father, mother, brother or sister, child, adopted child, grandchild or adopted grandchild of Purchaser or Purchaser’s spouse, or the spouse of any of the above or Spousal Equivalent, as defined herein. As used herein, a person is deemed to be a “Spousal Equivalent” provided the following circumstances are true: (i) irrespective of whether or not the Purchaser and the Spousal Equivalent are the same sex, they are the sole spousal equivalent of the other for the last twelve (12) months, (ii) they intend to remain so indefinitely, (iii) neither are married to anyone else, (iv) both are at least 18 years of age and mentally competent to consent to contract, (v) they are not related by blood to a degree of closeness that which would prohibit legal marriage in the state in which they legally reside, (vi) they are jointly responsible for each other’s common welfare and financial obligations, and (vii) they reside together in the same residence for the last twelve (12) months and intend to do so indefinitely.

 

6


6.7 Termination of Refusal Right. The Refusal Right will terminate as to all Shares: (a) on the effective date of the first sale of Common Stock of the Company to the public pursuant to a registration statement filed with and declared effective by the SEC under the Securities Act or, if expressly approved by the Board as terminating the Refusal Right, under the laws of any other country having substantially the same effect (other than a registration statement relating solely to the issuance of Common Stock pursuant to a business combination or an employee incentive or benefit plan) or (b) on any transfer or conversion of Shares made pursuant to a statutory merger or statutory consolidation of the Company with or into another entity or entities if the common stock of the surviving entity or any direct or indirect parent entity thereof is registered under the Securities Exchange Act of 1934, as amended.

6.8 Effect of Company Stockholders Agreement. If Purchaser is, or at any time hereafter becomes, a party to or otherwise bound by (i) the Company’s Amended and Restated Stockholders Agreement dated as of February 15, 2019 among the Company and certain stockholders of the Company, as such may be amended and/or restated from time to time, and/or (ii) any other agreement that is a successor to or replacement of such agreement (collectively, the “Company Stockholders Agreement”), then, in the event of any conflict or inconsistency between the provisions of Section 4 hereof and/or this Section 6 and any provisions in the Company Stockholders Agreement granting the Company and/or other security holders of the Company rights of first refusal and/or co-sale rights with respect to any or all of the Shares or imposing market stand-off restrictions, Purchaser agrees with the Company that the terms and conditions of the Company Stockholders Agreement shall apply, govern, supersede and prevail over (and in lieu of) the provisions of Section 4 hereof and/or of this Section 6 (as applicable) so long as the Company Stockholders Agreement is in effect and Purchaser is a party to or bound thereby. If the Company Stockholders Agreement is no longer in effect or if Purchaser is not a party to or bound thereby, then the provisions of this Section 6 shall apply in full force and effect until termination of the Right of First Refusal and the provisions of Section 4 hereof shall apply in full force and effect in accordance with its terms.

7. ADDITIONAL RESTRICTIONS UPON SHARE OWNERSHIP OR TRANSFER.

7.1 Rights as a Stockholder. Subject to the terms and conditions of this Agreement, Purchaser will have all of the rights of a Stockholder of the Company with respect to the Shares from and after the date that Shares are issued to Purchaser until such time as Purchaser disposes of the Shares or the Company and/or its assignee(s) exercise(s) the Refusal Right or the Repurchase Option. Upon an exercise of the Refusal Right or the Repurchase Option, Purchaser will have no further rights as a holder of the Shares so purchased upon such exercise, other than the right to receive payment for the Shares so purchased in accordance with the provisions of this Agreement, and Purchaser will promptly surrender the stock certificate(s) evidencing the Shares so purchased to the Company for transfer or cancellation.

7.2 Escrow. As security for Purchaser’s faithful performance of this Agreement, Purchaser agrees, immediately upon receipt of the electronic stock certificate(s) evidencing the Shares via    , to deliver such certificate(s) to the Secretary of the Company or other designee of the Company (the “Escrow Holder”), who is hereby appointed to hold such certificate(s) in escrow and to take all such actions and to effectuate all such transfers and/or releases of such Shares as are in accordance with the terms of this Agreement. Purchaser and the Company agree that Escrow Holder will not be liable to any party to this Agreement (or to any other person or entity) for any actions or omissions unless Escrow Holder is grossly negligent or intentionally fraudulent in carrying out the duties of Escrow Holder under this Agreement. Escrow Holder may rely upon any letter, notice or other document executed with any signature purported to be genuine and may rely on the advice of counsel and obey any order of any court with respect to the transactions contemplated by this Agreement. The Shares will be released from escrow upon termination of both the Refusal Right and the Repurchase Option.

 

7


7.3 Encumbrances on Shares. Without the Company’s prior written consent given with the approval of the Company’s Board of Directors, Purchaser may not grant a lien or security interest in, or pledge, hypothecate or encumber, any Unvested Shares.

7.4 Restrictions on Transfers. Unvested Shares may not be sold or otherwise transferred by Purchaser without the Company’s prior written consent. Purchaser hereby agrees that Purchaser shall make no disposition of the Shares (other than as permitted by this Agreement) unless and until:

(a) Purchaser shall have notified the Company of the proposed disposition and provided a written summary of the terms and conditions of the proposed disposition;

(b) Purchaser shall have complied with all requirements of this Agreement applicable to the disposition of the Shares, including but not limited to the Refusal Right, the Market Standoff and the Repurchase Option; and

(c) Purchaser shall have provided the Company with written assurances, in form and substance satisfactory to counsel for the Company, that (i) the proposed disposition does not require registration of the Shares under the Securities Act or under any state securities laws, and (ii) all appropriate actions necessary for compliance with the registration and qualification requirements of the Securities Act and any state securities laws, or of any exemption from registration or qualification, available thereunder (including Rule 144) have been taken.

Each person (other than the Company) to whom the Shares are transferred by means of one of the permitted transfers specified in this Agreement must, as a condition precedent to the validity of such transfer, acknowledge in writing to the Company that such person is bound by the provisions of this Agreement and that the transferred Shares are subject to the Company’s Refusal Right or the Repurchase Option granted hereunder and the market stand-off provisions of Section 4 hereof, to the same extent such Shares would be so subject if retained by the Purchaser.

7.5 Restrictive Legends and Stop-transfer Orders. Purchaser understands and agrees that the Company will place the legends set forth below or similar legends on any stock certificate(s) evidencing the Shares, together with any other legends that may be required by applicable laws, the Company’s Certificate of Incorporation or Bylaws, any other agreement between Purchaser and the Company or any agreement between Purchaser and any third party:

THE SECURITIES REPRESENTED HEREBY HAVE NOT BEEN REGISTERED UNDER THE SECURITIES ACT OF 1933, AS AMENDED (THE “SECURITIES ACT”), OR UNDER THE SECURITIES LAWS OF CERTAIN STATES. THESE SECURITIES ARE SUBJECT TO RESTRICTIONS ON TRANSFERABILITY AND RESALE AND MAY NOT BE TRANSFERRED OR RESOLD EXCEPT AS PERMITTED UNDER THE SECURITIES ACT AND APPLICABLE STATE SECURITIES LAWS, PURSUANT TO REGISTRATION OR EXEMPTION THEREFROM. INVESTORS SHOULD BE AWARE THAT THEY MAY BE REQUIRED TO BEAR THE FINANCIAL RISKS OF THIS INVESTMENT FOR AN INDEFINITE PERIOD OF TIME. THE ISSUER OF THESE SECURITIES MAY REQUIRE AN OPINION OF COUNSEL IN FORM AND SUBSTANCE SATISFACTORY TO THE ISSUER TO THE EFFECT THAT ANY PROPOSED TRANSFER OR RESALE IS IN COMPLIANCE WITH THE SECURITIES ACT AND ANY APPLICABLE STATE SECURITIES LAWS.

 

8


THE SHARES REPRESENTED BY THIS CERTIFICATE ARE SUBJECT TO CERTAIN RESTRICTIONS ON PUBLIC RESALE AND TRANSFER, INCLUDING THE RIGHT OF FIRST REFUSAL AND THE REPURCHASE OPTION HELD BY THE ISSUER AND/OR ITS ASSIGNEE(S), AND A MARKET STANDOFF AGREEMENT, AS SET FORTH IN A RESTRICTED STOCK PURCHASE AGREEMENT BETWEEN THE ISSUER AND THE ORIGINAL HOLDER OF THESE SHARES, A COPY OF WHICH MAY BE OBTAINED AT THE PRINCIPAL OFFICE OF THE ISSUER. SUCH PUBLIC SALE AND TRANSFER RESTRICTIONS INCLUDING THE RIGHT OF FIRST REFUSAL, THE REPURCHASE OPTION AND THE MARKET STANDOFF ARE BINDING ON TRANSFEREES OF THESE SHARES.

Purchaser agrees that if Purchaser becomes a party to the Company Stockholders Agreement, then Purchaser agrees that the stock certificate(s) evidencing the Shares shall, in addition, bear any legends required under the Company Stockholders Agreement.

Purchaser also agrees that, to ensure compliance with the restrictions imposed by this Agreement, the Company may issue appropriate “stop-transfer” instructions to its transfer agent, if any, and if the Company transfers its own securities, it may make appropriate notations to the same effect in its own records. The Company will not be required (a) to transfer on its books any Shares that have been sold or otherwise transferred in violation of any of the provisions of this Agreement or (b) to treat as owner of such Shares, or to accord the right to vote or pay dividends to any purchaser or other transferee to whom such Shares have been so transferred.

8. TAX CONSEQUENCES. PURCHASER UNDERSTANDS THAT PURCHASER MAY SUFFER ADVERSE TAX CONSEQUENCES AS A RESULT OF PURCHASER’S PURCHASE OR DISPOSITION OF THE SHARES. PURCHASER REPRESENTS (a) THAT PURCHASER HAS CONSULTED WITH ANY TAX ADVISER THAT PURCHASER DEEMS ADVISABLE IN CONNECTION WITH THE PURCHASE OR DISPOSITION OF THE SHARES AND (b) THAT PURCHASER IS NOT RELYING ON THE COMPANY FOR ANY TAX ADVICE. Purchaser hereby acknowledges that Purchaser has been informed that, with respect to Unvested Shares, unless an election is filed by Purchaser with the Internal Revenue Service (and, if necessary, the proper state taxing authorities) within 30 days after the purchase of the Shares electing, pursuant to Section 83(b) of the Internal Revenue Code (and similar state tax provisions, if applicable), to be taxed currently on any difference between the Purchase Price of the Unvested Shares and their Fair Market Value on the date of purchase, there will be a recognition of taxable income to Purchaser, measured by the excess, if any, of the Fair Market Value of the Unvested Shares, at the time they cease to be Unvested Shares, over the Purchase Price for such Shares. Purchaser represents that Purchaser has consulted any tax advisers Purchaser deems advisable in connection with Purchaser’s purchase of the Shares and the filing of the election under Section 83(b) and similar tax provisions. A form of Election under Section 83(b) is attached hereto as Exhibit 1 for reference. BY PROVIDING THE FORM OF ELECTION, NEITHER THE COMPANY NOR ITS LEGAL COUNSEL IS THEREBY UNDERTAKING TO FILE THE ELECTION FOR PURCHASER, WHICH OBLIGATION TO FILE SHALL REMAIN SOLELY WITH PURCHASER.

9. GENERAL PROVISIONS.

9.1 Successors and Assigns. The Company may assign any of its rights under this Agreement, including its rights to purchase Shares under the Refusal Right or the Repurchase Option. Neither Purchaser, nor any of Purchaser’s successors and assigns, may assign, whether voluntarily or by operation of law, any of its rights and obligations under this Agreement, except with the prior written consent of the Company. This Agreement shall be binding upon and inure to the benefit of the successors and assigns of the Company. Subject to the restrictions on transfer herein set forth, this Agreement will be binding upon Purchaser and Purchaser’s heirs, executors, administrators, legal representatives, successors and assigns.

 

9


9.2 Notices. Any and all notices required or permitted to be given to a party pursuant to the provisions of this Agreement will be in writing and will be effective and deemed to provide such party sufficient notice under this Agreement on the earliest of the following: (i) at the time of personal delivery, if delivery is in person; (ii) at the time an electronic confirmation of receipt is received, if delivery is by email; (iii) at the time of transmission by facsimile, addressed to the other party at its facsimile number specified herein (or hereafter modified by subsequent notice to the parties hereto), with confirmation of receipt made by both telephone and printed confirmation sheet verifying successful transmission of the facsimile; (iv) one (1) business day after deposit with an express overnight courier for United States deliveries, or two (2) business days after such deposit for deliveries outside of the United States, with proof of delivery from the courier requested; or (v) three (3) business days after deposit in the United States mail by certified mail (return receipt requested) for United States deliveries. Any notice for delivery outside the United States will be sent by email, facsimile or by express courier. Any notice not delivered personally or by email will be sent with postage and/or other charges prepaid and properly addressed to Purchaser at the last known address or facsimile number on the books of the Company, or at such other address or facsimile number as such other party may designate by one of the indicated means of notice herein to the other parties hereto or, in the case of the Company, to it at its principal place of business. Notices to the Company will be marked “Attention: Chief Financial Officer.” Notices by facsimile shall be machine verified as received.

9.3 Further Assurances. The parties agree to execute such further documents and instruments and to take such further actions as may be reasonably necessary to carry out the purposes and intent of this Agreement.

9.4 Entire Agreement. The Plan is incorporated herein by reference. The Plan and this Agreement, together with all Exhibits hereto, constitute the entire agreement and understanding of the parties with respect to the subject matter of this Agreement, and supersede all prior understandings and agreements, between the parties hereto with respect to the specific subject matter hereof.

9.5 Severability. If any provision of this Agreement is determined by any court or arbitrator of competent jurisdiction to be invalid, illegal or unenforceable in any respect, such provision will be enforced to the maximum extent possible given the intent of the parties hereto. If such clause or provision cannot be so enforced, such provision shall be stricken from this Agreement and the remainder of this Agreement shall be enforced as if such invalid, illegal or unenforceable clause or provision had (to the extent not enforceable) never been contained in this Agreement. Notwithstanding the forgoing, if the value of this Agreement based upon the substantial benefit of the bargain for any party is materially impaired, which determination as made by the presiding court or arbitrator of competent jurisdiction shall be binding, then both parties agree to substitute such provision(s) through good faith negotiations.

9.6 Company Stockholders Agreement. As a material inducement and consideration for the Company to enter into this Agreement, Purchaser hereby agrees that if, the Company requests Purchaser to enter into and become a party to the Company Stockholders Agreement (and to subject the Shares to the rights of first refusal held by the Company and other Company investors thereunder and the co-sale rights of other investors thereunder, and pursuant to which Purchaser would agree to vote all shares of Company stock held by Purchaser for the election of directors and in favor of certain material transactions (such as mergers or sales of the Company)), then Purchaser will enter into such agreement and execute and deliver signature pages thereto (as requested by the Company) in such capacities and at such time as the Company requests.

 

10


9.7 Execution. This Agreement may be entered into in two or more counterparts, each of which shall be deemed an original and all of which shall constitute one and the same agreement. This Agreement may be executed and delivered by facsimile and, upon such delivery, the facsimile signature will be deemed to have the same effect as if the original signature had been delivered to the other party.

[The remainder of this page has intentionally been left blank]

[Signature page follows]

 

11


IN WITNESS WHEREOF, the Company has caused this Restricted Stock Purchase Agreement to be executed by its duly authorized representative, and Purchaser has executed this Restricted Stock Purchase Agreement, as of the date first set forth above.

 

MAZE THERAPEUTICS, INC.         PURCHASER
By: ____________________________________      _________________________________________
       
Address: __________________________      Address:    __________________________
        __________________________
Fax No.: (____) __________________      Fax No.:    (____) __________________

 

Exhibit
Exhibit 1:    Form of Election Pursuant to Section 83(b)

 

12


EXHIBIT 1

FORM OF SECTION 83(B) ELECTION


ELECTION UNDER SECTION 83(b) OF THE

INTERNAL REVENUE CODE

The undersigned Taxpayer hereby elects, pursuant to Section 83(b) of the Internal Revenue Code of 1986, as amended, to include in gross income for the Taxpayer’s current taxable year the excess, if any, of the fair market value of the property described below at the time of transfer over the amount paid for such property, as compensation for services.

 

1.    TAXPAYER’S NAME:   

 

   TAXPAYER’S ADDRESS:   

 

     

 

   SOCIAL SECURITY NUMBER:   

 

   TAXABLE YEAR:    Calendar Year _____
2.    The property with respect to which the election is made is described as follows: _______ shares of Common Stock, par value $0.001 per share, of Maze Therapeutics, Inc., a Delaware corporation (the “Company”), which is Taxpayer’s employer or the corporation for whom the Taxpayer performs services.
3.    The date on which the shares were transferred was ____________________, _____.
4.    The shares are subject to the following restrictions: The Company may repurchase all or a portion of the shares at the Taxpayer’s original purchase price under certain conditions at the time of Taxpayer’s termination of employment or services.
5.    The fair market value of the shares at the time of transfer (without regard to restrictions other than a nonlapse restriction as defined in § 1.83-3(h) of the Income Tax Regulations) was $____ per share x __________ shares = $__________.
6.    The amount paid for such shares was $____ per share x __________ shares = $__________.
7.    The amount to include in the Taxpayer’s gross income for the Taxpayer’s current taxable year is $_________.

THIS ELECTION MUST BE FILED WITH THE INTERNAL REVENUE SERVICE (“IRS”), AT THE OFFICE WHERE THE TAXPAYER FILES ANNUAL INCOME TAX RETURNS, WITHIN 30 DAYS AFTER THE DATE OF TRANSFER OF THE PROPERTY, AND MUST ALSO BE FILED WITH THE TAXPAYER’S INCOME TAX RETURNS FOR THE CALENDAR YEAR. A COPY OF THE ELECTION HAS ALSO BEEN FURNISHED TO THE COMPANY. THE ELECTION CANNOT BE REVOKED WITHOUT THE CONSENT OF THE IRS.

 

Dated:  

 

    

 

       Taxpayer’s Signature
EX-10.4

Exhibit 10.4

MAZE THERAPEUTICS, INC.

2025 EQUITY INCENTIVE PLAN

1.PURPOSE. The purpose of this Plan is to provide incentives to attract, retain and motivate eligible persons whose present and potential contributions are important to the success of the Company, and any Parents, Subsidiaries and Affiliates that exist now or in the future, by offering them an opportunity to participate in the Company’s future performance through the grant of Awards. Capitalized terms not defined elsewhere in the text are defined in Section 28.

2.SHARES SUBJECT TO THE PLAN.

2.1.Number of Shares Available. Subject to Sections 2.4, 2.6 and 21 and any other applicable provisions hereof, the total number of Shares reserved and available for grant and issuance pursuant to this Plan as of the Effective Date, is [       ] Shares, plus: (a) any reserved shares not issued or subject to outstanding awards granted under the Company’s 2019 Equity Incentive Plan, as amended (the “2019 Plan”) on the Effective Date; (b) shares that are subject to stock options or other awards granted under the 2019 Plan (the “Prior Plan”) that cease to be subject to such stock options or other awards by forfeiture or otherwise after the Effective Date; (c) shares issued under the Prior Plan before or after the Effective Date pursuant to the exercise of stock options that are, after the Effective Date, forfeited; (d) shares issued under the Prior Plan that are repurchased by the Company at the original issue price or are otherwise forfeited and (e) shares that are subject to stock options or other awards under the Prior Plan that are used to pay the Exercise Price of a stock option or withheld to satisfy the withholding obligations for Tax-Related Items related to any award. After the Effective Date, no further awards can be granted under the Prior Plan.

2.2.Lapsed, Returned Awards. Shares subject to Awards, and Shares issued under the Plan under any Award, will again be available for grant and issuance in connection with subsequent Awards under this Plan to the extent such Shares: (a) are subject to issuance upon exercise of an Option or SAR granted under this Plan but which cease to be subject to the Option or SAR for any reason other than exercise of the Option or SAR; (b) are subject to Awards granted under this Plan that are forfeited or are repurchased by the Company at the original issue price; (c) are subject to Awards granted under this Plan that otherwise terminate without such Shares being issued or (d) are surrendered pursuant to an Exchange Program. To the extent an Award under the Plan is paid out in cash rather than Shares, such cash payment will not result in reducing the number of Shares available for issuance under the Plan. Shares used to pay the Exercise Price of an Award or withheld to satisfy the withholding obligations for Tax-Related Items related to an Award will become available for future grant and issuance under the Plan. For the avoidance of doubt, Shares that otherwise become available for grant and issuance because of the provisions of this Section 2.2 will not include Shares subject to Awards that initially became available because of the substitution clause in Section 21.2 hereof.

2.3.Minimum Share Reserve. At all times the Company will reserve and keep available a sufficient number of Shares as will be required to satisfy the requirements of all outstanding Awards granted under this Plan.

2.4.Automatic Share Reserve Increase. The number of Shares available for grant and issuance under the Plan will be increased on January 1 for each of the first ten (10) calendar years during the term of the Plan by the lesser of (a) five percent (5%) of the sum of the total number of Shares of all classes of Common Stock plus the total number of Shares of the Company’s Common Stock subject to Pre-Funded Warrants (if any) and the total number of shares of the Company’s Common Stock issuable upon conversion of preferred stock (if any), in each case outstanding on the immediately preceding December 31st (rounded down to the nearest whole share) or (b) such lesser number of Shares determined by the Board or Committee.


2.5.ISO Limitation. No more than [      ] Shares will be issued pursuant to the exercise of ISOs granted under the Plan.

2.6.Adjustment of Shares. If the number or class of outstanding Shares is changed by a stock dividend, extraordinary dividend or distribution (whether in cash, shares or other property, other than a regular cash dividend), recapitalization, stock split, reverse stock split, subdivision, combination, consolidation, reclassification, spin-off or similar change in the capital structure of the Company, without consideration, then (a) the number and class of Shares reserved for issuance and future grant under the Plan set forth in Section 2.1, including shares reserved under sub-clauses (a)-(e) of Section 2.1, (b) the Exercise Prices of and number and class of Shares subject to outstanding Options and SARs, (c) the number and class of Shares subject to other outstanding Awards and (d) the maximum number and class of Shares that may be issued as ISOs set forth in Section 2.5, will be proportionately adjusted, subject to any required action by the Board or the stockholders of the Company and in compliance with applicable securities laws; provided that fractions of a Share will not be issued.

If, by reason of an adjustment pursuant to this Section 2.6, a Participant’s Award Agreement or other agreement related to any Award, or the Shares subject to such Award, covers additional or different shares of stock or securities, then such additional or different shares, and the Award Agreement or such other agreement in respect thereof, will be subject to all of the terms, conditions and restrictions that were applicable to the Award or the Shares subject to such Award prior to such adjustment.

3.ELIGIBILITY. ISOs may be granted only to Employees. All other Awards may be granted to Employees, Consultants, Directors and Non-Employee Directors; provided such Consultants and Non-Employee Directors render bona fide services not in connection with the offer and sale of securities in a capital-raising transaction.

4.ADMINISTRATION.

4.1.Committee Composition; Authority. This Plan will be administered by the Committee or by the Board acting as the Committee. Subject to the general purposes, terms and conditions of this Plan, and to the direction of the Board, the Committee will have full power to implement and carry out this Plan, except, however, the Board will establish the terms for the grant of an Award to Non-Employee Directors. The Committee will have the authority to:

(a) construe and interpret this Plan, any Award Agreement and any other agreement or document executed pursuant to this Plan;

(b) prescribe, amend, and rescind rules and regulations relating to this Plan or any Award;

(c) select persons to receive Awards;

(d) determine the form and terms and conditions, not inconsistent with the terms of the Plan, of any Award granted hereunder. Such terms and conditions include, but are not limited to, the Exercise Price, the time or times when Awards may vest and be exercised (which may be based on performance criteria) or settled, any vesting acceleration or waiver of forfeiture restrictions, the method to satisfy withholding obligations for Tax-Related Items or any other tax liability legally due and any restriction or limitation regarding any Award or the Shares relating thereto, based in each case on such factors as the Committee will determine;

(e) determine the number of Shares or other consideration subject to Awards;


(f) determine the Fair Market Value in good faith and interpret the applicable provisions of this Plan and the definition of Fair Market Value in connection with circumstances that impact the Fair Market Value, if necessary;

(g) determine whether Awards will be granted singly, in combination with, in tandem with, in replacement of, or as alternatives to, other Awards under this Plan or any other incentive or compensation plan of the Company or any Parent, Subsidiary or Affiliate;

(h) grant waivers of Plan or Award conditions;

(i) determine the vesting, exercisability, settlement and payment of Awards;

(j) correct any defect, supply any omission or reconcile any inconsistency in this Plan, any Award or any Award Agreement;

(k) determine whether an Award has been vested and/or earned;

(l) determine the terms and conditions of, and institute, any Exchange Program;

(m) reduce, waive or modify any criteria with respect to Performance Factors;

(n) adjust Performance Factors;

(o) adopt terms and conditions, rules and/or procedures (including the adoption of any subplan under this Plan) relating to the operation and administration of the Plan to accommodate requirements of local law and procedures outside of the United States or to qualify Awards for special tax treatment under laws of jurisdictions other than the United States;

(p) exercise discretion with respect to Performance Awards;

(q) make all other determinations necessary or advisable for the administration of this Plan; and

(r) delegate any of the foregoing to a subcommittee or to one or more executive officers pursuant to a specific delegation as permitted by applicable law.

4.2.Committee Interpretation and Discretion. Any determination made by the Committee with respect to any Award will be made in its sole discretion at the time of grant of the Award or, unless in contravention of any express term of the Plan or Award, at any later time, and such determination will be final and binding on the Company and all persons having an interest in any Award under the Plan. Any dispute regarding the interpretation of the Plan or any Award Agreement will be submitted by the Participant or Company to the Committee for review. The resolution of such a dispute by the Committee will be final and binding on the Company and the Participant. The Committee may delegate to one or more executive officers the authority to review and resolve disputes with respect to Awards held by Participants who are not Insiders, and such resolution will be final and binding on the Company and the Participant.

4.3.Section 16 of the Exchange Act. Awards granted to Participants who are subject to Section 16 of the Exchange Act must be approved by two or more “non-employee directors” (as defined in the regulations promulgated under Section 16 of the Exchange Act).

4.4.Documentation. The Award Agreement for a given Award, the Plan and any other documents may be delivered to, and accepted by, a Participant or any other person in any manner (including electronic distribution or posting) that meets applicable legal requirements.


4.5. Foreign Award Recipients. Notwithstanding any provision of the Plan to the contrary, to facilitate the administration of the Plan and compliance with the laws and practices in other countries in which the Company, its Subsidiaries or Affiliates operate or have Employees or other individuals eligible for Awards, the Committee, in its sole discretion, will have the power and authority to: (a) determine which Subsidiaries and Affiliates will be covered by the Plan; (b) determine which individuals outside the United States are eligible to participate in the Plan, which may include individuals who provide Services to the Company, Subsidiary or Affiliate under an agreement with a foreign nation or agency and/or who are employed or engaged by a third party agency but provide Services to the Company or a Subsidiary or Affiliate at the direction of the Company, Subsidiary or Affiliate, in each case, in accordance with applicable securities laws; (c) modify the terms and conditions of any Award granted to individuals outside the United States or foreign nationals to comply with applicable foreign laws, policies, customs and practices; (d) establish subplans and modify exercise procedures, vesting conditions, and other terms and procedures to the extent the Committee determines such actions to be necessary or advisable (and such subplans and/or modifications will be attached to this Plan and/or to Award Agreements as appendices, if necessary); and (e) take any action, before or after an Award is made, that the Committee determines to be necessary or advisable to obtain approval or facilitate compliance with any local governmental regulatory exemptions or approvals; provided, however, that no action taken under this Section 4.5 will increase the Share limitations contained in Section 2.1 hereof. Notwithstanding the foregoing, the Committee may not take any actions hereunder, and no Awards will be granted, that would violate the Exchange Act or any other applicable United States securities law, the Code, or any other applicable United States governing statute or law.

5.OPTIONS. An Option is the right but not the obligation to purchase a Share, subject to certain conditions, if applicable. The Committee may grant Options to eligible Employees, Consultants and Directors and will determine whether such Options will be Incentive Stock Options within the meaning of the Code (“ISOs”) or Nonqualified Stock Options (“NSOs”), the number of Shares subject to the Option, the Exercise Price of the Option, the period during which the Option may vest and be exercised, and all other terms and conditions of the Option, subject to the following terms of this section.

5.1.Option Grant. Each Option granted under this Plan will be evidenced by an Award Agreement, which will identify the Option as an ISO or an NSO. An Option may be, but need not be, awarded upon satisfaction of such Performance Factors during any Performance Period as are set out in advance in the Participant’s individual Award Agreement. If the Option is being earned upon the satisfaction of Performance Factors, then the Committee will: (a) determine the nature, length and starting date of any Performance Period for each Option; and (b) select from among the Performance Factors to be used to measure the performance, if any. Performance Periods may overlap and Participants may participate simultaneously with respect to Options that are subject to different performance goals and other criteria.

5.2.Date of Grant. The date of grant of an Option will be the date on which the Committee makes the determination to grant such Option, or a specified future date. The Award Agreement will be delivered to the Participant within a reasonable time after the granting of the Option.

5.3.Exercise Period. Options may be vested and exercisable within the times or upon the conditions as set forth in the Award Agreement governing such Option; provided, however, that no Option will be exercisable after the expiration of ten (10) years from the date the Option is granted; and provided further that no ISO granted to a person who, at the time the ISO is granted, directly or by attribution owns more than ten percent (10%) of the total combined voting power of all classes of stock of the Company or of any Parent or Subsidiary (“Ten Percent Stockholder”) will be exercisable after the expiration of five (5) years from the date the ISO is granted. The Committee also may provide for Options to become exercisable at one time or from time to time, periodically or otherwise, in such number of Shares or percentage of Shares as the Committee determines.


5.4.Exercise Price. The Exercise Price of an Option will be determined by the Committee when the Option is granted; provided that: (a) the Exercise Price of an Option will be not less than one hundred percent (100%) of the Fair Market Value of the Shares on the date of grant (with the exception of Options issued in substitution of another company’s awards pursuant to, and to the extent permitted by, Section 21.2) and (b) the Exercise Price of any ISO granted to a Ten Percent Stockholder will not be less than one hundred ten percent (110%) of the Fair Market Value of the Shares on the date of grant. Payment for the Shares purchased may be made in accordance with Section 11 and the Award Agreement and in accordance with any procedures established by the Company.

5.5.Method of Exercise. Any Option granted hereunder will be vested and exercisable according to the terms of the Plan and at such times and under such conditions as determined by the Committee and set forth in the Award Agreement. An Option may not be exercised for a fraction of a Share. An Option will be deemed exercised when the Company and/or an authorized third party administrator (the “Third Party Administrator”) receives: (a) notice of exercise (in such form as the Committee may specify from time to time) from the person entitled to exercise the Option and/or via electronic execution through the authorized Third Party Administrator, and (b) full payment for the Shares with respect to which the Option is exercised (together with an amount sufficient to satisfy withholding obligations for any applicable Tax-Related Items). Full payment may consist of any consideration and method of payment authorized by the Committee and permitted by the Award Agreement and the Plan. Shares issued upon exercise of an Option will be issued in the name of the Participant. Until the Shares are issued (as evidenced by the appropriate entry on the books of the Company or of a duly authorized transfer agent of the Company), no right to vote or receive dividends or any other rights as a stockholder will exist with respect to the Shares, notwithstanding the exercise of the Option. The Company will issue (or cause to be issued) such Shares promptly after the Option is exercised. No adjustment will be made for a dividend or other right for which the record date is prior to the date the Shares are issued, except as provided in Section 2.6. Exercising an Option in any manner will decrease the number of Shares thereafter available, both for purposes of the Plan and for sale under the Option, by the number of Shares as to which the Option is exercised.

5.6.Termination of Service. If the Participant’s Service terminates for any reason except for Cause or the Participant’s death or Disability, then the Participant may exercise such Participant’s Options only to the extent that such Options would have been exercisable by the Participant on the date Participant’s Service terminates, except as otherwise determined by the Committee or required by applicable law. Such Options must be exercised by the Participant no later than three (3) months after the date Participant’s Service terminates (or such shorter or longer time period as may be determined by the Committee, with any exercise beyond three (3) months after the date Participant’s employment terminates deemed to be the exercise of an NSO), but in any event no later than the expiration date of the Options.

(a) Death. If the Participant’s Service terminates because of the Participant’s death (or the Participant dies within three (3) months after Participant’s Service terminates other than for Cause or because of the Participant’s Disability), then the Participant’s Options may be exercised only to the extent that such Options would have been exercisable by the Participant on the date Participant’s Service terminates. Such Options must be exercised by the Participant’s legal representative, or authorized assignee, no later than twelve (12) months after the date Participant’s Service terminates (or such shorter or longer time period-as may be determined by the Committee), but in any event no later than the expiration date of the Options.

(b) Disability. If the Participant’s Service terminates because of the Participant’s Disability, then the Participant’s Options may be exercised only to the extent that such Options would have been exercisable by the Participant on the date Participant’s Service terminates. Such Options must be exercised by the Participant (or the Participant’s legal representative or authorized assignee) no later than twelve (12) months after the date Participant’s Service terminates (or such shorter or longer time period as may be determined by the Committee with (a) any exercise beyond three (3) months after the date Participant’s employment terminates when the termination of Service is for a Disability that is not a


“permanent and total disability” as defined in Section 22(e)(3) of the Code, or (b) any exercise beyond twelve (12) months after the date Participant’s employment terminates when the termination of Service is for a Disability that is a “permanent and total disability” as defined in Section 22(e)(3) of the Code, deemed to be exercise of an NSO), but in any event no later than the expiration date of the Options.

(c) Cause. Unless otherwise determined by the Committee, if the Participant’s Service terminates for Cause, or if the Committee has reasonably determined in good faith that such cessation of Services has resulted in connection with an act or failure to act constituting Cause (or such Participant’s Services could have been terminated for Cause (without regard to the lapsing of any required notice or cure periods in connection therewith) at the time such Participant terminated Service), then Participant’s Options (whether or not vested) shall expire effective as of such Participant’s date of termination of Service, or at such later time and on such conditions as are determined by the Committee, but in any event no later than the expiration date of the Options. Unless otherwise provided in an employment agreement, Award Agreement, or other applicable agreement, Cause will have the meaning set forth in the Plan.

5.7.Limitations on Exercise. The Committee may specify a minimum number of Shares that may be purchased on any exercise of an Option, provided that such minimum number will not prevent any Participant from exercising the Option for the full number of Shares for which it is then exercisable.

5.8.Limitations on ISOs. With respect to Awards granted as ISOs, to the extent that the aggregate Fair Market Value of the Shares with respect to which such ISOs are exercisable for the first time by the Participant during any calendar year (under all plans of the Company and any Parent or Subsidiary) exceeds one hundred thousand dollars ($100,000), such Options will be treated as NSOs. For purposes of this section, ISOs will be taken into account in the order in which they were granted. The Fair Market Value of the Shares will be determined as of the time the Option with respect to such Shares is granted. In the event that the Code or the regulations promulgated thereunder are amended after the Effective Date to provide for a different limit on the Fair Market Value of Shares permitted to be subject to ISOs, such different limit will be automatically incorporated herein and will apply to any Options granted after the effective date of such amendment.

5.9.Modification, Extension or Renewal. The Committee may modify, extend or renew outstanding Options and authorize the grant of new Options in substitution therefor, provided that any such action may not, without the written consent of a Participant, impair any of such Participant’s rights under any Option previously granted, unless for the purpose of complying with applicable laws and regulations. Any outstanding ISO that is modified, extended, renewed or otherwise altered will be treated in accordance with Section 424(h) of the Code. Subject to Section 18, by written notice to affected Participants, the Committee may reduce the Exercise Price of outstanding Options without the consent of such Participants; provided, however, that the Exercise Price may not be reduced below the Fair Market Value on the date the action is taken to reduce the Exercise Price.

5.10.No Disqualification. Notwithstanding any other provision in this Plan, no term of this Plan relating to ISOs will be interpreted, amended or altered, nor will any discretion or authority granted under this Plan be exercised, so as to disqualify this Plan under Section 422 of the Code or, without the consent of the Participant affected, to disqualify any ISO under Section 422 of the Code.

6.RESTRICTED STOCK UNITS. A Restricted Stock Unit (“RSU”) is an award to an eligible Employee, Consultant, or Director covering a number of Shares that may be settled in cash, or by issuance of those Shares (which may consist of Restricted Stock) or in cash. All RSUs will be made pursuant to an Award Agreement.


6.1.Terms of RSUs. The Committee will determine the terms of an RSU including, without limitation: (a) the number of Shares subject to the RSU; (b) the time or times during which the RSU may be settled; (c) the consideration to be distributed on settlement and (d) the effect of the Participant’s termination of Service on each RSU; provided that no RSU will have a term longer than ten (10) years. An RSU may be awarded upon satisfaction of such performance goals based on Performance Factors during any Performance Period as are set out in advance in the Participant’s Award Agreement. If the RSU is being earned upon satisfaction of Performance Factors, then the Committee will: (i) determine the nature, length and starting date of any Performance Period for the RSU; (ii) select from among the Performance Factors to be used to measure the performance, if any; and (iii) determine the number of Shares deemed subject to the RSU. Performance Periods may overlap and Participants may participate simultaneously with respect to RSUs that are subject to different Performance Periods and different performance goals and other criteria.

6.2.Form and Timing of Settlement. Payment of earned RSUs will be made as soon as practicable after the date(s) determined by the Committee and set forth in the Award Agreement. The Committee, in its sole discretion, may settle earned RSUs in cash, Shares, or a combination of both. The Committee may also permit a Participant to defer payment under a RSU to a date or dates after the RSU is earned provided that the terms of the RSU and any deferral satisfy the requirements of Section 409A of the Code to the extent applicable.

6.3.Termination of Service. Except as may be set forth in the Participant’s Award Agreement, vesting ceases on such date Participant’s Service terminates (unless determined otherwise by the Committee).

7.RESTRICTED STOCK AWARDS. A Restricted Stock Award is an offer by the Company to sell to an eligible Employee, Consultant, or Director Shares that are subject to restrictions (“Restricted Stock”). The Committee will determine to whom an offer will be made, the number of Shares the Participant may purchase, the Purchase Price, the restrictions under which the Shares will be subject and all other terms and conditions of the Restricted Stock Award, subject to the Plan.

7.1.Restricted Stock Purchase Agreement. All purchases under a Restricted Stock Award will be evidenced by an Award Agreement. Except as may otherwise be provided in an Award Agreement, a Participant accepts a Restricted Stock Award by signing and delivering to the Company an Award Agreement and/or via electronic acceptance through the Third-Party Administrator with full payment of the Purchase Price, within thirty (30) days from the date the Award Agreement was delivered to the Participant. If the Participant does not accept such Award within thirty (30) days, then the offer to purchase such Restricted Stock Award will terminate, unless the Committee determines otherwise.

7.2.Purchase Price. The Purchase Price for Shares issued pursuant to a Restricted Stock Award will be determined by the Committee and may be less than Fair Market Value on the date the Restricted Stock Award is granted. Payment of the Purchase Price must be made in accordance with Section 11, the Award Agreement and any procedures established by the Company.

7.3.Terms of Restricted Stock Awards. Restricted Stock Awards will be subject to such restrictions as the Committee may impose or are required by law. These restrictions may be based on completion of a specified period of Service or upon completion of Performance Factors, if any, during any Performance Period as set out in advance in the Participant’s Award Agreement. Prior to the grant of a Restricted Stock Award, the Committee will: (a) determine the nature, length and starting date of any Performance Period for the Restricted Stock Award; (b) select from among the Performance Factors to be used to measure performance goals, if any; and (c) determine the number of Shares that may be awarded to the Participant. Performance Periods may overlap and a Participant may participate simultaneously with respect to Restricted Stock Awards that are subject to different Performance Periods and having different performance goals and other criteria.


7.4.Termination of Service. Except as may be set forth in the Participant’s Award Agreement, vesting ceases on such date Participant’s Service terminates (unless determined otherwise by the Committee).

8.STOCK BONUS AWARDS. A Stock Bonus Award is an award to an eligible Employee, Consultant, or Director of Shares for Services to be rendered or for past Services already rendered to the Company or any Parent, Subsidiary or Affiliate. All Stock Bonus Awards will be made pursuant to an Award Agreement. No payment from the Participant will be required for Shares awarded pursuant to a Stock Bonus Award.

8.1.Terms of Stock Bonus Awards. The Committee will determine the number of Shares to be awarded to the Participant under a Stock Bonus Award and any restrictions thereon. These restrictions may be based upon completion of a specified period of Service or upon satisfaction of performance goals based on Performance Factors during any Performance Period as set out in advance in the Participant’s Stock Bonus Agreement. Prior to the grant of any Stock Bonus Award the Committee will: (a) determine the nature, length and starting date of any Performance Period for the Stock Bonus Award; (b) select from among the Performance Factors to be used to measure performance goals; and (c) determine the number of Shares that may be awarded to the Participant. Performance Periods may overlap and a Participant may participate simultaneously with respect to Stock Bonus Awards that are subject to different Performance Periods and different performance goals and other criteria.

8.2.Form of Payment to Participant. Payment, if any, may be made in the form of cash, whole Shares, or a combination thereof, based on the Fair Market Value of the Shares earned under a Stock Bonus Award on the date of payment, as determined in the sole discretion of the Committee.

8.3.Termination of Service. Except as may be set forth in the Participant’s Award Agreement, vesting ceases on such date Participant’s Service terminates (unless determined otherwise by the Committee).

9.STOCK APPRECIATION RIGHTS. A Stock Appreciation Right (“SAR”) is an award to an eligible Employee, Consultant, or Director that may be settled in cash, or Shares (which may consist of Restricted Stock), having a value equal to (a) the difference between the Fair Market Value on the date of exercise less the Exercise Price multiplied by (b) the number of Shares with respect to which the SAR is being settled (subject to any maximum number of Shares that may be issuable as specified in an Award Agreement). All SARs will be made pursuant to an Award Agreement.

9.1.Terms of SARs. The Committee will determine the terms of each SAR including, without limitation: (a) the number of Shares subject to the SAR; (b) the Exercise Price and the time or times during which the SAR may be exercised and settled; (c) the consideration to be distributed on exercise and settlement of the SAR; and (d) the effect of the Participant’s termination of Service on each SAR. The Exercise Price of the SAR will be determined by the Committee when the SAR is granted, and may not be less than Fair Market Value of the Shares on the date of grant (with the exception of SARs issued in substitution of another company’s awards pursuant to, and to the extent permitted by, Section 21.2). A SAR may be awarded upon satisfaction of Performance Factors, if any, during any Performance Period as are set out in advance in the Participant’s individual Award Agreement. If the SAR is being earned upon the satisfaction of Performance Factors, then the Committee will: (i) determine the nature, length and starting date of any Performance Period for each SAR; and (ii) select from among the Performance Factors to be used to measure the performance, if any. Performance Periods may overlap and Participants may participate simultaneously with respect to SARs that are subject to different Performance Factors and other criteria.

9.2.Exercise Period and Expiration Date. A SAR will be exercisable within the times or upon the occurrence of events determined by the Committee and set forth in the Award Agreement governing such SAR. The SAR Agreement will set forth the expiration date; provided that no SAR will


be exercisable after the expiration of ten (10) years from the date the SAR is granted. The Committee may also provide for SARs to become exercisable at one time or from time to time, periodically or otherwise (including, without limitation, upon the attainment during a Performance Period of performance goals based on Performance Factors), in such number of Shares or percentage of the Shares subject to the SAR as the Committee determines. Except as may be set forth in the Participant’s Award Agreement, vesting ceases on the date Participant’s Service terminates (unless determined otherwise by the Committee). Notwithstanding the foregoing, the rules of Section 5.6 also will apply to SARs.

9.3.Form of Settlement. Upon exercise of a SAR, a Participant will be entitled to receive payment from the Company in an amount determined by multiplying (a) the difference between the Fair Market Value of a Share on the date of exercise less the Exercise Price; times (b) the number of Shares with respect to which the SAR is exercised. At the discretion of the Committee, the payment from the Company for the SAR exercise may be in cash, in Shares of equivalent value, or in some combination thereof. The portion of a SAR being settled may be paid currently or on a deferred basis with such interest, if any, as the Committee determines, provided that the terms of the SAR and any deferral satisfy the requirements of Section 409A of the Code to the extent applicable.

9.4.Termination of Service. Except as may be set forth in the Participant’s Award Agreement, vesting ceases on the date Participant’s Service terminates (unless determined otherwise by the Committee).

10.PERFORMANCE AWARDS. A Performance Award is an award to an eligible Employee, Consultant, or Director of the Company or any Parent, Subsidiary or Affiliate that is based upon the attainment of performance goals, as established by the Committee, and other terms and conditions specified by the Committee, and may be settled in cash, or by issuance of those Shares (which may consist of, without limitation, Restricted Stock), other property, or any combination thereof, and may be cash-based. Grants of Performance Awards will be made pursuant to an Award Agreement.

10.1. Performance Awards will include Performance Shares, Performance Units, and cash-based Awards as set forth in Sections 10.1(a), 10.1(b), and 10.1(c) below.

(a) Performance Shares. The Committee may grant Awards of Performance Shares, designate the Participants to whom Performance Shares are to be awarded and determine the number of Performance Shares and the terms and conditions of each such Award. Performance Shares will consist of a unit valued by reference to a designated number of Shares, the value of which may be paid to the Participant by delivery of Shares or, if set forth in the instrument evidencing the Award, of such property as the Committee will determine, including, without limitation, cash, Shares, other property, or any combination thereof, upon the attainment of performance goals, as established by the Committee, and other terms and conditions specified by the Committee. The amount to be paid under an Award of Performance Shares may be adjusted on the basis of such further consideration as the Committee will determine in its sole discretion.

(b) Performance Units. The Committee may grant Awards of Performance Units, designate the Participants to whom Performance Units are to be awarded and determine the number of Performance Units and the terms and conditions of each such Award. Performance Units will consist of a unit valued by reference to a designated amount of property other than Shares, which value may be paid to the Participant by delivery of such property as the Committee will determine, including, without limitation, cash, Shares, other property, or any combination thereof, upon the attainment of performance goals, as established by the Committee, and other terms and conditions specified by the Committee.

(c) Cash-Settled Performance Awards. The Committee may also grant cash-settled Performance Awards to Participants under the terms of this Plan. Such awards will be based on the attainment of performance goals using the Performance Factors within this Plan that are established by the Committee for the relevant performance period.


10.2.Terms of Performance Awards. Performance Awards will be based on the attainment of performance goals using the Performance Factors within this Plan that are established by the Committee for the relevant Performance Period. The Committee will determine, and each Award Agreement will set forth, the terms of each Performance Award including, without limitation: (a) the amount of any cash bonus, (b) the number of Shares deemed subject to an award of Performance Shares; (c) the Performance Factors and Performance Period that will determine the time and extent to which each award of Performance Shares will be settled; (d) the consideration to be distributed on settlement, and (e) the effect of the Participant’s termination of Service on each Performance Award. In establishing Performance Factors and the Performance Period the Committee will: (x) determine the nature, length and starting date of any Performance Period; (y) select from among the Performance Factors to be used; and (z) determine the number of Shares deemed subject to the award of Performance Shares. Prior to settlement the Committee will determine the extent to which Performance Awards have been earned. Performance Periods may overlap and Participants may participate simultaneously with respect to Performance Awards that are subject to different Performance Periods and different performance goals and other criteria.

10.3.Termination of Service. Except as may be set forth in the Participant’s Award Agreement, vesting ceases on the date Participant’s Service terminates (unless determined otherwise by the Committee).

11.PAYMENT FOR SHARE PURCHASES. Payment from a Participant for Shares purchased pursuant to this Plan may be made in cash or by cash equivalent or, where expressly approved for the Participant by the Committee and where permitted by law (and to the extent not otherwise set forth in the applicable Award Agreement):

(a) by cancellation of indebtedness of the Company to the Participant;

(b) by surrender of shares of the Company held by the Participant that have a Fair Market Value on the date of surrender equal to the aggregate Exercise Price of the Shares as to which said Award will be exercised or settled;

(c) by waiver of compensation due or accrued to the Participant for services rendered or to be rendered to the Company or a Parent or Subsidiary or Affiliate;

(d) by consideration received by the Company pursuant to a broker-assisted or other form of cashless exercise program implemented by the Company in connection with the Plan;

(e) by any combination of the foregoing; or

(f) by any other method of payment as is permitted by applicable law.

The Committee may limit the availability of any method of payment, to the extent the Committee determines, in its sole discretion, such limitation is necessary or advisable to comply with applicable law or facilitate the administration of the Plan. Unless determined otherwise by the Committee, all payments under any of the methods indicated above shall be made in United States dollars.

12.GRANTS TO NON-EMPLOYEE DIRECTORS.

12.1.Grants and Eligibility. Awards pursuant to this Section 12 shall be granted only to Non-Employee Directors, who are eligible to receive any type of Award offered under this Plan except ISOs. Awards pursuant to this Section 12 may be automatically made pursuant to a policy adopted by the Board, or granted from time to time as determined in the discretion of the Board.


12.2.Calendar Year Limitation. A Non-Employee Director may not receive Awards under the Plan that, when combined with cash compensation received for service as a Non-Employee Director, exceed (x) $750,000 in value (as described below) in any calendar year, for continuing directors, or (y) $1,000,000 in value (as described below) in the initial calendar, for a new Non-Employee Director. The value of Awards for purposes of complying with this maximum will be determined as follows: (a) for Options and SARs, grant date fair value will be calculated using the Black-Scholes valuation methodology or the Company’s regular valuation methodology for determining the grant date fair value of Options or SARs for reporting purposes, and (b) for all other Awards other than Options and SARs, grant date fair value will be determined by either (i) calculating the product of the Fair Market Value per Share on the date of grant and the aggregate number of Shares subject to the Award, or (ii) calculating the product using an average of the Fair Market Value over a number of trading days and the aggregate number of Shares subject to the Award as determined by the Committee. Awards granted, or cash compensation paid, to an individual while he or she was serving in the capacity as an Employee or in consideration of services as a Consultant will not count for purposes of the limitations set forth in this Section 12.2.

12.3.Vesting, Exercisability and Settlement. Except as set forth in Section 21, Awards will vest, become exercisable and be settled as determined by the Board. With respect to Options and SARs, the exercise price granted to Non-Employee Directors will not be less than the Fair Market Value of the Shares at the time that such Option or SAR is granted.

12.4.Election to Receive Awards in Lieu of Cash. A Non-Employee Director may elect to receive his or her annual retainer payments and/or meeting fees from the Company in the form of cash or Awards or a combination thereof, if permitted, and as determined, by the Committee. Such Awards will be issued under the Plan. An election under this Section 12.4 will be filed with the Company on the form prescribed by the Company.

13.WITHHOLDING TAXES.

13.1.Withholding Generally. Whenever Shares are to be issued in satisfaction of Awards granted under this Plan or a tax withholding event occurs in relation to an Award, the Company may require the Participant to remit to the Company, or to the Third Party Administrator or to the Parent, Subsidiary or Affiliate, as applicable, employing or retaining the Participant, an amount sufficient to satisfy applicable U.S. federal, state, local and international income tax, social insurance, payroll tax, fringe benefits tax, payment on account or other tax-related items (the “Tax-Related Items”) required to be withheld from the Participant prior to the delivery of Shares pursuant to exercise or settlement of any Award. Whenever payments in satisfaction of Awards granted under this Plan are to be made in cash, such payment will be net of an amount sufficient to satisfy applicable withholding obligations for Tax-Related Items. Unless otherwise determined by the Committee or required by applicable laws, the Fair Market Value of the Shares will be determined as of the date that the Tax-Related Items are required to be withheld and such Shares will be valued based on the value of the actual trade or, if there is none, the Fair Market Value of the Shares as of the previous trading day.

13.2.Withholding Methods. The Committee, or its delegate(s), as permitted by applicable law, in its sole discretion and pursuant to such procedures as it may specify from time to time and to limitations of local law, may require or permit a Participant to satisfy such Tax Related Items legally due from the Participant, in whole or in part by (without limitation): (a) paying cash; (b) having the Company withhold otherwise deliverable cash or Shares having a Fair Market Value equal to the Tax-Related Items to be withheld; (c) delivering to the Company already-owned shares having a Fair Market Value equal to the Tax-Related Items to be withheld or (d) withholding from the proceeds of the sale of otherwise deliverable Shares acquired pursuant to an Award either through a voluntary sale or through a mandatory sale arranged by the Company. The Company may withhold or account for these Tax-Related Items by considering applicable statutory withholding rates or other applicable withholding rates, including up to (but not in excess of) the maximum permissible statutory tax rate for the applicable tax jurisdiction, to the extent consistent with applicable laws.


14.TRANSFERABILITY. Unless determined otherwise by the Committee, an Award may not be sold, pledged, assigned, hypothecated, transferred, or disposed of in any manner other than by will or by the laws of descent or distribution. If the Committee makes an Award transferable, including, without limitation, by instrument to an inter vivos or testamentary trust in which the Awards are to be passed to beneficiaries upon the death of the trustor (settlor) or by gift or by domestic relations order to a Permitted Transferee, such Award will contain such additional terms and conditions as the Committee deems appropriate. All Awards will be exercisable: (a) during the Participant’s lifetime only by the Participant, or the Participant’s guardian or legal representative; (b) after the Participant’s death, by the legal representative of the Participant’s heirs or legatees; and (c) in the case of all awards except ISOs, by a Permitted Transferee.

15.PRIVILEGES OF STOCK OWNERSHIP; RESTRICTIONS ON SHARES.

15.1.Voting and Dividends. No Participant will have any of the rights of a stockholder with respect to any Shares until the Shares are issued to the Participant, except for any Dividend Equivalent Rights permitted by an applicable Award Agreement. Any Dividend Equivalent Rights will be subject to the same vesting or performance conditions as the underlying Award. In addition, the Committee may provide that any Dividend Equivalent Rights permitted by an applicable Award Agreement will be deemed to have been reinvested in additional Shares or otherwise reinvested. After Shares are issued to the Participant, the Participant will be a stockholder and have all the rights of a stockholder with respect to such Shares, including the right to vote and receive all dividends or other distributions made or paid with respect to such Shares; provided, that if such Shares are Restricted Stock, then any new, additional or different securities, the Participant may become entitled to receive with respect to such Shares by virtue of a stock dividend, stock split or any other change in the corporate or capital structure of the Company will be subject to the same restrictions as the Restricted Stock; provided, further, that the Participant will have no right to such stock dividends, or stock distributions with respect to Unvested Shares, and any such dividends or stock distributions will be accrued and paid only at such time, if any, as such Unvested Shares become vested Shares. The Committee, in its discretion, may provide in the Award Agreement evidencing any Award that the Participant will be entitled to Dividend Equivalent Rights with respect to the payment of cash dividends on Shares underlying an Award during the period beginning on the date the Award is granted and ending, with respect to each Share subject to the Award, on the earlier of the date on which the Award is exercised or settled or the date on which it is forfeited provided, that no Dividend Equivalent Right will be paid with respect to the Unvested Shares, and such dividends or stock distributions will be accrued and paid only at such time, if any, as such Unvested Shares become vested Shares. Such Dividend Equivalent Rights, if any, will be credited to the Participant in the form of additional whole Shares as of the date of payment of such cash dividends on Shares.

15.2.Restrictions on Shares. At the discretion of the Committee, the Company may reserve to itself and/or its assignee(s) a right to repurchase (a “Right of Repurchase”) a portion of any or all Unvested Shares held by a Participant following such Participant’s termination of Service at any time within ninety (90) days (or such longer or shorter time determined by the Committee) after the later of the date Participant’s Service terminates and the date the Participant purchases Shares under this Plan, for cash and/or cancellation of purchase money indebtedness, at the Participant’s Purchase Price or Exercise Price, as the case may be.

16.CERTIFICATES. All Shares or other securities whether or not certificated, delivered under this Plan will be subject to such stock transfer orders, legends and other restrictions as the Committee may deem necessary or advisable, including restrictions under any applicable U.S. federal, state or foreign securities law, or any rules, regulations and other requirements of the SEC or any stock exchange or automated quotation system upon which the Shares may be listed or quoted and any non-U.S. exchange controls or securities law restrictions to which the Shares are subject.


17.ESCROW; PLEDGE OF SHARES. To enforce any restrictions on a Participant’s Shares, the Committee may require the Participant to deposit all certificates representing Shares, together with stock powers or other instruments of transfer approved by the Committee, appropriately endorsed in blank, with the Company or an agent designated by the Company to hold in escrow until such restrictions have lapsed or terminated. The Committee may cause a legend or legends referencing such restrictions to be placed on the certificates. Any Participant who is permitted to execute a promissory note as partial or full consideration for the purchase of Shares under this Plan will be required to pledge and deposit with the Company all or part of the Shares so purchased as collateral to secure the payment of the Participant’s obligation to the Company under the promissory note; provided, however, that the Committee may require or accept other or additional forms of collateral to secure the payment of such obligation and, in any event, the Company will have full recourse against the Participant under the promissory note notwithstanding any pledge of the Participant’s Shares or other collateral. In connection with any pledge of the Shares, the Participant will be required to execute and deliver a written pledge agreement in such form as the Committee will from time to time approve. The Shares purchased with the promissory note may be released from the pledge on a pro rata basis as the promissory note is paid.

18.REPRICING; EXCHANGE AND BUYOUT OF AWARDS. Without prior stockholder approval, the Committee may (a) reprice Options or SARs (and where such repricing is a reduction in the Exercise Price of outstanding Options or SARs, the consent of the affected Participants is not required provided written notice is provided to them, notwithstanding any adverse tax consequences to them arising from the repricing), and (b) with the consent of the respective Participants (unless not required pursuant to Section 5.9), pay cash or issue new Awards in exchange for the surrender and cancellation of any, or all, outstanding Awards.

19.SECURITIES LAW AND OTHER REGULATORY COMPLIANCE. An Award will not be effective unless such Award is in compliance with all applicable U.S. and foreign federal and state securities and exchange control and other laws, rules and regulations of any governmental body, and with the requirements of any stock exchange or automated quotation system upon which the Shares may then be listed or quoted, as they are in effect on the date of grant of the Award and also on the date of exercise or other issuance. Notwithstanding any other provision in this Plan, the Company will have no obligation to issue or deliver certificates for Shares under this Plan prior to: (a) obtaining any approvals from governmental agencies that the Company determines are necessary or advisable; and/or (b) completion of any registration or other qualification of such Shares under any state, federal or foreign law or ruling of any governmental body that the Company determines to be necessary or advisable. The Company will be under no obligation to register the Shares with the SEC or to effect compliance with the registration, qualification or listing requirements of any foreign or state securities laws, exchange control laws, stock exchange or automated quotation system, and the Company will have no liability for any inability or failure to do so.

20.NO OBLIGATION TO EMPLOY. Nothing in this Plan or any Award granted under this Plan will confer or be deemed to confer on any Participant any right to continue in the employ of, or to continue any other relationship with, the Company or any Parent, Subsidiary or Affiliate or limit in any way the right of the Company or any Parent, Subsidiary or Affiliate to terminate Participant’s employment or other relationship at any time.

21.CORPORATE TRANSACTIONS.

21.1.Assumption or Replacement of  Awards by Successor. In the event of a Corporate Transaction, outstanding Awards will be subject to the agreement evidencing the Corporate Transaction, which need not treat all outstanding Awards in an identical manner. Such agreement, without Participant’s consent, may provide for one or more of the following with respect to outstanding Awards as of the effective date of such Corporate Transaction: (a) such Awards may be continued by the Company (if the Company is the successor entity); (b) such Awards may be assumed or substituted by the successor corporation, or a parent or subsidiary of the successor corporation, for substantially equivalent


Awards (including, but not limited to, an award to acquire the same consideration paid to the stockholders of the Company pursuant to the Corporate Transaction), in each case after taking into account appropriate adjustments for the number and kind of shares and exercise prices pursuant to Section 424(a) of the Code and/or Section 409A of the Code, as applicable; (c) immediately vested (and exercisable, as applicable) and settled (as applicable), in whole or in part, followed by the cancellation of such Awards upon or immediately prior to the effectiveness of such transaction or (d) settled for their intrinsic value (whether or not vested or exercisable) in cash or cash equivalents or equity (including cash or equity subject to deferred vesting and delivery consistent with vesting restrictions applicable to such Awards or the underlying Shares) followed by the cancellation of such Awards and, for the avoidance of doubt, if as of the date of the occurrence of the Corporate Transaction, the Committee determines in good faith that no amount would have been attained upon the exercise of such Award or realization of the Participant’s rights, then such Award may be terminated by the Company without payment, in each case without the Participant’s consent. The successor corporation may also issue, as replacement of outstanding Shares of the Company held by the Participant, substantially similar shares or other property subject to repurchase restrictions no less favorable to the Participant. In the event such successor corporation refuses to assume, substitute or replace any Award in accordance with this Section 21, then notwithstanding any other provision in this Plan to the contrary, each such Award will become fully vested and, as applicable, exercisable and any rights of repurchase or forfeiture restrictions thereon will lapse, immediately prior to the consummation of the Corporate Transaction. Performance Awards not assumed pursuant to the foregoing shall be deemed earned and vested at 100% of target level, unless otherwise indicated pursuant to the terms and conditions of the applicable Award Agreement.

If an Award vests in lieu of assumption or substitution in connection with a Corporate Transaction as provided above, the Committee will notify the holder of such Award in writing or electronically that such Award will be exercisable for a period of time determined by the Committee in its sole discretion, and such Award will terminate upon the expiration of such period without consideration. Any determinations by the Committee need not treat all outstanding Awards in an identical manner, and will be final and binding on each applicable Participant. The Board shall have full power and authority to assign the Company’s right to repurchase, right to re-acquire and/or forfeiture rights to such successor or acquiring corporation.

21.2.Assumption of Awards by the Company. The Company, from time to time, also may substitute or assume outstanding awards granted by another company, whether in connection with an acquisition of such other company or otherwise, by either; (a) granting an Award under this Plan in substitution of such other company’s award; or (b) assuming such award as if it had been granted under this Plan if the terms of such assumed award could be applied to an Award granted under this Plan. Such substitution or assumption will be permissible if the holder of the substituted or assumed award would have been eligible to be granted an Award under this Plan if the other company had applied the rules of this Plan to such grant. In the event the Company assumes an award granted by another company, the terms and conditions of such award will remain unchanged (except that the Purchase Price or the Exercise Price, as the case may be, and the number and nature of Shares issuable upon exercise or settlement of any such Award will be adjusted appropriately pursuant to Section 424(a) of the Code). In the event the Company elects to grant a new Option in substitution rather than assuming an existing option, such new Option may be granted with a similarly adjusted Exercise Price. Substitute Awards will not reduce the number of Shares authorized for grant under the Plan or authorized for grant to a Participant in a calendar year.

21.3.Non-Employee Directors’ Awards. Notwithstanding any provision to the contrary herein, in the event of a Corporate Transaction, the vesting of all Awards granted to Non-Employee Directors will accelerate and such Awards will become exercisable (as applicable) in full prior to the consummation of such event at such times and on such conditions as the Committee determines.


22.ADOPTION AND STOCKHOLDER APPROVAL. This Plan will be submitted for the approval of the Company’s stockholders, consistent with applicable laws, within twelve (12) months before or after the date this Plan is adopted by the Board.

23.TERM OF PLAN/GOVERNING LAW. Unless earlier terminated as provided herein, this Plan will become effective on the Effective Date and will terminate ten (10) years from the date this Plan is adopted by the Board. After this Plan is terminated or expires, no Awards may be granted but Awards previously granted shall remain outstanding in accordance with their applicable terms and conditions and this Plan’s terms and conditions. This Plan and all Awards granted hereunder will be governed by and construed in accordance with the laws of the State of Delaware (excluding its conflict of laws rules).

24.AMENDMENT OR TERMINATION OF PLAN. The Board may at any time terminate or amend this Plan in any respect, including, without limitation, amendment of any form of Award Agreement or instrument to be executed pursuant to this Plan; provided, however, that the Board will not, without the approval of the stockholders of the Company, amend this Plan in any manner that requires such stockholder approval; provided further, that a Participant’s Award will be governed by the version of this Plan then in effect at the time such Award was granted. No termination or amendment of the Plan or any outstanding Award may adversely affect any then outstanding Award without the consent of the Participant, unless such termination or amendment is necessary to comply with applicable law, regulation or rule.

25.NONEXCLUSIVITY OF THE PLAN. Neither the adoption of this Plan by the Board, the submission of this Plan to the stockholders of the Company for approval, nor any provision of this Plan will be construed as creating any limitations on the power of the Board to adopt such additional compensation arrangements as it may deem desirable, including, without limitation, the granting of stock awards and bonuses otherwise than under this Plan, and such arrangements may be either generally applicable or applicable only in specific cases.

26.INSIDER TRADING POLICY. Each Participant who receives an Award will comply with any policy adopted by the Company from time to time covering transactions in the Company’s securities by Employees, officers and/or Directors of the Company, as applicable, as well as with any insider trading or market abuse laws to which the Participant may be subject.

27.ALL AWARDS SUBJECT TO COMPANY CLAWBACK OR RECOUPMENT POLICY. All Awards, subject to applicable law, shall be subject to clawback or recoupment pursuant to any compensation clawback or recoupment policy adopted by the Board or required by law during the term of Participant’s employment or other service with the Company that is applicable to officers, Employees, Directors or other service providers of the Company, and in addition to any other remedies available under such policy and applicable law, may require the cancellation of outstanding Awards and the recoupment of any gains realized with respect to Awards.

28.DEFINITIONS. As used in this Plan, and except as elsewhere defined herein, the following terms will have the following meanings:

28.1. “Affiliate” means any person or entity that directly or indirectly through one or more intermediaries controls, or is controlled by, or is under common control with, the Company, including any general partner, managing member, officer or director of the Company, in each case as of the date on which, or at any time during the period for which, the determination of affiliation is being made. For purposes of this definition, the term “control” (including the correlative meanings of the terms “controlled by” and “under common control with”), as used with respect to any person or entity, means the possession, directly or indirectly, of the power to direct or cause the direction of the management policies of such person or entity, whether through the ownership of voting securities or by contract or otherwise.


28.2. “Award” means any award under the Plan, including any Option, Restricted Stock, Stock Bonus, Stock Appreciation Right, Restricted Stock Unit or Performance Award.

28.3. “Award Agreement” means, with respect to each Award, the written or electronic agreement between the Company and the Participant setting forth the terms and conditions of the Award, and any country-specific appendix thereto for grants to non-U.S. Participants, which will be in substantially a form (that need not be the same for each Participant) that the Committee (or in the case of Award Agreements that are not used for Insiders, the Committee’s delegate(s)) has from time to time approved, and will comply with and be subject to the terms and conditions of this Plan.

28.4.  “Board” means the Board of Directors of the Company.

28.5. “Cause” means a determination by the Company (and in the case of Participant who is subject to Section 16 of the Exchange Act, the Committee) that the Participant has committed an act or acts constituting any of the following: (a) Participant’s unauthorized misuse of the Company or a Parent or Subsidiary of the Company’s trade secrets or proprietary information or breach of any provision of any employment, non-disclosure, non-competition, non-solicitation or other similar agreement executed by Participant for the benefit of the Company, (b) Participant’s conviction of or plea of nolo contendere to a felony or a crime involving moral turpitude, (c) Participant’s committing an act of fraud against, or misappropriation of any funds or property of, the Company or a Parent or Subsidiary (d) gross negligence or willful misconduct in connection with Participant’s duties or failure to perform Participant’s responsibilities in the best interests of the Company; (e) material violation of any Company rule, regulation, procedure or policy, including but not limited to the Company’s code of conduct or ethics; (h) other conduct by such Participant that could be expected to be harmful to the business, interests or reputation of the Company.

The determination as to whether Cause for a Participant’s termination exists will be made in good faith by the Company and will be final and binding on the Participant. This definition does not in any way limit the Company’s or any Parent’s or Subsidiary’s ability to terminate a Participant’s employment or services at any time as provided in Section 20 above. Notwithstanding the foregoing, the foregoing definition of “Cause” may, in part or in whole, be modified or replaced in each individual employment agreement, Award Agreement, or other applicable agreement with any Participant provided that such document specifically supersedes this definition.

28.6. “Code” means the United States Internal Revenue Code of 1986, as amended, and the regulations promulgated thereunder.

28.7. “Committee” means the Compensation Committee of the Board or those persons to whom administration of the Plan, or part of the Plan, has been delegated as permitted by law.

28.8. “Common Stock” means the common stock of the Company.

28.9. “Company” means Maze Therapeutics, Inc., a Delaware corporation, or any successor corporation.

28.10. “Consultant” means any natural person, including an advisor or independent contractor, engaged by the Company or a Parent, Subsidiary or Affiliate to render services to such entity.

28.11. “Corporate Transaction” means the occurrence of any of the following events: (a) any “Person” (as such term is used in Sections 13(d) and 14(d) of the Exchange Act) becomes the “beneficial owner” (as defined in Rule 13d-3 of the Exchange Act), directly or indirectly, of securities of the Company representing more than fifty percent (50%) of the total voting power represented by the Company’s then-outstanding voting securities; provided, however, that for purposes of this subclause (a) the acquisition of additional securities by any one Person who is considered to own fifty percent (50%) or


more of the total voting power of the securities of the Company will not be considered a Corporate Transaction; (b) the consummation of the sale or disposition by the Company of all or substantially all of the Company’s assets; (c) the consummation of a merger or consolidation of the Company with any other corporation, other than a merger or consolidation which would result in the voting securities of the Company outstanding immediately prior thereto continuing to represent (either by remaining outstanding or by being converted into voting securities of the surviving entity or its parent) at least fifty percent (50%) of the total voting power represented by the voting securities of the Company or such surviving entity or its parent outstanding immediately after such merger or consolidation; (d) any other transaction which qualifies as a “corporate transaction” under Section 424(a) of the Code wherein the stockholders of the Company give up all of their equity interest in the Company (except for the acquisition, sale or transfer of all or substantially all of the outstanding shares of the Company) or (e) a change in the effective control of the Company that occurs on the date that a majority of members of the Board is replaced during any twelve (12) month period by members of the Board whose appointment or election is not endorsed by a majority of the members of the Board prior to the date of the appointment or election. For purpose of this subclause (e), if any Person is considered to be in effective control of the Company, the acquisition of additional control of the Company by the same Person will not be considered a Corporate Transaction. For purposes of this definition, Persons will be considered to be acting as a group if they are owners of a corporation that enters into a merger, consolidation, purchase or acquisition of stock, or similar business transaction with the Company. Notwithstanding the foregoing, to the extent that any amount constituting deferred compensation (as defined in Section 409A of the Code) would become payable under this Plan by reason of a Corporate Transaction, such amount will become payable only if the event constituting a Corporate Transaction would also qualify as a change in ownership or effective control of the Company or a change in the ownership of a substantial portion of the assets of the Company, each as defined within the meaning of Code Section 409A, as it has been and may be amended from time to time, and any proposed or final Treasury Regulations and IRS guidance that has been promulgated or may be promulgated thereunder from time to time.

28.12. “Director” means a member of the Board.

28.13.  “Disability” means in the case of incentive stock options, total and permanent disability as defined in Section 22(e)(3) of the Code and in the case of other Awards, that the Participant is unable to engage in any substantial gainful activity by reason of any medically determinable physical or mental impairment that can be expected to result in death or can be expected to last for a continuous period of not less than 12 months.

28.14. “Dividend Equivalent Right” means the right of a Participant, granted at the discretion of the Committee or as otherwise provided by the Plan, to receive a credit for the account of such Participant in an amount equal to the cash, stock or other property dividends in amounts equivalent to cash, stock or other property dividends for each Share represented by an Award held by such Participant.

28.15. “Effective Date” means the day immediately prior to the Company’s IPO Registration Date, subject to approval of the Plan by the Company’s stockholders.

28.16. “Employee” means any person, including officers and Directors, providing services as an employee to the Company or any Parent, Subsidiary or Affiliate. Neither service as a Director nor payment of a director’s fee by the Company will be sufficient to constitute “employment” by the Company.

28.17. “Exchange Act” means the United States Securities Exchange Act of 1934, as amended.

28.18. “Exchange Program” means a program pursuant to which (a) outstanding Awards are surrendered, cancelled or exchanged for cash, the same type of Award or a different Award (or combination thereof) or (b) the exercise price of an outstanding Award is increased or reduced, each as described in Section 18.


28.19. “Exercise Price” means, with respect to an Option, the price at which a holder may purchase the Shares issuable upon exercise of an Option and with respect to a SAR, the price at which the SAR is granted to the holder thereof.

28.20. “Fair Market Value” means, as of any date, the value of a share of Common Stock determined as follows:

(a) if such common stock is publicly traded and is then listed on a national securities exchange, its closing price on the date of determination on the principal national securities exchange on which the common stock is listed or admitted to trading as reported in The Wall Street Journal or such other source as the Committee deems reliable;

(b) if such common stock is publicly traded but is neither listed nor admitted to trading on a national securities exchange, the average of the closing bid and asked prices on the date of determination as reported in The Wall Street Journal or such other source as the Committee deems reliable;

(c) in the case of an Option or SAR grant made on the IPO Registration Date, the price per share at which Shares are initially offered for sale to the public by the Company’s underwriters in the initial public offering of Shares as set forth in the Company’s final prospectus included within the registration statement on Form S-1 filed with the SEC under the Securities Act; or

(d) by the Board or the Committee in good faith.

28.21.  “Insider” means an officer or Director of the Company or any other person whose transactions in Common Stock are subject to Section 16 of the Exchange Act.

28.22. “IPO Registration Date” means the date on which the Company’s registration statement on Form S-1 in connection with its initial public offering of common stock is declared effective by the SEC under the Securities Act.

28.23. “IRS” means the United States Internal Revenue Service.

28.24. “Non-Employee Director” means a Director who is not an Employee of the Company or any Affiliate, Parent or Subsidiary.

28.25. “Option” means an Award as defined in Section 5 and granted under the Plan.

28.26. “Parent” means any corporation (other than the Company) in an unbroken chain of corporations ending with the Company if each of such corporations other than the Company owns stock possessing fifty percent (50%) or more of the total combined voting power of all classes of stock in one of the other corporations in such chain.

28.27. “Participant” means a person who holds an Award under this Plan.

28.28.Performance Award means an Award as defined in Section 10 and granted under the Plan.

28.29.Performance Factors means any of the factors selected by the Committee and specified in an Award Agreement, from among the following objective or subjective measures, either individually, alternatively or in any combination applied to the Participant, the Company, any business unit or Parent, Subsidiary or Affiliate, either individually, alternatively, or in any combination, on a GAAP or non-GAAP basis, and measured, to the extent applicable on an absolute basis or relative to a pre-established target, to determine whether the performance goals established by the Committee with respect to applicable Awards have been satisfied:

(a) Profit Before Tax;


(b) Sales;

(c) Expenses;

(d) Billings;

(e) Revenue;

(f) Net revenue;

(g) Earnings (which may include earnings before interest and taxes (EBIT), earnings before interest, taxes, depreciation and amortization (EBITDA), and Adjusted EBITDA));

(h) Operating income;

(i) Operating margin;

(j) Operating profit;

(k) Controllable operating profit, or net operating profit;

(l) Net Profit;

(m) Gross margin;

(n) Operating expenses or operating expenses as a percentage of revenue;

(o) Net income;

(p) Earnings per share;

(q) Total stockholder return or relative stockholder return;

(r) Market share;

(s) Return on assets or net assets;

(t) The Company’s stock price;

(u) Growth in stockholder value relative to a pre-determined index;

(v) Return on equity;

(w) Return on invested capital;

(x) Cash Flow (including free cash flow or operating cash flows) or cash flow margins;


(y) Balance of cash, cash equivalents and marketable securities;

(z) Cash conversion cycle;

(aa) Economic value added;

(bb) Individual confidential business objectives;

(cc) Contract awards or backlog;

(dd) Overhead or other expense reduction;

(ee) Credit rating;

(ff) Completion of an identified special project;

(gg) Completion of a joint venture or other corporate transaction;

(hh) Strategic plan development and implementation;

(ii) Succession plan development and implementation;

(jj) Improvement in workforce diversity;

(kk) Employee satisfaction;

(ll) Employee retention;

(mm) Customer indicators and/or satisfaction;

(nn) New product invention or innovation;

(oo) Research and development expenses;

(pp) Attainment of research and development milestones;

(qq) Improvements in productivity;

(rr) Bookings;

(ss) Working-capital targets and changes in working capital;

(tt) Attainment of operating goals and employee metrics;

(uu) Net new annual contract value;

(vv) Net expansion or growth rate; and

(ww) Any other metric as determined by the Committee.


The Committee may provide for one or more equitable adjustments to the Performance Factors, including, but not limited to, to preserve the Committee’s original intent regarding the Performance Factors at the time of the initial award grant, such as but not limited to, adjustments in recognition of unusual or non-recurring items such as acquisition related activities or changes in applicable accounting rules. It is within the sole discretion of the Committee to make or not make any such equitable adjustments.

28.30. “Performance Period” means one or more periods of time, which may be of varying and overlapping durations, as the Committee may select, over which the attainment of one or more Performance Factors will be measured for the purpose of determining a Participant’s right to, and the payment of, a Performance Award.

28.31. “Performance Share” means an Award as defined in Section 10 and granted under the Plan.

28.32. “Permitted Transferee” means any child, stepchild, grandchild, parent, stepparent, grandparent, spouse, former spouse, sibling, niece, nephew, mother-in-law, father-in-law, son-in-law, daughter-in-law, brother-in-law, or sister-in-law (including adoptive relationships) of the Employee, any person sharing the Employee’s household (other than a tenant or employee), a trust in which these persons (or the Employee) have more than 50% of the beneficial interest, a foundation in which these persons (or the Employee) control the management of assets, and any other entity in which these persons (or the Employee) own more than 50% of the voting interests.

28.33.Performance Unit means an Award as defined in Section 10 and granted under the Plan.

28.34. “Plan” means this Maze Therapeutics, Inc. 2025 Equity Incentive Plan.

28.35. “Pre-Funded Warrant” means any warrant to acquire shares of Common Stock for a nominal exercise price.

28.36. “Purchase Price” means the price to be paid for Shares acquired under the Plan, other than Shares acquired upon exercise of an Option or SAR.

28.37. “Restricted Stock Award” means an Award as defined in Section 7 and granted under the Plan (or issued pursuant to the early exercise of an Option).

28.38. “Restricted Stock Unit” means an Award as defined in Section 6 and granted under the Plan.

28.39. “SEC” means the United States Securities and Exchange Commission.

28.40. “Securities Act” means the United States Securities Act of 1933, as amended.

28.41. “Service” means service as an Employee, Consultant, Director or Non-Employee Director, to the Company or a Parent, Subsidiary or Affiliate, subject to such further limitations as may be set forth in the Plan or the applicable Award Agreement. An Employee will not be deemed to have ceased to provide Service in the case of (a) sick leave, (b) military leave, or (c) any other leave of absence approved by the Company; provided, that such leave is for a period of not more than 90 days unless reemployment upon the expiration of such leave is guaranteed by contract or statute. Notwithstanding anything to the contrary, an Employee will not be deemed to have ceased to provide Service if a formal policy adopted from time to time by the Company and issued and promulgated to employees in writing provides otherwise. In the case of any Employee on an approved leave of absence or a reduction in hours worked (for illustrative purposes only, a change in schedule from that of full-time to part-time), the Committee may make such provisions respecting suspension or modification of vesting of the Award


while on leave from the employ of the Company or a Parent, Subsidiary or Affiliate or during such change in working hours as it may deem appropriate, except that in no event may an Award be exercised after the expiration of the term set forth in the applicable Award Agreement. In the event of military or other protected leave, if required by applicable laws, vesting will continue for the longest period that vesting continues under any other statutory or Company approved leave of absence and, upon a Participant’s returning from military leave (under conditions that would entitle him or her to protection upon such return under the Uniform Services Employment and Reemployment Rights Act), he or she will be given vesting credit with respect to Awards to the same extent as would have applied had the Participant continued to provide Service to the Company throughout the leave on the same terms as he or she was providing Service immediately prior to such leave. An Employee will have terminated employment as of the date he or she ceases to provide Service (regardless of whether the termination is in breach of local employment laws or is later found to be invalid) and employment will not be extended by any notice period or garden leave mandated by local law, provided however, a change in status from an Employee to a Consultant or a Non-Employee Director (or vice versa) will not terminate a Participant’s Service provided that there is no lapse in time between such change in statuses, unless otherwise determined by the Committee, in its discretion or to the extent set forth in the applicable Award Agreement. The Committee will have sole discretion to determine whether a Participant has ceased to provide Service and the effective date on which the Participant ceased to provide Service.

28.42. “Shares” means shares of the common stock of the Company or any successor entity.

28.43. “Stock Appreciation Right” means an Award as defined in Section 9 and granted under the Plan.

28.44. “Stock Bonus” means an Award as defined in Section 8 and granted pursuant to Section 7 of the Plan.

28.45. “Subsidiary” means any corporation (other than the Company) in an unbroken chain of corporations beginning with the Company if each of the corporations other than the last corporation in the unbroken chain owns stock possessing fifty percent (50%) or more of the total combined voting power of all classes of stock in one of the other corporations in such chain.

28.46. “Treasury Regulations” means regulations promulgated by the United States Treasury Department.

28.47. “Unvested Shares” means Shares that have not yet vested or are subject to a right of repurchase in favor of the Company (or any successor thereto).


MAZE THERAPEUTICS, INC.

2025 EQUITY INCENTIVE PLAN

GLOBAL NOTICE OF STOCK OPTION GRANT

Unless otherwise defined herein, the terms defined in the Maze Therapeutics, Inc. (the “Company”) 2025 Equity Incentive Plan (the “Plan”) will have the same meanings in this Global Notice of Stock Option Grant and the electronic representation of this Global Notice of Stock Option Grant established and maintained by the Company or a third party designated by the Company (this “Notice”).

Name:

Address:

You (“Participant”) have been granted an option to purchase shares of common stock of the Company (the “Option”) under the Plan subject to the terms and conditions of the Plan, this Notice and the attached Global Stock Option Award Agreement (the “Option Agreement”), including any applicable country-specific provisions in the appendix attached hereto (the “Appendix”), which constitutes part of the Option Agreement.

Grant Number:

Date of Grant:

Vesting Commencement Date:

Exercise Price per Share:

Total Number of Shares:

 

Type of Option:   

    Non-Qualified Stock Option

 

    Incentive Stock Option

Expiration Date:          , 20 ; This Option expires earlier if Participant’s Service terminates earlier, as described in the Option Agreement.
Vesting Schedule:    Subject to the limitations set forth in this Notice, the Plan and the Option Agreement, the Option will vest in accordance with the following schedule: [insert applicable vesting schedule, which may be time-based, performance-based or a combination of both]

By accepting (whether in writing, electronically or otherwise) the Option, Participant acknowledges and agrees to the following:

 

  1)

Participant understands that Participant’s Service is for an unspecified duration, can be terminated at any time (i.e., is “at-will”), except where otherwise prohibited by applicable law, and that nothing in this Notice, the Option Agreement or the Plan changes the nature of that relationship. Participant acknowledges that the vesting of the Option pursuant to this Notice is subject to Participant’s continuing Service as an Employee, Director or Consultant. To the extent permitted by applicable law, Participant agrees and acknowledges that the Vesting Schedule may change prospectively in the event that Participant’s Service status changes between full- and part-time and/or in the event Participant is on a leave of absence, in accordance with Company policies relating to work schedules and vesting of Awards or as determined by the Committee to the extent permitted by applicable law. Furthermore, the period during which Participant may exercise the Option after termination of Service, if any, will commence on the Termination Date (as defined in the Option Agreement).

 

  2)

This grant is made under and governed by the Plan, the Option Agreement and this Notice, and this Notice is subject to the terms and conditions of the Option Agreement and the Plan, both of which are incorporated herein by reference. Participant has read the Notice, the Option Agreement and the Plan.


  3)

Participant has read the Company’s policy covering transactions in the Company’s securities by Employees and/or Directors of the Company (the “Insider Trading Policy” and “10b5-1 Trading Plan Policy”), and agrees to comply with any such policy, as it may be amended from time to time, whenever Participant acquires or disposes of the Company’s securities.

 

  4)

By accepting the Option, Participant consents to electronic delivery and participation as set forth in the Option Agreement.

 

2


MAZE THERAPEUTICS, INC.

2025 EQUITY INCENTIVE PLAN

GLOBAL STOCK OPTION AWARD AGREEMENT

Unless otherwise defined in this Global Stock Option Award Agreement (this “Option Agreement”), any capitalized terms used herein will have the meaning ascribed to them in the Maze Therapeutics, Inc. 2025 Equity Incentive Plan (the “Plan”).

Participant has been granted an option to purchase Shares (the “Option”) of Maze Therapeutics, Inc. (the “Company”), subject to the terms, restrictions and conditions of the Plan, the Global Notice of Stock Option Grant (the “Notice”) and this Option Agreement, including any applicable country-specific provisions in the appendix attached hereto (the “Appendix”), which constitutes part of this Option Agreement. In the event of a conflict between the terms and condition of the Plan and the terms and conditions of the Notice or this Option Agreement, the terms and conditions of the Plan will prevail.

1.Vesting Rights. Subject to the applicable provisions of the Plan and this Option Agreement, this Option may be exercised, in whole or in part, in accordance with the Vesting Schedule set forth in the Notice. Participant acknowledges that the vesting of the Option pursuant to this Notice and Agreement is subject to Participant’s continuing Service as an Employee, Director or Consultant.

2.Grant of Option. Participant has been granted an Option for the number of Shares set forth in the Notice at the exercise price per Share in U.S. Dollars set forth in the Notice (the “Exercise Price”). If designated in the Notice as an Incentive Stock Option (“ISO”), this Option is intended to qualify as an Incentive Stock Option under Section 422 of the Code. However, if this Option is intended to be an ISO, to the extent that it exceeds the U.S. $100,000 rule of Code Section 422(d) it will be treated as a Nonqualified Stock Option (“NSO”).

3. Termination Period.

(a) General Rule. If Participant’s Service terminates for any reason except death or Disability, and other than for Cause, then this Option will expire at the close of business at Company headquarters on the date three (3) months after Participant’s Termination Date (as defined below) (or such shorter time period or longer time period as may be determined by the Committee, with any exercise beyond three (3) months after the date Participant’s Service terminates deemed to be the exercise of an NSO). The Company determines when Participant’s Service terminates for all purposes under this Option Agreement.

(b) Death; Disability. If Participant dies before Participant’s Service terminates (or Participant dies within three (3) months of Participant’s termination of Service other than for Cause or because of Participant’s Disability), then this Option will expire at the close of business at Company headquarters on the date twelve (12) months after the date of death (or such shorter time period or longer time period as may be determined by the Committee, subject to the expiration details in Section 7). If Participant’s Service terminates because of Participant’s Disability, then this Option will expire at the close of business at Company headquarters on the date twelve (12) months after Participant’s Termination Date (or such shorter time period or longer time period as may be determined by the Committee, subject to the expiration details in Section 7), with (i) any exercise beyond three (3) months after the date Participant’s employment terminates when the termination of Service is for a Disability that is not a “permanent and total disability” as defined in Section 22(e)(3) of the Code, or (ii) any exercise beyond twelve (12) months after the date Participant’s employment terminates when the termination of Service is for a Disability that is a “permanent and total disability” as defined in Section 22(e)(3) of the Code, deemed to be exercise of an NSO.

 

1


(c) Cause. Unless otherwise determined by the Committee, if the Participant’s Service terminates for Cause, or if the Committee has reasonably determined in good faith that such cessation of Services has resulted in connection with an act or failure to act constituting Cause (or the Participant’s Services could have been terminated for Cause (without regard to the lapsing of any required notice or cure periods in connection therewith) at the time the Participant terminated Services), then Participant’s Options (whether or not vested) shall expire effective as of such Participant’s date of termination of Service, or at such later time and on such conditions as are determined by the Committee, but in any event no later than the expiration date of the Options.

(d) No Notification of Exercise Periods. Participant is responsible for keeping track of these exercise periods following Participant’s termination of Service for any reason. The Company will not provide further notice of such periods. In no event will this Option be exercised later than the Expiration Date set forth in the Notice.

(e) Termination. For purposes of this Option, Participant’s Service will be considered terminated (regardless of the reason for such termination and whether or not later found to be invalid or in breach of employment laws in the jurisdiction where Participant is employed or the terms of Participant’s employment agreement, if any) as of the date Participant is no longer providing Service to the Company, its Parent or one of its Subsidiaries or Affiliates (i.e., Participant’s period of Service would not include any contractual notice period or any period of “garden leave” or similar period mandated under employment laws in the jurisdiction where Participant is employed or the terms of Participant’s employment agreement, if any) (the “Termination Date”). Unless otherwise provided in this Option Agreement or determined by the Committee, Participant’s right to vest in the Option under the Plan, if any, will terminate as of the Termination Date and Participant’s right to exercise the Option after termination of Service, if any, will be measured from the Termination Date.

In case of any dispute as to whether and when a termination of Service has occurred, the Committee will have sole discretion to determine whether such termination of Service has occurred and the effective date of such termination (including whether Participant may still be considered to be providing Services while on a leave of absence).

Unless otherwise provided by the Committee, this Option may be exercised following termination of Participant’s Service only to the extent that such Option would have been exercisable by the Participant on the date Participant’s Service terminates. If Participant does not exercise this Option within the termination period set forth in the Notice or the termination periods set forth above, the Option will terminate in its entirety. In no event, may any Option be exercised after the Expiration Date of the Option as set forth in the Notice.

4. Exercise of Option.

(a) Right to Exercise. This Option is exercisable during its term in accordance with the Vesting Schedule set forth in the Notice and the applicable provisions of the Plan and this Option Agreement. In the event of Participant’s death, Disability, termination for Cause or other cessation of Service, the exercisability of the Option is governed by the applicable provisions of the Plan, the Notice and this Option Agreement. This Option may not be exercised for a fraction of a Share.

(b) Method of Exercise. This Option is exercisable by delivery of an exercise notice in a form specified by the Company (the “Exercise Notice”), which will state the election to exercise the Option, the number of Shares in respect of which the Option is being exercised (the “Exercised Shares”), and such other representations and agreements as may be required by the Company pursuant to the provisions of the Plan. The Exercise Notice will be delivered in person, by mail, via electronic mail or facsimile or by other authorized method to the Secretary of the Company or other person designated by the Company. The Exercise Notice will be accompanied by payment of the aggregate Exercise Price as to all Exercised Shares together with any applicable Tax-Related Items (as defined below). This Option will be deemed to be exercised upon receipt by the

 

2


Company of such fully executed Exercise Notice accompanied by such aggregate Exercise Price and payment of any applicable Tax-Related Items. No Shares will be issued pursuant to the exercise of this Option unless such issuance and exercise complies with all relevant provisions of law and the requirements of any stock exchange or quotation service upon which the Shares are then listed and any exchange control requirements. Assuming such compliance, for United States income tax purposes the Exercised Shares will be considered transferred to Participant on the date the Option is exercised with respect to such Exercised Shares.

(c) Exercise by Another. If another person wants to exercise this Option after it has been transferred to him or her in compliance with this Option Agreement, that person must prove to the Company’s satisfaction that he or she is entitled to exercise this Option. That person must also complete the proper Exercise Notice form (as described above) and pay the Exercise Price (as described below) and any applicable Tax-Related Items (as described below).

5.Method of Payment. Payment of the aggregate Exercise Price will be by any of the following, or a combination thereof, at the election of Participant:

(a) Participant’s personal check (representing readily available funds), wire transfer, or a cashier’s check;

(b) if permitted by the Committee, certificates for shares of Company stock that Participant owns, along with any forms needed to effect a transfer of those shares to the Company; the value of the shares, determined as of the effective date of the Option exercise, will be applied to the Exercise Price. Instead of surrendering shares of Company stock, Participant may attest to the ownership of those shares on a form provided by the Company and have the same number of shares subtracted from the Option shares issued to Participant. However, Participant may not surrender, or attest to the ownership of, shares of Company stock in payment of the Exercise Price of Participant’s Option if Participant’s action would cause the Company to recognize compensation expense (or additional compensation expense) with respect to this Option for financial reporting purposes;

(c) cashless exercise through irrevocable directions to a securities broker approved by the Company to sell all or part of the Shares covered by this Option and to deliver to the Company from the sale proceeds an amount sufficient to pay the Exercise Price and any applicable Tax-Related Items. The balance of the sale proceeds, if any, will be delivered to Participant unless otherwise provided in this Option Agreement. The directions must be given by signing a special notice of exercise form provided by the Company; or

(d) other method authorized by the Company;

provided, however, that the Company may restrict the available methods of payment due to facilitate compliance with applicable law or administration of the Plan. In particular, if Participant is located outside the United States, Participant should review the applicable provisions of the Appendix for any such restrictions that may currently apply.

6.Non-Transferability of Option. This Option may not be sold, assigned, transferred, pledged, hypothecated, or otherwise disposed of other than by will or by the laws of descent or distribution or by court order and may be exercised during the lifetime of Participant only by Participant or unless otherwise permitted by the Committee on a case-by-case basis. The terms of the Plan and this Option Agreement will be binding upon the executors, administrators, heirs, successors and assigns of Participant.

7.Term of Option. This Option will in any event expire on the expiration date set forth in the Notice, which date is ten (10) years after the Date of Grant (five (5) years after the Date of Grant if this option is designated as an ISO in the Notice of Stock Option Grant and Section 5.3 of the Plan applies).

 

3


8. Taxes.

(a) Responsibility for Taxes. Participant acknowledges that, to the extent permitted by applicable law, regardless of any action taken by the Company or a Parent, Subsidiary or Affiliate employing or retaining Participant (the “Service Recipient”), the ultimate liability for all applicable U.S., federal, state, local and international income tax, social insurance, payroll tax, fringe benefits tax, payment on account or other tax related items (“Tax-Related Items”) related to Participant’s participation in the Plan and legally applicable to Participant is and remains Participant’s responsibility and may exceed the amount actually withheld by the Company or the Service Recipient, if any. Participant further acknowledges that the Company and/or the Service Recipient (i) make no representations or undertakings regarding the treatment of any Tax-Related Items in connection with any aspect of this Option, including, but not limited to, the grant, vesting or exercise of this Option, the subsequent sale of Shares acquired pursuant to such exercise and the receipt of any dividends, and (ii) do not commit to and are under no obligation to structure the terms of the grant or any aspect of this Option to reduce or eliminate Participant’s liability for Tax-Related Items or achieve any particular tax result. Further, if Participant is subject to Tax-Related Items in more than one jurisdiction, Participant acknowledges that the Company and/or the Service Recipient (or former Service Recipient, as applicable) may be required to withhold or account for Tax-Related Items in more than one jurisdiction. PARTICIPANT SHOULD CONSULT A TAX ADVISER APPROPRIATELY QUALIFIED IN EACH OF THE JURISDICTIONS, INCLUDING THE COUNTRY OR COUNTRIES IN WHICH PARTICIPANT RESIDES OR IS SUBJECT TO TAXATION BEFORE EXERCISING THE OPTION OR DISPOSING OF THE SHARES.

(b) Withholding. Prior to any relevant taxable or tax withholding event, as applicable, to the extent permitted by applicable law Participant agrees to make arrangements satisfactory to the Company and/or the Service Recipient to fulfill all Tax-Related Items. In this regard, Participant authorizes the Company and/or the Service Recipient, or their respective agents, at their discretion, to satisfy any withholding obligations for Tax-Related Items by one or a combination of the following, all under such rules as may be established by the Committee and in compliance with the Company’s Insider Trading Policy and 10b5-1 Trading Plan Policy, if applicable:

 

  (i)

withholding from Participant’s wages or other cash compensation paid to Participant by the Company and/or the Service Recipient; or

 

  (ii)

withholding from proceeds of the sale of Shares acquired at exercise of this Option either through a voluntary sale or through a mandatory sale arranged by the Company (on Participant’s behalf pursuant to this authorization and without further consent); or

 

  (iii)

withholding Shares to be issued upon exercise of the Option, provided the Company only withholds the number of Shares necessary to satisfy no more than the maximum statutory withholding amounts; or

 

  (iv)

Participant’s payment of a cash amount (including by check representing readily available funds or a wire transfer); or

 

  (v)

any other arrangement approved by the Committee and permitted under applicable law;

provided, however, that if Participant is a Section 16 officer of the Company under the Exchange Act, then the Committee (as constituted in accordance with Rule 16b-3 under the Exchange Act) will establish the method of withholding from alternatives (i)-(v) above, and the Committee will establish the method prior to the Tax-Related Items withholding event.

 

4


Depending on the withholding method, the Company may withhold or account for Tax-Related Items by considering applicable statutory withholding rates or other applicable withholding rates, including up to the maximum permissible statutory rate for Participant’s tax jurisdiction(s) in which case Participant will have no entitlement to the equivalent amount in Shares and may receive a refund of any over-withheld amount in cash in accordance with applicable law. If the obligation for Tax-Related Items is satisfied by withholding in Shares, then for tax purposes, Participant is deemed to have been issued the full number of Exercised Shares; notwithstanding that a number of the Shares are held back solely for the purpose of satisfying the withholding obligation for Tax-Related Items.

Finally, Participant agrees to pay to the Company or the Service Recipient any amount of Tax-Related Items that the Company or the Service Recipient may be required to withhold or account for as a result of Participant’s participation in the Plan that cannot be satisfied by the means previously described. The Company may refuse to issue or deliver the Shares or the proceeds of the sale of Shares, if Participant fails to comply with Participant’s obligations in connection with the Tax-Related Items.

(c) Notice of Disqualifying Disposition of ISO Shares. If Participant is subject to Tax-Related Items in the United States and sells or otherwise disposes of any of the Shares acquired pursuant to an ISO on or before the later of (i) two years after the grant date, or (ii) one year after the exercise date, Participant will immediately notify the Company in writing of such disposition. Participant agrees that he or she may be subject to income tax withholding by the Company on the compensation income recognized from such early disposition of ISO Shares by payment in cash or out any wages or other cash compensation paid to Participant by the Company and/or the Service Recipient.

9.Nature of Grant. By accepting the Option, Participant acknowledges, understands and agrees that:

(a) the Plan is established voluntarily by the Company, it is discretionary in nature and it may be modified, amended, suspended or terminated by the Company at any time, to the extent permitted by the Plan;

(b) the grant of the Option is exceptional, voluntary and occasional and does not create any contractual or other right to receive future grants of options or other equity awards, or benefits in lieu thereof, even if options or other equity awards have been granted in the past;

(c) all decisions with respect to future options or other grants, if any, will be at the sole discretion of the Company;

(d) Participant is voluntarily participating in the Plan;

(e) the Option and Participant’s participation in the Plan will not create a right to employment or be interpreted as forming or amending an employment or service contract with the Company, the Service Recipient or any Parent, Subsidiary or Affiliate, and will not interfere with the ability of the Company, the Service Recipient or any Parent, Subsidiary or Affiliate, as applicable, to terminate Participant’s employment or service relationship (if any);

(f) the Option and the Shares subject to the Option, and the income from and value of same, are not intended to replace any pension rights or compensation;

(g) the Option and the Shares subject to the Option, and the income from and value of same, are not part of normal or expected compensation for any purpose, including, but not limited to, calculating any severance, resignation, termination, redundancy, dismissal, end-of-service payments, bonuses, long-service awards, pension or retirement or welfare benefits or similar payments;

 

5


(h) unless otherwise agreed with the Company, the Option and the Shares subject to the Option, and the income from and value of same, are not granted as consideration for, or in connection with, the service Participant may provide as a director of a Parent, Subsidiary or Affiliate;

(i) the future value of the Shares underlying the Option is unknown, indeterminable and cannot be predicted with certainty; if the underlying Shares do not increase in value, the Option will have no value; if Participant exercises the Option and acquires Shares, the value of such Shares may increase or decrease, even below the Exercise Price;

(j) no claim or entitlement to compensation or damages will arise from forfeiture of the Option resulting from Participant’s termination of Service (regardless of the reason for such termination and whether or not later found to be invalid or in breach of employment laws in the jurisdiction where Participant is employed or the terms of Participant’s employment agreement, if any); and

(k) neither the Company, the Service Recipient nor any Parent, Subsidiary or Affiliate will be liable for any foreign exchange rate fluctuation between Participant’s local currency and the United States Dollar that may affect the value of the Option or of any amounts due to Participant pursuant to the exercise of the Option or the subsequent sale of any Shares acquired upon exercise.

10.No Advice Regarding Grant. The Company is not providing any tax, legal or financial advice, nor is the Company making any recommendations regarding Participant’s participation in the Plan, or Participant’s acquisition or sale of the underlying Shares. Participant acknowledges, understands and agrees that he or she should consult with his or her own personal tax, legal and financial advisors regarding his or her participation in the Plan before taking any action related to the Plan.

11. Data Privacy. Participant hereby explicitly and unambiguously consents to the collection, use and transfer, in electronic or other form, of Participant’s personal data as described in this Option Agreement and any other Option grant materials by and among, as applicable, the Service Recipient, the Company and any Parent, Subsidiary or Affiliate for the exclusive purpose of implementing, administering and managing Participant’s participation in the Plan.

Participant understands that the Company and the Service Recipient may hold certain personal information about Participant, including, but not limited to, Participant’s name, home address, email address and telephone number, date of birth, social insurance number, passport number or other identification number (e.g., resident registration number), salary, nationality, job title, any shares of stock or directorships held in the Company, details of all Options or any other entitlement to shares of stock awarded, canceled, exercised, vested, unvested or outstanding in Participant’s favor (“Data”), for the exclusive purpose of implementing, administering and managing the Plan.

Participant understands that Data will be transferred to E*Trade, or other third party (“Online Administrator”) and its affiliated companies or such other stock plan service provider as may be designated by the Company from time to time that is assisting the Company with the implementation, administration and management of the Plan. Participant understands that the recipients of Data may be located in the United States or elsewhere, and that the recipients’ country may have different data privacy laws and protections than Participant’s country. Participant understands that if he or she resides outside the United States, he or she may request a list with the names and addresses of any potential recipients of Data by contacting his or her local human resources representative. Participant authorizes the Company, E*Trade, or such other stock plan service provider as may be designated by the Company from time to time, and any other possible recipients that

 

6


may assist the Company (presently or in the future) with implementing, administering and managing the Plan to receive, possess, use, retain and transfer Data, in electronic or other form, for the sole purpose of implementing, administering and managing his or her participation in the Plan. Participant understands that Data will be held only as long as is necessary to implement, administer and manage Participant’s participation in the Plan. Participant understands if he or she resides outside the United States, he or she may, at any time, view Data, request information about the storage and processing of Data, require any necessary amendments to Data or refuse or withdraw the consents herein, in any case without cost, by contacting his or her local human resources representative. Further, Participant understands that he or she is providing the consents herein on a purely voluntary basis. If Participant does not consent, or if Participant later seeks to revoke his or her consent, his or her employment status or service with the Service Recipient will not be affected; the only consequence of refusing or withdrawing Participant’s consent is that the Company would not be able to grant Options or other equity awards to Participant or administer or maintain such awards. Therefore, Participant understands that refusing or withdrawing his or her consent may affect Participant’s ability to participate in the Plan. For more information on the consequences of Participant’s refusal to consent or withdrawal of consent, Participant understands that he or she may contact his or her local human resources representative.

Finally, upon request of the Company or the Service Recipient, Participant agrees to provide an executed data privacy consent form (or any other agreements or consents) that the Company or the Service Recipient may deem necessary to obtain from Participant for the purpose of administering Participant’s participation in the Plan in compliance with the data privacy laws in Participant’s country, either now or in the future. Participant understands and agrees that Participant will not be able to participate in the Plan if Participant fails to provide any such consent or agreement requested by the Company and/or the Service Recipient.

12.Language. Participant acknowledges that he or she is sufficiently proficient in English to understand the terms and conditions of this Option Agreement. Furthermore, if Participant has received this Option Agreement, or any other document related to the Option and/or the Plan translated into a language other than English and if the meaning of the translated version is different than the English version, the English version will control.

13.Appendix. Notwithstanding any provisions in this Option Agreement, the Option will be subject to any special terms and conditions set forth in any appendix to this Option Agreement for Participant’s country. Moreover, if Participant relocates to one of the countries included in the Appendix, the special terms and conditions for such country will apply to Participant, to the extent the Company determines that the application of such terms and conditions is necessary or advisable for legal or administrative reasons. The Appendix constitutes part of this Option Agreement.

14.Imposition of Other Requirements. The Company reserves the right to impose other requirements on Participant’s participation in the Plan, on the Option and on any Shares purchased upon exercise of the Option, to the extent the Company determines it is necessary or advisable for legal or administrative reasons, and to require Participant to sign any additional agreements or undertakings that may be necessary to accomplish the foregoing.

15.Acknowledgement. The Company and Participant agree that the Option is granted under and governed by the Notice, this Option Agreement and the provisions of the Plan (incorporated herein by reference). Participant: (a) acknowledges receipt of a copy of the Plan and the Plan prospectus, (b) represents that Participant has carefully read and is familiar with their provisions, and (c) hereby accepts the Option subject to all of the terms and conditions set forth herein and those set forth in the Plan and the Notice.

 

7


16.Entire Agreement; Enforcement of Rights. This Option Agreement, the Plan and the Notice constitute the entire agreement and understanding of the parties relating to the subject matter herein and supersede all prior discussions between them. Any prior agreements, commitments or negotiations concerning the purchase of the Shares hereunder are superseded. No adverse modification of, or adverse amendment to, this Option Agreement, nor any waiver of any rights under this Option Agreement, will be effective unless in writing and signed by the parties to this Option Agreement (which writing and signing may be electronic). The failure by either party to enforce any rights under this Option Agreement will not be construed as a waiver of any rights of such party.

17.Compliance with Laws and Regulations. The issuance of Shares will be subject to and conditioned upon compliance by the Company and Participant with all applicable state, federal and foreign laws and regulations and with all applicable requirements of any stock exchange or automated quotation system on which the Company’s Shares may be listed or quoted at the time of such issuance or transfer. Participant understands that the Company is under no obligation to register or qualify the Shares with any state, federal or foreign securities commission or to seek approval or clearance from any governmental authority for the issuance or sale of the Shares. Further, Participant agrees that the Company will have unilateral authority to amend the Plan and this Option Agreement without Participant’s consent to the extent necessary to comply with securities or other laws applicable to issuance of Shares. Finally, the Shares issued pursuant to this Option Agreement will be endorsed with appropriate legends, if any, determined by the Company.

18.Severability. If one or more provisions of this Option Agreement are held to be unenforceable under applicable law, then such provision will be enforced to the maximum extent possible given the intent of the parties hereto. If such clause or provision cannot be so enforced, then (a) such provision will be excluded from this Option Agreement, (b) the balance of this Option Agreement will be interpreted as if such provision were so excluded and (c) the balance of this Option Agreement will be enforceable in accordance with its terms.

19.Governing Law and Venue. This Option Agreement and all acts and transactions pursuant hereto and the rights and obligations of the parties hereto will be governed, construed and interpreted in accordance with the laws of the State of Delaware, without giving effect to such state’s conflict of laws rules.

Any and all disputes relating to, concerning or arising from this Option Agreement, or relating to, concerning or arising from the relationship between the parties evidenced by the Plan or this Option Agreement, will be brought and heard exclusively in courts of San Mateo County, California, or the federal courts for the United States for the Northern District of California or the Superior Court of California, County of San Mateo. Each of the parties hereby represents and agrees that such party is subject to the personal jurisdiction of said courts; hereby irrevocably consents to the jurisdiction of such courts in any legal or equitable proceedings related to, concerning or arising from such dispute, and waives, to the fullest extent permitted by law, any objection which such party may now or hereafter have that the laying of the venue of any legal or equitable proceedings related to, concerning or arising from such dispute which is brought in such courts is improper or that such proceedings have been brought in an inconvenient forum.

20.No Rights as Employee, Director or Consultant. Nothing in this Option Agreement will affect in any manner whatsoever any right or power of the Company, or a Parent, Subsidiary or Affiliate, to terminate Participant’s Service, for any reason, with or without Cause.

21.Consent to Electronic Delivery of All Plan Documents and Disclosures. By Participant’s acceptance of the Notice (whether in writing or electronically), Participant and the Company agree that this Option is granted under and governed by the terms and conditions of the Plan, the Notice and this Option Agreement. Participant has reviewed the Plan, the Notice and this Option Agreement in their entirety, has had an opportunity to obtain the advice of counsel prior to executing the Notice and Agreement, and fully understands all provisions of the Plan, the Notice and this Option Agreement. Participant hereby agrees to accept as binding, conclusive and final all decisions or interpretations of the Committee upon any questions relating to the Plan, the Notice and this Option Agreement. Participant further agrees to notify the Company upon any change in the

 

8


residence address. By acceptance of this Option, Participant agrees to participate in the Plan through an on-line or electronic system established and maintained by the Company or a third party designated by the Company and consents to the electronic delivery of the Notice, this Option Agreement, the Plan, account statements, Plan prospectuses required by the SEC, U.S. financial reports of the Company, and all other documents that the Company is required to deliver to its security holders (including, without limitation, annual reports and proxy statements) or other communications or information related to the Option and current or future participation in the Plan. Electronic delivery may include the delivery of a link to the Company intranet or the internet site of a third party involved in administering the Plan, the delivery of the document via e-mail or such other delivery determined at the Company’s discretion. Participant acknowledges that Participant may receive from the Company a paper copy of any documents delivered electronically at no cost if Participant contacts the Company by telephone, through a postal service or electronic mail to Stock Administration. Participant further acknowledges that Participant will be provided with a paper copy of any documents delivered electronically if electronic delivery fails; similarly, Participant understands that Participant must provide on request to the Company or any designated third party a paper copy of any documents delivered electronically if electronic delivery fails. Also, Participant understands that Participant’s consent may be revoked or changed, including any change in the electronic mail address to which documents are delivered (if Participant has provided an electronic mail address), at any time by notifying the Company of such revised or revoked consent by telephone, postal service or electronic mail to Stock Administration.

22.Insider Trading Restrictions/Market Abuse Laws. Participant acknowledges that, depending on Participant’s country of residence, the broker’s country, or the country in which the Shares are listed, Participant may be subject to insider trading restrictions and/or market abuse laws in applicable jurisdictions that may affect Participant’s ability to directly or indirectly, accept, acquire, sell or attempt to sell or otherwise dispose of Shares, or rights to Shares (e.g., Options), or rights linked to the value of Shares, during such times as Participant is considered to have “inside information” regarding the Company (as defined by the laws or regulations in the applicable jurisdiction). Local insider trading laws and regulations may prohibit the cancellation or amendment of orders Participant placed before possessing the inside information. Furthermore, Participant may be prohibited from (i) disclosing the inside information to any third party, including fellow employees (other than on a “need to know” basis) and (ii) “tipping” third parties or causing them to otherwise buy or sell securities. Any restrictions under these laws or regulations are separate from and in addition to any restrictions that may be imposed under any applicable Company insider trading policy. Participant acknowledges that it is Participant’s responsibility to comply with any applicable restrictions and understands that Participant should consult his or her personal legal advisor on such matters. In addition, Participant acknowledges that he or she read the Company’s Insider Trading Policy and 10b5-1 Trading Plan Policy , and agrees to comply with such policies, as they may be amended from time to time, whenever Participant acquires or disposes of the Company’s securities.

23.Foreign Asset/Account, Exchange Control and Tax Reporting. Participant may be subject to foreign asset/account, exchange control and/or tax reporting requirements as a result of the acquisition, holding and/or transfer of Shares or cash resulting from his or her participation in the Plan. Participant may be required to report such accounts, assets, the balances therein, the value thereof and/or the transactions related thereto to the applicable authorities in Participant’s country and/or repatriate funds received in connection with the Plan within certain time limits or according to specified procedures. Participant acknowledges that he or she is responsible for ensuring compliance with any applicable foreign asset/account, exchange control and tax reporting requirements and should consult his or her personal legal and tax advisors on such matters.

24.Award Subject to Company Clawback or Recoupment. The Option will be subject to clawback or recoupment pursuant to any compensation clawback or recoupment policy adopted by the Board or required by law during the term of Participant’s employment or other Service that is applicable to Participant. In addition to any other remedies available under such policy, applicable law may require the cancellation of Participant’s Option (whether vested or unvested) and the recoupment of any gains realized with respect to Participant’s Option.

BY ACCEPTING THIS OPTION, PARTICIPANT AGREES TO ALL OF THE TERMS AND CONDITIONS DESCRIBED ABOVE AND IN THE PLAN.

 

9


APPENDIX

MAZE THERAPEUTICS, INC.

2025 EQUITY INCENTIVE PLAN

GLOBAL STOCK OPTION AWARD AGREEMENT

COUNTRY SPECIFIC PROVISIONS FOR EMPLOYEES OUTSIDE THE U.S.

Terms and Conditions

At such time as the Committee or Board issue an Option under the Plan to a Participant who resides and/or works outside of the United States, the Committee may adopt and include in this Appendix additional terms and conditions that govern such Option. This Appendix forms part of the Option Agreement. Any capitalized term used in this Appendix without definition will have the meaning ascribed to it in the Notice, the Option Agreement or the Plan, as applicable.

If Participant is a citizen or resident of a country, or is considered resident of a country, other than the one in which Participant is currently working, or Participant transfers employment and/or residency between countries after the Date of Grant, the Company will, in its sole discretion, determine to what extent the additional terms and conditions included herein will apply to Participant under these circumstances.

Notifications

This Appendix also includes information relating to exchange control, securities laws, foreign asset/account reporting and other issues of which Participant should be aware with respect to Participant’s participation in the Plan. The information is based on the securities, exchange control, foreign asset/account reporting and other laws in effect in the respective countries as of [●]. Such laws are complex and change frequently. As a result, Participant should not rely on the information herein as the only source of information relating to the consequences of Participant’s participation in the Plan because the information may be out of date at the time that Participant exercises the Option, sells Shares acquired under the Plan or takes any other action in connection with the Plan.

In addition, the information is general in nature and may not apply to Participant’s particular situation, and the Company is not in a position to assure Participant of any particular result. Accordingly, Participant should seek appropriate professional advice as to how the relevant laws in Participant’s country may apply to Participant’s situation.

Finally, if Participant is a citizen or resident of a country, or is considered resident of a country, other than the one in which Participant is currently working and/or residing, or Participant transfers employment and/or residency after the Date of Grant, the information contained herein may not apply to Participant in the same manner.

Country-Specific Terms

Not applicable.

 

10


MAZE THERAPEUTICS, INC.

2025 EQUITY INCENTIVE PLAN

GLOBAL NOTICE OF RESTRICTED STOCK UNIT AWARD

Unless otherwise defined herein, the terms defined in the Maze Therapeutics, Inc. (the “Company”) 2025 Equity Incentive Plan (the “Plan”) will have the same meanings in this Global Notice of Restricted Stock Unit Award and the electronic representation of this Global Notice of Restricted Stock Unit Award established and maintained by the Company or a third party designated by the Company (this “Notice”).

Name:

Address:

You (“Participant”) have been granted an award of Restricted Stock Units (“RSUs”) under the Plan subject to the terms and conditions of the Plan, this Notice and the attached Global Restricted Stock Unit Award Agreement (the “Agreement”), including any applicable country-specific provisions in the appendix attached hereto (the “Appendix”), which constitutes part of the Agreement.

 

Grant Number:   
Number of RSUs:   
Date of Grant:   
Vesting Commencement Date:   
Expiration Date:    The earlier to occur of: (a) the date on which settlement of all RSUs granted hereunder occurs and (b) the tenth anniversary of the Date of Grant. This RSU expires earlier if Participant’s Service terminates earlier, as described in the Agreement.
Vesting Schedule:    Subject to the limitations set forth in this Notice, the Plan and the Agreement, the RSUs will vest in accordance with the following schedule: [insert applicable vesting schedule, which may be time-based, performance-based or a combination of both].

By accepting (whether in writing, electronically or otherwise) the RSUs, Participant acknowledges and agrees to the following:

 

  1)

Participant understands that Participant’s Service is for an unspecified duration, can be terminated at any time (i.e., is “at-will”), except where otherwise prohibited by applicable law, and that nothing in this Notice, the Agreement or the Plan changes the nature of that relationship. Participant acknowledges that the vesting of the RSUs pursuant to this Notice is subject to Participant’s continuing Service as an Employee, Director or Consultant. To the extent permitted by applicable law, Participant agrees and acknowledges that the Vesting Schedule may change prospectively in the event that Participant’s Service status changes between full- and part-time and/or in the event Participant is on a leave of absence, in accordance with Company policies relating to work schedules and vesting of Awards or as determined by the Committee.

 

  2)

This grant is made under and governed by the Plan, the Agreement and this Notice, and this Notice is subject to the terms and conditions of the Agreement and the Plan, both of which are incorporated herein by reference. Participant has read the Notice, the Agreement and the Plan.


  3)

Participant has read the Company’s policy covering transactions in the Company’s securities by Employees and/or Directors of the Company (the “Insider Trading Policy” and “10b5-1 Trading Plan Policy”), and agrees to comply with any such policy, as it may be amended from time to time, whenever Participant acquires or disposes of the Company’s securities.

 

  4)

By accepting the RSUs, Participant consents to electronic delivery and participation as set forth in the Agreement.

 

1


MAZE THERAPEUTICS, INC.

2025 EQUITY INCENTIVE PLAN

GLOBAL RESTRICTED STOCK UNIT AWARD AGREEMENT

Unless otherwise defined in this Global Restricted Stock Unit Award Agreement (this “Agreement”), any capitalized terms used herein will have the same meaning ascribed to them in the Maze Therapeutics, Inc. 2025 Equity Incentive Plan (the “Plan”).

Participant has been granted Restricted Stock Units (“RSUs”) subject to the terms, restrictions and conditions of the Plan, the Global Notice of Restricted Stock Unit Award (the “Notice”) and this Agreement, including any applicable country-specific provisions in the appendix attached hereto (the “Appendix”), which constitutes part of this Agreement. In the event of a conflict between the terms and conditions of the Plan and the terms and conditions of the Notice or this Agreement, the terms and conditions of the Plan will prevail.

1.Settlement. The RSUs will be settled on or as soon as administratively practicable following each vest date under the vesting schedule set forth in the Notice (and in no event later than 2 1/2 months following the end of the year in which such vest date occurs). Settlement of RSUs will be in Shares. No fractional RSUs or rights for fractional Shares will be created pursuant to this Agreement.

2.No Stockholder Rights. Unless and until such time as Shares are issued in settlement of vested RSUs, Participant will have no ownership of the Shares allocated to the RSUs and will have no rights to dividends or to vote such Shares.

3.Dividend Equivalents. Dividends Equivalents, if any (whether in cash or Shares), will not be credited to Participant, except as permitted by the Committee.

4.Non-Transferability of RSUs. The RSUs and any interest therein will not be sold, assigned, transferred, pledged, hypothecated, or otherwise disposed of in any manner other than by will or by the laws of descent or distribution or court order or unless otherwise permitted by the Committee on a case-by-case basis.

5.Termination. If Participant’s Service terminates for any reason, all unvested RSUs will be forfeited to the Company immediately, and all rights of Participant to such RSUs will automatically terminate without payment of any consideration to Participant. Participant’s Service will be considered terminated (regardless of the reason for such termination and whether or not later found to be invalid or in breach of employment laws in the jurisdiction where Participant is employed or the terms of Participant’s employment agreement, if any) as of the date Participant is no longer providing services and Participant’s Service will not be extended by any notice period (e.g., Participant’s Service would not include a period of “garden leave” or similar period mandated under employment laws in the jurisdiction where Participant is employed or the terms of Participant’s employment agreement, if any). Participant acknowledges and agrees that the Vesting Schedule may change prospectively in the event Participant’s service status changes between full- and part-time and/or in the event Participant is on a leave of absence, in accordance with Company policies relating to work schedules and vesting of awards or as determined by the Committee. In case of any dispute as to whether and when a termination of Service has occurred, the Committee will have sole discretion to determine whether such termination of Service has occurred and the effective date of such termination (including whether Participant may still be considered to be providing Services while on a leave of absence).


6. Taxes.

(a) Responsibility for Taxes. Participant acknowledges that, to the extent permitted by applicable law, regardless of any action taken by the Company or a Parent, Subsidiary or Affiliate employing or retaining Participant (the “Service Recipient”), the ultimate liability for all U.S., federal, state, local and international income tax, social insurance, payroll tax, fringe benefits tax, payment on account or other tax-related items (“Tax-Related Items”) related to Participant’s participation in the Plan and legally applicable to Participant is and remains Participant’s responsibility and may exceed the amount actually withheld by the Company or the Service Recipient, if any. Participant further acknowledges that the Company and/or the Service Recipient (i) make no representations or undertakings regarding the treatment of any Tax-Related Items in connection with any aspect of the RSUs, including, but not limited to, the grant, vesting or settlement of the RSUs and the subsequent sale of Shares acquired pursuant to such settlement and the receipt of any dividends, and (ii) do not commit to and are under no obligation to structure the terms of the grant or any aspect of the RSUs to reduce or eliminate Participant’s liability for Tax-Related Items or achieve any particular tax result. Further, if Participant is subject to Tax-Related Items in more than one jurisdiction, Participant acknowledges that the Company and/or the Service Recipient (or former Service Recipient, as applicable) may be required to withhold or account for Tax-Related Items in more than one jurisdiction. PARTICIPANT SHOULD CONSULT A TAX ADVISER APPROPRIATELY QUALIFIED IN EACH OF THE JURISDICTIONS, INCLUDING THE COUNTRY OR COUNTRIES IN WHICH PARTICIPANT RESIDES OR IS SUBJECT TO TAXATION.

(b) Withholding. Prior to any relevant taxable or tax withholding event, as applicable, to the extent permitted by applicable law, Participant agrees to make arrangements satisfactory to the Company and/or the Service Recipient to fulfill all Tax-Related Items. In this regard, Participant authorizes the Company and/or the Service Recipient, or their respective agents, at their discretion, to satisfy any withholding obligations for Tax-Related Items by one or a combination of the following, all under such rules as may be established by the Committee and in compliance with the Company’s Insider Trading Policy and 10b5-1 Trading Plan Policy, if applicable:

 

  (i)

withholding from Participant’s wages or other cash compensation paid to Participant by the Company and/or the Service Recipient or any Parent, Subsidiary or Affiliate; or

 

  (ii)

withholding from proceeds of the sale of Shares acquired upon settlement of the RSUs either through a voluntary sale or through a mandatory sale arranged by the Company (on Participant’s behalf pursuant to this authorization and without further consent); or

 

  (iii)

withholding Shares to be issued upon settlement of the RSUs, provided the Company only withholds the number of Shares necessary to satisfy no more than the maximum statutory withholding amounts; or

 

  (iv)

Participant’s payment of a cash amount (including by check representing readily available funds or a wire transfer); or

 

  (v)

any other arrangement approved by the Committee and permitted under applicable law;

provided, however, that if Participant is a Section 16 officer of the Company under the Exchange Act, then the Committee (as constituted in accordance with Rule 16b-3 under the Exchange Act) will establish the method of withholding from alternatives (i) – (v) above, and the Committee will establish such method prior to the Tax-Related Items withholding event.

 

1


Depending on the withholding method, the Company may withhold or account for Tax-Related Items by considering applicable statutory withholding rates or other applicable withholding rates, including up to the maximum permissible statutory rate for Participant’s tax jurisdiction(s) in which case Participant will have no entitlement to the equivalent amount in Shares and may receive a refund of any over-withheld amount in cash in accordance with applicable law. If the obligation for Tax-Related Items is satisfied by withholding in Shares, then for tax purposes, Participant is deemed to have been issued the full number of Shares subject to the vested RSUs, notwithstanding that a number of the Shares are held back solely for the purpose of satisfying the withholding obligation for Tax-Related Items.

Finally, Participant agrees to pay to the Company or the Service Recipient any amount of Tax-Related Items that the Company or the Service Recipient may be required to withhold or account for as a result of Participant’s participation in the Plan that cannot be satisfied by the means previously described. The Company may refuse to issue or deliver the Shares or the proceeds of the sale of Shares, if Participant fails to comply with Participant’s obligations in connection with the Tax-Related Items.

7.Nature of Grant. By accepting the RSUs, Participant acknowledges, understands, and agrees that:

(a) the Plan is established voluntarily by the Company, it is discretionary in nature and it may be modified, amended, suspended or terminated by the Company at any time, to the extent permitted by the Plan;

(b) the grant of the RSUs is exceptional, voluntary and occasional and does not create any contractual or other right to receive future grants of RSUs or other equity awards, or benefits in lieu thereof, even if RSUs or other equity awards have been granted in the past;

(c) all decisions with respect to future RSUs or other grants, if any, will be at the sole discretion of the Company;

(d) Participant is voluntarily participating in the Plan;

(e) the RSUs and Participant’s participation in the Plan will not create a right to employment or be interpreted as forming or amending an employment or service contract with the Company, the Service Recipient or any Parent, Subsidiary or Affiliate and will not interfere with the ability of the Company, the Service Recipient or any Parent, Subsidiary or Affiliate, as applicable, to terminate Participant’s employment or service relationship (if any);

(f) the RSUs and the Shares subject to the RSUs, and the income from and value of same, are not intended to replace any pension rights or compensation;

(g) the RSUs and the Shares subject to the RSUs, and the income from and value of same, are not part of normal or expected compensation for any purpose, including, but not limited to, calculating any severance, resignation, termination, redundancy, dismissal, end-of-service payments, bonuses, long-service awards, pension or retirement or welfare benefits or similar payments;

(h) unless otherwise agreed with the Company, the RSUs and the Shares subject to the RSUs, and the income from and value of same, are not granted as consideration for, or in connection with, the service Participant may provide as a director of a Parent, Subsidiary or Affiliate;

(i) the future value of the underlying Shares is unknown, indeterminable and cannot be predicted with certainty;

 

2


(j) no claim or entitlement to compensation or damages will arise from forfeiture of the RSUs resulting from Participant’s termination of Service (regardless of the reason for such termination and whether or not later found to be invalid or in breach of employment laws in the jurisdiction where Participant is employed or the terms of Participant’s employment agreement, if any); and

(k) neither the Company, the Service Recipient nor any Parent, Subsidiary or Affiliate will be liable for any foreign exchange rate fluctuation between Participant’s local currency and the United States Dollar that may affect the value of the RSUs or of any amounts due to Participant pursuant to the settlement of the RSUs or the subsequent sale of any Shares acquired upon settlement.

8.No Advice Regarding Grant. The Company is not providing any tax, legal or financial advice, nor is the Company making any recommendations regarding Participant’s participation in the Plan, or Participant’s acquisition or sale of the underlying Shares. Participant acknowledges, understands and agrees that he or she should consult with his or her own personal tax, legal and financial advisors regarding his or her participation in the Plan before taking any action related to the Plan.

9. Data Privacy. Participant hereby explicitly and unambiguously consents to the collection, use and transfer, in electronic or other form, of Participant’s personal data as described in this Agreement and any other RSU grant materials by and among, as applicable, the Service Recipient, the Company and any Parent, Subsidiary or Affiliate for the exclusive purpose of implementing, administering and managing Participant’s participation in the Plan.

Participant understands that the Company and the Service Recipient may hold certain personal information about Participant, including, but not limited to, Participant’s name, home address, email address and telephone number, date of birth, social insurance number, passport number or other identification number (e.g., resident registration number), salary, nationality, job title, any shares of stock or directorships held in the Company, details of all RSUs or any other entitlement to shares of stock awarded, canceled, exercised, vested, unvested or outstanding in Participant’s favor (“Data”), for the exclusive purpose of implementing, administering and managing the Plan.

Participant understands that Data will be transferred to E*Trade, or other third party (“Online Administrator”) and its affiliated companies or such other stock plan service provider as may be designated by the Company from time to time that is assisting the Company with the implementation, administration and management of the Plan. Participant understands that the recipients of Data may be located in the United States or elsewhere, and that the recipients’ country may have different data privacy laws and protections than Participant’s country. Participant understands that if he or she resides outside the United States, he or she may request a list with the names and addresses of any potential recipients of Data by contacting his or her local human resources representative. Participant authorizes the Company, E*Trade, or such other stock plan service provider as may be designated by the Company from time to time, and any other possible recipients that may assist the Company (presently or in the future) with implementing, administering and managing the Plan to receive, possess, use, retain and transfer Data, in electronic or other form, for the sole purpose of implementing, administering and managing his or her participation in the Plan. Participant understands that Data will be held only as long as is necessary to implement, administer and manage Participant’s participation in the Plan. Participant understands if he or she resides outside the United States, he or she may, at any time, view Data, request information about the storage and processing of Data, require any necessary amendments to Data or refuse or withdraw the consents herein, in any case without cost, by contacting his or her local human resources representative. Further, Participant understands that he or she is providing the consents herein on a purely voluntary basis. If Participant does not consent, or if Participant later seeks to revoke his or her consent, his or her employment status or service with the Service Recipient will not be affected; the only consequence of refusing or

 

3


withdrawing Participant’s consent is that the Company would not be able to grant RSUs or other equity awards to Participant or administer or maintain such awards. Therefore, Participant understands that refusing or withdrawing his or her consent may affect Participant’s ability to participate in the Plan. For more information on the consequences of Participant’s refusal to consent or withdrawal of consent, Participant understands that he or she may contact his or her local human resources representative.

Finally, upon request of the Company or the Service Recipient, Participant agrees to provide an executed data privacy consent form (or any other agreements or consents) that the Company or the Service Recipient may deem necessary to obtain from Participant for the purpose of administering Participant’s participation in the Plan in compliance with the data privacy laws in Participant’s country, either now or in the future. Participant understands and agrees that Participant will not be able to participate in the Plan if Participant fails to provide any such consent or agreement requested by the Company and/or the Service Recipient.

10.Language. Participant acknowledges that he or she is sufficiently proficient in English to understand the terms and conditions of this Agreement. Furthermore, if Participant has received this Agreement or any other document related to the RSU and/or the Plan translated into a language other than English and if the meaning of the translated version is different than the English version, the English version will control.

11.Appendix. Notwithstanding any provisions in this Agreement, the RSUs will be subject to any special terms and conditions set forth in any appendix to this Agreement for Participant’s country. Moreover, if Participant relocates to one of the countries included in the Appendix, the special terms and conditions for such country will apply to Participant, to the extent the Company determines that the application of such terms and conditions is necessary or advisable for legal or administrative reasons. The Appendix constitutes part of this Agreement.

12.Imposition of Other Requirements. The Company reserves the right to impose other requirements on Participant’s participation in the Plan, on the RSUs and on any Shares acquired under the Plan, to the extent the Company determines it is necessary or advisable for legal or administrative reasons, and to require Participant to sign any additional agreements or undertakings that may be necessary to accomplish the foregoing.

13.Acknowledgement. The Company and Participant agree that the RSUs are granted under and governed by the Notice, this Agreement and the provisions of the Plan (incorporated herein by reference). Participant: (a) acknowledges receipt of a copy of the Plan and the Plan prospectus, (b) represents that Participant has carefully read and is familiar with their provisions, and (c) hereby accepts the RSUs subject to all of the terms and conditions set forth herein and those set forth in the Plan and the Notice.

14.Entire Agreement; Enforcement of Rights. This Agreement, the Plan and the Notice constitute the entire agreement and understanding of the parties relating to the subject matter herein and supersede all prior discussions between them. Any prior agreements, commitments or negotiations concerning the purchase of the Shares hereunder are superseded. No adverse modification of or adverse amendment to this Agreement, nor any waiver of any rights under this Agreement, will be effective unless in writing and signed by the parties to this Agreement (which writing and signing may be electronic). The failure by either party to enforce any rights under this Agreement will not be construed as a waiver of any rights of such party.

 

4


15.Compliance with Laws  and Regulations. The issuance of Shares will be subject to and conditioned upon compliance by the Company and Participant with all applicable state, federal and foreign laws and regulations and with all applicable requirements of any stock exchange or automated quotation system on which the Company’s Shares may be listed or quoted at the time of such issuance or transfer. Participant understands that the Company is under no obligation to register or qualify the Shares with any state, federal or foreign securities commission or to seek approval or clearance from any governmental authority for the issuance or sale of the Shares. Further, Participant agrees that the Company will have unilateral authority to amend the Plan and this RSU Agreement without Participant’s consent to the extent necessary to comply with securities or other laws applicable to issuance of Shares. Finally, the Shares issued pursuant to this RSU Agreement will be endorsed with appropriate legends, if any, determined by the Company.

16.Severability. If one or more provisions of this Agreement are held to be unenforceable under applicable law, then such provision will be enforced to the maximum extent possible given the intent of the parties hereto. If such clause or provision cannot be so enforced, then (a) such provision will be excluded from this Agreement, (b) the balance of this Agreement will be interpreted as if such provision were so excluded and (c) the balance of this Agreement will be enforceable in accordance with its terms.

17.Governing Law and Venue. This Agreement and all acts and transactions pursuant hereto and the rights and obligations of the parties hereto will be governed, construed and interpreted in accordance with the laws of the State of Delaware, without giving effect to such state’s conflict of laws rules.

Any and all disputes relating to, concerning or arising from this Agreement, or relating to, concerning or arising from the relationship between the parties evidenced by the Plan or this Agreement, will be brought and heard exclusively in the courts of San Mateo County, California, or the federal courts for the United States for the Northern District of California or the Superior Court of California, County of San Mateo. Each of the parties hereby represents and agrees that such party is subject to the personal jurisdiction of said courts; hereby irrevocably consents to the jurisdiction of such courts in any legal or equitable proceedings related to, concerning or arising from such dispute, and waives, to the fullest extent permitted by law, any objection which such party may now or hereafter have that the laying of the venue of any legal or equitable proceedings related to, concerning or arising from such dispute which is brought in such courts is improper or that such proceedings have been brought in an inconvenient forum.

18.No Rights as Employee, Director or Consultant. Nothing in this Agreement will affect in any manner whatsoever any right or power of the Company, or a Parent, Subsidiary or Affiliate, to terminate Participant’s Service, for any reason, with or without Cause.

19.Consent to Electronic Delivery of All Plan Documents and Disclosures. By Participant’s acceptance of the Notice (whether in writing or electronically), Participant and the Company agree that the RSUs are granted under and governed by the terms and conditions of the Plan, the Notice and this Agreement. Participant has reviewed the Plan, the Notice and this Agreement in their entirety, has had an opportunity to obtain the advice of counsel prior to executing this Notice and Agreement, and fully understands all provisions of the Plan, the Notice and this Agreement. Participant hereby agrees to accept as binding, conclusive and final all decisions or interpretations of the Committee upon any questions relating to the Plan, the Notice and this Agreement. Participant further agrees to notify the Company upon any change in Participant’s residence address. By acceptance of the RSUs, Participant agrees to participate in the Plan through an on-line or electronic system established and maintained by the Company or a third party designated by the Company and consents to the electronic delivery of the Notice, this Agreement, the Plan, account statements, Plan prospectuses required by the SEC, U.S. financial reports of the Company, and all other documents that the Company is required to deliver to its security holders (including, without limitation, annual reports and proxy statements) or other communications or information related to the RSUs and current or future participation in the Plan. Electronic delivery may include the delivery of a link to the Company intranet or the internet site of a

 

5


third party involved in administering the Plan, the delivery of the document via e-mail or such other delivery determined at the Company’s discretion. Participant acknowledges that Participant may receive from the Company a paper copy of any documents delivered electronically at no cost if Participant contacts the Company by telephone, through a postal service or electronic mail to Stock Administration. Participant further acknowledges that Participant will be provided with a paper copy of any documents delivered electronically if electronic delivery fails; similarly, Participant understands that Participant must provide on request to the Company or any designated third party a paper copy of any documents delivered electronically if electronic delivery fails. Also, Participant understands that Participant’s consent may be revoked or changed, including any change in the electronic mail address to which documents are delivered (if Participant has provided an electronic mail address), at any time by notifying the Company of such revised or revoked consent by telephone, postal service or electronic mail to Stock Administration.

20.Insider Trading Restrictions/Market Abuse Laws. Participant acknowledges that, depending on Participant’s country of residence, the broker’s country, or the country in which the Shares are listed, Participant may be subject to insider trading restrictions and/or market abuse laws in applicable jurisdictions that may affect Participant’s ability to directly or indirectly, accept, acquire, sell or attempt to sell or otherwise dispose of Shares, or rights to Shares (e.g., RSUs), or rights linked to the value of Shares, during such times as Participant is considered to have “inside information” regarding the Company (as defined by the laws or regulations in the applicable jurisdiction). Local insider trading laws and regulations may prohibit the cancellation or amendment of orders Participant placed before possessing the inside information. Furthermore, Participant may be prohibited from (i) disclosing the inside information to any third party, including fellow employees (other than on a “need to know” basis) and (ii) “tipping” third parties or causing them to otherwise buy or sell securities. Any restrictions under these laws or regulations are separate from and in addition to any restrictions that may be imposed under any applicable Company insider trading policy. Participant acknowledges that it is Participant’s responsibility to comply with any applicable restrictions and understands that Participant should consult his or her personal legal advisor on such matters. In addition, Participant acknowledges that he or she read the Company’s Insider Trading Policy and 10b5-1 Trading Plan Policy, and agrees to comply with such policies, as they may be amended from time to time, whenever Participant acquires or disposes of the Company’s securities.

21.Foreign Asset/Account, Exchange Control and Tax Reporting. Participant may be subject to foreign asset/account, exchange control and/or tax reporting requirements as a result of the acquisition, holding and/or transfer of Shares or cash resulting from his or her participation in the Plan. Participant may be required to report such accounts, assets, the balances therein, the value thereof and/or the transactions related thereto to the applicable authorities in Participant’s country and/or repatriate funds received in connection with the Plan within certain time limits or according to specified procedures. Participant acknowledges that he or she is responsible for ensuring compliance with any applicable foreign asset/account, exchange control and tax reporting requirements and should consult his or her personal legal and tax advisors on such matters.

22.Code Section 409A. For purposes of this Agreement, a termination of employment will be determined consistent with the rules relating to a “separation from service” as defined in Section 409A of the Internal Revenue Code and the regulations thereunder (“Section 409A”). Notwithstanding anything else provided herein, to the extent any payments provided under this RSU Agreement in connection with Participant’s termination of employment constitute deferred compensation subject to Section 409A, and Participant is deemed at the time of such termination of employment to be a “specified employee” under Section 409A, then such payment will not be made or commence until the earlier of (i) the expiration of the six-month period measured from Participant’s separation from service from the Company or (ii) the date of Participant’s death following such a separation from service; provided, however, that such deferral

 

6


will only be effected to the extent required to avoid adverse tax treatment to Participant including, without limitation, the additional tax for which Participant would otherwise be liable under Section 409A(a)(1)(B) in the absence of such a deferral. To the extent any payment under this RSU Agreement may be classified as a “short-term deferral” within the meaning of Section 409A, such payment will be deemed a short-term deferral, even if it may also qualify for an exemption from Section 409A under another provision of Section 409A. Payments pursuant to this section are intended to constitute separate payments for purposes of Section 1.409A-2(b)(2) of the Treasury Regulations.

23.Award Subject to Company Clawback or Recoupment. The RSUs will be subject to clawback or recoupment pursuant to any compensation clawback or recoupment policy adopted by the Board or required by law during the term of Participant’s employment or other Service that is applicable to Participant. In addition to any other remedies available under such policy, applicable law may require the cancellation of Participant’s RSUs (whether vested or unvested) and the recoupment of any gains realized with respect to Participant’s RSUs.

BY ACCEPTING THIS AWARD OF RSUS, PARTICIPANT AGREES TO ALL OF THE TERMS AND CONDITIONS DESCRIBED ABOVE AND IN THE PLAN.

 

7


APPENDIX

MAZE THERAPEUTICS, INC.

2025 EQUITY INCENTIVE PLAN

GLOBAL RESTRICTED STOCK UNIT AWARD AGREEMENT

COUNTRY SPECIFIC PROVISIONS FOR EMPLOYEES OUTSIDE THE U.S.

Terms and Conditions

At such time as the Committee or Board issue an RSU under the Plan to a Participant who resides and/or works outside of the United States, the Committee may adopt and include in this Appendix additional terms and conditions that govern such RSU. This Appendix forms part of the Agreement. Any capitalized term used in this Appendix without definition will have the meaning ascribed to it in the Notice, the Agreement or the Plan, as applicable.

If Participant is a citizen or resident of a country, or is considered resident of a country, other than the one in which Participant is currently working, or Participant transfers employment and/or residency between countries after the Date of Grant, the Company will, in its sole discretion, determine to what extent the additional terms and conditions included herein will apply to Participant under these circumstances.

Notifications

This Appendix also includes information relating to exchange control, securities laws, foreign asset/account reporting and other issues of which Participant should be aware with respect to Participant’s participation in the Plan. The information is based on the securities, exchange control, foreign asset/account reporting and other laws in effect in the respective countries as of [●]. Such laws are complex and change frequently. As a result, Participant should not rely on the information herein as the only source of information relating to the consequences of Participant’s participation in the Plan because the information may be out of date at the time that Participant vests in the RSUs, sells Shares acquired under the Plan or takes any other action in connection with the Plan.

In addition, the information is general in nature and may not apply to Participant’s particular situation, and the Company is not in a position to assure Participant of any particular result. Accordingly, Participant should seek appropriate professional advice as to how the relevant laws in Participant’s country may apply to Participant’s situation.

Finally, if Participant is a citizen or resident of a country, or is considered resident of a country, other than the one in which Participant is currently working and/or residing, or Participant transfers employment and/or residency after the Date of Grant, the information contained herein may not apply to Participant in the same manner.

Country-Specific Terms

Not applicable.


MAZE THERAPEUTICS, INC.

2025 EQUITY INCENTIVE PLAN

GLOBAL NOTICE OF PERFORMANCE STOCK UNIT AWARD

Unless otherwise defined herein, the terms defined in the Maze Therapeutics, Inc. (the “Company”) 2025 Equity Incentive Plan (the “Plan”) will have the same meanings in this Global Notice of Performance Stock Unit Award and the electronic representation of this Global Notice of Performance Stock Unit Award and the performance and vesting terms set forth in Appendix A attached hereto (the “Vesting Appendix”) established and maintained by the Company or a third party designated by the Company (the Global Notice Performance Stock Unit Award and the Vesting Appendix are collectively referred to as the “Notice”).

Name:

Address:

You (“Participant”) have been granted an award of Performance Stock Units (“PSUs”) under the Plan subject to the terms and conditions of the Plan, this Notice and the attached Global Performance Stock Unit Award Agreement, including any applicable country-specific provisions in the appendix attached hereto (the “Appendix”), which constitutes part of the Agreement (the Global Performance Stock Unit Award Agreement and the Appendix are collectively referred to as the “Agreement”).

 

Grant Number:   
Number of PSUs:   
Date of Grant:   
Vesting Commencement Date:   
Expiration Date:    The earlier to occur of: (a) the date on which settlement of all PSUs granted hereunder occurs and (b) the tenth anniversary of the Date of Grant. This PSU expires earlier if Participant’s Service terminates earlier, as described in the Agreement.
Vesting Schedule:    Subject to the limitations set forth in this Notice, the Plan and the Agreement, the PSUs will vest as set forth on the Vesting Appendix.

By accepting (whether in writing, electronically or otherwise) the PSUs, Participant acknowledges and agrees to the following:

 

  1)

Participant understands that Participant’s Service is for an unspecified duration, can be terminated at any time (i.e., is “at-will”), except where otherwise prohibited by applicable law, and that nothing in this Notice, the Agreement or the Plan changes the nature of that relationship. Participant acknowledges that the vesting of the PSUs pursuant to this Notice is earned only by both achievement of the performance metrics set forth in the Vesting Appendix and Participant’s continuing Service as an Employee, Director or Consultant. To the extent permitted by applicable law, Participant agrees and acknowledges that the Vesting Schedule may change prospectively in the event that Participant’s Service status changes between full- and part-time and/or in the event Participant is on a leave of absence, in accordance with Company policies relating to work schedules and vesting of Awards or as determined by the Committee.

 

  2)

This grant is made under and governed by the Plan, the Agreement and this Notice, and this Notice is subject to the terms and conditions of the Agreement and the Plan, both of which are incorporated herein by reference. Participant has read the Notice, the Agreement and the Plan.


  3)

Participant has read the Company’s policy covering transactions in the Company’s securities by Employees and/or Directors of the Company (the “Insider Trading Policy” and “10b5-1 Trading Plan Policy”), and agrees to comply with any such policy, as it may be amended from time to time, whenever Participant acquires or disposes of the Company’s securities.

 

  4)

By accepting the PSUs, Participant consents to electronic delivery and participation as set forth in the Agreement.

 

1


VESTING APPENDIX

[Company to insert applicable performance metrics and vesting schedule.]


MAZE THERAPEUTICS, INC.

2025 EQUITY INCENTIVE PLAN

GLOBAL PERFORMANCE STOCK UNIT AWARD AGREEMENT

Unless otherwise defined in this Global Performance Stock Unit Award Agreement (this “Agreement”), any capitalized terms used herein will have the same meaning ascribed to them in the Maze Therapeutics, Inc. 2025 Equity Incentive Plan (the “Plan”).

Participant has been granted Performance Stock Units (“PSUs”) subject to the terms, restrictions and conditions of the Plan, the Global Notice of Performance Stock Unit Award and this Agreement, including the Vesting Appendix attached thereto (the “Notice”) any applicable country-specific provisions in the appendix attached hereto (the “Appendix”), which constitutes part of this Agreement. In the event of a conflict between the terms and conditions of the Plan and the terms and conditions of the Notice or this Agreement, the terms and conditions of the Plan will prevail.

1.Settlement. The PSUs will be settled on or as soon as administratively practicable following each vest date under the vesting schedule set forth in the Notice (and in no event later than 2 1/2 months following the end of the year in which such vest date occurs). Settlement of PSUs will be in Shares. No fractional PSUs or rights for fractional Shares will be created pursuant to this Agreement.

2.No Stockholder Rights. Unless and until such time as Shares are issued in settlement of vested PSUs, Participant will have no ownership of the Shares allocated to the PSUs and will have no rights to dividends or to vote such Shares.

3.Dividend Equivalents. Dividends Equivalents, if any (whether in cash or Shares), will not be credited to Participant, except as permitted by the Committee.

4.Non-Transferability of PSUs. The PSUs and any interest therein will not be sold, assigned, transferred, pledged, hypothecated, or otherwise disposed of in any manner other than by will or by the laws of descent or distribution or court order or unless otherwise permitted by the Committee on a case-by-case basis.

5.Termination. If Participant’s Service terminates for any reason, all unvested PSUs will be forfeited to the Company immediately, and all rights of Participant to such PSUs will automatically terminate without payment of any consideration to Participant. Participant’s Service will be considered terminated (regardless of the reason for such termination and whether or not later found to be invalid or in breach of employment laws in the jurisdiction where Participant is employed or the terms of Participant’s employment agreement, if any) as of the date Participant is no longer providing services and Participant’s Service will not be extended by any notice period (e.g., Participant’s Service would not include a period of “garden leave” or similar period mandated under employment laws in the jurisdiction where Participant is employed or the terms of Participant’s employment agreement, if any). Participant acknowledges and agrees that the Vesting Schedule may change prospectively in the event Participant’s service status changes between full- and part-time and/or in the event Participant is on a leave of absence, in accordance with Company policies relating to work schedules and vesting of awards or as determined by the Committee. In case of any dispute as to whether and when a termination of Service has occurred, the Committee will have sole discretion to determine whether such termination of Service has occurred and the effective date of such termination (including whether Participant may still be considered to be providing Services while on a leave of absence).


6. Taxes.

(a) Responsibility for Taxes. Participant acknowledges that, to the extent permitted by applicable law, regardless of any action taken by the Company or a Parent, Subsidiary or Affiliate employing or retaining Participant (the “Service Recipient”), the ultimate liability for all U.S., federal, state, local and international income tax, social insurance, payroll tax, fringe benefits tax, payment on account or other tax-related items (“Tax-Related Items”) related to Participant’s participation in the Plan and legally applicable to Participant is and remains Participant’s responsibility and may exceed the amount actually withheld by the Company or the Service Recipient, if any. Participant further acknowledges that the Company and/or the Service Recipient (i) make no representations or undertakings regarding the treatment of any Tax-Related Items in connection with any aspect of the PSUs, including, but not limited to, the grant, vesting or settlement of the PSUs and the subsequent sale of Shares acquired pursuant to such settlement and the receipt of any dividends, and (ii) do not commit to and are under no obligation to structure the terms of the grant or any aspect of the PSUs to reduce or eliminate Participant’s liability for Tax-Related Items or achieve any particular tax result. Further, if Participant is subject to Tax-Related Items in more than one jurisdiction, Participant acknowledges that the Company and/or the Service Recipient (or former Service Recipient, as applicable) may be required to withhold or account for Tax-Related Items in more than one jurisdiction. PARTICIPANT SHOULD CONSULT A TAX ADVISER APPROPRIATELY QUALIFIED IN EACH OF THE JURISDICTIONS, INCLUDING THE COUNTRY OR COUNTRIES IN WHICH PARTICIPANT RESIDES OR IS SUBJECT TO TAXATION.

(b) Withholding. Prior to any relevant taxable or tax withholding event, as applicable, to the extent permitted by applicable law, Participant agrees to make arrangements satisfactory to the Company and/or the Service Recipient to fulfill all Tax-Related Items. In this regard, Participant authorizes the Company and/or the Service Recipient, or their respective agents, at their discretion, to satisfy any withholding obligations for Tax-Related Items by one or a combination of the following all under such rules as may be established by the Committee and in compliance with the Company’s Insider Trading Policy and 10b5-1 Trading Plan Policy, if applicable:

 

  (i)

withholding from Participant’s wages or other cash compensation paid to Participant by the Company and/or the Service Recipient or any Parent, Subsidiary or Affiliate; or

 

  (ii)

withholding from proceeds of the sale of Shares acquired upon settlement of the PSUs either through a voluntary sale or through a mandatory sale arranged by the Company (on Participant’s behalf pursuant to this authorization and without further consent); or

 

  (iii)

withholding Shares to be issued upon settlement of the PSUs, provided the Company only withholds the number of Shares necessary to satisfy no more than the maximum statutory withholding amounts; or

 

  (iv)

Participant’s payment of a cash amount (including by check representing readily available funds or a wire transfer); or

 

  (v)

any other arrangement approved by the Committee and permitted under applicable law;

provided, however, that if Participant is a Section 16 officer of the Company under the Exchange Act, then the Committee (as constituted in accordance with Rule 16b-3 under the Exchange Act) will establish the method of withholding from alternatives (i) – (v) above, and the Committee will establish such method prior to the Tax-Related Items withholding event.

 

1


Depending on the withholding method, the Company may withhold or account for Tax-Related Items by considering applicable statutory withholding rates or other applicable withholding rates, including up to the maximum permissible statutory rate for Participant’s tax jurisdiction(s) in which case Participant will have no entitlement to the equivalent amount in Shares and may receive a refund of any over-withheld amount in cash in accordance with applicable law. If the obligation for Tax-Related Items is satisfied by withholding in Shares, then for tax purposes, Participant is deemed to have been issued the full number of Shares subject to the vested PSUs, notwithstanding that a number of the Shares are held back solely for the purpose of satisfying the withholding obligation for Tax-Related Items.

Finally, Participant agrees to pay to the Company or the Service Recipient any amount of Tax-Related Items that the Company or the Service Recipient may be required to withhold or account for as a result of Participant’s participation in the Plan that cannot be satisfied by the means previously described. The Company may refuse to issue or deliver the Shares or the proceeds of the sale of Shares, if Participant fails to comply with Participant’s obligations in connection with the Tax-Related Items.

7.Nature of Grant. By accepting the PSUs, Participant acknowledges, understands, and agrees that:

(a) the Plan is established voluntarily by the Company, it is discretionary in nature and it may be modified, amended, suspended or terminated by the Company at any time, to the extent permitted by the Plan;

(b) the grant of the PSUs is exceptional, voluntary and occasional and does not create any contractual or other right to receive future grants of PSUs or other equity awards, or benefits in lieu of thereof, even if PSUs or other equity awards have been granted in the past;

(c) all decisions with respect to future PSUs or other grants, if any, will be at the sole discretion of the Company;

(d) Participant is voluntarily participating in the Plan;

(e) the PSUs and Participant’s participation in the Plan will not create a right to employment or be interpreted as forming or amending an employment or service contract with the Company, the Service Recipient or any Parent, Subsidiary or Affiliate and will not interfere with the ability of the Company, the Service Recipient or any Parent, Subsidiary or Affiliate, as applicable, to terminate Participant’s employment or service relationship (if any);

(f) the PSUs and the Shares subject to the PSUs, and the income from and value of same, are not intended to replace any pension rights or compensation;

(g) the PSUs and the Shares subject to the PSUs, and the income from and value of same, are not part of normal or expected compensation for any purpose, including, but not limited to, calculating any severance, resignation, termination, redundancy, dismissal, end-of-service payments, bonuses, long-service awards, pension or retirement or welfare benefits or similar payments;

(h) unless otherwise agreed with the Company, the PSUs and the Shares subject to the PSUs, and the income from and value of same, are not granted as consideration for, or in connection with, the service Participant may provide as a director of a Parent, Subsidiary or Affiliate;

(i) the future value of the underlying Shares is unknown, indeterminable and cannot be predicted with certainty;

 

2


(j) no claim or entitlement to compensation or damages will arise from forfeiture of the PSUs resulting from Participant’s termination of Service (regardless of the reason for such termination and whether or not later found to be invalid or in breach of employment laws in the jurisdiction where Participant is employed or the terms of Participant’s employment agreement, if any); and

(k) neither the Company, the Service Recipient nor any Parent, Subsidiary or Affiliate will be liable for any foreign exchange rate fluctuation between Participant’s local currency and the United States Dollar that may affect the value of the PSUs or of any amounts due to Participant pursuant to the settlement of the PSUs or the subsequent sale of any Shares acquired upon settlement.

8.No Advice Regarding Grant. The Company is not providing any tax, legal or financial advice, nor is the Company making any recommendations regarding Participant’s participation in the Plan, or Participant’s acquisition or sale of the underlying Shares. Participant acknowledges, understands and agrees that he or she should consult with his or her own personal tax, legal and financial advisors regarding his or her participation in the Plan before taking any action related to the Plan.

9. Data Privacy. Participant hereby explicitly and unambiguously consents to the collection, use and transfer, in electronic or other form, of Participant’s personal data as described in this Agreement and any other PSU grant materials by and among, as applicable, the Service Recipient, the Company and any Parent, Subsidiary or Affiliate for the exclusive purpose of implementing, administering and managing Participant’s participation in the Plan.

Participant understands that the Company and the Service Recipient may hold certain personal information about Participant, including, but not limited to, Participant’s name, home address, email address and telephone number, date of birth, social insurance number, passport number or other identification number (e.g., resident registration number), salary, nationality, job title, any shares of stock or directorships held in the Company, details of all PSUs or any other entitlement to shares of stock awarded, canceled, exercised, vested, unvested or outstanding in Participant’s favor (“Data”), for the exclusive purpose of implementing, administering and managing the Plan.

Participant understands that Data will be transferred to E*Trade, or other third party (“Online Administrator”) and its affiliated companies or such other stock plan service provider as may be designated by the Company from time to time that is assisting the Company with the implementation, administration and management of the Plan. Participant understands that the recipients of Data may be located in the United States or elsewhere, and that the recipients’ country may have different data privacy laws and protections than Participant’s country. Participant understands that if he or she resides outside the United States, he or she may request a list with the names and addresses of any potential recipients of Data by contacting his or her local human resources representative. Participant authorizes the Company, E*Trade, or such other stock plan service provider as may be designated by the Company from time to time, and any other possible recipients that may assist the Company (presently or in the future) with implementing, administering and managing the Plan to receive, possess, use, retain and transfer Data, in electronic or other form, for the sole purpose of implementing, administering and managing his or her participation in the Plan. Participant understands that Data will be held only as long as is necessary to implement, administer and manage Participant’s participation in the Plan. Participant understands if he or she resides outside the United States, he or she may, at any time, view Data, request information about the storage and processing of Data, require any necessary amendments to Data or refuse or withdraw the consents herein, in any case without cost, by contacting his or her local human resources representative. Further, Participant understands that he or she is providing the consents herein on a purely voluntary basis. If Participant does not consent, or if Participant later seeks to revoke his or her consent, his or her employment status or service with the Service Recipient will not be affected; the only consequence of refusing or

 

3


withdrawing Participant’s consent is that the Company would not be able to grant PSUs or other equity awards to Participant or administer or maintain such awards. Therefore, Participant understands that refusing or withdrawing his or her consent may affect Participant’s ability to participate in the Plan. For more information on the consequences of Participant’s refusal to consent or withdrawal of consent, Participant understands that he or she may contact his or her local human resources representative.

Finally, upon request of the Company or the Service Recipient, Participant agrees to provide an executed data privacy consent form (or any other agreements or consents) that the Company or the Service Recipient may deem necessary to obtain from Participant for the purpose of administering Participant’s participation in the Plan in compliance with the data privacy laws in Participant’s country, either now or in the future. Participant understands and agrees that Participant will not be able to participate in the Plan if Participant fails to provide any such consent or agreement requested by the Company and/or the Service Recipient.

10.Language. Participant acknowledges that he or she is sufficiently proficient in English to understand the terms and conditions of this Agreement. Furthermore, if Participant has received this Agreement or any other document related to the PSU and/or the Plan translated into a language other than English and if the meaning of the translated version is different than the English version, the English version will control.

11.Appendix. Notwithstanding any provisions in this Agreement, the PSUs will be subject to any special terms and conditions set forth in any appendix to this Agreement for Participant’s country. Moreover, if Participant relocates to one of the countries included in the Appendix, the special terms and conditions for such country will apply to Participant, to the extent the Company determines that the application of such terms and conditions is necessary or advisable for legal or administrative reasons. The Appendix constitutes part of this Agreement.

12.Imposition of Other Requirements. The Company reserves the right to impose other requirements on Participant’s participation in the Plan, on the PSUs and on any Shares acquired under the Plan, to the extent the Company determines it is necessary or advisable for legal or administrative reasons, and to require Participant to sign any additional agreements or undertakings that may be necessary to accomplish the foregoing.

13.Acknowledgement. The Company and Participant agree that the PSUs are granted under and governed by the Notice, this Agreement and the provisions of the Plan (incorporated herein by reference). Participant: (a) acknowledges receipt of a copy of the Plan and the Plan prospectus, (b) represents that Participant has carefully read and is familiar with their provisions, and (c) hereby accepts the PSUs subject to all of the terms and conditions set forth herein and those set forth in the Plan and the Notice.

14.Entire Agreement; Enforcement of Rights. This Agreement, the Plan and the Notice constitute the entire agreement and understanding of the parties relating to the subject matter herein and supersede all prior discussions between them. Any prior agreements, commitments or negotiations concerning the purchase of the Shares hereunder are superseded. No adverse modification of or adverse amendment to this Agreement, nor any waiver of any rights under this Agreement, will be effective unless in writing and signed by the parties to this Agreement (which writing and signing may be electronic). The failure by either party to enforce any rights under this Agreement will not be construed as a waiver of any rights of such party.

 

4


15.Compliance with Laws  and Regulations. The issuance of Shares will be subject to and conditioned upon compliance by the Company and Participant with all applicable state, federal and foreign laws and regulations and with all applicable requirements of any stock exchange or automated quotation system on which the Company’s Shares may be listed or quoted at the time of such issuance or transfer. Participant understands that the Company is under no obligation to register or qualify the Shares with any state, federal or foreign securities commission or to seek approval or clearance from any governmental authority for the issuance or sale of the Shares. Further, Participant agrees that the Company will have unilateral authority to amend the Plan and this PSU Agreement without Participant’s consent to the extent necessary to comply with securities or other laws applicable to issuance of Shares. Finally, the Shares issued pursuant to this PSU Agreement will be endorsed with appropriate legends, if any, determined by the Company.

16.Severability. If one or more provisions of this Agreement are held to be unenforceable under applicable law, then such provision will be enforced to the maximum extent possible given the intent of the parties hereto. If such clause or provision cannot be so enforced, then (a) such provision will be excluded from this Agreement, (b) the balance of this Agreement will be interpreted as if such provision were so excluded and (c) the balance of this Agreement will be enforceable in accordance with its terms.

17.Governing Law and Venue. This Agreement and all acts and transactions pursuant hereto and the rights and obligations of the parties hereto will be governed, construed and interpreted in accordance with the laws of the State of Delaware, without giving effect to such state’s conflict of laws rules.

Any and all disputes relating to, concerning or arising from this Agreement, or relating to, concerning or arising from the relationship between the parties evidenced by the Plan or this Agreement, will be brought and heard exclusively in the courts of San Mateo County, California, or the federal courts for the United States for the Northern District of California or the Superior Court of California, County of San Mateo. Each of the parties hereby represents and agrees that such party is subject to the personal jurisdiction of said courts; hereby irrevocably consents to the jurisdiction of such courts in any legal or equitable proceedings related to, concerning or arising from such dispute, and waives, to the fullest extent permitted by law, any objection which such party may now or hereafter have that the laying of the venue of any legal or equitable proceedings related to, concerning or arising from such dispute which is brought in such courts is improper or that such proceedings have been brought in an inconvenient forum.

18.No Rights as Employee, Director or Consultant. Nothing in this Agreement will affect in any manner whatsoever any right or power of the Company, or a Parent, Subsidiary or Affiliate, to terminate Participant’s Service, for any reason, with or without Cause.

19.Consent to Electronic Delivery of All Plan Documents and Disclosures. By Participant’s acceptance of the Notice (whether in writing or electronically), Participant and the Company agree that the PSUs are granted under and governed by the terms and conditions of the Plan, the Notice and this Agreement. Participant has reviewed the Plan, the Notice and this Agreement in their entirety, has had an opportunity to obtain the advice of counsel prior to executing this Notice and Agreement, and fully understands all provisions of the Plan, the Notice and this Agreement. Participant hereby agrees to accept as binding, conclusive and final all decisions or interpretations of the Committee upon any questions relating to the Plan, the Notice and this Agreement. Participant further agrees to notify the Company upon any change in Participant’s residence address. By acceptance of the PSUs, Participant agrees to participate in the Plan through an on-line or electronic system established and maintained by the Company or a third party designated by the Company and consents to the electronic delivery of the Notice, this Agreement, the Plan, account statements, Plan prospectuses required by the SEC, U.S. financial reports of the Company, and all other documents that the Company is required to deliver to its security holders (including, without limitation, annual reports and proxy statements) or other communications or information related to the PSUs and current or future participation in the Plan. Electronic delivery may include the delivery of a link to the Company intranet or the internet site of a

 

5


third party involved in administering the Plan, the delivery of the document via e-mail or such other delivery determined at the Company’s discretion. Participant acknowledges that Participant may receive from the Company a paper copy of any documents delivered electronically at no cost if Participant contacts the Company by telephone, through a postal service or electronic mail to Stock Administration. Participant further acknowledges that Participant will be provided with a paper copy of any documents delivered electronically if electronic delivery fails; similarly, Participant understands that Participant must provide on request to the Company or any designated third party a paper copy of any documents delivered electronically if electronic delivery fails. Also, Participant understands that Participant’s consent may be revoked or changed, including any change in the electronic mail address to which documents are delivered (if Participant has provided an electronic mail address), at any time by notifying the Company of such revised or revoked consent by telephone, postal service or electronic mail to Stock Administration.

20.Insider Trading Restrictions/Market Abuse Laws. Participant acknowledges that, depending on Participant’s country of residence, the broker’s country, or the country in which the Shares are listed, Participant may be subject to insider trading restrictions and/or market abuse laws in applicable jurisdictions that may affect Participant’s ability to directly or indirectly, accept, acquire, sell or attempt to sell or otherwise dispose of Shares, or rights to Shares (e.g., PSUs), or rights linked to the value of Shares, during such times as Participant is considered to have “inside information” regarding the Company (as defined by the laws or regulations in the applicable jurisdiction). Local insider trading laws and regulations may prohibit the cancellation or amendment of orders Participant placed before possessing the inside information. Furthermore, Participant may be prohibited from (i) disclosing the inside information to any third party, including fellow employees (other than on a “need to know” basis) and (ii) “tipping” third parties or causing them to otherwise buy or sell securities. Any restrictions under these laws or regulations are separate from and in addition to any restrictions that may be imposed under any applicable Company insider trading policy. Participant acknowledges that it is Participant’s responsibility to comply with any applicable restrictions and understands that Participant should consult his or her personal legal advisor on such matters. In addition, Participant acknowledges that he or she read the Company’s Insider Trading Policy and 10b5-1 Trading Plan Policy, and agrees to comply with such policies, as they may be amended from time to time, whenever Participant acquires or disposes of the Company’s securities.

21.Foreign Asset/Account, Exchange Control and Tax Reporting. Participant may be subject to foreign asset/account, exchange control and/or tax reporting requirements as a result of the acquisition, holding and/or transfer of Shares or cash resulting from his or her participation in the Plan. Participant may be required to report such accounts, assets, the balances therein, the value thereof and/or the transactions related thereto to the applicable authorities in Participant’s country and/or repatriate funds received in connection with the Plan within certain time limits or according to specified procedures. Participant acknowledges that he or she is responsible for ensuring compliance with any applicable foreign asset/account, exchange control and tax reporting requirements and should consult his or her personal legal and tax advisors on such matters.

22.Code Section 409A. For purposes of this Agreement, a termination of employment will be determined consistent with the rules relating to a “separation from service” as defined in Section 409A of the Internal Revenue Code and the regulations thereunder (“Section 409A”). Notwithstanding anything else provided herein, to the extent any payments provided under this PSU Agreement in connection with Participant’s termination of employment constitute deferred compensation subject to Section 409A, and Participant is deemed at the time of such termination of employment to be a “specified employee” under Section 409A, then such payment will not be made or commence until the earlier of (i) the expiration of the six-month period measured from Participant’s separation from service from the Company or (ii) the date of Participant’s death following such a separation from service; provided, however, that such deferral will only be effected to the extent required to avoid adverse tax treatment to Participant including, without

 

6


limitation, the additional tax for which Participant would otherwise be liable under Section 409A(a)(1)(B) in the absence of such a deferral. To the extent any payment under this PSU Agreement may be classified as a “short-term deferral” within the meaning of Section 409A, such payment will be deemed a short-term deferral, even if it may also qualify for an exemption from Section 409A under another provision of Section 409A. Payments pursuant to this section are intended to constitute separate payments for purposes of Section 1.409A-2(b)(2) of the Treasury Regulations.

23.Award Subject to Company Clawback or Recoupment. The PSUs will be subject to clawback or recoupment pursuant to any compensation clawback or recoupment policy adopted by the Board or required by law during the term of Participant’s employment or other Service that is applicable to Participant. In addition to any other remedies available under such policy, applicable law may require the cancellation of Participant’s PSUs (whether vested or unvested) and the recoupment of any gains realized with respect to Participant’s PSUs.

BY ACCEPTING THIS AWARD OF PSUS, PARTICIPANT AGREES TO ALL OF THE TERMS AND CONDITIONS DESCRIBED ABOVE AND IN THE PLAN.

 

7


APPENDIX

MAZE THERAPEUTICS, INC.

2025 EQUITY INCENTIVE PLAN

GLOBAL PERFORMANCE STOCK UNIT AWARD AGREEMENT

COUNTRY SPECIFIC PROVISIONS FOR EMPLOYEES OUTSIDE THE U.S.

Terms and Conditions

At such time as the Committee or Board issue a PSU under the Plan to a Participant who resides and/or works outside of the United States, the Committee may adopt and include in this Appendix additional terms and conditions that govern such PSU. This Appendix forms part of the Agreement. Any capitalized term used in this Appendix without definition will have the meaning ascribed to it in the Notice, the Agreement or the Plan, as applicable.

If Participant is a citizen or resident of a country, or is considered resident of a country, other than the one in which Participant is currently working, or Participant transfers employment and/or residency between countries after the Date of Grant, the Company will, in its sole discretion, determine to what extent the additional terms and conditions included herein will apply to Participant under these circumstances.

Notifications

This Appendix also includes information relating to exchange control, securities laws, foreign asset/account reporting and other issues of which Participant should be aware with respect to Participant’s participation in the Plan. The information is based on the securities, exchange control, foreign asset/account reporting and other laws in effect in the respective countries as of [●]. Such laws are complex and change frequently. As a result, Participant should not rely on the information herein as the only source of information relating to the consequences of Participant’s participation in the Plan because the information may be out of date at the time that Participant vests in the PSUs, sells Shares acquired under the Plan or takes any other action in connection with the Plan.

In addition, the information is general in nature and may not apply to Participant’s particular situation, and the Company is not in a position to assure Participant of any particular result. Accordingly, Participant should seek appropriate professional advice as to how the relevant laws in Participant’s country may apply to Participant’s situation.

Finally, if Participant is a citizen or resident of a country, or is considered resident of a country, other than the one in which Participant is currently working and/or residing, or Participant transfers employment and/or residency after the Date of Grant, the information contained herein may not apply to Participant in the same manner.

Country-Specific Terms

Not applicable.

 

8


MAZE THERAPEUTICS, INC.

2025 EQUITY INCENTIVE PLAN

GLOBAL NOTICE OF PERFORMANCE STOCK OPTION GRANT

Unless otherwise defined herein, the terms defined in the Maze Therapeutics, Inc. (the “Company”) 2025 Equity Incentive Plan (the “Plan”) will have the same meanings in this Global Notice of Performance Stock Option Grant and the electronic representation of this Global Notice of Performance Stock Option Grant, and the performance and vesting terms set forth in Appendix A attached hereto (the “Vesting Appendix”) established and maintained by the Company or a third party designated by the Company (the Global Notice of Performance Stock Option Grant and the Vesting Appendix are collectively referred to as the “Notice”).

Name:

Address:

You (“Participant”) have been granted a performance-based option to purchase shares of common stock of the Company (the “Option”) under the Plan subject to the terms and conditions of the Plan, this Notice and the attached Global Performance Stock Option Award Agreement, including any applicable country-specific provisions in the appendix attached hereto (the “Appendix”), which constitutes part of the Option Agreement (the Global Performance Stock Option Award Agreement and the Appendix are collectively referred to as the “Agreement”).

 

Grant Number:   
Date of Grant:   
Vesting Commencement Date:   
Exercise Price per Share:   
Maximum Number of Shares:   
Type of Option:        Non-Qualified Stock Option
       Incentive Stock Option
Expiration Date:          , 20 ; This Option expires earlier if Participant’s Service terminates earlier, as described in the Option Agreement.
Vesting Schedule:    Subject to the limitations set forth in this Notice, the Plan and the Option Agreement, the Option will vest as set forth on the Vesting Appendix.

By accepting (whether in writing, electronically or otherwise) the Option, Participant acknowledges and agrees to the following:

 

  1)

Participant understands that Participant’s Service is for an unspecified duration, can be terminated at any time (i.e., is “at-will”), except where otherwise prohibited by applicable law, and that nothing in this Notice, the Option Agreement or the Plan changes the nature of that relationship. Participant acknowledges that the vesting of the Option pursuant to this Notice is earned only by both achievement of the performance metrics set forth in the Vesting Appendix and Participant’s continuing Service as an Employee, Director or Consultant. To the extent permitted by applicable law, Participant agrees and acknowledges that the Vesting Schedule may change prospectively in the event that Participant’s Service status changes between full- and part-time and/or in the event Participant is on a leave of absence, in accordance with Company policies relating to work schedules and vesting of Awards or as determined by the Committee to the extent permitted by applicable law. Furthermore, the period during which Participant may exercise the Option after termination of Service, if any, will commence on the Termination Date (as defined in the Option Agreement).

 

  2)

This grant is made under and governed by the Plan, the Option Agreement and this Notice, and this Notice is subject to the terms and conditions of the Option Agreement and the Plan, both of which are incorporated herein by reference. Participant has read the Notice, the Option Agreement and the Plan.


  3)

Participant has read the Company’s policy covering transactions in the Company’s securities by Employees and/or Directors of the Company (the “Insider Trading Policy” and “10b5-1 Trading Plan Policy”), and agrees to comply with any such policy, as it may be amended from time to time, whenever Participant acquires or disposes of the Company’s securities.

 

  4)

By accepting the Option, Participant consents to electronic delivery and participation as set forth in the Option Agreement.

 

2


VESTING APPENDIX

[Company to insert applicable performance metrics and vesting schedule.]

 

3


MAZE THERAPEUTICS, INC.

2025 EQUITY INCENTIVE PLAN

GLOBAL PERFORMANCE STOCK OPTION AWARD AGREEMENT

Unless otherwise defined in this Global Performance Stock Option Award Agreement (this “Option Agreement”), any capitalized terms used herein will have the meaning ascribed to them in the Maze Therapeutics, Inc. 2025 Equity Incentive Plan (the “Plan”).

Participant has been granted a performance-based option to purchase Shares (the “Option”) of Maze Therapeutics, Inc. (the “Company”), subject to the terms, restrictions and conditions of the Plan, the Global Notice of Performance Stock Option Grant and this Option Agreement, including the Vesting Appendix attached thereto (the “Notice”) any applicable country-specific provisions in the appendix attached hereto (the “Appendix”), which constitutes part of this Option Agreement. In the event of a conflict between the terms and condition of the Plan and the terms and conditions of the Notice or this Option Agreement, the terms and conditions of the Plan will prevail.

1.Vesting Rights. Subject to the applicable provisions of the Plan and this Option Agreement, this Option may be exercised, in whole or in part, in accordance with the Vesting Schedule set forth in the Notice. Participant acknowledges that the vesting of the Option pursuant to this Notice and Agreement is subject to Participant’s continuing Service as an Employee, Director or Consultant.

2.Grant of Option. Participant has been granted an Option for the number of Shares set forth in the Notice at the exercise price per Share in U.S. Dollars set forth in the Notice (the “Exercise Price”). If designated in the Notice as an Incentive Stock Option (“ISO”), this Option is intended to qualify as an Incentive Stock Option under Section 422 of the Code. However, if this Option is intended to be an ISO, to the extent that it exceeds the U.S. $100,000 rule of Code Section 422(d) it will be treated as a Nonqualified Stock Option (“NSO”).

3. Termination Period.

(a) General Rule. If Participant’s Service terminates for any reason except death or Disability, and other than for Cause, then this Option will expire at the close of business at Company headquarters on the date three (3) months after Participant’s Termination Date (as defined below) (or such shorter time period or longer time period as may be determined by the Committee, with any exercise beyond three (3) months after the date Participant’s Service terminates deemed to be the exercise of an NSO). The Company determines when Participant’s Service terminates for all purposes under this Option Agreement.

(b) Death; Disability. If Participant dies before Participant’s Service terminates (or Participant dies within three (3) months of Participant’s termination of Service other than for Cause or because of Participant’s Disability), then this Option will expire at the close of business at Company headquarters on the date twelve (12) months after the date of death (or such shorter time period or longer time period as may be determined by the Committee, subject to the expiration details in Section 7). If Participant’s Service terminates because of Participant’s Disability, then this Option will expire at the close of business at Company headquarters on the date twelve (12) months after Participant’s Termination Date (or such shorter time period or longer time period as may be determined by the Committee, subject to the expiration details in Section 7), with (i) any exercise beyond three (3) months after the date Participant’s employment terminates when the termination of Service is for a Disability that is not a “permanent and total disability” as defined in Section 22(e)(3) of the Code, or (ii) any exercise beyond twelve (12) months after the date Participant’s employment terminates when the termination of Service is for a Disability that is a “permanent and total disability” as defined in Section 22(e)(3) of the Code, deemed to be exercise of an NSO.

 

1


(c) Cause. Unless otherwise determined by the Committee, if the Participant’s Service terminates for Cause, or if the Committee has reasonably determined in good faith that such cessation of Services has resulted in connection with an act or failure to act constituting Cause (or the Participant’s Services could have been terminated for Cause (without regard to the lapsing of any required notice or cure periods in connection therewith) at the time the Participant terminated Services), then Participant’s Options (whether or not vested) shall expire effective as of such Participant’s date of termination of Service, or at such later time and on such conditions as are determined by the Committee, but in any event no later than the expiration date of the Options.

(d) No Notification of Exercise Periods. Participant is responsible for keeping track of these exercise periods following Participant’s termination of Service for any reason. The Company will not provide further notice of such periods. In no event will this Option be exercised later than the Expiration Date set forth in the Notice.

(e) Termination. For purposes of this Option, Participant’s Service will be considered terminated (regardless of the reason for such termination and whether or not later found to be invalid or in breach of employment laws in the jurisdiction where Participant is employed or the terms of Participant’s employment agreement, if any) as of the date Participant is no longer providing Service to the Company, its Parent or one of its Subsidiaries or Affiliates (i.e., Participant’s period of Service would not include any contractual notice period or any period of “garden leave” or similar period mandated under employment laws in the jurisdiction where Participant is employed or the terms of Participant’s employment agreement, if any) (the “Termination Date”). Unless otherwise provided in this Option Agreement or determined by the Committee, Participant’s right to vest in the Option under the Plan, if any, will terminate as of the Termination Date and Participant’s right to exercise the Option after termination of Service, if any, will be measured from the Termination Date.

In case of any dispute as to whether and when a termination of Service has occurred, the Committee will have sole discretion to determine whether such termination of Service has occurred and the effective date of such termination (including whether Participant may still be considered to be providing Services while on a leave of absence).

Unless otherwise provided by the Committee, this Option may be exercised following termination of Participant’s Service only to the extent that such Option would have been exercisable by the Participant on the date Participant’s Service terminates. If Participant does not exercise this Option within the termination period set forth in the Notice or the termination periods set forth above, the Option will terminate in its entirety. In no event, may any Option be exercised after the Expiration Date of the Option as set forth in the Notice.

4. Exercise of Option.

(a) Right to Exercise. This Option is exercisable during its term in accordance with the Vesting Schedule set forth in the Notice and the applicable provisions of the Plan and this Option Agreement. In the event of Participant’s death, Disability, termination for Cause or other cessation of Service, the exercisability of the Option is governed by the applicable provisions of the Plan, the Notice and this Option Agreement. This Option may not be exercised for a fraction of a Share.

(b) Method of Exercise. This Option is exercisable by delivery of an exercise notice in a form specified by the Company (the “Exercise Notice”), which will state the election to exercise the Option, the number of Shares in respect of which the Option is being exercised (the “Exercised Shares”), and such other representations and agreements as may be required by the Company pursuant to the provisions of the Plan. The Exercise Notice will be delivered in person, by mail, via electronic mail or facsimile or by other authorized

 

2


method to the Secretary of the Company or other person designated by the Company. The Exercise Notice will be accompanied by payment of the aggregate Exercise Price as to all Exercised Shares together with any applicable Tax-Related Items (as defined below). This Option will be deemed to be exercised upon receipt by the Company of such fully executed Exercise Notice accompanied by such aggregate Exercise Price and payment of any applicable Tax-Related Items. No Shares will be issued pursuant to the exercise of this Option unless such issuance and exercise complies with all relevant provisions of law and the requirements of any stock exchange or quotation service upon which the Shares are then listed and any exchange control requirements. Assuming such compliance, for United States income tax purposes the Exercised Shares will be considered transferred to Participant on the date the Option is exercised with respect to such Exercised Shares.

(c) Exercise by Another. If another person wants to exercise this Option after it has been transferred to him or her in compliance with this Option Agreement, that person must prove to the Company’s satisfaction that he or she is entitled to exercise this Option. That person must also complete the proper Exercise Notice form (as described above) and pay the Exercise Price (as described below) and any applicable Tax-Related Items (as described below).

5.Method of Payment. Payment of the aggregate Exercise Price will be by any of the following, or a combination thereof, at the election of Participant:

(a) Participant’s personal check (representing readily available funds), wire transfer, or a cashier’s check;

(b) if permitted by the Committee, certificates for shares of Company stock that Participant owns, along with any forms needed to effect a transfer of those shares to the Company; the value of the shares, determined as of the effective date of the Option exercise, will be applied to the Exercise Price. Instead of surrendering shares of Company stock, Participant may attest to the ownership of those shares on a form provided by the Company and have the same number of shares subtracted from the Option shares issued to Participant. However, Participant may not surrender, or attest to the ownership of, shares of Company stock in payment of the Exercise Price of Participant’s Option if Participant’s action would cause the Company to recognize compensation expense (or additional compensation expense) with respect to this Option for financial reporting purposes;

(c) cashless exercise through irrevocable directions to a securities broker approved by the Company to sell all or part of the Shares covered by this Option and to deliver to the Company from the sale proceeds an amount sufficient to pay the Exercise Price and any applicable Tax-Related Items. The balance of the sale proceeds, if any, will be delivered to Participant unless otherwise provided in this Option Agreement. The directions must be given by signing a special notice of exercise form provided by the Company; or

(d) other method authorized by the Company;

provided, however, that the Company may restrict the available methods of payment due to facilitate compliance with applicable law or administration of the Plan. In particular, if Participant is located outside the United States, Participant should review the applicable provisions of the Appendix for any such restrictions that may currently apply.

6.Non-Transferability of Option. This Option may not be sold, assigned, transferred, pledged, hypothecated, or otherwise disposed of other than by will or by the laws of descent or distribution or by court order and may be exercised during the lifetime of Participant only by Participant or unless otherwise permitted by the Committee on a case-by-case basis. The terms of the Plan and this Option Agreement will be binding upon the executors, administrators, heirs, successors and assigns of Participant.

 

3


7.Term of Option. This Option will in any event expire on the expiration date set forth in the Notice, which date is ten (10) years after the Date of Grant (five (5) years after the Date of Grant if this option is designated as an ISO in the Notice of Stock Option Grant and Section 5.3 of the Plan applies).

8. Taxes.

(a) Responsibility for Taxes. Participant acknowledges that, to the extent permitted by applicable law, regardless of any action taken by the Company or a Parent, Subsidiary or Affiliate employing or retaining Participant (the “Service Recipient”), the ultimate liability for all applicable U.S., federal, state, local and international income tax, social insurance, payroll tax, fringe benefits tax, payment on account or other tax related items (“Tax-Related Items”) related to Participant’s participation in the Plan and legally applicable to Participant is and remains Participant’s responsibility and may exceed the amount actually withheld by the Company or the Service Recipient, if any. Participant further acknowledges that the Company and/or the Service Recipient (i) make no representations or undertakings regarding the treatment of any Tax-Related Items in connection with any aspect of this Option, including, but not limited to, the grant, vesting or exercise of this Option, the subsequent sale of Shares acquired pursuant to such exercise and the receipt of any dividends, and (ii) do not commit to and are under no obligation to structure the terms of the grant or any aspect of this Option to reduce or eliminate Participant’s liability for Tax-Related Items or achieve any particular tax result. Further, if Participant is subject to Tax-Related Items in more than one jurisdiction, Participant acknowledges that the Company and/or the Service Recipient (or former Service Recipient, as applicable) may be required to withhold or account for Tax-Related Items in more than one jurisdiction. PARTICIPANT SHOULD CONSULT A TAX ADVISER APPROPRIATELY QUALIFIED IN EACH OF THE JURISDICTIONS, INCLUDING THE COUNTRY OR COUNTRIES IN WHICH PARTICIPANT RESIDES OR IS SUBJECT TO TAXATION BEFORE EXERCISING THE OPTION OR DISPOSING OF THE SHARES.

(b) Withholding. Prior to any relevant taxable or tax withholding event, as applicable, to the extent permitted by applicable law Participant agrees to make arrangements satisfactory to the Company and/or the Service Recipient to fulfill all Tax-Related Items. In this regard, Participant authorizes the Company and/or the Service Recipient, or their respective agents, at their discretion, to satisfy any withholding obligations for Tax-Related Items by one or a combination of the following, all under such rules as may be established by the Committee and in compliance with the Company’s Insider Trading Policy and 10b5-1 Trading Plan Policy, if applicable:

 

  (i)

withholding from Participant’s wages or other cash compensation paid to Participant by the Company and/or the Service Recipient; or

 

  (ii)

withholding from proceeds of the sale of Shares acquired at exercise of this Option either through a voluntary sale or through a mandatory sale arranged by the Company (on Participant’s behalf pursuant to this authorization and without further consent); or

 

  (iii)

withholding Shares to be issued upon exercise of the Option, provided the Company only withholds the number of Shares necessary to satisfy no more than the maximum statutory withholding amounts; or

 

  (iv)

Participant’s payment of a cash amount (including by check representing readily available funds or a wire transfer); or

 

  (v)

any other arrangement approved by the Committee and permitted under applicable law;

 

4


provided, however, that if Participant is a Section 16 officer of the Company under the Exchange Act, then the Committee (as constituted in accordance with Rule 16b-3 under the Exchange Act) will establish the method of withholding from alternatives (i)-(v) above, and the Committee will establish the method prior to the Tax-Related Items withholding event.

Depending on the withholding method, the Company may withhold or account for Tax-Related Items by considering applicable statutory withholding rates or other applicable withholding rates, including up to the maximum permissible statutory rate for Participant’s tax jurisdiction(s) in which case Participant will have no entitlement to the equivalent amount in Shares and may receive a refund of any over-withheld amount in cash in accordance with applicable law. If the obligation for Tax-Related Items is satisfied by withholding in Shares, then for tax purposes, Participant is deemed to have been issued the full number of Exercised Shares; notwithstanding that a number of the Shares are held back solely for the purpose of satisfying the withholding obligation for Tax-Related Items.

Finally, Participant agrees to pay to the Company or the Service Recipient any amount of Tax-Related Items that the Company or the Service Recipient may be required to withhold or account for as a result of Participant’s participation in the Plan that cannot be satisfied by the means previously described. The Company may refuse to issue or deliver the Shares or the proceeds of the sale of Shares, if Participant fails to comply with Participant’s obligations in connection with the Tax-Related Items.

(c) Notice of Disqualifying Disposition of ISO Shares. If Participant is subject to Tax-Related Items in the United States and sells or otherwise disposes of any of the Shares acquired pursuant to an ISO on or before the later of (i) two years after the grant date, or (ii) one year after the exercise date, Participant will immediately notify the Company in writing of such disposition. Participant agrees that he or she may be subject to income tax withholding by the Company on the compensation income recognized from such early disposition of ISO Shares by payment in cash or out any wages or other cash compensation paid to Participant by the Company and/or the Service Recipient.

9.Nature of Grant. By accepting the Option, Participant acknowledges, understands and agrees that:

(a) the Plan is established voluntarily by the Company, it is discretionary in nature and it may be modified, amended, suspended or terminated by the Company at any time, to the extent permitted by the Plan;

(b) the grant of the Option is exceptional, voluntary and occasional and does not create any contractual or other right to receive future grants of options or other equity awards, or benefits in lieu thereof, even if options or other equity awards have been granted in the past;

(c) all decisions with respect to future options or other grants, if any, will be at the sole discretion of the Company;

(d) Participant is voluntarily participating in the Plan;

(e) the Option and Participant’s participation in the Plan will not create a right to employment or be interpreted as forming or amending an employment or service contract with the Company, the Service Recipient or any Parent, Subsidiary or Affiliate, and will not interfere with the ability of the Company, the Service Recipient or any Parent, Subsidiary or Affiliate, as applicable, to terminate Participant’s employment or service relationship (if any);

 

5


(f) the Option and the Shares subject to the Option, and the income from and value of same, are not intended to replace any pension rights or compensation;

(g) the Option and the Shares subject to the Option, and the income from and value of same, are not part of normal or expected compensation for any purpose, including, but not limited to, calculating any severance, resignation, termination, redundancy, dismissal, end-of-service payments, bonuses, long-service awards, pension or retirement or welfare benefits or similar payments;

(h) unless otherwise agreed with the Company, the Option and the Shares subject to the Option, and the income from and value of same, are not granted as consideration for, or in connection with, the service Participant may provide as a director of a Parent, Subsidiary or Affiliate;

(i) the future value of the Shares underlying the Option is unknown, indeterminable and cannot be predicted with certainty; if the underlying Shares do not increase in value, the Option will have no value; if Participant exercises the Option and acquires Shares, the value of such Shares may increase or decrease, even below the Exercise Price;

(j) no claim or entitlement to compensation or damages will arise from forfeiture of the Option resulting from Participant’s termination of Service (regardless of the reason for such termination and whether or not later found to be invalid or in breach of employment laws in the jurisdiction where Participant is employed or the terms of Participant’s employment agreement, if any); and

(k) neither the Company, the Service Recipient nor any Parent, Subsidiary or Affiliate will be liable for any foreign exchange rate fluctuation between Participant’s local currency and the United States Dollar that may affect the value of the Option or of any amounts due to Participant pursuant to the exercise of the Option or the subsequent sale of any Shares acquired upon exercise.

10.No Advice Regarding Grant. The Company is not providing any tax, legal or financial advice, nor is the Company making any recommendations regarding Participant’s participation in the Plan, or Participant’s acquisition or sale of the underlying Shares. Participant acknowledges, understands and agrees that he or she should consult with his or her own personal tax, legal and financial advisors regarding his or her participation in the Plan before taking any action related to the Plan.

11. Data Privacy. Participant hereby explicitly and unambiguously consents to the collection, use and transfer, in electronic or other form, of Participant’s personal data as described in this Option Agreement and any other Option grant materials by and among, as applicable, the Service Recipient, the Company and any Parent, Subsidiary or Affiliate for the exclusive purpose of implementing, administering and managing Participant’s participation in the Plan.

Participant understands that the Company and the Service Recipient may hold certain personal information about Participant, including, but not limited to, Participant’s name, home address, email address and telephone number, date of birth, social insurance number, passport number or other identification number (e.g., resident registration number), salary, nationality, job title, any shares of stock or directorships held in the Company, details of all Options or any other entitlement to shares of stock awarded, canceled, exercised, vested, unvested or outstanding in Participant’s favor (“Data”), for the exclusive purpose of implementing, administering and managing the Plan.

Participant understands that Data will be transferred to E*Trade, or other third party (“Online Administrator”) and its affiliated companies or such other stock plan service provider as may be designated by the Company from time to time that is assisting the Company with the implementation, administration and management of the Plan. Participant understands that the recipients of Data may be located in the United

 

6


States or elsewhere, and that the recipients’ country may have different data privacy laws and protections than Participant’s country. Participant understands that if he or she resides outside the United States, he or she may request a list with the names and addresses of any potential recipients of Data by contacting his or her local human resources representative. Participant authorizes the Company, E*Trade, or such other stock plan service provider as may be designated by the Company from time to time, and any other possible recipients that may assist the Company (presently or in the future) with implementing, administering and managing the Plan to receive, possess, use, retain and transfer Data, in electronic or other form, for the sole purpose of implementing, administering and managing his or her participation in the Plan. Participant understands that Data will be held only as long as is necessary to implement, administer and manage Participant’s participation in the Plan. Participant understands if he or she resides outside the United States, he or she may, at any time, view Data, request information about the storage and processing of Data, require any necessary amendments to Data or refuse or withdraw the consents herein, in any case without cost, by contacting his or her local human resources representative. Further, Participant understands that he or she is providing the consents herein on a purely voluntary basis. If Participant does not consent, or if Participant later seeks to revoke his or her consent, his or her employment status or service with the Service Recipient will not be affected; the only consequence of refusing or withdrawing Participant’s consent is that the Company would not be able to grant Options or other equity awards to Participant or administer or maintain such awards. Therefore, Participant understands that refusing or withdrawing his or her consent may affect Participant’s ability to participate in the Plan. For more information on the consequences of Participant’s refusal to consent or withdrawal of consent, Participant understands that he or she may contact his or her local human resources representative.

Finally, upon request of the Company or the Service Recipient, Participant agrees to provide an executed data privacy consent form (or any other agreements or consents) that the Company or the Service Recipient may deem necessary to obtain from Participant for the purpose of administering Participant’s participation in the Plan in compliance with the data privacy laws in Participant’s country, either now or in the future. Participant understands and agrees that Participant will not be able to participate in the Plan if Participant fails to provide any such consent or agreement requested by the Company and/or the Service Recipient.

12.Language. Participant acknowledges that he or she is sufficiently proficient in English to understand the terms and conditions of this Option Agreement. Furthermore, if Participant has received this Option Agreement, or any other document related to the Option and/or the Plan translated into a language other than English and if the meaning of the translated version is different than the English version, the English version will control.

13.Appendix. Notwithstanding any provisions in this Option Agreement, the Option will be subject to any special terms and conditions set forth in any appendix to this Option Agreement for Participant’s country. Moreover, if Participant relocates to one of the countries included in the Appendix, the special terms and conditions for such country will apply to Participant, to the extent the Company determines that the application of such terms and conditions is necessary or advisable for legal or administrative reasons. The Appendix constitutes part of this Option Agreement.

14.Imposition of Other Requirements. The Company reserves the right to impose other requirements on Participant’s participation in the Plan, on the Option and on any Shares purchased upon exercise of the Option, to the extent the Company determines it is necessary or advisable for legal or administrative reasons, and to require Participant to sign any additional agreements or undertakings that may be necessary to accomplish the foregoing.

15.Acknowledgement. The Company and Participant agree that the Option is granted under and governed by the Notice, this Option Agreement and the provisions of the Plan (incorporated herein by reference). Participant: (a) acknowledges receipt of a copy of the Plan and the Plan prospectus, (b) represents that Participant has carefully read and is familiar with their provisions, and (c) hereby accepts the Option subject to all of the terms and conditions set forth herein and those set forth in the Plan and the Notice.

 

7


16.Entire Agreement; Enforcement of Rights. This Option Agreement, the Plan and the Notice constitute the entire agreement and understanding of the parties relating to the subject matter herein and supersede all prior discussions between them. Any prior agreements, commitments or negotiations concerning the purchase of the Shares hereunder are superseded. No adverse modification of, or adverse amendment to, this Option Agreement, nor any waiver of any rights under this Option Agreement, will be effective unless in writing and signed by the parties to this Option Agreement (which writing and signing may be electronic). The failure by either party to enforce any rights under this Option Agreement will not be construed as a waiver of any rights of such party.

17.Compliance with Laws and Regulations. The issuance of Shares will be subject to and conditioned upon compliance by the Company and Participant with all applicable state, federal and foreign laws and regulations and with all applicable requirements of any stock exchange or automated quotation system on which the Company’s Shares may be listed or quoted at the time of such issuance or transfer. Participant understands that the Company is under no obligation to register or qualify the Shares with any state, federal or foreign securities commission or to seek approval or clearance from any governmental authority for the issuance or sale of the Shares. Further, Participant agrees that the Company will have unilateral authority to amend the Plan and this Option Agreement without Participant’s consent to the extent necessary to comply with securities or other laws applicable to issuance of Shares. Finally, the Shares issued pursuant to this Option Agreement will be endorsed with appropriate legends, if any, determined by the Company.

18.Severability. If one or more provisions of this Option Agreement are held to be unenforceable under applicable law, then such provision will be enforced to the maximum extent possible given the intent of the parties hereto. If such clause or provision cannot be so enforced, then (a) such provision will be excluded from this Option Agreement, (b) the balance of this Option Agreement will be interpreted as if such provision were so excluded and (c) the balance of this Option Agreement will be enforceable in accordance with its terms.

19.Governing Law and Venue. This Option Agreement and all acts and transactions pursuant hereto and the rights and obligations of the parties hereto will be governed, construed and interpreted in accordance with the laws of the State of Delaware, without giving effect to such state’s conflict of laws rules.

Any and all disputes relating to, concerning or arising from this Option Agreement, or relating to, concerning or arising from the relationship between the parties evidenced by the Plan or this Option Agreement, will be brought and heard exclusively in courts of San Mateo County, California, or the federal courts for the United States for the Northern District of California or the Superior Court of California, County of San Mateo. Each of the parties hereby represents and agrees that such party is subject to the personal jurisdiction of said courts; hereby irrevocably consents to the jurisdiction of such courts in any legal or equitable proceedings related to, concerning or arising from such dispute, and waives, to the fullest extent permitted by law, any objection which such party may now or hereafter have that the laying of the venue of any legal or equitable proceedings related to, concerning or arising from such dispute which is brought in such courts is improper or that such proceedings have been brought in an inconvenient forum.

20.No Rights as Employee, Director or Consultant. Nothing in this Option Agreement will affect in any manner whatsoever any right or power of the Company, or a Parent, Subsidiary or Affiliate, to terminate Participant’s Service, for any reason, with or without Cause.

21.Consent to Electronic Delivery of All Plan Documents and Disclosures. By Participant’s acceptance of the Notice (whether in writing or electronically), Participant and the Company agree that this Option is granted under and governed by the terms and conditions of the Plan, the Notice and this Option

 

8


Agreement. Participant has reviewed the Plan, the Notice and this Option Agreement in their entirety, has had an opportunity to obtain the advice of counsel prior to executing the Notice and Agreement, and fully understands all provisions of the Plan, the Notice and this Option Agreement. Participant hereby agrees to accept as binding, conclusive and final all decisions or interpretations of the Committee upon any questions relating to the Plan, the Notice and this Option Agreement. Participant further agrees to notify the Company upon any change in the residence address. By acceptance of this Option, Participant agrees to participate in the Plan through an on-line or electronic system established and maintained by the Company or a third party designated by the Company and consents to the electronic delivery of the Notice, this Option Agreement, the Plan, account statements, Plan prospectuses required by the SEC, U.S. financial reports of the Company, and all other documents that the Company is required to deliver to its security holders (including, without limitation, annual reports and proxy statements) or other communications or information related to the Option and current or future participation in the Plan. Electronic delivery may include the delivery of a link to the Company intranet or the internet site of a third party involved in administering the Plan, the delivery of the document via e-mail or such other delivery determined at the Company’s discretion. Participant acknowledges that Participant may receive from the Company a paper copy of any documents delivered electronically at no cost if Participant contacts the Company by telephone, through a postal service or electronic mail to Stock Administration. Participant further acknowledges that Participant will be provided with a paper copy of any documents delivered electronically if electronic delivery fails; similarly, Participant understands that Participant must provide on request to the Company or any designated third party a paper copy of any documents delivered electronically if electronic delivery fails. Also, Participant understands that Participant’s consent may be revoked or changed, including any change in the electronic mail address to which documents are delivered (if Participant has provided an electronic mail address), at any time by notifying the Company of such revised or revoked consent by telephone, postal service or electronic mail to Stock Administration.

22.Insider Trading Restrictions/Market Abuse Laws. Participant acknowledges that, depending on Participant’s country of residence, the broker’s country, or the country in which the Shares are listed, Participant may be subject to insider trading restrictions and/or market abuse laws in applicable jurisdictions that may affect Participant’s ability to directly or indirectly, accept, acquire, sell or attempt to sell or otherwise dispose of Shares, or rights to Shares (e.g., Options), or rights linked to the value of Shares, during such times as Participant is considered to have “inside information” regarding the Company (as defined by the laws or regulations in the applicable jurisdiction). Local insider trading laws and regulations may prohibit the cancellation or amendment of orders Participant placed before possessing the inside information. Furthermore, Participant may be prohibited from (i) disclosing the inside information to any third party, including fellow employees (other than on a “need to know” basis) and (ii) “tipping” third parties or causing them to otherwise buy or sell securities. Any restrictions under these laws or regulations are separate from and in addition to any restrictions that may be imposed under any applicable Company insider trading policy. Participant acknowledges that it is Participant’s responsibility to comply with any applicable restrictions and understands that Participant should consult his or her personal legal advisor on such matters. In addition, Participant acknowledges that he or she read the Company’s Insider Trading Policy and 10b5-1 Trading Plan Policy, and agrees to comply with such policies, as they may be amended from time to time, whenever Participant acquires or disposes of the Company’s securities.

23.Foreign Asset/Account, Exchange Control and Tax Reporting. Participant may be subject to foreign asset/account, exchange control and/or tax reporting requirements as a result of the acquisition, holding and/or transfer of Shares or cash resulting from his or her participation in the Plan. Participant may be required to report such accounts, assets, the balances therein, the value thereof and/or the transactions related thereto to the applicable authorities in Participant’s country and/or repatriate funds received in connection with the Plan within certain time limits or according to specified procedures. Participant acknowledges that he or she is responsible for ensuring compliance with any applicable foreign asset/account, exchange control and tax reporting requirements and should consult his or her personal legal and tax advisors on such matters.

 

9


24.Award Subject to Company Clawback or Recoupment. The Option will be subject to clawback or recoupment pursuant to any compensation clawback or recoupment policy adopted by the Board or required by law during the term of Participant’s employment or other Service that is applicable to Participant. In addition to any other remedies available under such policy, applicable law may require the cancellation of Participant’s Option (whether vested or unvested) and the recoupment of any gains realized with respect to Participant’s Option.

BY ACCEPTING THIS OPTION, PARTICIPANT AGREES TO ALL OF THE TERMS AND CONDITIONS DESCRIBED ABOVE AND IN THE PLAN.

 

10


APPENDIX

MAZE THERAPEUTICS, INC.

2025 EQUITY INCENTIVE PLAN

GLOBAL STOCK OPTION AWARD AGREEMENT

COUNTRY SPECIFIC PROVISIONS FOR EMPLOYEES OUTSIDE THE U.S.

Terms and Conditions

At such time as the Committee or Board issue an Option under the Plan to a Participant who resides and/or works outside of the United States, the Committee may adopt and include in this Appendix additional terms and conditions that govern such Option. This Appendix forms part of the Option Agreement. Any capitalized term used in this Appendix without definition will have the meaning ascribed to it in the Notice, the Option Agreement or the Plan, as applicable.

If Participant is a citizen or resident of a country, or is considered resident of a country, other than the one in which Participant is currently working, or Participant transfers employment and/or residency between countries after the Date of Grant, the Company will, in its sole discretion, determine to what extent the additional terms and conditions included herein will apply to Participant under these circumstances.

Notifications

This Appendix also includes information relating to exchange control, securities laws, foreign asset/account reporting and other issues of which Participant should be aware with respect to Participant’s participation in the Plan. The information is based on the securities, exchange control, foreign asset/account reporting and other laws in effect in the respective countries as of [●]. Such laws are complex and change frequently. As a result, Participant should not rely on the information herein as the only source of information relating to the consequences of Participant’s participation in the Plan because the information may be out of date at the time that Participant exercises the Option, sells Shares acquired under the Plan or takes any other action in connection with the Plan.

In addition, the information is general in nature and may not apply to Participant’s particular situation, and the Company is not in a position to assure Participant of any particular result. Accordingly, Participant should seek appropriate professional advice as to how the relevant laws in Participant’s country may apply to Participant’s situation.

Finally, if Participant is a citizen or resident of a country, or is considered resident of a country, other than the one in which Participant is currently working and/or residing, or Participant transfers employment and/or residency after the Date of Grant, the information contained herein may not apply to Participant in the same manner.

Country-Specific Terms

Not applicable.

 

11

EX-10.5

Exhibit 10.5

MAZE THERAPEUTICS, INC.

2025 EMPLOYEE STOCK PURCHASE PLAN

1.PURPOSE. Maze Therapeutics, Inc. adopted this Plan effective as of the Effective Date. The purpose of this Plan is to provide eligible employees of the Company and the Participating Corporations with a means of acquiring an equity interest in the Company, to enhance such employees’ sense of participation in the affairs of the Company. Capitalized terms not defined elsewhere in the text are defined in Section 28.

2.ESTABLISHMENT OF PLAN. The Company proposes to grant rights to purchase shares of Common Stock to eligible employees of the Company and its Participating Corporations pursuant to this Plan. The Company intends this Plan to qualify as an “employee stock purchase plan” under Section 423 of the Code (including any amendments to or replacements of such Section), and this Plan shall be so construed, although the Company makes no undertaking or representation to maintain such qualification. Any term not expressly defined in this Plan but defined for purposes of Section 423 of the Code shall have the same definition herein. In addition, with regard to offers of options to purchase shares of Common Stock under the Plan to employees working for a Subsidiary or an Affiliate outside the United States, this Plan authorizes the grant of options under a Non-Section 423 Component that is not intended to meet Section 423 requirements, provided, to the extent necessary under Section 423 of the Code, the other terms and conditions of the Plan are met.

A total of [number] (     )]shares of Common Stock is reserved for issuance under this Plan. In addition, on each January 1st for the ten (10) calendar years immediately after the first Offering Date, the aggregate number of shares of Common Stock reserved for issuance under the Plan shall be increased automatically by the number of shares equal to one percent (1%) of the sum of the total number of outstanding shares of all classes of the Company’s common stock plus the total number of shares of the Company’s Common Stock subject to Pre-Funded Warrants (if any) and the total number of shares of the Company’s Common Stock issuable upon conversion of any preferred stock (if any), in each case outstanding on the immediately preceding December 31st (rounded down to the nearest whole share); provided, that the Board or the Committee may in its sole discretion reduce the amount of the increase in any particular calendar year. No more than [number] ([     ])shares of Common Stock may be issued over the term of this Plan. The number of shares initially reserved for issuance under this Plan and the maximum number of shares that may be issued under this Plan shall be subject to adjustments effected in accordance with Section 14. Any or all such shares may be granted under either the Section 423 Component or the Non-Section 423 Component.

3.ADMINISTRATION. The Plan will be administered by the Committee. Subject to the provisions of this Plan and the limitations of Section 423 of the Code or any successor provision in the Code, all questions of interpretation or application of this Plan shall be determined by the Committee and its decisions shall be final and binding upon all eligible employees and Participants. The Committee will have full and exclusive discretionary authority to construe, interpret and apply the terms of the Plan, to determine eligibility, to designate the Participating Corporations, to determine whether Participating Corporations shall participate in

 

1


the Section 423 Component or Non-Section 423 Component and to decide upon any and all claims filed under the Plan. Every finding, decision and determination made by the Committee will, to the full extent permitted by law, be final and binding upon all parties. Notwithstanding any provision to the contrary in this Plan, the Committee may adopt rules, sub-plans, and/or procedures relating to the operation and administration of the Plan designed to comply with local laws, regulations or customs or to achieve tax, securities law or other objectives for eligible employees outside of the United States; provided, however, that no such sub-plan will increase the number of shares reserved for issuance under the Plan pursuant to Section 2. The Committee will have the authority to determine the Fair Market Value of the Common Stock (which determination shall be final, binding and conclusive for all purposes) in accordance with Section 8 below and to interpret Section 8 of the Plan in connection with circumstances that impact the Fair Market Value. Members of the Committee shall receive no compensation for their services in connection with the administration of this Plan, other than standard fees as established from time to time by the Board for services rendered by Board members serving on Board committees. All expenses incurred in connection with the administration of this Plan shall be paid by the Company. For purposes of this Plan, the Committee may designate separate offerings under the Plan (the terms of which need not be identical) in which eligible employees of one or more Participating Corporations will participate, and the provisions of the Plan will separately apply to each such separate offering even if the dates of the applicable Offering Periods of each such offering are identical. To the extent permitted by Section 423 of the Code, the terms of each separate offering under the Plan need not be identical, provided that the rights and privileges established with respect to a particular offering are applied in an identical manner to all employees of every Participating Corporation whose employees are granted options under that particular offering. The Committee may establish rules to govern the terms of the Plan and the offering that will apply to Participants who transfer employment between the Company and Participating Corporations or between Participating Corporations, in accordance with requirements under Section 423 of the Code to the extent applicable.

4.ELIGIBILITY.

(a) Any employee of the Company or the Participating Corporations is eligible to participate in an Offering Period under this Plan, except that one or more of the following categories of employees may be excluded from coverage under the Plan if determined by the Committee (other than where such exclusion is prohibited by applicable law):

(i) employees who do not meet eligibility requirements that the Committee may choose to impose (within the limits permitted by the Code);

(ii) employees who are not employed by the Company or a Participating Corporation prior to the beginning of such Offering Period or prior to such other time period as specified by the Committee;

(iii) employees who have been employed less than two (2) years;

(iv) employees who are customarily employed for twenty (20) or less hours per week;

 

2


(v) employees who are customarily employed for five (5) months or less in a calendar year;

(vi) (a) employees who are “highly compensated employees” of the Company or any Participating Corporation (within the meaning of Section 414(q) of the Code), or (b) any employees who are “highly compensated employees” with compensation above a specified level, who is an officer and/or is subject to the disclosure requirements of Section 16(a) of the Exchange Act;

(vii) employees who are citizens or residents of a foreign jurisdiction (without regard to whether they are also a citizen of the United States or a resident alien (within the meaning of Section 7701(b)(1)(A) of the Code)) if either (i) such employee’s participation is prohibited under the laws of the jurisdiction governing such employee, or (ii) compliance with the laws of the foreign jurisdiction would violate the requirements of Section 423 of the Code; and

(viii) individuals who provide services to the Company or any of its Participating Corporations as independent contractors who are reclassified as common law employees for any reason except for federal income and employment tax purposes.

The foregoing notwithstanding, an individual shall not be eligible if his or her participation in the Plan is prohibited by the law of any country that has jurisdiction over him or her, if complying with the laws of the applicable country would cause the Plan to violate Section 423 of the Code, or if he or she is subject to a collective bargaining agreement that does not provide for participation in the Plan.

(b) No employee who, together with any other person whose stock would be attributed to such employee pursuant to Section 424(d) of the Code, owns stock or holds options to purchase stock possessing five percent (5%) or more of the total combined voting power or value of all classes of stock of the Company or its Parent or Subsidiary or who, as a result of being granted an option under this Plan with respect to such Offering Period, would own stock or hold options to purchase stock possessing five percent (5%) or more of the total combined voting power or value of all classes of stock of the Company or its Parent or Subsidiary shall be granted an option to purchase Common Stock under the Plan. Notwithstanding the foregoing, the rules of Section 424(d) of the Code shall apply in determining share ownership and the extent to which shares held under outstanding equity awards are to be treated as owned by the employee.

5.OFFERING DATES.

(a) Each Offering Period of this Plan may be of up to twenty-seven (27) months duration, except as otherwise provided by an applicable sub-plan, and shall commence and end at the times designated by the Committee. Each Offering Period shall consist of one or more Purchase Periods during which Contributions made by Participants are accumulated under this Plan. Offering Periods may be consecutive or overlapping. The Committee may at any time establish a different duration for an Offering Period or Purchase Period to be effective after the next scheduled Purchase Date, up to a maximum duration of twenty-seven (27) months. The Committee shall also have the power to change these terms as provided in Section 25 below.

 

3


(b) Unless determined otherwise by the Committee, the initial Offering Period (the “Initial Offering Period”) shall commence on the Effective Date and shall end with the Purchase Date that occurs on December 15, 2026. The Initial Offering Period shall consist of four Purchase Periods, with purchases on June 15, 2025, December 15, 2025, June 15, 2026 and December 15, 2026. A twenty-four (24) month Offering Period shall commence on each June 16th and December 16th after the start of the Initial Offering Period, with each such Offering Period consisting of four separate six (6)-month Purchase Periods, except as otherwise provided by an applicable sub-plan, or on such other dates determined by the Committee.

6.PARTICIPATION IN THIS PLAN.

(a) Enrollment in Initial Offering Period. Any employee who is an eligible employee determined in accordance with Section 4 immediately prior to the Initial Offering Period will be enrolled automatically as a Participant in the Initial Offering Period at a contribution level equal to fifteen percent (15%) of such Participant’s Compensation (the “Initial Contribution Level”). A Participant that is enrolled automatically in the Initial Offering Period pursuant to this section will be entitled to continue to participate in the Initial Offering Period only if such Participant submits an enrollment agreement in a form determined by the Committee, or electronic representation thereof, to the Company and/or an authorized third party administrator (the “Third Party Administrator”) authorizing his or her contributions and confirming or changing his or her contribution rate (i) no earlier than the date on which an effective registration statement pursuant to Form S-8 is filed with respect to the issuance of Common Stock under this Plan, and (ii) within thirty (30) days after the filing of such Form S-8, or such longer time as may be determined by the Company (the “Initial Offering Period Window”).

(b) Enrollment in Subsequent Offering Periods. With respect to Offering Periods after the Initial Offering Period, an eligible employee determined in accordance with Section 4 may elect to become a Participant by submitting an enrollment agreement, or electronic representation thereof, to the Company and/or via the Third Party Administrator’s standard process, prior to the commencement of the Offering Period to which such agreement relates in accordance with such rules as the Committee may determine.

(c) Continued Enrollment in Offering Periods. Once an employee becomes a Participant in an Offering Period (including, with respect to the Initial Offering Period, provided a Participant who is automatically enrolled submits an enrollment agreement, or electronic representation thereof, within the Initial Offering Period Window), then such Participant will automatically participate in each subsequent Offering Period commencing immediately following the last day of the prior Offering Period. The Participant will be enrolled in each subsequent Offering Period at the same contribution level unless the Participant (i) withdraws or is deemed to withdraw from this Plan; (ii) terminates further participation in an Offering Period as set forth in Section 11 below; or (iii) otherwise notifies the Company of a change in the Participant’s contribution level by filing an additional enrollment agreement or electronic representation thereof with the Company and/or the Third Party Administrator prior to the next Offering Period. A Participant who is automatically enrolled in a subsequent Offering Period pursuant to this Section 6(c) is not required to file any additional enrollment agreement in order to continue participation in this Plan; and (y) will be deemed to have accepted the terms

 

4


and conditions of the Plan, any sub-plan, and the enrollment agreement in effect at the time each subsequent Offering Period begins, subject to Participant’s right to withdraw from the Plan in accordance with the withdrawal procedures in effect at the time.

7.GRANT OF OPTION ON ENROLLMENT. Becoming a Participant with respect to an Offering Period will constitute the grant (as of the Offering Date) by the Company to such Participant of an option to purchase on the applicable Purchase Date up to that number of shares of Common Stock that could be purchased using Participant’s accumulated Contributions for the Purchase Period, based on the per share Purchase Price as set forth in Section 8 on the Purchase Date; provided, however, that for the Purchase Period within the Initial Offering Period the deemed accumulated Contributions shall be calculated using the Initial Contribution Level, or such lower percentage as determined by the Committee prior to the start of the Offering Period, and provided, further, that the number of shares of Common Stock subject to any option granted pursuant to this Plan shall not exceed the lesser of (x) the maximum number of shares set by the Committee pursuant to Section 10(b) below with respect to the applicable Purchase Date, or (y) the maximum number of shares which may be purchased pursuant to Section 10(a) below with respect to the applicable Purchase Date.

8.PURCHASE PRICE. The Purchase Price per share at which a share of Common Stock will be sold in any Offering Period shall be eighty-five percent (85%) of the lesser of:

(a) The Fair Market Value on the Offering Date; or

(b) The Fair Market Value on the Purchase Date.

9.PAYMENT OF PURCHASE PRICE; CONTRIBUTION CHANGES; SHARE ISSUANCES.

(a) The Purchase Price shall be accumulated by regular payroll deductions made during each Offering Period, unless the Committee determines that contributions may be made in another form (including but not limited to with respect to categories of Participants outside the United States that Contributions may be made in another form due to local legal requirements). The Contributions are made as a percentage of the Participant’s Compensation in one percent (1%) increments not less than one percent (1%), nor greater than fifteen percent (15%) or such lower limit set by the Committee. “Compensation” shall mean base salary or regular hourly wages; however, the Committee shall have discretion to adopt a definition of Compensation from time to time of all cash compensation reported on the employee’s Form W-2 or corresponding local country tax return, including without limitation base salary or regular hourly wages, bonuses, incentive compensation, commissions, overtime, shift premiums, pay during leaves of absence, and draws against commissions (or in foreign jurisdictions, equivalent cash compensation). For purposes of determining a Participant’s Compensation, any election by such Participant to reduce his or her regular cash remuneration under Sections 125 or 401(k) of the Code (or in foreign jurisdictions, equivalent deductions) shall be treated as if the Participant did not make such election. Contributions shall commence (i) for the Initial Offering Period, the first administratively practicable payday as determined by the Compensation Committee following both the effective date of filing with the U.S. Securities and Exchange Commission a securities registration statement for the Plan and the Initial Offering Period Window (provided,

 

5


however, the payroll deductions for each of the remaining payroll periods in the Initial Offering Period will not be increased by the amount of the Contributions that would have been made prior to the end of the Initial Offering Period Window), and (ii) for subsequent Offering Periods, on the first payday following the beginning of any subsequent Offering Period, and in either case shall continue to the end of the applicable Offering Period unless sooner altered or terminated as provided in this Plan. Notwithstanding the foregoing, the terms of any sub-plan may permit matching shares without the payment of any purchase price.

(b) Subject to Section 25 below and the rules of the Committee, a Participant may decrease the rate of Contributions during an Offering Period by filing with the Company and/or the Third Party Administrator a new authorization for Contributions, with the new rate to become effective as soon as practicable after the Company’s receipt of the authorization and continuing for the remainder of the Offering Period unless changed as described below. A decrease in the rate of Contributions (including a decrease to 0% pursuant to Section 9(c)) may be made once during each Purchase Period, or more or less frequently under rules determined by the Committee. An increase in the rate of payroll deductions may not be made with respect to an on-going Offering Period unless otherwise determined by the Committee. A Participant may increase or decrease the rate of Contributions for any subsequent Offering Period by filing with the Company and/or the Third Party Administrator a new authorization for Contributions prior to the beginning of such Offering Period, or such other time period as specified by the Committee.

(c) Subject to Section 25 below and the rules of the Committee, a Participant may reduce his or her Contribution percentage to zero during an Offering Period by filing with the Company and/or the Third Party Administrator a request for cessation of Contributions. Such reduction shall be effective as soon as practicable after the Company’s receipt of the request and no further Contributions will be made for the duration of the Offering Period. Contributions credited to the Participant’s account prior to the effective date of the request shall be used to purchase shares of Common Stock in accordance with Subsection 9(e) below. A reduction of the Contribution percentage to zero shall be treated as such Participant’s withdrawal from such Offering Period and the Plan, effective as of the day after the next Purchase Date following the filing date of such request with the Company and/or the Third Party Administrator.

(d) All Contributions made for a Participant are credited to his or her book account under this Plan and are deposited with the general funds of the Company, except to the extent local legal restrictions outside the United States require segregation of such Contributions. No interest accrues on the Contributions, except to the extent required due to local legal requirements. All Contributions received or held by the Company may be used by the Company for any corporate purpose, and the Company shall not be obligated to segregate such Contributions, except to the extent necessary to comply with local legal requirements outside the United States.

(e) On each Purchase Date, so long as this Plan remains in effect and provided that the Participant has not submitted a signed and completed withdrawal form before that date which notifies the Company and/or the Third Party Administrator that the Participant wishes to withdraw from that Offering Period under this Plan and have all Contributions accumulated in the account maintained on behalf of the Participant as of that date returned to the Participant, the Company shall apply the funds then in the Participant’s account to the purchase of whole shares

 

6


of Common Stock reserved under the option granted to such Participant with respect to the Offering Period to the extent that such option is exercisable on the Purchase Date. The Purchase Price per share shall be as specified in Section 8 of this Plan. Any fractional share, as calculated under this Subsection 9(e), shall be rounded down to the next lower whole share, unless the Committee determines with respect to all Participants that any fractional share shall be credited as a fractional share. Any amount remaining in a Participant’s account on a Purchase Date which is less than the amount necessary to purchase a full share of the Common Stock shall be carried forward without interest (except to the extent necessary to comply with local legal requirements outside the United States) into the next Purchase Period or Offering Period, as the case may be; unless otherwise required to be refunded or returned to the Participant pursuant to this Section 9, Section 10(d), Section 11(b), Section 12, Section 13, Section 25, or as otherwise provided by this Plan; however, the Committee may determine that such amounts should be refunded without interest. In the event that this Plan has been oversubscribed, all funds not used to purchase shares on the Purchase Date shall be returned to the Participant, without interest (except to the extent required due to local legal requirements outside the United States). No Common Stock shall be purchased on a Purchase Date on behalf of any employee whose participation in this Plan has terminated prior to such Purchase Date, except to the extent required due to local legal requirements outside the United States.

(f) As promptly as practicable after the Purchase Date, the Company shall issue shares for the Participant’s benefit representing the shares purchased upon exercise of his or her option.

(g) Unless determined otherwise by the Committee, the shares issued pursuant to Section 9(f) above shall be deposited into an account established in the Participant’s name at the ESPP Broker. A Participant shall be free to undertake a disposition (as that term is defined in Section 424(c) of the Code) of the shares in his or her ESPP Broker account at any time, whether by sale, exchange, gift, or other transfer of legal title, but in the absence of such a disposition of the shares, the shares must remain in the Participant’s ESPP Broker account until the holding period set forth in Section 423(a) of the Code has been satisfied. With respect to shares for which the Section 423(a) holding period has been satisfied, the Participant may move those shares to another brokerage account of Participant’s choosing. Notwithstanding the above, a Participant who is not subject to income taxation under the Code may move his or her shares to another brokerage account of his or her choosing at any time, without regard to the satisfaction of the Section 423(a) holding period.

(h) During a Participant’s lifetime, his or her option to purchase shares hereunder is exercisable only by him or her. The Participant will have no interest or voting right in shares covered by his or her option until such option has been exercised.

(i) To the extent required by applicable federal, state, local or foreign law, a Participant shall make arrangements satisfactory to the Company and, if applicable, the Participating Corporation employing the Participant for the satisfaction of any withholding tax obligations that arise in connection with the Plan. The Company or any Participating Corporation, as applicable, may withhold, by any method permissible under the applicable law, the amount necessary for the Company or Participating Corporation, as applicable, to meet applicable withholding obligations, including up to (but not in excess of) the maximum

 

7


permissible statutory rate for the applicable tax jurisdiction and including any withholding required to make available to the Company or Participating Corporation, as applicable, any tax deductions or benefits attributable to the sale or early disposition of shares of Common Stock by a Participant. The Company shall not be required to issue any shares of Common Stock under the Plan until such obligations are satisfied.

10.LIMITATIONS ON SHARES TO BE PURCHASED.

(a) No Participant will be entitled to purchase stock under any Offering Period at a rate which, when aggregated with such Participant’s rights to purchase stock under all other employee stock purchase plans of a Participating Company intended to meet the requirements of Section 423 of the Code that are also outstanding in the same calendar year(s) (whether under other Offering Periods or other employee stock purchase plans of the Company, its Parent, and its Subsidiaries), exceeds $25,000 in Fair Market Value, determined as of the Offering Date (or such other limit as may be imposed by the Code) for each calendar year in which such Offering Period is in effect (the “Maximum Share Amount”). The Company may automatically suspend the payroll deductions of any Participant as necessary to enforce such limit, provided that when the Company automatically resumes such payroll deductions, the Company must apply the rate in effect immediately prior to such suspension.

(b) The Committee may, in its sole discretion, set a lower maximum number of shares that may be purchased by any Participant during any Offering Period than that determined under Section 10(a) above, which will then be the Maximum Share Amount for subsequent Offering Periods; provided, however, that in no event will a Participant be permitted, during one Purchase Period to purchase more than Two Thousand Five Hundred (2,500) shares or such greater or lesser number as the Committee may determine, irrespective of the Maximum Share Amount set forth in (a) and (b) hereof. If a new Maximum Share Amount is set, then all Participants will be notified of such Maximum Share Amount prior to the commencement of the next Offering Period for which such Maximum Share Amount is to be effective. The Maximum Share Amount will continue to apply with respect to all succeeding Offering Periods unless revised by the Committee as set forth above.

(c) If the number of shares to be purchased on a Purchase Date by all Participants exceeds the number of shares then available for issuance under this Plan, then the Company will make a pro rata allocation of the remaining shares in as uniform a manner as shall be reasonably practicable and as the Committee shall determine to be equitable. In such event, the Company will give notice of such reduction of the number of shares to be purchased under a Participant’s option to each Participant affected.

(d) Any Contributions accumulated in a Participant’s account which are not used to purchase stock due to the limitations in this Section 10, and not covered by Section 9(e), shall be returned to the Participant as soon as practicable after the end of the applicable Purchase Period, without interest (except to the extent required due to local legal requirements outside the United States).

 

8


11.WITHDRAWAL.

(a) Each Participant may withdraw from an Offering Period under this Plan pursuant to a method specified for such purpose by the Company. Such withdrawal may be elected at any time prior to the end of an Offering Period, or such other time period as specified by the Committee. The Committee may set forth a deadline of when a withdrawal must occur to be effective prior to a given Purchase Date in accordance with policies it may approve from time to time.

(b) Upon withdrawal from this Plan, the accumulated Contributions shall be returned to the withdrawn Participant, without interest (except to the extent required due to local legal requirements outside the United States), and his or her interest in this Plan shall terminate. In the event a Participant voluntarily elects to withdraw from this Plan, he or she may not resume his or her participation in this Plan during the same Offering Period, but he or she may participate in any Offering Period under this Plan which commences on a date subsequent to such withdrawal by filing a new authorization for Contributions in the same manner as set forth in Section 6 above for initial participation in this Plan.

(c) To the extent applicable, if the Fair Market Value on the first day of the current Offering Period in which a Participant is enrolled is higher than the Fair Market Value on the last day of any applicable Purchase Period, (1) after completion of the purchase on the Purchase Date of such Purchase Period as set forth in Subsection (2) below, the Company will automatically withdraw the Participant from the current Offering Period and the Participant will be automatically enrolled in the subsequent Offering Period and (2) any funds accumulated in a Participant’s account prior to the first day of such subsequent Offering Period will be applied to the purchase of shares on the Purchase Date preceding the first day of such subsequent Offering Period.

12.TERMINATION OF EMPLOYMENT. Termination of a Participant’s employment for any reason, including (but not limited to) retirement, death, disability, or the failure of a Participant to remain an eligible employee of the Company or of a Participating Corporation, or Participant’s employer no longer being a Participating Corporation, immediately terminates his or her participation in this Plan (except as required due to local legal requirements outside the United States). In such event, accumulated Contributions credited to the Participant’s account will be returned to him or her or, in the case of his or her death, to his or her legal representative, without interest (except to the extent required due to local legal requirements outside the United States). For purposes of this Section 12, an employee will not be deemed to have terminated employment or failed to remain in the continuous employ of the Company or of a Participating Corporation in the case of sick leave, military leave, or any other leave of absence approved by the Company; provided that such leave is for a period of not more than ninety (90) days or reemployment upon the expiration of such leave is guaranteed by contract or statute. The Company will have sole discretion to determine whether a Participant has terminated employment and the effective date on which the Participant terminated employment, regardless of any notice period or garden leave required under local law.

 

9


13.RETURN OF CONTRIBUTIONS. In the event a Participant’s interest in this Plan is terminated by withdrawal, termination of employment or otherwise, or in the event this Plan is terminated by the Board, the Company shall deliver to the Participant all accumulated Contributions credited to such Participant’s account. No interest shall accrue on the Contributions of a Participant in this Plan (except to the extent required due to local legal requirements outside the United States).

14.CAPITAL CHANGES. If the number or class of outstanding shares is changed by a stock dividend, recapitalization, stock split, reverse stock split, subdivision, combination, reclassification or similar change in the capital structure of the Company, without consideration, then the Committee shall adjust the number and class of Common Stock that may be delivered under the Plan, the Purchase Price per share and the number of shares of Common Stock covered by each option under the Plan which has not yet been exercised, and the numerical limits of Sections 2 and 10 shall be proportionately adjusted, subject to any required action by the Board or the stockholders of the Company and in compliance with the applicable securities laws; provided that fractions of a share will not be issued.

15.NONASSIGNABILITY. Neither Contributions credited to a Participant’s account nor any rights with regard to the exercise of an option or to receive shares under this Plan may be assigned, transferred, pledged or otherwise disposed of in any way (other than by will, the laws of descent and distribution or as provided in Section 22 below) by the Participant. Any such attempt at assignment, transfer, pledge or other disposition shall be void and without effect.

16.USE OF PARTICIPANT FUNDS AND REPORTS. The Company may use all Contributions received or held by it under the Plan for any corporate purpose, and the Company will not be required to segregate Participant Contributions (except to the extent required due to local legal requirements outside the United States). Until shares are issued, Participants will only have the rights of an unsecured creditor unless otherwise required under local law. Each Participant shall receive, or have access to, promptly after the end of each Purchase Period a report of his or her account setting forth the total Contributions accumulated, the number of shares purchased, the per share price thereof and the remaining cash balance, if any, carried forward to the next Purchase Period or Offering Period (or refunded without interest, if so determined by the Committee), as the case may be.

17.NOTICE OF DISPOSITION. If a Participant is subject to tax in the United States, such Participant shall notify the Company in writing if the Participant disposes of any of the shares purchased in any Offering Period pursuant to this Plan if such disposition occurs within the Notice Period. The Company may, at any time during the Notice Period, place a legend or legends on any certificate representing shares acquired pursuant to this Plan requesting the Company’s transfer agent to notify the Company of any transfer of the shares. The obligation of the Participant to provide such notice shall continue notwithstanding the placement of any such legend on the certificates.

18.NO RIGHTS TO CONTINUED EMPLOYMENT. Neither this Plan nor the grant of any option hereunder shall confer any right on any employee to remain in the employ of the Company or any Participating Corporation, or restrict the right of the Company or any Participating Corporation to terminate such employee’s employment.

 

10


19.EQUAL RIGHTS AND PRIVILEGES. All eligible employees granted an option under the Section 423 Component of this Plan shall have equal rights and privileges with respect to this Plan or within any separate offering under the Plan so that this Plan qualifies as an “employee stock purchase plan” within the meaning of Section 423 or any successor provision of the Code and the related regulations. Any provision of this Plan which is inconsistent with Section 423 or any successor provision of the Code, without further act or amendment by the Company, the Committee or the Board, shall be reformed to comply with the requirements of Section 423 (unless such provision applies exclusively to options granted under the Plan that are not intended to comply with the Code Section 423 requirements). This Section 19 shall take precedence over all other provisions in this Plan.

20.NOTICES. All notices or other communications by a Participant to the Company under or in connection with this Plan shall be deemed to have been duly given when received in the form specified by the Company at the location, or by the person, designated by the Company for the receipt thereof.

21.TERM; STOCKHOLDER APPROVAL. This Plan will become effective on the Effective Date. This Plan shall be approved by the stockholders of the Company, in any manner permitted by applicable corporate law, within twelve (12) months before or after the date this Plan is adopted by the Board. No purchase of shares that are subject to such stockholder approval before becoming available under this Plan shall occur prior to stockholder approval of such shares and the Board or Committee may delay any Purchase Date and postpone the commencement of any Offering Period subsequent to such Purchase Date as deemed necessary or desirable to obtain such approval (provided that if a Purchase Date would occur more than twenty-four (24) months after commencement of the Offering Period to which it relates, then such Purchase Date shall not occur and instead such Offering Period shall terminate without the purchase of such shares and Participants in such Offering Period shall be refunded their Contributions without interest, unless the payment of interest is required under local laws). This Plan shall continue until the earlier to occur of (a) termination of this Plan by the Board (which termination may be effected by the Board at any time pursuant to Section 25 below), or (b) issuance of all of the shares of Common Stock reserved for issuance under this Plan, or (c) the tenth anniversary of the Effective Date.

22. DESIGNATION OF BENEFICIARY.

(a) If authorized by the Company for all Participants, a Participant may file a written or electronic designation of a beneficiary who is to receive any cash from the Participant’s account under this Plan in the event of such Participant’s death prior to a Purchase Date. Such form shall be valid only if it was filed with the Company and/or the Third Party Administrator at the prescribed location before the Participant’s death.

(b) If authorized by the Company, such designation of beneficiary may be changed by the Participant at any time by written notice filed with the Company and/or the Third Party Administrator at the prescribed location before the Participant’s death. In the event of the death of a Participant and in the absence of a beneficiary validly designated under this Plan who is living at the time of such Participant’s death, the Company shall deliver such cash to the executor or administrator of the estate of the Participant or to the legal heirs of the Participant.

 

11


23.CONDITIONS UPON ISSUANCE OF SHARES; LIMITATION ON SALE OF SHARES. Shares shall not be issued with respect to an option unless the exercise of such option and the issuance and delivery of such shares pursuant thereto shall comply with all applicable provisions of law, domestic or foreign, including, without limitation, the U.S. Securities Act of 1933, as amended, the Exchange Act, the rules and regulations promulgated thereunder, and the requirements of any stock exchange or automated quotation system upon which the shares may then be listed, exchange control restrictions and/or securities law restrictions or other applicable laws outside the United States, and shall be further subject to the approval of counsel for the Company with respect to such compliance. Shares may be held in trust or subject to further restrictions as permitted by any subplan.

24.APPLICABLE LAW. The Plan shall be governed by the substantive laws (excluding the conflict of laws rules) of the State of Delaware.

25.AMENDMENT OR TERMINATION. The Committee, in its sole discretion, may amend, suspend, or terminate the Plan, or any part thereof, at any time and for any reason. Unless otherwise required by applicable law, if the Plan is terminated, the Committee, in its discretion, may elect to terminate all outstanding Offering Periods either immediately or upon completion of the purchase of shares of Common Stock on the next Purchase Date (which may be sooner than originally scheduled, if determined by the Committee in its discretion), or may elect to permit Offering Periods to expire in accordance with their terms (and subject to any adjustment pursuant to Section 14). If an Offering Period is terminated prior to its previously-scheduled expiration, all amounts then credited to Participants’ accounts for such Offering Period, which have not been used to purchase shares of Common Stock, shall be returned to those Participants (without interest thereon, except as otherwise required under local laws) as soon as administratively practicable. Further, the Committee will be entitled to change the Purchase Periods and Offering Periods, limit the frequency and/or number of changes in the amount contributed during a Purchase Period or an Offering Period, establish the exchange ratio applicable to amounts contributed in a currency other than U.S. dollars, permit payroll withholding in excess of the amount designated by a Participant in order to adjust for delays or mistakes in the administration of the Plan, establish reasonable waiting and adjustment periods and/or accounting and crediting procedures to ensure that amounts applied toward the purchase of Common Stock for each Participant properly correspond with amounts contributed from the Participant’s base salary and other eligible compensation, and establish such other limitations or procedures as the Committee determines in its sole discretion advisable which are consistent with the Plan. Such actions will not require stockholder approval or the consent of any Participants. However, no amendment shall be made without approval of the stockholders of the Company (obtained in accordance with Section 21 above) within twelve (12) months of the adoption of such amendment (or earlier if required by Section 21) if such amendment would: (a) increase the number of shares that may be issued under this Plan; or (b) change the designation of the employees (or class of employees) eligible for participation in this Plan. In addition, in the event the Board or Committee determines that the ongoing operation of the Plan may result in unfavorable financial accounting consequences, the Board or Committee may, in its discretion and, to the extent necessary or desirable, modify, amend or terminate the Plan to reduce or eliminate such accounting consequences including, but not limited to: (i) amending the definition of compensation, including with respect to an Offering Period underway at the time; (ii) altering the Purchase Price for any Offering Period including an Offering Period underway at

 

12


the time of the change in Purchase Price; (iii) shortening any Offering Period by setting a Purchase Date, including an Offering Period underway at the time of the Committee’s action; (iv) reducing the maximum percentage of Compensation a participant may elect to set aside as Contributions; and (v) reducing the maximum number of shares a Participant may purchase during any Offering Period. Such modifications or amendments will not require approval of the stockholders of the Company or the consent of any Participants.

26.CORPORATE TRANSACTIONS. In the event of a Corporate Transaction, each outstanding right to purchase Common Stock for the Offering Period then in effect will be assumed or an equivalent option substituted by the successor corporation or a parent or a subsidiary of the successor corporation. In the event that the successor corporation refuses to assume or substitute for the purchase right, the Offering Period with respect to which such purchase right relates will be shortened by setting a new Purchase Date and will end on the new Purchase Date. The new Purchase Date shall occur on or prior to the consummation of the Corporate Transaction, as determined by the Board or Committee, and the Plan shall terminate on the consummation of the Corporate Transaction.

27.CODE SECTION 409A; TAX QUALIFICATION.

(a) Options granted under the Plan generally are exempt from the application of Section 409A of the Code. However, options granted to U.S. taxpayers which are not intended to meet the Code Section 423 requirements are intended to be exempt from the application of Section 409A of the Code under the short-term deferral exception and any ambiguities shall be construed and interpreted in accordance with such intent. Subject to Subsection (b), options granted to U.S. taxpayers outside of the Code Section 423 requirements shall be subject to such terms and conditions that will permit such options to satisfy the requirements of the short-term deferral exception available under Section 409A of the Code, including the requirement that the shares of Common Stock subject to an option be delivered within the short-term deferral period. Subject to Subsection (b), in the case of a Participant who would otherwise be subject to Section 409A of the Code, to the extent the Committee determines that an option or the exercise, payment, settlement or deferral thereof is subject to Section 409A of the Code, the option shall be granted, exercised, paid, settled or deferred in a manner that will comply with Section 409A of the Code, including Treasury regulations and other interpretive guidance issued thereunder, including without limitation any such regulations or other guidance that may be issued after the Effective Date. Notwithstanding the foregoing, the Company shall have no liability to a Participant or any other party if the option that is intended to be exempt from or compliant with Section 409A of the Code is not so exempt or compliant or for any action taken by the Committee with respect thereto.

(b) Although the Company may endeavor to (i) qualify an option for favorable tax treatment under the laws of the United States or jurisdictions outside of the United States or (ii) avoid adverse tax treatment (e.g., under Section 409A of the Code), the Company makes no representation to that effect and expressly disavows any covenant to maintain favorable or avoid unfavorable tax treatment, notwithstanding anything to the contrary in this Plan, including Subsection (a). The Company shall be unconstrained in its corporate activities without regard to the potential negative tax impact on Participants under the Plan.

 

13


28. DEFINITIONS.

(a) “Affiliate” means any entity, other than a Subsidiary or Parent, (i) that, directly or indirectly, is controlled by, controls or is under common control with, the Company and (ii) in which the Company has a significant equity interest, in either case as determined by the Committee, whether now or hereafter existing.

(b) “Board” shall mean the Board of Directors of the Company.

(c) “Code” shall mean the U.S. Internal Revenue Code of 1986, as amended.

(d) “Committee” shall mean the Compensation Committee of the Board that consists exclusively of one or more members of the Board appointed by the Board.

(e) “Common Stock” shall mean the common stock of the Company.

(f) “Company” shall mean Maze Therapeutics, Inc.

(g) “Contributions” means payroll deductions taken from a Participant’s Compensation and used to purchase shares of Common Stock under the Plan and, to the extent payroll deductions are not permitted by applicable laws (as determined by the Committee in its sole discretion) contributions by other means, provided, however, that allowing such other contributions does not jeopardize the qualification of the Plan as an “employee stock purchase plan” under Section 423 of the Plan.

(h) “Corporate Transaction” means the occurrence of any of the following events: (i) any “person” (as such term is used in Sections 13(d) and 14(d) of the Exchange Act) becomes the “beneficial owner” (as defined in Rule 13d-3 of the Exchange Act), directly or indirectly, of securities of the Company representing more than fifty percent (50%) of the total voting power represented by the Company’s then outstanding voting securities; or (ii) the consummation of the sale or disposition by the Company of all or substantially all of the Company’s assets; or (iii) the consummation of a merger or consolidation of the Company with any other corporation, other than a merger or consolidation which would result in the voting securities of the Company outstanding immediately prior thereto continuing to represent (either by remaining outstanding or by being converted into voting securities of the surviving entity or its parent) at least fifty percent (50%) of the total voting power represented by the voting securities of the Company or such surviving entity or its parent outstanding immediately after such merger or consolidation.

(i) “Effective Date” shall mean the date on which the Registration Statement covering the initial public offering of the shares of Common Stock is declared effective by the U.S. Securities and Exchange Commission.

(j) “ESPP Broker” means a stock brokerage or other entity designated by the Company to establish accounts for stock purchased under the Plan by Participants.

(k) “Exchange Act” means the U.S. Securities Exchange Act of 1934, as amended.

 

14


(l) “Fair Market Value” shall mean, as of any date, the value of a share of Common Stock determined as follows:

(1) if such Common Stock is publicly traded and is then listed on a national securities exchange, its closing price on the date of determination on the principal national securities exchange on which the Common Stock is listed or admitted to trading as reported in The Wall Street Journal or such other source as the Board or the Committee deems reliable;

(2) (b) if such Common Stock is publicly traded but is neither listed nor admitted to trading on a national securities exchange, the average of the closing bid and asked prices on the date of determination as reported in The Wall Street Journal or such other source as the Committee deems reliable;

(3) with respect to the Initial Offering Period, Fair Market Value on the Offering Date shall be the price at which shares of Common Stock are offered for sale to the public by the Company’s underwriters in the initial public offering of Shares as set forth in the LOGO Company’s final prospectus included within the Registration Statement; or

(4) if none of the foregoing is applicable, by the Board or the Committee in good faith.

(m) “Non-Section 423 Component” means the part of the Plan which is not intended to meet the requirements set forth in Section 423 of the Code.

(n) “Notice Period” shall mean within two (2) years from the Offering Date or within one (1) year from the Purchase Date on which such shares were purchased.

(o) “Offering Date” shall mean the first Trading Day of each Offering Period. However, for the Initial Offering Period the Offering Date shall be the Effective Date.

(p) “Offering Period” shall mean a period with respect to which the right to purchase Common Stock may be granted under the Plan, as determined by the Committee pursuant to Section 5(a).

(q) “Parent” shall have the same meaning as “parent corporation” in Sections 424(e) and 424(f) of the Code.

(r) “Participant” shall mean an eligible employee who meets the eligibility requirements set forth in Section 4 and who is either automatically enrolled in the Initial Offering Period or who elects to participate in this Plan pursuant to Section 6(b).

(s) “Participating Corporation” shall mean any Parent, Subsidiary or Affiliate that the Committee designates from time to time as eligible to participate in this Plan. For purposes of the Section 423 Component, only the Parent and Subsidiaries may be Participating Corporations, provided, however, that at any given time a Parent or Subsidiary that is a Participating Corporation under the Section 423 Component shall not be a Participating Corporation under the Non-Section 423 Component. The Committee may provide that any Participating Corporation shall only be eligible to participate in the Non-Section 423 Component.

 

15


(t) “Plan” shall mean this Maze Therapeutics, Inc. 2025 Employee Stock Purchase Plan, as may be amended from time to time.

(u) “Pre-Funded Warrant” means any warrant to acquire shares of common stock for a nominal exercise price.

(v) “Purchase Date” shall mean the last Trading Day of each Purchase Period.

(w) “Purchase Period” shall mean a period during which Contributions may be made toward the purchase of Common Stock under the Plan, as determined by the Committee pursuant to Section 5(b).

(x) “Purchase Price” shall mean the price at which Participants may purchase shares of Common Stock under the Plan, as determined pursuant to Section 8.

(y) “Registration Statement” means the registration statement on Form S-1 filed with the SEC under the Securities Act pursuant to which shares of Common Stock are initially offered for sale to the public.

(z) “Section 423 Component” means the part of the Plan, which excludes the Non-Section 423 Component, pursuant to which options to purchase shares of Common Stock under the Plan that satisfy the requirements for “employee stock purchase plans” set forth in Section 423 of the Code may be granted to eligible employees.

(aa) “Subsidiary” shall have the same meaning as “subsidiary corporation” in Sections 424(e) and 424(f) of the Code.

(bb) “Trading Day” means a day on which the principal national stock exchange upon which the Common Stock is listed is open for trading.

 

16


MAZE THERAPEUTICS, INC. (THE “COMPANY”)

2025 EMPLOYEE STOCK PURCHASE PLAN

 

Capitalized terms used but not otherwise defined herein shall

have the meaning given to them in the ESPP.

  

CONFIRMATION / CHANGE FORM FOR

INITIAL OFFERING PERIOD

COMMENCING ON IPO

You have been automatically enrolled in the ESPP. This form must be completed by [  ] regardless of whether you want to continue in the ESPP, change your contribution percentage or withdraw from the ESPP.

 

 

SECTION 1:

 

ENROLLMENT CONFIRMED

  

 

I understand that I have been automatically enrolled in the ESPP, and I hereby elect to continue to participate in the Company’s 2025 Employee Stock Purchase Plan (the “ESPP”). I understand that my enrollment was effective at the beginning of the Initial Offering Period, and, as a result of that enrollment, I am electing to purchase shares of Common Stock of the Company pursuant to the terms and conditions of the ESPP and this Confirmation/Change Form. I understand that the shares purchased on my behalf will be issued in street name and deposited directly into my brokerage account at the Company’s captive broker (the “ESPP Broker”). I hereby agree to take all steps, and sign all forms, required to establish an account with the ESPP Broker for this purpose. I understand and agree that I will be required to utilize the ESPP Broker with respect to the shares purchased under this ESPP until the end of the time period described in Section 9(g) of the ESPP.

 

If I timely file or submit this Confirmation/Change Form, my participation will continue as long as I remain eligible, unless I withdraw from the ESPP by filing or submitting an Enrollment/Change Form with the Company or any third party designated by the Company. I understand that I must notify the Company of any disposition of shares purchased under the ESPP.

 

 

SECTION 2:

 

ELECT/CHANGE CONTRIBUTION PERCENTAGE

  

 

I understand that I am currently automatically enrolled in the ESPP at a contribution level equal to 15% of my Compensation (as defined in the ESPP, which includes base salary or wages). My contributions will be applied to the purchase of shares of Common Stock pursuant to the ESPP.

 

I hereby authorize the Company to either (a) continue the automatic enrollment at the 15% contribution level, or (b) continue the automatic enrollment but decrease the contribution level, in either case, by withholding of the percentage indicated below from my Compensation (as defined in the ESPP, which includes base salary or wages) from each of my paychecks, as long as I continue to participate in the ESPP. For the Initial Offering Period, withholding from your paychecks will commence as described in the ESPP.

 

☐ Continue my contribution at 15%.

 

☐ Decrease my contribution percentage to   % (must be a whole number from 1% up toa maximum of 14%).

 

Note:   You may not increase your contributions within an on-going Offering Period. An increase in your contribution percentage can only take effect with the next Offering Period.

 

You may decrease your contribution percentage once during each Purchase Period (including a decrease to 0%) to be effective during that Purchase Period. If you decrease your percentage to 0%, any previously accumulated contributions will be used to purchase shares on the next Purchase Date pursuant to Section 9 of the ESPP, and you will then be withdrawn from the ESPP. A change will become effective as soon as reasonably practicable after the form is received by the Company.

 

 

SECTION 3:

 

WITHDRAW FROM
ESPP

  

 

DO NOT CHECK THE BOX BELOW IF YOU WISH TO CONTINUE TO PARTICIPATE IN THE ESPP

 

☐ I understand that my enrollment in the ESPP was automatically effective at the beginning of the Initial Offering Period. I hereby elect to withdraw from the ESPP.

 

Note: No contributions will be made if you elect to opt out of the ESPP. I understand that I cannot resume participation until the start of the next Offering Period and must timely file a new enrollment form to do so.

 


 

SECTION 4:

 

COMPLIANCE WITH LAW

  

 

Unless there is an available exemption from any registration, qualification or other legal requirement applicable to the shares of Common Stock the Company shall not be required to deliver any shares under the ESPP prior to the completion of any registration or qualification of the shares under any applicable law, or prior to obtaining any approval or other clearance from any local, state, federal or foreign governmental agency, which registration, qualification or approval the Company shall, in its absolute discretion, deem necessary or advisable. I agree that the Company shall have unilateral authority to amend the ESPP and this Agreement without my consent to the extent necessary to comply with securities or other laws applicable to the issuance of shares.

 

 

SECTION 5:

 

NO ADVICE REGARDING GRANT; RESPONSIBILITY FOR TAXES

  

 

The Company is not providing any tax, legal or financial advice, nor is the Company making any recommendations regarding my participation in the ESPP or my acquisition or sale of shares of Common Stock. I understand that I should consult with my own personal tax, legal and financial advisors regarding my participation in the ESPP before taking any action related to the ESPP.

 

I acknowledge that, regardless of any action taken by the Company (or the employer), the ultimate liability for all income tax, social insurance, payroll tax, fringe benefits tax, payment on account or other tax-related items related to my participation in the ESPP and legally applicable to me (“Tax-Related Items”) is and remains my responsibility. I further acknowledge that the Company (or the employer) (1) make no representations or undertakings regarding the treatment of any Tax-Related Items in connection with any aspect of the ESPP and (2) do not commit to and are under no obligation to structure the terms of the ESPP to reduce or eliminate my liability for Tax-Related Items or achieve any particular tax result. Further, if I am subject to Tax-Related Items in more than one jurisdiction, I acknowledge that the Company and/or the Employer (or former employer, as applicable) may be required to withhold or account for Tax-Related Items in more than one jurisdiction.

 

Prior to any relevant taxable or tax withholding event, as applicable, I agree to make adequate arrangements satisfactory to the Company (or the employer), to satisfy all Tax-Related Items. In this regard, I authorize the Company and/or the Employer to satisfy their withholding obligations with regard to all Tax-Related Items by one or a combination of the following: (a) withholding from my wages or other cash compensation payable to me by the Company (or the employer), (b) withholding from proceeds of the sale of shares of Common Stock purchased under the ESPP, either through a voluntary sale or through a mandatory sale arranged by the Company (on my behalf pursuant to this authorization without further consent), and (c) withholding in shares to be issued upon purchase under the ESPP. In addition, I agree to pay to the Company (or the employer) any amount of Tax-Related Items that the Company (or the employer) may be required to withhold or account for as a result of my participation in the ESPP that cannot be satisfied by the means previously described. The Company may refuse to purchase or deliver the shares or the proceeds from the sale of shares of Common Stock, if I fail to comply with my obligations in connection with the Tax-Related Items.

 

 

SECTION 6:

 

ELECTRONIC DELIVERY AND ACCEPTANCE

  

 

The Company may, in its sole discretion, decide to deliver any documents related to current or future participation in the ESPP by electronic means. I hereby consent to receive such documents by electronic delivery and agree to participate in the ESPP through an on-line or electronic system established and maintained by the Company or a third party designated by the Company.

 

 

SECTION 7:

 

ACKNOWLEDGMENT AND SIGNATURE

  

 

I acknowledge that I have received a copy of the ESPP and the ESPP Prospectus (which summarizes the major features of the ESPP). I have read the ESPP and the ESPP Prospectus and my signature below indicates that I hereby agree to be bound by the terms of the ESPP.

 

Signature:                                  Date:      

 


MAZE THERAPEUTICS, INC. (THE “COMPANY”)

2025 EMPLOYEE STOCK PURCHASE PLAN

 

Capitalized terms used but not otherwise defined herein shall
have the meaning given to them in the ESPP.

   ENROLLMENT / CHANGE FORM  

 

 

SECTION 1:

 

ENROLL

  

 

☐ I hereby elect to participate in the Company’s 2025 Employee Stock Purchase Plan (the “ESPP”), effective at the beginning of the next Offering Period. I elect to purchase shares of Common Stock of the Company pursuant to the terms and conditions of the ESPP and this Enrollment/Change Form. I understand that the shares purchased on my behalf will be issued in street name and deposited directly into my brokerage account at the Company’s captive broker (the “ESPP Broker”). I hereby agree to take all steps, and sign all forms, required to establish an account with the ESPP Broker for this purpose. I understand and agree that I will be required to utilize the ESPP Broker with respect to the shares purchased under this ESPP until the end of the time period described in Section 9(g) of the ESPP.

 

My participation will continue as long as I remain eligible, unless I withdraw from the ESPP by filing a new Enrollment/Change Form with the Company or any third party designated by the Company. I understand that I must notify the Company of any disposition of shares purchased under the ESPP.

 

 

SECTION 2:

 

ELECT/CHANGE CONTRIBUTION PERCENTAGE

  

 

I hereby authorize the Company to withhold from each of my paychecks such amount as is necessary to equal at the end of the applicable Purchase Period   % of my Compensation (as defined in the ESPP, which includes base salary or wages) as long as I continue to participate in the ESPP. My contributions, plus any accumulated contributions thus far during the current Purchase Period if this is a change, will be applied to the purchase of shares of Common Stock pursuant to the ESPP. The percentage must be a whole number (from 1%, up to a maximum of 15%, with respect to enrollment or an increase in contribution percentage; and from 0%, up to a maximum of 14%, for a decrease in contribution percentage).

 

If this is a change to my current enrollment, this represents an ☐-increase ☐-decrease to my contribution percentage.

 

Note:   You may not increase your contributions at any time within an ongoing Offering Period. An increase in your contribution percentage can only take effect with the next Offering Period. You may decrease your contribution percentage once during each Purchase Period (including a decrease to 0%) to be effective during that Purchase Period. If you decrease your percentage to 0%, any previously accumulated contributions will be used to purchase shares on the next Purchase Date pursuant to Section 9 of the ESPP, and you will then be withdrawn from the ESPP. A change will become effective as soon as reasonably practicable after the form is received by the Company.

 

 

SECTION 3:

 

WITHDRAW FROM
ESPP

  

 

DO NOT CHECK THE BOX BELOW IF YOU WISH TO CONTINUE TO PARTICIPATE IN THE ESPP

 

☐ I hereby elect to withdraw from the ESPP and stop my contributions to, and participation in, the ESPP, effective as soon as reasonably practicable after this form is received by the Company. Accumulated contributions will be returned to me without interest, pursuant to Section 11 of the ESPP.

 

Note:  No future contributions will be made if you elect to withdraw from the ESPP. You may enroll in subsequent Offering Periods.

 


 

SECTION 4:

 

COMPLIANCE WITH LAW

  

 

Unless there is an available exemption from any registration, qualification or other legal requirement applicable to the shares of Common Stock the Company shall not be required to deliver any shares under the ESPP prior to the completion of any registration or qualification of the shares under any applicable law, or prior to obtaining any approval or other clearance from any local, state, federal or foreign governmental agency, which registration, qualification or approval the Company shall, in its absolute discretion, deem necessary or advisable. I agree that the Company shall have unilateral authority to amend the ESPP and this Agreement without my consent to the extent necessary to comply with securities or other laws applicable to the issuance of shares.

 

 

SECTION 5:

 

NO ADVICE REGARDING GRANT; RESPONSIBILITY FOR TAXES

  

 

The Company is not providing any tax, legal or financial advice, nor is the Company making any recommendations regarding my participation in the ESPP or my acquisition or sale of shares of Common Stock. I understand that I should consult with my own personal tax, legal and financial advisors regarding my participation in the ESPP before taking any action related to the ESPP.

 

I acknowledge that, regardless of any action taken by the Company (or the employer), the ultimate liability for all income tax, social insurance, payroll tax, fringe benefits tax, payment on account or other tax-related items related to my participation in the ESPP and legally applicable to me (“Tax-Related Items”) is and remains my responsibility. I further acknowledge that the Company (or the employer) (1) make no representations or undertakings regarding the treatment of any Tax-Related Items in connection with any aspect of the ESPP and (2) do not commit to and are under no obligation to structure the terms of the ESPP to reduce or eliminate my liability for Tax-Related Items or achieve any particular tax result. Further, if I am subject to Tax-Related Items in more than one jurisdiction, I acknowledge that the Company and/or the Employer (or former employer, as applicable) may be required to withhold or account for Tax-Related Items in more than one jurisdiction.

 

Prior to any relevant taxable or tax withholding event, as applicable, I agree to make adequate arrangements satisfactory to the Company (or the employer), to satisfy all Tax-Related Items. In this regard, I authorize the Company and/or the Employer to satisfy their withholding obligations with regard to all Tax-Related Items by one or a combination of the following: (a) withholding from my wages or other cash compensation payable to me by the Company (or the employer), (b) withholding from proceeds of the sale of shares of Common Stock purchased under the ESPP, either through a voluntary sale or through a mandatory sale arranged by the Company (on my behalf pursuant to this authorization without further consent), and (c) withholding in shares to be issued upon purchase under the ESPP. In addition, I agree to pay to the Company (or the employer) any amount of Tax-Related Items that the Company (or the employer) may be required to withhold or account for as a result of my participation in the ESPP that cannot be satisfied by the means previously described. The Company may refuse to purchase or deliver the shares or the proceeds from the sale of shares of Common Stock, if I fail to comply with my obligations in connection with the Tax-Related Items.

 

 

SECTION 6:

 

ELECTRONIC DELIVERY AND ACCEPTANCE

 

  

 

The Company may, in its sole discretion, decide to deliver any documents related to current or future participation in the ESPP by electronic means. I hereby consent to receive such documents by electronic delivery and agree to participate in the ESPP through an on-line or electronic system established and maintained by the Company or a third party designated by the Company.

 

SECTION 7:

 

ACKNOWLEDGMENT AND SIGNATURE

  

 

I acknowledge that I have received a copy of the ESPP and the ESPP Prospectus (which summarizes the major features of the ESPP). I have read the ESPP and the ESPP Prospectus and my signature below indicates that I hereby agree to be bound by the terms of the ESPP.

 

Signature:                                 Date:        

 

EX-10.6

Exhibit 10.6

THE COVE AT OYSTER POINT

LEASE

This Lease (the “Lease”), dated as of the date set forth in Section 1 of the Summary of Basic Lease Information (the “Summary”), below, is made by and between HCP OYSTER POINT III LLC, a Delaware limited liability company (“Landlord”), and MAZE THERAPEUTICS, INC., a Delaware corporation (“Tenant”).

SUMMARY OF BASIC LEASE INFORMATION

 

TERMS OF LEASE    DESCRIPTION
1.   Date:    September 27, 2019
2.   Premises   
  (Article 1).   
  2.1   Building:    That certain four-story building containing approximately 132,368 rentable square feet of space (“RSF”) located at:
       171 Oyster Point Boulevard South San Francisco, California 94080
  2.2   Premises:    Approximately 67,185 RSF on the second (2nd) floor and the third (3rd) floor of the Building, as further set forth in Exhibit A to the Lease.
3.   Lease Term   
  (Article 2).   
  3.1   Length of Term:    Approximately ten (10) years commencing on the Lease Commencement Date and ending on the Lease Expiration Date.
  3.2   Lease Commencement Date:    The earlier to occur of (i) the date upon which Tenant first commences to conduct business in the Premises (other than the “Early Occupancy Premises” as that term is defined in and pursuant to the terms of Section 1.3 below), and (ii) the date that occurs seven (7) months following the date upon which Landlord delivers the Premises to Tenant in the “Delivery Condition” (as that term is defined in Section 1.1.1 below (the “Delivery Date”).


  3.3   Lease Expiration Date:    If the Lease Commencement Date shall be the first day of a calendar month, then the day immediately preceding the tenth (10th) anniversary of the Lease Commencement Date; or, if the Lease Commencement Date shall be other than the first day of a calendar month, then the last day of the month in which the tenth (10th) anniversary of the Lease Commencement Date occurs, or if Tenant exercises its option in accordance with Section 2.2 below, the last day of the Option Term.
4.  

Base Rent

(Article 3):

  

 

Lease Year   

Annual

Base Rent

   Monthly Installment
of Base Rent
  

Approximate

Monthly Base

Rent per Rentable
Square Foot

1 (months 1 through 6)

   $1,138,802.07    $189,800.45    $5.65

1 (months 7 through 12)

   $2,277,571.50    $379,595.25    $5.65

2

   $4,714,573.01    $392,881.08    $5.85

3

   $4,879,583.06    $406,631.92    $6.05

4

   $5,050,368.47    $420,864.04    $6.26

5

   $5,227,131.36    $435,594.28    $6.48

6

   $5,410,080.96    $450,840.08    $6.71

7

   $5,599,433.80    $466,619.48    $6.95

8

   $5,795,413.98    $482,951.16    $7.19

9

   $5,998,253.47    $499,854.46    $7.44

10

   $6,208,192.34    $517,349.36    $7.70

*Note that for the first six (6) months of the Lease Term, Tenant’s Base Rent obligation has been calculated as if the Premises contained only 33,593 rentable square feet. Such calculation shall not affect Tenant’s right to use the entire Premises, or Tenant’s rights or obligations under this Lease with respect to the entire Premises, including without limitation, Tenant’s obligation to pay Tenant’s Share of Direct Expenses with respect to the Premises which shall be as provided in Section 6 of this Summary, all in accordance with the terms and conditions of this Lease.

 

2


5.  

Tenant Improvement Allowance

(Exhibit B):

   An amount equal to $65.00 per rentable square foot of the Premises (i.e., $4,367,025.00 based upon 67,185 rentable square feet in the Premises).
6.  

Tenant’s Share

(Article 4):

   50.76%.
7.  

Permitted Use

(Article 5):

   The Premises shall be used only for general office, research and development, engineering, laboratory, vivarium, storage and/or warehouse uses, including, but not limited to, administrative offices and other lawful uses reasonably related to or incidental to such specified uses, all (i) consistent with first class life sciences projects in South San Francisco, California (“First Class Life Sciences Projects”), and (ii) in compliance with, and subject to, Applicable Laws and the terms of this Lease.

8.

 

Letter of Credit

(Article 21):

   $1,034,698.72.

9.

 

Parking

(Article 28):

   2.4 unreserved parking spaces for every 1,000 rentable square feet of the Premises, subject to the terms of Article 28 of the Lease.
10.  

Address of Tenant

(Section 29.18):

  

MAZE THERAPEUTICS

131 Oyster Point Boulevard, Floor 2

South San Francisco, CA 94080

Attn: Chief Business Officer

 

With copies to:

 

Attn: Senior Manager, Operations

And

Attn: Corporate Controller

 

(Prior to Lease Commencement Date)

 

The Premises

Attention: Chief Business Officer

 

With copies to:

 

Attn: Senior Manager, Operations

And

Attn: Corporate Controller

(After Lease Commencement Date)

 

3


11.

 

Address of Landlord

(Section 29.18):

   See Section 29.18 of the Lease.

12.

 

Broker(s)

(Section 29.24):

   CBRE, Inc.

 

4


1.

PREMISES, BUILDING, PROJECT, AND COMMON AREAS

1.1  Premises, Building, Project and Common Areas.

1.1.1  The Premises. Landlord hereby leases to Tenant and Tenant hereby leases from Landlord the premises set forth in Section 2.2 of the Summary (the “Premises”). The outline of the Premises is set forth in Exhibit A attached hereto. The outline of the “Building” and the “Project,” as those terms are defined in Section 1.1.2 below, are further depicted on the Site Plan attached hereto as Exhibit A. The parties hereto agree that the lease of the Premises is upon and subject to the terms, covenants and conditions herein set forth, and covenant as a material part of the consideration for this Lease to keep and perform each and all of such terms, covenants and conditions by it to be kept and performed and that this Lease is made upon the condition of such performance. The parties hereto hereby acknowledge that the purpose of Exhibit A is to show the approximate location of the Premises only, and such Exhibit is not meant to constitute an agreement, representation or warranty as to the construction of the Premises, the precise area thereof or the specific location of the “Common Areas,” as that term is defined in Section 1.1.3, below, or the elements thereof or of the accessways to the Premises or the “Project,” as that term is defined in Section 1.1.2, below. Except as specifically set forth in this Lease and in the Tenant Work Letter attached hereto as Exhibit B (the “Tenant Work Letter”), Landlord shall not be obligated to provide or pay for any improvement work or services related to the improvement of the Premises. Tenant also acknowledges that neither Landlord nor any agent of Landlord has made any representation or warranty regarding the condition of the Premises, the Building or the Project or with respect to the suitability of any of the foregoing for the conduct of Tenant’s business, except as specifically set forth in this Lease and the Tenant Work Letter. The commencement of business operations from the Premises by Tenant shall presumptively establish that the Premises and the Building were at such time in good and sanitary order, condition and repair, subject only to (i) minor “punchlist” matters related to the Building brought to Landlord’s attention within ten (10) days after the Lease Commencement Date, and (ii) Landlord’s ongoing repair and maintenance obligations set forth in Article 7, below. Landlord shall deliver the Premises to Tenant fully decommissioned, in good, vacant, broom clean condition, and otherwise in substantially the same condition as of the date of this Lease, in compliance with all Applicable Laws (to the extent required to allow the legal occupancy of the Premises or completion of the Tenant Improvements), free of Hazardous Materials (as defined below), free of all other tenancies and other occupancy rights, with the Building’s roof water-tight and shall cause the plumbing, electrical systems, fire sprinkler system, lighting, and all other building systems serving the Premises to be in good operating condition and repair on or before the Lease Commencement Date (the “Delivery Condition”). The date of Landlord’s delivery of the Premises to Tenant in the Delivery Condition is the “Delivery Date”, which date is currently estimated to be May 1, 2020 and Tenant shall have no obligation to accept delivery of the Premises prior to May 1, 2020. Landlord shall use commercially reasonable and diligent efforts to deliver the Premises in the Delivery Condition by May 1, 2020. Notwithstanding anything in this Lease to the contrary, Landlord shall, at Landlord’s sole cost and expense (which shall not be deemed an “Operating Expense,” as that term is defined in Section 4.2.4), repair or replace any failed or inoperable portion of the Building systems serving the Premises during the first twelve (12) months of the initial Lease term (“Warranty Period”), provided that the need to repair or replace was not caused by the misuse, misconduct, damage, destruction, omissions, and/or negligence of Tenant, its subtenants and/or assignees, if any, or any company which is acquired, sold or merged with Tenant (collectively, “Tenant Damage”), or by

 

5


any modifications, Alterations or improvements constructed by or on behalf of Tenant. Landlord shall coordinate such work with Tenant and shall utilize commercially reasonable efforts to perform the same in a manner designed to minimize interference with Tenant’s use of the Premises. To the extent repairs which Landlord is required to make pursuant to this Section 1.1.1 are necessitated in part by Tenant Damage, then Tenant shall reimburse Landlord for an equitable proportion of the cost of such repair. Landlord will be responsible for causing, at its sole expense, the exterior of the Building, the existing Building entrances, and all Common Areas (including required striping and handicapped spaces in the parking areas) to be in compliance with Applicable Laws, to the extent required to allow the legal occupancy of the Premises or completion of the Tenant Improvements (except to the extent such compliance is triggered specifically by Tenant’s particular Tenant Improvements). Any process utilities shall be provided without warranty, in their currently existing, “as-is” condition.

1.1.2  The Building and The Project. The Premises constitutes the entire building set forth in Section 2.1 of the Summary (the “Building”). The Building is part of an office/laboratory project currently known as “The Cove at Oyster Point.” The term “Project,” as used in this Lease, shall mean (i) the Building and the Common Areas, (ii) the land (which is improved with landscaping, parking facilities and other improvements) upon which the Building and the Common Areas are located, and (iii) the other office/laboratory buildings located within The Cove at Oyster Point, and the land upon which such adjacent office/laboratory buildings are located.

1.1.3  Common Areas. Tenant shall have the non-exclusive right to use in common with other tenants in the Project, and subject to the rules and regulations referred to in Article 5 of this Lease, those portions of the Project which are provided, from time to time, for use in common by Landlord, Tenant and any other tenants of the Project including, without limitation, entrances, lobbies, fire vestibules, mechanical areas, ground floor corridors, elevators and elevator foyers, parking areas, loading and unloading areas, plaza areas, if any, ramps, drives, stairs, and similar access ways and service ways in, adjacent to or serving the Project (such areas, together with such other portions of the Project designated by Landlord, in its discretion, are collectively referred to herein as the “Common Areas”). The manner in which the Common Areas are maintained and operated shall be at the sole discretion of Landlord (provided the same shall at all times be consistent with comparable landlords of First Class Life Sciences Projects) and the use thereof shall be subject to the “Rules and Regulations” (as set forth and subject to Section 5.2 below). Landlord reserves the right to close temporarily, make alterations or additions to, or change the location of elements of the Project and the Common Areas; provided that (i) none of the foregoing materially and adversely affects Tenant’s use of, or access to, the Building, the Premises or the parking areas serving the Building or the size of the Premises, and (ii) Landlord uses commercially reasonable efforts to minimize interference with the conduct of Tenant’s business.

1.2  Rentable Square Feet of Premises. The rentable square footage of the Premises is hereby deemed to be as set forth in Section 2.2 of the Summary, and shall not be subject to measurement or adjustment during the Lease Term.

1.3  Early Occupancy of Portion of Premises. Following the Delivery Date, Tenant shall have the right to occupy a portion of the Premises to be reasonably agreed to by Landlord and Tenant (the “Early Occupancy Premises”) prior to the Lease Commencement Date (such

 

6


period from the Delivery Date until the Lease Commencement Date shall be referred to herein as the “Early Occupancy Period”), provided that (A) Tenant shall give Landlord at least ten (10) days’ prior notice of any such occupancy of the Early Occupancy Premises, (B) a temporary certificate of occupancy shall have been issued by the appropriate governmental authority for the Early Occupancy Premises, and (C) all of the terms and conditions of this Lease shall apply to the Early Occupancy Premises (and not the remainder of the Premises) as though the Lease Commencement Date had occurred (although the Lease Commencement Date shall not actually occur until the occurrence of the same pursuant to Section 3.2 of the Summary) upon such occupancy of the Early Occupancy Premises by Tenant. During the Early Occupancy Period, Tenant shall pay “Base Rent,” as that term is defined in Article 3 below, in the amount of $5.65 per rentable square foot of the Early Occupancy Premises, and Tenant shall pay “Tenant’s Share” of the annual “Direct Expenses,” as those terms are defined in Article 4, below and utilities costs for the Early Occupancy Premises during the Early Occupancy Period (with such Tenant’s Share being based on the RSF of the Early Occupancy Premises). Following the determination of the location and size of the Early Occupancy Premises, Landlord and Tenant shall execute an amendment to this Lease documenting the RSF and location of the Early Occupancy Premises, and setting forth the Base Rent and Tenant’s Share applicable to such space.

1.4  Delivery of the Premises. If Landlord has not delivered possession of the entire Premises to Tenant in the Delivery Condition on or before July 1, 2020 (the “Outside Delivery Date”), then, as Tenant’s sole remedy for such delay, Tenant shall receive one (1) day of free Base Rent for each day that the Delivery Date is delayed beyond such Outside Delivery Date. The Outside Delivery Date shall be extended to the extent of any delays in delivery of possession caused by war, terrorism, acts of God, natural disaster, civil unrest, governmental strike or area-wide or industry-wide labor disputes, inability to obtain services, labor, or materials or reasonable substitutes therefor, or delays due to utility companies that are not the result of any action or inaction of Landlord (provided that any such delay shall not extend any such date by more than ninety (90) days), or delays caused by Tenant. If Landlord has not delivered possession of the entire Premises to Tenant by November 1, 2020, Tenant shall have the right to terminate this Lease upon written notice to Landlord at any time prior to delivery of possession of the entire Premises to Tenant, whereupon any monies previously paid by Tenant to Landlord shall be reimbursed to Tenant. Upon such termination, neither party shall have any further obligation to the other under this Lease.

 

2.

LEASE TERM; OPTION TERM

2.1  Lease Term. The terms and provisions of this Lease shall be effective as of the date of this Lease. The term of this Lease (the “Lease Term”) shall be as set forth in Section 3.1 of the Summary, shall commence on the date set forth in Section 3.2 of the Summary (the “Lease Commencement Date”), and shall terminate on the date set forth in Section 3.3 of the Summary (the “Lease Expiration Date”) unless this Lease is sooner terminated or extended as hereinafter provided. For purposes of this Lease, the term “Lease Year” shall mean each consecutive twelve (12) month period during the Lease Term. At any time during the Lease Term, Landlord may deliver to Tenant a notice in the form as set forth in Exhibit C, attached hereto, as a confirmation only of the information set forth therein, which Tenant shall execute and return to Landlord within five (5) days of receipt thereof if Tenant agrees with the contents thereof.

 

7


2.2  Option Term.

2.2.1  Option Right. Landlord hereby grants the Tenant originally named in this Lease (the “Original Tenant”), and any assignee of Original Tenant’s entire interest in the Lease that has been approved in accordance with the terms of Article 14, below (a “Permitted Assignee”) or any Permitted Transferee Assignee (as that term is defined in Section 14.8 below), one (1) option to extend the Lease Term for a period of eight (8) years (the “Option Term”). Such option to extend shall be exercisable only by written notice delivered by Tenant to Landlord not more than twelve (12) months nor less than nine (9) months prior to the expiration of the initial Lease Term, stating that Tenant is thereby irrevocably exercising its option to lease the Premises during the Option Term. Upon the proper exercise of the option to extend, and provided that, at Landlord’s option, as of the date of delivery of such notice, Tenant is not in default under this Lease (beyond the applicable notice and cure periods) and has not previously been in default under this Lease (beyond the applicable notice and cure periods) more than twice, and as of the end of the initial Lease Term Tenant is not in default under this Lease (beyond the applicable notice and cure periods), the Lease Term shall be extended for a period of eight (8) years. The rights contained in this Section 2.2 shall be personal to Original Tenant, any Permitted Assignee and any Permitted Transferee Assignee (and not any other assignee, sublessee or “Transferee,” as that term is defined in Section 14.1, below, of Tenant’s interest in this Lease). In the event that Tenant fails to timely and appropriately exercise its initial option to extend the Lease Term, in accordance with the terms of this Section 2.2, then such option shall automatically terminate and shall be of no further force or effect.

2.2.2  Option Rent. The annual Base Rent payable by Tenant during the Option Term (the “Option Rent”) shall be equal to the “Fair Rental Value,” as that term is defined below, for the Premises as of the commencement date of the Option Term. The “Fair Rental Value,” as used in this Lease, shall be equal to the annual rent per rentable square foot (including additional rent and considering any “base year” or “expense stop” applicable thereto), including all escalations, at which tenants (pursuant to leases consummated within the twelve (12) month period preceding the first day of the Option Term), are leasing non-sublease, non-encumbered, non-equity space which is not significantly greater or smaller in size than the subject space, for a comparable lease term, in an arm’s length transaction, which comparable space is located in the Building or in “Comparable Buildings,” as that term is defined in this Section 2.2.2, below (transactions satisfying the foregoing criteria shall be known as the “Comparable Transactions”), taking into consideration the following concessions (the “Concessions”): (a) rental abatement concessions, if any, being granted such tenants in connection with such comparable space; (b) tenant improvements or allowances provided or to be provided for such comparable space, and taking into account the value, if any, of the existing improvements in the subject space, such value to be based upon the age, condition, design, quality of finishes and layout of the improvements; and (c) other reasonable monetary concessions being granted such tenants in connection with such comparable space; provided, however, that in calculating the Fair Rental Value, no consideration shall be given to (i) the fact that Landlord is or is not required to pay a real estate brokerage commission in connection with Tenant’s exercise of its right to extend the Lease Term, or the fact that landlords are or are not paying real estate brokerage commissions in connection with such comparable space, and (ii) any construction period, if any, granted to tenants in Comparable Transactions in connection with the design, permitting and construction of tenant improvements in such comparable spaces. The Concessions (A) shall be reflected in the effective rental rate

 

8


(which effective rental rate shall take into consideration the total dollar value of such Concessions as amortized on a straight- line basis over the applicable term of the Comparable Transaction (in which case such Concessions evidenced in the effective rental rate shall not be granted to Tenant)) payable by Tenant, or (B) at Landlord’s election, all such Concessions shall be granted to Tenant in kind. The term “Comparable Buildings” shall mean the Building and those other buildings which are comparable to the Building in terms of age (based upon the date of completion of construction or major renovation of the building), quality of construction, level of services and amenities, size and appearance, and located in First Class Life Sciences Project in South San Francisco, California, Brisbane, California and the surrounding commercial area.

2.2.3  Determination of Option Rent. In the event Tenant timely and appropriately exercises its option to extend the Lease Term in accordance with Section 2.2.1, Landlord shall notify Tenant of Landlord’s determination of the Option Rent on or before the date that is thirty (30) days following Landlord’s receipt of the Option Exercise Notice. If Tenant, on or before the date which is thirty (30) days following the date upon which Tenant receives Landlord’s determination of the Option Rent, in good faith objects to Landlord’s determination of the Option Rent, then Landlord and Tenant shall attempt to agree upon the Option Rent using their good-faith efforts. If Landlord and Tenant fail to reach agreement within thirty (30) days following Tenant’s objection to the Option Rent (the “Outside Agreement Date”), then each party shall thereafter make a separate determination of the Option Rent, within five (5) business days of the Outside Agreement Date, and such determinations shall be submitted to arbitration in accordance with Sections 2.2.3.1 through 2.2.3.8, below. If Tenant fails to object to Landlord’s determination of the Option Rent within the time period set forth herein, then Tenant shall be deemed to have rejected Landlord’s determination of the Option Rent, and the matter shall be submitted to arbitration in accordance with the terms hereof.

2.2.3.1  Landlord and Tenant shall each appoint one arbitrator who shall be, at the option of the appointing party, a MAI appraiser, a real estate broker, who shall have been active over the five (5) year period ending on the date of such appointment in the leasing or appraisal, as the case may be, of life science properties in South San Francisco, California. Each such arbitrator shall be appointed within twenty (20) days after the Outside Agreement Date. Landlord and Tenant may consult with their selected arbitrators prior to appointment and may select an arbitrator who is favorable to their respective positions. The arbitrators so selected by Landlord and Tenant shall be deemed “Advocate Arbitrators.”

2.2.3.2  The two (2) Advocate Arbitrators so appointed shall be specifically required pursuant to an engagement letter within ten (10) days of the date of the appointment of the last appointed Advocate Arbitrator to agree upon and appoint a third arbitrator (“Neutral Arbitrator”) who shall be qualified under the same criteria set forth hereinabove for qualification of the two Advocate Arbitrators, except that neither the Landlord or Tenant or either parties’ Advocate Arbitrator may, directly or indirectly, consult with the Neutral Arbitrator prior or subsequent to his or her appointment and the Neutral Arbitrator shall not have been engaged by either Landlord or Tenant within the seven (7) years preceding. The Neutral Arbitrator shall be retained via an engagement letter jointly prepared by Landlord’s counsel and Tenant’s counsel.

2.2.3.3  The three arbitrators shall, within thirty (30) days of the appointment of the Neutral Arbitrator, reach a decision as to whether the parties shall use

 

9


Landlord’s or Tenant’s submitted Option Rent, and shall notify Landlord and Tenant thereof. The determination of the arbitrators shall be limited solely to the issue of whether Landlord’s or Tenant’s submitted Option Rent is the closest to the actual Option Rent, taking into account the requirements of Section 2.2.2 of this Lease, as determined by the arbitrators.

2.2.3.4  The decision of the majority of the three arbitrators shall be binding upon Landlord and Tenant.

2.2.3.5  If either Landlord or Tenant fails to appoint an Advocate Arbitrator within twenty (20) days after the Outside Agreement Date, then either party may petition the presiding judge of the Superior Court of San Mateo County to appoint such Advocate Arbitrator subject to the criteria in Section 2.2.3.1 of this Lease, or if he or she refuses to act, either party may petition any judge having jurisdiction over the parties to appoint such Advocate Arbitrator.

2.2.3.6  If the two (2) Advocate Arbitrators fail to agree upon and appoint the Neutral Arbitrator within ten (10) business days after the appointment of the last appointed Advocate Arbitrator, then either party may petition the presiding judge of the Superior Court of San Mateo County to appoint the Neutral Arbitrator, subject to criteria in Section 2.2.3.2 of this Lease, or if he or she refuses to act, either party may petition any judge having jurisdiction over the parties to appoint such arbitrator.

2.2.3.7  The cost of the arbitration shall be paid by Landlord and Tenant equally.

2.2.3.8  In the event that the Option Rent shall not have been determined pursuant to the terms hereof prior to the commencement of the Option Term, Tenant shall be required to pay as Option Rent, an amount equal to 103% of the Base Rent payable by Tenant as of the expiration of the initial Lease Term, and upon the final determination of the Option Rent, the payments made by Tenant shall be reconciled with the actual amounts of Option Rent due, and the appropriate party shall make any corresponding payment to the other party.

3.  BASE RENT Tenant shall pay, without prior notice or demand, to Landlord or Landlord’s agent at the management office of the Project, or, at Landlord’s option, at such other place as Landlord may from time to time designate in writing, by a check for currency which, at the time of payment, is legal tender for private or public debts in the United States of America, base rent (“Base Rent”) as set forth in Section 4 of the Summary, payable in equal monthly installments as set forth in Section 4 of the Summary in advance on or before the first day of each and every calendar month during the Lease Term, without any setoff or deduction whatsoever. The Base Rent for the first full month of the Lease Term shall be paid on or before January 15, 2020. If any Rent payment date (including the Lease Commencement Date) falls on a day of the month other than the first day of such month or if any payment of Rent is for a period which is shorter than one month, the Rent for any fractional month shall accrue on a daily basis for the period from the date such payment is due to the end of such calendar month or to the end of the Lease Term at a rate per day which is equal to 1/365 of the applicable annual Rent. All other payments or adjustments required to be made under the terms of this Lease that require proration on a time basis shall be prorated on the same basis.

 

10


4.

ADDITIONAL RENT

4.1  General Terms.

4.1.1  Direct Expenses; Additional Rent. In addition to paying the Base Rent specified in Article 3 of this Lease, Tenant shall pay “Tenant’s Share” of the annual “Direct Expenses,” as those terms are defined in Sections 4.2.6 and 4.2.2 of this Lease, respectively. Such payments by Tenant, together with any and all other amounts payable by Tenant to Landlord pursuant to the terms of this Lease, are hereinafter collectively referred to as the “Additional Rent”, and the Base Rent and the Additional Rent are herein collectively referred to as “Rent.” All amounts due under this Article 4 as Additional Rent shall be payable for the same periods and in the same manner as the Base Rent. Without limitation on other obligations of Tenant which survive the expiration of the Lease Term, the obligations of Tenant to pay the Additional Rent provided for in this Article 4 shall survive the expiration of the Lease Term.

4.1.2  Triple Net Lease. Landlord and Tenant acknowledge that, except as otherwise provided to the contrary in this Lease, it is their intent and agreement that this Lease be a “TRIPLE NET” lease and that as such, the provisions contained in this Lease are intended to pass on to Tenant or reimburse Landlord for the costs and expenses reasonably associated with this Lease, the Building and the Project, and Tenant’s operation therefrom, subject to the terms and provisions of this Lease. To the extent such costs and expenses payable by Tenant cannot be charged directly to, and paid by, Tenant, such costs and expenses shall be paid by Landlord but reimbursed by Tenant as Additional Rent, subject to the terms and conditions of this Lease.

4.2  Definitions of Key Terms Relating to Additional Rent. As used in this Article 4, the following terms shall have the meanings hereinafter set forth:

4.2.1  Intentionally Deleted.

4.2.2  “Direct Expenses” shall mean “Operating Expenses” and “Tax Expenses.”

4.2.3  “Expense Year” shall mean each calendar year in which any portion of the Lease Term falls, through and including the calendar year in which the Lease Term expires, provided that Landlord, upon notice to Tenant, may change the Expense Year from time to time to any other twelve (12) consecutive month period, and, in the event of any such change, Tenant’s Share of Direct Expenses shall be equitably adjusted for any Expense Year involved in any such change.

4.2.4  “Operating Expenses” shall mean, subject to the terms of this Section 4.2.4 below, all expenses, costs and amounts of every kind and nature which Landlord pays or accrues during any Expense Year because of or in connection with the ownership, management, maintenance, security, repair, replacement, restoration or operation of the Project, or any portion thereof, in accordance with sound real estate management and accounting practices, consistently applied. For the avoidance of doubt, whether any given type of Operating Expenses shall be included either as paid or as accrued during an Expense Year (but not both as paid and as accrued) and the manner of accounting as to such type of Operating Expense shall be maintained consistently throughout the Lease Term. Without limiting the generality of the foregoing, Operating Expenses shall specifically include any and all of the following: (i) the cost of supplying

 

11


all utilities to the Project, but excluding the cost of electricity consumed in the Premises and the cost of utilities consumed in the premises of other tenants of the Project, the cost of operating, repairing, maintaining, and renovating the utility, telephone, mechanical, sanitary, storm drainage, and elevator systems, and the cost of maintenance and service contracts in connection therewith; (ii) the cost of licenses, certificates, permits and inspections and the cost of contesting any governmental enactments which may affect Operating Expenses, and the costs incurred in connection with a governmentally mandated transportation system management program or similar program; (iii) the cost of all insurance carried by Landlord in connection with the Project and Premises as reasonably determined by Landlord; (iv) the cost of landscaping, relamping, and all supplies, tools, equipment and materials used in the operation, repair and maintenance of the Project, or any portion thereof; (v) the cost of operation, repair, restoration, and maintenance of the parking areas serving the Premises; (vi) fees and other costs, including management and/or incentive fees, consulting fees, legal fees and accounting fees, of all contractors and consultants in connection with the management, operation, maintenance and repair of the Project, provided that if any such fees are paid to parties who provide such services for more than one building or project, then only the prorated portion of those fees reflecting the percentage of such parties’ time devoted to the Project shall be included in Operating Expenses; (vii) payments under any equipment rental agreements and the fair rental value of any management office space; (viii) subject to item (f), below, wages, salaries and other compensation and benefits, including taxes levied thereon, of all persons engaged in the operation, maintenance and security of the Project; (ix) costs under any instrument pertaining to the sharing of costs by the Project (other than persons who are higher than the rank of the person who supervises property managers that manage the Project and other projects of Landlord or its affiliates); (x) operation, repair, maintenance and replacement of all systems and equipment and components thereof of the Project, but only to the extent such costs would otherwise qualify as Operating Expenses hereunder; (xi) the cost of janitorial, alarm, security and other services, replacement of wall and floor coverings, ceiling tiles and fixtures in common areas, maintenance and replacement of curbs and walkways, repair to roofs and re-roofing (subject to item (xiii) below) (but excluding any of the foregoing provided to the premises of other tenants of the Project to the extent Tenant is providing such services to the Premises hereunder); (xii) amortization (including commercially reasonable interest on the unamortized cost) over the useful life in accordance with sound real estate management and accounting practices, consistently applied, of the cost of acquiring or the rental expense of personal property used in the maintenance, operation and repair of the Project, or any portion thereof; (xiii) the cost of capital improvements (A) which are intended to effect economies in the operation or maintenance of the Project, or any portion thereof, or to reduce current or future Operating Expenses (to the extent of cost savings reasonably anticipated by Landlord (based on reasonable industry standards)) or to enhance the safety or security of the Project or its occupants, (B) which are required to comply with present or future mandatory conservation programs, (C) which are replacements or modifications of nonstructural items located in the Common Areas required to keep the Common Areas in good order or condition, (D) that are required under Applicable Laws enacted or first enforced after the Lease Commencement Date (the “Reimbursable Capital Improvements”); provided, however, that any capital expenditure shall be amortized (including interest on the amortized cost) over such period of time as Landlord shall reasonably determine, in accordance with sound real estate management and accounting principles, consistently applied; and (xiv) costs, fees, charges or assessments imposed by, or resulting from any mandate imposed on Landlord by, any federal, state or local government for fire and police protection, trash removal, community services, or other

 

12


services which do not constitute “Tax Expenses” as that term is defined in Section 4.2.5, below, (xv) cost of tenant relation programs reasonably established by Landlord, and (xvi) payments under any easement, license, operating agreement, declaration, restrictive covenant, or instrument pertaining to the sharing of costs by the Building, including, without limitation, any covenants, conditions and restrictions affecting the property, and reciprocal easement agreements affecting the property, any parking licenses, and any agreements with transit agencies affecting the Property (collectively, “Underlying Documents”) provided, however, Tenant shall not be charged twice for the same expense. Notwithstanding the foregoing or anything to the contrary in this Lease, Operating Expenses shall not, however, include:

(a) any costs, including legal fees, space planners’ fees, advertising and promotional expenses (except as otherwise set forth above), and brokerage fees incurred in connection with the original construction or development of the Project, or the original, current or future leasing of the Project, and costs, including permit, license and inspection costs, incurred with respect to the installation of tenant improvements made for any tenants or other occupants of the Project or incurred in renovating or otherwise altering, improving, decorating, painting or redecorating space for tenants or other occupants of the Project;

(b) except as set forth in items (xii), (xiii), and (xiv) above, depreciation, interest and principal payments on mortgages and other debt costs, if any, penalties and interest;

(c) costs for which the Landlord is reimbursed by any tenant or occupant of the Project or by insurance by its carrier or any tenant’s carrier or by anyone else, and electric power costs for which any tenant directly contracts with the local public service company;

(d) any bad debt loss, rent loss, or reserves for bad debts or rent loss;

(e) any costs associated with the operation of the business of the partnership or entity which constitutes Landlord, as the same are distinguished from the costs of operation of the Project (which shall specifically include, but not be limited to, accounting costs associated with the operation of the Project). Costs associated with the operation of the business of the partnership or entity which constitutes the Landlord include costs of partnership accounting and legal matters, costs of defending any lawsuits with any mortgagee (except as the actions of the Tenant may be in issue), costs of selling, syndicating, financing, mortgaging or hypothecating any of Landlord’s interest in the Project, and costs incurred in connection with any disputes between Landlord and its employees, between Landlord and Project management, or between Landlord and any other tenants or occupants;

(f) the wages and benefits of any employee who does not devote substantially all of his or her employed time to the Project unless such wages and benefits are prorated to reflect time spent on operating and managing the Project vis-a-vis time spent on matters unrelated to operating and managing the Project; provided, that in no event shall Operating Expenses for purposes of this Lease include wages and/or benefits attributable to personnel above the level of Project manager;

 

13


(g) amount paid as ground rental or rental for the Project by Landlord;

(h) except for a Project management fee to the extent allowed pursuant to item (v) below, overhead and profit increment paid to the Landlord or to subsidiaries or affiliates of the Landlord for services in the Project to the extent the same exceeds the costs of such services rendered by qualified, first- class unaffiliated third parties on a competitive basis;

(i) any compensation paid to clerks, attendants or other persons in commercial concessions operated by the Landlord, provided that any compensation paid to any concierge at the Project shall be includable as an Operating Expense;

(j) rentals and other related expenses incurred in leasing air conditioning systems, elevators or other equipment which if purchased the cost of which would be excluded from Operating Expenses as a capital cost, except equipment not affixed to the Project which is used in providing engineering, janitorial or similar services and, further excepting from this exclusion such equipment rented or leased to remedy or ameliorate an “Emergency” condition in the Project (as defined below);

(k) all items and services for which Tenant or any other tenant in the Project reimburses Landlord or which Landlord provides selectively to one or more tenants (other than Tenant) without reimbursement;

(l) any costs expressly excluded from Operating Expenses elsewhere in this Lease;

(m) rent for any office space occupied by Project management personnel to the extent the size or rental rate of such office space exceeds the size or fair market rental value of office space occupied by management personnel of Comparable Buildings, with adjustment where appropriate for the size of the applicable project;

(n) costs arising from the negligence or willful misconduct of Landlord in connection with this Lease; and

(o) costs incurred to comply with Applicable Laws relating to the removal of Hazardous Material (as defined below) which was in existence in the Building or on the Project prior to the Lease Commencement Date; and costs incurred to remove, remedy, investigate, monitor, contain, or treat Hazardous Material, which Hazardous Material is not brought into the Building or onto the Project Tenant or any Tenant Party;

(p) Landlord’s general corporate overhead and general and administrative expenses; provided that nothing herein should be deemed to prohibit Landlord from charging the management fee allowed pursuant to clause (v) below;

(q) any costs of correcting major and/or latent defects in, or design error relating to, the design or construction of the Project;

 

14


(r) any costs arising from Landlord’s political or charitable contributions;

(s) any costs, other than those incurred in ordinary maintenance and repair, for sculpture, paintings, fountains or other objects of art;

(t) any costs of capital repairs, replacements, alterations, improvements and equipment other than Reimbursable Capital Improvements;

(u) any costs in connection with services or other benefits which are not offered and/or provided to Tenant or for which Tenant is charged directly but which are provided to another tenant or occupant of the Project without a separate charge;

(v) fees payable by Landlord for management of the Project in excess of percent (3%) (the “Management Fee Cap”) of Landlord’s gross rental revenues, adjusted and grossed up to reflect a one hundred percent (100%) occupancy of the Project with all tenants paying full rent, as contrasted with free rent, half-rent and the like, including base rent, pass-throughs, and parking fees from the Project for any calendar year or portion thereof;

(w) any costs incurred in the performance of any Landlord warranty given hereunder or as a result of Landlord’s breach of any warranty given hereunder;

(x) costs to remedy, or penalties relating to, any violation of Applicable Laws by Landlord or Landlord Parties.

4.2.5  Taxes.

4.2.5.1 “Tax Expenses” shall mean all federal, state, county, or local governmental or municipal taxes, fees, charges or other impositions of every kind and nature, whether general, special, ordinary or extraordinary (including, without limitation, real estate taxes, general and special assessments, transit taxes, leasehold taxes or taxes based upon the receipt of rent, including gross receipts or sales taxes applicable to the receipt of rent, unless required to be paid by Tenant, personal property taxes imposed upon the fixtures, machinery, equipment, apparatus, systems and equipment, appurtenances, furniture and other personal property used in connection with the Project, or any portion thereof), which shall be paid or accrued during any Expense Year (without regard to any different fiscal year used by such governmental or municipal authority) because of or in connection with the ownership, leasing and operation of the Project, or any portion thereof.

4.2.5.2 Tax Expenses shall include, without limitation: (i) Any tax on the rent, right to rent or other income from the Project, or any portion thereof, or as against the business of leasing the Project, or any portion thereof; (ii) Any assessment, tax, fee, levy or charge in addition to, or in substitution, partially or totally, of any assessment, tax, fee, levy or charge previously included within the definition of real property tax; (iii) Any assessment, tax, fee, levy, or charge allocable to or measured by the area of the Premises or the Rent payable hereunder, including, without limitation, any business or gross income tax or excise tax with respect to the receipt of such rent, or upon or with respect to the possession, leasing, operating, management,

 

15


maintenance, alteration, repair, use or occupancy by Tenant of the Premises, or any portion thereof; and (iv) Any assessment, tax, fee, levy or charge, upon this transaction or any document to which Tenant is a party, creating or transferring an interest or an estate in the Premises or the improvements thereon.

4.2.5.3 Any costs and expenses (including, without limitation, reasonable attorneys’ and consultants’ fees) incurred in attempting to protest, reduce or minimize Tax Expenses shall be included in Tax Expenses in the Expense Year such expenses are incurred. Tax refunds shall be credited against Tax Expenses and refunded to Tenant regardless of when received, based on the Expense Year to which the refund is applicable, provided that in no event shall the amount to be refunded to Tenant for any such Expense Year exceed the total amount paid by Tenant as Additional Rent under this Article 4 for such Expense Year. If Tax Expenses for any period during the Lease Term or any extension thereof are increased after payment thereof for any reason, including, without limitation, error or reassessment by applicable governmental or municipal authorities, Tenant shall pay Landlord within thirty (30) days after receipt of Landlord’s invoice therefor Tenant’s Share of any such increased Tax Expenses. Notwithstanding anything to the contrary contained in this Section 4.2.5, there shall be excluded from Tax Expenses (i) all excess profits taxes, franchise taxes, gift taxes, capital stock taxes, inheritance and succession taxes, estate taxes, federal and state income taxes, and other taxes to the extent applicable to Landlord’s net income (as opposed to rents, receipts or income attributable to operations at the Project), (ii) any items included as Operating Expenses, (iii) any items paid by Tenant under Section 4.5 of this Lease, (iv) any delinquent Tax Expenses for any period prior to the first Expense Year regardless of when actually paid; and (v) any penalties or interest that derive from Landlord’s failure to pay Tax Expenses to the applicable governmental authority on a timely basis; .

4.2.6 “Tenant’s Share” shall mean the percentage set forth in Section 6 of the Summary.

4.3  Allocation of Direct Expenses. The parties acknowledge that the Building is a part of a multi- building project and that the costs and expenses incurred in connection with the Project (i.e., the Direct Expenses) should be equitably, reasonably, and consistently shared between the Building and the other buildings in the Project. Accordingly, as set forth in Section 4.2 above, Direct Expenses are determined annually for the Project as a whole, and a portion of the Direct Expenses, which portion shall be determined by Landlord on an equitable and consistent basis, shall be allocated to the Building (as opposed to other buildings in the Project). Such portion of Direct Expenses allocated to the Building shall include all Direct Expenses attributable solely to the Building and an equitable portion of the Direct Expenses attributable to the Project as a whole, and shall not include Direct Expenses attributable solely to other buildings in the Project. For purposes of allocating such Direct Expenses, those Direct Expenses not reasonably attributable exclusively to a building shall be allocated on a rentable square foot basis except where otherwise dictated by prudent commercial property management and accounting practices or to achieve an equitable and customary allocation of Direct Expenses; provided, in either case, that such method of allocation is consistent with standard industry practice and Landlord does not discriminate against Tenant in connection with the determination of the method of allocation.

 

16


4.4  Calculation and Payment of Additional Rent. Tenant shall pay to Landlord, in the manner set forth in Section 4.4.1, below, and as Additional Rent, Tenant’s Share of Direct Expenses for each Expense Year.

4.4.1  Statement of Actual Direct Expenses and Payment by Tenant. Landlord shall give to Tenant following the end of each Expense Year, an itemized statement (the “Statement”) which shall state the Direct Expenses actually incurred or accrued for the preceding Expense Year, and the amount of Tenant’s Share of such Direct Expenses. Landlord shall endeavor to deliver such Statement within five (5) months following the end of the applicable Expense Year. Upon receipt of the Statement for each Expense Year commencing or ending during the Lease Term, Tenant shall pay, with its next installment of Base Rent due (which is at least thirty (30) days following the date of Tenant’s receipt of the Statement), the full amount of Tenant’s Share of Direct Expenses for such Expense Year, less the amounts, if any, paid during such Expense Year as “Estimated Direct Expenses,” as that term is defined in Section 4.4.2, below, and if Tenant paid more as Estimated Direct Expenses than the actual Tenant’s Share of Direct Expenses, Tenant shall receive a credit in the amount of Tenant’s overpayment against Rent next due under this Lease. The failure of Landlord to timely furnish the Statement for any Expense Year shall not prejudice Landlord or Tenant from enforcing its rights under this Article 4. Even though the Lease Term has expired and Tenant has vacated the Premises, when the final determination is made of Tenant’s Share of Direct Expenses for the Expense Year in which this Lease terminates, Tenant shall immediately pay to Landlord such amount, and if Tenant paid more as Estimated Direct Expenses than the actual Tenant’s Share of Direct Expenses, Landlord shall, within thirty (30) days, deliver a check payable to Tenant in the amount of the overpayment. The provisions of this Section 4.4.1 shall survive the expiration or earlier termination of the Lease Term. Notwithstanding the immediately preceding sentence, Tenant shall not be responsible for Tenant’ s Share of any Direct Expenses attributable to any Expense Year which are first billed to Tenant more than two (2) calendar years after the earlier of the expiration of the applicable Expense Year or the Lease Expiration Date, provided that in any event Tenant shall be responsible for Tenant’ s Share of Direct Expenses levied by any governmental authority or by any public utility companies at any time following the Lease Expiration Date which are attributable to any Expense Year (provided that Landlord delivers Tenant a bill for such amounts within two (2) years following Landlord’ s receipt of the bill therefor).

4.4.2  Statement of Estimated Direct Expenses. In addition, Landlord shall give Tenant a yearly expense estimate statement (the “Estimate Statement”) which shall set forth Landlord’s reasonable estimate (the “Estimate”) of what the total amount of Direct Expenses for the then-current Expense Year shall be and the estimated Tenant’s Share of Direct Expenses (the “Estimated Direct Expenses”). Landlord shall endeavor to deliver such Estimate Statement within five (5) months following the end of the applicable Expense Year. The failure of Landlord to timely furnish the Estimate Statement for any Expense Year shall not preclude Landlord from enforcing its rights to collect any Estimated Direct Expenses under this Article 4, nor shall Landlord be prohibited from revising any Estimate Statement or Estimated Direct Expenses theretofore delivered to the extent necessary. Thereafter, Tenant shall pay, with its next installment of Base Rent due, a fraction of the Estimated Direct Expenses for the then-current Expense Year (reduced by any amounts paid pursuant to the last sentence of this Section 4.4.2). Such fraction shall have as its numerator the number of months which have elapsed in such current Expense Year, including the month of such payment, and twelve (12) as its denominator. Until a new

 

17


Estimate Statement is furnished (which Landlord shall have the right to deliver to Tenant at any time), Tenant shall pay monthly, with the monthly Base Rent installments, an amount equal to one-twelfth (1/12) of the total Estimated Direct Expenses set forth in the previous Estimate Statement delivered by Landlord to Tenant. Landlord shall maintain complete records with respect to the Direct Expenses in accordance with sound real estate management and accounting practices, consistently applied.

4.5  Taxes and Other Charges for Which Tenant Is Directly Responsible. Tenant shall be liable for and shall pay before delinquency, taxes levied against Tenant’s equipment, furniture, fixtures and any other personal property located in or about the Premises, subject to Tenant’s right to contest such taxes in accordance with Applicable Laws. If any such taxes on Tenant’s equipment, furniture, fixtures and any other personal property are levied against Landlord or Landlord’s property or if the assessed value of Landlord’s property is increased by the inclusion therein of a value placed upon such equipment, furniture, fixtures or any other personal property and if Landlord pays the taxes based upon such increased assessment, which Landlord shall have the right to do regardless of the validity thereof but only under proper protest if requested by Tenant, Tenant shall upon demand repay to Landlord the taxes so levied against Landlord or the proportion of such taxes resulting from such increase in the assessment, as the case may be.

4.6  Landlord’s Books and Records. Within one hundred twenty (120) days after receipt by Tenant of a Statement, if Tenant disputes the amount of Additional Rent set forth in the Statement, a member of Tenant’s finance department, or an independent certified public accountant (which accountant is a member of a nationally recognized accounting firm and is not working on a contingency fee basis) (“Tenant’s Accountant”), designated and paid for by Tenant, may, after reasonable notice to Landlord and at reasonable times, inspect Landlord’s records with respect to the Statement at Landlord’s offices, provided that there is no existing Event of Default and Tenant has paid all amounts required to be paid under the applicable Estimate Statement and Statement, as the case may be. In connection with such inspection, Tenant and Tenant’s agents must agree in advance to follow Landlord’s reasonable rules and procedures regarding inspections of Landlord’s records, and shall execute a commercially reasonable confidentiality agreement regarding such inspection. Tenant’s failure to dispute the amount of Additional Rent set forth in any Statement within one hundred twenty (120) days of Tenant’s receipt of such Statement shall be deemed to be Tenant’s approval of such Statement and Tenant, thereafter, waives the right or ability to dispute the amounts set forth in such Statement. If after such inspection, Tenant still disputes such Additional Rent, a determination as to the proper amount shall be made, at Tenant’s expense, by an independent certified public accountant (the “Accountant”) selected by Landlord and subject to Tenant’s reasonable approval; provided that if such Accountant determines that Direct Expenses were overstated by more than five percent (5%), then the cost of the Accountant and the cost of such determination shall be paid for by Landlord, and Landlord shall reimburse Tenant for the cost of the Tenant’s Accountant (provided that such cost shall be a reasonable market cost for such services). Following such final determination of Direct Expenses, Landlord or Tenant shall promptly make or credit the appropriate amounts to the other. Tenant hereby acknowledges that Tenant’s sole right to inspect Landlord’s books and records and to contest the amount of Direct Expenses payable by Tenant shall be as set forth in this Section 4.6, and Tenant hereby waives any and all other rights pursuant to Applicable Law to inspect such books and records and/or to contest the amount of Direct Expenses payable by Tenant.

 

18


5.  USE OF PREMISES

5.1  Permitted Use. Tenant shall use the Premises solely for the Permitted Use set forth in Section 7 of the Summary and Tenant shall not use or knowingly permit the Premises or the Project to be used for any other purpose or purposes whatsoever without the prior written consent of Landlord, which may be withheld in Landlord’s sole discretion.

5.2  Prohibited Uses. Tenant further covenants and agrees that Tenant shall not use, or knowingly suffer or permit any person or persons to use, the Premises or any part thereof for any use or purpose in violation of Applicable Laws including, without limitation, any such Applicable Laws relating to Hazardous Materials, or any Underlying Documents. Landlord shall have the right to impose reasonable and customary rule and regulations (“Rules and Regulations”) regarding the use of the Project, as reasonably deemed necessary by Landlord with respect to the orderly operation of the Project, and Tenant shall comply with such reasonable rules and regulations; provided that (i) Landlord shall not enforce, change or modify such rules and regulations in a discriminatory manner, (ii) such rules and regulations shall do not unreasonably interfere with the normal and customary conduct of Tenant’s business, (iii) any such rules and regulations shall not materially increase Tenant’s obligations hereunder, materially decrease Tenant’s rights hereunder, or materially decrease Landlord’s obligations hereunder, and (iv) Landlord shall provide Tenant with at least thirty (30) days’ prior written notice of any such rules and regulations. To the extent there is any conflict between the provisions of this Lease and any such rules and regulations, the provisions of this Lease shall control. Tenant shall not do or permit anything to be done in or about the Premises which will in any way obstruct or interfere with the rights of other tenants or occupants of the Building, or injure or annoy them or use or allow the Premises to be used for any improper, unlawful or objectionable purpose, nor shall Tenant cause, maintain or permit any nuisance in, on or about the Premises. Tenant shall comply with, and Tenant’s rights and obligations under the Lease and Tenant’s use of the Premises shall be subject and subordinate to, all recorded easements, covenants, conditions, and restrictions now or hereafter affecting the Project.

5.3  Hazardous Materials.

5.3.1  Tenant’s Obligations.

5.3.1.1  Prohibitions. As a material inducement to Landlord to enter into this Lease with Tenant, Tenant has fully and accurately completed Landlord’s Pre-Leasing Environmental Exposure Questionnaire (the “Environmental Questionnaire”), which is attached as Exhibit E. Tenant agrees that except for those chemicals or materials, and their respective quantities, specifically listed on the Environmental Questionnaire (as the same may be updated by Tenant) and ordinary office and cleaning supplies, neither Tenant nor Tenant’s employees, contractors and subcontractors of any tier, entities with a contractual relationship with Tenant (other than Landlord), or any entity acting as an agent or sub-agent of Tenant (collectively, “Tenant’s Agents”) will produce, use, store or generate any “Hazardous Materials,” as that term is defined below, on, under or about the Premises, nor cause or permit any Hazardous Material to be brought upon, placed, stored, manufactured, generated, blended, handled, recycled, used or “Released,” as that term is defined below, on, in, under or about the Premises in violation of Environmental Law. Upon Landlord’s written request (but no more than once each Lease Year),

 

19


or in the event of any material change in Tenant’s use of Hazardous Materials resulting in a new class or category of Hazardous Materials being used in the Premises from that set forth in the Environmental Questionnaire then in place (i.e., changes in non Hazardous Materials or reasonable changes to the amounts or types of Hazardous Materials in the same category are exempt), Tenant shall deliver to Landlord an updated Environmental Questionnaire. Landlord’s prior written consent shall be required to any Hazardous Materials use for the Premises not described on the initial Environmental Questionnaire, to the extent such use would result in a new class or category of Hazardous Materials being used in the Premises, such consent to be withheld in Landlord’s reasonable discretion. Tenant shall not install or permit any underground storage tank on the Premises. For purposes of this Lease, “Hazardous Materials” means all flammable explosives, petroleum and petroleum products, waste oil, radon, radioactive materials, toxic pollutants, asbestos, polychlorinated biphenyls (“PCBs”), medical waste, chemicals known to cause cancer or reproductive toxicity, pollutants, contaminants, hazardous wastes, toxic substances or related materials, including without limitation any chemical, element, compound, mixture, solution, substance, object, waste or any combination thereof, which is or may be hazardous to human health, safety or to the environment due to its radioactivity, ignitability, corrosiveness, reactivity, explosiveness, toxicity, carcinogenicity, infectiousness or other harmful or potentially harmful properties or effects, or defined as, regulated as or included in, the definition of “hazardous substances,” “hazardous wastes,” “hazardous materials,” or “toxic substances” under any Environmental Laws. The term “Hazardous Materials” for purposes of this Lease shall also include any mold, fungus or spores, whether or not the same is defined, listed, or otherwise classified as a “hazardous material” under any Environmental Laws, if such mold, fungus or spores may pose a risk to human health or the environment or negatively impact the value of the Premises. For purposes of this Lease, “Release” or “Released” or “Releases” shall mean any release, deposit, discharge, emission, leaking, spilling, seeping, migrating, injecting, pumping, pouring, emptying, escaping, dumping, disposing, or other movement of Hazardous Materials into the environment, not in compliance with Environmental Laws or a validly issued permit. Landlord acknowledges that Tenant will be installing and using fume hoods in the Premises and that emissions of Hazardous Materials into the air in compliance with all Environmental Laws shall not be considered Releases.

5.3.1.2  Notices to Landlord. Tenant shall notify Landlord in writing as soon as reasonably possible after discovery by Tenant but in no event later than five (5) days after (i) Tenant becomes aware of the occurrence of any actual Release of any Hazardous Material caused by Tenant or Tenant’s Agents at or from the Premises, or (ii) Tenant receives written notice of any regulatory actions, inquiries, inspections, investigations, directives, or any cleanup, compliance, enforcement or abatement proceedings (including any threatened or contemplated investigations or proceedings) by governmental agencies against Tenant or a Tenant Agent relating to Releases of Hazardous Materials at the Premises, or (iii) Tenant receives written notice of any claims against Tenant or a Tenant Agent brought by any person or entity relating to Releases of Hazardous Materials at or from, the Premises, whether relating to damage, contribution, cost recovery, compensation, loss or injury. Collectively, the matters set forth in clauses (i), (ii) and (iii) above are hereinafter referred to as “Hazardous Materials Claims”. Tenant shall promptly forward to Landlord copies of all orders, notices, permits, applications and other communications and reports in connection with any Hazardous Materials Claims. Tenant shall not enter into any legal proceeding or other action, settlement, consent decree or other compromise with respect to any Hazardous Materials Claims without first notifying Landlord of Tenant’s intention to do so

 

20


and affording Landlord, at Landlord’s sole cost and expense, the opportunity to join and participate, as a party if Landlord so elects, in such proceedings and in no event shall Tenant enter into any agreements which are binding on Landlord or the Premises without Landlord’s prior written consent. If Landlord opts to join in such proceedings, Landlord shall not enter into any agreements which are binding on Tenant without Tenant’s prior written consent. Landlord shall have the right to appear at and participate in, any and all legal or other administrative proceedings concerning any Hazardous Materials Claim, at Landlord’s sole cost and expense. For purposes of this Lease, “Environmental Laws” means all applicable present and future laws relating to the protection of human health, safety, wildlife or the environment, including, without limitation, (i) all requirements pertaining to reporting, licensing, permitting, investigation and/or remediation of emissions, discharges, Releases, or threatened Releases of Hazardous Materials, whether solid, liquid, or gaseous in nature, into the air, surface water, groundwater, or land, or relating to the manufacture, processing, distribution, use, treatment, storage, disposal, transport, or handling of Hazardous Materials; and (ii) all requirements pertaining to the health and safety of employees or the public. Environmental Laws include, but are not limited to, the Comprehensive Environmental Response, Compensation and Liability Act of 1980, 42 USC § 9601, et seq., the Hazardous Materials Transportation Authorization Act of 1994, 49 USC § 5101, et seq., the Solid Waste Disposal Act, as amended by the Resource Conservation and Recovery Act of 1976, and Hazardous and Solid Waste Amendments of 1984, 42 USC § 6901, et seq., the Federal Water Pollution Control Act, as amended by the Clean Water Act of 1977, 33 USC § 1251, et seq., the Clean Air Act of 1966, 42 USC § 7401, et seq., the Toxic Substances Control Act of 1976, 15 USC § 2601, et seq., the Safe Drinking Water Act of 1974, 42 USC §§ 300f through 300j, the Occupational Safety and Health Act of 1970, as amended, 29 USC § 651 et seq., the Oil Pollution Act of 1990, 33 USC § 2701 et seq., the Emergency Planning and Community Right-To-Know Act of 1986, 42 USC § 11001 et seq., the National Environmental Policy Act of 1969, 42 USC § 4321 et seq., the Federal Insecticide, Fungicide and Rodenticide Act of 1947, 7 USC § 136 et seq., California Carpenter-Presley-Tanner Hazardous Substance Account Act, California Health & Safety Code §§ 25300 et seq., Hazardous Materials Release Response Plans and Inventory Act, California Health & Safety Code, §§ 25500 et seq., Underground Storage of Hazardous Substances provisions, California Health & Safety Code, §§ 25280 et seq., California Hazardous Waste Control Law, California Health & Safety Code, §§ 25100 et seq., and any other state or local law counterparts, as amended, as such Applicable Laws, are in effect as of the Lease Commencement Date, or thereafter adopted, published, or promulgated.

5.3.1.3  Releases of Hazardous Materials. If any Release of any Hazardous Material by Tenant or Tenant’s Agents at or from the Premises caused by Tenant or Tenant’s Agents shall occur at any time during the Lease Term, in addition to notifying Landlord as specified above, Tenant, at its sole cost and expense (as between Landlord and Tenant), shall with respect to such Release (i) immediately comply with any and all reporting requirements imposed on Tenant pursuant to any and all Environmental Laws, (ii) provide a written statement to Landlord indicating that Tenant has complied with all such reporting requirements, (iii) take any and all required investigation, corrective and remedial action in accordance with any and all applicable Environmental Laws, utilizing an environmental consultant reasonably approved by Landlord, all in accordance with the provisions and requirements of this Section 5.3, including, without limitation, Section 5.3.4, and (iv) cause the Premises to be remediated to the condition required to continue to allow the Permitted Use in the Building.

 

21


5.3.1.4  Indemnification.

5.3.1.4.1  In General. Without limiting in any way Tenant’s obligations under any other provision of this Lease, Tenant shall protect, defend, indemnify and hold Landlord and the Landlord Parties harmless from and against any and all third-party claims, judgments, losses, damages, costs, expenses, penalties, enforcement actions, taxes, fines, remedial actions, liabilities (including, without limitation, reasonable attorneys’ fees, litigation, arbitration and administrative proceeding costs, expert and consultant fees and laboratory costs) including, without limitation, consequential damages and sums paid in settlement of claims, which arise during or after the Lease Term, whether foreseeable or unforeseeable, in whole or in part, directly or indirectly arising out of or attributable to the Release of Hazardous Materials in, on, under or about the Premises by Tenant or Tenant’s Agents.

5.3.1.4.2  Limitations. Notwithstanding anything in Section 5.3.1.4, above, to the contrary, Tenant’s indemnity of Landlord as set forth in Section 5.3.1.4, above, shall not be applicable to claims based upon Hazardous Materials not Released by Tenant or Tenant’s Agents.

5.3.1.4.3  Landlord Indemnity. Under no circumstance shall Tenant be liable for, and Landlord shall indemnify, defend, protect and hold harmless Tenant and Tenant’s Agents from and against, all third party losses, costs, claims, liabilities and damages (including attorneys’ and consultants’ fees) arising out of any Hazardous Materials that exist in, on or about the Project as of the date hereof, or Hazardous Material Released by Landlord or any Landlord Parties. Landlord will provide Tenant with any Hazardous Material reports relating to the Building or Project that Landlord has in its possession, or control. The provision of such reports shall be for informational purposes only, and Landlord does not make any representation or warranty as to the correctness or completeness of any such reports.

5.3.1.5  Compliance with Environmental Laws. Without limiting the generality of Tenant’s obligation to comply with Applicable Laws as otherwise provided in this Lease, Tenant shall, at its sole cost and expense, comply with all Environmental Laws related to the use of Hazardous Materials by Tenant and Tenant’s Agents. Tenant shall obtain and maintain any and all necessary permits, licenses, certifications and approvals required under Environmental Laws for the use, handling, storage, and disposal of any Hazardous Materials used, stored, generated, transported, handled, blended, or recycled by Tenant on the Premises. Landlord shall have a continuing right, without obligation, to require Tenant to obtain, and to review and inspect any and all such permits, licenses, certifications and approvals.

5.3.2  Assurance of Performance.

5.3.2.1  Environmental Assessments In General. Landlord may, but shall not be required to, engage from time to time such duly qualified and licensed environmental consultants as Landlord determines to be appropriate to perform environmental assessments of a scope reasonably determined by Landlord (an “Environmental Assessment”) to assess Tenant’s compliance with the requirements of this Lease with respect to Hazardous Materials. .

 

22


5.3.2.2  Costs of Environmental Assessments. All costs and expenses incurred by Landlord in connection with any such Environmental Assessment initially shall be paid by Landlord; provided that if any such Environmental Assessment shows that Tenant has caused a Release of Hazardous Materials at or from the Premises, then all of the costs and expenses of such Environmental Assessment shall be reimbursed by Tenant as Additional Rent within ten (10) days after receipt of written demand therefor.

5.3.3  Tenant’s Obligations upon Surrender. At the expiration or earlier termination of the Lease Term, Tenant, at Tenant’s sole cost and expense, shall: (i) cause an Environmental Assessment of the Premises to be conducted in accordance with Section 15.3; (ii) cause all Hazardous Materials brought onto the Premises by Tenant or Tenant’s Agents to be removed from the Premises and disposed of in accordance with all Environmental Laws and as necessary to allow the Premises to be used for the purposes allowed as of the date of this Lease; and (iii) cause to be removed all containers installed or used by Tenant or Tenant’s Agents to store any Hazardous Materials on the Premises, and cause to be repaired any damage to the Premises caused by such removal.

5.3.4  Clean-up.

5.3.4.1  Environmental Reports; Clean-Up. If any written report, including any report containing results of any Environmental Assessment (an “Environmental Report”) shall indicate (i) that Tenant or Tenant’s Agents caused a Release of Hazardous Materials at the Premises, which Release of Hazardous Materials requires an investigation, characterization, monitoring, assessment, repair, closure, remediation, removal, or other clean-up (the “Clean-up”) under Environmental Laws, Tenant shall immediately prepare and submit to Landlord within forty-five (45) days after receipt of the Environmental Report, a comprehensive plan, subject to Landlord’s reasonable review and comment, which review and comment Landlord shall promptly conduct and provide to Tenant specifying the actions to be taken by Tenant to perform the Clean-up so that the Premises are restored to the conditions required by this Lease. Upon Landlord’s approval of the Clean-up plan, which approval shall not be unreasonably withheld or delayed, Tenant shall, at Tenant’s sole cost and expense, without limitation on any rights and remedies of Landlord under this Lease, immediately implement such plan with a consultant reasonably acceptable to Landlord and proceed to Clean-Up Hazardous Materials Released by Tenant or Tenant’s Agents, in accordance with Environmental Laws. If, within forty-five (45) days after receiving a copy of such Environmental Report, Tenant fails either (a) to complete such Clean-up, or (b) with respect to any Clean-up that cannot be completed within such forty-five (45) day period, fails to complete the Clean-up in accordance with Environmental Laws and any governmental extensions granted to complete the Clean-up, then Landlord shall have the right, but not the obligation, and without waiving any other rights under this Lease, after written notice to Tenant and providing a reasonable time period for Tenant to cure, to carry out any Clean-up recommended by the Environmental Report or required by any governmental authority having jurisdiction over the Premises, and tender an indemnification claim to Tenant under Section 5.3.1.4.1 of this Lease.

5.3.4.2  No Rent Abatement. Tenant shall continue to pay all Rent due or accruing under this Lease during any Clean-up, and shall not be entitled to any reduction, offset or deferral of any Base Rent or Additional Rent due or accruing under this Lease during any such Clean-up.

 

23


5.3.4.3  Surrender of Premises. Tenant shall complete any Clean-up prior to surrender of the Premises upon the expiration or earlier termination of this Lease. Tenant shall obtain and deliver to Landlord a letter or other written determination from the overseeing governmental authority confirming that the Clean-up has been completed in accordance with all requirements of such governmental authority and that no further response action of any kind is required for the unrestricted use of the Premises (“Closure Letter”). Upon the expiration or earlier termination of this Lease, Tenant shall also be obligated to close all permits obtained in connection with Hazardous Materials used by Tenant or Tenant’s Agents in accordance with Applicable Laws.

5.3.4.4  Failure to Timely Clean-Up. Should any Clean-up for which Tenant is responsible not be completed, or should Tenant not receive the Closure Letter and any governmental approvals required under Environmental Laws in conjunction with such Clean-up prior to the expiration or earlier termination of this Lease (in any such case, except as due to delays caused by Landlord’s failure to promptly review, comment and approve the Clean-up plans and/or the condition of the Premises), then, commencing on the later of the termination of this Lease and three (3) business days after Landlord’s delivery of notice of such failure and that it elects to treat such failure as a holdover, Tenant shall be liable to Landlord as a holdover tenant (as more particularly provided in Article 16) until Tenant has fully complied with its obligations under this Section 5.3.

5.3.5  Confidentiality. Unless compelled to do so by Applicable Law, Tenant agrees that Tenant shall not disclose, discuss, disseminate or copy any information, data, findings, communications, conclusions and reports regarding the environmental condition of the Premises to any Person (other than Tenant’s consultants, attorneys, property managers and employees, shareholders and potential and actual investors, insurers, accountants, lenders, business and merger partners, subtenants and assignees that have a need to know such information), including any governmental authority, without the prior written consent of Landlord, which consent shall not be unreasonably withheld or delayed. In the event Tenant reasonably believes that disclosure is compelled by Applicable Law, it shall provide Landlord ten (10) days’ advance notice of disclosure of confidential information so that Landlord may attempt to obtain a protective order. Tenant may additionally release such information to bona fide prospective purchasers or lenders, subject to any such parties’ written agreement to be bound by the terms of this Section 5.3.

5.3.6  Copies of Environmental Reports. Within thirty (30) days of receipt thereof, Tenant shall provide Landlord with a copy of any and all environmental assessments, audits, studies and reports regarding Clean-up at the Premises. Tenant shall be obligated to provide Landlord with a copy of such materials without regard to whether such materials are generated by Tenant or prepared for Tenant, or how Tenant comes into possession of such materials; provided that nothing herein shall be construed as obligating Tenant to provide to Landlord documents or communications protected by the attorney-client privilege, attorney-work product doctrine or any other legally recognized privilege.

5.3.7  Intentionally Omitted.

5.3.8  Signs, Response Plans, Etc. Tenant shall be responsible for posting on the Premises any signs required under applicable Environmental Laws. Tenant shall also complete and file any business response plans or inventories required by any Applicable Laws. Tenant shall concurrently file a copy of any such business response plan or inventory with Landlord.

 

24


5.3.9  Survival. Each covenant, agreement and indemnification made by Tenant and Landlord set forth in this Section 5.3 shall survive the expiration or earlier termination of this Lease and shall remain effective until all of Tenant’s and Landlord’s obligations under this Section 5.3 have been completely performed and satisfied.

 

6.

SERVICES AND UTILITIES

6.1  In General. Landlord will be responsible, at Tenant’s sole cost and expense (subject to the terms of Section 6.2, below), for the furnishing of heating, ventilation and air-conditioning, electricity, and water services to the Premises, adequate to reasonably support the Permitted Use and in a manner consistent with First Class Life Science Projects, 24 hours per day, 7 days per week, 365 days per year, during the Lease Term. Landlord shall not provide janitorial or telephone services for the Premises. Tenant shall be solely responsible for performing all janitorial services and other cleaning of the Premises, all in compliance with Applicable Laws. The janitorial and cleaning of the Premises shall be adequate to maintain the Premises in a manner consistent with First Class Life Sciences Projects.

Tenant shall reasonably cooperate with Landlord at all times and abide by all regulations and requirements that Landlord may reasonably prescribe for the proper functioning and protection of the HVAC, electrical, mechanical and plumbing systems. Landlord shall reasonably cooperate with Tenant regarding Tenant’s requirements with respect to the HVAC temperature management and BMS systems serving the Premises.

Provided that Landlord agrees to provide and maintain and keep in continuous service utility connections to the Project, including electricity, water and sewage connections, as provided above, then except as set forth above in this Section 6.1, Landlord shall have no obligation to provide any other services or utilities to the Building, including, but not limited to telephone, janitorial and interior Building security services.

6.2  Allocation of Utilities Costs. Electricity is separately metered or submetered to the Premises, and shall be contracted for and paid directly by Tenant to the applicable utility provider or to Landlord based on the metered or submetered use. Other utilities (including without limitation, gas, sewer and water) to the Building are not separately metered to the Premises, and Tenant shall pay to Landlord, within thirty (30) days after billing, an equitable portion of the Building utility costs, which portion shall generally be based on the proportionate RSF of the tenants of the Building, with reasonable adjustments if required to account for any disproportionate use by a particular tenant.

6.3  Interruption of Use. Tenant agrees that Landlord shall not be liable for damages, by abatement of Rent (except as set forth in Section 19.5.2 below) or otherwise, for failure to furnish or delay in furnishing any service (including telephone and telecommunication services), or for any diminution in the quality or quantity thereof, when such failure or delay or diminution is occasioned, in whole or in part, by breakage, repairs, replacements, or improvements, by any strike, lockout or other labor trouble, by inability to secure electricity, gas, water, or other fuel at

 

25


the Building or Project after reasonable effort to do so, by any riot or other dangerous condition, emergency, accident or casualty whatsoever, by act or default of Tenant or other parties, or by any other cause; and such failures or delays or diminution shall never be deemed to constitute an eviction or disturbance of Tenant’s use and possession of the Premises or (except as set forth in Section 19.5.1, below) relieve Tenant from paying Rent or performing any of its obligations under this Lease. Furthermore, Landlord shall not be liable under any circumstances for a loss of, or injury to, property or for injury to, or interference with, Tenant’s business, including, without limitation, loss of profits, however occurring, through or in connection with or incidental to a failure to furnish any of the services or utilities as set forth in this Article 6 (provided that the foregoing shall not limit Landlord’s liability, if any, pursuant to Applicable Law for personal injury and property damage to the extent caused by the negligence or willful misconduct of Landlord, its agents, employees or contractors).

6.4  Emergency Generator. Landlord and Tenant hereby acknowledge that there is an existing generator currently serving the Building (“Emergency Generator”), and Tenant shall have the right to connect to the Emergency Generator for up to Tenant’s Share of the electrical capacity available to tenants which is provided by such Emergency Generator. Tenant’s use of the Emergency Generator shall be at Tenant’s sole risk. Landlord represents that the Emergency Generator is currently in place and shall be in good operating condition on the Lease Commencement Date, and during the Lease Term Landlord shall maintain the Generator in good condition and repair, and Tenant shall be responsible for a share of the costs of such maintenance and repair based on the proportion of the Generator capacity allocated to the Premises. Tenant hereby waives any claims against Landlord or any Landlord Parties resulting from Tenant’s use of the Emergency Generator, or any failure of the Emergency Generator to operate as designed, and agrees that Landlord shall not be liable for any damages resulting from any failure in operation of the Emergency Generator, including, without limitation any injury or damage to, or interference with, Tenant’s business, including but not limited to, loss of profits, loss of rents or other revenues, loss of business opportunity, loss of goodwill or loss of use, or loss to equipment, inventory, scientific research, scientific experiments, laboratory animals, products, specimens, samples, and/or scientific, business, accounting and other records of every kind and description kept at the Premises and any and all income derived or derivable therefrom. Tenant acknowledges that Operating Expenses shall include Landlord’s costs incurred in maintaining and operating the Emergency Generator (including all permit costs and fees).

6.5  Supplemental HVAC Units. Notwithstanding anything to the contrary in this Lease, at any time during the Lease Term, Tenant shall have the right, but not the obligation, to install in accordance with Article 8 below (or in accordance with the Work Letter if installed as part of the Tenant Improvements), in the Premises, at Tenant’s sole cost (subject to the application of the Tenant Improvement Allowance, if desired by Tenant) one (1) or more “Supplemental HVAC Units” (at that term is defined below) in order to provide the Premises with additional heating and cooling capacity. As used herein, the term “Supplemental HVAC Unit” shall mean a self-enclosed electric heating and cooling unit of the size and tonnage, and having the specifications, approved by Landlord, which approval shall not be unreasonably withheld, conditioned or delayed. At Landlord’s election prior to the expiration or earlier termination of this Lease, Tenant shall leave the Supplemental HVAC Unit in the Premises upon the expiration or earlier termination of this Lease, in which event the Supplemental HVAC Unit shall be surrendered with the Premises upon the expiration or earlier termination of this Lease, and Tenant shall thereafter have no further rights with respect thereto.

 

26


6.6  Chemical Storage Room. Tenant shall have the right to utilize storage space in the chemical storage room in the Building (the “Chemical Storage Room”), for up to Tenant’s Share of the Chemical Storage Room’s storage capacity, provided that Tenant shall be responsible for providing any equipment or modifications (e.g., self- contained bunkers, dedicated exhaust, additional fire rating, etc.) to support Tenant’s specific usage. During the Term, Landlord shall maintain the Chemical Storage Room in good condition and repair, and Tenant shall be responsible for a share of the costs of such maintenance and repair based on the proportion of the capacity of the Chemical Storage Room allocated to Tenant’s use (subject to the provisions of Section 4.2.4 above). Notwithstanding the foregoing, Landlord shall not be liable for any damages whatsoever resulting from any failure in operation of the Chemical Storage Room, or the failure of the Chemical Storage Room to provide suitable or adequate storage of Tenant’s chemicals, including but not limited to, loss of profits, loss of rents or other revenues, loss of business opportunity, loss of goodwill or loss of use, in each case, however occurring, or loss to inventory, scientific research, scientific experiments, laboratory animals, products, specimens, samples, and/or scientific, business, accounting and other records of every kind and description kept at the Chemical Storage Room or the Premises and any and all income derived or derivable therefrom.

 

7.

REPAIRS

7.1  Tenant Repair Obligations. Tenant shall, throughout the Term, at its sole cost and expense, maintain, repair or replace as required, the interior, non-structural portions of the Premises in a good standard of maintenance, repair and replacement as required, and in good and sanitary condition, all in accordance with the standards of First Class Life Sciences Projects, except for the Landlord Repair Obligations, whether or not such maintenance, repair, replacement or improvement is required in order to comply with Applicable Laws (“Tenant’s Repair Obligations”), including without limitation, all electrical facilities and equipment, including lighting fixtures, lamps, fans and any exhaust equipment and systems, electrical motors and all other appliances and equipment of every kind and nature located in the Premises; all communications systems serving the Premises; all of Tenant’s security systems in or about or serving the Premises; Tenant’s signage; interior, non-loadbearing demising walls and partitions (including painting and wall coverings), Tenant’s equipment, and floor coverings. Tenant shall additionally be responsible, at Tenant’s sole cost and expense, to furnish all expendables, including light bulbs, paper goods and soaps, used in the Premises.

7.2  Landlord’s Right to Perform Tenant’s Repair Obligations. Tenant shall notify Landlord in writing at least thirty (30) days prior to performing any material Tenant’s Repair Obligations, which shall mean any Tenant’s Repair Obligation which affect the Building Systems or which is reasonably anticipated to cost more than $200,000.00. Upon receipt of such notice from Tenant, Landlord shall have the right to either (i) perform such material Tenant’s Repair Obligation by delivering notice of such election to Tenant within thirty (30) days following receipt of Tenant’s notice, and Tenant shall pay Landlord the cost thereof (including Landlord’s reasonable supervision fee) within thirty (30) days after receipt of an invoice therefor, or (ii) require Tenant to perform such Tenant’s Repair Obligation at Tenant’s sole cost and expense. If Tenant fails to perform any Tenant’s Repair Obligation within a reasonable time period, as

 

27


reasonably determined by Landlord, then Landlord may, but need not, following delivery of notice to Tenant of such election, make such Tenant Repair Obligation, and Tenant shall pay Landlord the cost thereof, (including Landlord’s reasonable supervision fee) within thirty (30) days after receipt of an invoice therefor.

7.3  Landlord Repair Obligations. Landlord shall, throughout the Lease Term, at its sole cost and expense (except to the extent the cost or expense is reimbursable to Landlord pursuant to Section 4.4 above) maintain, repair, replace and improve as reasonably required but at all times commensurate with Comparable Buildings: (1) exterior windows, window frames, window casements (including the repairing, resealing, cleaning and replacing of exterior windows); (2) exterior doors, door frames and door closers; (3) the Building (as opposed to the Premises) and Project plumbing, sewer, drainage, electrical, fire protection, life safety and security systems and equipment, existing heating, ventilation and air-conditioning systems, and all other mechanical and HVAC systems and equipment (including rebalancing thereof to the extent deemed reasonably necessary by Landlord) (collectively, the “Building Systems”), (4) the exterior glass, exterior walls, interior loadbearing walls, foundation and roof of the Building, the structural portions of the floors of the Building, including, without limitation, any painting, sealing, patching and waterproofing of exterior walls, (5) repairs to the elevator in the Building and underground utilities, and (6) the Common Areas (the “Landlord Repair Obligations”); provided, however, that if such repairs are due to the negligence or willful misconduct of Tenant, Landlord shall nevertheless make such repairs at Tenant’s expense, or, if covered by Landlord’s insurance, Tenant shall only be obligated to pay any deductible in connection therewith. Costs expended by Landlord in connection with the Landlord Repair Obligations shall be included in Operating Expenses to the extent allowed pursuant to the terms of Article 4, above. Landlord shall cooperate with Tenant to enforce any warranties that Landlord holds that could reduce Tenant’s maintenance obligations under this Lease.

7.4  Tenant’s Right to Make Repairs. Notwithstanding any provision to the contrary contained in this Lease, if Tenant provides written notice to Landlord of an event or circumstance which requires the action of Landlord under this Lease with respect to repair and/or maintenance required in the Premises, including repairs to the portions of the Building located within the Premises that are Landlord’s responsibility under Section 7.3 (the “Base Building”), which event or circumstance with respect to the Base Building materially and adversely affects the conduct of Tenant’s business from the Premises, and Landlord fails to commence corrective action within a reasonable period of time, given the circumstances, after the receipt of such notice, but in any event not later than thirty (30) days after receipt of said notice (unless Landlord’s obligation cannot reasonably be performed within thirty (30) days, in which event Landlord shall be allowed additional time as is reasonably necessary to perform the obligation so long as Landlord begins performance within the initial thirty (30) days and diligently pursues performance to completion), or, in the event of an Emergency (as defined below), not later than five (5) business days after receipt of such notice, then Tenant shall have the right to undertake such actions as may be reasonably necessary to make such repairs if Landlord thereafter fails to commence corrective action within five (5) business days following Landlord’s receipt of a second written notice from Tenant specifying that Tenant will undertake such actions if Landlord fails to timely do so (provided that such notice shall include the following language in bold, capitalized text: “IF LANDLORD FAILS TO COMMENCE THE REPAIRS DESCRIBED IN THIS LETTER WITHIN FIVE (5) BUSINESS DAYS FROM LANDLORD’S RECEIPT OF THIS

 

28


LETTER, TENANT WILL PERFORM SUCH REPAIRS AT LANDLORD’S EXPENSE”; provided, however, that in no event shall Tenant undertake any actions that could materially or adversely affect the Base Building. Notwithstanding the foregoing, in the event of an Emergency, no second written notice shall be required as long as Tenant advises Landlord in the first written notice of Tenant’s intent to perform such Emergency repairs if Landlord does not commence the same within such five (5) business day period, utilizing the language required in second notices. If such action was required under the terms of this Lease to be taken by Landlord and was not commenced by Landlord within such five (5) business day period and thereafter diligently pursued to completion, then Tenant shall be entitled to prompt reimbursement by Landlord of the reasonable out-of- pocket third-party costs and expenses actually incurred by Tenant in taking such action. If Tenant undertakes such corrective actions pursuant to this Section 7.4, then (a) the insurance and indemnity provisions set forth in this Lease shall apply to Tenant’s performance of such corrective actions, (b) Tenant shall proceed in accordance with all Applicable Laws, (c) Tenant shall retain to perform such corrective actions only such reputable contractors and suppliers as are duly licensed and qualified, (d) Tenant shall effect such repairs in a good and workmanlike and commercially reasonable manner, (e) Tenant shall use new or like new materials, and (f) Tenant shall take reasonable efforts to minimize any material interference or impact on the other tenants and occupants of the Building. Promptly following completion of any work taken by Tenant pursuant to the terms of this Section 7.4, Tenant shall deliver a detailed invoice of the work completed, the materials used and the costs relating thereto, and Landlord shall reimburse Tenant the amounts expended by Tenant in connection with such work, provided that Landlord shall have the right to object if Landlord claims that such action did not have to be taken by Landlord pursuant to the terms of this Lease or that the charges are excessive (in which case Landlord shall pay the amount it contends would not have been excessive). For purposes of this Lease, an “Emergency” shall mean an event threatening immediate and material danger to people located in the Building or immediate, material damage to the Building, Base Building, or creating a realistic possibility of an immediate and material interference with, or immediate and material interruption of a material aspect of Tenant’s business operations.

 

8.

ADDITIONS AND ALTERATIONS

8.1  Landlord’s Consent to Alterations. Tenant may not make any improvements, alterations, additions or changes to the Premises or any mechanical, plumbing or HVAC facilities or systems pertaining to the Premises (collectively, the “Alterations”) without first procuring the prior written consent of Landlord to such Alterations, which consent shall be requested by Tenant not less than fifteen (15) days prior to the commencement thereof, and which consent shall not be unreasonably withheld, conditioned or delayed by Landlord, provided it shall be deemed reasonable for Landlord to withhold its consent to any Alteration which adversely affects the structural portions or the systems or equipment of the Building or is visible from the exterior of the Building. If Landlord reasonably disapproves of any proposed Alterations, Landlord shall respond, in writing, stating the grounds for such disapproval, within fifteen (15) business days after receipt of Tenant’s request for approval of the proposed Alterations. If Landlord fails to respond with its approval or disapproval within fifteen (15) business days after receipt of Tenant’s request, then Tenant may send Landlord a reminder notice setting forth such failure containing the following sentence at the top of such notice in bold, capitalized font at least twelve (12) points in size: “LANDLORD’S FAILURE TO RESPOND TO THIS NOTICE WITHIN FIVE (5) BUSINESS DAYS SHALL RESULT IN LANDLORD’S DEEMED APPROVAL OF

 

29


TENANT’S ALTERATION” (the “Alterations Reminder Notice”). Any such Alterations Reminder Notice shall include a complete copy of Tenant’s request for consent (e.g., plans, specifications for such Alteration). If Landlord fails to respond within five (5) business days after receipt of an Alterations Reminder Notice, then Tenant’s Alteration for which Tenant requested Landlord’s approval shall be deemed approved by Landlord. Notwithstanding the foregoing, Tenant shall be permitted to make Alterations following ten (10) business days’ notice to Landlord, but without Landlord’s prior consent, to the extent that such Alterations (i) do not affect the Building Systems or equipment, (ii) are not visible from the exterior of the Building, and (iii) cost less than $150,000.00 for a particular job of work (the “Exempt Alterations”). The construction of the initial improvements to the Premises shall be governed by the terms of the Tenant Work Letter and not the terms of this Article 8.

8.2  Manner of Construction. Landlord may impose, as a condition of its consent to any and all Alterations or repairs of the Premises or about the Premises, such requirements as Landlord in its reasonable discretion may deem desirable, including, but not limited to, the requirement that upon Landlord’s request, Tenant shall, at Tenant’s expense, remove such Alterations upon the expiration or any early termination of the Lease Term, provided, however, Landlord may only require such removal if such Alterations are Specialty Improvements. For the avoidance of doubt, Tenant shall only be responsible for removing Specialty Improvements (hereafter defined), if at the time of its consent to such Specialty Improvements, Landlord advises in writing in its consent that Tenant is obligated to remove such Specialty Improvements at the expiration of the Term. “Specialty Improvements” means, collectively, any alterations, additions or improvements to the Premises which are not typical alterations, additions or improvements found in Comparable Buildings (and typical general laboratory improvements will not be deemed to be Specialty Improvements). Tenant shall construct such Alterations and perform such repairs in a good and workmanlike manner, in conformance with any and all applicable federal, state, county or municipal laws, rules and regulations and pursuant to a valid building permit, issued by the city in which the Building is located (or other applicable governmental authority). Tenant shall not use (and upon notice from Landlord shall cease using) contractors, services, workmen, labor, materials or equipment that, in Landlord’s reasonable judgment, would disturb labor harmony with the workforce or trades engaged in performing other work, labor or services in or about the Building or the Common Areas. Upon completion of any Alterations (other than Exempt Alterations), Tenant shall deliver to Landlord final lien waivers from all contractors, subcontractors and materialmen who performed such work. In addition to Tenant’s obligations under Article 9 of this Lease, upon completion of any Alterations (other than Exempt Alterations), Tenant agrees to cause a Notice of Completion to be recorded in the office of the Recorder of the County of San Mateo in accordance with Section 3093 of the Civil Code of the State of California or any successor statute, and Tenant shall deliver to the Project construction manager a reproducible copy of the “as built” drawings of the Alterations (other than Exempt Alterations)as well as all permits, approvals and other documents issued by any governmental agency in connection with the Alterations.

8.3  Payment for Improvements. Tenant shall pay to Landlord, as Additional Rent, the reasonable, actual, out-of-pocket costs of Landlord’s third party engineers and other third party consultants (but not Landlord’s on- site management personnel) which are reasonably required to be engaged by Landlord for review of all plans, specifications and working drawings for the Alterations, within thirty (30) days after Tenant’s receipt of invoices from Landlord together with

 

30


reasonable supporting evidence; provided, however, Tenant shall only be obligated to pay such costs for Alterations which are not Exempt Alterations. Landlord shall not be entitled to receive an administrative or supervision fee with regard to repairs, Alterations or any other work arising from or related to this Lease except as expressly set forth herein unless Tenant hires Landlord to perform the Alterations, in which case, an administrative fee will be negotiated between Landlord and Tenant at that time.

8.4  Construction Insurance. In addition to the requirements of Article 10 of this Lease, in the event that Tenant makes any Alterations, prior to the commencement of such Alterations, Tenant shall provide Landlord with evidence that Tenant carries “Builder’s All Risk” insurance in an amount approved by Landlord covering the construction of such Alterations, it being understood and agreed that all of such Alterations shall be insured by Tenant pursuant to Article 10 of this Lease immediately upon completion thereof. In addition, Tenant’s general contractor shall be required to carry (i) Commercial General Liability Insurance with commercially reasonable coverage limits, with Landlord, and, at Landlord’s option, Landlord’s property manager and project manager, as additional insureds in an amount approved by Landlord, and (ii) workers compensation insurance to the extent required by Applicable Law.

8.5  Landlord’s Property. All Alterations, improvements, fixtures, equipment and/or appurtenances which may be installed in or about the Premises by Tenant (excluding Tenant’s removable trade fixtures, furniture and non-affixed office and lab equipment), from time to time, shall be at the sole cost of Tenant and shall be and become the property of Landlord and remain in place at the Premises following the expiration or earlier termination of this Lease. Notwithstanding the foregoing, Landlord may, by written notice to Tenant prior to the end of the Lease Term, or given following any earlier termination of this Lease, require Tenant, at Tenant’s expense, to remove any Specialty Improvements within the Premises and to repair any damage to the Premises and Building caused by such removal and return the affected portion of the Premises to a building standard tenant improved condition as determined by Landlord. If Tenant fails to complete such removal and/or to repair any damage caused by the removal of any Specialty Improvements in the Premises and return the affected portion of the Premises to a building standard tenant improved condition as reasonably determined by Landlord, Landlord may do so and may charge the cost thereof to Tenant. Tenant hereby protects, defends, indemnifies and holds Landlord harmless from any liability, cost, obligation, expense or claim of lien in any manner relating to the installation, placement, removal or financing of any such Alterations, improvements, fixtures and/or equipment in, on or about the Premises, which obligations of Tenant shall survive the expiration or earlier termination of this Lease.

9.  COVENANT AGAINST LIENS Tenant shall keep the Project and Premises free from any liens or encumbrances arising out of the work performed, materials furnished or obligations incurred by or on behalf of Tenant, and shall protect, defend, indemnify and hold Landlord harmless from and against any claims, liabilities, judgments or costs (including, without limitation, reasonable attorneys’ fees and costs) arising out of same or in connection therewith. Tenant shall give Landlord notice at least fifteen (15) days prior to the commencement of any such work on the Premises (or such additional time as may be necessary under Applicable Laws) to afford Landlord the opportunity of posting and recording appropriate notices of non-responsibility (to the extent applicable pursuant to then Applicable Laws). Tenant shall remove any such lien or encumbrance by bond or otherwise within fifteen (15) business days after notice by Landlord, and if Tenant shall fail to do so, Landlord may pay the amount necessary to remove such lien or encumbrance, without being responsible for investigating the validity thereof.

 

31


10.

INSURANCE

10.1  Indemnification and Waiver. Except to the extent due to the negligence, willful misconduct or violation of this Lease by Landlord or the Landlord Parties, and subject to the waiver of subrogation set forth in Section 10.5, below, Tenant hereby waives all claims against Landlord and its partners, subpartners and their respective officers, agents, employees, lenders, any property manager and independent contractors (collectively, “Landlord Parties”) damage either to person or property in or upon the Premises, or resulting from the loss of use thereof, which damage is sustained by Tenant or by other persons claiming through Tenant. Except to the extent due to the negligence, willful misconduct or violation of this Lease by Landlord or the Landlord Parties, Tenant shall indemnify, defend, protect, and hold harmless the Landlord Parties from any and all claims, loss, cost, damage, injury, expense and liability (including without limitation court costs and reasonable attorneys’ fees) incurred to the extent arising from any acts or omissions by Tenant or any person claiming by, through or under Tenant, or of the contractors, agents, employees, invitees, guests or licensees of Tenant or any such person (collectively, “Tenant Parties”), in, on or about the Premises, or from any negligence or willful misconduct of Tenant or any Tenant Parties in, on or about the Project, or any breach of the terms of this Lease, either prior to, during, or after the expiration of the Lease Term. Notwithstanding anything to the contrary in this Lease, Landlord shall not be released or indemnified from, and shall indemnify, defend, protect and hold harmless Tenant, its agents, contractors and employees, from, all losses, damages, liabilities, demands, claims, actions, attorneys’ fees, costs and expenses arising from the negligence or willful misconduct of Landlord or its agents, contractors, licensees or invitees, or a violation of Landlord’s obligations or representations under this Lease. The provisions of this Section 10.1 shall survive the expiration or sooner termination of this Lease with respect to any claims or liability arising in connection with any event occurring prior to such expiration or termination.

10.2  Tenant’s Compliance With Landlord’s Property Insurance. Landlord shall insure the Building and Project during the Lease Term against loss or damage under an “all risk” property insurance policy. Such coverage shall be for the full replacement cost of the Building and shall be issued by an insurance company possessing a rating of not less than A-:VII in Best’s Insurance Guide. Additionally, at the option of Landlord, such insurance coverage may include the risks of earthquakes and/or flood damage and additional hazards, a rental loss endorsement and one or more loss payee endorsements in favor of the holders of any mortgages or deeds of trust encumbering the interest of Landlord in the Building or the ground or underlying lessors of the Building, or any portion thereof. Tenant shall, at Tenant’s expense, comply with all insurance company requirements pertaining to the use of the Premises. If Tenant’s conduct or use of the Premises causes any increase in the premium for such insurance policies then Tenant shall reimburse Landlord for any such increase. Tenant, at Tenant’s expense, shall comply with all rules, orders, regulations or requirements of the American Insurance Association (formerly the National Board of Fire Underwriters) and with any similar body. Tenant shall also provide Landlord and Landlord’s insurer(s) with such information regarding the use of the Premises and any damage to the Premises as they may reasonably require in connection with the placement of insurance for the Premises or the adjusting of any losses to the Premises.

 

32


10.3  Tenant’s Insurance. During the Lease Term, Tenant shall maintain the following coverages in the following amounts.

10.3.1 Commercial General Liability Insurance on an occurrence form covering the insured against claims of bodily injury, personal injury and property damage (including loss of use thereof) arising out of Tenant’s operations, and contractual liabilities including a contractual coverage, for limits of liability (which limits may be met together with umbrella liability insurance) of not less than:

 

   Bodily Injury and    $3,000,000 each occurrence   
   Property Damage Liability    $3,000,000 annual aggregate
  

 

Personal Injury Liability

  

 

$3,000,000 each occurrence

      $3,000,000 annual aggregate

10.3.2 Property Insurance covering (i) all office furniture, business and trade fixtures, office equipment, free-standing cabinet work, movable partitions, merchandise and all other items of Tenant’s property on the Premises installed by, for, or at the expense of Tenant, (ii) the “Tenant Improvements,” as that term is defined in the Tenant Work Letter, and any other improvements which exist in the Premises as of the Lease Commencement Date (excluding the Base Building) (the “Original Improvements”), and (iii) all other improvements, alterations and additions to the Premises. Such insurance shall be written on an “all risks” of physical loss or damage basis, for the full replacement cost value (subject to reasonable deductible amounts) new without deduction for depreciation of the covered items and in amounts that meet any co-insurance clauses of the policies of insurance and shall include coverage for damage or other loss caused by fire or other peril including, but not limited to, vandalism and malicious mischief, theft, water damage of any type, including sprinkler leakage, bursting or stoppage of pipes, and explosion.

10.3.3 Intentionally omitted.

10.3.4 Worker’s Compensation and Employer’s Liability or other similar insurance pursuant to all applicable state and local statutes and partners.

10.4 Form of Policies. The minimum limits of policies of insurance required of Tenant under this Lease shall in no event limit the liability of Tenant under this Lease. Such insurance shall (i) name Landlord, its subsidiaries and affiliates, its property manager (if any) and any other party the Landlord so specifies in writing, as an additional insured or loss payee, as applicable, including Landlord’s managing agent, if any; (ii) be issued by an insurance company having a rating of not less than A-:VII in Best’s Insurance Guide or which is otherwise acceptable to Landlord and licensed to do business in the State of California; (iv) be primary insurance as to all claims thereunder and provide that any insurance carried by Landlord is excess and is non-contributing with any insurance required of Tenant, provided, however, only to the extent of liabilities covered by Tenant’s indemnity obligations pursuant to the terms of this Lease; and (v) be in form and content reasonably acceptable to Landlord. Tenant shall promptly provide written notice of cancellation received by Tenant from its insurer. Tenant shall deliver certificates of said insurance policies to Landlord on or before the Lease Commencement Date and within a reasonable period of time after renewal dates of such policies. In the event Tenant shall fail to

 

33


procure such insurance, Landlord may, at its option, after giving Tenant at least five (5) business days prior written notice with Tenant thereafter failing to procure such insurance, procure such policies for the account of Tenant, and the cost thereof shall be paid to Landlord within five (5) days after delivery to Tenant of bills therefor.

10.5  Subrogation. Landlord and Tenant hereby agree to look solely to, and seek recovery only from, their respective property insurance carriers in the event of a property loss to the extent that such coverage is agreed to be provided hereunder. The parties each hereby waive all rights and claims against each other for such losses, and waive all rights of subrogation of their respective insurers, provided such waiver of subrogation shall not affect the right to the insured to recover thereunder. The parties agree that their respective insurance policies do now, or shall, contain the waiver of subrogation. The parties hereby represent that their respective property insurance policies include a waiver of (i) subrogation by the insurers, and (ii) all rights based upon an assignment from its insured, against Landlord and/or any of the Landlord Parties or Tenant and/or any of the Tenant Parties (as the case may be) in connection with any property loss risk thereby insured against.

10.6  Additional Insurance Obligations. Tenant shall carry and maintain during the entire Lease Term, at Tenant’s sole cost and expense, increased amounts of the insurance required to be carried by Tenant pursuant to this Article 10 and such other reasonable types of insurance coverage and in such reasonable amounts covering the Premises and Tenant’s operations therein, as may be reasonably requested by Landlord, but in no event in excess of the amounts and types of insurance then being required by landlords of Comparable Buildings.

 

11.

DAMAGE AND DESTRUCTION

11.1  Repair of Damage to Premises by Landlord. To the extent Landlord does not already have actual knowledge of such damage, Tenant shall promptly notify Landlord of any damage to the Premises resulting from fire or any other casualty. If the Building (including the Premises) and/or any Common Areas (including parking facilities) serving or providing access to the Premises shall be damaged by fire or other casualty (a “Casualty”), Landlord shall promptly and diligently, subject to reasonable delays for insurance adjustment or other matters beyond Landlord’s reasonable control, and subject to all other terms of this Article 11, restore the Building (including the Premises) and/or such Common Areas. Such restoration shall be to substantially the same condition of the Base Building and the Common Areas prior to the casualty, except for modifications required by zoning and building codes and other laws, provided that access to the Premises shall not be materially impaired. Within sixty (60) days after the occurrence of any Casualty, Landlord shall deliver to Tenant an estimate (the “Casualty Estimate”), prepared by a qualified, independent, experienced and reputable architect and/or general contractor and addressed to Tenant, of the number of days (assuming no Force Majeure delay), measured from the date of the Casualty, that will be required for Landlord to substantially complete the repair and restoration of the Building (including the Premises) and the Common Areas (when such repairs are made without the payment of overtime or other premiums). Landlord shall use commercially reasonable efforts to minimize interference with Tenant’s business during any such repairs. If this Lease does not terminate pursuant to Section 11.2 below or for any other reason, and Landlord complies with its obligations set forth in this Article 11, Tenant shall, at its sole cost, subject to reasonable delays for insurance adjustment or other matters beyond Tenant’s reasonable control,

 

34


repair any damage to the Tenant Improvements (and any subsequent Alterations) installed in the Premises by Tenant (“Tenant’s Restoration Work”). Prior to the commencement of construction, Tenant shall submit to Landlord, for Landlord’s review and approval, all plans, specifications and working drawings relating thereto (other than Exempt Alterations which shall not be subject to Landlord’s approval) which Landlord approval shall not be unreasonably withheld, conditioned or delayed. Landlord shall not be liable for any inconvenience or annoyance to Tenant or its visitors, or injury to Tenant’s business resulting in any way from such damage or the repair thereof; provided however, that if such fire or other casualty shall have damaged the Building, Premises or Common Areas (including parking facilities) necessary to Tenant’s use and occupancy, and the Premises are not occupied by Tenant as a result thereof (other than for the purpose of performing Tenant’s Restoration Work), then during the time and to the extent the Premises are unfit for occupancy, the Rent shall be abated in proportion to the ratio that the amount of rentable square feet of the Premises which is unfit for occupancy for the purposes permitted under this Lease bears to the total rentable square feet of the Premises.

11.2  Landlord’s Option to Repair. Notwithstanding the terms of Section 11.1 of this Lease, Landlord may elect not to rebuild and/or restore the Building and/or Common Areas, and instead terminate this Lease, by notifying Tenant in writing of such termination within sixty (60) days after the date of the Casualty, such notice to include a termination date giving Tenant sixty (60) days to vacate the Premises, but Landlord may so elect only if the Building and Common Areas shall be damaged by fire or other Casualty or cause and one or more of the following conditions is present: (i) according to the Casualty Estimate, repairs to the Building and Common Areas cannot be completed within twelve (12) months after the date of discovery of the damage (when such repairs are made without the payment of overtime or other premiums); (ii) the holder of any mortgage on the Building or Project shall require that the insurance proceeds or any portion thereof in excess of Two Million Dollars ($2,000,000.00) be used to retire the mortgage debt; (iii) at least Two Million Dollars ($2,000,000.00) of the damage is not fully covered by Landlord’s insurance policies; or (iv) the damage occurs during the last twelve (12) months of the Lease Term and according to the Casualty Estimate restoration and repair of the Building and Common Areas cannot be completed within sixty (60) days after the date of discovery of the damage (when such repairs are made without the payment of overtime or other premiums), Notwithstanding anything to the contrary herein, Tenant may elect to terminate this Lease by notifying Landlord in writing of such termination within sixty (60) days after receipt of the Casualty Estimate, such notice to include a termination date giving Tenant up to sixty (60) days to vacate the Premises, but Tenant may so elect only if one or more of the following conditions is present: (A) according to the Casualty Estimate, repairs to the Base Building and Common Areas cannot be completed within twelve (12) months after the date of discovery of the damage (when such repairs are made without the payment of overtime or other premiums) or (B) the damage occurs during the last twelve (12) months of the Lease Term and according to the Casualty Estimate restoration and repair of the Building and Common Areas cannot be completed within sixty (60) days after the date of discovery of the damage (when such repairs are made without the payment of overtime or other premiums). In addition, if neither Landlord nor Tenant has terminated this Lease and the repairs are not actually completed within ninety (90) days of the period of time set forth in the Casualty Estimate, Tenant shall have the right to terminate this Lease by notice to Landlord (the “Damage Termination Notice”), effective as of a date set forth in the Damage Termination Notice (the “Damage Termination Date”), which Damage Termination Date may be up to sixty (60) days after delivery of the Damage Termination Notice.

 

35


11.3  Waiver of Statutory Provisions. The provisions of this Lease, including this Article 11, constitute an express agreement between Landlord and Tenant with respect to any and all damage to, or destruction of, all or any part of the Premises, the Building or the Project, and any statute or regulation of the State of California, including, without limitation, Sections 1932(2) and 1933(4) of the California Civil Code, with respect to any rights or obligations concerning damage or destruction in the absence of an express agreement between the parties, and any other statute or regulation, now or hereafter in effect, shall have no application to this Lease or any damage or destruction to all or any part of the Premises, the Building or the Project.

12.  NONWAIVER No provision of this Lease shall be deemed waived by either party hereto unless expressly waived in a writing signed thereby. The waiver by either party hereto of any breach of any term, covenant or condition herein contained shall not be deemed to be a waiver of any subsequent breach of same or any other term, covenant or condition herein contained. The subsequent acceptance of Rent hereunder by Landlord shall not be deemed to be a waiver of any preceding breach by Tenant of any term, covenant or condition of this Lease, other than the failure of Tenant to pay the particular Rent so accepted, regardless of Landlord’s knowledge of such preceding breach at the time of acceptance of such Rent. No acceptance of a lesser amount than the Rent herein stipulated shall be deemed a waiver of Landlord’s right to receive the full amount due, nor shall any endorsement or statement on any check or payment or any letter accompanying such check or payment be deemed an accord and satisfaction, and Landlord may accept such check or payment without prejudice to Landlord’s right to recover the full amount due. No receipt of monies by Landlord from Tenant after the termination of this Lease shall in any way alter the length of the Lease Term or of Tenant’s right of possession hereunder, or after the giving of any notice shall reinstate, continue or extend the Lease Term or affect any notice given Tenant prior to the receipt of such monies, it being agreed that after the service of notice or the commencement of a suit, or after final judgment for possession of the Premises, Landlord may receive and collect any Rent due, and the payment of said Rent shall not waive or affect said notice, suit or judgment.

13.  CONDEMNATION If the whole or any part of the Premises, Building or Project shall be taken by power of eminent domain or condemned by any competent authority for any public or quasi-public use or purpose, or if any adjacent property or street shall be so taken or condemned, or reconfigured or vacated by such authority in such manner as to require the use, reconstruction or remodeling of any part of the Premises, Building or Project, or if Landlord shall grant a deed or other instrument in lieu of such taking by eminent domain or condemnation, Landlord shall have the option to terminate this Lease effective as of the date possession is required to be surrendered to the authority. Notwithstanding the foregoing, Landlord shall only have the right to terminate this Lease if Landlord terminates all of the leases within the Project similarly affected by such taking. If more than twenty-five percent (25%) of the rentable square feet of the Premises is taken, or if access to the Premises is substantially impaired, in each case for a period in excess of one hundred twenty (120) days, Tenant shall have the option to terminate this Lease effective on not less than ninety (90) days prior written notice or, if sooner as of the date possession is required to be surrendered to the authority. Tenant shall not because of such taking assert any claim against Landlord or the authority for any compensation because of such taking and Landlord shall be entitled to the entire award or payment in connection therewith, except that Tenant shall have the right to file any separate claim available to Tenant for any taking of Tenant’s personal property and fixtures belonging to Tenant and removable by Tenant upon expiration of the Lease Term pursuant to the terms of this Lease, and for moving expenses, so long as such claims do not

 

36


diminish the award available to Landlord, its ground lessor with respect to the Building or Project or its mortgagee, and such claim is payable separately to Tenant. All Rent shall be apportioned as of the date of such termination. If any part of the Premises shall be taken, and this Lease shall not be so terminated, the Rent shall be proportionately abated. Tenant hereby waives any and all rights it might otherwise have pursuant to Section 1265.130 of The California Code of Civil Procedure. Notwithstanding anything to the contrary contained in this Article 13, in the event of a temporary taking of all or any portion of the Premises for a period of one hundred and eighty (180) days or less, then this Lease shall not terminate but the Base Rent and the Additional Rent shall be abated for the period of such taking in proportion to the ratio that the amount of rentable square feet of the Premises taken bears to the total rentable square feet of the Premises. Landlord shall be entitled to receive the entire award made in connection with any such temporary taking.

 

14.

ASSIGNMENT AND SUBLETTING

14.1  Transfers. Subject to the terms of Section 14.8 and Section 14.9 below, Tenant shall not, without the prior written consent of Landlord, assign, mortgage, pledge, hypothecate, encumber, or permit any lien to attach to, or otherwise transfer, this Lease or any interest hereunder, permit any assignment, or other transfer of this Lease or any interest hereunder by operation of law, sublet the Premises or any part thereof, or enter into any license or concession agreements or otherwise permit the occupancy or use of the Premises or any part thereof by any persons other than Tenant and its employees and contractors (all of the foregoing are hereinafter sometimes referred to collectively as “Transfers” and any person to whom any Transfer is made or sought to be made is hereinafter sometimes referred to as a “Transferee”). If Tenant desires Landlord’s consent to any Transfer, Tenant shall notify Landlord in writing, which notice (the “Transfer Notice”) shall include (i) the proposed effective date of the Transfer, which shall not be less than twenty (20) days nor more than one hundred eighty (180) days after the date of delivery of the Transfer Notice, (ii) a description of the portion of the Premises to be transferred (the “Subject Space”), (iii) all of the terms of the proposed Transfer and the consideration therefor, including calculation of the “Transfer Premium”, as that term is defined in Section 14.3 below, in connection with such Transfer, the name and address of the proposed Transferee, and a copy of all existing executed documentation pertaining to the proposed Transfer, and (iv) current financial statements of the proposed Transferee certified by an officer, partner or owner thereof (provided, that the submission of such financial statements shall not be required if the proposed Transferee is a publicly-traded company whose financial statements are publicly available through the Securities and Exchange Commission) and any other information reasonably required by Landlord which will enable Landlord to determine the financial responsibility, character, and reputation of the proposed Transferee, nature of such Transferee’s business and proposed use of the Subject Space. Any Transfer made without Landlord’s prior written consent shall, at Landlord’s option, be null, void and of no effect, and shall, at Landlord’s option, constitute a default by Tenant under this Lease. Whether or not Landlord consents to any proposed Transfer, Tenant shall pay Landlord’s reasonable review and processing fees, as well as any reasonable professional fees (including, without limitation, attorneys’, accountants’, architects’, engineers’ and consultants’ fees) incurred by Landlord, within thirty (30) days after written request by Landlord, provided that such fees shall not exceed Two Thousand and 00/100 Dollars ($2,000.00) for any such Transfer in the ordinary course of business. For purposes of this Lease, “in the ordinary course of business” shall include, without limitation, the review of documents on no more than three (3) occasions in connection with any particular Transfer.

 

37


14.2  Landlord’s Consent. Landlord shall not unreasonably withhold or delay its consent to any proposed Transfer of the Subject Space to the Transferee on the terms specified in the Transfer Notice. Landlord shall approve or disapprove of any proposed Transfer within fifteen (15) business days after receipt of a complete Transfer Notice. If Landlord fails to respond within such fifteen (15) business day period, then Tenant may send Landlord a reminder notice setting forth such failure containing the following sentence at the top of such notice in bold, capitalized font at least twelve (12) points in size: “LANDLORD’S FAILURE TO RESPOND TO THIS NOTICE WITHIN FIVE (5) BUSINESS DAYS SHALL RESULT IN LANDLORD’S DEEMED APPROVAL OF TENANT’S REQUEST FOR TRANSFER” (the “Transfer Reminder Notice”). Any such Transfer Reminder Notice shall include a complete copy of Tenant’s Transfer Notice. If Landlord fails to respond within five (5) business days after receipt of a Transfer Reminder Notice, then Tenant’s Transfer for which Tenant requested Landlord’s approval shall be deemed approved by Landlord. Without limitation as to other reasonable grounds for withholding consent, the parties hereby agree that it shall be reasonable under this Lease and under any Applicable Law for Landlord to withhold consent to any proposed Transfer where one or more of the following apply:

14.2.1 The Transferee is of a character or reputation or engaged in a business which is not consistent with the quality of the Building or the Project;

14.2.2 The Transferee is either a governmental agency or instrumentality thereof;

14.2.3 The Transferee is not a party of reasonable financial worth and/or financial stability in light of the responsibilities to be undertaken in connection with the Transfer on the date consent is requested; or

14.2.4 The proposed Transfer would cause a violation of another lease for space in the Project, or would give an occupant of the Project a right to cancel its lease; provided, that, within ten (10) business days after request from Tenant, Landlord shall provide Tenant a list of any such use or competitor restrictions and cancellation rights then in effect at the Project.

If Landlord consents to any Transfer pursuant to the terms of this Section 14.2 (and does not exercise any recapture rights Landlord may have under Section 14.4 of this Lease), Tenant may within six (6) months after Landlord’s consent, but not later than the expiration of said six-month period, enter into such Transfer of the Premises or portion thereof, upon substantially the same terms and conditions as are set forth in the Transfer Notice furnished by Tenant to Landlord pursuant to Section 14.1 of this Lease, provided that if there are any changes in the terms and conditions from those specified in the Transfer Notice such that Landlord would initially have been entitled to refuse its consent to such Transfer under this Section 14.2, Tenant shall again submit the Transfer to Landlord for its approval and other action under this Article 14 (including Landlord’s right of recapture, if any, under Section 14.4 of this Lease). Notwithstanding anything to the contrary in this Lease, if Tenant or any proposed Transferee claims that Landlord has unreasonably withheld or delayed its consent under Section 14.2 or otherwise has breached or acted unreasonably under this Article 14, their sole remedies shall be a suit for contract damages (other than damages for injury to, or interference with, Tenant’s business including, without limitation, loss of profits, however occurring) or declaratory judgment and an injunction for the relief sought, and Tenant hereby waives all other remedies, including, without limitation, any right at law or equity to terminate this Lease, on its own behalf and, to the extent permitted under all Applicable Laws, on behalf of the proposed Transferee.

 

38


14.3  Transfer Premium. If Landlord consents to a Transfer, as a condition thereto which the parties hereby agree is reasonable, Tenant shall pay to Landlord fifty percent (50%) of any “Transfer Premium,” as that term is defined in this Section 14.3, received by Tenant from such Transferee. “Transfer Premium” shall mean all rent, additional rent or other consideration payable by such Transferee in connection with the Transfer in excess of the Rent and Additional Rent payable by Tenant under this Lease during the term of the Transfer on a per rentable square foot basis if less than all of the Premises is transferred, and after deduction of (i) any costs of alterations, modifications or improvements made to the Subject Space in connection with such Transfer, (ii) brokerage commissions paid in connection with such Transfer, (iii) reasonable legal fees incurred in connection with such Transfer, and (iv) any free base rent, improvement allowance and other economic concessions provided to the Transferee (collectively, “Transfer Costs”). “Transfer Premium” shall also include, but not be limited to, key money, bonus money or other cash consideration paid by Transferee to Tenant in connection with such Transfer, and any payment in excess of fair market value for services rendered by Tenant to Transferee or for assets, fixtures, inventory, equipment, or furniture transferred by Tenant to Transferee in connection with such Transfer. The determination of the amount of Landlord’s applicable share of the Transfer Premium shall be made on a monthly basis as rent or other consideration is received by Tenant under the Transfer. Notwithstanding anything set forth herein to the contrary, in no event shall Tenant be required to pay a Transfer Premium in connection with a Transfer pursuant to Section 14.8 of this Lease, below.

14.4  Landlord’s Option as to Subject Space. Notwithstanding anything to the contrary contained in this Article 14, in the event Tenant contemplates a Transfer which, together with all prior Transfers then remaining in effect, would cause fifty percent (50%) or more of the Premises to be Transferred for more than fifty percent (50%) of the then remaining Lease Term (taking into account any extension of the Lease Term which has irrevocably exercised by Tenant), Tenant shall give Landlord notice (the “Intention to Transfer Notice”) of such contemplated Transfer (whether or not the contemplated Transferee or the terms of such contemplated Transfer have been determined). The Intention to Transfer Notice shall specify the portion of and amount of rentable square feet of the Premises which Tenant intends to Transfer (the “Contemplated Transfer Space”), the contemplated date of commencement of the Contemplated Transfer (the “Contemplated Effective Date”), and the contemplated length of the term of such contemplated Transfer, and shall specify that such Intention to Transfer Notice is delivered to Landlord pursuant to this Section 14.4 in order to allow Landlord to elect to recapture the Contemplated Transfer Space. Thereafter, Landlord shall have the option, by giving written notice (the “Recapture Notice”) to Tenant within thirty (30) days after receipt of any Intention to Transfer Notice, to recapture the Contemplated Transfer Space. Notwithstanding the foregoing sentence, however, if Landlord delivers a Recapture Notice to Tenant, Tenant may, within ten (10) business days after Tenant’s receipt of such Recapture Notice, deliver written notice to Landlord indicating that Tenant is rescinding its request for consent to the proposed Transfer, in which case such Transfer shall not be consummated and this Lease shall remain in full force and effect as to the portion of the Premises that was the subject of the proposed Transfer. Such recapture shall cancel and terminate this Lease with respect to such Contemplated Transfer Space as of the Contemplated Effective Date. In the event of a recapture by Landlord, if this Lease shall be canceled with respect

 

39


to less than the entire Premises, the Rent reserved herein shall be prorated on the basis of the number of rentable square feet retained by Tenant in proportion to the number of rentable square feet contained in the Premises, and this Lease as so amended shall continue thereafter in full force and effect, and upon request of either party, the parties shall execute written confirmation of the same. If Landlord declines, or fails to elect in a timely manner, to recapture such Contemplated Transfer Space under this Section 14.4, then, subject to the other terms of this Article 14, for a period of nine (9) months (the “Nine Month Period”) commencing on the last day of such thirty (30) day period, Landlord shall not have any right to recapture the Contemplated Transfer Space with respect to any Transfer made during the Nine Month Period, provided that any such Transfer is substantially on the terms set forth in the Intention to Transfer Notice, and provided further that any such Transfer shall be subject to the remaining terms of this Article 14. If such a Transfer is not so consummated within the Nine Month Period (or if a Transfer is so consummated, then upon the expiration of the term of any Transfer of such Contemplated Transfer Space consummated within such Nine Month Period), Tenant shall again be required to submit a new Intention to Transfer Notice to Landlord with respect any contemplated Transfer, as provided above in this Section 14.4.

14.5  Effect of Transfer. If Landlord consents to a Transfer, (i) the terms and conditions of this Lease shall in no way be deemed to have been waived or modified, (ii) such consent shall not be deemed consent to any further Transfer by either Tenant or a Transferee, (iii) Tenant shall deliver to Landlord, promptly after execution, an original executed copy of all documentation pertaining to the Transfer in form reasonably acceptable to Landlord, (iv) Tenant shall furnish upon Landlord’s request a complete statement, certified by an independent certified public accountant, or an officer of Tenant, setting forth the computation of any Transfer Premium Tenant has derived and shall derive from such Transfer, and (v) no Transfer relating to this Lease or agreement entered into with respect thereto, whether with or without Landlord’s consent, shall relieve Tenant or any guarantor of the Lease from any liability under this Lease, including, without limitation, in connection with the Subject Space. Landlord or its authorized representatives shall have the right at all reasonable times to audit the books, records and papers of Tenant relating to any Transfer, and shall have the right to make copies thereof. If the Transfer Premium respecting any Transfer shall be found understated, Tenant shall, within thirty (30) days after demand, pay the deficiency, and if understated by more than four percent (4%), Tenant shall pay Landlord’s costs of such audit.

14.6  Additional Transfers. For purposes of this Lease, the term “Transfer” shall also include if Tenant is a partnership, the withdrawal or change, voluntary, involuntary or by operation of law, of fifty percent (50%) or more of the partners, or transfer of fifty percent (50%) or more of partnership interests, within a twelve (12)-month period, or the dissolution of the partnership without immediate reconstitution thereof.

14.7  Occurrence of Default. Any Transfer hereunder shall be subordinate and subject to the provisions of this Lease, and if this Lease shall be terminated during the term of any Transfer, Landlord shall have the right to: (i) treat such Transfer as cancelled and repossess the Subject Space by any lawful means, or (ii) require that such Transferee attorn to and recognize Landlord as its landlord under any such Transfer. If Tenant shall be in default under this Lease, beyond all applicable notice and cure periods expressly set forth in this Lease, Landlord is hereby irrevocably authorized to direct any Transferee to make all payments under or in connection with the Transfer

 

40


directly to Landlord (which Landlord shall apply towards Tenant’s obligations under this Lease) until such default is cured. Such Transferee shall rely on any representation by Landlord that Tenant is in default hereunder, without any need for confirmation thereof by Tenant. Upon any assignment, the assignee shall assume in writing all obligations and covenants of Tenant thereafter to be performed or observed under this Lease. No collection or acceptance of rent by Landlord from any Transferee shall be deemed a waiver of any provision of this Article 14 or the approval of any Transferee or a release of Tenant from any obligation under this Lease, whether theretofore or thereafter accruing. In no event shall Landlord’s enforcement of any provision of this Lease against any Transferee be deemed a waiver of Landlord’s right to enforce any term of this Lease against Tenant or any other person. If Tenant’s obligations hereunder have been guaranteed, Landlord’s consent to any Transfer shall not be effective unless the guarantor also consents to such Transfer.

14.8  Non-Transfers. Notwithstanding anything to the contrary contained in this Article 14, (i) an assignment or subletting of all or a portion of the Premises to an affiliate of Tenant (an entity which is controlled by, controls, or is under common control with, Tenant), (ii) an assignment of the Premises to an entity which acquires all or substantially all of the assets or interests (partnership, stock or other) of Tenant, (iii) an assignment of the Premises to an entity which is the resulting entity of a merger or consolidation of Tenant with another entity, or (iv) a sale of corporate shares of capital stock in Tenant in connection with a public offering of Tenant’s stock on a nationally- recognized stock exchange (collectively, a “Permitted Transferee”), shall not be deemed a Transfer under this Article 14, provided that (A) Tenant notifies Landlord of any such assignment or sublease and promptly supplies Landlord with any documents or information requested by Landlord regarding such assignment or sublease or such affiliate, (B) such assignment or sublease is not a subterfuge by Tenant to avoid its obligations under this Lease, (C) such Permitted Transferee shall be of a character and reputation consistent with the quality of the Building, and (D) such Permitted Transferee shall have a tangible net worth (not including goodwill as an asset) computed in accordance with generally accepted accounting principles (“Net Worth”) at least equal to the Net Worth of Tenant on the day immediately preceding the effective date of such assignment or sublease. An assignee of Tenant’s entire interest that is also a Permitted Transferee may also be known as a “Permitted Transferee Assignee”. “Control,” as used in this Section 14.8, shall mean the ownership, directly or indirectly, of at least fifty-one percent (51%) of the voting securities of, or possession of the right to vote, in the ordinary direction of its affairs, of at least fifty-one percent (51%) of the voting interest in, any person or entity. No such permitted assignment or subletting shall serve to release Tenant from any of its obligations under this Lease.

14.9  Permitted Occupancy. Landlord acknowledges that one of Tenant’s uses of the Premises is for a business incubator. Accordingly, Tenant shall have the right to sublease or license portions of the Premises to “Permitted Occupants” (defined below) pursuant to a commercially reasonable sublease agreement per the terms of this Section 14, without (i) Landlord approval, (ii) Landlord having a right to recapture the Premises, (iii) notice to Landlord, (iv) Landlord sharing in any profit or income from such sublease; and (v) payment of the Transfer Premium. Notwithstanding any provision contained in the Lease to the contrary, Landlord hereby acknowledges and agrees that, Tenant may, subject to the applicable terms and conditions of the Lease, permit no more than twenty-five percent (25%) of the Premises (the “Permitted Occupant Space”) to be occupied and utilized for the use permitted by the Lease by any individual third parties that have a sublease or license agreement with Tenant (the “Permitted Occupants”)

 

41


without Landlord’s consent; provided however, (a) such Permitted Occupants shall be of a character and reputation consistent with the first-class quality of the Building and shall not violate the terms of any other lease in the Building; and (b) such occupancy shall not be a subterfuge by Tenant to avoid its obligations under the Lease, or the restrictions on Transfers pursuant to this Article 14. Tenant shall promptly supply Landlord with the name of any such Permitted Occupants, a copy of the fully-executed sublease or license with such Permitted Occupant and any documents or information reasonably requested by Landlord regarding any such Permitted Occupants and/or their occupancy of the Permitted Occupant Space. The occupancy of the Permitted Occupant Space by any Permitted Occupants permitted under this Section 14.9 shall not be deemed a Transfer. Notwithstanding the foregoing, no such occupancy by any such Permitted Occupants shall relieve Tenant from any liability under the Lease.

 

15.

SURRENDER OF PREMISES; OWNERSHIP AND REMOVAL OF TRADE FIXTURES

15.1  Surrender of Premises. No act or thing done by Landlord or any agent or employee of Landlord during the Lease Term shall be deemed to constitute an acceptance by Landlord of a surrender of the Premises unless such intent is specifically acknowledged in writing by Landlord. The delivery of keys to the Premises to Landlord or any agent or employee of Landlord shall not constitute a surrender of the Premises or effect a termination of this Lease, whether or not the keys are thereafter retained by Landlord, and notwithstanding such delivery Tenant shall be entitled to the return of such keys at any reasonable time upon request until this Lease shall have been properly terminated. The voluntary or other surrender of this Lease by Tenant, whether accepted by Landlord or not, or a mutual termination hereof, shall not work a merger, and at the option of Landlord shall operate as an assignment to Landlord of all subleases or subtenancies affecting the Premises or terminate any or all such sublessees or subtenancies.

15.2  Removal of Tenant Property by Tenant. Upon the expiration of the Lease Term, or upon any earlier termination of this Lease, Tenant shall, subject to the provisions of this Article 15, quit and surrender possession of the Premises to Landlord in as good order and condition as when Tenant took possession and as thereafter improved by Landlord and/or Tenant, reasonable wear and tear, casualty, condemnation and repairs which are specifically made the responsibility of Landlord hereunder excepted. Upon such expiration or termination, Tenant shall, without expense to Landlord, remove or cause to be removed from the Premises all debris and rubbish, and such items of furniture, equipment, free-standing cabinet work, movable partitions and other articles of personal property owned by Tenant or installed or placed by Tenant at its expense in the Premises, and such similar articles of any other persons claiming under Tenant, as Landlord may, in its sole discretion, require to be removed, and Tenant shall repair at its own expense all damage to the Premises and Building resulting from such removal.

15.3  Environmental Assessment. In connection with its surrender of the Premises, Tenant shall submit to Landlord, at least sixty (60) days prior to the expiration date of this Lease (or in the event of an earlier termination of this Lease, as soon as reasonably possible following such termination), an environmental Assessment of the Premises by a competent and experienced environmental engineer or engineering firm reasonably satisfactory to Landlord (pursuant to a contract approved by Landlord and providing that Landlord can rely on the Environmental Assessment). If such Environmental Assessment reveals that remediation or Clean-up is required

 

42


under any Environmental Laws, Tenant shall submit a remediation plan prepared by a recognized environmental consultant and shall be responsible for all costs of remediation and Clean-up, as more particularly provided in Section 5.3, above.

15.4  Condition of the Building and Premises Upon Surrender. In addition to the above requirements of this Article 15, upon the expiration of the Lease Term, or upon any earlier termination of this Lease, Tenant shall, surrender the Premises and with Tenant having complied with all of Tenant’s obligations under this Lease, including those relating to improvement, repair, maintenance, compliance with law, testing and other related obligations of Tenant set forth in Article 7 of this Lease. In the event that the Premises shall be surrendered in a condition which does not comply with the terms of this Section 15.4, because Tenant failed to comply with its obligations set forth in Lease, then following thirty (30) days’ notice to Tenant, during which thirty (30) day period Tenant shall have the right to cure such noncompliance, Landlord shall be entitled to expend all reasonable costs in order to cause the same to comply with the required condition upon surrender and Tenant shall immediately reimburse Landlord for all such costs upon notice, commencing on the later of the termination of this Lease and three (3) business days after Landlord’s delivery of notice of such failure (i.e., given after the expiration of the 30-day period set forth above) and that it elects to treat such failure as a holdover, and that Tenant shall be deemed during the period that Tenant or Landlord, as the case may be, perform obligations relating to the Surrender Improvements, to be in holdover under Article 16 of this Lease.

16.  HOLDING OVER If Tenant holds over after the expiration of the Lease Term or earlier termination thereof, with the express or implied consent of Landlord, such tenancy shall be from month-to-month only, and shall not constitute a renewal hereof or an extension for any further term. If Tenant holds over after the expiration of the Lease Term of earlier termination thereof, without the express or implied consent of Landlord, such tenancy shall be deemed to be a tenancy by sufferance only, and shall not constitute a renewal hereof or an extension for any further term. In either case, Base Rent shall be payable at a monthly rate equal to 150% of the Base Rent applicable during the last month of the Lease Term under this Lease, prorated on a daily basis for each day of holdover. Such month- to-month tenancy or tenancy by sufferance, as the case may be, shall be subject to every other applicable term, covenant and agreement contained herein. Nothing contained in this Article 16 shall be construed as consent by Landlord to any holding over by Tenant, and Landlord expressly reserves the right to require Tenant to surrender possession of the Premises to Landlord as provided in this Lease upon the expiration or other termination of this Lease. The provisions of this Article 16 shall not be deemed to limit or constitute a waiver of any other rights or remedies of Landlord provided herein or at law. If Tenant fails to surrender the Premises within thirty (30) days following the termination or expiration of this Lease, in addition to any other liabilities to Landlord accruing therefrom, Tenant shall protect, defend, indemnify and hold Landlord harmless from all loss, costs (including reasonable attorneys’ fees) and liability resulting from such failure, including, without limiting the generality of the foregoing, any claims made by any succeeding tenant founded upon such failure to surrender and any lost profits to Landlord resulting therefrom.

17.  ESTOPPEL CERTIFICATES Within ten (10) business days following a request in writing by Landlord, Tenant shall execute and deliver to Landlord an estoppel certificate, which, as submitted by Landlord, shall be substantially in the form of Exhibit D, attached hereto (or such other commercially reasonable form as may be required by any prospective mortgagee or

 

43


purchaser of the Project, or any portion thereof), indicating therein any exceptions thereto that may exist at that time, and shall also contain any other information reasonably requested by Landlord or Landlord’s mortgagee or prospective mortgagee. Any such certificate may be relied upon by any prospective mortgagee or purchaser of all or any portion of the Project. Tenant shall execute and deliver other commercially reasonable instruments as may be reasonably required for such purposes. At any time during the Lease Term (but not more than once in any calendar year unless in connection with the sale or proposed sale, or the financing/refinancing, of the Project or any portion thereof), Landlord may require Tenant to provide Landlord with a current financial statement and financial statements of the two (2) years prior to the current financial statement year. Such statements shall be prepared in accordance with generally accepted accounting principles and, if such is the normal practice of Tenant, shall be audited by an independent certified public accountant.

18.  SUBORDINATION As of the date of this Lease the Project is not subject to any ground lease, or to the lien of any mortgage or deed of trust. This Lease shall be subject and subordinate to all present and future ground or underlying leases of the Building or Project and to the lien of any mortgage, trust deed or other encumbrances now or hereafter in force against the Building or Project or any part thereof, if any, and to all renewals, extensions, modifications, consolidations and replacements thereof, and to all advances made or hereafter to be made upon the security of such mortgages or trust deeds, unless the holders of such mortgages, trust deeds or other encumbrances, or the lessors under such ground lease or underlying leases, require in writing that this Lease be superior thereto. The subordination of this Lease to any such future ground or underlying leases of the Building or Project or to the lien of any mortgage, trust deed or other encumbrances, shall be subject to Landlord utilizing commercially reasonable efforts to deliver to Tenant a commercially reasonable subordination, non-disturbance, and attornment agreement in favor of Tenant. Tenant covenants and agrees in the event any proceedings are brought for the foreclosure of any such mortgage or deed in lieu thereof (or if any ground lease is terminated), to attorn, without any deductions or set-offs whatsoever, to the lienholder or purchaser or any successors thereto upon any such foreclosure sale or deed in lieu thereof (or to the ground lessor), if so requested to do so by such purchaser or lienholder or ground lessor, and to recognize such purchaser or lienholder or ground lessor as the lessor under this Lease, provided such lienholder or purchaser or ground lessor shall agree to accept this Lease and not disturb Tenant’s occupancy, so long as Tenant timely pays the rent and observes and performs the terms, covenants and conditions of this Lease to be observed and performed by Tenant. Landlord’s interest herein may be assigned as security at any time to any lienholder. Tenant shall, within fifteen (15) business days of request by Landlord, execute such further instruments or assurances as Landlord may reasonably deem necessary to evidence or confirm the subordination or superiority of this Lease to any such mortgages, trust deeds, ground leases or underlying leases. Tenant waives the provisions of any current or future statute, rule or law which may give or purport to give Tenant any right or election to terminate or otherwise adversely affect this Lease and the obligations of the Tenant hereunder in the event of any foreclosure proceeding or sale.

 

44


19.

DEFAULTS; REMEDIES

19.1  Events of Default. The occurrence of any of the following shall constitute a default of this Lease by Tenant (each, an “Event of Default”):

19.1.1 Any failure by Tenant to pay when due any Rent or any other charge required to be paid under this Lease, or any part thereof, when due unless such failure is cured within five (5) business days after notice; or

19.1.2 Any failure by Tenant to observe or perform any other provision, covenant or condition of this Lease (except those failures referred to in Sections 19.1.1 and 19.1.4) to be observed or performed by Tenant where such failure continues for thirty (30) days after written notice thereof from Landlord to Tenant; provided that if the nature of such default is such that the same cannot reasonably be cured within a thirty (30) day period, Tenant shall not be deemed to be in default if it diligently commences such cure within such period and thereafter diligently proceeds to rectify and cure such default; or

19.1.3 Abandonment (as defined by Applicable Laws) of all or a substantial portion of the Premises by Tenant; or

19.1.4 The failure by Tenant to observe or perform according to the provisions of Articles 5, 14, 17 or 18 of this Lease where such failure continues for more than three (3) business days after notice from Landlord.

The notice periods provided herein are in lieu of, and not in addition to, any notice periods provided by law.

19.2  Remedies Upon Default. Upon the occurrence of any event of default by Tenant, Landlord shall have, in addition to any other remedies available to Landlord at law or in equity (all of which remedies shall be distinct, separate and cumulative), the option to pursue any one or more of the following remedies, each and all of which shall be cumulative and nonexclusive, without any notice or demand whatsoever.

19.2.1 Terminate this Lease, in which event Tenant shall immediately surrender the Premises to Landlord, and if Tenant fails to do so, Landlord may, without prejudice to any other remedy which it may have for possession or arrearages in rent, enter upon and take possession of the Premises and expel or remove Tenant and any other person who may be occupying the Premises or any part thereof, without being liable for prosecution or any claim or damages therefor; and Landlord may recover from Tenant the following:

(i) The worth at the time of award of the unpaid rent which has been earned at the time of such termination; plus

(ii) The worth at the time of award of the amount by which the unpaid rent which would have been earned after termination until the time of award exceeds the amount of such rental loss that Tenant proves could have been reasonably avoided; plus

(iii) The worth at the time of award of the amount by which the unpaid rent for the balance of the Lease Term after the time of award exceeds the amount of such rental loss that Tenant proves could have been reasonably avoided; plus

(iv) Any other amount necessary to compensate Landlord for all the detriment proximately caused by Tenant’s failure to perform its obligations under this

 

45


Lease or which in the ordinary course of things would be likely to result therefrom, specifically including but not limited to, brokerage commissions and advertising expenses incurred, expenses of remodeling the Premises or any portion thereof for a new tenant, whether for the same or a different use, and any special concessions made to obtain a new tenant; and

(v) At Landlord’s election, such other amounts in addition to or in lieu of the foregoing as may be permitted from time to time by Applicable Law.

The term “rent” as used in this Section 19.2 shall be deemed to be and to mean all sums of every nature required to be paid by Tenant pursuant to the terms of this Lease, whether to Landlord or to others. As used in Sections 19.2.1(i) and (ii), above, the “worth at the time of award” shall be computed by allowing interest at the rate set forth in Article 25 of this Lease, but in no case greater than the maximum amount of such interest permitted by law. As used in Section 19.2.1(iii) above, the “worth at the time of award” shall be computed by discounting such amount at the discount rate of the Federal Reserve Bank of San Francisco at the time of award plus one percent (1%).

19.2.2 Landlord shall have the remedy described in California Civil Code Section 1951.4 (lessor may continue lease in effect after lessee’s breach and abandonment and recover rent as it becomes due, if lessee has the right to sublet or assign, subject only to reasonable limitations). Accordingly, if Landlord does not elect to terminate this Lease on account of any Event of Default by Tenant, Landlord may, from time to time, without terminating this Lease, enforce all of its rights and remedies under this Lease, including the right to recover all rent as it becomes due.

19.2.3 Landlord shall at all times have the rights and remedies (which shall be cumulative with each other and cumulative and in addition to those rights and remedies available under Sections 19.2.1 and 19.2.2, above, or any law or other provision of this Lease), without prior demand or notice except as required by Applicable Law, to seek any declaratory, injunctive or other equitable relief, and specifically enforce this Lease, or restrain or enjoin a violation or breach of any provision hereof.

19.3  Subleases of Tenant. Whether or not Landlord elects to terminate this Lease on account of any Event of Default by Tenant, as set forth in this Article 19, Landlord shall have the right to terminate any and all subleases, licenses, concessions or other consensual arrangements for possession entered into by Tenant and affecting the Premises or may, in Landlord’s sole discretion, succeed to Tenant’s interest in such subleases, licenses, concessions or arrangements. In the event of Landlord’s election to succeed to Tenant’s interest in any such subleases, licenses, concessions or arrangements, Tenant shall, as of the date of notice by Landlord of such election, have no further right to or interest in the rent or other consideration receivable thereunder.

19.4  Efforts to Relet. No re-entry or repossession, repairs, maintenance, changes, alterations and additions, reletting, appointment of a receiver to protect Landlord’s interests hereunder, or any other action or omission by Landlord shall be construed as an election by Landlord to terminate this Lease or Tenant’s right to possession, or to accept a surrender of the Premises, nor shall same operate to release Tenant in whole or in part from any of Tenant’s obligations hereunder, unless express written notice of such intention is sent by Landlord to Tenant. Tenant hereby irrevocably waives any right otherwise available under any law to redeem or reinstate this Lease.

 

46


19.5  Landlord Default.

19.5.1 In General. Notwithstanding anything to the contrary set forth in this Lease, Landlord shall not be in default in the performance of any obligation required to be performed by Landlord pursuant to this Lease unless Landlord fails to perform such obligation within thirty (30) days after written notice thereof from Tenant to Landlord specifying in detail Landlord’s failure to perform; provided, however, if the nature of Landlord’s obligation is such that the same cannot reasonably be cured within a thirty (30) day period, then Landlord shall not be in default under this Lease if it shall diligently commence such cure within such thirty (30) day period and thereafter diligently pursue the same to completion. Upon any such default by Landlord under this Lease, Tenant may, except as otherwise specifically provided in this Lease to the contrary, exercise any of its rights provided under this Lease at law or in equity.

19.5.2 Abatement of Rent. In the event that Tenant is prevented from using, and does not use, the Premises or any portion thereof, as a result of (i) any repair, maintenance or alteration performed by Landlord, or which Landlord failed to perform, and required by this Lease, or (ii) any failure to provide services, utilities or access to the Premises as required by this Lease, each as a direct result of Landlord’s, negligence or willful misconduct or breach of this Lease (and except to the extent such failure is caused by the action or inaction of Tenant) (any such set of circumstances as set forth in items (i) or (ii), above, to be known as an “Abatement Event”), then Tenant shall give Landlord notice of such Abatement Event, and if such Abatement Event continues for five (5) consecutive business days after Landlord’s receipt of any such notice (the “Eligibility Period”), then the Base Rent, Tenant’s Share of Direct Expenses, and Tenant’s obligation, if any, to pay for parking (to the extent not utilized by Tenant) shall be abated or reduced, as the case may be, after expiration of the Eligibility Period for such time that Tenant continues to be so prevented from using, and does not use for the normal conduct of Tenant’s business, the Premises or a portion thereof, in the proportion that the rentable area of the portion of the Premises that Tenant is prevented from using, and does not use, bears to the total rentable area of the Premises; provided, however, in the event that Tenant is prevented from using, and does not use, a portion of the Premises for a period of time in excess of the Eligibility Period and the remaining portion of the Premises is not sufficient to allow Tenant to effectively conduct its business therein, and if Tenant does not effectively conduct its business from such remaining portion, then for such time after expiration of the Eligibility Period during which Tenant is so prevented from effectively conducting its business therein, the Base Rent and Tenant’s Share of Direct Expenses for the entire Premises and Tenant’s obligation to pay for parking, if any, shall be abated for such time as Tenant continues to be so prevented from using, and does not use, the Premises. If, however, Tenant reoccupies any portion of the Premises during such period, the Rent allocable to such reoccupied portion, based on the proportion that the rentable area of such reoccupied portion of the Premises bears to the total rentable area of the Premises, shall be payable by Tenant from the date Tenant reoccupies such portion of the Premises. In addition, if, as a result of an Abatement Event, Tenant is prevented from using, and does not use, the Premises or any portion thereof for a continuous period of seventy five (75) days, then Tenant shall have the right to terminate this Lease upon ten (10) days’ written notice to Landlord, in which event this Lease shall terminate upon the expiration of such ten (10) day period unless such use is restored within

 

47


such ten (10) day period. In the event of any Abatement Event, Landlord shall diligently pursue the remedy of the same as promptly as possible. To the extent an Abatement Event is caused by an event covered by Articles 11 or 13 of this Lease, then Tenant’s right to abate rent shall be governed by the terms of such Article 11 or 13, as applicable, and the Eligibility Period shall not be applicable thereto. Except as provided in this Section 19.5.2, nothing contained herein shall be interpreted to mean that Tenant is excused from paying Rent due hereunder.

20.  COVENANT OF QUIET ENJOYMENT Landlord covenants that Tenant, so long as no Event of Default exists, shall, during the Lease Term, peaceably and quietly have, hold and enjoy the Premises subject to the terms, covenants, conditions, provisions and agreements hereof without interference by any persons lawfully claiming by or through Landlord. The foregoing covenant is in lieu of any other covenant express or implied.

21.  LETTER OF CREDIT

21.1  Delivery of Letter of Credit. Tenant shall deliver to Landlord, concurrently with Tenant’s execution of this Lease, an unconditional, clean, irrevocable letter of credit (the “L-C”) in the amount set forth in Section 8 of the Lease Summary (the “L-C Amount”), which L-C shall be issued by a money-center, solvent and nationally recognized bank (a bank which accepts deposits, maintains accounts, has a local San Francisco Bay Area office which will negotiate a letter of credit, and whose deposits are insured by the FDIC) reasonably acceptable to Landlord (such approved, issuing bank being referred to herein as the “Bank”), which Bank must have a rating from Standard and Poors Corporation of A- or better (or any equivalent rating thereto from any successor or substitute rating service selected by Lessor) and a letter of credit issuer rating from Moody’s Investor Service of A3 or better (or any equivalent rating thereto from any successor rating agency thereto)) (collectively, the “Bank’s Credit Rating Threshold”), and which L-C shall be in the form of Exhibit F attached hereto. Notwithstanding the foregoing, Landlord hereby approves the form of L-C attached hereto as Exhibit F. Tenant shall pay all expenses, points and/or fees incurred by Tenant in obtaining the L-C. The L-C shall (i) be “callable” at sight, irrevocable and unconditional, (ii) be maintained in effect, whether through renewal or extension, for the period commencing on the date of this Lease and continuing until the date (the “L-C Expiration Date”) that is no less than sixty (60) days after the expiration of the Lease Term as the same may be extended, and Tenant shall deliver a new L-C or certificate of renewal or extension to Landlord at least sixty (60) days prior to the expiration of the L-C then held by Landlord, without any action whatsoever on the part of Landlord, (iii) be fully assignable by Landlord, its successors and assigns, (iv) permit partial draws and multiple presentations and drawings, and (v) be otherwise subject to the Uniform Customs and Practices for Documentary Credits (1993-Rev), International Chamber of Commerce Publication #500, or the International Standby Practices-ISP 98, International Chamber of Commerce Publication #590. Landlord, or its then managing agent, shall have the right to draw down an amount up to the face amount of the L-C if any of the following shall have occurred or be applicable: (A) such amount is due to Landlord under the terms and conditions of this Lease, and has not been paid within applicable notice and cure periods (or, if Landlord is prevented by law from providing notice, within the period for payment set forth in the Lease), or (B) Tenant has filed a voluntary petition under the U. S. Bankruptcy Code or any state bankruptcy code (collectively, “Bankruptcy Code”), or (C) an involuntary petition has been filed against Tenant under the Bankruptcy Code that is not dismissed within thirty (30) days, or (D) the Lease has been rejected, or is deemed rejected, under Section 365 of the U.S. Bankruptcy Code,

 

48


following the filing of a voluntary petition by Tenant under the Bankruptcy Code, or the filing of an involuntary petition against Tenant under the Bankruptcy Code, or (E) the Bank has notified Landlord that the L-C will not be renewed or extended through the L-C Expiration Date, and Tenant has not provided a replacement L-C that satisfies the requirements of this Lease at least thirty (30) days prior to such expiration, or (F) Tenant is placed into receivership or conservatorship, or becomes subject to similar proceedings under Federal or State law, or (G) Tenant executes an assignment for the benefit of creditors, or (H) if any of the Bank’s Fitch Ratings (or other comparable ratings to the extent the Fitch Ratings are no longer available) have been reduced below the Bank’s Credit Rating Threshold, and Tenant has failed to provide Landlord with a replacement letter of credit, conforming in all respects to the requirements of this Article 21 (including, but not limited to, the requirements placed on the issuing Bank more particularly set forth in this Section 21.1 above), in the amount of the applicable L-C Amount, within ten (10) business days following Landlord’s written demand therefor (with no other notice or cure or grace period being applicable thereto, notwithstanding anything in this Lease to the contrary) (each of the foregoing being an “L-C Draw Event”). The L-C shall be honored by the Bank regardless of whether Tenant disputes Landlord’s right to draw upon the L-C. In addition, in the event the Bank is placed into receivership or conservatorship by the Federal Deposit Insurance Corporation or any successor or similar entity, then, effective as of the date such receivership or conservatorship occurs, said L-C shall be deemed to fail to meet the requirements of this Article 21, and, within ten (10) business days following Landlord’s notice to Tenant of such receivership or conservatorship (the “L-C FDIC Replacement Notice”), Tenant shall replace such L-C with a substitute letter of credit from a different issuer (which issuer shall meet or exceed the Bank’s Credit Rating Threshold and shall otherwise be acceptable to Landlord in its reasonable discretion) and that complies in all respects with the requirements of this Article 21. If Tenant fails to replace such L-C with such conforming, substitute letter of credit pursuant to the terms and conditions of this Section 21.1, then, notwithstanding anything in this Lease to the contrary, Landlord shall have the right to declare Tenant in default of this Lease for which there shall be no further notice or grace or cure periods being applicable thereto (other than the aforesaid ten (10) business day period). Tenant shall be responsible for the payment of any and all Tenant’s and Bank’s costs incurred with the review of any replacement L-C, which replacement is required pursuant to this Section or is otherwise requested by Tenant. In the event of an assignment by Tenant of its interest in the Lease (and irrespective of whether Landlord’s consent is required for such assignment), the acceptance of any replacement or substitute letter of credit by Landlord from the assignee shall be subject to Landlord’s prior written approval, in Landlord’s reasonable discretion, and the actual and reasonable attorney’s fees incurred by Landlord in connection with such determination shall be payable by Tenant to Landlord within thirty (30) days of billing.

21.2  Application of L-C. Tenant hereby acknowledges and agrees that Landlord is entering into this Lease in material reliance upon the ability of Landlord to draw upon the L-C upon the occurrence of any L-C Draw Event. In the event of any L-C Draw Event, Landlord may, but without obligation to do so, and without notice to Tenant (except in connection with an L-C Draw Event under Section 21.1(H) above), draw upon the L-C, in part or in whole, in the amount necessary to cure any such L-C Draw Event and/or to compensate Landlord for any and all damages of any kind or nature sustained or which Landlord reasonably estimates that it will sustain resulting from Tenant’s breach or default of the Lease or other L-C Draw Event and/or to compensate Landlord for any and all damages arising out of, or incurred in connection with, the termination of this Lease, including, without limitation, those specifically identified in Section

 

49


1951.2 of the California Civil Code. The use, application or retention of the L-C, or any portion thereof, by Landlord shall not prevent Landlord from exercising any other right or remedy provided by this Lease or by any Applicable Law, it being intended that Landlord shall not first be required to proceed against the L-C, and such L-C shall not operate as a limitation on any recovery to which Landlord may otherwise be entitled. Tenant agrees and acknowledges that (i) the L-C constitutes a separate and independent contract between Landlord and the Bank, (ii) Tenant is not a third party beneficiary of such contract, (iii) Tenant has no property interest whatsoever in the L-C or the proceeds thereof, and (iv) in the event Tenant becomes a debtor under any chapter of the Bankruptcy Code, Tenant is placed into receivership or conservatorship, and/or there is an event of a receivership, conservatorship or a bankruptcy filing by, or on behalf of, Tenant, neither Tenant, any trustee, nor Tenant’s bankruptcy estate shall have any right to restrict or limit Landlord’s claim and/or rights to the L-C and/or the proceeds thereof by application of Section 502(b)(6) of the U. S. Bankruptcy Code or otherwise.

21.3  Maintenance of L-C by Tenant. If, as a result of any drawing by Landlord of all or any portion of the L-C, the amount of the L-C shall be less than the L-C Amount, Tenant shall, within five (5) days thereafter, provide Landlord with additional letter(s) of credit in an amount equal to the deficiency, and any such additional letter(s) of credit shall comply with all of the provisions of this Article 21. Tenant further covenants and warrants that it will neither assign nor encumber the L-C or any part thereof and that neither Landlord nor its successors or assigns will be bound by any such assignment, encumbrance, attempted assignment or attempted encumbrance. Without limiting the generality of the foregoing, if the L-C expires earlier than the L-C Expiration Date, Landlord will accept a renewal thereof (such renewal letter of credit to be in effect and delivered to Landlord, as applicable, not later than thirty (30) days prior to the expiration of the L-C), which shall be irrevocable and automatically renewable as above provided through the L-C Expiration Date upon the same terms as the expiring L-C or such other terms as may be acceptable to Landlord in its sole discretion. If Tenant exercises its option to extend the Lease Term pursuant to Section 2.2 of this Lease then, not later than thirty (30) days prior to the commencement of the Option Term, Tenant shall deliver to Landlord a new L C or certificate of renewal or extension evidencing the L-C Expiration Date as thirty (30) days after the expiration of the Option Term. However, if the L-C is not timely renewed, or if Tenant fails to maintain the L-C in the amount and in accordance with the terms set forth in this Article 21, Landlord shall have the right to present the L-C to the Bank in accordance with the terms of this Article 21, and the proceeds of the L-C may be applied by Landlord against any Rent payable by Tenant under this Lease that is not paid when due and/or to pay for all losses and damages that Landlord has suffered or that Landlord reasonably estimates that it will suffer as a result of any breach or default by Tenant under this Lease. In the event Landlord elects to exercise its rights as provided above, (I) any unused proceeds shall constitute the property of Landlord (and not Tenant’s property or, in the event of a receivership, conservatorship, or a bankruptcy filing by, or on behalf of, Tenant, property of such receivership, conservatorship or Tenant’s bankruptcy estate) and need not be segregated from Landlord’s other assets, and (II) Landlord agrees to pay to Tenant within thirty (30) days after the L-C Expiration Date the amount of any proceeds of the L-C received by Landlord and not applied against any Rent payable by Tenant under this Lease that was not paid when due or used to pay for any losses and/or damages suffered by Landlord (or reasonably estimated by Landlord that it will suffer) as a result of any breach or default by Tenant under this Lease; provided, however, that if prior to the L-C Expiration Date a voluntary petition is filed by Tenant, or an involuntary petition is filed against Tenant by any of Tenant’s creditors, under the Bankruptcy Code, then

 

50


Landlord shall not be obligated to make such payment in the amount of the unused L-C proceeds until either all preference issues relating to payments under this Lease have been resolved in such bankruptcy or reorganization case or such bankruptcy or reorganization case has been dismissed. If Landlord draws on the L-C due to Tenant’s failure to timely renew or provide a replacement L-C, such failure shall not be considered a default under this Lease and Landlord shall return such cash proceeds upon Tenant’s presentation of a replacement L-C that satisfies the requirements of this Lease, subject to reasonable satisfaction of any preference risk to Landlord.

21.4  Transfer and Encumbrance. In the event of a transfer of Landlord’s interest in under this Lease, Landlord shall transfer the L-C, in whole or in part, to the transferee and thereupon Landlord shall, without any further agreement between the parties, be released by Tenant from all liability therefor accruing after the date of the assignment provided the assignee agrees in writing to be bound by this Article 21, and it is agreed that the provisions hereof shall apply to every transfer or assignment of the whole of said L-C to a new landlord. In connection with any such transfer of the L-C by Landlord, Tenant shall, at Tenant’s sole cost and expense, execute and submit to the Bank such applications, documents and instruments as may be reasonably necessary to effectuate such transfer and, Tenant shall be responsible for paying the Bank’s transfer and processing fees in connection therewith; provided that, Landlord shall have the right (in its sole discretion), but not the obligation, to pay such fees on behalf of Tenant, in which case Tenant shall reimburse Landlord within thirty (30) days after Tenant’s receipt of an invoice from Landlord therefor.

21.5  L-C Not a Security Deposit. Landlord and Tenant (1) acknowledge and agree that in no event or circumstance shall the L-C or any renewal thereof or substitute therefor or any proceeds thereof be deemed to be or treated as a “security deposit” under any law applicable to security deposits in the commercial context, including, but not limited to, Section 1950.7 of the California Civil Code, as such Section now exists or as it may be hereafter amended or succeeded (the “Security Deposit Laws”), (2) acknowledge and agree that the L-C (including any renewal thereof or substitute therefor or any proceeds thereof) is not intended to serve as a security deposit, and the Security Deposit Laws shall have no applicability or relevancy thereto, and (3) waive any and all rights, duties and obligations that any such party may now, or in the future will, have relating to or arising from the Security Deposit Laws. Tenant hereby irrevocably waives and relinquishes the provisions of Section 1950.7 of the California Civil Code and any successor statute, and all other provisions of law, now or hereafter in effect, which (x) establish the time frame by which a landlord must refund a security deposit under a lease, and/or (y) provide that a landlord may claim from a security deposit only those sums reasonably necessary to remedy defaults in the payment of rent, to repair damage caused by a tenant or to clean the premises, it being agreed that Landlord may, in addition, claim those sums specified in this Article 21 and/or those sums reasonably necessary to (a) compensate Landlord for any loss or damage caused by Tenant’s breach of this Lease, including any damages Landlord suffers following termination of this Lease, and/or (b) compensate Landlord for any and all damages arising out of, or incurred in connection with, the termination of this Lease, including, without limitation, those specifically identified in Section 1951.2 of the California Civil Code. Tenant agrees not to interfere in any way with any payment to Landlord of the proceeds of the L-C, either prior to or following a “draw” by Landlord of all or any portion of the L-C, regardless of whether any dispute exists between Tenant and Landlord as to Landlord’s right to draw down all or any portion of the L-C. No condition or term of this Lease shall be deemed to render the L-C conditional and thereby afford the Bank a justification for failing to honor a drawing upon such L-C in a timely manner. Tenant shall not request or instruct the Bank of any L-C to refrain from paying sight draft(s) drawn under such L-C.

 

51


21.6  Non-Interference By Tenant. Tenant agrees not to interfere in any way with any payment to Landlord of the proceeds of the L-C, either prior to or following a “draw” by Landlord of all or any portion of the L- C, regardless of whether any dispute exists between Tenant and Landlord as to Landlord’s right to draw down all or any portion of the L-C. No condition or term of this Lease shall be deemed to render the L-C conditional and thereby afford the Bank a justification for failing to honor a drawing upon such L-C in a timely manner. Tenant shall not request or instruct the Bank of any L-C to refrain from paying sight draft(s) drawn under such L-C.

21.7  Waiver of Certain Relief. Tenant unconditionally and irrevocably waives (and as an independent covenant hereunder, covenants not to assert) any right to claim or obtain any of the following relief in connection with the L-C:

21.7.1 A temporary restraining order, temporary injunction, permanent injunction, or other order that would prevent, restrain or restrict the presentment of sight drafts drawn under any L-C or the Bank’s honoring or payment of sight draft(s); or

21.7.2 Any attachment, garnishment, or levy in any manner upon either the proceeds of any L-C or the obligations of the Bank (either before or after the presentment to the Bank of sight drafts drawn under such L-C) based on any theory whatever.

21.8  Remedy for Improper Drafts. Tenant’s sole remedy in connection with the improper presentment or payment of sight drafts drawn under any L-C shall be the right to obtain from Landlord a refund of the amount of any sight draft(s) that were improperly presented or the proceeds of which were misapplied, and reasonable actual out-of-pocket attorneys’ fees, provided that at the time of such refund, Tenant increases the amount of such L-C to the amount (if any) then required under the applicable provisions of this Lease. Tenant acknowledges that the presentment of sight drafts drawn under any L-C, or the Bank’s payment of sight drafts drawn under such L-C, could not under any circumstances cause Tenant injury that could not be remedied by an award of money damages, and that the recovery of money damages would be an adequate remedy therefor. In the event Tenant shall be entitled to a refund as aforesaid and Landlord shall fail to make such payment within ten (10) business days after demand, Tenant shall have the right to deduct the amount thereof from the next installment(s) of Base Rent.

21.9  Return of L-C. Landlord shall return the L-C, or any proceeds thereof drawn by Landlord to the extent not applied to cure a default by Tenant to Tenant, within sixty (60) days after the expiration of the Term. If Landlord fails to return the L-C, and any proceeds thereof, to Tenant (or to the Bank, as applicable) by the date established by this Section 21.9, the face amount of the Letter of Credit, and any proceeds drawn upon, shall bear interest owing by Landlord to Tenant at the rate of ten percent (10%) per annum.

22. COMMUNICATIONS AND COMPUTER LINE Tenant may install, maintain, replace, remove or use any communications or computer wires and cables serving the Premises

 

52


(collectively, the “Lines”), provided that Tenant shall obtain Landlord’s prior written consent, use an experienced and qualified contractor approved in writing by Landlord (for Tenant’s work in the Building risers, and Tenant may use its own contractor for distribution of the Lines within the Premises), and comply with all of the other provisions of Articles 7 and 8 of this Lease. Tenant shall pay all costs in connection therewith. Landlord reserves the right, upon notice to Tenant prior to the expiration or earlier termination of this Lease, to require that Tenant, at Tenant’s sole cost and expense, remove any Lines located in or serving the Premises prior to the expiration or earlier termination of this Lease.

 

23.

SIGNS

23.1 Exterior Signage. Subject to Landlord’s prior written approval, which shall not be unreasonably withheld, conditioned or delayed, and provided all signs are in keeping with the quality, design and style of the Building and Project, Tenant, at its sole cost and expense, may install (i) identification signage on the monument sign outside the front entrance to the Building, (ii) internal directional and lobby identification signage, (iii) signage in the elevator lobby on the floor containing the Premises, and (iv) one (1) sign on the south elevation of the Building consistent with that certain Master Signage Program dated June 2019 and prepared by DES Architects + Engineers (collectively, “Tenant Signage”); provided, however, in no event shall Tenant’s Signage include an “Objectionable Name,” as that term is defined in Section 23.3, of this Lease. All such signage shall be subject to Tenant’s obtaining all required governmental approvals. Landlord shall cooperate with any reasonable requests in connection with obtaining such approvals. All permitted signs shall be maintained by Tenant at its expense in a first-class and safe condition and appearance. Upon the expiration or earlier termination of this Lease, Tenant shall remove all of its signs at Tenant’s sole cost and expense. The graphics, materials, color, design, lettering, lighting, size, illumination, specifications and exact location of Tenant’s Signage (collectively, the “Sign Specifications”) shall be subject to the prior written approval of Landlord, which approval shall not be unreasonably withheld, conditioned or delayed, and shall be consistent and compatible with the quality and nature of the Project. Tenant hereby acknowledges that, notwithstanding Landlord’s approval of Tenant’s Signage, Landlord has made no representation or warranty to Tenant with respect to the probability of obtaining all necessary governmental approvals and permits for Tenant’s Signage. In the event Tenant does not receive the necessary governmental approvals and permits for Tenant’s Signage, Tenant’s and Landlord’s rights and obligations under the remaining terms and conditions of this Lease shall be unaffected.

23.2 Objectionable Name. Tenant’s Signage shall not include a name or logo which relates to an entity which is of a character or reputation, or is associated with a political faction or orientation, which is inconsistent with the quality of the Project, or which would otherwise reasonably offend a landlord of the Comparable Buildings (an “Objectionable Name”). The parties hereby agree that the following name, or any reasonable derivation thereof, shall not be deemed to constitute an Objectionable Name: “Maze Therapeutics.”

23.3 Prohibited Signage and Other Items. Any signs, notices, logos, pictures, names or advertisements which are installed and that have not been separately approved by Landlord may be removed by Landlord upon not less than three (3) business days’ prior written notice to Tenant at the sole expense of Tenant. Any signs, window coverings, or blinds (even if the same are located behind the Landlord-approved window coverings for the Building), or other items visible from the exterior of the Premises or Building, shall be subject to the prior approval of Landlord, in its sole discretion.

 

53


23.4 Termination of Right to Tenant’s Signage. The rights contained in this Article 23 shall be personal to Original Tenant and its Permitted Assignee, and may only be exercised and maintained by such parties (and not any other assignee, sublessee or other transferee of the Original Tenant’s interest in this Lease) to the extent (x) they are not in default under this Lease (beyond any applicable notice and cure period) and (y) if they occupy not less than seventy-five percent (75%) of the Premises.

24. COMPLIANCE WITH LAW Landlord shall promptly comply with and be responsible, at its sole cost and expense, except to the extent permitted to be included in Operating Expenses pursuant to Section 4.2.4 above, to comply with all Applicable Laws with respect to the Base Building and Common Areas. Tenant shall not do anything or suffer anything to be done in or about the Premises or the Project which will in any way conflict with any law, statute, ordinance or other governmental rule, regulation or requirement now in force or which may hereafter be enacted or promulgated (“Applicable Laws”), and Tenant’s use of the Premises will comply with Applicable Laws. At its sole cost and expense, Tenant shall promptly comply with all such Applicable Laws (except to the extent such are Landlord’s responsibility) (including the making of any alterations to the Premises required by such governmental measures) which relate to (i) the Alterations or the Tenant Improvements in the Premises, or (ii) the “Base Building” (which shall include the Building Structure, and the public restrooms, elevators, exit stairwells and the Building Systems located in the internal core of the Buildings on the floor or floors on which the Premises is located), but, as to the Base Building, only to the extent such obligations are triggered by Tenant’s Alterations, Tenant’s particular Tenant Improvements (as opposed to the fact that tenant improvements are being performed generally), or Tenant’s specific (i.e., any use other than general office use or general laboratory use) use of the Premises. Should any standard or regulation now or hereafter be imposed on Landlord or Tenant by a state, federal or local governmental body charged with the establishment, regulation and enforcement of occupational, health or safety standards for employers, employees, landlords or tenants, then Tenant agrees, at its sole cost and expense, to comply promptly with such standards or regulations. The judgment of any court of competent jurisdiction or the admission of Tenant in any judicial action, regardless of whether Landlord is a party thereto, that Tenant has violated any of said governmental measures, shall be conclusive of that fact as between Landlord and Tenant. For purposes of Section 1938 of the California Civil Code, Landlord hereby discloses to Tenant, and Tenant hereby acknowledges, that the Project, Building and Premises have not undergone inspection by a Certified Access Specialist (CASp). As required by Section 1938(e) of the California Civil Code, Landlord hereby states as follows: “A Certified Access Specialist (CASp) can inspect the subject premises and determine whether the subject premises comply with all of the applicable construction-related accessibility standards under state law. Although state law does not require a CASp inspection of the subject premises, the commercial property owner or lessor may not prohibit the lessee or tenant from obtaining a CASp inspection of the subject premises for the occupancy or potential occupancy of the lessee or tenant, if requested by the lessee or tenant. The parties shall mutually agree on the arrangements for the time and manner of the CASp inspection, the payment of the fee for the CASp inspection, and the cost of making any repairs necessary to correct violations of construction-related accessibility standards within the premises.” In furtherance of the foregoing, Landlord and Tenant hereby agree as follows: (a) any CASp inspection requested by Tenant shall be conducted,

 

54


at Tenant’s sole cost and expense, by a CASp approved in advance by Landlord; and (b) pursuant to Article 24 below, Tenant, at its cost, is responsible for making any repairs within the Premises to correct violations of construction- related accessibility standards; and, if anything done by or for Tenant in its use or occupancy of the Premises shall require repairs to the Building (outside the Premises) to correct violations of construction-related accessibility standards, then Tenant shall, at Landlord’s option, either perform such repairs at Tenant’s sole cost and expense or reimburse Landlord upon demand, as Additional Rent, for the cost to Landlord of performing such repairs.

25. LATE CHARGES If any installment of Rent or any other sum due from Tenant shall not be received by Landlord or Landlord’s designee within five (5) business days after Tenant’s receipt of written notice from Landlord that said amount is due, then Tenant shall pay to Landlord a late charge equal to four percent (4%) of the overdue amount plus any reasonable attorneys’ fees incurred by Landlord by reason of Tenant’s failure to pay Rent and/or other charges when due hereunder; provided, however, with regard to the first such failure in any twelve (12) month period, Landlord will waive such late charge to the extent Tenant cures such failure within five (5) business days following Tenant’s receipt of written notice from Landlord that the same was not received when due. The late charge shall be deemed Additional Rent and the right to require it shall be in addition to all of Landlord’s other rights and remedies hereunder or at law and shall not be construed as liquidated damages or as limiting Landlord’s remedies in any manner. In addition to the late charge described above, any Rent or other amounts owing hereunder which are not paid within ten (10) days after the date they are due shall bear interest from the date when due until paid at a rate per annum equal to the lesser of (i) the annual “Bank Prime Loan” rate cited in the Federal Reserve Statistical Release Publication G.13(415), published on the first Tuesday of each calendar month (or such other comparable index as Landlord and Tenant shall reasonably agree upon if such rate ceases to be published) plus three (3) percentage points, and (ii) the highest rate permitted by applicable law.

 

26.

LANDLORD’S RIGHT TO CURE DEFAULT; PAYMENTS BY TENANT

26.1 Landlord’s Cure. All covenants and agreements to be kept or performed by Tenant under this Lease shall be performed by Tenant at Tenant’s sole cost and expense and without any reduction of Rent, except to the extent, if any, otherwise expressly provided herein. If Tenant shall fail to perform any obligation under this Lease, and such failure shall continue in excess of the time allowed under Section 19.1.2, above, unless a specific time period is otherwise stated in this Lease, Landlord may, but shall not be obligated to, make any such payment or perform any such act on Tenant’s part without waiving its rights based upon any default of Tenant and without releasing Tenant from any obligations hereunder.

26.2 Tenant’s Reimbursement. Except as may be specifically provided to the contrary in this Lease, Tenant shall pay to Landlord, upon delivery by Landlord to Tenant of statements therefor: (i) sums equal to expenditures reasonably made and obligations incurred by Landlord in connection with the remedying by Landlord of Tenant’s defaults pursuant to the provisions of Section 26.1; (ii) sums equal to all losses, costs, liabilities, damages and expenses referred to in Article 10 of this Lease; and (iii) sums equal to all expenditures made and obligations incurred by Landlord in collecting or attempting to collect the Rent or in enforcing or attempting to enforce any rights of Landlord under this Lease or pursuant to law, including, without limitation, all reasonable legal fees and other amounts so expended within thirty (30) days after receipt of invoice together with reasonable supporting evidence. Tenant’s obligations under this Section 26.2 shall survive the expiration or sooner termination of the Lease Term.

 

55


27.ENTRY BY LANDLORD Landlord reserves the right at all reasonable times and upon not less than twenty-four (24) hours’ notice to Tenant (except in the case of an emergency) to enter the Premises to (i) inspect them; (ii) show the Premises to prospective purchasers, or to current or prospective mortgagees, ground or underlying lessors or insurers or, during the last twelve (12) months of the Lease Term, to prospective tenants; (iii) post notices of nonresponsibility (to the extent applicable pursuant to then applicable law); or (iv) alter, improve or repair the Premises or the Building, or for structural alterations, repairs or improvements to the Building or the Building’s systems and equipment. Landlord may make any such entries without the abatement of Rent, except as otherwise provided in this Lease, and may take such reasonable steps as required to accomplish the stated purposes. In an emergency, Landlord shall have the right to use any means that Landlord may deem proper to open the doors in and to the Premises. Any entry into the Premises by Landlord in the manner hereinbefore described shall not be deemed to be a forcible or unlawful entry into, or a detainer of, the Premises, or an actual or constructive eviction of Tenant from any portion of the Premises. Landlord shall use commercially reasonable efforts to minimize any interference with Tenant’s use of or access to the Premises in connection with any such entry and shall comply with Tenant’s reasonable security measures, including that Tenant may require that Landlord be accompanied by an employee of Tenant during any such entry into the Premises by Landlord (except in the event of an Emergency in which case no escort shall be required); provided, however, that in no event shall the unavailability of such escort at the time that Landlord is permitted to enter the Premises delay Landlord’s entry into the Premises as permitted hereunder. Notwithstanding anything to the contrary set forth in this Article 27, Tenant may designate from time to time certain reasonable areas of the Premises, which may vary from time to time based upon Tenant’s particular operations in those areas of the Premises, as “Secured Areas” should Tenant require such areas for the purpose of conducting laboratory work or securing certain valuable property or confidential information. In connection with the foregoing, Landlord shall not enter such Secured Areas except in the event of an emergency. Landlord shall only maintain or repair such Secured Areas to the extent (i) such repair or maintenance is required in order to maintain and repair the Base Building; (ii) as required by applicable law, or (iii) in response to specific requests by Tenant and in accordance with a schedule reasonably designated by Tenant, subject to Landlord’s reasonable approval. Landlord shall use commercially reasonable efforts to minimize any interference with Tenant’s use of or access to the Premises in connection with any such entry and shall comply with Tenant’s reasonable security measures. Landlord shall hold confidential any information regarding Tenant’s business that it may learn as a result of any such entry.

28. TENANT PARKING Tenant shall have the right to use, at no additional charge, the amount of parking set forth in Section 9 of the Summary, in the on-site and/or off-site, as the case may be, parking facility (or facilities) which serve the Project. Except when and where Tenant’s right of access is specifically excluded in this Lease, Tenant shall have the right of access to the Project parking facility twenty-four (24) hours per day, seven (7) days per week during the Lease Term. Tenant shall abide by all reasonable rules and regulations which are prescribed from time to time for the orderly operation and use of the parking facility where the parking passes are located (including any sticker or other identification system established by Landlord and the prohibition of vehicle repair and maintenance activities in the parking facilities), and shall cooperate in seeing

 

56


that Tenant’s employees and visitors also comply with such rules and regulations. Tenant’s use of the Project parking facility shall be at Tenant’s sole risk and Tenant acknowledges and agrees that Landlord shall have no liability whatsoever for damage to the vehicles of Tenant, its employees and/or visitors, or for other personal injury or property damage or theft relating to or connected with the parking rights granted herein or any of Tenant’s, its employees’ and/or visitors’ use of the parking facilities.

 

29.

MISCELLANEOUS PROVISIONS

29.1 Terms; Captions. The words “Landlord” and “Tenant” as used herein shall include the plural as well as the singular. The necessary grammatical changes required to make the provisions hereof apply either to corporations or partnerships or individuals, men or women, as the case may require, shall in all cases be assumed as though in each case fully expressed. The captions of Articles and Sections are for convenience only and shall not be deemed to limit, construe, affect or alter the meaning of such Articles and Sections.

29.2 Binding Effect. Subject to all other provisions of this Lease, each of the covenants, conditions and provisions of this Lease shall extend to and shall, as the case may require, bind or inure to the benefit not only of Landlord and of Tenant, but also of their respective heirs, personal representatives, successors or assigns, provided this clause shall not permit any assignment by Tenant contrary to the provisions of Article 14 of this Lease.

29.3 No Air Rights. No rights to any view or to light or air over any property, whether belonging to Landlord or any other person, are granted to Tenant by this Lease. If at any time any windows of the Premises are temporarily darkened or the light or view therefrom is obstructed by reason of any repairs, improvements, maintenance or cleaning in or about the Project, the same shall be without liability to Landlord and without any reduction or diminution of Tenant’s obligations under this Lease.

29.4 Intentionally Omitted.

29.5 Transfer of Landlord’s Interest. Tenant acknowledges that Landlord has the right to transfer all or any portion of its interest in the Project or Building and in this Lease, and Tenant agrees that in the event of any such transfer, Landlord shall automatically be released from all liability under this Lease and Tenant agrees to look solely to such transferee for the performance of Landlord’s obligations hereunder after the date of transfer and such transferee shall be deemed to have fully assumed and be liable for all obligations of this Lease to be performed by Landlord, including the return of any Security Deposit, and Tenant shall attorn to such transferee.

29.6 Prohibition Against Recording. Except as provided in Section 29.4 of this Lease, neither this Lease, nor any memorandum, affidavit or other writing with respect thereto, shall be recorded by Tenant or by anyone acting through, under or on behalf of Tenant.

29.7 Landlord’s Title. Landlord’s title is and always shall be paramount to the title of Tenant. Nothing herein contained shall empower Tenant to do any act which can, shall or may encumber the title of Landlord.

 

57


29.8 Relationship of Parties. Nothing contained in this Lease shall be deemed or construed by the parties hereto or by any third party to create the relationship of principal and agent, partnership, joint venturer or any association between Landlord and Tenant.

29.9 Application of Payments. Landlord shall have the right to apply payments received from Tenant pursuant to this Lease, regardless of Tenant’s designation of such payments, to satisfy any obligations of Tenant hereunder, in such order and amounts as Landlord, in its sole discretion, may elect.

29.10 Time of Essence. Time is of the essence with respect to the performance of every provision of this Lease in which time of performance is a factor.

29.11 Partial Invalidity. If any term, provision or condition contained in this Lease shall, to any extent, be invalid or unenforceable, the remainder of this Lease, or the application of such term, provision or condition to persons or circumstances other than those with respect to which it is invalid or unenforceable, shall not be affected thereby, and each and every other term, provision and condition of this Lease shall be valid and enforceable to the fullest extent possible permitted by law.

29.12 No Warranty. In executing and delivering this Lease, Tenant has not relied on any representations, including, but not limited to, any representation as to the amount of any item comprising Additional Rent or the amount of the Additional Rent in the aggregate or that Landlord is furnishing the same services to other tenants, at all, on the same level or on the same basis, or any warranty or any statement of Landlord which is not set forth herein or in one or more of the exhibits attached hereto.

29.13 Landlord Exculpation. The liability of Landlord or the Landlord Parties to Tenant for any default by Landlord under this Lease or arising in connection herewith or with Landlord’s operation, management, leasing, repair, renovation, alteration or any other matter relating to the Project or the Premises shall be limited solely and exclusively to an amount which is equal to the interest of Landlord in the Building (including any rental, insurance, sale and/or condemnation proceeds derived therefrom). Neither Landlord, nor any of the Landlord Parties shall have any personal liability therefor, and Tenant hereby expressly waives and releases such personal liability on behalf of itself and all persons claiming by, through or under Tenant. The limitations of liability contained in this Section 29.13 shall inure to the benefit of Landlord’s and the Landlord Parties’ present and future partners, beneficiaries, officers, directors, trustees, shareholders, agents and employees, and their respective partners, heirs, successors and assigns. Under no circumstances shall any present or future partner of Landlord (if Landlord is a partnership), or trustee or beneficiary (if Landlord or any partner of Landlord is a trust), have any liability for the performance of Landlord’s obligations under this Lease. Notwithstanding any contrary provision herein, neither Landlord nor the Landlord Parties shall be liable under any circumstances for injury or damage to, or interference with, Tenant’s business, including but not limited to, loss of profits, loss of rents or other revenues, loss of business opportunity, loss of goodwill or loss of use, in each case, however occurring, or loss to inventory, scientific research, scientific experiments, laboratory animals, products, specimens, samples, and/or scientific, business, accounting and other records of every kind and description kept at the premises and any and all income derived or derivable therefrom; similarly, notwithstanding any contrary provision herein, except and then only to the

 

58


extent as set forth in Article 16 above, neither Tenant nor the Tenant Parties shall be liable under any circumstances for injury or damage to, or interference with, Landlord’s business, including but not limited to, loss of profits, loss of rents or other revenues, loss of business opportunity, loss of goodwill or loss of use, in each case, however occurring.

29.14 Entire Agreement. It is understood and acknowledged that there are no oral agreements between the parties hereto affecting this Lease and this Lease constitutes the parties’ entire agreement with respect to the leasing of the Premises and supersedes and cancels any and all previous negotiations, arrangements, brochures, agreements and understandings, if any, between the parties hereto or displayed by Landlord to Tenant with respect to the subject matter thereof, and none thereof shall be used to interpret or construe this Lease. None of the terms, covenants, conditions or provisions of this Lease can be modified, deleted or added to except in writing signed by the parties hereto.

29.15 Right to Lease. Landlord reserves the absolute right to effect such other tenancies in the Project as Landlord in the exercise of its sole business judgment shall determine to best promote the interests of the Building or Project. Tenant does not rely on the fact, nor does Landlord represent, that any specific tenant or type or number of tenants shall, during the Lease Term, occupy any space in the Building or Project.

29.16 Force Majeure. Any prevention, delay or stoppage due to strikes, lockouts, labor disputes, acts of God, acts of war, terrorist acts, inability to obtain services, labor, or materials or reasonable substitutes therefor, governmental actions, civil commotions, fire or other casualty, and other causes beyond the reasonable control of the party obligated to perform, except with respect to the obligations imposed with regard to Rent and other charges to be paid by one party to the other pursuant to this Lease (collectively, a “Force Majeure”), notwithstanding anything to the contrary contained in this Lease, shall excuse the performance of such party for a period equal to any such prevention, delay or stoppage and, therefore, if this Lease specifies a time period for performance of an obligation of either party, that time period shall be extended by the period of any delay in such party’s performance caused by a Force Majeure.

29.17 Waiver of Redemption by Tenant. Tenant hereby waives, for Tenant and for all those claiming under Tenant, any and all rights now or hereafter existing to redeem by order or judgment of any court or by any legal process or writ, Tenant’s right of occupancy of the Premises after any termination of this Lease.

29.18 Notices. All notices, demands, statements, designations, approvals or other communications (collectively, “Notices”) given or required to be given by either party to the other hereunder or by law shall be in writing, shall be (A) sent by United States certified or registered mail, postage prepaid, return receipt requested (“Mail”), (B) delivered by a nationally recognized overnight courier, or (C) delivered personally. Any Notice shall be sent, transmitted, or delivered, as the case may be, to Tenant at the appropriate address set forth in Section 10 of the Summary, or to such other place as Tenant may from time to time designate in a Notice to Landlord, or to Landlord at the addresses set forth below, or to such other places as Landlord may from time to time designate in a Notice to Tenant. Any Notice will be deemed given (i) three (3) days after the date it is posted if sent by Mail, (ii) the date the overnight courier delivery is made, or (iii) the date

 

59


personal delivery is made. As of the date of this Lease, any Notices to Landlord must be sent, transmitted, or delivered, as the case may be, to the following addresses:

HCP OYSTER POINT III LLC

c/o HCP, Inc.

1920 Main Street, Suite 1200

Irvine, CA 92614

Attn: Legal Department

and

HCP Life Science Estates

950 Tower Lane, Suite 1650

Foster City, CA 94404

And

Allen Matkins Leck Gamble Mallory & Natsis LLP

1901 Avenue of the Stars, Suite 1800

Los Angeles, California 90067

Attention: Anton N. Natsis, Esq.

29.19 Joint and Several. If there is more than one tenant, the obligations imposed upon Tenant under this Lease shall be joint and several.

29.20 Authority. Tenant hereby represents and warrants that Tenant is a duly formed and existing entity qualified to do business in the State of California and that Tenant has full right and authority to execute and deliver this Lease and that each person signing on behalf of Tenant is authorized to do so. Landlord represents and warrants that Landlord is a duly formed and existing entity qualified to do business in the State of California and that Landlord has full right and authority to execute and deliver this Lease and that each person signing on behalf of Landlord is authorized to do so.

29.21 Attorneys’ Fees. In the event that either Landlord or Tenant should bring suit for the possession of the Premises, for the recovery of any sum due under this Lease, or because of the breach of any provision of this Lease or for any other relief against the other, then all costs and expenses, including reasonable attorneys’ fees, incurred by the prevailing party therein shall be paid by the other party, which obligation on the part of the other party shall be deemed to have accrued on the date of the commencement of such action and shall be enforceable whether or not the action is prosecuted to judgment.

29.22 Governing Law; WAIVER OF TRIAL BY JURY. This Lease shall be construed and enforced in accordance with the laws of the State of California. IN ANY ACTION OR PROCEEDING ARISING HEREFROM, LANDLORD AND TENANT HEREBY CONSENT TO (I) THE JURISDICTION OF ANY COMPETENT COURT WITHIN THE STATE OF CALIFORNIA, (II) SERVICE OF PROCESS BY ANY MEANS AUTHORIZED BY CALIFORNIA LAW, AND (III) IN THE INTEREST OF SAVING TIME AND EXPENSE,

 

60


TRIAL WITHOUT A JURY IN ANY ACTION, PROCEEDING OR COUNTERCLAIM BROUGHT BY EITHER OF THE PARTIES HERETO AGAINST THE OTHER OR THEIR SUCCESSORS IN RESPECT OF ANY MATTER ARISING OUT OF OR IN CONNECTION WITH THIS LEASE, THE RELATIONSHIP OF LANDLORD AND TENANT, TENANT’S USE OR OCCUPANCY OF THE PREMISES, AND/OR ANY CLAIM FOR INJURY OR DAMAGE, OR ANY EMERGENCY OR STATUTORY REMEDY. IN THE EVENT LANDLORD COMMENCES ANY SUMMARY PROCEEDINGS OR ACTION FOR NONPAYMENT OF BASE RENT OR ADDITIONAL RENT, TENANT SHALL NOT INTERPOSE ANY COUNTERCLAIM OF ANY NATURE OR DESCRIPTION (UNLESS SUCH COUNTERCLAIM SHALL BE MANDATORY) IN ANY SUCH PROCEEDING OR ACTION, BUT SHALL BE RELEGATED TO AN INDEPENDENT ACTION AT LAW.

29.23 Submission of Lease. Submission of this instrument for examination or signature by Tenant does not constitute a reservation of, option for or option to lease, and it is not effective as a lease or otherwise until execution and delivery by both Landlord and Tenant.

29.24 Brokers. Landlord and Tenant hereby warrant to each other that they have had no dealings with any real estate broker or agent in connection with the negotiation of this Lease, excepting only the real estate brokers or agents specified in Section 12 of the Summary (the “Brokers”), and that they know of no other real estate broker or agent who is entitled to a commission in connection with this Lease. Each party agrees to indemnify and defend the other party against and hold the other party harmless from any and all claims, demands, losses, liabilities, lawsuits, judgments, costs and expenses (including without limitation reasonable attorneys’ fees) with respect to any leasing commission or equivalent compensation alleged to be owing on account of any dealings with any real estate broker or agent, other than the Brokers, occurring by, through, or under the indemnifying party. The terms of this Section 29.24 shall survive the expiration or earlier termination of the Lease Term. Landlord shall pay the Brokers pursuant to the terms of separate commission agreements with Brokers.

29.25 Independent Covenants. This Lease shall be construed as though the covenants herein between Landlord and Tenant are independent and not dependent and Tenant hereby expressly waives the benefit of any statute to the contrary and agrees that if Landlord fails to perform its obligations set forth herein, Tenant shall not be entitled to make any repairs or perform any acts hereunder at Landlord’s expense or to any setoff of the Rent or other amounts owing hereunder against Landlord.

29.26 Project or Building Name, Address and Signage. Landlord shall have the right at any time to change the name and/or address of the Project or Building and to install, affix and maintain any and all signs on the exterior and on the interior of the Project or Building (other than the Premises) as Landlord may, in Landlord’s sole discretion, desire (subject to Tenant’s signage rights set forth in this Lease). Tenant shall not use the name of the Project or Building or use pictures or illustrations of the Project or Building in advertising or other publicity or for any purpose other than as the address of the business to be conducted by Tenant in the Premises, without the prior written consent of Landlord.

 

61


29.27 Counterparts. This Lease may be executed in counterparts with the same effect as if both parties hereto had executed the same document. Both counterparts shall be construed together and shall constitute a single lease.

29.28 Confidentiality. Landlord and Tenant each acknowledges that the content of this Lease and any related documents are confidential information. Landlord and Tenant shall keep such confidential information strictly confidential and shall not disclose (except as may be required by applicable law, judicial proceeding or court order) such confidential information to any person or entity other than Landlord’ s and Tenant’s respective financial, legal, accounting and space planning consultants, lenders, assignees, purchasers, partners, members and investors, and any Transferee.

29.29Development of the Project.

29.29.1 Subdivision. Landlord reserves the right to subdivide all or a portion of the buildings and Common Areas. Tenant agrees to execute and deliver, upon demand by Landlord and in the form requested by Landlord, any additional documents needed to conform this Lease to the circumstances resulting from a subdivision and any all maps in connection therewith. Notwithstanding anything to the contrary set forth in this Lease, the separate ownership of any buildings and/or Common Areas by an entity other than Landlord shall not affect the calculation of Direct Expenses or Tenant’s payment of Tenant’s Share of Direct Expenses.

29.29.2 Construction of Property and Other Improvements. Tenant acknowledges that portions of the Project may be under construction following Tenant’s occupancy of the Premises, and that such construction may result in levels of noise, dust, obstruction of access, etc. which are in excess of that present in a fully constructed project. Landlord shall use commercially reasonable efforts to minimize the impact of such construction. Tenant hereby waives any and all rent offsets or claims of constructive eviction which may arise in connection with such construction.

29.30 No Violation. Tenant hereby warrants and represents that neither its execution of nor performance under this Lease shall cause Tenant to be in violation of any agreement, instrument, contract, law, rule or regulation by which Tenant is bound, and Tenant shall protect, defend, indemnify and hold Landlord harmless against any claims, demands, losses, damages, liabilities, costs and expenses, including, without limitation, reasonable attorneys’ fees and costs, arising from Tenant’s breach of this warranty and representation.

29.31 Transportation Management. Tenant shall fully comply with all present or future mandatory programs intended to manage parking, transportation or traffic in and around the Project and/or the Building, and in connection therewith, Tenant shall take responsible action for the transportation planning and management of all employees located at the Premises by working directly with Landlord, any governmental transportation management organization or any other transportation-related committees or entities. Such programs may include, without limitation: (i) restrictions on the number of peak-hour vehicle trips generated by Tenant; (ii) increased vehicle occupancy; (iii) implementation of an in-house ridesharing program and an employee transportation coordinator; (iv) working with employees and any Project, Building or area-wide ridesharing program manager; (v) instituting employer-sponsored incentives (financial or in-kind) to encourage employees to rideshare; and (vi) utilizing flexible work shifts for employees.

 

62


IN WITNESS WHEREOF, Landlord and Tenant have caused this Lease to be executed the day and date first above written.

 

LANDLORD:   TENANT:

HCP OYSTER POINT III LLC,

a Delaware limited liability company

 

MAZE THERAPEUTICS, INC.,

a Delaware corporation

By:  /s/ Scott Bohn                 By:  /s/ Jason Coloma               
    Name:  Scott Bohn                  Name:  Jason Coloma             
    Its:   Senior Vice President             Its:    CEO                 

 

63


EXHIBIT A

THE COVE AT OYSTER POINT

OUTLINE OF PREMISES; PROJECT SITE PLAN

 

EXHIBIT A

1


EXHIBIT B

THE COVE AT OYSTER POINT

TENANT WORK LETTER

This Tenant Work Letter shall set forth the terms and conditions relating to the initial improvement of the Premises for Tenant following the date of this Lease. This Tenant Work Letter is essentially organized chronologically and addresses the issues of construction, in sequence, as such issues will arise during construction in the Premises.

SECTION 1

CONDITION OF PREMISES

Tenant acknowledges that Tenant shall accept the Premises in their existing, “as-is” condition on the date of delivery thereof to Tenant, subject to the delivery obligations set forth in Section 1.1.1 of the Lease. Except for the payment of the Tenant Improvement Allowance as provided in Section 2, below, and the delivery obligations set forth in Section 1.1.1 of the Lease, Landlord shall have no obligation to make or pay for any improvements to the Premises.

SECTION 2

TENANT IMPROVEMENTS

2.1  Tenant Improvement Allowance. Commencing as of the Delivery Date, Tenant shall be entitled to use the “Tenant Improvement Allowance”, as defined in Section 5 of the Summary to this Lease, for the costs relating to the initial design and construction of Tenant’s improvements, which are permanently affixed to the Premises or which are “Tenant Improvement Allowance Items,” as that term is defined in Section 2.2.1, below (collectively, the “Tenant Improvements”). In no event shall Landlord be obligated to make disbursements pursuant to this Tenant Work Letter or otherwise in connection with Tenant’s construction of the Tenant Improvements or any Tenant Improvement Allowance Items, as defined below, in a total amount which exceeds the sum of the Tenant Improvement Allowance. All Tenant Improvements for which the Tenant Improvement Allowance has been made available shall be deemed Landlord’s property under the terms of the Lease; provided, however, Landlord may, by written notice to Tenant given concurrently with Landlord’s approval of the “Final Working Drawings”, as that term is defined in Section 3.3, below, require Tenant, prior to the end of the Lease Term, or given following any earlier termination of this Lease, at Tenant’s expense, to remove any Tenant Improvements which are deemed Specialty Improvements and to repair any damage to the Premises and Building caused by such removal and return the affected portion of the Premises to a Building standard general office condition; provided that Tenant shall have the right to remove certain movable equipment and trade fixtures pursuant to the terms of the Lease (except those which are installed utilizing the Tenant Improvement Allowance). Notwithstanding the foregoing, Landlord hereby agrees that Tenant shall have no obligation to remove any of the improvements depicted on Schedule 1 attached hereto at the expiration or earlier termination of the Lease Term.

 

EXHIBIT A

1


Any portion of the Tenant Improvement Allowance that is not disbursed or allocated for disbursement by December 31, 2021 (the “Outside Allowance Date”), shall revert to Landlord and Tenant shall have no further rights with respect thereto.

2.2   Disbursement of the Tenant Improvement Allowance.

2.2.1  Tenant Improvement Allowance Items. Except as otherwise set forth in this Tenant Work Letter, the Tenant Improvement Allowance and Additional TI Allowance, if applicable, shall be disbursed by Landlord only for the following items and costs (collectively the “Tenant Improvement Allowance Items”):

2.2.1.1 Payment of all reasonable fees of the “Architect” and the “Engineers,” as those terms are defined in Section 3.1 of this Tenant Work Letter, project management fees, and payment of the fees incurred by, and the cost of documents and materials supplied by, Landlord and Landlord’s consultants in connection with the preparation and review of the “Construction Drawings,” as that term is defined in Section 3.2 of this Tenant Work Letter;

2.2.1.2 The payment of plan check, permit and license fees relating to construction of the Tenant Improvements; Premises;

2.2.1.3 The payment for all demolition and removal of existing improvements in the Premises;

2.2.1.4 The cost of construction of the Tenant Improvements, including, without limitation, testing and inspection costs, costs incurred for removal of existing furniture, fixtures or equipment in the Premises, hoisting and trash removal costs, costs to purchase and install in the Premises equipment customarily incorporated into laboratory improvements or laboratory utility systems, including, without limitation, UPS, DI Systems, boilers, air compressors, glass/cage washers and autoclaves, painting, and contractors’ fees and general conditions;

2.2.1.5 The cost of any changes in the Base Building when such changes are required by the Construction Drawings (including if such changes are due to the fact that such work is prepared on an unoccupied basis), such cost to include all direct architectural and/or engineering fees and expenses incurred in connection therewith;

2.2.1.6 The cost of any changes to the Construction Drawings or Tenant Improvements required by all applicable building codes (the “Code”);

2.2.1.7 Sales and use taxes;

2.2.1.8 The cost of the Project Management Fee, pursuant to Section 4.1.1 of this Tenant Work Letter, below.

2.2.2  Disbursement of Tenant Improvement Allowance. During the construction of the Tenant Improvements, Landlord shall make monthly disbursements of the Tenant Improvement Allowance and Additional TI Allowance, if applicable, for Tenant Improvement Allowance Items for the benefit of Tenant and shall authorize the release of monies for the benefit of Tenant as follows.

 

EXHIBIT B

2


2.2.2.1 Monthly Disbursements. On or before the fifth (5th) day of each calendar month, during the design and construction of the Tenant Improvements (or such other date as Landlord may designate), Tenant may deliver to Landlord: (i) a request for reimbursement of amounts paid to the “Contractor,” as that term is defined in Section 4.1.1 of this Tenant Work Letter, approved by Tenant, in a form to be provided by Landlord and reasonably approved by Tenant , showing the schedule, by trade, of percentage of completion of the Tenant Improvements in the Premises, detailing the portion of the work completed and the portion not completed in reasonable detail; (ii) invoices from all of “Tenant’s Agents,” as that term is defined in Section 4.1.2 of this Tenant Work Letter, for labor rendered and materials for the Premises for which payment is requested; (iii) executed mechanic’s lien releases, as applicable, from all of Tenant’s Agents who are entitled to file mechanics liens and which shall comply with the appropriate provisions, as reasonably determined by Landlord, of California Civil Code Sections 8132, 8134, 8136 and 8138; and (iv) all other typical and customary additional information reasonably requested by Landlord. Within forty-five (45) days thereafter, Landlord shall deliver a check to Tenant made payable to Tenant in payment of the lesser of: (A) the amounts so requested by Tenant as set forth in this Section 2.2.3.1, above (or, subject to the terms of Section 4.2.1, below, a percentage thereof), and (B) the balance of any remaining available portion of the Tenant Improvement Allowance and Additional TI Allowance, if applicable, provided that Landlord does not reasonably and in good faith dispute any request for payment based on non-compliance of any work with the “Approved Working Drawings,” as that term is defined in Section 3.5 below, or due to any substandard work. Landlord’s payment of such amounts shall not be deemed Landlord’s approval or acceptance of the work furnished or materials supplied as set forth in Tenant’s payment request.

2.2.2.2 Final Deliveries. Following the completion of construction of the Tenant Improvements, Tenant shall deliver to Landlord properly executed final mechanic’s lien releases in compliance with both California Civil Code Section 8134 and either Section 8136 or Section 8138 from all of Tenant’s Agents, and a certificate certifying that the construction of the Tenant Improvements in the Premises has been substantially completed. Tenant shall record a valid Notice of Completion in accordance with the requirements of Section 4.3 of this Tenant Work Letter.

2.2.2.3 Other Terms. Landlord shall only be obligated to make disbursements from the Tenant Improvement Allowance and Additional TI Allowance, if applicable, to the extent costs are incurred by Tenant for Tenant Improvement Allowance Items. All Tenant Improvement Allowance Items for which the Tenant Improvement Allowance and Additional TI Allowance, if applicable have been made available shall be deemed Landlord’s property under the terms of this Lease.

2.3  Building Standards. The quality of Tenant Improvements shall be in keeping with Landlord’s Tenant Improvement Manual.

2.4  Additional Tenant Improvement Allowance. In addition to the Tenant Improvement Allowance, Tenant shall have the right, by written notice to Landlord given on or

 

EXHIBIT B

3


before the Outside Allowance Date, to cause Landlord to provide up to $30.00 per RSF of the Premises (i.e., $2,015,550.00) (the “Additional TI Allowance”) towards the payment of the costs of the Tenant Improvement Allowance Items. In the event Tenant exercises its right to use all or any portion of the Additional TI Allowance, Tenant shall be required to pay Landlord, commencing on the date the Tenant Improvements are completed (the “Additional Payment Commencement Date”), the “Additional TI Allowance Payment,” as that term is defined below, in consideration of Landlord provision of the Additional TI Allowance. The “Additional TI Allowance Payment” shall be determined as the missing component of an annuity, which annuity shall have (i) the amount of the Additional TI Allowance utilized by Tenant as the present value amount, (ii) a number equal to the number of full calendar months then remaining in the Lease Term as the number of payments, (iii) a monthly interest factor equal to seventy-five one-hundredths percent (0.75%), which is equal to nine percent (9%) divided by twelve (12) months per year, and (iv) the Additional TI Allowance Payment as the missing component of the annuity. Following the calculation of the Additional TI Allowance Payment, Landlord and Tenant will enter into a lease amendment to confirm the amount thereof. Any portion of the Tenant Improvement Allowance as to which Tenant has not properly requested disbursement by the Outside Allowance Date, shall revert to Landlord and Tenant shall have no further rights with respect thereto. The Additional TI Allowance Payment shall not be subject to annual Base Rent increases.

2.5  Failure to Disburse Tenant Improvement Allowance. If Landlord fails to timely fulfill its obligation to disburse any portion of the Tenant Improvement Allowance as required by this Tenant Work Letter, Tenant shall be entitled to deliver notice (“Payment Notice”) thereof to Landlord. If Landlord fails to fulfill such obligation within thirty (30) days after Landlord’s receipt of the Payment Notice from Tenant and if Landlord fails to deliver to Tenant within such thirty (30) day period a written objection to the payment of such disbursement, setting forth with reasonable detail Landlord’s good faith reasons for its claim that Tenant is not entitled to a portion of the disbursement (in which case Landlord shall pay all amounts to which it does not object) (“Refusal Notice”), Tenant shall be entitled to pay such amounts and to offset the amounts so paid by Tenant against Tenant’s next obligations to pay Rent under the Lease, together with interest accruing from the date due at the rate of ten percent (10%) per annum.. If Landlord delivers a Refusal Notice, and if Landlord and Tenant are not able to agree on the amounts to be so paid by Landlord, if any, within ten (10) business days after Tenant’s receipt of a Refusal Notice, Tenant may proceed to claim a default by Landlord, or, if elected by either Landlord or Tenant, the matter shall proceed to resolution by the selection of an arbitrator to resolve the dispute under the expedited commercial dispute rules of JAMS. If Tenant prevails in the arbitration, the amount of the award (which shall include interest at the rate of ten percent (10%) per annum from the time of delivery of Tenant’s invoice for such expenditures until the date Tenant receives such amount by payment or offset and attorneys’ fees and related costs) may be deducted by Tenant from the Rent next due and owing under this Lease.

SECTION 3

CONSTRUCTION DRAWINGS

3.1  Selection of Architect. Tenant shall retain an architect/space planner (the “Architect”) approved in advance by Landlord (which approval shall not be unreasonably withheld) to prepare the Final Space Plan and Final Working Drawings as provided in Section 3.2

 

EXHIBIT B

4


and 3.3, below. Notwithstanding the foregoing, Landlord hereby approves of DGA Architects as the Architect. Tenant shall retain the engineering consultants or design/build subcontractors designated by Tenant and reasonably approved in advance by Landlord (the “Engineers”) to prepare all plans and engineering working drawings relating to the structural, mechanical, electrical, plumbing, HVAC, lifesafety, and sprinkler work in the Premises, which work is not part of the Base Building. All such plans and drawings shall comply with the drawing format and specifications reasonably determined by Landlord, and shall be subject to Landlord’s reasonable approval. Tenant and Architect shall verify, in the field, the dimensions and conditions as shown on the relevant portions of the Base Building plans, and Tenant and Architect shall be solely responsible for the same, and Landlord shall have no responsibility in connection therewith. Landlord’s review of any plans or drawings as set forth in this Section 3, shall be for its sole purpose and shall not imply Landlord’s review of the same, or obligate Landlord to review the same, for quality, design, Code compliance or other like matters.

3.2  Final Space Plan. Tenant shall supply Landlord with four (4) copies signed by Tenant of its final space plan for the Premises before any architectural working drawings or engineering drawings have been commenced. The final space plan (the “Final Space Plan”) shall include a layout and designation of all offices, labs, rooms and other partitioning, their intended use, and equipment to be contained therein. Notwithstanding the foregoing, Landlord hereby approves of the preliminary plans attached hereto as Schedule 1. Landlord may request clarification or more specific drawings for special use items not included in the Final Space Plan. Landlord shall advise Tenant within five (5) business days after Landlord’s receipt of the Final Space Plan for the Premises if the same is unsatisfactory or incomplete in any respect. If Tenant is so advised, Tenant shall promptly cause the Final Space Plan to be revised to correct any deficiencies or other matters Landlord may reasonably require. If Landlord fails to respond to the Final Space Plan within the five (5) business day period set forth above, Tenant may send Landlord a reminder notice setting forth such failure containing the following sentence at the top of such notice in bold, capitalized font at least twelve (12) points in size: “LANDLORD’S FAILURE TO RESPOND TO THIS NOTICE WITHIN THREE (3) BUSINESS DAYS SHALL RESULT IN LANDLORD’S DEEMED APPROVAL OF TENANT’S FINAL SPACE PLAN” (the “Final Space Plan Reminder Notice”). Any such Final Space Plan Reminder Notice shall include a complete copy of the Final Space Plan. If Landlord fails to respond within three (3) business days after receipt of a Final Space Plan Reminder Notice, then the Final Space Plan shall be deemed approved by Landlord.

3.3  Final Working Drawings. After the Final Space Plan has been approved by Landlord, Tenant shall supply the Engineers with a complete listing of standard and non-standard equipment and specifications, including, without limitation, Title 24 calculations, electrical requirements and special electrical receptacle requirements for the Premises, to enable the Engineers and the Architect to complete the “Final Working Drawings” (as that term is defined below) in the manner as set forth below. Upon the approval of the Final Space Plan by Landlord and Tenant, Tenant shall promptly cause the Architect and the Engineers to complete the architectural and engineering drawings for the Premises, and Architect shall compile a fully coordinated set of architectural, structural, mechanical, electrical and plumbing working drawings in a form which is sufficiently complete to allow all of Tenant’s Agents to bid on the work and to obtain all applicable permits (collectively, the “Final Working Drawings”) and shall submit the same to Landlord for Landlord’s approval, which shall not be unreasonably withheld, conditioned,

 

EXHIBIT B

5


or delayed. Tenant shall supply Landlord with four (4) copies signed by Tenant of such Final Working Drawings. Landlord shall advise Tenant within ten (10) business days after Landlord’s receipt of the Final Working Drawings for the Premises if the same is unsatisfactory or incomplete in any respect. If Tenant is so advised, Tenant shall promptly cause the Final Working Drawings to be revised in accordance with such review and any disapproval of Landlord in connection therewith. If Landlord fails to respond to the Final Working Drawings within the ten (10) business day period set forth above, Tenant may send Landlord a reminder notice setting forth such failure containing the following sentence at the top of such notice in bold, capitalized font at least twelve (12) points in size: “LANDLORD’S FAILURE TO RESPOND TO THIS NOTICE WITHIN FIVE (5) BUSINESS DAYS SHALL RESULT IN LANDLORD’S DEEMED APPROVAL OF TENANT’S FINAL WORKING DRAWINGS” (the “Final Working Drawings Reminder Notice”). Any such Final Working Drawings Reminder Notice shall include a complete copy of the Final Working Drawings. If Landlord fails to respond within five (5) business days after receipt of a Final Working Drawings Reminder Notice, then the Final Working Drawings shall be deemed approved by Landlord.

3.4  Approved Working Drawings. The Final Working Drawings shall be approved by Landlord (the “Approved Working Drawings”) prior to the commencement of construction of the Premises by Tenant. Concurrently with Tenant’s delivery of the Final Working Drawings to Landlord for Landlord’s approval, Tenant may submit the same to the appropriate municipal authorities for all applicable building permits. Tenant hereby agrees that neither Landlord nor Landlord’s consultants shall be responsible for obtaining any building permit or certificate of occupancy for the Premises and that obtaining the same shall be Tenant’s responsibility; provided, however, that Landlord shall cooperate with Tenant in executing permit applications and performing other ministerial acts reasonably necessary to enable Tenant to obtain any such permit or certificate of occupancy. No changes, modifications or alterations in the Approved Working Drawings may be made without the prior written consent of Landlord, which shall not be unreasonably withheld, conditioned, or delayed.

SECTION 4

CONSTRUCTION OF THE TENANT IMPROVEMENTS

4.1  Tenant’s Selection of Contractors.

4.1.1  The Contractor; Landlord’s Project Manager. Tenant shall retain a licensed general contractor, reasonably approved in advance by Landlord, to construct the Tenant Improvements (“Contractor”). Landlord’s approval of the Contractor shall not be unreasonably withheld. Landlord hereby approves of Landmark Construction as the Contractor. Landlord shall retain Project Management Advisors, Inc. (“PMA”) as a third party project manager for construction oversight of the Tenant Improvements on behalf of Landlord, and Tenant shall pay a fee to Landlord with respect to the PMA services equal to $1.63 per rentable square foot of the Premises (the “Project Management Fee”).

4.1.2  Tenant’s Agents. All subcontractors, laborers, materialmen, and suppliers used by Tenant (such subcontractors, laborers, materialmen, and suppliers, and the Contractor to be known collectively as “Tenant’s Agents”). The subcontractors used by Tenant, but not any laborers, materialmen, and suppliers, must be approved in writing by Landlord, which approval

 

EXHIBIT B

6


shall not be unreasonably withheld, conditioned, or delayed; provided, however, Landlord may nevertheless designate and require the use of particular mechanical, engineering, plumbing, fire life- safety and other Base Building subcontractors. If Landlord does not approve any of Tenant’s proposed subcontractors, Tenant shall submit other proposed subcontractors for Landlord’s written approval.

4.2  Construction of Tenant Improvements by Tenant’s Agents.

4.2.1 Construction Contract; Cost Budget. Tenant shall engage the Contractor under a commercially reasonable and customary construction contract (collectively, the “Contract”). Prior to the commencement of the construction of any Phase of the Tenant Improvements, and after Tenant has accepted all bids for the Tenant Improvements, Tenant shall provide Landlord with a detailed breakdown, by trade, of the final costs to be incurred or which have been incurred in connection with the design and construction of the relevant Phase of the Tenant Improvements to be performed by or at the direction of Tenant or the Contractor, which costs form a basis for the estimated total costs of the work of the relevant Phase of the Tenant Improvements (each, a “Final Budget”). Any costs of design and construction of the Tenant Improvements in excess of the Tenant Improvement Allowance shall be paid by Tenant out of its own funds once the Tenant Improvement Allowance is exhausted, but Tenant shall continue to provide Landlord with the documents described in Sections 2.2.2.1(i), (ii), (iii) and (iv) of this Tenant Work Letter, above, for Landlord’s approval, prior to Tenant paying such costs.

4.2.2 Tenant’s Agents.

4.2.2.1 Compliance with Drawings and Schedule. Tenant’s and Tenant’s Agent’s construction of the Tenant Improvements shall comply with the following: (i) the Tenant Improvements shall be constructed in substantial accordance with the Approved Working Drawings; and (ii) Tenant’s Agents shall submit schedules of all work relating to the Tenant’s Improvements to Contractor and Contractor shall, within five (5) business days of receipt thereof, inform Tenant’s Agents of any changes which are necessary thereto, and Tenant’s Agents shall adhere to such corrected schedule.

4.2.2.2 Indemnity. Tenant’s indemnity of Landlord as set forth in this Lease shall also apply with respect to any and all costs, losses, damages, injuries and liabilities related in any way to any act or omission of Tenant or Tenant’s Agents, or anyone directly or indirectly employed by any of them, or in connection with Tenant’s non-payment of any amount arising out of the Tenant Improvements and/or Tenant’s disapproval of all or any portion of any request for payment. The foregoing indemnity shall not apply to claims caused by the gross negligence or willful misconduct of Landlord, its member partners, shareholders, officers, directors, agents, employees, and/or contractors.

4.2.2.3 Requirements of Tenant’s Agents. Each of Tenant’s Agents shall guarantee to Tenant and for the benefit of Landlord that the portion of the Tenant Improvements for which it is responsible shall be free from any defects in workmanship and materials for a period of not less than one (1) year from the date of substantial completion of the work under the Contract (“Substantial Completion”). Each of Tenant’s Agents shall be responsible for the replacement or repair, without additional charge, of all work done or furnished in accordance with its contract that

 

EXHIBIT B

7


shall become defective within one (1) year after Substantial Completion. The correction of such work shall include, without additional charge, all additional expenses and damages incurred in connection with such removal or replacement of all or any part of the Tenant Improvements, and/or the Building and/or common areas that may be damaged or disturbed thereby. All such warranties or guarantees as to materials or workmanship of or with respect to the Tenant Improvements shall be contained in the Contract or subcontract and shall be written such that such guarantees or warranties shall inure to the benefit of both Landlord and Tenant, as their respective interests may appear, and can be directly enforced by either. Tenant covenants to give to Landlord any assignment or other assurances which may be necessary to effect such right of direct enforcement.

4.2.2.4 Insurance Requirements.

4.2.2.4.1  General Coverages. All of Tenant’s Agents shall carry the following insurance with insurers having a minimum A.M. best rating of A- /VII or better (i) worker’s compensation insurance covering all of Tenant’s Agents’ respective employees with a waiver of subrogation in favor of Landlord and the property manager, (ii) general liability insurance with a limit of not less than $1,000,000 per occurrence and $2,000,000 general aggregate, including contractual coverage, and including Landlord and its property manager as additional insureds, and (ii) if the cost of such Tenant Improvements exceeds $100,000 in the aggregate, then Builders Risk insurance covering the construction of the Tenant Improvements, and such policy shall include Landlord as an additional insured.

4.2.2.4.2  Intentionally Omitted.

4.2.2.4.3  General Terms. Certificates for all insurance carried pursuant to this Section 4.2.2.4 shall be delivered to Landlord before the commencement of construction of the Tenant Improvements and before the Contractor’s equipment is moved onto the site. All such policies of insurance must contain a provision that the company writing said policy will endeavor to give Landlord thirty (30) days prior written notice of any cancellation or lapse of the effective date or any reduction in the amounts of such insurance. In the event that the Expansion Tenant Improvements are damaged by any cause during the course of the construction thereof, Tenant shall immediately repair the same at Tenant’s sole cost and expense. Tenant’s Agents shall maintain all of the foregoing insurance coverage in force until the Tenant Improvements are fully completed, except for any Products and Completed Operation Coverage insurance required by Landlord, which is to be maintained for ten (10) years following completion of the work. Such insurance shall provide that it is primary insurance as respects the owner and that any other insurance maintained by owner is excess and noncontributing with the insurance required hereunder. The requirements for the foregoing insurance shall not derogate from the provisions for indemnification of Landlord by Tenant under Section 4.2.2.2 of this Tenant Work Letter.

4.2.3  Governmental Compliance. The Tenant Improvements shall comply in all material respects with the following: (i) all state, federal, city or quasi-governmental laws, codes, ordinances and regulations, as each may apply according to the rulings of the controlling public official, agent or other person; (ii) applicable standards of the American Insurance Association (formerly, the National Board of Fire Underwriters) and the National Electrical Code; and (iii) building material manufacturer’s specifications.

 

EXHIBIT B

8


4.3 Inspection by Landlord. Landlord shall have the right to inspect the Tenant Improvements at all times, provided however, that Landlord’s failure to inspect the Tenant Improvements shall in no event constitute a waiver of any of Landlord’s rights hereunder nor shall Landlord’s inspection of the Tenant Improvements constitute Landlord’s approval of the same. Landlord’s inspection shall not interfere with Tenant’s construction of the Tenant Improvements and shall be scheduled at times reasonably acceptable to Tenant. Should Landlord reasonably disapprove any portion of the Tenant Improvements, on the grounds that the construction is defective or fails to comply with the Approved Working Drawings, Landlord shall notify Tenant in writing of such disapproval and shall specify the items disapproved. Any such defects or deviations shall be rectified by Tenant at no expense to Landlord, provided however, that in the event Landlord determines that a defect or deviation exists that might adversely affect the mechanical, electrical, plumbing, heating, ventilating and air conditioning or life-safety systems of the Building, the structure or exterior appearance of the Building or any other tenant’s use of such other tenant’s leased premises, Landlord may, take such action as Landlord reasonably deems necessary, at Tenant’s expense and without incurring any liability on Landlord’s part, to correct any such defect, deviation and/or matter, including, without limitation, causing the cessation of performance of the construction of the Tenant Improvements until such time as the defect, deviation and/or matter is corrected to Landlord’s reasonable satisfaction.

4.3.1 Meetings. Commencing upon the commencement of construction activities, Tenant shall hold regular meetings at a reasonable time (and which may be telephonic), with the Architect and the Contractor regarding the progress of the preparation of Construction Drawings and the construction of the Tenant Improvements, and Landlord and/or its agents shall receive prior notice of, and shall have the right to attend, all such meetings.

4.4 Notice of Completion; Copy of Record Set of Plans. Within ten (10) days after completion of construction of the Tenant Improvements, Tenant shall cause a valid Notice of Completion to be recorded in the office of the Recorder of the county in which the Building is located in accordance with Section 8182 of the Civil Code of the State of California or any successor statute, and shall furnish a copy thereof to Landlord upon such recordation. If Tenant fails to do so, Landlord may execute and file the same on behalf of Tenant as Tenant’s agent for such purpose, at Tenant’s sole cost and expense. At the conclusion of construction, (i) Tenant shall cause the Architect and Contractor (x) to update the Approved Working Drawings as necessary to reflect all changes made to the Approved Working Drawings during the course of construction, (y) to certify to the best of their knowledge that the “record-set” of as-built drawings are true and correct, which certification shall survive the expiration or termination of this Lease, and (z) to deliver to Landlord two (2) sets of copies of such record set of drawings (hard copy and CAD files) within ninety (90) days following issuance of a certificate of occupancy for the Premises, and (ii) Tenant shall deliver to Landlord a copy of all warranties, guaranties, and operating manuals and information relating to the improvements, equipment, and systems in the Premises. Within fifteen (15) days after request by Tenant following the Substantial Completion of the Tenant Improvements, Landlord will acknowledge its approval of the Tenant Improvements (provided that such approval has been granted) by placing its signature on a Contractor’s Certificate of Substantial Completion fully executed by the Architect, Contractor and Tenant. Landlord’s approval shall not create any contingent liabilities for Landlord with respect to any latent quality, design, Code compliance or other like matters that may arise subsequent to Landlord’s approval.

 

EXHIBIT B

9


SECTION 5

MISCELLANEOUS

5.1 Tenant’s Entry Into the Premises Prior to Substantial Completion. Tenant shall be entitled to access to the Premises following delivery of the Premises for the purpose of Tenant installing overstandard equipment or fixtures (including Tenant’s data and telephone equipment) in the Premises and constructing the Tenant Improvements. Tenant shall hold Landlord harmless from and indemnify, protect and defend Landlord against any loss or damage to the Building or Premises and against injury to any persons caused by Tenant’s actions pursuant to this Section 5.1

5.2 Tenant’s Representative. Tenant has designated Sandra Jamme, of SLJ Business Services, LLC, and Moses Makunje of Tenant, as its representatives with respect to the matters set forth in this Tenant Work Letter, who shall each have full authority and responsibility to act on behalf of the Tenant as required in this Tenant Work Letter.

5.3 Landlord’s Representative. Landlord has designated PMA, as its sole representatives with respect to the matters set forth in this Tenant Work Letter, who, until further notice to Tenant, shall have full authority and responsibility to act on behalf of the Landlord as required in this Tenant Work Letter.

5.4 Time is of the Essence in This Tenant Work Letter. Unless otherwise indicated, all references herein to a “number of days” shall mean and refer to calendar days. If any item requiring approval is timely disapproved by Landlord, the procedure for preparation of the document and approval thereof shall be repeated until the document is approved by Landlord.

5.5 Tenant’s Lease Default. Notwithstanding any provision to the contrary contained in the Lease or this Tenant Work Letter, if any monetary or material non-monetary default by Tenant under the Lease (beyond the applicable notice and cure periods) or this Tenant Work Letter (including, without limitation, any failure by Tenant to fund any portion of the Over-Allowance Amount) occurs at any time on or before the substantial completion of the Tenant Improvements and such default remains uncured ten (10) days following Landlord’s notice of such default to Tenant, then in addition to all other rights and remedies granted to Landlord pursuant to the Lease, Landlord shall have the right to withhold payment of all or any portion of the Tenant Improvement Allowance.

 

EXHIBIT B

10


SCHEDULE 1 TO EXHIBIT B

APPROVED SPACE PLAN

 

EXHIBIT B

11


EXHIBIT C

THE COVE AT OYSTER POINT

NOTICE OF LEASE TERM DATES

 

To:   

 

 

 

 

 

 

 

 

  Re:

Lease dated    , 20 between      , a       (“Landlord”), and      , a       (“Tenant”) concerning Suite      on floor(s)       of the building located at      , California.

Gentlemen:

In accordance with the Lease (the “Lease”), we wish to advise you and/or confirm as follows:

 

  1.

The Lease Term shall commence on or has commenced on       for a term of       ending on      .

 

  2.

Rent commenced to accrue on      , in the amount of      .

 

  3.

If the Lease Commencement Date is other than the first day of the month, the first billing will contain a pro rata adjustment. Each billing thereafter, with the exception of the final billing, shall be for the full amount of the monthly installment as provided for in the Lease.

 

  4.

Your rent checks should be made payable to       at      .

 

  5.

The exact number of rentable/usable square feet within the Premises is       square feet.

 

  6.

Tenant’s Share as adjusted based upon the exact number of usable square feet within the Premises is %.

 

“Landlord”:
                   ,
a                    
By:                   
Its:                    

 

EXHIBIT C

1


Agreed to and Accepted as
of    , 200.
“Tenant”:
                  
a                 
By:                
Its:                 

 

EXHIBIT C

2


EXHIBIT D

THE COVE AT OYSTER POINT

FORM OF TENANT’S ESTOPPEL CERTIFICATE

The undersigned as Tenant under that certain Lease (the “Lease”) made and entered into as of      , 20 by and between       as Landlord, and the undersigned as Tenant, for Premises consisting of the entire office building located at      , California, certifies as follows:

1.  Attached hereto as Exhibit A is a true and correct copy of the Lease and all amendments and modifications thereto. The documents contained in Exhibit A represent the entire agreement between the parties as to the Premises.

2.  The undersigned currently occupies the Premises described in the Lease, the Lease Term commenced on      , and the Lease Term expires on      , and the undersigned has no option to terminate or cancel the Lease or to purchase all or any part of the Premises, the Building and/or the Project.

3.  Base Rent became payable on      .

4.  The Lease is in full force and effect and has not been modified, supplemented or amended in any way except as provided in Exhibit A.

5.  Tenant has not transferred, assigned, or sublet any portion of the Premises nor entered into any license or concession agreements with respect thereto except as follows:

6.  All monthly installments of Base Rent, all Additional Rent and all monthly installments of estimated Additional Rent have been paid when due through      . The current monthly installment of Base Rent is $  .

7.  To the undersigned’s actual knowledge without investigation, all conditions of the Lease to be performed by Landlord necessary to the enforceability of the Lease have been satisfied and Landlord is not in default thereunder. In addition, the undersigned has not delivered any notice to Landlord regarding a default by Landlord thereunder. To the undersigned’s actual knowledge without investigation, except to the extent expressly set forth in the Lease, the Lease does not require Landlord to provide any rental concessions or to pay any leasing brokerage commissions.

8.  No rental has been paid more than thirty (30) days in advance and no security has been deposited with Landlord except as provided in the Lease.

9.  To the undersigned’s actual knowledge without investigation, as of the date hereof, there are no existing defenses or offsets, or, any claims or any basis for a claim, that the undersigned has against Landlord.

10.  If Tenant is a corporation or partnership, Tenant hereby represents and warrants that Tenant is a duly formed and existing entity qualified to do business in California and that Tenant has full right and authority to execute and deliver this Estoppel Certificate and that each person signing on behalf of Tenant is authorized to do so.

 

EXHIBIT D

1


11.  There are no actions pending against the undersigned under the bankruptcy or similar laws of the United States or any state.

12.  Intentionally omitted.

13.  To the undersigned’s actual knowledge without investigation, all tenant improvement work to be performed by Landlord under the Lease has been completed in accordance with the Lease and has been accepted by the undersigned and all reimbursements and allowances due to the undersigned under the Lease in connection with any tenant improvement work have been paid in full [except as follows:]. All work (if any) in the common areas required by the Lease to be completed by Landlord has been completed and all parking spaces required by the Lease have been furnished and/or all parking ratios required by the Lease have been met [except as follows:].

The undersigned acknowledges that this Estoppel Certificate may be delivered to Landlord or to a prospective mortgagee or prospective purchaser, and acknowledges that said prospective mortgagee or prospective purchaser will be relying upon the statements contained herein in making the loan or acquiring the property of which the Premises are a part and that receipt by it of this certificate is a condition of making such loan or acquiring such property.

Executed at       on the       day of    , 20.

 

“Tenant”:
                ,
a                  
By:                 
  Its:                
By:                 
  Its:                

 

EXHIBIT D

2


EXHIBIT E

THE COVE AT OYSTER POINT

ENVIRONMENTAL QUESTIONNAIRE

 

EXHIBIT E

1


EXHIBIT F

FORM OF LETTER OF CREDIT

IRREVOCABLE STANDBY LETTER OF CREDIT NUMBER      

ISSUE DATE:           

ISSUING BANK:

SILICON VALLEY BANK

3003 TASMAN DRIVE

2ND FLOOR, MAIL SORT HF210

SANTA CLARA, CALIFORNIA 95054

BENEFICIARY:

HCP          

C/O HCP          

1920 MAIN STREET, SUITE 1200

IRVINE, CA 92614

ATTENTION: LEGAL DEPARTMENT

APPLICANT:

MAZE THERAPEUTICS, INC.

131 OYSTER POINT BOULEVARD, SUITE 200

SOUTH SAN FRANCISCO, CA 94080

AMOUNT: US$     .00 (      AND 00/100 U.S. DOLLARS)

EXPIRATION DATE:      (ONE YEAR FROM ISSUANCE)

PLACE OF EXPIRATION: ISSUING BANK’S COUNTERS AT ITS ABOVE ADDRESS

DEAR SIR/MADAM:

WE HEREBY ESTABLISH OUR IRREVOCABLE STANDBY LETTER OF CREDIT NO. SVBSF       IN YOUR FAVOR FOR THE ACCOUNT OF MAZE THERAPEUTICS, INC. UP TO THE AGGREGATE AMOUNT OF US$      (      AND 00/100 U.S. DOLLARS), EFFECTIVE IMMEDIATELY AND EXPIRING ON       (Expiration Date) AVAILABLE BY YOUR DRAFT(S) DRAWN ON US AT SIGHT IN THE FORM OF EXHIBIT “A” ATTACHED HERETO ACCOMPANIED BY THE FOLLOWING DOCUMENT(S):

BENEFICIARY’S SIGNED AND DATED STATEMENT STATING ANY OF THE FOLLOWING:

“THE UNDERSIGNED HEREBY CERTIFIES THAT THE LANDLORD, EITHER (A) UNDER THE LEASE (DEFINED BELOW), OR (B) AS A RESULT OF THE TERMINATION OF SUCH LEASE, HAS THE RIGHT TO DRAW DOWN THE AMOUNT OF USD       IN ACCORDANCE WITH THE TERMS OF THAT CERTAIN OFFICE LEASE DATED [INSERT LEASE DATE], AS AMENDED (COLLECTIVELY, THE “LEASE”).”


OR

“THE UNDERSIGNED HEREBY CERTIFIES THAT WE HAVE RECEIVED A WRITTEN NOTICE OF SILICON VALLEY BANK’S ELECTION NOT TO EXTEND ITS STANDBY LETTER OF CREDIT NO. SVBSF       AND HAVE NOT RECEIVED A REPLACEMENT LETTER OF CREDIT WITHIN AT LEAST THIRTY (30) DAYS PRIOR TO THE PRESENT EXPIRATION DATE.”

OR

“THE UNDERSIGNED HEREBY CERTIFIES THAT BENEFICIARY IS ENTITLED TO DRAW DOWN THE FULL AMOUNT OF LETTER OF CREDIT NO. SVBSF       AS THE RESULT OF THE FILING OF A VOLUNTARY PETITION UNDER THE U.S. BANKRUPTCY CODE OR A STATE BANKRUPTCY CODE BY THE TENANT UNDER THAT CERTAIN OFFICE LEASE DATED [INSERT LEASE DATE], AS AMENDED (COLLECTIVELY, THE “LEASE”), WHICH FILING HAS NOT BEEN DISMISSED AT THE TIME OF THIS DRAWING. “

OR

“THE UNDERSIGNED HEREBY CERTIFIES THAT BENEFICIARY IS ENTITLED TO DRAW DOWN THE FULL AMOUNT OF LETTER OF CREDIT NO. SVBSF       AS THE RESULT OF AN INVOLUNTARY PETITION HAVING BEEN FILED UNDER THE U.S. BANKRUPTCY CODE OR A STATE BANKRUPTCY CODE AGAINST THE TENANT UNDER THAT CERTAIN OFFICE LEASE DATED [INSERT LEASE DATE], AS AMENDED (COLLECTIVELY, THE “LEASE”), WHICH FILING HAS NOT BEEN DISMISSED WITHIN THIRTY (30) DAYS.”

OR

“THE UNDERSIGNED HEREBY CERTIFIES THAT BENEFICIARY IS ENTITLED TO DRAW DOWN THE FULL AMOUNT OF LETTER OF CREDIT NO. SVBSF AS THE RESULT OF THE REJECTION, OR DEEMED REJECTION, OF THAT CERTAIN OFFICE LEASE DATED [INSERT LEASE DATE], AS AMENDED, UNDER SECTION 365 OF THE U.S. BANKRUPTCY CODE.”

SPECIAL CONDITIONS:

PARTIAL DRAWINGS AND MULTIPLE PRESENTATIONS MAY BE MADE UNDER THIS STANDBY LETTER OF CREDIT, PROVIDED, HOWEVER, THAT EACH SUCH DEMAND THAT IS PAID BY US SHALL REDUCE THE AMOUNT AVAILABLE UNDER THIS STANDBY LETTER OF CREDIT.

 

3


ALL INFORMATION REQUIRED WHETHER INDICATED BY BLANKS, BRACKETS OR OTHERWISE, MUST BE COMPLETED AT THE TIME OF DRAWING.

ALL SIGNATURES MUST BE MANUALLY EXECUTED IN ORIGINALS.

ALL BANKING CHARGES ARE FOR THE APPLICANT’S ACCOUNT.

THIS LETTER OF CREDIT SHALL BE AUTOMATICALLY EXTENDED FOR AN ADDITIONAL PERIOD OF ONE YEAR, WITHOUT AMENDMENT, FROM THE PRESENT OR EACH FUTURE EXPIRATION DATE UNLESS AT LEAST 60 DAYS PRIOR TO THE THEN CURRENT EXPIRATION DATE WE SEND YOU A NOTICE BY REGISTERED MAIL OR OVERNIGHT COURIER SERVICE AT THE ABOVE ADDRESS (OR ANY OTHER ADDRESS INDICATED BY YOU, IN A WRITTEN NOTICE TO US THE RECIEPT OF WHICH WE HAVE ACKNOWLEDGED, AS THE ADDRESS TO WHICH WE SHOULD SEND SUCH NOTICE) THAT THIS LETTER OF CREDIT WILL NOT BE EXTENDED BEYOND THE CURRENT EXPIRATION DATE. IN NO EVENT SHALL THIS LETTER OF CREDIT BE AUTOMATICALLY EXTENDED BEYOND       , 20 [INSERT A FINAL EXPIRY DATE].

THIS LETTER OF CREDIT IS TRANSFERABLE IN WHOLE BUT NOT IN PART ONE OR MORE TIMES, BUT IN EACH INSTANCE ONLY TO A SINGLE BENEFICIARY AS TRANSFEREE AND FOR THE THEN AVAILABLE AMOUNT, ASSUMING SUCH TRANSFER TO SUCH TRANSFEREE WOULD BE IN COMPLIANCE WITH THEN APPLICABLE LAW AND REGULATION, INCLUDING BUT NOT LIMITED TO THE REGULATIONS OF THE U.S. DEPARTMENT OF TREASURY AND U.S. DEPARTMENT OF

COMMERCE. AT THE TIME OF TRANSFER, THE ORIGINAL LETTER OF CREDIT AND ORIGINALS OR COPIES OF ALL AMENDMENTS, IF ANY, TO THIS LETTER OF CREDIT MUST BE SURRENDERED TO US AT OUR ADDRESS INDICATED IN THIS LETTER OF CREDIT TOGETHER WITH OUR TRANSFER FORM ATTACHED HERETO AS EXHIBIT B DULY EXECUTED. OUR TRANSFER FEE OF US$500.00 SHALL BE PAYABLE BY APPLICANT (PROVIDED THAT BENEFICIARY MAY, BUT SHALL NOT BE OBLIGATED TO, PAY SUCH FEES TO US ON BEHALF OF APPLICANT, AND SEEK REIMBURSEMENT THEREOF FROM APPLICANT) UNDER THIS LETTER OF CREDIT. IN CASE OF ANY TRANSFER UNDER THIS LETTER OF CREDIT, THE DRAFT AND ANY REQUIRED STATEMENT MUST BE EXECUTED BY THE TRANSFEREE AND WHERE THE BENEFICIARY’S NAME APPEARS WITHIN THIS STANDBY LETTER OF CREDIT, THE TRANSFEREE’S NAME IS AUTOMATICALLY SUBSTITUTED THEREFOR. ANY TRANSFER OF THE LETTER OF CREDIT MAY NOT CHANGE THE PLACE OR DATE OF EXPIRATION OF THE LETTER OF CREDIT FROM OUR ABOVE SPECIFIED OFFICE. EACH TRANSFER SHALL BE EVIDENCED BY EITHER (1) OUR ENDORSEMENT ON THE REVERSE OF THE LETTER OF CREDIT AND WE SHALL FORWARD THE ORIGINAL OF THE LETTER OF CREDIT SO ENDORSED TO THE TRANSFEREE OR (2) OUR ISSUING A REPLACEMENT LETTER OF CREDIT TO THE TRANSFEREE ON SUBSTANTIALLY THE SAME TERMS AND CONDITIONS AS THE TRANSFERRED LETTER OF CREDIT (IN WHICH EVENT THE TRANSFERRED LETTER OF CREDIT SHALL HAVE NO FURTHER EFFECT).

 

4


WE HEREBY AGREE WITH YOU THAT IF DRAFTS ARE PRESENTED TO SILICON VALLEY BANK UNDER THIS LETTER OF CREDIT AT OR PRIOR TO 10:00 AM, ON A BUSINESS DAY, AND PROVIDED THAT SUCH DRAFTS PRESENTED CONFORM TO THE TERMS AND CONDITIONS OF THIS LETTER OF CREDIT, PAYMENT SHALL BE INITIATED BY US IN IMMEDIATELY AVAILABLE FUNDS BY OUR CLOSE OF BUSINESS ON THE NEXT SUCCEEDING BUSINESS DAY. IF DRAFTS ARE PRESENTED TO SILICON VALLEY BANK UNDER THIS LETTER OF CREDIT AFTER 10:00 AM, ON A BUSINESS DAY, AND PROVIDED THAT SUCH DRAFTS CONFORM WITH THE TERMS AND CONDITIONS OF THIS LETTER OF CREDIT, PAYMENT SHALL BE INITIATED BY US IN IMMEDIATELY AVAILABLE FUNDS BY OUR CLOSE OF BUSINESS ON THE SECOND SUCCEEDING BUSINESS DAY. AS USED IN THIS LETTER OF CREDIT, “BUSINESS DAY” SHALL MEAN ANY DAY OTHER THAN A SATURDAY, SUNDAY OR A DAY ON WHICH BANKING INSTITUTIONS IN THE STATE OF CALIFORNIA ARE AUTHORIZED OR REQUIRED BY LAW TO CLOSE. IF THE EXPIRATION DATE FOR THIS LETTER OF CREDIT SHALL EVER FALL ON A DAY WHICH IS NOT A BUSINESS DAY THEN SUCH EXPIRATION DATE SHALL AUTOMATICALLY BE EXTENDED TO THE DATE WHICH IS THE NEXT BUSINESS DAY.

PRESENTATION OF A DRAWING UNDER THIS LETTER OF CREDIT MAY BE MADE ON OR PRIOR TO THE THEN CURRENT EXPIRATION DATE HEREOF BY HAND DELIVERY, COURIER SERVICE, OVERNIGHT MAIL, AT OUR OFFICE (THE “BANK’S OFFICE”) AT: SILICON VALLEY BANK, 3003 TASMAN DRIVE, MAIL SORT HF 210, SANTA CLARA, CA 95054, ATTENTION: GLOBAL TRADE FINANCE.

FACSIMILE PRESENTATIONS ARE ALSO PERMITTED. SHOULD BENEFICIARY WISH TO MAKE A PRESENTATION UNDER THIS LETTER OF CREDIT ENTIRELY BY FACSIMILE TRANSMISSION IT NEED NOT TRANSMIT THE ORIGINAL OF THIS LETTER OF CREDIT AND AMENDMENTS, IF ANY. EACH FACSIMILE TRANSMISSION SHALL BE MADE AT: (408) 496-2418 OR (408) 969-6510; AND UNDER CONTEMPORANEOUS TELEPHONE ADVICE TO: (408) 450-5001 OR (408) 654-7176, ATTENTION: GLOBAL TRADE FINANCE. ABSENCE OF THE AFORESAID TELEPHONE ADVICE SHALL NOT AFFECT OUR OBLIGATION TO HONOR ANY DRAW REQUEST.

WE HEREBY ENGAGE WITH YOU THAT DRAFT(S) DRAWN AND/OR DOCUMENTS PRESENTED UNDER AND IN ACCORDANCE WITH THE TERMS AND CONDITIONS OF THIS LETTER OF CREDIT SHALL BE DULY HONORED UPON PRESENTATION TO SILICON VALLEY BANK, IF PRESENTED ON OR BEFORE THE EXPIRATION DATE OF THIS LETTER OF CREDIT.

IF THE ORIGINAL OF THIS STANDBY LETTER OF CREDIT NO. SVBSF        IS LOST, STOLEN OR DESTROYED, WE WILL ISSUE YOU A “CERTIFIED TRUE COPY” OF THIS STANDBY LETTER OF CREDIT NO. SVBSF

 

5


       UPON OUR RECEIPT OF YOUR INDEMNITY LETTER TO SILICON VALLEY BANK WHICH WILL BE SENT TO YOU UPON OUR RECEIPT OF YOUR WRITTEN REQUEST THAT THIS STANDBY LETTER OF CREDIT NO. SVBSF IS LOST, STOLEN, OR DESTROYED.

IF ANY INSTRUCTIONS ACCOMPANYING A DRAWING UNDER THIS LETTER OF CREDIT REQUEST THAT PAYMENT IS TO BE MADE BY TRANSFER TO YOUR ACCOUNT WITH ANOTHER BANK, WE WILL ONLY EFFECT SUCH PAYMENT BY WIRE TO A U.S. REGULATED BANK, AND WE AND/OR SUCH OTHER BANK MAY RELY ON AN ACCOUNT NUMBER SPECIFIED IN SUCH INSTRUCTIONS EVEN IF THE NUMBER IDENTIFIES A PERSON OR ENTITY DIFFERENT FROM THE INTENDED PAYEE.

EXCEPT SO FAR AS OTHERWISE EXPRESSLY STATED HEREIN, THIS STANDBY LETTER OF CREDIT IS SUBJECT TO THE “INTERNATIONAL STANDBY PRACTICES” (ISP 98) INTERNATIONAL CHAMBER OF COMMERCE (PUBLICATION NO. 590).

IF YOU HAVE ANY QUESTIONS REGARDING THIS TRANSACTION, PLEASE CONTACT:         AT 408-        , ALWAYS QUOTING OUR LETTER OF CREDIT NO.SVBSF.

 

SILICON VALLEY BANK

[BANK USE]

AUTHORIZED SIGNATURE

  

[BANK USE]

AUTHORIZED SIGNATURE

 

6


EXHIBIT “A”

DATE:                          REF. NO.           

AT SIGHT OF THIS DRAFT

PAY TO THE ORDER OF            US$           

USDOLLARS             

DRAWN UNDER SILICON VALLEY BANK, SANTA CLARA, CALIFORNIA, STANDBY LETTER OF CREDIT NUMBER NO.          DATED          

 

TO:    SILICON VALLEY BANK   
   3003 TASMAN DRIVE,   
   MAIL SORT HF210   

 

   SANTA CLARA, CA 95054    (BENEFICIARY’S NAME)
     

      Authorized Signature

GUIDELINES TO PREPARE THE DRAFT

 

1.

DATE: ISSUANCE DATE OF DRAFT.

2.

REF. NO.: BENEFICIARY’S REFERENCE NUMBER, IF ANY.

3.

PAY TO THE ORDER OF: NAME OF BENEFICIARY AS INDICATED IN THE L/C (MAKE SURE BENEFICIARY ENDORSES IT ON THE REVERSE SIDE).

4.

US$: AMOUNT OF DRAWING IN FIGURES.

5.

USDOLLARS: AMOUNT OF DRAWING IN WORDS.

6.

LETTER OF CREDIT NUMBER: SILICON VALLEY BANK’S STANDBY L/C NUMBER THAT PERTAINS TO THE DRAWING.

7.

DATED: ISSUANCE DATE OF THE STANDBY L/C.

8.

BENEFICIARY’S NAME: NAME OF BENEFICIARY AS INDICATED IN THE L/C.

9.

AUTHORIZED SIGNATURE: SIGNED BY AN AUTHORIZED SIGNER OF BENEFICIARY.

IF YOU HAVE QUESTIONS RELATED TO THIS STANDBY LETTER OF CREDIT PLEASE CONTACT US AT            .


EXHIBIT B

FORM OF TRANSFER FORM

DATE:                

 

TO:  SILICON VALLEY BANK

3003 TASMAN DRIVE, MAIL SORT: HF210

ATTN: GLOBAL TRADE FINANCE

  

RE: IRREVOCABLE STANDBY LETTER OF CREDIT NO.       ISSUED BY SILICON VALLEY BANK, SANTA CLARA, CA 95054 SANTA CLARA

L/C AMOUNT:      

 

GENTLEMEN:

FOR VALUE RECEIVED, THE UNDERSIGNED BENEFICIARY HEREBY IRREVOCABLY TRANSFERS TO:

 

 

(NAME OF TRANSFEREE)

 

 

(ADDRESS)

ALL RIGHTS OF THE UNDERSIGNED BENEFICIARY TO DRAW UNDER THE ABOVE LETTER OF CREDIT UP TO ITS AVAILABLE AMOUNT AS SHOWN ABOVE AS OF THE DATE OF THIS TRANSFER.

BY THIS TRANSFER, ALL RIGHTS OF THE UNDERSIGNED BENEFICIARY IN SUCH LETTER OF CREDIT ARE TRANSFERRED TO THE TRANSFEREE. TRANSFEREE SHALL HAVE THE SOLE RIGHTS AS BENEFICIARY THEREOF, INCLUDING SOLE RIGHTS RELATING TO ANY AMENDMENTS, WHETHER INCREASES OR EXTENSIONS OR OTHER AMENDMENTS, AND WHETHER NOW EXISTING OR HEREAFTER MADE. ALL AMENDMENTS ARE TO BE ADVISED DIRECTLY TO THE TRANSFEREE WITHOUT NECESSITY OF ANY CONSENT OF OR NOTICE TO THE UNDERSIGNED BENEFICIARY.

THE ORIGINAL OF SUCH LETTER OF CREDIT IS RETURNED HEREWITH, AND WE ASK YOU TO EITHER (1) ENDORSE THE TRANSFER ON THE REVERSE THEREOF, AND FORWARD IT DIRECTLY TO THE TRANSFEREE WITH YOUR CUSTOMARY NOTICE OF TRANSFER, OR (2) ISSUE A REPLACEMENT LETTER OF CREDIT TO THE TRANSFEREE ON SUBSTANTIALLY THE SAME TERMS AND CONDITIONS AS THE TRANSFERRED LETTER OF CREDIT (IN WHICH EVENT THE TRANSFERRED LETTER OF CREDIT SHALL HAVE NO FURTHER EFFECT).


     SIGNATURE AUTHENTICATED
 

SINCERELY,

(BENEFICIARY’S NAME)

    

The name(s), title(s), and signature(s) conform to that/those on file with us for the company and the signature(s) is/are authorized to execute this instrument.

 

 

    

 

(SIGNATURE OF BENEFICIARY)      (Name of Bank)
 

 

    

 

(NAME AND TITLE)      (Address of Bank)
 
    

 

     (City, State, ZIP Code)
 
    

 

     (Authorized Name and Title)
 
    

 

     (Authorized Signature)
 
    

 

     (Telephone number)

 

9


LEASE

THE COVE AT OYSTER POINT

HCP OYSTER POINT III LLC,

a Delaware limited liability company,

as Landlord,

and

MAZE THERAPEUTICS, INC.,

a Delaware corporation,

as Tenant.


TABLE OF CONTENTS

 

      Page
1.    PREMISES, BUILDING, PROJECT, AND COMMON AREAS    5
2.    LEASE TERM; OPTION TERM    7
3.    BASE RENT    10
4.    ADDITIONAL RENT    11
5.    USE OF PREMISES    19
6.    SERVICES AND UTILITIES    25
7.    REPAIRS    27
8.    ADDITIONS AND ALTERATIONS    29
9.    COVENANT AGAINST LIENS    31
10.    INSURANCE    32
11.    DAMAGE AND DESTRUCTION    34
12.    NONWAIVER    36
13.    CONDEMNATION    36
14.    ASSIGNMENT AND SUBLETTING    37
15.    SURRENDER OF PREMISES; OWNERSHIP AND REMOVAL OF TRADE FIXTURES    42
16.    HOLDING OVER    43
17.    ESTOPPEL CERTIFICATES    43
18.    SUBORDINATION    44
19.    DEFAULTS; REMEDIES    45
20.    COVENANT OF QUIET ENJOYMENT    48
21.    LETTER OF CREDIT    48
22.    COMMUNICATIONS AND COMPUTER LINE    52
23.    SIGNS    53
24.    COMPLIANCE WITH LAW    54
25.    LATE CHARGES    55
26.    LANDLORD’S RIGHT TO CURE DEFAULT; PAYMENTS BY TENANT    55
27.    ENTRY BY LANDLORD    56
28.    TENANT PARKING    56
29.    MISCELLANEOUS PROVISIONS    57

EXHIBITS

 

A    OUTLINE OF PREMISES
B    TENANT WORK LETTER
C    FORM OF NOTICE OF LEASE TERM DATES
D    FORM OF TENANT’S ESTOPPEL CERTIFICATE
E    ENVIRONMENTAL QUESTIONNAIRE
F    FORM OF LETTER OF CREDIT

 

(i)


INDEX

 

     Page(s)  
Abatement Event      34  
Accountant      14  
Advocate Arbitrators      7  
Alterations      21  
Base Building      39  
Base Rent      8  
Brokers      44  
Building      4  
Common Areas      5  
Comparable Buildings      6  
Comparable Transactions      6  
Concessions      6  
Contemplated Effective Date      29  
Contemplated Transfer Space      29  
Direct Expenses      8  
Eligibility Period      34  
Estimate      13  
Estimate Statement      13  
Estimated Direct Expenses      13  
Expense Year      8  
Fair Rental Value,      6  
Force Majeure      43  
Intention to Transfer Notice      29  
Landlord      1  
Landlord Parties      23  
L-C      35  
L-C Amount      35  
Lease      1  
Lease Commencement Date      6  
Lease Expiration Date      6  
Lease Term      6  
Lease Year      6  
Lines      38  
Mail      43  
Management Fee Cap      11  
Net Worth      30  
Neutral Arbitrator      7  
Nine Month Period      29  
Notices      43  
Objectionable Name      39  
Operating Expenses      9  
Option Rent      6  
Original Improvements      24  

 

(ii)


Outside Agreement Date      7  
Permitted Occupant Space      30  
Permitted Occupants      30  
Premises      4  
Project,      4  
Secured Areas      41  
Sign Specifications      39  
Specialty Improvements      22  
Statement      12  
Subject Space      27  
Summary      1  
Tax Expenses      11  
Tenant      1  
Tenant Work Letter      4  
Tenant’s Accountant      13  
Tenant’s Share      12  
Transfer Notice      27  
Transferee      27  

 

(iii)

EX-10.7

Exhibit 10.7

CONSULTING AGREEMENT

This Consulting Agreement (the “Agreement”) is made and entered into by and between Maze Therapeutics, Inc. a Delaware corporation, having a place of business at 131 Oyster Point Blvd, Suite 200, South San Francisco, CA 94080 (the “Company”), and Charles Homcy, an individual (“Consultant”), having a primary address of effective as of November 1, 2019 (“Effective Date”).

RECITALS

Whereas, Consultant has unique skills and knowledge in the Company’s field of endeavor and thus is well suited to advise the Company with respect to its research and development.

Whereas, the Company desires that Consultant advise and consult with the Company in the research, development and analysis of technology relating to the Company’s research and product development efforts, and Consultant agrees to provide such assistance to the Company through a consulting relationship with the Company, subject to and in accordance with the terms and conditions of this Agreement.

Now Therefore, in consideration of the mutual obligations specified in this Agreement, the parties agree to the following:

1. CONSULTING SERVICES ENGAGEMENT. The Company hereby retains Consultant, and Consultant hereby accepts such retention, to perform consulting services for the Company as set forth herein.

1.1 Scope. Consultant shall provide advice and consulting services (“Services”) to the Company as requested from time to time during the term. The specific nature and amount of the Services to be performed shall be determined by the Company during the term of this Agreement.

1.2 Performance and Time Commitment. Consultant shall render the Services at such times as may be mutually agreed upon by Consultant and the Company. Consultant shall perform the services at the Company’s principal place of business, and other Company location, or at other places upon mutual agreement of the parties.

1.3 Professional Standards. The manner and means used by Consultant to perform the Services desired by the Company are in the sole discretion and control of Consultant, subject to the terms of this Agreement. Consultant’s Services, and the results thereof, will be performed with and be the product of the highest degree of professional skill and expertise.

1.4 Independent Contractor Status. It is understood and agreed that Consultant is an independent contractor, is not an agent or employee of the Company, and is not authorized to act on behalf of the Company. Consultant agrees not to hold himself or herself out as, or give any person any reason to believe that he or she is, an employee, agent, joint venturer or partner of the Company. Consultant will not be eligible for any employee benefits, nor will the Company make deductions from any amounts payable to Consultant for taxes or insurance. All payroll and employment taxes, insurance, and benefits shall be the sole responsibility of Consultant. Consultant retains the right (as limited in Section 5) to provide services for others during the term of this Agreement and is not required to devote Consultant’s services exclusively for the Company.


1.5 Taxes and Employee Benefits. Consultant will report to all applicable government agencies as income all compensation received by Consultant pursuant to this Agreement. Consultant will be solely responsible for payment of all withholding taxes, social security, workers’ compensation, unemployment and disability insurance or similar items required by any government agency. Consultant will not be entitled to any benefits paid or made available by Company to its employees, including, without limitation, any vacation or illness payments, or to participate in any plans, arrangements or distributions made by Company pertaining to any bonus, stock option, profit sharing, insurance or similar benefits. Consultant will indemnify and hold Company harmless from and against all damages, liabilities, losses, penalties, fines, expenses and costs (including reasonable fees and expenses of attorneys and other professionals) arising out of or relating to any obligation imposed by law on Company to pay any withholding taxes, social security, unemployment or disability insurance or similar items in connection with compensation received by Consultant pursuant to this Agreement.

2. COMPENSATION.

2.1 Equity Compensation. Subject to approval by the Board of Directors of the Company (the “Board”), and as consideration for the Services, the Company will grant Advisor an option to purchase 150,000 shares of common stock of the Company, par value $0.001 per share (the “Common Stock”), under the Company’s 2019 Equity Incentive Plan, at a per share purchase price equal to the fair market value of a share of Common Stock as determined by the Board on the date of such grant. The option will vest as follows: half of the shares will vest on the first anniversary of Effective Date, and following that, 1/24th of the shares will vest on a monthly basis thereafter, subject to Consultant’s continued full-time employment on the relevant vesting dates. For the purposes of clarity, no shares will vest prior to Consultant’s commencement of employment with the Company and no rights to any vesting will be earned or accrued during the Services under this Agreement. Further, the board of directors of the Company shall accelerate the vesting of all of the then-unvested shares upon the consummation of a Sale Event; provided, however, that any and all acceleration and vesting of the Shares in connection with a Sale Event is conditioned upon Consultant’s continuing Service from the date hereof through the date of such Sale Event. A “Sale Event” means (i) the sale of all or substantially all of the assets of the Company on a consolidated basis to an unrelated person or entity, (ii) a merger, reorganization or consolidation pursuant to which the holders of the Company’s outstanding voting power immediately prior to such transaction do not own a majority of the outstanding voting power of the surviving or resulting entity (or its ultimate parent, if applicable), (iii) the acquisition of all or a majority of the outstanding voting stock of the Company in a single transaction or a series of related transactions by a person or entity or group of persons and/or entities, or (iv) any other acquisition of the business of the Company, as determined by the board of directors; provided, however, that the Company’s Initial Public Offering, any subsequent public offering or any other capital raising event, public or private, or a merger effected solely to change the Company’s domicile shall not constitute a “Sale Event.”

 

2


2.2 Cash Compensation. As compensation for Consultant’s services and the discharge of all Consultant’s obligations hereunder, the Company will pay Consultant a consulting fee of $240,000 per year, payable monthly in arrears.

3. EXPENSES. The Company shall reimburse Consultant for expenses actually incurred by Consultant in performing the Services, including but not limited to travel and accommodation expenses, so long as such expenses are reasonable and necessary as determined by the Company. Consultant shall maintain adequate books and records relating to any expenses to be reimbursed and shall submit requests for reimbursement in a timely manner and form acceptable to the Company.

4. MAINTAINING CONFIDENTIAL INFORMATION.

4.1 Company Information. During the term of this Agreement and in the course of Consultant’s performance hereunder, Consultant may receive or otherwise be exposed to confidential and proprietary information relating to the Company’s technology know-how, data, inventions, developments, plans business practices, and strategies. Such confidential and proprietary information of the Company (collectively referred to as “Information”) may include but not be limited to: (i) confidential and proprietary information supplied to Consultant with the legend “Confidential” or equivalent; (ii) the Company’s marketing and customer support strategies, financial information (including sales, costs, profits and pricing methods), internal organization, employee information, and customer lists; (iii) the Company’s technology, including, but not limited to, discoveries, inventions, research and development efforts, data, software, trade secrets, processes, samples, media and/or cell lines (and procedures and formulations for producing any such samples, media and/or cell lines), vectors, viruses, assays, plasmids, formulas, methods, product and know-how and show-how; (iv) all derivatives, improvements, additions, modifications, and enhancements to any of the above, including any such information or material created or developed by Consultant under this Agreement; (v) information of third parties as to which the Company has an obligation of confidentiality; or (vi) the terms and conditions of this Agreement.

Consultant acknowledges the confidential and secret character of the Information and agrees that the Information is the sole, exclusive and extremely valuable property of the Company. Accordingly, Consultant agrees not to reproduce any of the Information without the applicable prior written consent of the Company, not to use the Information except in the performance of this Agreement, and not to disclose all or any part of the Information in any form to any third party, either during or after the term of this Agreement. Upon termination of this Agreement for any reason, including expiration of term, Consultant agrees to cease using and to return to the Company all whole and partial copies and derivatives of the Information, whether in Consultant’s possession or under Consultant’s direct or indirect control. Consultant agrees to take all actions reasonably necessary to protect the confidentiality of all Information. Consultant’s obligations of confidentiality and non-use contained in this Section 4 herein shall survive any termination or expiration of this agreement for a period of seven (7) years thereafter. Nothing in this Section 4 or otherwise in this Agreement shall limit or restrict in any way Consultant’s immunity from liability for disclosing Company’s trade secrets as specifically permitted by 18 U.S. Code Section 1833, the pertinent provisions of which are attached hereto as Exhibit A.

 

3


4.2 Other Employer Information. Consultant agrees that Consultant will not, during Consultant’s engagement with the Company, improperly use or disclose any proprietary information or trade secrets of Consultant’s former or concurrent employers or companies, if any, and that Consultant will not bring onto the premises of the Company any unpublished documents or any property belonging to Consultant’s former or concurrent employers or companies unless consented to in writing by said employers or companies.

4.3 Third Party Information. Consultant recognizes that the Company has received and in the future will receive from third parties their confidential or proprietary information subject to a duty on the Company’s part to maintain the confidentiality of such information and, in some cases, to use it only for certain limited purposes. Consultant agrees that he or she owes the Company and such third parties, both during the term of Consultant’s engagement and thereafter, a duty to hold all such confidential or proprietary information in the strictest confidence and not to disclose it to any person, firm or corporation (except in a manner that is consistent with the Company’s agreement with the third party) or use it for the benefit of anyone other than the Company or such third party (consistent with the Company’s agreement with the third party).

5. INVENTIONS.

5.1 Disclosure of Inventions. Consultant shall promptly and fully disclose to the Company any and all ideas, improvements, inventions, know-how, techniques, works of authorship and other materials of any kind learned, conceived or developed by Consultant, alone or jointly with others, pursuant to Consultant’s performance of the Services for the Company or that result from or that are related to such Services, whether or not they are eligible for patent, copyright, mask work, trade secret, trademark or other legal protection or of tasks assigned to Consultant by the Company hereunder (the “Service Product”). Consultant agrees to keep and maintain adequate and current records (in the form of notes, sketches, drawings or in any other form that may be required by the Company) of all work performed relating to the Services, including all proprietary information developed relating thereto, and such records shall be available to and remain the sole property of the Company at all times.

5.2 Inventions Assigned to the Company. Consultant agrees that any and all Service Product shall be the sole and exclusive property of the Company. Consultant hereby assigns to the Company all Consultant’s right, title and interest in and to any and all Service Product. Consultant explicitly acknowledges and agrees that all works of authorship contained in the Service Product are “works for hire” under the copyright laws of the United States, and that the Company shall own the copyright in all such works of authorship.

Consultant further agrees that the Company is and shall be vested with all rights, title and interests, including patent, copyright, trade secret and trademark rights, in all of Consultant’s Service Product under this Agreement.

5.3 Moral Rights. To the fullest extent permitted by applicable law, Consultant also hereby irrevocably transfers and assigns to Company, and agrees to irrevocably transfer and assign to Company, and waives and agrees never to assert, any and all “moral rights,” including any rights to claim authorship of a work, to object to or prevent the modification or destruction of a work, to withdraw from circulation or control the publication or distribution of a work, and any similar right, existing under judicial or statutory law of any country in the world, or under any treaty, regardless of whether or not such right as called or generally referred to as a “moral right,” that Consultant may have in or with respect to any Service Product, during and after the term of this Agreement.

 

4


5.4 Related Rights. To the extent that Consultant owns or controls (presently or in the future) any “related rights,” including patent rights, copyright rights, mask work rights, trade secret rights, or any other intellectual property or proprietary rights that may block or interfere with, or may otherwise be required for, the exercise by Company of the rights assigned to Company under this Agreement, Consultant hereby grants or will cause to be granted to Company a non- exclusive, royalty-free, irrevocable, perpetual, transferable, worldwide license (with the right to sublicense) to make, have made, use, offer to sell, sell, import, copy, modify, create derivative works based upon, distribute, sublicense, display, perform and transmit any products, software, hardware, methods or materials of any kind that are covered by such related rights, to the extent necessary to enable Company to exercise all of the rights assigned to Company under this Agreement.

5.5 Obtaining Intellectual Property Protection. Consultant agrees to assist the Company in every proper way to obtain and enforce United States and foreign proprietary rights relating to the Service Product in any and all countries. To that end, Consultant agrees to execute, verify and deliver such documents and perform such other acts (including appearing as a witness) as the Company may reasonably request for use in applying for, obtaining, perfecting, evidencing, sustaining and enforcing such proprietary rights and the assignment thereof. In addition, Consultant agrees to execute, verify and deliver assignments of such proprietary rights to the Company or its designee. Consultant’s obligation to assist the Company with respect to proprietary rights in any and all countries shall continue beyond the termination of Consultant’s engagement, but the Company shall compensate Consultant at a reasonable rate after such termination for the time actually spent by Consultant at the Company’s request on such assistance.

In the event the Company is unable for any reason, after reasonable effort, to secure Consultant’s signature on any document needed in connection with the actions specified in the preceding paragraph, Consultant hereby irrevocably designates and appoints the Company and its duly authorized officers and agents as Consultant’s agent and attorney in fact, to act for and on Consultant’s behalf to execute, verify and file, with the same legal force and effect as if executed by Consultant, any such documents and to do all other lawfully permitted acts to further the purposes of the preceding paragraph. Consultant hereby waives and quitclaims to the Company any and all claims of any nature whatsoever which Consultant now or may hereafter have for infringement of any proprietary rights assigned to the Company.

6. WARRANTIES.

6.1 No Pre-existing Obligations. Consultant represents and warrants that Consultant has no pre-existing obligations or commitments (and will not assume or otherwise undertake any obligations or commitments) that would be in conflict or inconsistent with or that would hinder Consultant’s performance of its obligations under this Agreement.

 

5


6.2 Non-infringement. Consultant represents and warrants that the Service Product will not infringe, misappropriate or violate the rights of any third party, including, without limitation, any all worldwide patent rights (including patent applications and disclosures), copyright rights, mask work rights, trade secret rights, know-how, and any and all other intellectual property or proprietary rights or any rights of privacy or rights of publicity, except to the extent any portion of the Service Product is created, developed or supplied by Company or by a third party on behalf of Company.

7. TERM AND TERMINATION. This Agreement will commence on the Effective Date and, unless terminated earlier in accordance with the terms of this Agreement, will remain in force and effect for as long as Consultant is performing Services pursuant to this Agreement. Either party may terminate this Agreement at any time, for any reason or no reason, upon at least ten (10) days written notice to the other party, except, upon either party’s material breach of the terms of this Agreement, the non-breaching party may terminate this Agreement with immediate effect upon written notice to the breaching party. In the event of any termination, Consultant shall cease work immediately after giving or receiving such notice or termination, unless otherwise advised by the Company, shall return to the Company all Information, Service Product, and other materials belonging to the Company, and shall notify the Company of costs incurred up to the termination date. Sections 8, 9 and 10 of this Agreement shall survive any termination of this Agreement. Unless earlier terminated as provided herein, this Agreement shall expire on the date Consultant commences employment with the Company.

8. COMPLIANCE WITH APPLICABLE LAWS. Consultant warrants that all material supplied and work performed under this Agreement complies with or will comply with all applicable United States and foreign laws and regulations.

9. ASSIGNMENT; BENEFIT. This Agreement is for the personal services of Consultant and may not be assigned by Consultant, nor shall it be assignable by operation of law, without the prior written consent of the Company. This Agreement may be assigned at any time by the Company. The parties’ rights and obligations under this Agreement will bind and inure to the benefit of their respective successors, heirs, executors, and administrators and permitted assigns.

10. INDEMNIFICATION. The Company agrees to indemnify and hold harmless Consultant against any liability, damages, loss or expense (including reasonable attorney fees and expenses of litigation) based on any third party claims or action arising out of the actions of the Company, its employees or any third party acting on behalf or under authorization from the Company in the performance of this Agreement or as a result of any products developed or made as a result of information or materials received from Consultant, except to the extent that such claim or action results from the negligent or intentionally wrongful acts of Consultant.

11. LEGAL AND EQUITABLE REMEDIES. Consultant hereby acknowledges and agrees that in the event of any breach of this Agreement by Consultant, including, without limitation, the actual or threatened disclosure of Information or Service Product without the prior express written consent of the Company, the Company will suffer an irreparable injury, such that no remedy at law will afford it adequate protection against, or appropriate compensation for, such injury. Accordingly, Consultant hereby agrees that the Company shall be entitled to specific performance of Consultant’s obligations under this Agreement, as well as such further relief as may be granted by a court of competent jurisdiction.

 

6


12. GOVERNING LAW; SEVERABILITY; WAIVER. This Agreement shall be governed by and construed according to the laws of the State of California, without giving effect to any conflict of laws rules that would require application of other laws. If any provision of this Agreement is found by a court of competent jurisdiction to be unenforceable, that provision shall be severed and the remainder of this Agreement shall continue in full force and effect. The failure by either party to enforce any provision of this Agreement will not constitute a waiver of future enforcement of that or any other provision.

13. ATTORNEYS’ FEES. If any action is necessary to enforce the terms of this Agreement, the substantially prevailing party will be entitled to reasonable attorneys’ fees, costs and expenses in addition to any other relief to which such prevailing party may be entitled.

14. COMPLETE UNDERSTANDING; MODIFICATION. This Agreement, together with its Exhibit, constitutes the final, exclusive and complete understanding and agreement of the Company and Consultant with respect to the subject matter hereof. Any waiver, modification or amendment of any provision of this Agreement shall be effective only if in writing and signed by a Company officer.

15. NOTICES; COUNTERPARTS. Any notices required or permitted hereunder shall be given to the appropriate party at the address specified below or at such other address as the party shall specify in writing. Such notice shall be deemed given upon personal delivery to the appropriate address or sent by certified or registered mail, three days after the date of mailing. This Agreement may be executed in counterparts, each of which will be deemed an original, but all of which together will constitute one and the same instrument.

 

If to the Company:    If to the Consultant:
Attn: Head of Legal    Attn: Charles Homcy
CC: Requestor Title    Address noted in preamble

131 Oyster Point Blvd, Suite 200

South San Francisco, CA 94080

  

 

7


IN WITNESS WHEREOF, the parties hereto have executed this Agreement as of the date first set forth above.

 

MAZE THERAPEUTICS, INC.     CONSULTANT FULL NAME
By:  

/s/ Jason Coloma

    By:  

/s/ Charles Homcy

Name: Jason Coloma     Name: Charles Homcy
Title: Chief Executive Officer     Title: Consultant


EXHIBIT A

DEFEND TRADE SECRETS ACT, 18 U.S. CODE § 1833 NOTICE:

18 U.S. Code Section 1833 provides as follows:

Immunity From Liability For Confidential Disclosure Of A Trade Secret To The Government Or In A Court Filing. An individual shall not be held criminally or civilly liable under any Federal or State trade secret law for the disclosure of a trade secret that (A) is made, (i) in confidence to a Federal, State, or local government official, either directly or indirectly, or to an attorney; and (ii) solely for the purpose of reporting or investigating a suspected violation of law; or (B) is made in a complaint or other document filed in a lawsuit or other proceeding, if such filing is made under seal.

Use of Trade Secret Information in Anti-Retaliation Lawsuit. An individual who files a lawsuit for retaliation by an employer for reporting a suspected violation of law may disclose the trade secret to the attorney of the individual and use the trade secret information in the court proceeding, if the individual (A) files any document containing the trade secret under seal; and (B) does not disclose the trade secret, except pursuant to court order.

EX-10.8

Exhibit 10.8

MAZE THERAPEUTICS, INC.

ADVISOR AGREEMENT

THIS ADVISOR AGREEMENT (this “Agreement”) is made and entered into as of July 1, 2021 by and between Richard Scheller, an individual (“Advisor”), whose address is set forth on the last page below, and Maze Therapeutics, Inc., a Delaware corporation (the “Company”), whose address is set forth on the last page below.

The Company and Advisor agree as follows:

Section 1. Services. The Company hereby engages Advisor to provide to the Company, and Advisor agrees to provide to the Company under the terms and conditions of this Agreement, the services described on Exhibit A attached hereto and incorporated herein by reference and such other services for which the parties may mutually agree from time to time (hereinafter the “Services”). Advisor agrees to make herself available to render the Services at such times and locations as may be mutually agreed, from time to time, as requested by the Company. Advisor’s title shall be “Special Advisor” and “Member of Scientific Advisory Board” for so long as he is providing the Services.

Section 2. Compensation.

(a) Advisor shall receive $60,000 annually, payable in equal monthly payments. Advisor shall invoice the Company monthly, setting forth in such reasonable detail as may be required by the Company the actual Services rendered and time spent thereon, as well as any expenses incurred in accordance with Section 3 of this Agreement for which reimbursement is sought. All undisputed payments will be made by Company within forty-five (45) days from Company’s receipt of Advisor’s invoice.

(b) Subject to approval by the Board of Directors of the Company (the “Board”), and as consideration for the Services, the Company will grant Advisor 78,185 options to purchase shares of common stock of the Company, par value $0.001 per share (the “Common Stock”), under the Company’s 2019 Equity Incentive Plan, at a per share purchase price equal to the fair market value of a share of Common Stock as determined by the Board on the date of such grant. One twelfth (1/12) of the shares will vest monthly over the one-year period immediately following the date of grant, subject to Advisor’s continued performance of the Services with the Company. In consideration for the Services provided to the Company, Advisor shall also receive cash compensation in the manner set forth on Exhibit A attached hereto.

Section 3. Expenses. The Company shall reimburse Advisor for reasonable necessary out-of-pocket expenses incurred by Advisor in the performance of the Services, provided such out-of-pocket expenses are approved in advance by an officer of the Company, and are supported by reasonable documentation. Such expenses shall include travel expenses of Advisor to the Company’s offices. Where travel expenses shall include the cost of airfare, Advisor shall obtain approval in advance by an officer of the Company.


Section 4. Independent Contractor. Advisor is not, nor shall Advisor be deemed to be at any time during the term of this Agreement, an employee of the Company, and therefore Advisor shall not be entitled to any benefits provided by the Company to its employees (including such items as health and disability benefits). Advisor’s status and relationship with the Company shall be that of an independent contractor and consultant. Advisor shall not state or imply, directly or indirectly, that Advisor is empowered to bind the Company without the Company’s prior written consent. Nothing herein shall create, expressly or by implication, a partnership, joint venture or other association between the parties. Advisor will be solely responsible for payment of all charges and taxes arising from his or her relationship to the Company as an Advisor.

Section 5. Cancellation of Services. Either party may at any time terminate the performance of all or any portion of the Services to be provided hereunder upon thirty (30) days prior written notice to the other stating its intention to terminate and specifying the portion of the Services to be terminated and the date upon which such termination shall be effective.

Section 6. Term of Agreement; Termination. The term of this Agreement and Advisor’s Services hereunder shall commence as of the date of this Agreement and, unless terminated earlier as a result of the death, physical incapacity or mental incompetence of Advisor, which shall result in automatic termination, or pursuant to Section 5 of this Agreement, shall continue in effect for a period of one (1) year commencing on the date of this Agreement (the “Initial Term”). The term of this Agreement shall automatically be extended beyond the Initial Term for one or more additional year periods (individually, an “Additional Term”), unless either party desires not to extend the term of this Agreement for an Additional Term, in which case such party shall give the other party at least thirty (30) days’ prior written notice of the intention not to extend the Agreement for an Additional Term. Except as otherwise explicitly provided herein, the provisions of Sections 7 through 18 of this Agreement shall survive the termination or expiration of this Agreement for any reason.

Section 7. Representations and Warranties of Advisor. Advisor represents and warrants to the Company that:

(i) with respect to any information, know-how, knowledge or data disclosed by Advisor to the Company in the performance of this Agreement, Advisor has the full and unrestricted right to disclose the same; and

(ii) the provision of Services by Advisor to the Company does not and will not breach any agreement with any employer, former employer or other third party, including any noncompete agreement or any agreement to keep in confidence or refrain from using information acquired by Advisor prior to her Services to the Company, and Advisor has not entered into, and will not enter into, any agreement, either written or oral, in conflict with her obligations under this Agreement.

 

2


Section 8. Covenants of Advisor.

(a) Except as provided in Section 17 hereof, Advisor agrees that during the term of this Agreement, Advisor shall not become employed by or perform consulting or advisory services, which includes serving as a member of another scientific advisory board, for any person, association, company, entity or other for profit organization (any of the foregoing, the “Activities”) that is, or, as a result of such Activities, would become, a competitor in the Field (as defined in Section 9 below) or otherwise would create for Advisor a conflict of interest with Advisor’s obligations to the Company. Advisor has listed on Exhibit B any person, association, company, entity or other organization (whether for profit or not for profit) that Advisor currently performs consulting or advisory services for and agrees to notify the Company in advance of any new consulting or advisory services engagements, other than ad hoc consultation, to allow the Company to verify that there are no conflicts between Advisor’s Activities and those of the Company. After receipt of such notice from Advisor or upon learning of any such Activities, the Company shall have the right, but not the obligation, to terminate this Agreement and Advisor’s relationship with the Company for convenience, and such termination will be deemed effective from the day such notice was provided to the Company or, if Advisor provided no notice, from the time Advisor commenced the Activities. For the avoidance of doubt, the parties agree that nothing in this Section 8 prohibits Advisor from engaging in academic or non-profit research work in collaboration with academic or for- profit institutions. Advisor agrees that he shall not use any of Institution’s (as defined below) funding, materials or facilities in the creation or development of any intellectual property rights or other similar, corresponding or equivalent rights of the Company, including, without limitation, patents and patent applications (“Company Intellectual Property”). Advisor agrees that he will not perform services for any Institution which will vest any right, title or interest of such Institution in or to any Company Intellectual Property. Advisor is not, nor will become, party to any contract, license or agreement with any Institution that grants to such entity any right or license with respect to Company Intellectual Property. For the purposes hereof, “Institution” means any governmental entity, educational institution (including any university or college), research center or not-for-profit institution.

(b) During Advisor’s provision of Services to the Company, Advisor will not improperly make use of, or disclose, any information or trade secrets of any former or concurrent employer or other third party, nor will Advisor bring onto the premises of Company or use any unpublished documents or any property belonging to any concurrent or former employer or other third party, in violation of any lawful agreements with that former or concurrent employer or third party. Advisor will use in the delivery of the Services only information that is generally known and used by persons with training and experience comparable to her own, is common knowledge in the industry or otherwise legally in the public domain, or is otherwise provided or developed by Company.

(c) Advisor will comply with all laws and regulations applicable to Advisor’s obligations under this Agreement.

Section 9. Confidentiality. Advisor agrees to hold all Confidential Information (as hereinafter defined) of the Company (or other parties whose Confidential Information the Company has in its possession under obligations of confidentiality) in trust and strict confidence and, except as may be authorized by the Company in writing, shall not use for any purpose other than the performance of the Services under this Agreement, nor disclose such Confidential Information to any person, association, company, entity or other organization (whether for profit or not for profit).

 

3


As used herein, “Confidential Information” shall mean all knowledge and information which Advisor has acquired or may acquire as a result of, or related to, his or her relationship with the Company, including but not limited to, information concerning the Company’s business, finances, operations, strategic planning, research and development activities, products, molecules, organisms, laboratory materials, prototypes, cell lines, inventions, research developments, improvements, processes, trade secrets, services, cost and pricing policies, formulae, chemical structures, diagrams, schematics, notes, data, memoranda, methods, know- how, techniques, inventions, and marketing strategies. Confidential Information shall also include information received by the Company from third parties under an obligation of confidentiality. Notwithstanding the foregoing sentence, but subject to Section 10 hereof, such Confidential Information does not include (i) information which is or becomes publicly available (except as may be disclosed by Advisor in violation of this Agreement), (ii) information acquired by Advisor from a third-party source other than the Company or any of its employees, officers, directors, Scientific Advisory Board members, affiliates, agents or shareholders, which source legally acquired such information under no obligation of confidentiality, or (iii) information of a general nature regarding the Field known to Advisor prior to advising the Company or acquired by Advisor during the term hereof by reason of his or her other business activities; (iv) information that was or is independently developed by Advisor without reference to Company Confidential Information; or (vi) information that is required to be disclosed by law, regulation or judicial or administrative process. For the purposes hereof, the “Field” means target identification and target validation through the use of genetic tools in diseases of interest to the Company as detailed in Exhibit C and as subject to periodic revision as agreed upon in writing by Advisor and the Company.

Section 10. Ownership of Work Product. Advisor shall communicate in writing and disclose to the Company promptly and fully all concepts, inventions, formulae, molecules, chemical structures, organisms, trade secrets, know-how, technical or business innovations, writings or other works of authorship and patents or patent rights created, reduced to practice, or conceived by Advisor during the term of this Agreement (whether or not patentable or copyrightable and whether made solely by Advisor or jointly with others) which result from the Services that Advisor performs for the Company or which result from information derived from the Company or its employees, officers, directors, Scientific Advisory Board members, affiliates, agents or shareholders (all of the foregoing herein collectively and individually called “Works”). Advisor will perform Advisor’s obligations under this Section 10 without further compensation.

The Works are being created at the instance of the Company and shall be deemed to be “works made for hire” under the United States copyright laws, unless such laws are inapplicable by their specific terms. If such laws are inapplicable or in the event that the Works, or any part thereof, are determined by a court of competent jurisdiction not to be a work made for hire under the United States copyright laws, Advisor hereby irrevocably and unconditionally assigns and transfers and to the extent any such assignment cannot be made at present, will assign and transfer to the Company all Works, and this Agreement shall operate as an irrevocable and unconditional assignment by Advisor to the Company of, all of Advisor’s right, title and interest (including, without limitation all rights in and to the copyrights throughout the world, including the right to prepare derivative works and the right to all renewals and extensions) in the Works in perpetuity. The Company shall have the right to use the whole Works, any part or parts thereof, or none of the Works, in its sole discretion. All original material submitted by Advisor to the Company as part

 

4


of the Works or as part of the process of creating the Works shall be the property of the Company whether or not the Company uses such materials. No rights or licenses are reserved to or implied for Advisor in the Works or any such materials. At the Company’s request, Advisor shall promptly execute documents evidencing or in connection with the Company’s ownership or registration of the Works, including copyright ownership or registration, in accordance with the terms of this Agreement.

Advisor agrees to cooperate with the Company to perfect title to the Works, to execute or provide upon request any assignments, applications for letters patent of the United States, letters patent, any legal equivalent thereof of any foreign country or any other lawful documents and likewise to perform any other lawful acts which may be deemed necessary to secure fully the Works to the Company, its successors, assigns, and legal representatives, but at its or their expense and charge, including the execution of applications for patents in foreign countries, and the execution of substitution, reissue, divisional or continuation applications, and/or preliminary or other statements and the giving of testimony in any interference or other proceeding in which the Works or any application or patent directed thereto may be involved.

Section 11. The Company Data. Any data or other materials furnished by the Company for use by Advisor in connection with the Services (“Company Data”) shall remain the sole property of the Company and will be held in trust and confidence by Advisor in accordance with Section 9, as Confidential Information.

The Company may require the return of Company Data furnished to Advisor upon written notice to Advisor requesting such return, and in any event Advisor shall promptly return such Company Data upon termination of this Agreement.

Section 12. Advertising. Advisor shall not in any way or in any form publicize or advertise in any manner the fact that Advisor is performing the Services without the prior written consent of the Company. The Company may freely publicly disclose that Advisor is a consultant of the Company and may freely publicly disclose the Services performed by Advisor pursuant to this Agreement.

Section 13. Restriction on Solicitation. During the term of this Agreement and for a period of one (1) year thereafter, Advisor shall not recruit or otherwise solicit, entice or induce any employees, consultants, customers, vendors, contract research organizations or contract manufacturing organizations of the Company or any of its subsidiaries or affiliates to terminate their employment or consulting relationship with, or otherwise cease their relationships with the Company or any of its subsidiary or affiliates.

Section 14. Indemnification/Release. Advisor agrees to take all necessary precautions to prevent injury to any persons (including employees of the Company) or damage to property (including the Company’s property) during the term of this Agreement. Advisor agrees to indemnify and hold the Company harmless from and against any and all claims, demands, liabilities, damages, costs, or expenses (including without limitation attorney’s fees, back wages, liquidated damages, penalties or interest) resulting from Advisor’s failure to collect, withhold, or pay any and all federal or state taxes required to be withheld or paid by employers or employees, including, without limitation, any and all income tax, social security, and F.U.T.A. taxes.

 

5


Section 15. Miscellaneous. This Agreement together with all exhibits hereto, including the Purchase Agreement, contains the entire understanding of the parties with respect to the matters contained herein, and supersedes all proposals and agreements, written or oral, and all other communications between the parties relating to the subject matter of this Agreement. The Company shall have the right to assign this Agreement to its successors and assigns and this Agreement shall inure to the benefit of and be enforceable by said successors or assigns. Advisor may not assign this Agreement or any rights or obligations hereunder without the prior written consent of the Company and this Agreement shall be binding upon Advisor’s heirs, executors, administrators and legal representatives. This Agreement shall be governed by and construed in accordance with the laws of the State of California without regard to its conflict of laws rules that would require the application of laws of any other jurisdiction. This Agreement may not be modified or amended except in writing signed or executed by Advisor and the Company. In the event any provision of this Agreement is held to be unenforceable or invalid because it is overbroad or too far reaching, such provision shall be deemed to be revised so that it applies to the maximum extent permitted by law. Advisor acknowledges that a breach of any of the promises or agreements contained herein will result in irreparable and continuing damage to the Company for which there will be no adequate remedy at law, and the Company shall be entitled to seek injunctive relief or a decree for specific performance, and such other relief as may be proper (including monetary damages, if appropriate). All notices under this Agreement will be effective (i) upon personal or facsimile delivery, (ii) two (2) business days after deposit in the United States mail as registered or certified mail postage fully prepaid, or (iii) one (1) business day after pickup by any overnight commercial courier service, in each case sent or addressed to the Company at its principal office or to Advisor at the address set forth on the signature page hereto, as the case may be, or at such other address as either may from time to time designate in writing to the other.

Section 16. Conflicts. The Company acknowledges that as of the date first written above Advisor is an employee of the Institution. Nothing in this Agreement shall be construed to conflict with Advisor’s obligations and duties as such to not disclose such protected information to Company or any third party, and to fully comply with his/her pre-existing employment obligations to the Institution and other applicable regulations (the “Applicable Policies”). Advisor will promptly inform the Company in writing of any changes or additions to the Applicable Policies to the extent Advisor has knowledge thereof. In the event any of the Applicable Policies will in the Company’s judgment interfere with Advisor’s performance of the Services, the Company may terminate this Agreement immediately. In the event that the performance of the Services will result in a violation of the Applicable Policies resulting in Advisor’s termination as an employee of the Institution, Advisor may terminate this Agreement immediately. Nothing herein shall be interpreted to limit Advisor’s right to participate in any agreements or activities on behalf of the Institution regardless of whether such agreements or activities involve any organization or Activities described in Section 8; provided, that the foregoing shall only be applicable to Advisor solely in her capacity as an employee of the Institution; and further provided, that in no way shall the foregoing alter Advisor’s nondisclosure obligations set forth in Section 9 of this Agreement.

Section 17. Defend Trade Secrets Act of 2016. Advisor acknowledges receipt of the following notice under 18 U.S.C § 1833(b)(1): “An individual shall not be held criminally or civilly liable under any Federal or State trade secret law for the disclosure of a trade secret that (A) is made (i) in confidence to a Federal, State, or local government official, either directly or indirectly, or to an attorney; and (ii) solely for the purpose of reporting or investigating a suspected violation of law; or (B) is made in a complaint or other document filed in a lawsuit or other proceeding, if such filing is made under seal.”

[Remainder of Page Left Intentionally Blank]

 

6


IN WITNESS WHEREOF, the parties have caused this Agreement to be executed as of the date last below written.

 

ADVISOR     MAZE THERAPEUTICS, INC.
/s/ Richard Scheller     By:   /s/ Jason Coloma

 

     

 

Name: Richard Scheller     Name (Print): Jason Coloma
    Title: Chief Executive Officer
Address:     Address:

 

   

 

 

   

 

Date:                               Date:                              


EXHIBIT A

Description of Services

 

(a)

Consulting services to Company chief executive officer

 

(b)

Scientific Advisory Board (“SAB”) Membership:

 

   

Attend in-person or by video conference and participate in up to two (2) full- day meetings per year.

 

   

Provide strategic scientific guidance to the Company regarding product development programs.

 

   

Advise the Company regarding ideas and concepts for new product areas and make recommendation on future scientific directions.

 

   

Provide contacts within the scientific community.

 

(c)

Provide advice to the Company in all of the following areas, as appropriate:

 

   

Advising on key discovery and development projects;

 

   

Advising on attracting external projects, new ideas and new investigators;

 

   

Advising on the conceptualization of new inventions;

 

   

Advising on the recruitment of excellent people to the Company’s team and SAB; and

 

   

Participating in major business development meetings as an advisor to the Company and advising on attracting a major partnership.

 

(d)

Consulting Services

 

   

Provide consulting services of a minimum of 2 hours per month.

 

(e)

Attend outside meetings and participate in telephone discussions as an advisor to the Company. For example:

 

   

Regulatory discussions;

 

   

Corporate development meetings; and

 

   

Fundraising meetings.

 

(f)

Recruiting

 

   

Suggest candidates for key positions in the Company, advisors and SAB members.

 

   

Referencing on candidates.

 

(g)

Scientific

 

   

Refer scientific information to the Company as appropriate.


EXHIBIT B

Conflicts


EXHIBIT C

Field

EX-10.9

Exhibit 10.9

MAZE THERAPEUTICS, INC.

PACIFIC WESTERN BANK

LOAN AND SECURITY AGREEMENT


This LOAN AND SECURITY AGREEMENT (the “Agreement”) is entered into as of June 27, 2022, by and between PACIFIC WESTERN BANK, a California state chartered bank (“Bank”) and MAZE THERAPEUTICS, INC., a Delaware corporation (“Borrower”).

RECITALS

Borrower wishes to obtain credit from time to time from Bank, and Bank desires to extend credit to Borrower. This Agreement sets forth the terms on which Bank will advance credit to Borrower, and Borrower will repay the amounts owing to Bank.

AGREEMENT

The parties agree as follows:

1. DEFINITIONS AND CONSTRUCTION.

1.1 Definitions. As used in this Agreement, all capitalized terms shall have the definitions set forth on Exhibit A. Any term used in the Code and not defined herein shall have the meaning given to the term in the Code.

1.2 Accounting Terms. Any accounting term not specifically defined on Exhibit A shall be construed in accordance with GAAP and all calculations shall be made in accordance with GAAP (except for non-compliance with FAS 123R in monthly reporting). The term “financial statements” shall include the accompanying notes and schedules.

2. LOAN AND TERMS OF PAYMENT.

2.1 Credit Extensions.

(a) Promise to Pay. Borrower promises to pay to Bank, in lawful money of the United States of America, the aggregate unpaid principal amount of all Credit Extensions made by Bank to Borrower, together with interest on the unpaid principal amount of such Credit Extensions at rates in accordance with the terms hereof.

(b) Advances Under Revolving Line.

(i) Amount. Subject to and upon the terms and conditions of this Agreement (1) Borrower may request Advances in an aggregate outstanding principal amount not to exceed the Revolving Line, less any amounts reserved under the Ancillary Services Sublimit, and (2) Advances may be repaid and reborrowed at any time prior to the Revolving Maturity Date, at which time all Advances shall be immediately due and payable. Borrower may prepay any Advances without penalty or premium.

(ii) Form of Request. Whenever Borrower desires an Advance, Borrower will notify Bank (which notice shall be irrevocable) by facsimile transmission or email (or, if permitted by Bank, through the use of an E-System) no later than 3:30 p.m. Eastern Time (2:30 p.m. Eastern Time for wire transfers), on the Business Day that the Advance is to be made. Each such notification shall be given by a Loan Advance/Paydown Request Form in substantially


the form of Exhibit C. Bank is authorized to make Advances under this Agreement, based upon instructions received from an Authorized Officer, or without instructions if in Bank’s discretion such Advances are necessary to meet Obligations which have become due and remain unpaid. Bank shall be entitled to rely on any notice given by a person whom Bank reasonably believes to be an Authorized Officer through verbal confirmation of wire instructions, and Borrower shall indemnify and hold Bank harmless for any damages, loss, costs and expenses suffered by Bank as a result of such reliance. Bank will credit the amount of Advances to Borrower’s deposit account.

(iii) Ancillary Services Sublimit. Subject to the availability under the Revolving Line, at any time and from time to time from the date hereof through the Business Day immediately prior to the Revolving Maturity Date, Borrower may request the provision of Ancillary Services from Bank. The aggregate limit of the Ancillary Services shall not exceed the Ancillary Services Sublimit, provided that availability under the Revolving Line shall be reduced by (i) the Letter of Credit Exposure, (ii) the aggregate limits of corporate credit card services provided to Borrower, (iii) the total amount of any Automated Clearing House processing reserves, (iv) the applicable Foreign Exchange Reserve Percentage, and (v) any other reserves taken by Bank in connection with other treasury management services requested by Borrower and approved by Bank. In addition, Bank may, in its sole discretion, charge as Advances any amounts for which Bank becomes liable to third parties in connection with the provision of the Ancillary Services. The terms and conditions (including repayment and fees) of such Ancillary Services shall be subject to the terms and conditions of the Bank’s standard forms of application and agreement for the applicable Ancillary Services, which Borrower hereby agrees to execute.

(iv) Collateralization of Obligations Extending Beyond Maturity. If Borrower has not secured to Bank’s satisfaction its obligations with respect to any Ancillary Services by the Revolving Maturity Date, then, effective as of such date, the balance in any of Borrower’s deposit accounts held by Bank and the certificates of deposit or time deposit accounts issued by Bank in Borrower’s name (and any interest paid thereon or proceeds thereof, including any amounts payable upon the maturity or liquidation of such certificates or accounts), shall automatically secure such obligations to the extent of the then continuing or outstanding Ancillary Services. Borrower authorizes Bank to hold such balances in pledge and to decline to honor any drafts thereon or any requests by Borrower or any other Person to pay or otherwise transfer any part of such balances for so long as the applicable Ancillary Services are outstanding or continue.

(c) Conversion into Term Loan.

(i) If Borrower achieves the Funding Milestone, the aggregate principal amount of the Advances outstanding on the Revolving Maturity Date shall at Borrower’s option convert into a Term Loan. Borrower shall repay the Term Loan in 18 equal monthly installments of principal, plus all accrued interest, beginning on June 27, 2025, and continuing on the same day of each month thereafter through the Maturity Date, at which time all amounts outstanding under this Agreement shall be immediately due and payable. Borrower may prepay all or any part of the Term Loans, but no amount, once repaid, may be reborrowed.

 

3


(ii) If Borrower does not achieve the Funding Milestone, all amounts outstanding under this Agreement shall be due and payable on the Revolving Maturity Date.

2.2 Overadvances. If the aggregate amount of the outstanding Advances exceeds the Revolving Line at any time, Borrower shall immediately pay to Bank, in cash, the amount of such excess.

2.3 Interest Rates, Payments, and Calculations.

(a) Late Fee; Default Rate. If any payment is not made within 15 days after the date such payment is due, Borrower shall pay Bank a late fee equal to the lesser of (i) 3% of the amount of such unpaid amount or (ii) the maximum amount permitted to be charged under applicable law. After the occurrence and during the continuance of an Event of Default, all Obligations shall bear interest, upon notice of such increase given by Bank, at a rate equal to 3 percentage points above the interest rate applicable immediately prior to the occurrence of the Event of Default (such rate, the “Default Rate”); provided, that, from and after the occurrence of any Event of Default described in Section 8.5, such increase shall be automatic and without the requirement of any notice from Bank. In all such events, and notwithstanding the date on which application of the Default Rate is communicated to Borrower, the Default Rate may be accrued (at the election of Bank) from the initial date of any Event of Default until all existing Events of Default are waived in writing in accordance with the terms of this Agreement.

(b) Interest Rates. Except as set forth in Section 2.3(b), the Advances shall bear interest, on the outstanding daily balance thereof, at a variable annual rate equal to the greater of: (A) 0.75% above the Prime Rate then in effect; and (B) 4.50%.

(c) Payments. Interest under the Revolving Line shall be due and payable on the 27th calendar day of each month during the term hereof. Borrower authorizes Bank to, at its option, charge such interest, all Bank Expenses, all Periodic Payments, and any other amounts due and owing in accordance with the terms of this Agreement against any of Borrower’s deposit accounts or against the Revolving Line, in which case those amounts shall thereafter accrue interest at the rate then applicable hereunder. Any interest not paid when due shall be compounded by becoming a part of the Obligations, and such interest shall thereafter accrue interest at the rate then applicable hereunder.

(d) Computation. In the event the Prime Rate is changed from time to time hereafter, the applicable rate of interest hereunder shall be increased or decreased, effective as of the day the Prime Rate is changed, by an amount equal to such change in the Prime Rate. All interest chargeable under the Loan Documents shall be computed on the basis of a 360 day year for the actual number of days elapsed.

2.4 Crediting Payments. Prior to the occurrence of an Event of Default, Bank shall credit a wire transfer of funds, check or other item of payment to such deposit account or Obligation as Borrower specifies. After the occurrence and during the continuance of an Event of Default, Bank shall have the right, in its sole discretion, to immediately apply any wire transfer of funds, check, or other item of payment Bank may receive to conditionally reduce Obligations, but

 

4


such applications of funds shall not be considered a payment on account unless such payment is of immediately available federal funds or unless and until such check or other item of payment is honored when presented for payment. Notwithstanding anything to the contrary contained herein, any wire transfer or payment received by Bank after 5:30 p.m. Eastern time shall be deemed to have been received by Bank as of the opening of business on the immediately following Business Day. Whenever any payment to Bank under the Loan Documents would otherwise be due (except by reason of acceleration) on a date that is not a Business Day, such payment shall instead be due on the next Business Day, and additional fees or interest, as the case may be, shall accrue and be payable for the period of such extension.

2.5 Fees. Borrower shall pay to Bank the following:

(a) Facility Fee. On or before the Closing Date, a fee equal to $25,000, which shall be nonrefundable;

(b) Bank Expenses. On the Closing Date, all Bank Expenses incurred through the Closing Date, and, after the Closing Date, all Bank Expenses, as and when they become due.

(c) Success Fee. Upon a Success Fee Event, Borrower shall pay to Bank a fee equal to the greater of (i) four percent (4.0%) of the aggregate Advances and (ii) one percent (1.0%) of the Revolving Line as of the Effective Date. This Section 2.5(c) shall survive any termination of this Agreement. If this Agreement is terminated prior to payment of the Success Fee, Borrower shall give Bank written notice of the first Success Fee Event to occur thereafter and pay the Success Fee upon the closing of such Success Fee Event.

2.6 Term. This Agreement shall become effective on the Closing Date and, subject to Section 12.812.8 shall continue in full force and effect for so long as any Obligations remain outstanding or Bank has any obligation to make Credit Extensions under this Agreement. Notwithstanding the foregoing, Bank shall have the right to terminate its obligation to make Credit Extensions under this Agreement immediately and without notice upon the occurrence and during the continuance of an Event of Default.

3. CONDITIONS OF LOANS.

3.1 Conditions Precedent to Closing. The agreement of Bank to enter into this Agreement on the Closing Date is subject to the condition precedent that Bank shall have received, in form and substance satisfactory to Bank, each of the following items and completed each of the following requirements:

(a) this Agreement;

(b) an officer’s certificate of Borrower with respect to incumbency and resolutions authorizing the execution and delivery of this Agreement;

(c) a financing statement (Form UCC-1);

 

5


(d) payment of the fees and Bank Expenses then due specified in Section 2.5, which may be debited from any of Borrower’s accounts with Bank;

(e) current SOS Reports indicating that except for Permitted Liens, there are no other security interests or Liens of record in the Collateral;

(f) current financial statements, including audited statements (or such other level required by the Borrower’s board of directors) for Borrower’s most recently ended fiscal year, company prepared consolidated and consolidating balance sheets, income statements, and statements of cash flows for the most recently ended fiscal quarter in accordance with Section 6.2, and such other updated financial information as Bank may reasonably request;

(g) current Compliance Certificate in accordance with Section 6.2;

(h) [reserved],

(i) a Borrower Information Certificate;

(j) an opinion of Borrower’s counsel;

(k) Borrower shall have opened and funded not less than $50,000 in deposit accounts held with Bank; and

(l) such other documents or certificates, and completion of such other matters, as Bank may reasonably request.

3.2 Conditions Precedent to all Credit Extensions. The obligation of Bank to make each Credit Extension, including the initial Credit Extension, is contingent upon the Borrower’s compliance with Section 3.1 above, and is further subject to the following conditions:

(a) timely receipt by Bank of the Loan Advance/Paydown Request Form as provided in Section 2.1;

(b) Borrower shall be in compliance with Section 6.6 hereof;

(c) in Bank’s sole discretion, there has not been a Material Adverse Effect; and

(d) the representations and warranties contained in Section 5 shall be true and correct in all material respects on and as of the date of such Loan Advance/Paydown Request Form and on the effective date of each Credit Extension as though made at and as of each such date, and no Event of Default shall have occurred and be continuing, or would exist after giving effect to such Credit Extension (provided, however, that those representations and warranties expressly referring to another date or time period shall be true and correct in all material respects as of such date or with respect to such time period, and provided further that any representation or warranty that contains a materiality qualification therein shall be true and correct in all respects). The making of each Credit Extension shall be deemed to be a representation and warranty by Borrower on the date of such Credit Extension as to the accuracy of the facts referred to in this Section 3.2.

 

6


3.3 Post Closing Conditions. Within thirty (30) days after the Closing Date, Borrower shall deliver to Bank evidence reasonably satisfactory to Bank that the insurance policies required by Section 6.5 hereof are in full force and effect, together with appropriate evidence showing loss payable and additional insured clauses or endorsements in favor of Bank.

4. CREATION OF SECURITY INTEREST.

4.1 Grant of Security Interest. Borrower grants and pledges to Bank a continuing security interest in the Collateral to secure prompt repayment of any and all Obligations and to secure prompt performance by Borrower of each of its covenants and duties under the Loan Documents. Except for Permitted Liens or as disclosed in the Schedule, such security interest constitutes a valid, first priority security interest in the presently existing Collateral, and will constitute a valid, first priority security interest in later-acquired Collateral. Except for the granting of Permitted Liens under clause (i) of the definition thereof, Borrower shall not sell, transfer, assign, mortgage, pledge, lease, grant a security interest in, or encumber any of its Intellectual Property. Notwithstanding any termination of this Agreement or of any filings undertaken related to Bank’s rights under the Code, Bank’s Lien on the Collateral shall remain in effect for so long as any Obligations are outstanding.

4.2 Perfection of Security Interest. Borrower authorizes Bank to file at any time financing statements, continuation statements, and amendments thereto that (i) either specifically describe the Collateral or describe the Collateral as all assets of Borrower of the kind pledged hereunder, and (ii) contain any other information required by the Code for the sufficiency of filing office acceptance of any financing statement, continuation statement, or amendment, including whether Borrower is an organization, the type of organization and any organizational identification number issued to Borrower, if applicable. Borrower shall have possession of the Collateral, except where expressly otherwise provided in this Agreement or where Bank chooses to perfect its security interest by possession in addition to the filing of a financing statement. Where Collateral is in possession of a third party bailee, Borrower shall take such steps as Bank reasonably requests for Bank to (i) subject to Section 7.11 below, obtain an acknowledgment, in form and substance reasonably satisfactory to Bank, of the bailee that the bailee holds such Collateral for the benefit of Bank, and (ii) obtain “control” of any Collateral consisting of investment property, deposit accounts, letter-of-credit rights or electronic chattel paper (as such items and the term “control” are defined in Revised Article 9 of the Code) by causing the securities intermediary or depositary institution or issuing bank to execute a control agreement in form and substance reasonably satisfactory to Bank. Borrower will not create any chattel paper without placing a legend on the chattel paper reasonably acceptable to Bank indicating that Bank has a security interest in the chattel paper. Borrower from time to time may deposit with Bank specific cash collateral to secure specific Obligations; Borrower authorizes Bank to hold such specific balances in pledge and to decline to honor any drafts thereon or any request by Borrower or any other Person to pay or otherwise transfer any part of such balances for so long as the specific Obligations are outstanding. Borrower shall take such other actions as Bank reasonably requests to perfect its security interests granted under this Agreement.

 

7


5. REPRESENTATIONS AND WARRANTIES.

Borrower represents and warrants as follows:

5.1 Due Organization and Qualification. Borrower and each Subsidiary is duly existing under the laws of the state in which it is organized and qualified and licensed to do business in any state in which the conduct of its business or its ownership of property requires that it be so qualified, except where the failure to do so would not reasonably be expected to cause a Material Adverse Effect.

5.2 Due Authorization; No Conflict. The execution, delivery, and performance of the Loan Documents are within Borrower’s powers, have been duly authorized, and are not in conflict with nor constitute a breach of any provision contained in Borrower’s Certificate of Incorporation or Bylaws, nor will they constitute an event of default under any material agreement by which Borrower is bound. Borrower is not in default under any agreement by which it is bound, except to the extent such default would not reasonably be expected to cause a Material Adverse Effect.

5.3 Collateral. Borrower has rights in or the power to transfer the Collateral, and its title to the Collateral is free and clear of Liens, adverse claims, and restrictions on transfer or pledge except for Permitted Liens. All Inventory is in all material respects of good and merchantable quality, free from all material defects, except for Inventory for which adequate reserves have been made. Except as set forth in the Schedule, none of the Borrower’s Cash is maintained or invested with a Person other than Bank or Bank’s affiliates.

5.4 Intellectual Property. Borrower is the sole owner of the Intellectual Property, except for (a) Permitted Liens under clause (i) of the definition thereof, (b) commercially available software products or services under standard end-user license agreements, (c) other intellectual property of which Borrower is a licensee in compliance with Section 6.9 hereof, and (d) licenses granted by Borrower to its customers in the ordinary course of business. To Borrower’s knowledge, each of the Copyrights, Trademarks and Patents is valid and enforceable, and no part of the Intellectual Property has been judged invalid or unenforceable, in whole or in part, and no claim has been made to Borrower that any part of the Intellectual Property violates the rights of any third party except to the extent such claim would not reasonably be expected to cause a Material Adverse Effect.

5.5 Name; Location of Chief Executive Office. Except as disclosed in the Schedule, Borrower has not done business under any name other than that specified on the signature page hereof, and its exact legal name is as set forth in the first paragraph of this Agreement. The chief executive office of Borrower is located at the address indicated in Section 10 hereof.

5.6 Litigation. Except as set forth in the Schedule, there are no actions or proceedings pending by or against Borrower or any Subsidiary before any court or administrative agency in which a likely adverse decision would reasonably be expected to have a Material Adverse Effect.

 

8


5.7 No Material Adverse Change in Financial Statements. All consolidated and consolidating financial statements related to Borrower and any Subsidiary that are delivered by Borrower to Bank or otherwise submitted to Bank by or on behalf of Borrower fairly present in all material respects Borrower’s consolidated and consolidating financial condition as of the date thereof and Borrower’s consolidated and consolidating results of operations for the period then ended. There has not been a material adverse change in the consolidated or in the consolidating financial condition of Borrower since the date of the most recent of such financial statements submitted to Bank.

5.8 Solvency, Payment of Debts. Borrower is able to pay its debts (including trade debts) as they mature; the fair saleable value of Borrower’s assets (including goodwill minus disposition costs) exceeds the fair value of its liabilities; and Borrower is not left with unreasonably small capital after the transactions contemplated by this Agreement.

5.9 Compliance with Laws and Regulations. Borrower and each Subsidiary have met the minimum funding requirements of ERISA with respect to any employee benefit plans subject to ERISA. No event has occurred resulting from Borrower’s failure to comply with ERISA that is reasonably likely to result in Borrower’s incurring any liability that could have a Material Adverse Effect. Borrower is not an “investment company” or a company “controlled” by an “investment company” within the meaning of the Investment Company Act of 1940. Borrower is not engaged principally, or as one of its important activities, in the business of extending credit for the purpose of purchasing or carrying margin stock (within the meaning of Regulations T and U of the Board of Governors of the Federal Reserve System). Borrower has not violated any statutes, laws, ordinances or rules applicable to it, the violation of which would reasonably be expected to have a Material Adverse Effect. Borrower and each Subsidiary have filed or caused to be filed all tax returns required to be filed, and have paid, or have made adequate provision for the payment of, all taxes reflected therein except those being contested in good faith with adequate reserves under GAAP or where the failure to file such returns or pay such taxes would not reasonably be expected to have a Material Adverse Effect.

5.10 Subsidiaries. Borrower does not own any stock, partnership interest or other equity securities of any Person, except for Permitted Investments.

5.11 Government Consents. Borrower and each Subsidiary have obtained all consents, approvals and authorizations of, made all declarations or filings with, and given all notices to, all governmental authorities that are necessary for the continued operation of Borrower’s business as currently conducted, except where the failure to do so would not reasonably be expected to cause a Material Adverse Effect.

5.12 Inbound Licenses. Except as disclosed on the Schedule, Borrower is not a party to, nor is bound by, any material license or other agreement important for the conduct of Borrower’s business that prohibits or otherwise restricts Borrower from granting a security interest in Borrower’s interest in such license or agreement or any other property important for the conduct of Borrower’s business, other than this Agreement or the other Loan Documents.

 

9


5.13 Full Disclosure. No representation, warranty or other statement made by Borrower in any report, certificate, or written statement furnished or submitted to Bank taken together with all such reports, certificates, and written statements furnished or submitted to Bank contains any untrue statement of a material fact or omits to state a material fact necessary to make the statements contained in such reports, certificates, or statements not misleading in light of the circumstances in which they were made, it being recognized by Bank that the projections and forecasts provided by Borrower in good faith and based upon reasonable assumptions are not to be viewed as facts and that actual results during the period or periods covered by any such projections and forecasts may differ from the projected or forecasted results.

6. AFFIRMATIVE COVENANTS.

Borrower shall do all of the following:

6.1 Good Standing and Government Compliance. Borrower shall maintain its and each of its Subsidiaries’ corporate existence and good standing in the respective states of formation, shall maintain qualification and good standing in each other jurisdiction in which the failure to so qualify would reasonably be expected to have a Material Adverse Effect, and shall furnish to Bank the organizational identification number issued to Borrower by the authorities of the state in which Borrower is organized, if applicable. Borrower shall meet, and shall cause each Subsidiary to meet, the minimum funding requirements of ERISA with respect to any employee benefit plans subject to ERISA. Borrower shall comply, and shall cause each Subsidiary to comply, with all statutes, laws, ordinances and government rules and regulations to which it is subject, and shall maintain, and shall cause each of its Subsidiaries to maintain, in force all licenses, approvals and agreements, the loss of which or failure to comply with which would reasonably be expected to have a Material Adverse Effect.

6.2 Financial Statements, Reports, Certificates, Collateral Audits.

(a) Borrower shall deliver to Bank: (i) as soon as available, but in any event within 45 days after the end of each calendar quarter (and within 30 days after the last day of any calendar month in which the aggregate Cash in account(s) with Bank is less than $100,000,000), a company prepared consolidated and consolidating balance sheet, income statement, and statement of cash flows covering Borrower’s operations during such period, in a form reasonably acceptable to Bank and certified by a Responsible Officer; (ii) as soon as available, but in any event within 180 days after the end of Borrower’s fiscal year, audited consolidated and consolidating financial statements of Borrower prepared in accordance with GAAP, consistently applied, together with an opinion which is either unqualified or qualified only for “going concern” on such financial statements of an independent certified public accounting firm reasonably acceptable to Bank; (iii) annual budget approved by Borrower’s Board of Directors as soon as available but not later than sixty (60) days after the last day of the preceding year; (iv) if applicable, copies of all statements, reports and notices sent or made available generally by Borrower to its security holders or to any holders of Subordinated Debt and all reports on Forms 10-K and 10-Q filed with the Securities and Exchange Commission; (v) promptly upon receipt of notice thereof, a report of any legal actions pending or threatened against Borrower or any Subsidiary that could reasonably be expected to result in damages or costs to Borrower or any Subsidiary of $250,000 or more; (vi) promptly upon receipt, each management letter prepared by Borrower’s independent certified public accounting firm regarding Borrower’s management control systems; (vii) upon the Bank’s reasonable requests from time to time, such budgets, sales

projections, operating plans or other information, including informal pre-clinical and clinical updates on any material developments as Borrower may determine in its sole discretion.

 

10


(b) Within 30 days after the last day of each month, Borrower shall deliver to Bank a Compliance Certificate certified as of the last day of the applicable month and signed by a Responsible Officer.

(c) As soon as possible and in any event within 3 Business Days after becoming aware of the occurrence or existence of an Event of Default hereunder, Borrower shall deliver to Bank a written statement of a Responsible Officer setting forth details of the Event of Default, and the action which Borrower has taken or proposes to take with respect thereto.

(d) Bank (through any of its officers, employees, or agents) shall have the right, upon reasonable prior notice, from time to time during Borrower’s usual business hours but no more than once a year (unless an Event of Default has occurred and is continuing), to inspect Borrower’s Books and to make copies thereof and to check, test, inspect, audit and appraise the Collateral at Borrower’s expense in order to verify Borrower’s financial condition or the amount, condition of, or any other matter relating to, the Collateral.

Borrower may deliver to Bank on an electronic basis any certificates, reports, requests, or information required pursuant to this Section 6.2, and Bank shall be entitled to rely on the information contained in the electronic files, provided that Bank in good faith believes that the files were delivered by a Responsible Officer. Borrower shall include a submission date on any certificates, statements, and reports to be delivered electronically.

Any submission by Borrower of a Compliance Certificate or other financial statement pursuant to this Section 6.2, shall be deemed to be a representation by Borrower that (i) as of the date of such Compliance Certificate or financial statement, the information and calculations set forth therein are true and correct in all material respects, (ii) as of the end of the compliance period forth in such submission, Borrower is in complete compliance with all required covenants, except as noted in such Compliance Certificate or financial statement, as applicable; (iii) as of the date of such submission, no Events of Default have occurred or are continuing; and (iv) all representations and warranties, other than any representations or warranties that are made as of a specific date, in Section 5 remain true and correct in all material respects as of the date of such submission, except as noted in such Compliance Certificate or financial statement, as applicable.

6.3 Inventory and Equipment; Returns. Borrower shall keep all Inventory and Equipment in good and merchantable condition, free from all material defects except for Inventory and Equipment (i) sold in the ordinary course of business, and (ii) for which adequate reserves have been made, in all cases in the United States and such other locations as to which Borrower gives prior written notice. Returns and allowances, if any, as between Borrower and its account debtors shall be on the same basis and in accordance with the usual customary practices of Borrower, as they exist on the Closing Date. Borrower shall promptly notify Bank of all returns and recoveries and of all disputes and claims involving inventory having a book value of more than $250,000.

 

11


6.4 Taxes. Borrower shall make, and cause each Subsidiary to make, due and timely payment or deposit of all material federal, state, and local taxes, assessments, or contributions required of it by law, including, but not limited to, those laws concerning income taxes, F.I.C.A., F.U.T.A. and state disability, and will execute and deliver to Bank, on demand, proof reasonably satisfactory to Bank indicating that Borrower or a Subsidiary has made such payments or deposits and any appropriate certificates attesting to the payment or deposit thereof; provided that Borrower or a Subsidiary need not make any payment if the amount or validity of such payment is contested in good faith by appropriate proceedings and is reserved against (to the extent required by GAAP) by Borrower or such Subsidiary.

6.5 Insurance. Borrower, at its expense, shall (i) keep the Collateral insured against loss or damage, and (ii) maintain liability and other insurance, in each case as ordinarily insured against by other owners in businesses similar to Borrower’s. All such policies of insurance shall be in such form, with such companies, and in such amounts as reasonably satisfactory to Bank. All policies of property insurance shall contain a lender’s loss payable endorsement, in a form reasonably satisfactory to Bank, showing Bank as lender’s loss payee. All liability insurance policies shall show, or have endorsements showing, Bank as an additional insured. Any such insurance policies shall specify that the insurer must give at least 20 days’ notice to Bank before canceling its policy for any reason other than failure to pay the required premium on such policy, in which case 10 days’ notice shall be required. Within 30 days of the Closing Date, Borrower shall cause to be furnished to Bank a copy of its policies of insurance including any endorsements covering Bank or showing Bank as an additional insured. Upon Bank’s request, Borrower shall deliver to Bank certified copies of the policies of insurance and evidence of all premium payments. Proceeds payable under any casualty policy will, at Borrower’s option, be payable to Borrower to replace the property subject to the claim, provided that any such replacement property shall be deemed Collateral in which Bank has been granted a first priority security interest, provided that if an Event of Default has occurred and is continuing, all proceeds payable under any such policy shall, at Bank’s option, be payable to Bank to be applied on account of the Obligations.

6.6 Primary Depository. (a) Within 30 days after the Closing Date, Borrower shall maintain, and shall cause all of its Subsidiaries to maintain, all non-operating accounts with Bank and all investment accounts with Bank or Bank’s affiliates and (b) within 90 days after the Closing Date, Borrower shall maintain substantially all its domestic operating accounts with Bank or Bank’s affiliates. Before Borrower opens any investment accounts with Bank’s affiliate(s), Borrower, Bank, and any such affiliate shall have entered into a securities account control agreement with respect to any such investment accounts, in form and substance reasonably satisfactory to Bank. Notwithstanding the above, Borrower may maintain corporate credit cards with any third party and may leave any FX Contracts and /or Letters of Credit outstanding, provided Borrower shall transition such FX Contracts and Letters of Credit to Bank upon expiration or expiry.

6.7 Minimum Cash. At any time that one or more Credit Extension is/are outstanding, Borrower shall maintain a balance of Cash at Bank of not less than fifty percent (50%) of the aggregate amount of such Credit Extensions

 

12


6.8 Consent of Inbound Licensors. Within thirty (30) days of entering into or becoming bound by any material inbound license or agreement, Borrower shall: (i) provide written notice to Bank of the material terms of such license or agreement with a description, in Borrower’s good faith judgment, of its reasonably likely impact on Borrower’s business or financial condition; and (ii) in good faith use commercially reasonable efforts to obtain the consent of, or waiver by, any person whose consent or waiver is necessary for Borrower’s interest in such licenses or contract rights to be deemed Collateral and for Bank to have a security interest in it that might otherwise be restricted by the terms of the applicable license or agreement, whether now existing or entered into in the future, provided, however, that the failure to obtain any such consent or waiver shall not constitute a default under this Agreement.

6.9 Creation/Acquisition of Subsidiaries. In the event any Borrower or any Subsidiary of any Borrower creates or acquires any Subsidiary, Borrower or such Subsidiary shall promptly notify Bank of such creation or acquisition, and Borrower or such Subsidiary shall take all actions reasonably requested by Bank to achieve any of the following with respect to such “New Subsidiary” (defined as a Subsidiary formed after the date hereof during the term of this Agreement): (i) if such New Subsidiary is organized under the laws of a state in the United States, to cause New Subsidiary to become either a co-Borrower hereunder or a secured guarantor with respect to the Obligations; and (ii) to grant and pledge to Bank a perfected security interest in 100% of the stock, units or other evidence of ownership held by Borrower or its Subsidiaries of any such New Subsidiary which is organized under the laws of a state in the United States, and 65% of the stock, units or other evidence of ownership held by Borrower or its Subsidiaries of any such New Subsidiary which is not organized under the laws of a state in the United States.

6.10 Further Assurances. At any time and from time to time Borrower shall execute and deliver such further instruments and take such further action as may reasonably be requested by Bank to effect the purposes of this Agreement.

7. NEGATIVE COVENANTS.

Borrower shall not do any of the following:

7.1 Dispositions. Convey, sell, lease, license, transfer or otherwise dispose of (collectively, to “Transfer”), or permit any of its Subsidiaries to Transfer, all or any part of its business or property, or move cash balances on deposit with Bank to accounts opened at another financial institution, other than Permitted Transfers.

7.2 Change in Name, Location, Executive Office, or Executive Management; Change in Business; Change in Fiscal Year; Change in Control. Change its name or the state of Borrower’s formation or relocate its chief executive office without 15 days prior written notification to Bank; replace or suffer the departure of its chief executive officer or chief financial officer without delivering written notification to Bank within 10 Business Days; fail to appoint an interim replacement or fill a vacancy in the position of chief executive officer or chief financial officer (or other officer performing the functions of a chief financial officer) for more than 90 consecutive days following the departure of such officer; take action to liquidate, wind up, or otherwise cease to conduct business in the ordinary course; engage in any business, or permit any of its Subsidiaries to engage in any business, other than or reasonably related or incidental to the businesses currently engaged in by Borrower; change its fiscal year end; have a Change in Control.

 

13


7.3 Mergers or Acquisitions. Merge or consolidate, or permit any of its Subsidiaries to merge or consolidate, with or into any other business organization (other than mergers or consolidations of a Subsidiary into another Subsidiary or into Borrower), or acquire, or permit any of its Subsidiaries to acquire, all or substantially all of the capital stock or property of another Person except where (a) each of the following conditions is applicable: (i) the consideration paid in connection with such transactions (including assumption of liabilities) does not in the aggregate exceed $2,000,000 during any fiscal year, (ii) no Event of Default has occurred, is continuing or would exist after giving effect to such transactions, (iii) such transactions do not result in a Change in Control, and (iv) Borrower is the surviving entity; or (b) the Obligations are repaid in full concurrently with the closing of any merger or consolidation of Borrower in which Borrower is not the surviving entity.

7.4 Indebtedness. Create, incur, assume, guarantee or be or remain liable with respect to any Indebtedness, or permit any Subsidiary so to do, other than Permitted Indebtedness, or prepay any Indebtedness or take any actions which impose on Borrower an obligation to prepay any Indebtedness, except Indebtedness to Bank.

7.5 Encumbrances. Create, incur, assume or allow any Lien with respect to its property, or assign or otherwise convey any right to receive income, including the sale of any Accounts, or permit any of its Subsidiaries so to do, except for Permitted Liens, or covenant to any other Person (other than (i) the licensors of in-licensed property with respect to such property, (ii) the lessors of specific equipment or lenders financing specific equipment with respect to such leased or financed equipment or (iii) lessors of real property with respect to Borrower’s leasehold interest in that real property) that Borrower in the future will refrain from creating, incurring, assuming or allowing any Lien with respect to any of Borrower’s property, including Intellectual Property.

7.6 Distributions. Pay any dividends or make any other distribution or payment on account of or in redemption, retirement or purchase of any capital stock, except that Borrower may (i) repurchase the stock of former employees or directors pursuant to stock repurchase agreements in an aggregate amount not to exceed $300,000 in any fiscal year, as long as an Event of Default does not exist prior to such repurchase or would not exist after giving effect to such repurchase; (ii) convert any of its convertible securities into other securities pursuant to the terms of such convertible securities or otherwise in exchange thereof (including pursuant to “net exercise” or “net share settlement” of options and warrants), (iii) repurchase the stock of former employees or directors pursuant to stock repurchase agreements by the cancellation of indebtedness owed by such former employees or directors to Borrower regardless of whether an Event of Default exists, (iv) make cash payments in lieu of the issuance of fractional shares of capital stock upon conversion of convertible securities, stock splits, stock combinations or business combinations so long as an Event of Default does not exist at the time of any such payment and would not exist after giving effect to any such payment provided that the aggregate amount of all such payments does not exceed Twenty-Five Thousand Dollars ($25,000.00) in any twelve (12) month period, (v) pay dividends solely in common stock, and (vi) repurchases of equity interests deemed to occur upon withholding of a portion of the equity interests granted or awarded to current or former directors, employees or consultants to pay for the taxes payable by such Person upon such grant or award (or upon vesting thereof).

 

14


7.7 Investments. Directly or indirectly acquire or own an Investment in, or make any Investment in or to any Person, or permit any of its Subsidiaries so to do, other than Permitted Investments, or maintain or invest any of its investment property with a Person other than Bank or permit any Subsidiary to do so unless such Person has entered into a control agreement with Bank, in form and substance reasonably satisfactory to Bank, or suffer or permit any Subsidiary to be a party to, or be bound by, an agreement that restricts such Subsidiary from paying dividends or otherwise distributing property to Borrower.

7.8 Capital Expenditures. Make Capital Expenditures in excess of $5,000,000 (or such greater amount as may be agreed by Bank in its sole but reasonable discretion) in the aggregate in any fiscal year of Borrower.

7.9 Transactions with Affiliates. Directly or indirectly enter into or permit to exist any material transaction with any Affiliate of Borrower except for (i) transactions that are in the ordinary course of Borrower’s business, upon fair and reasonable terms that are no less favorable to Borrower than would be obtained in an arm’s length transaction with a non-affiliated Person, (ii) the sale of Borrower’s equity securities in bona fide transactions with Borrower’s existing investors that do not result in a Change in Control, and (iii) commercially reasonable and customary compensation or severance arrangements with Borrower’s employees, officers and directors, and (d) transactions in respect of reseller, transfer pricing, cost plus and cost sharing arrangements on terms that are in accordance with Section 482 of the IRC, and any state or foreign law equivalents, and supported by contemporaneous reseller, transfer pricing, cost plus and cost sharing documentation required by applicable law, all in accordance with GAAP and pursuant to terms and conditions approved by Borrower’s legal, tax or accounting advisors.

7.10 Subordinated Debt. Make any payment in respect of any Subordinated Debt, or permit any of its Subsidiaries to make any such payment, except in compliance with the terms of such Subordinated Debt, or amend any provision affecting Bank’s rights contained in any documentation relating to the Subordinated Debt without Bank’s prior written consent.

7.11 Inventory and Equipment. Store the Inventory or the Equipment of a book value in excess of $1,000,000 with a bailee, warehouseman, collocation facility or similar third party unless the third party has been notified of Bank’s security interest and (a) Borrower has used commercially reasonable efforts to deliver to Bank an acknowledgment from the third party that it is holding or will hold the Inventory or Equipment for Bank’s benefit or (b) Bank is in possession of the warehouse receipt, where negotiable, covering such Inventory or Equipment. Except for Inventory sold in the ordinary course of business and for movable items of personal property having an aggregate book value not in excess of $1,000,000, and except for such other locations as Bank may approve in writing, Borrower shall keep the Inventory and Equipment only at the location set forth in Section 10 and such other locations of which Borrower gives Bank prior written notice and as to which Borrower has used commercially reasonable efforts to deliver to Bank such documents as Bank reasonable requests to allow Bank to perfect its security interest or to obtain a bailee’s acknowledgment of Bank’s rights in the Collateral.

7.12 No Investment Company; Margin Regulation. Become or be controlled by an “investment company,” within the meaning of the Investment Company Act of 1940, or become principally engaged in, or undertake as one of its important activities, the business of extending credit for the purpose of purchasing or carrying margin stock, or use the proceeds of any Credit Extension for such purpose.

 

15


8. EVENTS OF DEFAULT.

Any one or more of the following events shall constitute an Event of Default by Borrower under this Agreement:

8.1 Payment Default. If Borrower fails to pay any of the Obligations when due;

8.2 Covenant Default.

(a) If Borrower fails to perform any obligation under Sections 6.2 (reporting), 6.4 (taxes), 6.5 (insurance), 6.6 (primary accounts), or 6.7 (financial covenants), or violates any of the covenants contained in Article 7 of this Agreement;

(b) If Borrower fails or neglects to perform or observe any other material term, provision, condition, covenant contained in this Agreement, in any of the Loan Documents, or in any other present or future agreement between Borrower and Bank and as to any default under such other term, provision, condition or covenant that can be cured, has failed to cure such default within 10 days after Borrower receives notice thereof or any officer of Borrower becomes aware thereof; provided, however, that if the default cannot by its nature be cured within the 10 day period or cannot after diligent attempts by Borrower be cured within such 10 day period, and such default is likely to be cured within a reasonable time, then Borrower shall have an additional reasonable period (which shall not in any case exceed 30 days) to attempt to cure such default, and within such reasonable time period the failure to have cured such default shall not be deemed an Event of Default but no Credit Extensions will be made;

8.3 Material Adverse Change. If there occurs any circumstance or any circumstances which would reasonably be expected to have a Material Adverse Effect;

8.4 Attachment. If any material portion of Borrower’s assets is attached, seized, subjected to a writ or distress warrant, or is levied upon, or comes into the possession of any trustee, receiver or person acting in a similar capacity and such attachment, seizure, writ or distress warrant or levy has not been stayed, removed, discharged or rescinded within 10 days, or if Borrower is enjoined, restrained, or in any way prevented by court order from continuing to conduct all or any material part of its business affairs, or if a judgment or other claim becomes a lien or encumbrance upon any material portion of Borrower’s assets, or if a notice of lien, levy, or assessment is filed of record with respect to any material portion of Borrower’s assets by the United States Government, or any department, agency, or instrumentality thereof, or by any state, county, municipal, or governmental agency, and the same is not paid within ten days after Borrower receives notice thereof, provided that none of the foregoing shall constitute an Event of Default where such action or event is stayed or an adequate bond has been posted pending a good faith contest by Borrower (provided that no Credit Extensions will be made during such cure period);

8.5 Insolvency. If Borrower becomes insolvent, or if an Insolvency Proceeding is commenced by Borrower, or if an Insolvency Proceeding is commenced against Borrower and is not dismissed or stayed within 30 days (provided that no Credit Extensions will be made prior to the dismissal of such Insolvency Proceeding);

 

16


8.6 Other Agreements. If (a) there is a default or other failure to perform in any agreement to which Borrower is a party with a third party or parties (i) resulting in a right by such third party or parties, whether or not exercised, to accelerate the maturity of any Indebtedness in an amount in excess of $500,000, (ii) in connection with any lease of real property material to the conduct of Borrower’s business, if the default or failure to perform gives the landlord the right to terminate such lease, or (iii) that would reasonably be expected to have a Material Adverse Effect, or (b) any default or event of default (however designated) shall occur with respect to any Subordinated Debt which is not cured within any applicable cure period;

8.7 Judgments. If a final, uninsured judgment or judgments for the payment of money in an amount, individually or in the aggregate, of at least $500,000 shall be rendered against Borrower and shall remain unsatisfied and unstayed for a period of 10 days (provided that no Credit Extensions will be made prior to the satisfaction or stay of the judgment); or

8.8 Misrepresentations. If any material misrepresentation or material misstatement exists now or hereafter in any warranty or representation set forth herein or in any report or certificate or other writing delivered to Bank by any Responsible Officer pursuant to this Agreement or to induce Bank to enter into this Agreement or any other Loan Document.

9. BANKS RIGHTS AND REMEDIES.

9.1 Rights and Remedies. Upon the occurrence and during the continuance of an Event of Default, Bank may, at its election, without notice of its election and without demand, do any one or more of the following, all of which are authorized by Borrower:

(a) Declare all Obligations, whether evidenced by this Agreement, by any of the other Loan Documents, or otherwise, immediately due and payable (provided that upon the occurrence of an Event of Default described in Section 8.5 (insolvency), all Obligations shall become immediately due and payable without any action by Bank);

(b) Demand that Borrower (i) deposit cash with Bank in an amount equal to the amount of any Letters of Credit remaining undrawn, as collateral security for the repayment of any future drawings under such Letters of Credit, and (ii) pay in advance all Letter of Credit fees scheduled to be paid or payable over the remaining term of the Letters of Credit, and Borrower shall promptly deposit and pay such amounts;

(c) Cease advancing money or extending credit to or for the benefit of Borrower under this Agreement or under any other agreement between Borrower and Bank;

(d) Settle or adjust disputes and claims directly with account debtors for amounts, upon terms and in whatever order that Bank reasonably considers advisable;

(e) Make such payments and do such acts as Bank considers necessary or reasonable to protect its security interest in the Collateral. Borrower agrees to assemble the Collateral if Bank so requires, and to make the Collateral available to Bank as Bank may designate.

 

17


Borrower authorizes Bank to enter the premises where the Collateral is located, to take and maintain possession of the Collateral, or any part of it, and to pay, purchase, contest, or compromise any encumbrance, charge, or lien which in Bank’s determination appears to be prior or superior to its security interest and to pay all expenses incurred in connection therewith. With respect to any of Borrower’s owned premises, Borrower hereby grants Bank a license to enter into possession of such premises and to occupy the same, without charge, in order to exercise any of Bank’s rights or remedies provided herein, at law, in equity, or otherwise;

(f) place a “hold” on any account maintained with Bank and/or deliver a notice of exclusive control, any entitlement order, or other directions or instructions pursuant to any control agreement or similar agreements providing control of any Collateral;

(g) Set off and apply to the Obligations any and all (i) balances and deposits of Borrower held by Bank, and (ii) indebtedness at any time owing to or for the credit or the account of Borrower held by Bank;

(h) Ship, reclaim, recover, store, finish, maintain, repair, prepare for sale, advertise for sale, and sell (in the manner provided for herein) the Collateral. Bank is hereby granted a license or other right, solely pursuant to the provisions of this Section 9.1, to use, without charge, Borrower’s labels, patents, copyrights, rights of use of any name, trade secrets, trade names, trademarks, service marks, and advertising matter, or any property of a similar nature, as it pertains to the Collateral, in completing production of, advertising for sale, and selling any Collateral and, in connection with Bank’s exercise of its rights under this Section 9.1, Borrower’s rights under all licenses and all franchise agreements shall inure to Bank’s benefit;

(i) Sell the Collateral at either a public or private sale, or both, by way of one or more contracts or transactions, for cash or on terms, in such manner and at such places (including Borrower’s premises) as Bank determines is commercially reasonable, and apply any proceeds to the Obligations in whatever manner or order Bank deems appropriate. Bank may sell the Collateral without giving any warranties as to the Collateral. Bank may specifically disclaim any warranties of title or the like. This procedure will not be considered adversely to affect the commercial reasonableness of any sale of the Collateral. If Bank sells any of the Collateral upon credit, Borrower will be credited only with payments actually made by the purchaser, received by Bank, and applied to the indebtedness of the purchaser. If the purchaser fails to pay for the Collateral, Bank may resell the Collateral and Borrower shall be credited with the proceeds of the sale;

(j) Bank may credit bid and purchase at any public sale;

(k) Apply for the appointment of a receiver, trustee, liquidator or conservator of the Collateral, without notice and without regard to the adequacy of the security for the Obligations and without regard to the solvency of Borrower, any guarantor or any other Person liable for any of the Obligations; and

(l) Any deficiency that exists after disposition of the Collateral as provided above will be paid immediately by Borrower.

 

18


Bank may comply with any applicable state or federal law requirements in connection with a disposition of the Collateral and compliance will not be considered adversely to affect the commercial reasonableness of any sale of the Collateral.

9.2 Power of Attorney. Effective only upon the occurrence and during the continuance of an Event of Default, Borrower hereby irrevocably appoints Bank (through Bank’s designated officers, or employees) as Borrower’s true and lawful attorney to: (a) send requests for verification of Accounts or notify account debtors of Bank’s security interest in the Accounts; (b) endorse Borrower’s name on any checks or other forms of payment or security that may come into Bank’s possession; (c) sign Borrower’s name on any invoice or bill of lading relating to any Account, drafts against account debtors, schedules and assignments of Accounts, verifications of Accounts, and notices to account debtors; (d) dispose of any Collateral; (e) make, settle, and adjust all claims under and decisions with respect to Borrower’s policies of insurance; (f) settle and adjust disputes and claims respecting the accounts directly with account debtors, for amounts and upon terms which Bank determines to be reasonable; and (g) file, in its sole discretion, one or more financing or continuation statements and amendments thereto, relative to any of the Collateral; provided Bank may exercise such power of attorney to sign the name of Borrower on any of the documents described in clauses (g), above, regardless of whether an Event of Default has occurred. The appointment of Bank as Borrower’s attorney in fact, and each and every one of Bank’s rights and powers, being coupled with an interest, is irrevocable until all of the Obligations have been fully repaid and performed and Bank’s obligation to provide advances hereunder is terminated.

9.3 Accounts Collection. At any time after the occurrence and during the continuation of an Event of Default, Bank may notify any Person owing funds to Borrower of Bank’s security interest in such funds and verify the amount of such Account. Borrower shall collect all amounts owing to Borrower for Bank, receive in trust all payments as Bank’s trustee, and immediately deliver such payments to Bank in their original form as received from the account debtor, with proper endorsements for deposit.

9.4 Bank Expenses. If Borrower fails to pay any amounts or furnish any required proof of payment due to third persons or entities, as required under the terms of this Agreement, then Bank may do any or all of the following after reasonable notice to Borrower: (a) make payment of the same or any part thereof; and/or (b) set up such reserves under the Revolving Line as Bank deems necessary to protect Bank from the exposure created by such failure; or (c) obtain and maintain insurance policies of the type discussed in Section 6.5 of this Agreement, and take any action with respect to such policies as Bank deems prudent. Any amounts so paid or deposited by Bank shall constitute Bank Expenses, shall be immediately due and payable, and shall bear interest at the then applicable rate hereinabove provided, and shall be secured by the Collateral. Any payments made by Bank shall not constitute an agreement by Bank to make similar payments in the future or a waiver by Bank of any Event of Default under this Agreement.

9.5 Bank’s Liability; Waiver of Liability. Bank has no obligation to clean up or otherwise prepare the Collateral for sale. All risk of loss, damage or destruction of the Collateral shall be borne by Borrower. Each party hereto waives any claim for consequential, special, or punitive damages against the other party hereto;

 

19


9.6 No Obligation to Pursue Others. Bank has no obligation to attempt to satisfy the Obligations by collecting them from any other person liable for them and Bank may release, modify or waive any collateral provided by any other Person to secure any of the Obligations, all without affecting Bank’s rights against Borrower. Borrower waives any right it may have to require Bank to pursue any other Person for any of the Obligations.

9.7 Remedies Cumulative. Bank’s rights and remedies under this Agreement, the Loan Documents, and all other agreements shall be cumulative. Bank shall have all other rights and remedies not inconsistent herewith as provided under the Code, by law, or in equity. No exercise by Bank of one right or remedy shall be deemed an election, and no waiver by Bank of any Event of Default on Borrower’s part shall be deemed a continuing waiver. No delay by Bank shall constitute a waiver, election, or acquiescence by it. No waiver by Bank shall be effective unless made in a written document signed on behalf of Bank and then shall be effective only in the specific instance and for the specific purpose for which it was given. Borrower expressly agrees that this Section 9.7 may not be waived or modified by Bank by course of performance, conduct, estoppel or otherwise.

9.8 Demand; Protest. Except as otherwise provided in this Agreement, Borrower waives demand, protest, notice of protest, notice of default or dishonor, notice of payment and nonpayment and any other notices relating to the Obligations.

10. NOTICES.

Unless otherwise provided in this Agreement, all notices or demands by any party relating to this Agreement or any other agreement entered into in connection herewith shall be in writing and (except for financial statements and other reporting required pursuant to Section 6.2 of this Agreement, which shall be sent as directed in the reporting forms provided by Bank) shall be personally delivered or sent by a recognized overnight delivery service, certified mail, postage prepaid, return receipt requested, or by telefacsimile or electronic mail to Borrower or to Bank, as the case may be, at its addresses set forth below:

 

If to Borrower:    MAZE THERAPEUTICS, INC.
   171 Oyster Point Blvd. Suite 300
   South San Francisco, CA 94080
   Attn: Amy Bachrodt, VP-Finance
   E-Mail:
with a copy to:    Fenwick & West LLP
   1191 Second Avenue, 10th Floor
   Seattle, WA 98101
   Attn: Amanda Rose
   E-Mail:
If to Bank:    Pacific Western Bank
   555 S Mangum Street, Suite 1000
   Durham, North Carolina 27701
   Attn: Loan Operations Manager
   E-Mail: l
with a copy to:    Pacific Western Bank
   Attn: Jay McNeil
   e-Mail:

 

20


The parties hereto may change the address at which they are to receive notices hereunder, by notice in writing in the foregoing manner given to the other.

11. CHOICE OF LAW AND VENUE; JURY TRIAL WAIVER.

This Agreement shall be governed by, and construed in accordance with, the internal laws of the State of New York, without regard to principles of conflicts of law (except as set forth in Section 5-1401 of the New York General Obligations Law). Jurisdiction shall lie in the State of New York. All disputes, controversies, claims, actions and similar proceedings arising with respect to Borrower’s account or any related agreement or transaction shall be brought in the United States District Court for the Southern District of New York, except as provided below with respect to arbitration of such matters. BANK AND BORROWER EACH ACKNOWLEDGE THAT THE RIGHT TO TRIAL BY JURY IS A CONSTITUTIONAL ONE, BUT THAT IT MAY BE WAIVED. EACH OF THEM, AFTER CONSULTING OR HAVING HAD THE OPPORTUNITY TO CONSULT, WITH COUNSEL OF THEIR CHOICE, KNOWINGLY, VOLUNTARILY AND INTENTIONALLY WAIVES ANY RIGHT ANY OF THEM MAY HAVE TO A TRIAL BY JURY IN ANY LITIGATION BASED UPON OR ARISING OUT OF THIS AGREEMENT OR ANY RELATED INSTRUMENT OR LOAN DOCUMENT OR ANY OF THE TRANSACTIONS CONTEMPLATED BY THIS AGREEMENT OR ANY COURSE OF CONDUCT, DEALING, STATEMENTS (WHETHER ORAL OR WRITTEN), OR ACTION OF ANY OF THEM. THESE PROVISIONS SHALL NOT BE DEEMED TO HAVE BEEN MODIFIED IN ANY RESPECT OR RELINQUISHED BY BANK OR BORROWER, EXCEPT BY A WRITTEN INSTRUMENT EXECUTED BY EACH OF THEM. If the jury waiver set forth in this Section 11 is not enforceable, then any dispute, controversy, claim, action or similar proceeding arising out of or relating to this Agreement, the Loan Documents or any of the transactions contemplated therein shall be settled by final and binding arbitration held in New York, New York in accordance with the then current Commercial Arbitration Rules of the American Arbitration Association by one arbitrator appointed in accordance with those rules. The arbitrator shall apply New York law to the resolution of any dispute, without reference to rules of conflicts of law or rules of statutory arbitration. Judgment upon any award resulting from arbitration may be entered into and enforced by any state or federal court having jurisdiction thereof. Notwithstanding the foregoing, the parties may apply to any court of competent jurisdiction for preliminary or interim equitable relief, or to compel arbitration in accordance with this Section. The costs and expenses of the arbitration, including without limitation, the arbitrator’s fees and expert witness fees, and reasonable attorneys’ fees, incurred by the parties to the arbitration may be awarded to the prevailing party, in the discretion of the arbitrator, or may be apportioned between the parties in any manner deemed appropriate by the arbitrator. Unless and until the arbitrator decides that one party is to pay for all (or a share) of such costs and expenses, both parties shall share equally in the payment of the arbitrator’s fees as and when billed by the arbitrator.

 

21


12. GENERAL PROVISIONS.

12.1 Successors and Assigns. This Agreement shall bind and inure to the benefit of the respective successors and permitted assigns of each of the parties and shall bind all persons who become bound as a debtor to this Agreement; provided, however, that neither this Agreement nor any rights hereunder may be assigned by Borrower without Bank’s prior written consent, which consent may be granted or withheld in Bank’s sole discretion. Bank shall have the right without the consent of or notice to Borrower to sell, assign, transfer, negotiate, or grant participation in all or any part of, or any interest in, Bank’s obligations, rights and benefits hereunder.

12.2 Indemnification. Borrower shall defend, indemnify and hold harmless Bank and its officers, directors, employees, affiliates, advisors and agents against: (a) all obligations, demands, claims, and liabilities claimed or asserted by any other party in connection with the transactions contemplated by this Agreement; and (b) all losses or Bank Expenses in any way suffered, incurred, or paid by Bank, its officers, employees and agents as a result of or in any way arising out of, following, or consequential to transactions between Bank and Borrower whether under this Agreement, or otherwise (including without limitation reasonable attorneys fees and expenses), except for losses caused by Bank’s gross negligence or willful misconduct as adjudicated in accordance with Section 11 of this Agreement.

12.3 Time of Essence. Time is of the essence for the performance of all obligations set forth in this Agreement.

12.4 Severability of Provisions. Each provision of this Agreement shall be severable from every other provision of this Agreement for the purpose of determining the legal enforceability of any specific provision.

12.5 Amendments in Writing, Integration. All amendments to or terminations of this Agreement or the other Loan Documents must be in writing. All prior agreements, understandings, representations, warranties, and negotiations between the parties hereto with respect to the subject matter of this Agreement and the other Loan Documents, if any, are merged into this Agreement and the Loan Documents.

12.6 Counterparts. Electronic Transmission; Electronic Signatures. This Agreement may be executed in any number of counterparts and by different parties on separate counterparts, each of which, when executed and delivered, shall be deemed to be an original, and all of which, when taken together, shall constitute but one and the same Agreement. Executed copies of this Agreement or the signature pages of this Agreement sent by facsimile or transmitted electronically in Portable Document Format (“PDF”) or any similar format, or transmitted electronically by digital image, DocuSign, or other means of electronic transmission or electronic signature, shall be treated as originals, fully binding and with full legal force and effect, and the parties waive any rights they may have to object to such treatment. The words “execution,” “signed,” “signature,” “delivery,” and words of like import in or relating to this Agreement and/or any document to be signed in connection with this Agreement and the transactions contemplated hereby shall be deemed to include Electronic Signatures (as defined below), deliveries or the keeping of records in electronic form, each of which shall be of the same legal effect, validity or enforceability as a manually executed signature, physical delivery thereof or the use of a paper- based recordkeeping system, as the case may be. As used herein, “Electronic Signatures” means any electronic symbol or process attached to, or associated with, any contract or other record and adopted by a person with the intent to sign, authenticate or accept such contract or record.

 

22


12.7 E-Systems. Borrower authorizes Bank to establish procedures (and to amend such procedures from time to time) to facilitate administration and servicing of the Credit Extensions and other matters incidental thereto. Without limiting the generality of the foregoing, Borrower authorizes Bank to establish procedures to make available or deliver, or to accept, notices, documents and similar items, by posting to or submitting and/or completion, on E- Systems. Borrower acknowledges and agrees that the use of transmissions via an E-System or electronic mail is not necessarily secure and that there are risks associated with such use, including risks of interception, disclosure and abuse, and Borrower assumes and accepts such risks by hereby authorizing the transmission via E-Systems or electronic mail. All uses of an E-System shall be governed by and subject to, in addition to this Section, the separate terms and conditions posted or referenced in such E-System (or such terms and conditions as may be updated from time to time, including on such E-System) and related contractual obligations executed by Borrower in connection with the use of such E-System. ALL E-SYSTEMS AND ELECTRONIC TRANSMISSIONS SHALL BE PROVIDED “AS-IS” AND “AS AVAILABLE”. NO REPRESENTATION OR WARRANTY OF ANY KIND IS MADE BY BANK OR ANY OF ITS AFFILIATES IN CONNECTION WITH ANY E-SYSTEMS.

12.8 Survival. All covenants, representations and warranties made in this Agreement shall continue in full force and effect so long as any Obligations remain outstanding or Bank has any obligation to make any Credit Extension to Borrower. The obligations of Borrower to indemnify Bank with respect to the expenses, damages, losses, costs and liabilities described in Section 12.2 shall survive until all applicable statute of limitations periods with respect to actions that may be brought against Bank have run.

12.9 Confidentiality and Publicity.

(a) Borrower shall not, and shall not permit any of its Affiliates to: (i) publish or disclose any materials containing Bank’s name, including in any press release or otherwise in connection with any advertising or marketing, without first obtaining Bank’s prior written consent, or (ii) use Bank’s name (or the name of any of its Affiliates) in connection with its operations or business.

(b) In handling any confidential information, Bank shall exercise commercially reasonable efforts to maintain in confidence, in accordance with its customary procedures for handling confidential information, all written non-public information furnished to Bank on a confidential basis (“Confidential Information”) other than any such Confidential Information that becomes generally available to the public or becomes available to the Bank from a source other than Borrower and that is not known to Bank to be subject to confidentiality obligations; provided, that Bank and its Affiliates shall have the right to disclose Confidential Information to: (i) on a confidential basis, Bank’s Affiliates; (ii) on a confidential basis, Bank’s or Bank’s Affiliates’ lenders, funding sources, or financing sources; (iii) on a confidential basis, Bank’s or Bank’s Affiliates’ directors, officers, trustees, partners, members, managers, employees,

 

23


agents, advisors, representatives, attorneys, equity owners, professional consultants, portfolio management services and rating agencies; (iv) subject to an agreement containing provisions substantially the same as those of this Section, any successor or assign of Bank; (v) subject to an agreement containing provisions substantially the same as those of this Section, any Person to whom Bank offers to sell, assign or transfer any Credit Extension or any part thereof or any interest or participation therein; (vi) on a confidential basis (or so long as such information is anonymized), any Person that provides statistical analysis and/or information services to Bank or its Affiliates; and (vii) any Person so long as such Person is advised of the confidential nature of such information (A) to the extent required by it by law, (B) as may be required in connection with the examination, audit, or similar investigation of Bank, (C) in response to any subpoena or other legal process or informal investigative demand, (D) in connection with any litigation, or (E) in connection with the actual or potential exercise or enforcement of any right or remedy under any Loan Document. The obligations of Bank and its Affiliates under this Section 12.9 shall supersede and replace any other confidentiality obligations agreed to by Bank or its Affiliates.

 

24


IN WITNESS WHEREOF, the parties hereto have caused this Agreement to be executed as of the date first above written.

 

MAZE THERAPEUTICS, INC.
By:  

/s/ Jason Coloma

Name: Jason Coloma, Ph.D.
Title: Chief Executive Officer
PACIFIC WESTERN BANK
By:  

/s/ Jay McNeil

Name: Jay McNeil
Title: Managing Director


EXHIBIT A

DEFINITIONS

“Accounts” means all presently existing and hereafter arising accounts, contract rights, payment intangibles and all other forms of obligations owing to Borrower arising out of the sale or lease of goods (including, without limitation, the licensing of software and other technology) or the rendering of services by Borrower and any and all credit insurance, guaranties, and other security therefore, as well as all merchandise returned to or reclaimed by Borrower and Borrower’s Books relating to any of the foregoing.

“Advance” or “Advances” means a cash advance or cash advances under the Revolving Line.

“Affiliate” means, with respect to any Person, any Person that owns or controls directly or indirectly such Person, any Person that controls or is controlled by or is under common control with such Person, and each of such Person’s senior executive officers, directors, and general partners.

“Ancillary Services” means any of the following products or services requested by Borrower and approved by Bank under the Revolving Line, including, without limitation, Automated Clearing House transactions, corporate credit card services, FX Contracts, Letters of Credit, or other treasury management services.

“Ancillary Services Sublimit” means a sublimit for Ancillary Services under the Revolving Line not to exceed $500,000.

“Authorized Officer” means someone designated as such in the corporate resolution provided by Borrower to Bank in which this Agreement and the transactions contemplated hereunder are authorized by Borrower’s board of directors. If Borrower provides subsequent corporate resolutions to Bank after the Closing Date, the individual(s) designated as “Authorized Officer(s)” in the most recently provided resolution shall be the only “Authorized Officers” for purposes of this Agreement.

“Bank Expenses” means all reasonable and documented costs or expenses (including reasonable and documented attorneys’ fees and expenses, whether generated by in-house or by outside counsel) incurred in connection with the preparation, negotiation, administration, and enforcement of the Loan Documents; reasonable Collateral audit fees; and Bank’s reasonable and documented attorneys’ fees and expenses (whether generated in-house or by outside counsel) incurred in amending, enforcing or defending the Loan Documents (including fees and expenses of appeal), incurred before, during and after an Insolvency Proceeding, whether or not suit is brought.

“Borrower’s Books” means all of Borrower’s books and records including: ledgers; records concerning Borrower’s assets or liabilities, the Collateral, business operations or financial condition; and all computer programs, or tape files, and the equipment, containing such information.


“Business Day” means any day that is not a Saturday, Sunday, or other day on which banks in the State of North Carolina are authorized or required to close.

“Capitalized Expenditures” means current period unfinanced cash expenditures that are capitalized and amortized over a period of time in accordance with GAAP, including but not limited to capitalized cash expenditures for capital equipment, capitalized manufacturing and labor costs as they relate to inventory, but not capitalized cash expenditures for software development.

“Cash” means unrestricted cash and cash equivalents.

“Change in Control” shall mean a transaction other than a bona fide equity financing or series of financings on terms and from investors reasonably acceptable to Bank in which any “person” or “group” (within the meaning of Section 13(d) and 14(d)(2) of the Securities Exchange Act of 1934) becomes the “beneficial owner” (as defined in Rule 13d-3 under the Securities Exchange Act of 1934), directly or indirectly, of a sufficient number of shares of all classes of stock then outstanding of Borrower ordinarily entitled to vote in the election of directors, empowering such “person” or “group” to elect a majority of the Board of Directors of Borrower, who did not have such power before such transaction.

“Closing Date” means the date of this Agreement.

“Code” means the New York Uniform Commercial Code as amended or supplemented from time to time.

“Collateral” means the property described on Exhibit B attached hereto and all Negotiable Collateral to the extent not described on Exhibit B, except to the extent any such property (i) is nonassignable by its terms without the consent of the licensor thereof or another party (but only to the extent such prohibition on transfer is enforceable under applicable law, including, without limitation, Sections §25-9-406 and §25-9-408 of the Code), (ii) the granting of a security interest therein is contrary to applicable law, provided that upon the cessation of any such restriction or prohibition, such property shall automatically become part of the Collateral, (iii) constitutes the capital stock of a controlled foreign corporation (as defined in the IRC), in excess of 65% of the voting power of all classes of capital stock of such controlled foreign corporations entitled to vote, or (iv) property (including any attachments, accessions or replacements) that is subject to a Lien that is permitted pursuant to clause (c) of the definition of Permitted Liens, if the grant of a security interest with respect to such property pursuant to this Agreement would be prohibited by the agreement creating such Permitted Lien or would otherwise constitute a default thereunder, provided, that such property will be deemed “Collateral” hereunder upon the termination and release of such Permitted Lien.

“Compliance Certificate” means a compliance certificate, in substantially the form of Exhibit D attached hereto, executed by a Responsible Officer of the Borrower.

“Contingent Obligation” means, as applied to any Person, any direct or indirect liability, contingent or otherwise, of that Person with respect to (i) any indebtedness, lease, dividend, letter of credit or other obligation of another, including, without limitation, any such obligation directly or indirectly guaranteed, endorsed, co-made or discounted or sold with recourse by that Person, or in respect of which that Person is otherwise directly or indirectly liable; (ii) any obligations with

 

27


respect to undrawn letters of credit, corporate credit cards or merchant services issued for the account of that Person; and (iii) all obligations arising under any interest rate, currency or commodity swap agreement, interest rate cap agreement, interest rate collar agreement, or other agreement or arrangement designated to protect a Person against fluctuation in interest rates, currency exchange rates or commodity prices; provided, however, that the term “Contingent Obligation” shall not include endorsements for collection or deposit in the ordinary course of business. The amount of any Contingent Obligation shall be deemed to be an amount equal to the stated or determined amount of the primary obligation in respect of which such Contingent Obligation is made or, if not stated or determinable, the maximum reasonably anticipated liability in respect thereof as determined by such Person in good faith; provided, however, that such amount shall not in any event exceed the maximum amount of the obligations under the guarantee or other support arrangement.

“Copyrights” means any and all copyright rights, copyright applications, copyright registrations and like protections in each work or authorship and derivative work thereof, whether published or unpublished and whether or not the same also constitutes a trade secret, now or hereafter existing, created, acquired or held.

“Credit Extension” means each Advance, Letter of Credit or any other extension of credit by Bank to or for the benefit of Borrower hereunder.

“E-System” means any electronic system approved by Bank, including any Internet or extranet- based site, whether such electronic system is owned, operated or hosted by Bank, any of its Affiliates or any other Person, providing for access to data protected by passcodes or other security system, or otherwise used to facilitate communication between Borrower and Bank with respect to the Loan Documents.

“Environmental Laws” means all laws, rules, regulations, orders and the like issued by any federal state, local foreign or other governmental or quasi-governmental authority or any agency pertaining to the environment or to any hazardous materials or wastes, toxic substances, flammable, explosive or radioactive materials, asbestos or other similar materials.

“Equipment” means all present and future machinery, equipment, tenant improvements, furniture, fixtures, vehicles, tools, parts and attachments in which Borrower has any interest.

“ERISA” means the Employee Retirement Income Security Act of 1974, as amended, and the regulations thereunder.

“Event of Default” has the meaning assigned in Article 8.

“FX Contracts” means contracts between Borrower and Bank for foreign exchange transactions.

“Foreign Exchange Reserve Percentage” means a percentage of reserves for FX Contracts as determined by Bank, in its sole discretion from time to time.

“Funding Milestone” means the receipt by Borrower after the Closing Date of not less than One Hundred Fifty Million Dollars ($150,000,000) in aggregate from the sale of equity securities and/or upfront nonrefundable payments from strategic partnerships.

 

28


“GAAP” means generally accepted accounting principles, consistently applied, as in effect from time to time in the United States.

“Indebtedness” means (a) all indebtedness for borrowed money or the deferred purchase price of property or services, including without limitation reimbursement and other obligations with respect to surety bonds and letters of credit, (b) all obligations evidenced by notes, bonds, debentures or similar instruments, (c) all capital lease obligations, and (d) all Contingent Obligations, including but not limited to any sublimit contained herein.

“Insolvency Proceeding” means any proceeding commenced by or against any Person or entity under any provision of the United States Bankruptcy Code, as amended, or under any other bankruptcy or insolvency law, including assignments for the benefit of creditors, formal or informal moratoria, compositions, extension generally with its creditors, or proceedings seeking reorganization, arrangement, or other relief.

“Intellectual Property” means all of Borrower’s right, title, and interest in and to the following:

(a) Copyrights, Trademarks and Patents;

(b) Any and all trade secrets, and any and all intellectual property rights in computer software and computer software products now or hereafter existing, created, acquired or held;

(c) Any and all design rights which may be available to Borrower now or hereafter existing, created, acquired or held; and

(d) All amendments, renewals and extensions of any of the Copyrights, Trademarks or Patents.

“Inventory” means all present and future inventory in which Borrower has any interest.

“Investment” means any beneficial ownership of (including stock, partnership or limited liability company interest or other securities) any Person, or any loan, advance or capital contribution to any Person.

“Investment Agreement” means, collectively, Borrower’s stock purchase and other agreement(s) pursuant to which Borrower most recently issued its preferred stock.

“IRC” means the Internal Revenue Code of 1986, as amended, and the regulations thereunder.

“Letter of Credit” means a commercial or standby letter of credit or similar undertaking issued by Bank (or any of its correspondent banks) at Borrower’s request.

“Letter of Credit Exposure” means, as of any date of determination, the sum, without duplication, of (i) the aggregate undrawn amount of all outstanding Letters of Credit and any obligations of Bank related to purchased participations or indemnity or reimbursement obligations with respect to Letters of Credit, plus (ii) the aggregate unreimbursed amount of all drawn Letters of Credit until such amount becomes an Advance under the terms of this Agreement.

 

29


“Lien” means any mortgage, lien, deed of trust, charge, pledge, security interest or other encumbrance.

“Loan Documents” means, collectively, this Agreement, any note or notes executed by Borrower, and any other document, instrument or agreement entered into in connection with this Agreement, all as amended or extended from time to time.

“Material Adverse Effect” means a material adverse effect on (i) the operations, business or financial condition of Borrower and its Subsidiaries taken as a whole, (ii) the ability of Borrower to repay the Obligations or otherwise perform its material obligations under the Loan Documents, or (iii) Borrower’s interest in, or the value, perfection or priority of Bank’s security interest in the Collateral.

“Maturity Date” means November 27, 2026.

“Negotiable Collateral” means all of Borrower’s present and future letters of credit of which it is a beneficiary, drafts, instruments (including promissory notes), securities, documents of title, and chattel paper, and Borrower’s Books relating to any of the foregoing.

“Obligations” means all debt, principal, interest, Bank Expenses and other amounts owed to Bank by Borrower pursuant to this Agreement or any other agreement, whether absolute or contingent, due or to become due, now existing or hereafter arising, including any interest that accrues after the commencement of an Insolvency Proceeding and including any debt, liability, or obligation owing from Borrower to others that Bank may have obtained by assignment or otherwise.

“Patents” means all patents, patent applications and like protections including without limitation improvements, divisions, continuations, renewals, reissues, extensions and continuations-in-part of the same.

“Periodic Payments” means all installments or similar recurring payments that Borrower may now or hereafter become obligated to pay to Bank pursuant to the terms and provisions of any instrument, or agreement now or hereafter in existence between Borrower and Bank.

“Permitted Indebtedness” means:

(a) Indebtedness of Borrower in favor of Bank arising under this Agreement or any other Loan Document;

(b) Indebtedness existing on the Closing Date and disclosed in the Schedule;

(c) Indebtedness not to exceed $2,500,000 in the aggregate at any time secured by a lien described in clause (c) of the defined term “Permitted Liens,” provided such Indebtedness does not exceed at the time it is incurred the lesser of the cost or fair market value of the property financed with such Indebtedness;

(d) Subordinated Debt;

(e) Indebtedness to trade creditors incurred in the ordinary course of business;

 

30


(f) Indebtedness under corporate credit card facilities;

(g) (i) Indebtedness of Borrower or a Subsidiary that is a co-borrower hereunder or a secured guarantor of the Obligations (each a “Loan Party”) to another Loan Party, (ii) Indebtedness of a Subsidiary that is not a Loan Party to another Subsidiary that is not a Loan Party, and (iii) Indebtedness of a Subsidiary that is not a Loan Party to a Loan Party not to exceed $500,000 in the aggregate in any fiscal year; and

(h) Extensions, refinancings and renewals of any items of Permitted Indebtedness, provided that the principal amount is not increased or the terms modified to impose more burdensome terms upon Borrower or its Subsidiary, as the case may be.

“Permitted Investment” means:

(a) Investments existing on the Closing Date disclosed in the Schedule;

(b) (i) Marketable direct obligations issued or unconditionally guaranteed by the United States of America or any agency or any State thereof maturing within one year from the date of acquisition thereof, (ii) commercial paper maturing no more than one year from the date of creation thereof and currently having rating of at least A-2 or P-2 from either Standard & Poor’s Corporation or Moody’s Investors Service, (iii) Bank’s certificates of deposit maturing no more than one year from the date of investment therein, and (iv) Bank’s money market accounts; (v) Investments in regular deposit or checking accounts held with Bank or as otherwise permitted by, and subject to the terms and conditions of, Section 6.6 of this Agreement; and (vi) Investments consistent with any investment policy adopted by the Borrower’s board of directors;

(c) Investments consisting of the endorsement of negotiable instruments for deposit or collection or similar transactions in the ordinary course of Borrower’s business;

(d) Investments accepted in connection with Permitted Transfers;

(e) (i) Investments of Subsidiaries in or to Borrower or any other Subsidiaries or Borrower, (ii) Investments of any Loan Party in any other Loan Party, and (iii) and Investments by any Loan Party in Subsidiaries that are not Loan Parties not to exceed $500,000 in the aggregate in any fiscal year;

(f) Investments not to exceed $250,000 outstanding in the aggregate at any time consisting of (i) travel advances and employee relocation loans and other employee loans and advances in the ordinary course of business, and (ii) loans to employees, officers or directors relating to the purchase of equity securities of Borrower or its Subsidiaries pursuant to employee stock purchase plan agreements approved by Borrower’s Board of Directors;

(g) Investments consisting of the creation of a New Subsidiary for the purpose of consummating an acquisition permitted under this Agreement;

(h) Investments (including debt obligations) received in connection with the bankruptcy or reorganization of customers or suppliers and in settlement of delinquent obligations of, and other disputes with, customers or suppliers arising in the ordinary course of Borrower’s business;

 

31


(i) Investments consisting of notes receivable of, or prepaid royalties and other credit extensions, to customers and suppliers who are not Affiliates, in the ordinary course of business, provided that this subparagraph (g) shall not apply to Investments of Borrower in any Subsidiary;

(j) Joint ventures or strategic alliances in the ordinary course of Borrower’s business consisting of the non-exclusive licensing of technology, the development of technology or the providing of technical support, provided that any cash Investments by Borrower do not exceed $250,000 in the aggregate in any fiscal year; and

(k) Investments permitted under Section 7.3.

“Permitted Liens” means the following:

(a) Any Liens existing on the Closing Date and disclosed in the Schedule (excluding Liens to be satisfied with the proceeds of the Credit Extensions) or arising under this Agreement, the other Loan Documents, or any other agreement in favor of Bank;

(b) Liens for taxes, fees, assessments or other governmental charges or levies, either not delinquent or being contested in good faith by appropriate proceedings and for which Borrower maintains adequate reserves;

(c) Liens not to exceed $2,500,000 in the aggregate at any time (i) upon or in any Equipment (other than Equipment financed by a Credit Extension) acquired or held by Borrower or any of its Subsidiaries to secure the purchase price of such Equipment or indebtedness incurred solely for the purpose of financing the acquisition or lease of such Equipment, or (ii) existing on such Equipment at the time of its acquisition, in each case provided that the Lien is confined solely to the property so acquired and improvements thereon, and the proceeds of such Equipment;

(d) Liens incurred in connection with the extension, renewal or refinancing of the indebtedness secured by Liens of the type described in clauses Error! Reference source not found. through Error! Reference source not found. above, provided that any extension, renewal or replacement Lien shall be limited to the property encumbered by the existing Lien and the principal amount of the indebtedness being extended, renewed or refinanced does not increase;

(e) Liens of carriers, warehousemen, suppliers, or other Persons that are possessory in nature arising in the ordinary course of business so long as such Liens attach only to Inventory, securing liabilities in the aggregate amount not to exceed $500,000 and which are not delinquent or remain payable without penalty or which are being contested in good faith and by appropriate proceedings which proceedings have the effect of preventing the forfeiture or sale of the property subject thereto;

(f) Liens to secure payment of workers’ compensation, employment insurance, old-age pensions, social security and other like obligations incurred in the ordinary course of business (other than Liens imposed by ERISA);

(g) Liens arising from judgments, decrees or attachments in circumstances not constituting an Event of Default under Sections 8.4 (attachment) or 8.8 (judgments);

 

32


(h) leases or subleases of real property granted in the ordinary course of Borrower’s business (or, if referring to another Person, in the ordinary course of such Person’s business), and leases, subleases, non-exclusive licenses or sublicenses of personal property (other than Intellectual Property) granted in the ordinary course of Borrower’s business (or, if referring to another Person, in the ordinary course of such Person’s business), if the leases, subleases, licenses and sublicenses do not prohibit granting Bank a security interest therein;

(i) non-exclusive licenses of Intellectual Property granted to third parties in the ordinary course of business, and licenses of Intellectual Property that could not result in a legal transfer of title of the licensed property that may be exclusive in respects other than territory and that may be exclusive as to territory only as to discreet geographical areas outside of the United States;

(j) Liens in favor of other financial institutions arising in connection with Borrower’s or a Subsidiary’s deposit and/or securities accounts held at such institutions, provided that such deposit and/or security accounts are permitted to be maintained under Section 6.6;

(k) Until January 27, 2023, Liens securing Indebtedness permitted under clause (f) of the definition of “Permitted Indebtedness”;

(l) deposits securing lease obligations;

(f) Liens securing Subordinated Debt, provided that such Liens do not encumber assets beyond those assets comprising the Collateral.

“Permitted Transfer” means the conveyance, sale, lease, transfer or disposition by Borrower or any Subsidiary of:

(a) Inventory in the ordinary course of business;

(b) Transfers constituting Permitted Liens under clause (i) of the definition thereof;

(c) licenses and similar arrangements for the use of the property of Borrower or its Subsidiaries in the ordinary course of business;

(d) worn-out, surplus or obsolete Equipment not financed with the proceeds of Credit Extensions;

(e) grants of security interests and other Liens that constitute Permitted Liens; and

(f) other assets of Borrower or its Subsidiaries that do not in the aggregate exceed $250,000 during any fiscal year.

“Person” means any individual, sole proprietorship, partnership, limited liability company, joint venture, trust, unincorporated organization, association, corporation, institution, public benefit corporation, firm, joint stock company, estate, entity or governmental agency.

“Prime Rate” means the variable rate of interest, per annum, most recently announced by Bank, as its “prime rate,” whether or not such announced rate is the lowest rate available from Bank.

 

33


“Responsible Officer” means each of the Chief Executive Officer, the Chief Operating Officer, the Chief Financial Officer, Treasurer, Vice President of Finance and the Controller of Borrower, as well as any other officer or employee identified as an Authorized Officer in the corporate resolution delivered by Borrower to Bank in connection with this Agreement.

“Revolving Line” means a Credit Extension of up to Fifty Million Dollars ($50,000,000) (inclusive of any amounts reserved under the Ancillary Services Sublimit.

“Revolving Maturity Date” means June 27, 2025.

“Schedule” means the schedule of exceptions attached hereto and approved by Bank, if any.

“Shares” means (i) sixty-five percent (65%) of the issued and outstanding capital stock, membership units or other securities owned or held of record by Borrower in any Subsidiary of Borrower which is not an entity organized under the laws of the United States or territory thereof, and (ii) one hundred percent (100%) of the issued and outstanding capital stock, membership units or other securities owned or held of record by Borrower in any Subsidiary of Borrower which is an entity organized under the laws of the United States or any territory thereof.

“SOS Reports” means the official reports from the Secretaries of State of the state where Borrower’s chief executive office is located, the state of Borrower’s formation and other applicable federal, state or local government offices identifying all current security interests filed in the Collateral and Liens of record as of the date of such report.

“Subordinated Debt” means any debt incurred by Borrower that is subordinated in writing to the debt owing by Borrower to Bank on terms reasonably acceptable to Bank (and identified as being such by Borrower and Bank).

“Subsidiary” means any corporation, partnership or limited liability company or joint venture in which (i) any general partnership interest or (ii) more than 50% of the stock, limited liability company interest or joint venture of which by the terms thereof ordinary voting power to elect the Board of Directors, managers or trustees of the entity, at the time as of which any determination is being made, is owned by Borrower, either directly or through an Affiliate.

“Success Fee Event” means (a) any sale, license, or other disposition of all or substantially all of the assets (including Intellectual Property) of Borrower and its Subsidiaries, taken as a whole, (b) any reorganization, consolidation, merger or sale of the voting securities of Borrower or any other similar transaction where the holders of Borrower’s securities before the transaction beneficially own less than 50% of the outstanding voting securities of the surviving entity after the transaction, or (c) the sale or issuance of Borrower’s or an Affiliate’s equity securities in connection with an initial public offering, an alternative public offering, a reverse merger, or any similar transaction in which Borrower or any of its Affiliates receive cash proceeds from such sale or issuance and Borrower or such Affiliate’s equity securities may thereafter be traded in a public market. For the avoidance of doubt, Success Fee Event shall exclude any private capital raise, other than as listed in cluse (b), above, that does not result in Borrower’s or any of its Affiliate’s equity securities being traded in a public market.

 

34


“Trademarks” means any trademark and servicemark rights, whether registered or not, applications to register and registrations of the same and like protections, and the entire goodwill of the business of Borrower connected with and symbolized by such trademarks.

 

35


DEBTOR    MAZE THERAPEUTICS, INC.

SECURED PARTY: PACIFIC WESTERN BANK

EXHIBIT B

COLLATERAL DESCRIPTION ATTACHMENT

TO LOAN AND SECURITY AGREEMENT

All personal property of Borrower (herein referred to as “Borrower” or “Debtor”) whether presently existing or hereafter created or acquired, and wherever located, including, but not limited to:

(a) all accounts (including health-care-insurance receivables), chattel paper (including tangible and electronic chattel paper), deposit accounts, documents (including negotiable documents), equipment (including all accessions and additions thereto), financial assets, general intangibles (including patents, trademarks, copyrights, goodwill, payment intangibles, domain names and software), goods (including fixtures), instruments (including promissory notes), inventory (including all goods held for sale or lease or to be furnished under a contract of service, and including returns and repossessions), investment property (including securities and securities entitlements), letter of credit rights, money, and all of Debtor’s books and records with respect to any of the foregoing, and the computers and equipment containing said books and records;

(b) any and all cash proceeds and/or noncash proceeds of any of the foregoing, including, without limitation, insurance proceeds, and all supporting obligations and the security therefor or for any right to payment. All terms above have the meanings given to them in the New York Uniform Commercial Code, as amended or supplemented from time to time, including revised Article 9 of the Uniform Commercial Code-Secured Transactions.

Notwithstanding the foregoing, the Collateral shall not include any of the intellectual property, in any medium, of any kind or nature whatsoever, now or hereafter owned or acquired or received by Borrower, or in which Borrower now holds or hereafter acquires or receives any right or interest (collectively, the “Intellectual Property”); provided, however, that the Collateral shall include all accounts and general intangibles that consist of rights to payment and proceeds from the sale, licensing or disposition of all or any part, or rights in, the foregoing (the “Rights to Payment”).

Notwithstanding the foregoing, if a judicial authority (including a U.S. Bankruptcy Court) holds that a security interest in the underlying Intellectual Property is necessary to have a security interest in the Rights to Payment, then the Collateral shall automatically, and effective as of June 27, 2022, include the Intellectual Property to the extent and only to the extent necessary to permit perfection of Bank’s security interest in the Rights to Payment, and further provided, however, that Bank’s enforcement rights with respect to any security interest in the Intellectual Property shall be absolutely limited to the Rights to Payment only, and Bank shall have no recourse whatsoever with respect to the underlying Intellectual Property.


EXHIBIT C

LOAN ADVANCE/PAYDOWN REQUEST FORM


EXHIBIT D

COMPLIANCE CERTIFICATE


FIRST AMENDMENT AND WAIVER TO

LOAN AND SECURITY AGREEMENT

This First Amendment and Waiver to Loan and Security Agreement (this “Amendment”) is entered into as of March 25, 2024 (the “First Amendment Effective Date”), by and between BANC OF CALIFORNIA (formerly known as Pacific Western Bank), a California state-chartered bank (“Bank”), and MAZE THERAPEUTICS, INC., a Delaware corporation (“Borrower”).

RECITALS

A. Borrower and Bank are parties to that certain Loan and Security Agreement dated as of June 27, 2022 (as amended, restated, supplemented, or otherwise modified from time to time, collectively, the “Agreement”).

B. Borrower and Bank wish to amend certain provisions of the Agreement in accordance with the terms of this Amendment.

C. Borrower acknowledges it is currently in default under Section 6.6 of the Agreement for failing to maintain the banking account requirements with respect to the accounts at JPMorgan Chase & Co. through the date hereof (collectively, the “Waived Default”). Borrower has requested that Bank waive its rights and remedies against Borrower, limited specifically to the Waived Default. Although Bank is under no obligation to do so, Bank is willing to not exercise its rights and remedies against Borrower related to the specific Waived Default on the terms and conditions set forth in this Amendment.

NOW, THEREFORE, the parties agree as follows:

13. Incorporation. The foregoing preamble and recitals are incorporated herein by this reference.

14. Default Waiver. Bank waives filing any legal action or instituting or enforcing any rights and remedies it may have against Borrower with respect to the Waived Default. Bank’s waiver of Borrower’s compliance with Section 6.6 of the Agreement shall apply only with respect to Borrower’s failure to do so prior to and as of the date hereof. Accordingly, hereinafter, Borrower shall be in compliance with such section. Bank’s agreement to waive the Waived Default (a) in no way shall be deemed an agreement by Bank to waive Borrower’s compliance with the above-referenced section as of all other dates, and (b) shall not limit or impair the Bank’s right to demand strict performance of such section as of all other dates after the date hereof.

15. Amendments to the Agreement.

15.1 Pacific Western Bank has changed its name to Banc of California. Bank and Borrower hereby agree that the Agreement and each other Loan Document are hereby amended wherever necessary to reflect this change.


15.2 Section 6.2(a) of the Agreement is amended and restated as follows:

(a) Borrower shall deliver to Bank: (i) as soon as available, but in any event within 45 days after the end of each calendar quarter (and within 30 days after the last day of any calendar month in which the aggregate Cash in account(s) with Bank is less than $100,000,000), a company prepared consolidated and consolidating balance sheet, income statement, and statement of cash flows covering Borrower’s operations during such period, in a form reasonably acceptable to Bank and certified by a Responsible Officer; (ii) as soon as available, but in any event within 180 days after the end of Borrower’s fiscal year, audited consolidated and consolidating financial statements of Borrower prepared in accordance with GAAP, consistently applied, together with an opinion which is either unqualified or qualified only for “going concern” on such financial statements of an independent certified public accounting firm reasonably acceptable to Bank; (iii) annual budget approved by Borrower’s Board of Directors as soon as available but not later than sixty (60) days after the last day of the preceding year; (iv) if applicable, copies of all statements, reports and notices sent or made available generally by Borrower to its security holders or to any holders of Subordinated Debt and all reports on Forms 10-K and 10-Q filed with the Securities and Exchange Commission; (v) promptly upon receipt of notice thereof, a report of any legal actions pending or threatened against Borrower or any Subsidiary that could reasonably be expected to result in damages or costs to Borrower or any Subsidiary of $250,000 or more; (vi) promptly upon receipt, each management letter prepared by Borrower’s independent certified public accounting firm regarding Borrower’s management control systems; (vii) promptly upon Bank’s written request, monthly bank statements for cash held in accounts outside Bank; and (viii) upon Bank’s reasonable requests from time to time, such budgets, sales projections, operating plans or other information, including informal pre-clinical and clinical updates on any material developments as Borrower may determine in its sole discretion.

15.3 Section 6.6 of the Agreement is amended and restated as follows:

6.6 Primary Depository. Borrower shall maintain at least seventy percent (70%) of its total Cash in a demand deposit account, money market account, or FDIC-insured cash sweep account with Bank, provided that, any amounts in excess of Seventy-Five Million Dollars ($75,000,000) are permitted to be held at Bank’s Affiliate, Banc of California Asset Management Inc. Prior to Borrower maintaining any investment accounts with Bank’s Affiliates, Borrower, Bank, and any such Affiliate shall have entered into a securities account control agreement with respect to any such investment accounts, in form and substance reasonably satisfactory to Bank. Notwithstanding the foregoing, (1) Bank shall permit Borrower to maintain up to the greater of (A) thirty percent (30%) of its Cash, or (B) Ten Million Five Hundred Thousand Dollars ($10,500,000) in accounts with persons other than Bank, subject to Borrower entering into an account control agreement with respect to any such accounts held by Borrower, in form and substance reasonably satisfactory to Bank, and (2) so long as Borrower maintains at least One Hundred Twenty-Five Million Dollars ($125,000,000) in accounts with Bank or Bank’s Affiliates (for the sake of clarity, Seventy-Five Million Dollars ($75,000,000) of which must be in a demand deposit account, money market account, or FDIC-insured cash sweep account with Bank), Bank shall permit Borrower to maintain any amounts in excess of One Hundred Twenty-Five Million Dollars ($125,000,000) in accounts with persons other than Bank. Notwithstanding anything to the contrary herein, so long as at least One Hundred Twenty- Five Million Dollars ($125,000,000) in Cash are maintained at Bank and Bank’s Affiliates, Borrower shall be permitted to maintain any additional Cash in accounts with persons other than Bank or Bank’s Affiliates that are not subject to an account control agreement.

 

49


15.4 Exhibit D (Compliance Certificate) of the Agreement is replaced in its entirety with Exhibit D (Compliance Certificate) attached hereto.

16. General. Unless otherwise defined, all initially capitalized terms in this Amendment shall be as defined in the Agreement. The Agreement, as amended, shall be and remain in full force and effect in accordance with its terms. Except as expressly set forth herein, the execution, delivery, and performance of this Amendment shall not operate as a waiver of, or as an amendment of, any right, power, or remedy of Bank under the Agreement, as in effect prior to the date hereof. Borrower ratifies and reaffirms the continuing effectiveness of all agreements entered into in connection with the Agreement and the security interest as granted as of the Closing Date continues without novation.

17. Representations. Borrower represents and warrants that the representations and warranties contained in the Agreement are true and correct in all material respects as of the First Amendment Effective Date (provided, that those representations and warranties expressly referring to another date shall be true and correct in all material respects as of such date, and provided further that any representation or warranty that contains a materiality qualification therein shall be true and correct in all respects). No Event of Default has occurred and exists under the Agreement or any other Loan Document other than as provided in this Amendment. A true and correct copy of the certificate of incorporation and bylaws of Borrower, as in effect as of the First Amendment Effective Date, have been delivered to Bank.

18. Integration. This Amendment and any documents executed in connection herewith or pursuant hereto contain the entire agreement between the parties with respect to the subject matter hereof and supersede all prior agreements, understandings, offers and negotiations, oral or written, with respect thereto and no extrinsic evidence whatsoever may be introduced in any judicial or arbitration proceeding, if any, involving this Amendment; except that any financing statements or other agreements or instruments filed by Bank with respect to any Borrower shall remain in full force and effect.

19. Counterparts. This Amendment may be executed in two or more counterparts, each of which shall be deemed an original, but all of which together shall constitute one instrument.

20. Choice of Law. The terms of Section 11 of the Agreement are incorporated by reference herein, mutatis mutandis.

21. Conditions. As a condition to the effectiveness of this Amendment, Bank shall have received, in form and substance reasonably satisfactory to Bank, the following:

21.1 this Amendment, duly executed by Borrower;

21.2 payment of all Bank Expenses, which, in each case, may be debited from any of Borrower’s deposit account maintained with Bank; and

 

50


21.3 such other documents and completion of such other matters, as Bank may reasonably request.

[REMAINDER OF PAGE INTENTIONALLY LEFT BLANK]

 

51


[SIGNATURE PAGE TO FIRST AMENDMENT AND WAIVER TO LOAN AND SECURITY AGREEMENT]

IN WITNESS WHEREOF, the undersigned have executed this Amendment as of the first date above written.

 

MAZE THERAPEUTICS, INC.
By:  

/s/ Jason Coloma

Name: Jason Coloma, Ph.D.
Title: Chief Executive Officer
BANC OF CALIFORNIA
By:  

/s/ Steve Kent

Name: Steve Kent
Title: Vice President


EXHIBIT D

COMPLIANCE CERTIFICATE

EX-10.10

Exhibit 10.10

CERTAIN CONFIDENTIAL PORTIONS OF THIS EXHIBIT WERE OMITTED AND REPLACED WITH “[***]”. A COMPLETE VERSION OF THIS EXHIBIT HAS BEEN FILED SEPARATELY WITH THE SECRETARY OF THE SECURITIES AND EXCHANGE COMMISSION PURSUANT TO AN APPLICATION REQUESTING CONFIDENTIAL TREATMENT UNDER RULE 406 OF THE SECURITIES ACT OF 1933.

Execution Version

LICENSE AGREEMENT

This LICENSE AGREEMENT (this “Agreement”) is entered into as of March 27, 2024 (the “Execution Date”) by and between Maze Therapeutics, Inc., a corporation organized and existing under the laws of Delaware (“Maze”) and Shionogi & Co., Ltd., a corporation organized and existing under the laws of Japan (“Company”). Maze and Company are each referred to herein by name or as a “Party” or, collectively, as the “Parties.”

RECITALS

WHEREAS, Maze is a biotechnology company discovering and developing therapeutic candidates that have the potential to serve as precision medicines for rare diseases and mechanistically defined subsets of common diseases, using its Maze Platform (as defined herein), including a therapeutic candidate modulating glycogen synthase 1 (“GYS1”) for the treatment of Pompe disease.

WHEREAS, Company is a pharmaceutical company with expertise in the development, manufacturing and commercialization of pharmaceutical products.

WHEREAS, Maze desires to grant to Company, and Company desires to accept from Maze, an exclusive license with respect to certain small molecule drug products that modulate GYS1, and to perform further development, manufacturing and commercialization of such drug products, subject to the terms and conditions set forth herein.

NOW, THEREFORE, in consideration of the foregoing and the mutual agreements set forth below, and for other good and valuable consideration, the receipt and sufficiency of which are hereby acknowledged, the Parties hereby agree as follows:

ARTICLE 1

DEFINITIONS

Unless specifically set forth to the contrary herein, the following terms will have the respective meanings set forth below.

1.1 “Accounting Standard” means, with respect to a Party or its Affiliate or sublicensee, GAAP or IFRS, as such Party, Affiliate or sublicensee uses for its financial reporting obligations, in each case, consistently applied.


1.2 “Acquiring Entity” means, with respect to a Party, (a) any Third Party that first becomes an Affiliate or assignee of such Party after the Effective Date as a result of a Change of Control of such Party, and (b) all of such Third Party’s Affiliates (other than such Party and its Affiliates immediately prior to the consummation of such Change of Control).

1.3 “Actions” is defined in Section 10.2.5 (Litigation and Disputes).

1.4 “Affiliate” means any Person which, directly or indirectly through one or more intermediaries, controls, is controlled by or is under common control with, another Person for so long as such Person controls, is controlled by or is under common control with such other Person. For purposes of this Section 1.4 (Definition of Affiliate) only, the term “control” (including, with correlative meanings, the terms “controlled by” and “under common control with”) as used with respect to a Person means: (a) direct or indirect ownership of 50% or more of the voting securities or other voting interest of any Person (including attribution from related parties) or (b) the possession, directly or indirectly, of the power to direct, or cause the direction of, the management and policies of such Person, whether through ownership of voting securities, by contract, as a general partner, as a manager or otherwise.

1.5 “Agreement” is defined in the preamble set forth above.

1.6 “Agreement Payment” means any payment made by a Payor to a Payee under this Agreement.

1.7 “Alliance Manager” is defined in Section 4.4 (Alliance Manager).

1.8 “Annual Net Sales” means the total Net Sales by Company, its Affiliates and its Sublicensees in the Territory for the applicable Licensed Product(s) in a particular Calendar Year, calculated in accordance with the Accounting Standard of Company, its Affiliate or Sublicensee, as applicable.

1.9 “Antitrust Counsel Only Material” is defined in Section 13.3 (HSR/Antitrust Filing Information Exchange).

1.10 “Antitrust Law” means any Applicable Law that is designed to prohibit, restrict or regulate actions having the purpose or effect of monopolization, lessening of competition or restraint of trade, including the HSR Act, the Sherman Act, the Clayton Act and the Federal Trade Commission Act.

1.11 “Antitrust Remedy” is defined in Section 13.1 (Efforts).

1.12 “Applicable Law” means all applicable laws, statutes, rules, regulations, treaties (including tax treaties), orders, judgments or ordinances having the effect of law of any national, multinational, federal, state, provincial, county, city or other political subdivision, including: (a) to the extent applicable, GCP, GLP and GMP; (b) all applicable data protection and privacy laws, rules and regulations, including, to the extent applicable, the United States Department of Health and Human Services privacy rules under the Health Insurance Portability and Accountability Act and the Health Information Technology for Economic and Clinical Health Act and the EU Data Protection Directive (Council Directive 95/46/EC) and applicable laws implementing the EU Data Protection Directive and the General Data Protection Regulation (2016/679); and (c) written governmental interpretations, the guidance related to or the application of, any of the foregoing.

 

2


1.13 “Approved Labeling” means, with respect to a Licensed Product: (a) the Regulatory Authority-approved full prescribing information for such Licensed Product; and (b) the Regulatory Authority-approved labels and other written, printed, or graphic materials on any container, wrapper, or any package insert that is used with or for such Licensed Product.

1.14 “Arbitrator” is defined in Section 14.6.3(a) (Binding Arbitration).

1.15 “Assistance Periods” is defined in Section 3.1.2 (Assistance Periods).

1.16 “Audited Party” is defined in Section 7.6.2 (Audit Rights).

1.17 “Auditing Party” is defined in Section 7.6.2 (Audit Rights).

1.18 “Auditor” is defined in Section 7.6.2 (Audit Rights).

1.19 “Background IP” is defined in Section 8.1.1 (Background IP).

1.20 “Background Know-How” is defined in Section 8.1.1 (Background IP).

1.21 “Background Patents” is defined in Section 8.1.1 (Background IP).

1.22 “Base Sales” is defined in Section 7.3.5(b) (Generic Competition; Price Reduction).

1.23 “Business Day” means any calendar day other than: (a) a Saturday or Sunday or any day on which commercial banks in either San Francisco, California or Osaka, Japan are authorized or required by Applicable Law to remain closed; or (b) December 26 through December 31.

1.24 “Calendar Quarter” means each of the three-month periods ending March 31, June 30, September 30 and December 31; provided that the first Calendar Quarter of the Term will extend from the Effective Date to the end of the then-current Calendar Quarter, and the last Calendar Quarter of the Term will extend from the first calendar day of such Calendar Quarter until the effective date of the termination or expiration of this Agreement.

1.25 “Calendar Year” means each period beginning on January 1 and ending on December 31; provided that the first Calendar Year of the Term will extend from the Effective Date to December 31 of the then-current Calendar Year, and the last Calendar Year of the Term will extend from January 1 of such Calendar Year until the effective date of the termination or expiration of this Agreement.

1.26 “Change of Control” means, with respect to a Party, from and after the Effective Date: (a) a merger or consolidation in which (i) such Party is a constituent party or (ii) an Affiliate of such Party that directly or indirectly controls such Party is a constituent party, except in the case of either clause (i) or (ii), any such merger or consolidation involving such Party or such Affiliate in which the shares of capital stock of such entity outstanding immediately prior to such merger or consolidation continue to represent, or are converted into or are exchanged for shares of capital stock which represent, immediately following such merger or consolidation, more than 50% by

 

3


voting power of the capital stock of (A) the surviving or resulting corporation or (B) a parent corporation of such surviving or resulting corporation, whether direct or indirect; (b) the sale, lease, transfer, exclusive license or other disposition, in a single transaction or series of related transactions, by such Party or an Affiliate of such Party of all or substantially all of the assets of such Party or such Affiliate taken as a whole and whether owned directly or indirectly through Affiliates (except where such sale, lease, transfer, exclusive license or other disposition is to an Affiliate of such Party existing prior to such time); or (c) any “person” or “group”, as such terms are defined in Sections 13(d) and 14(d) of the U.S. Securities Exchange Act of 1934, in a single transaction or series of related transactions, becomes the beneficial owner as defined under the U.S. Securities Exchange Act of 1934, directly or indirectly, whether by purchase or acquisition or agreement to act in concert or otherwise, of more than 50% by voting power of the then- outstanding capital stock or other equity interests of such Party or a subsidiary of such Party.

1.27 “Clinical Trial” means any clinical investigation conducted on human subjects, as that term is defined in FDA regulations at 21 C.F.R. § 312.3, or a similar clinical investigation conducted on human subjects, as defined under Applicable Law outside the United States. Without limiting the foregoing, “Clinical Trial” includes any Phase 1 Clinical Trial, Phase 1/2 Clinical Trial, Phase 2 Clinical Trial and Phase 3 Clinical Trial.

1.28 “CMC” means chemistry, manufacturing and controls.

1.29 “Code” is defined in Section 12.4.1 (Termination Right).

1.30 “Combination Product” means [***].

1.31 “Commercial Diligence Obligations” is defined in Section 6.2 (Commercial Diligence).

1.32 “Commercialization” means any and all activities directed to the commercialization of a product, including: marketing; detailing; promotion; market research; distributing; order processing; handling returns and recalls; booking sales; customer service; administering and commercially selling such product; importing, exporting and transporting such product for commercial sale; and seeking Pricing Approval of a product (if applicable), in each case, whether before or after Regulatory Approval has been obtained for such product, as well all regulatory compliance with respect to the foregoing. For clarity, [***]. When used as a verb, “Commercialize” means to engage in Commercialization.

1.33 “Commercially Reasonable Efforts” means, with respect to Company’s obligations under this Agreement, [***]. For purposes of clarity, [***].

1.34 “Company” is defined in the preamble to this Agreement.

1.35 “Company First Right Patents” is defined in Section 8.2.1(a) (First Right).

1.36 “Company Indemnitee” is defined in Section 11.1.2 (Indemnification by Maze).

1.37 “Company License” is defined in Section 2.1.1 (License to Company).

 

4


1.38 “Company Other Foreground IP” means Company Other Foreground Know- How and Company Other Foreground Patents.

1.39 “Company Other Foreground Know-How” means any Other Foreground Know- How that is first generated, conceived, discovered, created, invented or otherwise made during the Term solely by or on behalf Company or its Affiliates in the performance of activities under this Agreement.

1.40 “Company Other Foreground Patents” means any Other Foreground Patents that Cover Company Other Foreground Know-How. For clarity, [***].

1.41 “Company Program Foreground Know-How” means any Program Foreground Know-How that is first generated, conceived, discovered, created, invented or otherwise made during the Term solely by or on behalf Company or its Affiliates in the performance of activities under this Agreement.

1.42 “Company Program Foreground Patents” means any Program Foreground Patents that Cover Company Program Foreground Know-How.

1.43 “Company Reversion IP” means the Company Reversion Know-How and Company Reversion Patents.

1.44 “Company Reversion Know-How” means, with respect to a Licensed Product in the form that it exists as of the effective date of termination of this Agreement, any Company Program Foreground Know-How that is (a) Controlled by Company or any of its Affiliates as of the effective date of the termination of this Agreement and (b) actually incorporated by or on behalf of Company or its Affiliates or Sublicensees in the composition of matter, formulation of, or the method of using of such Licensed Product as of the effective date of termination of this Agreement.

1.45 “Company Reversion Patents” means, with respect to a Licensed Product in the form that it exists as of the effective date of termination of this Agreement, any Company Program Foreground Patents that (a) are Controlled by Company or any of its Affiliates as of the effective date of the termination of this Agreement and (b) Cover the composition of matter, formulation of, or the method of using such Licensed Product as of the effective date of termination of this Agreement.

1.46 “Confidential Information” means, with respect to a Disclosing Party, all confidential or proprietary information (including information communicated to the Receiving Party by or on behalf of the Disclosing Party in oral, written, visual, graphic or electronic form) Controlled by such Party, including chemical or biological materials, chemical structures, Commercialization plans, correspondence, customer lists, Research plans, Development plans, Know-How, Regulatory Materials, strategies and other information or data, in each case, that are disclosed or made available by or on behalf of such Party to the other Party pursuant to this Agreement, regardless of whether any of the foregoing are marked “confidential” or “proprietary.” Notwithstanding any provision set forth in this Agreement to the contrary: (a) (i) the Program Foreground Know-How and Company Other Foreground Know-How, and (ii) any reports provided by or on behalf of Company to Maze pursuant to Section 4.3 (Diligence Updates) or Section 7.4 (Royalty Payments and Reporting), in each case ((i) and (ii)), will be considered the Confidential Information of Company; (b) the Maze Platform Know-How will be considered the Confidential Information of Maze; and (c) any non-public Licensed Know-How and the terms of this Agreement will be considered the Confidential Information of both Parties.

 

5


1.47 “Control” means, with respect to any particular (a) item of Know-How, Patent or other intellectual property right or Regulatory Material, or (b) product or component thereof, the possession by the Person granting the applicable right, license, sublicense, access, right to use, right of reference or release to the other Person as provided herein of the power and authority (whether arising by sole, joint or other ownership interest, license, sublicense or other authorization, but in any case other than by operation of the licenses granted to a Party in this Agreement) to grant a license, sublicense, access, right to use, right of reference or release (as applicable) to (i) in the case of the foregoing clause (a), such Know-How, Patent or other intellectual property right or Regulatory Material, or (ii) in the case of the foregoing clause (b), Patents that Cover or proprietary Know-How or other intellectual property rights that are incorporated in or embody such product or component, in each case ((i) and (ii)), of the scope granted to such other Party in this Agreement without giving rise to any violation of the term of any written agreement with any Third Party existing at the time such right, license, sublicense, access, use, reference or release first comes into effect hereunder or incurring any payment obligation to such Third Party that is not subject to an agreed allocation of such payments between the Parties. “Controlled” and “Controlling” have their correlative meanings. Notwithstanding the foregoing, in the event a Party or its Affiliate undergoes a Change of Control, then such Party or its Affiliate will not be deemed to “Control” any Know-How, Patents, or other intellectual property rights or Regulatory Materials of an Acquiring Entity or other successor-in-interest of such Party or Affiliate as a result of such Change of Control unless (A) prior to the consummation of such Change of Control, such acquired Party (or Affiliate) also Controlled such Know-How, Patents, or other intellectual property rights or Regulatory Materials of such Acquiring Entity or other successor-in-interest, (B) such Know-How, Patents, or other intellectual property rights or Regulatory Materials were conceived, developed or otherwise arises from participation by employees or consultants of such Acquiring Entity or other successor-in-interest in the performance of activities under this Agreement after such Change of Control, or (C) such Know- How, Patents, or other intellectual property rights or Regulatory Materials were not used in the performance of activities under this Agreement prior to the consummation of such Change of Control, but after the consummation of such Change of Control, such acquired Party or any of its Affiliates uses such Know-How, Patents, or other intellectual property rights or Regulatory Materials in the performance of its obligations or exercise of its rights under this Agreement, in each of which cases ((A) through (C)), such Know-How, Patents, or other intellectual property rights or Regulatory Materials will be “Controlled” by such Party for purposes of this Agreement.

1.48 “Cover” means, with reference to a claim in a Patent or to a Valid Claim, as applicable, and a subject matter at issue (including any composition of matter, compound or product, or uses thereof), that the Research, Development, Manufacture, Commercialization, making, using, offering to sell, selling, importing, exporting or other Exploitation of such subject matter would infringe such claim or Valid Claim in the country in which such activity occurs without a license thereto or ownership thereof.

1.49 “Cure Period” is defined in Section 12.2.1 (Termination Right).

 

6


1.50 “Damages” means all losses, costs, claims, damages, judgments, liabilities and expenses (including reasonable attorneys’ fees and other reasonable out-of-pocket costs in connection therewith).

1.51 “Derivatives” means [***].

1.52 “Development” means clinical drug development activities and other development activities with respect to a product, including: Clinical Trials (and other trials commenced after Regulatory Approval); test method development and stability testing; toxicology and other non- clinical studies; formulation; process development; qualification; validation; quality assurance and quality control; statistical analysis and report writing; the preparation and submission of INDs and MAAs; medical and regulatory affairs with respect to the foregoing; and all other activities necessary or useful or otherwise requested or required by a Regulatory Authority or as a condition or in support of obtaining or maintaining a Regulatory Approval for a product. For clarity, [***].

1.53 “Development Diligence Obligations” is defined in Section 4.2 (Development Diligence).

1.54 “Development Milestone Event” is defined in Section 7.2.1(a) (Development Milestone Payments).

1.55 “Development Milestone Payment” is defined in Section 7.2.1(a) (Development Milestone Payments).

1.56 “Disclosing Party” is defined in Section 9.1 (Nondisclosure).

1.57 “Dispute” is defined in Section 14.6.2 (Dispute Escalation).

1.58 “DOJ” is defined in Section 13.2 (Filings).

1.59 “Dollars” or “$” means the legal tender of the United States.

1.60 “Effective Date” means the later of: (a) if a determination is made pursuant to Section 13.2 (Filings) that an HSR/Antitrust Filing is not required to be made under any Antitrust Law for this Agreement, the date of such determination; or (b) if a determination is made pursuant to Section 13.2 (Filings) that an HSR/Antitrust Filing is required to be made under any Antitrust Law for this Agreement, the earliest date on which the Parties have actual knowledge that all applicable waiting periods under the HSR Act and any comparable waiting periods as required under any other Antitrust Law, in each case, with respect to the transactions contemplated by this Agreement, have expired or have been terminated.

1.61 “Electronic Delivery” is defined in Section 14.11 (Counterparts).

1.62 “EMA” is defined in Section 1.177 (Definition of Regulatory Authority).

1.63 “Enforcing Party” means the Party that is responsible for enforcement with respect to a given Patent under Section 8.3.2(a) (Company First Right Patents) or Section 8.3.2(b) (Maze Other Foreground Patents), as applicable.

 

7


1.64 “EU” means all countries that are officially recognized as member states of the European Union at any particular time.

1.65 “Execution Date” is defined in the preamble to this Agreement.

1.66 “Executive Officer” means: (a) with respect to Maze, [***]; and (b) with respect to Company, [***].

1.67 “Existing Contractor” is defined in Section 3.1.1 (Transition Assistance).

1.68 “Exploit” means to make, have made, use, import, export, offer to sell, sell, Research, Develop, Manufacture, perform medical affairs activities for, Commercialize, or otherwise exploit. “Exploitation” will be construed accordingly.

1.69 “Extraneous Maze Platform Know-How” is defined in Section 3.4 (Know-How and Material Transfer).

1.70 “FCPA” means the United States Foreign Corrupt Practices Act (15 U.S.C. § 78dd- 1, et seq.).

1.71 “FDA” is defined in Section 1.177 (Definition of Regulatory Authority).

1.72 “FFDCA” means the United States Federal Food, Drug, and Cosmetic Act, 21 U.S.C. 301, et. seq., and the rules, regulations, guidance, guidelines and requirements promulgated or issued thereunder.

1.73 “Field” means any and all uses or purposes, including the treatment, prophylaxis, palliation, diagnosis or prevention of any human or animal disease, disorder or condition.

1.74 “First Commercial Sale” means, on a Licensed Product-by-Licensed Product and country-by-country basis, the first sale of such Licensed Product for monetary value in such country for use or consumption by the general public following receipt of all Regulatory Approvals (excluding any Pricing Approvals) that are required in order to sell such Licensed Product in such country and for which any of Company or its Affiliates or Sublicensees has invoiced sales of such Licensed Product in such country.

1.75 “Force Majeure Event” is defined in Section 14.3 (Force Majeure).

1.76 “Foreground IP” means Foreground Know-How and Foreground Patents.

1.77 “Foreground Know-How” means any Know-How that is first generated, conceived, created, invented or otherwise made during the Term by or on behalf of either or both Parties or their respective Affiliates in the performance of activities under this Agreement.

1.78 “Foreground Patents” means any Patents that Cover any Foreground Know-How.

1.79 “FTC” is defined in Section 13.2 (Filings).

 

8


1.80 “FTE” means the equivalent of the work of one duly qualified employee of Maze full time for one year (consisting of a total of [***] working hours per year) carrying out scientific or technical work under this Agreement. Overtime and work on weekends, holidays, and the like, in each case, will not be counted with any multiplier (e.g., time-and-a-half or double time) toward the number of hours that are used to calculate the FTE contribution. The portion of an FTE billable by Maze for one individual during a given accounting period will be determined by dividing the number of hours worked directly by such individual on the work to be conducted under this Agreement during such accounting period and the number of FTE hours applicable for such accounting period based on [***] working hours per Calendar Year.

1.81 “FTE Rate” means $[***] per FTE per Calendar Year, which for the Calendar Year ending on December 31, 2024 will be pro-rated for the period beginning on the Effective Date and ending on December 31, 2024.

1.82 “GAAP” means the U.S. generally accepted accounting principles.

1.83 “GCP” means all applicable then-current good clinical practice standards for the design, conduct, performance, monitoring, auditing, recording, analysis and reporting of Clinical Trials as are promulgated by applicable Regulatory Authorities in the relevant country that provide for, among other things, assurance that the clinical data and reported results are credible and accurate and protect the rights, integrity and confidentiality of trial subjects, including, as applicable: (a) as set forth in the International Conference on Harmonization of Technical Requirements for Registration of Pharmaceuticals for Human Use Harmonized Tripartite Guideline for Good Clinical Practice (CPMP/ICH/135/95), as may be applicable from time to time; (b) as set forth in the Declaration of Helsinki (2004), as last amended at the 52nd World Medical Association in October 2000, as may be applicable from time to time; (c) as set forth in the U.S. Code of Federal Regulations Title 21, Parts 50 (Protection of Human Subjects), 56 (Institutional Review Boards) and 312 (Investigational New Drug Application), as may be applicable from time to time; and (d) the equivalent practices, standards and regulations promulgated or endorsed by the applicable Regulatory Authorities elsewhere in the Territory, as may be applicable from time to time, to the extent such standards are not less stringent than United States GCP.

1.84 “Generic Competition” means, with respect to a Licensed Product in a country in the Territory, the sale of one or more Generic Product(s) of such Licensed Product in such country.

1.85 “Generic Product” means, with respect to a Licensed Product in a country in the Territory, a pharmaceutical product that: (a) is approved for use in such country pursuant to a regulatory approval process governing approval of a generic product of such Licensed Product based on the then-current standards for Regulatory Approval in such country, based upon all or part of the clinical data generated by the Parties pursuant to this Agreement or obtained using an abbreviated, expedited or other process; and (b) is sold in the same country as such Licensed Product by any Third Party that (i) is not a Sublicensee (other than a Sublicensee that has been granted a sublicense to any Licensed Product by Company solely in connection with any settlement arising from the introduction of a generic product) and (ii) did not purchase such pharmaceutical product in a chain of distribution that included any of Company, its Affiliates or its Sublicensees.

 

9


1.86 “Global Trade Control Laws” means all Applicable Laws governing economic and trade sanctions, export and import control, and other similar Applicable Laws in any other jurisdiction which is the subject of this Agreement, including the U.S. Export Administration Regulations (the “EAR”); the U.S. International Traffic in Arms Regulations (the “ITAR”); the economic sanctions rules and regulations implemented under statutory authority or President’s Executive Orders and administered by the U.S. Treasury Department’s Office of Foreign Assets Control; European Union (EU) Council Regulations on export controls, including Nos. 428/2009 and 267/2012; other EU council sanctions regulations, as implemented in EU member states; United Nations sanctions policies, all relevant regulations and legislative instruments made under any of the above and other relevant economic sanctions, export and import control laws, and other laws, regulations, legislation, orders and requirements imposed by a relevant Governmental Authority.

1.87 “GLP” means all applicable then-current good laboratory practice standards as are promulgated by applicable Regulatory Authorities in the relevant country or other jurisdiction, including: (a) in the United States, those promulgated or endorsed by the FDA in U.S. 21 C.F.R. Part 58, as may be applicable from time to time; and (b) the equivalent practices, standards and regulations promulgated or endorsed by the applicable Regulatory Authorities outside the United States, as may be applicable from time to time, to the extent such practices, standards and regulations are not less stringent than United States GLP.

1.88 “GMP” means all applicable then-current good manufacturing practice standards as are promulgated by applicable Regulatory Authorities in the relevant country or other jurisdiction, including, as applicable, as promulgated under and in accordance with: (a) the principles detailed in the U.S. Current Good Manufacturing Practices, 21 C.F.R. Parts 4, 210, 211, 601, 610 and 820, as may be applicable from time to time; (b) European Directive 2003/94/EC and EudraLex 4, as may be applicable from time to time; (c) the principles detailed in the International Conference on Harmonization’s Q7 Guideline, as may be applicable from time to time; and (d) the equivalent practices, standards and regulations promulgated or endorsed by the applicable Regulatory Authorities elsewhere in the Territory, as may be applicable from time to time, to the extent such practices, standards and regulations are not less stringent than United States GMP.

1.89 “Governmental Authority” means any: (a) federal, state, local, municipal, foreign or other government; (b) governmental or quasi-governmental authority of any nature (including any agency, board, body, branch, bureau, commission, council, department, entity, governmental division, instrumentality, office, officer, official, organization, representative, subdivision, unit and any court or other tribunal); (c) multinational governmental organization or body; or (d) entity or body exercising, or entitled to exercise, any executive, legislative, judicial, administrative, regulatory, police, military or taxing authority or power of any nature (including any arbiter). Governmental Authorities include all Regulatory Authorities.

1.90 “Governmental Restriction” is defined in Section 14.3 (Force Majeure).

1.91 “GYS1” is defined in the Recitals.

 

10


1.92 “HSR Act” means the Hart-Scott-Rodino Antitrust Improvements Act of 1976 (15 U.S.C. § 18a), and the rules and regulations promulgated thereunder.

1.93 “HSR/Antitrust Filing” means: (a) a filing by Maze and a filing by Company with the FTC and the DOJ of a Notification and Report Form for Certain Mergers and Acquisitions (as that term is defined in the HSR Act), together with all required documentary attachments thereto; or (b) any comparable filing by Maze or Company required under any other Antitrust Law, in each case ((a) or (b)), with respect to the transactions contemplated by this Agreement.

1.94 “IFRS” means the International Financial Reporting Standards.

1.95 “IND” means an investigational new drug application (including any amendment or supplement thereto) submitted to the FDA pursuant to U.S. 21 C.F.R. Part 312, including any amendments thereto. References herein to IND will include, to the extent applicable, any foreign counterpart of the foregoing filed with a Regulatory Authority outside the U.S. for the investigation of a product in any other country or group of countries (such as a Clinical Trial application in the EU, United Kingdom or Japan) in conformance with the requirements of such Regulatory Authority.

1.96 “Indemnification Claim Notice” is defined in Section 11.2.1 (Notice).

1.97 “Indemnitee” is defined in Section 11.2.1 (Notice).

1.98 “Indemnitor” is defined in Section 11.2.1 (Notice).

1.99 “Infringement” is defined in Section 8.3.1 (Notification).

1.100 “Initiation” means, with respect to any Clinical Trial, the first patient dosed for the first time in such Clinical Trial.

1.101 “Invention” means any process, method, composition of matter, article of manufacture, discovery or finding that is conceived or reduced to practice.

1.102 “JAMS” is defined in Section 14.6.3 (Binding Arbitration).

1.103 “Joint Other Foreground IP” means Joint Other Foreground Know-How and Joint Other Foreground Patents.

1.104 “Joint Other Foreground Know-How” means any Other Foreground Know-How that is first generated, conceived, discovered, created, invented or otherwise made during the Term jointly by or on behalf of Company or its Affiliates, on the one hand, and by or on behalf of Maze or its Affiliates, on the other hand, in the performance of activities under this Agreement.

1.105 “Joint Other Foreground Patents” means any Other Foreground Patents that Cover Joint Other Foreground Know-How. For clarity, [***].

1.106 “Joint Program Foreground IP” means Joint Program Foreground Know-How and Joint Program Foreground Patents.

 

11


1.107 “Joint Program Foreground Know-How” means any Program Foreground Know-How that is first generated, conceived, discovered, created, invented or otherwise made during the Term jointly by or on behalf of Company or its Affiliates, on the one hand, and by or on behalf of Maze or its Affiliates, on the other hand, in the performance of activities under this Agreement.

1.108 “Joint Program Foreground Patents” means any Program Foreground Patents that Cover Joint Program Foreground Know-How.

1.109 “Know-How” means: algorithms; data; information; Inventions; improvements; knowledge; methods (including methods of use or administration or dosing); practices; results; software; techniques; trade secrets; technology; analytical and quality control data; analytical methods, including applicable reference standards; assays; preclinical models; biomarkers; batch records; chemical structures and formulations; crystallization methods; X-ray diffraction data and analyses; compositions of matter; materials (including biological materials); formulae; synthesis route; manufacturing data; in-vitro and in-vivo pharmacological, toxicological and clinical test data and results; processes; reports; research data; research tools; sequences; standard operating procedures and techniques; in each case, whether patentable or not, and, in each case, tangible manifestations thereof.

1.110 “Licensed Compound” means:

(a) MZE001 and any other small molecule compound disclosed in the Licensed Patents set forth on Schedule 1.113 (Licensed Patents), and any Derivatives of any the foregoing described in this subsection (a);

(b) [***]; and

(c) [***]:

(i) [***], or

(ii) [***] (any such compound, a “Maze-Developed Licensed Compound”), or

(iii) [***] (any such compound a “Company-Developed Licensed Compound”); and

Further, this subsection (c) will also include any Derivatives of any of the foregoing described in this subsection (c).

1.111 “Licensed Know-How” means any Know-How, including the Know-How set forth on Schedule 1.111 (Licensed Know-How), Controlled by Maze or any of its Affiliates as of the Execution Date or at any time during the Term that is (a) related to any Licensed Compound or Licensed Product or (b) otherwise reasonably necessary to Research, Develop, Manufacture, Commercialize or otherwise Exploit any Licensed Compound or Licensed Product.

 

12


1.112 “Licensed Materials” means any assays, biological substances (and any constituents, progeny, mutants, derivatives, or replications thereof or therefrom), chemical compounds, or other tangible materials, including those listed on Schedule 1.112 (Licensed Materials), Controlled by Maze or any of its Affiliates as of the Execution Date or at any time during the Term that are (a) related to any Licensed Compound or Licensed Product or (b) otherwise reasonably necessary for the Research, Development, Manufacture, Commercialization or other Exploitation of any Licensed Compound or Licensed Product.

1.113 “Licensed Patents” means any Patents Controlled by Maze or any of its Affiliates as of the Execution Date or at any time during the Term that: (a) Cover any Licensed Compound or Licensed Product or (b) are otherwise reasonably necessary to Research, Develop, Manufacture, Commercialize or otherwise Exploit any Licensed Compound or Licensed Product. All Licensed Patents existing as of the Execution Date are set forth on Schedule 1.113 (Licensed Patents).

1.114 “Licensed Product” means any pharmaceutical preparation in final form containing one or more Licensed Compounds, alone or in combination with one or more Other Active Ingredients.

1.115 “Licensed Product Mark” is defined in Section 8.5 (Trademarks).

1.116 “Licensed Technology” means Licensed Know-How, Licensed Materials and Licensed Patents.

1.117 “LOPD” means Pompe disease that first appears in the patient after the age of one, also referred to as late-onset (or adult-onset or juvenile-onset) Pompe disease (as differentiated from the infantile form of Pompe disease that first appears in the patient before the age of one, also referred to as infantile-onset Pompe disease).

1.118 “MAA” means a Marketing Authorization Application or similar application, as applicable, and all amendments and supplements thereto, submitted to the FDA, EMA or any equivalent filing in a country or regulatory jurisdiction other than the U.S. or EU with the applicable Regulatory Authority, to obtain marketing approval for a pharmaceutical or biological product, in a country or in a group of countries.

1.119 “Major Markets” means each of the United States, Japan, France, Germany, Italy, Spain and the United Kingdom.

1.120 “Manufacture” means all activities related to the manufacturing of a compound or product or any component or ingredient thereof, including: (a) the production, manufacture, having manufactured, processing, filling, finishing, packaging, labeling, shipping and holding of product or any intermediate thereof; and (b) process development; process qualification and validation; scale-up; commercial manufacture; analytic development; product characterization; stability testing; and quality assurance and quality control. “Manufactured” and “Manufacturing” have their correlative meanings.

1.121 “Manufacturing Assistance” is defined in Section 3.1.2 (Assistance Periods).

1.122 “Maze” is defined in the preamble to this Agreement.

 

13


1.123 “Maze Background Know-How” means any Background Know-How that is Controlled by Maze or any of its Affiliates as of the Effective Date or thereafter during the Term. For clarity, [***].

1.124 “Maze CMO” means any Third Party contract manufacturing organization or other contractor involved in the Manufacture of Licensed Compounds or Licensed Products, whether prior to or following the Execution Date.

1.125 “Maze Existing Mark” is defined in Section 8.5 (Licensed Product Marks).

1.126 “Maze Indemnitee” is defined in Section 11.1.1 (Indemnification by Company).

1.127 “Maze License” is defined in Section 2.1.2 (License to Maze).

1.128 “Maze Other Foreground IP” means Maze Other Foreground Know-How and Maze Other Foreground Patents.

1.129 “Maze Other Foreground Know-How” means any Other Foreground Know-How that is first generated, conceived, created, invented or otherwise made during the Term solely by or on behalf of Maze or its Affiliates in the performance of activities under this Agreement.

1.130 “Maze Other Foreground Patents” means any Other Foreground Patents that Cover Maze Other Foreground Know-How. For clarity, [***].

1.131 “Maze Platform” means Maze’s proprietary platform known as the “Maze CompassTM” platform, which consists of [***].

1.132 “Maze Platform Know-How” means any non-public Maze Background Know- How that (a) that solely relates to the Maze Platform, and (b) is not reasonably necessary to Research, Develop, Manufacture, Commercialize or otherwise Exploit any Licensed Compound.

1.133 “Maze Program Foreground IP” means Maze Program Foreground Know-How and Maze Program Foreground Patents.

1.134 “Maze Program Foreground Know-How” means any Program Foreground Know-How that is first generated, conceived, discovered, created, invented or otherwise made during the Term solely by or on behalf of Maze or its Affiliates in the performance of activities under this Agreement.

1.135 “Maze Program Foreground Patents” means any Program Foreground Patents that Cover Maze Program Foreground Know-How.

1.136 “Maze-Developed Licensed Compound” is defined in Section 1.110 (Definition of Licensed Compound).

1.137 “MHRA” is defined in Section 1.177 (Definition of Regulatory Authority).

 

14


1.138 “Milestone Event” means any Development Milestone Event or Sales Milestone Event.

1.139 “Milestone Payment” means any Development Milestone Payment or Sales Milestone Payment.

1.140 “MZE001” means the small molecule compound set forth on Schedule 1.140 (MZE001) and any Derivatives thereof.

1.141 “NDA” means, with respect to a pharmaceutical product, a New Drug Application submitted to the FDA in accordance with the FFDCA, and the rules and regulations promulgated thereunder, or any foreign counterpart to the foregoing filed with any Regulatory Authority outside the United States in conformance with the requirements of such Regulatory Authority.

1.142 “Net Sales” means[***]:

(a) [***];

(b) [***];

(c) [***];

(d) [***];

(e) [***];

(f) [***];

(g) [***];

(h) [***]; and

(i) [***].

Any of the deductions listed above that involves a payment by Company, its Affiliates or its Sublicensees will be taken as a deduction in [***] in which the payment is accrued by such entity. Net Sales will not include transfers or dispositions of such Licensed Product for pre-clinical or clinical purposes, compassionate use or as samples, in each case, without charge. Company’s, its Affiliates’ or its Sublicensees’ transfer of any Licensed Product to an Affiliate or Sublicensee will not result in any Net Sales unless the transferee is the last Person in the distribution chain of the Licensed Product.

In the event that a Licensed Product is sold in any country in the form of a Combination Product, Net Sales of such Combination Product will be adjusted by [***].

In the case of pharmacy incentive programs, hospital performance incentive programs, chargebacks, disease management programs, and similar programs or discounts on portfolio product offerings, all rebates, discounts and other forms of reimbursements will be allocated among products on the basis on which such rebates, discounts and other forms of reimbursements were actually granted; provided that any such allocation will be done in accordance with Applicable Law, including any price reporting laws, rules and regulations.

 

15


Subject to the above, Net Sales will be calculated in accordance with applicable Accounting Standards.

1.143 “New License Agreement” is defined in Section 12.5.3 (Sublicense Survival).

1.144 “Non-Enforcing Party” means the Party that is not responsible for enforcement with respect to a given Patent under Section 8.3.2(a) (Company First Right Patents) or Section 8.3.2(b) (Maze Other Foreground Patents), as applicable.

1.145 “Non-Prosecuting Party” is defined in Section 8.2.4 (Review and Comment).

1.146 “Notice of Dispute” is defined in Section 14.6.2 (Dispute Escalation).

1.147 “Other Active Ingredient” means any active pharmaceutical or biological ingredient that is not a Licensed Compound.

1.148 “Other Components” means any Other Active Ingredients, diagnostic tools, devices, excipients, delivery systems or services.

1.149 “Other Foreground IP” means Other Foreground Know-How and Other Foreground Patents.

1.150 “Other Foreground Know-How” means any Foreground Know-How that is not Program Foreground Know-How.

1.151 “Other Foreground Patents” means any Foreground Patents that are not Program Foreground Patents.

1.152 “Out-of-Pocket Costs” means, with respect to a Party, costs and expenses paid by such Party or its Affiliates to Third Parties (or payable to Third Parties and accrued in accordance with Accounting Standards), other than employees of such Party or its Affiliates.

1.153 “Outside Date” means that date that is [***] after the Execution Date.

1.154 “Party” is defined in the preamble to this Agreement.

1.155 “Patent” means: (a) any patent or patent application in any country or supranational jurisdiction worldwide, including any provisional patent application; (b) any application claiming priority to any such patent or patent application or any substitution, divisional, continuation, continuation-in-part, reissue, renewal, registration, confirmation or the like of any such patent or patent application; or (c) any extension or restoration by any existing or future extension or restoration mechanism, including revalidation, reissue, re-examination or extension, including any supplementary protection certificate of any of the foregoing.

1.156 “Payee” means a Party receiving a payment under this Agreement.

 

16


1.157 “Payor” means a Party owing or making a payment under this Agreement.

1.158 “Person” means any individual, partnership, joint venture, limited liability company, corporation, firm, trust, association, unincorporated organization, Governmental Authority or any other entity not specifically listed herein.

1.159 “Phase 1 Clinical Trial” means a Clinical Trial which provides for the first introduction into humans of a product, conducted in normal volunteers or patients to get information on product safety, tolerability, immunogenicity, pharmacological activity or pharmacokinetics, as more fully defined in 21 C.F.R. § 312.21(a) (or the foreign equivalent thereof).

1.160 “Phase 1/2 Clinical Trial” means a Clinical Trial that combines both a Phase 1 Clinical Trial and a Phase 2 Clinical Trial into a single protocol, where the Phase 1 Clinical Trial portion is performed first to: (a) establish initial safety, tolerability, pharmacokinetic and pharmacodynamic information for the Licensed Product as a monotherapy or in combination with another agent; or (b) determine the maximum tolerable dose of such Licensed Product in subjects, and the Phase 2 Clinical Trial portion is performed second to further evaluate safety or efficacy of such Licensed Product as a monotherapy or in combination with another agent in subjects treated with a selected dose.

1.161 “Phase 2 Clinical Trial” means a single randomized, placebo or active controlled Clinical Trial, the principal purposes of which are the evaluation of the efficacy of such product for a particular indication in the target patient population and a determination of the common side effects and risks associated with the product in the dosage range to be prescribed and to obtain sufficient information about the efficacy for such pharmaceutical or biological product in the disease or condition being studied to permit the design and dose of such product in a Phase 3 Clinical Trial, and otherwise consistent with 21 C.F.R. §312.21(b) (or the foreign equivalent thereof). For purposes of this Agreement, “Phase 2 Clinical Trial” will exclude in all cases any Phase 1/2 Clinical Trial.

1.162 “Phase 3 Clinical Trial” means a controlled Clinical Trial of the efficacy and safety of a product, which is prospectively designed to demonstrate statistically whether such product is effective and safe for use in a particular indication in a manner sufficient to file for a MAA for such Licensed Product without the need for additional Clinical Trials, and otherwise consistent with the requirements of US 21 C.F.R. § 312.21(c) (or the foreign equivalent thereof).

1.163 “Pivotal Clinical Trial” means a controlled Clinical Trial that is prospectively designed to demonstrate statistically that a product is safe and effective for use in a particular indication in a manner sufficient to evaluate the overall benefit-risk relationship of the product and to provide an adequate basis for physician labeling, and which, at the time of the initiation of such Clinical Trial, is intended and expected to be the primary basis for Regulatory Approval by the MHRA, EMA, the PMDA or the FDA of such product for such indication, based on discussions with the relevant Regulatory Authority. For clarity, [***].

1.164 “PMDA” is defined in Section 1.177 (Definition of Regulatory Authority).

 

17


1.165 “Pompe disease” means Glycogen storage disease type II or Pompe disease (OMIM Entry # 232300), is a lysosomal storage disease characterized by the accumulation of glycogen primarily in muscle tissue.

1.166 “Post-Termination Royalty Term” means, on a Licensed Product-by-Licensed Product and country-by-country basis, the period of time that commences upon the First Commercial Sale by Maze (as such term is applied mutatis mutandis to Maze and a Licensed Product) of such Licensed Product in such country and ends upon the latest of: (a) the expiration of the later of (i) the last Valid Claim for such Licensed Product in such country or (ii) the last Valid Claim (as such term is applied mutatis mutandis to the Company Reversion Patents licensed by Company to Maze under Section 12.5.5(a) (License to Maze)) for such Licensed Product in such country, (b) the expiration of Regulatory Exclusivity for such Licensed Product in such country or (c) 10 years after the First Commercial Sale of such Licensed Product in such country.

1.167 “Pricing Approval” means any approval, agreement, determination or decision establishing prices that can be charged to consumers for a pharmaceutical or biological product or that will be reimbursed by Governmental Authorities for a pharmaceutical or biological product, in each case, in a country where Governmental Authorities approve or determine pricing for pharmaceutical or biological products for reimbursement or otherwise.

1.168 “Program Foreground IP” means Program Foreground Know-How and Program Foreground Patents.

1.169 “Program Foreground Know-How” means any Foreground Know-How that is reasonably related to the Research, Development, Manufacture, Commercialization or other Exploitation of any (a) Licensed Compound or (b) Licensed Product.

1.170 “Program Foreground Patents” means any Foreground Patents that (a) Cover Program Foreground Know-How or (b) are otherwise reasonably related to the Research, Development, Manufacture, Commercialization or other Exploitation of any (i) Licensed Compound or (ii) Licensed Product.

1.171 “Prosecuting Party” is defined in Section 8.2.4 (Review and Comment).

1.172 “Prosecution and Maintenance” or “Prosecute and Maintain” means, with regard to a Patent, the preparation, filing, prosecution and maintenance of such Patent, as well as re-examinations, reissues and appeals with respect to such Patent, together with the initiation or defense of interferences, oppositions, inter partes review, derivations, re-examinations, post-grant proceedings and other similar proceedings (or other defense proceedings with respect to such Patent, but excluding the defense of challenges to such Patent as a counterclaim in an infringement proceeding) with respect to the particular Patent, and any appeals therefrom, and actions to obtain patent term extensions and supplementary protection certificates with respect to such Patent and the like. For clarification, “Prosecution and Maintenance” or “Prosecute and Maintain” will not include any other enforcement actions taken with respect to a Patent.

1.173 “Public Official or Entity” means: (a) any officer, employee (including physician, hospital administrator, or other healthcare professional), agent, representative, department, agency, de facto official, representative, corporate entity, instrumentality or subdivision of any government, military or public international organization, including any ministry or department of health or any state-owned or affiliated company or hospital; (b) any candidate for political office, any political party or any official of any political party; or (c) any other person acting in an official capacity for or on behalf of any of the foregoing.

 

18


1.174 “Publication” is defined in Section 9.8 (Publications).

1.175 “Receiving Party” is defined in Section 9.1 (Nondisclosure).

1.176 “Regulatory Approval” means all approvals, licenses and authorizations of the applicable Regulatory Authority necessary for the marketing and sale of a pharmaceutical or biological product for a particular indication in a country or other jurisdiction (including separate Pricing Approvals, as necessary to maximize the commercial potential of the applicable Licensed Product), and including the approvals by the applicable Regulatory Authority of any expansion or modification of the label for such indication.

1.177 “Regulatory Authority” means any national or supranational Governmental Authority, including the U.S. Food and Drug Administration (and any successor entity thereto) (the “FDA”) in the U.S., the European Medicines Agency (and any successor entity thereto) (the “EMA”) in the EU, the Medicines and Healthcare products Regulatory Agency (and any successor entity thereto) (the “MHRA”) in the United Kingdom, the Pharmaceutical and Medical Device Agency in Japan (and any successor entity thereto) (the “PMDA”) or any health regulatory authority in any country or other jurisdiction that is a counterpart to the foregoing agencies, in each case, that holds responsibility for development, manufacture, commercialization or other exploitation of, and the granting of Regulatory Approval for, a pharmaceutical or biological product in such country or other jurisdiction.

1.178 “Regulatory Exclusivity” means, with respect to a Licensed Product, any rights or protections which are recognized, afforded or granted by the FDA or any other Regulatory Authority in any country or other jurisdiction in the Territory, in association with the Regulatory Approval of the Licensed Product, providing the Licensed Product: (a) a period of marketing exclusivity, during which a Regulatory Authority recognizing, affording or granting such marketing exclusivity will refrain from either reviewing or approving a MAA or similar regulatory submission, submitted by a Third Party seeking to market a Generic Product of such Licensed Product; or (b) a period of data exclusivity, during which a Third Party seeking to market a Generic Product of such Licensed Product is precluded from either referencing or relying upon, without an express right of reference from the dossier holder, the Licensed Product’s clinical dossier or relying on previous Regulatory Authority findings of safety or effectiveness with respect to such Licensed Product to support the submission, review or approval of an NDA or similar regulatory submission before the applicable Regulatory Authority.

1.179 “Regulatory Materials” means the regulatory registrations, applications, authorizations and approvals (including approvals of MAAs, supplements and amendments, pre- and post-approvals, Pricing Approvals and labeling approvals), Regulatory Approvals and other submissions that are or have been made to or with any Regulatory Authority, including drug master files, for Research, Development (including the conduct of Clinical Trials), Manufacture, Commercialization or other Exploitation of a pharmaceutical or biological product in a regulatory jurisdiction, together with all related correspondence made to or received from any Regulatory Authority and all documents referenced in the complete regulatory chronology for each NDA, MAA, IND and foreign equivalents of any of the foregoing.

 

19


1.180 “Research” means any pre-clinical research activities (including target validation, drug discovery, identification or synthesis) with respect to a given target, pharmaceutical product, biological product, or active pharmaceutical or biological ingredient with respect to the foregoing.

1.181 “Residual Knowledge” means intangible Know-How relating to the activities of the Parties with respect to the Research, Development, Manufacture, Commercialization or other Exploitation of Licensed Compounds or Licensed Products in the Field in the Territory as and to the extent set forth in this Agreement (or otherwise to this Agreement) retained in the unaided memories of any employees or contractors of a Party or any of its Affiliates or Sublicensees.

1.182 “Reversion Royalties” is defined in Section 12.5.5(b) (Reversion Royalties).

1.183 [***].

1.184 “[***].

1.185 “Royalty Report” is defined in Section 7.4 (Royalty Payments and Reporting).

1.186 “Royalty Term” means, on a Licensed Product-by-Licensed Product and country- by-country basis, the period of time that commences upon the First Commercial Sale of such Licensed Product in such country and ends upon the latest of: (a) the expiration of the last Valid Claim for such Licensed Product in such country, (b) the expiration of Regulatory Exclusivity for such Licensed Product in such country or (c) 11 years after the First Commercial Sale of such Licensed Product in such country.

1.187 “Rules” is defined in Section 14.6.3 (Binding Arbitration).

1.188 “Sales Before Generic Competition” is defined in Section 7.3.5(b) (Generic Competition; Price Reduction).

1.189 “Sales Milestone Event” is defined in Section 7.2.2(a) (Sales Milestone Payments).

1.190 “Sales Milestone Payment” is defined in Section 7.2.2(a) (Sales Milestone Payments).

1.191 “Securities Regulator” is defined in Section 9.3.1(a) (Disclosure).

1.192 [***].

1.193 [***].

1.194 [***].

1.195 “Sublicensee” means, with respect to Company, a Third Party to whom Company has granted a sublicense or license in accordance with Section 2.2 (Sublicensing), either directly or indirectly, in each case, of the rights licensed to Company by Maze pursuant to this Agreement, to Research, Develop, Manufacture, Commercialize or otherwise Exploit a Licensed Compound or Licensed Product in the Field in the Territory, but excluding: (a) any Third Party acting as a distributor and (b) Maze and any of its Affiliates.

 

20


1.196 “Targeted Approval” means (a) the first Regulatory Approval for a Licensed Product providing in the indications section of the Approved Labeling for the use of the Licensed Product as a monotherapy for the treatment of LOPD, or (b) the first Regulatory Approval for a Licensed Product providing in the indications section of the Approved Labeling for the use of the Licensed Product as an add-on therapy for the treatment of LOPD when used in a treatment regimen together with another pharmaceutical drug that is also indicated for the treatment of LOPD. For the avoidance of doubt, if the other necessary conditions provided in the foregoing are met, then the Parties acknowledge and agree that the foregoing can be satisfied if the indications section of the Approved Labeling for the use of the Licensed Product does not differentiate between or expressly identify late-onset and infantile-onset forms of Pompe disease and thereby indicates approved labeled use for all forms of the disease, including LOPD.

1.197 “Taxes” is defined in Section 7.5.3(a) (Generally).

1.198 “Term” is defined in Section 12.1 (Term; Expiration).

1.199 “Territory” means worldwide.

1.200 “Third Party” means any Person other than Maze or Company that is not an Affiliate of Maze or of Company.

1.201 “Third Party Claim” means any and all suits, claims, actions, proceedings or demands brought by a Third Party.

1.202 “Third Party Infringement” is defined in Section 8.4.1 (Notification).

1.203 “Third Party IP” is defined in Section 7.3.6 (By Company).

1.204 “Third Party IP Payments” is defined in Section 7.3.6 (By Company).

1.205 [***].

1.206 “Threshold Activity” means, [***].

1.207 “Transition Assistance Leader” is defined in Section 3.1.1 (Transition Assistance).

1.208 “United States” or “U.S.” means the United States of America and all of its territories and possessions.

1.209 “Valid Claim” means, on a country-by-country basis, any: (a) composition of matter claim that Covers the applicable Licensed Compound or applicable Licensed Product; or (b) method of use claim that Covers the use of the applicable Licensed Product, in either case of (a) or (b) in an issued and unexpired patent within the Licensed Patents, which has not been finally held unenforceable, unpatentable or invalid by a decision of a court or other governmental agency of competent jurisdiction, or which has not been admitted to be invalid or unenforceable through abandonment, reissue, disclaimer or otherwise.

 

21


ARTICLE 2

LICENSES

2.1 License Grants.

2.1.1 License to Company. Subject to the terms and conditions of this Agreement, Maze and its Affiliates hereby grant to Company an exclusive (even as to Maze and its Affiliates, subject to Section 2.1.2 (License to Maze)), royalty-bearing, transferrable (to the extent permitted under Section 14.4 (Assignment)) and sublicensable (through multiple tiers in accordance with Section 2.2 (Sublicensing)) license under the Licensed Technology to Research, Develop, Manufacture, Commercialize and otherwise Exploit Licensed Compounds and Licensed Products (but excluding any Other Components Controlled by Maze or its Affiliates) in the Field in the Territory (the “Company License”).

2.1.2 License to Maze. Subject to the terms and conditions of this Agreement, Company hereby grants to Maze a non-exclusive, worldwide, transferrable (to the extent permitted under Section 14.4 (Assignment)) sublicense under the Company License solely to the extent necessary for Maze to perform its obligations under this Agreement (the “Maze License”).

2.2 Sublicensing.

2.2.1 Right to Sublicense. Subject to the terms and conditions of this Agreement, Company will have the right, without Maze’s consent, to (a) exercise its rights and perform its obligations under this Agreement by itself or through the engagement of any of its Affiliates and (b) subject to [***], grant sublicenses (whether directly or through multiple tiers) under the Company License to one or more Third Parties.

2.2.2 Sublicensing Requirement. The following terms will apply to each sublicense granted by either Party: (a) any such permitted sublicense will be consistent with and subject to the terms and conditions of this Agreement and (b) such Party will continue to be responsible for full performance of its obligations under this Agreement and will be responsible for all actions of such sublicensed Affiliate or Third Party, as applicable, as if such Affiliate or Third Party, as applicable, were such Party hereunder.

2.3 Residual Knowledge. Notwithstanding any provision to the contrary in this Agreement, the use or disclosure of Residual Knowledge by any employee, director, officer, advisor, consultant or agent of a Party or any of its Affiliates shall not violate the confidentiality, non-use and non-disclosure obligations set forth in this Agreement; provided that if such Residual Knowledge constitutes the Confidential Information of the Disclosing Party (a) such employee, director, officer, advisor, consultant or agent of the Receiving Party did not, and the Receiving Party or any of its Affiliates did not direct or encourage (whether directly or indirectly) such employee, director, officer, advisor, consultant or agent to intentionally memorize or retain such Residual Knowledge, and (b) the terms of this Section 2.3 (Residual Knowledge) do not comprise a grant of any license or other right to practice any Patents of a Party and do not limit or diminish the financial obligations set forth in Article 7 (Financial Terms) during the Term.

 

22


2.4 No Implied Licenses. Each Party retains all rights under Patents, Know-How or other intellectual property rights Controlled by such Party which are not expressly granted to the other Party pursuant to this Agreement. Except as otherwise expressly provided in this Agreement, under no circumstances will a Party or any of its Affiliates, as a result of this Agreement, obtain any ownership interest, license or other right in or to any Patents, Know-How or other intellectual property rights of the other Party, including tangible or intangible items owned, Controlled or developed by the other Party, or provided by the other Party to the receiving Party at any time, in each case, pursuant to this Agreement.

2.5 [***].

2.6 Maze Non-Compete. Except as otherwise expressly permitted under this Agreement, during the period of time beginning on the Effective Date and continuing during the Term until [***] after the First Commercial Sale of the first Licensed Product anywhere in the Territory, neither Maze nor any of its Affiliates shall alone or with or through any Third Party Research, Develop, Manufacture or Commercialize anywhere in the Territory any compound or product having Threshold Activity against GYS1 and that is designed or intended to treat or prevent or labelled for (or where a label is sought in a Regulatory Approval for) treatment or prevention of Pompe disease. The foregoing restrictions shall not apply to an Acquiring Entity of Maze so long as such Acquiring Entity complies with the requirements provided in the subsequent sentence. [***].

ARTICLE 3

ASSISTANCE; TRANSITION

3.1 Assistance.

3.1.1 Transition Assistance. Following the Effective Date, Maze shall, and shall cause its Affiliates and Third Party contractors involved in Research, Development (including regulatory) or Manufacturing matters related to such Licensed Compounds or Licensed Products to, cooperate with Company and its designees and provide assistance to Company and its designees to transition to Company and its designees the Research, Development, Manufacture, Commercialization and other Exploitation of the Licensed Compounds and Licensed Products, as and to the extent reasonably requested by Company. Without limiting the foregoing, Maze shall: (a) provide Company and its designees assistance with respect to transition matters for the Research, Development (including regulatory) and Manufacturing related to such Licensed Compounds or Licensed Products; and (b) provide Company and its designees with reasonable access by teleconference or in-person meetings (as mutually agreed upon) to Maze personnel and personnel of Maze’s Affiliates and Third Party contractors (including each Maze CMO) involved in Research, Development (including regulatory) or Manufacturing matters related to such Licensed Compounds or Licensed Products (an “Existing Contractor”) to assist with the transition and answer questions related to such Licensed Compounds or Licensed Products; provided that such Maze personnel, personnel of Maze’s Affiliates and Existing Contractors shall be experienced with and have adequate knowledge of the foregoing transition matters. Upon request by Company or Maze, each Party shall assign an experienced employee of such Party or its Affiliates, to act as a transition leader (each a “Transition Assistance Leader”), to lead the efforts regarding the transition matters set forth in this Section 3.1 (Assistance).

 

23


3.1.2 Assistance Periods. The assistance described in Section 3.1.1 (Transition Assistance) will generally be provided for a period of [***] following the Effective Date and, with respect to Manufacturing-related assistance only, for a period of [***] following the Effective Date (“Manufacturing Assistance”), subject in each case of the foregoing, for such longer period of time as Company requests and Maze consents to (such consent not to be unreasonably withheld, conditioned or delayed, including taking into consideration the overall passage of time and availability of personnel at Maze), including as may be necessary to fully enable the Development and Manufacture of MZE001 by or on behalf of Company in substantially the same manner and quality employed or achieved by or on behalf of Maze immediately prior to the Execution Date, (such assistance time periods, the “Assistance Periods”).

3.1.3 Assistance Costs; Limitations. Subject to the remainder of this Section 3.1 (Assistance), the assistance described in Section 3.1.1 (Transition Assistance) shall be at no additional cost to Company; provided that any Section 3.1.1 (Transition Assistance) after [***] or Manufacturing Assistance after [***] following the Effective Date shall be provided at the FTE Rate spent on the applicable portion of the transition matters set forth in Section 3.2 (Manufacturing Assistance). Notwithstanding any provision set forth in this Section 3.1.3 (Assistance) to the contrary, if such assistance could reasonably be contracted to a Third Party contract research organization other than an Existing Contractor, then Maze shall consider in good faith whether to (but shall not be required to) provide such assistance, and in the event Maze so elects to provide such assistance, then Maze shall have the right to invoice such assistance to Company at the FTE Rate. Any such invoice shall include sufficient detail so as to enable Company to confirm the accuracy of such invoice and the activities performed thereunder, and Company will remit all undisputed amounts to Maze in respect of such invoice in accordance with Section 7.5.2(Invoices).

3.2 Manufacturing Assistance.

3.2.1 The Manufacturing Assistance provided by Maze is intended to enable Company to assume responsibility for the Manufacture of the Licensed Products in the Territory in substantially the same manner and quality employed or achieved by Maze at Maze’s or any Third Party contract manufacturer’s facilities as of the Effective Date.

3.2.2 In connection with the Manufacturing Assistance, Maze shall provide, or cause to be provided, copies of all production records, standard testing methods, product specifications, standard operating procedures, technology, documents, data, manufacturing know how, intellectual property and all other information necessary for Company or its designee to establish a viable manufacturing process. For purposes of this Agreement, a “viable manufacturing process” means a manufacturing process which is validated according to cGMP and is in compliance with all Applicable Law and applicable Regulatory Materials. Upon request by Company or Maze, each Party shall assign one Transition Assistance Leader to lead the efforts regarding the Manufacturing Assistance.

3.3 Assignment of Contracts. In support of, and to help facilitate, the above assumption by Company of responsibility for the Manufacture of the Licensed Products in the Territory, upon request of Company with respect to one or more contracts that Maze has with its Third Party contractors that solely relate to the Licensed Products, Maze shall assign or use commercially reasonable efforts to obtain consent from the respective counterparty to assign, as applicable, such contracts to Company, and Company shall assume any and all such contracts so assigned.

 

24


3.4 Know-How and Material Transfer. Without limiting the provisions of Section 3.1 (Assistance), as soon as reasonably practicable following the Effective Date, and in any event, no later than [***] thereafter for transfer of copies of Licensed Know-How and no later than [***] thereafter for transfer of inventories of Licensed Materials and Licensed Product, at Company’s cost and expense (including for all Out-Of-Pocket Costs, but not FTE costs, incurred by or on behalf of Maze), Maze will provide to Company or its designee copies of all Licensed Know-How set forth on Schedule 1.111 (Licensed Know-How) and inventories of Licensed Materials and Licensed Product set forth on Schedule 1.112 (Licensed Materials and Licensed Product) provided that for [***] after the [***] following the Effective Date that Maze takes to complete the transfer of substantially all of the data and information encompassed in the Licensed Know-How, as reasonably determined by Company, each of the Assistance Periods and the time periods provided for under Section 3.1.3 shall be extended by [***]. For example, if Maze takes [***] to substantially complete the transfer of the data and information encompassed in the Licensed Know-How, the Assistance Periods shall be [***] and [***] respectively, and what had been [***] and [***] time periods under Section 3.1.3 shall instead be [***] and [***] time periods. The Parties shall cooperate and agree upon formats and procedures to facilitate the orderly and efficient exchanges of Licensed Know-How and Licensed Materials contemplated under this Section 3.4 (Know-How and Material Transfer).

3.5 Maze Platform Know-How. Maze acknowledges and confirms that Schedule 1.111 (Licensed Know-How) does not include any Maze Platform Know-How, and the Parties acknowledge and agree that in no event will Maze be required under this Agreement to provide to Company any Maze Platform Know-How; provided, however, if any Regulatory Authority requires disclosure of a limited amount of Maze Platform Know-How in order to support the Regulatory Approval of any Licensed Product, or the disclosure of a limited amount of Maze Platform Know-How is required in support of the prosecution, maintenance, enforcement or defense of any Patent licensed under this Agreement or in the defense of any Third Party claim related to the Licensed Technology, unless otherwise required by law, Maze shall reasonably consider cooperating with such request, and if Maze agrees it may disclose limited aspects of such Maze Platform Know-How solely for such purpose and the Parties shall use reasonable efforts to maintain confidentiality of any such Maze Platform Know-How, including the confidential treatment of any such Maze Platform Know-How disclosed to any Regulatory Authority or patent authority. Subject to the foregoing, if Maze inadvertently provides to any employee, director, officer, advisor, consultant or agent of Company any Maze Platform Know-How in connection with fulfilling its obligations under this Section 3.4 (Know-How and Material Transfer) or otherwise (any such Maze Platform Know-How,Extraneous Maze Platform Know-How”), then Maze shall promptly notify Company of such disclosure of Extraneous Maze Platform Know- How, and promptly following such notification from Maze, Company shall remove all access to any tangible embodiments of such Extraneous Maze Platform Know-How and confirm such removal in writing. Notwithstanding any provision set forth in this Agreement to the contrary, following Company’s receipt of such notice from Maze, and subject to Section 2.3 (Residual Knowledge), Company agrees that it would not have any license or other right to use such Extraneous Maze Platform Know-How.

 

25


ARTICLE 4

DEVELOPMENT

4.1 Responsibility. Subject to the terms and conditions of this Agreement, following the Effective Date, Company will have the sole and exclusive right to Develop (and will solely and exclusively control, at its discretion, the Development of), itself or with or through its Affiliates, Sublicensees or other Third Parties, the Licensed Compounds and Licensed Products in the Field in the Territory. All such Development will be at Company’s sole cost and expense.

4.2 Diligence. Subject to the terms and conditions of this Agreement, Company will use Commercially Reasonable Efforts to obtain Regulatory Approval for one Licensed Product in the Major Markets (the “Development Diligence Obligations”). Notwithstanding any provision to the contrary in this Agreement, Maze’s sole and exclusive remedy for Company’s material breach of its Development Diligence Obligations is expressly set forth in Section 12.2 (Termination for Material Breach) and Section 12.5 (Effects of Expiration and Termination).

4.3 Diligence Updates. Subject to Section 2.6 (Maze Non-Compete), during the period beginning on the Effective Date and ending on the date the Company obtains the first Regulatory Approval for the first Licensed Product in the last of each of the Major Markets, Company will submit to Maze, one time per [***], a written report summarizing in reasonable detail the status of Company’s material Development activities with respect to the Licensed Products pursuant to this Agreement since Company’s delivery of the prior report. Such report will be the Confidential Information of Company subject to Article 9 (Confidentiality). Without limiting any other right or obligation of the Parties set forth elsewhere in this Agreement, or acting as a specific remedy or limitation on remedies in the event of any breach of the terms and conditions of this Agreement by Maze, in addition to any other right or remedy that may arise in such circumstances, in the event that Maze or any of its Affiliates, including any Acquiring Entity or its Affiliates, alone or with or through any Third Party, undertake any activities for the Research, Development, Manufacture or Commercialization anywhere in the Territory of any compound or product that is designed, intended to treat or prevent or labelled for (or where a label is sought in a Regulatory Approval for) treatment or prevention of Pompe disease, then (a) Maze shall promptly notify Company of this occurrence, and (b) Company’s obligation to provide the reports and information called for under this Section 4.3 (Diligence Updates) shall immediately terminate.

4.4 Alliance Manager. Promptly after the Effective Date, each Party will appoint an individual to act as the alliance manager for such Party (each, an “Alliance Manager”). The Alliance Managers will (a) be the primary point of contact for the Parties regarding the activities under this Agreement and will help facilitate all such activities hereunder, and (b) be responsible for facilitating the flow of information and otherwise promoting communication and coordination between the Parties. Each Party may replace its Alliance Manager at any time upon [***] prior written notice to the other Party.

 

26


ARTICLE 5

REGULATORY

5.1 Regulatory Matters.

5.1.1 Responsibility. Subject to the terms and conditions of this Agreement, Company will have the sole and exclusive right to (and will solely and exclusively control, at its discretion), itself or with or through its Affiliates, Sublicensees or other Third Parties: (a) prepare and submit to applicable Regulatory Authorities all Regulatory Materials, including marketing applications (e.g., NDAs, MAAs and JNDAs) and Clinical Trial applications (e.g., INDs, CTAs and CTNs), for the respective Licensed Compounds and Licensed Products and (b) obtain and maintain all Regulatory Approvals for the respective Licensed Products.

5.1.2 Communications with Regulatory Authorities. For clarity and without limiting Section 5.1.1 (Responsibility), Company will have the sole and exclusive right to correspond or communicate with Regulatory Authorities regarding the respective Licensed Compounds and Licensed Products. Unless required by Applicable Law, Maze and its Affiliates will not correspond or communicate with Regulatory Authorities regarding any Licensed Compound or Licensed Product without first obtaining Company’s prior written consent. If Maze or its Affiliates receive any correspondence or other communication from a Regulatory Authority regarding the foregoing, then Maze will provide Company with access to or copies of all such written or electronic correspondence promptly after its receipt.

5.1.3 Maze Support. Maze will support Company as may be reasonably requested by Company from time to time in connection with Company’s preparation, submission to Regulatory Authorities and maintenance of Regulatory Materials for the respective Licensed Compounds and Licensed Products, including, upon Company’s reasonable request, attending meetings with Regulatory Authorities regarding any respective Licensed Product, unless such assistance could reasonably be contracted to a Third Party regulatory consultant or other contractor, in which case, Maze shall consider in good faith whether to (but shall not be required to) provide such assistance. The costs and expenses incurred in connection with such support shall be allocated between the Parties as follows: (a) for any such support provided prior to the first patient dosed in the first Phase 2 Clinical Trial for any Licensed Product, and such support could not be reasonably contracted to a Third Party regulatory consultant or other contractor, Maze will invoice Company for any reasonable Out-of-Pocket Costs incurred in connection with such support, and (b) for any such support that (i) prior to the first patient dosed in such Phase 2 Clinical Trial, could be reasonably contracted to a Third Party regulatory consultant or other contractor, or (ii) is provided after such dosing, Maze will invoice Company for Maze’s FTE costs at the FTE Rate and its reasonable Out-of-Pocket Costs incurred in connection with such support, and in each case ((a) and (b)), such invoice shall include sufficient detail so as to enable Company to confirm the accuracy of such invoice and the activities performed thereunder, and Company will remit all undisputed amounts to Maze in respect of such invoice in accordance with Section 7.5.2 (Invoices).

5.1.4 Maze Pharmacovigilance Support. Maze will provide Company with all information necessary or reasonably desirable for Company (and in the form reasonably requested by Company) to comply with Company’s pharmacovigilance responsibilities in all countries in the Territory with respect to the Licensed Compounds and Licensed Products, including, as applicable, any adverse drug experiences (including those events or experiences that are required to be reported to the FDA under 21 CFR Sections 312.32 or 314.80 or to any Regulatory Authorities outside the United States of America under corresponding Applicable Law) or other information impacting product safety from pre-clinical or clinical laboratory, animal toxicology and pharmacology studies, in each case in the possession of Maze, its Affiliates or contractors at the time of request by Company.

 

27


5.2 Regulatory Materials.

5.2.1 Assignment of Regulatory Materials. Promptly following the Effective Date, Maze will and hereby does assign and transfer to Company all INDs and other Regulatory Materials with respect to the Licensed Compounds and Licensed Products in the Territory that are in the possession or Control of Maze or any of its Affiliates. Maze will use diligent efforts to complete such assignment and transfer within [***] following the Effective Date, subject to any limitations or delays caused by any Regulatory Authorities in connection with such transfer. In connection with the transfer of such Regulatory Materials, Maze will provide to Company copies (in electronic or other format) of the study reports that are Controlled by Maze or any of its Affiliates (to the extent not previously provided to Company) from all non-clinical and preclinical studies and Clinical Trials relating to the Licensed Compounds and Licensed Products. For any such assignment and transfer, each Party will submit to the applicable Regulatory Authority all filings, letters, and other documentation necessary to effect such assignment and transfer as soon as practicable (or as soon as possible after the other Party’s submission of any such filings, letters, or documentation to the extent required before such Party may take any such action).

5.2.2 New Regulatory Materials. Without limiting Section 5.2.1 (Assignment of Regulatory Materials), all Regulatory Materials generated or arising from or in connection with activities under this Agreement with respect to Licensed Compounds or Licensed Products will be owned by and held in the name of Company or its designee, and any Regulatory Materials issued in the name of Maze or its Affiliates will promptly be assigned by Maze to Company or its designee to the extent permitted by Applicable Law or, in the event assignment is not permitted under Applicable Law, held in trust for, or for the sole benefit of, Company or its designee.

5.3 Right of Reference; Access to Data. In the event of failure to transfer and assign any Regulatory Materials to Company or its designee, as required by Section 5.2 (Regulatory Materials), Company and its designees will have, and Maze (on behalf of itself and its Affiliates) hereby grants to Company and its designees, access (as described in Section 5.2 (Regulatory Materials)) and a right of reference (without any further action required on the part of Maze or its Affiliates, whose authorization to file this consent with any Regulatory Authority is hereby granted) to all Regulatory Materials described in Section 5.2 (Regulatory Materials) and all data contained or referenced therein for Company and its designees to exercise its rights and perform its obligations under this Agreement with respect to the applicable Licensed Compounds and Licensed Products. In all cases, Company and its designees will have access to all data contained or referenced in all such Regulatory Materials, and Maze will ensure that Company and its designees are afforded such access by fulfilling its obligations thereunder.

ARTICLE 6

COMMERCIALIZATION

6.1 Commercialization. Following the Effective Date, Company will have the sole and exclusive right to Commercialize (and will solely and exclusively control, at its discretion, the Commercialization of), itself or with or through its Affiliates, Sublicensees or other Third Parties,

 

28


the applicable Licensed Products in the Field in the Territory. All such Commercialization will be at Company’s sole cost and expense, including: (a) developing and executing a commercial launch and pre-launch plan; (b) negotiating with applicable Governmental Authorities regarding the pricing and reimbursement status of the Licensed Products; (c) marketing and promotion; (d) booking sales and distribution and performance of related services; (e) handling all aspects of order processing, invoicing and collection, inventory and receivables; (f) handling medical affairs and providing customer support, including handling medical queries, and performing other related functions; and (g) conforming its practices and procedures to Applicable Law relating to the marketing, detailing and promotion of the Licensed Products.

6.2 Commercial Diligence. Subject to the terms and conditions of this Agreement, Company will use Commercially Reasonable Efforts to Commercialize the Licensed Product in each country in the Territory following receipt of Regulatory Approval (the “Commercial Diligence Obligations”). Notwithstanding any provision to the contrary in this Agreement, Maze’s sole and exclusive remedy for Company’s material breach of its Commercial Diligence Obligations is expressly set forth in Section 12.2 (Termination for Material Breach) and Section 12.5 (Effects of Expiration and Termination).

6.3 Pricing Approvals, Market Access and Combination Product Decisions. For all Licensed Products, following the Effective Date, Company will exclusively control (a) all Pricing Approvals, (b) all decisions related to market access and (c) all decisions with respect to Commercialization of such Licensed Products as Combination Products.

ARTICLE 7

FINANCIAL TERMS

7.1 Upfront Payment. In consideration of the licenses, rights and privileges granted by Maze to Company hereunder and subject to the terms and conditions of this Agreement, including any and all governmental approvals in Article 13 (Government Approvals), Maze will invoice Company promptly on or after the Effective Date, and Company will pay to Maze no later than [***] following the receipt of such invoice, a one-time, non-refundable and non-creditable payment of $150 million USD in immediately available funds by wire transfer, in accordance with wire instructions to be provided by Maze to Company together with such invoice.

7.2 Milestones.

7.2.1 Development Milestones.

(a) Development Milestone Payments. In consideration of the licenses, rights and privileges granted by Maze to Company hereunder and subject to the terms and conditions of this Agreement, Company will pay the applicable amount set forth in Table 7.2.1 (Development Milestones) associated with each milestone event described below (each event described in (a)-(h) in Table 7.2.1 (Development Milestones), a “Development Milestone Event,” and each respective payment, a “Development Milestone Payment”) for the first Licensed Product to achieve the applicable Development Milestone Event by Company, its Affiliate or Sublicensee:

 

29


Table 7.2.1 – Development Milestones

Development Milestone Event

   Development Milestone
Payment

(a)

 

[***]

   [***]

(b)

 

[***]

   [***]

(c)

 

[***]

   [***]

(d)

 

[***]

   [***]

(e)

 

[***]

   [***]

(f)

 

[***]

   [***]

(g)

 

[***]

   [***]

(b) Achievement of Development Milestones. Each Development Milestone Payment will be payable a maximum of one time as set forth in the table above, upon achievement of the applicable Development Milestone Event, regardless of the number of times the applicable Development Milestone Event is achieved. For clarity, if Company or its Affiliates or Sublicensees achieve all Development Milestone Events (regardless of the number of times such events occur or the number of Licensed Products that trigger such events), then the maximum amount payable by Company to Maze under this Section 7.2.1 (Development Milestones) is $275 million USD.

7.2.2 Sales Milestones.

7.2.3 (a) Sales Milestone Payments. In consideration of the licenses, rights and privileges granted by Maze to Company hereunder and subject to the terms and conditions of this Agreement, Company will notify Maze of the first achievement of a given milestone event set forth in Table 7.2.2 (Sales Milestones) (each event described in (a)-(e) in Table 7.2.2 (Sales Milestones), a “Sales Milestone Event”), and Company will thereafter pay the applicable one- time, non-refundable, non-creditable sales-based amounts set forth in Table 7.2.2 (Sales Milestones) associated with the applicable Sales Milestone Event for Annual Net Sales of all Licensed Products (each, a “Sales Milestone Payment”) as may be adjusted in accordance herewith, in accordance with Section 7.2.3(b) (Sales Milestone Payments):

 

Table 7.2.2 – Sales Milestones

Sales Milestone Event

   Sales Milestone
Payment

(a)

 

[***]

   [***]

(b)

 

[***]

   [***]

(c)

 

[***]

   [***]

(d)

 

[***]

   [***]

(e)

 

[***]

   [***]

(b) Achievement of Sales Milestones. Each Sales Milestone Event will be payable a maximum of one time as set forth in the table above, upon achievement of the applicable Sales Milestone Event, regardless of the number of times the applicable Sales Milestone Event is achieved. For clarity, no Sales Milestone Payment will be due hereunder for any subsequent or repeated achievement of any such same Sales Milestone Event. Further, Net Sales for a given Licensed Product in a given country for which the Royalty Term has expired

 

30


will not be included in the Annual Net Sales for purposes of the Sales Milestone Events or Sales Milestone Payments. For clarity, if Company or its Affiliates or Sublicensees achieve all Sales Milestone Events (regardless of the number of times such events occur or the number of Licensed Products that trigger such events), then the maximum amount payable by Company to Maze under this Section 7.2.2 (Sales Milestones) is $330 million USD.

7.2.4 Invoicing and Payment of Milestone Payments.

(a) Development Milestone Payments. In the event that Company or any of its Affiliates or its Sublicensees under this Agreement achieves a Development Milestone Event, Company will notify Maze thereof within [***] of such achievement. Following Maze’s receipt of notice from Company that Company has achieved a Development Milestone Event, Maze will invoice Company for the applicable Development Milestone Payment, and Company will pay to Maze such Development Milestone Payment in accordance with Section 7.5.2 (Invoices).

(b) Sales Milestone Payments. In the event that Annual Net Sales of any applicable Licensed Product first achieve a Sales Milestone Event during a particular Calendar Year, Company will notify Maze thereof in the last Royalty Report for such Calendar Year as described in Section 7.4 (Royalty Payments and Reporting). Following Maze’s receipt of such Royalty Report, Maze will invoice Company for the applicable Sales Milestone Payment and Company will pay to Maze such Sales Milestone Payment in accordance with Section 7.5.2 (Invoices).

7.3 Royalties.

7.3.1 U.S. Royalty Rates. In consideration of the licenses, rights and privileges granted by Maze to Company hereunder in the U.S. and subject to the terms and conditions of this Agreement, on a Licensed Product-by-Licensed Product basis, Company will pay Maze royalties on Annual Net Sales in the U.S., during the applicable Royalty Term, equal to the portions of Annual Net Sales in the U.S. of a given Licensed Product as set forth in the table below in this Section 7.3.1 (Royalty Rates) multiplied by the applicable royalty rate set forth in the table below in this Section 7.3.1 (Royalty Rates) for such portion of Annual Net Sales in the U.S. during the applicable Royalty Term for such Licensed Product, as may be adjusted in accordance herewith. For further clarity, there will be separate applicable royalty rates and tiers, one set to be applied with respect to Net Sales in the U.S. and another one to be applied with respect to Net Sales in the ex-U.S. (i.e. outside the United States).

 

Annual Net Sales in the U.S.

for a given Licensed Product in a given Calendar Year

   Royalty
Rate for
U.S. Net
Sales

(a)

 

[***]

   [***]

(b)

 

[***]

   [***]

(c)

 

[***]

   [***]

 

31


7.3.2 ex-U.S. Royalty Rates. In consideration of the licenses, rights and privileges granted by Maze to Company hereunder ex-U.S. (i.e. outside the U.S.) and subject to the terms and conditions of this Agreement, on a Licensed Product-by-Licensed Product basis, Company will pay Maze royalties on Annual Net Sales outside the U.S. in the Territory, during the applicable Royalty Term, equal to the portions of Annual Net Sales of a given Licensed Product outside the U.S. in the Territory as set forth in the table below in this Section 7.3.2 (ex-U.S. Royalty Rates) multiplied by the applicable royalty rate set forth in the table below in this Section 7.3.2 (ex-U.S. Royalty Rates) for such portion of Annual Net Sales in the applicable country outside the U.S. in the Territory during the applicable Royalty Term for such Licensed Product, as may be adjusted in accordance herewith. For clarity, the Net Sales for a given Licensed Product in a given country for which the Royalty Term has expired will not be included in the Annual Net Sales for purposes of calculating the royalties (and royalty tiers). For further clarity, there will be separate applicable royalty rates and tiers, one set to be applied with respect to Net Sales in the U.S. and another one to be applied with respect to Net Sales in the ex-U.S. (i.e. outside the United States).

 

Annual Net Sales outside the U.S. in the Territory for a given Licensed Product in a given
Calendar Year

   Royalty Rate for Net
Sales outside the U.S. in
the Territory

(a)

  

[***]

   [***]

(b)

  

[***]

   [***]

(c)

  

[***]

   [***]

7.3.3 Company-Developed Licensed Compound Royalties. Notwithstanding anything else to the contrary in this Agreement, the royalty rates that will be applied with respect to any Company-Developed Licensed Compound shall be reduced by [***] of what they otherwise would have been after applying all of the other terms and conditions of this Agreement.

7.3.4 Royalty Term. Company’s royalty obligations to Maze under Section 7.3.1 (U.S. Royalty Rates) and Section 7.3.2 (ex-U.S. Royalty Rates) will apply, on a Licensed Product-by-Licensed Product and country-by-country basis, only during the applicable Royalty Term for such Licensed Product in such country. Following the expiration of the applicable Royalty Term for a given Licensed Product in a given country: (a) no further royalties will be payable with respect to sales of such Licensed Product in such country; and (b) the license granted to Company under this Agreement with respect to such Licensed Product in such country will become fully paid-up, perpetual, irrevocable and royalty-free in accordance with Section 12.1 (Term; Expiration).

7.3.5 Royalty Reductions.

(a) Absence of Valid Claims. On a Licensed Product-by-Licensed Product and country-by-country basis, during the Royalty Term for such Licensed Product, if such Licensed Product is not Covered by a Valid Claim in such country that would be infringed by the sale of such Licensed Product in such country, then the then-applicable royalty rate payable with respect to Annual Net Sales of such Licensed Product pursuant to this Section 7.3 (Royalties) in such country will be reduced by [***].

 

32


(b) Generic Competition; Price Reduction. On a Licensed Product-by- Licensed Product and country-by-country basis, during the Royalty Term for such Licensed Product, following Generic Competition first occurring for a Licensed Product in a country, if the average [***] Net Sales of such Licensed Product in such country in [***] declines by the percentage set forth in (i)-(iii) in the table below in this Section 7.3.5(b) (Generic Competition; Price Reduction) relative to the average Net Sales of such Licensed Product in such country occurring during [***] immediately preceding [***] during which such Generic Competition first occurred (the “Sales Before Generic Competition”), then, thereafter, the then-applicable royalty rate payable with respect to Annual Net Sales of such Licensed Product pursuant to this Section 7.3 (Royalties) in such country will be permanently reduced by the percentage described in the table below in this Section 7.3.5(b) (Generic Competition; Price Reduction), and thereby the royalty reduction will increase over time if the average Net Sales decreases sufficiently over time as compared to such Sales Before Generic Competition by having a greater royalty reduction apply in place of an earlier (lower) reduction. In addition, on a Licensed Product-by-Licensed Product and country-by-country basis, during the Royalty Term for such Licensed Product, following the first adverse change in a Pricing Approval or other pricing or reimbursement status for a Licensed Product in a country, if the average quarterly Net Sales of such Licensed Product in such country in [***] declines by the percentage set forth in (i)-(iii) in the table below in this Section 7.3.5(b) (Generic Competition; Price Reduction) relative to the average Net Sales of such Licensed Product in such country occurring during [***] immediately preceding [***] during which such adverse change first occurred (the “Base Sales”), then, thereafter, the then-applicable royalty rate payable with respect to Annual Net Sales of such Licensed Product pursuant to this Section 7.3 (Royalties) in such country will be permanently reduced by the percentage described in the table below in this Section 7.3.5(b) (Generic Competition; Price Reduction), and thereby the royalty reduction will increase over time if the average Net Sales decreases sufficiently over time as compared to such Base Sales by having a greater royalty reduction apply in place of an earlier (lower) reduction. Royalty reductions due to Generic Competition and adverse changes to Pricing Approvals will apply separately from (and potentially additively to) one another.

 

Decline in Annual Net Sales

   Royalty
Reduction

(i)

 

[***]

   [***]

(ii)

 

[***]

   [***]

(iii)

 

[***]

   [***]

7.3.6 Third Party Payments. If Company or any of its Affiliates or Sublicensees obtains in an arms-length transaction a right or license under any Patent, Know-How or other intellectual property right of a Third Party after the Effective Date that Covers the Manufacture, use or sale of a Licensed Compound (“Third Party IP”), or is subject to a judgment or settlement with a Third Party as a result of infringement of Third Party IP, in each case that results in any royalty, upfront, milestone, or other license fee, or judgment or settlement, in each case, solely to the extent attributed to such past, present or future infringement or alleged or potential infringement, payment to such Third Party by Company, its Affiliates or its Sublicensees, as applicable, (“Third Party IP Payments”) then Company may deduct from any and all royalty payments and Sales Milestone Payments under this Agreement that would otherwise have been due to Maze an amount equal to [***] of the amount of any Third Party IP Payments paid by Company or any of its Affiliates or Sublicensees to such Third Party for such right or license or the exercise thereof.

 

33


7.3.7 Cumulative Floor. Notwithstanding the reductions set forth in Section 7.3.5(a) (Absence of Valid Claims) and Section 7.3.6 (Third Party Payments), in no event shall the operation of such reductions, individually or in combination, reduce the royalty payments paid to Maze with respect to any Licensed Product in any country in the Territory in any [***] under Section 7.3.5(a) (Absence of Valid Claims) and Section 7.3.6 (Third Party Payments) to less than [***] of the royalty payments that would otherwise have been due pursuant to Section 7.3.1 (Royalty Rates). Company may carry forward any such reductions permitted under Section 7.3.5(a) (Absence of Valid Claims) and Section 7.3.6 (Third Party Payments) that are incurred or accrued in [***] but are not applied against royalties due to Maze in such [***] as a result of the foregoing floor and apply such amounts against royalties due to Maze in any subsequent [***] (subject to the minimum floor set forth in this Section 7.3.7 (Cumulative Floor)) until the amount of such reduction has been fully applied against royalties due to Maze.

7.4 Royalty Payments and Reporting. Company will calculate all amounts payable to Maze pursuant to Section 7.3 (Royalties) at the end of each [***]. Commencing as of the First Commercial Sale for a Licensed Product, Company will, with respect to each [***] (or portion thereof), provide a written report showing: (a) the amount of gross sales of the Licensed Products in the relevant [***], (b) the aggregate Net Sales of such Licensed Product that are royalty-bearing and the royalties due thereon for such [***], (c) the withholding taxes, if any, required by law to be deducted in respect of such royalties and (d) the exchange rates used in determining the royalty amount expressed in any currency other than Dollars (each, a “Royalty Report”), within [***] after the end of such [***]. Company will provide such Royalty Reports for so long as any Royalty Term remains in effect for a given Licensed Product. Each Royalty Report will be the Confidential Information of Company subject to Article 9 (Confidentiality). Following Maze’s receipt of each Royalty Report, Maze will invoice Company for the royalty amounts due for such [***] and Company will pay to Maze such amounts, less any applicable withholding tax that is required by Applicable Law pursuant to Section 7.5.3 (Taxes; Withholding), in accordance with Section 7.5.2 (Invoices).

7.5 Additional Payment Terms.

7.5.1 Currency. All payments hereunder will be made in Dollars by wire transfer to a bank account designated in writing by the Payee in accordance with wire instructions provided by the Payee. Conversion of sales recorded in local currencies to Dollars will be performed in a manner consistent with the Accounting Standard and the Payor’s normal practices used to prepare its audited financial statements.

7.5.2 Invoices. With respect to any amounts owed under this Agreement by a Party to the other Party, the Party owing such payment obligation will provide to the other Party an invoice, together with reasonable supporting documentation and directions for payment, for such amounts owed and such other Party will pay any undisputed amounts within [***] (or in the case of Section 7.1 (Upfront Payment), within [***]) after receipt of such an undisputed invoice, and will pay any disputed amounts owed by such other Party within [***] of final resolution of the Dispute, in each case, in immediately available funds by wire transfer and in accordance with the wire instructions to be provided by the owing Party to the paying Party.

 

34


7.5.3 Taxes; Withholding.

(a) Generally. Each Party will be liable for all taxes legally assessable against it arising from any payment received under this Agreement, including income, applicable sales or use, goods and services, value added and consumption or other similar fees or taxes (“Taxes”).

(b) Tax Withholding. If Applicable Law requires the withholding of Taxes, the Payor will subtract the amount thereof from the Agreement Payments and remit such withheld amount to the relevant Governmental Authority in a timely manner. For the avoidance of doubt, the Payor’s remittance of such withheld Taxes, together with payment to the Payee of the remaining Agreement Payments, will constitute the Payor’s full satisfaction of Agreement Payments under this Agreement. The Payor will promptly (as available) submit to the Payee appropriate proof of payment of the withheld Taxes as well as the official receipts within a reasonable period of time. The Parties agree to cooperate with one another and use reasonable efforts to reduce or eliminate such withholding of Taxes under Applicable Law, including under the benefit of any present or future treaty against double taxation.

7.6 Records; Audit Rights.

7.6.1 Records. Each Party will keep, and will cause its Affiliates and, as applicable, Sublicensees, to keep complete, true and accurate books and records in accordance with its Accounting Standard in relation to this Agreement and Net Sales, royalties, Milestone Payments and any other payments required hereunder, as applicable. Each Party will keep such books and records for at least [***] following the Calendar Year to which they pertain or for such longer period of time as required under any Applicable Law.

7.6.2 Audit Rights. Subject to the other terms of this Section 7.6.2 (Audit Rights), during the Term, at the request of a Party (the “Auditing Party”), which will not be made more frequently than [***], upon at least [***] prior written notice from the Auditing Party, and at the expense of the Auditing Party, the other Party (the “Audited Party”) will permit an independent, nationally-recognized certified public accountant selected by the Auditing Party and reasonably acceptable to the Audited Party (the “Auditor”) to inspect, during regular business hours, the relevant records required to be maintained by the Audited Party under Section 7.6.1 (Records); provided that (a) such audit right will not apply to records beyond [***] from the end of the Calendar Year to which they pertain and (b) records for a particular period may only be audited once. Prior to its inspection, the Auditor will enter into a confidentiality agreement with both Parties having obligations of confidentiality and non-use no less restrictive than those set forth in Article 9 (Confidentiality) and limiting the disclosure and use of such information by such accountant to authorized representatives of the Parties and the purposes germane to Section 7.6.1 (Records). The Auditor will report to the Auditing Party only whether the particular amount being audited was accurate and, if not, the amount of any discrepancy and a reasonable summary of the reason for such discrepancy, and the Auditor will not report any other information to the Auditing Party. The Auditing Party will treat the results of the Auditor’s review of the Audited Party’s

 

35


records as Confidential Information of the Audited Party subject to the terms of Article 9 (Confidentiality). In the event such audit leads to the discovery of a discrepancy to the Auditing Party’s detriment, the Audited Party will, within [***] after receipt of such report from the Auditor, pay any undisputed amount of the discrepancy. The Auditing Party will pay the full cost of the audit unless the underpayment of amounts due to the Auditing Party is greater than [***] of the amount due for the entire period being examined, in which case the Audited Party will pay the reasonable cost charged by the Auditor for such review. Any undisputed overpayments by the Audited Party revealed by an examination will be paid by the Auditing Party within [***] of the Auditing Party’s receipt of the applicable report. Company will include substantially similar rights as set forth in this Section 7.6.2 (Audit Rights) in any sublicense agreement with its Sublicensee.

ARTICLE 8

INTELLECTUAL PROPERTY MATTERS

8.1 Ownership.

8.1.1 Background IP. As between the Parties, each Party will retain all of its rights, title and interests to all Patents, Know-How and other intellectual property rights that are Controlled by such Party or its Affiliates prior to the Effective Date or are otherwise conceived, discovered, developed, invented, created or otherwise made or acquired by such Party or its Affiliates outside the performance of activities under this Agreement (such Patents with respect to a Party, “Background Patents,” such Know-How with respect to a Party, “Background Know- How,” and the Background Patents and Background Know-How collectively, “Background IP”), subject to any rights or licenses expressly granted by such Party to the other Party under this Agreement.

8.1.2 Foreground IP. As between the Parties, subject to any rights or licenses expressly granted by one Party to the other Party under this Agreement:

(a) Company is and will be the sole owner of all Program Foreground IP and will retain all of its rights, title and interests thereto. Maze (and its Affiliates) will and does hereby assign to Company all of its rights, title and interests in and to any Program Foreground IP, and Company will and does hereby accept such assignment.

(b) Company is and will be the sole owner of all Company Other Foreground IP and will retain all of its rights, title and interests thereto.

(c) Maze is and will be the sole owner of all Maze Other Foreground IP and will retain all of its rights, title and interests thereto.

(d) Company and Maze will jointly own all Joint Other Foreground IP on an equal and undivided basis, including all rights, title and interests thereto.

Without limiting the generality of the foregoing, all determinations of inventorship under this Agreement will be made in accordance with U.S. patent law.

 

36


8.1.3 Treatment of Joint Other Foreground IP. Except as expressly provided otherwise in this Agreement, (a) neither Party will have any obligation to obtain any consent of the other Party to license or exploit, and (b) except with respect to any Foreground IP that is exclusively licensed to Company under the Company License, neither Party will have any obligation to account to the other Party for profits with respect to, any Joint Other Foreground IP by reason of joint ownership thereof, and each Party hereby waives any right it may have under the laws of any jurisdiction to require any such consent or accounting.

8.1.4 Each Party will promptly disclose to the other Party in writing, and will cause its Affiliates to so disclose, the conception, discovery, development, invention, creation or other making of any Joint Other Foreground IP.

8.1.5 Invention Assignments; Covenants in Support of Assignment.

(a) Invention Assignments. Each Party will cause all employees and contractors who perform activities for or on behalf of such Party or its Affiliate under this Agreement to be under a written obligation to assign their rights in any Know-How and other intellectual property rights resulting therefrom to such Party or its Affiliate. At the request of the Party controlling the relevant Prosecution and Maintenance or enforcement or defense activities, with respect to a Patent under this Agreement in accordance with this Article 8 (Intellectual Property Matters), the other Party will require its employees and contractors who are inventors on any such Patent to cooperate and provide assistance to its employer or its Affiliate in relevant intellectual property-related matters, including by executing all appropriate documents, cooperating in discovery and, if legally required to continue any such enforcement activities, joining as a party to any action or providing a power of attorney solely for such purpose.

(b) Covenants in Support of Assignment. Without limiting the generality of Section 8.1.5(a) (Invention Assignments), in connection with Maze’s obligation to assign to Company its rights in any Program Foreground IP pursuant to the foregoing Section 8.1.2 (Foreground IP), Maze will take (and cause its Affiliates, and their respective employees, agents and contractors to take) such further actions reasonably requested by Company to evidence such assignment and to assist Company in obtaining Patent and other intellectual property protection for such Program Foreground IP, including executing further assignments, consents, releases and other commercially reasonable documentation and providing good faith testimony by affidavit, declaration, in-person or other proper means in support of any effort by Company to establish, perfect, defend or enforce its rights in any such Program Foreground IP through prosecution of governmental filings, regulatory proceedings, litigation and other means, including through the Prosecution and Maintenance and enforcement and defense of such Program Foreground IP. Without limitation, Maze will cooperate with Company if Company applies for U.S. or foreign patent protection for such Program Foreground IP and will obtain the cooperation of the individual inventors of any such Program Foreground IP. If Maze is unable to assign any Program Foreground IP, then Maze hereby grants and agrees to grant to Company a royalty-free, fully paid- up, exclusive (even as to the Maze, subject to the terms of this Agreement, including the licenses granted to Company pursuant to Article 2 (Licenses)), perpetual, irrevocable license (with the right to grant sublicenses through multiple tiers) under such Program Foreground IP for any and all purposes.

 

37


8.2 Prosecution and Maintenance.

8.2.1 Company First Right Patents.

(a) First Right. As between the Parties, Company will have the first right, but not the obligation, to control the Prosecution and Maintenance of the Licensed Patents, Program Foreground Patents, and Joint Other Foreground Patents (the “Company First Right Patents”), at Company’s sole cost and expense. Maze will have the review and comment rights set forth in Section 8.2.4 (Review and Comment) with respect to the Company’s Prosecution and Maintenance of any Licensed Patents, Program Foreground Patents, or Joint Other Foreground Patents. To the extent it becomes necessary or desirable to file a terminal disclaimer over any Licensed Patent to support a Company First Right Patent, the Parties shall discuss in good faith the appropriate actions, which may include Maze assigning all right, title, and interest in and to such Licensed Patent to Company or its Affiliate(s), as the Parties may mutually agree.

(b) Maze Back-Up Right. If, during the Term, Company decides that it is not interested in the Prosecution and Maintenance of a particular Company First Right Patent, then it will promptly provide written notice to Maze of such decision and in any case at least [***] prior to the next deadline, and in any event at least [***] prior to the final deadline, for any action that may be taken with respect to such Patent. Maze may, upon written notice to Company, assume the Prosecution and Maintenance of such Patent at Maze’s sole cost and expense. In such event, Company will have the review and comment rights set forth in Section 8.2.4 (Review and Comment) with respect to Maze’s Prosecution and Maintenance of such Company First Right Patents.

8.2.2 Maze Other Foreground Patents. As between the Parties, Maze will have the sole and exclusive right, but not the obligation, to control the Prosecution and Maintenance of the Maze Other Foreground Patents, at Maze’s sole cost and expense.

8.2.3 Company Other Foreground Patents. As between the Parties, Company will have the sole and exclusive right, but not the obligation, to control the Prosecution and Maintenance of the Company Other Foreground Patents, at Company’s sole cost and expense.

8.2.4 Review and Comment. Subject to Section 8.2.1 (Company First Right Patents) and Section 8.2.2 (Maze Other Foreground Patents), the Party that is responsible for the Prosecution and Maintenance of a given Patent in accordance with such Sections (the “Prosecuting Party”) will timely provide the other Party (the “Non-Prosecuting Party”) with drafts of all proposed substantive filings to any Patent authority in the United States, Japan, United Kingdom or the EU in connection with the Prosecution and Maintenance of the applicable Patents for the Non-Prosecuting Party’s review and comment. The Prosecuting Party will consider in good faith the Non-Prosecuting Party’s timely and reasonable comments on the Prosecution and Maintenance of such Patents.

8.2.5 Patent Extensions and Listing. Company will have the sole and exclusive right, but not the obligation, to make decisions regarding, and to apply for, patent term extensions, supplemental protection certificates, and the like for any Licensed Patents and Foreground Patents that Cover any Licensed Compound or Licensed Product in each country and jurisdiction where it is possible to do so and shall control all listing decisions and actions with respect to the FDA publication titled “Approved Drug Products with Therapeutic Equivalence” (also known as the

 

38


“Orange Book”), and any replacement thereof established or approved by the FDA, as well as any ex-U.S. similar or equivalents filings and actions with respect to all Licensed Patents and Foreground Patents with regard to Licensed Products. If requested by Company, Maze will reasonably cooperate with Company in obtaining said patent term extensions, or supplemental protection certificates, and the like, and patent listings.

8.2.6 Cooperation. The Non-Prosecuting Party will fully cooperate with the Prosecuting Party in connection with the Prosecution and Maintenance of such Patents, including as set forth in Section 8.1.5 (Invention Assignments; Covenants in Support of Assignment) above. Each Party will promptly notify the other Party of any opposition by a Third Party or similar adverse proceeding by a Third Party with respect to a Licensed Patent or Foreground Patent of which it becomes aware.

8.3 Enforcement.

8.3.1 Notification. Each Party will as soon as possible (but in any event, within [***]) notify the other Party in writing of any infringement, misappropriation or other violation by a Third Party of any Licensed Technology, Program Foreground IP, or Other Foreground IP in the Territory of which it becomes aware, including any declaratory judgment or similar action or notice alleging invalidity, unenforceability or non-infringement with respect to any such Patent, and further including receipt of notice of the filing of an abbreviated NDA in the U.S., the notice of allegation in Canada, or similar notice in other countries relating to the Licensed Technology in the Territory (collectively, “Infringement”).

8.3.2 Right to Enforce; Recoveries.

(a) Company First Right Patents. As between the Parties, Company will have the first right, but not the obligation, to bring and control any legal action (including settlements thereof) or take such other actions as it deems appropriate in connection with any Infringement with respect to any Company First Right Patents at Company’s sole discretion, cost and expense. If Company fails to initiate such action against any such Infringement within [***] from the date of Company’s receipt of notice of such Infringement, then subject to Maze requesting through written notice to Company and Company providing its prior written consent (such consent not to be unreasonably withheld, conditioned or delayed), Maze will have the right to bring and control any legal action (including settlements thereof) or take such other actions as it deems appropriate in connection with any Infringement with respect to such Company First Right Patent at Maze’s sole cost and expense. Any recovery (including any settlement) received as a result of any action under this Section 8.3.2(a) (Company First Right Patents) will be allocated in the following order: (i) to reimburse the Enforcing Party for the costs and expenses (including attorneys’ and professional fees) that the Enforcing Party incurred in connection with such action, to the extent not previously reimbursed; (ii) to reimburse the Non-Enforcing Party, where it joins a legal action as provided under Section 8.3 (Enforcement), for the costs and expenses (including attorneys’ and professional fees) that the Non-Enforcing Party incurred in connection with such action, to the extent not previously reimbursed; and (iii) any recoveries in excess of such costs and expenses will (A) if the Company is the Enforcing Party, be retained by the Company except that such remainder shall be deemed Net Sales and subject to the royalty payable to Maze pursuant to Section 7.3 (Royalties), and (B) if Maze is the Enforcing Party, a payment of [***] of Maze’s aggregate costs and expenses incurred in connection with such action will be retained by Maze as a risk premium for taking on such action and the remainder shall be retained by the Company except such remainder shall be deemed Net Sales in the U.S. and subject to the royalty payable to Maze pursuant to Section 7.3.1 (U.S. Royalty Rates).

 

39


(b) Maze Other Foreground Patents. Maze will retain all rights to bring and control any legal action (including settlements thereof) or take such other actions as it deems appropriate in connection with any Infringement of any Maze Other Foreground Patents at its sole cost and expense and will retain all recoveries with respect thereto.

(c) Company Other Foreground Patents. Company will retain all rights to bring and control any legal action (including settlements thereof) or take such other actions as it deems appropriate in connection with any Infringement of any Company Other Foreground Patents at its sole cost and expense and will retain all recoveries with respect thereto.

8.3.3 Cooperation. The Non-Enforcing Party will provide reasonable assistance in connection with such enforcement actions, including by executing reasonably appropriate documents, cooperating in discovery and joining as a party to the action if required or helpful.

8.4 Defense of Third Party Claims.

8.4.1 Notification. Each Party will promptly notify the other Party of any claim alleging that the Research, Development, Manufacture, Commercialization or other Exploitation of the Licensed Compounds or Licensed Products in the Territory infringes, misappropriates or otherwise violates any Patents, Know-How or other intellectual property rights of any Third Party (“Third Party Infringement”).

8.4.2 Right to Defend. Except as otherwise provided in Article 11 (Indemnification; Insurance), as between the Parties, Company will have the sole right, but not the obligation, to defend, and take other actions (including to settle), with respect to any such claim of Third Party Infringement, at Company’s sole discretion, and Maze will have the right to be represented in any such action by counsel of its own choice at its own cost and expense.

8.4.3 Recovery. Any recovery (including any settlement) received by the Parties (and not paid out to a Third Party claimant) as a result of any action under Section 8.4.2 (Right to Defend) will be allocated in the following order: (a) to reimburse Company for the costs and expenses (including attorneys’ and professional fees) that Company incurred in connection with such action, to the extent not previously reimbursed; (b) to reimburse Maze where it joins a legal action as provided under Section 8.4.2 (Right to Defend), for the costs and expenses (including attorneys’ and professional fees) that Maze incurred in connection with such action, to the extent not previously reimbursed; and (c) any recoveries in excess of such costs and expenses will be retained by Company, except in the case that settlement involves a counter-assertion of a Company First Right Patent, in which case the recoveries attributed to such counter-assertion of such Company First Right Patent shall be allocated in accordance with Section 8.3.2 (Right to Enforce; Recoveries).

 

40


8.5 Trademarks. Company will have the sole and exclusive right, but not the obligation, to brand and promote the Licensed Products using trademarks, designs, copyrights, domain names, trade dress and trade names it determines appropriate in its sole discretion for the Licensed Products, which may vary within the Territory (each, together with any goodwill associated therewith, a “Licensed Product Mark”); provided that Company shall not select a trademark, service mark, name or logo for the branding of Licensed Products that, at the time of such selection, Maze (a) is already actually using in good faith to brand or promote a product that is not a Licensed Product, and (b) has, in good faith, filed such trademark, service mark, name, or logo for registration with the respective Territory’s trademark authority (each, together with any goodwill associated therewith, a “Maze Existing Mark”). Any Maze Existing Mark will not be deemed a Licensed Product Mark for purposes of this Agreement (including for purposes of the remainder of this Section 8.5 (Trademarks)). Company will own all rights, title and interests in and to the Licensed Product Marks, and all goodwill in the Licensed Product Marks will inure to the benefit of Company. Company will have the sole and exclusive right and responsibility to register, maintain, defend and enforce the Licensed Product Marks to the extent it determines reasonably necessary. Except as otherwise agreed in writing by both Parties, Company does not grant to Maze, by implication, estoppel or otherwise, any license to any Licensed Product Mark. In any event, any trademarks, service marks, names or logos that include any corporate name or logo of the Parties or their Affiliates will not be a Licensed Product Mark and will remain the property of each respective Party. After the termination or expiration of this Agreement, the Licensed Product Marks will remain sole property of Company.

ARTICLE 9

CONFIDENTIALITY

9.1 Nondisclosure. Each Party agrees that a Party (the “Receiving Party”) which receives the Confidential Information of the other Party (the “Disclosing Party”) pursuant to this Agreement will: (a) maintain in confidence such Confidential Information using not less than the efforts that such Receiving Party uses to maintain in confidence its own proprietary information of similar kind and value, but in no event less than a reasonable degree of efforts; (b) not disclose such Confidential Information to any Third Party without first obtaining the prior written consent of the Disclosing Party, except for disclosures expressly permitted pursuant to this Article 9 (Confidentiality); and (c) not use such Confidential Information for any purpose except those expressly permitted under this Agreement, including, in the case of Company, the exercise of the rights and licenses granted to Company hereunder. The obligations of confidentiality, non- disclosure and non-use under this Section 9.1 (Nondisclosure) will be in full force and effect from the Effective Date until [***] following the Term.

9.2 Exceptions.

9.2.1 General. Section 9.1 (Nondisclosure) will not apply with respect to any portion of the Confidential Information of the Disclosing Party to the extent that such Confidential Information:

(a) was known to the Receiving Party or any of its Affiliates, as evidenced by written records, without any obligation to the Disclosing Party to keep it confidential or to restrict its use, prior to disclosure by the Disclosing Party;

 

41


(b) is subsequently disclosed to the Receiving Party or any of its Affiliates by a Third Party lawfully in possession thereof and without any obligation to the Disclosing Party to keep it confidential or to restrict its use;

(c) is published by a Third Party or otherwise becomes publicly available or enters the public domain, either before or after it is disclosed to the Receiving Party, without any breach by the Receiving Party of its obligations hereunder; or

(d) is independently developed by or for the Receiving Party or any of its Affiliates, as evidenced by written records, without reference to or reliance upon the Disclosing Party’s Confidential Information.

Any combination of features or disclosures will not be deemed to fall within the foregoing exclusions merely because individual features are published or available to the general public or in the rightful possession of the Receiving Party unless the combination itself and principle of operation are published or available to the general public or in the rightful possession of the Receiving Party.

9.3 Authorized Disclosure.

9.3.1 Disclosure. Notwithstanding Section 9.1 (Nondisclosure), the Receiving Party may disclose Confidential Information belonging to the Disclosing Party in the following instances:

(a) as permitted by and in accordance with Section 9.5 (Securities Filings; Disclosure under Applicable Law), to the U.S. Securities and Exchange Commission or any national securities exchange in any jurisdiction in the Territory (each, a “Securities Regulator”);

(b) in response to a valid order of a court of competent jurisdiction or other Governmental Authority or Regulatory Authority or, if in the reasonable opinion of the Receiving Party’s legal counsel, such disclosure is otherwise required by Applicable Law (other than to a Securities Regulator); provided that to the extent legally permissible the Receiving Party will first give written notice to the Disclosing Party and give the Disclosing Party a reasonable opportunity to quash such order or to obtain a protective order or confidential treatment requiring that the Confidential Information and documents that are the subject of such order or requirement be held in confidence by such court or agency or, if disclosed, be used only for the purposes for which the order was issued and redacted in accordance with the Disclosing Party’s instruction; provided, further, that the Confidential Information disclosed in response to such court or governmental order or Applicable Law will be limited to that information which is legally required to be disclosed in response to such court or governmental order or Applicable Law;

(c) solely to the extent reasonably necessary for the Receiving Party to exercise its rights to Prosecute and Maintain any Patents for which it has a right under Article 8 (Intellectual Property Matters); provided that the Receiving Party will provide the Disclosing Party with at least [***] prior written notice of any such disclosure and take reasonable and lawful actions to avoid or minimize the degree of disclosure;

 

42


(d) by Company, to a Regulatory Authority, as reasonably required in connection with any filing, submission or communication with respect to any Licensed Product; provided that Company will take reasonable measures to obtain confidential treatment of such information, to the extent such protection is available;

(e) disclosure: (i) to any of its officers, employees, consultants, agents, advisors or Affiliates who need to know such Confidential Information to perform on behalf of such Party under this Agreement; or (ii) solely to the extent reasonably necessary for the Receiving Party to exercise its rights and perform its obligations hereunder; provided that prior to any such disclosure ((i)-(ii)) each such disclosee is bound by written obligations of confidentiality, non- disclosure and non-use no less restrictive than the obligations set forth in this Article 9 (Confidentiality) to maintain the confidentiality thereof and not to use such Confidential Information except as expressly permitted by this Agreement; provided, further, that, in each of the above situations in clauses (i)-(ii) of this Section 9.3.1(e) (Disclosure), the Receiving Party will remain responsible for any failure by any Person who receives Confidential Information from such Receiving Party pursuant to this Section 9.3.1(e) (Disclosure) to treat such Confidential Information as required under this Article 9 (Confidentiality); and

(f) disclosure of (i) Confidential Information or the existence and terms of this Agreement to its advisors (including insurance brokers, auditors, attorneys and accountants) in connection with activities under this Agreement, or (ii) the existence and terms of this Agreement to actual or bona fide potential investors, lenders, acquirers and underwriters, solely for the purpose of evaluating or carrying out an actual or potential investment (for disclosure to investors), acquisition (in the case of disclosure to acquirers), loans (in the case of disclosure to lenders) or public offerings (in the case of disclosure to underwriters); provided that (A) prior to any such disclosure, each such disclosee is bound by written obligations of confidentiality, non- disclosure and non-use no less restrictive than the obligations set forth in this Article 9 (Confidentiality) or by professional codes of conduct to maintain the confidentiality thereof to not use such Confidential Information except as expressly permitted by this Agreement; and (B) the Receiving Party will remain responsible for any failure by any Person who receives Confidential Information from such Receiving Party pursuant to this Section 9.3.1 (Disclosure) to treat such Confidential Information as required under this Article 9 (Confidentiality).

(g) Terms of Disclosure. If and whenever any Confidential Information is disclosed in accordance with this Section 9.3 (Authorized Disclosure), such disclosure will not cause any such information to cease to be Confidential Information, except to the extent that such disclosure results in a public disclosure of such information other than by breach of this Agreement.

9.3.2 Terms of this Agreement. The Parties agree that this Agreement and the terms hereof will be deemed to be Confidential Information of both Maze and Company, and each Party agrees not to disclose this Agreement or any terms hereof without obtaining the prior written consent of the other Party; provided that each Party may disclose this Agreement or any terms hereof in accordance with the provisions of Section 9.3 (Authorized Disclosure), Section 9.5 (Securities Filings; Disclosure under Applicable Law) or Section 9.7 (Publicity), as applicable.

 

43


9.4 Securities Filings; Disclosure under Applicable Law. Each Party acknowledges and agrees that the other Party may submit this Agreement to, or file this Agreement with, the Securities Regulators or other Persons as may be required by Applicable Law, and if a Party submits this Agreement to, or files this Agreement with, any Securities Regulator or other Person as may be required by Applicable Law, such Party agrees to consult with the other Party with respect to the preparation and submission of a confidential treatment request for this Agreement. Notwithstanding the foregoing, if a Party is required by any Securities Regulator or other Person as may be required by Applicable Law to make a disclosure of the terms of this Agreement in a filing or other submission as required by such Securities Regulator or such other Person, and such Party has: (a) provided copies of the disclosure to the other Party reasonably in advance under the circumstances of such filing or other disclosure; (b) promptly notified the other Party in writing of such requirement and any respective timing constraints; and (c) given the other Party reasonable time under the circumstances from the date of provision of copies of such disclosure to comment upon and request confidential treatment for such disclosure, then such Party will have the right to make such disclosure at the time and in the manner reasonably determined by its counsel to be required by the Securities Regulator or the other Person. Notwithstanding the foregoing, if a Party seeks to make a disclosure as required by a Securities Regulator or other Person as may be required by Applicable Law as set forth in this Section 9.5 (Securities Filings; Disclosure under Applicable Law) and the other Party provides comments in accordance with this Section 9.5 (Securities Filings; Disclosure under Applicable Law), then the Party seeking to make such disclosure or its counsel, as the case may be, will incorporate such comments to the extent legally permissible.

9.5 Return or Destruction of Confidential Information. Following expiration or termination of this Agreement, the Receiving Party will destroy the Confidential Information of the Disclosing Party, promptly (but in any case within [***] following the expiration or termination); provided, however, that the Receiving Party may retain: (i) Confidential Information of the Disclosing Party to exercise rights and licenses which expressly survive such termination or expiration pursuant to this Agreement; (ii) access to all other Confidential Information in archives solely for the purpose of establishing the contents thereof or in accordance with Applicable Law and (iii) any backup media copies made in the ordinary course of business.

9.6 Publicity. Each of the Parties may issue the press release in the form attached hereto as Schedule 9.7 (Form of Press Release) on or after the Effective Date. Except as otherwise permitted under this Article 9 (Confidentiality), neither Party will make any other press release or other public statement regarding this Agreement, or the activities hereunder or thereunder, or the transactions contemplated by this Agreement that go beyond the content of such pre-approved press release, without the other Party’s prior written consent. The contents of any press release or other public statement that has been reviewed and approved by the other Party may be re-released by a Party in materially the same language as previously approved by the other Party without first obtaining the other Party’s prior written consent in accordance with this Section 9.7 (Publicity).

9.7 Publications. Company will have the sole right to make presentations or publications with respect to the Licensed Compounds and Licensed Products (including Clinical Trials or non-clinical studies) (each presentation or publication, a “Publication”) in accordance with the provisions of this Section 9.8 (Publications). Notwithstanding the foregoing, Company will not have the right to make Publications disclosing Maze’s Confidential Information (other than Confidential Information that is also Company’s Confidential Information, such as the Licensed Know-How) without Maze’s consent, provided, nothing in this Section 9.8 (Publications) will restrict Company from publishing any Clinical Trial results.

 

44


9.8 Use of Names. Except as otherwise expressly set forth herein, neither Party (or any of its respective Affiliates) will use any corporate name, trademark, trade name or logo of the other Party or any of its Affiliates, or its or their respective employees, in any publicity, promotion, news release or other public disclosure relating to this Agreement or its subject matter, without first obtaining the prior written consent of the other Party; provided that such consent will not be required: (a) to the extent use thereof may be required by Applicable Law, including the rules of any securities exchange or market on which a Party’s or its Affiliate’s securities are listed or traded; and (b) for Maze’s use of Company’s name and company logo, in accordance with written specifications and standards to be provided by Company to Maze, solely to identify Company as a collaborator on Maze’s website and in public presentations. Each Party will retain all rights, title and interests in and to all such corporate names, trademarks, trade names and logos of such Party and its Affiliates.

9.9 Clinical Trials Registry. For clarity, Company, its Affiliates and its designees will have the right to publish registry information and summaries of data and results from any Clinical Trials conducted in connection with Licensed Products, on its Clinical Trials registry or on a government-sponsored database such as www.clinicaltrials.gov, without first obtaining the prior consent of Maze. The Parties will reasonably cooperate if required or reasonably requested by Company in order to facilitate any such publication by Company, any of its Affiliates or any of its designees.

ARTICLE 10

REPRESENTATIONS AND WARRANTIES; COVENANTS

10.1 Representations and Warranties of Each Party. Each Party hereby represents and warrants to the other Party, as of the Execution Date and Effective Date that:

10.1.1 Corporate Existence and Power. Such Party is duly organized, validly existing and in good standing under the Applicable Law of the jurisdiction of its formation and has full corporate power and authority and the legal right to own and operate its property and assets and to carry on its business as it is now being conducted and as contemplated in this Agreement, including the full right to grant the licenses and sublicenses granted by it hereunder.

10.1.2 Authority. Such Party has the corporate power and authority and the legal right to enter into this Agreement and perform its obligations hereunder, and has taken all necessary corporate action on its part to authorize the execution and delivery of this Agreement and the performance of its obligations hereunder.

10.1.3 Binding Agreement. This Agreement has been duly executed and delivered on behalf of such Party and constitutes a legal, valid and binding obligation, enforceable against it in accordance with its terms, except to the extent that enforcement of the rights and remedies created hereby is subject to: (a) bankruptcy, insolvency, reorganization, moratorium and other similar laws of general application affecting the rights and remedies of creditors; or (b) laws governing specific performance, injunctive relief and other equitable remedies.

 

45


10.1.4 No Conflicts. The execution, delivery and performance of this Agreement by such Party does not breach, violate or conflict with any agreement or any provision thereof (including any confidentiality or non-competition obligation, any exclusivity obligation, or any provisions with respect to the ownership, prosecution, maintenance and enforcement of intellectual property rights), or any instrument or understanding, oral or written, to which such Party (or any of its Affiliates) is a party or by which such Party (or any of its Affiliates) is bound, nor violate any Applicable Law of any Governmental Authority having jurisdiction over such Party (or any of its Affiliates).

10.1.5 Government Authorization. No government authorization, consent, approval, license, exemption of or filing or registration with, any court or governmental department, commission, board, bureau, agency or instrumentality, domestic or foreign, under any Applicable Law currently in effect, is or will be necessary for, or in connection with, the transactions contemplated by this Agreement, or for the performance by it of its obligations under this Agreement, except: (a) as may be required to Research, Develop (including to conduct Clinical Trials or to seek or obtain Regulatory Approvals or applicable Regulatory Materials), Manufacture, Commercialize or otherwise Exploit any Licensed Product(s); or (b) as set forth in Article 13 (Government Approvals).

10.1.6 Third Party Consent. Such Party has obtained all necessary authorizations, consents and approvals of any Third Party that is required to be obtained by it for, or in connection with, the transactions contemplated by this Agreement, or for the performance by it of its obligations under this Agreement, except for such authorizations, consents and approvals from a Governmental Authority: (a) as may be required to Research, Develop (including to conduct Clinical Trials or to seek or obtain Regulatory Approvals or applicable Regulatory Materials), or to Manufacture, Commercialize or otherwise Exploit any Licensed Product(s); or (b) as set forth in Article 13 (Government Approvals).

10.1.7 No Debarment. (a) Neither such Party nor any of its Affiliates has been debarred or is subject to debarment pursuant to Section 306 of the FFDCA or analogous provisions of Applicable Law outside the United States or is listed on any excluded list; and (b) neither it nor any of its Affiliates has, to its knowledge, used in any capacity, in connection with the activities to be performed under this Agreement, any individual or entity that has been debarred pursuant to Section 306 of the FFDCA or analogous provisions of Applicable Law outside the United States, or that is the subject of a conviction described in such Section or analogous provisions of Applicable Law outside the United States, or listed on any excluded list.

10.2 Representations and Warranties of Maze. Maze hereby represents and warrants to Company as of the Execution Date that:

10.2.1 Ownership and Full Disclosure and Validity of the Licensed Materials. Maze is the sole and exclusive owner of the Licensed Technology, free and clear of all liens, encumbrances and security interests, and Maze does not Control any Licensed Technology pursuant to any agreement with any Third Party. Schedule 1.113 (Licensed Patents) sets forth a complete and accurate list of all Licensed Patents existing as of the Execution Date, and Schedule 1.112 (Licensed Materials) sets forth a complete and accurate list of all Licensed Materials existing as of the Execution Date.

 

46


10.2.2 Disclosure of Material Information. Maze or its Affiliates has disclosed in writing to Company all (i) material information relating to quality, safety and efficacy of and relating to any and all of Licensed Compounds and/or Licensed Products, or the use or manufacture thereof, and (ii) material data and information, and all material correspondence to or from any Regulatory Authority, relating to any and all of the Licensed Compounds and/or Licensed Products, or the use or manufacture thereof.

10.2.3 No Conflicting Agreement. Maze has the full right, power and authority to grant all of the rights and licenses granted to Company under this Agreement. Neither Maze nor its Affiliates have assigned, transferred, conveyed or granted any right or license, or committed to assign, convey, transfer or grant any right or license, to any Third Party relating to any of the Licensed Technology that would conflict with or limit the scope of any of the rights or licenses granted to Company hereunder.

10.2.4 Validity and Enforceability. Maze has complied in all material respects with Applicable Law with respect to the Prosecution and Maintenance of the Licensed Patents. Neither Maze nor its Affiliates have received any notice, written or otherwise, of any claim or threat of a claim or litigation made by any Person against Maze or its Affiliates that alleges that any Licensed Patent is invalid or unenforceable and there is no pending adverse action, suit or proceeding against Maze in relation to any Licensed Patent. All Licensed Patents are: (a) in the case of issued patents, subsisting and, to Maze’s knowledge, are not invalid or unenforceable, in whole or in part; (b) in the case of pending applications, being diligently prosecuted in the respective patent offices in accordance with Applicable Law and Maze has presented all relevant references, documents and information of which it and the inventors are aware to the relevant patent examiner at the relevant patent office; and (c) Prosecuted and Maintained in accordance with the policies and procedures of the applicable patent office (including by identifying every inventor of the claims thereof as determined in accordance with the laws of the jurisdiction in which such Patent is issued or pending) and all applicable fees have been paid by the due date for payment. To Maze’s knowledge, there is no reference or prior art that would anticipate the issuance of any claim pending as of such date within any Licensed Patent.

10.2.5 Litigation and Disputes. There are no claims, judgments, settlements, litigations, suits, actions, disputes, arbitration, judicial or legal, administrative or other proceedings, or governmental investigations (collectively, “Actions”) pending or, to Maze’s knowledge, threatened against Maze or its Affiliates that relate to the Licensed Technology, MZE001 or the Research, Development or Manufacturing of MZE001, Licensed Compounds or Licensed Products, or which could otherwise reasonably be expected to adversely affect or restrict the ability of Maze to consummate or perform the transactions and obligations contemplated under this Agreement.

10.2.6 No Misappropriation/Infringement. Maze has not misappropriated any trade secret rights of a Third Party and, to Maze’s knowledge, Maze and its Affiliates, and any contractors or other Third Parties acting on behalf of or under license from Maze and/or its Affiliates, have not infringed any Patents or otherwise violated any other intellectual property of a Third Party, in each case of the foregoing in connection with developing the Licensed Technology or the Research, Development or Manufacturing of MZE001. Neither Maze nor its Affiliates have received any notice, written or otherwise, of any claim that any Patent or Know-How (including

 

47


any trade secret right) Controlled by a Third Party would be infringed, misappropriated or otherwise violated by the performance of the activities hereunder or by the Research, Development, Manufacture, Commercialization or other Exploitation of the Licensed Compounds or the Licensed Products in accordance with this Agreement. Maze has no knowledge of any Patent or Know-How Controlled by a Third Party that is necessary for the Research, Development, Manufacture, Commercialization or other Exploitation of the Licensed Compounds or the Licensed Products in accordance with the terms of this Agreement. To Maze’s knowledge, the use and practice of the Licensed Technology as contemplated by this Agreement does not and will not infringe, misappropriate or otherwise violate any intellectual property rights of any Third Party. To Maze’s knowledge, no Third Party is infringing, misappropriating or otherwise violating, or threatening to infringe, misappropriate or otherwise violate the Licensed Technology.

10.2.7 Third Party Agreements. There are no exclusivity provisions or any other restrictions in any agreement between Maze or its Affiliates, on the one hand, and any Third Party, on the other hand, that would limit either Party’s ability to Research, Develop, Manufacture, Commercialize or otherwise Exploit the Licensed Compounds or Licensed Products in the Field in the Territory.

10.2.8 Technology Assignment. Maze and its Affiliates have obtained from all individuals who participated in any respect in the invention, authorship or other creation of any Licensed Technology valid and enforceable written assignments of all rights of such individuals in such Licensed Technology. Nobody who (a) was involved in the conception of an Invention claimed in a Licensed Patent, or (b) claims or otherwise is or has asserted to be an inventor of any such Invention, is not identified as an inventor of such Invention in the filed patent documents for such Licensed Patent. No dispute regarding inventorship or ownership has been alleged or threatened with respect to any Licensed Technology.

10.2.9 Government Funding and Rights. The Inventions claimed, covered or encompassed by the Licensed Technology: (a) were not conceived, discovered, developed or otherwise made in connection with any research activities funded, in whole or in part, by the federal government of the United States (or any agency thereof) or the government of any other country; (b) are not a “subject invention” as that term is described in 35 U.S.C. §201(e); (c) are not otherwise subject to the provisions of the Patent and Trademark Law Amendments Act of 1980, codified at 35 U.S.C. §§200-212, or any regulations promulgated pursuant thereto, including in 37 C.F.R. Part 401; (d) in the case of clauses (b) or (c), are not subject to similar obligations or restrictions under the Applicable Law of any other country; and (e) are not the subject of any licenses, options or other rights of any Governmental Authority, within or outside the United States.

10.2.10 Compliance with Applicable Law, GxP and Data Privacy. Maze and its Affiliates have conducted all Research, Development, Manufacture and other Exploitation of the Licensed Compounds and Licensed Products in accordance with all Applicable Law, including, to the extent applicable, FCPA, privacy laws, GCP, GLP and GMP, and otherwise in accordance with good scientific, clinical and manufacturing practices and applicable industry ethical codes. All uses of biological samples in the preclinical and clinical Research and Development of the Licensed Compounds and Licensed Products have been consistent with and permitted by the terms of the informed consent given by the donors of such biological samples.

 

48


10.2.11 Compliance with Global Trade Laws. Maze and its Affiliates, and all Third Party contractors engaged by Maze and its Affiliates in connection with its or their Research, Development and/or Manufacturing relating to the Licensed Compound or Licensed Product, have at all times been in compliance with all applicable Global Trade Control Laws.

10.3 Covenants. Maze hereby covenants to Company during the Term and, except to the extent resulting from a breach by Maze of the representations made by Maze in Section 10.2 (Representations and Warranties of Maze), Company hereby covenants to Maze that during the Term:

10.3.1 Compliance with Applicable Law. Such Party and its Affiliates will perform its activities pursuant to this Agreement in compliance (and will ensure compliance by any of its Sublicensees or subcontractors) with all Applicable Law, including, to the extent applicable, FCPA, privacy laws, GCP, GLP and GMP, and otherwise in accordance with good scientific, clinical and manufacturing practices and applicable industry ethical codes.

10.3.2 No Debarment. Such Party and its Affiliates will not employ, or otherwise use in any capacity, the services of any Person suspended, proposed for debarment or debarred under United States law, including under 21 U.S.C. § 335a, or any foreign equivalent thereof, with respect to the performance of activities hereunder.

10.3.3 No Conflicts. Such Party will not enter into any agreement, contract, commitment or other arrangement, or otherwise take any action or fail to take any action, that could reasonably be expected to conflict with the rights granted to the other Party hereunder or otherwise prevent the other Party from exercising the rights granted to it hereunder.

10.3.4 No Misappropriation. Such Party will not misappropriate any trade secret of a Third Party in connection with the performance of its activities hereunder.

10.3.5 Government Authorization. Such Party will maintain all permits, licenses, registrations and other forms of authorizations and approvals from any Governmental Authority that are necessary or required to be obtained or maintained by such Party in order for such Party to execute and deliver this Agreement and to perform its obligations hereunder in a manner which complies with all Applicable Law.

10.4 FCPA Matters. Each Party hereby covenants to the other Party that during the Term:

10.4.1 it is familiar with the provisions and restrictions contained in the OECD Convention and FCPA and it has adopted and maintains an FCPA policy; and

10.4.2 its and its Affiliates’ employees will not, and it will use reasonable efforts to cause its contractors to not, in connection with the performance of their respective obligations under this Agreement, directly or indirectly through Third Parties, pay, promise or offer to pay, or authorize the payment of, any money or give any promise or offer to give, or authorize the giving of, anything of value to a Public Official or Entity or other Person for purpose of improperly obtaining or retaining business for or with, or directing business to, any Person, including either Party (it being understood that such Party, and to its knowledge, its and its Affiliates’ employees and contractors, has not directly or indirectly promised, offered or provided any corrupt payment, gratuity, emolument, bribe, kickback, illicit gift or hospitality or other illegal or unethical benefit to a Public Official or Entity or any other person in connection with the performance of such Party’s obligations under this Agreement, and will not, directly or indirectly, engage in any of the foregoing).

 

49


10.5 Disclaimer. EXCEPT AS OTHERWISE EXPRESSLY PROVIDED IN THIS AGREEMENT, NEITHER PARTY MAKES ANY REPRESENTATIONS OR EXTENDS ANY WARRANTY OF ANY KIND, EITHER EXPRESS OR IMPLIED (AND EACH PARTY HEREBY EXPRESSLY DISCLAIMS ANY AND ALL REPRESENTATIONS AND WARRANTIES NOT EXPRESSLY PROVIDED IN THIS AGREEMENT), INCLUDING WITH RESPECT TO ANY PATENTS OR KNOW-HOW, INCLUDING WARRANTIES OF VALIDITY OR ENFORCEABILITY, MERCHANTABILITY, FITNESS FOR A PARTICULAR USE OR PURPOSE, PERFORMANCE AND NON-INFRINGEMENT OF ANY THIRD PARTY PATENT OR OTHER INTELLECTUAL PROPERTY RIGHT.

ARTICLE 11

INDEMNIFICATION; INSURANCE

11.1 Indemnification.

11.1.1 Indemnification by Company. Company will indemnify, defend and hold harmless Maze, its Affiliates and its and their respective directors, officers, employees, agents, successors and assigns (each, a “Maze Indemnitee”) from and against any and all Damages to the extent arising out of or relating to, directly or indirectly, any Third Party Claim based upon:

(a) the Development, Manufacture, Commercialization or other Exploitation of Licensed Products in the Field in the Territory by or on behalf of Company, its Affiliates or its Sublicensees;

(b) the gross negligence, recklessness or willful misconduct of Company or its Affiliates or its or their respective directors, officers, employees or agents, in connection with Company’s performance of its obligations under this Agreement;

(c) any breach by Company of any of its representations, warranties, covenants, agreements or obligations under this Agreement; or

(d) violation of Applicable Law by Company, its Affiliates, Sublicensees or subcontractors in connection with the performance of its obligations or exercise of its rights under this Agreement;

provided, however, that, in each case ((a)-(d)), such indemnity will not apply to the extent Maze has an indemnification obligation pursuant to Section 11.1.2 (Indemnification by Maze) for such Damages.

 

50


11.1.2 Indemnification by Maze. Maze will indemnify, defend and hold harmless Company, its Affiliates and its and their respective directors, officers, employees, agents, successors, assigns and Sublicensees (each, a “Company Indemnitee”), from and against any and all Damages to the extent arising out of or relating to, directly or indirectly, any Third Party Claim based upon:

(a) the gross negligence, recklessness or willful misconduct of Maze or its Affiliates or its or their respective directors, officers, employees or agents, in connection with Maze’s performance of its obligations under this Agreement;

(b) any breach by Maze of any of its representations, warranties, covenants, agreements or obligations under this Agreement; or

(c) violation of Applicable Law by Maze, its Affiliates or (sub)licensees in connection with the performance of its obligations or exercise of its rights under this Agreement;

provided, however, that, in each case ((a)-(c)), such indemnity will not apply to the extent Company has an indemnification obligation pursuant to Section 11.1.1 (Indemnification by Company) for such Damages.

11.2 Procedure.

11.2.1 Notice. If a Maze Indemnitee or Company Indemnitee is seeking indemnification under Section 11.1.1 (Indemnification by Company) or Section 11.1.2 (Indemnification by Maze), as applicable (the “Indemnitee”), it will inform the other Party (the “Indemnitor”) of the claim giving rise to the obligation to indemnify pursuant to Section 11.1.1 (Indemnification by Company) or Section 11.1.2 (Indemnification by Maze), as applicable, as soon as reasonably practicable after receiving notice of the claim (an “Indemnification Claim Notice”); provided that any delay or failure to provide such notice will not constitute a waiver or release of, or otherwise limit, the Indemnitee’s rights to indemnification under Section 11.1.1 (Indemnification by Company) or Section 11.1.2 (Indemnification by Maze), as applicable, except to the extent that such delay or failure materially prejudices the Indemnitor’s ability to defend against the relevant claims.

11.2.2 Control of Defense. The Indemnitor will have the right, upon written notice given to the Indemnitee within [***] after receipt of the Indemnification Claim Notice, to assume the defense of any such claim for which the Indemnitee is seeking indemnification pursuant to Section 11.1.1 (Indemnification by Company) or Section 11.1.2 (Indemnification by Maze), as applicable. The Indemnitee will cooperate with the Indemnitor and the Indemnitor’s insurer as the Indemnitor may reasonably request, and at the Indemnitor’s cost and expense. The Indemnitee will have the right to participate, at its own expense and with counsel of its choice, in the defense of any claim or suit that has been assumed by the Indemnitor.

11.2.3 Settlements; No Presumption of Liability. The Indemnitor will not settle any claim without first obtaining the prior written consent of the Indemnitee, not to be unreasonably withheld, conditioned or delayed. The assumption of the defense of a claim by the Indemnitor will not be construed as an acknowledgment that the Indemnitor is liable to indemnify the Indemnitee in respect of the claim, nor will it constitute a waiver by the Indemnitor of any defenses it may assert against the Indemnitee’s claim for indemnification. In the event that it is ultimately determined that the Indemnitor is not obligated to indemnify, defend or hold harmless the Indemnitee from and against the claim, the Indemnitee will reimburse the Indemnitor for any and all costs and expenses (including attorneys’ fees and costs of suit) and any Damages incurred by the Indemnitor in its defense of the claim.

 

51


11.2.4 Separate Defenses; Cooperation. If the Parties cannot agree as to the application of Section 11.1.1 (Indemnification by Company) or Section 11.1.2 (Indemnification by Maze), as applicable, to any claim, pending the resolution of the Dispute pursuant to Section 14.6 (Choice of Law; Dispute Resolution), then the Parties may conduct separate defenses of such claims, with each Party retaining the right to claim indemnification from the other Party in accordance with Section 11.1.1 (Indemnification by Company) or Section 11.1.2 (Indemnification by Maze), as applicable, upon resolution of the underlying claim. In each case, the Indemnitee will reasonably cooperate with the Indemnitor and will make available to the Indemnitor all pertinent information under the control of the Indemnitee, which information will be subject to Article 9 (Confidentiality).

11.3 Insurance. Each Party shall maintain insurance coverages (including in the case of Company product liability insurance), in such amount as reasonably reflect such Party’s obligations and liabilities under this Agreement, with a Third Party insurance company with a current AM Best rating of A- or equivalent or higher, or through a program of self-insurance where a Party has annual worldwide revenue sufficient to support adequate retention for such coverage.

11.4 Limitation of Liability. NEITHER MAZE NOR COMPANY, NOR ANY OF THEIR RESPECTIVE AFFILIATES, WILL BE LIABLE TO THE OTHER PARTY OR ITS AFFILIATES UNDER OR IN CONNECTION WITH THIS AGREEMENT FOR ANY INDIRECT, INCIDENTAL, CONSEQUENTIAL, SPECIAL, PUNITIVE OR EXEMPLARY DAMAGES (INCLUDING LOST PROFITS OR LOST REVENUES), WHETHER LIABILITY IS ASSERTED IN CONTRACT, TORT (INCLUDING NEGLIGENCE AND STRICT PRODUCT LIABILITY), INDEMNITY, CONTRIBUTION OR OTHERWISE, AND IRRESPECTIVE OF WHETHER THAT PARTY OR ANY REPRESENTATIVE OF THAT PARTY HAS BEEN ADVISED OF, OR OTHERWISE MIGHT HAVE ANTICIPATED THE POSSIBILITY OF, ANY SUCH LOSS OR DAMAGE. NOTWITHSTANDING THE FOREGOING, NOTHING IN THIS SECTION 11.4 (LIMITATION OF LIABILITY) IS INTENDED TO OR WILL LIMIT OR RESTRICT: (A) THE INDEMNIFICATION RIGHTS OR OBLIGATIONS OF ANY PARTY UNDER SECTION 11.1.1 (INDEMNIFICATION BY COMPANY) OR SECTION 11.1.2 (INDEMNIFICATION BY MAZE), AS APPLICABLE, IN CONNECTION WITH ANY THIRD PARTY CLAIMS; (B) DAMAGES AVAILABLE FOR A PARTY’S INTENTIONAL MISCONDUCT OR FRAUD; OR (C) LIABILITY OF EITHER PARTY FOR BREACH OF ARTICLE 9 (CONFIDENTIALITY).

ARTICLE 12

TERM AND TERMINATION

12.1 Term; Expiration. The term of this Agreement (the “Term”) will commence on the Effective Date and (subject to earlier termination in accordance with this Article 12 (Term and Termination)) will expire, on a Licensed Product-by-Licensed Product and country-by-country basis, on the expiration of the Royalty Term for such Licensed Product in such country and will finally expire in its entirety upon the expiration of the last Royalty Term for the last Licensed Product in the Territory.

 

52


12.2 Termination for Material Breach.

12.2.1 Termination Right. This Agreement may be terminated by a Party upon written notice to the allegedly breaching Party if the allegedly breaching Party has not cured such material breach within [***] after the date of written notice to the allegedly breaching Party of such breach (which notice will describe such material breach in reasonable detail) (such [***] period, the “Cure Period”). In the event that a material breach is curable but the allegedly breaching Party demonstrates that it cannot be reasonably cured within the Cure Period despite its diligent efforts to cure within such period, then the allegedly breaching Party will be allowed to continue to cure such material breach using diligent efforts for another [***] or a longer period mutually agreed upon by the Parties.

12.2.2 Disagreement as to Material Breach. Notwithstanding Section 12.2.1 (Termination Right), if the Parties in good faith disagree as to whether there has been a material breach of this Agreement, then: (a) the Party that disputes whether there has been a material breach may contest the allegation by referring such matter, within [***] following its receipt of notice of the alleged material breach, for resolution in accordance with Section 14.6 (Choice of Law; Dispute Resolution); (b) the relevant Cure Period with respect to such alleged material breach will be tolled from the date on which the Party that disputes whether there has been a material breach notifies the other Party of such Dispute through the resolution of such Dispute in accordance with the applicable provisions of this Agreement; and (c) subject to Section 12.5.7 (Survival) and Section 14.3 (Force Majeure), during the pendency of such Dispute, all of the terms and conditions of this Agreement will remain in effect and the Parties will continue to perform all of their respective obligations hereunder.

12.3 Termination at Will. Company may terminate this Agreement at will, in its sole discretion, in its entirety upon delivery of [***] prior written notice to Maze.

12.4 Termination for Bankruptcy.

12.4.1 Termination Right. In the event that either Party: (a) files for protection under the United States Bankruptcy Code (the “Code”) or any similar bankruptcy or insolvency law, foreign or domestic; (b) makes an assignment for the benefit of, or an arrangement or composition generally with, its creditors; (c) appoints an examiner of or a receiver or trustee over all or substantially all of its property or suffers the appointment of such party that is not discharged within [***] after such filing or appointment; (d) proposes a written agreement of composition or extension of its debts; (e) proposes or is a party to any dissolution, liquidation or winding up; (f) has a petition filed against it under the Code or any similar bankruptcy or insolvency law that is not discharged or dismissed within [***] of the filing thereof; or (g) admits in writing its inability generally to meet its obligations as they fall due in the ordinary course, then the other Party may terminate this Agreement in its entirety effective immediately upon written notice to such Party.

 

53


12.4.2 Section 365(n) Rights. For purposes of Section 365(n) of the Code and any similar law, foreign or domestic, all rights and licenses granted under or pursuant to any Section of this Agreement are rights to “intellectual property” (as defined in Section 101(35A) of the Code). The Parties agree that the licensee of such rights under this Agreement will retain and may fully exercise all of its protections, rights and elections under the Code and any similar laws in any other country. Without limiting the generality of the foregoing, the Parties intend and agree that any sale of the licensor’s assets under Section 363 of the Code will be subject to the licensee’s rights under Section 365(n) of the Code, that the licensee cannot be compelled to accept a money satisfaction of its interests in the intellectual property licensed pursuant to this Agreement and that any such sale therefore may not be made to a purchaser “free and clear” of the licensee’s rights under this Agreement and Section 365(n) of the Code without the express, contemporaneous consent of the licensee. Further, each Party agrees and acknowledges that all payments by the licensee to the licensor hereunder, other than the royalty payments pursuant to Section 7.3 (Royalties) and Section 12.5.5(b) (Reversion Royalties), do not constitute royalties within the meaning of Section 365(n) of the Bankruptcy Code or relate to licenses of intellectual property hereunder. The licensor will, during the Term of this Agreement, create and maintain current copies or, if not amenable to copying, detailed descriptions or other appropriate embodiments, to the extent feasible, of all such intellectual property. Each Party hereby acknowledges and agrees that “embodiments” of intellectual property within the meaning of Section 365(n) of the Code include copies of research data, laboratory samples, product samples and inventory, formulas, laboratory notes and notebooks, pre-clinical research data and results, tangible Know-How and rights of access or reference, in each case, that relate to such intellectual property. If (a) a case under the Code is commenced by or against the licensor, (b) this Agreement is rejected as provided in the Code and (c) the licensee elects to retain its rights hereunder as provided in Section 365(n) of the Code, then the licensor (in any capacity, including debtor-in-possession) and its successors and assigns (including a trustee) will: (i) provide to the licensee all such intellectual property (including all embodiments thereof) held by the licensor and such successors and assigns, or otherwise available to them, immediately upon the licensee’s written request; and (ii) not interfere with the licensee’s rights under this Agreement, or any agreement supplemental hereto, to such intellectual property (including such embodiments), including any right to obtain such intellectual property (or such embodiments) from another entity, to the extent provided in Section 365(n) of the Code. Whenever the licensor or any of its successors or assigns provides to the licensee any of the intellectual property licensed hereunder (or any embodiment thereof) pursuant to this Section 12.4.2 (Section 365(n) Rights), the licensee will have the right to perform the licensor’s obligations hereunder with respect to such intellectual property, but neither such provision nor such performance by the licensee will release the licensor from liability resulting from rejection of the license or the failure to perform such obligations. The provisions of this Section 12.4.2 (Section 365(n) Rights) are without prejudice to any rights the licensee may have arising under the Code, the laws of other jurisdictions governing insolvency and bankruptcy or other Applicable Law. The Parties agree that they intend the rights, powers and remedies set forth in this Section 12.4.2 (Section 365(n) Rights), including: (a) the licensee’s right of access to any intellectual property (including all embodiments thereof) of the licensor, or any Third Party with whom the licensor contracts to perform an obligation of such licensor under this Agreement which is necessary for the Research, Development, Manufacture, Commercialization or other Exploitation of a Licensed Product; (b) the right to contract directly with any Third Party described in clause (a) of this Section 12.4.2 (Section 365(n) Rights) to complete the contracted work; and (c) the right to cure any breach of or default under any such agreement with a Third Party and set off the costs thereof against amounts payable to the licensor under this Agreement, in each case ((a) through (c)): (i) to extend to the maximum extent permitted by Applicable Law, including for purposes of the Code and any similar laws in any other country; (ii) to be enforceable; and (iii) to be additional to and not in substitution for any and all other rights, powers and remedies now or hereafter existing at law or in equity (including pursuant to the Code and any similar laws in any other country).

 

54


12.5 Effects of Expiration and Termination.

12.5.1 Effects of Expiration. Upon the expiration of the Royalty Term with respect to a Licensed Product in a country, the Company License for such Licensed Product as set forth in Section 2.1.1 (License to Company) will become fully paid-up, irrevocable, perpetual and royalty-free in such country.

12.5.2 Termination of Rights. Upon any termination of this Agreement, all rights and obligations of the Parties under this Agreement will cease except as otherwise set forth in this Section 12.5 (Effects of Expiration and Termination) (including Section 12.5.3 (Sublicense Survival)) or elsewhere in this Agreement. Company will, commencing with the date such termination becomes effective, have no further obligations under this Agreement except as expressly set forth in this Section 12.5 (Effects of Expiration and Termination).

12.5.3 Sublicense Survival. Upon termination of this Agreement, upon the request of any Sublicensee, Maze will enter into a direct license from Maze to such Sublicensee on the same terms as this Agreement, taking into account any difference in license scope, territory and duration of sublicense grant (each a “New License Agreement”), provided that such Sublicensee is not at the time of such termination in breach of its sublicense agreement. Under any such New License Agreement between Maze and such former Sublicensee, such Sublicensee will be required to pay to Maze the same amounts in consideration for such direct grant as Maze would have received from Company pursuant to this Agreement on account of such Sublicensee’s Research, Development, Commercialization or other Exploitation of Licensed Compounds or Licensed Products had this Agreement not been terminated. Under such New License Agreement, Maze will not be bound by any grant of rights broader than, and will not be required to perform any obligation other than those rights and obligations contained in this Agreement and all applicable rights of Maze set forth in this Agreement will be included in such New License Agreement. Notwithstanding the foregoing, Maze will not be obligated to enter into a New License Agreement with a Sublicensee unless such Sublicensee notifies Maze within [***] after the termination of this Agreement that it wishes to enter into a New License Agreement.

12.5.4 Confidential Information. Upon any termination of this Agreement, each Party will comply with Section 9.6 (Return or Destruction of Confidential Information) with regard to the return or destruction of each Party’s Confidential Information.

12.5.5 Effects of Termination by Company at Will or Termination by Maze for Company’s Material Breach or Insolvency. Upon the termination of this Agreement by Company pursuant to Section 12.3 (Termination at Will), or by Maze pursuant to Section 12.2 (Termination for Material Breach) or Section 12.4 (Termination for Bankruptcy), the following provisions will apply:

 

55


(a) License to Maze. Effective as of the effective date of termination, Company hereby grants to Maze a non-exclusive, transferrable (pursuant to Section 14.4 (Assignment)) and sublicensable (through multiple tiers) license under the Company Reversion IP solely as necessary to Research, Develop, Manufacture, Commercialize or otherwise Exploit the Licensed Product(s) in the Field in the Territory.

(b) Reversion Royalties. In consideration for the license grant to Maze under Section 12.5.5(a) (License to Maze), Maze will pay to Company on a Licensed Product-by- Licensed Product basis royalties on sales of Licensed Products until the expiration of the applicable Post-Termination Royalty Term (such royalties, “Reversion Royalties”). Such Reversion Royalties will be calculated based on Annual Net Sales (as such term is applied mutatis mutandis to Maze and its Affiliates and sublicensees) by Maze and its Affiliates and sublicensees of such Licensed Product at the percentage set forth in the table below in this Section 12.5.5(b) (Reversion Royalties) of the applicable royalty rates pursuant to Section 7.3 (Royalties):

 

Stage of Development

   Percentage of
Royalty Rates
Pursuant to Section

7.3 (Royalties)

(a)

   [***]    [***]

(b)

   [***]    [***]

For the purpose of the Reversion Royalties, the provisions in Section 7.3.5 (Royalty Reductions), Section 7.4 (Royalty Payments and Reporting), Section 7.5 (Additional Payment Terms) and Section 7.6 (Records; Audit Rights) will apply to Maze and its Affiliates and sublicensees mutatis mutandis.

(c) Joint Program Foreground Patents and Maze Program Foreground Patents. Effective as of the effective date of termination, in the event that this Agreement is terminated by Company pursuant to Section 12.3 (Termination at Will), or by Maze pursuant to Section 12.2 (Termination for Material Breach) or Section 12.4 (Termination for Bankruptcy), Company will and does hereby (A) assign to Maze (I) all of its rights, title and interests in and to any Maze Program Foreground Patents, and (II) Company’s interest in and to any Joint Program Foreground Patents, and in each case ((I) and (II)) Maze will and does hereby accept such assignment, and (B) grant to Maze an exclusive, perpetual, irrevocable, transferrable (pursuant to Section 14.4 (Assignment)) and sublicensable (through multiple tiers) license under the Joint Program Foreground Know-How and Maze Program Foreground Know-How solely as necessary to Research, Develop, Manufacture, Commercialize or otherwise Exploit the Licensed Product(s) in the Field in the Territory.

(d) Licensed Product Marks.

(i) License Grant. Effective as of the effective date of termination, Company hereby grants to Maze a non-exclusive, transferrable (pursuant to Section 14.4 (Assignment)) and sublicensable (through multiple tiers) license under any Licensed Product Marks that are actually used in, and solely related to, the Commercialization of Licensed Products in the Field in the Territory as of the effective date of termination, solely as necessary to Commercialize the Licensed Product(s) in the Field in the Territory.

 

56


(ii) (Quality Control. In connection with the license grant to the Licensed Product Marks described in Section 12.5.5(d)(i) (License Grant), Maze covenants that all uses of the Licensed Product Marks, and the Licensed Products offered in connection therewith, by or on behalf of Maze, its Affiliates or sublicensees, shall be consistent with (A) the high quality of the Licensed Products being offered under the Licensed Product Marks as of the effective date of termination, and (B) any quality standards or practices required under Applicable Law. Upon Company’s or its designee’s reasonable request, Maze shall provide samples of any Licensed Products or related goods and services bearing the Licensed Product Marks to Company or its designee for the purpose of inspecting and evaluating Company’s compliance with the requirements set forth in this Section 12.5.5(d)(ii) (Quality Control).

(e) Assignment of Regulatory Approvals and Regulatory Materials. Company will, within a reasonable period of time after the effective date of termination of this Agreement, provide to Maze all Regulatory Materials, Regulatory Approvals relating to the Licensed Products in the Territory, and will, and hereby does, to the extent allowed under Applicable Law, assign to Maze all rights, title, and interests in such Regulatory Materials and Regulatory Approvals. To the extent that any Regulatory Approvals or Regulatory Materials cannot be assigned to Maze due to restrictions under Applicable Law, Company will grant Maze a right of reference to such Regulatory Approvals or Regulatory Materials solely in connection with the Research, Development, Manufacture, Commercialization or other Exploitation of the Licensed Products in the Field in the Territory.

(f) Inventory Sell-Off Period. Company will be entitled, for a period of [***] after the effective date of termination, to (i) complete Manufacture of work- in-progress Licensed Products and (ii) continue conducting Commercialization activities with respect to any Licensed Products in Company’s inventory as of such effective date of termination (or added to such inventory as a result of the completion of Manufacturing activities described in clause (i)). During such [***] inventory sell-off period, the terms of Article 7 (Financial Terms) will continue to apply to any Commercialization activities conducted by or on behalf of Company pursuant to the foregoing clause (ii). At the end of such [***] inventory sell-off period, at Maze’s request, Company will transfer to Maze any remaining inventory of Licensed Products, at a price that is equal to [***] of Company’s fully burdened Manufacturing costs.

(g) Clinical Trials. If as of the effective date of termination of this Agreement, any Clinical Trials of any Licensed Product are being conducted by or on behalf of Company or its Affiliates in the Territory, then, upon Company’s election, within a reasonable period after such effective date of termination, Company and its Affiliates will wind down any such ongoing Clinical Trials pursuant to Applicable Law or any requirements from the applicable Regulatory Authorities unless Maze elects to assume such ongoing Clinical Trials after such effective date of termination, in which case: (i) to the extent permitted by Applicable Law and any requirements from the applicable Regulatory Authorities, Company and its Affiliates will transfer such Clinical Trials to Maze at Maze’s sole cost and expense; and (ii) Maze will assume any and all liabilities for the conduct of such transferred Clinical Trials for the Licensed Products as of the effective date of such transfer.

 

57


12.5.6 Accrued Rights; Remedies. Except as otherwise expressly set forth in this Agreement, the expiration or termination of this Agreement for any reason will be without prejudice to any rights that will have accrued to the benefit of any Party prior to such expiration or termination, and any and all damages or remedies (whether at law or in equity) arising from any breach hereunder, each of which will survive expiration or termination of this Agreement. Such expiration or termination will not relieve any Party from obligations that are expressly indicated to survive expiration or termination of this Agreement. Except as otherwise expressly set forth in this Agreement, the termination provisions of this Article are in addition to any other relief and remedies available to either Party under this Agreement, at law or in equity.

12.5.7 Survival. Without limiting the provisions of Section 12.5.6 (Accrued Rights; Remedies), the rights and obligations of the Parties set forth in the following Sections and Articles of this Agreement will survive the expiration or termination of this Agreement, in addition to those other terms and conditions that are expressly stated to survive termination or expiration of this Agreement: Article 1 (Definitions) (solely to the extent such definitions are used in other surviving provisions); Section 2.3 (Residual Knowledge); Section 2.4 (No Implied Licenses); Article 7 (solely to the extent that any payment accrued prior to the effective date of expiration or termination of this Agreement and with respect to Section 7.6 (Records; Audit Rights), solely for the time period set forth therein); Section 8.1 (Ownership); Section 8.5 (Trademarks); Article 9 (Confidentiality) (solely for the time period set forth therein); Section 11.1 (Indemnification); Section 11.2 (Procedure); Section 11.3 (solely for the time period set forth therein); Section 11.4 (Limitation of Liability); Section 12.4.2 (Section 365(n) Rights); this Section 12.5 (Effects of Expiration and Termination); and Article 14 (Miscellaneous).

ARTICLE 13

GOVERNMENT APPROVALS

13.1 Efforts. Each of Maze and Company will use its commercially reasonable efforts to remove promptly any and all impediments so as to enable the consummation of this Agreement and the transactions contemplated hereby to occur as promptly as practicable after the Execution Date, including by: (a) obtaining government antitrust clearance, (b) cooperating in good faith with any Governmental Authority investigation, and (c) if requested by a Governmental Authority, promptly producing any documents and information and providing witness testimony. Notwithstanding anything to the contrary in this Agreement, this Section 13.1 (Efforts) and the term “commercially reasonable efforts” as used in this Article 13 (Government Approvals) do not require that either Party: (i) offer, negotiate, commit to or effect, by consent decree, hold separate order, trust or otherwise, the sale, divestiture, license or other disposition of any capital stock, assets, rights, products or businesses of Maze or Company or any of their Affiliates; (ii) agree to any restrictions on any capital stock, assets, rights, products or businesses of Maze or Company or any of their Affiliates or (iii) pay any amount or take any other action to prevent, effect the dissolution of, vacate, or lift any decree, order, judgment, injunction, temporary restraining order or other order in any suit or proceeding that would otherwise have the effect of preventing or delaying the transactions contemplated by this Agreement (collectively, an “Antitrust Remedy”).

 

58


13.2 Filings. As soon as reasonably practicable following the Execution Date (but no later than [***] following the Execution Date unless otherwise agreed to in writing by the Parties), each of Maze and Company will prepare and submit to the United States Federal Trade Commission (the “FTC”) and the Antitrust Division of the United States Department of Justice (the “DOJ”) any HSR/Antitrust Filing required of it under the HSR Act and use commercially reasonable efforts (as set forth in Section 13.1 (Efforts) above), to cause the expiration or termination of any applicable waiting periods under the HSR Act as soon as practicable after the Execution Date and, as soon as practicable after the Execution Date, file with the appropriate Governmental Authority any other HSR/Antitrust Filing required of it under any other Antitrust Law, as set forth in Schedule 13.2), with respect to the transactions contemplated by this Agreement, and use commercially reasonable efforts (as defined in Section 13.1 (Efforts) above) to obtain clearances or approvals or cause the expiration or termination of any applicable waiting periods under applicable Antitrust Laws as soon as practicable after the Execution Date. The Parties will cooperate with one another in the preparation of any such HSR/Antitrust Filing. The Parties shall promptly make an appropriate response to any request by a Governmental Authority for any additional information or documents pursuant to any Antitrust Law. In the event that any information in the filings submitted pursuant to this Section 13.2 (Filings) or any such supplemental information furnished in connection therewith is deemed confidential by either Party, the Parties shall maintain the confidentiality of the same, and the Parties shall seek authorization from the applicable Governmental Authority to withhold such information from public view. Each Party will be responsible for and bear its own costs and expenses associated with any HSR/Antitrust Filing; provided that Company will be responsible for paying the filing fees to be paid to the United States Federal Government in connection with any HSR/Antitrust Filing required under the HSR Act that made under this Section 13.2. In the event that the Parties make an HSR/Antitrust Filing under this Section 13.2 (Filings), this Agreement will terminate, at the election of either Party: (i) immediately upon notice to the other Party, in the event that the FTC, DOJ or other Governmental Authority (A) obtains a preliminary injunction or final order under Antitrust Law enjoining the transactions contemplated by this Agreement or (B) requests or requires an Antitrust Remedy as a condition of approval; or (ii) immediately upon notice to the other Party, any time after the occurrence of the Outside Date if the Effective Date has not occurred; provided, however, that if Company desires to extend the Outside Date in order to respond to a request by the FTC, DOJ or other Governmental Authority (e.g. following a second request for additional review), then upon Company’s written request during the period leading up to the Outside Date the Parties will negotiate in good faith the terms of an extension to the Outside Date such terms to include a break-up fee to be payable to Maze in the case the extended Outside Date occurs and the Effective Date has not occurred. Notwithstanding any provision to the contrary in this Agreement, except for the terms and conditions of Section 9.7 (Publicity) and this Article 13 (Government Approvals), which will each become effective as of the Execution Date of this Agreement, none of the terms and conditions contained in this Agreement will be effective until the Effective Date.

13.3 HSR/Antitrust Filing Information Exchange. Each of Maze and Company will, in connection with any HSR/Antitrust Filing and subject to applicable legal limitations and the instructions of any Governmental Authority: (a) reasonably cooperate with each other in connection with any communication, filing, notification or submission and in connection with any investigation or other inquiry, including any proceeding initiated by a private party; (b) keep the other Party or its counsel informed of and promptly furnish the other with copies of any communication received by such Party from, or given by such Party to, the FTC, the DOJ or any other U.S. or other Governmental Authority and of any communication received or given in connection with any proceeding by a private party, in each case, regarding the transactions

 

59


contemplated by this Agreement; (c) subject to applicable Antitrust Law relating to the exchange of information, Maze, on the one hand, and Company, on the other hand, shall jointly cooperate on and direct the antitrust defense strategy, and consult with each other in advance of any meeting or conference with the FTC, the DOJ or any other Governmental Authority or, in connection with any proceeding by a private party, with any other Person, and to the extent permitted by the FTC, the DOJ or such other Governmental Authority or other Person, give the Parties or their counsel the opportunity to attend and participate in such meetings and conferences and in the event one such Party is prohibited by the applicable Governmental Authority from participating or attending any such meeting or discussion, agrees to keep such non-participating party reasonably apprised with respect thereto; and (d) to the extent practicable, permit the other Party or its counsel to review in advance with reasonable notice, and consider in good faith the views of the other Party in connection with, any notification, submission, filing or communication (and documents submitted therewith) intended to be given by it to the FTC, the DOJ or any other Governmental Authority; provided that materials may be redacted to remove references concerning the valuation of the business of the disclosing Party or other sensitive information in the judgment of such disclosing Party, and provided, further, that subject to the cooperation and consultation obligations set forth in this Section 13.3 (HSR/Antitrust Filing Information Exchange), Company will control the strategy for HSR/Antitrust Filings and serve as the primary point of contact with the applicable Governmental Authorities. Each of Maze and Company, as each deems advisable and necessary, may reasonably designate any competitively sensitive material to be provided to the other under this Article 13 (Government Approvals) as “Antitrust Counsel Only Material.” Such Antitrust Counsel Only Material and the information contained therein will be given only to the outside antitrust counsel of the recipient and will not be disclosed by such outside counsel to employees, officers or directors or other representatives of the recipient unless express permission is obtained in advance from the source of the materials (Maze or Company, as the case may be) or its legal counsel.

ARTICLE 14

MISCELLANEOUS

14.1 Severability. If one or more of the terms or provisions of this Agreement is held by a court of competent jurisdiction to be void, invalid or unenforceable in any situation in any jurisdiction, such holding will not affect the validity or enforceability of the remaining terms and provisions hereof or the validity or enforceability of the void, invalid or unenforceable term or provision in any other situation or in any other jurisdiction, and the void, invalid or unenforceable term or provision will be considered severed from this Agreement solely for such situation and solely in such jurisdiction, unless the void, invalid or unenforceable term or provision is of such essential importance to this Agreement that it is to be reasonably assumed that the Parties would not have entered into this Agreement without the void, invalid or unenforceable term or provision. If the final judgment of such court declares that any term or provision hereof is void, invalid or unenforceable, then the Parties agree to: (a) reduce the scope, duration, area or applicability of such term or provision or to delete specific words or phrases to the minimum extent necessary to cause such term or provision as so reduced or amended to be enforceable; and (b) make a good faith effort to replace any such term or provision with a valid and enforceable term or provision such that the objectives contemplated by the Parties when entering this Agreement may be realized.

 

60


14.2 Notices. Any notice required or permitted to be given by this Agreement will be in writing and in English and will be: (a) (i) delivered by hand or by prepaid overnight courier with tracking capabilities; or (ii) mailed postage prepaid by first class, registered or certified mail; and (b) delivered by email followed by delivery via either of the methods set forth in the foregoing clauses (a)(i) and (a)(ii) of this Section 14.2 (Notices), in each case, addressed as set forth below unless changed by notice so given:

If to Company:

Shionogi & Co., Ltd.

1-8, Doshomachi 3-chome, Chuo-ku, Osaka 541-0045, Japan

Attention: Vice President, Business Development Department

Email:

With copies to:

Attention: Vice President, Legal Affairs Department

Email:

-and-

White & Case LLP

1221 Avenue of the Americas

New York, New York 10020-1095

Attention: Andres Liivak

Email:

If to Maze:

Maze Therapeutics – Partnering

171 Oyster Point Blvd

Suite 300

South San Francisco, CA 94080

Attention: Head of Partnering and of Alliance Management

Email:

With copies to:

Maze Therapeutics – Legal

171 Oyster Point Blvd

Suite 300

South San Francisco, CA 94080

Attention: Jana Gold, VP Legal

Email:

-and-

Fenwick & West LLP

1191 2nd Ave

Seattle, WA 98101

Attention: Effie Toshav and Jake Handy

Email:

 

61


Any such notice will be deemed given on the date received, except any notice received after 5:30 p.m. (in the time zone of the receiving Party) on a Business Day or received on a non-Business Day, in each case, will be deemed to have been received on the next Business Day. A Party may add, delete or change the person or address to which notices should be sent at any time upon written notice delivered to the other Parties in accordance with this Section 14.2 (Notices).This Section 14.2 (Notices) is not intended to govern the day-to-day business communications necessary between the Parties in performing their obligations under the terms of this Agreement.

14.3 Force Majeure. Neither Party will be held liable or responsible to the other Party or be deemed to have defaulted under or breached this Agreement for failure or delay in fulfilling or performing any term of this Agreement: (a) (other than an obligation to make Agreement Payments) if such failure or delay is caused by or results from events beyond the reasonable control of the non-performing Party, including: fires, floods, earthquakes, hurricanes, shortages, epidemics, pandemics, quarantines, war, acts of war (whether war be declared or not), terrorist acts, insurrections, riots, civil commotion, strikes, lockouts or other labor disturbances (whether involving the workforce of the non-performing Party or of any other Person), acts of God or acts, omissions or delays in acting by any Governmental Authority (except to the extent such omission or delay results from the breach by the non-performing Party or any of its Affiliates of any term or condition of this Agreement); or (b) (including any obligation to make Agreement Payments) if such failure or delay is caused by or results from any prohibition, sanction, export control, embargo, tariff, fine, trade restriction, ban or similar measure imposed by a Governmental Authority that is not in place as of the Effective Date and that prohibits, materially restricts or materially penalizes, directly or indirectly, the fulfillment or performance of any term of this Agreement, or any exercise of rights hereunder (a “Governmental Restriction” and, any event described in the foregoing clauses (a) and (b), a “Force Majeure Event”). The non-performing Party will notify the other Party of such Force Majeure Event within [***] after such occurrence by giving notice to the other Party stating the nature of the Force Majeure Event, its anticipated duration and any action being taken to avoid or minimize its effect. The suspension of performance will be of no greater scope and no longer duration than is necessary. The non-performing Party will use commercially reasonable efforts to avoid or remove such Force Majeure Event, to mitigate the effect of such Force Majeure Event and to otherwise remedy its inability to perform. The non- performing Party will continue performance in accordance with the terms of this Agreement whenever such causes are removed. When such circumstances arise, the Parties will negotiate in good faith any modifications of the terms of this Agreement that may be necessary or appropriate in order to arrive at an equitable solution.

14.4 Assignment. Except as provided in this Section 14.4 (Assignment), this Agreement may not be assigned or transferred, whether by operation of law or otherwise, nor may any right or obligation hereunder be assigned or transferred, by either Party without the prior written consent of the other Party; provided, however, that, notwithstanding any provision in this Agreement to the contrary, either Party may, without such consent, assign this Agreement and its rights and obligations hereunder in whole or in part: (a) to its successor in interest in the transfer or sale of

 

62


all or substantially all of its assets or business to which this Agreement relates; or (b) to its successor in interest in a merger or consolidation (or similar transaction) of the assigning Party. Any attempted assignment not in accordance with this Section 14.4 (Assignment) will be void. In the event that a permitted assignment of this Agreement by a Party increases the tax liability of the other Party or any of its Affiliates over the amount of any Taxes that otherwise would have been payable in the absence of such assignment, the assigning Party will reimburse the other Party for the amount of such increased Tax liability.

14.5 Waivers and Modifications. The failure of any Party to insist on the performance of any obligation hereunder will not be deemed to be a waiver of such obligation. Waiver of any breach of any provision hereof will not be deemed to be a waiver of any other breach of such provision or any other provision on such occasion or any succeeding occasion. No waiver, modification, release or amendment of any obligation under or provision of this Agreement will be valid or effective unless in writing and signed by the Parties.

14.6 Choice of Law; Dispute Resolution.

14.6.1 Choice of Law. This Agreement and any Dispute arising from the performance or breach hereof will be governed by and interpreted in accordance with the laws of the State of New York, without giving effect to any choice of law rules. The provisions of the United Nations Convention on Contracts for the International Sale of Goods will not apply to this Agreement or any subject matter hereof.

14.6.2 Dispute Escalation. In the event of an unresolved matter, dispute or issue relating to this Agreement (“Dispute”), the Alliance Manager of the Party claiming that such Dispute exists will give notice in writing (a “Notice of Dispute”) to the other Party of the nature of the Dispute. Within [***] following receipt of a Notice of Dispute, the Executive Officers will meet (including via teleconference) at a mutually agreed upon time and location for discussion and resolution.

14.6.3 Binding Arbitration. Any Dispute unresolved under Section 14.6.2 (Dispute Escalation) will exclusively be settled by binding arbitration administered by the Judicial Arbitration and Mediation Services (“JAMS”) (or any successor entity thereto) and in accordance with the Comprehensive Arbitration Rules and Procedures then in effect and the Expedited Procedures contained therein, as modified in this paragraph (the “Rules”), except to the extent such Rules are inconsistent with this Section 14.6.3 (Binding Arbitration) in which case, this Section 14.6.3 (Binding Arbitration) will control (including with regard to any limitations of liability or forms of relief). Pursuant to this Section 14.6.3 (Binding Arbitration):

(a) Upon receipt of a Notice of Dispute by a Party, the applicable Dispute will be resolved by final and binding arbitration before a single arbitrator mutually agreed by the Parties; provided, however, that if the Parties cannot agree on the selection of the arbitrator within [***] of the date such Notice of Dispute is received, then the arbitrator will be chosen in accordance with JAMS Rule 15 (the “Arbitrator”). The Arbitrator (i) will not be from academia, (ii) will be a qualified attorney in private practice or a retired judge with experience in complex commercial disputes, (iii) will be professionally fluent in English, (iv) will have not less than 15 years of experience in the biotechnology or pharmaceutical industry, and (v), where practicable to identify suitable Arbitrators preferably also having, (A) subject matter expertise with respect to the matter subject to arbitration and (B) will have educational training and industry experience sufficient to demonstrate a reasonable level of scientific, financial, medical and industry knowledge relevant to the particular Dispute.

 

63


(b) Discovery will be limited to document productions from five custodians per side, and no more than five depositions may be conducted per side.

(c) The Rules will be modified to delete paragraph 16.2(e) of such procedures as in effect on the Effective Date, and the timelines will be modified to provide that: (i) the discovery cutoff for percipient discovery will not exceed [***] after the preliminary conference, (ii) the discovery cutoff for expert discovery will not exceed [***] after the preliminary conference and (iii) the hearing will commence within [***] after the cutoff for expert discovery. These dates may be extended by the Arbitrator for good cause shown.

(d) The Arbitrator will, within [***] after the conclusion of the hearing, issue a written award and statement of decision describing the material facts and the grounds for the conclusions on which the award is based, including the calculation of any damages awarded. The Arbitrator will be authorized to award compensatory damages, but will not be authorized to reform, modify or change this Agreement. The proceedings and decisions of the Arbitrator will be confidential, final and binding on the Parties, and judgment upon the award of the Arbitrator may be entered in any court having jurisdiction thereof. For clarity, neither Party will have any right to appeal the decisions of the Arbitrator, but for avoidance of doubt, the Parties retain the rights to seeks vacatur or challenge confirmation.

(e) Each Party will bear its own costs and expenses (including legal fees and expenses) relating to the arbitration proceeding, except that the fees of the Arbitrator and other related costs of the arbitration will be shared equally by the Parties, unless the Arbitrator determines that a Party has taken vexatious or bad faith positions, in which event the Arbitrator may make an award of all or any portion of expenses (including legal fees and expenses) incurred as a result thereof.

(f) The Arbitrator will comply with, and the award will be limited by, any express provisions of this Agreement relating to damages or the limitation thereof. The Arbitrator will not have the power to award punitive damages under this Agreement regardless of whether any such damages are contained in a proposal, and such award is expressly prohibited.

(g) Unless the Parties otherwise agree in writing, during the period of time that any arbitration proceeding is pending under this Agreement: (i) the Parties will continue to comply with all those terms and provisions of this Agreement that are not the subject of the pending arbitration proceeding; (ii) in the event the arbitration proceeding concerns a potential material breach under Section 12.2 (Termination for Material Breach), the Cure Period will be stayed until the conclusion of the proceedings under this Section 14.6.3 (Binding Arbitration) and (iii) in the event that the subject of the Dispute relates to the exercise by a Party of a termination right hereunder, including in the case of a material breach of this Agreement, the effectiveness of such termination will be stayed until the conclusion of the proceedings under this Section 14.6.3 (Binding Arbitration). All arbitration proceedings and decisions of the Arbitrator under this Section 14.6.3 (Binding Arbitration) will be deemed Confidential Information of both Parties under Article 9 (Confidentiality).

 

64


(h) The arbitration proceedings will take place in New York, New York, in the English language.

(i) Nothing in this Section 14.6.3 (Binding Arbitration) will preclude either Party from seeking interim or provisional relief from a court of competent jurisdiction, including a temporary restraining order, preliminary injunction or other interim equitable relief, concerning a Dispute either prior to or during any arbitration if necessary to protect the interests of such Party or to preserve the status quo pending the arbitration proceeding.

(j) In the event of a Dispute regarding any payments owing under this Agreement, all undisputed amounts will be paid promptly when due and the balance, if any, promptly after resolution of the Dispute.

14.6.4 Equitable Relief; Cumulative Remedy. Notwithstanding any provision to the contrary herein, the Parties will be entitled to seek equitable relief, including injunction and specific performance, as a remedy for any breach of this Agreement. Such remedies will not be deemed to be the exclusive remedies for a breach of this Agreement but will be in addition to all other remedies available at law or in equity. The Parties further agree not to raise as a defense or objection to the request or granting of such relief that any breach of this Agreement is or would be compensable by an award of money damages. Except as expressly set forth in this Agreement, no remedy referred to in this Agreement is intended to be exclusive, but each will be cumulative and in addition to any other remedy referred to in this Agreement or otherwise available under Applicable Law.

14.7 Relationship of the Parties. Maze and Company are independent contractors under this Agreement. Nothing contained herein is intended or is to be construed so as to constitute either Party as a partner, agent or joint venturer of the other Party. Neither Maze nor Company, respectively, will have any express or implied right or authority to assume or create any obligations on behalf of or in the name of Maze and Company, respectively, or to bind Maze and Company, respectively, to any contract, agreement or undertaking with any Third Party.

14.8 Fees and Expenses. Except as otherwise specified in this Agreement, each Party will bear its own costs and expenses incurred in connection with this Agreement and the transactions contemplated hereby.

14.9 Third Party Beneficiaries. There are no express or implied Third Party beneficiaries hereunder. The provisions of this Agreement are for the exclusive benefit of the Parties, and no other Person will have any right or claim against any Party by reason of these provisions or be entitled to enforce any of these provisions against any Party, except for the indemnification rights (a) of the Maze Indemnitees pursuant to Section 11.1.1 (Indemnification by Company) and Section 11.2 (Procedure) and (b) of the Company Indemnitees pursuant to Section 11.1.2 (Indemnification by Maze) and Section 11.2 (Procedure).

 

65


14.10 Entire Agreement. This Agreement, together with the attached Schedules, contains the entire agreement by the Parties with respect to the subject matter hereof and supersedes any prior express or implied agreements, understandings and representations, either oral or written, which may have related to the subject matter hereof in any way, including any and all term sheets relating to the transactions contemplated by this Agreement and exchanged between the Parties prior to the Effective Date; provided that this Agreement will not supersede the terms and provisions of that certain Mutual Confidentiality Agreement, dated January 18, 2024, between Company and Maze, applicable to any period prior to the Effective Date.

14.11 Counterparts. This Agreement may be executed in counterparts with the same effect as if both Parties had signed the same document. All such counterparts will be deemed an original="https://cdn.kscope.io/ac864a9cb980bcd6060a1b67dabb08b4-, will be construed together and will constitute one and the same instrument. Any such counterpart, to the extent delivered by means of facsimile by .pdf, .tif, .gif", .jpeg or similar attachment to electronic mail (any such delivery, an “Electronic Delivery”) will be treated in all manner and respects as an original executed counterpart and will be considered to have the same binding legal effect as if it were the original signed version thereof delivered in person. No Party will raise the use of Electronic Delivery to deliver a signature or the fact that any signature or agreement or instrument was transmitted or communicated through the use of Electronic Delivery as a defense to the formation of a contract, and each Party forever waives any such defense, except to the extent that such defense relates to lack of authenticity.

14.12 Language; Translations. All communications and notices to be made or given by one Party to the other Party pursuant to this Agreement and any Dispute proceeding related to or arising hereunder, will be in the English language. If any data, information, documentation or other materials required to be delivered by a Party to the other Party under this Agreement are not already in English, then, together with the original form, such Party will provide to the other Party a full certified English translation of such data, information, documentation or other materials at such Party’s cost and expense. Each Party will provide any data, information, documentation or other materials required to be delivered by a Party to the other Party under this Agreement (a) in electronic format over secure systems that include adequate encryption safeguards to prevent unauthorized access and maintain data security or (b) in such other format as is requested by the other Party (including, if so requested, hard copies).

14.13 Interpretation.

14.13.1 Generally. This Agreement has been diligently reviewed by and negotiated by and between the Parties, and in such negotiations each of the Parties has been represented by competent (in-house or external) counsel, and the final agreement contained herein, including the language whereby it has been expressed, represents the joint efforts of the Parties and their counsel. Accordingly, in interpreting this Agreement or any provision hereof, no presumption will apply against any Party as being responsible for the wording or drafting of this Agreement or any such provision, and ambiguities, if any, in this Agreement will not be construed against any Party, irrespective of which Party may be deemed to have authored the ambiguous provision.

14.13.2 Definitions; Interpretation.

(a) The definitions of the terms herein will apply equally to the singular and plural forms of the terms defined and, where a word or phrase is defined herein, each of its other grammatical forms will have a corresponding meaning.

 

66


(b) Whenever the context may require, any pronoun will include the corresponding masculine, feminine and neuter forms.

(c) The word “will” will be construed to have the same meaning and effect as the word “shall.”

(d) The words “including,” “includes,” “include,” “for example,” and “e.g.,” and words of similar import, will be deemed to be followed by the words “without limitation.”

(e) The word “or” will be interpreted to mean “and/or,” unless the context requires otherwise.

(f) The words “hereof,” “herein” and “herewith,” and words of similar import, will, unless otherwise stated, be construed to refer to this Agreement as a whole and not to any particular provision of this Agreement.

(g) Unless the context requires otherwise or otherwise specifically provided: (i) all references herein to Articles, Sections or Schedules will be construed to refer to Articles, Sections or Schedules of this Agreement; and (ii) reference in any Section to any sub- clauses are references to such sub-clauses of such Section.

(h) Whenever this Agreement refers to a number of days, unless otherwise specified (including through references to Business Days), such number refers to calendar days.

(i) Unless otherwise specified, deadlines within which any payment is to be made or act is to be done within or following a specified time period after a date will be calculated by excluding the day, Business Day, month or year of such date, as applicable, and including the day, Business Day, month or year of the date on which the period ends.

(j) Whenever any payment to be made or action to be taken under this Agreement is required to be made or taken on a day other than a Business Day, such payment will be made or action taken on the next Business Day following such day to make such payment or do such act.

(k) The word “notice” means notice in writing (whether or not specifically stated) and will include notices, consents, approvals and other written communications contemplated under this Agreement.

(l) Provisions that require that a Party, the Parties or any committee hereunder “agree,” “consent,” “approve,” or the like will require that such agreement, consent, or approval be specific and in writing, whether by written agreement, letter, approved minutes or otherwise (but excluding e-mail and instant messaging).

 

67


14.13.3 Subsequent Events. Unless the context requires otherwise: (a) any definition of or reference to any agreement, instrument or other document herein will be construed as referring to such agreement, instrument or other document as from time to time amended, supplemented or otherwise modified (subject to any restrictions on such amendments, supplements or modifications set forth herein); (b) any reference to any Applicable Law herein will be construed as referring to such Applicable Law as from time to time enacted, repealed or amended; and (c) subject to Section 14.4 (Assignment), any reference herein to any Person will be construed to include the Person’s successors and assigns.

14.13.4 Headings. Headings, captions and the table of contents are for convenience only and will not be used in the interpretation or construction of this Agreement.

14.13.5 Prior Drafts. No prior draft of this Agreement will be used in the interpretation or construction of this Agreement.

14.13.6 Independent Significance. Although the same or similar subject matter may be addressed in different provisions of this Agreement, the Parties intend that, except as reasonably apparent on the face of this Agreement or as expressly provided in this Agreement, each such provision will be read separately, be given independent significance and not be construed as limiting any other provision of this Agreement (whether or not more general or more specific in scope, substance or content).

14.14 Further Assurances. Each Party will execute, acknowledge and deliver such further instruments, and do all such other ministerial, administrative or similar acts, as may be reasonably necessary or appropriate in order to carry out the expressly stated purposes and the clear intent of this Agreement.

(Remainder of Page Intentionally Left Blank; Signature Page Follows)

 

68


Execution Version

IN WITNESS WHEREOF, and intending to be legally bound hereby, the Parties have caused this Agreement to be executed by their respective duly authorized officers as of the Execution Date.

 

MAZE THERAPEUTICS, INC.             Shionogi & Co., Ltd.

By: /s/ Jason Coloma

     

By: /s/ Isao Teshirogi, Ph.D.

Name: Jason Coloma       Name: Isao Teshirogi, Ph.D.
Title: Chief Executive Officer       Title: Representative, Director, President and CEO


Schedule 1.111

Licensed Know-How

[***]


Schedule 1.112

Licensed Materials and Licensed Product

[***]


Schedule 1.113

Licensed Patents

[***]


Schedule 1.140

MZE001

[***]


Schedule 9.7

Form of Press Release

[***]


Schedule 13.2

HSR/Antitrust Filings

[***]

EX-10.11

Exhibit 10.11

 

MAZE THERAPEUTICS, INC. (“Company”)

Non-Employee Director Compensation Policy

Effective January [], 2025

The Company’s Board of Directors (the “Board”) believes it is in the best interests of the Company and its stockholders to adopt a compensation program for non-employee directors as set forth herein (the “Non-Employee Director Compensation Policy” or the “Policy”) to provide for an annual cash retainer and certain equity awards in consideration of each non-employee director’s service on the Board and any committees thereof. This Policy may be amended or terminated at any time in the sole discretion of the Board.

Cash Compensation

Cash compensation payable to each non-employee director shall consist of the following annual fees, which shall be paid quarterly in arrears and shall be pro-rated for partial quarters served, including for the initial quarter in which this Policy is adopted:

 

   

General Board Service Fee: $40,000

 

   

Board Chair Fee (in addition to General Board Service Fee): $30,000

 

   

Committee Chair Service Fee (in addition to General Board Service Fee; in lieu of Non-Chair Committee Member Service Fee set forth below):

 

   

Audit Committee chair: $15,000

 

   

Compensation Committee chair: $12,000

 

   

Nominating and Governance Committee chair: $10,000

 

   

Research and Development Committee chair: $12,000

 

   

Non-Chair Committee Member Service Fee (in addition to General Board Service Fee; in lieu of Committee Chair Service Fee set forth above):

 

   

Audit Committee member: $7,500

 

   

Compensation Committee member: $6,000

 

   

Nominating and Governance Committee member: $5,000

 

   

Research and Development Committee member: $6,000

Equity Compensation – Initial Award

Upon election or appointment as a member of the Board, each non-employee director shall be granted an option (an, “Option”) to purchase [Four Hundred Thousand (400,000)] shares of Company common stock (the “Common Stock”) under the Company’s 2025 Equity Incentive Plan or any applicable successor thereto (such award, the “Initial Award” and such plan, the “Equity Plan”) and be evidenced by a stock option agreement (the “Option Agreement”).

The Initial Award will be granted on the date of the non-employee director’s appointment to the Board (the “Initial Award Grant Date”) with an exercise price equal to the fair market value of Common Stock on the Initial Award Grant Date, as determined pursuant to the terms of the Equity Plan.

The Initial Award shall vest as to 1/36th of the total number of shares subject to the Initial Award on each monthly anniversary of the Initial Award Grant Date such that the Initial Award shall be fully vested on the third annual anniversary of the Initial Award Grant Date, in each case, so long as the non-employee director continues to provide Services (as defined in the Equity Plan) to the Company through such date. If a non-employee director’s Service ends on the date of vesting, then the vesting shall be deemed to have occurred.


The Initial Award shall accelerate in full upon the consummation of a Corporate Transaction (as defined in the Equity Plan) if the applicable non-employee director is then in Service to the Company.

Equity Compensation – Annual Award

On the date of each annual meeting of the Company’s stockholders, each non-employee director who is serving on the Board immediately prior to (provided that the non-employee director must have initially joined the Board by no later than January 1st prior to the Company’s annual stockholder meeting), and will continue to serve on the Board following, the annual meeting shall be granted Options under the Equity Plan to purchase [Two Hundred Thousand (200,000)] shares of Company Common Stock (the “Annual Award”) and be evidenced by an Option Agreement.

The Annual Award will automatically be granted on the date of the annual meeting of the Company’s stockholders (the “Annual Award Grant Date”) and will have an exercise price with an exercise price equal to the fair market value of Common Stock on the Annual Award Grant Date, as determined pursuant to the terms of the Equity Plan.

The Annual Award shall fully vest on the earlier of (i) the one-year anniversary of the Annual Award Grant Date and (ii) the next annual meeting of the Company’s stockholders, so long as the non-employee director continues to provide Services to the Company through the applicable vesting date. If a non-employee director’s Service ends on the date of vesting, then the vesting shall be deemed to have occurred.

The Annual Award shall accelerate in full upon the consummation of a Corporate Transaction (as defined in the Equity Plan) if the applicable non-employee director is then in Service to the Company.

Compensation Limit

Notwithstanding any other provision of this Policy to the contrary, in no event will the total amount of annual compensation payable to any non-employee director following the effective date of this Policy exceed the limits set forth in Section 12.2 of the Equity Plan.

EX-10.14

Exhibit 10.14

MAZE THERAPEUTICS, INC.

[Date]

[Name]

Sent via email

RE: Continued Employment with Maze Therapeutics Inc.

Dear [Name]:

This letter agreement sets forth the terms confirms your continued employment as [    ] of Maze Therapeutics, Inc., a Delaware Corporation (the “Company”). [CEO - You will continue to report to the Board of Directors of the Company (the “Board”) and will remain a member of the Board.] [Other – You will continue to report to the Company’s Chief Executive Officer.] This letter agreement amends and restates the employment offer letter entered into between you and the Company, dated [    ] (the “Prior Agreement”).

1.Compensation.

a. Salary. In this position, the Company will pay you an annual base salary of $[   ] per year, payable in accordance with the Company’s standard payroll schedule. Your pay will be periodically reviewed as a part of the Company’s regular reviews of compensation.

b. Bonus. You will be eligible to receive a cash incentive annual bonus of up to [  ]% of your base salary, based upon the achievement of both Company and individual goals. Any annual bonus earned will be paid no later than March 15th of the year following the year in which such bonus was earned. Please note that bonus programs, payouts and criterion are subject to change or adjustment as the business needs at the Company may require.

c. Equity Awards. You currently hold Company equity grants. You will be eligible for future discretionary equity grants at the sole discretion of the Company.

2.Employee Benefits. You will be entitled to participate in employee benefit plans currently and hereafter maintained by the Company of general applicability to other employees of the Company subject to the eligibility requirements of each such benefit plan. The Company, in its sole discretion, may amend, suspend or terminate its employee benefits at any time, with or without notice. In addition, you will be entitled to vacation in accordance with the Company’s vacation policy, as in effect from time to time. We also acknowledge that you are a participant in, or will become a participant in, the Company’s Amended and Restated Executive Severance and Change in Control Plan (the “A&R Executive Severance and Change in Control Plan”).

3.Confidentiality Agreement. By signing this letter agreement, you reaffirm the terms and conditions of the confidential information and invention assignment agreement by and between you and the Company.

4.No Conflicting Obligations. You understand and agree that by signing this letter agreement, you represent to the Company that your performance will not breach any other agreement to which you are a party and that you have not, and will not during the term of your employment with the Company, enter into


any oral or written agreement in conflict with any of the provisions of this letter agreement or the Company’s policies. You are not to bring with you to the Company, or use or disclose to any person associated with the Company, any confidential or proprietary information belonging to any former employer or other person or entity with respect to which you owe an obligation of confidentiality under any agreement or otherwise. The Company does not need and will not use such information and we will assist you in any way possible to preserve and protect the confidentiality of proprietary information belonging to third parties. Also, we expect you to abide by any obligations to refrain from soliciting any person employed by or otherwise associated with any former employer and suggest that you refrain from having any contact with such persons until such time as any non-solicitation obligation expires.

5.Outside Activities. While you render services to the Company, you agree that you will not engage in any other employment, consulting or other business activity without the written consent of the Company. In addition, while you render services to the Company, you will not assist any person or entity in competing with the Company, in preparing to compete with the Company or in hiring any employees or consultants of the Company.

6.General Obligations. As an employee, you will be expected to adhere to the Company’s standards of professionalism, loyalty, integrity, honesty, reliability and respect for all. You will also be expected to comply with the Company’s policies and procedures. The Company is an equal opportunity employer.

7.At-Will Employment. Employment with the Company is for no specific period of time. Your employment with the Company will be on an “at will” basis, meaning that either you or the Company may terminate your employment at any time for any reason or no reason. The Company also reserves the right to modify or amend the terms of your employment at any time for any reason. Any contrary representations which may have been made to you are superseded by this letter agreement. Although your job duties, title, compensation and benefits, as well as the Company’s personnel policies and procedures, may change from time to time, the “at will” nature of your employment may only be changed in an express written agreement signed by you and the [Company’s Chief Executive Officer] / [for the CEO only: the Company’s Board of Directors]. If your employment is terminated by you or the Company for any reason, you shall promptly resign from all officer and director positions with the Company and/or any parent, subsidiary or affiliate of the Company, unless otherwise requested by the Board, and you shall immediately return all Company property.

8.Withholdings. All forms of compensation paid to you as an employee of the Company shall be less all applicable withholdings.

[SIGNATURE PAGE FOLLOWS]


This letter agreement and the A&R Executive Severance and Change in Control Plan, including any participation agreement thereunder, supersede and replace any prior understandings or agreements, whether oral, written or implied, between you and the Company regarding the matters described in this letter, including, without limitation, the Prior Agreement and any participation agreement entered into under the A&R Executive Severance and Change in Control Plan prior to its restatement. This letter will be governed by the laws of California, without regard to its conflict of laws provisions.

 

Very truly yours,
MAZE THERAPEUTICS, INC.

 

By:
[Title]

 

ACCEPTED AND AGREED:
[NAME]

 

Signature

 

Date
EX-10.15

Exhibit 10.15

MAZE THERAPEUTICS, INC.

AMENDED AND RESTATED EXECUTIVE SEVERANCE AND CHANGE IN CONTROL PLAN

This Amended and Restated Executive Severance and Change in Control Plan (this “Plan”) was adopted by the Board of Directors (the “Board”) of Maze Therapeutics, Inc., a Delaware corporation (the “Company”) and is effective on the Effective Date. References to this Plan shall include any individual’s Participation Agreement (as defined below), as applicable. Unless otherwise indicated, capitalized terms used in this Plan are defined in Section 5 below.

1. Eligibility.

The following Company employees are eligible to participate in this Plan (each, an “Executive”):

(a)Eligible Employees. The Board or the Compensation Committee of the Board (the “Committee”) shall designate each Eligible Employee who will participate in this Plan. For purposes of this Plan, an “Eligible Employee” means an individual who is an employee of the Company or any of its subsidiaries employed (i) as Chief Executive Officer (“CEO”) or (ii) at the level of Vice President (“VP”) or Senior Vice President or above (“SVP and Above (other than CEO)”), provided that in such role the individual reports directly to the CEO as a member of the Company’s leadership team, as determined by the Board or the Committee. Notwithstanding the foregoing, the term “Eligible Employee” will not include any individual employed on a temporary or interim basis at a level that would otherwise qualify such individual as an Eligible Employee.

(b)Designated Employees. In addition to Eligible Employees, the Board or the Committee, in its sole and absolute discretion, may designate an employee of the Company or any of its subsidiaries to participate in this Plan for such period of time and subject to such terms and conditions, in each case as determined by the Board or Committee in its sole and absolute discretion (a “Designated Employee”).

(c)Continued Participation. Once an Executive satisfies the requirements for an Eligible Employee and is designated a participant under this Plan, or is designated a Designated Employee, and commences participation under this Plan, such Executive shall continue to participate in this Plan for so long as Executive continues in employment with the Company, notwithstanding a subsequent change in such Executive’s role, reporting or service that would otherwise fail to qualify such Executive as an Eligible Employee, as applicable (such Executive, a “Legacy Executive”).

If required by the Company, participation in this Plan will be contingent upon an Executive executing and delivering to the Company a Participation Agreement in substantially the form attached as Exhibit A to this Plan, as may be revised by the Company (a “Participation Agreement”), provided that if the Company does not expressly require it, no Participation Agreement will be necessary to participate in this Plan.

2. Termination of Participation.

An Executive’s participation in this Plan (and, if applicable, the Executive’s Participation Agreement) shall terminate upon the earlier of (a) the date the Executive’s employment with the Company terminates for a reason other than a Qualifying Termination or (b) the date the Company has met all of its obligations under this Plan following a Qualifying Termination of the Executive’s employment, in each case subject to Section 8(e) below.


3. Severance Payments & Benefits.

Unless explicitly provided otherwise in a Participation Agreement, Executive’s benefits upon a Qualifying Termination are set forth in this Section 3. Executive’s level of benefits under Section 3(a) or Section 3(b) below, as applicable, shall be determined based on Executive’s role at the time of Executive’s Qualifying Termination (or based on Executive’s role, if higher, in effect immediately prior to a Change in Control, solely with respect to a Qualifying Termination during a Change in Control Period), provided that the level of benefits for a Legacy Executive shall be determined based on such Executive’s role in which Executive most recently satisfied the requirements for an Eligible Employee under this Plan pursuant to Section 1(a) above. In the case of an Executive who is a Designated Employee, the level of benefits shall be as specified by the Company.

Any other provision of this Plan notwithstanding, Executive’s receipt of any payments or benefits under this Section 3 is subject to Executive’s delivery to the Company of a general release of claims to the greatest extent permitted under applicable law (in the Company’s then standard form) that he or she may then have against the Company or persons affiliated with the Company (the “Release”), and satisfaction of all conditions to make the Release effective, within sixty (60) days following Executive’s Qualifying Termination (such sixty (60) day period, the “Release Period”). In no event will any payment or benefits under this Plan be paid or provided until the Release becomes effective and irrevocable.

Payment of the severance and/or bonus payment, if any, payable pursuant to Section 3(a)(i), Section 3(b)(i) and Section 3(b)(ii), as applicable, shall be made in a single lump sum payment, within fifteen (15) days following expiration of the Release Period, and in any event not later than March 15th of the year following such Qualifying Termination.

(a)Other than During a Change in Control Period. If the Executive is subject to a Qualifying Termination, the Executive shall be entitled to the following:

(i) Severance Payments. The Company shall pay the Executive the number of months of Executive’s Base Salary as indicated with respect to Executive’s role (or, for a Designated Employee, the level of benefits specified by the Company) as set forth in the Severance (Other than During a Change in Control Period) chart below. To the extent the foregoing amount is payable under Section 3(b), it will not be paid under this Section 3(a).

 

Severance (Other than During a Change in Control Period)
    

CEO

  

SVP and Above (other than CEO)

  

VPs

Months of Base Salary    12    9    6

(ii) Health Care Benefit. If the Executive elects to continue his or her health insurance coverage under the Consolidated Omnibus Budget Reconciliation Act (“COBRA”) following the termination of his or her employment, then the Company shall pay the Executive’s monthly premium under COBRA until the earliest of (A) the period indicated with respect to Executive’s role (or, for a Designated Employee, the applicable level of benefits specified by the Company) as set forth in the COBRA Continuation Period (Other than During a Change in Control Period) chart below, (B) the date when the Executive receives similar coverage with a new employer or (C) the expiration of the Executive’s continuation coverage under COBRA.

 

COBRA Continuation Period (Other than During a Change in Control Period)
    

CEO

  

SVP and Above (other than CEO)

  

VPs

Months of COBRA    12    9    6

 

2


(b)During a Change in Control Period. If the Executive is subject to a Qualifying Termination, the Executive shall be entitled to the following:

(i) Severance Payments. The Company shall pay the Executive the number of months of Executive’s Base Salary indicated with respect to Executive’s role (or, for a Designated Employee, the applicable level of benefits specified by the Company) as set forth in the Severance (During a Change in Control Period) chart below. To the extent the foregoing amount is payable under Section 3(a), it will not be paid under this Section 3(b).

 

Severance (During a Change in Control Period)
    

CEO

  

SVP and Above (other than CEO)

  

VPs

Months of Base Salary    18    12    8

(ii) Bonus Payments. The Company shall pay the Executive the multiple of the Target Bonus indicated with respect to Executive’s role (or, for a Designated Employee, the applicable level of benefits specified by the Company) as set forth in the Bonus Amount (During a Change in Control Period) chart below. To the extent the foregoing amount is payable under Section 3(a), it will not be paid under this Section 3(b).

 

Bonus Amount (During a Change in Control Period)
    

CEO

  

SVP and Above (other than CEO)

  

VPs

Multiple of Target Bonus    1.5X    1X    1X

(iii) Health Care Benefit. If the Executive elects to continue his or her health insurance coverage under COBRA following the termination of his or her employment, then the Company shall pay the Executive’s monthly premium under COBRA until the earliest of (A) the period indicated with respect to Executive’s role (or, for a Designated Employee, the applicable level of benefits specified by the Company) as set forth in the COBRA Continuation Period (During a Change in Control Period) chart below, (B) the date when the Executive receives similar coverage with a new employer or (C) the expiration of the Executive’s continuation coverage under COBRA.

 

COBRA Continuation Period (During a Change in Control Period)
    

CEO

  

SVP and Above (other than CEO)

  

VPs

Months of COBRA    18    12    8

(iv) Equity.

(1) Each of Executive’s then-outstanding unvested Equity Awards, other than Performance Awards (as defined below), shall accelerate and become vested and exercisable or settled with respect to 100% of the unvested shares subject thereto. With respect to Equity Awards that would otherwise vest only upon satisfaction of performance criteria (“Performance Awards”), the vesting will accelerate as set forth in the terms of the applicable Performance Award agreement. Subject to Section 3(d), the accelerated vesting described above shall be effective as of the Qualifying Termination; provided, that, if the Qualified Termination during a Change in Control Period occurs prior to the Change in Control, then any unvested portion of the terminated Executive’s Equity Awards will remain outstanding for three (3)

 

3


months following the Qualifying Termination (provided that in no event will the terminated Executive’s Equity Awards remain outstanding beyond the expiration of the Equity Award’s maximum term). In the event that the proposed Change in Control is terminated without having been completed, any unvested portion of the terminated Executive’s Equity Awards automatically will be forfeited.

(2) Notwithstanding anything to the contrary, if the successor or acquiring corporation (if any) of the Company refuses to assume, convert, replace or substitute Executive’s unvested Equity Awards in connection with a Change in Control, then notwithstanding any other provision in this Plan, the Equity Plans or any Equity Award Agreement to the contrary, each of Executive’s then-outstanding and unvested Equity Awards, other than Performance Awards, that are not assumed, converted, replaced or substituted, shall accelerate and become vested and exercisable as to 100% of the then-unvested shares subject to the Equity Awards effective immediately prior to the Change in Control, as applicable and terminate to the extent not exercised (as applicable) upon the Change in Control. With respect to Performance Awards, the vesting for such Performance Awards will accelerate only as set forth in the terms of the applicable Performance Award agreement.

(c)Special Cash Payments in Lieu of COBRA Premiums. Notwithstanding Section 3(a)(ii) or Section 3(b)(iii) above, if the Executive is eligible for, and the Company determines, in its sole discretion, that it cannot pay, the COBRA premiums without a substantial risk of violating applicable law (including Section 2716 of the Public Health Service Act), the Company instead shall pay to the Executive a fully taxable cash payment equal to the applicable COBRA premiums (including premiums for the Executive and the Executive’s eligible dependents who have elected and remain enrolled in such COBRA coverage), subject to applicable tax withholdings (such amount, the “Special Cash Payment”), for the remainder of the period the Executive remains eligible for the benefit under Section 3(a)(ii) or Section 3(b)(iii) above. The Executive may, but is not obligated to, use such Special Cash Payments toward the cost of COBRA premiums. Notwithstanding the foregoing, the number of months included in the Special Cash Payment to be paid, in any case, shall be reduced by the number of months of COBRA premiums previously paid by the Company.

(d)Accrued Compensation and Benefits. In connection with any termination of employment prior to, upon or following a Change in Control (whether or not a Qualifying Termination), the Company shall pay Executive’s earned but unpaid base salary and other vested but unpaid cash entitlements for the period through and including the termination of employment, including unused earned vacation pay and unreimbursed documented business expenses incurred by Executive through and including the date of termination (collectively “Accrued Compensation and Expenses”), as required by law and the applicable Company plan or policy. In addition, Executive shall be entitled to any other vested benefits earned by Executive for the period through and including the termination date of Executive’s employment under any other employee benefit plans and arrangements maintained by the Company, in accordance with the terms of such plans and arrangements, except as modified herein (collectively “Accrued Benefits”). Any Accrued Benefits to which the Executive is entitled shall be paid to the Executive as provided in the relevant plans and arrangement.

4. Covenants.

(a)Conflicts of Interest. The Executive agrees that, during his or her employment with the Company, he or she will be subject to any conflict of interest policy adopted by the Company or required by law that is applicable to employees (including, but not limited to officers of the Company) and that he or she shall not engage in any other employment, consulting or other business activity (whether full-time or part-time) that would create a conflict of interest with the Company. For purposes of this section, is shall be considered a conflict of interest to engage in other employment, consulting or other business activity that would prevent the Executive from (i) devoting full attention to his or her duties to the Company; (ii) that would involve using or require disclosure of the company’s confidential information; (iii) that would present a risk of breach of fiduciary duty to the company.

 

4


(b)Restrictive Covenants. The receipt of any severance pay or other benefits pursuant to this Plan will be subject to Executive’s continued compliance with any written agreements between the Company and Executive relating to confidentiality, non-competition, non-solicitation and non-interference, to the extent permitted by applicable law.

(c)Cooperation and Non-Disparagement. The Executive agrees that, during the twelve (12) month period following his or her cessation of employment, he or she shall cooperate with the Company in every reasonable respect and shall use his or her best efforts to assist the Company with the transition of Executive’s duties to his or her successor. The Executive further agrees that, during this twelve (12) month period, he or she shall not in any way or by any means disparage the Company, the members of the Board or the Company’s officers and employees.

This Section 4 shall in no manner limit obligations of the Executive under any other agreement, including the Employee Confidentiality and Inventions Assignment Agreement (which shall remain in full effect pursuant to its terms following Executive’s termination, between the Company and the Executive in any manner); provided, that, to the extent the terms of this Section 4 directly conflict with the terms of any such agreement, the agreement containing the most Company-favorable terms that are enforceable shall govern.

5. Definitions.

(a) “Base Salary” means the Executive’s base salary at the rate in effect at the time Executive’s Qualifying Termination (or at the rate in effect immediately prior to a reduction in the base salary that gave rise to Good Reason, solely with respect to a Qualifying Termination during a Change in Control Period).

(b) “Cause” means the Executive’s (i) unauthorized misuse of the Company’s trade secrets or proprietary information or breach of any provision of any employment, non-disclosure, non-competition, non-solicitation or other similar agreement executed by Executive for the benefit of the Company; (ii) conviction of or plea of nolo contendere to a felony or a crime involving moral turpitude; (iii) committal of an act of fraud against, or misappropriation of any funds or property of, the Company; (iv) gross negligence or willful misconduct in the performance of Executive’s duties that has had or will have a material adverse effect on the Company or the Company’s reputation or business, or (v) material violation of any Company rule, regulation, procedure or policy, including but not limited to the Company’s Code of Conduct that is not cured within 30 days of written notice, solely in the event such breach is capable of being cured, as determined by the Company in its sole discretion.

(c) “Code” means the Internal Revenue Code of 1986, as amended.

(d) “Change in Control” means the occurrence of any of the following events: (i) any “person” (as such term is used in Sections 13(d) and 14(d) of the Exchange Act) becomes the “beneficial owner” (as defined in Rule 13d-3 of the Exchange Act), directly or indirectly, of securities of the Company representing more than fifty percent (50%) of the total voting power represented by the Company’s then outstanding voting securities; or (ii) the consummation of the sale or disposition by the Company of all or substantially all of the Company’s assets; or (iii) the consummation of a merger or consolidation of the Company with any other corporation, other than a merger or consolidation which would result in the voting securities of the Company outstanding immediately prior thereto continuing to represent (either by remaining outstanding or by being converted into voting securities of the surviving entity or its parent) at least fifty percent (50%) of the total voting power represented by the voting securities of the Company or such surviving entity or its parent outstanding immediately after such merger or consolidation, provided that the transaction or series of transactions pursuant to subsections (i), (ii) or (iii) also qualifies as a “change in control event” under U.S. Treasury Regulation 1.409A-3(i)(5).

 

5


(e) “Change in Control Period” means the period commencing three (3) months prior to a Change in Control (only if after a Potential Change in Control) and ending twelve (12) months following a Change in Control.

(f) “Disability” has the meaning set forth in Section 22(e)(3) of the Code.

(g) “Effective Date” means the date on which the Registration Statement covering the initial public offering of the shares of common stock of the Company is declared effective by the U.S. Securities and Exchange Commission.

(h) “Equity Awards” means all options to purchase shares of Company common stock as well as any and all other stock-based awards granted to the Executive under the Company’s 2018 Stock Option and Grant Plan (the “2018 Plan”), 2019 Equity Incentive Plan (the “2019 Plan”), the 2024 Equity Incentive Plan (the “2024 Plan”) or any similar equity compensation plan of the Company (and together with the 2018 Plan, 2019 Plan, and the 2024 Plan, the “Equity Plans”), including but not limited to stock bonus awards, restricted stock, restricted stock units or stock appreciation rights.

(i) “Exchange Act” means the Securities Exchange Act of 1934, as amended.

(j) “Good Reason” means, unless otherwise defined in an applicable Participation Agreement, the occurrence of any of the following events or conditions, without Executive’s express written consent:

(i) a material diminution in Executive’s base salary, except for across-the-board salary reductions, not exceeding 10%, similarly affecting all or substantially all senior management employees of the Company;

(ii) a material change in the geographic location at which Executive is required to provide services to the Company to a place that increases Executive’s one-way commute by more than twenty-five (25) miles as compared to Executive’s then-current principal place of employment immediately prior to such relocation;

(iii) a material reduction in Executive’s level of duties, responsibility and/or scope of authority;

(iv) for the CEO of the Company, (x) a change in reporting such that the CEO does not report to the board of directors of the ultimate parent company or (y) a change in title or role such that the CEO is not the CEO of the ultimate parent company; and for an Executive other than the CEO (x) if such Executive reports to the Company’s CEO, a change in reporting such that the Executive reports to someone other than the Company’s CEO or the Chief Executive Officer of the ultimate parent company or (y) if such Executive is head of a business function, a change in role such that the Executive is no longer the head of the same business function of the ultimate parent company (e.g., if Executive’s role was head of Sales at the Company, Executive’s role is not head of Sales at the ultimate parent company); or

(v) a successor of the Company as set forth in Section 6(a) hereof does not assume this Plan or Executive’s Participation Agreement, as applicable.

With respect to each of subsection (i), (ii), (iii), (iv) and (v) above, Executive must provide notice to the Company of the condition giving rise to “Good Reason” within ninety (90) days after the first occurrence of such condition, and the Company will have thirty (30) days following such notice to remedy such condition. Executive must resign Executive’s employment and all positions with the Company Executive may then hold no later than thirty (30) days following expiration of the Company’s thirty (30) day cure period.

(k) “Potential Change in Control” means the date of execution of a definitive agreement providing for a Change in Control if such transaction is consummated.

 

6


(l) “Qualifying Termination” means a termination of employment resulting from (i) outside of a Change in Control Period, a termination by the Company of the Executive’s employment for any reason other than Cause, death or Disability or (ii) during a Change in Control Period, a termination by the Company of the Executive’s employment for any reason other than Cause, death or Disability or a voluntary resignation by the Executive of his or her employment for Good Reason. Termination due to Executive’s death or Executive’s Disability will in no event constitute a Qualifying Termination.

(m) “Section 409A” means Section 409A of the Internal Revenue Code and the regulations thereunder.

(n) “Target Bonus” means the Executive’s annual target bonus at the rate then in effect at the time Executive’s Qualifying Termination.

6. Successors.

(a)Company’s Successors. The Company shall require any successor (whether direct or indirect and whether by purchase, merger, consolidation, liquidation or otherwise) to all or substantially all of the Company’s business and/or assets, by an agreement in substance and form satisfactory to the Executive, to assume this Plan and to agree expressly to perform this Plan in the same manner and to the same extent as the Company would be required to perform it in the absence of a succession. For all purposes under this Plan, the term “Company” shall include any successor to the Company’s business and/or assets or which becomes bound by this Plan by operation of law.

(b)Executive’s Successors. This Plan and all rights of an Executive hereunder shall inure to the benefit of, and be enforceable by, such Executive’s personal or legal representatives, executors, administrators, successors, heirs, distributees, devisees and legatees.

7. Tax Matters.

(a)Section 280G; Best After-Tax Result. Notwithstanding anything in this Plan to the contrary, if any payment or distribution to an Executive pursuant to this Plan or otherwise (“Payment”) would (i) constitute a “parachute payment” within the meaning of Section 280G of the Code and (ii) but for this sentence, be subject to the excise tax imposed by Section 4999 of the Code (the “Excise Tax”), then such Payment shall either be (A) delivered in full or (B) delivered as to such lesser extent as would result in no portion of such Payment being subject to the Excise Tax, whichever of the foregoing amounts, after taking into account the applicable federal, state and local income taxes and the Excise Tax, results in the receipt by the Executive on an after-tax basis of the largest payment, notwithstanding that all or some portion of the Payment may be taxable under Section 4999 of the Code. The accounting firm engaged by the Company for general audit purposes as of the date prior to the effective date of the Change in Control, or such other person or entity as determined in good faith by the Company, shall perform the foregoing calculations and the Company shall bear all expenses with respect to the determinations by such accounting firm required to be made hereunder. Any good faith determinations of the accounting firm made pursuant to this section shall be final, binding and conclusive upon all parties. Any reduction in payments and/or benefits pursuant to the foregoing shall be made in accordance with Section 409A of the Code in the following order (1) Payments that do not constitute “nonqualified compensation” subject to Section 409A of the Code shall be reduced first; and (2) all other Payments shall then be reduced as follows: (a) reduction of cash payments; (b) cancellation of accelerated vesting of equity awards other than stock options, if any; (c) cancellation of accelerated vesting of stock options, and (d) reduction of other benefits payable to the Executive.

 

7


(b)Section 409A.

(i) Separation from Service; Installments. For purposes of this Plan, no payment will be made to any Executive upon termination of the Executive’s employment unless such termination constitutes a “separation from service” within the meaning of Section 409A of the Code. It is intended that the right of any Executive to receive installment payments pursuant to this Plan shall be treated as a right to receive a series of separate and distinct payments for purposes of Section 409A of the Code. It is further intended that all payments and benefits hereunder satisfy, to the greatest extent possible, the exemption from the application of Section 409A of the Code (and any state law of similar effect) provided under Treasury Regulation Section 1.409A-1(b)(4) (as a “short-term deferral”) and are otherwise exempt from or comply with Section 409A of the Code. Accordingly, to the maximum extent permitted, this Plan shall be interpreted in accordance with that intent. To the extent necessary to comply with Section 409A of the Code, if the designated payment period for any payment under this Plan begins in one taxable year and ends in the next taxable year, the payment will commence or otherwise be made in the later taxable year.

(ii) Specified Employee. For purposes of Section 409A of the Code, if the Company determines that an Executive is a “specified employee” under Section 409A(a)(2)(B)(i) of the Code at the time of his or her separation from service, then to the extent delayed commencement of any portion of the payments or benefits to which the Executive is entitled pursuant to this Plan is required in order to avoid a prohibited distribution under Section 409A(a)(2)(B)(i) of the Code, such portion shall not be provided to the Executive until the earlier (i) the expiration of the six-month period measured from the Executive’s separation from service or (ii) the date of the Executive’s death. As soon as administratively practicable following the expiration of the applicable Section 409A(2)(B)(i) period, all payments deferred pursuant to the preceding sentence shall paid in a lump-sum to the Executive and any remaining payments due pursuant to this Plan shall be paid as otherwise provided herein.

8. Miscellaneous Provisions.

(a)Other Severance Arrangements. Except as otherwise specified herein, this Plan represents the entire agreement between Executive and the Company with respect to any and all severance arrangements, vesting acceleration arrangements and post-termination stock option exercise period arrangements, and supersedes and replaces any and all prior verbal or written discussions, negotiations and/or agreements between the Executive and the Company relating to the subject matter hereof, including but not limited to, any and all prior Participation Agreements, agreements governing any Equity Award, severance and salary continuation arrangements, programs and plans which were previously offered by the Company to the Executive, and change in control and severance arrangements pursuant to an employment agreement or offer letter, and, in consideration of the opportunity to participate in this Plan, Executive hereby waives Executive’s rights to any and all such other severance or acceleration payments or benefits, as applicable.

(b)Dispute Resolution. To ensure rapid and economical resolution of any and all disputes that might arise in connection with this Plan, Executive and the Company agree that any and all disputes, claims, and causes of action, in law or equity, arising from or relating to this Plan or its enforcement, performance, breach, or interpretation, will be resolved solely and exclusively by final, binding, and confidential arbitration, by a single arbitrator, in San Francisco County, California, and conducted by the American Arbitration Association under its then-existing employment rules and procedures. Nothing in this section, however, is intended to prevent either party from obtaining injunctive relief in court to prevent irreparable harm pending the conclusion of any such arbitration. Each party to an arbitration or litigation hereunder shall be responsible for the payment of its own attorneys’ fees.

(c)Notice. Notices and all other communications contemplated by this Plan shall be in writing and shall be deemed to have been duly given when personally delivered or when mailed by U.S. registered or certified mail, return receipt requested and postage prepaid or deposited with Federal Express Corporation, with shipping charges prepaid. In the case of the Executive, mailed notices shall be addressed

 

8


to him or her at the home address which he or she most recently communicated to the Company in writing. In the case of the Company, mailed notices shall be addressed to its corporate headquarters, and all notices shall be directed to the attention of its Secretary.

(d)Administration and Interpretation. This Plan will be administered by the Board, the Committee, or a committee designated by the Board. Subject to the general purposes, terms and conditions of this Plan, and to the direction of the Board, the Committee or the committee, the Board will have full power to implement and carry out this Plan, including but not limited to the ability to (i) construe and interpret this Plan, any Participation Agreement and any other agreement or document executed pursuant to this Plan, (ii) prescribe, amend and rescind rules and regulations relating to this Plan or any Participation Agreement, (iii) select persons to participate in this Plan and to receive and execute Participation Agreements, (iv) make all other determinations necessary or advisable for the administration of this Plan; and (v) delegate any of the foregoing to a subcommittee consisting of one or more executive officers pursuant to a specific delegation as permitted by applicable law. Any determination made by the Board with respect to this Plan or any Participation Agreement shall be made in its sole discretion, and such determination shall be final and binding on the Company and all persons having an interest in any Participation Agreement under this Plan. Any dispute regarding the interpretation of this Plan or any Participation Agreement shall be submitted by the Executive or Company to the Board, the Committee or committee, for review. The resolution of such a dispute by the Board, the Committee or committee, shall be final and binding on the Company and the Executive. The Board, or committee, shall review and resolve disputes with respect to this Plan or Participation Agreements with Executives, and such resolution shall be final and binding and conclusive.

(e)Amendment; Termination. This Plan may be amended or modified by the Board or Committee, without the consent of any Executive, provided that such amendment or modification is administrative in nature and/or does not adversely affect the rights of any Executive hereunder. Notwithstanding anything herein to the contrary, in no event shall any amendment or modification, suspension or termination adversely affect the rights of any Executive who is then receiving or entitled to receive payments or benefits under this Plan, without the prior written consent of such Executive. Following a Change in Control, this Plan shall terminate when any benefits under this Plan are no longer capable of being earned as a result of any Executive’s Qualifying Termination.

(f)Waiver. No waiver by either party of any breach of, or of compliance with, any condition or provision of this Plan by the other party shall be considered a waiver of any other condition or provision or of the same condition or provision at another time.

(g)Withholding Taxes. All payments made under this Plan shall be subject to reduction to reflect taxes or other charges required to be withheld by law.

(h)Severability. The invalidity or unenforceability of any provision or provisions of this Plan shall not affect the validity or enforceability of any other provision hereof, which shall remain in full force and effect.

(i)No Retention Rights. Nothing in this Plan shall confer upon the Executive any right to continue in service for any period of specific duration or interfere with or otherwise restrict in any way the rights of the Company or any subsidiary of the Company or of the Executive, which rights are hereby expressly reserved by each, to terminate his or her service at any time and for any reason, with or without Cause.

(j)Choice of Law. The validity, interpretation, construction and performance of this Plan shall be governed by the laws of the State of California (other than their choice-of-law provisions).

*******

 

9


EXHIBIT A

FORM OF PARTICIPATION AGREEMENT TO THE

AMENDED AND RESTATED EXECUTIVE SEVERANCE AND CHANGE IN CONTROL PLAN

This Participation Agreement by and between [    ] (the “Executive”) and Maze Therapeutics, Inc., a Delaware corporation (the “Company”) incorporates by reference and is governed by the Amended and Restated Executive Severance and Change in Control Plan (the “A&R Executive CIC Plan”). The Executive hereby acknowledges that Executive has read, understands and consents to the terms and conditions of the A&R Executive CIC Plan and the following additional terms.

Except as otherwise specified herein, this Participation Agreement and the A&R Executive CIC Plan represent the entire agreement between Executive and the Company with respect to any and all severance arrangements, vesting acceleration arrangements and post-termination stock option exercise period arrangements, and supersedes and replaces any and all prior verbal or written discussions, negotiations and/or agreements between the Executive and the Company relating to the subject matter hereof, including but not limited to, any and all prior Participation Agreements under the A&R Executive CIC Plan prior to its restatement, agreements governing any Equity Award, severance and salary continuation arrangements, programs and plans which were previously offered by the Company to the Executive, and change in control and severance arrangements pursuant to an employment agreement or offer letter and Executive hereby waives Executive’s rights to any and all such other severance or acceleration payments or benefits, as applicable.

IN WITNESS WHEREOF, each of the parties has executed this Participation Agreement to the Amended and Restated Executive Severance and Change in Control Plan, in the case of the Company by its duly authorized officer, as of the date noted below.

 

      MAZE THERAPEUTICS, INC.

 

     

 

Executive:      
Date:       By:
      Title:
      Date:
EX-23.1

Exhibit 23.1

Consent of Independent Registered Public Accounting Firm

We consent to the reference to our firm under the caption “Experts” and to the use of our report dated June 21, 2024, in the Registration Statement (Form S-1) and related Prospectus of Maze Therapeutics, Inc. for the registration of shares of its common stock.

/s/ Ernst & Young LLP

San Mateo, California

January 7, 2025

EX-99.1

Exhibit 99.1

Consent to be Named as a Director

In connection with the filing by Maze Therapeutics, Inc. (the “Company”) of the Registration Statement on Form S-1, and in all subsequent amendments and post-effective amendments or supplements thereto, with the Securities and Exchange Commission under the Securities Act of 1933, as amended (the “Securities Act”), I hereby consent, pursuant to Rule 438 of the Securities Act, to being named as a nominee to the board of directors of the Company in the Registration Statement and any and all amendments and supplements thereto. I also consent to the filing of this consent as an exhibit to the Registration Statement and any and all amendments and supplements thereto.

 

Date: January 7, 2024      
    By:  

/s/ Neil Exter

      Neil Exter
EX-FILING FEES

Exhibit 107

Calculation of Filing Fee Table

Form S-1

Maze Therapeutics, Inc.

Table 1 – Newly Registered Securities

 

                 
      Security 
Type
 

Security

Class

Title

  Fee Calculation
Rule
  Amount
 Registered 
  Proposed
 Maximum 
Offering
Price
Per Share
  Maximum
Aggregate
Offering Price(1)(2)
  Fee
Rate
  Amount of
Registration Fee
                 

Fees to be

Paid

  Equity   Common Stock,
par value $0.001 per share
  Rule 457(o)   —    —     $100,000,000     $0.00015310     $15,310.00 
         
    Total Offering Amounts    $100,000,000     $15,310.00
         
    Total Fee Offsets    —    —    — 
         
    Net Fee Due    —    —    $15,310.00

 

(1)

Estimated solely for the purpose of calculating the amount of the registration fee pursuant to Rule 457(o) under the Securities Act of 1933, as amended, or the Securities Act.

(2)

Includes the aggregate offering price of additional shares that the underwriters have the option to purchase.